Почему возникают боли после удаления зуба?
После удаления зуба врачи рекомендуют соблюдать несколько важных правил для ускорения процесса заживления и предотвращения осложнений. В первую очередь, необходимо избегать физических нагрузок и не курить в течение первых 24 часов, так как это может привести к нарушению образовавшегося тромба и вызвать сухую лунку. Также важно не полоскать рот и не есть горячую пищу в первые сутки. Врачи советуют придерживаться мягкой диеты, употребляя холодные и теплые, но не горячие продукты. Для уменьшения отека и боли можно использовать холодные компрессы. Если дискомфорт не проходит или появляются необычные симптомы, следует незамедлительно обратиться к стоматологу. Правильный уход после удаления зуба способствует быстрому восстановлению и снижает риск осложнений.

Особенности иннервации верхней и нижней челюсти
Верхняя и нижняя челюсти иннервируются верхними и нижними альвеолярными нервами, ответвлениями тройничного нерва — главного чувствительного нерва головы и лица. Эти нервы образуют альвеолярные нервные сплетения.
Альвеолярные нервы иннервируют:
- десневую ткань;
- пародонт — ткани, окружающие корень зуба;
- зубы: зубные нервы и кровеносные сосуды проникают в пульпу через отверстие в корневой верхушке.
При удалении зуба стоматолог извлекает нерв, но нервные окончания в деснах и пародонте остаются. Их раздражение вызывает болевые ощущения после удаления зуба.
| Время после удаления | Действия | Что следует избегать |
|---|---|---|
| Первые 30 минут | Прикусывать тампон, обеспечивая давление на лунку. | Разговаривать, полоскать рот, курить, употреблять алкоголь |
| Первые 24 часа | Холодные компрессы на щеку (15 мин. с перерывами). | Горячие напитки и пищу, физические нагрузки, полоскание рта |
| Первые 2-3 дня | Мягкая диета (пюре, йогурты). | Твердую пищу, кислую пищу, алкоголь, курение |
| Первые 7-10 дней | Осторожное полоскание рта антисептиком (по назначению врача). | Активное полоскание, касание лунки языком или пальцем |
| После 7-10 дней | Постепенный возврат к обычной диете. | Травмирующую пищу |
| В течение всего периода заживления | Соблюдать гигиену полости рта, но аккуратно. | Сильное давление на область удаления зуба |
Как долго сохраняются боли после удаления зуба?
Болевые ощущения могут сохраняться 4-7 дней.
Факторы, влияющие на продолжительность боли:
- Сложность процедуры: зависит от расположения зуба (резцы, клыки, малые или большие коренные), состояния зуба и окружающих тканей, а также размеров корня.
- Соблюдение рекомендаций стоматолога: строгое выполнение указаний врача снижает риск боли.
- Опыт стоматолога: аккуратность и профессионализм врача важны при удалении зуба.
- Оснащение клиники: современные инструменты и технологии уменьшают болевые ощущения.
- Индивидуальные особенности пациента: восприятие боли варьируется; некоторые чувствуют её острее, другие – менее.
После удаления зуба многие люди сталкиваются с вопросами о том, как правильно ухаживать за ротовой полостью и что делать в первые дни. Важно помнить, что в первые 24 часа следует избегать горячей пищи и напитков, чтобы не спровоцировать кровотечение. Многие советуют прикладывать холодный компресс к щеке, чтобы уменьшить отек. Также стоит избегать физических нагрузок и не курить, так как это может замедлить процесс заживления.
Некоторые отмечают, что прием прописанных врачом обезболивающих помогает справиться с дискомфортом. Важно следить за гигиеной: аккуратно чистить зубы, избегая области удаленного зуба, чтобы не повредить сгусток крови. Люди также делятся опытом о том, как важно соблюдать рекомендации стоматолога и не игнорировать возможные осложнения. В целом, правильный уход и внимание к своему состоянию помогут избежать неприятностей и ускорить восстановление.

Что делать, если боль сохраняется в течение длительного времени?
Лучше снова посетить стоматолога для осмотра и рекомендаций. Временно можно использовать обезболивающие.
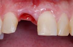
Как выглядит лунка после удаления зуба?
После удаления зуба остается ранка.
Этапы заживления лунки после удаления зуба:
| 1 сутки | В лунке формируется сгусток крови, необходимый для заживления. Его нельзя трогать. |
| 3-й сутки | Появляются первые признаки заживления, на ранке образуется тонкий слой эпителия. |
| 3 – 4 сутки | Образуются грануляции – соединительная ткань, способствующая заживлению. |
| 7 – 8 сутки | Сгусток крови почти полностью заменяется грануляциями, сохраняется лишь небольшая его часть. Эпителий активно покрывает ранку, внутри формируется новая костная ткань. |
| 14 – 18 сутки | Ранка зарастает эпителием, сгусток заменяется грануляциями, в которых развивается костная ткань. |
| 30 сутки | Новая костная ткань заполняет почти всю лунку. |
| 2 – 3 месяца | Лунка полностью заполняется костной тканью. |
| 4 месяца | Костная ткань внутри лунки приобретает структуру, аналогичную челюсти. Высота краев лунки уменьшается на треть высоты корня зуба, альвеолярный гребень утончается. |
Ранка проходит все стадии заживления, если не проводится протезирование.
После удаления зуба стоматолог дает рекомендации, соблюдение которых поможет избежать или уменьшить зубную боль.
Рекомендации для пациентов после удаления зуба:
- Избегайте физических нагрузок. Отдых должен быть спокойным в первые два дня.
- Не ешьте в течение первых 2 – 3 часов после процедуры. Пища может повредить ранку и вызвать длительную боль.
- Не жуйте на стороне, где был удален зуб.
- Избегайте курения и алкоголя в течение нескольких дней. Они могут раздражать десну и усиливать боль.
- Не трогайте лунку языком, не используйте зубочистки. Если в лунку попали кусочки пищи, не пытайтесь их удалить, лучше прополощите рот после еды.
- Полоскания рта полезны, но начинать их следует не раньше второго дня.
- При усилении болей можно принимать обезболивающие, но лучше проконсультироваться с врачом.
Полоскания рта можно начинать со второго дня после удаления зуба, используя растворы, рекомендованные стоматологом.
| Препарат | Описание | Применение |
| Хлоргексидин | Антисептик, предотвращающий инфицирование лунки. Продается в виде 0,05% водного раствора. | Полоскать рот несколько раз в день, удерживая раствор не менее 1 минуты. |
| Мирамистин | Антисептический раствор, активный против вирусов герпеса. Выпускается во флаконах с распылителем. | Полоскать рот 2 – 3 раза в день, удерживая раствор 1 – 3 минуты. |
| Содно-солевые ванночки | Полоскание крепким раствором соли и соды, рекомендуется при воспалении десны. | Полоскать рот 2 – 3 раза в день, удерживая раствор 1 – 3 минуты. |
| Настои трав | Готовые настои, предпочтительно ромашки, календулы или эвкалипта, с антисептическим действием. | Полоскать рот 2 – 3 раза в день, удерживая раствор 1 – 3 минуты. |
| Раствор фурацилина | Антимикробное средство, эффективное против многих микроорганизмов. | Полоскать рот 2 – 3 раза в день, удерживая раствор 1 – 3 минуты. |
| Информация представлена для ознакомления. Самолечение недопустимо и может привести к негативным последствиям. |
В первый день после удаления зуба полоскания не проводятся, так как сгусток очень хрупкий и важен для заживления.
Полоскания начинаются со второго дня по назначению стоматолога. Не следует полоскать рот активно, чтобы не удалить сгусток. Лучше проводить ванночки: наберите немного жидкости в рот и держите около лунки 1 – 3 минуты, затем сплюньте.
В первые 2 часа после удаления зуба следует воздержаться от еды. В течение суток не рекомендуется употреблять горячую пищу, так как она может раздражать рану.
Рекомендации по питанию на первые несколько дней после удаления зуба:
- Употребляйте только мягкую пищу.
- Избегайте сладкого и горячего.
- Не пейте через соломинку.
- Откажитесь от алкоголя.
- Не используйте зубочистки, замените их на полоскания рта после каждого приема пищи.
Кровоточивость после удаления зуба может продолжаться несколько часов. Примесь сукровицы в слюне считается нормальной.
Меры при сильной кровоточивости спустя несколько часов после удаления зуба:
- Прикусите марлевый тампон на лунке и подержите его некоторое время.
- Приложите холод к месту удаления зуба.
Если кровоточивость не прекращается, необходимо обратиться к стоматологу.
Удаление зуба — это микрохирургическое вмешательство. После сложных удалений (например, зубов мудрости) отек возникает почти всегда, но обычно он незначительный и быстро проходит.
Сильный и длительный отек может указывать на воспалительный процесс.
Возможные причины воспаления, вызывающего отек щеки после удаления зуба:
- Нарушение асептики и антисептики во время удаления.
- Несоблюдение рекомендаций стоматолога.
- Недостаточная санация ранки.
- Аллергические реакции на препараты.
- Снижение иммунитета.
Если после удаления зуба на лице появился отек, его можно уменьшить следующими способами:
- В первые часы прикладывайте холод к щеке.
- Позже используйте сухое тепло.
Признаки, требующие срочной помощи стоматолога:
- Сильный отек.
- Длительное сохранение отека.
- Выраженная боль, не проходящая долго.
- Повышение температуры до 39 – 40°C.
- Общее ухудшение состояния: головная боль, усталость, сонливость.
- Увеличение симптомов со временем.
В таких случаях следует немедленно обратиться к стоматологу. Возможно, потребуется назначение антибиотиков и дополнительные исследования.
Температура тела может повышаться до 38°C в течение суток. Если это продолжается дольше, вероятно, развивается воспалительный процесс. Причины и симптомы аналогичны тем, что описаны для отека щеки.
При повышении температуры до 38°C в первые сутки достаточно следовать рекомендациям стоматолога. Если температура продолжает повышаться, необходимо обратиться к врачу.
Сухая лунка – распространенное осложнение после удаления зубов, которое может привести к альвеолиту.
Причины сухой лунки:
- Отсутствие кровяного сгустка.
- Удаление сгустка из-за жесткой пищи, интенсивного полоскания или попыток удалить застрявшие частицы пищи.
Лечение сухой лунки
Если вы подозреваете это осложнение, как можно скорее обратитесь к стоматологу. Обычно врач накладывает компрессы с лекарственными веществами и дает дальнейшие рекомендации. Основные цели лечения – ускорить заживление и предотвратить развитие альвеолита.
Альвеолит – воспаление альвеолы, в которой находился корень зуба.
Причины альвеолита:
- Несоблюдение рекомендаций стоматолога.
- Повреждение кровяного сгустка.
- Недостаточная обработка лунки.
- Сниженный иммунитет.
Симптомы альвеолита:
- Увеличение боли через несколько дней после удаления.
- Повышение температуры выше 38°C.
- Неприятный запах изо рта.
- Боль при прикосновении к десне.
- Общее ухудшение состояния: головная боль, усталость, сонливость.
Лечение альвеолита
При появлении этих симптомов необходимо обратиться к стоматологу.
Мероприятия в стоматологическом кабинете:
- Обезболивание.
- Удаление инфицированного сгустка и тщательная очистка лунки.
- При необходимости – кюретаж лунки.
- Обработка антисептиками.
- Установка тампона с лекарством.
Далее необходимо ежедневно полоскать рот антисептиками и строго следовать рекомендациям врача. При необходимости назначаются антибиотики.
Применяемые антибиотики
| Джозамицин (Вальпрофен) | Сильный антибиотик, редко вызывает устойчивость у микроорганизмов. Эффективен против большинства возбудителей воспалений в полости рта. | Взрослым и подросткам старше 14 лет назначают 1 – 2 г в день (обычно по 1 таблетке 500 мг 1 раз в день). |
| Гексализ | Комбинированный препарат с антисептическими и противовоспалительными компонентами. | Взрослым назначают по 1 таблетке каждые 2 часа, максимум 8 таблеток в сутки. |
| Гексаспрей | Аналог Гексализа, выпускается в виде спрея. | Ингаляция 3 раза в день по 2 впрыскивания. |
| Грамицидин (Граммидин) | Мощный антибиотик, уничтожающий большинство возбудителей заболеваний. | Взрослым и детям старше 12 лет по 2 таблетки 4 раза в сутки. |
| Неомицин | Антибиотик широкого спектра действия. | После чистки лунки стоматолог закладывает порошок Неомицина и прикрывает тампоном. |
| Олететрин | Комбинированный антибактериальный препарат. | Используется аналогично Неомицину. |
| Информация представлена для ознакомления. Самолечение недопустимо и может привести к негативным последствиям. |
Осложнения альвеолита:
- Периостит – воспаление надкостницы челюсти.
- Абсцессы и флегмоны – гнойные образования под слизистой оболочкой.
- Остеомиелит – воспаление челюсти.
Остеомиелит – гнойное воспаление челюсти, обычно является осложнением альвеолита.
Симптомы остеомиелита:
- Сильная нарастающая боль.
- Выраженный отек на лице.
- Повышение температуры.
- Общее ухудшение состояния.
Лечение остеомиелита проводится в стационаре.
Направления лечения:
- Хирургическое вмешательство.
- Применение антибиотиков.
При удалении зуба может произойти повреждение нерва, что случается при сложной форме корня зуба или недостаточном опыте стоматолога.
При повреждении нерва возникает онемение слизистой в области щек, губ, языка. Обычно такие травмы незначительны и проходят за несколько дней. Если восстановление не происходит, необходимо обратиться к врачу для назначения физиопроцедур.

Что нужно делать после удаления зуба?
После удаления зуба стоматолог дает пациенту рекомендации, которые помогут избежать или уменьшить зубную боль.
Рекомендации для пациентов после удаления зуба:
- Избегайте физических нагрузок. Отдых должен быть спокойным, особенно в первые два дня.
- Не ешьте в течение 2-3 часов после удаления. Пища может повредить рану и вызвать длительную боль.
- В течение нескольких дней не жуйте на стороне, где был удален зуб.
- Избегайте курения и алкоголя. Дым и алкоголь могут раздражать десну и усиливать боль.
- Не трогайте лунку языком и не используйте зубочистки. Кровяной сгусток в лунке важен для заживления. Если в лунку попали кусочки пищи, не пытайтесь их удалить, просто прополощите рот после еды.
- Полоскания рта могут быть полезными, но начинать их следует не раньше второго дня.
- Если боль усиливается, можно принимать обезболивающие, но лучше проконсультироваться с врачом.
Чем полоскать рот после удаления зуба?
Полоскания рта можно начинать на второй день после удаления зуба, используя растворы, рекомендованные стоматологом.
| Препарат | Описание | Применение |
| Хлоргексидин | Антисептик для предотвращения инфицирования лунки после удаления зуба. Доступен в аптеке в виде 0,05% раствора для полоскания с горьким вкусом. | Полоскать рот несколько раз в день, удерживая раствор не менее 1 минуты. |
| Мирамистин | Антисептический раствор, менее эффективный против патогенных микроорганизмов, но действенный против вирусов герпеса. Продается во флаконах с распылителем. | Полоскать рот 2-3 раза в день, удерживая раствор 1-3 минуты. |
| Содно-солевые ванночки | Полоскание раствором соли и соды. Рекомендуется при воспалении десен, особенно после надреза для удаления гноя. | Полоскать рот 2-3 раза в день, удерживая раствор 1-3 минуты. |
| Настои трав | Готовые настои, доступные в аптеках. Рекомендуются настои ромашки, календулы и эвкалипта с слабым антисептическим действием (менее эффективным, чем Хлоргексидин или Мирамистин). | Полоскать рот 2-3 раза в день, удерживая раствор 1-3 минуты. |
| Раствор фурацилина | Антимикробное средство, эффективное против многих патогенных микроорганизмов. Доступен в двух формах: готовый раствор и таблетки. Для приготовления раствора растворите две таблетки Фурацилина в 200 мл воды. | Полоскать рот 2-3 раза в день, удерживая раствор 1-3 минуты. |
| Данная информация предназначена только для ознакомления. Самолечение недопустимо и может привести к нежелательным последствиям. |
Как правильно полоскать рот после удаления зуба?
В первый день после удаления зуба полоскать рот не следует. Кровяной сгусток в лунке хрупкий и легко повреждается, но он важен для заживления.
Полоскания разрешены со второго дня, но только по рекомендации стоматолога. Избегайте интенсивного полоскания, чтобы не потерять сгусток. Рекомендуются ванночки: наберите немного жидкости в рот, удерживайте около лунки 1-3 минуты и сплюньте.
Как правильно питаться после удаления зуба?
В первые два часа после удаления зуба не ешьте. В течение суток избегайте горячей пищи, чтобы не раздражать рану и не усиливать боль.
Советы по питанию после удаления зуба:
- употребляйте мягкие продукты
- избегайте сладостей и горячей пищи
- не пейте через трубочку
- исключите алкоголь
- не используйте зубочистки, замените их на полоскания рта после еды
Как долго может кровоточить лунка после удаления зуба?
Кровотечение после удаления зуба может длиться несколько часов. Небольшая примесь крови в слюне в этот период считается нормальной.
Рекомендации при сильном кровотечении спустя несколько часов после удаления зуба:
- Прижмите марлевый тампон к лунке и удерживайте его некоторое время для остановки крови.
- Приложите холодный компресс к области удаления зуба.
Если эти меры не помогают и кровотечение продолжается, обратитесь к стоматологу.
Отек щеки после удаления зуба
Причины.
Температура тела может повышаться до 38⁰C, но не более чем на сутки. Если это состояние длится дольше, стоит рассмотреть возможность воспалительного процесса. Причины и основные симптомы схожи с теми, что были упомянуты при обсуждении отека щеки.
Что делать?
Если температура тела достигает 38⁰C в первые сутки, достаточно следовать рекомендациям стоматолога. Если температура остается высокой, необходимо обратиться к стоматологу или вызвать врача на дом.
Повышение температуры тела после удаления зуба
Осложнения после удаления зуба.
Сухая лунка.
Сухая лунка — распространенное осложнение после удаления зубов, которое может привести к альвеолиту.
Причины возникновения сухой лунки:
- отсутствие кровяного сгустка в лунке после удаления зуба
- сгусток образовался, но был удален из-за твердой пищи в первые сутки, чрезмерного полоскания или попыток удалить остатки пищи жесткими предметами.
Лечение сухой лунки
При подозрении на это осложнение необходимо обратиться к стоматологу. Врач накладывает компрессы с медикаментами и дает рекомендации. Основные цели лечения — ускорить заживление и предотвратить альвеолит.
Альвеолит.
Альвеолит – воспаление в области зубной альвеолы, где находился корень зуба.
Причины альвеолита:
- Несоблюдение рекомендаций стоматолога после удаления зуба и правил гигиены.
- Повреждение или потеря кровяного сгустка в лунке, чаще всего из-за попыток удалить застрявшую пищу или чрезмерного полоскания.
- Недостаточная обработка лунки и нарушение асептики со стороны стоматолога при удалении зуба.
- Ослабленный иммунитет пациента.
Симптомы альвеолита:
- Через несколько дней после удаления зуба боль усиливается и не проходит.
- Температура тела выше 38⁰C.
- Неприятный запах изо рта.
- Болезненность при прикосновении к десне.
- Общее ухудшение состояния: головные боли, утомляемость, сонливость.
Лечение альвеолита
При появлении симптомов необходимо обратиться к стоматологу.
Процедуры в стоматологическом кабинете:
- Обезболивание (инъекция лидокаина или новокаина в десну).
- Удаление инфицированного кровяного сгустка и очистка лунки.
- При необходимости – кюретаж лунки для удаления инородных тел и грануляций.
- Обработка лунки антисептическими растворами.
- Установка тампона с лекарственным средством в лунку.
Далее следует ежедневно полоскать рот антисептиками и строго следовать рекомендациям врача. При необходимости стоматолог может назначить антибиотики.
Применяемые антибиотики
| Название препарата | Описание | Способ применения |
| Джозамицин (Вальпрофен) | Сильный антибактериальный препарат, эффективный против большинства возбудителей воспалительных заболеваний полости рта. Выпускается в таблетках по 500 мг. | Взрослые и подростки старше 14 лет принимают по 1-2 г в день (обычно начинают с 1 таблетки 500 мг 1 раз в день). Таблетку следует проглотить целиком, запив водой. |
| Гексализ | Комбинированный препарат, содержащий: * Биклотимол – антисептик, эффективный против многих микроорганизмов, обладает противовоспалительным действием. * Лизоцим – фермент с противомикробным эффектом. * Эноксолон – препарат с противовирусным, противомикробным и противовоспалительным действием. Выпускается в таблетках по 5 г каждого активного вещества. | Взрослым назначают по 1 таблетке каждые 2 часа. Максимальная суточная доза – 8 таблеток. |
| Гексаспрей | Аналог Гексализа. Действующее вещество – Биклотимол. Выпускается в виде спрея для ротовой полости. | Ингаляция 3 раза в день, по 2 впрыскивания. |
| Грамицидин (Граммидин) | Мощный антибиотик, уничтожающий большинство возбудителей заболеваний в ротовой полости. Выпускается в виде таблеток для рассасывания, каждая содержит 1,5 мг действующего вещества. | Взрослым и детям старше 12 лет: по 2 таблетки 4 раза в сутки (одна таблетка, через 20 минут – вторая). Детям младше 12 лет: по 1-2 таблетки 4 раза в сутки. Общая продолжительность приема – 5-6 дней. |
| Неомицин (синонимы: Колимицин, Мицерин, Софрамицин, Фурамицетин) | Антибиотик широкого спектра действия, эффективный против многих микроорганизмов. | После очистки лунки стоматолог закладывает порошок Неомицина и закрывает тампоном. Боли и другие симптомы обычно проходят вскоре после процедуры. Часто требуется повторить через 1-2 дня. |
| Олететрин | Комбинированный антибактериальный препарат, смесь Олеандромицина и Тетрациклина в соотношении 1:2. | Используется аналогично Неомицину: порошок закладывается в лунку. Иногда добавляют местный анестетик для уменьшения болей. |
| Данная информация предназначена только для ознакомления. Самолечение недопустимо и может привести к негативным последствиям. |
Осложнения альвеолита:
- периостит – воспаление надкостницы челюсти
- абсцессы и флегмоны – гнойные образования под слизистой оболочкой или кожей
- остеомиелит – воспаление челюсти
Редкие осложнения после удаления зуба
Остеомиелит
Остеомиелит — гнойное воспаление челюстей, чаще всего возникающее как осложнение альвеолита.
Признаки остеомиелита челюсти:
- интенсивная боль, усиливающаяся со временем
- отек на лице в области удаленного зуба
- повышение температуры
- ухудшение общего состояния: головные боли, утомляемость, сонливость
- воспаление может затрагивать соседние зубы и распространяться на более обширные участки кости, ухудшая самочувствие пациента
Лечение остеомиелита челюсти проводится в стационаре.
Методы лечения:
- хирургическое вмешательство
- антибиотики
Повреждение нерва
При удалении зуба возможно повреждение соседнего нерва, что может быть вызвано сложной анатомией корня или недостаточной квалификацией стоматолога.
Если нерв поврежден, пациент может почувствовать онемение слизистой в области щек, губ, языка или неба, в зависимости от удаляемого зуба. Обычно такие травмы незначительны и восстанавливаются за несколько дней. Если восстановление не происходит, необходимо обратиться к специалисту, который может назначить физиотерапию для улучшения состояния.
Вопрос-ответ
Что категорически нельзя делать после удаления зуба?
После удаления зуба категорически нельзя курить, пить алкоголь, сосать через трубочку, а также есть жесткую или горячую пищу, так как это может вызвать осложнения, замедлить заживление и привести к кровотечению.
Что делать, чтобы быстрее зажила рана после удаления зуба?
Чтобы десна заживала быстрее, можно: делать ротовые ванночки с подсоленной водой или раствором хлоргексидина. Важно не полоскать рот, а держать жидкость во рту, чтобы не повредить кровяной сгусток. Наносить мази или гели.
Можно ли глотать слюну с кровью после удаления зуба?
После удаления зуба мудрости рана кровоточит примерно пару часов. Не глотайте слюну с примесью крови, а осторожно сплёвывайте.
Сколько времени нельзя пить воду после удаления зуба?
Пить можно примерно через 1 час. В ближайшие 2-3 суток после операции исключите из рациона грубую, острую, горячую пищу. Несоблюдение этого требования может привести к вымыванию кровяного сгустка из лунки, ее инфицированию и появлению острых болей.
Советы
СОВЕТ №1
После удаления зуба важно соблюдать режим покоя. Избегайте физических нагрузок и активных действий в течение первых 24 часов, чтобы минимизировать риск осложнений и способствовать заживлению.
СОВЕТ №2
Следите за гигиеной полости рта, но будьте осторожны. Не чистите зубы в области удаленного зуба в первые сутки, чтобы не повредить сгусток крови, который образуется в лунке и способствует заживлению.
СОВЕТ №3
Принимайте назначенные врачом обезболивающие препараты, чтобы облегчить дискомфорт. Не забывайте следовать рекомендациям по дозировке и времени приема.
СОВЕТ №4
Избегайте горячей пищи и напитков в первые несколько дней после удаления зуба. Лучше отдавайте предпочтение мягкой и прохладной пище, чтобы не раздражать область удаления и не вызвать кровотечение.










