Кому будет полезен этот метод?
«Проблема ранней диагностики рака поджелудочной железы, долгое время нерешенная, начинает уходить в прошлое, создавая новые возможности для своевременной медицинской помощи и спасения жизней», — отметил доктор Мортон Каленберг, эксперт Американского Общества Клинической Онкологии.
«В нашем предыдущем исследовании мы выявили 82% случаев аденокарциномы среди 80 участников», — сообщил Дэвид Голд, руководитель исследования и директор исследовательской лаборатории Государственного онкологического центра Гардена в Моррис Плейнсе, штат Нью-Джерси.
«С учетом данных еще 300 пациентов с диагнозом аденокарциномы поджелудочной железы, 126 человек с доброкачественными гастроэнтерологическими заболеваниями и 79 здоровых участников, наша диагностическая методика стала значительно более точной. Количество «ложных срабатываний» остается низким, иногда у пациентов выявляются доброкачественные опухоли или хронический панкреатит».
Исследователи отметили, что новый тест не предназначен для диагностики других типов опухолей поджелудочной железы, однако метод определения белков «биомаркёров» открывает новые горизонты для диагностики рака пищевода у пациентов с синдромом Баррета.
Врачи с оптимизмом восприняли информацию о новом методе диагностики рака поджелудочной железы на ранних стадиях. Специалисты отмечают, что раннее выявление этого заболевания значительно увеличивает шансы на успешное лечение и выживание пациентов. Новый метод, основанный на современных технологиях визуализации и биомаркерах, позволяет обнаруживать опухоли на этапе, когда они еще не дают клинических симптомов. Это особенно важно, поскольку рак поджелудочной железы часто диагностируется на поздних стадиях, когда лечение становится сложным и менее эффективным. Врачи подчеркивают, что внедрение данного метода в клиническую практику может изменить подход к скринингу и мониторингу пациентов с высоким риском. Они надеются, что это новшество приведет к снижению смертности и улучшению качества жизни людей, страдающих от этого опасного заболевания.
Недавние исследования представили новый метод диагностики рака поджелудочной железы на ранних стадиях, и мнения людей о нем разнообразны. Многие пациенты и их семьи выражают надежду, что этот подход позволит выявлять заболевание на более ранних этапах, что значительно увеличит шансы на успешное лечение. Врачи отмечают, что ранняя диагностика может изменить подход к терапии и улучшить прогнозы. Однако некоторые специалисты высказывают осторожность, подчеркивая необходимость дополнительных исследований для подтверждения эффективности нового метода. Обсуждения в медицинском сообществе активно продолжаются, и многие ждут результатов клинических испытаний, чтобы оценить реальное влияние этого метода на борьбу с раком поджелудочной железы.

Пищевод Баррета
Пищевод Баррета — серьезное осложнение гастроэзофагеальной рефлюксной болезни, при котором в эпителиальной оболочке пищевода вместо плоского многослойного эпителия появляется цилиндрический эпителий.
Для диагностики этого состояния используются эндоскопия и биопсия, но они не всегда выявляют мелкие изменения, указывающие на начальные стадии рака.
В исследовании был применен новый подход к поиску «оптических биомаркеров» с помощью микроскопии на основе широкополосного источника белого света. Этот метод позволил выявить изменения в клетках пациента, указывающие на риск развития рака.
Если последующие исследования подтвердят эффективность «биомаркеров» для диагностики онкологических заболеваний, это может исключить необходимость в повторных биопсиях для пациентов с пищеводом Баррета.
| Стадия рака поджелудочной железы | Симптомы (ранние) | Возможности нового метода диагностики |
|---|---|---|
| I (ранняя) | Часто бессимптомная, возможны неспецифические симптомы (утомляемость, потеря веса) | Высокая чувствительность и специфичность в обнаружении опухолевых маркеров на ранней стадии, ранняя визуализация опухоли |
| II (локально распространенная) | Боль в животе, желтуха, потеря веса, снижение аппетита | Более точная локализация опухоли, определение размера и степени инвазии, оценка возможности хирургического вмешательства |
| III (распространенная) | Выраженная боль, желтуха, панкреатит, тромбоз воротной вены | Оценка эффективности предоперационной терапии, мониторинг ответа на лечение |
| IV (метастатическая) | Сильная боль, кахексия, печеночная недостаточность, метастазы в другие органы | Оценка эффективности паллиативной терапии, прогнозирование выживаемости |
Вопрос-ответ

Как диагностировать рак поджелудочной железы на ранней стадии?
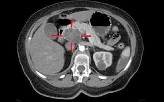
Ультразвуковое исследование, во время которого можно оценить структуру органа, размеры, а также выявить новообразования. Поджелудочная железа просматривается во время общего УЗИ брюшной полости или специальном УЗИ желез. Нужный метод определит врач, который выпишет направление на диагностику.
Где чешется при раке поджелудочной железы?
Симптомы рака поджелудочной железы с метастазами в печень следующие: ощущение переполненного желудка при малых объемах пищи, кожный зуд, боли в правом подреберье.

Можно ли на УЗИ не увидеть рак поджелудочной железы?
На вопрос, виден ли на УЗИ рак поджелудочной железы, нельзя дать однозначный ответ: исследование покажет опухоль в том случае, если она обладает достаточными размерами, либо если уже появились метастазы. В остальных ситуациях, перед тем как вынести окончательный вердикт, делается дополнительная диагностика.
Советы
СОВЕТ №1
Регулярно проходите медицинские обследования, особенно если у вас есть предрасположенность к заболеваниям поджелудочной железы. Раннее выявление может значительно повысить шансы на успешное лечение.
СОВЕТ №2
Обратите внимание на симптомы, такие как необъяснимая потеря веса, боли в животе или спине, и изменения в пищеварении. Если вы заметили что-то необычное, не откладывайте визит к врачу.
СОВЕТ №3
Изучите информацию о новом методе диагностики рака поджелудочной железы и обсудите его с вашим врачом. Это может помочь вам понять, какие тесты могут быть полезны для вас.
СОВЕТ №4
Поддерживайте здоровый образ жизни: сбалансированное питание, регулярные физические нагрузки и отказ от вредных привычек могут снизить риск развития рака и других заболеваний.