Виды стоматита в зависимости от длительности течения
Острый стоматит начинается и заканчивается быстро, продолжительность зависит от причин. Люди, перенесшие острый стоматит, имеют повышенный риск рецидивов.
Хронический стоматит длится долго и трудно поддается лечению. На месте старых воспалительных очагов регулярно возникают новые, что приводит к дистрофии слизистой оболочки.
Типы хронического стоматита
- Рецидивирующий стоматит. После исчезновения одних воспалительных очагов появляются новые. Рецидивы могут наблюдаться длительное время, заболевание протекает волнообразно с чередованием обострений и улучшений.
- Лейкоплакия. Изменение слизистой оболочки рта, возникающее из-за хронического стоматита, проявляется участками ороговения.
Стоматит представляет собой воспаление слизистой оболочки рта, которое может проявляться у детей и взрослых. Врачи отмечают, что основными симптомами являются болезненные язвы, покраснение и отек тканей, а также затруднения при приеме пищи. Причины стоматита могут варьироваться от вирусных и бактериальных инфекций до аллергических реакций и недостатка витаминов. Важно учитывать, что у детей стоматит чаще всего возникает на фоне ослабленного иммунитета или после перенесенных заболеваний. Лечение включает местные антисептики, противовоспалительные средства и, при необходимости, системные препараты. Врачи подчеркивают, что своевременное обращение за медицинской помощью и соблюдение гигиенических норм могут значительно ускорить процесс выздоровления и предотвратить осложнения.

Виды стоматита в зависимости от возникающих на слизистой оболочке элементов
| Тип стоматита | Признаки и симптомы |
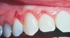
| Катаральный стоматит | Поверхностное воспаление слизистой рта. Признаки: * покраснение и отек; * белый налет; * отпечатки зубов на деснах и языке; * болезненность при жевании и разговоре; * галитоз; * повышенное слюноотделение; * общие симптомы: легкое недомогание, незначительное повышение температуры (обычно не выше 37 ⁰C). |
| Афтозный стоматит | Проявляется в виде афт – небольших язвочек округлой или овальной формы. Разновидности: * Фибринозный: афты с фибриновым налетом, заживают за 1-2 недели, возможны рецидивы. * Некротический: безболезненные афты, превращающиеся в язвы, заживление от 2 недель до нескольких месяцев. * Гландулярный: поражение мелких слюнных желез, болезненные афты, частые рецидивы. * Рубцующийся: афты увеличиваются до 1,5 см, после заживления остаются рубцы. * Деформирующий: крупные язвы, медленное заживление, большие рубцы. |
| Язвенно-гангренозный стоматит | Тяжелое поражение слизистой с образованием язв и гибелью тканей. Язвы затрагивают несколько слоев, вплоть до кости, сопровождаются ухудшением самочувствия. |
Развивается из-за травмы слизистой рта, чаще всего из-за многократных повреждений.
Причины травматического стоматита:
- острые края зубов и обломков, большие кариозные полости;
- неправильно установленные коронки, протезы, брекеты;
- химические и термические ожоги;
- привычка прикусывать щеки и губы;
- нарушения прикуса и формы зубов;
- термические и химические воздействия от пищи;
- частое употребление твердой пищи;
- курение;
- часто встречается у маленьких детей.
Симптомы травматического стоматита
При однократном повреждении проявляется как катаральный стоматит, симптомы проходят за несколько дней. Наблюдаются покраснение, отечность, болезненность слизистой, возможны эрозии.
При длительных травмах может развиться хронический стоматит с выраженными симптомами.
Предполагаемые причины хронического афтозного стоматита:
- аденовирусы;
- стафилококки;
- аутоиммунные реакции;
- нарушения иммунитета.
Симптомы хронического афтозного стоматита
На слизистой появляется красное пятно, которое отекает и превращается в афту. Афты болезненные, под ними может образовываться инфильтрат. Некротические массы образуют налет серого цвета.
Иногда сопровождается лимфаденитом, редко – повышением температуры. Афты заживают через 2-4 дня.
Варианты течения хронического афтозного стоматита:
- одновременное появление множества афт;
- афты появляются по одной, с периодическими рецидивами.
Кандидозный стоматит (молочница) – грибковое заболевание, вызванное грибами рода Candida albicans.
Причины кандидозного стоматита:
- Снижение иммунитета;
- младенческий возраст;
- пожилой возраст;
- ВИЧ;
- сахарный диабет;
- сухость во рту;
- беременность;
- ношение зубных протезов;
- прием антибиотиков;
- прием глюкокортикоидов.
Симптомы кандидозного стоматита
Острый кандидоз проявляется белым налетом, который легко снимается, под ним – воспаленная слизистая. У детей может вызывать плаксивость и раздражительность.
Хронический кандидоз сопровождается жжением, затруднением глотания, возможным распространением на гортань и пищевод.
Герпетический стоматит – вирусное заболевание, вызываемое вирусами герпеса, передается воздушно-капельным путем. Вспышки происходят весной и осенью, особенно у детей 1-3 лет.
Стадии заболевания:
- инкубационная: вирус размножается;
- продромальная: воспаление, но без высыпаний;
- стадия высыпания: появляются пузырьки;
- стадия заживления: высыпания исчезают;
- стадия реконвалесценции: выздоровление.
Степени тяжести герпетического стоматита:
- Легкая: высыпания без общих нарушений.
- Средняя: проявления в ротовой полости с общим ухудшением.
- Тяжелая: выраженная симптоматика.
Симптомы герпетического стоматита
Сначала протекает в катаральной форме, затем появляются пузырьки, превращающиеся в афты и язвы. Общая симптоматика: повышение температуры, общее недомогание, головные боли, тошнота, нарушение аппетита.
Хронический герпесвирусный стоматит
Хроническая герпетическая инфекция, пузырьки могут появляться не только в ротовой полости, но и на губах, носу. Общее состояние пациента ухудшается, наблюдаются сильные боли и отек слизистой.
Везикулярный стоматит вызывается вирусами рода Vesiculorus, передается через укусы насекомых, чаще среди работников сельского хозяйства.
Симптомы везикулярного стоматита
Первые симптомы возникают на 5-6 день после заражения: повышение температуры, озноб, слабость, головные боли. На слизистой рта появляются болезненные пузырьки, которые вскрываются и заживают в течение нескольких дней.
Энтеровирусный стоматит вызывается энтеровирусами, передается воздушно-капельным путем, через пищу и воду. Наиболее подвержены дети.
Симптомы энтеровирусного стоматита
Характерные высыпания в виде пузырьков на слизистой рта, кистях и стопах, часто лихорадка и другие симптомы.
Бактериальные стоматиты вызываются бактериями, обитающими в ротовой полости, но при определенных условиях становятся патогенными.
Факторы, способствующие бактериальным стоматитам:
- травмы слизистой;
- кариозные полости;
- гнойные процессы в деснах;
- нарушение асептики во время стоматологических процедур;
- снижение иммунитета.
Симптомы бактериальных стоматитов
Могут проявляться как поверхностное воспаление или тяжелый гнойный процесс.
Формы бактериальных стоматитов:
- Импетигинозный стоматит: стрептококковая природа, образование эрозий с налетом.
- Рожистое воспаление: отечность, болезненность, пятна, язвы.
- Заеды: гнойнички в углах рта, превращающиеся в трещины.
Аллергические стоматиты развиваются из-за аутоиммунных реакций.
Разновидности аллергических стоматитов:
- хронический афтозный стоматит;
- экссудативная многоформная эритема;
- дерматостоматиты.
Симптомы аллергического стоматита:
- покраснение и отек слизистой;
- пузыри, эрозии;
- общая слабость, недомогание, повышение температуры.
Аутоиммунные заболевания, осложняющие стоматит:
- системная красная волчанка;
- склеродермия;
- пузырчатка;
- псориаз;
- красный плоский лишай.
Собственно аллергические стоматиты возникают при контакте слизистой с аллергенами, чаще всего лекарственными препаратами.
Виды аллергических стоматитов:
- фиксированный;
- распространенный.
Аллергический стоматит может протекать в любой форме: катаральной, афтозной или с образованием язв.
| Препарат | Цель назначения | Способ применения | |||
| Травматический стоматит | |||||
| Промывание рта нейтрализующими растворами при химическом ожоге. | Используется при химических ожогах. | При ожоге кислотами: * промыть 15% раствором нашатырного спирта; * промыть мыльным раствором. При ожоге щелочами: * промыть 0,5% раствором уксуса; * промыть 0,5% раствором лимонной кислоты. | |||
| Антибиотики при стоматите | |||||
| Препараты из группыпенициллинов: * ампициллин; * амоксициллин; * амоксиклав; * феноксиметилпенициллин. Препараты из группы цефалоспоринов: * цефазолин * цефтриаксон * цефуроксим. | Антибиотики назначаются при тяжелом течении стоматита. | Главное условие – прием строго по расписанию. | |||
| Вяжущие средства при стоматите | |||||
| Танин | Образует защитную пленку на слизистой, обладает противовоспалительными свойствами. | Для полоскания растворить 1-2 г порошка в 100 мл воды. Полоскать 1-3 раза в день. | |||
| Заживляющие и другие препараты при стоматите | |||||
| Солкосерил | Стимулирует регенерацию тканей. | Наносить на пораженные участки 3-4 раза в день. | |||
| Препараты хлоргексидина: * Лизоплак * Себидин | Хлоргексидин – мощное антисептическое средство. | Лизоплак: полоскать 2-3 раза в день. Себидин: рассасывать таблетки каждые 2 часа. | |||
| Пиромекаиновая мазь с метилурацилом. | Пиромекаин – анестетик, метилурацил – средство, стимулирующее регенерацию. | Наносить на десну 1-2 раза в сутки. | |||
| Антисептические растворы для полоскания рта при стоматитах | |||||
| Лизоамидаза | Ферментный препарат, уничтожающий бактерии. | Развести порошок в растворителе и полоскать 2 раза в сутки. | |||
| Перекись водорода | Эффективный антисептик. | Для полоскания 0,2-0,3% раствор. | |||
| Этоний | Антисептические и анестезирующие свойства. | Готовят 0,5% раствор, смачивают тампоны и прикладывают к пораженному месту. | |||
| Бикарминт | Антисептик. | Растворить 1-2 таблетки в половине стакана воды для полоскания. | |||
| Йодовидон | Антисептическое средство, активен против стафилококка. | 1 чайную ложку раствора развести в половине стакана теплой воды. Полоскать несколько раз в день. | |||
| Фурацилин | Популярный антисептик. | Полоскать раствором 3 раза в день или чаще. | |||
| Спреи при стоматите | |||||
| Биопарокс | Антибактериальный препарат. | Орошать слизистую 2 раза в день. | |||
| Тантум Верде | Противовоспалительное и обезболивающее средство. | Орошать пораженные места несколько раз в сутки. | |||
| Ингалипт | Антибактериальные препараты, масла. | Полоскать рот теплой водой, орошать спреем 3-4 раза в сутки. | |||
| Пропосол | Продукт пчеловодства с противовоспалительными свойствами. | Орошать 2-3 раза в день. |
Лечение стоматитов инфекционного происхождения осуществляется соответствующими препаратами. При кандидозном стоматите назначают противогрибковые средства, при герпесвирусном – противовирусные и т.д.
Настойка календулы
Для полоскания рта при стоматитах используется спиртовая настойка в соотношении 1:10. Чайную ложку настойки развести на стакан воды, полоскать 3-4 раза в день.
Настойка зверобоя
Настойка цветков на 40% спирте в соотношении 1:5. Для полоскания 30-40 капель настойки растворяют в стакане воды.
Настой листьев шалфея
1 столовую ложку высушенных листьев растворить в стакане кипятка, остудить, сцедить. Полоскать рот в течение дня.
Кора дуба
Отвары в соотношении 1:10, полоскать рот в течение дня. Кора дуба продается в аптеках.
Сок каланхоэ
Применяют в виде аппликаций на пораженные места. В аптеках продается готовый спиртовой раствор.
Листья эвкалипта
Для отвара: 10 г сухих листьев на стакан воды, прокипятить, остудить, разводить для полоскания.
Прополис
10% спиртовая настойка, разводится в воде для полоскания 3-4 раза в день. Общая продолжительность лечения – 4-5 дней.
Антибиотики назначаются только при наличии инфекционного процесса.
Препараты при стоматитах инфекционного происхождения:
- бактериальная инфекция: антибактериальные препараты;
- инфекционный процесс как осложнение: антибактериальные препараты;
- кандидозный стоматит: противогрибковые препараты;
- вирусные стоматиты: противовирусные препараты.
Самолечение антибиотиками недопустимо. Они должны назначаться врачом после установления факта наличия инфекции.
Раствор фурацилина применяется при многих видах стоматита, обладает антисептическими свойствами.
Фурацилин можно приобрести в аптеке:
- в виде таблеток: растолочь две таблетки и растворить в стакане воды;
- в виде готового раствора.
Зеленка не применяется для лечения стоматита из-за низкой эффективности и риска повреждения слизистой.
Стоматит является заразным, пути передачи и степень заразности различаются.
Таблица. Пути передачи стоматита и степень заразности.
| Вид стоматита | Пути передачи | Степень контагиозности |
| Вирусные стоматиты | Основной путь: воздушно-капельный. Менее значимые пути: * контактно-бытовой; * алиментарный. | Очень высокая степень заразности для людей без иммунитета. |
| Стоматит, вызванный вирусом герпеса | Контактно-бытовой путь, половой путь, трансплацентарный. | Высокая степень контагиозности для детей и людей с ослабленным иммунитетом. |
| Везикулярный стоматит | Трансмиссивный путь – через укус насекомых. | Для окружающих больной не заразен. |
| Бактериальный стоматит | Контактно-бытовой путь. | Средняя степень заразности. |
| Грибковый стоматит | Контактно-бытовой путь. | Средняя степень заразности. |
| Травматический стоматит | — | Не заразен. |
| Аллергические стоматиты | — | Не заразны. |
| Афтозный стоматит | Возможен контактно-бытовой путь. | Низкая степень заразности. |
При выявлении стоматита в детском коллективе или семье необходимо соблюдать меры личной гигиены:
- регулярное мытье рук;
- ежедневный уход за полостью рта;
- использование отдельной посуды;
- отказ от поцелуев;
- для детей – не брать чужие игрушки;
- использование отдельных полотенец и средств личной гигиены;
- дезинфекция предметов обихода;
- поддержание иммунитета.
Стоматит может быть признаком плохого состояния иммунной системы. Язвочки во рту могут указывать на серьезные патологии, такие как ВИЧ, онкологические заболевания и прочие. Обратите внимание на повторяющиеся стоматиты.
Риск заразиться инфекционными стоматитами высок среди людей с ослабленным иммунитетом, особенно детей и пожилых людей.
Некоторые виды стоматита могут негативно воздействовать на защитные силы организма. Например, герпес и грибки «ослабляют иммунитет». Бактериальный стоматит нарушает микрофлору ротовой полости.
Стоматит – это иммунокомпетентное заболевание.
Изменения в полости рта, при которых рекомендуется обследоваться на ВИЧ:
- генерализованное поражение всех структур ротовой полости;
- хронический стоматит, не поддающийся лечению;
- наличие лейкоплакии;
- наличие «волосатого» языка;
- наличие кондилом и папиллом;
- опоясывающий герпес в полости рта;
- саркома Капоши.
Эти заболевания не являются 100% диагнозом ВИЧ, но в 75% случаев анализы на ВИЧ дают положительный результат.
Лечение стоматитов у ВИЧ-позитивных людей длительное, направленное на возбудителя. Без коррекции иммунитета лечение оказывается безуспешным.
Для профилактики стоматитов у ВИЧ-позитивных лиц рекомендован профилактический прием противогрибковых и антибактериальных препаратов.
Дети раннего возраста чаще страдают стоматитом из-за особенностей иммунной системы и привычки пробовать все на вкус. У детей старше 5 лет стоматит протекает так же, как и у взрослых.
Виды стоматитов у детей до 5 лет:
1.Вирусный герпетический стоматит – распространен у детей от 1 до 5 лет, формирует антитела к вирусу простого герпеса. У младенцев может протекать тяжело.
2.Кандидозный стоматит – характерен для детей до 3 лет, развивается из-за нарушения микрофлоры рта, часто после приема антибиотиков.
3.Бактериальный стоматит – чаще у детей старше 1 года, развивается на фоне травматического стоматита.
У детей также характерны острые виды стоматитов. Хронический стоматит развивается у детей с плохим иммунитетом.
Признаки и симптомы стоматита у детей.
Дети не могут жаловаться, родители часто не замечают стоматит.
- Заболевание начинается остро;
- малыш капризничает, плохо спит;
- наблюдается повышенное слюнотечение;
- повышается температура, часто до 40°C;
- отказывается от еды;
- возможен жидкий стул или рвота;
- могут увеличиться лимфатические узлы шеи.
Мамы могут связать симптомы с прорезыванием зубов. Осмотр ротовой полости важен.
Главная особенность стоматита у детей до 5 лет – выраженная интоксикация.
Изменения на слизистых рта такие же, как и у взрослых. Кровоточивость указывает на тяжесть стоматита.
Медикаментозные средства и обработка полости рта при стоматите у детей до 5 лет.
| Вид стоматита | Препарат | Как применяется? | |
| Герпетический стоматит: * у детей до года | Требует госпитализации, проводится противовирусная терапия. | ||
| * у детей старше 1 года | Противовирусные препараты:Ацикловир мазь 5%, Ацикловир таблетки 200 мг | Мазь: смазывать каждые 4-5 часов. Таблетки: по ½ таблетки для детей 1-2 лет, по 1-2 таб. для старше 2 лет. | |
| Отвары трав: * ромашка; * шалфей; * кора дуба; * календула. | Обрабатывать каждые 4-5 часов. | ||
| Витамины: * масляные витамины А и Е; * раствор для инъекций витамина В12. | Смазывать 2 раза в сутки. | ||
| Обезболивающие препараты: * Дентол Беби; * мазь Лидокаин 1%; * Калгель. | Обрабатывать не более 6 раз в сутки. | ||
| Кандидозный стоматит: | Раствор пищевой соды. | 1 чайная ложка на 100 мл воды, обрабатывать после каждого приема пищи. | |
| Кандид раствор (клотримазол) | 10-20 капель на ватный тампон, обрабатывать 3 раза в сутки. | ||
| Холисал | Полоску мази длиной 5 мм наносят 2-3 раза в сутки. | ||
| Противогрибковые препараты внутрь, показания: | Флуконазол (сироп, таблетки): 6-12 мг на 1 кг массы тела в сутки. | ||
| Фурацилин | 1 таблетку на 100 г кипятка, обрабатывать 2-3 раза в сутки. | ||
| Метиленовый синий, водный раствор | Обрабатывать 1-2 раза в сутки. | ||
| Линекс | 1 капсулу засыпать в рот ребенку. | ||
| Отвар ромашки | 1 ст. ложку на 200 мл кипятка, на 15 минут на водяной бане. |
*Все процедуры проводятся после еды.
Для обработки используют стерильные ватные тампоны. Движения должны быть нежными и малотравматичными.
Лечение стоматита должно быть комплексным. Диета должна быть щадящей, исключая раздражающие продукты.
Препараты, не рекомендуемые для лечения стоматита у детей до 5 лет:
- Стоматидин – с 4 лет;
- Тетраборат натрия (Бура) – с 18 лет;
- Гексорал – с 6 лет;
- Метрогил Дента – с 14 лет;
- Борная кислота 2% — до годовалого возраста;
- Йодовидон – до 8 лет;
- Биопарокс – до 2,5 лет;
- Ингалипт, Тантум Верде – старше 3 лет;
- Солкосерил – с 18 лет;
- Хлорофиллипт масляный раствор – до 10 лет;
- Раствор Люголя на глицерине – до 5 лет;
- Холисал – старше 1 года;
- Полоскание рта – затруднено в детской практике.
Как долго лечится стоматит у детей?
Острый стоматит – от 5 до 14 дней, хронический – месяцами, особенно при иммунодефиците.
Как вылечить стоматит у детей старше 5 лет?
Лечение аналогично взрослым, с учетом противопоказаний.
Повышение температуры при стоматите – частое явление, зависит от возраста пациента. У детей температура может достигать 40°C.
Температура может колебаться от 37°C до 40°C. При температуре 38,5°C и выше, при нарушении общего состояния – необходимо лечение.
- Прием жаропонижающих препаратов в возрастной дозировке;
- обработка ротовой полости;
- обтирание тела;
- большое количество жидкости;
- холодный компресс;
- вызов скорой помощи при необходимости.
Сколько дней держится температура при стоматите?
2-3 дня при нетяжелом течении и до 10 дней при тяжелом стоматите.
Кандидоз полости рта (молочница) часто встречается у детей первых месяцев жизни. Характерный симптом – белый налет, который может быть снят, под ним – воспаленная слизистая.
При легком течении родители могут не заметить кандидоз, но при распространении требуется медицинская помощь.
Молочница может привести к осложнениям:
- хронический кандидоз;
- дисбиоз кишечника;
- ослабление иммунитета;
- грибковая пневмония, сепсис.
Лечение должно быть комплексным и своевременным.
| Симптом/Признак | Причина | Лечение/Рекомендации |
|---|---|---|
| Язвочки во рту (афты) — мелкие, болезненные, окруженные красным ободком | Вирусная инфекция (герпес, энтеровирус), бактериальная инфекция, грибковая инфекция (кандидоз), травма слизистой, аллергическая реакция, дефицит витаминов (В12, фолиевая кислота) | Промывание полости рта раствором соды или фурацилина, обезболивающие гели (например, Камистад, Холисал), противовирусные или противогрибковые препараты (по назначению врача), полоскание отварами трав (ромашка, шалфей), исключение раздражающих продуктов (кислые, острые, горячие) |
| Боль и жжение во рту | Воспаление слизистой оболочки | Обезболивающие гели и спреи, местные анестетики |
| Отек и покраснение слизистой | Аллергическая реакция, инфекция | Антигистаминные препараты (при аллергии), противовоспалительные препараты (по назначению врача) |
| Налет на языке и слизистой | Грибковая инфекция (кандидоз) | Противогрибковые препараты (по назначению врача), тщательная гигиена полости рта |
| Лихорадка, слабость, увеличение лимфатических узлов | Вирусная инфекция | Покой, обильное питье, жаропонижающие препараты (при высокой температуре) |
| Кровоточивость десен | Недостаток витаминов, воспаление десен (гингивит) | Витаминные комплексы, полоскание полости рта антисептическими растворами |
| Изменение цвета слизистой (бледность, покраснение) | Анемия, инфекция | Лечение основного заболевания |
| Трудности с приемом пищи | Боль, отек | Пюреобразная пища, прохладные напитки |
Стоматит — это воспаление слизистой оболочки рта, которое может проявляться у детей и взрослых. Симптомы включают болезненные язвы, покраснение и отек слизистой, а также затруднения при приеме пищи и разговоре. Причины стоматита разнообразны: от вирусных и бактериальных инфекций до аллергических реакций и недостатка витаминов. Часто заболевание возникает на фоне стресса или ослабленного иммунитета. Лечение стоматита включает местные антисептики, противовоспалительные средства и, в некоторых случаях, антибиотики. Важно также соблюдать гигиену полости рта и избегать раздражающих продуктов. При появлении симптомов стоит обратиться к врачу для назначения адекватной терапии.

Виды стоматитов в зависимости от причины
Травматический стоматит
Развивается из-за повреждения слизистой ротовой полости. Это может быть единичный случай, но чаще стоматиты возникают при многократных травмах и длительном воздействии на слизистую.
Наиболее распространенные причины травматического стоматита:
- острые края зубов и обломков, большие кариозные полости;
- неправильно установленные коронки, протезы и брекеты;
- химические и термические ожоги слизистой;
- привычка прикусывать щеки и губы;
- нарушения прикуса и форма зубов, повреждающие слизистую;
- термические и химические воздействия от слишком холодной, горячей или острой пищи;
- частое употребление твердой пищи, например, семечек и орехов;
- курение, раздражающее слизистую табачным дымом;
- травматический стоматит часто встречается у детей, которые тянут в рот различные предметы.
Симптомы травматического стоматита
При остром однократном повреждении заболевание проявляется как катаральный стоматит. Симптомы обычно исчезают в течение нескольких дней. Наблюдаются покраснение, отечность и болезненность слизистой. В дальнейшем могут возникать эрозии – поверхностные повреждения слизистой.
Если травма была кратковременной, стоматит часто проходит самостоятельно.
При длительных травмах к раздражению может присоединяться инфекция, что приводит к хронической форме заболевания с более выраженными симптомами и ухудшением состояния.

Хронический афтозный стоматит
Хронический афтозный стоматит — заболевание, причины которого недостаточно изучены.
Предполагаемые факторы, способствующие развитию хронического афтозного стоматита:
- аденовирусы — вирусы, вызывающие острые респираторные инфекции
- стафилококки — гипотеза о бактериальной природе болезни
- аутоиммунные реакции — патологическая реакция иммунной системы на чуждые вещества в ротовой полости
- иммунные нарушения — рецидивы связаны с ослаблением определенных компонентов иммунной системы
Признаки хронического афтозного стоматита
На слизистой оболочке появляется красное пятно округлой или овальной формы диаметром около 1 см. В течение нескольких часов оно отекает и приподнимается над поверхностью. Затем образуется эрозия, покрытая фибриновым налетом серого оттенка — это афта.
Афты мягкие и болезненные. При значительной гибели клеток слизистой под афтой может образоваться инфильтрат (уплотнение). Некротические массы (мертвые ткани) располагаются на поверхности афты в виде толстого серого налета, под которым находится эрозия или язва.
Иногда хронический афтозный стоматит сопровождается лимфаденитом — воспалением и увеличением лимфатических узлов. Повышение температуры наблюдается редко.
Через 2–3 дня после появления афты все некротические массы отторгаются, и полное заживление происходит еще через 2–4 дня.
Варианты течения хронического афтозного стоматита:
- одновременное возникновение множества афт, после чего они заживают
- афты появляются в течение нескольких недель приступами: одни исчезают, на их месте возникают новые
- афты появляются по одной
Кандидозный стоматит
Кандидозный стоматит, или молочница, — грибковая инфекция, вызванная дрожжеподобными грибами рода Candida albicans. Реже заболевание вызывают Candida tropicalis, Candida parapsilosis, Candida krusei и Candida glabrata.
Факторы, способствующие инфицированию грибком Candida albicans:
- Снижение иммунной защиты при серьезных инфекциях, заболеваниях крови, онкологии и ВИЧ. У людей с нормальным иммунитетом грибковые инфекции встречаются редко.
- Детский возраст. Иммунная система новорожденных еще не полностью развита.
- Пожилой возраст. С возрастом защитные функции организма ослабевают, что способствует развитию инфекций.
- ВИЧ. Это заболевание значительно снижает иммунную защиту. У 90% пациентов с ВИЧ на стадии СПИДа наблюдается кандидозный стоматит.
- Сахарный диабет. Повышенный уровень глюкозы в крови создает условия для размножения грибов Candida.
- Сухость во рту. Обычно возникает из-за неправильного использования средств для полоскания.
- Беременность. У женщин в положении риск кандидозного стоматита увеличивается из-за гормональных изменений.
- Использование зубных протезов и несоблюдение гигиенических норм.
- Прием антибиотиков. Эти препараты уничтожают бактерии, которые конкурируют с грибами Candida.
- Использование глюкокортикоидов в форме спреев. Эти препараты могут подавлять иммунные реакции в ротовой полости, способствуя росту грибков.
Признаки кандидозного стоматита
Острый кандидозный стоматит проявляется белым налетом на слизистой оболочке рта, который легко заметить. Налет можно удалить ватным или марлевым тампоном, под ним обнаруживается воспаленная, ярко-красная и отечная слизистая. Пациенты часто испытывают болезненные ощущения и дискомфорт при приеме пищи. У детей кандидозный стоматит может вызывать плаксивость и раздражительность.
Хронический кандидозный стоматит сопровождается жжением в ротовой полости и горле, а также затруднением глотания. При значительном снижении иммунной защиты инфекция может распространиться на гортань, глотку и пищевод.
Герпетический стоматит
Герпетический стоматит — вирусное заболевание, вызванное вирусами герпеса. Инфекция передается воздушно-капельным путем от инфицированных людей, чаще всего в осенние и весенние месяцы. Заболевание распространено среди детей 1-3 лет, когда материнский иммунитет ослабевает, а собственный иммунитет ребенка еще не сформирован.
Герпетический стоматит проявляется в двух формах: острой и хронической.
Стадии заболевания:
- Инкубационная стадия: вирус проникает в организм и размножается без симптомов.
- Продромальная стадия: воспаление слизистой ротовой полости, симптомы слабо выражены, высыпания отсутствуют.
- Стадия высыпания: на слизистой появляются пузырьки.
- Стадия заживления: высыпания исчезают, слизистая восстанавливается.
- Стадия реконвалесценции: период выздоровления.
Степени тяжести герпетического стоматита:
- Легкая степень: на слизистой появляются характерные элементы, общее состояние не нарушается.
- Средняя степень: проявления в ротовой полости сопровождаются ухудшением общего состояния.
- Тяжелая степень: выраженная симптоматика.
Симптомы герпетического стоматита
На начальном этапе заболевание проявляется в катаральной форме. Затем на слизистой появляются пузырьки, которые превращаются в эрозии. При тяжелом течении могут образовываться язвы.
Общие симптомы герпетического стоматита:
- Повышение температуры: может быть субфебрильной (до 37⁰C) или высокой.
- Общее недомогание.
- Головные боли.
- Тошнота и рвота.
- Нарушение аппетита и сна.
Хронический герпесвирусный стоматит
При хронической герпетической инфекции пузырьки могут появляться не только в ротовой полости, но и на губах, носу и других участках кожи. Общее состояние пациента ухудшается: наблюдается повышение температуры, сильные боли в пораженных участках, слизистая краснеет и отекает, жевание становится затруднительным.
Везикулярный стоматит
Вирусное заболевание вызывается вирусами рода Vesiculovirus из семейства Rabdoviridae. Патоген обитает в крупном рогатом скоте и передается человеку через укусы комаров и москитов. Наибольшему риску заражения подвержены работники сельского хозяйства и специалисты, контактирующие с животными.
Признаки везикулярного стоматита
Первые симптомы болезни появляются на 5-6 день после инфицирования. Пациент ощущает повышение температуры, озноб, общее недомогание, слабость и головные боли. В некоторых случаях могут возникать боли в горле, насморк и мышечные боли, что делает начальную стадию заболевания схожей с простудой.
На слизистой оболочке рта формируются небольшие болезненные пузырьки с прозрачной жидкостью. Эти пузырьки вскрываются и заживают в течение нескольких дней.
Энтеровирусный стоматит
Этот тип стоматита вызывается энтеровирусами. Инфекция передается от человека к человеку через воздух, пищу, общие предметы и воду. Наиболее уязвимы маленькие дети.
Признаки энтеровирусного стоматита
Симптоматика заболевания характерна и называется «рот-рука-нога». На слизистой ротовой полости, кистях и стопах появляются болезненные пузырьки. Часто наблюдается повышение температуры и другие проявления недомогания.
Другие вирусные стоматиты
Другие виды вирусных стоматитов не являются отдельными заболеваниями, а проявляются как симптомы других недугов. Стоматит часто возникает при гриппе, коре и ветряной оспе.
Бактериальные стоматиты (стафилококковые и стрептококковые)
Бактериальные стоматиты возникают из-за бактерий, обитающих в ротовой полости, которые при определенных условиях становятся патогенными.
Факторы, способствующие развитию стрептококковых и стафилококковых стоматитов:
- травмы слизистой рта: царапины, раны, порезы;
- кариозные поражения зубов;
- гнойные процессы в десневых карманах;
- нарушение асептики и антисептики во время стоматологических процедур;
- значительное ослабление иммунной системы.
Симптомы стафилококковых и стрептококковых стоматитов
Бактериальные стоматиты могут проявляться по-разному: от поверхностного воспаления слизистой до серьезного гнойного процесса, который может привести к ухудшению состояния пациента (так называемый «ротовой сепсис»).
Наиболее распространенные формы бактериальных стоматитов:
- Импетигинозный стоматит. Заболевание имеет стрептококковую природу, но в очагах поражения может обнаруживаться стафилококк. Чаще всего страдают дети. Проявляется образованием эрозий — поверхностных дефектов на слизистой. На них образуется серовато-желтый налет, при удалении которого наблюдается кровоточивость. На деснах могут возникать язвы.
- Рожистое воспаление слизистых оболочек рта (рожа). Вызывается стрептококками. Слизистая оболочка становится отечной и болезненной, появляются пятна малинового цвета и повышенная кровоточивость. При тяжелом течении могут образовываться пузыри, язвы и участки омертвения тканей. Состояние пациента ухудшается, наблюдается повышение температуры. При высокой активности инфекции и слабом иммунитете возможен сепсис.
- Заеды в уголках рта. Это состояние можно рассматривать как одну из форм бактериального стоматита. Сначала в уголке рта появляется небольшой гнойничок, который вскрывается, оставляя язвочку. Если язва травмируется, она не заживает и превращается в трещину, которая может распространяться на слизистую щеки.
Аллергические стоматиты
Аллергические стоматиты — это аллергическая реакция, возникающая при контакте слизистой рта с определёнными веществами. Чаще всего аллергенами становятся медикаменты и стоматологические материалы.
Типы аллергических стоматитов:
- фиксированный – поражение слизистой на одном участке;
- распространённый – затрагиваются все слизистые оболочки ротовой полости.
Аллергический стоматит может проявляться в формах: катаральной, афтозной или с образованием язв.
Экссудативная многоформная эритема
При данном аутоиммунном заболевании поражение слизистой ротовой полости наблюдается у 60% больных.
Признаки аллергического стоматита, вызванного экссудативной многоформной эритемой:
- заболевание начинается с покраснения и отека слизистой;
- на пораженных участках образуются пузырьки с прозрачной жидкостью, которые вскрываются, оставляя эрозии;
- эрозии покрываются гнойными или кровянистыми корочками и постепенно заживают;
- в период появления эрозий пациент может ощущать слабость, недомогание и повышение температуры.
Симптомы обычно исчезают в течение 1-3 недель.
Дерматостоматиты
Дерматостоматиты — это аутоиммунные расстройства, затрагивающие кожу и слизистые оболочки.
Аутоиммунные заболевания, сопровождающиеся стоматитом:
- системная красная волчанка
- склеродермия
- пузырчатка
- псориаз
- красный плоский лишай
Каждое из этих заболеваний проявляется уникальными симптомами и особенностями поражения слизистой оболочки.
Методы лечения стоматита
Медикаментозная терапия при стоматите
| Препарат | Цель назначения | Способ применения | |||
| Травматический стоматит | |||||
| Промывание ротовой полости нейтрализующими растворами при химических ожогах для предотвращения стоматита. | Применяется при химических ожогах слизистой рта. При ожоге кислотами используются щелочные растворы, при ожоге щелочами — кислотные. | При ожоге кислотами: * промыть ротовую полость 15% раствором нашатырного спирта (15 капель на стакан воды); * промыть мыльным раствором. При ожоге щелочами: * промыть 0,5% раствором уксуса; * промыть 0,5% раствором лимонной кислоты. | |||
| Антибиотики при стоматите | |||||
| Пенициллины: * ампициллин; * амоксициллин; * амоксиклав; * феноксиметилпенициллин. Цефалоспорины: * цефазолин; * цефтриаксон; * цефуроксим; Грамицидин (Граммидин, Граммидин С). Другие антибактериальные препараты. | Антибиотики в таблетках или инъекциях назначаются при тяжелом стоматите. Выбор препарата зависит от типа инфекции и должен осуществляться врачом, чтобы избежать осложнений. | Главное условие — строгое соблюдение расписания приема. | |||
| Вяжущие средства при стоматите | |||||
| Танин | Взаимодействует со слизистой, образуя защитную пленку, защищающую нервные окончания. Обладает противовоспалительными свойствами. | Танин доступен в порошке. Для полоскания растворить 1-2 г в 100 мл воды. Полоскать 1-3 раза в день по указанию врача. | |||
| Заживляющие и другие препараты при стоматите | |||||
| Солкосерил (стоматологическая паста). | Получен из крови телят, способствует регенерации тканей. | Наносить на пораженные участки 3-4 раза в день. Форма выпуска: Паста в тюбиках по 5 г. Побочные эффекты: Использовать с осторожностью при аллергии. | |||
| Препараты хлоргексидина: * Лизоплак * Себидин | Хлоргексидин — эффективное антисептическое средство, применяется при стоматитах и других инфекционно-воспалительных заболеваниях. | Лизоплак: стоматологический гель для полоскания, основное вещество — хлоргексидин. Полоскать 2-3 раза в день. Себидин: таблетки с хлоргексидином и аскорбиновой кислотой. Рассасывать каждые 2 часа. | |||
| Пиромекаиновая мазь с метилурацилом. | Пиромекаин — анестетик, метилурацил — средство для регенерации клеток. Мазь применяется при стоматитах с болевым синдромом. | Форма выпуска: мазь в тюбиках по 30 г. Способ применения: Наносить 1-2 раза в день на 2-5 минут, не более 1 г за раз. | |||
| Антисептические растворы для полоскания рта при стоматитах | |||||
| Лизоамидаза | Ферментный препарат, уничтожает патогенные бактерии. Применяется при бактериальных стоматитах. | Форма выпуска: порошок с флаконом для растворения. Способ применения: Развести в растворителе и полоскать 2 раза в день в течение 10 минут. Побочные эффекты: Может вызывать жжение, проходящее самостоятельно. | |||
| Перекись водорода | Эффективный антисептик. | Для полоскания используется 0,2-0,3% раствор. 3% раствор разбавить: 1 чайная ложка на стакан воды. Внимание: высококонцентрированные растворы могут вызвать ожоги. | |||
| Этоний | Лекарственное средство с антисептическими и анестезирующими свойствами, эффективно против стафилококков и стрептококков. | Препарат в порошке. Для применения готовят 0,5% раствор, смачивают тампоны и прикладывают к пораженным участкам. | |||
| Бикарминт | Основное действующее вещество — натрия тетраборат, антисептик. | Форма выпуска: таблетки с натрия тетраборатом, перечной мятой, ментолом, натрия гидрокарбонатом. Способ применения: растворить 1-2 таблетки в половине стакана воды для полоскания. | |||
| Йодовидон | Антисептик с содержанием йода, активен против золотистого стафилококка, кишечной палочки и протея. | Форма выпуска: 1% раствор во флаконах. Способ применения: 1 чайную ложку развести в половине стакана теплой воды, полоскать несколько раз в день по указанию врача. Противопоказания: повышенная чувствительность к йоду. | |||
| Фурацилин | Распространенный антисептик для промывания ран и полоскания рта. | Формы выпуска: * водный раствор 0,02% во флаконах; * таблетки по 0,02 г для растворения. Способы применения: * полоскать 3 раза в день или чаще по назначению врача; * растворить таблетки в воде (1 таблетка на 100 мл) и полоскать как обычным раствором. Противопоказания: аллергические дерматозы. | |||
| Спреи при стоматите | |||||
| Биопарокс | Основной компонент — антибактериальный препарат фузафунгин, обладает противовоспалительным и антибактериальным действием. | Орошать слизистую дважды в день. | |||
| Тантум Верде | Препарат с противовоспалительным и обезболивающим эффектом, безопасен для детей. | Орошать пораженные участки несколько раз в день по указанию врача. | |||
| Ингалипт | Содержит антибактериальные препараты, масло перечной мяты и эвкалипта, эффективен при афтозных и язвенных стоматитах. | Полоскать рот теплой кипяченой водой, орошать пораженные участки 1-2 секунды 3-4 раза в день. | |||
| Пропосол | Средство на основе прополиса, включает этиловый спирт и глицерин, обладает противовоспалительными и антибактериальными свойствами. | Орошать ротовую полость 2-3 раза в день по указанию врача. |
Лечение инфекционных стоматитов осуществляется с использованием препаратов, соответствующих инфекциям. Например, при кандидозном стоматите назначаются противогрибковые средства, а при герпесвирусном — противовирусные препараты.
Народные способы лечения стоматитов
Настойка календулы
Для полоскания рта при стоматитах используется спиртовая настойка календулы в соотношении 1:10. Цветки обладают антисептическими и противовоспалительными свойствами. Чайную ложку настойки развести на стакан воды и полоскать 3-4 раза в день по указанию врача.
Спиртовая настойка календулы доступна в аптеках во флаконах по 40 и 50 мл.
Настойка зверобоя
Зверобой — эффективное вяжущее и обволакивающее средство. При стоматитах используется настойка цветков на 40% спирте в соотношении 1:5. Продается в аптеке во флаконах.
Для приготовления раствора 30-40 капель настойки растворяют в стакане воды.
Настой листьев шалфея
Листья шалфея собирают летом. Растение произрастает в России, готовое сырье можно купить в фильтр-пакетах. Листья обладают противовоспалительным эффектом и содержат дубильные вещества.
Приготовление настоя: 1 столовую ложку высушенных листьев растворить в стакане кипятка, остудить и процедить. Полоскать рот в течение дня по указанию врача.
Кора дуба
Лекарственные свойства имеет кора молодых ветвей дуба, собранная ранней весной. Из нее готовят отвары в соотношении 1:10, которыми полощут рот в течение дня. Кора дуба доступна в аптеках в готовом виде.
Сок каланхоэ
Содержит компоненты с противовоспалительным действием, очищающими язвы от гноя и отмерших тканей, ускоряющими заживление. Для лечения стоматитов применяют сок каланхоэ в виде аппликаций — прикладывают тампоны, смоченные соком. В аптеках можно найти готовый спиртовой раствор.
Листья эвкалипта
Растение содержит антисептики.
Для приготовления отвара 10 г сухих листьев залить стаканом воды и прокипятить. Остудить и процедить. Для полоскания разводить ложку отвара на стакан воды. Высушенные листья доступны в аптеках.
Эвкалиптовое масло также можно использовать, разводя 10-15 капель в стакане воды.
Прополис
Продукт пчеловодства с противовоспалительными, антисептическими и заживляющими свойствами. В аптеках доступна 10% спиртовая настойка прополиса.
Для применения при стоматите 15 мл настойки разводят в половине или целом стакане воды. Полоскать 3-4 раза в день. Общая продолжительность лечения — 4-5 дней.
Антибиотики при стоматите назначаются только при наличии инфекционного процесса.
Препараты при стоматитах инфекционного происхождения:
- бактериальная инфекция (стафилококковая, стрептококковая и др.): антибактериальные препараты в зависимости от патогенных микроорганизмов;
- инфекционный процесс как осложнение травматических, аллергических и других стоматитов: антибактериальные препараты;
- кандидозный стоматит: противогрибковые препараты;
- вирусные стоматиты (энтеровирусный, везикулярный и др.): противовирусные препараты.
Самолечение антибиотиками недопустимо. Антибиотики назначаются врачом после подтверждения инфекции и определения чувствительности патогенных микроорганизмов.
Неправильное самолечение снижает эффективность препаратов и может вызвать осложнения.
Раствор фурацилина применяется при различных стоматитах. Он обладает антисептическими свойствами, что помогает бороться с инфекцией или предотвращать ее (при травматическом, аллергическом стоматитах и др.).
Фурацилин можно приобрести в аптеке в двух формах:
- в виде таблеток. Для приготовления раствора: растолочь две таблетки и растворить в стакане воды.
- в виде готового раствора во флаконах.
Зеленка не применяется для лечения стоматита:
- бриллиантовый зеленый не всегда эффективен при инфекционно-воспалительных заболеваниях слизистой рта;
- это средство может повредить слизистую;
- существуют более эффективные и безопасные средства.
Стоматит является заразным, особенно для членов семьи и в детских коллективах. Основные причины заболевания — вирусы, грибки и бактерии. Пути передачи и степень заразности различаются в зависимости от вида стоматита.
Таблица. Пути передачи стоматита и степень заразности.
| Вид стоматита | Пути передачи | Степень контагиозности |
| Вирусные стоматиты, кроме заболеваний, вызванных вирусом простого герпеса: * ветряная оспа; * корь; * энтеровирусы; * грипп, парагрипп и др. | Основной путь: воздушно-капельный – при кашле, разговоре, чихании. Вирусы выделяются со слюной и слизью, оставаясь в воздухе в виде аэрозолей. Менее значимые пути: * контактно-бытовой – через предметы обихода, грязные руки и т.д.; * алиментарный – через пищу, воду (для энтеровирусов). | Очень высокая степень заразности для людей без специфического иммунитета против этих вирусов. |
| Стоматит, вызванный вирусом простого герпеса 1 и 2 типа, а также цитомегаловирусом | Контактно-бытовой путь – через посуду, грязные руки, предметы личной гигиены и поцелуи. Половой путь – при вагинальном, анальном и оральном контакте, трансплацентарный путь от матери к ребенку, а также через грудное молоко. Воздушно-капельный путь передачи данной инфекции происходит редко. | Высокая степень контагиозности, особенно для: * детей раннего возраста; * людей со сниженным иммунитетом; * лиц, не имеющих антител к герпетической инфекции. |
| Везикулярный стоматит | Трансмиссивный путь – через укус насекомых. | Для окружающих больной не заразен. |
| Бактериальный стоматит | Контактно-бытовой путь. | Средняя степень заразности, особенно для людей с травмами слизистой рта. |
| Грибковый (кандидозный) стоматит | Контактно-бытовой путь. | Средняя степень заразности, высокая степень контагиозности для: * детей раннего возраста; * лиц со сниженным иммунитетом; * людей с травмами слизистой рта. |
| Травматический стоматит | — | Не заразен, но при инфицировании ранок контагиозность зависит от возбудителя. |
| Аллергические стоматиты,дерматостоматиты,многоформные эритемы | — | Не заразны. |
| Афтозный стоматит | Возможен контактно-бытовой путь. | Низкая степень заразности, зависит от причин развития данного вида стоматита. |
При выявлении стоматита в детском коллективе или семье необходимо соблюдать меры личной гигиены и профилактики:
- регулярное мытье рук;
- ежедневный уход за полостью рта: чистка зубов, полоскания и т.д.;
- использование отдельной посуды;
- временный отказ от поцелуев;
- для детей – не брать чужие игрушки;
- использование отдельных полотенец, постельного белья, средств личной гигиены;
- дезинфекция предметов обихода, личной гигиены, посуды, белья, игрушек: кипячение, проглаживание, кварцевание, использование дезинфицирующих средств;
- поддержание иммунитета.
Стоматит, особенно герпетический или грибковый, может сигнализировать о плохом состоянии иммунной системы. Язвочки во рту могут указывать на серьезные патологии, такие как ВИЧ, врожденные иммунодефициты, онкологические заболевания, туберкулез и другие. Обратите внимание на повторяющиеся или рецидивирующие стоматиты.
Герпетический стоматит часто возникает через неделю после гриппа, а кандидозный — через сутки после приема антибиотиков.
Риск заражения инфекционными стоматитами высокий, особенно среди людей с ослабленным иммунитетом. Несовершенный иммунитет наблюдается у детей, а «усталый» иммунитет характерен для пожилых людей. Поэтому дети до 5 лет и люди старше 60 лет особенно подвержены стоматитам.
Иммунитет влияет на развитие и течение стоматита. Некоторые виды стоматита могут ослаблять защитные силы организма. Например, герпес, цитомегаловирус, аденовирус и грибки «ослабляют иммунитет», как местный в области рта, так и системный. Бактериальный стоматит нарушает микрофлору ротовой полости, защищающую не только полость рта, но и дыхательные пути. Бактерии и вирусы могут поражать лимфатические узлы — иммунные органы, такие как миндалины, подъязычные и шейные лимфоузлы.
Таким образом, *стоматит – это иммунокомпетентное заболевание.
Примером взаимосвязи стоматита и иммунитета является особенность стоматитов у ВИЧ-позитивных пациентов:
- стоматит практически постоянно сопровождает ВИЧ-инфицированных, имеет хроническое течение с постоянными обострениями и рецидивами, ремиссии может не быть вовсе;
- по состоянию слизистой рта судят о наличии показаний к обследованию на ВИЧ и о стадии ВИЧ/СПИД;
- часто встречаются хронический афтозный стоматит;
- у людей с ВИЧ стоматит обычно поражает большую часть слизистой рта, языка, губ;
- часто встречаются сочетанные виды стоматитов: грибковые, герпетические, бактериальные;
- цитомегаловирусный стоматит при ВИЧ может привести к смерти пациента, даже при антиретровирусной терапии;
- для таких пациентов характерно некротически-язвенное поражение слизистой рта и десен, кровоточивость десен, пародонтозы, прогрессирующий кариес, что может привести к нагноению зубов и их быстрому выпадению, возможно поражение костных структур челюстей.
Изменения в полости рта, при которых рекомендуется обследоваться на ВИЧ-инфекцию (индикаторы ВИЧ):
- наличие генерализованного поражения всех структур ротовой полости (щек, верхнего и нижнего неба, языка, десен, зубов), наличие тотального пародонтита;
- хронический и длительно протекающий стоматит (чаще грибковый), не поддающийся лечению стандартными схемами;
- наличие лейкоплакии – ороговения слизистой рта;
- наличие «волосатого» языка (волосатая лейкоплакия) – ороговение сосочков языка в результате длительного воздействия грибковой флоры;
- наличие кондилом и папиллом в области ротовой полости;
- опоясывающий герпес в полости рта – герпес Зостер, который поражает не только слизистую, но и нервное волокно, характеризуется пузырьковыми высыпаниями на верхнем или нижнем небе и сильным болевым синдромом;
- саркома Капоши – злокачественное образование лимфатических сосудов, может располагаться на небе, языке, деснах, выглядит как ярко-красные или бурые узлы, которые увеличиваются, затем образуются болезненные язвы.
*Фото: проявления ВИЧ-инфекции на слизистой ротовой полости.*
Фото:Саркома Капоши в ротовой полости у больного СПИДом.
Эти заболевания полости рта не являются 100% диагнозом ВИЧ, но в 75% случаев таких патологий анализы на ВИЧ дают положительный результат. Без анализов диагноз не ставится.
Лечение стоматитов у ВИЧ-позитивных людей длительное, направленное на возбудителя (противогрибковые, антибактериальные, противовирусные препараты). Однако без коррекции иммунитета, то есть без антиретровирусной терапии (ВААРТ), этиотропное лечение оказывается неэффективным. При назначении адекватной ВААРТ и ее регулярном приеме стоматит часто проходит в течение месяца.
Для профилактики стоматитов у ВИЧ-позитивных лиц рекомендуется профилактический прием Флуконазола, Ко-тримоксазола и Азитромицина.
Дети раннего и дошкольного возраста чаще страдают стоматитом из-за особенностей иммунной системы и привычки пробовать все на вкус. Учитывая детский иммунитет, стоматит у детей до 5 лет имеет свои особенности течения.
Стоматит у детей старше 5 лет протекает так же, как и у взрослых.
Виды стоматитов, наиболее часто встречающиеся у детей до 5 лет:
1.Вирусный герпетический стоматит – наиболее распространен у детей от 1 года до 5 лет, что связано с первой встречей детского иммунитета с герпетической инфекцией. В результате формируются антитела к вирусу простого герпеса, защищающие организм от рецидивов. Повторные герпетические высыпания возможны только при снижении защитных сил. У младенцев герпетический стоматит может протекать тяжело, с высыпаниями на коже губ и лица, что опасно осложнениями.
2.Кандидозный или грибковый стоматит – характерен для детей от рождения до 3-х лет. Развивается из-за недостатка «хороших» бактерий, попадания грибов через соски, пустышки, молоко. Часто возникает после приема антибиотиков.
3.Бактериальный стоматит – чаще встречается у детей старше 1 года, развивается на фоне травматического стоматита. Слизистая рта у малышей очень тонкая и травмируется. Бактерии, присутствующие во рту, могут вызывать бактериальный язвенный стоматит.
Острые виды стоматитов характерны для детского возраста. Хронический стоматит развивается у детей с плохим иммунитетом и в неблагополучных семьях.
Признаки и симптомы стоматита у детей.
Дети, не умеющие говорить, не могут предъявить жалобы. Родители часто не сразу понимают, что у малыша стоматит, изменения в полости рта могут быть выявлены лишь через несколько дней после начала болезни.
- Заболевание начинается остро, иногда внезапно;
- малыш капризничает, кричит без видимой причины;
- плохо спит;
- ребенок может быть вялым, апатичным;
- засовывает пальцы в рот и нервничает;
- наблюдается повышенное слюнотечение;
- повышается температура тела, часто до 40°C;
- отказывается от еды и капризничает во время еды;
- дети, которые любят пустышки, неожиданно отказываются от них;
- возможен частый жидкий стул, особенно при грибковом стоматите;
- возможна рвота;
- при тяжелом течении могут увеличиться лимфатические узлы шеи.
Многие мамы связывают такие симптомы с болезненным прорезыванием зубов! Без осмотра ротовой полости не обойтись.
Лучше всего обратиться к педиатру. Однако мама может сама увидеть язвочки во рту у ребенка. Для этого необходимо взять ложечку или одноразовый шпатель и тщательно осмотреть полость рта в следующей последовательности:
- все поверхности языка;
- твердое небо;
- мягкое небо;
- внутренние поверхности щек;
- внутренние поверхности губ, десна;
- задняя стенка зева (горло), необходимо помнить, что язвочки стоматита могут локализоваться на миндалинах.
Осматривать нужно при хорошем освещении, лучше использовать маленький фонарик.
Процедура может быть неприятной, поэтому важно отвлечь ребенка.
Главная особенность стоматита у детей до 5 лет – выраженная интоксикация (высокая температура, рвота, слабость, отказ от еды), которой у взрослых может не быть.
Изменения на слизистых оболочках рта такие же, как и у взрослых, их характер зависит от вида стоматита. Подробнее можно прочитать в разделе статьи: Виды стоматита в зависимости от причин.
Но нужно быть внимательными, так как у детей с хорошим иммунитетом язвочка во рту может быть единственной и небольшой, ее не всегда легко заметить, но при этом интоксикация может быть выраженной.
Фото: герпетический стоматит у ребенка, язвочка на внутренней поверхности верхней губы.
Фото: кандидозный стоматит у ребенка, изменения на поверхности языка – грибковый глоссит.
Фото: стрептодермия кожи лица и бактериальный стоматит у ребенка, вызванный стрептококковой инфекцией.
При стоматите поражается слизистая оболочка рта, которая у детей очень тонкая. При тяжелом течении заболевания разрушаются участки слизистой, вовлекая в воспалительный процесс и кровеносные сосуды, которые могут кровоточить.
Для герпетического стоматита характерно образование пузырьков, которые вскрываются, образуя афты. При грибковом стоматите образуется белый или серый налет, после снятия которого также можно увидеть кровоточащую поверхность. При поражении десен стоматитом почти всегда наблюдается кровоточивость.
Кровоточивость указывает на тяжесть стоматита. Этот симптом часто сопровождается неприятным запахом изо рта.
Принципы лечения стоматита с кровоточивостью такие же, как и при стоматите без этого симптома. Можно добавить средства, укрепляющие стенки сосудов и кровоостанавливающие препараты (витамины А, Е, С, Викасол, кальция глюконат, аминокапроновая кислота).
В детском возрасте выбор препаратов для лечения стоматитов ограничен из-за рисков побочных эффектов, аллергических реакций, невозможности применять полоскания, а у детей до 2-х лет не рекомендованы спреи, так как они могут привести к спазму гортани или бронхов.
Медикаментозные средства и обработка полости рта при стоматите у детей до 5 лет.
| Вид стоматита | Препарат | Как применяется?* | |
| Герпетический (вирусный) стоматит: * у детей до года | Герпетический стоматит у младенцев опасен осложнениями, так как вирус может поразить нервную систему и вызвать вирусный энцефалит. Поэтому требует госпитализации для мощной противовирусной и дезинтоксикационной терапии. | ||
| * у детей старше 1 года и до 5 лет | Противовирусные препараты:Ацикловир мазь 5%,Противовирусные препараты внутрь при тяжелом и рецидивирующем течении: Ацикловир таблетки по 200 мг | Мазь: Тонким слоем смазывают пораженные участки каждые 4-5 часов. Таблетки Ацикловир 200 мг: По ½ таблетки для детей 1-2 лет и по 1-2 таб. для детей старше 2-х лет. | |
| Отвары трав: * ромашка; * шалфей; * кора дуба; * календула.Травяные настойки: * Ротокан; * Стоматофит.Заживляющие средства: * масло шиповника; * масло облепихи; * масло чайного дерева; * масло эвкалипта и другие. | Обрабатывать полость рта каждые 4-5 часов, комбинируя виды средств. | ||
| Витамины: * масляные витамины А и Е; * раствор для инъекций витамина В12. | Смазывать слизистую 2 раза в сутки. | ||
| Обезболивающие препараты: * Дентол Беби; * мазь Лидокаин 1%; * Калгель и другие гели для обезболивания при прорезывании зубов. | Обрабатывать не более 6 раз в сутки и не чаще, чем 1 раз в час. | ||
| Кандидозный (грибковый) стоматит: | Раствор пищевой соды. | 1 чайная ложка соды на 100 мл кипяченой воды. Обрабатывать после каждого приема пищи. Также можно обрабатывать соски, бутылки, игрушки. | |
| Кандид раствор (клотримазол) | 10-20 капель на стерильный ватный тампон, обрабатывать 3 раза в сутки. | ||
| Холисал (обезболивающий, антисептический, противогрибковый и противовоспалительный эффект). | Полоску мази длиной 5 мм наносят на слизистую 2-3 раза в сутки. | ||
| Противогрибковые препараты внутрь, показания: * Тяжелое течение грибкового стоматита; * распространение инфекции за пределы ротовой полости; * отсутствие положительных результатов местной терапии в течение 3-х дней; * наличие иммунодефицитных состояний. | Флуконазол (сироп, таблетки): 6-12 мг на 1 кг массы тела в сутки. С осторожностью назначаются детям до месячного возраста. Нистатин: до 1 года – 100 000 ЕД 3-4 раза в сутки, 1-3 года – 250 000 ЕД 3-4 раза в сутки, 3-5 лет – 250 000 – 500 000 ЕД 3-4 раза в сутки. | ||
| Фурацилин | 1 таблетку на 100 г кипятка, остудить и обрабатывать 2-3 раза в сутки. | ||
| Винилин | Для наружного применения 2-3 раза в сутки. | ||
| Метиленовый синий, водный раствор | Обрабатывать 1-2 раза в сутки всю полость рта. | ||
| Линекс | 1 капсулу препарата раскрыть и засыпать в рот ребенку, малыш сам распределит препарат по всей ротовой полости. «Хорошие» бактерии будут бороться с грибками. | ||
| Отвар ромашки | 1 ст. ложку травы на 200 мл кипятка и на 15 минут на водяной бане. | ||
| * Отвары трав; * Заживляющие масла; * Витамины.Подробнее в предыдущем разделе таблицы. |
- *Все процедуры обработки полости рта проводятся после еды и за 1-2 часа до следующего приема пищи и воды.*
- Для этой процедуры используют стерильные ватные тампоны и небольшое количество средства. Обрабатывают все поверхности ротовой полости, начиная со здоровых участков, затем меняют тампон и смазывают поврежденные участки. Движения должны быть нежными и малотравматичными. Использование марлевой ткани и бинтов недопустимо, так как это может повредить слизистую оболочку рта.*
Лечение стоматита должно быть комплексным и включать несколько видов обработки полости рта, как этиологических (против возбудителя), так и противовоспалительных и заживляющих. Важно правильно распределить все процедуры в течение суток. Обрабатывать ротовую полость следует после приема пищи и сладких напитков.
Диета при лечении стоматита должна быть щадящей, необходимо исключить раздражающие продукты и напитки.
Препараты, не рекомендуемые (противопоказанные) для лечения стоматита у детей до 5 лет:
- Стоматидин – можно с 4 лет;
- Тетраборат натрия (Бура), Бикармит – эффективен, но возможны тяжелые побочные действия, можно с 18 лет;
- Гексорал – рекомендован с 6 лет;
- Метрогил Дента – противопоказан детям до 14 лет;
- Борная кислота 2% — противопоказана детям до годовалого возраста;
- Йодовидон – не рекомендован детям до 8 лет;
- Биопарокс – не рекомендован детям до 2,5 лет;
- Ингалипт, Тантум Верде и многие другие спреи – для детей старше 3 лет;
- Солкосерил – с 18 лет;
- Хлорофиллипт масляный раствор – не рекомендован детям до 10 лет;
- Раствор Люголя на глицерине – не рекомендован для детей до 5 лет, и для старших детей необходимо применять с осторожностью;
- Холисал – можно детям старше 1 года;
- Полоскание ротовой полости – затруднено в детской практике.
Как долго лечится стоматит у детей?
Острый стоматит у детей лечится от 5 до 14 дней, хронический стоматит может лечиться месяцами, особенно если он развился на фоне иммунодефицита (например, при ВИЧ).
Как вылечить стоматит у детей старше 5 лет?
Лечение стоматитов у детей старше 5 лет в целом такое же, как и у взрослых, за исключением тех препаратов, которые противопоказаны в определенной возрастной категории.
Повышение температуры тела при любом стоматите – частое явление. Этот симптом зависит от возраста пациента: чем младше ребенок, тем выше температура и дольше она держится. Также симптом высокой температуры чаще наблюдается при острых формах стоматита, при хроническом стоматите температура может оставаться нормальной.
У детей раннего возраста стоматит всегда сопровождается высокой температурой, вплоть до 40°C, и именно этот симптом больше всего беспокоит маму и ребенка.
Воспаление при стоматите нарушает целостность слизистой, что приводит к образованию язв, афт, герпетических пузырьков и налетов. Продукты жизнедеятельности инфекционных возбудителей попадают в кровь. Температура – защитная реакция организма, помогающая уничтожить чуждые агенты. В это время организм находит и отправляет необходимые иммунные клетки в очаг воспаления.
Однако из-за токсинов нарушается терморегуляция, что приводит к повышению температуры до высоких значений. Поэтому важно контролировать температуру тела и при необходимости ее снижать.
Температура может колебаться от 37°C до 40°C.
Для взрослых более характерна субфебрильная температура (до 38°C), для детей – высокая.
Причем повышение температуры до невысоких значений часто является первым симптомом стоматита, еще до появления высыпаний на слизистых. У ребенка до 3 лет температура может достигать 40°C при наличии всего одного элемента сыпи во рту.
- При температуре 38,5°C и выше;
- при температуре 38°C и выше, если ранее были фебрильные судороги или у пациента есть заболевания нервной системы;
- ребенку с любой температурой, если общее состояние малыша нарушено (слабый, вялый, апатичный, его беспокоят головные боли, у грудничков – выраженное набухание большого родничка).
Температура до 38,5°C – это помощник в борьбе с заболеванием, поэтому сбивать ее не следует.
- Прием жаропонижающих препаратов в возрастной дозировке (Парацетамол, Ибупрофен, Анальгин) – сиропы, таблетки, ректальные свечи;
- обработка ротовой полости;
- обтирание тела водой комнатной температуры, раскрывание больного;
- дать большое количество жидкости;
- детям можно сделать клизму (микроклизма до 50-100 мл с кипяченой водой);
- холодный компресс в области правого подреберья и висков;
- если все эти мероприятия не помогают, необходимо вызвать скорую помощь, также нельзя оставаться дома, если у ребенка на фоне высокой температуры развиваются фебрильные судороги.
Интересно!После обработки полости рта соответствующими средствами даже высокая температура может резко снизиться, но вскоре она может снова повыситься.
Сколько дней держится температура тела при стоматите?
Температура может держаться от 2-3 дней при легком течении заболевания до 10 дней при тяжелом стоматите.
Молочницей в народе называют кандидоз слизистых оболочек, в том числе и кандидозный стоматит.
Кандидоз полости рта получил свое название от слова «молоко», так как часто встречается у детей первых месяцев жизни, основным питанием которых является грудное молоко или молочная смесь. Кандидоз имеет специфический вид, напоминающий творог, а запах изо рта схож с кисломолочными продуктами. Молоко у этих малышей является причиной развития патогенных грибов.
Грибы передаются малышу через соски матери, бутылки, пустышки. У новорожденных – от матери при прохождении через родовые пути.
При нетяжелом течении кандидоза родители могут не обратить внимания на белесоватый налет на небе и языке, так как он похож на остатки молочной пищи. Общее состояние ребенка в начале заболевания может не нарушаться. Характерным симптомом молочницы является покраснение и изъязвление на месте снятого белого налета.
На этом этапе молочницу можно вылечить раствором пищевой соды при регулярной обработке слизистой рта, а также сосков молочных желез, бутылок и пустышек. Если же налет распространяется по всей поверхности полости рта и языка, образуются кровоточащие раны, нарушается общее самочувствие ребенка, то одной соды будет недостаточно, необходимо обратиться к врачу.
Молочница не так безобидна, как кажется, и может привести к осложнениям:
- развитие хронического кандидоза полости рта, а через время возможно развитие лейкоплакии (ороговение слизистой оболочки), «волосатого» языка;
- дисбиоз кишечника (поносы или запоры, нарушение всасывания питательных веществ);
- дисбиоз влагалища у девочек (молочница);
- ослабление местного и общего иммунитета – частые инфекционные заболевания;
- грибы могут выйти за пределы ротовой полости, попасть в кровоток и распространиться по всему организму (грибковая пневмония, сепсис, менингоэнцефалит), эти состояния развиваются при иммунодефицитах и угрожают жизни.
Поэтому молочницу полости рта нужно лечить, и главное – своевременно. Лечение должно быть комплексным. Если молочница плохо поддается лечению противогрибковыми и противовоспалительными препаратами, стоит задуматься о состоянии иммунитета. Подробнее о лечении кандидозного стоматита можно узнать в разделе статьи: Методы лечения стоматита.
Зубы находятся в ротовой полости, поэтому состояние зубов влияет на состояние слизистой и наоборот. Эта закономерность наблюдается с грудного возраста, когда прорезываются молочные зубы, и до старости, когда у многих стоят протезы.
Зубные причины стоматита:
1.Прорезывание зубов: у новорожденных зубы находятся в состоянии зачатков, и по мере роста ребенка растут и зубы, которые постепенно раздвигают ткани десны (прорезываются) и выходят наружу. При этом десна воспаляется из-за травмы. Поэтому повышается риск стоматита во время прорезывания зубов. Эта проблема возникает не только у детей, но и у молодых людей при прорезывании «зубов мудрости».
Интересно!У многих детей на фоне прорезывания зубов повышается температура, возникает насморк, развиваются заболевания верхних дыхательных путей и кишечника. Но это не значит, что зубы вызвали все эти состояния, просто к воспаленным деснам присоединяются инфекции, которые снижают местный иммунитет. Также при прорезывании зубов усиливается кровообращение в челюстях, в том числе и в полости носа, что может привести к вазомоторному риниту. Поэтому нужно лечить все эти состояния, а не ждать, пока вылезут зубы.
2.Зубной кариес – источник хронической инфекции. Разрушающиеся зубы имеют заостренные края, которые дополнительно травмируют слизистую рта. А если еще и зубочистками постоянно пользоваться, то стоматит гарантирован.
3.Зубной камень – это не только некрасивый налет на зубах, но и хронический очаг инфекции, содержащий весь спектр бактерий и грибов. Зубной камень отслаивает десну от зуба, образуя карманы десны – отличное место для воспаления.
4.Удаление зуба – после операции остается рана, которая легко может инфицироваться, воспаление распространяется по всей слизистой рта и может привести к стоматиту, чаще всего бактериальному.
5.Зубное протезирование. Если протез подобран правильно, проблем может не быть. Однако на практике это не всегда так: протезы могут давить на десну, травмировать язык, слизистую оболочку щек, что предрасполагает к развитию травматического, язвенного и афтозного стоматита.
6.Заболевания десен – гингивит, пародонтит – воспаление десен, которое может распространиться по всей ротовой полости и вызвать стоматит.
7.Использование жестких зубных щеток и загрязненных, особенно чужих, травмирует слизистую рта, и такие средства личной гигиены становятся источником заражения инфекциями. В результате – стоматит.
Каждый человек должен следить за состоянием своих зубов, дважды в год посещать стоматолога и при необходимости проводить санацию. Это снизит риск стоматитов.
Однако возникает вопрос: если уже есть стоматит, как лечить зубы? Это может быть кровавой манипуляцией, и можно занести инфекцию в ткани зуба, усугубив состояние ротовой полости. Хороший стоматолог, прежде чем лечить зубы, назначит противовоспалительное лечение стоматитов, и только после восстановления слизистой рта приступит к другим манипуляциям.
После лечения зубов, особенно после хирургических вмешательств, важно следить за полостью рта. Стоматолог назначит полоскания, мази, гели, примочки с антисептиками и противовоспалительными препаратами, в некоторых случаях, например, после удаления зуба, порекомендует антибиотик для приема внутрь. Это значительно снижает риск стоматита.
Для некоторых людей стоматит становится постоянным спутником, приобретая хроническое рецидивирующее течение. Такой стоматит трудно лечить, он может вызывать различные осложнения и снижать качество жизни. Поэтому важно не оставаться с этой проблемой дома, а обратиться к специалисту, так как самолечение при рецидивирующих стоматитах не приведет к хорошим результатам.
Почему возникает рецидивирующий стоматит?
1.Неправильное лечение острого стоматита или отсутствие лечения приводит к хроническим изменениям в слизистой рта, образованию рубцов. Это создает условия для рецидивов. Неправильное лечение включает неверный выбор препаратов и незавершение курса терапии, особенно этиологической (антибиотики, противовирусные, противогрибковые препараты). Это может привести не только к хроническому стоматиту, но и к развитию лекарственной устойчивости возбудителя.
2.Сниженный иммунитет. Состояние слизистой рта отражает состояние иммунной системы, ведь стоматит – это иммунозависимая патология. Поэтому при рецидивирующих стоматитах следует обратиться к врачу для назначения дополнительных исследований, чтобы выявить патологии иммунитета.
Рекомендуемые лабораторные анализы при рецидивирующих стоматитах:
- общий анализ крови;
- биохимия крови;
- анализ ИФА на ВИЧ;
- кровь на сахар;
- RW (анализ на сифилис);
- исследование на TORCH-инфекции (герпес, цитомегаловирус и др.);
- иммуннограмма – исследование крови, отражающее состояние иммунных клеток;
- обследование на туберкулез – ФГ или рентгенограмма грудной клетки, проба Манту для детей;
- УЗИ живота;
- кал на яйца глист и кровь на антитела к гельминтам;
- другие виды исследований в зависимости от жалоб и сопутствующих патологий.
3.Аллергическая причина, такой стоматит будет развиваться каждый раз при контакте с аллергенами.
4.Инфекционные заболевания, снижающие иммунитет:
- грипп;
- детские инфекции;
- вирус Эпштейн-Барр и другие герпетические заболевания;
- туберкулез;
- сифилис и другие заболевания, передающиеся половым путем.
5.Нарушение гормонального баланса (половых гормонов, инсулина, гормонов щитовидной железы и др.).
6.Постоянная травма слизистой рта:
- неудобные протезы;
- курение;
- злоупотребление алкоголем;
- привычка употребления горячей, холодной, кислой, острой, грубой или твердой пищи, газированных напитков;
- неправильное использование зубной пасты и ополаскивателей для рта;
- использование зубочисток и т.д.
7.Заболевания зубов.
8.Стрессы, неправильный режим сна и отдыха, недостаток витаминов и микроэлементов.
Лечение рецидивирующих стоматитов должно быть направлено не только на само воспаление, но и на устранение причин, приведших к этому заболеванию:
- этиологическое лечение стоматита в зависимости от возбудителя. При хроническом стоматите важно определить, какая именно инфекция присутствует в ротовой полости и какие препараты на нее действуют. Для этого берут материал из измененных участков слизистых для посева с антибиотикограммой и вирусологического исследования;
- использование противовоспалительных и заживляющих препаратов;
- при рецидивах стоматита эффективна физиотерапия (электрофорез, УВЧ и др.);
- лечение иммунодефицитов: при ВИЧ требуется назначение антиретровирусной терапии, при других иммунодефицитах – иммуностимуляторы и иммуномодуляторы;
- лечение аллергий, ограничение контакта с аллергенами;
- употребление щадящих для слизистой продуктов и напитков;
- лечение зубов, коррекция протезов и решение других стоматологических проблем;
- лечение различных инфекционных заболеваний, заболеваний органов пищеварения, глистных инвазий, анемий и других соматических заболеваний;
- контроль уровня сахара в крови при сахарном диабете;
- соблюдение правил личной гигиены полости рта, рук, посуды, для детей – игрушек, сосок и других предметов обихода;
- при гормональном лечении бронхиальной астмы – промывание рта после использования гормоносодержащих ингаляторов;
- здоровый образ жизни;
- при авитаминозах – назначение комплекса витаминов с микроэлементами.
В большинстве случаев лечение заболеваний, снижающих иммунитет, и устранение факторов травмы слизистой оболочки способствует достижению стойкой ремиссии хронического стоматита как у детей, так и у взрослых.
Хронический грибковый стоматит, осложненный лейкоплакией – ороговение слизистой оболочки или сосочков языка («волосатый» язык) требует хирургического вмешательства.
При стоматите желательно обратиться к стоматологу или ЛОР-врачу, однако также можно лечиться и в домашних условиях.
Но есть показания к обязательному обращению к врачу, при которых домашнее самолечение может усугубить течение стоматита, ухудшить качество жизни и угрожать развитием тяжелых осложнений.
Когда нельзя лечить стоматит без консультации врача?
- Стоматит у детей до 1 года, особенно герпетический;
- стоматит на фоне ВИЧ-инфекции или других иммунодефицитов;
- любой хронический и рецидивирующий стоматит;
- если язвочки занимают более половины поверхности слизистой рта и языка;
- кровоточащие раны в ротовой полости;
- при гнойных заболеваниях зубов;
- при отсутствии положительного эффекта от самолечения в течение 3-х дней.
Схема лечения стоматитов:
- этиотропное лечение, направленное на возбудителя (противовирусные, антисептические и противогрибковые мази, гели, растворы для полоскания);
- противовоспалительные препараты для местного применения;
- заживляющие препараты для обработки полости рта;
- народные методы лечения.
Лечение должно быть комплексным, препараты для обработки полости рта необходимо комбинировать и распределять в течение суток. Важно обрабатывать ротовую полость после каждого приема пищи и напитков.
Подробнее о методах лечения стоматита можно узнать в соответствующем разделе статьи: Методы лечения стоматита.
Необходимо помнить, что любой лекарственный и растительный препарат может вызвать побочные реакции и аллергии, в таком случае необходимо срочно обратиться к врачу.
Также важно придерживаться правильного питания во время лечения стоматита.
Принципы диеты при стоматите:
- употреблять только теплую, комфортной температуры пищу, от горячего и ледяного стоит отказаться;
- отказаться от острой, кислой и горькой пищи, ограничить использование соли и сахара;
- воздержание от употребления алкоголя (хотя в быту ходит легенда, что при стоматите нужно полоскать рот водкой), алкоголь дополнительно травмирует слизистую и усугубляет течение заболевания;
- пища должна быть мягкой, желательно измельченной или термически обработанной, то есть нужно отказаться от твердых, целых и сырых овощей и фруктов, семечек, орехов, мяса и рыбы с мелкими костями, сухарей, твердого печенья и т.д.;
- предпочтительна жидкая, перетертая или мелко измельченная пища, желательно термически обработанная, практически без большого количества вкусовых добавок;
- в рационе должно быть полноценное содержание витаминов и микроэлементов;
- обильное питье необходимо для вымывания инфекции из ротовой полости и организма в целом, приветствуется очищенная вода, в том числе и минеральная, черный и зеленый чай, некислые соки и компоты.
Лизоплак
Состав:
Стоматологический гель для полоскания рта. Основной активный ингредиент – хлоргексидин. Также содержит: натрия борат, диметикон, натрия цитрат.
Способ применения:
Полоскать рот гелем 2-3 раза в день.
Себидин
Состав:
Таблетки содержат хлоргексидин и аскорбиновую кислоту (витамин C).
Способ применения:
Таблетки рассасывают во рту в течение дня с интервалом 2 часа.
Народные способы лечения стоматитов**
Настойка календулы
Для полоскания рта при стоматите используется спиртовая настойка календулы в пропорции 1:10. Цветы обладают антисептическими и противовоспалительными свойствами. Перед применением развести чайную ложку настойки в стакане воды. Полоскать рот 3-4 раза в день по рекомендации врача.
Спиртовую настойку календулы можно приобрести в аптеках в флаконах по 40 и 50 мл.
Настойка зверобоя
Зверобой применяется в народной медицине как вяжущее и обволакивающее средство. Для лечения стоматитов используется настойка цветков на 40% спирте в соотношении 1:5. Она доступна в аптеке в виде флаконов.
Для полоскания растворите 30-40 капель настойки зверобоя в стакане воды.
Настой листьев шалфея
Листья шалфея собирают летом. Это растение распространено в России, а готовое сырье можно купить в фильтр-пакетах. Листья обладают противовоспалительным эффектом и содержат дубильные вещества.
Для настоя залейте 1 столовую ложку высушенных листьев стаканом кипятка, остудите и процедите. Полоскать рот в течение дня по указаниям врача.
Кора дуба
Лечебные свойства имеет кора молодых ветвей дуба, собранная весной. Из нее готовят отвары в соотношении 1:10 (кора и вода) для полоскания рта в течение дня. Кору дуба можно купить в аптеках в высушенном виде.
Сок каланхоэ
Сок каланхоэ обладает противовоспалительными свойствами, очищает язвы от гноя и ускоряет заживление. Для лечения стоматитов сок используют в аппликациях: ватные или марлевые тампоны, смоченные соком, прикладывают к пораженным участкам. В аптеках доступен готовый спиртовой раствор сока каланхоэ.
Листья эвкалипта
Эвкалипт содержит антисептики.
Для отвара возьмите 10 г сухих листьев, залейте стаканом воды и прокипятите. После остывания процедите. Для полоскания разводите столовую ложку отвара в стакане воды. Высушенные листья также можно купить в аптеках.
При стоматитах можно использовать эвкалиптовое масло, разводя 10-15 капель в стакане воды.
Прополис
Прополис — продукт пчеловодства с противовоспалительными, антисептическими и заживляющими свойствами. В аптеках доступна 10% спиртовая настойка прополиса (в 80%-м этиловом спирте).
Для применения при стоматите 15 мл настойки разводят в половине или целом стакане воды. Полоскать рот 3-4 раза в день. Общая продолжительность лечения — 4-5 дней.
Когда назначаются антибиотики при стоматите? Какие антибактериальные препараты нужно принимать?
Антибиотики при стоматите назначаются только при наличии инфекции.
Лекарственные средства для инфекционных стоматитов:
- Бактериальная инфекция (например, стафилококковая или стрептококковая): используются антибактериальные препараты, подобранные по типу микроорганизмов;
- Инфекционный процесс из-за травматических, аллергических и других форм стоматита: также применяются антибактериальные средства;
- Кандидозный стоматит: для лечения назначаются противогрибковые препараты;
- Вирусные стоматиты (например, энтеровирусный или везикулярный): используются соответствующие противовирусные средства.
Самолечение антибиотиками при стоматите крайне не рекомендуется. Назначение должно делать врач после подтверждения инфекции и определения чувствительности микроорганизмов к препаратам.
Неправильное применение антибиотиков может снизить эффективность лечения и вызвать осложнения.
Можно ли использовать фурацилин при стоматите?
Раствор фурацилина активно применяется при стоматите благодаря антисептическим свойствам, которые помогают бороться с инфекциями и предотвращать их возникновение, особенно при травматическом и аллергическом стоматитах.
Фурацилин доступен в аптеке в двух формах:
- таблетки. Для приготовления раствора нужно растолочь две таблетки и растворить в стакане воды, тщательно перемешивая, так как фурацилин плохо растворяется.
- готовый раствор в флаконах.
Можно ли лечить зеленкой стоматит?
Зеленка не подходит для лечения стоматита:
- бриллиантовый зеленый не всегда эффективен при инфекционно-воспалительных процессах в слизистой рта;
- это средство может повредить слизистую оболочку;
- сейчас доступны более эффективные и безопасные альтернативы.
Заразен ли стоматит?
Вопрос стоматита важен для семей и детских коллективов. Все виды стоматита могут передаваться, так как их вызывают вирусы, грибки и бактерии. Способы передачи и уровень заразности зависят от типа стоматита. Рассмотрим, как передается каждый вид.
Таблица. Способы передачи стоматита и уровень заразности.
| Тип стоматита | Способы передачи | Уровень заразности |
| Вирусные стоматиты (кроме вируса простого герпеса): * ветряная оспа; * корь; * энтеровирусы; * грипп и парагрипп. | Основной способ: воздушно-капельный – вирусы выделяются при кашле, разговоре и чихании. Менее распространенные способы: * контактно-бытовой – через предметы обихода и грязные руки; * алиментарный – через пищу и воду (для энтеровирусов). | Очень высокая заразность для людей без специфического иммунитета (после перенесенного заболевания или вакцинации). |
| Стоматит, вызванный вирусом простого герпеса 1 и 2 типа, а также цитомегаловирусом | Контактно-бытовой способ – через посуду, грязные руки, предметы личной гигиены и поцелуи. Половой способ – при вагинальном, анальном и оральном контакте. Трансплацентарный путь от матери к ребенку и через грудное молоко. Воздушно-капельный – редко. | Высокая степень заразности, особенно для: * детей младшего возраста; * людей с ослабленным иммунитетом; * тех, кто не имеет антител к герпетической инфекции. |
| Везикулярный стоматит | Трансмиссивный способ – через укусы насекомых. | Для окружающих больной не заразен. |
| Бактериальный стоматит | Контактно-бытовой способ. | Средняя степень заразности, особенно для людей с повреждениями слизистой рта. |
| Грибковый (кандидозный) стоматит | Контактно-бытовой способ. | Средняя степень заразности, высокая контагиозность для: * детей младшего возраста; * людей с ослабленным иммунитетом; * тех, у кого есть травмы слизистой рта. |
| Травматический стоматит | — | Не заразен, но при инфицировании ранок уровень заразности зависит от типа возбудителя. |
| Аллергические стоматиты, дерматостоматиты, многоформные эритемы | — | Не заразны. |
| Афтозный стоматит | Возможен контактно-бытовой способ. | Низкая степень заразности, зависит от причин возникновения. |
Если стоматит выявлен в детском коллективе или семье, следует соблюдать меры личной гигиены и профилактики:
- регулярное мытье рук;
- ежедневный уход за полостью рта: чистка зубов, полоскания;
- использование отдельной посуды;
- временный отказ от поцелуев;
- для детей – избегать игр с чужими игрушками;
- использование отдельных полотенец, постельного белья и средств личной гигиены;
- дезинфекция предметов обихода, личной гигиены, посуды, белья и игрушек: кипячение, проглаживание, кварцевание, дезинфицирующие средства;
- поддержание иммунной системы в хорошем состоянии.
Как стоматит влияет на иммунитет и наоборот? Как протекает стоматит при ВИЧ?
Стоматит, особенно герпетический или грибковый, сигнализирует о проблемах с иммунной системой. Язвы в ротовой полости могут указывать на серьезные заболевания, такие как ВИЧ, врожденные иммунодефициты, онкологические болезни и туберкулез. Повторяющиеся стоматиты требуют особого внимания.
Снижение иммунитета часто приводит к герпетическому стоматиту через неделю после гриппа, а кандидозный может развиться уже через день после антибиотиков.
Риск инфекционных стоматитов выше у людей с ослабленным иммунитетом. Дети и пожилые люди чаще страдают стоматитом из-за незрелой или «усталой» иммунной системы. Дети до 5 лет и люди старше 60 лет наиболее подвержены стоматиту.
На развитие стоматита влияют не только иммунные факторы. Некоторые виды стоматита могут ослаблять защитные функции организма. Например, герпес и грибки ослабляют иммунитет, а бактериальный стоматит нарушает микрофлору ротовой полости, что может привести к воспалению лимфатических узлов.
Таким образом, стоматит связан с иммунной системой.
Примеры взаимосвязи стоматита и иммунитета у пациентов с ВИЧ:
- Стоматит постоянно присутствует у ВИЧ-инфицированных, имеет хроническое течение с частыми обострениями;
- Состояние слизистой рта может указывать на необходимость обследования на ВИЧ;
- Часто наблюдается хронический афтозный стоматит;
- У людей с ВИЧ стоматит обычно поражает значительные участки слизистой рта, языка и губ;
- Часто встречаются сочетанные формы стоматитов: грибковые, герпетические и бактериальные;
- Цитомегаловирусный стоматит при ВИЧ может привести к летальному исходу, даже при антиретровирусной терапии;
- У таких пациентов характерно некротическое и язвенное поражение слизистой рта и десен, что может привести к потере зубов и поражению костных структур челюстей.
Изменения в ротовой полости, при которых рекомендуется обследование на ВИЧ:
- Генерализованное поражение всех структур ротовой полости (щек, неба, языка, десен, зубов);
- Хронический стоматит, не поддающийся стандартному лечению;
- Лейкоплакия – ороговение слизистой рта;
- «Волосатый» язык – ороговение сосочков языка из-за грибковой флоры;
- Кондиломы и папилломы в ротовой полости;
- Опоясывающий герпес в ротовой полости – герпес Зостер, проявляющийся пузырьковыми высыпаниями и сильной болью;
- Саркома Капоши – злокачественное образование, проявляющееся в ротовой полости.
Эти заболевания не являются 100% диагнозом ВИЧ, но в 75% случаев анализ на ВИЧ дает положительный результат.
Лечение стоматитов у ВИЧ-позитивных требует длительного подхода, направленного на устранение возбудителя. Однако без антиретровирусной терапии (ВААРТ) этиотропное лечение неэффективно. При адекватной ВААРТ стоматит часто проходит в течение месяца.
Для профилактики стоматитов у ВИЧ-позитивных рекомендуется профилактический прием Флуконазола, Ко-тримоксазола и Азитромицина.
Дети раннего возраста чаще страдают стоматитом из-за особенностей иммунной системы и привычки пробовать все на вкус. У детей старше 5 лет стоматит протекает аналогично взрослым.
Виды стоматитов, распространенные у детей до 5 лет:
- Вирусный герпетический стоматит – часто встречается у детей от 1 до 5 лет, формируя антитела к вирусу простого герпеса. Повторные высыпания возможны только при снижении защитных сил.
- Кандидозный стоматит – характерен для детей до 3 лет, связан с нарушением микрофлоры рта и попаданием грибов через соски и молоко.
- Бактериальный стоматит – чаще встречается у детей старше 1 года, развивается на фоне травматического стоматита.
Острые формы стоматита характерны для детей. Хронический стоматит чаще развивается у детей с ослабленным иммунитетом.
Признаки стоматита у детей:
- Заболевание начинается остро;
- Малыш капризничает, может кричать без видимой причины;
- Нарушается сон;
- Ребенок может быть вялым;
- Повышенное слюнотечение;
- Температура может повышаться до 40°C;
- Отказ от еды;
- Частый жидкий стул, особенно при грибковом стоматите;
- Возможна рвота;
- Увеличение лимфатических узлов на шее.
Родители могут не сразу заметить стоматит. Для осмотра ротовой полости нужно использовать ложечку или шпатель и тщательно проверить все поверхности.
Главная особенность стоматита у детей до 5 лет – выраженная интоксикация (высокая температура, рвота, слабость), которой может не быть у взрослых.
Изменения на слизистых аналогичны взрослым, их характер зависит от типа стоматита. У детей с хорошим иммунитетом язвочка может быть единственной и небольшой, но интоксикация может быть выраженной.
При стоматите поражается слизистая оболочка, что может привести к кровоточивости. Для герпетического стоматита характерно образование пузырьков, которые вскрываются, образуя язвы. При грибковом стоматите образуется налет, после снятия которого видна кровоточащая поверхность.
Кровоточивость указывает на тяжесть стоматита и часто сопровождается неприятным запахом изо рта.
Лечение стоматита с кровоточивостью включает средства, укрепляющие стенки сосудов и кровоостанавливающие препараты.
Выбор препаратов для лечения стоматитов у детей ограничен из-за риска побочных эффектов. У детей до 2 лет не рекомендуются спреи для обработки полости рта.
Медикаментозные средства и обработка полости рта при стоматите у детей до 5 лет:
| Вид стоматита | Препарат | Как применяется? |
|---|---|---|
| Герпетический стоматит: | Герпетический стоматит у младенцев требует госпитализации. | |
| У детей старше 1 года и до 5 лет: | Ацикловир мазь 5% | Наносить на пораженные участки каждые 4-5 часов. |
| Противовирусные препараты: | Ацикловир таблетки по 200 мг | По ½ таблетки для детей 1-2 лет и по 1-2 таб. для детей старше 2 лет. |
| Отвары трав: | Ромашка, шалфей, кора дуба, календула. | Обрабатывать полость рта каждые 4-5 часов. |
| Заживляющие средства: | Масло шиповника, облепихи, чайного дерева, эвкалипта. | Обрабатывать полость рта 2 раза в сутки. |
| Обезболивающие препараты: | Дентол Беби, Лидокаин 1%, Калгель. | Обрабатывать не более 6 раз в сутки. |
| Кандидозный стоматит: | Раствор пищевой соды. | 1 ч. ложка на 100 мл воды, обрабатывать после еды. |
| Кандид раствор (клотримазол) | 10-20 капель на ватный тампон, обрабатывать 3 раза в сутки. | |
| Холисал | Наносить 2-3 раза в сутки. | |
| Противогрибковые препараты внутрь: | Флуконазол (сироп, таблетки): 6-12 мг на 1 кг массы тела в сутки. | |
| Нистатин: | Дозировка в зависимости от возраста. | |
| Фурацилин | 1 таблетка на 100 г кипятка, обрабатывать 2-3 раза в сутки. | |
| Метиленовый синий | Обрабатывать 1-2 раза в сутки. | |
| Линекс | 1 капсулу препарата засыпать в рот ребенку. | |
| Отвар ромашки | 1 ст. ложка на 200 мл кипятка, настаивать 15 минут. |
Все процедуры проводятся после еды и за 1-2 часа до следующего приема пищи.
Используйте стерильные ватные тампоны и небольшое количество средства. Обрабатывайте все поверхности ротовой полости, начиная со здоровых участков.
Лечение стоматита должно быть комплексным и включать противовоспалительные и заживляющие средства. Важно правильно распределить все процедуры в течение суток.
Принципы диеты при стоматите:
- Употреблять только теплую пищу;
- Отказаться от острой, кислой и горькой пищи;
- Избегать алкоголя;
- Пища должна быть мягкой и термически обработанной;
- Обильное питье для вымывания инфекции.
Препараты, не рекомендуемые для лечения стоматита у детей до 5 лет:
- Стоматидин – с 4 лет;
- Тетраборат натрия – с 18 лет;
- Гексорал – с 6 лет;
- Метрогил Дента – до 14 лет;
- Борная кислота 2% – до года;
- Йодовидон – до 8 лет;
- Биопарокс – до 2,5 лет;
- Ингалипт – старше 3 лет;
- Солкосерил – с 18 лет;
- Хлорофиллипт – до 10 лет;
- Раствор Люголя – до 5 лет;
- Холисал – старше 1 года.
Как долго лечится стоматит у детей?
Острый стоматит лечится от 5 до 14 дней, хронический может продолжаться месяцами, особенно при иммунодефиците.
Как вылечить стоматит у детей старше 5 лет?
Лечение аналогично взрослым, за исключением противопоказанных препаратов.
Температура при стоматите – распространенное явление, особенно у детей. Высокая температура чаще наблюдается при острых формах стоматита.
Воспаление нарушает целостность слизистой, что приводит к образованию язв. Температура – защитная реакция организма, направленная на уничтожение инфекционных агентов.
Температура может колебаться от 37°C до 40°C. При температуре 38,5°C и выше, при нарушении общего состояния, необходимо принимать меры.
- При температуре 38,5°C и выше;
- При температуре 38°C и выше, если ранее были фебрильные судороги;
- Ребенку с любой температурой, если общее состояние нарушено.
Температуру до 38,5°C не следует сбивать, так как она помогает организму бороться с заболеванием.
- Прием жаропонижающих препаратов в возрастной дозировке;
- Обработка ротовой полости;
- Обильное питье;
- Холодный компресс на область висков;
- При отсутствии эффекта – вызвать скорую помощь.
Интересно!После обработки полости рта температура может временно снизиться, но вскоре может снова повыситься.
Сколько дней держится температура при стоматите?
Температура может держаться 2-3 дня при легком течении и до 10 дней при тяжелом стоматите.
Кандидоз полости рта, или молочница, часто встречается у новорожденных. Грибы передаются ребенку через соски, бутылки и пустышки.
При легком течении кандидоза родители могут не заметить налет. Характерным симптомом является покраснение и изъязвление на месте снятого налета.
На начальном этапе молочницу можно вылечить раствором пищевой соды. Если налет распространяется и общее состояние ребенка ухудшается, необходимо обратиться к врачу.
Молочница может привести к осложнениям:
- Хронический кандидоз полости рта;
- Дисбиоз кишечника;
- Ослабление иммунитета;
- Распространение грибов по организму.
Поэтому молочницу необходимо лечить своевременно.
Зубные причины стоматита:
- Прорезывание зубов: воспаление десен увеличивает риск стоматита.
- Зубной кариес: острые края зубов травмируют слизистую.
- Зубной камень: хронический очаг инфекции.
- Удаление зуба: рана может легко инфицироваться.
- Зубное протезирование: неправильный протез может травмировать слизистую.
- Заболевания десен: могут вызвать стоматит.
- Использование жестких зубных щеток и загрязненных предметов.
Каждый человек должен следить за состоянием зубов и посещать стоматолога дважды в год.
Когда нельзя лечить стоматит без консультации врача?
- Стоматит у детей до 1 года;
- Стоматит на фоне ВИЧ и других иммунодефицитов;
- Хронический и рецидивирующий стоматит;
- Если язвы занимают более половины поверхности рта;
- Кровоточащие раны;
- При отсутствии эффекта от самолечения в течение 3 дней.
Схема лечения стоматитов:
- Этиотропное лечение, направленное на возбудителя;
- Противовоспалительные препараты;
- Заживляющие препараты;
- Народные методы лечения.
Лечение должно быть комплексным, препараты необходимо комбинировать и распределять в течение суток.
Важно помнить, что любой препарат может вызвать побочные реакции. Также следует придерживаться правильного питания во время лечения стоматита.
Стоматит у грудничков (до 1 года) и детей раннего возраста (возрастом от 1 года до 5 лет), каковы особенности, признаки и симптомы?
Дети раннего и дошкольного возраста чаще страдают от стоматита из-за особенностей иммунной системы и привычки пробовать всё на вкус, игнорируя гигиену рук. У малышей до 5 лет стоматит имеет свои характерные черты.
У детей старше 5 лет стоматит проявляется так же, как и у взрослых.
Наиболее распространенные виды стоматитов у детей до 5 лет:
1. Вирусный герпетический стоматит – чаще всего встречается у детей от 1 до 5 лет, когда иммунная система впервые сталкивается с герпетической инфекцией. В результате формируются антитела (иммуноглобулины G) к вирусу простого герпеса, что защищает от повторных проявлений. Вирус остается в организме в неактивном состоянии. Рецидивы могут возникать при ослаблении иммунитета, например, после гриппа или стресса. У младенцев герпетический стоматит может протекать тяжело, с высыпаниями за пределами ротовой полости, что может привести к осложнениям, включая поражение центральной нервной системы.
2. Кандидозный или грибковый стоматит – чаще наблюдается у детей от рождения до 3 лет. Возникает из-за нарушения баланса микрофлоры ротовой полости, связанного с недостатком «полезных» бактерий и попаданием грибов через соски, пустышки и молоко. У новорожденных микрофлора только формируется, а молоко создает условия для роста грибов. Часто кандидозный стоматит развивается после курса антибиотиков.
3. Бактериальный стоматит – чаще встречается у детей старше 1 года и развивается на фоне травматического стоматита. Слизистая оболочка рта у малышей тонкая и чувствительная, легко травмируется от температурных воздействий и игрушек. Бактерии всегда присутствуют в ротовой полости, но при повреждениях могут вызвать бактериальный язвенный стоматит.
Детям также характерны острые формы стоматитов. Хронический стоматит может развиваться у детей с ослабленным иммунитетом и в семьях, где не соблюдаются правила гигиены.
Признаки и симптомы стоматита у детей.
Младшие дети не могут сообщить о своих недомоганиях. Родители часто не сразу понимают, что у малыша стоматит, и изменения в ротовой полости могут быть замечены лишь через несколько дней после начала заболевания.
Начало стоматита, как заподозрить у малыша это заболевание?
- Заболевание может начаться резко;
- ребенок становится капризным, может плакать без причины;
- наблюдаются проблемы со сном;
- малыш выглядит вялым и апатичным;
- он может засовывать пальцы в рот и проявлять беспокойство;
- отмечается повышенное слюнотечение;
- температура может повышаться до 40°C;
- ребенок отказывается от пищи и капризничает во время еды;
- дети, использующие соски, могут неожиданно отказаться от них;
- возможны частые жидкие испражнения, особенно при грибковом стоматите;
- может возникать рвота;
- при тяжелом течении болезни возможно увеличение лимфатических узлов на шее.
Мамы часто связывают эти симптомы с прорезыванием зубов. Без осмотра ротовой полости не обойтись.
Как выявить стоматит в ротовой полости у ребенка?
Лучше всего обратиться к педиатру, но мама может самостоятельно заметить язвы во рту у ребенка. Для этого ей понадобится ложечка или одноразовый шпатель (их можно купить в аптеке). Осмотр полости рта следует проводить в следующем порядке:
- все стороны языка;
- твердое небо – верхняя часть ротовой полости;
- мягкое небо – область под языком;
- внутренние поверхности щек;
- внутренние поверхности губ и десен;
- слегка надавливая на язык, осмотреть небные дужки и заднюю стенку глотки (горло). Язвы стоматита могут находиться и на миндалинах.
Осмотр лучше проводить при хорошем освещении, используя небольшой фонарик.
Эта процедура может быть неприятной для малыша, поэтому важно отвлечь его. Если отвлечь не удается, пусть немного поплачет – во время крика оценить состояние слизистой будет проще.
Ключевая особенность стоматита у детей младше 5 лет – выраженная интоксикация (высокая температура, рвота, слабость, отказ от пищи и другие симптомы), которая может отсутствовать у взрослых.
Как выглядит стоматит у детей?
Изменения на слизистых оболочках рта у детей схожи с таковыми у взрослых, но их проявления зависят от типа стоматита. Подробности можно найти в разделе Типы стоматита в зависимости от причин.
Следует быть внимательными, так как у детей с крепким иммунитетом язвочка может быть единственной и небольшой, что затрудняет ее обнаружение. Однако симптомы интоксикации могут быть выраженными.
Фото: герпетический стоматит у ребенка — язвочка на внутренней поверхности слизистой верхней губы.
Фото: кандидозный стоматит у ребенка — изменения в основном затрагивают поверхность языка, указывая на грибковый глоссит.
Фото: стрептодермия кожи лица и бактериальный стоматит у ребенка, вызванный стрептококковой инфекцией.
Могут ли язвочки при стоматите у ребенка кровоточить?
Стоматит — это воспаление слизистой оболочки ротовой полости, особенно у детей, где она тонкая и чувствительная. При тяжелом течении возможны повреждения слизистой и вовлечение кровеносных сосудов, что приводит к их кровоточивости.
При герпетическом стоматите образуются пузырьки, которые вскрываются, оставляя афты — кровоточащие язвы. Грибковый стоматит проявляется белым или серым налетом на слизистой, после удаления которого открывается кровоточащая поверхность. Кровоточивость десен также часто встречается.
Кровоточивость указывает на серьезность заболевания и может сопровождаться неприятным запахом изо рта.
Лечение стоматита с кровоточивостью основано на тех же принципах, что и при отсутствии этого симптома. Дополнительно можно использовать средства для укрепления стенок сосудов и препараты, останавливающие кровотечение, такие как витамины А, Е, С, Викасол, кальция глюконат и аминокапроновая кислота.
Лечение стоматита у детей возрастом до 5 лет. Как лечить стоматит у детей до 1 года?
В детском возрасте выбор медикаментов для лечения стоматитов ограничен из-за риска побочных эффектов и аллергий, а также невозможности полоскания. Для детей младше 2 лет не рекомендуются спреи, так как они могут вызвать спазмы гортани или бронхов.
Медикаменты и обработка ротовой полости при стоматите у детей до 5 лет.
| Тип стоматита | Препарат | Способ применения* | |
| Герпетический (вирусный) стоматит: * для детей до года | Герпетический стоматит у младенцев опасен из-за возможных осложнений, таких как вирусный энцефалит. Обычно требуется госпитализация для интенсивной терапии (инъекции, капельницы). | ||
| * для детей старше 1 года и до 5 лет | Противовирусные средства:Ацикловир мазь 5%,Ацикловир таблетки по 200 мг. | Мазь: Наносить тонким слоем на пораженные участки каждые 4-5 часов. Таблетки: Половина таблетки для детей 1-2 лет, 1-2 таблетки для детей старше 2 лет. | |
| Отвары трав: * ромашка; * шалфей; * кора дуба; * календула.Травяные настойки: * Ротокан; * Стоматофит.Заживляющие средства: * масло шиповника; * масло облепихи; * масло чайного дерева; * масло эвкалипта. | Обрабатывать ротовую полость каждые 4-5 часов, комбинируя средства. | ||
| Витамины: * масляные витамины А и Е; * раствор для инъекций витамина В12. | Смазывать слизистую рта дважды в день. | ||
| Обезболивающие препараты: * Дентол Беби; * мазь Лидокаин 1%; * Калгель. | Обрабатывать не более 6 раз в сутки и не чаще, чем раз в час. | ||
| Кандидозный (грибковый) стоматит: | Раствор пищевой соды. | 1 ч. ложка соды на 100 мл воды. Обрабатывать после каждого приема пищи. Можно использовать для обработки сосок, бутылочек и игрушек. | |
| Кандид раствор (клотримазол) | 10-20 капель на стерильный ватный тампон, обрабатывать трижды в день. | ||
| Холисал | Наносить полоску мази длиной 5 мм на слизистую рта 2-3 раза в день. | ||
| Противогрибковые препараты внутрь, показания: * Тяжелое течение грибкового стоматита; * распространение инфекции; * отсутствие положительных результатов местной терапии в течение 3 дней; * иммунодефицитные состояния. | Флуконазол (сироп, таблетки): 6-12 мг на 1 кг массы тела в сутки. С осторожностью назначается детям до месяца. Нистатин: до 1 года – 100 000 ЕД 3-4 раза в сутки, 1-3 года – 250 000 ЕД 3-4 раза в сутки, 3-5 лет – 250 000 – 500 000 ЕД 3-4 раза в сутки. | ||
| Фурацилин | 1 таблетка на 100 г кипятка, остудить и обрабатывать ротовую полость 2-3 раза в день. | ||
| Винилин | Для наружного применения 2-3 раза в день. | ||
| Метиленовый синий, водный раствор | Обрабатывать 1-2 раза в день всю ротовую полость. | ||
| Линекс | 1 капсулу препарата раскрыть и засыпать в рот ребенку. «Хорошие» бактерии будут бороться с грибками. | ||
| Отвар ромашки | 1 ст. ложку травы на 200 мл кипятка, настаивать 15 минут на водяной бане. | ||
| * Отвары трав; * Заживляющие масла; * Витамины. |
*Все процедуры обработки ротовой полости проводятся после еды и за 1-2 часа до следующего приема пищи и воды.
Для обработки используются стерильные ватные тампоны и небольшое количество средства. Обрабатываются все поверхности ротовой полости, начиная со здоровых участков. Движения должны быть аккуратными. Использование марлевых тканей и бинтов недопустимо, так как это может повредить слизистую.
Лечение стоматита должно быть комплексным и включать противовоспалительные и заживляющие процедуры. Важно равномерно распределить все процедуры в течение суток. Обработка ротовой полости должна проводиться после приема пищи и сладких напитков.
Диета при лечении стоматита должна быть щадящей, исключая раздражающие продукты и напитки.
Препараты, противопоказанные для лечения стоматита у детей до 5 лет:
- Стоматидин – с 4 лет;
- Тетраборат натрия (Бура), Бикармит – с 18 лет;
- Гексорал – с 6 лет;
- Метрогил Дента – до 14 лет;
- Борная кислота 2% – до года;
- Йодовидон – до 8 лет;
- Биопарокс – до 2,5 лет;
- Ингалипт, Тартум Верде – старше 3 лет;
- Солкосерил – с 18 лет;
- Хлорофиллипт масляный раствор – до 10 лет;
- Раствор Люголя на глицерине – до 5 лет, с осторожностью для старших детей;
- Холисал – старше 1 года;
- Полоскание ротовой полости – затруднено в детской практике.
Как долго лечится стоматит у детей?
Острый стоматит у детей может лечиться от 5 до 14 дней, хронический – месяцами, особенно при иммунодефиците (например, при ВИЧ).
Как вылечить стоматит у детей старше 5 лет?
Лечение стоматитов у детей старше 5 лет аналогично лечению у взрослых, за исключением противопоказанных препаратов.
Температура при стоматите у ребенка и взрослого, какая она бывает, сколько дней длится и как ее сбивать?
Повышение температуры тела при стоматите — распространенное явление. Этот симптом зависит от возраста пациента: у младших детей температура выше и дольше сохраняется. Высокая температура чаще наблюдается при острых формах стоматита, тогда как при хроническом варианте она может оставаться в пределах нормы.
У малышей стоматит всегда сопровождается значительным повышением температуры, достигая порой 40°C, что вызывает беспокойство у родителей и детей.
Почему повышается температура тела при стоматите?
Воспаление при стоматите повреждает слизистую оболочку ротовой полости, особенно у детей. Это проявляется язвами, афтами, герпетическими пузырьками и налетами. Жизнедеятельность инфекционных агентов и распад тканей приводят к попаданию токсинов в кровь. Повышение температуры — защитная реакция организма для уничтожения патогенов. В этот период иммунная система активизируется, направляя клетки в зону воспаления.
Однако токсины могут нарушить терморегуляцию, что вызывает значительное повышение температуры. В этом случае защитная функция может нанести вред, затрагивая почки, печень, кровь и центральную нервную систему. Поэтому важно следить за температурой тела и при необходимости принимать меры для ее снижения.
До каких цифр поднимается температура тела при стоматите?
От 37°C до 40°C.
У взрослых чаще наблюдается субфебрильная температура (до 38°C), у детей она может быть выше.
Повышение температуры до незначительных значений часто является первым признаком стоматита, который может проявиться до появления высыпаний на слизистых оболочках рта. Уровень температуры не всегда соответствует количеству и распространенности высыпаний. Например, у ребенка младше трех лет температура может достигать 40°C, даже при наличии всего одного элемента сыпи в рту.
Когда нужно сбивать температуру при стоматите?
- При температуре 38,5°C и выше;
- при температуре 38°C и выше, если у пациента были фебрильные судороги или заболевания нервной системы;
- ребенку с любой температурой, если его состояние ухудшилось (он слабый, вялый, апатичный, испытывает головные боли; у грудничков наблюдается выраженное набухание большого родничка).
Температура до 38,5°C помогает организму бороться с болезнью, поэтому не стоит ее сбивать.
Как сбивается температура тела при стоматите?
- Жаропонижающие средства в соответствующей возрастной дозировке (Парацетамол, Ибупрофен, Анальгин) – в виде сиропов, таблеток или ректальных свечей;
- Уход за ротовой полостью;
- Обтирание тела водой комнатной температуры и снятие одежды с больного (даже при ознобе нельзя укрывать и согревать);
- обеспечить обильное питье;
- детям можно сделать клизму (микроклизма объемом 50-100 мл с кипяченой водой комнатной температуры);
- Холодный компресс на область правого подреберья и висков;
- Если меры не помогают, следует вызвать скорую помощь. Не оставайтесь дома, если у ребенка на фоне высокой температуры возникают фебрильные судороги (подергивание конечностей, напряжение мышц лица, выгибание тела, потеря сознания и другие признаки судорожного синдрома).
Интересный факт!После обработки ротовой полости специальными средствами высокая температура может временно снизиться до нормального уровня, но вскоре она может снова повыситься.
Как долго может держаться температура при стоматите?
Температура может сохраняться 2-3 дня при легком течении заболевания и до 10 дней при тяжелом стоматите.
Молочница во рту – это стоматит? Ее можно не лечить?
Молочница, или кандидоз слизистых оболочек, включает кандидозный стоматит.
Кандидоз ротовой полости получил название от слова «молоко», так как часто встречается у младенцев, питающихся грудным молоком или смесями. Этот вид кандидоза выглядит как творожистая масса, а запах изо рта напоминает кисломолочные продукты. Молоко создает благоприятные условия для размножения патогенных грибов.
Грибы могут передаваться ребенку через соски матери, бутылочки и пустышки. У новорожденных инфекция может возникнуть от матери при прохождении через родовые пути.
На начальной стадии кандидоза родители могут не заметить белесоватый налет на языке и небе, так как он напоминает остатки молочной пищи. Общее состояние ребенка может оставаться стабильным. Основной признак молочницы — покраснение и язвы на месте снятого налета.
На этом этапе кандидоз можно вылечить раствором пищевой соды, обрабатывая слизистую рта, соски грудных желез, бутылочки и соски. Если налет распространяется по всей полости рта, появляются кровоточащие раны, а общее самочувствие ребенка ухудшается, необходимо обратиться к врачу-стоматологу или ЛОРу.
Молочница может привести к осложнениям:
- хронический кандидоз ротовой полости, возможны лейкоплакия и «волосатый» язык;
- дисбиоз кишечника (поносы, запоры, нарушение всасывания питательных веществ, дефицит массы тела, рахит);
- дисбиоз влагалища у девочек (молочница);
- ослабление местного и общего иммунитета, частые инфекции;
- аллергические реакции;
- распространение грибов за пределы ротовой полости в кровоток, что может привести к грибковой пневмонии, сепсису, менингоэнцефалиту, особенно опасно при иммунодефицитах и требует длительного лечения.
Поэтому важно своевременно лечить молочницу ротовой полости. Лечение должно быть комплексным. Если кандидоз плохо поддается терапии противогрибковыми и противовоспалительными средствами, стоит обратить внимание на состояние иммунной системы. Более подробно о лечении кандидозного стоматита можно узнать в разделе статьи: Методы лечения стоматита.
Стоматит и заболевания зубов, как эти заболевания влияют друг на друга? Как лечить зубы при стоматите?
Зубы играют ключевую роль в ротовой полости, и их состояние влияет на здоровье слизистой оболочки. Эта взаимосвязь наблюдается с раннего возраста, начиная с прорезывания молочных зубов и до старости, когда многие используют протезы.
Зубные факторы, способствующие стоматиту:
1. Прорезывание зубов: У новорожденных зубы находятся в стадии зачатков, и по мере роста они прорезываются, травмируя десны. Это может вызвать воспаление и увеличить риск стоматита. Проблема касается не только детей; у молодежи часто возникают стоматиты при появлении «зубов мудрости».
Интересный факт!Во время прорезывания зубов у детей может повышаться температура, возникать насморк и заболевания дыхательных путей или кишечника. Это не всегда связано с зубами; воспаленные десны могут стать «воротами» для инфекций, ослабляя иммунитет. Усиленное кровообращение в челюстях и носовой полости может привести к вазомоторному риниту. Важно лечить все эти состояния, а не ждать, пока зубы прорежутся.
2. Зубной кариес – источник хронической инфекции. Разрушающиеся зубы имеют острые края, которые могут травмировать слизистую рта. Частое использование зубочисток также может вызвать стоматит.
3. Зубной камень – это не только эстетическая проблема, но и хронический очаг инфекции с множеством бактерий и грибов. Он может отслаивать десну от зуба, образуя карманы, идеальные для воспаления.
4. Удаление зуба – после процедуры остается рана, которая может легко инфицироваться, что приводит к распространению воспаления и развитию стоматита, чаще всего бактериального.
5. Зубное протезирование. Правильно подобранные протезы не вызывают проблем, но на практике они могут давить на десны и травмировать слизистую, что приводит к травматическому, язвенному или афтозному стоматиту.
6. Заболевания десен – гингивит и пародонтит вызывают воспаление десен, которое может распространиться на всю ротовую полость и вызвать стоматит.
7. Использование жестких или загрязненных зубных щеток может травмировать слизистую рта, что делает ее уязвимой для инфекций, вирусов и грибов, что может привести к стоматиту.
Каждый должен заботиться о состоянии своих зубов, посещая стоматолога дважды в год и проводя санацию, что поможет снизить риск стоматитов.
Но как лечить зубы при наличии стоматита? Это может быть болезненно, и существует риск занесения инфекции в ткани зуба. Стоматолог сначала назначит противовоспалительное лечение стоматита, а затем перейдет к другим процедурам.
После лечения зубов, особенно после хирургических вмешательств, важно следить за состоянием полости рта. Стоматолог может назначить полоскания, мази, гели и примочки с антисептиками и противовоспалительными средствами, а в некоторых случаях, например, после удаления зуба, рекомендовать антибиотики. Это значительно снижает риск стоматита.
Ребенок или взрослый часто болеет стоматитом, каковы причины и что делать?
Для некоторых людей стоматит становится хронической проблемой с рецидивами. Лечение такого стоматита сложно, может вызывать осложнения и ухудшает качество жизни. Важно обратиться к специалисту, так как самолечение не приведет к положительным результатам.
Причины возникновения рецидивирующего стоматита
1.Неправильное или отсутствие лечения острого стоматита. Это может привести к хроническим воспалительным процессам и рубцам в слизистой оболочке рта, создающим условия для повторных случаев стоматита. Неверный выбор медикаментов или незавершение курса терапии может вызвать хронический стоматит и лекарственную устойчивость возбудителя.
2.Сниженный иммунитет. Состояние слизистой рта отражает здоровье иммунной системы, так как стоматит является иммунозависимым заболеванием. При рецидивирующих стоматитах следует обратиться к врачу для дополнительных исследований.
Рекомендуемые лабораторные анализы:
- общий анализ крови;
- биохимический анализ крови;
- анализ ИФА на ВИЧ;
- анализ крови на уровень сахара;
- RW (анализ на сифилис);
- исследование на TORCH-инфекции (герпес, цитомегаловирус и другие);
- иммуннограмма – анализ состояния иммунных клеток;
- обследование на туберкулез – ФГ или рентгенография органов грудной клетки, проба Манту для детей;
- УЗИ органов брюшной полости;
- анализ кала на яйца глист и кровь на антитела к гельминтам;
- другие исследования в зависимости от симптомов и сопутствующих заболеваний.
3.Аллергическая реакция. Стоматит проявляется при контакте с аллергенами.
4.Инфекционные заболевания, ослабляющие иммунитет:
- грипп;
- детские инфекции;
- вирус Эпштейн-Барр и другие герпетические инфекции;
- туберкулез;
- сифилис и другие заболевания, передающиеся половым путем.
5.Нарушение гормонального баланса. Это может касаться половых гормонов, инсулина, гормонов щитовидной железы и других.
6.Постоянные травмы слизистой рта:
- неудобные протезы;
- курение;
- злоупотребление алкоголем;
- привычка есть горячую, холодную, кислую, острую, грубую или твердую пищу, а также пить газированные напитки;
- неправильное использование зубной пасты и ополаскивателей;
- использование зубочисток.
7.Заболевания зубов.
8.Стрессы, неправильный режим сна и отдыха, нехватка витаминов и микроэлементов.
Лечение рецидивирующих стоматитов должно быть направлено на устранение воспаления и выявление причин заболевания:
- Этиологическое лечение в зависимости от возбудителя. Важно определить инфекцию в ротовой полости и препараты, действующие на нее. Для этого берут материал из пораженных участков для посева и вирусологического исследования;
- использование противовоспалительных и заживляющих средств;
- физиотерапия (электрофорез, УВЧ и другие);
- Лечение иммунодефицитов. При ВИЧ назначают антиретровирусную терапию, при других иммунодефицитах – иммуностимуляторы и иммуномодуляторы;
- Лечение аллергий, ограничение контакта с аллергенами;
- употребление щадящих для слизистой продуктов и напитков;
- Лечение зубов, коррекция протезов и решение стоматологических проблем;
- Лечение инфекционных заболеваний, заболеваний органов пищеварения, глистных инвазий, анемий и других соматических заболеваний;
- Контроль уровня сахара в крови при сахарном диабете;
- Соблюдение правил личной гигиены полости рта, рук, посуды, а для детей – игрушек и сосок;
- При гормональном лечении бронхиальной астмы – промывание рта после использования ингаляторов с гормонами;
- ведение здорового образа жизни;
- При авитаминозах – назначение комплекса витаминов и микроэлементов.
В большинстве случаев лечение заболеваний, ослабляющих иммунитет, и устранение факторов, травмирующих слизистую, способствует стойкой ремиссии хронического стоматита у детей и взрослых.
Хронический грибковый стоматит, осложненный лейкоплакией, требует хирургического вмешательства.
Как быстро вылечить стоматит у детей и взрослых в домашних условиях?
При стоматите рекомендуется обратиться к стоматологу или ЛОР-врачу, однако лечение в домашних условиях может быть эффективным.
Существуют ситуации, когда необходимо немедленно обратиться к специалисту, так как самолечение может ухудшить состояние и привести к осложнениям.
Когда нельзя заниматься самолечением стоматита?
- Стоматит у детей младше 1 года, особенно герпетической формы;
- Стоматит на фоне ВИЧ-инфекции или других иммунных нарушений;
- Хронический или рецидивирующий стоматит;
- Язвы, занимающие более половины слизистой оболочки рта и языка;
- Кровоточащие раны в ротовой полости;
- Гнойные инфекции зубов;
- Отсутствие положительного результата от самолечения в течение 3 дней.
Схема лечения стоматитов:
- Этиотропное лечение для устранения возбудителя (применение противовирусных, антисептических и противогрибковых мазей, гелей, растворов для полоскания);
- Противовоспалительные препараты для местного использования;
- Заживляющие средства для обработки ротовой полости;
- Народные методы лечения.
Лечение должно быть комплексным, препараты для обработки рта следует комбинировать и использовать после каждого приема пищи и напитков.
Более подробно о методах лечения стоматита можно узнать в разделе статьи: Методы лечения стоматита.
Необходимо помнить, что медикаменты и растительные препараты могут вызывать побочные эффекты и аллергические реакции, в таком случае следует обратиться к врачу.
Также важно соблюдать правильное питание во время лечения стоматита.
Принципы диеты при стоматите:
- Употреблять только теплую пищу, избегая горячей и холодной;
- Отказаться от острой, кислой и горькой пищи, ограничить соль и сахар;
- Воздержаться от алкоголя, так как он может усугубить раздражение слизистой рта;
- Пища должна быть мягкой, предпочтительно измельченной или термически обработанной, избегать твердых, целых и сырых овощей и фруктов, семечек, орехов, мяса и рыбы с мелкими костями, сухарей и твердого печенья;
- Предпочтительна жидкая, перетертая или мелко нарезанная пища, желательно без большого количества приправ;
- В рационе должны присутствовать витамины и микроэлементы;
- Обильное питье необходимо для вымывания инфекции из ротовой полости и организма в целом, рекомендуется пить очищенную воду, минеральную воду, черный и зеленый чай, некислые соки и компоты.
Вопрос-ответ
Как вылечить стоматит на слизистой рта?
При герпетическом стоматите назначают противовирусные препараты. Наиболее эффективными считаются таблетки для сублингвального приема (Эргоферон, Ацикловир, Зовиракс). Если присоединяется вторичная инфекция, проводят курс антибиотикотерапии. При кандидозном стоматите назначают противогрибковые средства для полости рта.
Как выглядит стоматит на щеке?
Стоматит — это воспаление слизистой оболочки полости рта, которое обычно выглядит как болезненный участок с покраснением, язвой или белым налётом и может появиться на языке, дёснах, глотке, внутренней стороне щёк или губ. Стоматит может протекать легко, если поражённый участок небольшой.
Какой вирус вызывает стоматит во рту?
Обычно инфекционный стоматит проявляется поражением уголков губ и слизистой оболочки рта. Такие симптомы характерны для вируса герпеса и чаще всего обнаруживаются у детей младше трех лет. Если иммунитет человека крепкий и может противостоять вирусу, болезнь проходит бесследно.
Советы
СОВЕТ №1
Регулярно следите за гигиеной полости рта. Чистите зубы дважды в день и используйте ополаскиватель для рта, чтобы уменьшить риск возникновения стоматита. Обратите внимание на мягкие щетки, которые не травмируют слизистую.
СОВЕТ №2
Обратите внимание на питание. Избегайте острых, кислых и жестких продуктов, которые могут раздражать слизистую оболочку рта. Включите в рацион больше мягкой пищи, богатой витаминами и минералами, чтобы поддерживать иммунитет.
СОВЕТ №3
При первых признаках стоматита, таких как болезненные язвы или покраснение, обратитесь к врачу. Раннее вмешательство поможет избежать осложнений и ускорит процесс заживления.
СОВЕТ №4
Используйте народные средства для облегчения симптомов. Полоскания с раствором соли или соды могут помочь уменьшить воспаление и дискомфорт. Однако не забывайте, что это не заменяет профессиональное лечение.


















