Пульпит зуба – воспаление мягких тканей внутри зуба, которое может вызвать серьезные осложнения при отсутствии своевременной диагностики и лечения. В статье рассмотрим основные причины пульпита, его симптомы и современные методы лечения, которые помогут сохранить зуб и предотвратить дальнейшие проблемы со здоровьем. Эти знания помогут читателям лучше понимать свое состояние и принимать обоснованные решения о визите к стоматологу.
Пульпит – причины
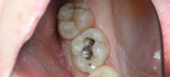
Воспаление пульпы зуба возникает в результате проникновения микроорганизмов в мягкие ткани зуба, что часто происходит при развитии глубокого кариеса. Микробы могут попасть в пульпу как косвенно, через дентинные канальцы, так и напрямую, если пульпа была вскрыта. Существует множество факторов, способствующих развитию пульпита, однако одной из основных причин считается ретроградная инфекция. Она проникает в зубные каналы через отверстия, образующиеся при кариесе. Инфекция не появляется на пустом месте; она развивается на фоне хронических заболеваний полости рта.
Существует несколько причин, по которым пульпит может развиться из-за попадания бактерий:
- Кариесогенный. При наличии кариеса микроорганизмы проникают в нервные каналы через образовавшиеся отверстия. Защитный твердый слой зуба истончается, и возникают микротрещины, через которые бактерии легко проникают в пульповую камеру, что становится началом пульпита.
- Пародонтальный. Хирургические вмешательства, такие как рассечение или иссечение десны, также могут стать причиной воспаления пульпы.
- Гематогенный. В этом случае инфекция проникает в пульпу через кровеносные сосуды и лимфатическую систему. Зуб может выглядеть внешне здоровым, но пульпа уже подвергается изменениям.
Существуют также причины, по которым наличие бактерий не играет значительной роли:
- Травмы зуба различной природы, включая надломы, неправильную обточку, коронки и их обломки, а также некачественное лечение.
- Повреждение тканей, окружающих зуб.
- Воздействие на зуб ультразвука различных частот.
- Влияние химических веществ, используемых при пломбировке. Кроме того, пульпит может возникнуть из-за температурных изменений во время обточки или лечения зуба.
Пульпит зуба является распространенной стоматологической проблемой, и его причины могут варьироваться от кариеса до травм зуба. Эксперты отмечают, что запущенные формы кариеса, когда бактерии проникают в пульпу, являются основным фактором развития этого заболевания. Кроме того, неправильная гигиена полости рта и недостаточное внимание к зубным проблемам могут усугубить ситуацию.
Современное лечение пульпита включает как медикаментозные, так и хирургические методы. В начальных стадиях заболевания стоматологи часто применяют консервативные методы, такие как лечение корневых каналов, что позволяет сохранить зуб. В более сложных случаях может потребоваться удаление зуба. Важно отметить, что своевременное обращение к специалисту и регулярные профилактические осмотры играют ключевую роль в предотвращении пульпита и его осложнений.
https://youtube.com/watch?v=90hwypIKs_s
Формы пульпита
Существует три ключевых типа пульпита:
- Острая форма. В эту категорию входят: диффузный, очаговый пульпит и травматический.
- Хроническая форма. К этому типу относятся: гангренозный, фиброзный и гипертрофический пульпит. Также сюда включаются все разновидности обострений хронического процесса.
| Категория | Причины пульпита | Современные методы лечения |
|---|---|---|
| Инфекционные | Глубокий кариес (наиболее частая причина) | Консервативное (биологическое): Прямое/непрямое покрытие пульпы (при обратимом пульпите) |
| Некачественное пломбирование (вторичный кариес под пломбой) | Хирургическое (эндодонтическое): Девитальная экстирпация (удаление пульпы после девитализации) | |
| Травма зуба с обнажением пульпы | Хирургическое (эндодонтическое): Витальная экстирпация (удаление живой пульпы под анестезией) | |
| Пародонтит (распространение инфекции через апикальное отверстие) | Хирургическое (эндодонтическое): Ампутация пульпы (частичное удаление коронковой пульпы) | |
| Травматические | Острая травма (удар, перелом зуба) | Хирургическое (эндодонтическое): Реплантация зуба (при вывихе) |
| Хроническая травма (бруксизм, неправильный прикус) | Дополнительно: Восстановление коронковой части зуба (пломба, вкладка, коронка) | |
| Ятрогенные повреждения (перегрев зуба при препарировании, химическое раздражение) | Дополнительно: Использование современных анестетиков и инструментов (микроскоп, эндомотор) | |
| Химические | Воздействие агрессивных химических веществ (кислоты, щелочи) | Дополнительно: Применение биосовместимых материалов для пломбирования каналов |
| Термические | Перегрев зуба при препарировании без адекватного охлаждения | Дополнительно: Лазерное лечение (для стерилизации каналов) |
| Резкие перепады температур (например, при употреблении очень горячей/холодной пищи) | Дополнительно: Физиотерапия (для снятия воспаления) | |
| Другие | Системные заболевания (редко, но возможно) | Дополнительно: В некоторых случаях — удаление зуба (при невозможности сохранения) |
Интересные факты
Вот несколько интересных фактов о пульпите зуба, его причинах и современном лечении:
-
Причины пульпита: Пульпит чаще всего возникает из-за кариеса, который проникает глубоко в зуб, но также может быть вызван травмами зуба, перегревом или переохлаждением, а также химическими воздействиями. Интересно, что даже микротрещины в эмали могут привести к воспалению пульпы, так как они создают условия для проникновения бактерий.
-
Современные методы лечения: В последние годы в стоматологии активно применяются методы, такие как терапевтическое лечение с использованием биоматериалов, которые способствуют регенерации пульпы. Например, использование стволовых клеток из зубной пульпы или специальных гелей может помочь восстановить здоровье зуба без необходимости удаления пульпы.
-
Симптомы и диагностика: Пульпит может проявляться не только болями в зубе, но и иррадиирующими болями в челюсти или голове. Современные технологии, такие как цифровая рентгенография и 3D-сканирование, позволяют стоматологам более точно диагностировать состояние пульпы и выбирать оптимальный метод лечения, что значительно повышает эффективность терапии.
https://youtube.com/watch?v=jgsm0V5q3ic
Воспаление пульпы – симптомы
Воспаление пульпы зуба проявляется болевыми ощущениями в пораженной области. При хроническом пульпите боль возникает лишь во время обострений. В случае острого пульпита дискомфорт, как правило, очень интенсивный и постоянный. В обоих вариантах болезненные ощущения усиливаются в ночное время.
Кроме болей, можно выделить и другие характерные признаки:
- кариозная эмаль, имеющая серый или черный оттенок;
- кровоточивость десен;
- повышенная температура тела (реакция организма на обострение);
- бессонница и головные боли.
Острый пульпит
Острый пульпит представляет собой воспалительный процесс, затрагивающий пульпу зуба и нервные окончания. Симптомы пульпита, как правило, проявляются остро и могут возникать как у мужчин, так и у женщин. Дети менее подвержены этому заболеванию, однако у них чаще встречается запущенная хроническая форма, которая проявляется менее выраженными симптомами.
Острая форма пульпита делится на три основных типа:
-
Очаговый пульпит – это начальная стадия воспаления пульпы. Основной причиной его возникновения являются микроорганизмы, проникающие в мягкие ткани зуба через кариес. Часто заболевание возникает из-за некачественной работы стоматолога, который может занести бактерии в зубную камеру. В этом случае они начинают активно размножаться. Если процесс происходит в закрытой зубной камере, его можно легко устранить. Однако при открытом зубе инфицирование соседних зубов становится неизбежным, и здесь требуется хирургическое вмешательство.
-
Диффузный пульпит – это быстро развивающееся заболевание, которое является осложнением очаговой формы. В этом случае воспаление проникает в корень зуба, вызывая сильную, пронизывающую боль, которая может иррадиировать в голову. Пациент часто не может точно определить, какой зуб болит, так как болевые ощущения охватывают пораженную половину челюсти. Установить источник боли может только стоматолог, используя простукивание и промывание зубной эмали.
-
Травматический пульпит – возникает в результате повреждения зуба различными способами. Это может быть следствием неосторожного лечения каналов, когда стоматологический инструмент повредил пульпу, или же из-за обнажения пульпы при сколе зуба или вскрытии рога пульпы во время лечения кариеса. В любом из этих случаев первым симптомом является резкая боль при прикосновении к зубу, а также реакция на холодное и горячее. Не стоит откладывать визит к стоматологу.
Хронический пульпит
Боли, возникающие при пульпите, могут иметь хронический характер. В этом случае воспалительный процесс продолжается длительное время, в течение которого зуб претерпевает значительные изменения. При хронической форме боли проявляются в моменты обострения, а в остальное время человек не ощущает дискомфорта. Для диагностики заболевания применяются осмотр и рентгенографическое исследование.
Существует три типа хронического пульпита:
-
Фиброзный пульпит – характеризуется увеличением соединительной ткани с волокнистой структурой в полости зуба. Симптомы включают постоянное ощущение тяжести в зубе, ноющую боль, а также реакцию пульпы на термические, механические и химические воздействия. Диагностика осуществляется через осмотр и рентгенографию.
-
Гангренозный пульпит – это поздняя стадия заболевания, при которой происходит некроз тканей пульпы из-за проникновения патогенных бактерий и размягчения твердых тканей. Обычно инфекция проникает через кариозную полость, образовавшуюся в зубе. В ходе болезни цвет зуба меняется от желто-серого до темно-коричневого, появляется резкий гнилостный запах изо рта, а боль усиливается при попадании в полость кусочков пищи.
-
Гипертрофический пульпит – это запущенная форма, возникающая в результате проникновения кариозных бактерий в пульпу. Основной особенностью является образование полипа. Симптомы выражены слабо, поэтому заболевание можно выявить только на плановом осмотре у стоматолога. Единственным заметным признаком является кровоточивость зуба, вызванная разрастанием грануляционной ткани.
Диагностика пульпита
Методы диагностики воспаления пульпы зуба включают несколько ключевых этапов:
- Первоначальный опрос пациента стоматологом. Врач выясняет, испытывает ли пациент боль, а также уточняет ее продолжительность и интенсивность, чтобы составить полное представление о заболевании.
- Далее следует осмотр зубов. С помощью специального инструмента и зеркала стоматолог проверяет наличие кариеса. Зубы с повреждениями простукиваются и продуваются, чтобы оценить их состояние. Кроме того, врач может провести температурные пробы, воздействуя на пораженный зуб как холодом, так и теплом, а также выполнить зондирование для определения степени заболевания.
- На заключительном этапе выполняется электроодонтодиагностика или рентгенография. В первом случае через нерв зуба пропускается электрический ток для оценки его жизнеспособности, а во втором – выявляются участки поражения.
Лечение пульпита
Пульпит зуба – это заболевание, которое требует внимания и правильного лечения. В данной статье мы рассмотрим, что такое пульпит, как его лечить и какие современные методы доступны. Прежде всего, стоит отметить, что на ранних стадиях пульпит можно вылечить, сохранив зубной нерв. Если пациент обращается к стоматологу на начальном этапе болезни, врач вскрывает зуб и проводит оценку состояния пульпы. Если она находится в удовлетворительном состоянии, пульпу обрабатывают специальной повязкой, пропитанной гидроксидом кальция, и закрывают временной пломбой. Если через несколько дней воспаление уменьшается, стоматолог устанавливает постоянную пломбу.
Пульпит зуба – как снять боль?
Пульпит зуба, лечение которого намечено на ближайшее время, требует срочного облегчения боли:
- Обезболивающие препараты. Чтобы избавиться от болевого синдрома, можно использовать средства, снимающие боль. К ним относятся: Нимесулид, Пенталгин, Кетонал.
- Противовоспалительные средства: Нурофен, Диклофенак. Эти препараты помогут уменьшить боль и окажут противовоспалительное действие до визита к стоматологу.
- Противомикробные лекарства: Метрогил-дента, Бетадин. Они обеспечивают местное противомикробное воздействие и могут быть использованы совместно с обезболивающими средствами.
Методы лечения пульпита
Существует два весьма действенных подхода к лечению:
-
Биологический метод лечения пульпита. При этом способе нервные окончания зуба остаются нетронутыми. Пульпа покрывается специальной тканью с раствором гидроксида кальция и оставляется в покое на несколько дней под временной пломбой. Затем проводится рентгеновский контроль, и если результаты положительные, зуб запечатывают постоянным материалом. Этот метод показывает высокую эффективность в острой стадии заболевания и требует высокой квалификации врача.
-
Хирургический метод. Суть данного подхода заключается в удалении пульпы из зубной полости. Лечение пульпита с помощью витальной экстирпации осуществляется под анестезией. Сначала удаляется пораженная кариесом область, затем полость обрабатывается антисептическим раствором. После этого извлекается нерв, и зуб запечатывается. Этот метод не рекомендуется людям с аллергией на анестетики. Если витальный метод противопоказан, используется девитальный. В этом случае на пульпу воздействуют токсичными веществами, которые помещаются в зуб на 24-48 часов. За это время пульпа отмирает, и ее можно легко удалить на следующем визите. После этого зуб пломбируется.
Лечение пульпита – этапы
Как стоматологи лечат пульпит поэтапно:
- Сбор информации. Врач проводит опрос пациента, чтобы выяснить ключевые моменты, касающиеся его состояния.
- Обследование. Стоматолог внимательно осматривает ротовую полость на предмет поврежденных зубов. Каждый зуб проверяется на наличие проблем путем простукивания, продувания и визуального осмотра.
- Рентгенографическое исследование. Если это необходимо, пораженный зуб исследуется с помощью рентгена, после чего принимается решение о методах лечения.
- Удаление кариеса. Зуб очищается от кариозных тканей, и каналы открываются для дальнейшей работы.
- Очистка каналов и удаление пульпы. С помощью специализированных инструментов удаляется пульпа, а каналы зуба тщательно очищаются.
- Установка пломбы. На зуб устанавливается пломба, которая затем обрабатывается для достижения нужной формы.
Пульпит зуба мудрости: лечить или удалять?
Воспаление пульпы зуба, требующее обязательного лечения, вызывает у многих людей вопрос: стоит ли вообще заниматься его лечением? Существует мнение, что зубы мудрости не играют роли в процессе жевания и являются ненужными. Они более подвержены кариозным поражениям, что связано с тем, что десна закрывает их поверхность, затрудняя очищение от бактерий. Решение о том, удалять их или нет, может принять только стоматолог.
Существуют ситуации, когда удаление зуба мудрости не рекомендуется:
- Зуб находится в правильном положении в зубном ряду и участвует в жевании.
- Намечена установка протезов. Зубы мудрости обладают высокой прочностью и часто используются в качестве опоры для протезов.
- Разрушение зуба вызвано кариесом. В этом случае полость зуба очищается от вредных бактерий, и зуб может быть сохранен.
Болит зуб после лечения пульпита
Лечение пульпита без удаления нерва представляет собой длительный и сложный процесс как для пациента, так и для стоматолога. После процедуры зуб может некоторое время реагировать болевыми ощущениями, что является нормальным явлением при девитальной экстирпации. Однако, если нерв был удален в процессе лечения, наличие боли впоследствии может указывать на серьезные ошибки врача при извлечении пульпы. Для успокоения рекомендуется сделать рентгеновский снимок, чтобы убедиться, что в канале не осталось фрагментов инструмента и что вся пораженная область была полностью очищена.
Профилактика пульпита
Пульпит — это заболевание, с симптомами и лечением которого сталкивается почти каждый второй человек в стране, и оно значительно ухудшает качество жизни. Лечение пульпита представляет собой сложную задачу, поэтому лучше предотвратить его развитие:
- Необходимо своевременно устранять кариес.
- Регулярно посещайте стоматолога.
- Чистите зубы дважды в день.
- Ведите здоровый образ жизни. Соблюдая эти рекомендации, вы сможете навсегда забыть о пульпите.
https://youtube.com/watch?v=TIoPVaIn86Q
Последствия нелеченого пульпита
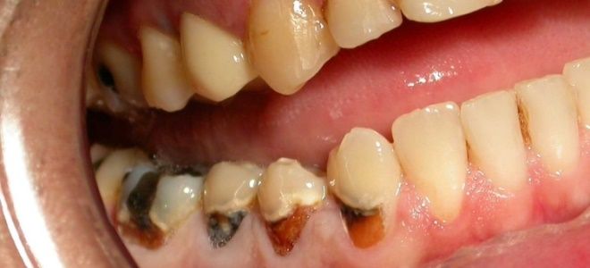
Пульпит зуба, если его не лечить, может привести к серьезным последствиям для здоровья как самого зуба, так и всего организма. Основной проблемой является то, что воспаление пульпы, которое является мягкой тканью внутри зуба, может прогрессировать и вызывать различные осложнения.
Одним из наиболее распространенных последствий нелеченого пульпита является развитие периодонтита. Это воспаление тканей, окружающих корень зуба, которое может привести к образованию абсцесса. Абсцесс представляет собой скопление гноя, которое может вызывать сильную боль, отек и даже лихорадку. В некоторых случаях инфекция может распространиться на другие участки тела, что приводит к более серьезным заболеваниям, таким как остеомиелит или сепсис.
Кроме того, нелеченый пульпит может привести к потере зуба. Воспаление и инфекция могут ослабить структуру зуба, что делает его более подверженным разрушению. В конечном итоге это может потребовать удаления зуба, что не только влияет на эстетику улыбки, но и может вызвать проблемы с жеванием и смещением соседних зубов.
Еще одним важным аспектом является то, что хронический пульпит может стать источником постоянного дискомфорта и боли. Пациенты могут испытывать периодические обострения, которые могут негативно сказаться на качестве жизни, приводя к бессоннице, раздражительности и снижению работоспособности.
Наконец, нелеченый пульпит может оказать влияние на общее состояние здоровья. Хронические инфекции могут ослабить иммунную систему, что делает организм более уязвимым к другим заболеваниям. Исследования показывают, что инфекции полости рта могут быть связаны с сердечно-сосудистыми заболеваниями, диабетом и другими системными заболеваниями.
Таким образом, игнорирование симптомов пульпита и отсутствие своевременного лечения могут привести к серьезным и потенциально опасным последствиям. Поэтому важно обращаться к стоматологу при первых признаках воспаления, чтобы избежать дальнейших осложнений и сохранить здоровье зубов и всего организма.
Вопрос-ответ
Каковы причины пульпита?
Почему развивается пульпит? Наиболее частая причина – глубокий кариес. Углубляясь, кариозная полость становится причиной проникновения в ткани пульпы микробов. Инфекция может попасть непосредственно на пульпу (прямое проникновение) или через дентальные канальцы в толще дентина.
Какова этиология пульпита?
Этиология. Воспаление пульпы всегда обусловлено попаданием инфекции в пульповую камеру. Это может происходить двумя путями: интрадентально (через коронку зуба) и ретроградно (через апикальное, расположенное на верхушке зуба, отверстие). Чаще всего пульпит является осложнением кариеса.
Может ли пульпит пройти сам по себе?
Самостоятельно пульпит пройти не может, потому что это воспалительный процесс.
Советы
СОВЕТ №1
Регулярно посещайте стоматолога для профилактических осмотров. Это поможет выявить проблемы на ранних стадиях и предотвратить развитие пульпита.
СОВЕТ №2
Обратите внимание на гигиену полости рта. Чистите зубы дважды в день и используйте зубную нить, чтобы предотвратить накопление бактерий и образование кариеса, который может привести к пульпиту.
СОВЕТ №3
Не игнорируйте симптомы, такие как боль в зубах или чувствительность к горячему и холодному. При первых признаках дискомфорта обращайтесь к стоматологу для диагностики и лечения.
СОВЕТ №4
Изучите современные методы лечения пульпита, такие как эндодонтическое лечение (лечение корневых каналов). Это поможет вам лучше понять процесс и снизить страх перед процедурой.





