Анатомия стопы
Человеческая стопа — сложная биомеханическая система, предназначенная для поддержки веса тела и противодействия силам, возникающим при движении.
Стопа состоит из 26 костей, которые делятся на три группы в зависимости от расположения и функций.
Скелет стопы включает:
- Предплюсна. Состоит из 7 костей (таранная, пяточная, ладьевидная, кубовидная и три клиновидные), расположенных между костями голени (большой и малой берцовой) и костями плюсны. Предплюсна формирует голеностопный сустав и несколько малоподвижных суставов стопы.
- Плюсна. Состоит из 5 коротких трубчатых костей, соединяющих фаланги пальцев с предплюсной. Суставные поверхности на обоих концах этих костей увеличивают диапазон движений пальцев.
- Фаланги пальцев. Включают 14 костей (по 2 для первого пальца и по 3 для остальных четырех), образующих подвижный скелет пальцев, которые помогают поддерживать равновесие и выполняют мелкие движения.
Такое разделение основано на взаимосвязях костей и суставов. Однако стопа также включает мышцы, сосуды, нервы, связки, сухожилия, кожу и подкожную клетчатку, что позволяет делить ее на три области.
Стопа делится на:
- Задняя часть стопы. Содержит таранную и пяточную кости.
- Средняя часть стопы. Включает ладьевидную, кубовидную и три клиновидные кости.
- Передняя часть стопы. Состоит из 5 плюсневых костей и фаланг пальцев.
Такое разделение удобно для клинической практики, и некоторые специалисты классифицируют переломы стопы по этим областям.
Врачи отмечают, что переломы костей стопы, включая пяточную и плюсневую, часто возникают в результате травм, таких как падения, спортивные нагрузки или ДТП. Симптомы могут варьироваться от резкой боли и отека до синяков и затрудненного движения. В зависимости от характера повреждения, выделяют открытые и закрытые переломы, а также переломы со смещением и без. Первая медицинская помощь включает иммобилизацию поврежденной конечности, прикладывание льда для уменьшения отека и немедленное обращение к врачу. Реабилитация после перелома требует комплексного подхода, включая физиотерапию, лечебную физкультуру и, в некоторых случаях, хирургическое вмешательство. Важно следовать рекомендациям специалистов для полного восстановления функции стопы и предотвращения осложнений.

Костный скелет стопы
Костный скелет стопы состоит из 26 костей, соединенных малоподвижными суставами. Эти кости испытывают значительные нагрузки, поддерживая вес тела и поглощая энергию при движении.
Скелет стопы включает следующие кости:
-
Пяточная кость. Это самая крупная кость стопы, расположенная в задней части. Она испытывает наибольшую нагрузку при соприкосновении с землей и создает рычаг для икроножной мышцы, облегчая подошвенное сгибание, подъем на носочки и прыжки. Пяточная кость имеет сложную форму с шестью поверхностями. На верхней поверхности находится участок для сустава с таранной костью, а на задней — бугристость для прикрепления ахиллова сухожилия. Нижняя часть расширяется назад, формируя подошвенный выступ, а передняя поверхность покрыта хрящом для соединения с ладьевидной костью. На всех поверхностях расположены выступы и впадины для прикрепления мышц, нервов, сосудов и сухожилий.
-
Таранная кость. Вторая по величине кость стопы, более двух третей ее поверхности занимает суставная поверхность, к которой не прикрепляются мышцы или сухожилия. Таранная кость имеет пять суставных поверхностей, покрытых гиалиновым хрящом. Она состоит из головки, шейки и тела. Головка образует сустав с ладьевидной костью, шейка — наиболее уязвимая часть, а тело соединяется с берцовыми костями и пяточной костью.
-
Кубовидная кость. Находится в латеральной части стопы, впереди пяточной кости и позади четвертой и пятой плюсневых костей. Имеет кубическую форму, основание шире остальных сторон и направлено медиально.
-
Ладьевидная кость. Расположена между головкой таранной кости и тремя клиновидными костями. Участвует в формировании свода стопы и образует суставы с таранной и клиновидными костями. Иногда имеет суставные поверхности для пятой плюсневой или кубовидной кости.
-
Клиновидные кости. Три небольшие кости, расположенные рядом друг с другом. На задней поверхности находятся суставные поверхности для соединения с ладьевидной костью, а на передней — для соединения с плюсневыми костями.
-
Плюсневые кости. Пять коротких трубчатых костей с изгибом, направленным вверх, что способствует формированию свода стопы. Каждая имеет две суставные поверхности и бугристости для прикрепления мышц и сухожилий.
-
Фаланги пальцев. По количеству и расположению аналогичны пальцам руки. Первый палец состоит из двух фаланг, остальные — из трех. Фаланги пальцев стопы короче и толще, что связано с их функциональной нагрузкой.
-
Сесамовидные кости. Небольшие костные образования в толще сухожилий, напоминающие семена кунжута. Они располагаются над суставами, отдаляя сухожилия от суставной щели и увеличивая плечо силы.
Ключевая функция стопы — амортизация, обеспечиваемая сводчатой структурой и эластичностью связок. Свод стопы, образованный плюсневыми и предплюсневыми костями, эффективно гасит ударные нагрузки.
Плоскостопие — распространенное заболевание, при котором свод стопы уплощен, нарушая амортизацию. Это приводит к недостаточному поглощению динамических импульсов, что увеличивает риск заболеваний опорно-двигательного аппарата, включая переломы костей стопы.
| Характеристика | Перелом пяточной кости | Перелом плюсневых костей |
|---|---|---|
| Причины | Высотная травма (падение с высоты), прямая травма (удар тяжелым предметом), компрессионная травма (например, приземление на пятку) | Прямая травма (удар, сдавливание), вращательная травма, стрессовый перелом (повторные микротравмы) |
| Симптомы | Сильная боль в области пятки, отек, деформация пятки, гематома, ограничение подвижности голеностопного сустава, невозможность наступать на ногу | Боль в области плюсневых костей, отек, припухлость, деформация стопы, гематома, ограничение подвижности пальцев, хромота |
| Виды переломов | Вдавленный, оскольчатый, компрессионный, отрывной | Диафизарный, метафизарный, эпифизарный, оскольчатый, компрессионный, стрессовый |
| Первая медицинская помощь | Иммобилизация конечности (шиной, косынкой), холод на место травмы, обезболивание (анальгетики), срочная доставка в медицинское учреждение | Иммобилизация конечности (шиной, косынкой), холод на место травмы, обезболивание (анальгетики), срочная доставка в медицинское учреждение |
| Реабилитация | Иммобилизация гипсовой повязкой (6-8 недель), физиотерапия, ЛФК, массаж, ортопедическая обувь | Иммобилизация гипсовой повязкой (4-6 недель), физиотерапия, ЛФК, массаж, ортопедическая обувь, возможно оперативное вмешательство в зависимости от типа перелома |
Суставы стопы
Стопа — сложная анатомическая структура с множеством суставов, образованных двумя и более костями. Главный сустав — голеностопный, формируемый большими и малыми берцовыми костями с боковыми выростами (лодыжками) и таранной костью. Он обеспечивает максимальную подвижность стопы и позволяет выполнять разнообразные движения. Остальные суставы менее подвижны, но важны для эластичности и упругости.
Суставы стопы:
- Голеностопный сустав. Образуется на стыке берцовых и таранной костей. Лодыжки обхватывают таранную кость, создавая блок. Сустав укрепляется суставной сумкой и связками, что позволяет выполнять движения переднего и заднего сгибания, хотя боковые сгибания ограничены. Травмы могут привести к перелому лодыжки.
- Подтаранный сустав. Малоподвижное соединение между таранной и пяточной костями.
- Таранно-пяточно-ладьевидный сустав. Формируется суставными поверхностями костей предплюсны. В его полостях проходит связка, соединяющая пяточную и таранную кости.
- Пяточно-кубовидный сустав. Образован суставными поверхностями пяточной и кубовидной костей. В сочетании с таранно-пяточно-ладьевидным суставом образует поперечный сустав предплюсны (сустав Шопара), укрепленный раздвоенной связкой, соединяющей пяточную кость с кубовидной и ладьевидной. Рассечение этой связки позволяет увеличить суставную щель, что может быть необходимо при хирургических вмешательствах.
- Клиноладьевидный сустав. Формируется суставными поверхностями клиновидной и ладьевидной костей.
- Предплюсне-плюсневые суставы. Соединяют кости предплюсны с короткими трубчатыми костями плюсны. Они малоподвижны, а их капсула и связки крепко натянуты, что способствует формированию эластичного свода стопы.
- Межплюсневые суставы. Образованы головками плюсневых костей, обращенными друг к другу.
- Плюснефаланговые и межфаланговые суставы. Соединяют фаланги пальцев стопы с плюсной. По структуре схожи с суставами кисти, но амплитуда движений ограничена.
Основная связка стопы — длинная подошвенная связка, простирающаяся от заднего края пяточной кости до основания плюсневых костей. Она укрепляет стопу, соединяя кости в единую функциональную единицу.
Эластичные элементы в строении стопы, анатомические особенности костей и ограниченная подвижность суставов обеспечивают жесткость и упругость, позволяя ноге выдерживать значительные нагрузки.
Переломы костей стопы, включая пяточную и плюсневую, являются распространенной травмой, особенно среди спортсменов и людей, ведущих активный образ жизни. Основные причины таких переломов — падения, удары или неправильные приземления. Симптомы включают сильную боль, отек, синяки и затрудненное движение. Важно сразу же обратиться за медицинской помощью, чтобы избежать осложнений. Первая помощь включает иммобилизацию поврежденной области, прикладывание льда и поднятие ноги для уменьшения отека. Реабилитация может занять несколько недель и включает физиотерапию для восстановления подвижности и силы. Правильное лечение и восстановление помогут избежать повторных травм и вернуться к привычной активности.

Мышцы стопы
Движения стопы обеспечиваются сокращением мышц голени и собственных мышц стопы, при этом основную роль играют мышцы голени.
Движения стопы обеспечиваются следующими группами мышц голени:
- Передняя группа мышц. Включает переднюю большеберцовую мышцу, длинный разгибатель пальцев и длинный разгибатель большого пальца. Эти мышцы участвуют в тыльном сгибании стопы и разгибании всех пальцев, включая большой.
- Латеральная группа мышц. Состоит из длинной и короткой малоберцовых мышц, отвечающих за боковое сгибание стопы (пронацию).
- Задняя группа. Наиболее крупная, включает несколько слоев мышц: трехглавая мышца голени (икроножная и камбаловидная), подошвенная мышца, длинный сгибатель пальцев, задняя большеберцовая мышца и длинный сгибатель большого пальца. Эти мышцы участвуют в подошвенном сгибании стопы и сгибании всех пальцев ноги.
Собственные мышцы стопы представлены следующими группами мускулов:
- Тыльные мышцы стопы. К ним относится короткий разгибатель пальцев, начинающийся от края пяточной кости и участвующий в разгибании первых четырех пальцев.
- Подошвенные мышцы стопы. Включают несколько мышц, отвечающих за сгибание, отведение и приведение пальцев стопы.
Нервы и кровеносные сосуды стопы
Стопа получает кровоснабжение от ветвей передней и задней большеберцовых артерий, которые на уровне стопы превращаются в тыльную артерию стопы и латеральные и медиальные подошвенные артерии. Эти сосуды образуют соединения, формируя замкнутую дугу, что сохраняет кровообращение даже при повреждении одной из артерий. Однако повреждение сосудов стопы, особенно при атеросклерозе, может привести к серьезной кровопотере и ишемии, вызывая необратимые повреждения тканей.
Стопа связана с центральной нервной системой через периферические нервы: задний большеберцовый, поверхностный и глубокий малоберцовые, а также икроножный нерв. Нервные волокна передают ощущения, такие как прикосновение, температура, вибрация, боль и положение в пространстве, в спинной и головной мозг для обработки. Эти волокна также участвуют в передаче импульсов от центральной нервной системы к мышцам, что вызывает произвольные сокращения и непроизвольные реакции, включая рефлексы и изменения в тонусе сосудов и секреции сальных и потовых желез.
Таким образом, стопа — это сложная анатомическая и функциональная структура, состоящая из костей, связок, мышц, сосудов и нервов, испытывающая значительные нагрузки. Переломы в этой области распространены. Учитывая большое количество костей и суставные щели, диагностика и точная локализация перелома могут быть сложными.

Причины переломов костей стопы
Перелом костей стопы происходит при воздействии силы, превышающей пределы упругости кости. Это может быть вызвано сильным ударом (травматический перелом) или снижением прочности кости (патологический перелом).
Стопа подвержена значительным статическим и динамическим нагрузкам, что может приводить к стрессовым или нагрузочным переломам. Эти переломы находятся между травматическими и патологическими.
Травматические переломы костей стопы
Согласно статистике, большинство переломов, включая переломы стопы, являются травматическими. Эти повреждения возникают из-за воздействия травматического фактора на костные структуры. Перелом происходит в месте воздействия или в уязвимой зоне кости.
Травматические переломы могут возникать по следующим механизмам:
- Осевая нагрузка. Избыточная осевая нагрузка на кости стопы может привести к перелому, чаще всего пяточной кости. Этот механизм развивается при падении с высоты или дорожно-транспортных происшествиях, когда педали воздействуют на подошву стопы.
- Избыточное вращение. Вращение стопы может вызвать внесуставной перелом пяточной кости. Травматическое воздействие на стопу в положении внутреннего или внешнего вращения часто приводит к переломам костей стопы и повреждению одной или обеих лодыжек.
- Избыточное тыльное сгибание стопы. Сильное тыльное сгибание в сочетании с ударом, например, при падении или ДТП, чаще всего приводит к перелому шейки таранной кости, иногда с переломом переднего края большеберцовой кости.
- Прямое воздействие. Кости стопы могут повреждаться из-за прямого механического воздействия, что часто происходит при ДТП, падениях, прыжках с высоты или падении тяжелых предметов на стопу.
- Другие механизмы. Повреждения костей стопы могут возникать под воздействием различных травматических факторов в разных положениях стопы, что затрудняет диагностику.
Около 10-15% переломов костей стопы являются открытыми, что означает, что костные отломки контактируют с окружающей средой. Открытые переломы представляют опасность, так как могут привести к бактериальному заражению и инфекционным осложнениям. Кровотечения при открытых переломах обычно более обильные, так как кровь вытекает наружу из поврежденного сосуда.
Высокая частота открытых переломов объясняется близостью кожи к костным структурам и тонким слоем подкожной клетчатки. Травматический фактор воздействует не только на кости, но и на кожу и другие ткани, что приводит к кровоподтекам, ссадинам и открытым ранам.
Открытым считается любой перелом с нарушением целостности кожных покровов, что требует особого подхода к лечению.
Воздействие высокоинтенсивного травматического фактора может привести не только к перелому, но и к смещению костных отломков. Из-за анатомических особенностей стопы смещение чаще всего наблюдается при переломах таранной, пяточной, плюсневых костей и костей фаланг пальцев.
Для смещения отломков необходимо, чтобы перелом был полным, охватывающим всю окружность компактного вещества кости. Травматический фактор должен быть достаточно сильным, чтобы вызвать как перелом, так и смещение фрагментов.
Наличие смещения отломков критически важно для диагностики перелома и планирования лечения, так как смещенные отломки часто требуют хирургического вмешательства для их сопоставления.
Патологические переломы костей стопы
Патологические переломы костей стопы возникают при снижении прочности костной ткани, что приводит к повреждениям от незначительных травм в повседневной жизни. Эти переломы составляют небольшую часть общего числа.
Появление патологического перелома указывает на наличие системного или локального заболевания, нарушающего структуру и прочность кости. Чаще всего причиной становится нарушенный обмен минеральных веществ из-за возрастных изменений и гормональных сбоев.
Заболевания, способствующие возникновению патологических переломов:
- Остеопороз. Состояние, при котором нарушается синтез и минерализация костной ткани. Это приводит к истощению компактного вещества, уменьшению костных балок и снижению прочности скелета.
- Остеомиелит. Инфекционное заболевание, затрагивающее костную ткань и костный мозг. Воспаление нарушает питание кости и ослабляет ее.
- Опухоли костной ткани или костного мозга. Они истощают и ослабляют кости, увеличивая риск переломов при незначительных нагрузках. Неопластические процессы могут вызывать постоянные боли в области пораженной кости.
- Генетические аномалии. Некоторые нарушения могут приводить к сбоям в минерализации и формировании костной ткани, делая кости более хрупкими.
- Недостаток питательных веществ и минералов. Формирование костной ткани требует достаточного количества энергии, витаминов и минералов. Их нехватка может снизить прочность костей, однако изменения происходят медленнее, чем в других тканях.
Ослабление костной ткани также может быть связано с приемом некоторых медикаментов, нарушающих обмен веществ, гормональный баланс или активирующих процессы «рассасывания» костей.
Группы лекарств, снижающих прочность костей:
- стероидные гормоны;
- гормоны щитовидной железы;
- антикоагулянты (например, гепарин);
- препараты лития;
- противосудорожные средства;
- цитостатики и химиопрепараты для лечения опухолей;
- тетрациклиновые антибиотики.
Изменения в структуре костной ткани происходят только при длительном применении этих препаратов. При краткосрочном лечении риски минимальны. При необходимости длительной терапии важно учитывать, что преимущества от применения медикаментов превышают возможные риски переломов.
Стрессовые переломы костей стопы
Стрессовые переломы костей стопы возникают из-за длительного воздействия низкоинтенсивного травматического фактора. Они чаще встречаются у людей с высокими физическими нагрузками, таких как профессиональные спортсмены, танцоры и новобранцы армии. Также подвержены этому типу травм люди с ревматоидным артритом и другими заболеваниями костной ткани.
Наиболее часто повреждаются плюсневые кости, поскольку на них приходится основная нагрузка при беге и прыжках. Плоскостопие также увеличивает риск возникновения стрессовых переломов.
Симптомы перелома костей стопы
Перелом стопы проявляется выраженной болью, которая варьируется по интенсивности и локализации. Боль возникает из-за повреждения надкостницы, содержащей нервные волокна. Воспалительная реакция в месте травмы усиливает болевые ощущения.
Отек и нарушение функции конечности также характерны для перелома. Отечность возникает из-за воспаления, которое приводит к расширению сосудов и увеличению их проницаемости. Ограничение функции связано с болью, мешающей движениям.
Крепитация (хруст) костных отломков может отсутствовать из-за жесткой фиксации костей в области стопы.
Симптомы перелома пяточной кости
При переломе пяточной кости пациенты ощущают сильные боли в области пятки, отек и покраснение. Пятка становится чувствительной, и даже легкое прикосновение вызывает боль. На коже могут появляться ссадины и кровоподтеки, иногда возникают волдыри из-за отека.
Открытые переломы могут сопровождаться значительной кровопотерей и ишемией, что требует внимательного обследования. Повреждение нервов может проявляться сниженной чувствительностью.
Перелом пяточной кости может сочетаться с переломами позвонков поясничного отдела и других костей нижних конечностей.
Симптомы перелома таранной кости
Перелом таранной кости вызывает выраженную боль, усиливающуюся при нажатии на верхнюю часть стопы и при движениях в голеностопном суставе. Боль может быть связана с раздражением суставных поверхностей острыми краями костных отломков.
Крепитация может быть слышна при движениях в голеностопном суставе. Часто перелом таранной кости сопровождается повреждением других костей стопы и лодыжек.
Симптомы перелома средней и передней части стопы
Переломы в средней и передней части стопы проявляются выраженной болью, усиливающейся при пальпации. Отек может варьироваться от легкого до значительного. Кожные покровы часто повреждены, проявляясь синяками и ссадинами.
Симптомы стрессового перелома стопы
Стрессовые переломы плюсневых костей проявляются тупыми, ноющими болями, которые сначала возникают только при нагрузке, но со временем становятся постоянными. Боль обычно диффузная, а отек и деформация менее выражены, чем при других переломах.
Чаще всего стрессовые переломы возникают на фоне увеличения физической активности.
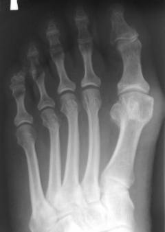
Диагностика переломов костей стопы
Основным методом диагностики является рентгенологическое исследование, позволяющее определить тип и расположение перелома. Перед рентгеном врач проводит клиническое обследование.
Рентген показан при:
- серьезном травматизме в области лодыжек;
- повышенной чувствительности в области костей;
- невозможности удерживать вес на поврежденной ноге;
- повышенной чувствительности в области пятой плюсневой кости.
Рентгеновские лучи позволяют выявить переломы благодаря различной степени их поглощения костной и мягкой тканью.
Для диагностики используются следующие проекции:
- Переднезадняя проекция. Обзорная проекция для начального этапа диагностики.
- Боковая проекция. Позволяет лучше рассмотреть некоторые кости.
- Косая проекция. Угол подбирается в зависимости от предполагаемой патологии.
- Проекция вдоль канала таранной кости. Позволяет получить четкое изображение шейки таранной кости.
- Проекция Бродена. Рассматривает суставную поверхность пяточной кости.
Из-за большого количества мелких костей диагностика переломов в этой области требует глубоких знаний анатомии.
Признаки перелома включают:
- изменение угла бугристости пяточной кости;
- смещение суставных поверхностей;
- наличие патологической линии перелома;
- укорочение кости.
Дополнительные методы диагностики включают компьютерную томографию, ядерно-магнитный резонанс и ультразвуковое исследование.
Первая помощь при подозрении на перелом костей стопы
При переломе стопы следует вызвать скорую помощь, так как это может привести к серьезным осложнениям. Необходимо приподнять ногу для уменьшения отека и болевых ощущений, но если это вызывает боль, лучше оставить ногу в комфортном положении.
Иммобилизация конечности важна для уменьшения смещения костных фрагментов. Для этого можно использовать шины или подручные материалы. Если после иммобилизации боль усиливается, фиксирующую повязку следует снять.
Обезболивание также важно. Можно использовать парацетамол, декскетопрофен или анальгин. Холод (лед) помогает уменьшить отек и боль.
Лечение перелома костей стопы
Лечение основывается на сопоставлении костных фрагментов и их фиксации. Используются два метода: закрытое и открытое сопоставление. Закрытое чаще применяется и предполагает фиксацию гипсом. Открытое требует хирургического вмешательства.
Наложение гипса обязательно для иммобилизации конечности на период заживления. Гипсовая повязка фиксирует стопу и голеностопный сустав, чтобы уменьшить движения в месте перелома.
Операция требуется при значительном смещении костных отломков. Хирургическое лечение позволяет быстрее восстановить функцию конечности.
Физиопроцедуры после перелома
Физиопроцедуры ускоряют сращение костей и уменьшают боль. Применяются:
| Вид процедуры | Механизм действия | Длительность |
|---|---|---|
| Воздействие электромагнитного поля | Увеличивает регенерацию тканей. | 8-10 сеансов. |
| Низкочастотная магнитная терапия | Обезболивает и уменьшает воспаление. | 8-10 сеансов. |
| Ультрафиолетовое облучение | Участвует в образовании витамина Д. | 3-4 сеанса. |
| Электрофорез кальция | Обогащает место перелома кальцием. | 1-2 недели. |
Симптомы перелома костей стопы
Перелом костей стопы проявляется яркими симптомами, позволяющими заподозрить проблему. Однако по клиническим проявлениям невозможно точно определить, какая кость повреждена и какой тип перелома имеет место.
Главный признак перелома — боль, интенсивность и локализация которой зависят от места повреждения. Боль возникает из-за травмы надкостницы, содержащей множество нервных волокон и болевых рецепторов. Воспалительная реакция в области перелома приводит к выделению биологически активных веществ, которые усиливают чувствительность нервных окончаний.
Отек и нарушение функции поврежденной конечности также часто сопровождают перелом. Отечность возникает из-за воспалительного процесса, когда сосуды расширяются и становятся более проницаемыми, что способствует выходу жидкости в окружающие ткани. Ограничение подвижности связано с сильной болью, мешающей выполнять движения и наступать на стопу.
Крепитация (хруст) костных отломков, наблюдаемая при переломах длинных трубчатых костей, может отсутствовать при переломе стопы из-за жесткой фиксации костей и их отломков эластичными структурами ноги.
Пациенты с переломом пяточной кости испытывают умеренные или сильные боли в области пятки, сопровождающиеся отеком и покраснением. Пятка становится чувствительной, и даже легкое прикосновение вызывает боль из-за рефлекторного увеличения чувствительности нервных волокон. Из-за отека размер пятки увеличивается.
На коже вокруг пяточной кости могут появляться ссадины и кровоподтеки, иногда доходящие до свода стопы, что является признаком перелома.
В некоторых случаях возникают волдыри и мокрые мозоли из-за значительного отека и расслоения верхнего слоя кожи, обычно проявляющиеся через полтора-два дня после травмы.
Открытые переломы часто сопровождают переломы костей в этой области. Повреждение кожи обычно располагается медиально, со стороны другой ноги.
При повреждении сосудисто-нервного пучка может возникнуть значительная кровопотеря. Из-за нарушения кровоснабжения тканей стопы может развиться ишемия, что приводит к серьезным последствиям, вплоть до отмирания конечности. Повреждение нервов проявляется снижением или нарушением чувствительности в соответствующей области. При компрессии нервного ствола может развиться синдром хронической боли, лечение которого сложно.
Перелом стопы чаще всего происходит из-за сильного травматического фактора и почти в половине случаев сочетается с переломами других костей.
Перелом пяточной кости может сопровождаться следующими патологиями:
- перелом позвонков поясничного отдела;
- перелом других костей нижних конечностей.
Перелом таранной кости вызывает сильные боли, усиливающиеся при нажатии на верхнюю часть стопы, переносе веса на поврежденную конечность и движениях в голеностопном суставе. Боль также может быть связана с расположением линии перелома в суставной полости, что приводит к раздражению суставных поверхностей острыми краями костных фрагментов и ограничивает подвижность стопы.
Крепитация костных отломков слышна при движениях в голеностопном суставе.
Перелом таранной кости часто сопровождается диффузным отеком всей стопы или ее передней части, что увеличивает чувствительность к пальпации.
Часто перелом таранной кости происходит одновременно с переломами других костей стопы и одной или обеих лодыжек.
Переломы средней и передней части стопы имеют схожие проявления, независимо от поврежденной кости. Основной признак — сильная боль в передней части стопы, усиливающаяся при нажатии и пальпации.
Отечность может варьироваться: от легкого увеличения и покраснения до значительного отека с деформацией конечности.
Кожные покровы в области перелома часто повреждаются, что проявляется синяками, ссадинами и другими травмами кожи.
Движения, такие как сгибание, приведение и отведение стопы, а также вытягивание, обычно усиливают боль и помогают выявить нестабильность костных фрагментов (смещение частей кости относительно друг друга).
Стрессовые переломы плюсневых костей стопы проявляются тупыми, ноющими болями. Сначала они ощущаются только при физической нагрузке или воздействии на стопу, но со временем становятся постоянными и беспокоят даже в покое. Боль обычно диффузная, охватывающая всю стопу, а при хронических переломах локализуется в области повреждения.
Отечность, покраснение и деформация стопы при стрессовых переломах менее выражены, чем при других травмах.
Стрессовые переломы чаще возникают из-за увеличения физической активности. Эти травмы характерны как для профессиональных, так и для любительских спортсменов, которые увеличили нагрузку в тренировках. Также к этой группе относятся новобранцы, сталкивающиеся с высокими физическими нагрузками без должной подготовки, преодолевающие большие расстояния в неподходящей обуви и с тяжелым снаряжением.
Диагностика переломов костей стопы
Основным способом диагностики переломов костей стопы является рентгенологическое исследование, которое точно определяет местоположение и тип перелома. Перед рентгеном врач проводит клиническое обследование и решает, нужно ли делать снимок. Общение с пациентом и осмотр помогают заподозрить перелом и выявить сопутствующие патологии.
Травматологи используют различные руководства, описывающие симптомы переломов и рекомендации по диагностике и лечению. В таких материалах указаны критерии, на основании которых принимается решение о рентгенографии.
Рентгенологическое исследование голеностопного сустава и стопы рекомендуется в следующих случаях:
- серьезные травмы лодыжек с интенсивной болью;
- повышенная чувствительность в области большеберцовой и малоберцовой костей;
- невозможность опираться на поврежденную ногу;
- неспособность сделать четыре шага;
- болезненные ощущения в области пятой плюсневой кости;
- чувствительность в области ладьевидной кости.
Эти признаки помогают отличить переломы от менее серьезных повреждений, что важно для предотвращения ненужного облучения пациентов.
Рентгеновские лучи — ионизирующее электромагнитное излучение, проникающее через объекты и формирующее изображение на пленке. Они радиоактивны, поэтому частые исследования следует избегать. Однако для диагностики переломов преимущества этого метода превышают недостатки.
Ткани организма поглощают рентгеновские лучи в разной степени. Костная ткань поглощает их почти полностью, тогда как мягкие ткани — лишь частично. Это создает негативное изображение, где костная ткань отображается затемнениями. При наличии перелома на пленке появляется четкая линия.
Изображение, получаемое при рентгене, двухмерное, поэтому для получения полной информации необходимо сделать серию снимков в различных проекциях.
Для диагностики переломов костей стопы применяются следующие проекции:
- Переднезадняя проекция. Рентгеновский аппарат располагается спереди стопы, кассета — сзади. Это обзорная проекция для начального этапа диагностики.
- Боковая проекция. Рентгеновские лучи проходят через стопу с бокового направления, что позволяет лучше рассмотреть некоторые кости.
- Косая проекция. Ось рентгеновского излучателя и пленки располагается под углом к голени и стопе. Угол выбирается в зависимости от предполагаемой патологии.
- Проекция вдоль канала таранной кости. Кассета укладывается под стопу в максимальном подошвенном сгибании, рентгеновский аппарат настраивается под углом 15 градусов к вертикали. Эта проекция дает четкое изображение шейки таранной кости.
- Проекция Бродена. Кассету укладывают под стопу в положении внешнего вращения для детального рассмотрения суставной поверхности пяточной кости.
Диагностика переломов в этой области сложна из-за большого количества мелких костей, что требует глубоких знаний анатомии и клинического опыта.
Признаки перелома костей стопы включают:
- изменение угла бугристости пяточной кости;
- смещение суставных поверхностей пяточной и таранной кости;
- наличие патологической линии перелома;
- множественные костные отломки;
- укорочение кости;
- изменение формы кости;
- затемнения от вколачивания костных фрагментов.
Помимо рентгенографии, для диагностики перелома стопы могут использоваться другие методы, каждый из которых имеет свои плюсы и минусы. Дополнительные методы применяются при подозрении на повреждение сосудисто-нервного пучка, связок и сухожилий, а также при затруднениях в диагностике.
Компьютерная томография
Компьютерная томография — это эффективный метод диагностики, способный выявлять даже незначительные повреждения костей и тканей.
Его применяют, когда стандартное рентгеновское исследование не предоставляет достаточной информации или есть подозрения на сопутствующие патологии.
Как и рентгенография, компьютерная томография связана с облучением. Однако из-за более длительного времени процедуры и серии снимков, она может подразумевать более высокие дозы радиации по сравнению с традиционным рентгеном.
Ядерно-магнитный резонанс
Ядерно-магнитный резонанс (ЯМР) — это высокотехнологичный метод исследования, основанный на изменении свойств атомов водорода под воздействием магнитного поля. Он позволяет четко визуализировать мягкие ткани и водосодержащие структуры, что делает его важным для диагностики повреждений нервов, сосудов, связок и мягких тканей.
Однако использование мощных магнитов ограничивает применение метода у пациентов с металлическими имплантами.
Ультразвуковое исследование (УЗИ)
Ультразвуковое исследование (УЗИ) стало популярным в медицине благодаря безопасности и простоте использования. Метод основан на изменении скорости и отражении звуковых волн на границе различных сред.
Хотя ультразвук редко применяется для диагностики травматологических заболеваний из-за непроницаемости костных структур для звуковых волн, он может помочь выявить признаки переломов. Также метод позволяет определить воспалительные процессы и визуализировать скопления крови или других патологических жидкостей в суставной полости.
Первая помощь при подозрении на перелом костей стопы
Нужно ли вызывать скорую помощь?
В большинстве случаев перелом стопы не угрожает жизни. Однако без своевременного лечения и правильного сопоставления костных фрагментов могут возникнуть серьезные осложнения, вплоть до инвалидности.
Несмотря на отсутствие угрозы для жизни, необходимо вызвать скорую помощь. Это нужно по нескольким причинам. Во-первых, перелом вызывает сильную боль, которую трудно облегчить дома. Во-вторых, травма ограничивает движение, что затрудняет доступ к медицинскому учреждению. В-третьих, перелом может сопровождаться повреждением нервов, сосудов или других частей тела, что требует тщательной диагностики. Поэтому вызов скорой помощи для оказания первой помощи и транспортировки в больницу является важным шагом.
В каком положении лучше держать ногу?
При переломе стопы для облегчения боли и уменьшения отечности рекомендуется приподнять ногу до приезда скорой помощи. Это улучшает отток крови и снижает нагрузку на кости.
Если поднятие ноги усиливает боль, следует разгрузить стопу и расположить ее в удобном положении.
Не пытайтесь самостоятельно вправлять перелом. Без обследования и профессиональных навыков это может повредить нервы и сосуды, что приведет к серьезным осложнениям.
Нужно ли делать иммобилизацию?
Иммобилизация конечности, наряду с обезболиванием, является ключевым аспектом первой помощи. Основная задача иммобилизации — обеспечить неподвижность конечности и ее разгрузку, что минимизирует смещения костей при транспортировке и снижает болевые ощущения. Это также уменьшает риск повреждения окружающих мягких тканей.
Для иммобилизации стопы можно использовать специализированные шины, доступные в машинах скорой помощи, а также обычные предметы: палки, доски, плотный картон, фанеру и другие материалы. Правильная иммобилизация включает фиксацию суставов выше и ниже перелома. При переломе костей стопы необходимо зафиксировать голеностопный сустав и саму стопу, чтобы ограничить их движения. Если после иммобилизации пострадавший ощущает усиление болей, следует снять повязку и шину, оставив конечность свободной до прибытия скорой помощи.
Необходимо ли давать обезболивающие препараты?
Правильное обезболивание критично при первой помощи при переломах. Многие домашние средства не обеспечивают достаточного уровня обезболивания, что снижает их эффективность.
Для облегчения боли можно использовать следующие препараты:
- парацетамол (500 мг);
- декскетопрофен (дексалгин) (12,5 – 25 мг в таблетках);
- инъекции декскетопрофена (12,5 – 25 мг);
- инъекции анальгина (ревалгина) (1 – 2 мл).
Эти лекарства помогают при слабой и умеренной боли, но при сильных лишь снижают дискомфорт. Их действие основано на блокировке провоспалительных веществ, которые вырабатываются в области перелома и передают болевые сигналы.
После приема таблеток нужно подождать 20 – 30 минут для начала действия, так как именно столько времени требуется для всасывания.
Если эффект недостаточен, не следует превышать две дозы, чтобы избежать побочных эффектов и передозировки.
Рекомендуется приложить холод (лед) к поврежденной конечности. Это уменьшает отек, болевые ощущения, кровотечение и риск осложнений. Лед нужно накладывать на кожу, защищенную тканью, чтобы избежать обморожения.
Прибывшая бригада скорой помощи может использовать нестероидные противовоспалительные средства (дексалгин, ибупрофен, диклофенак, анальгин) и наркотические препараты (промедол, трамадол, морфин). Наркотики обладают сильным действием и помогают при интенсивной боли, изменяя восприятие боли и снижая порог чувствительности. Однако их не рекомендуется применять длительное время из-за возможных побочных эффектов.
Лечение перелома костей стопы
Лечение переломов костей стопы требует точного выравнивания и надежной фиксации костных фрагментов. При соблюдении этих условий между концами отломков образуется костная мозоль, которая затвердевает и заживляет перелом.
Существуют два основных метода выравнивания: открытый и закрытый. Закрытое выравнивание, наиболее распространенное, используется для коррекции незначительно смещенных фрагментов с последующей фиксацией гипсовой повязкой. Открытое выравнивание выполняется хирургически и включает сопоставление фрагментов с фиксацией винтами, спицами или пластинами.
Нужно ли накладывать гипс?
При переломе костей стопы необходимо наложение гипсовой повязки для иммобилизации конечности во время формирования костной мозоли. Обычно перед этим проводится репозиция костных отломков.
Гипсовая повязка накладывается так, чтобы ограничить движения в области перелома и разгрузить конечность, приближая кости к естественному положению.
Чаще всего используются гипсовые повязки, охватывающие всю стопу и поднимающиеся на нижнюю треть голени. Для поддержания свода стопы в правильном положении применяются специальные стельки, помещаемые в гипс.
Срок ношения гипсовой повязки зависит от места перелома, степени смещения отломков, времени обращения за медицинской помощью и общего состояния здоровья пострадавшего. В среднем гипс носится от 6 до 10 недель.
Когда нужна операция?
Оперативное вмешательство при переломах костей стопы необходимо при значительном смещении отломков или множественных фрагментах. Хирургическое лечение применяется, когда другие методы неэффективны или невозможны.
Процедура включает разрез кожи и мягких тканей для доступа к костям. Операция проводится под общей или регионарной анестезией, в зависимости от состояния пациента и объема вмешательства.
Во время операции врач-травматолог использует стерильные инструменты для точного сопоставления и фиксации костных отломков с помощью винтов, металлических пластин или спиц.
Одно из главных преимуществ хирургического лечения — сокращение времени восстановления. После фиксации костных фрагментов восстановление двигательной функции может произойти быстро, но важно избегать перегрузки поврежденной конечности и постепенно восстанавливать объем движений.
Скорость восстановления после операции зависит от:
- возраста пациента;
- наличия метаболических и гормональных нарушений;
- типа хирургического вмешательства;
- физиотерапевтических процедур.
Правильно подобранный комплекс гимнастических упражнений и физиотерапии способствует быстрому восстановлению двигательной активности стопы.
Какие физиопроцедуры показаны после перелома?
Физиотерапевтические процедуры — это лечебные мероприятия, которые ускоряют сращение костей и уменьшают боль.
Физиотерапевтические процедуры при переломах костей стопы
| Тип процедуры | Механизм действия | Продолжительность курса |
| Воздействие электромагнитного поля ультравысокой частоты | Изменяет свойства молекул и ферментов клеток, улучшая регенерацию тканей. Согревающий эффект ускоряет заживление и снижает воспаление. | Начинается с 2-3 дня после травмы. Обычно требуется 8-10 сеансов для заметного результата. |
| Низкочастотная импульсная магнитная терапия | Обладает противовоспалительным и обезболивающим действием, снижая потребность в обезболивающих. | Необходимо пройти 8-10 сеансов по 30 минут для достижения результата. |
| Ультрафиолетовое облучение области перелома | Ультрафиолетовые лучи способствуют образованию витамина D, который важен для усвоения кальция — основного элемента костной ткани. | Достаточно 3-4 сеансов в течение 10-12 дней для нормализации обмена веществ. |
| Электрофорез с использованием препаратов кальция | Постоянный электрический ток позволяет кальцию проникать в глубокие слои тканей, обогащая область перелома и ускоряя заживление. | Процедуры можно проводить ежедневно в течение одной-двух недель. |
Вопрос-ответ
Каковы симптомы перелома плюсневой кости стопы?
Симптомы перелома плюсневой кости стопы включают боль в области стопы, отек, синяки, затруднение при ходьбе или стоянии, а также возможную деформацию стопы. В некоторых случаях может наблюдаться хруст при движении.
Какая первая помощь нужна при переломе костей стопы?
При переломе костей стопы необходимо обеспечить покой поврежденной конечности, зафиксировав ее в удобном положении. Рекомендуется наложить холодный компресс для уменьшения отека и боли, а также приподнять ногу, чтобы снизить приток крови. Важно обратиться за медицинской помощью для диагностики и лечения, так как может потребоваться рентген и наложение гипса или других средств фиксации. Не следует пытаться самостоятельно передвигаться или нагружать поврежденную стопу.
Как долго срастается перелом пятой плюсневой кости?
Процесс консолидации перелома плюсневых костей в среднем занимает 3-4 недели.
Советы
СОВЕТ №1
При подозрении на перелом стопы, пяточной или плюсневой кости, немедленно обратитесь к врачу. Не пытайтесь самостоятельно диагностировать травму или заниматься самолечением, так как это может привести к осложнениям и неправильному сращению костей.
СОВЕТ №2
Если вы получили травму, обеспечьте покой поврежденной конечности. Используйте холодный компресс для уменьшения отека и боли, но не прикладывайте лед непосредственно к коже — оберните его в ткань.
СОВЕТ №3
После получения медицинской помощи следуйте рекомендациям врача по реабилитации. Это может включать физиотерапию, специальные упражнения для восстановления подвижности и укрепления мышц, а также использование ортопедических стелек или бандажей.
СОВЕТ №4
Обратите внимание на профилактику травм в будущем. Носите удобную обувь, избегайте скользких поверхностей и будьте осторожны при занятиях спортом, особенно если у вас есть предрасположенность к травмам.






