На шестой неделе беременности происходят важные изменения в организме будущей мамы и развитии плода. Этот период становится моментом осознания новой роли и укрепления связи с ребенком. В статье рассмотрим, что происходит с малышом, признаки его развития и ощущения мамы. Понимание этих процессов поможет женщинам подготовиться к изменениям и укрепить эмоциональную связь с ребенком.
6 неделя беременности – признаки
На шестой неделе беременности признаки становятся настолько очевидными, что женщина уже не сомневается в своем состоянии. Проведенные тесты на беременность подтверждают положительный результат. В это время женщина также начинает замечать и другие симптомы, которые косвенно указывают на начало гестации. Почти все отмечают повышенную чувствительность к запахам, увеличение слюноотделения, постоянную раздражительность, а также чувство усталости и разбитости.
Грудные железы становятся более чувствительными и отечными. Некоторые женщины могут ощущать легкие покалывания и потемнение в области сосков. Даже легкое прикосновение к груди может вызвать болезненные ощущения, которые, как правило, быстро проходят. Многие будущие мамы уже сталкиваются с проявлениями токсикоза: тошнота, рвота, головные боли и головокружения часто беспокоят их, особенно в утренние часы.
На шестой неделе беременности многие женщины начинают ощущать значительные изменения как в своем организме, так и в развитии плода. Эксперты отмечают, что в этот период происходит активное формирование основных органов и систем, что может сопровождаться различными симптомами у будущих мам. Часто женщины сообщают о повышенной усталости, тошноте и изменениях в настроении, что связано с гормональными перестройками.
Кроме того, на этом этапе может увеличиться чувствительность груди и появиться частое мочеиспускание. Специалисты подчеркивают, что эти признаки являются нормальной реакцией организма на растущий плод и его потребности. Важно, чтобы женщины в этот период уделяли внимание своему здоровью, правильно питались и следили за эмоциональным состоянием, так как это положительно скажется на развитии малыша.

6 неделя беременности – это какой месяц?
Для определения точного срока беременности женщины обращаются к врачу. Гинеколог проводит расчет, основываясь на дате начала последней менструации. Этот срок называется акушерским и, как правило, превышает эмбриональный на примерно 14 дней. Чтобы определить эмбриональный срок, необходимо точно знать дату зачатия, что для многих женщин может быть затруднительно.
Важно отметить, что врачи всегда отслеживают беременность, указывая ее продолжительность в неделях. Эту информацию они предоставляют будущим мамам на приемах. Однако многие женщины предпочитают переводить недели в месяцы, что может вызвать некоторые трудности. На практике это несложно, но нужно учитывать несколько нюансов. Один акушерский месяц равен 4 неделям, независимо от количества дней в месяце. Исходя из этого, 6 неделя беременности соответствует 1 месяцу и 2 неделям, а второй месяц беременности достигает своей середины.
| Категория | Признаки стремительного развития плода (6 неделя) | Ощущения мамы (6 неделя) |
|---|---|---|
| Размер и развитие | Размер: Около 4-6 мм, как рисовое зернышко. | Усталость: Повышенная утомляемость, сонливость. |
| Формирование органов: Начинают формироваться сердце, нервная трубка (основа для мозга и спинного мозга), пищеварительная система. | Тошнота и рвота: «Утренняя тошнота» (может быть в любое время суток), отвращение к некоторым запахам и продуктам. | |
| Сердцебиение: Сердце начинает биться, хотя его еще не всегда можно услышать на УЗИ. | Изменения груди: Повышенная чувствительность, болезненность, увеличение молочных желез, потемнение ареол. | |
| Конечности: Появляются зачатки ручек и ножек в виде небольших бугорков. | Частое мочеиспускание: Из-за увеличения объема крови и давления матки на мочевой пузырь. | |
| Лицо: Начинают формироваться зачатки глаз, носа и рта. | Перепады настроения: Гормональные изменения могут вызывать эмоциональную нестабильность. | |
| Внутренние процессы | Кровообращение: Формируется примитивная кровеносная система. | Тянущие ощущения внизу живота: Могут быть связаны с ростом матки и растяжением связок. |
| Нервная система: Активно развивается нервная трубка, формируя основу для головного и спинного мозга. | Повышенное слюноотделение: Гиперсаливация. | |
| Пищеварительная система: Начинают формироваться зачатки желудка, кишечника и печени. | Изменение вкусовых предпочтений: Появление тяги к необычным продуктам или отвращение к привычным. | |
| Движения: Плод совершает первые, пока еще непроизвольные и неощутимые мамой движения. | Запоры: Замедление работы кишечника из-за гормональных изменений. | |
| Важные моменты | УЗИ: На этом сроке уже можно увидеть плодное яйцо и эмбрион, а иногда и услышать сердцебиение. | Повышенная чувствительность к запахам: Обостренное обоняние. |
Интересные факты
Вот несколько интересных фактов о 6-й неделе беременности, связанных с развитием плода и ощущениями мамы:
-
Формирование основных органов: На 6-й неделе беременности у плода активно развиваются основные органы и системы. В этот период начинается формирование сердца, которое уже начинает биться, а также закладываются основы для развития мозга, легких и других жизненно важных органов.
-
Изменения в организме мамы: Женщина может начать испытывать различные физические и эмоциональные изменения. На этом этапе многие отмечают утреннюю тошноту, повышенную чувствительность к запахам и изменения в настроении, что связано с гормональными изменениями в организме.
-
Размер плода: На 6-й неделе беременности плод достигает размера примерно 1,5 см, что сопоставимо с размером горошины. Несмотря на свои небольшие размеры, он уже начинает проявлять активность, и на УЗИ можно увидеть его сердцебиение, что является важным моментом для будущих родителей.

6 недель беременности – что происходит с малышом?
На шестой неделе беременности плод проходит через ряд значительных изменений. В этот период начинают формироваться бугорки, которые станут будущими руками и ногами, а головной конец туловища принимает окончательные очертания. Начинается процесс образования хрящевой ткани, из которой в дальнейшем, благодаря дифференцировке, будут развиваться кости, сухожилия и мышцы. Также формируются зачатки органов пищеварительной и выделительной систем. Развивается кишечная трубка, и закладывается печень, которая на ранних этапах будет выполнять функции кроветворения.
Кровеносная система начинает свое развитие. Появляются первые кровеносные сосуды, отличающиеся по размеру и диаметру. Сердце уже сформировано, но пока состоит только из двух камер. Формируется тимус – вилочковая железа, которая впоследствии станет основой для формирования иммунной системы будущего ребенка. Также закладываются основы дыхательной системы, однако на протяжении всей беременности малыш будет получать кислород через кровь от матери.
Размер плода на 6 неделе беременности
На этом этапе развития эмбрион имеет очень маленькие размеры. Определить его параметры можно лишь с помощью ультразвукового исследования, которое на данном сроке проводится нечасто. По данным эмбриологов, на 6-й неделе беременности длина плода составляет от 4 до 9 мм. Различные части тела эмбриона можно рассмотреть только с использованием ультразвукового аппарата с высоким разрешением, который имеется лишь в крупных медицинских учреждениях.
На 6-й неделе беременности вес ребенка составляет примерно 1 грамм. Важно отметить, что антропометрические показатели могут варьироваться в зависимости от ряда факторов, поэтому рост и вес плода у разных женщин на одном и том же сроке могут отличаться. К факторам, влияющим на эти параметры внутриутробного развития, относятся:
- наследственные особенности;
- скорость метаболических процессов у плода;
- индивидуальные особенности питания беременной.

Беременность 6 недель – развитие плода
На шестой неделе беременности эмбрион проходит через ряд значительных этапов развития. В этот период происходит закрытие нервной трубки, а также активно делится нервная ткань, что приводит к формированию центральной нервной системы будущего ребенка. Начинают образовываться мозговые пузырьки, которые станут основой для правого и левого полушарий головного мозга.
В это время также формируются нервные ганглии, отвечающие за передачу нервных импульсов от головного и спинного мозга ко всем частям тела. На переднем конце эмбриона появляются хрусталиковые плакоиды, которые впоследствии станут основой для зрительной системы малыша, превращаясь в хрусталики. Рядом с ними находятся ушные плакоиды, из которых в процессе дальнейшего развития эмбриона сформируются органы слуха и равновесия.
Как выглядит эмбрион на 6 неделе беременности?
На шестой неделе беременности эмбрион претерпевает значительные изменения во внешнем виде. В области, где впоследствии будет лицо, начинают формироваться рот, нос, ушные раковины и глазные ямки. Зрительные пузыри постепенно сближаются, хотя пока еще находятся по обе стороны головы. При внимательном наблюдении можно заметить начальные формы будущих челюстей и рта. Ушные раковины становятся больше и принимают более сложную форму. На конечностях начинают развиваться ступни и кисти, на которых появляются зачатки пальцев.
6 неделя беременности – что происходит с мамой?
Говоря о сроке в 6 недель беременности, важно отметить, что основным процессом, происходящим в организме женщины, является гормональная перестройка. Хорионический гонадотропин, вырабатываемый плодными оболочками, активирует желтое тело, которое может увеличиваться в размерах. Это, в свою очередь, приводит к повышению уровня прогестерона, вырабатываемого этим образованием. Данный гормон играет ключевую роль в поддержании нормального течения беременности.
Под воздействием прогестерона на 6-й неделе беременности наблюдаются изменения во внешности женщины. Грудные железы начинают увеличиваться, а область ареол приобретает темно-коричневый оттенок. Увеличение количества и длины железистых протоков способствует росту бюста. Кроме того, прогестерон снижает тонус мышц мочевого пузыря и кишечника, что может привести к учащенному мочеиспусканию и запорам.
Беременность 6 недель – ощущения женщины
На шестой неделе беременности развитие плода и ощущения будущей мамы обусловлены изменениями в гормональном фоне. Эти изменения могут привести к тому, что многие женщины в положении начинают испытывать усталость, повышенную утомляемость, раздражительность и резкие перепады настроения. Также наблюдается снижение тонуса сосудов, что может вызывать головокружение, головные боли и даже обмороки. Дополнительно, состояние может усугубляться токсикозом, который зачастую проявляется неожиданно.
Живот на 6 неделе беременности
На шестой неделе беременности окружающие, скорее всего, не подозревают о положении женщины, если она сама не поделилась этой новостью. На этом этапе матка увеличивается лишь незначительно и полностью располагается в малом тазу. По своим размерам она напоминает сливу. Рост матки происходит во всех направлениях, но наиболее заметен в области дна, где чаще всего происходит имплантация.
Легкое выпячивание живота в области талии может быть заметно только у женщин с худощавым телосложением. Однако даже отсутствие внешних изменений не дает повода сомневаться в беременности. С увеличением размера матки будет расти и живот. Стоит отметить, что к концу беременности объем матки возрастает почти в 500 раз по сравнению с ее первоначальным состоянием!
Выделения на 6 неделе беременности
На шестой неделе беременности влагалищные выделения, как правило, остаются неизменными по объему и характеру. Женщина может заметить прозрачные, слегка белесые выделения в небольшом количестве. При этом отсутствуют посторонние запахи и примеси. Любые изменения в цвете, консистенции или появление неприятного запаха могут свидетельствовать о нарушениях в работе репродуктивной системы и требуют обращения к врачу для диагностики.
Особое внимание врачей привлекают коричневые выделения на шестой неделе беременности. Этот симптом может указывать на возможный самопроизвольный аборт. В таких случаях женщины часто испытывают болезненные ощущения в нижней части живота, которые изначально могут быть ноющими и тянущими. Со временем боль может усиливаться, а объем выделений увеличиваться (в некоторых ситуациях возможно развитие маточного кровотечения). При появлении таких симптомов женщине следует немедленно обратиться за медицинской помощью.
Боли на 6 неделе беременности
Головные боли и головокружения на шестой неделе беременности могут быть вызваны токсикозом. Эти симптомы, как правило, имеют кратковременный характер и проходят самостоятельно. Однако если на шестой неделе беременности вы ощущаете тянущие боли внизу живота, это должно вас насторожить, и необходимо сообщить об этом врачу, который ведет вашу беременность. Такие проявления могут указывать на риск прерывания беременности. Если боли становятся схваткообразными, усиливаются и сопровождаются выделениями крови из влагалища, следует немедленно обратиться за медицинской помощью.
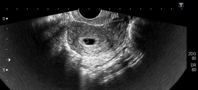
Что показывает УЗИ на 6 неделе беременности?
УЗИ на шестой неделе беременности выполняется нечасто. Обычно для этого существуют определенные показания, такие как угроза прерывания беременности или риск возникновения аномалий. Во время процедуры специалист определяет количество эмбрионов и оценивает функционирование сердечно-сосудистой системы плода, фиксируя частоту сердечных сокращений, которая в норме составляет 140–160 ударов в минуту. Параллельно с этим исключаются возможные патологии.
Опасности 6 недели беременности
Шестая неделя беременности – это начальная стадия гестации. В этот период существует высокая вероятность возникновения осложнений и различных патологий. К числу возможных рисков на этом этапе относятся:
- выкидыш;
- остановка развития беременности;
- появление внутриутробных аномалий у плода.
Советы по уходу за собой на 6 неделе беременности
На шестой неделе беременности женщина начинает ощущать значительные изменения в своем организме, что связано с активным развитием плода. В этот период важно уделять особое внимание своему здоровью и благополучию. Вот несколько советов, которые помогут вам заботиться о себе и своем будущем ребенке.
Правильное питание
Сбалансированное питание играет ключевую роль в поддержании здоровья как матери, так и плода. Включите в свой рацион больше свежих фруктов и овощей, цельнозерновых продуктов, нежирного мяса и молочных продуктов. Обратите внимание на потребление фолиевой кислоты, которая важна для правильного развития нервной системы плода. Рекомендуется также избегать продуктов с высоким содержанием сахара и жиров, а также ограничить кофеин и алкоголь.
Гидратация
Увлажнение организма также имеет большое значение. Пейте достаточное количество воды, чтобы избежать обезвоживания, что может привести к усталости и головным болям. Рекомендуется выпивать не менее 8-10 стаканов воды в день, особенно если вы испытываете утреннюю тошноту.
Физическая активность
Несмотря на то, что на ранних сроках беременности может возникать усталость, умеренные физические нагрузки, такие как прогулки на свежем воздухе или занятия йогой для беременных, могут помочь улучшить общее самочувствие. Физическая активность способствует улучшению кровообращения и снижению стресса. Однако перед началом любых упражнений обязательно проконсультируйтесь с врачом.
Отдых и сон
На шестой неделе беременности многие женщины испытывают повышенную усталость. Поэтому важно выделять время для отдыха и полноценного сна. Создайте комфортные условия для сна: проветривайте комнату, используйте удобную подушку и матрас. Если вам трудно уснуть, попробуйте расслабляющие техники, такие как медитация или глубокое дыхание.
Регулярные медицинские осмотры
Не забывайте о регулярных визитах к врачу. На этом этапе важно следить за своим состоянием и развитием плода. Врач может назначить необходимые анализы и УЗИ, чтобы убедиться, что все идет хорошо. Также не стесняйтесь задавать вопросы и обсуждать любые беспокойства, которые могут возникнуть.
Психоэмоциональное состояние
Беременность может быть как радостным, так и стрессовым временем. Постарайтесь окружить себя поддерживающими людьми и избегать негативных источников информации. Общение с другими будущими мамами может помочь вам чувствовать себя менее одинокой и получить полезные советы. Если вы испытываете сильные эмоции или тревогу, не стесняйтесь обратиться за помощью к специалисту.
Следуя этим советам, вы сможете создать комфортные условия для себя и своего малыша на шестой неделе беременности. Забота о своем здоровье в этот важный период поможет вам наслаждаться каждым моментом ожидания и подготовиться к встрече с вашим ребенком.
Вопрос-ответ
Может ли плод чувствовать что-либо на 6 неделе беременности?
Научные данные неопровержимо доказывают, что человеческий плод не способен испытывать боль как минимум до 24–25 недель беременности.
Как понять, что с беременностью все хорошо 6 недель?
Отсутствие менструаций, а также гормональные изменения женского организма дают этой уверенности всё новые подтверждения, которые наглядно будут продемонстрированы положительным результатом теста на беременность и засвидетельствованы при посещении врача-гинеколога и кабинета УЗД или сдаче крови на хорионический.
Что может беспокоить на 6 неделе беременности?
На этом сроке в организме женщины происходят глобальные гормональные изменения. Значительно увеличивается уровень гормона беременности прогестерона. У некоторых женщин это может спровоцировать вздутие, запоры, боль и дискомфорт в животе, учащённое мочеиспускание.
Советы
СОВЕТ №1
Следите за своим питанием. На шестой неделе беременности важно обеспечить организм всеми необходимыми витаминами и минералами. Включите в рацион больше свежих фруктов, овощей, белковых продуктов и цельнозерновых. Это поможет поддержать здоровье как мамы, так и развивающегося плода.
СОВЕТ №2
Обратите внимание на свои ощущения. На этом этапе беременности могут возникать различные симптомы, такие как тошнота, усталость и изменения настроения. Важно прислушиваться к своему организму и, если что-то вызывает беспокойство, не стесняйтесь обратиться к врачу.
СОВЕТ №3
Занимайтесь физической активностью. Легкие физические упражнения, такие как прогулки на свежем воздухе или занятия йогой для беременных, помогут улучшить общее самочувствие и снизить уровень стресса. Однако перед началом любых тренировок проконсультируйтесь с врачом.
СОВЕТ №4
Подготовьте место для малыша. На шестой неделе беременности уже можно начать думать о том, как будет выглядеть детская комната. Это поможет вам эмоционально подготовиться к появлению ребенка и создать уютное пространство для него.


