Этапы менструального цикла: фолликулиновая фаза, овуляция, лютеиновая фаза менструального цикла.
Фолликулиновая фаза — в этот период созревает одна или несколько яйцеклеток на поверхности яичника. Внутриутробно у плода женского пола формируются яичники с фолликулами, содержащими тысячи незрелых половых клеток. С наступлением половой зрелости начинается регулярное созревание яйцеклеток, контролируемое гормонами гипофиза. За 14 дней до менструации наблюдается резкий рост уровня ФСГ и ЛГ в крови. Регуляция менструального цикла осуществляется гипофизом и созревающим фолликулом через механизм обратной связи. Развивающийся фолликул, синтезируя эстроген, подавляет рост остальных фолликулов и информирует гипофиз о ходе созревания.
В это время в матке также происходит подготовка к возможному зачатию — созревает эндометрий. После предыдущей менструации эндометрий выводится из полости матки, и его место занимает обновленный слой, готовый для развития новой жизни.
В период фолликулиновой фазы один из первичных фолликулов увеличивается, образуя кистозное образование диаметром 18-20 миллиметров. Внутри этой кисты находится яйцеклетка, готовящаяся покинуть фолликул во время овуляции.
Овуляция — это процесс, при котором доминантный фолликул разрывается, и яйцеклетка выходит в брюшную полость. Овуляция происходит под воздействием гормонов гипоталамуса и контролируется гормональной системой. Освобожденная яйцеклетка направляется к маточной трубе для встречи со сперматозоидами и оплодотворения.
Лютеиновая фаза
На месте лопнувшего фолликула формируется желтое тело, которое при зачатии начинает активно вырабатывать прогестерон, поддерживающий беременность. Яйцеклетка продвигается по маточной трубе к полости матки. Если в это время произойдет встреча со сперматозоидами, вероятность зачатия возрастает.
В матке продолжается созревание эндометрия, который станет средой для имплантации оплодотворенной яйцеклетки и развития плода.
Врачи подчеркивают, что зачатие ребенка — это сложный и многогранный процесс, зависящий от множества факторов. Овуляция, происходящая примерно в середине менструального цикла, играет ключевую роль, так как именно в этот период яйцеклетка готова к оплодотворению. Сперматозоиды, формирующиеся в мужских половых органах, могут сохранять свою жизнеспособность до пяти дней, что создает окно для успешного зачатия. Важно отметить, что здоровье обоих партнеров, их образ жизни и питание также влияют на вероятность зачатия. Врачи рекомендуют следить за регулярностью менструального цикла и обращать внимание на признаки овуляции, чтобы повысить шансы на успешное оплодотворение. Правильное понимание этих процессов может помочь парам, планирующим беременность, избежать ненужных стрессов и ожиданий.

Сперматозоиды – о чем говорит спермограмма?
Мужские половые клетки так же важны для зачатия, как и женская яйцеклетка. Сперматозоиды производятся в яичках непрерывно, в отличие от циклического формирования яйцеклеток.
Формирование спермы зависит от секрета предстательной железы и семенных пузырьков. Слаженная работа мужских половых органов обеспечивает полноценную сперму с необходимым составом. Качество семенной жидкости определяется концентрацией органических веществ, вязкостью и кислотностью. Компоненты спермы накапливаются в резервуарах половых желез и выводятся во время эякуляции.
Сперматозоид — одноклеточный организм с жгутиком и половинным набором хромосом (23). Половая хромосома может быть Х или Y.
Строение сперматозоида:
- Головка содержит генетический материал и вакуоль с ферментами для разрушения оболочки яйцеклетки.
- Шейка соединяет головку и хвостик.
- Хвостик содержит митохондрии для движения и отвечает за подвижность сперматозоида.
Для успешного оплодотворения сперма должна соответствовать определенным характеристикам: объем эякулята — не менее 2 мл, не менее 50% сперматозоидов должны быть подвижными и морфологически полноценными, а количество сперматозоидов — не менее 20 миллионов. Кислотность спермы должна быть не ниже pH 7,2.
Созревание яйцеклетки происходит в утробе матери, когда в яичниках закладываются фолликулы. В период половой активности, с менструаций до менопаузы, происходит циклическое созревание одного доминантного фолликула, из которого в результате овуляции выходит зрелая яйцеклетка.
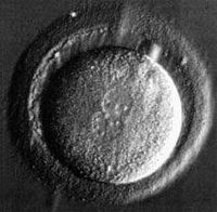
Строение зрелой яйцеклетки — это самая крупная клетка в организме человека, содержащая половинный набор хромосом (22 аутосомы и одна Х хромосома). Пол ребенка зависит от генетического материала сперматозоида, который оплодотворит яйцеклетку. Яйцеклетка окружена фолликулярным эпителием и лучистым венцом, образующими защитную капсулу.
Оплодотворение яйцеклетки происходит после попадания сперматозоидов во влагалище. Сперматозоиды поднимаются к маточным трубам, где сливаются с яйцеклеткой. Яйцеклетка движется вниз по маточной трубе к матке. Не обязательно, чтобы первый достигший яйцеклетку сперматозоид ее оплодотворил; сперматозоиды сохраняют жизнеспособность в половых путях женщины 24-48 часов. Для оплодотворения требуется сложный процесс продвижения к яйцеклетке и разрушение ее защитной оболочки. Вакуули с ферментами на головке сперматозоидов помогают разрушить оболочку. Ближе к оплодотворению будут те сперматозоиды, которые участвуют в разрушении глубоких слоев защитной оболочки яйцеклетки.
После оплодотворения происходит слияние генетического материала двух половых клеток, начинается деление клеток на две дочерние. Этот процесс называется дроблением и формированием зиготы, происходящим, когда оплодотворенная яйцеклетка движется по маточной трубе к матке.
Когда зигота достигает матки, она имплантируется в подготовленный эндометрий, что предотвращает менструацию.
Таким образом, благодаря подготовке половых клеток и органов к зачатиям возможно зарождение новой жизни. Регуляция этих процессов происходит на нескольких уровнях: гипофиз, половые органы и сами половые клетки. Анатомическая и функциональная полноценность женских половых органов влияет на вероятность беременности. Общее состояние здоровья также играет важную роль в возможности естественного зачатия и успешного внутриутробного развития ребенка.
| Стадия процесса | Описание | Продолжительность/Характеристики |
|---|---|---|
| Менструальный цикл | Ежемесячный цикл изменений в женском репродуктивном тракте, подготавливающий организм к возможной беременности. | В среднем 28 дней, но может варьироваться от 21 до 35 дней. Включает менструацию, фолликулярную фазу, овуляцию и лютеиновую фазу. |
| Формирование сперматозоидов (сперматогенез) | Процесс образования зрелых сперматозоидов в семенниках мужчины. | Непрерывный процесс, длятся от 64 до 74 дней. |
| Овуляция | Выход зрелой яйцеклетки из яичника. | Происходит примерно на 14-й день 28-дневного цикла (может варьироваться). Яйцеклетка жизнеспособна около 12-24 часов. |
| Оплодотворение | Слияние сперматозоида и яйцеклетки, образуя зиготу. | Происходит в маточной трубе, обычно в течение 12-24 часов после овуляции. |
| Имплантация | Прикрепление оплодотворенной яйцеклетки (зиготы) к стенке матки. | Происходит примерно через 6-12 дней после оплодотворения. |
Многие люди интересуются процессом зачатия ребенка, и часто обсуждают, как различные факторы влияют на него. Овуляция, например, играет ключевую роль: именно в этот период яйцеклетка готова к оплодотворению. Женский менструальный цикл, который длится в среднем 28 дней, включает в себя несколько фаз, и понимание этих этапов помогает парам планировать зачатие.
С другой стороны, формирование сперматозоидов у мужчин также требует времени и здоровья. Сперматогенез — процесс, который занимает около 64-72 дней, и на него могут влиять различные факторы, такие как образ жизни и питание. Оплодотворение происходит, когда сперматозоид встречается с яйцеклеткой, и это событие часто становится началом новой жизни. Многие пары обсуждают свои переживания и надежды, связанные с этим важным этапом, и делятся советами о том, как повысить шансы на успешное зачатие.

Яйцеклетка – созревание, строение, оплодотворение.
Созревание яйцеклетки — в период внутриутробного развития плода женского пола в яичниках формируются тысячи зачатков фолликулов. В репродуктивный период, начиная с первых менструаций и до менопаузы, происходит циклическое созревание одного доминирующего фолликула, из которого в процессе овуляции выделяется зрелая яйцеклетка.
Строение зрелой яйцеклетки — яйцеклетка является самой крупной клеткой в организме человека и значительно превышает размеры других клеток.
Ядро яйцеклетки содержит половинный набор хромосом: 22 аутосомы и одну половую хромосому X. Пол будущего ребенка зависит от генетической информации сперматозоида, который оплодотворит яйцеклетку. Яйцеклетка окружена клеточным слоем – фолликулярным эпителием и плотным слоем органических веществ (лучистым венцом), образующими прочную оболочку, которую сперматозоиды должны преодолеть.
Оплодотворение яйцеклетки — сперматозоиды, попав в полость влагалища, благодаря активным движениям и способности к прикреплению, продвигаются к маточным трубам. В этих органах происходит слияние яйцеклетки и сперматозоидов. В первые дни после овуляции яйцеклетка движется вниз по маточной трубе к матке, встречая сперматозоиды. Яйцеклетку не обязательно оплодотворяет первый сперматозоид, достигший ее – у него наименьшие шансы. Сперматозоиды сохраняют жизнеспособность в половых путях женщины в течение 24-48 часов после эякуляции. Перед оплодотворением сперматозоидам необходимо преодолеть путь к маточной трубе и разрушить многослойную оболочку яйцеклетки. На головке каждого сперматозоида находится вакуоль с ферментом, помогающим разрушить оболочку яйцеклетки. Ближе всего к оплодотворению окажутся те сперматозоиды, которые участвуют в разрушении глубоких слоев защитной оболочки.
После оплодотворения происходит слияние генетического материала двух половых клеток, и начинается механизм размножения клеток. Генетический материал удваивается, и каждое удвоение хромосом приводит к делению клетки на две дочерние. Этот процесс называется дроблением и формированием зиготы. Дробление происходит, когда оплодотворенная яйцеклетка движется по маточной трубе к матке.
Когда зигота достигает матки, она имплантируется в созревший эндометрий, готовый к развитию беременности. Процесс имплантации и связанные с ним гормональные изменения предотвращают наступление следующей менструации.
В результате подготовки половых клеток и органов к зачатиям возможно зарождение новой жизни. Регуляция этих процессов происходит на нескольких уровнях: гипофиз, половые органы и сами половые клетки. Анатомическая полноценность и функциональная активность женских половых органов влияют на вероятность беременности. Общее состояние здоровья также играет важную роль в возможности естественного зачатия и успешного внутриутробного развития ребенка.
Вопрос-ответ

Сколько дней после овуляции идет оплодотворение?
После того, как яйцеклетка созрела и вышла из фолликула, она находится в маточной трубе в ожидании сперматозоида. Такой период длится 12-24 часа. Максимальная вероятность успешного оплодотворения составляет 33% в день овуляции.
Как происходит зачатие и оплодотворение?
Яйцеклетка проникает в маточную трубу через бахромчатый конец, проходит по маточной трубе, а затем попадает в полость матки. Яйцеклетка становится оплодотворенной, когда сперматозоид проникает в ее внешние слои. Оплодотворение обычно происходит, когда яйцеклетка находится в маточной трубе.
Как происходит зачатие во время овуляции?
Гипофиз вырабатывает лютеинизирующий гормон, который стимулирует выход яйцеклетки из яичника. Она разрывает оболочку фолликула и начинает продвигаться по маточной трубе к полости матки — происходит овуляция. Если в течение 12–24 часов яйцеклетка встретится со сперматозоидами, произойдёт оплодотворение.
Сколько минут нужно для оплодотворения?
Время оплодотворения яйцеклетки. В среднем, чтобы проникнуть в фалоппиевые трубы, мужским клеткам необходимо 3-5 часов. Однако эти показатели индивидуальны для каждого человека. Зависит от таких факторов: овуляции и возможного оплодотворения яйцеклетки после того, как она вышла из яичника.
Советы
СОВЕТ №1
Следите за своим менструальным циклом. Знание длительности и регулярности цикла поможет вам определить овуляцию, что увеличит шансы на зачатие. Используйте календарь или специальные приложения для отслеживания овуляции.
СОВЕТ №2
Обратите внимание на здоровье обоих партнеров. Правильное питание, регулярные физические нагрузки и отказ от вредных привычек способствуют улучшению качества спермы и яйцеклеток, что может повысить вероятность успешного зачатия.
СОВЕТ №3
Не забывайте о важности интимной близости в дни овуляции. Оптимальное время для зачатия — это 2-3 дня до и день овуляции. Регулярные половые акты в этот период увеличивают шансы на успешное оплодотворение.
СОВЕТ №4
Если зачатие не происходит в течение нескольких месяцев, не стесняйтесь обратиться к врачу. Консультация специалиста поможет выявить возможные проблемы и даст рекомендации по дальнейшим действиям.


