Рак костей — серьезное онкологическое заболевание, влияющее на качество жизни и физическое состояние пациента. В статье рассмотрим виды опухолей костей, такие как остеома и остеосаркома, их признаки и симптомы, что поможет распознать опасные проявления. Обсудим методы диагностики и лечения, чтобы лучше понять процесс борьбы с заболеванием и важность раннего обращения за медицинской помощью. Эта информация будет полезна пациентам и их близким для повышения осведомленности о раке костей и его последствиях.
Злокачественные опухоли костей – классификация
В клинической практике специалисты применяют несколько классификаций опухолей одновременно. Наибольшей популярностью пользуется система, в которой опухоли костей делятся в зависимости от характера изменений в тканях. В соответствии с этой классификацией выделяют:
- Остеосаркому – это наиболее распространенный вид. Она чаще всего встречается у детей и молодежи. Может возникать в любых костях, но чаще всего наблюдается в берцовых и бедренных костях.
- Хондросаркому – опухоль, формирующаяся из хрящевой ткани, чаще всего затрагивает кости таза, предплечья, бедренные кости, лопатки, ребра и череп.
- Саркому Юинга – этот вид опухоли в основном поражает бедренные кости, ребра и кости таза; в некоторых случаях клетки опухоли могут проникать в окружающие мягкие ткани.
Эксперты в области онкологии подчеркивают, что рак костей может проявляться в различных формах, включая остеосаркому, хондросаркому и саркому Юинга. Каждая из этих опухолей имеет свои особенности и требует индивидуального подхода к лечению. Симптомы, как правило, включают боль в пораженной области, отеки и ограничение подвижности. Важно отметить, что ранняя диагностика играет ключевую роль в успешном лечении. Современные методы включают хирургическое вмешательство, химиотерапию и радиотерапию, которые могут применяться как в комбинации, так и по отдельности. Эксперты настоятельно рекомендуют регулярные обследования для выявления заболевания на ранних стадиях, что значительно повышает шансы на выздоровление.
https://youtube.com/watch?v=X-wnSteiujo
Рак костей – причины
Опыт показывает, что опухоли костей могут возникать в различных участках скелета. Наиболее часто наблюдаются поражения длинных трубчатых костей, таких как бедренная, плечевая и большеберцовая. Ребра, кости таза и лопатки затрагиваются реже. Рак костей развивается, когда клетки костной ткани претерпевают значительные изменения и начинают делиться с высокой скоростью, что приводит к неконтролируемому процессу. Это объясняет, почему данная патология чаще встречается у молодежи и детей, когда происходит активный рост костной ткани.
Что касается причин, способствующих развитию этой болезни, то они до конца не выяснены. Тем не менее, онкологи выделяют несколько факторов, которые могут повысить риск возникновения данной патологии:
- предшествующее проведение лучевой терапии;
- болезнь Педжета;
- болезнь Олье;
- синдром Ли-Фраумени;
- ретинобластома;
- врожденная пупочная грыжа.
| Вид опухоли | Симптомы | Методы лечения |
|---|---|---|
| Остеосаркома | Боль в кости (усиливается ночью), припухлость, хромота, ограничение движений, патологические переломы. | Химиотерапия, хирургическое удаление опухоли (с сохранением конечности или ампутация), лучевая терапия. |
| Хондросаркома | Тупая боль, припухлость, ограничение подвижности сустава, иногда прощупываемое образование. | Хирургическое удаление опухоли (широкое иссечение), лучевая терапия (при некоторых подтипах), химиотерапия (редко). |
| Саркома Юинга | Боль в кости (часто усиливается ночью), лихорадка, потеря веса, припухлость, утомляемость. | Химиотерапия, хирургическое удаление опухоли, лучевая терапия. |
| Фибросаркома | Боль, припухлость, ограничение движений, иногда патологические переломы. | Хирургическое удаление опухоли, лучевая терапия, химиотерапия (при агрессивных формах). |
| Злокачественная фиброзная гистиоцитома (МФГ) | Боль, припухлость, иногда патологические переломы. | Хирургическое удаление опухоли, лучевая терапия, химиотерапия. |
| Хордома | Боль в области позвоночника или основания черепа, неврологические нарушения (слабость, онемение), проблемы с глотанием или зрением. | Хирургическое удаление (часто неполное), лучевая терапия (протонная терапия). |
| Ангиосаркома кости | Боль, припухлость, иногда кровотечения. | Хирургическое удаление, лучевая терапия, химиотерапия. |
| Лейомиосаркома кости | Боль, припухлость, ограничение движений. | Хирургическое удаление, лучевая терапия, химиотерапия. |
| Остеохондрома (злокачественная трансформация) | Увеличение размера существующей остеохондромы, появление боли. | Хирургическое удаление. |
| Гигантоклеточная опухоль кости (злокачественная) | Боль, припухлость, патологические переломы. | Хирургическое удаление, лучевая терапия, деносумаб (таргетная терапия). |
Интересные факты
Вот несколько интересных фактов о раке костей:
-
Разнообразие опухолей: Рак костей может быть как первичным, так и вторичным. Первичные опухоли, такие как остеосаркома, хондросаркома и саркома Юинга, развиваются непосредственно в костной ткани, тогда как вторичные опухоли возникают в результате метастазирования рака из других органов, таких как легкие или молочная железа.
-
Симптомы и диагностика: Одним из первых симптомов рака костей может быть боль в пораженной области, которая часто усиливается ночью или при физической активности. Однако, из-за схожести симптомов с другими заболеваниями, таких как травмы или артрит, диагностика рака костей может занять время и требует комплексного подхода, включая рентгенографию, МРТ и биопсию.
-
Методы лечения: Лечение рака костей может включать хирургическое вмешательство, химиотерапию и радиотерапию. В некоторых случаях, особенно при остеосаркоме, может применяться неоадъювантная химиотерапия для уменьшения опухоли перед операцией. Современные методы лечения также включают таргетную терапию и иммунотерапию, которые направлены на специфические молекулы или клетки, связанные с опухолевым процессом.
https://youtube.com/watch?v=crcx5sJ0rtY
Рак костей – признаки и симптомы
Онкологические заболевания часто протекают без явных симптомов и могут развиваться на протяжении длительного времени. Это также касается рака костей: его признаки настолько неясны, что многие пациенты не обращают на них внимания. Основным симптомом данной болезни является боль в костях, которая постепенно усиливается. Пациенты могут ощущать ее как легкий дискомфорт или незначительную болезненность. Однако некоторые жалуются на то, что боль сохраняется даже ночью и не проходит после отдыха.
Часто эти болезненные ощущения ошибочно принимаются за воспаление суставов, а у детей – за болезни роста, а не за рак костей. При этом обычно поражаются длинные кости. При развитии остеосаркомы могут наблюдаться следующие симптомы:
- отек в области поражения;
- покраснение кожи;
- образование выроста на поверхности кости;
- спонтанные переломы из-за нарушения структуры кости;
- повышение температуры тела (выше 38 градусов);
- потеря веса;
- усиленное потоотделение в ночное время.
Первые признаки рака костей
Большинство людей не способны самостоятельно заподозрить у себя рак костей, так как симптомы этого заболевания часто скрыты и не имеют четкой специфики. Одним из первых признаков является внезапная боль, которая чаще всего возникает при физической активности. Со временем область, где развивается опухоль, может стать отечной, горячей на ощупь и с заметной гиперемией.
Часто появление опухоли связывают с перенесенной спортивной травмой. Однако нельзя исключать возможность патологического перелома, при котором даже незначительное воздействие может привести к перелому в пораженной области. Эти симптомы рака костей всегда должны вызывать настороженность. Врачи отмечают, что пациенты, осведомленные о проявлениях рака костей, чаще обращаются за медицинской помощью вовремя.
Стадии рака костей
Для различения опухолей специалисты анализируют их характеристики, принимая во внимание наличие воспаленных лимфатических узлов, метастазов и степень злокачественности новообразования. В зависимости от типа диагностируемого рака костей, его симптомы и проявления позволяют выделить следующие стадии заболевания:
- стадия 0 – наблюдается скопление ранних низкозлокачественных раковых клеток (карцинома in situ);
- стадия 1 А – низкозлокачественная опухоль, не превышающая 8 см в диаметре;
- стадия 1 В – низкозлокачественная опухоль, превышающая 8 см, или наличие опухолевых клеток в различных участках одной кости;
- стадия 2 А – высококачественное образование до 8 см, не затрагивающее лимфатические узлы и не имеющее метастазов;
- стадия 2 В – высококачественное образование, размер которого превышает 8 см, без вовлечения лимфатических узлов и метастазов;
- стадия 3 – высококачественные опухоли, которые развиваются на нескольких участках одной кости;
- стадия 4 А – опухоль метастазировала в легкие;
- стадия 4 В – опухоль любого размера распространяется на лимфатические узлы и внутренние органы, включая не только легкие.
Рак костей – диагностика
Когда у пациента возникает подозрение на онкологическое заболевание костей, диагностика сосредоточена на быстром определении местоположения опухоли и ее размеров. Если анализы могут указать на наличие опухоли, то точное определение ее локализации, размеров и типа возможно только с применением современных аппаратных методов обследования.
По этой причине опытные онкологи при первых подозрениях на рак назначают компьютерную томографию или магнитно-резонансную томографию. Эти методы позволяют получить надежные данные о опухолевых процессах в костной ткани и подтвердить визуальные признаки рака костей. С их помощью также можно опровергнуть предварительный диагноз.
Анализы при раке костей
Общепринятые лабораторные методы диагностики имеют ограниченную информативность в отношении опухолевых заболеваний. Тем не менее, анализ крови может помочь заподозрить рак костей. Увеличение скорости оседания эритроцитов (СОЭ) и рост уровня лейкоцитов могут свидетельствовать о наличии воспалительного процесса. Важно отметить, что подобные изменения могут наблюдаться при любом воспалении, поэтому точно установить диагноз рак бывает затруднительно.
При подозрении на рак костей врачи назначают биохимическое исследование крови. В процессе анализа особое внимание уделяется уровню щелочной фосфатазы, который при раке костей обычно значительно повышен. Необходимым этапом является гистологическое исследование образца костной ткани:
- трепанобиопсия;
- пункционная биопсия с последующим морфологическим анализом полученного материала.
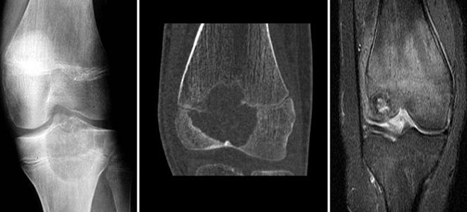
Рентген при раке костей
Рентгенография представляет собой один из ключевых методов для диагностики рака костей. С её помощью можно не только определить местоположение, но и характер изменений в структуре костной ткани. Среди важных рентгенологических признаков злокачественной опухоли, к которой относится остеома кости, специалисты выделяют следующие:
- наличие очага разрушения костной ткани;
- проявление периостальной реакции, визуально определяемой как характерный козырек;
- длинные нитеобразные спикулы, располагающиеся перпендикулярно кости;
- наличие мягкотканевого компонента с участками обызвествления.
МРТ при раке костей
После выявления воспалительного процесса специалисты назначают магнитно-резонансную томографию (МРТ) опухоли костей. Это обследование позволяет получить полное представление о структуре новообразования, его типе и размере. МРТ предоставляет исчерпывающую информацию, на основе которой врачи формируют план лечения и возможного хирургического вмешательства. Данное исследование может проводиться несколько раз для мониторинга эффективности химиотерапии и динамики лечения рака костей.
Рак кости – лечение
Онкологические заболевания являются сложными для лечения. Специалисты применяют комплексный подход к терапии, который направлен на замедление роста опухоли. Особое внимание уделяется симптоматическому лечению, целью которого является облегчение страданий пациента. В общем, стратегия лечения подбирается индивидуально: как именно лечить рак кости в каждом конкретном случае – врачи определяют в зависимости от стадии заболевания.
Способы лечения рака костей
Методы лечения заболевания зависят от вида новообразования. Важными факторами также являются возраст пациента, стадия болезни и наличие метастазов. Например, при распространенных формах онкологии, таких как остеосаркома и саркома Юинга, терапия начинается с химиотерапии. Эти процедуры направлены на замедление роста опухолевого очага. Злокачественные опухоли костей также могут быть подвергнуты:
- хирургическому вмешательству;
- радиационной терапии.
Медикаментозное лечение рака костей
Основу медикаментозного лечения рака костей составляют химиотерапевтические препараты. Эти мощные лекарства предназначены для замедления быстрого деления и роста опухолевых клеток. В числе средств, применяемых при диагнозе «онкология костей», можно выделить следующие группы препаратов:
- Алкилирующие агенты – эти препараты разрушают белки, которые отвечают за синтез ДНК раковых клеток. Примеры таких средств включают циклофосфамид.
- Антиметаболиты – они воздействуют на генетический материал клетки, приводя к её гибели во время деления. В этой категории стоит отметить препараты на основе гемцитабина.
- Антрациклины – эти лекарства создают свободные радикалы, которые повреждают ДНК опухолевых клеток. К ним относятся препараты на основе даунорубицина.
- Таксаны – они нарушают процесс деления клеток раковой опухоли. Основные представители этой группы – препараты на основе паклитаксела.
Рак кости – операция
В текущей медицинской практике лечение рака костей без хирургического вмешательства не осуществляется. Основная задача операции заключается в удалении значительного количества злокачественных клеток и окружающих их тканей. Это помогает снизить риск возникновения рецидива в будущем. Специалисты применяют бережный подход, который подразумевает удаление только опухолевой части, избегая ампутации конечностей или других органов. Удаленные участки восстанавливаются с использованием костного цемента или тканей из донорских банков. При необходимости удаления больших фрагментов кости требуется установка металлических имплантатов.
Лечение рака костей народными средствами
Существует множество рецептов альтернативной медицины, которые обещают помочь в борьбе с раком. Тем не менее, на практике лечение остеомы с использованием народных средств зачастую не дает ожидаемых результатов. Основной эффект от таких методов заключается лишь в временном облегчении симптомов. Употребление травяных настоев, гомеопатических препаратов, пищевых добавок и соблюдение диеты могут способствовать улучшению общего состояния пациентов, однако практически не влияют на прогрессирование опухоли. При этом специалисты подчеркивают, что побочные эффекты от такого лечения рака костей могут быть весьма неприятными.
Рак костей – продолжительность жизни
Прогнозирование продолжительности жизни пациентов с диагнозом «рак кости» основывается на множестве факторов. Врачи не могут дать однозначный ответ на вопрос о том, сколько времени могут прожить люди с этой болезнью. Тем не менее, они учитывают следующие аспекты:
- расположение опухоли;
- вид новообразования;
- объем опухолевой массы до начала лечения;
- наличие метастазов;
- реакция опухоли на проводимую терапию;
- общее состояние здоровья пациента.
По данным медицинских наблюдений, пациенты с онкологией костей часто сталкиваются с быстрым ухудшением состояния. Заболевание развивается стремительно, раковые клетки распространяются и затрагивают внутренние органы. В первую очередь страдают системы, находящиеся в непосредственной близости к очагу воспаления. При поражении крупных костей, таких как таз или бедренные кости, пациенты могут умереть в течение 10 лет после установления диагноза.
https://youtube.com/watch?v=kJFDXDIbVYE
Рак костей – профилактика и рекомендации
Профилактика рака костей включает в себя ряд мер, направленных на снижение риска развития этого заболевания. Хотя точные причины возникновения рака костей до конца не изучены, существуют некоторые факторы, которые могут способствовать его развитию. Знание этих факторов и соблюдение рекомендаций может помочь в профилактике.
Здоровый образ жизни
Поддержание здорового образа жизни является основой профилактики многих заболеваний, включая рак костей. Это включает в себя:
- Сбалансированное питание: Употребление пищи, богатой витаминами и минералами, особенно кальцием и витамином D, может помочь поддерживать здоровье костей. Включение в рацион овощей, фруктов, цельнозерновых продуктов и нежирных белков способствует укреплению иммунной системы.
- Регулярная физическая активность: Умеренные физические нагрузки, такие как ходьба, плавание или занятия спортом, укрепляют кости и способствуют их здоровью. Физическая активность также помогает поддерживать нормальный вес, что является важным фактором в профилактике рака.
- Отказ от вредных привычек: Курение и чрезмерное употребление алкоголя могут негативно сказаться на здоровье костей и увеличить риск развития различных видов рака. Отказ от этих привычек значительно улучшает общее состояние здоровья.
Регулярные медицинские осмотры
Регулярные медицинские осмотры и обследования могут помочь в раннем выявлении заболеваний, включая рак костей. Особенно важно проходить обследования для людей, находящихся в группе риска, таких как:
- Лица с наследственной предрасположенностью к онкологическим заболеваниям;
- Пациенты с предшествующими заболеваниями костей или травмами;
- Лица, подвергавшиеся радиационному облучению.
Осведомленность о симптомах
Знание симптомов рака костей может помочь в его раннем выявлении. К основным симптомам относятся:
- Боль в костях, которая не проходит со временем;
- Отек или опухоль в области костей;
- Слабость или ломкость костей;
- Проблемы с движением или ограниченная подвижность.
При появлении этих симптомов важно обратиться к врачу для дальнейшего обследования.
Избегание травм и перегрузок
Избегание травм и чрезмерных нагрузок на кости может снизить риск их повреждения и, как следствие, развития рака. Рекомендуется:
- Использовать защитное снаряжение при занятиях спортом;
- Избегать чрезмерных физических нагрузок, особенно если у вас есть предрасположенность к заболеваниям костей;
- Соблюдать осторожность при выполнении физических упражнений, особенно если у вас есть предшествующие травмы.
Консультации с врачом
Важно поддерживать открытый диалог с врачом о любых изменениях в здоровье. Консультации с медицинскими специалистами помогут вам получить рекомендации, основанные на индивидуальных рисках и состоянии здоровья. Врач может предложить дополнительные меры профилактики, включая генетическое тестирование для людей с семейной историей рака.
Следуя этим рекомендациям и принимая активное участие в своем здоровье, можно значительно снизить риск развития рака костей и других заболеваний. Профилактика — это ключ к долгой и здоровой жизни.
Вопрос-ответ
Каковы симптомы рака костей?
То, как проявляется рак костей, зависит от стадии заболевания. На раннем этапе наблюдается лишь легкое недомогание, повышается температура, а затем снижается масса тела. Далее через 2-3 месяца увеличиваются лимфоузлы и отекают мягкие ткани. В дальнейшем присоединяются другие симптомы рака костей.
Как лечат рак костей?
Хирургия – основной метод лечения злокачественных опухолей костей. Врач выбирает объем операции, опираясь на результаты МРТ и биопсии. Ранее стандартным методом хирургического лечения при раке костей конечностей была ампутация. В настоящее время часто практикуются органосохраняющие операции.
Где болит при раке кости?
Наиболее характерная симптоматика при раке костей – это локальная боль в области, близкой к местоположению опухоли. Она может быть интенсивной и обостряться при движении или прикосновении к пораженной области. Иногда боль иррадиирует (распространяется) в соседние участки тела.
Как провериться на рак кости?
Золотым стандартом для диагностики опухолей костной ткани является сцинтиграфия. Это радиоизотопный метод исследования, при котором пациенту вводится меченный радиоактивный маркер, после чего он помещается в специальную камеру с датчиками.
Советы
СОВЕТ №1
Регулярно проходите медицинские обследования, особенно если у вас есть предрасположенность к онкологическим заболеваниям. Раннее выявление рака костей может значительно повысить шансы на успешное лечение.
СОВЕТ №2
Обратите внимание на любые необычные симптомы, такие как постоянная боль в костях, отеки или изменения в физической активности. Не игнорируйте эти сигналы и проконсультируйтесь с врачом при первых же подозрениях.
СОВЕТ №3
Изучите доступные методы лечения рака костей, включая хирургическое вмешательство, химиотерапию и радиотерапию. Понимание этих методов поможет вам принимать более обоснованные решения в процессе лечения.
СОВЕТ №4
Поддерживайте здоровый образ жизни, включая сбалансированное питание и регулярные физические нагрузки. Это может помочь укрепить иммунную систему и улучшить общее состояние здоровья, что важно в борьбе с раком.


