Шишка на внутренней стороне губы является уплотнением, не только вызывающим эстетический дискомфорт, но и сигнализирующим о наличии какого-либо заболевания, которым было спровоцировано её появление.
Поэтому независимо от этиологии, от нее следует в кротчайшие сроки немедленно избавляться. В этой статье предоставлена информация об основных причинах ее появления и способах лечения такого новообразования.
Причины образования шишки на губах
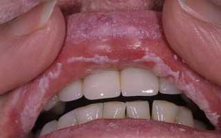
Специалисты предполагают появление шарика на губе во внутренней части как кисту Мукоцеле с голубоватым оттенком, которая не создает особых неудобств, не болит. При этом исключается вероятность раковой опухоли, но возможно развитие любой патологии.
Поэтому, когда женщина прикусила губу,и образовался шарик внутри губы, либо мужчина, ребенок, следует обратиться к специалистам. Образование может образоваться в любом возрасте у людей разного пола.
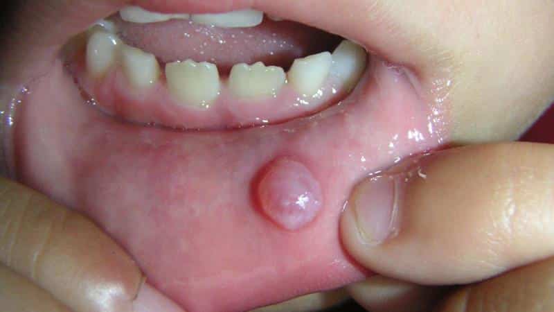
Ретенционная киста нижней губы у ребёнка
Во время прикусывания слизистой оболочки клетки попадают в мягкие ткани, и после этого образовывается шарик небольшого размера. Образование может состоять из одного или нескольких мелких пузырьков, которые иногда прорываются, и открытая рана представляет собой эрозию.
Помимо прикусывания, уплотнение на внутренней стороне губы может образоваться в результате:
- обычной травмы;
- воспалительных процессов;
- ожог во время приема горячей пищи;
- неправильно установленные протезы;
- зубы нестандартной формы;
- вирусы, инфекции, аллергические реакции;
- ношения пирсинга и других причинах.
Сильное прикусывание, травмируя слюнные железы, имеет одну схему образования кисты:
- первоначально происходит закупорка выводного канала слюнной железы;
- затем в области поражения накапливается слюна и клетки кожного покрова;
- выделение секрета проходит постоянно, вследствие чего увеличивается новообразование.
Если на губе появилась шишка с внутренней стороны, во время повреждений она может вскрыться самостоятельно с вытеканием прозрачной жидкости. В дальнейшем происходит повторное наполнение полости, так как место накопления слюнной железы имеет вид растянутой капсулы, не исчезающей после вскрытия протоков. Это приводит к воспалительным процессам с проникшими бактериями из внешней среды.
Заниматься самостоятельным лечением, выдавливанием, а также ковырять, мазать припухлости и шишки на губе не рекомендуется.
Как вылечить шишку во рту у маленького ребенка?
Прежде надо выяснить причину, а значит — показать ребенка педиатру. Часто появление вздутия на губе у детей обусловлено ретенционной кистой, а ее, дабы не допустить увеличения и избежать рецидивов, удаляют только хирургически.
Избавиться от шишки на губе раз и навсегда можно, зная ее этиологию. Для этого существует целый ряд диагностических и лечебных мероприятий, осуществить которые возможно зачастую только в условиях клиники. Избегая визита к врачу, можно серьезно ухудшить состояние и нанести вред здоровью.
Симптомы и методы диагностики
Шишка на губе внутри фото которой представлено снизу, вызывает у ее носителя дискомфортное состояние, мешает разговаривать и принимать пищу. В размерах по диаметру она иногда достигает два сантиметра и более. На ощупь образование твердое, а при механическом повреждении, надавливании, в частности пережевывание пищи, может из него вытекать жидкость беловато – желтого цвета или красноватые выделения, в случае повреждения сосудов внутри.
Заниматься самостоятельным лечением, выдавливанием, а также ковырять, мазать припухлости и шишки на губе не рекомендуется
Внутри губы шишка может иметь не только кистозный характер опухоли. При нажатии на нее во время проведения теста, она углубляется внутрь и возвращается на место, что также ведут себя образования, связанные с железистым эпителием. Такие опухоли образуются в результате усиления деятельности эндокринной системы в младенческом или подростковом периоде. Большинство образований в форме шишки могут иметь разные структуры с одинаковым проявлением. Лечение разное и поэтому следует определить этиологию происхождения.
Когда киста опустошается, происходит повторное наполнение в капсуле, которая служит оболочкой. Она обладает подвижностью, эластичностью, мало окружена мягкими тканями. Боль возникает в случае воспалений. Киста зачастую имеет одну камеру, но бывает и много. Диагностика проводится с помощью канального зондирования с определением ширины протока и выявлением слюнного камня.
Точный диагноз устанавливается после проведения УЗИ с определением структуры, размеров кисты. Чтобы определить отсутствие злокачественной опухоли, проводится сиалография, содержимое анализируют специалисты с помощью пункции.
«Диагноз» значит: распознавание
Для постановки точного диагноза имеет значение установление причины возникновения заболевания, характерный облик новообразования, отсутствие существенных отклонений в составе крови при её исследовании.
Инструментальными методами диагностики являются:
Данные методы дают представление о структуре железы, о наличии камня в её протоке и позволяют исключить злокачественное новообразование.
Окончательный диагноз ставится после проведения гистологического исследования материала, полученного в процессе операции.
Лечение
Шишка на нижней губе, если она не прошла самостоятельно, ее лечение проводится хирургическим вмешательством с применением местной анестезии и наложением швов. После операции на протяжении нескольких дней губа может иметь припухлости. Для уменьшения кровоточивости после операции нижнюю губу выворачивают и сильно прижимают. Удаление опухоли проводится с особой осторожностью. Важно не повредить оболочку, потому что в случае вытекания жидкости теряются контуры кисты и удалить ее полностью будет гораздо сложнее. Когда остается не удаленная часть, возможно возникновение рецидива.
Обязательно выщипываются малые слюнные железы для предупреждения новых образований и легкости зашивания хирургической раны. Врач выполняет два разреза и вылущивает кисту из слизистой. Для удобства сведения краев при зашивании, разрезы выполняются в перпендикулярном положении к красной кайме губы.Помимо традиционных способов хирургического вмешательства для разрезов, которые характеризуются высоким риском перфорации оболочки слюнных желез из-за сильной кровоточивости, применяются лазерные технологии.
На фотографии вид через 1 месяц после удаления кисты лазером
Суть методики
Наиболее распространенным способом увеличения и коррекции губ признают инъекционную контурную пластику различными гелями. Процедура считается рекордно быстрой, безболезненной, позволяет добиться желаемых результатов, влечет минимальное число негативных последствий.
Для коррекции губ подходят различные препараты:
- силиконовые, биополимерные гели;
- филлеры с гиалуроновой кислотой;
- препараты на основе гидроксиапатита кальция, коллагена;
- жировые клетки пациента.
В зависимости от используемого вещества, индивидуальных реакций организма результат от введения препарата заметен от полугода до 3–10 лет. Сколько в реальности продержится вещество сказать сложно. Биодеградируемые препараты ведут себя под кожей не всегда предсказуемо. Вещество может рассосаться досрочно.
Применение силиконовых, биополимерных гелей в последнее время теряет актуальность. Именно эти вещества вызывают наибольшее число осложнений. Остальные варианты препаратов дают пациентам непродолжительный, но прогнозируемый результат. Гиалуроновая кислота, коллаген или собственный жир пациентов хорошо воспринимаются организмом, стимулируют внутренние омолаживающие процессы, вещества постепенно выводятся естественным путем.
Лечение кистозного образования внутри губы народными методами
Шишку на губе можно лечить и народными средствами, но надеяться на сто процентное исцеление таким методом не стоит
Как известно, современная медицина не исключает комплексную терапию лечения различных заболеваний с применением лекарственных трав и народных методов. Для многих пациентов операция часто звучит как смертельный приговор, а потому они все чаще обращаются к альтернативным народным способам. При этом на консультации врачи не исключают возможности выздоровления с помощью трав, примочек, полосканий для уменьшения размеров и полного удаления шишек.
Эффективным средством на сегодняшний день считается сок каланхоэ, листочки растения следует разжевывать и держать во рту для попадания сока в место образования. Не менее популярным по своим лечебным свойствам считается алоэ, которое заживляет и содержит противовоспалительные вещества.
К продуктивным средствам причисляют спиртовой раствор: сок фикуса (10г) смешанный с водкой (70 г). Раствор настаивается в холодном месте три дня, после чего смешивают с водой в соотношении 1 к 3. Смоченные ватные тампоны накладывают на проблемное место и держат в течение 10 минут. Выбрать способ лечения можно совместно с врачом, но надеется на сто процентное исцеление народными методами не стоит. Все зависит от длительности, степени заболевания, глубины и длины самой кисты.
Обычно шишки на губах – это доброкачественные образования, которые не представляют опасности, но приносят дискомфорт. Они возникают в основном с внутренней стороны губы и в большинстве случаев исчезают со временем сами, если это не серьезное заболевание. Если же это состояние хроническое и не проходит – тогда следует побеспокоиться.
Какими медикаментами лечиться?
Это зависит от причины патологии:
- при инфекционном поражении могут назначаться препараты наружного и внутреннего применения. Что именно покупать в аптеке и как использовать, зависит от многих параметров, в том числе от вида возбудителя и степени тяжести заболевания;
- при аллергической этиологии шишки на губе показаны антигистаминные препараты;
- решение о методах лечения злокачественной патологии назначает онколог. Как правило, это целый комплекс мер, включающий химиотерапию и лучевое воздействие.
В некоторых случаях шишку на губе требуется удалять хирургически. Каким бы ни был диагноз, лечение подбирает врач.
Причины
Существует несколько возможных причин образования шишек внутри губы.
Слизистая киста
Чаще всего шишка с внутренней стороны губы – это слизистая киста (мукоцеле), представляющая из себя пузырь, наполненный жидкостью. Цвет может быть от голубоватого до сиреневого или розоватого.
Слизистая киста может образоваться в результате всасывания слизистой губы меж зубы, в этом случае обычно появляется одна киста на нижней губе ближе к зубам.
Большая и маленькие слизистые кисты (мукоцеле)
Мукоцеле обычно безболезненны, вреда от них нет, за исключением чувства дискомфорта, а просуществовать они могут иногда даже до конца жизни, если не будут удалены.
Такой пузырь может находиться на нёбе, слизистой оболочке языка и с внутренней стороны щек.
Травма губы
Киста может образоваться с внутренней стороны губы из-за повторяющихся травм, например, ударов по губам, множественного или агрессивного пирсинга, кусания губ и др.
Волдыри, язвы или болячки, которые могут быть болезненными, возникают и в результате психологических страданий и стресса, и исчезают через несколько дней, если стресс будет преодолен. В этом случае для ускорения излечения следует исключить из рациона острую или соленую пищу.
Реакция на медицинские препараты
Медицинские препараты могут воздействовать на ткани полости рта таким образом, что в конце концов у некоторых людей могут появиться шишки на губах. Например, относительно распространенным явлением является ожог таблеткой аспирина, после чего может появляться пузырь.
Инфекции во рту
Бактерии или дрожжевые патогенные грибы при некоторых благоприятных условиях могут вызвать инфекцию во рту или в кишечнике.
Другие причины и факторы риска
- Инфекции афтозного стоматита
- Фиброма
- Ожоги во рту от химических веществ, таких как щелочи
- Пирсинг губы
Идем к врачу
Образование любых опухолей, шишек, наростов – нуждается в медицинском обследовании. Это относится к людям любого возраста и особенно к новорожденным. Если на губе вашей появилась шишка, то она может свидетельствовать о развитии сложных заболеваний и патологий. При этом, если у вас наблюдаются дополнительные симптомы, можно говорить о развитии дерматологического заболевания. Они могут перерождаться в раковые.
Вы слышали, что нельзя самостоятельно пытаться удалять родинки. Потому что они могут превратиться из доброкачественной опухоли в злокачественную. Такой подход необходим и к белым шишкам, которые расположены внутри тканей. Прикусила губу, а рана долго не заживает, как поступать? Только в больнице и под наблюдение врача возможны любые хирургические вмешательства назначение курса лечения. Шишка на вашей губе внутри или снаружи может перерасти в онкологическое заболеваний.
Белая шишка на вашей губе нуждается в обследовании и удалении. Обращайтесь в клиники, которые имеют специальные лицензии, оборудование и пользуются хорошей репутацией. Во время операции многое зависит от квалификации хирурга, от его опыта. Для удаления шишек используют местную анестезию, и вы не почувствуете боли.
Шишка на губе с внутренней стороны и снаружи: что это, лечение.
Если глаза – это зеркало души, то по внешнему виду губ можно составить впечатление об общем состоянии организма, здоровье, привычках, образе жизни человека. Диагностика многих заболеваний особое внимание уделяет этому органу.
Большое количество нервных окончаний и тонкий слой верхнего эпителия увеличивает чувствительность во много раз в сравнении с кончиками пальцев, поэтому малейшие изменения целостности тканей, особенно шишка внутри губы – воспринимаются более остро.
Традиционное лечение
Шишка на внутренней стороне губы обычно безвредна, но доставляет достаточно неудобств, чтобы оставлять ее без внимания. Зависимо от причины, она может вскоре пройти самостоятельно через некоторое время. Но чаще, чтобы избавиться от такого образования, требуется прибегнуть к определенным методам лечения.
Инъекции
Если шишки вызывают воспаление слизистой оболочки, инъекции кортикостероидов ослабят эти симптомы.
Криотерапия
Может ли криотерапия излечить шишки на губах? Эта процедура может избавить от них, но лишь в некоторых случаях, т.к обычно для этих целей не используется. При этом лечении жидкий азот замораживает образования, не поддающиеся другим методам терапии.
Пациенты должны учитывать, что при таком лечении последствием может быть возникновение волдырей.
Лечение лазером
Лазерная операция более эффективна и менее опасная, т.к. при этом лечении нет побочных явлений. Такая терапия рекомендуется для пациентов с шишками на губе, которые появляются и уходят, такими как киста слизистой.
Хирургическая операция
Поверхностный разрез – это обычный метод устранения шишек или образований, которые могут повториться. Таким образом ликвидируются слизистые кисты и фибромы во рту.
После операции пациенты должны продолжать обычный уход за ротовой полостью за исключением первых двух дней, когда движение губ должно быть минимально. И в течение первых двух недель питание должно состоять из мягкой пищи и питья.
Этот метод очень эффективен, доступен и при нем ткань губ нарушается минимально. Однако проблема может вернуться. Кроме того, хирургическое вмешательство скорее всего потребуется, если окажется, что заболевание серьезно.
Что делать в домашних условиях?
Однозначно ответить на этот вопрос невозможно, так как прежде необходимо выяснить причину. В некоторых случаях самолечение может оказаться не только бесполезным, но и опасным. Самостоятельно заниматься этим, не имея медицинского образования, можно лишь тогда, когда причина проблемы очевидна.
Например:
- известно, что водянистые шишки на губах — очередное обострение герпеса. В этом случае стоит обрабатывать пораженные участки Ацикловиром, принимать препараты, подавляющие активность вируса и укрепляющие иммунитет;
- припухлость на губе возникла из-за травмы. После антисептической обработки можно нанести противовоспалительную мазь;
- в других случаях.
Домашние средства
Это обычные народные средства для лечения или облегчения заболевания. Некоторые натуральные ингредиенты могут использоваться только при определенных образованиях на губах.
Морская соль
Это эффективное лечение натуральными средствами доброкачественных опухолей таких, как слизистая киста. Нужно приготовить теплый раствор и прополоскать рот, затем выплюнуть.
Йогурт
Кроме обеспечения организма витаминами для облегчения чувства дискомфорта во рту можно использовать простой без добавок йогурт.
Касторка
Касторка успокаивает жжение во рту от ранок. Нужно нанести несколько капель касторки на образования на внутренней стороне нижней губы.
Масло чайного дерева
Смешать ½ чайной ложки чайного дерева с 1 ложкой меда и прикладывать смесь на губу с шишками на ночь.
Приложить несколько кусочков льда к шишкам и дать им растаять на губах, чтобы облегчить боль во рту.
Шалфей
Если нет льда, нужно приготовить раствор шалфея, он также устраняет боль от образований во рту.
Всегда надо следовать совету личного врача и не заменять его общими медицинскими инструкциями.
Уплотнение на губе в виде шишки – это не только эстетическая проблема. Зачастую они мешают нормально жевать пищу, нарушают дикцию и доставляют физиологические болевые ощущения. При появлении шариков необходимо обратиться за помощью к стоматологу.
Врач выяснит, что это такое и поставит диагноз. При необходимости направит к узкому специалисту. После диагностики доктор пропишет подходящее лечение.
Как это выглядит и к чему может привести
Из глубины повреждённой (и зажившей рубчиком) губы начинает медленно расти «шишка» или «мячик», абсолютно безболезненный, плотный и не перекатывающийся в толще губы при её ощупывании (составляющий с ней одно целое).
Кроме постепенного увеличения размеров волдыря на губе больной ничего не наблюдает.
Но в какой-то момент, помимо косметического неудовольствия, киста начинает причинять и чисто механические неудобства (при разговоре и приёме пищи).
Со временем от трения о зубы «шишка» кисты начинает повреждаться ими и вызывать сначала кратковременные, а затем всё более значительные воспалительные явления на губе, превращаясь в нарыв и гнойники.
- кровоточить;
- изъязвляться;
- озлокачествляться;
- из местного явления превратиться в причину заболевания всего организма.
Ввиду того что доброкачественное с виду новообразование может оказаться раком губы, обращение за медицинской (и стоматологической) помощью в случае образования ретенционной кисты губы должно быть как можно более ранним. А гистологическое исследование любой иссеченной ткани является обязательным правилом хирургии и стоматологии.
Причины шишек
Внутренний шарик на губе появляется по разным причинам. К основным факторам относятся следующие:
- Механическое травмирование мягких слоев эпидермиса – при неудачном откусывании человек может прикусить губу и поранить ее. В результате появляется ранка. Если ее никак не лечить, то возможно развитие уплотнения. При повреждении слизистая становится уязвима, в ней начинают активно размножаться бактерии, вирусы и прочие патогенные организмы. Травмирование может наступить при ношении брекетов или пирсинга, зубных протезов, естественной кривизне зубов или при термическом ожоге. Зачастую после ударов уплотнения появляются у ребенка, поскольку дети более активные, чем взрослые и чаще падают.
- Вирусы – полость рта является идеальным местом для размножения вирусов. В ней активно развиваются энтеровирусы, вирусы герпеса, стоматита, опоясывающего лишая. В итоге больные замечают, что на губе появилась шишка.
- Воспаление слюнной железы – в этом случае у больного во рту появляется мукоцеле или шишка. Работа слюнных желез обычно нарушается из-за неудачного прокола (пирсинга), ожога или надкусывания.
- Аллергические реакции – иногда при употреблении продуктов-раздражителей или лекарственных средств у пациента образуются крупные прыщи и отеки на лице и губах. Состояние сопровождается гиперемией, отечностью и зудом. В этом случае нужно принять антигистаминный препарат и срочно вызвать скорую помощь или самостоятельно обратиться в отделение больницы.
Чем мазать губы
Синяки после уколов наполнителей и ботокса как предотвратить
По статистике чаще всего филлеры вводятся в область губ – это их увеличивает и делает четко очерченными, одновременно разглаживая складки и морщины. Косметологи рекомендуют в первые сутки после процедуры прикладывать к губам кусочки льда, предварительно завернув их в марлю, бинт или любой текстиль. Охлаждение должно осуществляться каждые 2 часа – кровеносные сосуды сузятся, снизится скорость кровотока и заживление мест уколов будет быстрым.
Что касается обработки губ после филлеров мазями и кремами, то врачи по этому поводу дают следующие рекомендации:
Лиотон и Троксевазин. Эти препараты изготавливаются на основе гепарина натрия, который снимает отечность и служит профилактикой формирования гематом, развитию воспалительных процессов. Но нужно помнить, что вторым действующим веществом этих средств является этиловый спирт, который сильно сушит кожные покровы и может стать причиной появления трещин.
Поэтому в первые сутки применения Лиотона и Троксевазина противопоказано, нужно дождаться заживления проколов.
Если в течение первых дней после введения филлеров на коже появились повреждения (ссадины, царапины и так далее), то применять препараты категорически противопоказано. Они не наносятся на открытую слизистую.
Арника и Траумпель. Эти мази относятся к группе гомеопатических препаратов, снимают отечность, оказывают противовоспалительный эффект. Их наносят 3 раза в день сразу же после проведения косметической процедуры тонким слоем. Продолжительность использования средств – 7 дней.
В составе мазей Арника и Траумпель содержатся экстракт лекарственных растений (ромашки, календулы) и поэтому нужно быть уверенным в том, что на эти компоненты отсутствует аллергическая реакция.
Долобене. Этот гель оказывает мощное смягчающее действие, обладает не интенсивным противоотечным и противовоспалительным эффектами. В отличии от других препаратов Долобене способствует ускорению процессов регенерации на клеточном уровне и поэтому врачи рекомендуют наносить его на губы после инъекций в первый же день.
Гель наносится тонким слоем не более 4 раз в сутки. Делать это нужно специальной лопаточкой или спонжем, но не пальцами, чтобы не спровоцировать занос инфекции в места уколов.
Смотрите в этом видео о том, как проходит процедура увеличения губ филлерами и уходе за губами после:
Другие причины шишек и их виды
- Ретенциальная киста – это распространенное заболевание. Киста наполнена прозрачной жидкостью и выпирает над слизистой, с внутренней стороны. Ее структура плотная, но при надавливании киста расплющивается. Затем вновь возвращается в нормальное состояние. Новообразование не болит, его размеры постоянно меняются (оно уменьшается или увеличивается). Иногда киста лопается самостоятельно, а жидкость попадает в полость рта. Но эта ситуация не решит проблему, поскольку со временем шарик вновь появится на своем месте. Для того чтобы избавиться от проблемы, необходимо посетить стоматолога. Врач зондирует слюнной канал и полностью удалит кисту, зашив края ранки.
- Герпес – заболевание вызывается простым вирусом герпеса. При нем появляются белые шишки на губах. Шарики водянистые внутри. Дополнительные симптомы – повышение температуры тела (но не в каждом случае), болезненные ощущения и жжение в области губ. После того как шарик созреет, он лопается. Из него вытекает жидкий экссудат. Затем ранка покрывается гнойной коркой. Для герпеса характерны множественные высыпания. Вирус всегда присутствует в крови у больного, возможна длительная ремиссия, но при благоприятных условиях вирус герпеса вновь атакует, и начинаются высыпания.
- Папиллома на языке – это доброкачественные новообразования, похожие на вилок цветной капусты. Они никак себя не проявляют за исключением эстетического дискомфорта. Папилломы могут появиться на внутренней и на внешней стороне губы. Они вызываются вирусом папилломы человека. Это могут быть плоские розоватые уплотнения, достигают в размерах до 1 – 2 сантиметров. Бородавки бывают черного цвета. В этом случае они локализуются в единственном числе. Если папилломы не доставляют видимых эстетических неудобств, то их можно не удалять.
- Гемангиома – это частое новообразование снаружи губы. Обычно синюшная шишка, которая может достигать больших размеров в диаметре. Гемангиома образуется из-за разрастания сосудов. Аномалия может носить врожденный или приобретенный характер. Удаление носит только хирургический путь решения.
- Травмы – сюда же можно отнести термические ожоги. Зачастую после неудачного надкусывания или после падения на губе появляется шарик. Целостность слизистой нарушается, она сильно травмируется. В результате может появиться прозрачный волдырь, язвочка или нарост на слизистой. Шарик рассасывается самостоятельно, если этого не произошло, то требуется помощь специалиста.
- Фиброма – это доброкачественная опухоль, которая образуется из фиброзной ткани. Растет достаточно долго и поначалу никак не заметна. Представляет собой узелок на ножке или на широком основании. Уплотнение розового цвета с гладкой поверхностью. Удаляется только хирургическим путем.
Профилактика
Успех увеличения губ гиалуроновой кислотой, в первую очередь, зависит от выбора специалиста. Врач-косметолог должен обладать большим багажом опыта, который поможет уверенно выполнить процедуру. Используемый препарат должен быть от качественного производителя, который пользуется спросом и имеет хорошие отзывы от специалистов.
Перед процедурой нужно удостоверится, что у вас нет никаких противопоказаний. За несколько дней до увеличения губ нужно отказаться от:
- Алкогольных напитков. За 3-4 дня до процедуры нужно полностью исключить из употребления спиртное, так как оно приводит к обезвоживанию организма, вызывает отеки. Также алкоголь расширяет сосуды, что может стать причиной возникновения кровоизлияний и синяков;
- Употребления в пищу продуктов, вызывающих аллергию и раздражение. Нужно перестать есть соленое, острое перченное, а также снизить потребление сладкого;
- Механического воздействия. Грубые пиллинги, скрабы повреждают чувствительную кожу губ. Поэтому, чтобы не занести инфекцию при увеличении от них необходимо на пару дней отказаться;
- За неделю до увеличения губ следует прекратить приём медикаментов, которые разжижают кровь. Например, Аспирин, Ибупрофен, Диклофенак и др.
Если организм ослаблен после болезни или истощен от стрессов, то на таком фоне могут возникнуть воспаления.
После увеличения губ гиалуроновой кислотой следующих ограничить себя в следующих действиях:
Курение. Нельзя курить в первые 24 часа после процедуры. Это сильно сушит губы, а также провоцирует образование шариков и комков в губах; Поцелуи. Страстные поцелуи наносят ущерб чувствительной коже. Поэтому первое время лучше потерпеть; Алкоголь
Не пить спиртные напитки важно не только до процедуры, но и после. Первые 4-5 дней пить строго запрещается
Точную дату, когда можно снова баловаться алкоголем, скажет только ваш специалист; Положение туловища во сне. В первые дни после увеличения лучше спать на боку или спиной к кровати, на высокой подушке. Неправильное положение во время сна может привести к миграции филлера; Термическое воздействие. 4-5 дней после процедуры запрещается посещение сауны, бани или солярия. Также нельзя есть горячую еду и принимать ванну. Высокая температура приводит к раздражению и рассасыванию гиалуроновой кислоты в губах; Физические нагрузки. Упражнения могут привести к травмам и миграции гиалуроновой кислоты. Также физическая активность подразумевает активное потоотделение. Пот может попасть в открытые ранки.
После процедуры необходимо обеспечить губам особый уход. Это сократит период реабилитации и не даст появляться шарикам в губах
Для этого важно выполнять следующие процедуры:
- Увлажнение. Это главный аспект ухода за кожей губ после увеличения. Необходимо делать питательные маски, пользоваться бальзамами для губ или кремами. Маски могут быть покупными или приготовленными в домашних условиях. Главное, чтобы в выбранном средстве было максимальное количество натуральных компонентов. Рекомендуется в состав маски добавлять свежие куриные яйца, мед, сок или мякоть фруктов. При появлении небольших гематом, разрешается использование специальных мазей, например, «Арника», «ТраумельС» и др;
- Массаж губ. Процедуру можно проводить во время чистки зубов с помощью щетки. Массаж должен быть мягкий и бережный, чтобы не повредить чувствительную кожу губ;
- Через 10-14 дней рекомендуется выполнять более комплексный уход, который включает в себя три этапа: очищение, увлажнение, защита.
- Водный баланс в организме. Во время реабилитации необходимо пить 1,5-2 л воды в день.
Если следовать всем профилактическим действиям, то после увеличения губ, останутся только положительные впечатления.
Злокачественное уплотнение
Шишка внутри губы может оказаться опасной раковой опухолью. Заболеванию обычно подвержены мужчины преклонного возраста. Опухоль большого размера и стремительно растет.
Доставляет сильные болевые ощущения. У больного наблюдается резкий упадок сил и ухудшение самочувствия. Уплотнение покрыто кровоточащими язвами, может быть ярко красного цвета, бляшки трансформируются в серые или беловатые наросты.
После проведения биопсии и установления диагноза шишку полностью вырезают, а больному проводят курс химиотерапии или лучевой терапии. Если болезнь была выявлена на начальных стадиях, то возможно полное выздоровление или длительная ремиссия.
Показания к использованию
В увеличении губ самое главное – не навредить, что бы вместо наслаждения от вида похорошевших полных губ не получить уродливую «уточку». А вот если Вы от природы обладательница тонких губ – ниточек, эффект от процедуры Вас явно порадует. Кроме придания полноты, существует множество показаний к проведению инъекций. Перечислим основные:
- Заметная разница в толщине — нижняя губа крупнее верхней или наоборот;
- Некрасивая форма рта;
- Ассиметричная улыбка;
- Признаки старения губ – сухость, морщинки, потеря цвета;
- Нечеткий контур рта или его неровная пигментация;
- Опущенные уголки губ, что придает лицу усталый и угрюмый вид;
- Шрамы от механических повреждений – например, послеоперационные рубцы.
Лечение уплотнений
При обнаружении патологии больные сразу задаются вопросами, к какому врачу обратиться и, как лечить наросты. Терапией занимает стоматолог или стоматолог-хирург. При необходимости врач направит больного к другому узкоспециализированному доктору.
Чаще всего лечение носит оперативный характер – уплотнение полностью вырезают. Это может быть классическое хирургическое вмешательство. Сегодня врачи активно пользуется выжиганием шишки при помощи лазера или криотерапией (воздействие на проблемную зону жидким азотом). Вид операции выбирает сам врач, исходя из конкретного случая и общего состояния больного.
При герпесе больной пропивает курс противовирусных препаратов (например, Ацикловир).
Особенности процедуры увеличения
Из всего спектра техник по улучшению линии и объема губ, лидирует гиалуронат. Это природный компонент, отвечающий за удержание воды в клетках. С возрастом выработка кислоты уменьшается и снижается тургор кожи.
Для придания устам эстетично-привлекательного вида, врач-косметолог приступает к нескольким этапам терапии:
- Анализ состояния здоровья клиента и его пожеланий.
- Отсутствие противопоказаний.
- Подбор техники введения.
- Анестезия (обезболивающий крем или уколы).
- Инъекции.
- Снятие отечности.
- Рекомендации (время коррекции, способы ухода).
Гиалуронку применяют для улучшения овала лица, объема скул и устранения мимических морщин. Витрины аптек предоставляют широкий выбор филлеров, самый популярный и безопасный препарат шведской фирмы — Рестилайн (Restylane). При помощи шприца с тонкой иглой гель вводится в слои дермы, увеличивая ее упругость и стимулируя выработку природного коллагена.
Способы минимизации рисков
- пить алкоголь, желательно отказаться от сигарет на 2–5 дней;
- принимать медикаменты, влияющие на состояние крови (аспирин, ибупрофен, препараты с аналогичными действующими веществами);
- игнорировать признаки болезни.
Врач порекомендует пройти тест на аллергию. Если существуют известные опасности, лучше заранее пропить антигистаминные препараты
Важно предупредить опасность герпеса. При появлении признаков обострения вируса процедуру увеличения гелем косметолог переносит
Если рецидивы заметны часто, то пациенту рекомендуется провести профилактический медикаментозный курс лечения соответствующими препаратами.
При выполнении инъекций гелей врач обязан соблюдать стерильность
Важно, чтобы косметолог манипулировал чистыми руками, использовал одноразовые перчатки. Пациенту обязательно проводят антисептическую обработку мест инъецирования
Для предупреждения различных осложнений косметологу совместно с пациентом важно исключить противопоказания:
- беременность, период вскармливания грудью;
- аутоиммунные заболевания;
- онкология;
- психические расстройства;
- серьезные эндокринные, сердечно-сосудистые патологии;
- период обострения хронических нарушений;
- заболевания ЛОР органов острого течения;
- инфекционные, воспалительные, вирусные заболевания в период острого течения.
Процедуру увеличения губ косметологи не проводят, если прошло меньше месяца с момента осуществления пластических операций, химического пилинга, шлифовки кожи. Обо всех манипуляциях, проводимых за 2–3 предшествующих месяца пациентам рекомендуется сообщить косметологу.
Риск получения негативных последствий при введении в ткани чужеродных веществ всегда велик. При соблюдении всех рекомендаций косметолога развитие осложнений снижается, но не исключается. В случае опасений острого протекания восстановления, получения негативного результата лучше воспользоваться альтернативными методиками формирования объема: массаж, упражнения фейсбилдинга, различные приспособления.
Ужасные осложнения предсказать сложно. В большинстве случаев пациенты настроены исключительно на положительный результат.
Когда есть надежда, что шрам рассосется сам?
Иногда не приходится беспокоиться о том, как убрать шрам на губе. Если повреждение было незначительным, а заживление прошло без проблем, то и след от него будет малозаметным.
А по прошествии времени такой нормотрофический рубчик практически исчезает. Он становится тоньше, перестает напоминать о себе болезненными ощущениями, по цвету приближается к остальным тканям и находится с ними на одном уровне.
Если же речь о гипертрофических и келоидных шрамах, рассчитывать, что они исчезнут сами, не стоит. И даже методы профессионального воздействия на них бывают не всегда достаточно эффективными.
Советы по избавлению
Если комки не исчезают больше 4 дней, следует обратиться к косметологу: он выполнит необходимую коррекцию.
Многих волнует вопрос, а могут ли шарики остаться навсегда?
Филлеры на основе гиалуронки обязательно растворяются в организме, да и косметологи с помощью специальных средств смогут удалить гиалуроновую кислоту из организма. Но на это уходит некоторое время (в среднем около недели).
Правила ухода за губами после вмешательства
Проведение массажа и гимнастики не отменяют общих условий жизни после инъекций гиалуроновой кислоты. И если после увеличения губ появились шарики, быстрее забыть о них поможет выполнение обязательных правил:
Обеспечить подвергнувшейся изменениям области тела покой на 5 — 7 дней. Это означает, что нужно избегать непроизвольного механического воздействия на губы, которое может вызвать смещение филлера и подтолкнуть формирование комков. Придется все это время спать на спине, разложив по бокам подушки, и воздержаться от поцелуев.
Избегать жары во всех проявлениях. Сауна, солярий, долгое пребывание на открытом солнце, горячая ванна пока противопоказаны. Жара раздражает и высушивает поверхность губ, мешает гиалуроновой кислоте внутри работать, способствует ее неравномерному распределению. То же действие оказывают горячая пища и напитки, неизбежно соприкасающиеся с губами.
Отказаться от занятий спортом. Физическая активность усиливает циркуляцию крови, то есть и прилив ее к губам. Это пока нежелательно. Кроме того, спорт увеличивает возможность травмы, а следовательно, и повреждения губ.
Пить много воды. Жидкость способствует активизации введенной в ткани губ гиалуроновой кислоты. Они быстрее приобретут окончательный вид, а препарат лучше и равномернее распределится по тканям.
Не употреблять алкоголь 5 — 7 дней после процедуры. Он нарушает все биологические процессы в организме. Тем более иначе может пойти образование коллагена в губах. Из-за уменьшения содержания влаги в тканях, неизбежном при присутствии алкоголя, объемность их снизится. Эффект от процедуры не будет максимальным. А вот отеки могут задержаться, что создаст все условия для формирования комков.
Не курить. Лучше бросить эту вредную привычку еще до процедуры. Но после нее на несколько дней отказ от курения обязателен. Табачные смолы впитываются в ткани губ, поэтому могут вызвать нарушения в распределении гиалуроновой кислоты. Вызываемый курением спазм сосудов приводит к тому, что отеки держатся дольше. А это создает благоприятные условия для формирования уплотнений в губах. Кроме того, курение провоцирует дефицит влаги в организме, которая сейчас нужна для поддержания объема.
Не пользоваться декоративной косметикой для губ. Помады и блески содержат красители и другие вещества, способные раздражать кожу. Соприкосновение губ с ними может спровоцировать аллергию, сухость. А если помада проникнет глубже через оставшийся после инъекции прокол, неизбежным становится развитие воспаления и инфекции.
Избегать прикосновений к губам и лицу, если только в данный момент не делаются массаж и другие процедуры по уходу. Постоянное касание к ним грозит не только проникновением инфекции, но и нарушением распределения корректирующего препарата.
Если комочки растут с каждым днем, доставляют сильную боль, кожа на губах слишком яркая, к врачу следует обратиться, не дожидаясь окончания первой недели после вмешательства. Проблема в данном случае может оказаться более серьезной, чем неверное распределение филлера в тканях.
Шарики после увеличения губ обнаруживают у себя многие прошедшие процедуру девушки. Но в большинстве случаев они быстро исчезают с помощью нехитрых манипуляций по уходу. Опасности от появления комочков ждать не стоит, если инъекции были сделаны в хорошей клинике, стерильных условиях, компетентным специалистом, и вводился качественный, сертифицированный препарат.
Почему после гиалуроновой кислоты на губах появляются синяки? Через сколько времени гематомы на губах исчезнут, и как можно сократить их проявление. Важные ограничения, которые нужно соблюдать после увеличения.
Популярная операция по изменению формы губ среди многих знаменитостей – техника парижские губы, или губки бантиком. Особенности проведения парижской техники увеличения губ. Возможные негативные последствия французской техники. Альтернативные схемы: по Гаруновой (вывернуть верхнюю губу филлером), веерная, монакская, голливудская.
Неудачное увеличение губ может произойти и у обычной девушки, и у звезды. Почему так происходит? Какие противопоказания к процедуре?
Вариантов коррекции носогубных складок несколько: контурная, с филлерами, гиалуроновой кислотой, мезонитями. Все препараты для процедуры имеют как положительные качества, так после могут возникнуть осложнения. Например, отек, синяки.
Виды образований
Когда необходимо удаление шрама на губе, нужно сначала определить, к какому виду он относится. Их несколько:
| Виды рубцов | Описание | Фото |
| Нормотрофический | Представляет собой отметину, отличающуюся от других тканей лишь цветом. Это самые легко поддающиеся простой маскировке рубцы, практически не нуждающиеся в серьезных мерах по удалению. Нормотрофический шрам может отличаться от нормальных тканей чувствительностью | |
| Атрофический | Выглядит, как углубление на коже губ, так как образуется при дефиците на данном участке коллагена | |
| Гипертрофический | Такое образование выпячивается на фоне остальной поверхности губы. Иногда оно бывает очень заметным. К тому же, гипертрофический шрам имеет яркий цвет. Причиной именно такого вида становится инфицирование повреждения на губе | |
| Келлоидный | Отличием, которое делает этот вид самым проблемным в устранении, является свойство наращивать ткани. Влияет на формирование келоидного шрама сниженный иммунитет |
Почему возникают шарики
Используемая при процедурах корректировки губ синтетическая гиалуроновая кислота по составу близка с природной, входящей в состав тканей организма человека. Повышение губ с ее помощью сопровождается возникновением краткосрочных противных последствий в виде отеков, уплотнений, синяков. Такая реакция вызвана травматизацией тканей в месте уколов. Те, кто увеличивал губки при помощи филлеров на базе гиалуроновой кислоты знают, что спустя 3-4 денька противные симптомы исчезают без помощи других. Внимание! Наличие шариков на губках в протяжении 5 дней после роста гиалуроновой кислотой, является нормой. Если за этот период времени они не пропали, рекомендуется немедленно обратиться к врачу-косметологу, проводившему функцию. Он сумеет сделать нужные меры по их рассасыванию
Шарики на губках возникают вследствие скопления дермального филлера под узкой кожей из-за долговременной отечности (более 3-х дней). Ее вызывает воспалительный процесс, возникающий на месте прокола и гематома от введения геля. Воспаление сопровождается болью, локальным увеличением температуры, покраснением. При наличии схожих признаков рекомендуется сразу обратиться к доктору.
Другие предпосылки формирования сгустков в тканях слизистой рта:
- неправильная доза гиалуроновой кислоты. Возможность возникновения шариков будет ниже, если заместо введения завышенной дозы, косметолог сделал большее количество микроинъекций;
- личное неприятие продукта. В большинстве случаев патология в виде образования шариков проявляется сходу, но в редчайших случаях из-за персональной реакции организма на введенный продукт это может произойти спустя месяц и поболее;
- поверхностное введение, последствия которого появляются в виде эффекта Тиндаля – округлых новообразований серовато-голубоватого колера;
- неверный постпроцедурный уход и пренебрежительное отношение к советам косметолога;
- скопление крови из-за значимого количества сосудов в тканях слизистой рта. Проявляется в виде болезненной гематомы бурого колера, не требующей исцеления и способной рассасываться без помощи других через некоторое количество дней;
- лишнее развитие соединительнотканных волокон, образующих узлы, рубцы, кисты. Действие гиалуроновой кислоты производит стимулирующий эффект на работу фибропластов, приводя к скоплению соединительной ткани.
Образовавшиеся шарики смотрятся малоэстетично, могут вызывать достаточно противные чувства, длительно сохраняться. Вовремя начатое исцеление поможет решить эту делему.
Как избавиться от комков самостоятельно?
В некоторых случаях избавиться от появившегося дефекта можно самостоятельно, не прибегая к помощи специалистов. Для этого необходимо выполнять следующие манипуляции:
- массаж;
- гимнастика для губ.
Таким образом, чтобы избежать появления комков после увеличения губ гиалуроновой кислотой, необходимо обращаться только к профессиональным специалистам в проверенных клиниках и соблюдать все предписанные врачом-косметологом рекомендации по уходу за губами после процедуры.
Первая помощь
Снять отек с губы гораздо сложнее, чем вовремя предотвратить его появление. Одна из самых простых рекомендаций — приложить холодный компресс сразу после удара. Этот метод позволяет сузить кровеносные сосуды и тем самым уменьшить выход жидкости из них. Кроме того, при помощи холода можно остановить кровотечение из мелких капилляров. Для этой процедуры подойдет лед или любой замороженный продукт, но лучше не прикладывать его прямо к коже. Кусочки льда рекомендуется завернуть в ткань — так он не сможет вызвать обморожение.
- разогревающие мази — такие препараты усилят выделение крови из сосудов и спровоцируют появление обширного кровоподтека;
- йодная сеточка — несмотря на то, что этот препарат применяют для рассасывания гематом, на чувствительной коже губ, он может вызвать аллергию или химический ожог;
- в период лечения не рекомендуется использовать косметику — если замазать синяк тонирующими средствами, это может ухудшить симптомы.
Если рана обильно кровоточит, лучше не пытаться вылечить ее самостоятельно. Современные методы хирургии позволяют наложить шов таким образом, что на месте травмы не останется шрамов. Следы от самостоятельного заживления повреждений кожи будут видны и через длительное время.
Синяки и гематомы после процедуры
Появление кровоподтеков после инъекций – дело частое. Если из-за прокола или отека кожи повреждаются капилляры, разрываются стенки мелких кровеносных сосудов, то в этих местах могут остаться следы. Гематомы усиливают болезненные ощущения, но проходят в течение недели, поэтому серьезными последствиями их не считают.
Если вы знаете о своей особенности – близкое расположение сосудов к верхнему слою кожи, тонкие стенки и склонность к синякам – то заранее планируйте коррекцию так, чтобы у вас была возможность не появляться на людях, не ходить на работу в период реабилитации. Это поможет, если вы щепетильны в вопросах безупречного вида или ваша работа существенно зависит от внешности (хостесс, менеджер по работе с клиентами, прямые продажи и т.д.).
Предпосылки возникновения комочков
Они могут появиться по последующим причинам:
- плохой продукт;
- мастер сумел плохо распределить гель после инъекции;
- большой объем вводимого геля за раз;
- личные особенности больного;
- неверное поведение больного после процедуры (посещение бани, самостоятельный брутальный массаж и пр).
Те, кто уже увеличивал свои губки, отмечали, что комки появлялись в главном после инъекций продуктами Юведерм, Рестилайн, но пореже Сурджидерм.
В каких случаях не стоит беспокоиться Варианты нормы
Не все женщины, впервые прошедшие процедуру объемной коррекции, готовы к тому, что в обработанной области могут прощупываться шишки и валики. Но далеко не всегда стоит излишне беспокоиться по их поводу:
- В тех случаях, когда гель был введен на правильную глубину, его действительно можно нащупать пальцами, хотя снаружи никаких уплотнений заметно не будет. Чаще всего такое характерно для плотных филлеров. Постепенно, по мере их рассасывания, комки будут уменьшаться в размерах и размягчаться.
- Также, стоит помнить, что в течение нескольких часов, а то и суток после введения препараты для контурной пластики продолжают распространяться в тканях – отсюда столько полепроцедурных правил ухода за лицом и прочих ограничений. Контролировать этот процесс можно при помощи специального массажа, который помогает распределить филлер правильным образом. Правда, поводить его самостоятельно категорически не рекомендуется, так как необходимо знать, с какой силой давить и куда направлять введенный гель – лучше всего с этим справится проводивший инъекции косметолог.
Проф способы удаления шариков
Что делать если после подкорректирующих инъекций филлерами комочки в губках не рассасываются более 4-5 дней, даст подсказку косметолог, рассматривая ситуацию в личном порядке. Может быть, пригодится проведение конструктивных подкорректирующих мероприятий при помощи:
- Процедур аппаратной косметологии – ультразвукового массажа и Дарсонваля. Их проведение способствует ускорению метаболических процессов и рассасыванию собравшегося в сгустки геля. Назначают их при отсутствии воспалений, фиброза, кровоизлияний.
- Дополнительного введения филлера. Этот метод носит маскирующий нрав и эффективен только в случае образования маленький асимметрии, вызванной неравномерным рассредотачиванием введенного геля. Недочетом «докалывания» является возможность разрастания комочков либо их выталкивание на поверхность, также угроза повторного возникновения сгустков.
- Противорубцовых ферментов. Если комки в губках образовались в итоге реакции иммунной системы на введение постороннего тела либо резвого роста соединительной ткани, для их рассасывания могут применяться «Лидаза» либо «Лонгидаза» – ферментные препараты для исправления рубцовых и соединительнотканных изъянов.
- Пластической операции. Данный способ применяется в случае образования сложных узлов и кист, предполагающих удаление новообразований через маленький разрез со стороны слизистой рта.
- Инъекции гиалуронидазы. Этот белковый фермент производит рассасывающее действие, позволяя за некоторое количество дней вывести гиалуроновую кислоту из губ. Его недочет – возможность появления аллергии. Применение гиалуронидазы следует в случае:
- введение лишнего количества филлера в губки;
- просвечивания геля через узкую кожу, из-за поверхностного введения либо использования плотных препаратов;
- формирования значимого количества соединительной ткани;
- сдавливания кровеносных сосудов введенным гелем, угрожающего некрозом тканей;
- инфецирование тканей, в районе введенного филлера.
Введение гиалуронидазы действует лишь на филлеры с гиалуриновой основой. Гели на базе коллагена, полимолочной кислоты либо гидроксиапатита кальция вывести данным ферментом нереально.
Сколько заживает рубец?
Рубец на губе затягивается долго. Собственно, формирование тканей идет аналогично тому, что происходит при повреждении иных участков тела. И зависит скорость замещения разрушенных клеток новыми от:
- обширности и глубины раны;
- общего состояния организма;
- присоединения или отсутствия инфекции.
Если повреждение было незначительным, ткани затянутся быстро. Но при серьезной травме или после операции окончательный вид шрам приобретет спустя год. И почти никогда нельзя предугадать, какого вида он получится.
Профилактические мероприятия
Чтобы предотвратить появление воспалительного заболевания ротовой полости или кожи вокруг рта, рекомендуется:
- Не закусывать губу, избавиться от такой вредной привычки, поскольку в таком случае слизистая травмируется, образовывая наросты.
- Соблюдать все правила личной гигиены, в противном случае может появиться белый шарик под кожей.
- Ведение здорового образа жизни.
- Прохождение профилактических осмотров.
Методы ускорения реабилитации
Для борьбы с негативными последствиями врач пропишет различные лекарства:
- супрастин, другие антигистаминные в случае проявлений аллергического характера;
- антибиотики при возникновении воспалительного процесса;
- ацикловир и аналоги для лечения герпеса;
- гепариновую мазь (долобене, лиотон, троксевазин, траумель) для снятия отеков, ускорения заживления гематом, достижения противовоспалительного эффекта.
Важно! Заниматься лечением надо строго с согласия косметолога. Любая самодеятельность чревата усугублением проблем.
Для лучшего распределения геля под кожей врач посоветует самостоятельно выполнять бережный массаж. Начинают разминать ткани после устранения отека: спустя 2–5 дней. Делают мягкие похлопывающие движения пальцами по коже или осторожные круговые растирания. Допустимо привлечь зубную щетку. Массаж выполняют обратной стороной (без щетинок). Делают осторожные круговые, похлопывающие движения по коже. Сеанс длится не более 5 минут.
Ускорить восстановление помогает выполнение мимической гимнастики. Используют специальные упражнения, которые делают не более 10 минут в день. К тренировкам приступают одновременно с началом выполнения массажа. Суть гимнастики элементарна:
- Рот складывают трубочкой, губки вытягивают вперед. В таком положении поочередно воспроизводят гласные «о», «и».
- Плотно надувают воздухом щеки. В центре рта приоткрывают небольшую щелочку. Через полученную дырочку медленно выпускают воздух.
- Губы плотно сжимают. Выполняют вращательные движения закрытым ртом.










