В условиях пандемии коронавируса диагностика COVID-19 приобретает особую значимость, и компьютерная томография (КТ) играет ключевую роль в оценке состояния легких и выявлении осложнений. В статье рассмотрим, что показывает КТ при коронавирусной инфекции, когда ее проведение необходимо и как правильно подготовиться к процедуре. Эта информация поможет читателям осознать важность КТ в диагностике COVID-19 и принять обоснованное решение о ее необходимости.
Что такое КТ при коронавирусе?
Часто пациентам, у которых есть подозрения на заражение коронавирусом, назначают компьютерную томографию (КТ). При этом многие не всегда понимают, что собой представляет этот метод. Компьютерная томография — это рентгеновская техника, позволяющая получить детальное изображение состояния легочной ткани. Процесс включает послойное просвечивание легких рентгеновскими лучами, что дает возможность создать объемное изображение. Этот метод может применяться для различных целей:
- диагностика COVID-19;
- мониторинг эффективности лечения;
- оценка результатов терапии.
Процедура КТ при подозрении на коронавирус довольно проста для пациента. Во время обследования он должен оставаться неподвижным, в то время как рентгеновский аппарат вращается под определенным углом и с заданной скоростью. В результате врачи получают послойные изображения легких с шагом в 1 мм. Эта методика позволяет выявить даже самые незначительные поражения легких, связанные с коронавирусом.
Эксперты в области медицины подчеркивают, что компьютерная томография (КТ) является важным инструментом в диагностике коронавирусной инфекции. Она позволяет визуализировать изменения в легких, которые могут указывать на пневмонию или другие осложнения, связанные с COVID-19. Однако не все специалисты согласны с тем, что КТ следует проводить всем пациентам. В большинстве случаев достаточно клинической оценки и лабораторных тестов для подтверждения диагноза. КТ рекомендуется в тех случаях, когда у пациента наблюдаются тяжелые симптомы или есть подозрение на осложнения. Важно помнить, что чрезмерное использование КТ может привести к ненужному облучению и не всегда оправдано. Поэтому решение о проведении исследования должно приниматься индивидуально, с учетом состояния пациента и рекомендаций врача.

Что показывает КТ при коронавирусе?
Обычная рентгенография предоставляет лишь плоское изображение, не позволяя увидеть послойное состояние исследуемых тканей. Это создает трудности на ранних этапах, когда легкие поражены коронавирусом незначительно, и изменения могут быть незаметны. Для подтверждения диагноза при наличии типичных симптомов COVID-19 врачи часто назначают компьютерную томографию (КТ). Однако пациенты иногда выражают сомнения относительно необходимости этого исследования, задаваясь вопросом, действительно ли КТ может выявить коронавирус.
Важно понимать, что само по себе исследование не позволяет обнаружить вирус. Тем не менее, с его помощью можно выявить изменения в легочной ткани, характерные для коронавирусной инфекции. Эти изменения могут проявляться уже на 4-5-й день после попадания вируса в легкие. Врачи подчеркивают несколько ключевых причин для проведения КТ при COVID-19:
- Выявление признаков очагово-инфильтративных изменений легочной ткани, таких как «матовое стекло».
- Оценка состояния бронхиального дерева и наличие деформаций бронхов.
- Определение диаметра легочных артерий и лимфатических узлов.
- Обнаружение возможных новообразований в легких, а также их количество и размеры.
| Показатель КТ | Что показывает | Обязательность проведения |
|---|---|---|
| Степень поражения легких (КТ-1, КТ-2, КТ-3, КТ-4) | Объем легочной ткани, затронутой воспалительным процессом. Помогает оценить тяжесть заболевания и прогноз. | Не всегда обязательно. Рекомендуется при среднетяжелом и тяжелом течении, ухудшении состояния, наличии факторов риска. |
| Характер изменений в легких | Наличие «матового стекла», консолидации, утолщения междольковых перегородок, бронхоэктазов. Помогает дифференцировать вирусную пневмонию от других заболеваний. | Не всегда обязательно. Помогает уточнить диагноз при неясной клинической картине. |
| Наличие осложнений | Плевральный выпот, тромбоэмболия легочной артерии (ТЭЛА), абсцессы. | Обязательно при подозрении на осложнения (например, одышка, боль в груди, кровохарканье). |
| Динамика процесса | Изменение объема и характера поражения легких с течением времени. | Рекомендуется для контроля эффективности лечения и оценки восстановления при тяжелом течении. |
| Отсутствие патологии | Нормальная картина легких. | Не всегда обязательно. Позволяет исключить пневмонию при легком течении или отсутствии симптомов. |
Интересные факты
Вот несколько интересных фактов о компьютерной томографии (КТ) при коронавирусной инфекции:
-
Диагностика и оценка степени поражения: КТ грудной клетки может показать характерные изменения в легких, такие как «матовое стекло» и консолидацию, которые часто наблюдаются у пациентов с COVID-19. Эти изменения могут помочь врачам оценить степень поражения легких и принять решение о необходимости госпитализации или интенсивной терапии.
-
Не всегда обязательна: Несмотря на информативность КТ, не всем пациентам с COVID-19 требуется это исследование. В большинстве случаев диагностика основывается на клинических симптомах и результатах ПЦР-тестов. КТ рекомендуется в случаях с тяжелыми симптомами или при ухудшении состояния пациента.
-
Риски излучения: КТ использует рентгеновское излучение, что может представлять риск для здоровья при частом использовании. Поэтому врачи стараются избегать ненужных исследований и рекомендуют КТ только в тех случаях, когда это действительно необходимо для оценки состояния пациента.

КТ 1 при коронавирусе
Для выявления изменений в легочной ткани при подтвержденном COVID-19 проводят ряд исследований, которые обозначаются последовательными номерами. КТ 1 при коронавирусной инфекции указывает на изменения, характерные для начальной стадии заболевания. На этом этапе при проведении КТ можно наблюдать:
- инфильтрацию отдельных долей легких, напоминающую «матовое стекло»;
- проявление симптома «сухого листа» с последующим уменьшением объема пораженной ткани.
На ранней стадии объем поражения легких составляет 10–20%. Клинические проявления в этот период минимальны. Пациенты, как правило, чувствуют себя удовлетворительно, и нарушения дыхательной функции не наблюдаются. Повышенная температура, головная боль, мышечные боли и ломота в суставах, характерные для большинства вирусных инфекций, составляют основную клиническую картину заболевания. Начало лечения на этой стадии помогает предотвратить развитие осложнений.
КТ 2 при коронавирусе
Игнорирование лечения на начальных этапах приводит к ухудшению состояния пациента. Объем пораженных легких увеличивается. На этом этапе при коронавирусной инфекции легкие на КТ могут быть затронуты на 30–50%. У пациентов наблюдается выраженная одышка, нарушается дыхательный процесс: количество вдохов возрастает, они становятся более поверхностными, и возникает ощущение нехватки воздуха. Многие из них нуждаются в поддержке аппарата искусственной вентиляции легких.
Компьютерная томография на этой стадии выявляет характерные изменения. Если рассматривать, что означает КТ 2 при коронавирусе, то можно выделить следующие клинические проявления:
- очаговые и сегментарные поражения легочной ткани, напоминающие «булыжную мостовую»;
- появление инфильтрации альвеол в зонах «матового стекла».

КТ 3 при коронавирусе
Запущенные случаи COVID-19 встречаются довольно часто. Многие люди не воспринимают первые симптомы болезни всерьез, полагая, что это просто простуда или ОРВИ. Однако такие проявления, как одышка и затрудненное дыхание, должны насторожить и побудить обратиться к врачу. На компьютерной томографии (КТ) может быть выявлено поражение более 50–75% легочной ткани. Объясняя, что означает КТ 3 при коронавирусной инфекции, специалисты выделяют следующие характерные изменения:
- выраженные очаговые поражения;
- наличие фиброзных изменений.
КТ 4 при коронавирусе
Клинические проявления при таком типе изменений свидетельствуют о серьезном состоянии больного: выраженная одышка и необходимость в искусственной вентиляции легких. На компьютерной томографии при коронавирусной инфекции наблюдается поражение более 75% легочной ткани. У пациентов с КТ 4 по шкале коронавируса прогноз оказывается неблагоприятным – существует высокий риск смертельного исхода.
Показания для КТ при коронавирусе
Перед проведением компьютерной томографии (КТ) при подозрении на коронавирусные инфекции сначала выполняются анализы. Лабораторные исследования являются первыми шагами в диагностике COVID-19. ПЦР-тестирование и анализ крови на антитела позволяют определить наличие вируса в организме. Эти результаты могут служить основанием для назначения КТ, но не всем пациентам это исследование показано. Врачи принимают решение о необходимости КТ, основываясь на клинических данных.
Существуют определенные показания для назначения КТ легких при коронавирусе. К основным из них относятся усиливающаяся одышка, сильный кашель и высокая температура. Эти симптомы могут свидетельствовать о наличии коронавирусной инфекции. Однако для выполнения КТ необходимо лабораторное подтверждение этих симптомов.
Как часто делают КТ при коронавирусе?
Для анализа изменений, происходящих в легких, необходимо несколько раз проводить компьютерную томографию. Поэтому КТ легких при коронавирусной инфекции выполняется многократно. Обычно врачи рекомендуют проводить исследование с интервалом в 4 дня. Это позволяет своевременно отслеживать динамику заболевания и, при необходимости, корректировать выбранную стратегию лечения. Результаты КТ при коронавирусе должны оцениваться как минимум двумя опытными рентгенологами, специализирующимися на торакальной радиологии. Если мнения специалистов расходятся, к обсуждению подключается третий эксперт.
Обязательно ли делать КТ при коронавирусе?
Существует множество методов диагностики и лечения коронавирусной инфекции, которые могут варьироваться в зависимости от страны и региона. Всемирная организация здравоохранения предоставляет общие рекомендации по терапии COVID-19, однако конкретные действия принимаются на местах, учитывая текущую эпидемиологическую ситуацию. В связи с этим часто возникает вопрос о необходимости проведения КТ при коронавирусе.
Чаще всего это исследование назначают пациентам, которые находятся на стационарном лечении. Речь идет о среднетяжелых и тяжелых случаях заболевания. Таким пациентам, как правило, выполняют КТ после поступления, чаще всего на 3-й и 7-й день. Это позволяет оценить характер и степень инфильтративных изменений. Однако существуют определенные ограничения, которые могут помешать проведению КТ:
- пациент не может задержать дыхание на 5 секунд;
- вес пациента превышает 150 кг;
- беременность.
Когда делать КТ при коронавирусе?
Решение о необходимости проведения обследования принимает врач. Пациенты, в свою очередь, должны не откладывать визит к специалисту для своевременной диагностики коронавирусной инфекции. Подозрение на заражение может возникнуть при наличии следующих симптомов:
- длительное повышение температуры тела;
- утрата обоняния;
- одышка;
- сжимающие боли в области груди.
При первом обращении к врачу с подозрением на COVID-19 назначаются лабораторные исследования, такие как ПЦР и анализ крови на антитела. Только при подтверждении диагноза и ухудшении состояния пациента может быть рекомендована томография. Врачи советуют проводить КТ легких при коронавирусе на 5–7-й день после появления первых симптомов.
Подготовка к КТ легких при коронавирусе
Пациенты, направленные на обследование, часто интересуются, как правильно подготовиться к КТ в условиях коронавирусной инфекции. Врачи подчеркивают, что для проведения этого исследования не требуется специальной длительной подготовки. КТ выполняется без использования контрастных веществ, что делает его независимым от приема пищи. Тем не менее, для успешного прохождения процедуры следует учесть несколько важных рекомендаций:
- Одевайте свободную одежду, избегая металлических пуговиц.
- На время исследования снимите все ювелирные украшения с шеи.
Делают ли детям КТ при коронавирусе?
Детский организм обладает высокой чувствительностью к ионизирующему излучению. Поэтому компьютерная томография при коронавирусной инфекции у детей применяется только в особых случаях. Если у пациента наблюдаются выраженные симптомы, такие как сильный кашель и одышка, для оценки состояния легочной ткани и степени поражения врачи могут назначить КТ. Однако, согласно действующим правилам, для проведения данного исследования требуется получить согласие от законных представителей ребенка, будь то родители или опекуны.
Стоит ли делать КТ после коронавируса?
Основным показателем выздоровления от COVID-19 считается наличие антител в крови и исчезновение симптомов воспалительного процесса. Что касается изменений в легочной ткани, их анализируют спустя определенный период. В большинстве случаев медики рекомендуют пройти повторное компьютерное томографирование легких через полгода после перенесенной инфекции. Полученные данные помогают оценить скорость и степень восстановления легочной ткани, а также выявить возможные участки фиброза.
Возможные риски и противопоказания КТ при коронавирусе
Компьютерная томография (КТ) является важным инструментом в диагностике заболеваний легких, включая COVID-19. Однако, как и любая медицинская процедура, она имеет свои риски и противопоказания, которые необходимо учитывать перед проведением исследования.
Одним из основных рисков, связанных с КТ, является облучение. Процедура включает в себя использование рентгеновских лучей, что может привести к накоплению дозы радиации в организме. Хотя уровень облучения при КТ легких относительно низкий, многократные исследования могут увеличить риск развития рака в будущем. Поэтому важно взвешивать необходимость КТ в каждом конкретном случае, особенно у молодых пациентов и беременных женщин.
Кроме того, существуют противопоказания к проведению КТ. Например, у пациентов с тяжелыми заболеваниями почек может возникнуть риск ухудшения состояния при использовании контрастных веществ, которые иногда применяются для улучшения визуализации. В таких случаях предпочтение может отдаваться другим методам диагностики, таким как рентгенография или МРТ, которые не требуют облучения или контрастирования.
Также стоит учитывать, что у некоторых пациентов может быть аллергия на контрастные вещества, что также является противопоказанием для проведения КТ. В таких случаях необходимо заранее информировать врача о наличии аллергий и других сопутствующих заболеваниях.
Важно отметить, что КТ не является обязательным методом диагностики COVID-19. В большинстве случаев для подтверждения диагноза достаточно результатов ПЦР-теста. КТ может быть рекомендовано в случаях, когда есть подозрение на тяжелое течение болезни или при наличии осложнений, таких как пневмония. В таких ситуациях решение о проведении КТ должно приниматься врачом на основании клинической картины и состояния пациента.
Таким образом, перед проведением КТ при коронавирусе необходимо тщательно оценить все риски и противопоказания, а также обсудить с врачом целесообразность данного исследования в конкретной ситуации. Это поможет минимизировать потенциальные негативные последствия и обеспечить наилучший подход к диагностике и лечению пациента.
Вопрос-ответ
Нужно ли делать КТ при ковиде?
Согласно действующим клиническим рекомендациям, в условиях пандемии любые уплотнения (инфильтрации) легочной ткани и признаки воспалительных изменений на рентгенограммах должны рассматриваться как подозрительные в отношении COVID-19. Это значит, что после рентгена пациента направляют сделать КТ.
Каковы результаты компьютерной томографии при COVID-19?
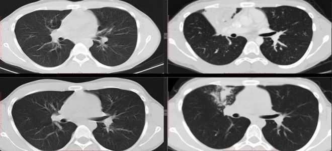
Первоначальные данные КТ при COVID-19 включают двустороннее многодолевое затемнение по типу «матового стекла» (GGO) с периферическим или задним распределением, главным образом в нижних долях и реже в средней доле.
В каком случае отправляют на КТ?
КТ в основном используется, когда необходимы: визуализация сосудов, аневризм или стенозов/закупорок, стенок артерий, обследование после переломов, дегенеративных изменений, грыжи межпозвоночного диска, опухолей или метастазов в скелетной системе, диагностическое обследование почек и мочеполовых путей.
Советы
СОВЕТ №1
Перед тем как проходить КТ, обсудите с врачом необходимость этой процедуры. КТ может быть рекомендовано только в случае тяжелого течения заболевания или при наличии специфических симптомов, таких как одышка или высокая температура.
СОВЕТ №2
Имейте в виду, что КТ не является единственным методом диагностики COVID-19. ПЦР-тест и антигенные тесты остаются основными способами подтверждения инфекции. Используйте КТ только по назначению врача.
СОВЕТ №3
Если вам назначили КТ, уточните, какие меры предосторожности будут приняты в медицинском учреждении для минимизации риска заражения. Это особенно важно в условиях пандемии.
СОВЕТ №4
После получения результатов КТ обязательно обсудите их с врачом. Он поможет интерпретировать данные и даст рекомендации по дальнейшему лечению или наблюдению.


