Что такое бронхоскопия
Бронхоскопия – процедура для исследования дыхательных путей. Название происходит от греческих слов, означающих «осматривать» и «дыхательное горло». Бронхоскоп – специализированная оптическая система для визуализации слизистой гортани, трахеи и бронхов до второго разветвления. Он состоит из гибких или жестких трубок диаметром 3-6 мм и длиной около 60 см.
Современные бронхоскопы оснащены фото- и видеоаппаратурой, а также лампами холодного света на конце трубки. Изображение выводится на экран, где его можно увеличить и сохранить для дальнейшего анализа.
Цели бронхоскопии. Бронхоскопия применяется не только для диагностики заболеваний дыхательной системы, но и для выполнения лечебных процедур:
- удаление инородных тел из бронхов
- очищение от гнойных и вязких выделений
- промывание и введение растворов антибиотиков, глюкокортикоидов, муколитиков и нитрофуранов
- забор образцов ткани для биопсии
- расширение просвета бронхов
- удаление небольших опухолей
Для этих целей бронхоскопы могут быть оснащены лазерами, щипцами для биопсии и хирургическими инструментами.
Процесс проведения бронхоскопии:
- Исследование проходит в стерильном эндоскопическом кабинете под контролем обученного врача.
- Вводят Атропина сульфат, Эуфилин или Сальбутамол для бронхорасширяющего эффекта.
- Процедура осуществляется в положении сидя или лежа на спине. Важно не вытягивать голову и не выгибать грудную клетку, чтобы избежать травм.
- Во время введения бронхоскопа рекомендуется дышать часто и поверхностно, чтобы подавить рвотный рефлекс.
- Бронхоскоп вводят через нос или рот. При глубоком вдохе трубку проводят через голосовую щель и углубляют в бронхи. Трубки тоньше дыхательных путей, поэтому не мешают дыханию.
- Во время обследования может ощущаться давление, но боли не будет.
- Исследование начинается с осмотра гортани и голосовой щели, затем трахеи и бронхов. Тонкие бронхиолы и альвеолы недоступны из-за небольшого диаметра.
- Врач может взять образец ткани для биопсии, удалить содержимое бронхов или промыть их лекарственным раствором.
- После процедуры может сохраняться онемение в течение получаса. Не рекомендуется курить и есть в течение 2 часов, чтобы избежать риска кровотечения.
- Седативные препараты могут замедлить реакцию, поэтому не рекомендуется садиться за руль в течение 8 часов.
- Рекомендуется оставаться в стационаре для наблюдения за состоянием и предотвращения осложнений.
Обезболивание при бронхоскопии.
При использовании гибкого бронхоскопа применяется местная анестезия, а для жестких моделей – общая анестезия.
- Местное обезболивание. Используется 2-5% раствор лидокаина, вызывающий онемение неба, ощущение комка в горле и легкую заложенность носа. Анестезия подавляет кашлевой и рвотный рефлексы. Слизистую гортани, голосовых связок, трахеи и бронхов обрабатывают обезболивающим спреем.
- Общая анестезия. Рекомендуется детям и людям с нестабильной психикой. Пациент вводится в состояние медикаментозного сна и не ощущает ничего.
Бронхоскопия — это медицинская процедура, позволяющая визуально исследовать дыхательные пути с помощью специального инструмента — бронхоскопа. Врачи отмечают, что данное исследование показано при наличии симптомов, таких как хронический кашель, кровохарканье, подозрение на опухоли или инородные тела в бронхах. Противопоказаниями могут быть тяжелые сердечно-сосудистые заболевания, острые инфекционные процессы и некоторые нарушения свертываемости крови. Существует несколько видов бронхоскопии, включая гибкую и жесткую, каждая из которых имеет свои особенности и применяется в зависимости от клинической ситуации. Врачи подчеркивают, что бронхоскопия является важным инструментом для диагностики и лечения заболеваний легких, позволяя не только выявлять патологии, но и проводить лечебные манипуляции, такие как биопсия или удаление инородных тел.

Виды бронхоскопии
Современные бронхоскопы делятся на гибкие и жесткие, каждая модель имеет свои преимущества и предназначение.
-
Гибкий бронхоскоп (фибробронхоскоп). Оснащен световолоконной оптикой.
Составляющие элементы:
- рукоятка для управления
- гибкая трубка с оптическим кабелем и световодом
- видеокамера
- светодиодный источник света
- управляемый манипулятор
- катетер для введения лекарств или удаления жидкости
- ультразвуковое и хирургическое оборудование
Преимущества:
- достигает нижних отделов бронхов, недоступных для жесткого бронхоскопа
- минимально травмирует стенки бронхов
- подходит для детей благодаря малому диаметру
- не требует общей анестезии
Область применения:
- диагностика трахеи и бронхов, особенно нижних частей
- визуализация слизистой дыхательных путей
- извлечение мелких инородных тел
-
Жесткий бронхоскоп.
Составляющие элементы:
- источник света
- манипулятор
- система жестких трубок
- фото- или видеоаппаратура
- инструменты для лечебных процедур (аспираторы, щипцы)
- лазерное оборудование
Преимущества:
- используется для лечебных манипуляций, недоступных для гибкого бронхоскопа: расширение бронхов, удаление препятствий
- позволяет вводить гибкий бронхоскоп для исследования тонких бронхов
- устраняет осложнения и патологии, выявленные во время исследования
- применяется для реанимации пациентов при утоплении или муковисцидозе
- процедура проводится под общим наркозом, что снижает тревожность пациента
Область применения:
- восстановление проходимости бронхов и трахеи
- удаление рубцов, опухолей, сгустков мокроты
- поиск поражений дыхательной системы
- остановка кровотечений
- извлечение инородных тел
- промывание бронхов и введение лекарств
Показания к бронхоскопии:
- признаки диссеминированных патологий на рентгене
- подозрение на опухоль трахеи или бронхов
- подозрение на инородное тело
- длительная одышка (при исключении бронхиальной астмы и сердечной недостаточности)
- кровохарканье
- множественные абсцессы легких
- кисты в легких
- хроническое воспаление бронхов неясной этиологии
- рецидивирующие пневмонии
- аномальное строение и расширение бронхов
- выяснение причин бронхиальной астмы
- забор содержимого для определения чувствительности флоры к антибиотикам
- подготовка к операции на легких
Цель бронхоскопии – выявление признаков заболевания и устранение причины.
| Патология | Признаки заболевания |
| Туберкулез | Инфильтраты, сужение бронхов, свищи. |
| Эндобронхит | Отечность слизистой, истончение, обильное выделение гноя. |
| Муковисцидоз | Сужение просвета бронхов, кровоточивость, скопления мокроты. |
| Рак | Экзофитные опухоли, инфильтрат, утолщение стенки бронха. |
| Инородное тело | Частичное или полное перекрытие просвета. |
| Бронхоэктатическая болезнь | Расширения просвета бронхов, истончение стенок. |
| Врожденные пороки | Участки расширения или сужения в бронхах. |
| Бронхиальная астма | Отек слизистой, обильное выделение жидкости. |
Исследования перед бронхоскопией:
- Рентген легких. Определяет участки, требующие внимания.
- Электрокардиография. Выявляет риск осложнений со стороны сердца.
- Анализ крови.
- Коагулограмма. Исследование свертываемости крови.
- Уровень газов в крови.
- Уровень мочевины в крови.
Подготовка к бронхоскопии:
- Сообщите врачу о аллергиях, хронических заболеваниях и принимаемых препаратах.
- Транквилизаторы могут снизить тревожность.
- Последний прием пищи не позже, чем за 8 часов до процедуры.
- В день исследования курение запрещено.
- Очистите кишечник перед процедурой.
- Опустошите мочевой пузырь перед процедурой.
- При необходимости могут быть введены седативные средства.
Что взять с собой?
Полотенце для возможного кратковременного кровохарканья. Ингалятор для пациентов с бронхиальной астмой.
Подготовка для пациентов с сердечно-сосудистыми заболеваниями:
Бронхоскопию противопоказано проводить при:
- нарушениях сердечного ритма выше третьей степени
- диастолическом давлении выше 110 мм рт. ст.
- инфаркте миокарда менее 6 месяцев назад
- аневризме аорты
В остальных случаях подготовка начинается за 2-3 недели и включает:
- нормализацию сердечного ритма
- прием бета-адреноблокаторов
- снижение артериального давления
- успокаивающие средства
- профилактику тромбообразования
Когда обратиться к врачу после бронхоскопии?
Обратите внимание на:
- длительное кровохарканье
- боль в груди
- необычные хрипы
- тошноту и рвоту
- повышенную температуру, озноб
Некоторые противопоказания к бронхоскопии:
- стеноз гортани и трахеи II и III степени
- дыхательная недостаточность III степени
- острый период бронхиальной астмы
- аневризма аорты
- инфаркт миокарда и инсульт менее полугода назад
- нарушение свертываемости крови
- непереносимость анестетиков
- психические заболевания
Рекомендуется отложить процедуру при:
- острых инфекционных заболеваниях
- менструации
- приступе бронхиальной астмы
- втором триместре беременности
В экстренных случаях бронхоскопия может быть проведена, несмотря на противопоказания.
Показания для бронхоскопии у детей:
-
Инородное тело в дыхательных путях. Частая причина бронхоскопии у детей.
Наиболее распространенные инородные тела:
- частицы пищи
- колоски
- мелкие детали игрушек
- монеты и другие мелкие предметы
Если инородное тело не удалить вовремя, могут возникнуть серьезные осложнения, такие как асфиксия, нагноение бронха, абсцесс легкого и сепсис.
-
Туберкулез бронхов и легких. Диагноз ставится на основании бронхоскопии.
-
Ателектаз легкого.
-
Пороки развития бронхо-легочной системы.
-
Заболевания бронхов и легких неясной этиологии.
-
Муковисцидоз. Бронхоскопия помогает разжижить и удалить сгустки мокроты.
-
Абсцесс легкого.
Особенности проведения бронхоскопии у детей:
- Чаще требуется анестезия.
- Используются специальные детские бронхоскопы.
- Риск отека и спазма бронхов выше, необходима готовность к искусственной вентиляции легких.
- Назначение антибиотиков после процедуры.
Возможные осложнения у детей:
- спазм и отек дыхательных путей
- кровотечение
- рвота
- инфицирование дыхательных путей
- осложнения от наркоза
Осложнения возникают крайне редко (в 0,2% случаев). Риск осложнений от не проведенной процедуры выше.
С развитием компьютерного оборудования появилась возможность виртуальной бронхоскопии.
Виртуальная бронхоскопия – рентгенологический метод, позволяющий создать трехмерную картину бронхиального дерева.
Преимущества и недостатки:
| Параметр | Виртуальная бронхоскопия | Эндоскопическая бронхоскопия |
| Информативность | Высокая, возможность оценить состояние мелких бронхов. | Менее информативна, невозможно исследовать мелкие бронхи. |
| Диагностическая ценность | Невозможность взять материал для исследования. | Возможность взятия биопсийного материала. |
| Лечебный эффект | Не предусмотрен. | Возможны хирургические манипуляции. |
| Безопасность | Не травмирующий метод. | Имеет противопоказания и возможные осложнения. |
| Противопоказания | Беременность, ожирение. | Беременность, стеноз гортани, тяжелая бронхиальная астма. |
| Подготовка | Не требуется специальной подготовки. | Требуется специальная подготовка и анестезия. |
| Ощущения | Безболезненно. | Неприятная манипуляция. |
| Длительность | До 3-х минут. | 30-60 минут. |
| Цена | В среднем 6000 рублей. | В среднем 3000 рублей. |
Виртуальная бронхоскопия не заменяет обычную, особенно если требуется хирургическое вмешательство.
Бронхоскопия часто проводится для диагностики и лечения туберкулеза легких, который может сопровождаться патологией бронхов.
Показания к бронхоскопии для больных туберкулезом:
- Невозможность получения мокроты для исследования.
- Отрицательный результат мокроты при наличии изменений в легких.
- Длительное кровохарканье.
- Легочное кровотечение.
- Длительно не закрывающаяся каверна.
- Фиброзно-кавернозный туберкулез.
- Выявление палочки туберкулеза при отсутствии активных изменений.
- Подготовка к хирургическому лечению.
- Контроль состояния швов после удаления легкого.
- Длительный кашель на фоне лечения.
- Подозрение на химиорезистентный туберкулез.
- Большой стаж курения.
- Дифференциальный диагноз туберкулеза внутригрудных лимфатических узлов.
- Прорыв казеозных масс из лимфатических узлов.
- Ателектаз легкого из-за сдавления бронха.
Что дает бронхоскопия в лечении туберкулеза?
- Назначение адекватной терапии для снятия отека и спазма бронхов.
- Постановка диагноза в сложных случаях.
- Выявление и наблюдение за туберкулезом бронхов.
- Получение биопсийного материала.
- Выявление химиорезистентных форм.
- Контроль состояния бронхов перед и после операции.
- Удаление грануляций.
- Остановка легочного кровотечения.
- Вымывание казеозных масс.
- Удаление бронхиальных свищей.
- Санация бронхиального дерева.
- Введение противотуберкулезных препаратов.
Биопсия бронхов необходима для диагностики заболеваний, особенно рака легких. Она проводится во время бронхоскопии.
Как исследуют биопсийный материал?
- Гистологическое исследование – изучение тканей под микроскопом.
- Цитологический метод – исследование клеток.
- Микробиологический метод – выявление микроорганизмов в ткани.
Как проводится биопсия бронхов?
Подготовка и техника аналогичны обычной бронхоскопии. Биопсийный материал можно взять разными способами:
- Откусывание ткани специальными щипцами.
- Браш-биопсия – забор материала с помощью щеточки.
Пациент не чувствует момент взятия биопсии, это безболезненно. После процедуры может наблюдаться кратковременное кровохарканье.
| Аспект бронхоскопии | Описание | Детали/Примечания |
|---|---|---|
| Что такое бронхоскопия? | Эндоскопическое исследование бронхов с помощью гибкого или жесткого бронхоскопа. | Позволяет визуализировать дыхательные пути, брать образцы тканей и проводить лечебные манипуляции. |
| Показания к бронхоскопии | ||
| Диагностика заболеваний легких (рак легкого, туберкулез, бронхит, пневмония) | Подтверждение диагноза, определение стадии заболевания, оценка эффективности лечения. | |
| Удаление инородных тел из дыхательных путей | Быстрая и эффективная процедура извлечения инородных тел. | |
| Остановка легочного кровотечения | Возможность коагуляции кровоточащих сосудов. | |
| Биопсия опухолей и других образований | Получение образцов ткани для гистологического исследования. | |
| Лечение стенозов бронхов | Расширение суженных участков бронхов с помощью баллонной дилатации или стентирования. | |
| Удаление мокроты и слизи из бронхов | Облегчение дыхания у пациентов с обструкцией дыхательных путей. | |
| Противопоказания к бронхоскопии | ||
| Неконтролируемая артериальная гипертензия | Риск осложнений во время процедуры. | |
| Нестабильная стенокардия | Повышенная нагрузка на сердечно-сосудистую систему. | |
| Острая сердечная недостаточность | Риск ухудшения состояния пациента. | |
| Тяжелая дыхательная недостаточность | Сложности в проведении процедуры. | |
| Нарушение свертываемости крови | Повышенный риск кровотечения. | |
| Сепсис | Повышенный риск инфекционных осложнений. | |
| Психические расстройства, препятствующие сотрудничеству с врачом | Невозможность проведения процедуры. | |
| Виды бронхоскопии | ||
| Гибкая бронхоскопия | Менее инвазивная процедура, проводится под местной анестезией. | |
| Жесткая бронхоскопия | Более инвазивная процедура, проводится под общей анестезией, используется для удаления крупных инородных тел или проведения сложных хирургических вмешательств. | |
| Видео-бронхоскопия | Использование видеокамеры для улучшения визуализации бронхов. |
Бронхоскопия — это медицинская процедура, позволяющая визуально исследовать бронхи и легкие с помощью специального инструмента — бронхоскопа. Она применяется для диагностики различных заболеваний дыхательной системы, таких как хронический бронхит, пневмония, опухоли и инфекции. Показания к проведению бронхоскопии включаютPersistent кашель, кровохарканье, затрудненное дыхание и необходимость взятия биопсии. Однако существуют и противопоказания: это тяжелые сердечно-сосудистые заболевания, острые инфекции и аллергия на анестезию. Существует несколько видов бронхоскопии, включая гибкую и жесткую, каждая из которых имеет свои особенности и применяется в зависимости от клинической ситуации. Многие пациенты отмечают, что процедура проходит безболезненно и помогает получить важную информацию о состоянии легких.

Показания для бронхоскопии
Показания для проведения бронхоскопии
- диссеминированные патологии на рентгенограммах (мелкие очаги, кисты, полости)
- подозрение на опухоли в трахее или бронхах
- возможное наличие инородного предмета
- продолжительная одышка (при исключении бронхиальной астмы и сердечной недостаточности)
- кровохарканье
- множественные легочные абсцессы
- кисты в легких
- хроническое воспаление бронхов неясной этиологии
- повторяющиеся пневмонии
- аномалии строения и расширения бронхов
- выяснение причин бронхиальной астмы
- забор образцов для определения чувствительности микрофлоры к антибиотикам
- подготовка к хирургическому вмешательству на легких
Цель бронхоскопии – выявление признаков заболевания и, при возможности, устранение его причин.
| Патология | Признаки заболевания, выявляемые при бронхоскопии |
| Туберкулез | Инфильтраты плотной консистенции. Ограниченные бледно-розовые отечные участки, выступающие над слизистой бронхов. На поздних стадиях становятся красными, рыхлыми, с кровоточащими эрозиями. |
| Сужение бронхов. Просвет узкий из-за отека слизистой. | |
| Свищи – отверстия в стенках бронхов. | |
| Эндобронхит | Отечность слизистой. |
| Сосуды в слизистой плохо видны. | |
| Истончение слизистой, красная и легко кровоточащая при контакте. | |
| При гипертрофической форме слизистая равномерно утолщена, просвет сужен. | |
| Обильное выделение гноя. | |
| Муковисцидоз | Нарушение тонуса мембранозной части трахеи и бронхов – сужение просвета более чем на половину диаметра. |
| Кровоточивость стенок бронхов. | |
| Накопление густой мокроты. | |
| Рак — экзофитные опухоли | Четко очерченные новообразования на широкой основе. |
| Неправильные контуры. | |
| Бугристая поверхность с кровоточащими эрозиями и очагами некроза. | |
| Цвет от белого до ярко-красного. | |
| Слизистая вокруг опухоли может быть неизменной или с гиперемией. | |
| Раковые опухоли с инфильтрирующим ростом | На стенке бронха гладкий инфильтрат, утолщение. |
| Края четкие или размытые. | |
| Поверхность гладкая или шероховатая, с гнойным налетом. | |
| Цвет от бледно-розового до синюшного. | |
| Слизистая вокруг покрасневшая, с желтоватым гнойным налетом и эрозиями. | |
| Хрящевая основа бронха не видна из-за отека слизистой. | |
| Просвет значительно сужен. | |
| Раковые опухоли, растущие вокруг бронхов | Выпячивание стенки бронха или сужение просвета из-за опухоли. |
| Утолщение бронхиальных шпор (в месте деления бронхов). | |
| Слизистая оболочка не изменена. | |
| Стенка бронхов твердая и отечная. | |
| Инородное тело | Просвет бронхов полностью или частично перекрыт мелким предметом. |
| Если предмет долго в организме, обрастает фибрином. | |
| Слизистая вокруг инородного тела отечная и покрасневшая. | |
| Бронхоэктатическая болезнь | Цилиндрические или мешковидные расширения просвета бронхов. |
| Истончение стенок, эрозии, возможные кровотечения. | |
| Накопление густой гнойной мокроты на расширенном участке. | |
| Врожденные пороки трахео-бронхиального дерева | Участки расширения или сужения в бронхах. |
| Истончение отдельных участков. | |
| Полости, заполненные воздухом или жидкостью. | |
| Свищи в стенках бронхов. | |
| Бронхиальная астма | Отек слизистой и другие признаки эндобронхита. |
| Выбухание стенок бронхиального дерева. | |
| Обильное выделение прозрачной жидкости без примесей гноя. | |
| Цвет слизистой от бледного с синеватым оттенком до ярко-красного. |
Подготовка к бронхоскопии
Какие обследования нужно пройти перед бронхоскопией?
- Рентгенография легких. Снимок поможет определить участки легких, требующие особого внимания во время процедуры.
- Электрокардиограмма. Метод выявляет риски осложнений со стороны сердечно-сосудистой системы.
- Анализ крови.
- Коагулограмма – исследование свертываемости крови.
- Определение газов в крови (кислорода, углекислого газа и азота).
- Измерение уровня мочевины в крови.
Как подготовиться к бронхоскопии?
- На консультации сообщите врачу о аллергиях на медикаменты, хронических заболеваниях (например, сердечной недостаточности или диабете) и принимаемых препаратах (антидепрессантах, гормонах, антикоагулянтах). Если нужно отменить какие-либо лекарства, врач вас уведомит.
- Транквилизаторы (например, Элениум или Седуксен) могут снизить тревожность перед процедурой. Их можно комбинировать с снотворными (такими как Люминал) для полноценного отдыха.
- Последний прием пищи должен быть не позднее чем за 8 часов до процедуры, чтобы избежать попадания остатков пищи в дыхательные пути.
- В день исследования курение запрещено.
- Утром перед процедурой рекомендуется очистить кишечник с помощью клизмы или глицериновых свечей.
- Опустошите мочевой пузырь непосредственно перед процедурой.
- При необходимости перед процедурой могут быть введены седативные препараты.
Что взять с собой?
На обследование возьмите полотенце, так как после процедуры возможно кратковременное кровохарканье. Если у вас бронхиальная астма, не забудьте ингалятор.
Подготовка к бронхоскопии для пациентов с сердечно-сосудистыми заболеваниями
Бронхоскопия противопоказана при:
- нарушениях сердечного ритма выше третьей степени
- диастолическом давлении выше 110 мм рт. ст.
- инфаркте миокарда, перенесенном менее 6 месяцев назад
- аневризме аорты
В остальных случаях исследование возможно после подготовки за 2-3 недели, направленной на компенсацию нарушенных функций:
- нормализация сердечного ритма (Ритмонорм, Небилет)
- прием бета-адреноблокаторов для улучшения кровоснабжения сердечной мышцы (Карведигамма, Целипролол)
- снижение артериального давления (Анаприлин, Моноприл, Энап)
- прием успокаивающих средств и транквилизаторов (Феназепам, Мебикар)
- использование Гепарина и Аспирина для профилактики тромбообразования
Когда следует обратиться к врачу после бронхоскопии?
Существует риск осложнений после бронхоскопии (кровотечение, инфекция). Важно следить за симптомами и обратиться к врачу при:
- продолжительном кровохарканье
- боли в груди
- необычных хрипах
- тошноте и рвоте
- повышенной температуре, ознобе.

Противопоказания для бронхоскопии
Медицинские специалисты стремятся уменьшить противопоказания для бронхоскопии, однако в некоторых случаях процедура может быть более вредной, чем полезной.
- Стеноз гортани и трахеи II и III степени. Сужение дыхательных путей затрудняет введение бронхоскопа и может вызвать проблемы с дыханием.
- Дыхательная недостаточность III степени. Это состояние связано с сильным сужением бронхов, что увеличивает риск их повреждения.
- Острый период бронхиальной астмы. Проведение процедуры может усилить бронхоспазм и ухудшить состояние пациента.
- Аневризма аорты. Стресс и манипуляции с бронхоскопом могут спровоцировать разрыв аневризмы.
- Недавний инфаркт миокарда или инсульт (менее полугода назад). Стресс и сосудистые спазмы могут привести к повторному нарушению кровообращения.
- Проблемы со свертываемостью крови. Даже небольшие повреждения слизистой бронхов могут вызвать опасные кровотечения.
- Аллергия на анестетики. Существует риск тяжелых аллергических реакций, которые могут привести к удушью.
- Психические расстройства: шизофрения, эпилепсия, состояние после черепно-мозговой травмы. Стресс и снижение уровня кислорода могут спровоцировать судороги.
Процедуру следует отложить в следующих случаях:
- острые инфекционные заболевания
- менструация
- обострение бронхиальной астмы
- второй триместр беременности
В экстренных ситуациях лечебная бронхоскопия может быть проведена, несмотря на противопоказания.
Бронхоскопия и Бронхография (Видео)
Бронхоскопия у детей, показания, противопоказания, польза и риски, опасно или нет
Бронхоскопия может проводиться детям и имеет множество показаний. Родителям сложно принять решение о согласии на эту процедуру, но в некоторых случаях она жизненно необходима.
Показания для бронхоскопии у детей:
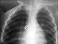
1. Инородное тело в дыхательных путях — наиболее частая причина бронхоскопии. Младенцы и дошкольники часто исследуют мелкие предметы, что может привести к их попаданию в дыхательные пути. Инородное тело может также попасть во время еды, если ребенок не освоил навыки жевания или активно двигается во время перекуса.
Обзорная рентгенограмма органов грудной клетки ребенка:Крючок от одежды в бронхах.
Наиболее распространенные инородные тела:
- частицы пищи (семечки, орехи, косточки, мелкие кости);
- колоски — опасны, так как могут зацепиться за слизистую бронха;
- мелкие детали игрушек;
- резинки от карандашей;
- монеты, шурупы, винтики, бусинки и прочее.
Если ребенок поперхнулся, это облегчает ситуацию, но иногда момент попадания инородного тела остается незамеченным. Мелкие неметаллические предметы сложно диагностировать, так как они могут не отображаться на рентгене, а симптомы могут напоминать пневмонию. В таких случаях бронхоскопия необходима для выявления и удаления инородного тела.
Серьезные осложнения при несвоевременном удалении инородного тела:
- асфиксия или удушение;
- нагноение бронха;
- абсцесс легкого;
- ателектаз доли легкого;
- эмфизема — может привести к разрыву легочной ткани и пневмотораксу;
- сепсис — заражение крови из очага нагноения.
2. Туберкулез бронхов и легких:
- диагноз туберкулез бронхов ставится на основании бронхоскопии;
- для получения мокроты или смывов с бронхов для выявления возбудителя туберкулеза и тестирования на медикаментозную чувствительность;
- остановка легочного кровотечения (чаще у подростков).
3. Ателектаз легкого — выпадение части легкого из акта дыхания.
4. Пороки развития бронхо-легочной системы.
5. Заболевания бронхов и легких неясной этиологии.
6. Муковисцидоз — бронхоскопия используется для разжижения и удаления сгустков мокроты.
7. Абсцесс легкого и другие показания.
Особенности проведения бронхоскопии у детей:
- Обычно требуется анестезия (общий наркоз);
- Используются специальные детские гибкие бронхоскопы;
- Ребенок находится в лежачем положении на спине;
- Больший риск отека и спазма бронхов, необходима готовность к искусственной вентиляции легких;
- Назначение антибиотиков после процедуры обязательно.
Возможные осложнения после бронхоскопии:
- спазм и отек дыхательных путей;
- кровотечение из поврежденного сосуда;
- рвота, приводящая к аспирации;
- инфицирование дыхательных путей при несоблюдении стерильности;
- осложнения от наркоза или местной анестезии (остановка дыхания, резкое снижение давления и др.);
- аллергические реакции на препараты.
Осложнения от бронхоскопии редки (0,2% случаев). Даже если они возникают, большинство устраняются в операционной. Смертельный исход встречается крайне редко (0,0002%). Риск осложнений от не проведенной процедуры значительно выше.
Виртуальная бронхоскопия, что это?
С развитием компьютерных технологий в медицине появилась возможность заменить традиционную бронхоскопию на виртуальную в некоторых случаях.
Что это такое?
Виртуальная бронхоскопия — рентгенологический метод, представляющий собой компьютерную томографию бронхов с обработкой результатов специальным программным обеспечением. С помощью рентгеновских срезов создается трехмерная модель бронхиального дерева, включая слизистую оболочку. Метод неинвазивный и по исполнению аналогичен компьютерной томографии.
Преимущества и недостатки виртуальной бронхоскопии по сравнению с традиционной бронхоскопией
| Параметр | Виртуальная бронхоскопия | Эндоскопическая бронхоскопия |
| Информативность при осмотре бронхов | Высокая, позволяет оценить состояние мелких бронхов (1-2 мм). Точно определяет локализацию патологического процесса. | Менее информативна, не позволяет исследовать мелкие бронхи. Определение места поражения приблизительное. |
| Диагностическая ценность | Не позволяет получить материал для гистологического, цитологического или бактериального анализа. | Возможен забор биопсийного материала, мокроты, промывных вод бронхов и т.д. |
| Лечебный эффект | Отсутствует. | Позволяет проводить хирургические манипуляции, вводить лекарства, удалять инородные тела и т.д. |
| Безопасность | Не травмирующий, но рентгенологический метод с низкими дозами рентгеновских лучей, что безопасно для пациента. | Имеет противопоказания и возможные осложнения, требует обезболивания. |
| Противопоказания | * беременность (только по жизненным показаниям); * ожирение (вес более 120 кг). | * беременность; * стеноз гортани; * тяжелая бронхиальная астма; * кахексия; * заболевания сердечно-сосудистой системы и другие. |
| Подготовка | Специальная подготовка и анестезия не требуются, кроме некоторых случаев (детский возраст, психические расстройства, клаустрофобия). Не требуется введение контрастных веществ. | Необходима специальная подготовка (натощак, клизма и т.д.), анестезия может быть местной или общей. |
| Ощущения при проведении процедуры | Безболезненно, возможно проведение исследования у тяжелобольных. | Неприятная, но терпимая процедура. |
| Длительность процедуры | До 3 минут, обработка результатов — 15-30 минут. | 30-60 минут. |
| Цена (в частных клиниках) | В среднем 6000 рублей. | В среднем 3000 рублей. |
Виртуальная бронхоскопия широко применяется для диагностики и мониторинга роста онкологических образований бронхов, хотя показания для исследования разнообразны, как и для эндоскопической бронхоскопии.
Тем не менее, виртуальная бронхоскопия не может полностью заменить традиционную. Нет смысла проводить виртуальное исследование, если требуются хирургические манипуляции на бронхах.
Бронхоскопия при туберкулезе
Бронхоскопия — распространенная процедура для пациентов с туберкулезом, используемая для диагностики и лечения.
Туберкулез легких часто сопровождается заболеваниями бронхов:
- туберкулез бронхов;
- хронические обструктивные заболевания легких (ХОЗЛ);
- бронхиальная астма;
- эндобронхит;
- бронхоэктазы и другие.
Воспаление в бронхах приводит к изменениям:
- отечность;
- спазмы;
- снижение объема вентиляции легких и других показателей дыхательной функции;
- гипоксия (недостаток кислорода);
- воспаленные бронхи становятся источником инфекции, как туберкулезной, так и бактериальной;
- образование фиброзных изменений (разрастание соединительной ткани) в бронхах.
Эти изменения снижают эффективность противотуберкулезной терапии:
- затрудняют проникновение противотуберкулезных препаратов в слизистую бронха;
- из-за гипоксии ухудшается рассасывание туберкулезных изменений в легких, остаются остаточные изменения (каверны, пневмофиброз, туберкуломы и др.);
- мешают дренированию каверн от некроза;
- продолжается выделение микобактерий туберкулеза в окружающую среду.
Таким образом, диагностика и лечение заболеваний бронхов при туберкулезе легких крайне важны.
Показания к проведению бронхоскопии у пациентов с туберкулезом легких:
- Невозможность получения мокроты для бактериологического анализа.
- Отрицательный результат анализа мокроты при наличии значительных туберкулезных изменений в легких.
- Длительное кровохарканье.
- Легочное кровотечение.
- Долго не заживающая каверна в легком.
- Фиброзно-кавернозный туберкулез.
- Обнаружение палочки туберкулеза в мокроте при отсутствии активных изменений в легких.
- Подготовка к хирургическому лечению туберкулеза.
- Контроль состояния швов после удаления легкого.
- Длительный кашель, не уменьшающийся на фоне лечения.
- Подозрение на химиорезистентный туберкулез.
- Долгий стаж курения у пациента.
- Дифференциальная диагностика туберкулеза внутригрудных лимфатических узлов у детей (при условии отрицательной мокроты).
- Прорыв казеозных масс из внутригрудных лимфатических узлов в бронх у детей (бронхоскопия как неотложная помощь).
- Ателектаз легкого из-за сдавления бронха увеличенными лимфатическими узлами у детей.
Как бронхоскопия помогает в лечении туберкулеза?
- Назначение терапии для устранения отека и спазмов бронхов (например, Вентолин, Беродуал, эуфиллин, глюкокортикоиды, Спирива), что повышает эффективность противотуберкулезной терапии;
- Установление диагноза туберкулеза в сложных случаях;
- Выявление и наблюдение за туберкулезом бронхов;
- Получение биопсийного материала для гистологического анализа;
- Выявление химиорезистентных форм туберкулеза;
- Расправление ателектазов легких;
- Контроль состояния бронхов перед операцией и после нее;
- Удаление грануляций бронхов, возникших в результате туберкулеза;
- Остановка легочного кровотечения и кровохарканья;
- Вымывание казеозных масс из бронхов;
- Удаление бронхиальных свищей из пораженной легочной ткани и лимфатических узлов;
- Санация бронхиального дерева при хронических гнойных заболеваниях и после легочного кровотечения;
- Введение в бронхи противотуберкулезных и других медикаментов.
Бронхоскопия с биопсией, как проводится?
Биопсия бронхов — ключевой метод диагностики заболеваний, особенно рака легких и бронхов. Она выполняется с использованием бронхоскопии или во время операции на грудной клетке.
Поставить диагноз рака бронха без биопсии сложно, так как симптомы (кашель, одышка, повышение температуры, боль в груди) могут встречаться и при других заболеваниях дыхательной системы.
Что такое биопсия?
Биопсия — это забор тканей или клеток для исследования при жизни пациента. Полученный материал называется биоптатом.
Как исследуется биопсионный материал?
-
Гистологическое исследование — анализ тканей под микроскопом. Этот метод позволяет определить, что повредило нормальную ткань бронха, оценить состав клеток и реакцию иммунной системы. Исследование проводит патологоанатом или патоморфолог. Биопсию можно выполнять экстренно во время бронхоскопии или операции, что позволяет сразу определить наличие рака. Это исследование устанавливает диагноз с точностью до 95%.
-
Цитологический метод — исследование клеток под микроскопом. Здесь берут мазок, соскоб или промывные воды бронхов с измененной слизистой. Этот метод применяется при каждой бронхоскопии и помогает выявить раковые клетки и клетки иммунной системы, указывая на воспаление.
-
Микробиологический метод — выявление микроорганизмов в измененной ткани бронха, что особенно важно при подозрении на туберкулез, когда возбудитель не обнаруживается в мокроте. Биоптат подвергается дополнительному гистохимическому исследованию. В некоторых случаях обычная гистология не дает четкой картины, поэтому важно выявить возбудителя.
Как проводится биопсия бронхов?
Подготовка и техника бронхоскопии с биопсией аналогичны стандартной эндоскопической бронхоскопии. При обнаружении образования врач обязан взять биопсийный материал.
Способы забора биопсионного материала:
- Откусывание подозрительной ткани специальными щипцами.
- Браш-биопсия — забор материала с помощью щеточки-скарификатора, что актуально для мелких бронхов.
Правильный забор материала важен для информативности гистологического исследования.
Кроме биопсии бронхов, можно провести забор легочной ткани. Бронхоскоп подводится к сегментарному бронху, затем через него вводится катетер для забора материала под контролем рентгеноскопии.
Пациент не испытывает дискомфорта во время процедуры, она безболезненна. После может наблюдаться кратковременное кровохарканье. Если забирается значительный объем материала, хирург накладывает швы для предотвращения кровотечения.
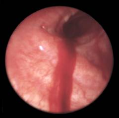
Фото бронхоскопии, как выглядят больные бронхи?
Так выглядят здоровые бронхи во время бронхоскопии.
На этом изображении бронхоскопия при раке легкого (центральный рак).
Эти изменения характерны для туберкулеза бронха.
Бронхоскопия также исследует трахею. На фото результаты бронхоскопии при доброкачественной опухоли трахеи.
Удаление инородного предмета из дыхательных путей.
Бронхи при хронических обструктивных заболеваниях легких (ХОЗЛ) – наиболее распространенное заболевание дыхательной системы у курильщиков.
Вопрос-ответ
Кому нельзя делать бронхоскопию?
Бронхоскопию нельзя проводить пациентам с тяжелыми сердечно-сосудистыми заболеваниями, такими как нестабильная стенокардия или сердечная недостаточность, а также при наличии серьезных нарушений свертываемости крови, острых инфекционных заболеваниях дыхательных путей, тяжелых формах астмы и при наличии крупных опухолей, которые могут затруднить процедуру. Кроме того, противопоказания могут включать аллергии на анестетики и некоторые другие медицинские состояния, требующие индивидуального подхода.
Какие болезни показывает бронхоскопия?
Бронхоскопия позволяет диагностировать различные заболевания дыхательных путей, включая хронический бронхит, пневмонию, опухоли легких, туберкулез, легочные инфекции, а также заболевания, связанные с инородными телами или воспалительными процессами. Этот метод также используется для оценки состояния слизистой оболочки бронхов и взятия биопсий для дальнейшего анализа.
Сколько минут делается бронхоскопия?
Сколько по времени длится процедура бронхоскопии? Длительность бронхоскопического исследования 20–30 минут.
Какие осложнения могут возникнуть после бронхоскопии?
После бронхоскопии могут возникнуть различные осложнения, включая кровотечения, инфекцию, пневмоторакс (коллапс легкого), реакцию на анестезию, а также повреждение дыхательных путей или легких. В редких случаях могут наблюдаться длительные симптомы, такие как кашель или затрудненное дыхание.
Советы
СОВЕТ №1
Перед проведением бронхоскопии обязательно обсудите с врачом все ваши медицинские истории и текущие заболевания. Это поможет избежать возможных осложнений и обеспечить более точную диагностику.
СОВЕТ №2
Убедитесь, что вы понимаете процесс процедуры и ее цели. Задавайте вопросы своему врачу, чтобы развеять все сомнения и подготовиться морально к исследованию.
СОВЕТ №3
Следуйте всем рекомендациям по подготовке к бронхоскопии, включая ограничения по приему пищи и жидкости. Это поможет сделать процедуру более комфортной и безопасной.
СОВЕТ №4
После процедуры уделите внимание своему состоянию. Сообщите врачу о любых необычных симптомах, таких как затрудненное дыхание или сильная боль, чтобы получить необходимую помощь вовремя.










