Причины рака кожи
-
Влияние ультрафиолетового излучения на кожу
Каждая клетка содержит молекулу ДНК, определяющую её функции и внешний вид. В норме клетка передает точную копию ДНК своим потомкам, а на месте погибшей образуется новая. Однако ультрафиолетовые лучи изменяют структуру ДНК, что приводит к появлению клеток с иными характеристиками, неспособных выполнять свои функции. Они начинают бесконечно делиться, что может привести к образованию злокачественной опухоли. -
Воздействие химических веществ (мышьяк, деготь, смолы, горюче-смазочные материалы)
Эти вещества, известные как химические мутагены, при регулярном контакте вызывают мутации в генах ДНК. Некоторые участки могут исчезать, дублироваться или менять местоположение, что приводит к образованию мутантных клеток. Они размножаются, создавая злокачественные клетки, которые выделяют вещества, способствующие перерождению здоровых тканей. -
Ионизирующее излучение
Радиоактивное излучение от медицинских приборов или материалов воздействует на клетки кожи, изменяя их свойства. Радиоактивность способствует образованию свободных радикалов, которые повреждают генетическую структуру клеток. Это приводит к возникновению атипичных клеток, способных стать основой для опухоли. -
Перерождение рубцов после травм и ожогов
Рубцовая ткань частично изменена, содержит соединительные волокна, не характерные для кожи, и имеет плохое кровоснабжение, что способствует активному делению клеток. Это создает условия для мутаций, в то время как ферменты, уничтожающие мутантные клетки, не достигают этих участков. -
Перерождение родимых пятен (невусов)
Родинка — доброкачественное образование. При накоплении пигмента меланина клетки кожи превращаются в меланоциты. После травмы или солнечного ожога начинается активный рост клеток, что может привести к образованию злокачественных клеток и развитию меланомы. -
Наследственная предрасположенность
В организме есть ген, отвечающий за выработку фермента протеинкиназы Сδ, который уничтожает клетки-мутанты с измененной ДНК. При недостатке пигмента атипичные клетки остаются живыми, что способствует росту опухоли. -
Облигатные предраки – заболевания, которые почти всегда трансформируются в рак кожи.
- пигментная ксеродерма;
- болезнь Боуэна;
- болезнь Педжета;
- эритроплазия Кейра.
Злокачественная опухоль часто возникает на основе очаговых разрастаний или доброкачественных образований, где защитные механизмы неэффективны.
-
Факультативные предраки – заболевания, которые могут стать раком при воздействии канцерогенных факторов.
Канцерогенные факторы: УФ-облучение, эндокринные нарушения, вредные привычки, неблагоприятная экология и т.д.
К факультативным предракам относятся:- кожный рог;
- кератоакантома;
- старческий (солнечный, актинический) кератоз;
- старческая (себорейная) кератома;
- поздние лучевые язвы;
- трофические язвы;
- поражения кожи при туберкулезе, системной красной волчанке, сифилисе.
Эти заболевания нарушают функции кожи и ослабляют местный иммунитет, что затрудняет избавление от атипичных клеток.
Врачи подчеркивают, что рак кожи является одной из наиболее распространенных форм онкологических заболеваний. Основными причинами его возникновения являются ультрафиолетовое излучение, генетическая предрасположенность и ослабленный иммунитет. Симптомы могут варьироваться от появления новых родинок до изменения существующих, что требует внимательного наблюдения. Важно отметить, что ранняя диагностика играет ключевую роль в успешном лечении. Врачи рекомендуют регулярные осмотры у дерматолога, особенно для людей с высоким риском. Лечение может включать хирургическое вмешательство, радиотерапию и иммунотерапию, в зависимости от стадии заболевания. Профилактика, включая использование солнцезащитных средств и избегание соляриев, также является важным аспектом в борьбе с раком кожи.

Симптомы и признаки рака кожи
-
Тип опухоли Характеристики Фото Узел Узел напоминает цветную капусту или гриб с неровной поверхностью. Основание и верх плотные. Цвет варьируется от красного до коричневого. На поверхности могут быть эрозии с выделениями. Бляшка Плотное плоское образование красного цвета с мелкими бугорками, напоминающими бородавки, окруженное ороговевшими клетками. Язвенная форма Глубокая язва, напоминающая кратер вулкана, с плотным приподнятым валиком серовато-розового оттенка. Из язвы выделяется неприятно пахнущая жидкость, образующая корки. -
Тип опухоли Характеристики Фото Узелково-язвенная форма Полукруглый узелок, возвышающийся над кожей с тонкой блестящей кожей. В центре образуется язвочка с сальным налетом. Узелок быстро растет и деформируется. Бородавчатая форма Узелок в форме полушария, возвышающийся над кожей с просвечивающимися капиллярами. Пигментная форма Полукруглый узелок с «жемчужным» валиком и коричневым или черным пятном в центре. Поверхностная форма Опухоль не проникает вглубь кожи и почти не возвышается. Крупное пятно (до 4 см) розового или красного цвета с «жемчужным» валиком и восковой, трещиноватой поверхностью. Часто встречаются несколько таких пятен. -
Меланома – злокачественное перерождение родинки с асимметричными краями и яркой окраской. Основание становится плотным, появляются пигментные пятна.
Родимое пятно увеличивается, поверхность гладкая, исчезает кожный рисунок, выпадают волосы, могут образоваться язвы.
Плоскоклеточный рак кожи – злокачественное образование из плоских клеток эпителия. Опухоль агрессивна, быстро растет и разрушает ткани, чаще у пожилых людей.
Состоит из атипичных клеток, образующих тяжи, проникающие в глубокие слои кожи. Опасна метастазами в лимфатические узлы.
Чаще всего возникает на открытых участках:
- нижняя губа;
- виски и лоб;
- волосистая часть головы;
- ладони;
- ноги;
- наружные половые органы и анальное отверстие;
- рубцы после травм и ожогов;
- хронические воспалительные процессы кожи.
Проявления
Плоскоклеточный рак вызывает дискомфорт, болезненность и зуд. Из эрозий выделяется кровянистая жидкость с неприятным запахом.
Формы плоскоклеточного рака:
- Бляшка – плотное плоское образование с мелкими бугорками, красного цвета, часто кровоточит и быстро увеличивается.
- Узел – нарост в виде цветной капусты на толстой ножке, плотный, ярко-красный или коричневый, с мокнущими эрозиями.
- Язва – кратер вулкана с неровным дном, выделяющая жидкость с неприятным запахом, подсыхающая и образующая корки.
- На рубце – уплотнения, трещины и эрозии, краснеющие участки с бугристыми выростами.
Диагностика
Злокачественное образование на поверхности кожи облегчает диагностику. Врач осматривает опухоль с помощью лупы и берет образец кожи для определения раковых клеток.
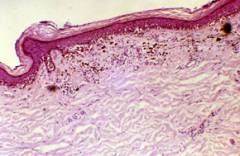
Гистологическое исследование включает забор ткани у основания новообразования. В лаборатории делают тонкие срезы, окрашивают и исследуют под микроскопом. Обнаружение атипичных клеток подтверждает рак кожи. Результаты готовы через 5-10 дней.
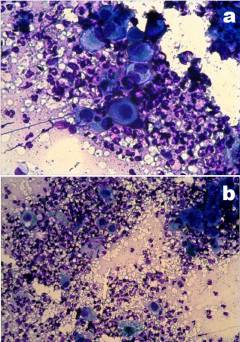
Цитологическое исследование соскоба позволяет изучить строение клеток и их структурные элементы. Это помогает определить степень атипии и тип новообразования.
Опасность плоскоклеточного рака для жизни
Плоскоклеточный рак кожи агрессивен и быстро растет, но легко поддается лечению на ранних стадиях. Прогноз благоприятен при отсутствии метастазов – более 90% пациентов живут не менее 5 лет. При запущенных стадиях метастазы могут появиться в лимфатических узлах, легких, печени и других органах, снижая пятилетнюю выживаемость до 25% и 45%.
Базальноклеточный рак кожи (базалиома) – наиболее распространенный и наименее опасный вид рака кожи. Метастазы образуются лишь в 0,5% случаев, но опухоль разрушает окружающие ткани, особенно на веке или возле носа.
Базалиома чаще встречается у мужчин, риск возникновения составляет 30% за жизнь, у женщин – 23%. С возрастом вероятность увеличивается.
Опухоль возникает на открытых участках кожи, но в 20% случаев может появиться и на закрытых.
- веках и других участках лица;
- шее;
- волосистой части головы;
- у мужчин на туловище;
- на ногах и руках.
Проявления
Базальноклеточный рак развивается из базальных клеток эпидермиса. Перерождение клеток приводит к образованию полупрозрачных узелков размером 3-5 мм, которые увеличиваются в несколько раз. В центре образуется кровянистая корка, под ней – язва. Периферия опухоли розовая, под тонкой кожей просвечиваются сосуды.
Формы базальноклеточного рака:
- Узелково-язвенная форма. Плотный узелок с тонкой кожей, цвет от розового до красного. Узелок растет, становится асимметричным, в центре появляется язвочка с коркой.
- Прободающая форма. Быстро развивающаяся форма, появляется на травмируемых участках кожи.
- Бородавчатая форма. Полукруглые наросты, напоминающие цветную капусту, плотные, бежевые или розовые.
- Пигментная форма. Бляшка или узелок с неровной поверхностью и коричневым или черным пятном в центре, с белым валиком по периметру.
- Склеродермиформная форма. Плотный белый узелок, увеличивающийся в бляшку, с язвами.
- Поверхностная форма. Множественные опухоли на закрытых участках кожи, цвет от бледно-розового до красного, размер до 4 см, не возвышаются.
- Опухоль Шпиглера. Новообразование в волосистой части головы, плотные узлы с полупрозрачной морщинистой поверхностью, размер от 1 до 10 см, цвет красно-фиолетовый.
Диагностика
Цитологическое исследование
Поверхность опухоли очищают от корок, затем получают мазок-отпечаток. Этот метод позволяет получить образцы клеток без повреждения опухоли. При базальноклеточном раке под микроскопом обнаруживают крупные светлые базалоидные клетки.
Гистологическое исследование
Для получения образца делают биопсию. Из небольшого кусочка опухоли делают тонкие срезы и распределяют на стекле. Подтверждает наличие базалиомы: тяжи или гнезда из характерных клеток, окруженных ободком цитоплазмы. Анализ помогает врачу определить опасность опухоли и выбрать метод лечения.
Опасность для жизни
Базальноклеточный рак кожи считается безопасным, так как практически не вызывает метастазов. Однако он может разрушать окружающие ткани, поэтому важно вовремя начать лечение, особенно если опухоль расположена в углах глаза, возле слухового прохода или на носогубных складках.
Меланома кожи – злокачественная опухоль из клеток, производящих меланин. Это агрессивное новообразование часто приводит к метастазам.
Меланома чаще возникает у людей с белой кожей, множеством родинок и веснушек, а также у тех, кто часто загорает. Наиболее часто поражаются спина у мужчин и ноги у женщин, реже – стопы, ладони, слизистые оболочки рта и половых органов. Меланома может появиться даже в молодом возрасте.
Проявления меланомы кожи
- Неприятные ощущения в области родинки.
- Выпадение волос с невуса.
- Изменение окраски (потемнение, осветление, неравномерная окраска).
- Появление язв на родинке.
- Кровоточивость.
- Активный рост, увеличение в 2 раза за полгода.
- Размер родинки более 7 мм.
- Асимметричные неровные края.
- Нечеткие границы.
- Исчезновение морщин на поверхности.
- Появление узлов.
- Часто меланома окружена красной воспалительной каймой.
Диагностика меланомы
На первом этапе врач проводит осмотр с помощью лупы или дерматоскопа. Подозрительные родимые пятна оцениваются по критериям: асимметрия, нечеткие границы, неравномерная окраска, диаметр свыше 6 мм. При обнаружении подозрительных симптомов родинку удаляют.
Гистологическое исследование
Хирург удаляет подозрительную родинку и окружающую ткань. Полученный материал отправляется в лабораторию для обработки и изучения под микроскопом. Врач определяет глубину прорастания и интенсивность деления клеток.
Предоперационная биопсия нежелательна, так как может привести к быстрому распространению опухоли.
Опасна ли меланома для жизни?
Опасность зависит от стадии меланомы. Если она не распространилась и не дала метастазов, шансы на полное излечение высоки. На четвертой стадии рака кожи, дольше 5 лет живут лишь 15-20% больных.
Меланома на стопе, ладони или возле ногтя более опасна, чем на других участках.
Рак кожи проходит несколько стадий:
0 стадия – раковые клетки только начинают появляться в поверхностном слое кожи. Эффективность лечения составляет 100%.
1 стадия – новообразование до 2 см в диаметре, прорастает в глубокие слои, не вызывает метастазов. Полное излечение возможно.
2 стадия – опухоль 2-5 см, прорастает во все слои кожи, вызывает неприятные ощущения. Один метастаз в лимфатическом узле. Признаки рака видны невооруженным глазом. Выживаемость после лечения около 50%.
3 стадия – опухоль больше 5 см, вызывает неприятные ощущения, язвы. Поражает мышцы, хрящи и кости. Метастазы в ближайших лимфатических узлах, отдаленные органы не поражаются. Более 5 лет после лечения живут около 30%.
4 стадия – крупная опухоль с неровными краями, язвы и корки. Рак вызывает интоксикацию (похудание, слабость, тошнота, головная боль). Метастазы в жизненно важных органах. Средняя выживаемость после лечения составляет 20%.
В отличие от других форм рака кожи, базальноклеточный рак не имеет стадий. Опухоль просто увеличивается в размерах.
Диагностика рака кожи включает несколько этапов.
Самообследование
Не реже чем раз в полгода обследуйте кожу перед зеркалом. Попросите близких помочь осмотреть труднодоступные участки. Обратитесь к специалисту при обнаружении подозрительных пятен, язв, узелков или асимметричных родинок.
Биопсия
Взятие материала из опухоли для исследования. Биопсию можно сделать несколькими способами:
- специальным инструментом берут ткань из узлов;
- скальпелем отрезают сектор от опухоли;
- острым лезвием срезают нарост целиком;
- удаляют опухоль с окружающими тканями.
Процедура проходит под местной анестезией. Полученный материал отправляют в лабораторию для цитологического и гистологического исследования.
Изучают строение клеток и их составляющие. Цель – установить, является ли новообразование доброкачественным или содержит раковые клетки. Результаты будут готовы через 5 дней.
Разные опухоли чувствительны к различным методам лечения. Цитологическое исследование помогает подобрать наилучший способ борьбы с раком.
Материалом для цитологического исследования служат:
- образцы, взятые при биопсии;
- отпечатки на предметном стекле с очищенной от корок опухоли.
Признаки злокачественной опухоли:
- атипичные клетки;
- крупные темные ядра;
- неспециализированные клетки;
- молодые активно делящиеся клетки.
Материал, взятый при биопсии, обрабатывают парафином, нарезают и окрашивают. Полученные срезы позволяют судить об изменениях в тканях. Результат будет готов через 5-7 дней.
По специфическим признакам врач оценивает агрессивность опухоли и выбирает метод лечения.
Подтверждают рак кожи такие признаки:
- скопления атипичных клеток;
- крупные ядра клеток;
- окружение клеток ободком цитоплазмы.
На сегодняшний день не выявлены специфические вещества (онкомаркеры), которые выделяются в кровь при раке кожи. Эти белковые соединения могли бы помочь в ранней диагностике.
При 3 и 4 стадии болезни биохимический анализ крови может показать повышенный уровень лактатдегидрогеназы, свыше 250 Ед/л. Это вещество появляется на поздних этапах опухоли, после образования метастазов. Однако его высокие значения могут указывать и на другие заболевания. Поэтому данный анализ не подтверждает диагноз «рак кожи».
Позитронно-эмиссионная томография (ПЭТ) – современный метод, основанный на выявлении радиоизотопов, указывающих на местоположение раковых клеток. Недостаток – сложное и дорогостоящее оборудование доступно не в каждом городе.
Дополнительные исследования при раке кожи 3-4 степени:
- рентген грудной клетки;
- магнитно-резонансная томография (МРТ);
- компьютерная томография (КТ);
- УЗИ лимфатических узлов.
- Плоскоклеточный рак кожи
- Дерматоскопия. Осмотр кожи под увеличением с помощью дерматоскопа.
- Биопсия и гистологическое исследование. Информация о типе опухоли.
- Базальноклеточный рак кожи
- Дерматоскопия. Осмотр узлов и язв с помощью лупы или дерматоскопа.
- Цитологическое исследование. Если узелок покрыт кожей, делают соскоб или биопсию. Если есть язвы, получают отпечаток с образцами клеток.
- Гистологическое исследование. Берут образцы тканей с помощью скальпеля или иглы.
- Меланома кожи
- Дерматоскопия – осмотр кожи с увеличительным прибором.
- Биопсия. Полное удаление подозрительного родимого пятна.
- Цитологическое исследование. Изучение клеток родинки под микроскопом.
Если основные методы выявили рак кожи 2-4 степени, назначают дополнительные исследования для поиска метастазов.
Выбор метода лечения зависит от расположения опухоли, ее типа, структуры и стадии.
Показания к операции
- большие размеры опухоли;
- глубокое поражение кожи;
- опухоль на рубце;
- рецидив после лучевого лечения.
Методика операции
При раке кожи 1-2 стадии операцию проводят амбулаторно под местной анестезией. Врач удаляет новообразование скальпелем или петлей с электрическим током. Если на срезе не обнаружены злокачественные клетки, операция считается успешной. Если раковые клетки найдены, необходимо удалить более глубокие слои ткани.
При раке кожи 3-4 степени поражается подкожная клетчатка, образуются метастазы. Операцию проводят под общим наркозом, удаляют опухоль и часть подкожной клетчатки, затем выполняют пластику. Следующий этап – удаление метастазов в лимфоузлах и других органах.
Операция Мосса применяется для лечения базальноклеточного и плоскоклеточного рака. Хирург снимает тонкие слои опухоли и изучает их под микроскопом, пока срез не будет «чистым».
Для закрепления эффекта лечения и предотвращения рецидивов может потребоваться курс лучевой терапии.
Эффективность
Хирургический метод лечения рака кожи широко распространен и эффективен. Преимущества:
- возможность избавиться от всех раковых клеток за 1 день;
- контроль качества операции;
- возможность удаления опухоли любого размера;
- небольшой риск повторного развития опухоли.
Лучевая терапия используется как самостоятельный метод или в комбинации с хирургическим удалением. Применяются рентгеновские, гамма-, бета- и нейтронные излучения.
Разработаны схемы, минимизирующие облучение здоровых клеток. В раковых клетках разрушаются молекулы, они теряют способность размножаться или погибают.
Показания
- противопоказан общий наркоз;
- лечение рецидивов;
- хороший косметический эффект;
- большой размер опухоли;
- труднодоступные места;
- удаленность от важных органов.
Методика
Лечение проводят контактным методом, наиболее эффективным и безопасным для окружающих тканей. Врач устанавливает дозу облучения, длительность процедуры и количество сеансов.
Вы размещаетесь на кушетке и стараетесь лежать неподвижно. Излучатель прикладывают к опухоли, сеанс длится до 10 минут. Процедура безболезненна. После сеанса желательно отдохнуть 20-30 минут.
Радиация не накапливается в организме, после процедуры можно общаться с людьми.
Эффективность
Лучевая терапия сопоставима с хирургическим методом, но менее травматична. На начальных стадиях обеспечивает выздоровление в 95%. Применяется самостоятельно, после операции или в сочетании с химиотерапией. Наилучшие результаты при лечении базальноклеточного и плоскоклеточного рака.
Химиотерапия – метод лечения рака кожи с использованием ядов или токсинов, повреждающих раковые клетки.
Показания
- небольшие опухоли лечат мазями;
- рецидив при базально-клеточном раке;
- крупные опухоли, которые нельзя оперировать;
- рак кожи 3 и 4 степени с множественными рецидивами;
- отказ пациента от операции.
Методика
Для лечения 1 и 2 стадии используют 30% проспидиновую мазь или эмульсию фторурацила. Наносят под повязки на 3-4 недели.
При метастазах химиопрепараты вводят внутривенно. Используют Цисплатин и Метотрексат. Интервал между курсами 3 недели. Длительность лечения зависит от стадии болезни.
Эффективность
Химиотерапия дополняет операцию и лучевую терапию, как самостоятельный метод применяется редко из-за длительности лечения и побочных эффектов.
Используются при раке кожи 1 и 2 степени, если опухоль небольшая.
- Криотерапия – замораживание опухоли жидким азотом.
- Лазерная деструкция – выжигание опухоли лазером.
- Местное лекарственное лечение. С помощью электрофореза вводят цитостатики.
И в заключение: рак кожи – злокачественная опухоль, которую легче диагностировать по сравнению с другими онкологическими заболеваниями. Избавиться от нее на ранних стадиях можно всего за один день. Будьте внимательны к своему здоровью и консультируйтесь с врачом по поводу подозрительных узлов, язв и родинок.
| Причина | Симптом/Признак | Диагностика/Лечение |
|---|---|---|
| Ультрафиолетовое (УФ) излучение (солнечный свет, солярии) | Изменение размера, формы или цвета родинки; Новая родинка, которая отличается от других; Язва, которая не заживает; Кровотечение или шелушение родинки; Зуд, боль или чувствительность в области поражения кожи; Появление твердого узелка или бляшки на коже; Покраснение или отек кожи; Изменение пигментации кожи | Биопсия кожи; Дерматоскопия; КГТ; Рентгенография грудной клетки; КТ или МРТ; Хирургическое иссечение; Криотерапия; Лучевая терапия; Химиотерапия; Таргетная терапия; Иммунотерапия |
| Генетическая предрасположенность | (см. симптомы выше) | (см. диагностику/лечение выше) |
| Светлый фототип кожи | (см. симптомы выше) | (см. диагностику/лечение выше) |
| Ослабленный иммунитет | (см. симптомы выше) | (см. диагностику/лечение выше) |
| Воздействие химических веществ (арсен, мышьяк) | (см. симптомы выше) | (см. диагностику/лечение выше) |
| Вирус папилломы человека (ВПЧ) | (см. симптомы выше) | (см. диагностику/лечение выше) |
| Хроническое воспаление кожи | (см. симптомы выше) | (см. диагностику/лечение выше) |
Плоскоклеточный рак кожи (фото)
| Тип опухоли | Характеристики | Изображение |
| Узел | Узел напоминает цветную капусту или гриб с неровной, бугристой поверхностью. Основание и верхняя часть плотные и жесткие. Цвет варьируется от красного до коричневого. На поверхности могут быть эрозии с прозрачной или кровянистой жидкостью. | |
| Бляшка | На коже формируется плотное плоское образование ярко-красного цвета. Поверхность усеяна мелкими бугорками, напоминающими бородавки, вокруг которых скапливаются ороговевшие клетки. | |
| Язвенная форма | На коже возникает глубокая язва, напоминающая вулканический кратер. Края обрамлены плотным приподнятым валиком серовато-розового оттенка. Из язвы выделяется жидкость с неприятным запахом, которая подсыхает и образует корочки. |
Рак кожи — это одно из самых распространенных онкологических заболеваний, о котором говорят многие. Основные причины его возникновения включают чрезмерное воздействие ультрафиолетового излучения, генетическую предрасположенность и ослабленный иммунитет. Симптомы могут варьироваться от появления новых родинок до изменения цвета и формы существующих. Важно обращать внимание на любые изменения на коже, такие как зуд, кровоточивость или трещины.
Диагностика рака кожи обычно начинается с визуального осмотра дерматолога, который может назначить биопсию для подтверждения диагноза. Лечение зависит от стадии заболевания и может включать хирургическое удаление, радиотерапию или иммунотерапию. Ранняя диагностика и своевременное лечение значительно повышают шансы на успешное выздоровление, поэтому регулярные осмотры у специалиста крайне важны.

Базальноклеточный рак кожи (фото)
| Тип опухоли | Характеристики | Изображение |
| Узелково-язвенная форма | Полукруглый узелок выступает над кожей, которая становится тонкой и блестящей. В центре образуется язва, покрытая сальным налетом. Узелок быстро увеличивается и приобретает неправильные очертания, по краям виден округлый валик жемчужного оттенка. | |
| Бородавчатая форма | Полушарие, напоминающее цветную капусту, поднимается над кожей. Через кожу просвечиваются расширенные капилляры. | |
| Пигментная форма | Полукруглый узелок, окруженный светлым «жемчужным» валиком, имеет в центре коричневое или черное пятно – скопление пигмента меланина. | |
| Поверхностная форма | Опухоль не проникает глубоко в кожу и почти не выступает над ее поверхностью. Это крупное пятно (до 4 см) розового или красного цвета, окруженное «жемчужным» валиком. Поверхность бляшки выглядит восковой, неоднородной, с трещинами и эрозиями. Часто наблюдаются несколько таких пятен на одном участке кожи. |
Меланома кожи
Меланома — злокачественное образование, возникающее из обычной родинки. Она имеет асимметричные края, яркий коричневый или черный цвет, иногда с синеватым оттенком. Основание образования может стать плотным, а вокруг появляться небольшие пигментные пятна.
Размер родимого пятна увеличивается, поверхность становится гладкой, исчезает кожный рисунок, выпадают волосы. В дальнейшем могут образовываться язвы, которые начинают кровоточить.

Плоскоклеточный рак кожи
Плоскоклеточный рак кожи – злокачественное образование, возникающее из плоских клеток эпителия шиповатого слоя кожи. Эта опухоль агрессивна, быстро растет и разрушает окружающие ткани, чаще всего поражая пожилых людей.
Плоскоклеточный рак состоит из атипичных клеток различного размера, образующих тяжи, проникающие в глубокие слои кожи. Опасность опухоли в быстрой метастазировании в ближайшие лимфатические узлы.
Эта форма рака кожи чаще всего возникает на открытых участках тела:
- нижняя губа;
- виски и лоб;
- волосистая часть головы;
- ладони;
- ноги;
- наружные половые органы и область ануса;
- рубцы после травм и ожогов;
- участки с хроническими воспалительными процессами кожи.
Проявления
Плоскоклеточный рак вызывает дискомфорт, болезненные ощущения и зуд. Из эрозий на поверхности опухоли выделяется кровянистая жидкость с неприятным запахом.
Существует несколько форм проявления плоскоклеточного рака:
- Бляшка – плотное плоское образование с мелкими бугорками, красного цвета. Часто кровоточит и быстро увеличивается.
- Узел – нарост, напоминающий цветную капусту, на толстой ножке. Консистенция плотная, цвет ярко-красный или коричневый. Поверхность покрыта мокнущими эрозиями и корками, быстро растет.
- Язва – напоминает кратер вулкана с неровным дном, из которого выделяется жидкость с неприятным запахом. Она засыхает, образуя корки, и имеет розово-красный цвет. Быстро растет в стороны и вглубь, достигая костей.
- На рубце появляются уплотнения, трещины и эрозии. Отдельные участки краснеют и уплотняются, формируются бугристые выросты, напоминающие бородавки.
Диагностика
Злокачественное образование располагается на поверхности кожи, что облегчает диагностику. Врач осматривает опухоль с помощью лупы и берет образец пораженной кожи для определения наличия раковых клеток.
Гистологическое исследование включает забор образца ткани у основания новообразования. В лаборатории делают тонкие срезы, окрашивают их и исследуют под микроскопом. Выявление атипичных клеток подтверждает наличие рака кожи. Результаты гистологического исследования становятся известны через 5-10 дней.
Цитологическое исследование соскоба с поверхности язвы позволяет изучить строение клеток и их структур: ядра, цитоплазмы, органеллы. Это помогает определить степень атипии клеток, тип новообразования и его происхождение.
Плоскоклеточный рак и его опасность для жизни
Плоскоклеточный рак кожи проявляет агрессивность и быстрое развитие. Однако благодаря поверхностному расположению опухоль поддается лечению. Если начать лечение до появления метастазов, прогноз благоприятный: более 90% пациентов живут не менее 5 лет.
Если упустить момент, метастазы могут появиться в лимфатических узлах, легких, печени и других органах. При начале лечения на 3 и 4 стадиях пятилетняя выживаемость снижается до 25% и 45% соответственно.
Базальноклеточный рак кожи
Базальноклеточный рак кожи, или базалиома – наиболее распространенный и наименее агрессивный тип рака кожи. Метастазы возникают лишь в 0,5% случаев, но опухоль опасна из-за способности разрушать окружающие ткани, особенно на веках и в области носа.
Мужчины чаще подвержены этому заболеванию: риск его развития составляет 30%, у женщин — 23%. С возрастом вероятность появления базалиомы увеличивается.
Опухоль чаще всего возникает на открытых участках кожи, но в 20% случаев может появляться на закрытых участках:
- веки и другие участки лица;
- шея;
- волосистая часть головы;
- туловище у мужчин;
- руки и ноги.
Проявления
Базальноклеточный рак формируется из базального слоя эпидермиса. Превращение базальных клеток в раковые приводит к образованию полупрозрачных «жемчужных» узелков размером 3-5 мм, которые могут значительно увеличиваться в течение 1-2 лет. В центре образуется кровянистая корка, под которой появляется язва, а периферия опухоли имеет розовый цвет с просвечивающимися сосудами.
Существует несколько форм базальноклеточного рака кожи:
- Узелково-язвенная форма. Плотный узелок с тонкой кожей, розового или красного цвета, увеличивается и становится асимметричным. В центре появляется язвочка с коркой, вокруг формируются закругленные валики с жемчужным отливом.
- Прободающая форма. Схожа с узелково-язвенной, но развивается быстрее. Обычно возникает на участках кожи, подверженных травмам.
- Бородавчатая форма. Образует полукруглые наросты, напоминающие цветную капусту, плотные на ощупь, бежевые или розовые.
- Пигментная форма. Появляется бляшка или узелок с неровной поверхностью и трещинами. В центре — коричневое или черное пятно, окруженное белым валиком, что отличает эту форму от меланомы.
- Склеродермиформная форма. Плотный белый узелок, который увеличивается и превращается в твердую бляшку, светлую и полупрозрачную, с просвечивающимися капиллярами. Размеры варьируются от 0,5 до 3 см.
- Поверхностная форма. Множественные опухоли на закрытых участках кожи, цвет от бледно-розового до красного. Размер пятен может достигать 4 см, они не возвышаются над уровнем кожи, а вокруг образуется приподнятый валик «жемчужного» цвета.
- Опухоль Шпиглера («тюрбанная» опухоль). Находится в волосистой части головы, представляет собой плотные узлы в форме полушарий, твердые на ощупь, с полупрозрачной морщинистой поверхностью, размером от 1 до 10 см, с красно-фиолетовым оттенком.
Диагностика
Цитологическое исследование
Сначала очищают поверхность опухоли от корок с помощью мазевой повязки. Затем к наросту прикладывают предметное стекло для получения мазка-отпечатка. Этот метод позволяет извлечь образцы клеток, не повреждая опухоль. При базальноклеточном раке под микроскопом видны крупные светлые базалоидные клетки.
Гистологическое исследование
Для анализа выполняется биопсия узла. Из небольшого кусочка опухоли делают тонкие срезы и помещают их на стекло.
Наличие базалиомы подтверждается тяжами или гнездами характерных клеток, окруженных ободком из цитоплазмы. Этот анализ помогает врачу оценить степень опасности опухоли и выбрать метод лечения.
Опасность для жизни
Базальноклеточный рак кожи считается одним из самых безопасных видов опухолей, так как практически не вызывает метастазов. Однако его опасность заключается в разрушении окружающих тканей. Важно своевременно начать лечение, особенно если опухоль расположена в углах глаз, возле наружного слухового прохода или на носогубных складках, так как это может привести к повреждению важных сосудов, мышц и костей.
Меланома кожи
Меланома кожи – злокачественное образование, возникающее из клеток, вырабатывающих меланин. Это новообразование может развиваться на месте веснушек и родинок (невусов) и считается одной из самых агрессивных форм рака, способной вызывать метастазы.
Чаще всего меланома диагностируется у людей со светлой кожей, имеющих более 50 родинок и веснушек. В группе риска также находятся те, кто часто посещает солярии или долго находится на солнце, например, работники сельского хозяйства или торговли. Наиболее подвержены заболеванию спина у мужчин и ноги у женщин, реже поражаются стопы, ладони, слизистые оболочки рта и половых органов. Меланома может возникнуть даже в молодом возрасте.
Проявления меланомы кожи
- Неприятные ощущения в области родинки.
- Выпадение волос с поверхности невуса.
- Изменение цвета (потемнение, осветление, неравномерная окраска).
- Появление язв на родинке.
- Кровоточивость.
- Активный рост, увеличение в два раза за полгода.
- Размер родинки более 7 мм.
- Асимметричные неровные края.
- Нечеткие границы.
- Исчезновение морщин на поверхности.
- Появление узлов.
- Часто меланома окружена красной воспалительной каймой.
Диагностика меланомы
На первом этапе врач проводит осмотр с использованием лупы или дерматоскопа. Подозрительные родимые пятна оцениваются по критериям: асимметрия, нечеткие границы, неравномерная окраска, диаметр более 6 мм. Если выявлены настораживающие признаки, родинку удаляют.
Гистологическое исследование
Хирург удаляет подозрительную родинку и часть окружающей ткани. Полученный материал отправляется в лабораторию, где его обрабатывают, нарезают на тонкие срезы, окрашивают и изучают под микроскопом. Врач определяет глубину прорастания и интенсивность деления клеток.
Не рекомендуется проводить предоперационную биопсию, при которой берется лишь небольшой фрагмент новообразования, так как это может привести к быстрому распространению опухоли и образованию метастазов.
Опасна ли меланома для жизни?
Опасность для жизни зависит от стадии меланомы. Если она не затронула глубокие слои кожи и не дала метастазы, шансы на полное выздоровление высоки. Однако на четвертой стадии рака кожи выживаемость составляет всего 15-20% на протяжении более 5 лет.
Ученые отметили, что меланома на стопе, ладони или вблизи ногтя представляет большую угрозу для жизни по сравнению с новообразованиями на других участках тела.
Стадии рака кожи
Рак кожи проходит несколько этапов развития.
0 стадия – раковые клетки начинают формироваться в верхнем слое кожи. Заболевание часто обнаруживается случайно при обследовании. Лечение на этом этапе эффективно на 100%.
1 стадия – размер опухоли до 2 см в диаметре. Она прорастает в глубокие слои эпидермиса, метастазы в лимфатических узлах отсутствуют. При правильном лечении возможно полное выздоровление.
2 стадия – опухоль достигает 2-5 см и проникает во все слои кожи. Может вызывать дискомфорт: боль, зуд, жжение. На этом этапе возможен одиночный метастаз в лимфатическом узле, признаки рака становятся заметными. Выживаемость после лечения около 50%.
3 стадия – опухоль превышает 5 см и вызывает значительный дискомфорт, на поверхности могут появляться язвы. Рак проникает в мышцы, хрящи и кости. Пациенты могут испытывать повышение температуры и общее ухудшение состояния. Метастазы образуются в ближайших лимфатических узлах, отдаленные органы не затрагиваются. Примерно 30% пациентов живут более 5 лет после лечения.
4 стадия – опухоль крупная, с неровными краями, покрытая язвами и корками. Рак вызывает выраженную интоксикацию: похудение, слабость, тошноту и головную боль. Метастазы могут затрагивать жизненно важные органы, такие как легкие, печень и кости. Средняя выживаемость после лечения составляет 20%.
В отличие от других форм рака кожи, базальноклеточный рак не имеет четких стадий. Опухоль увеличивается в размерах, разрушая окружающие ткани.
Диагностика рака кожи
Диагностика рака кожи включает несколько ключевых этапов.
Самостоятельная проверка
Не реже чем раз в полгода осматривайте кожу перед зеркалом. Попросите близких помочь проверить труднодоступные участки. Обратитесь к врачу, если заметите подозрительное шелушащееся пятно, незаживающую язву, блестящий узелок или асимметричную родинку с неоднородным цветом.
Осмотр врача
Во время консультации врач осматривает кожу с помощью лупы или микроскопа для детального изучения образования.
Биопсия
Это процедура, при которой берется образец ткани из опухоли для анализа. Существуют несколько методов биопсии:
- специальным инструментом, похожим на полую иглу, извлекается ткань из узлов;
- с помощью скальпеля вырезается участок опухоли;
- острым лезвием удаляется нарост целиком;
- опухоль удаляется с окружающими тканями.
Перед процедурой участок кожи обезболивается, что делает процесс комфортным. Собранный материал отправляется в лабораторию для цитологического и гистологического анализа.
Цитологическое исследование при раке кожи
Изучение клеточной структуры и ее компонентов: органелл, ядра и цитоплазмы. Основная задача исследования – определить, является ли новообразование доброкачественным или содержит раковые клетки, а также выяснить состав опухоли и тип рака. Ожидание результатов – около 5 дней.
Разные опухоли реагируют на различные методы лечения (хирургия, радиотерапия, химиотерапия). Цитологическое исследование важно для выбора эффективного подхода к лечению рака.
Материалом для цитологического анализа служат:
- образцы из биопсии;
- отпечатки на предметном стекле, очищенные от корок опухоли.
Признаки злокачественной опухоли:
- Атипичные клетки, не соответствующие нормальным формам.
- Крупные темные ядра клеток.
- Неспециализированные клетки, не выполняющие свои функции.
- Молодые клетки с признаками активного деления.
Гистологическое исследование при раке кожи
Материал биопсии обрабатывают парафином для затвердевания, затем нарезают специальным оборудованием и окрашивают. Срезы толщиной несколько микрон позволяют оценить изменения в тканях. Результаты анализа будут готовы через 5-7 дней.
На основе специфических характеристик врач определяет степень агрессивности опухоли и выбирает метод лечения.
Признаки рака кожи:
- Скопления атипичных клеток округлой или веретенообразной формы.
- Клетки с увеличенными ядрами, остальные органеллы маленькие или недоразвиты.
- Скопления клеток, окруженные ободком цитоплазмы.
Биохимические методы исследования рака кожи
На данный момент ученым не удалось выявить специфические онкомаркеры, которые выделяются в кровь при раке кожи. Эти белковые соединения могли бы помочь в ранней диагностике и определить предрасположенность к заболеванию.
На 3 и 4 стадиях заболевания биохимический анализ крови показывает повышенный уровень фермента лактатдегидрогеназы, превышающего 250 Ед/л. Это вещество начинает выделяться на поздних этапах, когда образуются метастазы. Однако высокие показатели могут также указывать на другие заболевания, такие как сердечная недостаточность, пневмония или миопатии. Поэтому этот анализ не может служить окончательным подтверждением диагноза «рак кожи».
Радиоизотопное исследование рака кожи
Позитронно-эмиссионная томография (ПЭТ) — метод диагностики, основанный на обнаружении радиоизотопов фосфора. Этот изотоп указывает на местоположение раковых клеток, позволяя выявить даже мелкие опухоли и метастазы. Метод требует дорогостоящего оборудования, доступного не во всех городах, а стоимость процедуры составляет около 20 000 рублей.
Дополнительные исследования проводятся при диагностировании рака кожи на 3-4 стадии для определения наличия метастазов:
- Рентгенография органов грудной клетки
- Магнитно-резонансная томография (МРТ)
- Компьютерная томография (КТ)
- Ультразвуковое исследование (УЗИ) лимфатических узлов
Особенности диагностики разных видов рака кожи
-
Плоскоклеточный рак кожи
- Дерматоскопия. Специалист осматривает кожу с помощью дерматоскопа для увеличения изображения.
- Биопсия и гистологическое исследование. Эти процедуры определяют тип опухоли.
-
Базальноклеточный рак кожи
- Дерматоскопия. Врач исследует подозрительные образования и язвы с помощью лупы или дерматоскопа.
- Цитологическое исследование. При отсутствии повреждений узелка выполняется соскоб или биопсия. Для язв на очищенной коже прикладывается предметное стекло для получения отпечатка клеток опухоли.
- Гистологическое исследование. Образцы тканей берутся с помощью скальпеля или иглы для анализа под микроскопом.
-
Меланома кожи
- Дерматоскопия – осмотр кожных образований с увеличительным устройством.
- Биопсия. Подозрительное родимое пятно полностью удаляется для анализа.
- Цитологическое исследование. Врач изучает структуру клеток родинки (меланоцитов) под микроскопом на наличие раковых признаков.
Если методы диагностики выявляют рак кожи 2-4 степени, назначаются дополнительные исследования для выявления метастазов.
Лечение рака кожи
Метод лечения зависит от локализации опухоли, ее типа, структуры и стадии.
Операция или хирургическое иссечение опухоли
Показания к операции
- Опухоль больших размеров;
- Глубокое повреждение кожи на туловище или конечностях;
- Образование на месте рубца;
- Рецидив опухоли после лучевой терапии.
Методика проведения операции
При раке кожи 1-2 стадии операция проводится амбулаторно с местной анестезией. Врач удаляет новообразование скальпелем или электрической петлей. Удаленные ткани отправляются на гистологическое исследование для определения наличия злокачественных клеток. Если результат отрицательный, операция считается успешной; в противном случае удаляются более глубокие слои тканей.
При раке кожи 3-4 степени поражается подкожная клетчатка и могут образовываться метастазы. Операция в таких случаях проводится под общим наркозом. Хирург удаляет опухоль и часть подкожной клетчатки, затем выполняет пластику для минимизации дефекта. Следующий этап включает удаление метастазов из лимфоузлов и других органов.
Метод Мосса применяется для лечения базальноклеточного и плоскоклеточного рака кожи. Хирург снимает тонкие слои опухоли и анализирует их под микроскопом. Процедура повторяется до получения «чистого» среза, что позволяет удалить все раковые клетки с минимальным повреждением здоровой ткани.
Для закрепления результатов и предотвращения рецидива может потребоваться курс лучевой терапии.
Эффективность
Хирургический метод лечения рака кожи является одним из самых распространенных и эффективных. Его преимущества:
- возможность полного удаления всех раковых клеток за один день;
- контроль качества операции через проверку краев резекции;
- возможность удаления опухоли любого размера;
- относительно низкий риск рецидива.
Лучевая терапия при раке кожи
Лучевая терапия при раке кожи используется как самостоятельный метод и в сочетании с хирургическим удалением опухоли. В лечении применяются рентгеновские лучи, гамма-, бета- и нейтронное излучение.
Существуют схемы, минимизирующие воздействие на здоровые клетки. В раковых клетках разрушаются молекулы, что приводит к их неспособности к размножению или гибели.
Показания
- Невозможность операции из-за противопоказаний к наркозу;
- Лечение рецидивирующего рака кожи;
- Необходимость достижения хорошего косметического результата;
- Значительный размер опухоли;
- Локализация опухоли в труднодоступных местах;
- Расположение опухоли вдали от жизненно важных органов и крупных сосудов.
Методика
Лечение рака кожи осуществляется контактным методом, который считается эффективным и безопасным для окружающих тканей. Врач определяет дозу облучения, продолжительность процедуры и количество сеансов.
Вы располагаетесь на кушетке и стараетесь оставаться неподвижным. Излучатель прикладывается к опухоли, и проводится сеанс радиотерапии, который длится до 10 минут. Во время процедуры боли или неприятных ощущений не возникает. После сеанса рекомендуется отдохнуть 20-30 минут, после чего можно отправляться домой.
Во время лечения радиация не накапливается в организме, поэтому после процедуры можно общаться с окружающими без опасений.
Эффективность
Лучевая терапия по эффективности сопоставима с хирургическим методом, но менее травматична. На ранних стадиях заболевания этот метод обеспечивает выздоровление в 95% случаев. Его применяют как самостоятельно, так и после операции или в комбинации с химиотерапией. Наилучшие результаты достигаются при лечении базальноклеточного и плоскоклеточного рака кожи.
Химиотерапия
Химиотерапия — это метод лечения рака кожи с использованием токсичных веществ, которые повреждают раковые клетки и замедляют их размножение.
Показания
- Лечение небольших опухолей мазями;
- Рецидивы базально-клеточного рака;
- Обширные опухоли, не подлежащие хирургическому удалению (лечение внутривенно);
- Рак кожи 3 и 4 стадии с множественными рецидивами;
- Отказ пациента от хирургического вмешательства.
Методика
На ранних стадиях (1 и 2) применяются 30% проспидиновая мазь или эмульсия фторурацила, которые наносятся под повязки на 3-4 недели.
При наличии метастазов химиопрепараты вводятся внутривенно капельно. Используется Цисплатин в дозе 25 мг/м² с 1-го по 5-й день и Метотрексат в дозе 15 мг/м² в 1-й, 8-й и 15-й дни. Интервал между курсами — 3 недели, продолжительность лечения зависит от стадии.
Эффективность
Химиотерапия успешно дополняет хирургические вмешательства и лучевую терапию, но как самостоятельный метод применяется реже из-за длительности лечения и возможных побочных эффектов.
Щадящие методы лечения
Применяются при раке кожи первой и второй степени с небольшими опухолями.
- Криотерапия – метод замораживания опухоли с использованием жидкого азота при -190 градусов.
- Лазерная деструкция – процедура выжигания опухоли лазером, в ходе которой злокачественные клетки теряют воду и высыхают.
- Местное медикаментозное лечение. С помощью электрофореза в кожу вводят цитостатики, замедляющие рост раковых клеток: Проспидин, Блеомицин, Циклофосфамид, Метотрексат.
В заключение: рак кожи – злокачественная опухоль, легко диагностируемая среди других онкозаболеваний. На ранних стадиях ее можно устранить за один день. Важно следить за здоровьем и обращаться к врачу при появлении подозрительных образований, язв или родинок.
30 причин рака, о которых вы могли не знать
Вопрос-ответ
Каковы признаки онкологии кожи?
Признаки онкологии кожи могут включать появление новых или изменение существующих родинок, которые становятся асимметричными, имеют неровные края, изменяют цвет или размер, а также могут кровоточить или зудеть. Также стоит обратить внимание на любые необычные образования на коже, которые не заживают или выглядят воспаленными. Если вы заметили такие изменения, рекомендуется обратиться к дерматологу для обследования.
Каковы причины рака кожи?
Основной причиной рака кожи считается ультрафиолетовое излучение. По подсчетам ученых, 93% случаев заболеваний связано с воздействием солнечных лучей. При этом наибольшему риску подвергаются люди с белой кожей, веснушками, голубыми глазами и светлыми волосами.
Как лечат рак кожи?
Практически все известные методы лечения рака используются также и в лечении плоскоклеточной карциномы кожи: хирургия, лучевая терапия, химиотерапия, криотерапия (криодеструкция). Данный тип рака кожи редко дает отдаленные метастазы, а только в лимфоузлы, что повышает шансы на безрецидивное лечение.
Что можно спутать с раком кожи?
Рак кожи можно спутать с различными кожными заболеваниями, такими как экзема, псориаз, бородавки, родинки и меланомы, а также с доброкачественными опухолями, такими как кератоакантомы или базалиомы. Эти состояния могут иметь схожие симптомы, такие как изменения в цвете, форме или текстуре кожи, поэтому важно обратиться к дерматологу для точной диагностики.
Советы
СОВЕТ №1
Регулярно проверяйте свою кожу на наличие изменений. Обратите внимание на новые родинки или изменения в существующих, такие как изменение цвета, размера или формы. Если вы заметили что-то подозрительное, не откладывайте визит к дерматологу.
СОВЕТ №2
Используйте солнцезащитный крем с высоким SPF, даже в облачные дни. Ультрафиолетовые лучи могут повредить кожу и увеличить риск развития рака кожи. Наносите крем за 30 минут до выхода на улицу и обновляйте его каждые два часа.
СОВЕТ №3
Избегайте соляриев и чрезмерного загара. Искусственный загар и длительное пребывание на солнце без защиты значительно увеличивают риск развития рака кожи. Рассмотрите альтернативные методы получения загара, такие как автозагары.
СОВЕТ №4
Следите за своим общим состоянием здоровья и иммунной системой. Здоровый образ жизни, включая сбалансированное питание, регулярные физические нагрузки и отказ от курения, может помочь снизить риск развития различных видов рака, включая рак кожи.














