Причины и механизм образования зубных камней
Причины образования зубного налета и зубного камня:
- Неправильная или нерегулярная гигиена полости рта: зубной налет формируется из остатков пищи, не удаленных с зубов.
- Преобладание мягкой пищи в рационе. Жесткая пища очищает зубы, тогда как мягкие продукты способствуют накоплению налета.
- Жевание только с одной стороны. Использование одной стороны для пережевывания приводит к образованию налета на другой стороне, который затем минерализуется в камень.
- Использование некачественных зубных щеток и паст. Это приводит к недостаточному очищению зубов.
- Нарушения обмена веществ. В слюне может быть повышенное количество фосфатов.
- Механические факторы: врожденные аномалии, неправильное расположение зубов и шершавая поверхность протезов.
- Наследственная предрасположенность. Связана с особенностями обменных процессов и является одной из причин образования зубного камня даже у тех, кто соблюдает гигиену.
Механизм формирования зубного камня:
- I этап. Формируется мягкий зубной налет, или зубная бляшка, состоящая из микроорганизмов, отмерших клеток, остатков пищи и слизи.
- II этап. Зубная бляшка служит органической матрицей для отложения минеральных солей, образуя центры кристаллизации.
- III этап. Увеличение кристаллов приводит к затвердеванию зубной бляшки и образованию зубного камня.
Врачи отмечают, что зубной камень является одной из наиболее распространенных стоматологических проблем. Он образуется в результате минерализации налета, который не был удален вовремя. Специалисты подчеркивают, что наличие зубного камня может привести к серьезным последствиям, таким как воспаление десен, кариес и даже потеря зубов. Регулярные визиты к стоматологу и профессиональная чистка зубов помогают предотвратить его образование. Врачи также рекомендуют соблюдать гигиену полости рта, включая ежедневную чистку зубов и использование зубной нити. Они уверены, что профилактика играет ключевую роль в поддержании здоровья зубов и десен.

Как выглядит зубной камень?
| Признак зубного камня | Описание | Методы профилактики |
|---|---|---|
| Цвет | От светло-желтого до темно-коричневого, почти черного. Зависит от состава и времени образования. | Регулярная чистка зубов (2 раза в день), использование зубной нити, ополаскивателей. |
| Текстура | Твердая, шероховатая поверхность. | Профессиональная чистка у стоматолога. |
| Расположение | Накапливается преимущественно у десневого края, в межзубных промежутках. | Правильная техника чистки зубов, использование межзубных ёршиков. |
| Запах | Может сопровождаться неприятным запахом изо рта. | Регулярное посещение стоматолога, профессиональная гигиена полости рта. |
| Влияние на здоровье | Способствует развитию гингивита, пародонтита, потери зубов. | Сбалансированное питание, отказ от вредных привычек (курение). |
| Диагностика | Визуальный осмотр стоматолога, рентгенологическое исследование. | Регулярные профилактические осмотры у стоматолога. |
Наддесневой зубной камень
Когда наддесневой зубной камень образуется на внешней стороне коронки зуба, его легко заметить. Обычно он имеет желтоватый или коричневый оттенок, а с возрастом становится толще и темнее.
Наиболее распространенные места его обнаружения:
- язычная (внутренняя) сторона нижних резцов;
- щечная (внешняя) сторона верхних коренных зубов.
Если камень находится на поверхности зуба, обращенной внутрь ротовой полости, его можно увидеть только во время осмотра у стоматолога.
Зубной камень — это проблема, о которой говорят многие. Люди часто отмечают, что его появление связано с недостаточной гигиеной полости рта. Некоторые считают, что регулярная чистка зубов и использование зубной нити могут предотвратить образование камня, однако многие сталкиваются с ним даже при соблюдении всех рекомендаций стоматологов.
Некоторые пациенты делятся опытом, что удаление зубного камня — это не только необходимость, но и возможность улучшить здоровье десен и освежить дыхание. Другие же выражают опасения по поводу болезненности процедуры. В социальных сетях активно обсуждают советы по профилактике, включая использование специальных паст и ополаскивателей.
Многие подчеркивают важность регулярных визитов к стоматологу, ведь только профессиональная чистка может эффективно удалить зубной камень. В целом, тема зубного камня вызывает много вопросов и обсуждений, так как здоровье зубов напрямую влияет на общее самочувствие.

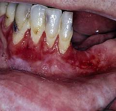
Поддесневой зубной камень
Поддесневой зубной камень становится видимым при значительном разрушении десневой ткани. В других случаях его обнаруживает стоматолог с помощью зонда.
Состав поддесневого зубного камня включает элементы крови и их распадные продукты, что придает ему различные оттенки: коричневый, черный и зеленый. Иногда он может сочетаться с гнойным воспалением.
Каменные мосты
Каменные мосты формируются из наддесневых камней, когда они увеличиваются и охватывают соседние зубы. Чаще всего они появляются на внутренней поверхности нижних резцов.

Способы удаления зубного камня
Можно ли избавиться от зубного камня самостоятельно? Какие зубные пасты лучше использовать?
Зубной камень состоит из солей кальция, что делает его прочным и крепко прикрепленным к деснам. Существуют зубные пасты и народные методы, которые помогают лишь против мягкого налета. При наличии камня домашние средства неэффективны. Удаление возможно только в стоматологическом кабинете.
Способы удаления зубного камня в стоматологии
| Метод | Описание |
| Механическое удаление с помощью крючков. | Используются специальные металлические крючки для удаления камня из труднодоступных мест. Ранее применялись устаревшие стоматологические наборы, но сейчас используются более щадящие методы. |
| Удаление зубного камня с помощью ультразвука. | Суть метода: Аппарат генерирует ультразвуковые волны, очищающие эмаль от налета и камней. Преимущества: отсутствие контакта с зубами, безболезненность, дезинфекция тканей, одновременная чистка десен и отбеливание зубов на 2 тона. Недостатки: противопоказан при сердечных заболеваниях и кардиостимуляторах, может вызывать дискомфорт у людей с чувствительными деснами. |
| Удаление зубного камня с помощью лазера. | Лазер разрушает камень на мелкие частицы, которые удаляются с помощью специального спрея. Преимущества: высокая эффективность и безопасность для эмали. Недостатки: необходимость в дорогостоящем оборудовании, что делает метод недоступным в некоторых клиниках. |
| Удаление зубного камня с помощью воздушно-абразивного метода (Air Flow). | Суть: Смесь воды и абразивных веществ под давлением разрушает камень, а вода смывает остатки. Область применения: как дополнение к ультразвуковой чистке или самостоятельная процедура на ранних стадиях. |
| Химическое протравливание. | Суть: Стоматолог обрабатывает камень раствором кислоты или щелочи для размягчения и удаления. Область применения: вспомогательный метод при ультразвуковой чистке, при противопоказаниях к другим методам, при плотном прикреплении камня к эмали. Используется редко. |
Как часто нужно чистить зубной камень?
Если вы заметили зубной камень, это повод для визита к стоматологу. Периодичность посещений зависит от индивидуальных особенностей обмена веществ и состава слюны. Ультразвуковая чистка может быть рекомендована раз в год, полгода или чаще. Лучше проконсультироваться с стоматологом о частоте чистки.
Рекомендации после удаления зубного камня
Что может сделать врач после удаления зубного камня?
- Чистка зубов. Часто используется сочетание ультразвукового удаления и Air Flow для предотвращения образования новых камней.
- Шлифовка и полировка зубов. Стоматолог шлифует и полирует зубы специальной пастой, что помогает предотвратить налет.
- Укрепление и защита зубов. Наносится фторсодержащий состав на эмаль.
Рекомендации стоматолога после снятия зубных камней
- Избегайте красящих напитков, таких как чай и кофе.
- Не курите, чтобы избежать окрашивания зубов.
- Замените зубную щетку на новую.
- Используйте электрическую или ультразвуковую щетку.
- Чистите зубы дважды в день, особенно вечером.
- Используйте зубные нити и ополаскиватели.
- Полощите рот антисептическими растворами или настоями трав.
- Полезно пить чай с ромашкой, обладающей антисептическими свойствами.
После удаления зубных камней может наблюдаться небольшая расшатанность зубов, но это обычно проходит, когда десна снова плотно прилегает к зубу.
Полоскания после удаления зубного камня
| Средство | Описание | Как правильно полоскать рот? |
| Настой ромашки аптечной | Обладает антисептическими свойствами. Способ приготовления: 1 ст. ложка цветков залить горячей водой, настаивать 20 минут, процедить. | Полоскать рот 3-4 раза в день в первые дни. |
| Настой календулы | Содержит антисептики. Способ приготовления: 1 ч. ложка цветков залить 200 мл кипятка, настаивать 30 минут, процедить. | Полоскать рот 3-4 раза в день в первые дни. |
| Настой шалфея | Обладает антимикробным и противовоспалительным действием. Способ приготовления: 1 ч. ложка шалфея залить 1 стаканом горячей воды, настаивать 30 минут, процедить. | Полоскать рот 3-4 раза в день в первые дни после удаления зубного камня. |
Осложнения зубного камня
Не все пациенты обращаются к стоматологам, полагая, что зубные камни не опасны. Однако они могут вызывать различные осложнения.
Осложнения зубных камней:
- Кровоточивость десен. Наблюдается при поддесневых камнях, травмирующих десну.
- Зуд десен. Возникает из-за раздражения слизистой.
- Неприятный запах изо рта. Зубной налет и камни создают среду для бактерий.
- Пародонтит. Воспаление тканей вокруг корней зубов.
- Расшатанность зубов. Происходит из-за прорастания камня между десной и корнем зуба.
- Темные пятна на эмали. Обычно образуются возле десны.
- Атрофия десны. Воспаление и нарушения обмена веществ могут привести к рассасыванию десны.
- Кариес. Микроорганизмы в налете способствуют его развитию.
- Гингивит. Воспаление десен.
Профилактика зубных камней
Профилактические меры:
- Тщательная гигиена ротовой полости. Чистите зубы дважды в день.
- Меняйте зубную щетку каждые 3 месяца.
- Используйте зубную нить для удаления налета из межзубных промежутков.
- Жуйте жевательную резинку после перекусов.
- Откажитесь от курения.
- Оптимизируйте питание, включая жесткую пищу.
- Ограничьте потребление сладкого.
- Своевременно лечите заболевания зубов.
- Регулярно посещайте стоматолога для профилактических осмотров.
Рекомендуемые зубные пасты для людей с зубными камнями
| Паста | Состав и описание |
| Jason Sea Fresh («Морская свежесть») | Активные компоненты: минералы и соли Мертвого моря, морские водоросли, экстракты растений. Вечерняя паста в виде геля обеспечивает щадящую чистку. |
| Радонта | Линейка из трех паст: утренняя, вечерняя и отбеливающая. Состав включает минералы, витамины и экстракты растений. |
| Global White | Отбеливающая паста, эффективно удаляющая налет. Состав: абразивные вещества, экстракт лимона, ксилитол. Рекомендуется чистить зубы 3 раза в день. |
| Sensitive (Oral-B Sensitive Original) | Состав: гидроксиапатит, двуокись кремния, фторид натрия, экстракт мяты. Подходит для людей с повышенной чувствительностью. |
| Silver с серебром | Состав: экстракт алоэ вера, токоферол, экстракты растений. |
| «Новый Жемчуг» | Уменьшает чувствительность, устраняет кровоточивость, укрепляет эмаль и предотвращает кариес. |
| Дабур «Гвоздика» | Аюрведическая паста из натуральных компонентов. Состав: эфирное масло гвоздики, корень ромашки, кора гвоздичника. |
| Detartrine Z | Содержит силикат циркония, эффективно отбеливает зубы и удаляет налет, не повреждая эмаль. |
Существуют мнения, что специальные зубные пасты могут помочь избавиться от зубного камня. На самом деле, только стоматолог может эффективно удалить камни. Основное назначение зубных паст:
- Профилактика образования зубного камня.
- Удаление мягких отложений.
- Борьба с заболеваниями зубов, способствующими образованию налета и камней.
Перед выбором пасты лучше проконсультироваться со стоматологом. Аюрведа признана Всемирной организацией здравоохранения.
Способы удаления зубного камня
Можно ли удалить зубной камень самостоятельно? Какие зубные пасты для этого лучше использовать?
Зубной камень состоит из кальциевых солей, что придаёт ему прочность и делает его крепким на деснах. Существует множество зубных паст и народных рецептов, которые якобы помогают избавиться от зубного камня. Однако они эффективны лишь против мягкого налёта. Если камень уже образовался, домашние средства не помогут. Удаление зубного камня возможно только в стоматологическом кабинете.
Способы удаления зубных камней в современной стоматологии
| Метод | Описание |
| Механическое удаление с помощью крючков. | Этот метод использует металлические крючки для доступа к труднодоступным участкам. Ранее применялись стоматологические наборы, такие как Маккола или Загса, но сейчас этот способ считается устаревшим из-за травматичности и болезненности. Современные стоматологи предлагают более щадящие альтернативы. |
| Удаление зубного камня с использованием ультразвука | Суть метода: Специальный аппарат создает ультразвуковые волны, которые очищают зубную эмаль от налета и камней. Преимущества метода: * отсутствие прямого контакта с зубами, что исключает повреждение эмали; * безболезненность процедуры; * ультразвук образует кислород, дезинфицирующий ткани; * одновременно очищаются десны и корни, а зубы отбеливаются на 2 тона. Недостатки метода: * не рекомендуется при сердечно-сосудистых заболеваниях; * противопоказан для пациентов с кардиостимуляторами; * при повышенной чувствительности может возникать дискомфорт, который устраняется обезболивающими гелями. Эффективность ультразвукового удаления зубных камней (внешний вид до и после): |
| Удаление зубного камня с помощью лазера | Это современный метод. Суть методики: Лазерный луч разрушает зубной камень на мелкие частицы, которые вымываются из ротовой полости специальным спреем. Преимущества метода: Высокая эффективность и безопасность для зубной эмали, так как лазер воздействует только на камень. Недостатки метода: Требуется дорогостоящее оборудование, поэтому лазерное удаление доступно не во всех клиниках. |
| Удаление зубного камня с использованием воздушно-абразивного метода (Air Flow) | Суть методики: Под давлением подается смесь воды и абразивных веществ, которая разрушает камень, а поток воды смывает остатки. Область применения метода Air Flow: * В качестве дополнения к ультразвуковой чистке, так как смесь эффективно удаляет остатки камней из труднодоступных мест. * В качестве самостоятельной процедуры на ранних стадиях, когда камни небольшие и мягкие. |
| Химическое протравливание | Суть метода: Стоматолог обрабатывает область зубного камня раствором кислоты или щелочи, что размягчает камень и облегчает его удаление. Область применения химического протравливания: * В качестве вспомогательного метода при ультразвуковой чистке. * При противопоказаниях к другим методам. * При плотном прикреплении камня к зубной эмали. Химический способ удаления зубных камней используется редко. |
Как часто нужно чистить зубной камень?
Если у пациента обнаружен зубной камень, это повод обратиться к стоматологу.
Определить частоту посещений врача сложно. Зубной камень не всегда возникает из-за недостаточной гигиены; на это влияют обмен веществ и состав слюны. Ультразвуковая чистка зубов может быть рекомендована раз в год, полгода или каждые три месяца. Эта процедура безопасна для зубов.
Чтобы узнать, как часто нужна профессиональная чистка, пациенту стоит проконсультироваться со стоматологом.
Какие правила нужно соблюдать после удаления зубного камня?
Что может сделать врач после удаления зубного камня?
- Чистка зубов. Используется ультразвуковое удаление зубного камня, за которым следует Air Flow. Это эффективно устраняет налет и предотвращает новые отложения.
- Шлифовка и полировка зубов. Стоматолог шлифует зубы, затем применяет абразивную пасту и инструмент с конусовидным наконечником для полировки. Гладкая эмаль снижает риск образования отложений.
- Укрепление и защита зубов. На эмаль наносятся фторсодержащие составы, такие как фторолак.
Какие рекомендации дает стоматолог после снятия зубных камней?
- В первые дни после удаления зубов, пока не сформируется защитный слой ( пелликула), избегайте напитков, которые могут окрасить зубы, таких как чай, кофе и газировка.
- Откажитесь от курения, так как оно изменяет цвет зубов.
- Замените зубную щетку на новую.
- Рассмотрите возможность использования электрической или ультразвуковой зубной щетки для более эффективной гигиены.
- Чистите зубы дважды в день, утром и вечером, уделяя особое внимание вечерней чистке.
- Используйте дополнительные средства для ухода, такие как зубные нити и ополаскиватели.
- В первые дни после удаления зубов полощите рот антисептическими растворами или настоями трав.
- Полезно пить чай с ромашкой, обладающей антисептическими свойствами.
После удаления зубного камня может наблюдаться легкая подвижность зубов, которая обычно проходит, когда десна вновь плотно обхватывает зуб.
Чем можно полоскать рот после удаления зубного камня?
| Средство | Описание | Как правильно полоскать рот? |
| Настой ромашки аптечной | Ромашка обладает антисептическими свойствами и используется для полоскания рта и горла при заболеваниях полости рта и ЛОР-органов. Готовое сырье доступно в аптеке. Рецепт приготовления настоя: * 1 столовую ложку высушенных цветков залить горячей кипяченой водой; * настоять 20 минут; * процедить. | После удаления зубных камней полоскать рот настоем ромашки 3–4 раза в день в течение первых нескольких дней. |
| Настой календулы | Календула также содержит природные антисептики и доступна в аптеке. Способ приготовления настоя (с сушеными цветками): * 1 чайную ложку сушеных цветков залить 200 мл кипятка; * настаивать 30 минут; * процедить. Способ приготовления (с аптечной настойкой): * 1 чайную ложку настойки развести в 1 стакане кипяченой воды. | После удаления зубных камней полоскать рот настоем календулы 3–4 раза в день в течение первых нескольких дней. |
| Настой шалфея | Шалфей обладает антимикробным и противовоспалительным действием. Рецепт приготовления настоя: * 1 чайную ложку сухого измельченного шалфея залить 1 стаканом горячей кипяченой воды; * настаивать 30 минут; * процедить. | Полоскать рот 3–4 раза в день в первые дни после удаления зубного камня. |
Каковы осложнения зубного камня?
Не все, кто страдает от зубных камней, обращаются к стоматологам, полагая, что это состояние не угрожает здоровью зубов. Однако зубные камни могут вызывать серьезные осложнения.
Осложнения зубных камней:
- Кровоточивость десен. Чаще всего наблюдается при поддесневых камнях, которые отодвигают десну от зуба и травмируют ее.
- Зуд в деснах. Возникает из-за раздражения слизистой оболочки десен камнем.
- Неприятный запах изо рта. Зубной налет и камни создают условия для размножения бактерий, мешая качественной очистке зубов от остатков пищи.
- Пародонтит. Воспаление тканей, окружающих корни зубов, развивается с увеличением размера камня и его прорастанием между корнем зуба и десной.
- Расшатанность зубов. Связана с прорастанием камня между десной и корнем зуба, обычно на фоне пародонтита.
- Темные пятна на зубной эмали. Чаще всего образуются в области десен, где коронка переходит в шейку зуба.
- Атрофия десны. Воспалительные процессы и нарушения обмена веществ могут привести к частичному рассасыванию десны в области зубных камней. Это вызывает опускание десневого края и расшатанность зубов. Если процесс запущен, возможна потеря зубов и необходимость протезирования. Эти изменения называются рецессией и чаще встречаются у людей старше 30 лет, но могут быть вызваны и другими факторами, такими как плохая гигиена, неправильное положение зубов, курение и воспалительные процессы. Тем не менее, зубные камни являются значительным провоцирующим фактором.
- Кариес. В зубных пятнах и камнях находятся микроорганизмы, способствующие развитию кариеса. Иногда пациенты приходят к стоматологу с жалобами на кариес, и в процессе осмотра у них обнаруживают зубной камень.
- Гингивит. Воспаление десен.
Профилактика зубных камней
Профилактические меры против зубных камней:
- Качественная гигиена полости рта. Чистите зубы дважды в день: утром после завтрака и перед сном.
- Следите за состоянием зубной щетки. Щетина должна быть средней жесткости, не изношенной. Меняйте щетку минимум раз в три месяца; предпочтительнее использовать электрическую или ультразвуковую.
- Используйте зубную нить (флосс) как дополнение к щетке. Она эффективно удаляет налет из межзубных промежутков, где щетка не достает, что предотвращает образование камней.
- Жуйте жевательную резинку после каждого перекуса в течение 10-15 минут.
- Откажитесь от курения. Это снизит риск образования зубных камней.
- Оптимизируйте рацион. Включайте в меню жесткую пищу, особенно сырые продукты с высоким содержанием клетчатки, которые помогают очищать зубы.
- Ограничьте потребление сладостей. Сахар создает благоприятную среду для вредных микроорганизмов. Пейте сладкие напитки через трубочку, чтобы защитить зубную эмаль.
- Своевременно лечите заболевания зубов и полости рта.
- Регулярно посещайте стоматолога для профилактических осмотров, не реже одного раза в шесть месяцев.
Какими зубными пастами стоит пользоваться людям, страдающим зубными камнями?*
| Паста | Состав и описание |
| Jason Sea Fresh («Морская свежесть») | Активные ингредиенты: * Минералы и соли Мертвого моря. Обеспечивают деснам необходимые вещества. * Морские водоросли. Укрепляют эмаль зубов, улучшают питание и микроциркуляцию в тканях пародонта. * Экстракт периллы. Уничтожает патогенные микроорганизмы, осветляет эмаль, обладает антиоксидантными свойствами. * Экстракт грейпфрута. Обладает противовоспалительным действием. * Экстракты календулы и эхинацеи. Способствуют восстановлению тканей, имеют противовоспалительное и антибактериальное действие. * Гель алоэ вера. Способствует заживлению, обладает антисептическими свойствами. * Экстракт Гинкго билоба. Улучшает кровоснабжение десен, укрепляет сосудистую стенку, способствует заживлению. * Порошок бамбука. Эффективно удаляет зубной налет, обладает противовоспалительным и антимикробным действием. Вечерняя паста представлена в форме геля для бережной чистки зубов. |
| Радонта | Линейка включает три вида паст: * утренняя; * вечерняя; * отбеливающая. Это основное преимущество. Составы вечерней и утренней пасты различаются. Утренняя паста обладает выраженными абразивными свойствами, очищая зубы от налета, образующегося за ночь и во время завтрака. Вечерняя паста имеет гелевую текстуру, успокаивающую зубы и десны. В состав входят минералы, витамины и экстракты растений (китайских, японских, тибетских). |
| Global White | Эта паста позиционируется как отбеливающая и эффективно удаляет зубной налет. Состав: * Абразивные компоненты. Включает пирофосфат калия и три вида силики. * Экстракт лимона. Осветляет зубную эмаль благодаря кислотам. Витамин C защищает и укрепляет зубы и десны. * Ксилитол. Подавляет рост бактерий, вызывающих кариес. Рекомендуется чистить зубы пастой Global White три раза в день по три минуты. |
| Sensitive (Oral-B Sensitive Original) | Состав: * Гидроксиапатит. Укрепляет зубы, аналогичен естественной эмали. * Двуокись кремния. Мелкодисперсный абразив для аккуратного отбеливания. * Фторид натрия. Улучшает состояние зубов. * Экстракт мяты. Снижает чувствительность зубов и десен. Паста предназначена для людей с повышенной чувствительностью. |
| Silver с серебром | Состав: * Экстракт алоэ вера. Способствует восстановлению тканей и обладает антисептическими свойствами. * Токоферол (витамин E). Защищает ткани, укрепляет сосудистые стенки и улучшает кровообращение. * Экстракт зеленого чая. Антиоксидант, защищающий ткани. * Экстракт грейпфрута. Обеспечивает противовоспалительный эффект. * Перечная мята. Снижает чувствительность зубов и десен. * Серебро. Уничтожает патогенные микроорганизмы. |
| «Новый Жемчуг» | Серия паст обладает множеством эффектов: * снижение чувствительности десен; * устранение кровоточивости; * укрепление зубной эмали; * профилактика кариеса; * эффективное удаление зубного налета; * профилактика образования зубных камней. |
| Дабур «Гвоздика» | Аюрведическая паста из натуральных компонентов. Состав: * Эфирное масло гвоздики. Обладает антисептическими и противовоспалительными свойствами, предотвращает кариес. * Корень римской ромашки. Устраняет зубную боль и ускоряет восстановление слизистой. * Кора гвоздичника Джамболана. Укрепляет десны и зубы. * Аравийская акация. Снимает боль и защищает слизистую. * Кора дерева Лодхра. Антисептик, снимает кровоточивость и ускоряет восстановление десен. |
| Detartrine Z | Содержит силикат истолченного циркония – микроскопические частицы, действующие как скребки. Detartrine Z эффективно отбеливает зубы и удаляет отложения, не повреждая эмаль. |
Существует мнение, что специальные зубные пасты могут избавить от зубного камня.
На самом деле, только стоматолог может эффективно удалить зубные камни. Основное назначение зубных паст:
- профилактика образования зубного камня;
- удаление мягких зубных отложений;
- борьба с заболеваниями зубов, способствующими образованию бляшек и камней.
Перед выбором пасты рекомендуется проконсультироваться со стоматологом.
Аюрведа – традиционная индийская медицина, признанная Всемирной организацией здравоохранения.
17 вопросов врачу-стоматологу
Вопрос-ответ
Что будет, если не убрать зубной камень?
Доказан вред зубного камня для эмали, которая из-за кислородного голодания и наличия бактерий начинает разрушаться, что приводит к кариесу. Камень может спровоцировать появление стоматита — поражение слизистой оболочки полости рта.
Как понять, что у тебя зубные камни?
Первоначальный признак зубного камня — появление коричневого ободка с внутренней стороны зубов. Далее отложения переходят на наружную поверхность эмали и коронки. Цвет наслоений постепенно темнеет, возникает зуд и кровоточивость десен. Камень прорастает в десневой карман, отодвигает десну, углубляется десневой карман.
Сколько можно ходить с зубным камнем?
Стоматологи рекомендуют удалять зубной камень каждые полгода. Регулярная чистка эмали от накопившегося и отвердевшего налета – эффективная профилактика ряда заболеваний.
Советы
СОВЕТ №1
Регулярно чистите зубы дважды в день с использованием зубной пасты, содержащей фтор. Это поможет предотвратить образование зубного камня, так как фтор укрепляет эмаль и снижает риск кариеса.
СОВЕТ №2
Не забывайте использовать зубную нить или межзубные щетки. Эти инструменты помогут удалить остатки пищи и налет из труднодоступных мест, что значительно снизит вероятность образования зубного камня.
СОВЕТ №3
Посещайте стоматолога не реже двух раз в год для профессиональной чистки зубов. Стоматолог сможет удалить зубной камень и налет, которые невозможно удалить в домашних условиях, а также даст рекомендации по уходу за полостью рта.
СОВЕТ №4
Сократите потребление сладких и кислых продуктов, так как они способствуют образованию налета и зубного камня. Вместо этого выбирайте здоровые закуски, такие как фрукты и овощи, которые помогают очищать зубы.








