Анатомия и физиология легкого
Лёгкие — парные органы дыхательной системы в грудной полости. Левое и правое лёгкое находятся в отдельных плевральных оболочках и разделены средостением. Они различаются по размерам и анатомическим особенностям. Лёгкие имеют форму усечённого конуса: верхушка направлена вверх, основание — вниз. Ткань лёгких эластична и растяжима, что важно для дыхательной функции. В каждом лёгком проходят бронхи, вены, артерии и лимфатические сосуды.
Чтобы понять накопление жидкости при отёке лёгких, необходимо знать их строение. Каркас лёгких формируется с главных бронхов, которые входят в каждое лёгкое и делятся на три долевых бронха для правого и два для левого. Каждый долевой бронх делится на сегментарные бронхи, заканчивающиеся бронхиолами. Эти структуры образуют бронхиальное дерево, проводящее воздух. Бронхиолы впадают во вторичные легочные дольки, где делятся на бронхиолы второго и третьего порядка. Каждая вторичная легочная долька содержит около 20 бронхиол, которые делятся на дыхательные бронхиолы, впадающие в дыхательные ходы и заканчивающиеся альвеолами. В каждом лёгком примерно 350 миллионов альвеол, окружённых капиллярами. Эти структуры участвуют в газообмене, и при патологиях одной из них нарушается обмен газами.
- Механизм внешнего дыхания и газообмен в лёгких
Во время вдоха, осуществляемого дыхательными мышцами (диафрагмой, межрёберными мышцами и другими), воздух из атмосферы попадает в дыхательные пути. По мере продвижения через носовую или ротовую полость, гортань, трахею, главные бронхи и бронхиолы воздух очищается и согревается. Когда воздух (кислород) достигает альвеол, он проходит через их стенки и базальную мембрану, проникая в капилляры. Кислород связывается с эритроцитами и транспортируется к тканям. Взамен углекислый газ из тканей поступает в альвеолы. Таким образом, клетки организма получают необходимый кислород.
- Кровообращение лёгких
Для газообмена к лёгким поступает артериальная и венозная кровь. Венозная кровь достигает лёгких через ветви легочной артерии, выходящей из правого желудочка сердца. По мере деления бронхов артерии также делятся на более мелкие сосуды — капилляры. Капилляры, образующиеся из легочных артерий, участвуют в отдаче углекислого газа лёгким, а через венулы, формирующиеся из капилляров, поступает кислород из альвеол. По венулам и венам течёт артериальная кровь, обогащённая кислородом. При выходе из лёгких множество вен сливаются в четыре вены, открывающиеся в левое предсердие. Этот путь крови называется малым кругом кровообращения, в то время как большой круг отвечает за перенос артериальной крови к тканям.
Отек легкого представляет собой серьезное состояние, требующее немедленного медицинского вмешательства. Врачи отмечают, что основными симптомами являются одышка, кашель с пенистой мокротой, чувство удушья и цианоз. Механизм развития отека связан с нарушением проницаемости сосудов легких, что приводит к накоплению жидкости в альвеолах. Причинами могут быть сердечная недостаточность, пневмония, травмы грудной клетки и высокогорная болезнь. Для диагностики используются рентгенография, компьютерная томография и анализы крови. Лечение включает кислородотерапию, диуретики и, в некоторых случаях, интубацию. Врачи подчеркивают важность своевременной диагностики и адекватного лечения для предотвращения серьезных осложнений.

Механизмы развития отека легкого
Отек легких возникает по трем основным механизмам:
- Повышение гидростатического давления (избыточный объем крови). При резком увеличении давления в капиллярах малого круга кровообращения нарушается проницаемость стенок капилляров, что приводит к выходу жидкости в интерстициальную ткань легких. Лимфатическая система не справляется, и альвеолы заполняются жидкостью, что вызывает гипоксию, посинение тканей и симптомы удушья.
- Снижение онкотического давления (низкий уровень белка в крови). Разница между онкотическим давлением крови и межклеточной жидкостью приводит к выходу жидкости из сосудов в интерстициальное пространство, вызывая отек легких.
- Прямое повреждение альвеолокапиллярной мембраны. Различные факторы могут повредить мембрану, что приводит к выходу жидкости в интерстициальное пространство.
Причины отека легкого
- Декомпенсированные заболевания сердца, такие как недостаточность левых отделов и застой в малом круге кровообращения (например, пороки митрального клапана, инфаркт миокарда). При тяжелых пороках повышается давление в капиллярах, что может привести к отеку легких. Эмфизема легких и бронхиальная астма также могут быть причинами застоя.
- Тромбоэмболия легочной артерии. У пациентов с предрасположенностью к образованию тромбов может образоваться тромб, закупоривающий легочную артерию и повышающий давление в ней и капиллярах.
- Токсины и заболевания, сопровождающиеся их выделением, могут нарушить целостность альвеолокапиллярной мембраны. К ним относятся передозировка лекарствами (например, Апрессин, Фентанил), токсическое действие эндотоксинов при сепсисе, острые заболевания легких (пневмония), вдыхание кокаина и героина, радиационные поражения легких.
- Заболевания, сопровождающиеся снижением уровня белка в крови (цирроз печени, нефротический синдром и другие) могут привести к отеку легких.
- Травмы грудной клетки, синдром длительного сдавления, плевриты и пневмоторакс.
- Неконтролируемая внутривенная инфузия растворов без форсированного диуреза может привести к повышению гидростатического давления и отеку легких.
Симптомы отека легкого
Симптомы могут возникнуть внезапно, чаще всего ночью, и начинаются с:
- Приступов удушья, усиливающегося в положении лежа.
- Выраженной одышки даже в покое.
- Давящей боли в грудной клетке.
- Учащения дыхания (поверхностное, слышимое на расстоянии).
- Учащенного сердцебиения.
- Кашля, сначала сухого, затем с пенистой мокротой розового цвета.
- Синюшности кожи лица, которая может распространиться на другие участки тела.
- Холодного липкого пота и бледности кожи.
- Набухания вен на шее.
- Возможного повышения артериального давления.
- Спутанности сознания, вплоть до потери сознания.
- Слабого, нитевидного пульса.
Диагностика причин отека легкого
Важно собрать анамнез для выяснения возможных причин отека (например, сердечная или почечная недостаточность). Если пациент в спутанном состоянии, необходимо оценить клинические проявления для определения причины отека. План обследования подбирается индивидуально.
- Перкуссия грудной клетки может показать притупление над легкими.
- Аускультация легких может выявить жесткое дыхание и влажные хрипы.
- Измерение пульса показывает частый, нитевидный пульс.
- Измерение артериального давления часто показывает повышение выше 140 мм рт. ст.
Лабораторные методы диагностики
- Определение концентрации газов в артериальной крови: парциальное давление углекислого газа 35 мм рт. ст., кислорода 60 мм рт. ст.
- Биохимический анализ крови помогает дифференцировать причины отека (например, инфаркт миокарда или гипопротеинемия). При инфаркте миокарда уровень тропонинов повышается, а при гипопротеинемии общий белок и альбумины снижаются.
- Коагулограмма может изменяться при отеке, вызванном тромбоэмболией легочной артерии.
Инструментальные методы диагностики
- Пульсоксиметрия показывает низкую концентрацию кислорода (ниже 90%).
- Измерение центрального венозного давления может показать повышение (12 мм рт. ст.) при отеке легких.
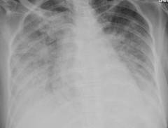
- Рентгенография грудной клетки выявляет признаки жидкости в легких.
- Электрокардиография (ЭКГ) может показать изменения, связанные с сердечной патологией.
- Эхокардиография (ЭхоКГ) используется для определения сердечной патологии.
- Катетеризация легочной артерии выполняется в сложных случаях для оценки давления в легочной артерии.
Лечение отека легкого
Отек легких является неотложным состоянием, и при первых симптомах необходимо вызвать скорую помощь. Лечение проводится в отделении интенсивной терапии.
Во время транспортировки пациенту необходимо:
- Придать полусидячее положение.
- Провести оксигенотерапию (маска с кислородом или интубация).
- Наложить венозные жгуты на верхнюю треть бедер (не более 20 минут).
- Дать таблетку нитроглицерина под язык.
- Ввести наркотические анальгетики (например, морфин).
- Применить мочегонные препараты (например, Лазикс).
Лечение в отделении интенсивной терапии включает постоянный мониторинг гемодинамики и дыхания. Лечение назначается индивидуально. Применяются следующие группы препаратов:
- Ингаляция кислорода с этиловым спиртом для уменьшения пены в легких.
- Внутривенное введение нитроглицерина для снижения давления.
- Наркотические анальгетики (морфин).
- Препараты для усиления сердечной деятельности (добутамин, дофамин).
- Гепарин при тромбоэмболии легочной артерии.
- Мочегонные препараты (фуросемид).
- Глюкокортикоиды (преднизолон) при бронхоспазме.
- Инфузия свежезамороженной плазмы при недостатке белка.
- Антибиотики при инфекционных процессах.
Профилактика отека легких
Профилактика включает раннее выявление и лечение заболеваний, приводящих к отеку легких. Компенсация сердечных заболеваний (ишемическая болезнь, гипертония) помогает предотвратить кардиогенный отек. Пациенты с хронической сердечной недостаточностью должны соблюдать диету с ограничением соли и жидкости, избегать физической нагрузки. Хронические легочные заболевания (эмфизема, бронхиальная астма) требуют регулярного наблюдения и лечения.
Последствия отека легких
Отек легких может привести к поражению внутренних органов из-за ишемии, что может вызвать острую сердечную недостаточность и даже смерть. Возможны заболевания дыхательной системы, такие как:
- Ателектаз легких.
- Пневмосклероз.
- Застойная пневмония.
- Эмфизема.
Ателектаз легких — состояние, при котором в альвеолах нет воздуха, что приводит к их спадению.
Пневмосклероз — замещение функциональной легочной ткани соединительной, что нарушает газообмен.
Застойная пневмония — вторичное воспаление легочной ткани из-за нарушения кровообращения.
Эмфизема — патологическое расширение бронхиол и поражение альвеол, нарушающее газообмен.
Существует вероятность рецидива отека легких, если не устранить его причину.
Сроки лечения отека легких
Длительность лечения зависит от типа отека (кардиогенный или некардиогенный), сопутствующих заболеваний и состояния пациента. Обычно лечение занимает от 1 до 4 недель. При отсутствии осложнений сроки могут составлять 5-10 дней. Токсический отек легких требует более длительного наблюдения.
Формы и периоды токсического отека легкого
Выделяют две формы: развитую и абортивную. Развитая форма имеет 5 периодов, абортивная — 4. Каждый период характеризуется определенными проявлениями.
Стадия рефлекторных нарушений — раздражение слизистых, кашель, одышка.
Скрытый период — временное улучшение состояния, но возможны признаки надвигающегося отека.
Период нарастания отека — проявления усиливаются, температура повышается.
Период завершенного отека — выраженные нарушения, цианоз, шумное дыхание.
Период обратного развития — при адекватной помощи симптомы уменьшаются, нормализуется состояние.
Существует также «немой» токсический отек, который можно обнаружить только рентгенологически.
Аллергический отек легких
Отек может возникать из-за аллергических реакций, чаще всего при укусах насекомых или введении лекарств. Симптомы развиваются быстро: жжение, зуд, дискомфорт в груди, одышка, цианоз. Необходимо быстро удалить аллерген и вызвать скорую помощь.
Осложнения отека легких
Отек легких может привести к серьезным осложнениям, таким как:
- Молниеносная форма отека.
- Угнетение дыхания.
- Асистолия.
- Закупорка дыхательных путей.
- Нестабильная гемодинамика.
- Кардиогенный шок.
Рецидив отека легких
Если не устранить причину, возможен рецидив. Наиболее часто это происходит при недостаточности левого желудочка сердца. Повторный отек может возникнуть в течение первых двух-трех недель после первого.
Прогноз при отеке легких
Прогноз зависит от типа отека, тяжести состояния и скорости оказания помощи. Наиболее неблагоприятный прогноз у токсического отека легких, который может привести к серьезным осложнениям и высокой смертности.
Лечение отека легких народными средствами
Отек легких требует профессионального лечения, но народные средства могут использоваться для облегчения симптомов после стабилизации состояния. Например, отвар семян льна, настойка корней любистока и другие средства могут помочь при восстановлении.
Виды отека легких
Существует два основных вида: кардиогенный и некардиогенный. Кардиогенный возникает на фоне заболеваний сердца, некардиогенный — из-за других причин, таких как аллергия или токсические воздействия.
Особенности отека легких у детей
У детей отек легких чаще возникает на фоне аллергических реакций или токсических веществ. Симптомы могут проявляться в любое время, но чаще ночью. Важно быстро распознать и оказать помощь.
Неотложная помощь при отеке легких
При отеке легких необходимо немедленно вызвать скорую помощь и выполнить следующие действия: усадить пациента, обеспечить доступ свежего воздуха, использовать жгуты, при необходимости дать нитроглицерин и следить за состоянием.
| Симптом | Механизм развития | Причина | Диагностика | Лечение |
|---|---|---|---|---|
| Одышка (часто внезапная) | Застой жидкости в интерстициальном пространстве и альвеолах легких, снижение газообмена | Сердечная недостаточность (чаще всего), сепсис, острая респираторная недостаточность, передозировка наркотиков, травма, тромбоэмболия легочной артерии, почечная недостаточность, трансфузионный синдром | Анамнез, физикальное обследование (хрипы, влажные хрипы), рентгенография грудной клетки (инфильтраты, увеличение сердечной тени), пульсоксиметрия (снижение SaO2), анализ крови (повышение лейкоцитов, электролитов), газовый состав артериальной крови (гипоксемия, гиперкапния), ЭКГ, эхокардиография | Кислородная терапия, диуретики (фуросемид), инотропные препараты (добутамин, допамин) при сердечной недостаточности, лечение основной причины (антибиотики при сепсисе, тромболитики при ТЭЛА), ИВЛ (в тяжелых случаях), поддержка жизненно важных функций |
| Кашель (иногда с пенистой мокротой, розового цвета) | Накопление жидкости в альвеолах раздражает рецепторы кашля | См. Причины | См. Диагностика | См. Лечение |
| Цианоз (синюшность кожи и слизистых) | Гипоксемия (снижение уровня кислорода в крови) | См. Причины | См. Диагностика | См. Лечение |
| Тахикардия (учащенное сердцебиение) | Компенсаторная реакция на гипоксемию | См. Причины | См. Диагностика | См. Лечение |
| Чувство нехватки воздуха | Снижение легочной вентиляции и диффузии газов | См. Причины | См. Диагностика | См. Лечение |
| Учащенное дыхание (тахипноэ) | Компенсаторная реакция на гипоксемию | См. Причины | См. Диагностика | См. Лечение |
Отек легкого — это серьезное состояние, при котором жидкость накапливается в легочных альвеолах, что затрудняет дыхание. Симптомы могут варьироваться от одышки и кашля до хрипов и чувства удушья. Механизм развития часто связан с сердечной недостаточностью, когда сердце не справляется с нагрузкой, или с повреждением легочной ткани. Причины могут быть различными: от пневмонии и травм до аллергических реакций и высокогорной болезни. Диагностика включает рентгенографию грудной клетки, ультразвук и анализы крови. Лечение зависит от причины отека и может включать применение диуретиков, кислородотерапию и, в некоторых случаях, интубацию. Важно своевременно обращаться за медицинской помощью, так как отек легкого может привести к серьезным осложнениям.

Причины отека легкого
- Декомпенсированные сердечные заболевания проявляются недостаточностью левых отделов сердца и застоем в малом круге кровообращения (например, пороки митрального клапана или инфаркт миокарда). Выраженные пороки без своевременной помощи приводят к повышению давления в малом круге (в капиллярах), что может вызвать отек легких из-за увеличенного гидростатического давления. Застой в малом круге также может быть вызван эмфиземой легких и бронхиальной астмой.
- Тромбоэмболия легочной артерии или её ветвей. У пациентов с предрасположенностью к тромбообразованию (например, при гипертонии или варикозе) в неблагоприятных условиях может образоваться тромб или оторваться существующий. Тромб может попасть в легочную артерию, где его диаметр совпадает с диаметром сосуда, что приводит к закупорке, повышению давления в легочной артерии выше 25 мм рт. ст. и увеличению давления в капиллярах, что способствует отеку легких.
- Токсины (эндогенные и экзогенные) и заболевания, сопровождающиеся их выделением, могут нарушить целостность альвеолокапиллярной мембраны. К таким состояниям относятся: передозировка определенными лекарствами (например, Апрессином, Миелосаном, Фентанилом), токсическое воздействие эндотоксинов при сепсисе, острые заболевания легких (пневмонии), вдыхание и передозировка кокаином, героином, радиационные поражения легких. Повреждение мембраны увеличивает её проницаемость, что приводит к выходу жидкости в внесосудистое пространство и отеку легких.
- Заболевания, сопровождающиеся снижением уровня белка в крови (низкое онкотическое давление): заболевания печени (например, цирроз), заболевания почек с нефротическим синдромом и другие. Эти состояния снижают онкотическое давление крови, что может способствовать развитию отека легких.
- Травмы грудной клетки, синдром длительного сжатия (Краш-синдром), плевриты (воспаление плевры), пневмоторакс (наличие воздуха в плевральной полости).
- Неконтролируемая внутривенная инфузия растворов без форсированного диуреза (например, Фуросемидом) может повысить гидростатическое давление крови и вызвать отек легких.
Симптомы отека легкого
Симптомы отека легких могут возникнуть внезапно, чаще всего ночью из-за горизонтального положения пациента. Основные признаки:
- Сильное удушье, усиливающееся в положении лежа, заставляющее пациента сидеть или полусидеть из-за нехватки кислорода.
- Ярко выраженная одышка, даже в покое, не связанная с физической активностью.
- Давящая боль в грудной клетке из-за недостатка кислорода.
- Учащенное, поверхностное и шумное дыхание, слышимое на расстоянии, вызванное накоплением углекислого газа.
- Учащенное сердцебиение из-за дефицита кислорода.
- Сначала покашливание, затем кашель с хрипами и выделением пенистой розоватой мокроты.
- Серовато-синюшный оттенок кожи лица, который может распространиться на другие участки тела из-за накопления углекислого газа.
- Холодный, липкий пот и бледность кожи из-за перераспределения крови.
- Набухание вен на шее из-за застоя в малом круге кровообращения.
- Возможное повышение артериального давления.
- Спутанное сознание, при отсутствии помощи возможно его полное отсутствие.
- Слабый, нитевидный пульс.

Диагностика причин отека легкого
Перед началом исследований важно собрать анамнез для выявления причин отека легких, таких как сердечная или почечная недостаточность.
Если пациент в состоянии спутанного сознания и общение невозможно, следует оценить клинические проявления для определения причин отека и устранения его последствий. План обследований разрабатывается индивидуально, основываясь на клинических данных и предполагаемой причине отека.
- Перкуссия грудной клетки: выявляет притупление звука над легкими, что указывает на патологический процесс и уплотнение легочной ткани.
- Аускультация легких: определяет жесткое дыхание и влажные, крупнопузырчатые хрипы в нижних отделах легких.
- Измерение пульса: при отеке легких пульс становится частым, нитевидным и слабо наполненным.
- Измерение артериального давления: чаще всего наблюдается повышение давления выше 140 мм рт. ст.
Лабораторные методы диагностики
- Концентрация газов в артериальной крови: парциальное давление углекислого газа — 35 мм рт. ст., кислорода — 60 мм рт. ст.
- Биохимический анализ крови помогает выявить причины отёка лёгких, такие как инфаркт миокарда или гипопротеинемия. При инфаркте миокарда уровень тропонинов повышается до 1 нг/мл, а МВ-фракции креатинфосфокиназы — до 10% от общего количества.
Если отёк лёгких вызван гипопротеинемией, уровень общего белка будет ниже 60 г/л, а альбуминов — ниже 35 г/л. Увеличение мочевины выше 7,5 ммоль/л и креатинина выше 115 мкмоль/л может указывать на почечную природу отёка лёгких.
- Коагулограмма, отражающая свёртывающую способность крови, изменяется при отёке лёгких, вызванном тромбоэмболией лёгочной артерии. В этом случае уровень фибриногена повышается до 4 г/л, а протромбина — до 140%.
Инструментальные методы диагностики
- Пульсоксиметрия определяет уровень кислорода в гемоглобине и выявляет его недостаток при значении ниже 90%.
- Центральное венозное давление измеряется с помощью флеботонометра Вальдмана, подключаемого к подключичной вене. При отёке лёгких давление повышается до 12 мм рт. ст.
- Рентгенография грудной клетки выявляет наличие жидкости в легочной паренхиме. На снимках видно однородное затемнение легочных полей, которое может быть симметричным или асимметричным. Например, при сердечной недостаточности отёк двусторонний, а при односторонней пневмонии — односторонний.
- Электрокардиография (ЭКГ) выявляет изменения в работе сердца, если отёк лёгких связан с сердечными заболеваниями. На ЭКГ могут быть признаки инфаркта миокарда, ишемии, аритмии и гипертрофии стенок левых отделов сердца.
- Эхокардиография (Эхо КГ, УЗИ сердца) применяется для более точной диагностики сердечной патологии, если на ЭКГ обнаружены изменения. На Эхо КГ могут быть выявлены сниженная фракция выброса, утолщение стенок сердечных камер и клапанные заболевания.
- Катетеризация легочной артерии — сложная процедура, не требующаяся всем пациентам. Она часто используется в кардиоанестезиологии для пациентов с сердечными заболеваниями и отёком лёгких, когда отсутствуют данные о влиянии сердечного выброса на давление в легочной артерии.
Лечение отека легкого
Отёк лёгких — экстренное состояние, требующее немедленного вызова скорой помощи. Лечение проводится в отделении интенсивной терапии под контролем врача.
Пациент с отёком лёгких нуждается в срочной помощи, которая начинается во время транспортировки:
- Полусидячее положение;
- Оксигенотерапия: кислородная маска или интубация с искусственной вентиляцией лёгких;
- Наложение венозных жгутов на верхнюю треть бедра для снижения притока крови к правым отделам сердца (не более 20 минут, жгуты снимаются постепенно);
- Подъязычное применение Нитроглицерина;
- Внутривенное введение наркотических анальгетиков (Морфин 1% 1 мл) для облегчения боли;
- Мочегонные средства: Лазикс 100 мг внутривенно.
В отделении интенсивной терапии контролируются гемодинамические показатели (пульс, давление) и дыхательная функция. Лечащий врач назначает терапию индивидуально, основываясь на клинической картине и причинах отёка. Большинство препаратов вводится через катетер в подключичную вену.
Классификация препаратов при отёке лёгких:
- Ингаляция кислорода с этиловым спиртом для устранения пены в лёгких;
- Внутривенное капельное введение Нитроглицерина (1 ампула, разведённая с физиологическим раствором), скорость капель регулируется в зависимости от артериального давления;
- Наркотические анальгетики: Морфин — 10 мг внутривенно, дозировка дробная;
- При пониженном артериальном давлении вводятся Добутамин или Дофамин для увеличения силы сердечных сокращений;
- При тромбоэмболии лёгочной артерии — Гепарин 5000 Ед внутривенно, затем 2000-5000 Ед в час, разведённый в 10 мл физиологического раствора;
- Мочегонные препараты: Фуросемид 40 мг, при необходимости доза может быть повторена;
- При брадикардии — Атропин до 1 мг и Эуфиллин 2,4% — 10 мл внутривенно;
- Глюкокортикоиды: Преднизолон 60-90 мг внутривенно, особенно при бронхоспазме;
- При недостатке белка — инфузия свежезамороженной плазмы;
- При инфекционных процессах (сепсис, пневмония) — антибиотики широкого спектра (Ципрофлоксацин, Имипенем).
Профилактика отёка лёгких
Профилактика отека легких включает раннее выявление заболеваний, способствующих его развитию, и их лечение. Компенсация сердечных заболеваний, таких как ишемическая болезнь, гипертония, острые аритмии и пороки сердца, критически важна для предотвращения сердечного отека легких, который является наиболее распространенной причиной этой патологии.
Пациентам с хронической сердечной недостаточностью рекомендуется соблюдать специальную диету: ограничить потребление соли и жидкости, исключить жирную пищу и минимизировать физическую активность, чтобы не усугублять одышку. Хронические заболевания легких, такие как эмфизема и бронхиальная астма, занимают второе место среди причин отека легких. Для их контроля необходимо: регулярно посещать врача, проходить поддерживающую терапию амбулаторно и дважды в год лечиться в стационаре. Важно также избегать факторов, ухудшающих состояние, таких как острые респираторные инфекции, контакт с аллергенами и курение.
Своевременное и эффективное лечение острых легочных заболеваний, включая пневмонию и другие состояния, способствующие отеку легких, также имеет большое значение.
Какие могут быть последствия от отека легких?
Последствия отека легких разнообразны и могут поражать внутренние органы. Это связано с ишемией, возникающей при недостаточной насосной функции левого желудочка (кардиогенный отек легких), что снижает приток артериальной крови. Наиболее выраженные изменения наблюдаются в тканях, требующих много кислорода: головном мозге, сердце, легких, надпочечниках, почках и печени. Патологии в этих органах могут усугубить острую сердечную недостаточность, что увеличивает риск летального исхода.
После отека легких часто развиваются заболевания дыхательной системы, такие как:
- ателектаз легких;
- пневмосклероз;
- застойная пневмония;
- эмфизема.
Ателектаз легких — это состояние, при котором в альвеолах одной или нескольких долей легкого отсутствует воздух, замененный жидкостью. Это приводит к спадению легкого и недостатку кислорода в организме. Значительный ателектаз может смещать органы средостения (сердце, крупные сосуды и нервы) в пораженную сторону, ухудшая кровообращение и функцию тканей.
Пневмосклероз — процесс замещения функциональной легочной ткани соединительной (рубцовой) тканью, возникающий из-за воспалительных и дистрофических процессов, вызванных отеком легких. Он снижает эластичность стенок альвеол, нарушая газообмен. При ограниченном пневмосклерозе функция газообмена обычно не сильно страдает, но при диффузном пневмосклерозе, затрагивающем большую часть легочной ткани, эластичность легких значительно снижается.
Застойная пневмония — вторичное воспаление легочной ткани, возникающее на фоне гемодинамических нарушений в малом круге кровообращения. Она возникает из-за переполнения легочных вен кровью при недостаточной функции левого желудочка. Симптомы включают кашель, одышку, выделение слизистой или гнойной мокроты, повышение температуры до 37–37,5ºС, слабость и иногда кровохарканье.
Эмфизема — патологическое расширение дистальных бронхиол с повреждением стенок альвеол. Грудная клетка принимает бочкообразную форму, наблюдается выбухание надключичных областей, а при перкуссии слышен коробочный звук. Эмфизема сопровождается одышкой, которая обычно является первым симптомом, и может нарушать газовый состав крови.
Существует вероятность рецидива отека легких. Если не устранить причину (например, сердечную недостаточность или пороки сердца), риск повторного отека остается высоким.
Каковы сроки лечения отека легких?
Продолжительность лечения отека легких зависит от его типа (кардиогенный или некардиогенный), наличия сопутствующих заболеваний, состояния здоровья и возраста пациента. Обычно терапия занимает от 1 до 4 недель.
При отсутствии осложнений (пневмонии, инфекций или ателектаза) и своевременной медицинской помощи лечение обычно длится 5-10 дней.
Наиболее серьезной формой является токсический отек, возникающий из-за отравления лекарствами, ядами или токсичными газами. Эта форма часто приводит к осложнениям, таким как пневмония, эмфизема (увеличение воздушности легочной ткани) или пневмосклероз (замещение легочной ткани соединительной). В редких случаях может обостриться латентный туберкулез или другие хронические инфекции. Также при токсическом отеке возможен рецидив на фоне острой сердечной недостаточности, чаще всего в конце второй или начале третьей недели. Поэтому пациенты с токсическим отеком должны находиться под наблюдением врача не менее трех недель.
Какие бывают формы и периоды токсического отека легкого?
Существуют две формы токсического отека легких: развитая и абортивная. Развитая форма включает пять периодов, а абортивная – четыре, так как отсутствует стадия завершенного отека. Каждый период имеет свои проявления и продолжительность.
Периоды отека легких:
- стадия рефлекторных нарушений;
- скрытый период затихания рефлекторных нарушений;
- период нарастания отека легких;
- период завершенного отека легких;
- период обратного развития отека.
Стадия рефлекторных нарушений проявляется раздражением слизистых дыхательных путей. Симптомы включают кашель, одышку и слезотечение. В некоторых случаях возможна остановка дыхания и сердечной деятельности из-за угнетения дыхательного и сердечно-сосудистого центров.
Скрытый период затихания рефлекторных нарушений характеризуется уменьшением симптомов и временным улучшением состояния, длится от 6 до 24 часов. При обследовании можно выявить брадикардию и эмфизему легких, что указывает на возможный отек.
Период нарастания отека легких продолжается 22–24 часа. Проявления начинают появляться в первые 5–6 часов и постепенно усиливаются. Характерно повышение температуры до 37ºС и увеличение нейтрофилов в крови. Возникает мучительный и приступообразный кашель.
Период завершенного отека легких сопровождается выраженными нарушениями. Кожа и слизистые становятся синюшными из-за высокого уровня углекислого газа (цианоз). Появляется шумное, клокочущее дыхание с частотой до 50–60 вдохов в минуту, часто наблюдается пенистая мокрота с примесью крови. При коллапсе конечности становятся холодными, частота сердечных сокращений увеличивается, а пульс становится поверхностным и нитевидным. Также может наблюдаться гемоконцентрация. Неправильная транспортировка пациента в этот период может усугубить состояние; больной должен находиться в полусидячем положении.
Период обратного развития отека легких наступает при быстрой и квалифицированной помощи. Постепенно уменьшаются кашель и одышка, восстанавливается нормальный цвет кожи, исчезают хрипы и пенистая мокрота. На рентгеновских снимках сначала исчезают крупные, затем мелкие очаги поражения легочной ткани. Нормализуется состав периферической крови. Длительность выздоровления варьируется в зависимости от сопутствующих заболеваний и возможных осложнений.
Также существует «немой» токсический отек легких, который выявляется только рентгенологически, так как клинические проявления слабо выражены или отсутствуют.
Что может привести к аллергическому отеку легких и как он проявляется?
Отек легких может развиваться не только из-за заболеваний сердечно-сосудистой системы или печени, но и на фоне аллергических реакций.
Аллергический отек легких возникает при воздействии аллергенов, чаще всего после укусов пчел или ос, особенно у людей с повышенной чувствительностью к их ядам. В некоторых случаях состояние может быть вызвано медикаментами или переливанием крови.
Симптомы аллергического отека легких развиваются быстро — в течение нескольких секунд или минут после контакта с аллергеном. Сначала появляется жжение в языке, затем интенсивный зуд кожи головы, лица и конечностей. Позже добавляются дискомфорт в грудной клетке, боли в области сердца, одышка и затрудненное дыхание. Хрипы, изначально слышимые в нижних долях легких, могут распространиться по всей поверхности. Кожа и слизистые оболочки могут приобретать синюшный оттенок из-за накопления углекислого газа (цианоз). Также возможны тошнота, рвота и боли в животе. В редких случаях наблюдается недержание мочи или кала. При длительной гипоксии (кислородном голодании) головного мозга, вызванной недостаточностью левого желудочка сердца, могут возникать судороги, напоминающие эпилептические.
При аллергическом отеке легких необходимо срочно удалить жало насекомого (жало извлекается скользящим движением ножа или ногтя, выше места укуса накладывается жгут на 2 минуты с перерывами по 10 минут); прекратить переливание крови или прием медикаментов, вызвавших аллергию. Пациента следует усадить в полусидячее положение и немедленно вызвать скорую помощь.
Каковы могут быть осложнения отека легких?
Отек легких — серьезное состояние, требующее немедленного вмешательства. Оно может привести к опасным последствиям.
Осложнения отека легких:
- молниеносный отек легких;
- угнетение дыхательной функции;
- асистолия;
- блокировка дыхательных путей;
- нестабильная гемодинамика;
- кардиогенный шок.
Молниеносный отек легких развивается при декомпенсации заболеваний сердечно-сосудистой системы, печени или почек. Симптомы появляются быстро, зачастую в течение нескольких минут, и шансы на спасение пациента минимальны.
Угнетение дыхательной функции возникает при токсическом отеке легких, вызванном отравлением ядами, газами или медикаментами. Чаще всего это происходит после приема больших доз наркотических анальгетиков, таких как морфин, или барбитуратов, например, фенобарбитала. Это осложнение связано с угнетающим воздействием препаратов на дыхательный центр в продолговатом мозге.
Асистолия — полное прекращение сердечной деятельности, возникающее из-за серьезных заболеваний сердечно-сосудистой системы, таких как инфаркт миокарда или тромбоэмболия легочной артерии, которые могут привести как к отеку легких, так и к асистолии.
Закупорка дыхательных путей происходит из-за значительного количества пены, образующейся из жидкости, скапливающейся в альвеолах. Из 100 миллилитров транссудата может образоваться от 1 до 1,5 литра пены, что затрудняет газообмен.
Нестабильная гемодинамика проявляется колебаниями артериального давления — как повышенного, так и пониженного. Резкие изменения давления негативно сказываются на стенках сосудов и затрудняют терапевтические мероприятия.
Кардиогенный шок характеризуется недостаточностью левого желудочка сердца, что снижает кровоснабжение тканей и органов. Артериальное давление падает ниже 90 мм рт. ст., кожные покровы становятся синюшными из-за накопления углекислого газа, наблюдается снижение суточного диуреза. Недостаток артериальной крови в головном мозге может вызывать спутанность сознания, вплоть до сопора. Кардиогенный шок в большинстве случаев приводит к летальному исходу (80-90%), быстро нарушая работу центральной нервной системы и других систем организма.
Бывает ли повторный отек легких?
Если не устранить причину отека легких, риск его повторного возникновения остается высоким.
Наиболее частая причина рецидива — недостаточность левого желудочка сердца. Застой в легочных венах повышает давление в капиллярах, что приводит к выходу жидкости из крови в межклеточное пространство легочной ткани. При дальнейшем увеличении давления нарушается целостность альвеол, и жидкость проникает в них и в дыхательные пути, вызывая отек легких. Без своевременного лечения левожелудочковой недостаточности риск кардиогенного отека значительно возрастает.
Также возможен вторичный отек легких у пациентов с хронической сердечной недостаточностью, чаще всего в первые две-три недели после первого эпизода. В таких случаях важно не только нормализовать давление в легочных сосудах и уменьшить пенообразование, но и контролировать функцию левого желудочка в течение нескольких недель.
Рекомендации для предотвращения повторного отека легких:
- Полноценная терапия. Необходимо не только оказать медицинскую помощь, но и провести комплекс мероприятий для устранения состояния, приведшего к отеку. При кардиогенном отеке следует лечить ишемическую болезнь сердца, аритмии, гипертонию, кардиомиопатию и пороки сердца. Лечение некардиогенного отека должно основываться на терапии заболеваний, не связанных с сердечно-сосудистой системой, таких как цирроз печени, острое отравление, аллергические реакции или травмы грудной клетки.
- Ограничение физической активности. Избыточная нагрузка может усугубить одышку. Людям с предрасположенностью к отеку легких, включая заболевания сердечно-сосудистой системы, печени или почек, следует избегать умеренной и высокой физической активности.
- Соблюдение диеты. Сбалансированное питание с ограничением соли, жиров и жидкости снижает нагрузку на сердечно-сосудистую систему, почки и печень.
- Регулярное наблюдение у врача. Пациентам с заболеваниями сердечно-сосудистой, дыхательной систем или печени следует проходить обследование несколько раз в год. Это поможет выявить прогрессирующие состояния, которые могут привести к отеку легких, и своевременно назначить лечение.
Каков прогноз при отеке легких?
Прогноз состояния пациента при отеке легких зависит от типа, степени тяжести, наличия сопутствующих заболеваний и качества медицинской помощи.
Наиболее неблагоприятный прогноз наблюдается при токсическом отеке легких, вызванном передозировкой медикаментов, вдыханием ядовитых веществ или токсичных паров. Эта форма отека имеет высокую смертность из-за серьезных осложнений, таких как застойная пневмония, ателектаз и сепсис. В некоторых случаях токсический отек может развиваться молниеносно, приводя к смерти пациента за несколько минут, а также к внезапной остановке сердца или дыхания.
Состояния, ухудшающие прогноз при отеке легких:
- инфаркт миокарда;
- кардиогенный шок;
- расслаивающая аневризма аорты;
- асистолия;
- сепсис;
- цирроз печени;
- нестабильная гемодинамика.
Инфаркт миокарда приводит к омертвению сердечной мышцы и снижению насосной функции сердца, что вызывает застой крови в малом круге кровообращения и отек легких из-за повышения давления в сосудах. Наличие инфаркта миокарда и отека легких значительно ухудшает прогноз.
Кардиогенный шок — это острая недостаточность левого желудочка, проявляющаяся резким снижением насосной функции сердца и падением артериального давления ниже 90 мм рт. ст. Это состояние приводит к недостаточному кровоснабжению жизненно важных органов и может вызывать коллапс и цианоз кожи. Кардиогенный шок чаще всего возникает на фоне инфаркта миокарда и в 80-90% случаев заканчивается летальным исходом.
Расслаивающая аневризма аорты — крайне серьезное состояние, часто приводящее к летальному исходу из-за массивной кровопотери. Смертность превышает 90%, даже при адекватном лечении.
Асистолия — полное прекращение сердечной деятельности, чаще всего возникающее из-за инфаркта миокарда, тромбоэмболии легочной артерии или передозировки лекарств. Своевременная помощь в первые 5-6 минут может спасти жизнь.
Сепсис — тяжелое состояние, при котором в организме циркулируют патогенные микроорганизмы и их токсины. Он сопровождается снижением общей сопротивляемости организма, повышенной температурой, учащенным сердцебиением и дыханием. Отек легких, осложненный сепсисом, имеет крайне неблагоприятный прогноз.
Цирроз печени приводит к замене функциональной ткани соединительной, что снижает синтез белка и онкотическое давление. Это нарушает баланс между давлением в легких и плазме крови, вызывая отек легких. Цирроз может привести к печеночной недостаточности и увеличивает риск повторного отека.
Нестабильная гемодинамика проявляется резкими колебаниями артериального давления, что затрудняет лечение отека легких, так как для разных уровней давления требуются различные подходы.
Лечится ли отек легких при помощи народных средств?
Отек легких — это экстренное состояние, требующее немедленной медицинской помощи, иначе возможны серьезные последствия, включая летальный исход. Лечение должно проводиться квалифицированными специалистами в реанимации. Народные средства можно использовать только после стабилизации состояния пациента и минимизации риска осложнений. Они помогут уменьшить остаточные симптомы, такие как кашель и выделение мокроты, а также могут служить профилактикой отека легких.
В период восстановления можно применять следующие народные рецепты:
- Отвар из семян льна. Залить 4 чайные ложки семян льна литром воды и кипятить 5-7 минут. Убрать с огня и оставить в теплом месте на 4-5 часов. Принимать по полстакана 5-6 раз в день с интервалом 2-2,5 часа.
- Настойка корней любистока. Взять 40-50 граммов сушеных корней любистока и прокипятить в литре воды 10 минут. Настойку оставить в теплом месте на 30 минут. Принимать 4 раза в день, независимо от еды.
- Отвар из семян петрушки. Измельчить семена, взять 4 чайные ложки и залить стаканом кипятка, кипятить 20 минут. Остудить и процедить. Принимать по одной столовой ложке 4 раза в день после еды.
- Отвар из корней синюхи. Столовую ложку измельченных корней синюхи залить литром воды и держать на водяной бане 30 минут. Принимать по 50-70 миллилитров 3-4 раза в день после еды.
Важно помнить, что народные средства не заменяют медикаментозное лечение отека легких. Они не могут заменить современные лекарства и профессиональную помощь. Некоторые лекарственные растения могут взаимодействовать с медикаментами, вызывая побочные эффекты. Перед использованием народной медицины обязательно проконсультируйтесь с лечащим врачом.
Какие бывают виды отека легкого?
Существует два типа отека легких: кардиогенный и некардиогенный. Кардиогенный отек связан с заболеваниями сердечно-сосудистой системы, тогда как некардиогенный возникает по другим причинам.
Виды отека легких
| Критерии | Кардиогенный отек легких | Некардиогенный отек легких |
| Патологические состояния | * инфаркт миокарда; * стеноз митрального клапана; * кардиогенный шок; * мерцательная аритмия; * трепетание предсердий; * гипертонический криз. | * аллергические реакции; * цирроз печени; * почечная недостаточность; * травма грудной клетки; * рак легких; * вдыхание токсичных веществ; * попадание инородных тел; * бронхиальная астма; * тромбоэмболия; * нейрогенная вазоконстрикция; * хронические заболевания легких. |
Некардиогенный отек легких встречается реже, чем кардиогенный, наиболее частая причина которого — инфаркт миокарда.
Подтипы некардиогенного отека легких:
- токсический отек;
- аллергический отек;
- нейрогенный отек;
- раковый отек;
- травматический отек;
- шоковый отек;
- аспирационный отек;
- высотный отек.
Токсический отек легких возникает при вдыхании токсичных газов. Симптомы включают кашель, одышку и слезотечение. В зависимости от воздействия токсинов могут развиваться различные проявления, иногда приводящие к остановке дыхания или сердца.
Аллергический отек легких возникает у людей с высокой чувствительностью к аллергенам, чаще всего из-за укусов насекомых. В редких случаях реакция может возникнуть при переливании крови. Без устранения аллергена возможен анафилактический шок.
Нейрогенный отек легких редок и возникает из-за нарушения иннервации сосудов, что приводит к спазму вен и повышению давления в капиллярах. Это вызывает выход жидкости в легкие.
Раковый отек легких развивается при злокачественной опухоли. Лимфатическая система не может дренировать избыточную жидкость, что приводит к накоплению транссудата в альвеолах.
Травматический отек легких возникает при повреждении плевры, чаще всего при пневмотораксе. Повреждение капилляров приводит к попаданию жидкости в альвеолы.
Шоковый отек легких возникает при шоковом состоянии, когда функция левого желудочка снижается, что вызывает застой в малом круге кровообращения и выход жидкости в легкие.
Аспирационный отек легких возникает, когда содержимое желудка попадает в дыхательные пути, что увеличивает проницаемость капилляров и приводит к отеку.
Высотный отек легких возникает на высоте более 3,5–4 километров из-за повышения давления в легочных сосудах и увеличения проницаемости капилляров из-за кислородного голодания.
В чем особенности отека легких у детей?
Отек легких у детей, в отличие от взрослых, редко связан с сердечно-сосудистыми заболеваниями. Чаще он возникает из-за аллергических реакций (аллергический отек легких) или вдыхания токсичных веществ (токсический отек легких). Однако отек может развиваться и у детей с существующими пороками сердца (приобретенные пороки сердца), такими как недостаточность митрального клапана (возврат крови из левого желудочка в левое предсердие) и стеноз аортального клапана (сужение отверстия для крови из левого желудочка в аорту).
Отек легких может проявляться в любое время, но чаще всего ночью. Ребенок испытывает сильную нехватку воздуха, что вызывает тревогу и страх. Иногда дети принимают вынужденное положение, сидя на краю кровати с опущенными ногами (это снижает давление в сосудах малого круга кровообращения и уменьшает одышку). Другие симптомы отека легких у детей включают:
- одышка;
- кашель;
- выделение розовой и пенистой мокроты;
- хрипы;
- синюшность кожи и слизистых оболочек.
Одышка — один из первых признаков отека легких, возникающий из-за накопления жидкости в альвеолах (легочных пузырьках, где происходит газообмен) и снижения эластичности легких. Она проявляется как нехватка воздуха, затрудняя вдох (при сердечно-сосудистых заболеваниях) или выдох (при заболеваниях легких и бронхов).
Кашель возникает рефлекторно из-за повышенного уровня углекислого газа в крови (при отеке легких нарушается газообмен). Сначала он может быть сухим и мучительным, затем появляется мокрота розового цвета.
Выделение розовой и пенистой мокроты связано с большим количеством жидкости в легких. Мокрота становится розовой из-за красных кровяных клеток, проникающих из капилляров (мелких сосудов) в альвеолы. Она пенится из-за вспенивания жидкости в альвеолах (из 100 мл плазмы крови образуется 1-1,5 литра пены).
Хрипы сначала сухие (жидкость сжимает мелкие бронхи), затем становятся влажными из-за накопления жидкости в бронхах. При прослушивании слышны мелкие, средние и крупные пузырьковые хрипы (возникающие в разных бронхах).
Синюшность кожи и слизистых оболочек возникает из-за накопления восстановленного гемоглобина (белка, который переносит углекислый газ и кислород) в поверхностных сосудах, придавая им характерный цвет.
Отек легких может развиваться у детей всех возрастов, включая новорожденных, чаще всего на фоне патологий, приводящих к гипоксии (кислородному голоданию). При снижении уровня кислорода в крови увеличивается проницаемость стенок альвеол, что является ключевым механизмом развития отека. Сердечная мышца и головной мозг особенно чувствительны к гипоксии.
У новорожденных отек легких может возникать на фоне следующих патологий:
- Инфаркт плаценты – отмирание клеток в области плаценты, особенно опасное в III триместре беременности, так как может повлиять на развитие плода и вызвать гипоксию.
- Аспирация околоплодных вод – попадание околоплодной жидкости в нижние дыхательные пути (бронхи и альвеолы), что увеличивает риск отека легких.
- Предродовая или родовая травма головного мозга может нарушить кровоснабжение мозга, вызывая рефлекторные изменения в кровоснабжении всего организма, что может привести к отеку легких.
- Пороки сердца способствуют развитию отека легких. При стенозе аортального клапана и недостаточности митрального клапана повышается давление в малом круге кровообращения (сосудах, которые переносят кровь от легких к сердцу и обратно), что приводит к выходу плазмы крови из капилляров в межклеточное пространство легких и альвеолы.
Как правильно оказать неотложную помощь при отеке легких?
Отек легких — серьезное состояние, требующее срочной медицинской помощи. Вот основные рекомендации по первой помощи.
Первая помощь при отеке легких:
- Полусидячее положение. Усадите пациента в полусидячее положение с опущенными ногами. Это уменьшит застой в малом круге кровообращения и облегчит одышку, снизив давление в грудной клетке и улучшив газообмен.
- Венозные жгуты. Накладывайте жгуты на ноги на 20-30 минут с умеренной силой на верхнюю треть бедра, чтобы сжимались только вены, а пульс бедренной артерии оставался прощупываемым. Это снизит приток венозной крови к сердцу и уменьшит симптомы отека.
- Свежий воздух. Обеспечьте доступ свежего воздуха, чтобы предотвратить ухудшение состояния пациента в душном помещении. Низкое содержание кислорода увеличивает проницаемость альвеол, что приводит к накоплению жидкости в легких.
- Нитроглицерин. Если отек вызван инфарктом миокарда, дайте 1-2 таблетки нитроглицерина под язык с интервалом 3-5 минут. Это средство уменьшает застой венозной крови в легких и расширяет коронарные артерии.
- Ингаляция паров спирта. Вдыхание паров 30% этилового спирта помогает справиться с пенообразованием, которое затрудняет газообмен. Рекомендуется для взрослых и детей.
- Контроль пульса и дыхания. Следите за частотой дыхания и пульсом пациента. При необходимости начните сердечно-легочную реанимацию, включая непрямой массаж сердца и/или искусственное дыхание.
При первых признаках отека легких немедленно вызывайте скорую помощь.
Можно ли вылечить отек легких?
Отек легких — серьезное заболевание, требующее немедленного медицинского вмешательства. Эффективность терапии зависит от типа отека (кардиогенный или некардиогенный), его тяжести, наличия сопутствующих заболеваний (например, хроническая сердечная недостаточность, пороки сердца, гипертония, почечная и печеночная недостаточность) и скорости оказания помощи.
В реанимационном отделении проводятся терапевтические процедуры для облегчения болей, снижения кислородного голодания, уменьшения объема циркулирующей крови и нагрузки на сердце.
Срочная медицинская помощь при отеке легких
| Терапевтические мероприятия | Механизм действия |
| Введение наркотических обезболивающих средств (морфин) внутривенно по 10 мг дробно. | Устраняет одышку и снижает психоэмоциональное напряжение, вызывает умеренное расширение вен, что облегчает проявления отека легких. |
| Оксигенотерапия (ингаляция кислорода) с добавлением паров этилового спирта со скоростью 3–6 литров в минуту. | Уменьшает гипоксию, негативно влияющую на сосуды легких, увеличивая их проницаемость и способствуя застою в малом круге кровообращения. Является ключевым мероприятием при любом виде отека легких. |
| Прием нитратов (нитроглицерин) внутрь по 1–2 таблетки с интервалом 3–5 минут или внутривенное введение до 25 мкг болюсно. | Уменьшает застой венозной крови в легких и расширяет коронарные сосуды, снижая нагрузку на миокард. Применяется только при отеке, вызванном инфарктом миокарда, и противопоказан при гипертонической кардиомиопатии. |
| Введение мочегонных средств (фуросемид) внутривенно в дозе 40 мг. | Снижает объем циркулирующей крови, сначала расширяя вены, затем усиливая выведение ионов натрия, кальция, магния и хлора. Эффект при внутривенном введении наблюдается через 10 минут. |
| Введение препаратов, блокирующих АПФ (эналаприлат) внутривенно в дозе от 1,25 до 5 мг. | Уменьшает объем циркулирующей крови, снижая уровень ангиотензина, который сужает сосуды и повышает выработку альдостерона. Расширяет артериолы, снижая нагрузку на левый желудочек сердца. |
Лечение должно также быть направлено на устранение причины отека легких.
Схема лечения отека легких в зависимости от причины и артериального давления
| Патологическое состояние | Схема лечения |
| Инфаркт миокарда | Вводят 10 мг морфина внутривенно дробно. Для снижения риска тромбообразования назначают 250–500 мг аспирина для разжевывания и 5000 ЕД гепарина внутривенно. Дальнейшая терапия зависит от артериального давления. |
| Гипертонический криз | Под язык принимают 1–2 таблетки нитроглицерина (вторую через 3–5 минут). Нитроглицерин снижает артериальное давление и частично уменьшает недостаточность левого желудочка. Вводят фуросемид в дозе 40–80 мг и эналаприлат в дозе 1,25–5 мг. Для облегчения болей вводят 10 мг морфина дробно. |
| Гипотония | Вводят добутамин внутривенно в дозе от 2,5 до 10 мкг/кг в минуту, постепенно увеличивая дозу до стабилизации систолического артериального давления. Затем вводят нитроглицерин и морфин. |
| Анафилактический шок | Вводят 5 мл 0,1% раствора адреналина внутримышечно (при отсутствии эффекта повторяют через 5–10 минут). Адреналин устраняет расширение вен, расширяет дыхательные пути и усиливает сердечную деятельность. Вводят глюкокортикоиды (преднизолон в высоких дозах — не менее 150 мг или дексаметазон по 20 мг) и морфин в дозе 10 мг дробно. Также назначают фуросемид (40 мг внутривенно) и эуфиллин (2,4% раствор по 10–20 мл внутривенно). |
Лечение продолжается до достижения следующих условий:
- нормализация артериального давления (верхнее давление 90-140 мм рт. ст.);
- нормализация частоты сердечных сокращений (60–90 ударов в минуту);
- снижение частоты дыхания до 22 и менее за минуту;
- отсутствие влажных хрипов при прослушивании легких;
- отсутствие выделения мокроты и пены;
- нормализация цвета кожи и слизистых оболочек;
- отсутствие симптомов отека легких при переводе пациента в горизонтальное положение.
Вопрос-ответ
Механизм развития отека легких?
Отек легких развивается в результате нарушения баланса между гидростатическим и онкотическим давлением в капиллярах легочной ткани, что приводит к избыточному накоплению жидкости в интерстициальном пространстве и альвеолах. Это может быть вызвано сердечной недостаточностью, повышением давления в легочных венах, инфекциями, травмами или воспалительными процессами, что нарушает нормальное газообмен и приводит к одышке и другим симптомам.
Какие симптомы при отеке легких?
Симптомы отека легких включают одышку, особенно при физической нагрузке или в положении лежа, кашель с пенистой мокротой, хрипы, чувство нехватки воздуха, беспокойство и учащенное сердцебиение. В тяжелых случаях могут наблюдаться цианоз (посинение кожи) и резкое ухудшение состояния.
Каков механизм действия отека?
Считается, что отек представляет собой внешнюю фильтрацию, преобладающую в артериальном конце капилляра. И по мере снижения гидростатического давления жидкость возвращается в капилляр из интерстиция под действием градиента онкотического давления.
Какая сатурация при отеке легких?
При этом необходимо исходить из показателей сатурации: если сатурация ниже 90%, то больной с отеком легких расценивается как с гипоксемией. Чем ниже показатели сатурации кислорода, тем степень гипоксемии выражена больше.
Советы
СОВЕТ №1
Обратите внимание на симптомы отека легкого, такие как одышка, кашель с пенистой мокротой и чувство удушья. При их появлении немедленно обратитесь за медицинской помощью, так как это может быть признаком серьезного состояния.
СОВЕТ №2
Если у вас есть предрасположенность к сердечно-сосудистым заболеваниям или хроническим заболеваниям легких, регулярно проходите медицинские осмотры и следите за своим состоянием. Это поможет предотвратить развитие отека легкого.
СОВЕТ №3
Изучите факторы риска, такие как высокое кровяное давление, диабет и курение. Изменение образа жизни, включая отказ от курения и соблюдение здоровой диеты, может значительно снизить вероятность возникновения отека легкого.
СОВЕТ №4
При наличии хронических заболеваний, таких как сердечная недостаточность, строго следуйте рекомендациям врача по лечению и контролю состояния. Это поможет избежать осложнений, включая отек легкого.


















