Анатомия зуба и десны
Зубы и десны — важные структуры ротовой полости. Зубы располагаются в альвеолярных отростках верхней и нижней челюсти, защищенных деснами. В этих отростках находятся углубления, называемые зубными альвеолами, где размещаются зубы. Связь корней зубов с альвеолами осуществляется через механизм «вколачивания».
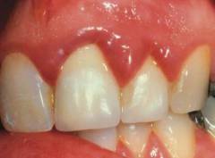
Боли в десне могут быть вызваны различными причинами, и врачи выделяют несколько основных заболеваний. Гингивит, воспаление десен, часто возникает из-за недостаточной гигиены полости рта и может проявляться кровоточивостью и отечностью. Пародонтоз и пародонтит, более серьезные состояния, связаны с разрушением тканей, поддерживающих зубы, и требуют немедленного вмешательства специалиста. Механическое повреждение десны, например, в результате травмы или неправильного использования зубной нити, также может вызывать дискомфорт. Врачи рекомендуют при первых признаках боли обратиться к стоматологу для диагностики и назначения лечения, которое может включать профессиональную чистку, противовоспалительные препараты и изменение привычек по уходу за полостью рта. Регулярные осмотры у стоматолога помогут предотвратить развитие серьезных заболеваний десен.

Строение и функции зубов
Зубы располагаются в челюстях в два ряда: верхнем и нижнем, по 16 зубов в каждом. Они бывают молочными и постоянными. Зачатки зубов начинают развиваться в утробе матери. Молочные зубы прорезываются у детей в 5–7 месяцев, всего их 20. С 5–7 лет молочные зубы заменяются постоянными, последние из которых — «зубы мудрости», появляются до 25 лет. Формула постоянных зубов: в каждой половине челюсти — 2 резца, 1 клык, 2 премоляра и 3 моляра, всего у взрослого человека 32 зуба.
Зубы делятся на группы в зависимости от формы и функций:
- Резцы — для захвата и откусывания пищи.
- Клыки — для разжевывания пищи.
- Премоляры — для растирания и измельчения пищи.
- Моляры — выполняют аналогичную функцию.
Все зубы имеют схожую структуру, иннервацию и кровоснабжение.
Строение зуба включает:
- Коронка — часть зуба над десной, массивная, с несколькими поверхностями (язычная, лицевая, контактная, жевательная) и полостью, делящейся на коронковый и корневой отдел с корневым каналом, открывающимся на верхушке зуба.
- Шейка — суженная часть между коронкой и корнем, окруженная десной.
- Корень — часть, находящаяся в зубной альвеоле, количество корней варьируется от одного до трех.
Полость зуба заполнена пульпой — рыхлой соединительной тканью с сосудами и нервами. В пульпе находятся клеточные элементы (фибробласты, макрофаги), защищающие при воспалениях и инфекциях.
Твердое вещество зуба состоит из трех компонентов:
- Дентин — основная масса зуба, окружающая полость, по структуре схож с костью, но тверже.
- Цемент — покрывает дентин в области шейки и корня, состоит из коллагеновых волокон и солей кальция.
- Эмаль — покрывает дентин коронки, самая твердая ткань в организме благодаря высокому содержанию минеральных солей.
Плотное соединение тканей зуба с альвеолой обеспечивает периодонт, расположенный между альвеолой и цементом корня. Структуры, окружающие зуб (альвеола с периодонтом и десны), составляют пародонт, выполняющий защитные, питательные, амортизирующие и рефлекторные функции.
| Причина боли в десне | Симптомы | Что делать |
|---|---|---|
| Гингивит (воспаление десен) | Покраснение, отечность, кровоточивость десен, боль при прикосновении, неприятный запах изо рта. | Тщательная гигиена полости рта (чистка зубов дважды в день, использование зубной нити), полоскание антисептическими растворами (по назначению врача), профессиональная чистка зубов у стоматолога. |
| Пародонтоз (атрофия десен) | Отступление десен от зубов, оголение шеек зубов, увеличение чувствительности зубов к холодному и горячему, возможно кровоточивость. Боль может быть незначительной или отсутствовать. | Профессиональная чистка зубов, лечение сопутствующих заболеваний, использование специальных средств для укрепления десен, в некоторых случаях – хирургическое вмешательство. |
| Пародонтит (воспаление тканей, окружающих зуб) | Кровоточивость десен, отечность, гнойные выделения, подвижность зубов, сильная боль, неприятный запах изо рта, возможно повышение температуры. | Профессиональная чистка зубов, лечение сопутствующих заболеваний, антибактериальная терапия, хирургическое лечение (в запущенных случаях), поддержание гигиены полости рта. |
| Механическое повреждение десны (например, ожог, порез, травма) | Боль, отечность, кровотечение, возможно образование язвы. | Ополаскивание полости рта антисептическими растворами, применение обезболивающих гелей, обращение к стоматологу при сильной боли или длительном заживлении. |
Строение и функции десен
Десна — это участок слизистой оболочки ротовой полости, который охватывает зубы от альвеолярного отростка челюсти до коронок зубов. Основная функция десен — создание соединения с зубами, предотвращающего попадание остатков пищи, инородных объектов, зубного налета и патогенных бактерий к корню зуба. Это соединение защищает от механических повреждений и инфекций.
Здоровые десны имеют бледно-розовый цвет и плотно обвивают шейку зуба. Десневая ткань хорошо кровоснабжается за счет ветвей наружной сонной артерии. Иннервация осуществляется ветвями тройничного нерва — верхнечелюстным и нижнечелюстным нервами. Эти нервы образуют зубные сплетения, от которых отходят десневые и зубные ветви, регулирующие тонус сосудов и питание тканей. Десны содержат множество нервных окончаний, отвечающих за болевую и температурную чувствительность.
С клинической точки зрения десна делится на следующие отделы:
- Прикрепленная часть (альвеолярная десна) — часть, связанная с краевой десной и прочно соединенная с надкостницей альвеолярных отростков челюстей.
- Свободная часть — участок десны, обвивающий зубы и образующий «колье». Толщина этой части составляет примерно 1 мм. В свободной части формируется межзубный сосочек — десневая ткань между соседними зубами, имеющая треугольную форму.
- Маргинальная часть десны (краевая десна) — участок, прилегающий к шейке зуба, защищающий периодонт от механических повреждений.
Десна состоит из многослойного плоского эпителия и собственной слизистой пластинки. Эпителий выполняет защитную функцию, предотвращая проникновение патогенных микроорганизмов и токсинов в ткани десен. Эта защита обеспечивается гликозаминогликанами — углеводами, компонентами межклеточного вещества соединительной ткани.
Боль в деснах — распространенная проблема, с которой сталкиваются многие люди. Основные причины дискомфорта могут включать гингивит, пародонтоз, пародонтит и механические повреждения. Гингивит, воспаление десен, часто возникает из-за недостаточной гигиены полости рта, что приводит к накоплению налета и бактерий. Пародонтоз и пародонтит — более серьезные заболевания, которые могут привести к потере зубов, если не начать лечение вовремя. Механическое повреждение десен может произойти из-за травмы или неправильной чистки зубов.
При возникновении боли в деснах важно не игнорировать симптомы. Рекомендуется обратиться к стоматологу для диагностики и назначения лечения. В домашних условиях можно использовать антисептические полоскания и специальные гели для десен, однако это не заменяет профессиональную помощь. Регулярная гигиена полости рта, включая чистку зубов дважды в день и использование зубной нити, поможет предотвратить многие проблемы с деснами.

Почему появляются боли в десне?
Боль в деснах возникает из-за воспаления и обычно сопровождается покраснением, кровоточивостью и отечностью. Интенсивность симптомов зависит от степени воспаления. Также боль может быть вызвана механическими повреждениями и другими травмирующими факторами.
Структуры десны или зуба, воспаление которых вызывает боль в десне
Боль в деснах может иметь множество причин. Каждая часть зубной и десневой структуры подвержена повреждениям, которые могут быть вызваны воспалительными, механическими, физическими или химическими факторами.
Элементы, которые могут воспаляться и вызывать дискомфорт в деснах:
- краевая часть десны;
- прикрепленная десна;
- пародонт;
- зубная альвеола;
- межзубный сосочек.

Причины, способствующие развитию боли в деснах
Боль в десне может возникать по разным причинам, включая плохую гигиену полости рта, аномалии зубов или заболевания внутренних органов. Часто дискомфорт обусловлен сочетанием факторов. Понимание причин боли важно для разработки профилактических мер.
Причины боли в десне можно разделить на две категории:
- местные причины;
- общие причины.
Местные причины боли в десне
Местные факторы влияют только на область полости рта. Воспаление обычно локализовано и затрагивает небольшую часть десны. Игнорирование воспаления может привести к серьезным осложнениям.
К местным причинам боли в деснах относятся:
- Недостаточная гигиена полости рта — основная причина заболеваний зубов и десен. Игнорирование ухода приводит к образованию зубного налета, который создает условия для размножения бактерий.
- Зубной камень — образуется из минерализованного налета и чаще всего появляется при плохой гигиене, увеличивая риск воспаления.
- Гипофункция пародонта из-за потребления мягкой пищи, что снижает кровообращение и повышает восприимчивость тканей к внешним воздействиям.
- Биопленка — микробная пленка, состоящая из различных микроорганизмов, способствует образованию налета и боли в десне.
- Механическое повреждение десны из-за некачественного протезирования, пломбирования или травм во время стоматологических процедур.
- Аллергические реакции на стоматологические материалы, которые встречаются редко и устраняются исключением аллергена.
- Аномалии зубов, такие как скученность, создают условия для накопления налета и камня.
Общие причины боли в десне связаны с заболеваниями внутренних органов, вызывающими воспаление десен. Эти факторы могут приводить к генерализованному воспалению и проявляться не только болью, но и нарушением работы других систем организма.
К общим причинам боли в деснах относятся:
- Заболевания крови (например, острый лейкоз, анемия), вызывающие гиперплазию десен.
- Заболевания желудочно-кишечного тракта (язвы, гастрит), приводящие к воспалению пародонта из-за нарушений обмена кальция.
- Эндокринные заболевания, такие как диабет, вызывающие ангиопатию пародонта.
- Интоксикации от токсичных веществ, таких как ртуть или свинец, вызывающие изменения в деснах.
- Гормональные изменения (например, беременность, подростковый возраст), усиливающие реакцию тканей пародонта на налет.
- Некоторые лекарства, такие как противоэпилептические препараты, могут вызывать заболевания десен.
- Лучевая болезнь, приводящая к воспалению и некрозу десен.
- Инфекционные заболевания, вызывающие воспаление десен или являющиеся следствием системных инфекций.
Эти факторы ослабляют защитные механизмы десен, активируя микрофлору и вызывая заболевания.
Боль в десне возникает в результате сложных патофизиологических процессов. Механизм боли зависит от ее причины. Наиболее распространенными являются гингивит, пародонтит и пародонтоз, а также механические повреждения. Без своевременного обращения к врачу эти состояния могут привести к серьезным осложнениям.
Причины боли в десне
| Патологии, вызывающие боль в десне | Механизм воспаления | Возможные последствия |
| Гингивит | Снижение защитной способности десен приводит к образованию зубных отложений, в которых развивается микрофлора, вызывающая воспаление. | * ограниченный остеомиелит; * оголение корней зубов; * нома; * менингит; * септицемия; * пародонтит. |
| Пародонтоз | Нейродистрофический процесс нарушает микроциркуляцию и трофику тканей, замедляя обновление пародонта. | * пародонтальный абсцесс; * разрушение тканей зуба и десен; * подвижность зубов; * выпадение зубов. |
| Пародонтит | В начальных стадиях затрагиваются поверхностные отделы пародонта, затем вовлекаются все его структуры, образуя пародонтальный карман. | * выпадение зуба; * абсцессы; * трофические нарушения; * флегмона; * ретроградный пульпит. |
| Механическое повреждение | Повреждение тканей десны вызывает воспаление и может привести к значительной кровоточивости. | * нагноение раны; * кровотечение; * абсцесс; * остеомиелит. |
На начальных стадиях заболевания защитные механизмы организма пытаются справиться с раздражителями. Когда они не справляются, возникает заболевание.
Осложнения могут быть серьезными. При появлении боли в десне необходимо обратиться к врачу, чтобы избежать угрозы жизни.
Разные патологии могут вызывать воспаление десен и окружающих зубы тканей. Все они приводят к боли, которая может иметь различные характеристики в зависимости от заболевания, что помогает в диагностике и лечении.
Боль в десне можно охарактеризовать по следующим признакам:
- клиническое течение и продолжительность (острая или хроническая);
- интенсивность (слабая, умеренная или сильная);
- периодичность (временная или постоянная);
- условия появления (боль при чистке зубов или при приеме пищи);
- характер (пульсирующая, жгучая).
Дифференциальная диагностика важна для определения структуры, вызывающей боль, и исключения «ложной» боли, когда боль в десне может быть следствием проблем с зубами.
Дифференциальную диагностику боли следует проводить при следующих состояниях:
- боль в десне при гингивите;
- боль в десне при пародонтозе;
- боль в десне при пародонтите;
- боль в десне при механическом повреждении.
Гингивит — воспаление десны без повреждения зубодесневого соединения. Он может быть локализованным или генерализованным и чаще встречается у молодых людей. При легких формах воспаление затрагивает только межзубные сосочки, в тяжелых — всю десну.
Существуют следующие формы гингивита:
- катаральный;
- язвенный;
- гипертрофический;
- десквамативный.
Катаральный гингивит
Острый катаральный гингивит часто наблюдается у детей с ОРЗ.
Пациенты жалуются на дискомфорт, жжение и распирание в десне, усиливающиеся при приеме пищи. Наблюдаются припухлость и кровоточивость десен. Катаральный гингивит обратим и проходит при своевременном лечении.
Гипертрофический гингивит
Эта форма характеризуется хроническим течением с периодами обострения и ремиссии. При обострении симптомы выражены сильнее. Гипертрофический гингивит чаще всего локализуется в области передних зубов.
Гипертрофический гингивит бывает двух форм:
- Отечный гингивит — болезненность при чистке зубов и приеме пищи, припухлость межзубных сосочков и кровоточивость.
- Фиброзный гингивит — отсутствие боли и кровоточивости, пациенты жалуются на эстетические проблемы.
Язвенно-некротический гингивит
При легкой форме наблюдаются жжение и боль во время еды. При средней и тяжелой форме могут возникать сильные боли, повышение температуры и слабость, а также общие симптомы интоксикации.
Десквамативный гингивит
Характеризуется гиперемией и болезненными эрозиями на деснах. Клиническое течение цикличное, с периодами обострения и ремиссии.
Пародонтоз — дистрофическое заболевание пародонта, охватывающее все его структуры. Оно встречается реже других и затрагивает около 3-5% населения.
Основная жалоба пациентов — боль в десне, зуд и повышенная чувствительность в области шейки зуба. На ранних стадиях симптомы могут быть незаметны, но становятся явными при обнажении шейки зуба.
Пародонтит — воспалительное заболевание пародонта, приводящее к разрушению тканей и альвеолярного отростка. Боль при пародонтите обычно постоянная и может быть пульсирующей.
В зависимости от области поражения пародонтит бывает локализованным и генерализованным. Локализованный пародонтит затрагивает один или несколько зубов, генерализованный — более тяжелый.
При осмотре пациента с пародонтитом могут быть выявлены следующие признаки:
- пародонтальные карманы;
- поддесневой зубной камень;
- кровоточивость десен;
- подвижность зубов;
- выделения гноя;
- неприятный запах изо рта.
Степень тяжести пародонтита определяется глубиной пародонтальных карманов, степенью резорбции кости и подвижностью зубов.
Степени тяжести пародонтита
| Признаки заболевания | Легкая степень | Средняя степень | Тяжелая степень |
| Глубина пародонтальных карманов | 3,5 мм | 5,5 мм | 5 – 6 мм |
| Подвижность зубов | Нет | 1 – 2 степени | 2 – 3 степени |
| Степень резорбции кости | Начальная стадия резорбции. | Резорбция на 1/3 или 1/2 высоты перегородок. | Резорбция более 1/2 высоты перегородок. |
Механическое повреждение десны может быть острым или хроническим. Острые повреждения возникают при стоматологических манипуляциях и травмах, вызывая воспаление. Хронические повреждения развиваются постепенно, и их выраженность зависит от длительности раздражения.
Механическое повреждение, вызванное протезами, может привести к протетическому пародонтиту, который не имеет генерализованного характера и развивается в области травмы.
Лечение заболеваний десен обычно проводится в стоматологических клиниках. Оно может быть местным, медикаментозным, хирургическим или физиотерапевтическим. При тяжелых формах заболеваний важно укреплять организм в целом. Если боль вызвана внутренним заболеванием, необходимо лечить основную болезнь. Обучение пациента правильному уходу за полостью рта также играет важную роль в предотвращении рецидивов.
При появлении боли в десне важно обратиться за медицинской помощью. Чем быстрее это сделать, тем выше вероятность успешного лечения и меньше риск осложнений.
Лечением болей в десне занимаются следующие специалисты:
- стоматолог;
- пародонтолог;
- ортопед;
- ортодонт;
- стоматологический гигиенист;
- врач общей практики.
В первую очередь следует обратиться к стоматологу, который занимается заболеваниями полости рта. Пародонтолог специализируется на проблемах пародонта, а ортопед — на механических повреждениях десен. Ортодонт работает с аномалиями зубов и челюстей. Стоматологический гигиенист обучает пациентов правильной чистке зубов и проводит профессиональную гигиену. К врачу общей практики стоит обратиться при соматических заболеваниях, вызывающих боль в десне.
Лечение заболеваний, вызывающих боль в десне, основывается на общих принципах. В зависимости от конкретной патологии могут быть свои особенности.
Тактика лечения боли в десне включает:
- гингивит;
- пародонтоз;
- пародонтит;
- механическое повреждение.
Лечение гингивита
Основное внимание уделяется местному лечению, направленному на устранение причин боли и воспаления. Существует множество методик, которые подбираются индивидуально для каждого пациента.
К консервативным методам лечения гингивита относятся:
- Удаление зубных отложений с помощью специальных инструментов. Это первый этап лечения, без которого эффективность терапии будет низкой.
- Противовоспалительные средства для снятия воспаления и боли (ибупрофен, нимесулид, парацетамол).
- Противомикробные препараты (фурацилин, хлоргексидин) в виде аппликаций и гелей.
- Кератопластические средства для стимуляции регенерации эпителия.
- Физические методы (гидромассаж, электрофорез, дарсонвализация).
- Гормональная терапия при отечной форме гингивита.
- Склерозирующая терапия при неэффективности других методов.
Хирургическое лечение применяется реже, но возможно после санации полости рта и устранения травмирующих факторов.
К хирургическим методам относятся:
- Иссечение десны при наличии некротических участков.
- Удаление межзубных сосочков при гипертрофическом гингивите.
Тактика лечения пародонтоза
Лечение пародонтоза сложнее, чем гингивита и пародонтита. Основные методы направлены на улучшение кровоснабжения и стимуляцию регенерации тканей.
Методы лечения пародонтоза:
- Гидротерапия для улучшения микроциркуляции.
- Фототерапия для улучшения кровообращения.
- Массаж для улучшения циркуляции крови.
- Электрофорез препаратов для улучшения состояния тканей.
Своевременное лечение позволяет остановить процесс нарушения трофики тканей.
Тактика лечения пародонтита
Лечение пародонтита проводится поэтапно, начиная с устранения причины заболевания. Затем назначается противовоспалительная терапия, после чего могут быть применены физиотерапевтические методы.
Методы лечения пародонтита:
- Антибактериальная терапия с использованием препаратов широкого спектра действия.
- Противовоспалительная терапия с использованием ибупрофена и других препаратов.
- Кюретаж пародонтальных карманов для удаления зубного камня.
- Пластика десны при обнажении шейки зуба.
- Гингивотомия для доступа к пародонтальному карману.
- Лоскутные операции для восстановления роста кости.
- Радикальная гингивоостеопластика при генерализованном пародонтите.
Также может быть назначено ортопедическое лечение для устранения скученности зубов.
Тактика лечения механических повреждений десны
Первым шагом является устранение травмирующего фактора. Далее следует лечение воспаления и стимуляция регенерации тканей.
Методы лечения механических повреждений:
- Коррекция протезов для устранения повреждающего фактора.
- Обработка ран с удалением некротизированных участков.
- Противовоспалительные средства для снятия отека и боли.
- Антибактериальная терапия для предотвращения инфекции.
- Кератопластические средства для ускорения заживления.
- Обезболивающие препараты при остром повреждении.
Соблюдение правил гигиены после лечения поможет предотвратить повторные боли в десне.
При своевременном обращении к врачу и правильной диагностике прогноз обычно благоприятный. Однако многие пациенты откладывают визит к врачу, что может привести к осложнениям.
Сроки излечения зависят от:
- заболевания, вызвавшего боль;
- формы заболевания (острая или хроническая);
- степени тяжести;
- возраста пациента;
- чувствительности микроорганизмов к антибиотикам;
- локализации поражения;
- объема пораженного участка;
- времени обращения к врачу;
- общего состояния организма.
Из-за множества факторов трудно точно определить сроки излечения. Прогноз может быть как благоприятным, так и неблагоприятным в зависимости от ситуации.
Наиболее благоприятный прогноз наблюдается при гингивите, так как при этом заболевании не происходит повреждения зубодесневого соединения. При пародонтите и пародонтозе успешным считается лечение, которое стабилизирует процесс и предотвращает прогрессирование заболевания. Излечение механических повреждений зависит от глубины и интенсивности травмы.
Курсы лечения обычно назначаются на 7-10 дней. В это время при легких и средних формах заболеваний исчезает боль и симптомы воспаления. Заболевания с осложнениями требуют более длительного лечения, и прогноз в таких случаях менее благоприятный.
Профилактика боли в десне важна, так как это состояние можно предотвратить, следуя простым рекомендациям.
Для профилактики боли в десне следует:
- регулярно посещать стоматолога для диагностики и предотвращения осложнений;
- чистить зубы дважды в день;
- полоскать рот специальными растворами;
- правильно питаться, включая витамины и минералы.
Зубы мудрости, или третьи моляры, прорезываются в возрасте 12-26 лет на нижней челюсти и 17-22 года на верхней. Этот процесс может протекать без симптомов, но часто сопровождается болью и ухудшением общего состояния.
При прорезывании зубы мудрости «растягивают» десну, что может привести к ее повреждению и воспалению. Боль обычно временная и проходит после завершения процесса прорезывания.
Причины боли в десне при прорезывании зубов мудрости:
- Недостаток места для зуба — основная причина боли. Челюсть уже сформирована, и зубу приходится преодолевать препятствия, что вызывает воспаление.
- Перикоронит — воспаление капюшона десны над непрорезавшимся зубом. Это состояние может возникнуть при длительном прорезывании зуба и способствует накоплению пищи, что увеличивает риск воспаления.
- Неправильный рост зуба. Зубы мудрости могут расти в неправильном направлении, что вызывает боль и может повредить соседние зубы.
При боли в десне рекомендуется принимать противовоспалительные препараты и использовать растворы для полоскания. В случае гнойного процесса могут быть назначены антибиотики. Врач может провести иссечение десны над зубом.
Некоторые стоматологи рекомендуют удалять зубы мудрости, если они не имеют функционального значения. Удаление следует проводить только при наличии показаний, таких как неправильное положение зуба или воспаление.
После удаления зуба происходит повреждение тканей десны, что может вызвать боль, особенно после окончания действия анестезии. Боль обычно ноющего характера и может сопровождаться небольшим отеком. Если боль сохраняется в течение первых двух дней, это считается нормальным, так как требуется время для заживления.
Частые осложнения после удаления зуба:
- Неполное удаление корня зуба, что может вызвать воспаление и нагноение.
- Инфицирование раны из-за плохой гигиены или недостаточной обработки.
- Остеомиелит челюсти — серьезное состояние, которое может затрагивать всю костную систему.
- Сухая лунка — отсутствие кровяного сгустка в лунке, что может привести к инфекции и боли.
- Луночковое кровотечение — первичное или вторичное кровотечение после удаления.
При появлении осложнений необходимо обратиться к врачу для диагностики и лечения.
Признаки, требующие обращения к врачу:
- сильная боль через 2-3 дня после удаления;
- боль при прикосновении к лунке;
- повышение температуры;
- пульсирующая боль;
- припухлость десны;
- отек щеки;
- неприятный запах изо рта.
После удаления зуба рекомендуется воздержаться от пищи в течение нескольких часов, принимать обезболивающие и холодные компрессы. Не следует использовать теплые компрессы или самостоятельно накладывать тампоны, так как это может привести к инфекции. В первое время не рекомендуется полоскать рот, чтобы не нарушить образовавшийся сгусток.
Боль в десне в конце челюсти часто возникает из-за воспаления тканей пародонта или прорезывания зубов мудрости. Это может затруднять прием пищи и разговор.
Одной из причин боли является низкий уровень гигиены в этой области, так как зубы в конце челюсти труднее чистить, что способствует воспалению. Лечебные процедуры также могут быть сложными.
Прорезывание зубов мудрости — частая причина боли. Боль может возникать внезапно и сохраняться длительное время, иногда сопровождаясь повышением температуры и слабостью. Эти симптомы временные и исчезают после прорезывания зуба.
Другие распространенные причины боли в десне в конце челюсти:
- Гингивит — воспаление десен, проявляющееся кровоточивостью и болезненностью.
- Пародонтит — воспаление пародонта, которое может привести к его разрушению.
- Пародонтоз — заболевание, сопровождающееся нарушением питания пародонта.
- Периостит челюсти — воспаление надкостницы, сопровождающееся болью и отеком.
- Последствия удаления зуба — кровотечение, нагноение или неполное удаление зуба.
- Перикоронит — воспаление капюшона десны над зубом мудрости.
Боль, связанная с заболеваниями височно-нижнечелюстного сустава, может также иррадиировать в область десны. Для точной диагностики может потребоваться рентгенологическое исследование.
Лечение заболеваний десен в домашних условиях возможно с использованием медицинских препаратов и народных средств. Перед применением рекомендуется проконсультироваться с врачом.
К препаратам местного действия относятся:
- мази (например, траумель С);
- растворы для полоскания (хлоргексидин, мирамистин);
- гели (метронидазол, холисал);
- аппликации для снятия отека;
- лечебные зубные пасты (парадонтакс, лакалут).
Также можно использовать препараты общего действия, которые укрепляют сосуды и повышают защитные силы организма. К ним относятся противовоспалительные и обезболивающие средства (парацетамол, ибупрофен, нимесулид).
Некоторые народные средства для полоскания:
- Настойка коры дуба — обладает противовоспалительным эффектом.
- Настойка шалфея — обладает противомикробным действием.
- Корень цикория — помогает снять боль и воспаление.
- Раствор с содой и солью — хороший антисептик.
- Отвар репы — защищает костную ткань.
- Настойка прополиса — успокаивает десну.
- Настой ромашки — уменьшает воспаление.
- Холодный компресс — облегчает боль.
Эти средства могут временно облегчить боль, но важно обратиться к врачу для предотвращения осложнений.
Причины боли в десне
Боль в деснах возникает из-за сложных патофизиологических процессов. Механизм боли зависит от причины. Наиболее распространенные факторы дискомфорта — гингивит, пародонтит и пародонтоз. Механическое повреждение десен также имеет значение. Если не обратиться к врачу вовремя, эти состояния могут привести к серьезным осложнениям.
Причины боли в деснах
| Патологии, вызывающие боль в деснах | Механизм воспаления | Возможные последствия |
| Гингивит | Этиологические факторы снижают защитные механизмы десен, что приводит к образованию зубных отложений (мягкий налет, зубная бляшка). В этих отложениях развивается микрофлора, вызывающая воспаление, степень которого зависит от индивидуальной реакции организма. | * ограниченный остеомиелит (поражение челюстной кости) с некрозом и отторжением мертвых тканей; * оголение корней зубов; * нома (распространение язвенно-некротического гингивита); * менингит; * септицемия; * пародонтит. |
| Пародонтоз | Пародонтоз связан с нейродистрофическим процессом, нарушающим обмен веществ и питание тканей. Это ухудшает микроциркуляцию, вызывает гипоксию и спазм сосудов. Нарушение трофики замедляет обновление тканей пародонта и приводит к очаговому остеопорозу. | * пародонтальный абсцесс; * разрушение тканей зуба и десен; * подвижность зубов; * выпадение зубов. |
| Пародонтит | На начальных стадиях затрагиваются поверхностные слои пародонта, но со временем процесс охватывает все его отделы. Образуется пародонтальный карман, происходит разрушение зубодесневого соединения. Патогенез включает воспаление, резорбцию кости и образование пародонтального кармана. | * выпадение зуба; * образование абсцессов; * трофические нарушения тканей пародонта; * развитие флегмоны челюстно-лицевой области; * ретроградный пульпит. |
| Механическое повреждение | Механические факторы нарушают целостность тканей десен, вызывая воспаление. Повреждение сосудов может привести к значительному кровотечению. | * нагноение раны; * кровотечение; * абсцесс; * остеомиелит челюсти. |
На начальных этапах заболевания защитные механизмы организма реагируют на механические раздражители или размножение патогенной микрофлоры. Если защитные силы не справляются, возникает заболевание.
Осложнения могут быть серьезными. При боли в деснах необходимо незамедлительно обратиться к врачу, чтобы предотвратить угрожающие жизни осложнения.
Боли в десне при различных патологиях
Различные заболевания могут поражать десны и окружающие зубы, вызывая воспаление и боль. Характер боли зависит от конкретного заболевания, что помогает в диагностике и выборе лечения.
Боль в десне можно охарактеризовать по следующим признакам:
- течение и продолжительность (острая или хроническая);
- интенсивность (слабая, умеренная или сильная);
- периодичность (временная или постоянная);
- условия возникновения (боль при чистке зубов или во время еды);
- характер (пульсирующая или жгучая).
Дифференциальная диагностика важна для определения источника боли в десне и исключения «ложной» боли, когда дискомфорт ощущается в десне, но вызван проблемой с зубом.
Необходимо провести дифференциальную диагностику боли при следующих состояниях:
- гингивит;
- пародонтоз;
- пародонтит;
- механическое повреждение.
Боль в десне при гингивите
Гингивит — это воспаление десен, при котором зубодесневое соединение не повреждается. Он может быть локализованным (в области одного или нескольких зубов) или генерализованным (воспаление всех десен). Чаще всего гингивит встречается у людей до 30 лет. В легких случаях воспаление затрагивает только межзубные сосочки и свободную десну, в более тяжелых — всю десну.
Виды гингивита:
- катаральный;
- язвенный;
- гипертрофический;
- десквамативный.
Катаральный гингивит
Острый катаральный гингивит часто встречается у детей с острыми респираторными заболеваниями (ОРЗ). Пациенты ощущают боль, дискомфорт, жжение и распирание в области десен, особенно при приеме пищи (горячей, соленой или кислой). Боль сопровождается отечностью десен, кровоточивостью при еде и чистке зубов, а также неприятным запахом изо рта. Эта форма гингивита обратима и может полностью пройти при своевременном лечении.
Гипертрофический гингивит
Гипертрофический гингивит имеет хроническое течение с периодами ремиссии и обострений. Во время обострения симптомы становятся более выраженными, в период ремиссии могут быть слабо выражены или отсутствовать. Чаще всего локализуется в области передних зубов.
Гипертрофический гингивит проявляется в двух формах:
- Отечный гингивит — болезненность при чистке зубов и приеме пищи, отечность межзубных сосочков и кровоточивость десен. Могут образовываться ложные зубодесневые карманы.
- Фиброзный гингивит — боли, кровоточивость и отечность отсутствуют, пациенты жалуются на эстетические проблемы из-за деформации десен.
Язвенно-некротический гингивит
При легкой степени язвенно-некротического гингивита пациенты испытывают боль и жжение во время еды. В случаях средней и тяжелой степени боль становится интенсивной, могут наблюдаться повышение температуры, слабость, отсутствие аппетита, язвы на деснах и повышенное слюноотделение. Для этой формы характерны симптомы общей интоксикации.
Десквамативный гингивит
Эта форма проявляется гиперемией и эрозивными участками на деснах, которые не кровоточат, но очень болезненны и чувствительны к химическим и термическим раздражителям. Чаще всего развивается на фоне гипертрофического гингивита.
Клиническое течение десквамативного гингивита циклично и проходит в три этапа: острое воспаление десен с болезненностью и гиперемией, постепенное ослабление симптомов и период ремиссии. Циклы могут повторяться каждые 1-2 года.
Боль в десне при пародонтозе
Пародонтоз — заболевание пародонта, проявляющееся дистрофическими изменениями. Оно встречается реже других стоматологических заболеваний, затрагивая около 3-5% населения.
Основная жалоба пациентов — дискомфорт в деснах, зуд и повышенная чувствительность в области шейки зуба. На ранних стадиях пациенты обычно не испытывают симптомов. Первые признаки, заставляющие обратиться к стоматологу, появляются, когда шейка зуба начинает обнажаться.
Степень тяжести пародонтоза определяется уровнем обнажения шейки зуба и снижением высоты межзубной перегородки. В тяжелых случаях обнажение может достигать корней, что приводит к подвижности зубов. При пародонтозе не образуются пародонтальные карманы, но при средней и тяжелой степени может наблюдаться патологическая подвижность зубов.
Боль в десне при пародонтите
Пародонтит — воспалительное заболевание тканей пародонта, приводящее к разрушению пародонта и альвеолярного отростка челюсти, а также поражающее связочный аппарат периодонта.
Пациенты с пародонтитом часто испытывают постоянные боли, которые могут быть пульсирующими или дергающими.
Пародонтит делится на два типа: локализованный и генерализованный. Локализованный затрагивает один или несколько зубов и распространен в стоматологической практике. Генерализованный — более серьезная форма, при которой пациенты ощущают боль в области шейки зуба, возникающую при воздействии химических или термических раздражителей.
Симптомы пародонтита:
- пародонтальные карманы — основной признак;
- зубной камень и налет под деснами;
- кровоточивость десен;
- подвижность зубов;
- выделения гноя при нажатии на пораженную область;
- неприятный запах изо рта;
- положительная проба Шиллера-Писарева (интенсивное окрашивание десны специальным раствором).
Степень выраженности симптомов варьируется в зависимости от тяжести пародонтита.
Тяжесть заболевания определяется тремя факторами:
- глубина пародонтальных карманов;
- степень резорбции кости (разрушение костной ткани);
- подвижность зубов, классифицируемая на первую, вторую и третью степени (третья степень — самая тяжелая).
Степени тяжести пародонтита
| Признаки заболевания | Легкая степень | Средняя степень | Тяжелая степень |
| Глубина пародонтальных карманов | 3,5 мм | 5,5 мм | 5 – 6 мм |
| Подвижность зубов | Нет | 1 – 2 степени | 2 – 3 степени |
| Степень резорбции кости | Начальная стадия резорбции | Резорбция костной ткани межзубных перегородок на 1/3 или 1/2 высоты | Резорбция костной ткани межзубных перегородок более 1/2 высоты |
Боль в десне при механическом повреждении
Механическое повреждение десен бывает острым и хроническим. Острые повреждения, возникающие из-за стоматологических процедур или травм, нарушают целостность тканей и вызывают боль. На месте травмы могут образоваться язвы или эрозии — поверхностные дефекты эпителия. Обычно такие раны быстро заживают, и боль исчезает, если не возникает вторичная инфекция и повреждение не глубокое. Хронические механические повреждения проявляются постепенно. Интенсивность симптомов зависит от продолжительности и силы воздействия. Сначала возникает дискомфорт, затем болезненность, отечность и покраснение.
Механическое повреждение, вызванное зубными протезами, часто приводит к протетическому пародонтиту — воспалению пародонта, вызванному травмирующим действием протезов. Это воспаление не распространяется на другие участки и обычно развивается в области повреждения десны. Заболевание характеризуется разнообразием клинических проявлений на ограниченном участке поражения.
Лечение патологий, вызывающих боль в десне
Лечением заболеваний десен занимаются стоматологические клиники. Терапия включает медикаментозные, хирургические и физиотерапевтические методы. В случаях тяжелых заболеваний важно также укреплять организм. Если боль в десне связана с внутренним заболеванием, необходимо лечить основное недуг. Обучение пациента правильному уходу за полостью рта критично, так как это часто вызывает боли и рецидивы даже после лечения. Успех терапии и предотвращение повторных болей зависят от устранения факторов, способствующих их возникновению.
К какому врачу обращаться для лечения патологий, вызывающих боль в десне?
Боль в деснах — это сигнал обратиться за медицинской помощью. Быстрое вмешательство увеличивает шансы на успешное лечение и снижает риск осложнений.
Специалисты по лечению заболеваний десен:
- стоматолог;
- пародонтолог;
- ортопед;
- ортодонт;
- стоматологический гигиенист;
- врач общей практики.
Первым делом стоит посетить стоматолога, который специализируется на заболеваниях ротовой полости. Пародонтолог занимается проблемами пародонта, часто вызывающими боли в деснах. Если боли связаны с механическими повреждениями десен из-за протезов, следует обратиться к ортопеду. Ортопед также решает проблемы травматической окклюзии (неправильного смыкания зубов). Ортодонт работает с аномалиями, которые могут привести к дефектам зубов и челюстей. Стоматологический гигиенист обучает правильной технике чистки зубов, проводит санацию и профессиональную гигиену ротовой полости, а также участвует в профилактических осмотрах. К врачу общей практики стоит обратиться при наличии соматических заболеваний, способных вызывать боль в деснах.
Тактика лечения причин боли в десне
Лечение заболеваний десен основывается на общих принципах, включая медикаменты, физиотерапию и хирургические вмешательства, с учетом особенностей каждой патологии.
Подход к лечению боли в деснах зависит от следующих заболеваний:
- гингивит;
- пародонтоз;
- пародонтит;
- механическое повреждение.
Лечение гингивита
Терапия гингивита сосредоточена на местном лечении, направленном на устранение причин боли и воспаления. Методики подбираются индивидуально.
Консервативные методы лечения гингивита:
- Удаление зубных отложений с помощью специализированных инструментов (крючки, экскаваторы, ультразвук). Это важный этап, без которого эффективность терапии низкая и высок риск рецидивов. После удаления отложений десны обрабатываются антисептиками.
- Противовоспалительные средства (ибупрофен, нимесулид, парацетамол) помогают снять воспаление и боль.
- Противомикробные препараты (фурацилин, хлоргексидин) в виде аппликаций и гелей. Назначение зависит от антибиотикограммы.
- Кератопластические средства (солкосерил, актовегин, масла) способствуют регенерации эпителия.
- Физические методы: гидромассаж, электрофорез, дарсонвализация, диатермокоагуляция.
- Гормональная терапия (кортикостероиды) назначается при отечном гингивите для уменьшения отека и болезненности.
- Склерозирующая терапия применяется при неэффективности других методов для остановки гипертрофического процесса.
Хирургическое лечение проводится после санации полости рта и удаления налета. Оно применяется реже, чем при других заболеваниях.
Хирургические методы лечения гингивита:
- Иссечение десны в пораженной области при язвенно-некротическом процессе.
- Удаление межзубных сосочков при гипертрофическом гингивите различными методами (классическим, криодеструкцией, диатермокоагуляцией).
Тактика лечения пародонтоза
Лечение пародонтоза требует более сложного подхода, направленного на улучшение кровоснабжения и регенерацию тканей, одновременно с устранением этиологического фактора.
Методы лечения пародонтоза:
- Гидротерапия: использование воды для улучшения микроциркуляции, включая общие ванны и местные процедуры.
- Фототерапия: лазерное излучение и магнитотерапия для улучшения микроциркуляции.
- Массаж: гидромассаж, вакуумный, аутомассаж, вибромассаж для улучшения кровообращения и уменьшения кровоточивости десен.
- Электрофорез препаратов (кальций, витамины, фтор, цинк).
Своевременная терапия помогает остановить нарушение трофики тканей.
Тактика лечения пародонтита
Лечение пародонтита проводится поэтапно: сначала устраняется причина, затем назначается противовоспалительная терапия, после которой могут применяться физиотерапевтические методы. Хирургические методы являются основными для полного излечения.
Если пародонтит вызван соматическим заболеванием, стоматолог занимается симптоматическим лечением, а основное заболевание лечит врач соответствующего профиля.
Методы лечения пародонтита:
- Антибактериальная терапия: препараты с широким спектром действия.
- Противовоспалительная терапия: ибупрофен, индометацин, аспирин.
- Кюретаж: обязательная процедура при глубине карманов до 5 мм, проводится под анестезией.
- Пластика десны: закрытие дефекта лоскутом при значительном обнажении шейки зуба.
- Гингивотомия: рассечение десны для открытого кюретажа.
- Лоскутные операции: восстановление роста кости после ликвидации карманов.
- Радикальная гингивоостеопластика: операция при генерализованном пародонтите с глубиной карманов более 6 мм.
Также может быть рекомендовано ортопедическое лечение для устранения скученности зубов и аномалий прикуса.
Тактика лечения механических повреждений десны
Первый шаг — устранение травмирующего фактора. Далее следует ликвидация воспаления, восстановление целостности тканей и предотвращение осложнений.
Методы лечения механических повреждений десны:
- Устранение повреждающего фактора (коррекция протезов).
- Обработка ран: удаление некротизированных участков и антисептики.
- Противовоспалительные средства для снятия отека и боли.
- Антибактериальная терапия для предотвращения нагноения.
- Кератопластические средства для ускорения регенерации.
- Обезболивающие средства при острых повреждениях.
Соблюдение гигиены полости рта после лечения важно для предотвращения повторной боли в деснах.
Сроки излечения и прогноз заболеваний, сопровождающихся болью в десне
При своевременном обращении к специалисту и лечении заболеваний десен прогноз обычно положительный. Однако многие пациенты откладывают визит к врачу, что может привести к осложнениям.
Сроки выздоровления от боли в деснах зависят от:
- типа заболевания;
- формы заболевания (острая или хроническая);
- степени тяжести;
- возраста пациента;
- чувствительности микроорганизмов к антибиотикам;
- места локализации поражения;
- размера затронутой области (локализованные или генерализованные);
- времени обращения за помощью;
- общего состояния здоровья пациента.
Из-за множества факторов определить сроки выздоровления сложно. Прогноз может варьироваться от благоприятного до неблагоприятного в зависимости от обстоятельств. Сроки и прогноз устанавливаются индивидуально.
Наиболее оптимистичный прогноз при гингивите, так как не повреждается зубодесневое соединение. После устранения причин и лечения обычно достигается полное выздоровление. При пародонтите и пародонтозе успешным считается лечение, если удается стабилизировать процесс и предотвратить дальнейшее развитие заболевания. Восстановление после механических повреждений десен зависит от глубины и тяжести поражения.
Курсы лечения назначаются на 7–10 дней. В это время при легких и средних заболеваниях исчезают болевые ощущения и симптомы воспаления, улучшается общее состояние. Заболевания с осложнениями требуют более длительного лечения, и прогноз в таких случаях менее оптимистичный.
Профилактика болей в десне
Профилактика боли в деснах важна, так как это состояние часто можно избежать, следуя простым рекомендациям.
Рекомендации для предотвращения боли в деснах:
- регулярно посещать стоматолога для раннего выявления заболеваний;
- чистить зубы дважды в день;
- использовать лечебные и гигиенические растворы для полоскания рта;
- придерживаться сбалансированного питания, богатого витаминами и минералами в соответствии с возрастом.
Почему болит десна при прорезывании зубов мудрости?
Третьи моляры, или зубы мудрости, прорезываются в возрасте 12–26 лет на нижней челюсти и 17–22 лет на верхней. Этот процесс может быть безсимптомным, но часто вызывает дискомфорт в деснах и общее ухудшение самочувствия.
При росте зубов мудрости десна растягивается, что может привести к её разрыву и высвобождению медиаторов, регулирующих воспаление. Боль при прорезывании зубов мудрости обычно временная.
Причины боли в десне при прорезывании зубов мудрости:
- Недостаток пространства для прорезывания зуба. К моменту появления зуба мудрости челюсть уже сформирована, и зубу приходится преодолевать препятствия, что может вызвать механическое повреждение десны и воспаление.
- Перикоронит. Воспаление капюшона десны, закрывающего часть непрорезавшегося зуба. Это состояние возникает при затянувшемся процессе прорезывания, что приводит к хроническому раздражению десны и её воспалению. Капюшон также способствует накоплению пищи, что увеличивает риск воспаления.
- Неправильный рост зуба. Зубы мудрости могут расти в неправильном направлении — к щеке, языку или соседним молярам, вызывая болевые ощущения. Горизонтальный рост может разрушать соседние зубы и деформировать зубной ряд, приводя к подвижности зубов и инфекциям. Неправильный рост может сдавливать нерв, вызывая онемение челюсти, особенно при нижних третьих молярах.
При болях в десне достаточно принять противовоспалительные препараты, такие как нимесулид или ибупрофен, обладающие обезболивающим эффектом. Рекомендуются растворы для полоскания рта. При гнойном процессе могут быть назначены антибиотики. Врач может провести иссечение десны над зубом и удалить капюшон.
Некоторые стоматологи советуют удалять все третьи моляры, так как они не имеют особого функционального значения. Однако удаление следует проводить только при наличии показаний, таких как неправильное положение зуба, негативное влияние на соседние зубы и воспалительный процесс.
Почему болит десна после удаления зуба?
При удалении зуба повреждаются ткани десны. Боль может возникнуть после окончания действия местной анестезии и обычно носит ноющий характер. Возможен небольшой отек. Если боль сохраняется в течение первых двух дней, это нормально, так как требуется время для заживления раны.
Распространенные осложнения, проявляющиеся болью в десне после удаления зуба:
- Неполное извлечение корня зуба. Это может вызвать воспаление и нагноение, приводя к болевым ощущениям.
- Инфекция раны. Может возникнуть из-за недостаточной гигиены, некачественной обработки лунки или ослабленного иммунитета.
- Остеомиелит челюсти. Заболевание, затрагивающее костную ткань и костный мозг челюсти, может повлиять на всю костную систему.
- Сухая лунка. Если не образуется или выпадает кровяной сгусток, это увеличивает риск инфицирования и вызывает сильную боль.
- Луночковое кровотечение. Может быть первичным (сразу после удаления) или вторичным (через некоторое время).
При появлении признаков осложнений необходимо обратиться к врачу.
Следует обратиться к врачу при наличии следующих симптомов:
- сильная боль через 2–3 дня после удаления;
- болезненные ощущения при прикосновении к лунке или во время еды;
- повышение температуры;
- пульсирующая боль;
- отечность десны;
- отек щеки;
- неприятный запах изо рта.
После удаления зуба рекомендуется воздержаться от еды в течение нескольких часов. Можно принимать обезболивающие и жаропонижающие средства (аспирин, парацетамол, ибупрофен) и прикладывать холодный компресс. Не следует использовать теплые компрессы, накладывать тампоны и примочки на рану, так как это может привести к инфекции. В первые дни не рекомендуется полоскать рот, чтобы избежать выпадения кровяного сгустка.
Почему болит десна в конце челюсти?
Боль в десне в задней части челюсти чаще всего вызвана воспалением тканей пародонта или прорезыванием зубов мудрости. Она может затруднять прием пищи и разговор.
Одной из причин боли является недостаточная гигиена полости рта. Зубы в этой области труднее чистить, что способствует воспалению. Лечебные процедуры здесь также сложны.
Прорезывание зубов мудрости — наиболее распространенная причина боли. Она может возникать внезапно, длиться долго, быть постоянной или периодической. Боль может сопровождаться повышением температуры, слабостью и усталостью, но все эти симптомы временные и исчезают после прорезывания зуба.
К другим частым причинам боли в десне в задней части челюсти относятся:
- Гингивит – воспаление десен, проявляющееся кровоточивостью, отечностью и болезненностью при чистке зубов и приеме пищи. Гингивит полностью излечим при своевременном обращении к врачу.
- Пародонтит – воспаление пародонта, которое может привести к его разрушению при прогрессировании заболевания и образованию пародонтальных карманов.
- Пародонтоз – заболевание околозубной ткани, сопровождающееся нарушением микроциркуляции и питания пародонта.
- Периостит челюсти – воспаление надкостницы альвеолярного отростка или всей челюстной кости, проявляющееся отеком и болью в десне, иррадиирующей в ухо, глаз или височную область.
- Последствия удаления зуба, включая кровотечение, нагноение лунки и неполное удаление зуба.
- Перикоронит – воспаление десневого капюшона при прорезывании зуба мудрости, сопровождающееся сильной болью, отечностью и покраснением десны.
Иногда боль, связанная с заболеваниями или травмами височно-нижнечелюстного сустава, может иррадиировать в область десны. В таких случаях рентгенологическое исследование помогает установить точный диагноз.
Как можно лечить боль в десне в домашних условиях?
Вылечить заболевания десен в домашних условиях можно с помощью медикаментов и народных средств. Лекарственные препараты для устранения боли могут действовать местно или системно. Перед применением рекомендуется проконсультироваться с врачом.
К средствам местного действия относятся:
- мази (Траумель С);
- растворы для полоскания (Хлоргексидин, Мирамистин);
- гели (Метронидазол, Холисал, Камистад);
- аппликации для уменьшения отека и успокоения десен;
- лечебные зубные пасты (Парадонтакс, Лакалут).
Также стоит рассмотреть препараты, которые воздействуют на весь организм, укрепляя сосуды, улучшая микроциркуляцию и повышая иммунитет. Эти средства помогают снизить температуру, уменьшить боль и воспаление. К ним относятся противовоспалительные и обезболивающие препараты (Парацетамол, Ибупрофен, Нимесулид, Анальгин, Кеторолак).
Среди растворов и отваров, которые могут помочь при боли в деснах, выделяются:
- Настойка коры дуба. 1,5 ч. л. коры залить 200 мл кипятка и держать на водяной бане 15 минут. Полоскать рот настойкой несколько раз в день. Кора дуба обладает противовоспалительным и дезинфицирующим действием.
- Настойка шалфея. 2 ст. л. шалфея залить 0,5 л кипятка и настаивать 1 час. Процеженный настой использовать для полоскания. Шалфей обладает противомикробным и противовоспалительным эффектом.
- Корень цикория. 1 ст. л. мелко нарезанного корня залить стаканом кипятка, варить 5 минут и остудить. Полоскать рот 3-4 раза в день. Цикорий помогает снять боль и воспаление.
- Раствор для полоскания с содой и солью. В теплой воде растворить по 1 ч. л. соды и соли. Полоскать рот часто, пока боль не утихнет. Можно добавить несколько капель йода или раствора Люголя.
- Отвар репы. 2 ст. л. измельченной репы залить водой, довести до кипения и варить 15 минут. После остывания использовать для полоскания. Репа содержит витамины, защищающие костную ткань.
- Настойка прополиса. Уменьшает отек, успокаивает десны и обладает антибактериальными свойствами.
- Настой ромашки. 1 ч. л. цветков залить водой, настоять и полоскать рот не менее 3 раз в день. Ромашка снижает боль и воспаление десен.
- Холодный компресс. Приложите лед к внешней стороне щеки на 15-20 минут для временного облегчения боли.
Эти средства могут временно облегчить боль, но важно обратиться к врачу для предотвращения осложнений.
Вопрос-ответ
Что хорошо снимает воспаление с десны?
Среди них: ротокан, хлорофиллипт, стоматофит. Наиболее действенными считаются специальные стоматологические гели. Они обладают выраженным противовоспалительным действием, отлично впитываются и дольше задерживаются на слизистой.
Как понять, что в десне инфекция?
Признаки инфекции в десне могут включать покраснение и отек десен, болезненность при нажатии, наличие гноя или неприятного запаха изо рта, а также кровоточивость десен. Если вы заметили эти симптомы, рекомендуется обратиться к стоматологу для диагностики и лечения.
Как называется болезнь, когда болят десны?
Гингивит – воспаление десен (без нарушения целостности зубодесневого соединения) – отдельное заболевание, сопутствующее или же проявление другого заболевания. Поражается только слизистая оболочка, в процессе не участвуют костные ткани.
Советы
СОВЕТ №1
Регулярно посещайте стоматолога для профилактических осмотров. Это поможет выявить проблемы с деснами на ранних стадиях, таких как гингивит или пародонтит, и предотвратить их развитие.
СОВЕТ №2
Обратите внимание на свою гигиену полости рта. Чистите зубы дважды в день и используйте зубную нить, чтобы удалить остатки пищи и налет между зубами и деснами, что поможет снизить риск воспаления.
СОВЕТ №3
Следите за своим питанием. Употребление продуктов, богатых витаминами C и D, а также кальцием, может укрепить десны и снизить вероятность их воспаления. Избегайте чрезмерного потребления сахара и кислых продуктов.
СОВЕТ №4
Если вы заметили кровоточивость десен или другие симптомы, такие как отечность или боль, не откладывайте визит к стоматологу. Чем раньше вы получите помощь, тем легче будет решить проблему.








