Ретинированный зуб – это зуб, который не может прорезаться из-за недостатка пространства или неправильного положения. Проблема часто остается незамеченной, но может вызвать воспаление, инфекции и повреждение соседних зубов. В статье рассмотрим основные признаки ретинированного зуба и современные методы лечения, включая брекеты и удаление зуба мудрости. Понимание этой темы поможет читателям своевременно выявить проблему и обратиться за помощью, что сохранит здоровье зубов и десен.
Что значит ретинированный зуб?
Чтобы лучше понять это явление, необходимо подробнее рассмотреть термин, который используется в данной области. «Ретенция» в переводе означает «удержание» или «задержка». Ортодонты выделяют несколько типов аномального прорезывания зубов:
- Частичная – ситуация, когда часть зуба видна над десневым капюшоном.
- Полная – аномалия, при которой зуб полностью скрыт в окружающих тканях.
Ретинированный зуб может находиться в различных положениях:
- Вертикально – это означает, что зуб находится в том же положении, что и остальные зубы в ряду. Такая аномалия может возникнуть из-за высокой плотности слизистых оболочек или недостаточного промежутка между зубами.
- Горизонтально – в этом случае зубы располагаются параллельно челюстным дугам. Непрорезавшиеся зубы наклонены, что может привести к расшатыванию соседних единиц.
- Угол наклона к языку – зубы растут под наклоном в сторону языка.
- Щелочно-угловое положение – зубы наклонены к щеке.
- Дистально-угловое расположение – зуб слегка смещен назад.
- Медиально-угловое положение – зуб имеет небольшой наклон вперед.
Кроме того, ретинированный зуб мудрости может находиться на разной глубине:
- в челюстной ткани;
- в пародонте.
Ретинированные зубы, особенно зубы мудрости, представляют собой распространенную стоматологическую проблему. Эксперты отмечают, что основные признаки включают боль в области челюсти, отек десен и затрудненное открытие рта. Важно своевременно обратиться к стоматологу, так как игнорирование симптомов может привести к более серьезным осложнениям, таким как инфекции или повреждение соседних зубов. Современные методы лечения варьируются от наблюдения за состоянием зуба до хирургического удаления. В последние годы активно применяются минимально инвазивные техники, которые позволяют сократить восстановительный период и снизить риск осложнений. Стоматологи подчеркивают важность индивидуального подхода к каждому пациенту, что позволяет выбрать наиболее эффективный метод лечения.

Ретенция зубов – причины
Существует множество причин, способствующих возникновению данной аномалии.
Наиболее распространенные факторы, приводящие к ретенции зуба:
- У пациента наблюдаются слишком толстые стенки слизистой, окружающей коронку, или недостаточная сила прорезывания.
- Слишком рыхлые десневые ткани, что приводит к неправильному расположению корневой системы зуба.
- Потеря молочных зубов в слишком раннем или, наоборот, позднем возрасте.
- Рахит (как врожденный, так и приобретенный).
- Нарушения обмена веществ.
- Длительный недостаток кальция в организме.
- Снижение защитных функций организма.
- Прохождение курса химиотерапии.
- Проблемы с прикусом.
- Генетическая предрасположенность.
| Признак ретинированного зуба | Описание признака | Современные методы лечения |
|---|---|---|
| Отсутствие зуба в зубном ряду | Зуб не прорезался в положенный срок, несмотря на наличие места для него. | Хирургическое удаление: наиболее частый метод, особенно для зубов мудрости. |
| Боль и дискомфорт | Ноющая, пульсирующая боль в области непрорезавшегося зуба, усиливающаяся при жевании или надавливании. | Ортодонтическое вытяжение: при наличии места и благоприятного положения зуба, его можно вывести в зубной ряд с помощью брекет-системы. |
| Отек и воспаление десны | Покраснение, припухлость, болезненность десны над ретинированным зубом (перикоронит). | Лазерная хирургия: для удаления мягких тканей, препятствующих прорезыванию, или для облегчения доступа при удалении. |
| Смещение соседних зубов | Давление ретинированного зуба может привести к скученности или наклону соседних зубов. | Микрохирургические методы: для удаления зуба с минимальной травматизацией окружающих тканей. |
| Образование кисты или опухоли | В редких случаях вокруг коронки ретинированного зуба может образоваться фолликулярная киста или одонтогенная опухоль. | Аутотрансплантация: пересадка ретинированного зуба на место удаленного или отсутствующего зуба (при определенных условиях). |
| Нарушение прикуса | Ретинированный зуб может влиять на окклюзию, вызывая проблемы с жеванием и артикуляцией. | Комбинированное лечение: сочетание хирургического удаления с последующим ортодонтическим лечением для коррекции прикуса. |
| Рентгенологическое обнаружение | Наиболее точный метод диагностики, позволяющий определить положение, размер и форму ретинированного зуба. | 3D-моделирование и навигационная хирургия: для точного планирования и проведения операции, особенно в сложных случаях. |
Интересные факты
Вот несколько интересных фактов о ретинированных зубах и современных методах их лечения:
-
Опасность ретинированных зубов: Ретинированные зубы, особенно зубы мудрости, могут вызывать различные осложнения, такие как кисты, инфекции и повреждение соседних зубов. Это связано с тем, что они могут расти под неправильным углом или оставаться частично прорезанными, создавая благоприятные условия для бактерий.
-
Современные методы диагностики: Для диагностики ретинированных зубов используются не только рентгенографические методы, но и 3D-томография (КТ), которая позволяет получить более детальное изображение зубочелюстной системы. Это помогает стоматологам лучше планировать лечение и минимизировать риски.
-
Минимально инвазивные подходы: Современные методы лечения ретинированных зубов включают использование лазерной технологии, что позволяет уменьшить травматичность процедуры и ускорить процесс заживления. Лазер может использоваться для удаления тканей, окружающих зуб, что делает операцию менее болезненной и снижает риск осложнений.

Ретенция зуба мудрости – симптомы
На начальном этапе заболевание может протекать незаметно, и только стоматолог сможет его выявить после проведения необходимых исследований. Однако самостоятельно можно заметить трудности с прорезыванием зуба мудрости, такие как ретенция, полуретенция или дистопия.
О наличии проблемы можно судить по следующим симптомам:
- болезненные ощущения при жевании;
- отечность тканей;
- развитие пульпита;
- дискомфорт при открывании рта;
- образование кист;
- сильные головные боли;
- покраснение десен;
- воспаление тройничного нерва.
Степени ретенции зубов
Эта аномалия проявляется на различных стадиях своего развития. Ретинированные и дистопированные зубы классифицируются по следующим уровням:
- В этом случае толщина костной ткани над зубом не превышает 1 мм.
- Ретинированный зуб, который не прорезался, располагается в углублении от 1 до 3 мм.
- Толщина костной ткани над зубом составляет более 3 мм.
Ретенция зуба – лечение
После того как стоматолог выслушает жалобы пациента, он проведет тщательный осмотр ротовой полости и, при необходимости, направит на дополнительные исследования. Для выявления ретинированного моляра могут быть использованы следующие методы:
- рентгенография;
- компьютерная томография;
- ортопантомография.
Главная задача врача при обнаружении ретенции восьмого зуба заключается в устранении воспалительного процесса. Если выявлена катаральная форма аномалии, специалист промывает «капюшон» антисептическим или антибактериальным раствором. В случае гнойного течения заболевания врач осторожно делает разрез слизистой ткани над ретинированным зубом, что способствует оттоку накопившегося секрета. Затем доктор назначает индивидуальную терапию, которая включает противовоспалительные и антибактериальные препараты.
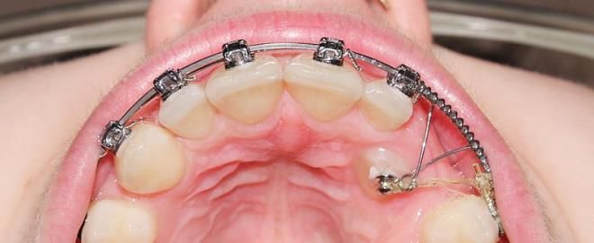
Ретинированный зуб – брекеты
Эта методика пользуется большой популярностью в стоматологической практике. С помощью брекетов можно достичь следующих результатов:
- Непрорезавшийся зуб можно переместить в вертикальном направлении.
- Удается изменить угол наклона проблемного зуба.
Использование брекетов для вытяжения не является быстрым процессом. Для получения желаемого результата потребуется время.
Процедура, в целом, занимает немного времени и проходит в несколько этапов:
- На первом этапе осуществляется санация ротовой полости (проводится профессиональная чистка и устраняются кариозные поражения).
- В десне стоматолог делает небольшой надрез (через него будет происходить выдвижение зуба).
- После нахождения коронки ретинированного зуба на нее приклеивается брекет, который фиксируется с помощью специальных резинок или цепочек.
- Врач составляет график посещений для пациента. На каждом осмотре стоматолог будет контролировать движение зуба и при необходимости заменять резинки.
Крайне важно следовать рекомендациям стоматолога. В противном случае могут возникнуть серьезные проблемы:
- разрушение костной ткани;
- повреждение ретинированного зуба и соседних единиц (возможно, потребуется их удаление);
- воспаление десен.
Удаление непрорезавшегося зуба мудрости на нижней челюсти
Решение о необходимости проведения данной процедуры принимается в следующих ситуациях:
- если ретинированный зуб повреждает слизистую оболочку ротовой полости;
- когда коронка непрорезавшегося зуба поражена кариесом;
- при наличии кист в области десны, связанной с проблемным зубом;
- если ретенция зуба мудрости наблюдается в зоне перелома;
- когда аномальное прорезывание зуба сопровождается интенсивной болью, отдающей в нижнюю челюсть.
Удаление ретинированного зуба осуществляется по следующему алгоритму:
- Проводится обезболивание (может быть местная или общая анестезия).
- Хирург выполняет надрез, чтобы получить доступ к коронковой части зуба.
- Для доступа к корневой системе врач с помощью бора создает отверстие в костной ткани.
- Удаляется непрорезавшийся зуб мудрости или другая проблемная единица (сначала извлекается верхняя часть, затем корень).
- Открытая рана обрабатывается антисептиком. Если лунка слишком велика, в нее помещается турунда, пропитанная Йодоформом.
- Накладываются швы.
При частичной ретенции слизистая оболочка не разрезается. Врач, используя специальные щипцы, захватывает проблемный зуб и начинает раскачивать его маятниковыми движениями. Затем он аккуратно извлекает аномальную единицу. Удаление зубов, расположенных на нижней челюсти, представляет собой более сложную задачу, чем удаление верхних, однако для опытного специалиста эта процедура не вызывает особых трудностей.
Удаление ретинированного зуба мудрости на верхней челюсти
У данной процедуры имеются определенные противопоказания. К ним относятся следующие ситуации:
- заболевания крови;
- гипертонический криз;
- острые формы заболеваний нервной и сердечно-сосудистой систем;
- инфекционные болезни;
- последняя фаза менструального цикла у женщин;
- прошло менее двух недель после кесарева сечения или аборта.
Удаление ретинированного зуба мудрости в таких случаях выполняется аналогично тому, как это делается при аномальном расположении зуба на нижней челюсти. Процесс операции занимает не слишком много времени: он может длиться от 25 минут до 2 часов. После хирургического вмешательства врач предоставит пациенту детальные рекомендации по уходу и питанию. Кроме того, специалист составит план дальнейшей терапии и назначит дату следующего осмотра.
Что делать после удаления ретинированного зуба мудрости?
На данном этапе крайне важно обеспечить правильный уход за полостью рта. После удаления ретинированного дистопированного зуба пациенту необходимо следовать рекомендациям врача.
Что следует делать:
- В течение первых 15 минут после процедуры необходимо плотно прижимать к лунке марлевый тампон, который оставил врач. Это поможет остановить кровотечение.
- В течение 2 часов после удаления зуба запрещено что-либо пить.
- Важно воздержаться от еды в течение первых 4 часов после операции. В первые дни пища должна быть мягкой и теплой. Горячие блюда употреблять нельзя!
- Если после вмешательства наблюдается отек, рекомендуется приложить к щеке холодный компресс на короткое время.
После удаления непрорезавшегося зуба мудрости могут возникнуть сильные болевые ощущения. С ними помогут справиться обезболивающие средства. Можно использовать Кетанов, Баралгин, Бруфен или Ибупрофен. Пациенту следует внимательно следить за процессом заживления раны и при появлении любых отклонений от нормы (например, нагноение шва) незамедлительно обратиться к врачу.

Профилактика ретенции зубов
Регулярные визиты к стоматологу позволяют выявить проблемы на ранних стадиях. Специалист может оценить состояние зубочелюстной системы, определить, есть ли предрасположенность к ретенции зубов и предложить соответствующие меры. Рекомендуется посещать стоматолога не реже двух раз в год, даже если нет явных симптомов.
Гигиена полости рта также играет важную роль в профилактике. Правильная чистка зубов, использование зубной нити и ополаскивателей помогают предотвратить заболевания десен и кариес, которые могут усугубить ситуацию с ретинированными зубами. Важно обучать детей правильным методам ухода за зубами с раннего возраста, чтобы сформировать у них привычку заботиться о своем здоровье.
Ортодонтическое лечение может быть рекомендовано для коррекции неправильного прикуса или недостатка места в челюсти, что может привести к ретенции зубов. Ортодонт может предложить различные методы, такие как брекеты или элайнеры, которые помогут создать необходимое пространство для прорезывания зубов. В некоторых случаях может потребоваться удаление соседних зубов для облегчения процесса.
Кроме того, важно учитывать генетические факторы и анатомические особенности челюсти, которые могут влиять на прорезывание зубов. Если в семье были случаи ретинированных зубов, стоит обсудить это с стоматологом, чтобы разработать индивидуальный план профилактики.
Наконец, следует помнить о важности сбалансированного питания, богатого витаминами и минералами, которые способствуют здоровью зубов и десен. Употребление достаточного количества кальция и витамина D, а также ограничение сахара и кислых продуктов помогут поддерживать здоровье зубочелюстной системы и снизить риск ретенции зубов.
Вопрос-ответ
Как лечат ретинированный зуб?
Способы лечения ретенции. Ортодонтическое лечение чаще применяют для сохранения клыков или резцов. Во время терапии проводят вытяжение и установку зуба в правильное положение зубной дуги. Такое лечение довольно трудоёмкое, длительное и имеет немалую стоимость, но оно позволяет сохранить зуб и выровнять прикус.
Как лечить ретинированные резцы?
Наиболее распространенным решением является хирургическое удаление ретинированного резца с последующим ортодонтическим лечением, либо для закрытия промежутка, либо для его сохранения открытым до достижения пациентом возраста, когда можно будет использовать окончательное протезирование.
Как сейчас восстанавливают зубы?
Имплантация – на сегодняшний день это единственный способ восстановления зубов при полном их отсутствии, дающий ощущение собственных зубов. Эта процедура представляет собой установку имплантата в кость челюсти. После приживления титанового основания на него крепится коронка, и ваш зуб полностью восстанавливается.
Советы
СОВЕТ №1
Обратите внимание на симптомы: если вы испытываете боль, отек или дискомфорт в области челюсти, это может быть признаком ретинированного зуба. Не игнорируйте эти симптомы и обратитесь к стоматологу для диагностики.
СОВЕТ №2
Регулярно проходите стоматологические осмотры: профилактика и раннее выявление проблем с зубами помогут избежать серьезных осложнений. Стоматолог сможет заметить ретинированные зубы на рентгеновских снимках даже до появления симптомов.
СОВЕТ №3
Изучите современные методы лечения: существуют различные подходы к лечению ретинированных зубов, включая хирургическое удаление или ортодонтическое вмешательство. Обсудите с вашим стоматологом, какой метод будет наиболее подходящим для вашей ситуации.
СОВЕТ №4
Следите за гигиеной полости рта: поддержание чистоты зубов и десен поможет предотвратить инфекции и другие осложнения, связанные с ретинированными зубами. Используйте зубную нить и ополаскиватели для рта, чтобы обеспечить максимальную защиту.



