Анатомия и физиология молочных желез
Молочная железа — парный орган, расположенный между третьим и шестым ребрами на передней стенке грудной клетки.
Ниже середины каждой молочной железы находится сосок, окруженный ареолой, цвет которой обычно темнее, чем у остальной кожи груди. На верхней части соска расположены млечные поры — окончания млечных протоков.
Паренхима (тело) молочной железы
Она состоит из альвеолярно-трубчатых желез, производящих белково-слизистый секрет. Эти железы формируют мелкие дольки, которые объединяются в конусообразные доли (от 15 до 20 в одной молочной железе). Доли разделены соединительной тканью.
От дольков отходят выводные млечные протоки, собирающиеся в более крупные структуры — галактофоры. Перед выходом на поверхность соска галактофоры образуют млечные синусы, где накапливается грудное молоко во время кормления.
Мастопатия является распространенным заболеванием молочных желез, и врачи подчеркивают важность ранней диагностики и своевременного лечения. Основными причинами мастопатии могут быть гормональные нарушения, стресс, наследственность и неправильное питание. Симптомы заболевания включают болезненность, уплотнения и изменения в форме груди. Врачи рекомендуют регулярно проходить обследования, включая ультразвуковую диагностику и маммографию, чтобы выявить патологию на ранних стадиях. Лечение может варьироваться от наблюдения и изменения образа жизни до медикаментозной терапии и, в некоторых случаях, хирургического вмешательства. Специалисты акцентируют внимание на том, что профилактика и регулярные осмотры играют ключевую роль в сохранении здоровья женщин.

Влияние гормонов на молочную железу
В формировании и функционировании молочной железы участвуют более десяти гормонов, вырабатываемых эндокринной системой:
-
Гонадотропин-рилизинг-гормон
Производится в гипоталамусе и контролирует выработку фолликулостимулирующего (ФСГ) и лютеинизирующего (ЛГ) гормонов. -
Фолликулостимулирующий и лютеинизирующий гормоны
Синтезируются в гипофизе и влияют на яичники в течение менструального цикла, регулируя выработку эстрогенов и прогестерона. -
Тириотропный гормон
Вырабатывается в гипофизе и влияет на щитовидную железу, регулируя синтез тироксина и трийодтиронина. -
Эстрогены (эстрадиол и его метаболиты — эстрон и эстриол)
В основном вырабатываются в яичниках, частично — в жировой ткани и надпочечниках. Максимальное действие наблюдается в первой половине цикла, когда они стимулируют размножение клеток молочной железы и увеличивают количество и длину млечных протоков. -
Прогестерон (гормон из группы гестагенов)
Основная выработка происходит в яичниках, частично — в надпочечниках. Активен во второй половине цикла, снижая чувствительность клеток молочной железы к эстрогенам, что ограничивает деление клеток и разрастание соединительной ткани, приводя к обратному развитию млечных протоков. -
Пролактин
Вырабатывается в гипофизе, способствует делению клеток в молочной железе, стимулирует лактацию и увеличивает количество рецепторов к эстрогенам. Его синтез подавляется дофамином, отвечающим за передачу нервных импульсов. -
Гормоны щитовидной железы (тироксин и трийодтиронин)
Регулируют обмен веществ, включая жиры, углеводы и белки, усиливают выработку пролактина и повышают чувствительность рецепторов молочной железы к нему.
На заметку: Изменения в молочной железе связаны с менструальным циклом, регулируемым теми же гормонами.
| Причина | Симптомы и признаки | Диагностика и лечение |
|---|---|---|
| Гормональный дисбаланс (избыток эстрогенов, недостаток прогестерона) | Боль в груди (циклическая или постоянная), уплотнения в груди, выделения из сосков, изменение формы и размера груди | Маммография, УЗИ молочных желез, биопсия (при необходимости), анализ крови на гормоны. Лечение: гормональная терапия (в зависимости от гормонального статуса), фитотерапия, коррекция образа жизни (снижение стресса, нормализация веса). |
| Фиброзно-кистозная мастопатия | Уплотнения в груди, кисты, боль, чувство тяжести в груди | Маммография, УЗИ молочных желез, пункционная биопсия кист. Лечение: наблюдение, симптоматическая терапия (болеутоляющие), коррекция образа жизни. |
| Воспалительные процессы | Боль, покраснение, припухлость, повышение температуры тела | Анализ крови, УЗИ молочных желез, маммография. Лечение: антибиотики, противовоспалительные препараты. |
| Травмы груди | Боль, гематома, припухлость | Осмотр врача, УЗИ молочных желез. Лечение: холодные компрессы, обезболивающие препараты. |
| Стресс, нервное напряжение | Боль, чувство дискомфорта в груди | Консультация психолога, психотерапия, коррекция образа жизни. Лечение сопутствующих симптомов. |
| Наследственность | Повышенный риск развития мастопатии | Регулярные профилактические осмотры, маммография, УЗИ молочных желез. |
| Неправильное питание | Может усугублять симптомы | Коррекция питания, исключение продуктов, способствующих гормональному дисбалансу. |
| Отсутствие родов или поздние роды | Повышенный риск развития мастопатии | Регулярные профилактические осмотры, консультация гинеколога. |
Причины мастопатии
В развитии мастопатии важен гормональный дисбаланс между эстрогенами, прогестероном и пролактином, который может возникать по различным причинам.
Причины гормонального дисбаланса
-
Стресс, недосып, неудовлетворенность в сексуальной жизни, депрессия, перепады настроения
Недостаток дофамина увеличивает выработку пролактина в гипофизе, что приводит к снижению прогестерона и преобладанию эстрогенов. Это вызывает активное деление клеток в молочной железе. -
Искусственное прерывание беременности, выкидыши, прекращение грудного вскармливания
Прерывание беременности нарушает подготовку молочных желез к лактации, снижая уровень пролактина и повышая эстрогены и прогестерон, что может вызвать уплотнения в железистой ткани. -
Отсутствие беременности и родов до 30 лет
Современный образ жизни может привести к преобладанию эстрогенов, что усиливает деление клеток соединительной ткани. -
Диеты для похудения
Нехватка белков, витаминов и минералов нарушает синтез гормонов. Воспалительные процессы и нарушения кровообращения могут привести к недостаточности яичников. -
Поликистоз яичников
Яичники вырабатывают недостаточно эстрогенов, но много андрогенов, которые превращаются в эстрогены, что приводит к их повышению. -
Травмы молочной железы
Воспаления или гематомы могут вызвать усиление деления клеток. -
Хронические заболевания печени и желчевыводящих путей
Нарушение выработки белка, связывающего эстроген, приводит к его повышенной активности. -
Пониженная функция щитовидной железы
Недостаток гормонов щитовидной железы повышает уровень тириотропного гормона, что активирует выработку пролактина. -
Повышение уровня пролактина при приеме некоторых лекарств
Препараты, блокирующие действие дофамина, увеличивают выработку пролактина. -
Опухоли гипоталамо-гипофизарной области
Увеличение выработки гормонов в гипофизе повышает синтез эстрогенов в яичниках. -
Ожирение
В жировой ткани происходит синтез эстрогенов, что увеличивает их уровень. -
Наследственная предрасположенность
Женщины с родственниками, страдающими от рака молочной железы, имеют более высокий риск мастопатии. -
Нерегулярная половая жизнь
Это может нарушить кровообращение в малом тазу и повлиять на выработку гормонов яичниками. -
Нормальный уровень гормонов, но развитие мастопатии
Это может быть связано с повышенной активностью ароматазы и чувствительностью рецепторов к эстрогенам в молочных железах.
| Важно Причины не всегда приводят к немедленному развитию заболевания, но их накопление может вызвать мастопатию. |
Мастопатия делится на диффузную и узловую формы в зависимости от рентгенологических и клинических признаков.
Виды диффузной мастопатии
- Аденоз — преобладание железистой ткани, чаще встречается у молодых женщин.
- Фиброаденоматоз — преобладание соединительной ткани.
- Диффузная мастопатия с кистозным компонентом — образование кист, что может привести к образованию кальция и злокачественным опухолям.
- Диффузная фиброзно-кистозная форма мастопатии — сочетает признаки кистозной и фиброаденоматозной форм.
Симптомы диффузной мастопатии
- Нагрубание, болезненность, отек и чувствительность молочных желез.
- Уплотнения в молочной железе.
- Выделения из соска.
Узловая мастопатия характеризуется образованием четко очерченных кист и узлов, чаще у женщин 20-30 лет.
Признаки
- Болезненные ощущения и увеличение молочной железы.
- Выделения из сосков.
- Плотные узлы при прощупывании.
При узловой мастопатии образуются полости, заполненные жидкостью, окруженные капсулой. Эта форма встречается у 50% женщин.
Признаки
- Болезненные ощущения в области кист.
- Увеличение молочной железы.
- Изменения в подмышечных лимфатических узлах.
- Выделения из сосков.
Мастопатия может затрагивать одну или обе молочные железы, проявления зависят от типа заболевания.
| Симптом | Проявления | Механизм возникновения |
| Диффузная мастопатия | ||
| Боль и отек в молочных железах | Симптомы могут проявляться за неделю до менструации. | Эстрогены способствуют накоплению натрия. |
| Выделения из молочных желез | Могут появляться самостоятельно или при надавливании. | Пролактин способствует выработке жидкости. |
| Очаги уплотнения | Мелкие уплотнения по всей молочной железе. | Увеличение числа и длины млечных протоков. |
| Узловая мастопатия | ||
| Фиброзная мастопатия | ||
| Болезненность и увеличение молочной железы | Симптомы могут усиливаться на протяжении менструального цикла. | Эстрогены и разрастающаяся соединительная ткань вызывают отек. |
| Выделения из молочных желез | Могут быть прозрачными или коричневато-зелеными. | Пролактин увеличивает количество молочных протоков. |
| Образование узлов | Плотные узлы с четкими границами. | Повышенные уровни эстрогенов и пролактина приводят к разрастанию соединительной ткани. |
| Присоединение инфекции | Повышение температуры, покраснение кожи, гнойные выделения. | Застой жидкости способствует инфекциям. |
| Кистозная мастопатия | ||
| Боль и отек в молочной железе | Симптомы усиливаются перед менструацией. | Эстрогены способствуют накоплению натрия. |
| Выделения из молочных желез | Могут быть прозрачными или гнойными. | Пролактин увеличивает количество молочных протоков. |
| Увеличение молочной железы | Зависит от расположения кист. | Киста давит на протоки, вызывая отек. |
| Изменение лимфатических узлов | Увеличение и болезненность. | Кисты нарушают отток лимфы. |
| Образование кист | Мягкие и эластичные образования. | Под действием гормонов происходит расширение протока. |
| Фиброзно-кистозная мастопатия | ||
| Сочетание кистозной и фиброзной форм. |
| Важно 1. Кровянистые выделения из сосков не характерны для мастопатии и требуют обращения к врачу. 2. Боль в молочных железах может отсутствовать в 10% случаев. |
Для точного диагноза необходимо обследование.
Диагностикой и лечением мастопатии занимаются гинеколог, гинеколог-эндокринолог и маммолог. Врач проведет опрос, осмотрит молочные железы и лимфатические узлы, назначит УЗИ, маммографию или биопсию.
Опрос
Вопросы для врача:
- Сколько вам лет?
- Когда началась первая менструация?
- В каком возрасте был первый половой контакт?
- Регулярна ли половая жизнь?
- Есть ли нарушения менструального цикла?
- Сколько было беременностей и родов?
- Были ли аборты или выкидыши?
- Каков период грудного вскармливания?
- Как осуществляется защита от беременности?
- Есть ли у близких родственников мастопатия или рак молочной железы?
- Если менопауза, то с какого возраста?
- Есть ли хронические заболевания и какие препараты принимаются?
Эта информация может быть недостаточной, поэтому врач может задать дополнительные вопросы.
Осмотр и пальпация молочных желез
Проводится в положении стоя и лежа с последовательным исследованием каждого квадранта. Врач сравнивает изменения в обеих молочных железах и проверяет лимфатические узлы. Рекомендуется проводить осмотр с 5 по 9-10 день менструального цикла.
Признаки мастопатии, выявляемые при осмотре:
- Болезненность и отек.
- Узелковые уплотнения.
- Кисты.
- Выделения из сосков.
- Изменения кожи.
Изменения чаще наблюдаются в верхних отделах молочных желез.
Для диагностики заболеваний молочной железы используется маммография.
Рекомендуется проводить маммографию с 5 по 9-10 день менструального цикла.
Показания к маммографии
- Жалобы на болезненность и увеличение молочной железы.
- Изменения кожи.
- Выделения из соска.
- Уплотнения в молочной железе.
- Женщинам старше 30 лет, получавшим лучевую терапию.
- Профилактически — всем женщинам старше 40 лет.
| ВажноЖенщинам до 30 лет не рекомендуется проводить маммографию. |
Технология проведения
Пациентка становится перед аппаратом, молочная железа помещается между двумя держателями. Процедура может вызывать дискомфорт.
Признаки мастопатии на маммографии
- Фиброзные изменения — четкие тени.
- Разрастание железистой ткани — мелкие тени неправильной формы.
- Кистозные изменения — округлые образования одинаковой плотности.
- Смешанные изменения — участки уплотнения и кистозные образования.
Безвредный и безболезненный метод для исследования структуры молочных желез. Рекомендуется проводить с 5 по 9-10 день менструального цикла.
Методика проведения
Пациентка лежит на спине, на кожу наносится гель, и врач проводит датчиком по коже.
Показания к УЗИ
- Диагностика кист или уплотнений.
- Исследование молочных желез у женщин до 30 лет.
- Рекомендуется всем женщинам старше 35 лет.
Признаки мастопатии
Диффузная мастопатия
На УЗИ видны мелкие уплотнения или кисты.
Узловая мастопатия
Фиброаденома представлена ограниченным участком уплотнения.
Кистозная форма
Образования полостей, заполненных жидкостью.
Фиброзно-кистозная мастопатия
Наличие полостей и участков уплотнения.
Процедура забора образцов ткани из молочной железы позволяет отличить мастопатию от злокачественной опухоли.
Показания к биопсии
- Подозрительные участки на маммограмме или УЗИ.
- Наличие больших кист или уплотнений.
- Изменения на соске.
Методы биопсии
Тонкоигольная аспирационная биопсия — наиболее распространенный метод.
Гормональный статус определяется в первой или второй фазе менструального цикла. Забор крови осуществляется из вены.
Какие гормоны необходимо определить?
- Эстрадиол.
- Гормоны щитовидной железы.
- Тириотропный гормон.
- Фолликулостимулирующий и лютеинизирующий гормоны.
- Пролактин.
Также определяются онкомаркеры.
УЗИ органов малого таза для выявления воспалительных процессов или опухолей.
УЗИ щитовидной железы для оценки состояния.
КТ или МРТ головного мозга для выявления опухолей.
Лечение может быть консервативным (с применением лекарств) и хирургическим.
Цели лечения — подавление действия эстрогенов и прогестерона, нормализация работы щитовидной железы и иммунной системы.
Средства для лечения мастопатии
| Группы препаратов | Представители | Как назначается | Механизм действия |
| Гормональные препараты | |||
| Антиэстрогены | Тамоксифен, Торемифен | Длительно в уколах или таблетках. | Блокируют рецепторы для эстрогенов. |
| Комбинированные оральные контрацептивы | Овидон, Диане-35 | Принимаются длительно. | Подавляют выработку ЛГ и ФСГ. |
| Гестагены | Утрожестан, Дюфастон | Назначаются с 14 дня цикла. | Блокируют овуляцию и колебания гормонов. |
| Препараты, подавляющие синтез пролактина | Парлодел, Достинекс | Принимаются во время еды. | Стимулируют выработку дофамина. |
| Антагонисты гонадотропин-рилизинг-гормона | Диферелин, Золадекс | Инъекции раз в 12 недель. | Тормозят функцию яичников. |
| Синтетические аналоги гормонов щитовидной железы | L-тироксин, Эутирокс | Применяются при гипотиреозе. | Тормозят выработку тиритотропного гормона. |
| Негормональные препараты | |||
| Препараты йода | Йодомарин, Кламин | Принимаются после еды. | Участвуют в синтезе гормонов щитовидной железы. |
| Гомеопатические препараты | Мастодинон | Принимаются дважды в день. | Нормализуют менструальный цикл. |
| Витаминные комплексы | Триовит, Аевит | Принимаются дважды в день. | Нормализуют уровень эстрогенов. |
| Нестероидные противовоспалительные препараты | Аэртал, Индометацин | Принимаются после еды. | Уменьшают боль и воспаление. |
Лекарства применяются для лечения как диффузных, так и узловых форм мастопатии. Курс лечения составляет от 2 до 6 месяцев.
Принципы назначения лекарств
-
Диффузные формы мастопатии
Лечение зависит от стадии заболевания. При начальных признаках используются в основном негормональные препараты, при выраженных симптомах добавляются гормональные. -
Узловые формы мастопатии
Лечение включает медикаменты и оперативное вмешательство.
Лечение фиброаденомы в основном хирургическое, но возможно и медикаментозное при небольших узлах.
Лечение кистозной мастопатии зависит от размера кист и может включать пункцию.
Лечение узловой фиброзно-кистозной формы требует комплексного подхода.
Операции проводятся под общим или местным наркозом.
Показания к операции
- Увеличение узлов более чем в два раза.
- Подозрение на злокачественную опухоль.
- Кисты размером более 1,5-2 см.
- Узлы размером более 1,5-2 см.
Противопоказания
- Беременность.
- Период грудного вскармливания.
- Аллергия на обезболивающие.
Подготовка к операции
- Маммография и УЗИ.
- Общий анализ крови и мочи.
- Консультация терапевта.
- Результаты биопсии.
Способы оперативного вмешательства
- Пункция кист с последующим склерозированием.
- Удаление узлов, при необходимости частичное удаление молочной железы.
После операции удаленные ткани отправляются на гистологическое исследование.
Реабилитация после операции
Женщина может испытывать дискомфорт, но обычно не требуется обезболивание. Швы снимаются на 7 день. После операции необходимо продолжать лечение мастопатии.
Рекомендуется снизить потребление жиров и увеличить количество клетчатки.
Следует ограничить сладкое и жирное, так как это может привести к увеличению жировой ткани, где вырабатываются эстрогены.
Важно употреблять продукты, богатые витаминами и йодом.
Не является основным методом, но может помочь в комплексном лечении.
| Название | Как приготовить | Как принимать | Какой эффект ожидать |
| Настойка скорлупы кедровых орехов | Настоять скорлупу в водке. | По ½-1 столовой ложке до еды. | Улучшает иммунитет и обладает противоопухолевым действием. |
| Алойный эликсир | Смешать сок алоэ с медом. | По 1 ч.л. перед едой. | Улучшает иммунитет и обладает противоопухолевым свойством. |
| Отвар из корня лопуха | Прокипятить корень лопуха. | По 50-60 мл 3 раза в день. | Уменьшает отек и боль в молочных железах. |
| ВажноКомпрессы из капусты или свеклы не рекомендуется применять без консультации врача. |
Вести здоровый образ жизни и правильно питаться
Употреблять продукты, богатые витаминами и йодом, заниматься спортом и обеспечивать полноценный сон.
Регулярная половая жизнь
Это улучшает кровообращение и работу яичников.
Избегать стрессов
Стресс может спровоцировать развитие мастопатии.
Самостоятельное обследование молочных желез
Рекомендуется проводить самообследование в определенные дни менструального цикла.
Правильный выбор бюстгальтера
Бюстгальтер должен быть удобным и не травмировать молочные железы.
Ежегодный медицинский осмотр
Включает осмотр молочных желез и других органов.
Сохранение грудного вскармливания
Это улучшает работу молочных желез.
- Избегать травм молочных желез.
- Ограничить контакт с химикатами.
- Не находиться на солнце длительное время.
- Избегать курения и злоупотребления алкоголем.
Мастопатия — это заболевание, которое вызывает множество обсуждений среди женщин. Многие отмечают, что основными причинами патологии являются гормональные изменения, стресс и наследственная предрасположенность. Симптомы могут варьироваться от болезненности и уплотнений в груди до выделений из сосков. Женщины часто делятся своими переживаниями о том, как эти симптомы влияют на их повседневную жизнь и эмоциональное состояние.
Диагностика мастопатии включает в себя маммографию, УЗИ и иногда биопсию, что позволяет врачам точно определить характер изменений. Лечение может быть как консервативным, так и хирургическим, в зависимости от степени заболевания. Многие женщины подчеркивают важность регулярных осмотров и самодиагностики, чтобы выявить проблему на ранней стадии. Обсуждая мастопатию, они также акцентируют внимание на необходимости поддержки и информированности, что помогает справиться с этой распространенной патологией.

Виды мастопатии
Наиболее распространенная классификация мастопатии основывается на рентгенологических (изменения в структуре молочных желез) и клинических (жалобы и осмотр) характеристиках.
Выделяют две основные формы заболевания: диффузная и узловая мастопатия.

Диффузная мастопатия
Изменения в молочной железе указывают на диффузную мастопатию, которая часто предшествует узловой форме.
Типы диффузной мастопатии
- Аденоз — преобладание железистой ткани (разрастание дольков). Эта форма распространена среди женщин, особенно молодых и в начале беременности.
- Фиброаденоматоз — в молочных железах образуются участки с преобладанием соединительной ткани (фиброз) над железистой.
- Диффузная мастопатия с кистозным компонентом. В молочной железе формируются небольшие полости с жидкостью — кисты. В 25% случаев в кистах может откладываться кальций, что увеличивает риск злокачественной опухоли.
- Диффузная фиброзно-кистозная форма мастопатии. Сочетает признаки кистозной мастопатии и фиброаденоматоза.
Признаки диффузной мастопатии
- Нагрубание, болезненность (масталгия), отечность и повышенная чувствительность молочных желез (мастодиния).
- При пальпации можно обнаружить уплотнение всей молочной железы или ее отдельных участков, а также мелкозернистые участки уплотнения, распределенные по молочным железам (в основном в верхней части).
- Из соска может выделяться прозрачная или зеленовато-коричневая жидкость.
Узловая мастопатия
Для неё характерно образование кист и узлов в паренхиме молочной железы с четкими контурами, которые не сливаются с кожей и окружающими тканями. Это состояние может возникать в одной или обеих молочных железах.
Фиброзная мастопатия (фиброаденома)
Железистая ткань (дольки) заменяется соединительной тканью, которая служит каркасом, но не участвует в функционировании органов. Это приводит к сжатию протока железы и может вызвать его закупорку. Проблема чаще всего наблюдается у женщин в возрасте 20–30 лет.
Симптомы
- Болезненные ощущения и увеличение объема молочной железы
- Выделения из сосков, прозрачные или зеленовато-коричневые
- Плотные узлы при пальпации молочной железы
Кистозная мастопатия
Внутри образуются полости с жидкостью, окруженные плотной оболочкой (капсулой). Эта форма мастопатии встречается у 50% женщин.
Симптомы
- Болезненные ощущения в области кист
- Увеличение молочной железы и болезненность
- Увеличение и болезненность лимфатических узлов в подмышках, отек окружающих тканей
- Прозрачные выделения из сосков, при инфекции — гнойные
- При пальпации можно обнаружить эластичные узлы круглой или овальной формы
Фиброзно-кистозная мастопатия
Образование плотных участков в паренхиме молочной железы может привести к образованию кист, заполняющихся жидкостью. Это состояние встречается у 50-70% женщин с мастопатией, чаще всего в возрасте от 30 лет до менопаузы.
Проявления характерны как для фиброзной, так и для кистозной форм мастопатии.
При пальпации можно обнаружить уплотнения в молочной железе и узлы овальной или круглой формы с мягкой и эластичной текстурой.
Симптомы мастопатии
Недуг может затрагивать одну или обе молочные железы, а его симптомы зависят от типа мастопатии.
| Симптом | Проявления | Механизм возникновения |
| Диффузная мастопатия | ||
| Боль и ощущение наполненности (отек) в молочных железах, увеличение | На начальных стадиях симптомы слабо выражены, чаще всего проявляются за неделю до менструации. По мере развития недуга становятся почти постоянными. В период менструации боль и отек могут немного уменьшаться. | Эстрогены способствуют накоплению натрия в клетках молочных желез, что приводит к притяжению молекул воды и отеку тканей. |
| Выделения из молочных желез (прозрачные или зеленовато-коричневые) | Могут появляться спонтанно (пятна на бюстгальтере) или при нажатии на соски. | Пролактин стимулирует развитие молочных протоков и выработку жидкости, схожей с грудным молоком. |
| Очаги уплотнения | Обычно мелкие и распределены по всей молочной железе. | Под воздействием эстрогенов и прогестерона увеличивается количество и длина молочных протоков, а также разрастается соединительная ткань. |
| Узловая мастопатия | ||
| Фиброзная мастопатия (фиброаденома) | ||
| Болезненность, чувствительность и ощущение переполненности молочных желез | На начальных стадиях симптомы наиболее выражены за неделю до менструации. При дальнейшем развитии мастопатии могут присутствовать на протяжении всего цикла. Боль может быть ноющей и тупой, иногда усиливается от легкого прикосновения. | Эстроген способствует накоплению натрия в клетках молочной железы, что приводит к задержке воды. Разрастающаяся соединительная ткань также оказывает давление на железистую ткань, усиливая отек и болезненные ощущения. |
| Выделения из молочных желез (от прозрачных до коричневато-зеленых) | На начальных стадиях выделения могут быть незначительными, но со временем усиливаются. Могут появляться спонтанно или при нажатии на соски. | Пролактин увеличивает количество молочных протоков и их способность к выработке грудного молока. |
| Образование узлов | При пальпации можно обнаружить плотные узлы размером от 0,2 до 5-7 см. Они имеют четкие границы, подвижны и не сращены с окружающими тканями. | Повышенное содержание эстрогенов и пролактина приводит к активному разрастанию соединительной ткани и увеличению числа молочных протоков. |
| Присоединение инфекции (может наблюдаться как при фиброме, так и при кистозной мастопатии) | Повышение температуры, покраснение кожи молочной железы, общее недомогание. Появление гнойных или желтовато-зеленых выделений из сосков. | Отек и застой жидкости в молочной железе нарушают кровообращение, что создает условия для присоединения инфекции. |
| Кистозная мастопатия | ||
| Боль, отек и жжение в молочной железе | Наиболее выражены в области формирования кист. В начале заболевания симптомы усиливаются перед менструацией, а при длительном течении мастопатии становятся практически постоянными. Боль может быть тупой и ноющей, иногда интенсивной даже при легком прикосновении. | Эстрогены способствуют проникновению натрия в клетки, что приводит к задержке воды. При росте кисты она начинает давить на окружающие ткани, усиливая болезненные ощущения. Если кисты небольшие, они обычно не вызывают дискомфорта. |
| Выделения из молочных желез | Прозрачные, зеленовато-коричневые, гнойные (при присоединении инфекции). Особенно характерны при наличии множественных или крупных кист. Могут появляться спонтанно или при нажатии на соски. | Под действием пролактина увеличивается количество молочных протоков, которые начинают более активно вырабатывать грудное молоко. |
| Увеличение молочной железы | Может затрагивать одну или обе молочные железы в зависимости от расположения кисты. | Киста оказывает давление на молочные протоки, что приводит к задержке жидкости и развитию отека. |
| Изменение лимфатических узлов (у 10-15% пациентов) | Лимфатические узлы увеличиваются, становятся болезненными, а окружающие ткани отекают. | Чаще всего кисты располагаются в верхних и боковых долях молочных желез, нарушая отток лимфы и вызывая воспаление. |
| Образование кист | При пальпации можно обнаружить мягкие и эластичные образования с четкими границами, круглой или овальной формы, не сращенные с окружающими тканями, размером от 0,2 до 5-7 см. Кисты могут быть как единичными, так и множественными. | Под действием эстрогенов и прогестерона один из протоков расширяется, и жидкость в нем застаивается. Вокруг этого протока образуется соединительная ткань, формируя капсулу и позволяя организму изолировать расширенный проток. В результате происходит накопление жидкости. |
| Фиброзно-кистозная мастопатия | ||
| В этом варианте заболевания сочетаются кистозная и фиброзная формы. Наблюдаются как образование кист, так и очаги уплотнения, проявляясь признаками обеих форм мастопатии. |
| На заметку 1. Кровянистые выделения из сосков не являются характерным признаком мастопатии. При их появлении следует обратиться к врачу. 2. Боль в молочных железах при мастопатии может отсутствовать в 10% случаев. |
Диагностика мастопатии
Разнообразие причин мастопатии требует детального обследования для точной диагностики.
К какому доктору обращаться в случае проблем с грудью?
Диагностика и лечение мастопатии проводятся гинекологами, гинекологами-эндокринологами и маммологами, которые специализируются на заболеваниях молочной железы. Идеально, когда все эти специалисты участвуют в лечении и наблюдении за пациенткой. Однако доступность таких врачей зависит от оснащенности медицинского учреждения.
На приеме у доктора
Врач начнет с опроса для уточнения деталей, необходимых для диагноза. Он спросит о возрасте первой менструации, регулярности половой жизни и других важных моментах.
Затем проведет осмотр и пальпацию молочных желез, лимфатических узлов (подмышечных и шейных) и щитовидной железы на передней части шеи.
При необходимости специалист направит на УЗИ молочных желез, маммографию или биопсию (взятие образца ткани для исследования).
После получения результатов анализов врач назначит лечение, которое может быть медикаментозным или хирургическим.
Опрос
Вопросы для визита к врачу:
- Ваш возраст?
- В каком возрасте начались первые менструации?
- Когда был первый половой контакт?
- Регулярна ли половая жизнь?
- Есть ли нарушения менструального цикла?
- На какой день цикла проходит осмотр?
- Сколько было беременностей и родов? В каком возрасте?
- Сколько абортов и/или выкидышей было?
- Как долго вы кормили грудью?
- Как вы предохраняетесь от беременности?
- Есть ли у близких родственников случаи мастопатии или рака молочной железы?
- Если менструация отсутствует, то с какого возраста?
- Есть ли хронические заболевания? Какие препараты принимаете?
Это основные вопросы, но врач может задать дополнительные.
Осмотр и пальпация молочных желез
Производится в положении стоя и лежа с использованием подушечек пальцев для обследования каждого квадранта молочной железы: верхнего наружного, верхнего внутреннего, нижнего внутреннего и нижнего наружного.
Во время осмотра врач может попросить женщину поднять руки или положить их на пояс. Он сравнивает изменения в обеих молочных железах и ощупывает лимфатические узлы. Затем доктор надавливает на соски для получения выделений.
Оптимальные сроки для осмотра — с 5 по 9-10 день менструального цикла (лучше всего — с 5 по 7 день). В период менопаузы день не имеет значения.
Признаки мастопатии, выявляемые при осмотре:
- Болезненность, отечность, повышенная чувствительность
- Узелковые образования в определенной области или по всей молочной железе
- Округлые кисты в различных участках
- Выделения из сосков при нажатии
- Участки втяжения кожи или сосков
- Выпуклости или углубления на коже
- Явная асимметрия молочных желез (незначительная асимметрия — норма)
- Изменение цвета кожи соска и околососковой области
Изменения при мастопатии чаще всего наблюдаются в верхних отделах молочных желез.
Маммография
Исследование для выявления заболеваний молочной железы предоставляет важную информацию на ранних стадиях болезни.
Существует несколько методов маммографии: проекционная, цифровая и пленочная. Пленочная рентгеновская маммография, обеспечивающая минимальное облучение, является золотым стандартом диагностики. Процедура проводится с помощью маммографа, который получает изображения молочной железы в двух проекциях (прямой и боковой).
Оптимальные сроки для маммографии у женщин в менструальном цикле — с 5 по 9-10 день, предпочтительно с 5 по 7 день. В период менопаузы день проведения не имеет значения.
Показания для пленочной рентгеновской маммографии
- Боли и увеличение размеров молочной железы
- Изменения кожи молочной железы: западение или выпячивание
- Выделения из соска
- Уплотнения в молочной железе
- Женщины старше 30 лет, проходившие лучевую терапию в области грудной клетки из-за злокачественного новообразования
- Профилактическое обследование рекомендуется всем женщинам ежегодно с 40 лет, а тем, кто старше 50 лет — дважды в год
- Женщины с близкими родственниками, имеющими рак молочной железы и/или яичников
| Важно знатьЖенщинам младше 30 лет не рекомендуется проводить пленочную рентгеновскую маммографию. |
Процесс проведения
Пациентка становится перед аппаратом, а молочная железа помещается между двумя жесткими держателями, которые сжимают ее для уменьшения толщины тканей, поглощающих рентгеновские лучи. Чем сильнее сжатие, тем информативнее результаты. У некоторых женщин процедура может вызывать болезненные ощущения, что считается нормальным.
Признаки мастопатии
Фиброзные изменения. На снимках видны четкие и плотные тяжи, которые могут быть как в отдельных участках (фиброаденома), так и охватывать всю молочную железу (диффузная мастопатия). Соединительнотканные тяжи располагаются вдоль железистых долек или по ходу млечных протоков, контуры долек выглядят неровными.
Разрастание железистой ткани молочной железы (аденоз). Наблюдаются множественные мелкие тени неправильной формы с неровными краями — увеличенные дольки. Иногда эти тени могут сливаться, образуя участки уплотнения.
Кистозные изменения. Общий рисунок паренхимы молочной железы выглядит хаотично, на этом фоне видны образования округлой или овальной формы с однородной плотностью.
Смешанные изменения встречаются наиболее часто. На маммографии можно увидеть как участки уплотнения, так и кистозные образования (узловая фиброзно-кистозная мастопатия).
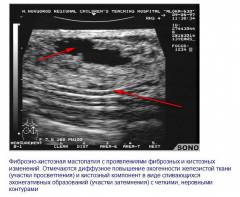
УЗИ молочных желез
Безопасный и безболезненный метод для анализа структуры молочных желез и выявления образований.
Оптимальные сроки для исследования у женщин в менструальном цикле — с 5 по 9-10 день (лучше с 5 по 7 день), так как состояние молочных желез изменяется под воздействием гормонов. В период менопаузы день не имеет значения.
Процедура проведения
Женщина лежит на спине с руками за головой. На область исследования наносится прозрачный гель для плотного прилегания УЗ-датчика. Врач прижимает датчик к коже, и волны, проникая в ткани, отражаются и отображаются на экране.
Показания для использования
- Диагностика кист или уплотнений, обнаруженных при пальпации молочной железы
- Исследование молочных желез у женщин младше 30 лет, а также во время беременности и лактации
- Рекомендуется женщинам старше 35 лет проходить обследование раз в 1-2 года, а старше 50 лет — дважды в год
- Увеличение подмышечных лимфатических узлов
Признаки мастопатии
Диффузная мастопатия
На УЗИ наблюдаются многочисленные мелкие уплотнения, указывающие на разрастание соединительной ткани, или мелкие кисты, равномерно распределенные по молочной железе.
Узловая мастопатия
Фиброаденома — ограниченный участок уплотнения в молочной железе с четкими границами.
Кистозная форма мастопатии проявляется образованием полостей, заполненных жидкостью, которые изменяют форму при надавливании.
Фиброзно-кистозная мастопатия характеризуется наличием полостей с жидкостью и участков уплотнения с четкими границами.
Биопсия и морфологическое исследование
Измененные участки ткани молочной железы подвергаются забору образцов для микроскопического анализа.
Этот метод высокоточный и позволяет различать мастопатию и злокачественные опухоли. В 80-90% случаев изменения оказываются доброкачественными.
Показания для проведения процедуры
- Подозрительные участки на мамограмме или УЗИ
- Крупные кисты или уплотнения молочной железы (более 1-1,5 см), выявленные при пальпации
- Корочки, шелушение или язвы на соске, а также кровянистые выделения
Типы биопсии: тонкоигольная аспирационная биопсия (забор ткани из прощупываемого образования) под контролем УЗИ, маммографии или МРТ, а также хирургическая биопсия.
Наиболее распространенный метод в маммологии — тонкоигольная аспирационная биопсия: из прощупываемых образований берется образец ткани, который окрашивается и исследуется под микроскопом.
Процедура выполняется с одноразовой иглой, соединенной с пункционным пистолетом. Пистолет выстреливает ножом, вырезая тонкий столбик ткани. Обычно проводится под местной анестезией.
Признаки мастопатии при биопсии
Клетки имеют одноядерную структуру, стандартный размер и цвет, нормальное количество хроматина. Отсутствуют зоны коронарного роста клеток. В тканях может быть обнаружен кальций, что указывает на возможное перерождение мастопатии в злокачественную опухоль.
Лабораторные исследования крови
На молочные железы влияют гормоны, уровень которых меняется в течение менструального цикла. Для определения гормонального статуса рекомендуется проводить анализ в первой фолликулярной фазе (с 5 по 9 день) или во второй лютеиновой фазе (с 20 по 22 день). Забор крови осуществляется из вены.
Какие гормоны следует исследовать в крови?
- Эстрадиол — синтезируется в яичниках и жировой ткани.
- Гормоны щитовидной железы — тироксин (Т4) и трийодтиронин (Т3).
- Тириотропный гормон (ТТГ) — вырабатывается гипофизом и активирует синтез гормонов щитовидной железой.
- Фолликулостимулирующий (ФСГ) и лютеинизирующий (ЛГ) гормоны — производятся гипофизом и контролируют деятельность яичников.
- Пролактин — синтезируется в гипофизе и отвечает за выработку грудного молока.
Также исследуются онкомаркеры молочной железы — специфические молекулы, вырабатываемые в ответ на злокачественную опухоль. К таким маркерам относится СА 15-3.
Дополнительные методы обследования
Эти методы помогают оценить функцию органов, вырабатывающих гормоны, а также выявить воспалительные процессы, спайки, опухоли и другие изменения, которые могут негативно влиять на гормональную активность. Проведение этих исследований не является обязательным.
Дополнительные исследования
УЗИ органов малого таза определяет воспалительные процессы или опухоли в яичниках, маточных трубах и матке.
УЗИ щитовидной железы оценивает размеры долей и перешейка, а также выявляет узлы.
КТ (компьютерная томография) или МРТ (магнитно-резонансная томография) головного мозга диагностируют опухоли, например, аденому гипофиза.
Могут быть назначены и другие методы обследования при необходимости.
Лечение мастопатии
Существуют два подхода: консервативный, основанный на медикаментах, и оперативный, связанный с хирургическим вмешательством.
Медикаментозное лечение мастопатии
Цели лечения включают подавление воздействия эстрогена и прогестерона на ткани молочной железы, нормализацию функций щитовидной железы и иммунной системы.
Лекарственные средства для терапии мастопатии
| Категории препаратов | Примеры | Способ применения | Механизм действия | |
| Гормональные препараты | ||||
| Антиэстрогены | Тамоксифен, Торемифен | Длительный прием в виде инъекций или таблеток дважды в день. Дозировку устанавливает врач. Лечение продолжается два месяца после исчезновения симптомов. | Блокируют рецепторы клеток молочной железы, связывающиеся с эстрогенами. | |
| Комбинированные оральные контрацептивы | Овидон, Диане-35, Три-регол, Регулон, Линдинет-20 и другие | Принимаются с первого дня менструации в течение 21 дня, затем 7-дневный перерыв. Курс возобновляется. | Подавляют выработку ЛГ и ФСГ в гипофизе, стабилизируя уровень гормонов. Устойчивый эффект достигается при длительном применении. | |
| Гестагены | Утрожестан, Дюфастон | Утрожестан — ½-1 таблетка дважды в день, Дюфастон — 1 таблетка дважды в день. Прием с 14 дня менструального цикла на 14 дней. Курс — 3-6 месяцев. | Блокируют овуляцию и циклические колебания половых гормонов, прекращая избыточное деление клеток в молочной железе. | |
| Наружно: Прожестожель | 1 доза через аппликатор на кожу молочной железы дважды в день. | Блокирует рецепторы эстрогенов, уменьшая отечность и обеспечивая обезболивающий эффект. | ||
| Препараты, снижающие уровень пролактина | Парлодел (Бромкриптин), Достинекс | 1-2 таблетки трижды в день во время еды. | Стимулируют выработку дофамина в гипоталамусе, подавляя синтез пролактина. | |
| Антагонисты гонадотропин-рилизинг-гормона | Диферелин, Золадекс, Бусерелин | Золадекс — одна подкожная инъекция раз в 12 недель, Диферелин — раз в три месяца. | Замедляют выделение гонадотропин-рилизинг-гормона, снижая выработку ЛГ и ФСГ в гипофизе, что тормозит функцию яичников и овуляцию. | |
| Синтетические аналоги гормонов щитовидной железы | L-тироксин, Эутирокс | Применяются при гипотиреозе. | Утром натощак за полчаса до еды. Схема приема: ежедневно или с двухдневным перерывом один раз в неделю. Дозировка определяется врачом. | Снижают выработку тиреотропного гормона и пролактина гипофизом. |
| Негормональные препараты | ||||
| Препараты йода | Йодомарин, Кламин (БАД) | Йодомарин — 1-2 таблетки в сутки после еды. Кламин — 2 капсулы трижды в день. Курс — 2 месяца. | Йод участвует в синтезе гормонов щитовидной железы. | |
| Гомеопатические средства | Мастодинон | 30 капель или 1 таблетка дважды в день. Курс — 1,5-2 месяца. | Снижает выработку пролактина, нормализует секрецию ЛГ и ФСГ, восстанавливая менструальный цикл. | |
| Мастопол | Рассасывается под языком за полчаса до еды трижды в день. Курс — 8 недель. | Уменьшает отек, воспаление и болезненность, улучшает снабжение тканей питательными веществами и кислородом. | ||
| Препараты растительного происхождения | Маммолептин | 5 капсул трижды в день через 30-60 минут после еды. Курс — 2 месяца. | Уменьшает боль и отечность, способствует обратному развитию млечных протоков. | |
| Витаминные комплексы | Триовит, Аевит и другие | 1 капсула дважды в день. Курс — 8 недель, до 3 курсов в год. | Нормализуют уровень эстрогенов, улучшают работу печени и иммунной системы. | |
| Нестероидные противовоспалительные препараты (НПВП) | Аэртал, Индометацин, Диклофенак и другие | Обычно по 1 таблетке дважды в день после еды. | Уменьшают боль, воспаление и отек в молочных железах. |
Препараты применяются для лечения как диффузных, так и узловых форм мастопатии. Курс лечения составляет от 2 до 4-6 месяцев в зависимости от тяжести заболевания.
Принципы назначения лекарственных средств
-
Диффузные формы мастопатии
Лечение аденоза, фиброаденоматоза, диффузно-кистозной и кистозно-фиброзной мастопатии осуществляется медикаментозно. Препараты назначаются в зависимости от стадии и выраженности симптомов. При начальных проявлениях используются в основном негормональные средства. При выраженных симптомах часто добавляются гормональные препараты.
-
Узловые формы мастопатии
Лечение длительное и комплексное, включает медикаментозную терапию и оперативное вмешательство.
Лечение фиброаденомы
Обычно хирургическое. Если узлов немного и они небольшие, возможно медикаментозное лечение.
Лечение узловой кистозной мастопатии
Кисты до 1,5-2 см лечатся консервативно. Кисты более 1,5-2 см подвергаются пункции, затем проводится медикаментозное лечение.
Лечение узловой фиброзно-кистозной формы мастопатии
Это сложное лечение, так как в молочных железах присутствуют как уплотнения, так и кисты. Обычно сначала удаляются уплотнения и/или пункционируются кисты, затем назначается консервативная терапия. Если размеры небольшие, предпочтение отдается медикаментозному лечению.
При лечении любой формы мастопатии выбор лекарственного средства зависит от гормональных нарушений и наличия других заболеваний у женщины.
Хирургическое лечение мастопатии
Операция проводится при узловой мастопатии, включая кистозную, фиброзную и кистозно-фиброзную формы, под общим или местным наркозом.
Показания для хирургического вмешательства
- Увеличение узлов и кист более чем в два раза за три месяца
- Подозрение на злокачественное образование по результатам биопсии, независимо от размеров
- Кисты диаметром более 1,5-2 см
- Узлы размером более 1,5-2 см
Противопоказания
- Беременность
- Период грудного вскармливания
- Аллергия на анестезирующие препараты
Подготовка к операции
Обследование
- Маммография и УЗИ молочных желез
- Общий анализ крови и мочи, биохимический анализ, исследование свертываемости, анализы на ВИЧ, сифилис и гепатиты (В, С, Д), определение группы крови и резус-фактора
- Электрокардиограмма и флюорография органов грудной клетки
- Консультация терапевта для выявления сопутствующих заболеваний с заключением о возможности операции
- УЗИ внутренних органов
- Результат биопсии обязателен
Методы хирургического вмешательства
- Пункция кист — удаление жидкости с помощью тонкой иглы, затем стенки кисты склерозируются. При повторных кистах их полости вылущивают, сохраняя окружающие ткани (при отсутствии подозрений на рак).
- Удаление узлов — в сложных случаях (множественные и/или крупные узлы) выполняется секторальное (частичное) удаление молочной железы с удалением ткани на расстоянии 1-3 см от края опухоли.
Удаленные ткани направляются на морфологическое (гистологическое) исследование.
Реабилитация после операции
Через 1,5-2 часа после вмешательства женщина может испытывать боль и дискомфорт в области операции. Обычно эти ощущения незначительны и не требуют обезболивания, но при необходимости назначаются болеутоляющие средства.
Пациентка может быть выписана в день операции или через несколько дней, в зависимости от объема вмешательства. Швы снимаются на седьмой день.
Операция не устраняет причину заболевания, поэтому после вмешательства необходимо продолжать лечение мастопатии медикаментами (гормоны, витамины, йодсодержащие препараты) и основного заболевания (например, гепатита). Также следует выбрать оптимальный метод контрацепции и соблюдать диету.
Диета при мастопатии
Рекомендуется снизить потребление жиров и увеличить клетчатку, включая свежие овощи, фрукты и цельные зерна. Это поможет уменьшить воздействие эстрогенов на молочные железы.
Ограничьте сладости, мучные изделия и жирные продукты, так как они способствуют накоплению подкожного жира, в котором вырабатываются эстрогены.
Включайте в рацион продукты, богатые витаминами А, В, Д и Е: печень, яичный желток, молоко, творог, сыр, растительное масло, морепродукты, а также свежие овощи и фрукты красного или оранжевого цвета.
Обратите внимание на дефицит йода, употребляя морепродукты и йодированную соль.
Сократите потребление какао, шоколада, чая и кофе, так как они содержат метилксантин, который может ухудшать состояние и усиливать болевые ощущения.
Лечение народными средствами
Не является единственным способом лечения мастопатии, так как не охватывает все аспекты механизма заболевания. Однако в сочетании с медикаментозной терапией они могут снизить симптомы, способствовать выздоровлению и нормализовать функционирование организма и иммунной системы.
| Название | Как приготовить | Как принимать | Какой эффект ожидать |
| Настойка скорлупы кедровых орехов | В полулитре водки поместите полстакана свежей скорлупы кедровых орехов или перегородок грецких орехов. Настойка должна настаиваться в темном и теплом месте (например, рядом с батареей) в течение 10 дней. | Принимать за полчаса до еды по ½ — 1 столовой ложке на протяжении двух менструальных циклов. | Улучшает работу иммунной и кровеносной систем, а также щитовидной железы. Обладает противоопухолевым эффектом. |
| Алойный эликсир | Листья алоэ (возраст 3-4 года) заверните в марлю и поместите в полиэтиленовый пакет, не закрывая его плотно (для доступа воздуха). Храните в холодильнике при температуре +4-8°C в течение 2 недель. Затем пропустите листья через мясорубку и отожмите сок. Смешайте одну часть сока алоэ с двумя частями меда (1:2). | Принимать по 1 ч.л. за 30 минут до еды дважды в день. Курс — 30 дней. | Улучшает работу иммунной системы и обладает противоопухолевыми свойствами. |
| Отвар из корня лопуха | Две столовые ложки измельченного корня лопуха залейте 3 стаканами воды, прокипятите и процедите. | Принимать по 50-60 мл трижды в день за полчаса до еды. Курс — 1 менструальный цикл. | Снижает отечность и болевые ощущения в молочных железах, обладает противоопухолевым действием. |
| На заметкуКомпрессы из капустных листьев или измельченной свеклы на область молочных желез не рекомендуется использовать без консультации с врачом и до получения результатов всех необходимых исследований. При наличии злокачественной опухоли такой метод может ускорить деление раковых клеток. |
Профилактика мастопатии
Что нужно делать?
Соблюдение здорового образа жизни и правильное питание
В рационе должны быть продукты, богатые витаминами и микроэлементами, а также достаточное количество йода. Важно вести активный образ жизни, заниматься физической активностью и уделять внимание полноценному сну (не менее 7 часов в сутки). Это укрепляет иммунную систему, защищающую от заболеваний.
Регулярная половая жизнь
Интимная близость способствует оргазму, что улучшает кровообращение в области таза и нормализует работу яичников. Семенная жидкость содержит вещества, положительно влияющие на их функционирование.
Избегать сильных эмоций
Стресс может спровоцировать мастопатию. Здоровый сон, вкусная еда, удовлетворение в интимной жизни и положительные эмоции способствуют выработке дофамина, что снижает уровень пролактина в гипофизе.
Регулярное самообследование молочных желез
Женщинам в менструальном цикле рекомендуется проводить самообследование молочных желез ежемесячно с 5-6 по 9-12 день цикла (оптимально — на 5-7 день), когда молочные железы расслаблены. В период менопаузы самообследование следует проводить в один и тот же календарный день.
Этапы самообследования
Правильный выбор бюстгальтера
Бюстгальтер должен быть по размеру, мягким, не давить и не натирать, чтобы избежать травм молочных желез.
Проходить ежегодный медицинский осмотр (онкоосмотр)
Осмотр включает в себя:
- Проверку кожи и видимых слизистых оболочек
- Осмотр и пальпацию молочных желез, щитовидной железы и лимфатических узлов (подмышечных, шейных, паховых)
- Гинекологический осмотр и пальцевое исследование прямой кишки
- Анализ мазка на флору из влагалища и цитологию (для выявления раковых или предраковых клеток) из канала шейки матки
Поддерживать грудное вскармливание
Грудное вскармливание улучшает работу молочных желез и может положительно влиять на мастопатию, способствуя выздоровлению. Наибольшая польза наблюдается при длительности от одного до двух лет (минимум 6 месяцев).
Чего нужно избегать?
- Травмы молочных желез.
- Контакт с пестицидами и химическими веществами в продуктах питания увеличивает выработку ароматазы, что повышает чувствительность рецепторов молочной железы к эстрогенам.
- Длительное пребывание на солнце в часы с 11:00 до 16:00 может привести к мастопатии и раковым опухолям. Кратковременные солнечные ванны утром и вечером безопасны.
- Курение, чрезмерное употребление алкоголя и наркотиков (даже легких) нарушают обмен веществ и функционирование иммунной системы.
Вопрос-ответ
Каковы признаки и симптомы мастопатии?
Признаки и симптомы мастопатии могут включать болезненность и чувствительность в области груди, наличие уплотнений или узлов, изменения в форме или размере молочных желез, а также выделения из сосков. Часто симптомы усиливаются перед менструацией и могут сопровождаться ощущением тяжести в груди.
Чем эффективно лечат мастопатию?
Используется два метода лечения мастопатии – консервативный и оперативное вмешательство. Консервативный метод включает медикаментозную терапию гормональными средствами и витаминами, а хирургический метод предусматривает оперативное лечение путем удаления доброкачественных образований в молочной железе женщины.
Как болит грудь при фиброзно-кистозной мастопатии?
Первоначально кистозная мастопатия проявляется болевыми ощущениями в молочных железах, усиливающимися перед началом менструации. После нее боли уменьшаются или исчезают вовсе. Однако со временем сила боли увеличивается, как и время ее продолжения. При ощупывании чувствуются уплотнения, находящиеся в разных местах груди.
Советы
СОВЕТ №1
Регулярно проходите медицинские осмотры и маммографию. Это поможет выявить мастопатию на ранних стадиях и предотвратить развитие более серьезных заболеваний.
СОВЕТ №2
Обратите внимание на свое питание. Употребление продуктов, богатых витаминами и минералами, а также ограничение потребления кофеина и алкоголя может помочь снизить риск развития мастопатии.
СОВЕТ №3
Следите за своим эмоциональным состоянием. Стресс может усугубить симптомы мастопатии, поэтому важно находить время для релаксации и занятий, которые приносят вам радость.
СОВЕТ №4
При появлении любых необычных симптомов, таких как боль или изменения в форме груди, не откладывайте визит к врачу. Чем раньше будет поставлен диагноз, тем эффективнее будет лечение.















