Порой в стоматологии возникает момент, когда обычной пломбы недостаточно, но покрывать зуб коронкой всё ещё кощунственно. Тогда на помощь приходит разнообразная группа вкладок. Разнообразная по видам и методам изготовления. Вкладки — протезы (или микропротезы), восстанавливающие дефекты твёрдых тканей зубов, а в следствие этого функцию и эстетику отдельных зубов и всей зубочелюстной системы.
Но они не распространены. Не так, чтобы они являлись крайней редкостью, но подобно маргиналам, они находятся на границе двух больших путей реставрации, и каждый из них пытается занять большую нишу. С одной стороны, это пломбы, которые изготавливают здесь и сейчас, довольно быстро и экономически эффективно. Другая ниша — коронки, которые применяют уже при более значительных дефектах, а также имеют место в тех случаях, когда можно обойтись и вкладкой, но из-за более высоких функциональных качеств, продолжительного срока службы и лучшей эстетики нашли большее распространение среди врачей.
Тогда, зачем же они нам нужны? А потому, что они совершеннее пломб в функциональном плане, и терпимее относятся к тканям зуба, чем это делают коронки, но в условиях сурового рынка оказываются на заднем плане.
Что такое зубная вкладка?
По своей сути зубная вкладка представляет собой большую пломбу. Только изготавливается она не стоматологом во рту пациента, а в зуботехнической лаборатории по индивидуальным слепкам. За счет этого конструкция точнее повторяет форму полости и более плотно прилегает к тканям зуба, что минимизирует риск появления кариеса на стыке между вкладкой и зубом.
Вкладки, которые используются вместо пломб, часто путают с зубными культевыми вкладками. Это абсолютно разные конструкции. Начнем с того, что зубная вкладка вместо пломбы – это реставрационный элемент коронковой части зуба, а культевая вкладка – технический, поскольку она служит опорой для искусственной коронки, когда зуб разрушен более чем на 2/3. Чтобы пациентам было легче запомнить разницу, я бы разграничил эти протезы так: зубная вкладка расположена снаружи живого зуба, а культевая вкладка – под коронкой.
Когда устанавливают вкладку, показания и противопоказания?
Единственное показание для фиксации культевой вкладки – планируемое протезирование зуба, когда от его коронковой части осталось меньше 50-70% объема. Но восстановить таким образом единицу не всегда получается. Так, фиксировать конструкцию запрещено, если:
- корень зуба переломан;
- каналы не запломбированы полностью, в них остались обломки инструментов;
- есть воспалительные процессы на верхушке корня: периодонтит, гранулема, киста;
- у пациента подвижность зубов вследствие заболеваний десен: пародонтита или пародонтоза. (протезирование зубов при пародонтозе, нюансы)
Еще одно противопоказание – разрушение корня ниже десны. Но если оно в пределах 1-2 мм, можно исправить ситуацию: стоматологическом бором убирают костную ткань так, чтобы десневой уровень оказался чуть ниже уровня повреждения корня.

Вкладки и виниры — в чем отличие?
И вкладки, и виниры относятся к технологии микропротезирования и служат для восстановления разрушенных зубов. Однако между ними существуют принципиальные отличия.
| Вкладки | Виниры |
| Используются для реконструкции любой из сторон зубной поверхности | Применяются для восстановления внешней стенки зубных рядов |
| Устанавливаются на жевательные зубы | Фиксируются в зоне улыбки |
| Воссоздают естественную форму и функциональные возможности зубов | Предназначены только для эстетической реставрации |
| Изготавливаются из золота, металлических сплавов, оксида циркония для повышенной прочности изделия | Создаются из керамики, оксида циркония и композитных материалов для абсолютной внешней идентичности натуральным зубам |
Если вы сомневаетесь, какая конструкция подойдет в вашем случае, обратитесь к стоматологу. Он проведет обследование и поможет выбрать наиболее подходящий вариант.
Преимущества и недостатки
Специалисты выделяют следующие преимущества зубных вкладок:
- прочность и надёжность материала, способность выдерживать нагрузки при пережёвывании пищи и температурный фактор;
- причинный зуб обретает хорошую защиту от дальнейшего разрушения;
- при установке микропротеза щель между вкладкой и мягкими тканями получается минимальной, чего нельзя достичь при обычном пломбировании;
- сохранение функциональности зуба;
- вариант из керамики устойчивый к пигментации;
- с помощью микропротезов можно заделать достаточно большие полости в причинном зубе;
- длительный эксплуатационный период (около 20 лет);
- эстетический фактор.
Чтобы картина о вкладках была более полной, рекомендуется учесть и минуса стоматологического изделия:
- высокая цена;
- лечение требует нескольких визитов к врачу;
- необходимость в препарировании зуба;
- наличие противопоказаний.
В чем преимущества зубных вкладок?
Помимо технологии изготовления, зубные протезы в виде вкладок отличаются от пломб по следующим параметрам:
- Во-первых, они намного прочнее и долговечнее, чем пломбы. Например, срок службы керамической вкладки составляет 20 — 25 лет. Ни одна пломба не способна качественно выполнять свои функции в течение такого длительного периода. Она быстрее стирается, ее необходимо менять. Если этого не делать, из-за нарушения ее анатомической формы прикус начинает фиксироваться по-другому, зуб уже не так эффективно пережевывает пищу, пациенту приходится прилагать дополнительные усилия, которые негативно влияют на суставы челюстей, провоцируя их заболевания.
- Во-вторых, зубное протезирование керамическими вкладками надежно защищает зуб от дальнейшего разрушения, поскольку керамика – прочный материал, который выдерживает любые жевательные и температурные нагрузки. Это единственный вариант восстановления зуба, который помогает избежать последующего депульпирования и покрытия коронкой.
Боль под вкладкой
В норме ничего под ней болеть не должно.
Причинами появления боли могут быть:
- Завышение по прикусу.Коронка на культевой вкладке или керамическая пломба сделана выше, чем следует. Боли при накусывании, иногда – при прикосновении. Быстро проходящие без нагрузки.Проблема решается пришлифовкой.
- Боли под керамическими пломбами: ошибки при подготовке полости под вкладку.Требуется пришлифовывание или замена.
- Давление края коронки на десну.Если не сделать временную коронку на культевую вкладку – десна может «наплыть» на край и при фиксации постоянной коронки некоторое время такая десна может болеть. Боль проходит в течение нескольких минут после цементировки коронки.
- Перелом корня.Следует прежде исключить другие варианты. Всегда уточняется по рентгеновскому снимку. Боли постоянные, усиливаются при прикосновении к зубу. Часто сопровождаются отеком десны, иногда – кровоточивостью. Перелом корня является показанием к удалению корня
Каковы плюсы и минусы различных видов вкладок?
Многих пациентов интересует, из чего делают зубные вкладки. По материалу изготовления они делятся на металлические (сплав кобальта и хрома), керамические, циркониевые и композитные. В связи с этим, плюсы и минусы зубных вкладок в стоматологии – различны. Врач совместно с пациентом принимает решение о выборе конструкции из того или иного материала, руководствуясь особенностями каждого клинического случая в отдельности.
Керамические
Самые лучшие – это керамические зубные вкладки Е-max, которые состоят практически из одних достоинств. Они самые эстетичные и надежные. Коэффициент их стачиваемости – как у натуральных зубов. Кроме того, у керамических вкладок самое плотное прилегание к живым тканям зуба, таким образом, риск развития вторичного кариеса сводится к минимуму. Но один недостаток у них, все-таки, есть. Это довольно высокая цена. Циркониевые вкладки – тоже достойный выбор, они очень прочные, но сцепление с тканями зуба у них хуже, чем у керамических.
Композитные
Композитные вкладки из обычного пломбировочного материала — не такие крепкие, как металлические, керамические или циркониевые, но они лишены следующих недостатков, которые присущи пломбам, изготовленным непосредственно во рту пациента.
- Композитная зубная вкладка не проседает. Если вместо нее поставить большую пломбу, она не выдержат нагрузки и будут отрываться от живых тканей, создавая напряжение у стенок зуба и провоцируя его разрушение или травму. Для зубной вкладки из композита это абсолютно не характерно.
- Композитные вкладки не вызывают нарушений прикуса и жевательных функций. Они изготавливаются по индивидуальным слепкам с учетом антагонистов, то есть соседних зубов, с которыми восстанавливаемый зуб вступает в контакт.
Металлические
Металлические зубные вкладки в нашей клинике применяется только в качестве временного варианта, так как они часто вызывают у пациентов гальванизм, то есть реакцию на воздействие гальванических токов, возникающих в полости рта. Это явление сопровождается металлическим привкусом во рту, чувством жжения, повышенным слюноотделением. Кроме того, к минусам металлических вкладок относится их плохая адгезия с тканями зуба, и, как следствие, их выпадение. Среди плюсов данных реставраций можно отметить только их прочность и гипоаллергенность материала. Следует отметить, что до появления керамики были популярны аналогичные конструкции из золота – мягкого металла, который обеспечивал более плотное прилегание.
У композитных вкладок есть особый плюс, который, к сожалению, отсутствует у остальных видов – их можно отремонтировать в полости рта с помощью композитных пломбировочных материалов, и они будут продолжать успешно выполнять свое предназначение. Поэтому вкладки из композита устанавливают еще и в тех случаях, когда после эндодонтического лечения каналов зуба нет уверенности в том, что их не придется перелечивать снова. При необходимости их всегда можно вскрыть и провести все нужные манипуляции. Другие виды вкладок ремонту не подлежат, потому что материалы, из которых они изготавливаются, не имеют адгезии с композитом..
Особенности установки
Для всех вкладок требуется обточка зубов: разница заключается в объемах.
Изначально основательные культевые системы требуют значительной обработки: корневой канал обрабатывается примерно на половину или на две трети. Если зуб многокорневой (два непараллельных канала или более) – изготавливается разборная культевая вкладка (см. видео и картинку). Затем стоматологом создается небольшая площадка для культевой части. Культевая пломба вводится в зуб вдоль корневого канала и надежно и герметично вклеивается в нем специальным стоматологическим цементом. Она точно входит в корень, как «ключ в замок».
Многокорневые разборные: они вводятся вдоль одного или двух параллельных между собой корневых каналов и заклиниваются дополнительным запирающим штифтом – причем штифт вводится под углом к основным корневым каналам, поэтому вкладка механически заклинивается внутри зуба. После затвердевания цемента оставшийся над ней фрагмент запирающего штифта аккуратно отпиливается, а пломба полируется (см. видео).
(видео по разборным культевым системам)
Керамические требует минимальной обработки. В случае восстановления скола требуется лишь незначительно пришлифовать острые края эмали – этого будет достаточно (благодаря свойствам светоотверждаемого цемента нет необходимости формировать сложные опорные площадки для крепления конструкции). Если требуется поставить пломбу или заменить старую – обработка проводится такая же, как под обычную светополимерную.
Как проходит установка зубной вкладки?
В основном подобные протезы устанавливают на живые зубы, так как если у зуба удален нерв, или есть такая необходимость, значит, зуб сильно разрушен и для его восстановления нужна уже не вкладка, а коронка. Установка зубной вкладки происходит в четыре этапа:
- Диагностика. Сначала необходимо осмотреть пациента и провести соответствующие диагностические процедуры – сделать рентгеновские снимки и компьютерную томографию для получения более объективного представления о клиническом случае. Однако выявить необходимость установки вкладки и адекватно оценить степень разрушения зуба можно только после препарирования полости.
- Препарирование. Многие пациенты считают, что для зубной вкладки потребуется более серьезное препарирование зуба с удалением большого количества его тканей. Это неверно. Зуб стачивается ровно настолько, насколько это необходимо в зависимости от его разрушения. Не следует думать, что врач специально будет «доводить» полость до размеров, при которых показана установка зубной вкладки. В нашей клинике мы всегда применяем самые щадящие методики и стараемся максимально сохранить живые ткани зуба.
- Изготовление. Обычно сроки готовности конструкций зависят от загруженности зуботехнической лаборатории, но, как правило, процесс изготовления занимает около 7 дней для любого вида вкладок.
- Фиксация. Перед установкой вкладки полость зуба подвергается пескоструйной обработке для создания адгезивной поверхности. Далее микропротез закрепляется в полости композитным цементом, а места выхода фиксирующего материала пришлифовываются. После этого проводится проверка окклюзионных контактов с помощью артикуляционной бумаги для создания многоточечного контакта протеза с зубами-антагонистами.
Культевые
Встречаются чаще всего. На их примере можно понять в общих чертах, что такое вкладки в зубы, показания и противопоказания к ним и общие принципы изготовления.
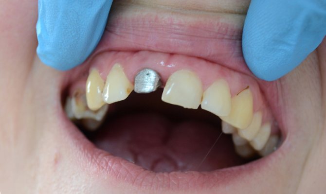
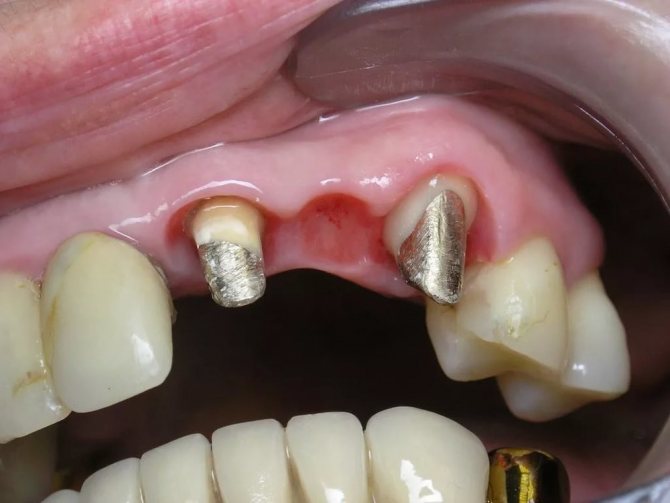
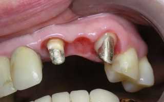
Обточенный под коронку зуб называют «культей». Система подразумевает, что конструкция вклеивается («вкладывается») внутрь сохранившегося корня (как видно, название достаточно контекстное). Такие системы напоминают гриб: «шляпка» – это сама «культя» (располагается над десной, там, где будет будущая искусственная коронка), а «ножкой» вкладка фиксируется в корневом канале (см.фото).
Используют для наращивания и укрепления «мертвых» зубов – с удаленным нервом, (иначе – депульпированных). Условие: корень не должен быть мягким, гнилым, он не должен болеть и шататься. Корень не должен быть разрушен под десну. Здесь же стоит отметить, что часто из-за анатомических особенностей невозможно изготовить вкладки в зубы мудрости («восьмерки»).
Культевые системы являются единственным полноценным способом восстановить разрушенный вровень с десной корень. Укрепляют и наращивают ими передние (резцы, клыки) и боковые, жевательные (премоляры и моляры) зубы обеих челюстей перед их протезированием, когда это нужно.
Операция по подготовке и установка проходят безболезненно, так как работа проходит на «мертвом зубе». Пациент лишь может ощущать небольшую вибрацию или легкое нагревание зуба при его обработке. Применяются, когда коронка (часть над десной – то, чем, собственно, и жуют) разрушена наполовину и более. Чем больше осталось от зуба – тем лучше для фиксации культевой системы. Далее такой зуб можно протезировать искусственной металлокерамической или любой другой коронкой, брать под опору мостовидного протеза.
Культевыми можно изменить длину зуба (нарастить, удлинить его). Или можно изменить наклон запланированной искусственной коронки.
Один из решающих факторов, определяющих можно ли спасти корень, – это граница разрушения зуба относительно десны. Если стенка корня разрушена на 1 мм и более под десну, то герметичность соединения «вкладка+искусственная коронка» и корня будет нарушена. Полноценно убрать или закрыть такое разрушение, увы, невозможно. Это приведет к выпадению всей конструкции и дальнейшему удалению корня. Как было сказано выше, корень должен быть устойчив и быть в хорошем состоянии.
Изготавливаются культевые системы из металлов (чаще – кобальт-хромового или никель-хромового сплавов, при выраженных аллергиях – из сплавов золота), диоксида циркония (ценно при протезировании передней группы зубов). Металлические достаточно маленькие, невесомые, рамки металлодетекторов на них не реагируют, их наличие не является противопоказанием к проведению МРТ.
Какова особенность изготовления зубных вкладок?
Вкладку делают в зуботехнических лабораториях по слепкам зуба и челюстей пациента, чтобы она максимально точно повторяла форму зубной полости и обеспечивала правильный контакт с другими зубами, не нарушая прикуса. В зависимости от материала конструкции для ее изготовления применяется определенная технология.
Если речь идет о керамических вкладках, то сначала методом прессовки делается фарфоровый каркас, а затем на него послойно наносится керамическая масса. Металлические вкладки – отливают, а циркониевые производят методом цифрового моделирования и фрезерования с применением инновационной системы СAD/СAM. Композитные микропротезы изготавливаются на основе гипсовой модели зуба и полимеризуются при помощи света или нагревания.
NeoStom — Сайт по стоматологии
Метод изготовления и последовательность клинико-лабораторных этапов изготовления вкладки зависят от материала для ее изготовления. Применяются следующие методы: • с предварительным созданием восковой модели вкладки с последующей заменой ее на металл (методом безмодельного литья или литьем на огнеупорной модели), на пластмассу (методом формования), на керамику (методом литьевого прессования);
• моделирования вкладки из композитных материалов непосредственно на рабочей модели культи зуба из супергипса или из керамических масс на огнеупорной модели; • компьютерного фрезерования вкладок из керамики.
Для выведения вкладки из полости используют металлический штифт из ортодонтической проволоки диаметром 0,8-1,0 мм и длиной 1,5-2,0 см, разогретый конец которого аккуратно вводят в воск. Положение штифта в воске должно соответствовать пути введения и выведения вкладки из полости в одном направлении. Большие вкладки выводят из полости с помощью п-образно изогнутого проволочного штифта. При отсутствии признаков деформации восковую модель вкладки передают в техническую лабораторию, а полость закрывают временной пломбой. Методику изготовления литой вкладки из металла по восковой модели, полученной во рту, впервые описал Таггарт в 1907 г. Прямой способ изготовления вкладок имеет определенные преимущества и недостатки. Преимущества прямого способа: • более высокая точность получаемой восковой модели вкладки — отсутствует необходимость получения оттиска и гипсовой модели, для изготовления которых используют вспомогательные материалы, имеющие объемные изменения; • возможность устранения недостатков подготовки полости зуба: в случае если при выведении из полости вкладка деформируется, за это же посещение возможно выявить и устранить недостатки препарирования с повторным моделированием вкладки; • возможность контролирования границ вкладки в области десневого края, что имеет значение для профилактики воспалительных изменений слизистой оболочки; • возможность моделирования вкладки с учетом артикуляционных взаимоотношений восстанавливаемого и антагонирующих пар зубов. Недостатки прямого способа: • сложности, связанные с недостаточным обзором операционного поля в области боковой группы зубов, повышенным слюноотделением; • возможность термической травмы слизистой оболочки полости рта горячим моделировочным инструментом при работе с воском; Для получения модели вкладки применяются два традиционных способа: прямой и косвенный. Прямой способ изготовления вкладок При прямом способе вкладку моделируют непосредственно в полости рта пациента с последующей заменой воска на основной материал вкладки в зубо-технической лаборатории (рис. 1-7).
Моделирование вкладки в полости рта выполняют следующим образом. Сначала с целью контроля качества формирования полости в нее вдавливают палочку моделировочного воска, подогретого до пластического состояния. После затвердевания воск выводят из полости. Если полость сформирована правильно, то воск выводится из полости и вводится вновь в нее без деформации поверхности. Если определяются участки деформации отпечатка полости на воске или затруднения при выведении воска из полости, то выявляют участки ретенции и проводят их сошлифовывание. После этого приступают непосредственно к моделированию вкладки. В сформированную полость вновь вдавливают палочку разогретого воска и срезают его излишки. Пока воск сохраняет пластичность, пациента просят сомкнуть зубы в положении центральной окклюзии, а затем сымитировать жевательные движения. При этом поверхность вкладки приобретает форму, характерную для функциональной окклюзии. Последующее моделирование направлено на восстановление анатомической формы разрушенной части коронки зуба (углубление фиссур, формирование скатов бугорков, восстановление экватора). Моделирование жевательной поверхности производят с учетом возрастных особенностей строения зубов.
• большие временные затраты врача на исполнение технической процедуры моделирования вкладок при большом количестве восстанавливаемых зубов; • утомительность процедуры моделирования вкладок при большом количестве восстанавливаемых зубов для пациента. По этим причинам круг показаний к применению прямого способа изготовления вкладок ограничивается легкодоступными полостями на жевательной или пришеечной поверхностях. Косвенный способ изготовления вкладок В современной ортопедической стоматологии вкладки чаще изготавливают косвенным способом, применение которого показано при всех видах дефектов зубов, в том числе: • при дефектах коронок моляров и премоляров типа МО, ОД, МОД; • дефектах контактных поверхностей резцов и клыков как с повреждением режущего края, так и без него; • изготовлении вкладок на рядом стоящие зубы. Этим способом вкладки могут быть изготовлены из всех видов материалов: металлов, пластмасс, композитов, литьевой керамики, фарфора, комбинаций материалов. При косвенном способе весь процесс изготовления вкладки — от момента создания восковой композиции или собственно вкладки — осуществляется непосредственно в зуботехнической лаборатории на модели (рис. 1-8-1-10).
После формирования полости в зубе врач получает оттиск эластомерными оттискными массами (силиконовыми, полисульфидными, полиэфирными). Оттиск должен с максимальной степенью точности передавать все детали тканей протезного ложа, что достигается путем получения двухслойного оттиска. По полученному оттиску техник отливает рабочую модель. Рабочая модель зубного ряда, как правило, выполняется комбинированной разборной. Разборная модель позволяет проводить предварительную припасовку вкладки и контролировать плотность ее прилегания. В зависимости от материала для изготовления вкладки модель препарированного зуба может быть изготовлена из супергипса или продублирована из огнеупорного материала.
Вкладки из полимерных материалов можно создавать без предварительного изготовления восковой модели вкладки. Для этого используют полимеры светового отверждения, которые последовательно послойно (слоями до 2 мм) вносят в полость и послойно полимеризуют в специальных аппаратах. Фиксацию вкладок проводят обычно композитными материалами двойного отверждения или стеклоиономерными цементами. Внутренние поверхности вкладки перед фиксацией должны быть специально подготовлены в зависимости от применяемого конструкционного материала. Перед фиксацией вкладки из композита проводится обработка ее внутренних поверхностей в пескоструйном аппарате. Это способствует эффективному сцеплению поверхности вкладки с фиксирующим материалом за счет создания большей площади соприкосновения и микромеханической ретенции. Перед фиксацией керамических вкладок проводятся протравливание внутренней поверхности вкладки плавиковой кислотой и их силанизирование. Изготовление комбинированных вкладок представляет собой последовательное создание двух частей конструкции — металлического каркаса и полимерной (компомерной или керамической) облицовки. При изготовлении металлопластмассовой вкладки сначала изготавливают металлический каркас, который прилегает к дну и стенкам полости. Каркас моделируют на разборной модели из воска таким образом, чтобы его толщина была меньше толщины вкладки на 1,5-2,0 мм. На внешние поверхности воскового каркаса наносят ретенционные шарики диаметром до 0,6 мм, с помощью которых создаются условия для механического крепления полимерной облицовки. Замену восковой композиции каркаса на сплав металла проводят по общепринятой методике. После литья металлический каркас припасовывают на разборной комбинированной модели и в полости рта.
Изготовление полимерной облицовки выполняют одним из способов: • моделированием облицовки непосредственно на металлическом каркасе вкладки полимером; • моделированием облицовки из воска с последующей заменой его полимерным материалом;
• невозможность применения методов компенсации усадки металла при отливке и обеспечения свободного пространства для фиксирующего материала (покрытие изолирующим лаком стенок и дна полости на модели); • недостаточная точность при моделировании апроксимальных стенок зуба в области десневого сосочка; • необходимость повторного моделирования вкладки при неудачной ее отливке; • невозможность предварительной припасовки на модели, что увеличивает время ее коррекции в полости рта.
Технология облицовки металлического каркаса вкладки компомером или керомером аналогична последовательности изготовления металлопластмассовой вкладки с некоторыми особенностями: • нанесение связующего слоя на металлический каркас вкладки; • последовательное послойное нанесение компомерного материала; • светоотверждение в специальном аппарате. Для изготовления металлокерамической вкладки металлический каркас отливают из кобальтохромового сплава, и перед нанесением керамики его подвергают термической обработке — обжигу с целью создания окисной пленки для надежного сцепления с керамическим покрытием. Способ компьютерного фрезерования вкладок из керамики С целью оптимизации и повышения эффективности работы врача созданы компьютерные технологии фрезерования вкладок из керамических материалов (системы CEREC). Применение этой технологии исключает использование труда зубного техника, позволяет изготавливать и устанавливать керамические вкладки непосредственно в клинике за одно посещение пациента.
По этой методике вкладки изготавливают из стандартного керамического блока, поэтому такие микропротезы характеризуются более высокими показателями прочности. К преимуществам компьютерной технологии изготовления вкладок относится исключение клинического этапа получения оттисков и технического этапа получения моделей, что обеспечивает экономию времени врача, техника, пациента. Кроме того, отсутствие необходимости получения оттисков и моделей (материалы для изготовления которых отличаются непостоянством объемных параметров) обусловливает повышение точности изготовления вкладок. Формирование полости под вкладку проводят по общепринятым правилам, с особенностями препарирования под керамические конструкции. Полость формируют со слегка дивергирующими стенками (не более 4-6°). Это необходимо для получения точного «оптического оттиска», на котором в одной проекции одновременно видны внутренние и наружные края полости. После этого с помощью интраоральной видеокамеры получают «оптический оттиск» протезируемого зуба и рядом стоящих зубов, а также окклюзи-онной поверхости зубов-антагонистов. Изображение полости, информация о ее размерах и форме, а также о контурах жевательной поверхности зубов-антагонистов передается на экран монитора. По специальной программе изображение обрабатывается, и врач-стоматолог осуществляет компьютерное моделирование конструкции с учетом апроксимальных контактов, статической и динамической окклюзии. На основании виртуальной модели вкладки из стандартной керамической заготовки на специальном фрезерно-шлифовальном станке с программным управлением производится изготовление вкладки. На процесс фрезерования вкладки затрачивается не более 15 мин, после чего проводят припасовку вкладки в полости рта. После соответствующей подготовки вкладку фиксируют. Окклюзионные контакты окончательно выверяют после ее фиксации.
Какие параметры качества имеет зубное протезирование вкладками?
Если в процессе фиксации вкладки была нарушена технология, или пациент годами не проходил профилактические осмотры, то на границе прилегания микропротеза к тканям зуба может возникнуть вторичный кариес. Тогда необходимо будет провести лечение и извлечение зубной вкладки. При этом сама конструкция никак не стимулирует возникновение кариеса. Чтобы его избежать, главное — не допустить технологических неточностей в процессе установки, чтобы показатель плотности прилегания зубной вкладки с заполнением полости композитным цементом равнялся 0, 004 микрон. Также важно проследить за отсутствием нависающих краев для полноценного эстетического и функционального восстановления зуба.
Если вкладка установлена правильно, то она не провоцирует повышения чувствительности зубов, а если нет, то зуб-антагонист может начать реагировать на раздражители по причине нарушения прикуса.
В случае возникновения боли в результате таких осложнений, как кариес, пульпит или периодонтит, зубную вкладку необходимо вскрыть и провести соответствующее лечение. После чего этот микропротез необходимо будет заменить на новый.
Отзывы пациентов
Обычно пациенты остаются крайне довольными результатами протезирования. Культевая вкладка – это один из самых эффективных вариантов. Восстановление благодаря им корня, казалось бы, безвозвратно потерянного зуба и его протезирование металлокерамической или иной искусственной коронкой многими пациентами воспринимается как настоящее чудо. Широкое применение и успешные результаты не дают упасть популярности в использовании культевых пломб в стоматологии. Вкладки же из цельной керамики завоевывают все больше поклонников как среди стоматологов, так и среди пациентов благодаря своим отличным свойствам.
Противопоказания
Во время консультации врач может по каким-либо причинам отказать в установке временно или бессрочно. Вмешательство нельзя проводить, когда есть воспаление у корня зуба. Выполнение процедуры возможно после устранения проблемы. Аллергикам категорически противопоказаны вкладки из металла.
Если вы страдаете заболеванием пародонтита в запущенной форме, чтобы начать восстановление зуба, необходимо завершить лечение.
Как устанавливают
Внедряются конструкции на один зуб в несколько шагов. В начале доктор осматривает визуально, делается рентген. Далее проводится нужное лечение.
После выполнения всех необходимых мероприятий пациенту делают слепки, которые отправляются в специальную лабораторию. Дальше необходимо примерять все готовые приспособления и устанавливать их. На создание всех необходимых конструкций может уйти от одной до двух недель. Временно ставится не постоянная вкладка.
При установке используется местное обезболивание.
Многие спрашивают: «На что устанавливают вкладки?». Ортопедические устройства устанавливают на специальную смесь, позволяющую креплению долго служить. Все эти действия не могут осуществляться за один сеанс. Создание протеза всего за несколько часов вполне реально при условии, если у врача имеется все, что нужно для данной конструкции.
Что лучше: вкладка или пломба? Вкладка почти всегда лучше, чем пломба. Она износостойкая, прочная. Ее материал не темнеет со временем. Устройство компенсирует не только небольшое отсутствие зубных тканей, но и возобновляет около пятидесяти процентов зуба.
Вкладка не целесообразна при терапии кариеса молочных зубов. Эксплуатационный период конструкции намного дольше молочных зубов.
Срок приспособлений составляет примерно десять лет и зависит от используемого материала. Если человек будет соблюдать все рекомендации врача, то данный период можно легко увеличить.
Когда поможет вкладка:
- Если ткани в ротовой полости хорошие, лучшим решением станет вкладка из керамики без «коронации». Это помогает предотвратить препарирование, установить коронку на депульпированный зуб.
Когда поможет коронка:
- Если поверхности зубы пациента истончены, то лучше ставить коронку. Самую качественную реставрацию обеспечит именно коронка, зуб на ней не будет полностью запломбированным, а восстановленным посредством вкладки.
Что выбрать, культевую накладку или штифт?
К сожалению, частым явлением стала установка штифтов вместо вкладок. Некоторые врачи обходят вариант установки первых, не сообщая пациенту о возможности другого решения. Причина не в дорогостоящей, но качественной процедуре. Дело в количестве пациентов, проходящих в день.
Изготовление вкладок – долгий процесс, необходимо, чтобы пациент пришел минимум два раза на прием, все при этом тратят время. Компаниям, штампующим штифты в большом количестве, необходима их реализация.
Специалисты ортопеды используют штифты потому, что гарантийный срок не бывает больше 3 лет. За это время штифт не ломается, а то, что будет с ним дальше, уже не проблема врача.
Клиент посетит его еще раз, появится дополнительная возможность заработать. Разрушение мостовидных протезов из-за потери одной из основ является серьезным поводом для похода в клинику. Комплект, состоящий из пары шрифтов, не дает гарантию надежной эксплуатации.
В каких случаях прибегают к использованию культевой вкладки
Вкладка культевая штифтовая стоматологами рекомендуется использовать в следующих случаях:
- Если практически полностью разрушена коронка зуба.
- Если невозможно зафиксировать ее другими способами.
- При наличии дефекта наддесневого участка.
- Вкладка может стать опорой для фиксации моста.
- Если имеются дефекты формы зубов или их расположения.
- При патологиях пародонта вкладка культевая может использоваться в качестве шинирующей конструкции.
Грамотный специалист никогда не порекомендует пациенту избавиться от разрушенного зуба, обязательно предложит максимально подходящий выход из ситуации, чтобы сохранить эстетичность внешнего вида зубов.
Популярные вопросы
Виниры и коронки предпочтительны обычному пломбированию, так как срок эксплуатации минипротезов дольше, нежели стоматологического цемента. Отличия между восстановительными вкладками и винирами заключаются в области применения и функциональности:
- вкладки ставят чаще на жевательные единицы вне зависимости от стороны зубной поверхности, восстанавливают естественную форму зубов, что сохраняет их функциональность;
- виниры используются для улучшения эстетического вида, установка ограничена внешней стороной зуба в передней части челюсти.
- Нужно ли препарирование зуба?
Процесс установки протеза подразумевает проведение препарирования зуба с целью очистки полости от некрозных тканей и выяснения реальной ситуации с зубом. Под очагом могут скрываться другие проблемы, требующие срочного лечения.
- Что делать, если болит зуб под вкладкой?
Боль вероятнее всего связана с развивающимися осложнениями или несоблюдением мер предосторожности при эксплуатации протеза. Для начала следует исключить жевательные нагрузки, рацион питания составить из жидких и протёртых блюд. Также стоит исключить воздействие высокой температурой (употреблять не горячую, а тёплую пищу). Если боль не утихает, или дополняется другими симптомами (озноб, повышение температуры тела, головная боль, отдающая в ухо), то срочно нужно обратиться в ближайшую клинику.
- Болит зуб под вкладкой при надавливании, что делать?
Данный симптом может указывать на следующие проблемы:
- на образование трещины;
- перфорацию;
- обострение хронического периодонтита.
В любом случае нужно сделать снимок, который отразит реальную причину.
- Почему зуб на вкладке качается и что делать?
Шататься зуб может по нескольким причинам, среди основных: ослабление периодонта и деформация вкладки (если изделие выполнено из некачественного материала). При любом раскладе следует показаться врачу для назначения укрепляющих мягкую ткань средств или для замены вкладки.
- Как происходит удаление зуба с вкладкой?
Вкладка фиксируется на цемент, это даёт возможность при необходимости извлечь её. Если врач предписывает удаление зуба, то вначале вынимают аналог пломбы, после чего выполняют обычную операцию.
- Как и когда происходит удаление вкладки из зуба?
По ряду причин возникает необходимость удаления вкладки. Это может быть связано с необходимостью лечения пародонта, устранения кариозного дентина, аллергией на используемый для протезов материал или простой заменой минипротеза. Выполнять извлечение нужно только в клинических условиях. Для предотвращения деформации тканей зуба используются различные средства:
- аппарат Коппа;
- ультразвук;
- специальные ортопедические инструменты.
- Что делать, если она выпадает?
Минипротез выпадает чаще из-за неправильной подгонки конструкции и других нарушений при установке. Для исправления ситуации нужно сразу обратиться к врачу, который выполнял работу. Если виной выпадения вкладки является врачебная ошибка, специалист устранит проблему за свой счёт.
- Можно ли ставить вкладку на мертвый зуб?
Преимущественно вкладка ставится на живой зуб. Если был удалён нерв, то это свидетельствует о сильном разрушении моляра. А при таких повреждениях рекомендована установка коронки. Но при этом не исключён вариант с вкладкой. Материал хорошо сохраняет целостность и внешний вид на зубе без нервов.
- Можно ли при стираемости зубов?
Ставить вкладки для восстановления зуба можно даже при повышенной стираемости.
Чего ожидать от врача при первом посещении?
Первичный визит к стоматологу сопровождается целым комплексом мероприятий:
Период восстановления после процедуры установления культевой вкладки
Установка вкладки требует некоторого времени после проведения процедуры для восстановления, в этот период возможны следующие симптомы:
- Так как перед непосредственно установкой вкладки осуществлялось препарирование зубов, то после процедуры может развиться пульпит или вторичный кариес.
- Некоторое время может отмечаться небольшая болезненность.
Если установка была сделана с соблюдением всех правил санитарии и с учетом особенностей патологии, то при соблюдении рекомендации стоматолога осложнений, как правило, не возникает.
Общие сведения
Вкладка культевая может быть литой, иначе говоря, цельной или разборной. Изделия моделируются индивидуально под каждого пациента, что является выгодным отличием от шаблонных по размеру и форме штифтов. Подобное протезирование широко применяется для восстановления целостности зубов.
Вкладка культевая может выступать самостоятельным типом протезирования. Но чаще всего она является надежной основой, необходимой для качественной фиксации коронки. Срок службы подобных изделий составляет не менее десяти лет, насадки, выполненные из драгоценных металлов, служат до двадцати лет и более.
В стоматологической практике этот элемент устанавливается в следующих случаях:
Уход после протезирования
Уход за зубными рядами после установки культевого протеза мало отличается от обычной гигиены полости рта. Он должен включать ежедневную двухразовую чистку зубов. При этом лучше применять щеточку с мягкой щетиной.
После каждого сеанса еды желательно прополаскивать рот теплой водой, травяными отварами (ромашка, шалфей) или специальными готовыми полосканиями для рта.
Для очистки межзубных промежутков используют флоссы для чистки зубов или ершик.
Каждые полгода желательно посещение врача-стоматолога.
Срок службы
Период эксплуатации вставки в среднем составляет от 5 до 10 лет, и напрямую зависит от ее размеров и состояния всей природной поверхности.
Иногда из-за высокой нагрузки происходит срыв протеза со сколом стенки зуба. Что впоследствии ведет к необходимости монтажа коронки.
Дополнительных гигиенических процедур данная реставрация не требует.
Единственным условием остается регулярное посещение стоматолога с целью профилактики и предотвращения возникновения повторного кариеса, который может привести к добавочным повреждениям.
Отличие по материалам
Вставки отличаются по материалам изготовления:
- металлические;
- цельнокерамические;
- металлокерамические;
- композитные.
Металлические культевые вкладки производятся из сплавов кобальта, либо драгметаллов. Подобные материалы надежны, долговечны, лучше композитных, но имеют неприятный вид. Как правило, металлические вкладки устанавливают на дальние зубы, которые спрятаны и не заметны во время улыбки. Для таких случаев лучшим решением окажутся золотые зубы.
Цельнокерамические элементы производятся с использованием автоматизированной технологической базы. При их производстве используют диоксид циркония и обработанную керамику. Такие конструкции не менее прочные, чем металлические, выглядят не хуже фарфоровых вставок.
При их использовании исключено появление кариеса. Чтобы отреставрировать задние дальние зубы, эта керамическая культевая конструкция закрепляется на резцах.
Металлокерамические изделия из-за разницы температур, при которой материалы расширяются, являются дешевым и ненадежным способом реставрации зуба. Такие элементы могут выпадать и подойдут лишь, как временное решение.
Композитные культевые вкладки – также малораспространенный вид конструкций, По качеству они схожи с обычными пломбами, при этом их цена значительно выше.








