Анатомия зуба
Зуб — это окостеневший сосочек, образованный слизистой оболочкой. У человека обычно от 28 до 32 постоянных зубов: 8 резцов, 4 клыка, 8 малых коренных и от 8 до 12 больших коренных.
С точки зрения анатомии выделяют следующие части зуба:
- коронка зуба — часть, выступающая над десной;
- шейка зуба — узкая область с тонкой эмалью, соединяющая коронку с корнем;
- корень зуба — часть, находящаяся в альвеолярном отростке челюсти и покрытая десной.
Структура зуба состоит из твердых тканей. Зубная эмаль защищает его снаружи, дентин составляет основную массу, а корень покрыт зубным цементом. Внутри зуба находится пульпа — мягкая соединительная ткань с кровеносными капиллярами и нервными волокнами, расположенная в пульповой камере и корневом канале. Кровеносные сосуды и нервы проникают через апикальное отверстие на верхушке зуба.
Врачи отмечают, что пульпит может быть острым или хроническим, и его развитие связано с различными факторами, такими как кариес, травмы зуба и инфекции. Симптомы включают сильную зубную боль, особенно при воздействии температуры или давления, а также отек и покраснение десен. Диагностика основывается на клиническом осмотре и рентгенографии, что позволяет выявить степень поражения пульпы.
Среди видов пульпита выделяют фибринозный, гангренозный, гнойный и гипертрофический. Фибринозный пульпит характеризуется воспалением с образованием фибрина, в то время как гангренозный сопровождается некрозом тканей. Гнойный пульпит проявляется образованием гноя, а гипертрофический — избыточным разрастанием пульпы. Осложнения могут включать абсцессы и распространение инфекции на окружающие ткани. Лечение варьируется от консервативной терапии до эндодонтического вмешательства, в зависимости от стадии заболевания. Важно своевременно обращаться к стоматологу для предотвращения серьезных последствий.

Причины пульпита
Пульпит — одна из основных причин зубной боли, вызванная воспалением пульпы, которое может иметь разные причины.
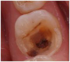
- Запущенный кариес. При разрушении эмали кариес проникает в глубокие слои зуба, достигая мягких тканей и вызывая воспаление пульпы, что приводит к пульпиту и сильной боли.
- Пульпит после пломбирования. Может возникнуть из-за недостаточного охлаждения во время лечения, что приводит к ожогу мягких тканей. Это асептический пульпит, развивающийся без бактерий. Также пульпит может возникнуть, если кариозные участки не были полностью удалены перед пломбированием.
- Пульпит после травмы зуба. Может развиться после ушиба или откола коронки, особенно у детей, где пульпит молочного зуба может возникнуть даже после небольшого повреждения.
- Пульпит после воздействия химических и температурных раздражителей. Некоторые медикаменты и кислоты могут разрушать ткани зуба, проникая через дентинные каналы и вызывая воспаление пульпы.
- Распространение инфекции с током крови. Бактерии могут попасть в пульпу через кровь из хронических инфекций, таких как гайморит или тонзиллит, при этом целостность зуба может оставаться неповрежденной.
Формы пульпита приводят к различным жалобам пациентов. Боль возникает из-за повышения давления в полости зуба, вызванного воспалительным экссудатом, который проникает через дентинные канальцы. Боль может утихнуть на 4-5 часов.
При острой форме пульпита наблюдаются следующие симптомы:
- Долгая боль после устранения раздражителей.
- Самопроизвольные боли, не связанные с холодной, горячей или кислой пищей.
- Усиление болей ночью.
- Приступообразные боли с периодами затишья, продолжающиеся 20-30 минут.
- Боль может иррадиировать в ухо, челюсть или висок.
При хроническом пульпите симптомы могут быть следующими:
- Менее интенсивная периодическая боль.
- Увеличение неприятных ощущений после горячей или холодной пищи.
- Слабые самопроизвольные боли.
Примечательно, что 10% людей с пульпитом могут не испытывать зубной боли, но это не исключает необходимости в лечении.
В запущенных случаях могут возникнуть серьезные осложнения пульпита, такие как периодонтит, киста или некроз челюсти.
Важно различать глубокий кариес и хронический пульпит, так как эти состояния требуют разных методов лечения. При пульпите ноющая боль после раздражителей не проходит более 20 минут, тогда как при кариесе неприятные ощущения исчезают после устранения раздражителя.
Для дифференциации пульпита от обострения хронического периодонтита достаточно постучать по больному зубу: при периодонтите это вызовет неприятные ощущения.
При гипертрофическом пульпите болезненность слаба, но зуб сильно кровоточит при механическом раздражении.
При фиброзном пульпите под тонким слоем дентина в кариозной полости просвечивает пульпа, и зондирование вызывает резкую боль.
При диагностике гипертрофического пульпита важно отличить его от разрастания десневого сосочка, который можно оттеснить зондом.
При дифференциальной диагностике пульпита и воспаления тройничного нерва следует помнить, что при патологии зуба боль усиливается ночью, тогда как при невралгии она уменьшается.
Диагностика пульпита
Для диагностики пульпита используются традиционные и современные методы.
| Методы диагностики | Описание |
| Детальный опрос | Врач собирает жалобы, выясняет причину, характер и интенсивность боли. |
| Осмотр полости рта | Проводится с использованием стоматологических инструментов. Врач обращает внимание на все зубы и пломбы, а также на воспаление десен. |
| Зондирование | Обследование полости зуба с помощью зонда для определения степени заболевания. |
| Температурные пробы | Воздействие высоких и низких температур на пульпу для оценки состояния мягкой части зуба. |
| Электроодонтодиагностика | Реакция пульпы на электрический ток: чем сильнее воспаление, тем выше сила тока, вызывающая реакцию. |
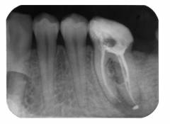
| Рентгенография | Применяется для выяснения особенностей строения зуба и степени заболевания. |
После обследования стоматолог ставит диагноз. Пульпит может иметь несколько форм в зависимости от стадии и течения болезни.
Острый пульпит подразделяется на:
- очаговый пульпит
- диффузный пульпит
Острый очаговый пульпит — начальная стадия, когда воспаление расположено около кариозной полости. Симптомы: резкая самопроизвольная боль, которая длится от нескольких минут до получаса, может стихнуть на 3-5 часов и резко усилиться ночью.
Острый диффузный пульпит охватывает всю пульпу, вызывая длительные приступы сильной боли. Периоды уменьшения неприятных ощущений становятся кратковременными, и при переходе в гнойный процесс боль усиливается и становится постоянной.
Хронический пульпит подразделяется на:
- фиброзный пульпит
- гипертрофический пульпит
- гангренозный пульпит
- ретроградный пульпит
Хронический фиброзный пульпит возникает, когда острое воспаление переходит в хроническое. Боль становится слабой и периодической от пищевых раздражителей.
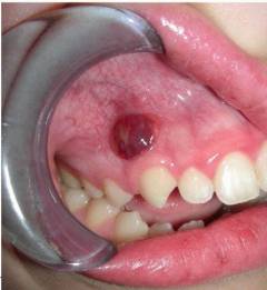
Хронический гипертрофический пульпит характеризуется разрастанием пульпы, образующей полип, что вызывает болезненность при жевании и кровоточивость.
Хронический гангренозный пульпит развивается на фоне хронического фиброзного пульпита и характеризуется гнилостным запахом изо рта и длительной ноющей болью.
Хронический ретроградный пульпит — хроническая форма с образованием пародонтальных карманов, являющихся источником инфекции.
Каждая форма пульпита требует специфического подхода к лечению. Перед стоматологическими процедурами обязательно проводится местная анестезия и удаление пораженных тканей. Рентгеновский снимок — завершающий этап лечения для контроля его эффективности.
| Метод | Описание |
| Консервативные или биологические методики лечения пульпита | Пульпа зуба сохраняется и восстанавливается. |
| Лечебные и противовоспалительные пасты | Препараты, такие как «Кальцидонт», «Life», «Dical», обладают противовоспалительным действием. |
| Протеолитические ферменты | Обладают противоотечным и противовоспалительным действием, стимулируют регенерацию тканей. |
| Препараты на основе гидроксида кальция | Наносятся на дно очищенной полости, способствуя образованию дентина и предотвращая попадание микроорганизмов в пульпу. |
| Физиотерапевтическое лечение | Процедуры, направленные на лечение воспаления в пульпе зуба (лазер, депофорез, УВЧ). |
| Установка временной пломбы | Полость зуба закрывается на 2-5 дней для наблюдения за реакцией пульпы. |
| Установка постоянной пломбы | Врач выбирает подходящий материал для пломбирования зуба. |
| Хирургические или оперативные методики лечения пульпита | Включают частичное или полное удаление пульпы и заполнение корневого канала пломбировочным материалом. |
| Метод витальной ампутации | Частичное удаление пульпы, при котором корневая часть остается жизнеспособной. |
| Метод девитальной ампутации | Полное удаление пульпы с последующим пломбированием корневого канала. |
| Комбинированный метод лечения пульпита | Сочетает полное удаление пульпы из каналов с мумификацией пульпы в труднопроходимых каналах. |
Стоимость лечения пульпита варьируется в зависимости от клиники, метода и стадии заболевания. Хирургические методы с пломбированием могут стоить от 2000 рублей, биологические методы начинаются от 4000 рублей.
Пульпит — это не просто зубная боль! Если не лечить, могут возникнуть серьезные осложнения, такие как острый и хронический периодонтит, некроз пульпы и периапикальный абсцесс. Распространение инфекции с током крови может привести к гнойному синуситу, менингиту и абсцессу мозга. Лечить пульпит в домашних условиях невозможно! Можно лишь временно облегчить боль, поэтому важно обратиться к стоматологу.
Профилактика пульпита заключается в правильном уходе за полостью рта, качественной чистке зубов и выборе подходящей пасты и щетки. Своевременное лечение кариеса — основная мера профилактики пульпита. Рекомендуется посещать стоматолога не реже двух раз в год. Эти меры помогут сохранить здоровье зубов и красоту улыбки.
Не стоит паниковать, если зуб болит после пульпита. Врачи считают нормальным, что неприятные ощущения могут сохраняться от нескольких часов до 2-3 дней после посещения стоматолога. Для облегчения состояния можно принять обезболивающие (например, Найз или Ибуфен). Если лечение проведено правильно, через 3 дня боль должна пройти.
Причины боли в зубе после лечения пульпита:
- Врач оставил здоровую часть пульпы, и зуб сохранил чувствительность. Если ткани пульпы были сдавлены или обожжены, это может вызывать боль.
- После удаления пульпы корневые каналы промывают антисептиками, которые могут раздражать ткани вокруг верхушки корня зуба.
- При глубоком пломбировании инструментами могут быть незначительно травмированы ткани верхушки корня зуба.
Пульпит — сложная задача для стоматолога. К сожалению, повторное воспаление пульпы и окружающих тканей наблюдается у 50-60% пациентов, особенно если врач пытался сохранить питание зуба и оставил часть пульпы.
Признаки, которые должны вас насторожить:
- Обезболивающие не помогают или действуют лишь на 1-2 часа.
- Боль сохраняется через 2-3 дня.
- Десна над пролеченным зубом припухла, красная и болезненная.
- Повышение температуры.
Если зуб после пульпита болит сильно, это может указывать на некачественное лечение. Возможные причины:
- Врач оставил поврежденный участок пульпы.
- Корневой канал не был полностью запломбирован, что позволяет инфекции проникать из окружающих тканей.
- Бактерии могли осеменить здоровую часть пульпы, что привело к воспалению под пломбой.
- Инфекция могла выйти наружу через отверстие на верхушке корня, образовав периодонтальный абсцесс, который может перерасти в радикулярную кисту.
- Использование агрессивных антисептиков, вызвавших ожог тканей периодонта.
Что может сделать врач, чтобы предотвратить повторный пульпит? Опытные стоматологи рекомендуют тщательно пломбировать все каналы и делать контрольный снимок, чтобы убедиться, что каналы равномерно и плотно заполнены материалом, без пустот, где могут размножаться бактерии.
Итог: если зуб после пульпита болит более трех дней, необходимо обратиться к стоматологу для выяснения причины. Боль, возникшая через несколько дней или недель после лечения, указывает на повторное развитие инфекции и требует срочного вмешательства. Стоматологи должны исправлять свои ошибки бесплатно.
Многие родители ошибочно полагают, что во временных зубах нет пульпы, и, следовательно, у ребенка не может развиться пульпит молочного зуба. Это не так. Передние зубы могут поражаться уже в 2 года, а моляры — в возрасте 3-7 лет.
Причины развития пульпита молочного зуба:
- Острое инфекционное заболевание, сопровождающееся бактериемией. Бактерии проникают в пульпу через кровеносные сосуды.
- Кариес. Микроорганизмы и их токсины проникают через кариозную полость.
- Неосторожная обработка зуба при лечении кариеса. Врач может случайно вскрыть полость зуба, где находится пульпа.
- Неправильно выбранный пломбировочный материал. Некоторые вещества могут быть слишком агрессивными и вызывать раздражение пульпы.
- Обработка полости зуба спиртом и другими сильными антисептиками во время лечения кариеса, что может привести к химическому ожогу пульпы.
- Недостаточное охлаждение водой при лечении зуба, что может спровоцировать термический ожог пульпы.
- Травма зуба, при которой вскрывается пульповая камера и в нее проникают бактерии.
Симптомы пульпита у детей:
У детей различают острый и хронический пульпит, которые легко различить по симптоматике.
1. Симптомы острого пульпита:
Острый пульпит может возникнуть у детей в возрасте 3-6 лет. Воспаление возникает в полностью сформированном зубе, корни которого еще не начали рассасываться. На зубе может быть небольшая кариозная полость или зуб может выглядеть здоровым.
Проявления болезни:
- Внезапная острая сильная боль.
- Боль усиливается от холодного и теплого. Если в пульповой камере есть гной, то боль усиливается от горячего и уменьшается от холодного.
- Боль возникает при сжимании челюстей.
- Боль при жевании и попадании пищи на зуб.
- Боль может распространяться на половину челюсти, и ребенок не может указать, какой именно зуб болит.
- Для уменьшения боли ребенок может ложиться на больную сторону.
- Небольшой отек щеки.
- Незначительное увеличение подчелюстных лимфатических узлов.
2. Симптомы хронического пульпита:
Хронический пульпит возникает в зубе с большой кариозной полостью или в зубе с пломбой. Неприятные ощущения возникают после воздействия раздражителей, таких как попадание пищи в кариозную полость или охлаждение зуба.
Часто хронический пульпит протекает бессимптомно, и у ребенка нет жалоб. Однако при снижении иммунитета могут возникать обострения, сопровождающиеся сильной болью и другими симптомами острого пульпита.
Проявления болезни зависят от формы хронического пульпита.
| Формы хронического пульпита | Симптомы заболевания |
| Фиброзный пульпит | * Боль во время еды; * Ребенок жует на одну сторону; * На поврежденной стороне больше зубного налета; * Боль при питье холодной воды. |
| Гангренозный пульпит | * Зуб серого цвета; * Боли нет из-за гибели нервных волокон; * Неприятные ощущения после горячего, которые возникают не сразу, а через некоторое время; * Чувство тяжести в зубе; * Неприятный запах из полости зуба. |
| Гипертрофический пульпит | * Кровоточивость при жевании и чистке зубов; * Внутри глубокой полости можно увидеть розовую массу – разрастание пульпы. |
При хроническом пульпите у детей часто воспаляются окружающие ткани, что может привести к периодонтиту, который может протекать бессимптомно. Для выявления воспаления может потребоваться рентгеновский снимок.
Лечение хронического пульпита молочных зубов:
Консервативный метод позволяет сохранить жизнеспособность пульпы.
Показания:
- Острый частичный серозный пульпит.
- Случайное вскрытие полости зуба при лечении кариеса или при надколе зуба.
- Хронический фиброзный пульпит без болей.
Первое посещение:
- Рентгенограмма зуба по необходимости.
- Удаление поврежденных тканей из полости зуба.
- Обработка полости антисептиком.
- Заложение в полость ватного шарика с раствором антибиотика или кортикостероида для снятия воспаления.
- Установка временной пломбы.
Второе посещение через 1-2 дня:
- Снятие временной пломбы и удаление ватного шарика.
- Обработка зуба антисептиком.
- Покрытие дна полости пастой, содержащей кальций.
- Установка временной пломбы.
Третье посещение через 7-14 дней:
- Удаление временной пломбы.
- Наложение изолирующей прокладки.
- Установка постоянной пломбы.
Хирургический метод предполагает удаление пульпы. Если пульпа в коронковой части загрязнена, ее необходимо удалить, иначе воспаление продолжится и может привести к образованию абсцесса или свища.
Удалить всю пульпу в молочном зубе сложно, так как каналы недостаточно сформированы и могут быть повреждены. Наиболее распространен метод, состоящий из нескольких этапов:
Первое посещение:
- Рентгенография.
- Обезболивание.
- Вскрытие и очищение кариозной полости.
- Наложение девитализирующей пасты.
- Установка временной пломбы.
Второе посещение:
- Удаление временной пломбы и повторное очищение.
- Удаление пульпы из коронковой части и устьев каналов.
- Закрытие устьев специальной пастой.
- Установка изолирующей прокладки.
- Установка финальной пломбы.
В некоторых случаях может потребоваться еще одно посещение для контроля состояния тканей.
Некоторые врачи используют мышьяк для «убийства нерва», но необходимо следить за состоянием ребенка, чтобы избежать токсического воздействия.
Существует метод, позволяющий вылечить зуб за одно посещение и сохранить его жизнеспособность, но он применяется только при неглубоком кариесе.
Противопоказания:
- Глубокая полость.
- Выделение гнойной жидкости.
- Самопроизвольные боли.
- Абсцесс или свищ.
Методика:
- Рентгенография.
- Обезболивание.
- Удаление пораженных тканей.
- Удаление пульпы в коронке.
- Промывание антисептиками.
- Закладывание ватных шариков с формокрезолом.
- Закладывание «цемента» из цинкоксид-эвгеноловой пасты.
- Установка пломбы.
Удаление зуба рекомендуется, если в тканях, окружающих корни, выявляется гной, чтобы не повредить зачаток коренного зуба.
Особенности пульпита у детей:
- Неглубокий кариес. У детей пульпа может поражаться даже при незначительном повреждении зуба.
- Быстрое распространение воспаления. У детей пульпит редко бывает очаговым.
- Симптомы зависят от стадии формирования зуба. У детей младшего возраста боли могут быть слабыми.
- Быстрый переход в хроническую форму. После кратковременной острой боли может наступить облегчение.
- Распространение процесса в окружающие ткани. Инфекция может вызвать периодонтит.
- Общая реакция организма: слабость, сонливость, повышение температуры.
Врачи часто сталкиваются с лечением пульпита и периодонтита, и по статистике каждый пятый пациент обращается с такой проблемой. Присоединение периодонтита можно выявить по характерному симптому — боль в зубе при простукивании.
Пульпит и периодонтит — это воспаление пульпы и окружающих тканей зуба. Периодонтит часто развивается как осложнение пульпита, когда инфекция выходит из зуба через отверстие в верхушке корня. Возможные причины:
- Острая травма зуба.
- Хроническая травма — высокая пломба.
- Занесение инфекции при гайморите.
- Глубокий кариес.
- Неудачное лечение пульпита.
Симптомы острого пульпита и периодонтита:
- Постоянная ноющая боль, усиливающаяся при сжатии зубов.
- Боль становится более интенсивной и пульсирующей.
- Боль отдает в висок, ухо, челюсть.
- Усиление неприятных ощущений при жевании.
- Окружающая десна краснеет и опухает.
- Подвижность зуба.
- Самопроизвольные «ночные» боли.
- На рентгене изменений нет.
Симптомы хронического пульпита и периодонтита:
Хронические формы развиваются, когда есть отток воспалительного экссудата. Признаки:
- Изменение внешнего вида зуба.
- Зуб шатается.
- Болезненность при прощупывании десны.
- Неприятные ощущения при жевании.
- Образование свища на десне.
- На рентгенограмме признаки пародонтального абсцесса.
Хроническое заболевание может долго протекать бессимптомно и обостряться после переохлаждения или стресса.
Лечение пульпита и периодонтита — длительный процесс, зависящий от возраста пациента и особенностей воспалительного процесса.
Лечение острого пульпита и периодонтита:
Первое посещение:
- Рентгенография зуба.
- Анестезия.
- Высверливание пораженного дентина.
- Удаление поврежденной пульпы.
- Очищение каналов.
- Промывание каналов антисептиками.
- Расширение отверстия на верхушке корня.
- Зуб оставляют открытым для оттока гноя.
Медикаментозная терапия:
- Антибиотики: Азимед, Левофлоксацин.
- Антигистаминные препараты: Лоратадин, Диазолин.
- Нестероидные противовоспалительные средства: Ибупрофен, Нимид.
Второе посещение через 2-3 дня:
- Промывание каналов антисептиками.
- Пломбирование каналов лекарственной пастой.
- Установка временной пломбы.
Третье посещение через 3-5 дней:
- Удаление временной пломбы.
- Промывание каналов антисептиками.
- Постоянное пломбирование каналов.
- Контрольный снимок.
- Установка постоянной пломбы.
Лечение хронического пульпита и периодонтита зависит от формы болезни.
Лечение фиброзной формы:
Первое посещение:
- Рентгенография.
- Инъекционное введение анестетика.
- Высверливание пораженной кариесом эмали.
- Удаление пораженной пульпы.
- Промывание каналов антисептиками.
- Установка временной пломбы.
- Назначение антибиотика.
Второе посещение через 2-3 дня:
- Удаление временной пломбы.
- Промывание каналов антисептиками.
- Заполнение каналов препаратами на основе гидроксида кальция.
- Установка временной пломбы.
Третье посещение через 2-3 месяца:
- Контрольный рентгеновский снимок.
- Удаление временной пломбы.
- Промывание каналов антисептиками.
- Постоянное пломбирование каналов.
- Рентгеновский снимок контроля заполнения каналов.
- Установка временной пломбы.
Четвертое посещение через несколько дней:
- Установка постоянной пломбы, если нет жалоб на боль.
Гранулирующая и гранулематозная формы требуют многократных посещений стоматолога. В первом случае костная ткань замещается рыхлой гранулематозной тканью, а во втором — образуется киста.
Первый этап: удаление кариозных тканей и пульпы.
Второй этап: промывание каналов антисептиками.
Третий этап: пломбировка каналов пастой с гидроокисью кальция.
Четвертый этап: пломбировка каналов на постоянной основе и зуба. Кисту диаметром более 1 см удаляют хирургически.
Хронический пульпит может развиться после острого. Например, если зуб болел 2-5 дней, но пациент решил отложить визит к стоматологу. У некоторых хронический пульпит развивается без острого периода, проявляясь незначительными неприятными ощущениями. При снижении защитных сил организма воспаление может развиться бурно.
Спровоцировать обострение пульпита могут:
- Простудные и инфекционные заболевания;
- Переохлаждения;
- Операции, переломы, ожоги;
- Стрессы;
- Травмы;
- Перегрев или переохлаждение зуба.
Симптомы обострения аналогичны симптомам острого пульпита:
- Сильные боли, распространяющиеся по всем ветвям тройничного нерва.
- Боль усиливается от температурных раздражителей.
- Периодический характер боли, часто усиливающейся ночью.
Лечение хронического пульпита в стадии обострения включает частичное или полное удаление пульпы, так как биологические методики не применяются при глубоком поражении.
К сожалению, лечение пульпита в домашних условиях неэффективно. Инфекция в корневых каналах не поддается воздействию антибиотиков и народной медицины. Однако некоторые методы могут временно облегчить боль до визита к врачу.
Антибиотики нецелесообразны, так как они не проникают в пульпу.
Обезболивающие средства:
- Анальгин;
- Диклофенак;
- Нимесил;
- Кетанов;
- Баралгин;
- Найз.
Эти препараты могут облегчить боль на несколько часов.
Полоскания:
- Шалфей: 1 столовая ложка на стакан кипятка, настаивать 1 час.
- Сода: чайная ложка на стакан теплой воды.
- Перекись водорода: столовая ложка на полстакана воды.
Полоскания эффективны при глубокой полости, так как лекарственные вещества проникают в пульпу и улучшают отток воспалительной жидкости.
Напоминаем, что лечение пульпита в домашних условиях может быть лишь временной мерой. Самолечение может привести к потере зуба и серьезным осложнениям. Поэтому не откладывайте визит к стоматологу.
| Характеристика | Острый пульпит | Хронический пульпит |
|---|---|---|
| Причины | Глубокий кариес, травма зуба, некачественное пломбирование | Невылеченный острый пульпит, глубокий кариес, травма зуба, некачественное пломбирование |
| Симптомы | Сильная, спонтанная, пульсирующая боль, усиливающаяся ночью и от температурных раздражителей; отек десны; гиперемия (покраснение) слизистой оболочки; возможно повышение температуры тела | Тупая, ноющая боль, может быть периодической или постоянной; слабая реакция на температурные раздражители; изменение цвета зуба; возможно наличие свища |
| Диагностика | Клинический осмотр, рентгенография (для исключения периодонтита), перкуссия зуба (проверка на болезненность при постукивании) | Клинический осмотр, рентгенография, электроодонтометрия (измерение чувствительности зуба к электрическому току) |
| Осложнения | Периодонтит, абсцесс, флегмона | Периодонтит, киста, гранулема |
| Лечение | Депульпация (удаление пульпы), пломбирование корневых каналов | Депульпация (удаление пульпы), пломбирование корневых каналов; в некоторых случаях – витальная экстирпация пульпы (удаление пульпы без предварительного вскрытия полости зуба) |
| Виды пульпита (в рамках острого и хронического) | Фибринозный (воспаление с образованием фибрина), гангренозный (омертвение пульпы), гнойный (образование гноя) | Гипертрофический (разрастание соединительной ткани пульпы) |
Пульпит — это воспаление зубной пульпы, которое может проявляться в острой или хронической форме. Острая форма часто возникает из-за глубоких кариозных поражений, травм или переохлаждения зуба. Симптомы включают резкую боль, особенно при воздействии на зуб, а также отек десен. Хронический пульпит может развиваться незаметно, проявляясь периодическими болями и дискомфортом.
Существует несколько видов пульпита: фибринозный характеризуется образованием фибрина, гангренозный — отмиранием тканей, гнойный — наличием гноя, а гипертрофический — разрастанием пульпы. Диагностика включает рентгенографию и клинические исследования. Осложнения могут привести к образованию абсцессов или потере зуба. Лечение зависит от формы пульпита и может включать медикаментозную терапию, эндодонтическое лечение или удаление зуба. Важно своевременно обращаться к стоматологу для предотвращения серьезных последствий.

Симптомы пульпита
Разнообразие форм пульпита приводит к различным жалобам пациентов. Боль при пульпите возникает из-за повышения давления внутри зуба, вызванного выходом воспалительного экссудата через капилляры. Избыточная жидкость проникает через дентинные канальцы, и боль может утихнуть на 4-5 часов.
При острой форме пульпита наблюдаются следующие симптомы:
- длительные боли после устранения раздражителей
- самопроизвольные боли, не связанные с воздействием пищи
- усиление болей ночью
- приступообразные боли (периоды затишья чередуются с усилением, длится 20-30 минут)
- иррадиация боли по ходу тройничного нерва в ухо, челюсть или височную область
При хроническом пульпите отмечаются такие симптомы:
- менее интенсивная боль, возникающая периодически
- усиление неприятных ощущений после горячей или холодной пищи
- возможные слабые самопроизвольные боли
Примечательно, что 10% людей с пульпитом могут не испытывать зубные боли, но это не исключает необходимость лечения.
В запущенных случаях могут возникнуть серьезные осложнения пульпита: периодонтит, киста, некроз челюсти.
Дифференциальная диагностика пульпита
Необходимо различать глубокий кариес и хронический пульпит, так как они требуют разных подходов к лечению. При пульпите возникает ноющая боль, которая не исчезает более 20 минут после раздражителей. При кариесе неприятные ощущения проходят сразу после устранения источника дискомфорта.
Чтобы отличить пульпит от обострения хронического периодонтита, достаточно постучать по пораженному зубу: при периодонтите это вызовет болезненные ощущения.
При гипертрофическом пульпите боль выражена слабо, но зуб может сильно кровоточить при механическом воздействии.
При фиброзном пульпите под тонким слоем дентина в кариозной полости видна пульпа. При касании зондом возникает резкая и сильная боль.
При диагностике гипертрофического пульпита важно отличить его от разрастания десневого сосочка. Разросшийся сосочек можно отодвинуть зондом, проведя им по краю кариозной полости. При дифференциальной диагностике пульпита и воспаления тройничного нерва следует помнить, что при зубной патологии боль усиливается ночью, тогда как при невралгии она почти полностью проходит в это время.
Диагностика пульпита
Для диагностики пульпита используются как традиционные методы, так и современные технологии.
| Методы диагностики | Описание |
| Детальный опрос | Врач собирает информацию о жалобах, выясняет причины, характер и интенсивность боли, что помогает в постановке диагноза. |
| Осмотр полости рта | Проводится с использованием специализированных инструментов. Врач обращает внимание на все зубы, пломбы и состояние десен. |
| Зондирование | Обследование полости больного зуба с помощью зонда. Эта процедура позволяет оценить степень развития заболевания и состояние дентина на дне и стенках кариозной полости. Важно определить связь кариозной полости с пульповой камерой. |
| Температурные пробы | Метод, основанный на воздействии высоких и низких температур на пульпу зуба, что дополняет информацию о состоянии мягкой части зуба. |
| Электроодонтодиагностика | Метод, основанный на реакции пульпы на электрический ток. Чем сильнее воспаление, тем выше сила тока, вызывающая реакцию у пациента. Эта процедура помогает определить глубину поражения нервно-сосудистого пучка и местоположение воспалительного очага. Если пульпа погибла, пациент почувствует лишь легкий толчок или касание. |
| Рентгенография | Широко используется для изучения строения зуба, степени заболевания и результатов предыдущего лечения. Для коренных зубов нижней челюсти проводят внеротовое рентгенографическое обследование, а для остальных зубов — внутриротовой способ. |

Классификация пульпитов
После обследования стоматолог устанавливает диагноз. Пульпит зуба имеет несколько разновидностей в зависимости от стадии и особенностей течения.
Острый пульпит делится на:
- очаговый пульпит
- диффузный пульпит
Острый очаговый пульпит – начальная форма заболевания. Воспаление локализуется около кариозной полости.
Симптомы очагового пульпита включают резкую самопроизвольную боль, которая длится от нескольких минут до получаса. Боль может утихнуть на 3-5 часов, а затем резко усилиться, особенно ночью. Неприятные ощущения возникают при раздражении и могут сохраняться длительное время.
Пациент может точно указать, какой зуб болит. При зондировании отмечается резкая боль в одной точке, чаще всего в области рога пульпы. Полость зуба остается не вскрытой.
Острый диффузный пульпит охватывает всю пульпу. Появляются длительные приступы сильной боли, а периоды облегчения становятся короче. При переходе воспаления в гнойную стадию боль усиливается и становится постоянной. Дискомфорт ощущается в виске, ухе и на половине челюсти, где находится пораженный зуб. Боль усиливается от горячего, а от холодного может немного ослабевать, что указывает на гнойную стадию.
Острый диффузный пульпит может длиться от 2 до 14 дней, после чего переходит в хроническую стадию.
Хронический пульпит делится на:
- фиброзный пульпит
- гипертрофический пульпит
- гангренозный пульпит
- ретроградный пульпит
Хронический фиброзный пульпит возникает, когда острое воспаление становится хроническим. Боль становится менее интенсивной и ноющей, проявляясь периодически под воздействием пищи или холодного воздуха. Эта стадия может протекать скрыто, не вызывая жалоб. При осмотре стоматолог может обнаружить глубокую кариозную полость, соединяющуюся с пульповой камерой. Пульпа болезненная и кровоточит, но при постукивании по зубу неприятные ощущения отсутствуют.
Хронический гипертрофический пульпит – форма заболевания, при которой кариозная полость соединяется с полостью зуба. Пульпа разрастается, образуя полип, который заполняет пространство. У пациента возникает болезненность при жевании и кровоточивость из зуба. Эти ощущения сменяются сильными болями, характерными для острого периода.
Хронический гангренозный пульпит развивается на фоне хронического фиброзного пульпита после попадания гнилостной инфекции. Характеризуется гнилостным запахом изо рта и длительной ноющей болью от раздражителей, усиливающейся после горячей пищи. Зуб обычно имеет глубокую кариозную полость с пульпой грязно-серого цвета. Чувствительность верхних слоев пульпы снижена из-за атрофии нервных волокон.
Хронический ретроградный пульпит – хроническая форма, для которой характерно образование пародонтальных карманов, занимающих значительную часть корня. В этих карманах находится источник инфекции. Бактерии распространяются через корневые каналы, вызывая воспаление мягких тканей зуба и рассасывание костной ткани корня, что видно на рентгеновских снимках.
Лечение пульпита
Каждая форма пульпита требует индивидуального подхода к лечению. Перед стоматологическими процедурами с острым или хроническим пульпитом проводится местная анестезия и удаление пораженных кариесом тканей. Завершающим этапом является рентгенография для оценки эффективности терапии.
| Метод | Описание |
| Консервативные или биологические методы лечения пульпита | Пульпа зуба сохраняется и восстанавливается. |
| Лечебные и противовоспалительные пасты | Пасты «Кальцидонт», «Life», «Dical» обладают противовоспалительным эффектом и закладываются на дно очищенной полости. |
| Протеолитические ферменты | Уменьшают отечность, обладают некролитическим и противовоспалительным действием, способствуют регенерации тканей. |
| Препараты на основе гидроксида кальция | Наносятся на дно очищенной полости рядом с пульпой, способствуя образованию дентина и предотвращая попадание патогенных микроорганизмов в пульпу. |
| Физиотерапевтическое лечение | Включает процедуры для устранения воспаления в пульпе, такие как лазерная терапия, депофорез и УВЧ. |
| Установка временной пломбы | Полость закрывается на 2–5 дней для наблюдения за реакцией пульпы. |
| Установка постоянной пломбы | Врач выбирает подходящий материал для пломбирования. |
| Хирургические или оперативные методы лечения пульпита | Заключаются в частичном или полном удалении пульпы с последующим заполнением корневого канала и полости пломбировочным материалом. |
| Метод витальной ампутации | Частичное удаление пульпы: коронковая часть удаляется, корневая остается живой. Применяется для лечения пульпита молочных зубов у детей и у пациентов до 40 лет с острым очаговым и хроническим фиброзным пульпитом в многокорневых зубах. |
| Метод девитальной ампутации | Полное удаление пульпы, после чего корневой канал и полость пломбируются. Позволяет завершить лечение за одно посещение, но зуб остается без питания, может потребоваться установка коронки. |
| Комбинированный метод лечения пульпита | Сочетает полное удаление пульпы из хорошо проходимых каналов с мумификацией пульпы в труднодоступных каналах. Используется при острых диффузных, хронических фиброзных и гипертрофических пульпитах. |
Стоимость лечения пульпита варьируется в зависимости от случая. Цена полного лечения определяется не только выбором клиники. Хирургические методы с пломбированием начинаются от 2000 рублей, лечение биологическим методом — от 4000 рублей. Итоговая сумма зависит от количества корней, формы и стадии заболевания, а также качества стоматологических материалов.
Осложнения пульпита
Пульпит – это не просто зубная боль. Без лечения возможны серьезные осложнения: острый и хронический периодонтит, некроз пульпы и периапикальный абсцесс. Инфекция может распространиться через кровь, вызывая гнойный синусит, менингит, абсцесс мозга и окологлоточный абсцесс. Лечить пульпит в домашних условиях невозможно; можно лишь временно облегчить боль. Поэтому важно своевременно обратиться к стоматологу за профессиональной помощью.
Профилактика пульпита
Профилактика пульпита молочных и коренных зубов зависит от правильного ухода за ротовой полостью. Качественная гигиена зубов, выбор подходящей зубной пасты и щетки — ключевые аспекты предотвращения заболевания.
Своевременное лечение кариеса — основная мера профилактики пульпита.
Регулярные посещения стоматолога, не реже двух раз в год, помогут сохранить здоровье зубов и привлекательность улыбки.
Почему болит зуб после пульпита?
Не стоит паниковать, если после пульпита возникла зубная боль. Легкий дискомфорт может сохраняться от нескольких часов до 2-3 дней после визита к стоматологу. Для облегчения состояния можно использовать обезболивающие, такие как Найз или Ибуфен. Если лечение выполнено правильно, боль должна утихнуть через три дня.
Причины болей в зубе после лечения пульпита:
- Врач мог оставить часть пульпы, что сохраняет чувствительность зуба. Поврежденные или обожженные ткани пульпы могут раздражать нервные окончания и вызывать боль.
- Антисептики, используемые для обработки корневых каналов, могут раздражать ткани вокруг верхушки корня зуба.
- При глубоком пломбировании инструментами возможно незначительное повреждение тканей на верхушке корня.
Пульпит — сложная задача для стоматолога. Повторное воспаление пульпы и окружающих тканей наблюдается у 50-60% пациентов, чаще всего при попытке сохранить питание зуба и оставлении части пульпы.
Симптомы, требующие внимания:
- Обезболивающие не помогают или действуют всего 1-2 часа.
- Боль не уменьшается через 2-3 дня и сохраняется такой же интенсивной.
- Десна над пролеченным зубом опухла, красная и болезненная при прикосновении.
- Повышение температуры.
Сильная боль после пульпита может указывать на некачественное лечение. Возможные причины:
- Осталась часть пульпы, поврежденной бактериями.
- Корневой канал запломбирован не полностью, что позволяет инфекции проникать из окружающих тканей.
- Бактерии могли попасть на здоровую часть пульпы во время лечения, вызывая воспаление под пломбой.
- Инфекция могла выйти наружу через отверстие на верхушке корня, образуя периодонтальный абсцесс, который может перерасти в радикулярную кисту.
- Использование агрессивных антисептиков могло вызвать ожог тканей периодонта.
Что может сделать стоматолог, чтобы предотвратить повторное развитие пульпита? Опытные специалисты рекомендуют пломбировать все каналы и делать контрольный рентгеновский снимок. На снимке каналы должны быть равномерно и плотно заполнены, чтобы избежать пустот, где могут размножаться бактерии.
В заключение: если зуб болит более трех дней, необходимо обратиться к стоматологу. Боль, появившаяся через несколько дней или недель после лечения, указывает на повторное развитие инфекции и требует срочного вмешательства. В такой ситуации следует незамедлительно записаться на прием к врачу. Стоматологи обязаны исправлять свои ошибки бесплатно.
Бывает ли пульпит молочного зуба? Как проводят лечение пульпита у детей?
Многие родители ошибочно считают, что временные зубы не имеют пульпы, и пульпит у молочных зубов невозможен. На самом деле, передние зубы могут страдать от этого заболевания уже в два года, а моляры — с трех до семи лет.
Причины пульпита молочного зуба
- Острые инфекции, при которых бактерии попадают в пульпу через кровеносные сосуды.
- Кариес. Микроорганизмы проникают через кариозную полость.
- Неосторожное лечение зуба. Врач может случайно вскрыть полость с пульпой.
- Неправильный пломбировочный материал. Некоторые вещества могут раздражать пульпу.
- Обработка зуба спиртом и другими антисептиками, что может вызвать химический ожог.
- Недостаточное охлаждение водой во время лечения, что приводит к перегреву зуба.
- Травма зуба, при которой бактерии проникают в пульповую камеру.
Симптомы пульпита у детей
Различают острый и хронический пульпит, которые имеют свои симптомы.
1. Симптомы острого пульпита
Острый пульпит может возникать у детей от трех до шести лет. Воспаление развивается в сформированном зубе, корни которого еще не рассосались. Зуб может иметь небольшую кариозную полость или выглядеть здоровым.
Проявления:
- Внезапная острая боль.
- Боль усиливается от горячего и уменьшается от холодного, если в пульповой камере есть гной.
- Боль при сжатии челюстей.
- Боль при жевании и попадании пищи на зуб.
- Боль может иррадиировать на половину челюсти, затрудняя указание на источник боли.
- Ребенок может лечь на больную сторону для облегчения.
- Небольшой отек щеки.
- Увеличение подчелюстных лимфатических узлов.
2. Симптомы хронического пульпита
Хронический пульпит может развиваться в зубе с большой кариозной полостью или пломбой. Неприятные ощущения возникают при воздействии раздражителей, таких как холодные напитки или пища.
Часто хронический пульпит протекает бессимптомно, но при снижении иммунитета могут возникать обострения с сильной болью.
Проявления зависят от формы хронического пульпита.
| Формы хронического пульпита | Симптомы |
| Фиброзный пульпит | * Боль при приеме пищи; * Ребенок жует на одну сторону; * Боль при питье холодной воды и чистке зубов. |
| Гангренозный пульпит | * Зуб серого цвета; * Боли нет из-за гибели нервов; * Неприятные ощущения после горячего; * Чувство тяжести в зубе; * Неприятный запах из полости. |
| Гипертрофический пульпит | * Кровоточивость при жевании; * Видимая розовая масса в полости. |
При хроническом пульпите часто воспаляются окружающие ткани, что может привести к периодонтиту, который может протекать бессимптомно. Для выявления воспаления может потребоваться рентген.
Лечение хронического пульпита молочных зубов
Консервативный метод направлен на сохранение жизнеспособности пульпы.
Показания:
- Острый частичный серозный пульпит.
- Случайное вскрытие полости зуба.
- Хронический фиброзный пульпит без болей.
Первое посещение:
- Рентгенография зуба.
- Удаление поврежденных тканей.
- Обработка полости антисептиком.
- Укладка ватного шарика с лекарством для снятия воспаления.
- Установка временной пломбы.
Второе посещение через 1-2 дня:
- Снятие временной пломбы и удаление ватного шарика.
- Обработка зуба антисептиком.
- Установка временной пломбы.
Третье посещение через 7-14 дней:
- Удаление временной пломбы.
- Установка постоянной пломбы.
Хирургический метод включает удаление пульпы. Если пульпа загрязнена, ее необходимо удалить, иначе воспаление продолжится.
Удаление всей пульпы в молочном зубе затруднительно из-за узких и извилистых каналов. Лечение острого и хронического пульпита состоит из нескольких этапов:
Первое посещение:
- Рентгенография.
- Обезболивание.
- Вскрытие и очищение полости.
- Наложение девитализирующей пасты.
- Установка временной пломбы.
Второе посещение:
- Удаление временной пломбы и повторное очищение.
- Удаление пульпы из коронковой части и каналов.
- Закрытие устьев специальной пастой.
- Установка финальной пломбы.
В некоторых случаях может потребоваться контроль состояния тканей.
Некоторые врачи используют мышьяк для «убийства нерва», но важно следить за состоянием ребенка, чтобы избежать токсического воздействия. Боль и отек десны указывают на необходимость вмешательства.
Существует метод, позволяющий вылечить зуб за одно посещение при неглубоком кариесе.
Противопоказания:
- Глубокая полость.
- Выделение гнойной жидкости.
- Самопроизвольные боли.
- Абсцесс или свищ.
Методика
- Рентгенография.
- Обезболивание.
- Удаление пораженных тканей.
- Удаление пульпы в коронке.
- Промывание антисептиками.
- Укладка ватных шариков с формокрезолом.
- Установка пломбы.
Удаление зуба. Если в окружающих тканях есть гной, рекомендуется удалить молочный зуб, чтобы не повредить зачаток коренного.
Особенности пульпита у детей
- Неглубокий кариес. У детей пульпит может возникать даже при незначительном повреждении зуба.
- Быстрое распространение воспаления. Пульпит у детей редко локализован.
- Симптомы зависят от стадии формирования зуба. У младших детей могут быть лишь слабые боли.
- Быстрый переход в хроническую форму. После кратковременной острой боли наступает облегчение, но микроорганизмы продолжают размножаться.
- Распространение инфекции. Инфекция может вызывать периодонтит, проявляющийся гнойным нарывом.
- Общая реакция организма: слабость, сонливость, повышение температуры.
Как лечить пульпит и периодонтит?
Врачи часто лечат пульпит и периодонтит: каждый пятый пациент обращается с этой проблемой. Признак периодонтита – боль в зубе при его простукивании.
Пульпит и периодонтит – воспалительные процессы, затрагивающие пульпу и окружающие ткани зуба. Периодонтит обычно возникает как осложнение пульпита, когда инфекция проникает через корневую верхушку. Другие причины:
- Острая травма зуба.
- Хроническая травма – высокая пломба.
- Инфекция при гайморите и синусите.
- Глубокий кариес.
- Неудачное лечение пульпита.
Симптомы острого пульпита и периодонтита. Острые формы – активная реакция организма на инфекцию, чаще у людей с крепким иммунитетом. Признаки:
- Постоянная ноющая боль, усиливающаяся при сжатии зубов.
- Боль становится интенсивной, пульсирующей и распирающей.
- Боль может отдавать в висок, ухо, сустав нижней челюсти, подбородок и шею, что указывает на наличие гноя.
- Увеличение боли при простукивании, жевании или попадании пищи в кариозную полость.
- Краснота и отечность десны вокруг зуба, боль при прощупывании.
- Подвижность зуба.
- Самопроизвольные «ночные» боли.
- На рентгене изменений не видно.
Симптомы хронического пульпита и периодонтита. Хронические формы развиваются, когда воспалительный экссудат может оттекать, не накапливаясь. Это происходит при глубоком кариесе или дефекте пломбы.
Хронические формы чаще у людей с ослабленным иммунитетом или принимающих противовоспалительные препараты. Признаки:
- Изменение внешнего вида зуба – серый и тусклый.
- Зуб может шататься.
- При простудах может возникать «тяжесть в зубе».
- Болезненность при прощупывании десны.
- Неприятные ощущения при жевании.
- Образование красного пузырька на десне, который может образовать свищ.
- На рентгенограмме видны признаки пародонтального абсцесса.
Хроническое заболевание может протекать без симптомов и обостряться после переохлаждения или стресса. Во время обострения появляются симптомы острого периодонтита.
Лечение пульпита и периодонтита – длительный процесс. Тактика зависит от возраста пациента и особенностей воспалительного процесса.
Лечение острого пульпита и периодонтита.
Первое посещение:
- Рентгенография зуба.
- Анестезия – инъекция анестетика в десну.
- Высверливание пораженного дентина.
- Удаление поврежденной пульпы.
- Очищение и расширение корневых каналов.
- Промывание каналов антисептиками.
- Расширение отверстия на верхушке корня для оттока жидкости.
- Зуб оставляют открытым для выхода гноя. Рекомендуется полоскание содой, солью и йодом каждые 2-3 часа.
- Перед едой в полость закладывают ватный шарик.
- Медикаментозная терапия:
- Антибиотики: Азимед, Левофлоксацин при наличии общей реакции (температура, слабость).
- Антигистаминные препараты: Лоратадин, Диазолин.
- Нестероидные противовоспалительные средства: Ибупрофен, Нимид.
Второе посещение через 2-3 дня:
- Промывание каналов антисептиками.
- Пломбирование каналов лекарственной пастой.
- Установка временной пломбы.
Третье посещение через 3-5 дней:
- Удаление временной пломбы.
- Промывание каналов антисептиками.
- Постоянное пломбирование каналов при отсутствии боли.
- Контрольный рентген.
- Установка постоянной пломбы.
Лечение хронического пульпита и периодонтита зависит от формы заболевания.
Лечение фиброзной формы.
Первое посещение:
- Рентгенография для оценки поражения.
- Инъекционное введение анестетика.
- Высверливание пораженной эмали и дентина.
- Удаление пораженной пульпы.
- Измерение глубины и расширение корневых каналов.
- Промывание каналов антисептиками.
- Установка временной пломбы.
- Назначение антибиотика.
Второе посещение через 2-3 дня:
- Удаление временной пломбы.
- Промывание каналов антисептиками.
- Заполнение каналов препаратами на основе гидроксида кальция.
- Установка временной пломбы.
Третье посещение через 2-3 месяца:
- Контрольный рентген.
- Удаление временной пломбы.
- Промывание каналов антисептиками.
- Постоянное пломбирование каналов.
- Установка временной пломбы.
Четвертое посещение через несколько дней:
- Установка постоянной пломбы при отсутствии боли.
Гранулирующая и гранулематозная формы требуют многократных посещений (5 и более). В первом случае костная ткань замещается гранулематозной тканью, образуются свищи. Гранулематозная форма характеризуется образованием кисты.
Первый этап. Удаление кариозных тканей и пульпы, расширение каналов.
Второй этап. Промывание каналов антисептиками.
Третий этап. Пломбировка каналов пастой с гидроокисью кальция.
Четвертый этап. Постоянное пломбирование каналов и зуба.
Кисты диаметром более 1 см удаляются хирургически.
Что вызывает обострение пульпита?
Хронический пульпит может развиться после острого пульпита. Например, если зуб болел 2-5 дней, и пациент смог облегчить боль обезболивающими, он может отложить визит к стоматологу. У некоторых людей хронический пульпит возникает без предшествующей острой стадии, проявляясь легким дискомфортом после горячей пищи или напитков. При ослаблении иммунной системы защитные клетки не могут контролировать размножение бактерий, что может привести к обострению пульпита. Воспаление может развиваться быстро, иногда с образованием гноя.
Факторы, способствующие обострению пульпита:
- Простудные и инфекционные болезни;
- Переохлаждение;
- Хирургические вмешательства, переломы, ожоги;
- Психоэмоциональные стрессы;
- Травмы;
- Перегрев или переохлаждение зуба.
Признаки обострения схожи с симптомами острого пульпита:
- Интенсивные боли, иррадиирующие по всем ветвям тройничного нерва, затрудняющие определение источника дискомфорта.
- Боль усиливается при воздействии температурных раздражителей (особенно холодных) и долго не утихает после их устранения.
- Боль периодическая и часто усиливается ночью.
Лечение хронического пульпита в стадии обострения включает частичное или полное удаление пульпы. Биологические методы не применяются из-за глубокого поражения пульпы.
Как лечить пульпит в домашних условиях?
К лечению пульпита в домашних условиях не стоит рассчитывать. Это заболевание связано с инфекцией в корневых каналах, куда не проникают даже мощные антибиотики, не говоря уже о народных средствах. Избавиться от инфекции в пульпе без помощи стоматолога невозможно.
Методы, описанные ниже, не излечат заболевание, но могут облегчить боль до визита к врачу.
Антибиотики. Их применение при пульпите неэффективно, так как антибиотики не проникают в пульпу, а бактерии, вызывающие кариес и пульпит, устойчивы к ним.
Обезболивающие препараты:
- Анальгин;
- Диклофенак;
- Нимесил;
- Кетанов;
- Баралгин;
- Найз.
Эти средства снижают воспаление и облегчают боль на несколько часов. Принимать их следует по инструкции.
Полоскания. Полоскать рот нужно после каждого приема пищи и каждые 2-3 часа в течение дня. Температура раствора должна быть 36-40 градусов. Холодные полоскания неэффективны, горячие нежелательны при гнойном воспалении.
- Шалфей. 1 столовая ложка измельченных листьев на 1 стакан кипятка. Настаивать 1 час. Уменьшает отек и воспаление десен.
- Сода. Чайная ложка пищевой соды на стакан теплой воды. Для усиления эффекта можно добавить 0,5 ч.л. соли. Дезинфицирует полость зуба, удаляя остатки пищи и бактерии.
- Перекись водорода. Столовая ложка 3% перекиси на полстакана воды. Эффективно очищает пульпу от гноя и разрушает оболочку бактерий.
Полоскания могут облегчить боль при глубокой полости в зубе, так как активные вещества проникают в пульпу, уничтожая бактерии и улучшая отток воспалительной жидкости. При наличии свища полоскания способствуют оттоку гноя через отверстие в десне.
Лечение пульпита в домашних условиях — временная мера. Самолечение может привести к утрате зуба и серьезным осложнениям, таким как гнойный менингит или абсцесс мозга. Не откладывайте визит к стоматологу.
Пульпит под пломбой и коронкой
Осложнения кариеса
Вопрос-ответ
Чем отличается острый и хронический пульпит?
Для острого пульпита характерны резкие, ничем не спровоцированные боли, как правило, усиливающиеся по ночам. Точно определить источник боли не всегда возможно — порой она охватывает половину челюсти. Хронические пульпиты могут протекать бессимптомно, никак себя не проявляя, или сопровождаться ноющими болями.
Каковы симптомы острого пульпита?
Характерный симптом острого пульпита – это острая, пульсирующая, дергающая или ноющая боль. Обычно она возникает при контакте зуба с холодным, горячим, сладким и не проходит после прекращения действия раздражителя.
Каковы симптомы хронического пульпита?
Симптомы хронического пульпита могут включать периодические боли в зубе, которые могут усиливаться при воздействии на зуб, например, при жевании или температурных изменениях. Зуб может быть чувствителен к горячему или холодному, но боль обычно менее интенсивная, чем при остром пульпите. Также могут наблюдаться изменения в цвете зуба и наличие свища на десне. В некоторых случаях симптомы могут быть незначительными или отсутствовать вовсе.
Советы
СОВЕТ №1
Регулярно посещайте стоматолога для профилактических осмотров. Это поможет выявить проблемы на ранних стадиях и предотвратить развитие пульпита, а также других стоматологических заболеваний.
СОВЕТ №2
Обратите внимание на симптомы, такие как боль в зубах, особенно при воздействии горячего или холодного. Не игнорируйте эти сигналы, так как они могут указывать на начало воспалительного процесса в пульпе.
СОВЕТ №3
Поддерживайте хорошую гигиену полости рта. Регулярная чистка зубов, использование зубной нити и ополаскивателей помогут снизить риск возникновения кариеса и, как следствие, пульпита.
СОВЕТ №4
Если у вас уже диагностирован пульпит, следуйте рекомендациям стоматолога и не откладывайте лечение. Чем раньше вы начнете терапию, тем меньше вероятность осложнений и необходимости в более сложных процедурах.










