Эхинококк – что это?
Что такое эхинококкоз? Это заболевание вызывается паразитами — эхинококками, ленточными червями, обитающими в кишечнике собак, волков и лисиц. Их размеры достигают нескольких миллиметров и видны невооруженным глазом.
Существует два основных вида эхинококка:
- Гидатиозный эхинококкоз – чаще поражает печень у человека.
- Альвеолярный эхинококкоз – в основном затрагивает легкие.
В организме человека паразиты существуют только в форме личинок, представляющих собой однокамерный (гидатиозный) или многокамерный (альвеолярный) пузырь. Этот пузырь, или эхинококковая киста, состоит из наружной и внутренней оболочек. Внутри находится жидкость с новыми зародышами — сколексами. Во внутренней оболочке расположены участки, производящие новые личинки. Пузырь постепенно увеличивается, сжимая окружающие ткани и нарушая их функционирование.
Врачи отмечают, что эхинококкоз является серьезным заболеванием, вызванным паразитами рода Echinococcus. Основными причинами заражения являются контакт с инфицированными животными, особенно собаками, а также употребление немытых овощей и фруктов. Симптомы могут варьироваться от бессимптомного течения до выраженных проявлений, таких как боли в животе, тошнота и аллергические реакции. Современная диагностика включает ультразвуковое исследование, компьютерную томографию и серологические тесты, что позволяет точно определить наличие паразитов. Врачи подчеркивают, что эффективное лечение часто требует хирургического вмешательства для удаления кист, однако в некоторых случаях возможно применение медикаментозной терапии. Важно своевременно обращаться к специалистам для предотвращения осложнений.

Пути передачи эхинококкоза
Эхинококк проходит несколько стадий развития. Окончательными хозяевами паразита обычно являются собаки, реже — кошки. Зрелые черви обитают в кишечнике этих животных. Яйца, выделяемые с фекалиями, попадают в окружающую среду — на землю, в воду, овощи и фрукты, а также на предметы, соприкасающиеся с фекалиями. Пути распространения яиц разнообразны:
- Часть яиц проглатывается мелкими грызунами (крысы, мыши, ондатры). Личинки проникают в кровь и достигают печени, где развиваются. Дикие животные, поедая зараженных грызунов, могут стать носителями. Убитая дичь может заразить человека, если охотники не обработают ее должным образом.
- Другие яйца попадают в кишечник сельскохозяйственных животных (коз, овец, свиней, крупного и мелкого рогатого скота) через траву, зараженные корма или инфицированную воду. Личинки проникают в печень, легкие и другие органы. Человек может заразиться, употребляя плохо обработанное мясо зараженных животных.
- Третий путь — несоблюдение гигиенических норм. Например, если ребенок или взрослый не моет свежесобранную клубнику или не очищает руки после игры с собакой, они рискуют заразиться.
Когда личинки попадают в организм человека, они всасываются из кишечника и попадают в печень. Большинство паразитов не преодолевают печеночный барьер и остаются в печени.
В зависимости от путей распространения паразитов можно выделить несколько клинических форм заболевания. Каждая форма имеет уникальную симптоматику, но есть и общие признаки.
Общая симптоматика
Эхинококкоз не проявляется внезапно высокой температурой или сильной болью. Симптомы могут отсутствовать или быть незначительными на протяжении месяцев или лет, что затрудняет диагностику. Пациенты часто обращаются к различным специалистам, прежде чем попадают на операционный стол для удаления эхинококковой кисты.
К общим симптомам относятся:
- Слабость и повышенная утомляемость
- Снижение работоспособности
- Периодические головные боли
- Высыпания на коже в виде мелкоточечных красных пятен
- Временные повышения температуры
Эти симптомы обусловлены выделением токсичных продуктов обмена паразитов и реакцией организма на инфекцию.
Симптомы при поражении печени
Поражение печени наблюдается более чем в 60% случаев эхинококкоза. Развитие инфекции можно разделить на несколько этапов, каждый из которых имеет свои отличительные симптомы.
Первый этап проходит незаметно. Пациент чувствует себя здоровым. Это связано с внедрением паразитов в ткани печени и формированием защитной капсулы. В некоторых случаях пациенты могут ощущать тяжесть в правом подреберье после обильного приема жирной пищи.
Второй этап сопровождается общей симптоматикой и проявлениями поражения печени. Больные теряют аппетит и вес. При приеме медикаментов могут возникать побочные эффекты из-за сниженной способности печени к детоксикации.
Специфические симптомы поражения печени:
- Тошнота или рвота после употребления жареной или жирной пищи.
- Тяжесть и боли в правом подреберье, особенно после еды или физической нагрузки.
- Периодические расстройства стула, такие как диарея, из-за нарушения переваривания жиров.
При обследовании можно обнаружить увеличение печени, которая будет болезненной и плотной. Эти симптомы могут напоминать гепатит, и неправильная диагностика может привести к длительному и неэффективному лечению. Несмотря на значительное поражение тканей печени, печеночная недостаточность обычно не развивается благодаря высокой регенеративной способности органа.
Третий этап характеризуется осложнениями, связанными с разрывом эхинококковой кисты и распространением яиц гельминтов по организму. На этом этапе могут возникнуть серьезные нарушения работы других органов и систем. Наиболее частые осложнения:
- Нагноение кисты с образованием гнойного содержимого. При разрыве гнойника гной может попасть в брюшную полость, вызывая перитонит. Если киста прорывается в грудную полость, это может привести к гнойному плевриту.
- Разрыв кисты может вызвать резкую аллергическую реакцию из-за высвобождения биологически активных веществ, что приводит к отеку тканей, высыпаниям на коже и затруднению дыхания.
- Большая киста может сдавливать окружающие ткани, включая воротную вену и внутрипеченочные желчные протоки. Это может вызвать следующие симптомы:
- При сдавливании желчных протоков возникают симптомы застоя желчи и повышения давления в печени, что может привести к механической желтухе, зуду кожи и изменению цвета мочи.
- При сдавливании воротной вены наблюдается повышение давления в кровеносной системе органов, отток крови от которых направлен к печени, что может вызвать увеличение селезенки и асцит.
- При закрытии просвета нижней полой вены может развиться сердечно-сосудистая недостаточность, что приводит к одышке и нарушению кровоснабжения органов.
Симптомы эхинококкоза легких
Клиническая картина при поражении легких также развивается поэтапно. На начальном этапе, когда эхинококк проникает в легкие, формируется киста, которая медленно растет. Если таких кист несколько, симптомы могут проявляться быстрее. Параллельно могут наблюдаться общие признаки недомогания и хронической усталости.
На ранней стадии поражения легких могут наблюдаться:
- Сухой кашель, который со временем становится влажным и пенистым, иногда с примесью крови.
- Боли в грудной клетке, возникающие при увеличении кисты и сдавлении плевры.
На поздней стадии клинические симптомы ухудшаются, так как киста достигает больших размеров и может разорваться, выпуская личинок в кровь. Возможные варианты поздней стадии поражения легких:
- Нагноение кисты и воспалительные процессы, проявляющиеся в виде пневмонии и аллергических реакций.
- Прорыв кисты может вызвать шок или экссудативный плеврит, что приводит к одышке и другим симптомам интоксикации.
Эхинококкоз других органов
В редких случаях личинки могут попасть в кровяное русло и заноситься в любые органы, включая головной мозг, почки и кости. В этих органах также образуются кисты, как и в печени или легких. Однако в головном мозге паразиты не могут долго развиваться незаметно, так как любое повышение давления в черепе вызывает ответную реакцию.
Альвеолярный эхинококкоз
Этот подвид эхинококка вызывает аналогичную клиническую картину, но образует несколько мелких кист вместо одной большой. Эти кисты могут прорастать в окружающие ткани, что приводит к более выраженным симптомам и серьезным последствиям.
Для диагностики эхинококкоза необходимы лабораторные и инструментальные методы исследования, а также анализ клинических симптомов. Своевременный опрос о жизненной истории пациента может помочь заподозрить наличие эхинококкоза.
Например, если 40-летний мужчина работает с животными и часто контактирует с собаками, у него могут возникнуть подозрения на гельминтоз.
Лабораторные анализы делятся на две группы: подтверждающие диагноз и показывающие степень нарушения работы пораженного органа.
Первая группа включает иммунологические тесты, выявляющие специфические белки (антигены) в крови или содержимом кисты:
- РСК – реакция связывания комплемента
- РНГА – реакция непрямой гемагглютинации
Также используется аллергическая проба Каццони. На коже делается небольшая царапина, на которую капают жидкость из эхинококковой кисты. Если у пациента есть эхинококкоз, возникает местная воспалительная реакция.
Вторая группа анализов выявляет изменения в крови при поражении органов.
При повреждении печени наблюдаются патологические печеночные пробы.
Общий анализ крови при эхинококкозе:
- Выраженная эозинофилия – увеличение количества эозинофилов.
- Увеличение скорости оседания эритроцитов (СОЭ), что свидетельствует о воспалительных процессах.
Инструментальные методы помогают определить наличие кист в печени, легких и других органах. Современные аппараты не всегда могут точно установить диагноз — эхинококкоз.
Ультразвуковое исследование печени
Используется для выявления увеличения печени или кистозных образований.
Рентгенологические методы:
- Обзорная рентгенограмма грудной клетки – позволяет выявить кистовидные образования в легких.
- Компьютерная томография – помогает обнаружить более глубокие дефекты ткани.
Лапараскопический метод
Инвазивный метод, при котором в полость живота вводится эндоскопическая трубка для осмотра органов.
Эхинококкоз — паразитарное заболевание, которое не может излечиться самостоятельно. Лечение чаще всего хирургическое. Перед и после операции назначаются противогельминтные препараты, такие как мебендазол.
Хирургическая операция заключается в удалении эхинококковой кисты с капсулой и окружающими измененными тканями. Удаление производится, если киста небольшая и расположена близко к поверхности органа.
При глубоком расположении кисты, чтобы избежать осложнений, ее предварительно пункционируют и отсасывают содержимое, затем обрабатывают полость раствором формалина.
При альвеолярном эхинококкозе выполняются паллиативные операции, которые не излечивают полностью, но облегчают состояние пациента.
Человек считается здоровым, если на протяжении четырех лет у него берут иммунологические анализы, и они показывают отрицательный результат.
Профилактика включает меры для предотвращения заражения эхинококкозом. Важно помнить о путях передачи инфекции.
- Людям, работающим с животными, следует соблюдать гигиенические правила:
- После контакта с животными
- Перед едой
- После туалета
- Мытье рук с мылом после этих действий поможет предотвратить заражение.
- Воду из природных источников нужно кипятить перед употреблением.
- Мясо следует тщательно термически обрабатывать.
- Больные эхинококкозом должны находиться на диспансерном учете и проходить обследование не реже одного раза в два года.
Операция по удалению эхинококковой кисты нарушает работу органа, поэтому важна правильная реабилитация.
Рецидив эхинококкоза может быть следствием:
- Обсеменения личинками близлежащих органов во время операции.
- Разрыва кисты с поражением окружающих органов.
- Неполного удаления кисты или капсулы.
Эти ситуации развиваются в среднем в 15% случаев.
Что нужно делать после операции по поводу эхинококкоза?
1. Принимать противогельминтные средства (Мебендазол).
2. Реабилитация длится не менее 2-4 месяцев.
3.Обязательное обследование 2 раза в год первые 2 года, затем 1 раз в год на протяжении 8-10 лет:
- Кровь на антитела к эхинококку;
- УЗИ печени;
- Рентгенография легких;
- Печеночные пробы и биохимия крови;
- Компьютерная томография головы (после операции на головном мозге);
- Общий анализ крови и мочи.
4.Соблюдение правил личной гигиены.
5.Употребление термически обработанных продуктов.
6.Ограничить контакт с животными, которые могут стать источником повторного заражения.
7.Здоровый образ жизни, отказ от вредных привычек, регулярная физическая активность.
8.После операции на печени:
- Соблюдать диету, стол №5а;
- Принимать препараты, восстанавливающие клетки печени.
9.После операции на легких: через месяц рекомендована дыхательная гимнастика и ЛФК.
10.После операции на головном мозге:
- Препараты, улучшающие кровообращение мозга;
- Физиотерапия для восстановления двигательных функций;
- Занятия с логопедом при нарушении речи;
- Психотерапия при нарушениях психики.
От чего нужно воздержаться после операции по поводу эхинококкоза?
1. От тяжелой физической нагрузки в течение 4-х месяцев.
2. От физиотерапии ранее, чем через 2 месяца после операции.
3. Женщинам не желательно беременеть.
4. От психоэмоциональных стрессов.
Народная медицина не может излечить эхинококкоз без операции, так как нет средств, способных рассасывать кисты. Однако народные средства могут использоваться для профилактики рецидивов после операции или при множественном эхинококкозе.
Средства народной медицины против эхинококка:
1.Полынь: принимать от одной щепотки до четверти столовой ложки в день.
2.Цедра лимона + имбирь в соотношении 1:1, принимать натощак.
3.Лимон + чеснок + мед: принимать по 30 мл натощак.
4.Настой пижмы: принимать по 10 мл 4 раза в день.
5.Горошек черного перца: по 1 горошку натощак.
6.Полынь + пижма: принимать по 1 чайной ложке натощак.
Эхинококк передается человеку через контакт с зараженными животными и употребление зараженных продуктов. Человек является промежуточным хозяином, необходимым для созревания личинок. Он не может заразиться от других людей, так как не является частью биологической цепочки паразита.
Дети также могут заболеть эхинококкозом, особенно из-за недостатка гигиенических навыков. Симптомы могут отсутствовать долгое время, и заболевание чаще выявляется у подростков. Эхинококковые кисты у детей часто обнаруживаются случайно при обследованиях.
Признаки и симптомы эхинококкоза у детей:
- Плохой аппетит и потеря веса.
- Слабость и отставание в учебе.
- Скрип зубами во сне.
- Беспокойство и раздражительность.
- Боли в животе, тошнота и рвота.
- Желтушность кожи и высыпания.
- Кашель и одышка при поражении легких.
- Головные боли при поражении головного мозга.
Принципы диагностики такие же, как и у взрослых:
- Анализ крови на антитела к эхинококку.
- УЗИ брюшной полости.
- Рентгенография грудной клетки.
- Компьютерная томография.
Лечение эхинококкоза у детей чаще всего хирургическое, с удалением кист или их вскрытием. Также назначаются противогельминтные препараты. Восстановление у детей происходит легче, чем у взрослых.
Фото: Послеоперационный материал удаленной альвеококковой кисты.
Фото: Эхинококк с яйцом под микроскопом.
Фото: Рентгенограмма органов грудной клетки с эхинококком.
Фото: Компьютерная томография печени с эхинококковой кистой.
Фото: Печень больного эхинококкозом животного.
Антитела к эхинококку могут быть выявлены до появления симптомов. В такой ситуации необходимо обратиться к врачу и пройти дополнительные исследования, такие как УЗИ и рентгенография. Если кисты не обнаружены, рекомендуется курс лечения противогельминтными препаратами и повторный анализ через 2 месяца.
Домашние животные являются основным источником эхинококкоза для человека. Важно регулярно обследовать своих питомцев на наличие паразитов.
Симптомы эхинококкоза у собак и кошек:
- Плохой аппетит.
- Нарушение стула.
- Потеря веса.
- Тусклая шерсть.
- Вялость и сонливость.
Симптомы эхинококкоза у скота:
- Бессимптомное течение заболевания.
- Падение скота.
- Кашель и одышка.
- Отказ от еды и потеря веса.
При забое животных необходимо тщательно проверять внутренние органы на наличие кист и соблюдать правила личной гигиены.
| Причина | Симптомы | Современная диагностика и лечение |
|---|---|---|
| Заражение яйцами эхинококка (Echinococcus granulosus, Echinococcus multilocularis) через загрязненную пищу, воду, контакт с животными-носителями (собаки, лисы, овцы, крупный рогатый скот) | Часто бессимптомное на ранних стадиях. При росте кисты: боль в животе (чаще в правом подреберье), дискомфорт, тошнота, рвота, желтуха (при поражении печени), кашель, одышка (при поражении легких), головная боль, судороги (при поражении головного мозга). Аллергические реакции. | Диагностика: УЗИ, КТ, МРТ, серологические тесты (ELISA, иммуноблоттинг), пункционная биопсия кисты. Лечение: Хирургическое удаление кисты (при возможности), пункционная аспирация и введение склерозирующих агентов, медикаментозная терапия (альбендазол, мебендазол) – преимущественно при нерезектабельных кистах или альвеолярном эхинококкозе, противопаразитарная терапия после хирургического вмешательства для предотвращения рецидивов. |
Эхинококкоз — это паразитарное заболевание, вызываемое личинками эхинококка, которое может поражать различные органы, чаще всего печень и легкие. Люди, сталкивающиеся с этой проблемой, отмечают, что основными причинами заражения являются контакт с инфицированными животными, особенно собаками, а также употребление загрязненных продуктов. Симптомы могут варьироваться от бессимптомного течения до выраженных болей в животе, желтухи и аллергических реакций. Современная диагностика включает ультразвуковое исследование, компьютерную томографию и серологические тесты, что позволяет точно определить наличие паразитов. Эффективное лечение часто требует хирургического вмешательства для удаления кист, а также применения противопаразитарных препаратов. Важно помнить о профилактике, включая соблюдение гигиенических норм и регулярные проверки домашних животных.

Симптомы эхинококкоза
В зависимости от способов передачи паразитов, в человеческом организме выделяют несколько клинических форм заболеваний с уникальной симптоматикой. Несмотря на поражение различных органов, существуют общие симптомы, характерные для всех форм заболевания.
Общая симптоматика
Эхинококкоз — хроническое заболевание, которое не проявляется внезапно с высокой температурой или резкой болью. Симптомы могут отсутствовать или быть незначительными на протяжении месяцев и даже лет после заражения, что затрудняет диагностику. Часто пациент обращается к различным врачам, прежде чем попадает на операционный стол для удаления эхинококковой кисты.
Основные симптомы заболевания:
- Общая слабость и повышенная утомляемость
- Снижение работоспособности
- Периодические головные боли
- Кожные высыпания в виде мелких красных пятен
- Временные повышения температуры тела
Эти симптомы связаны с выделением токсичных веществ, образующихся в результате жизнедеятельности паразитов, а также с реакцией организма на инфекцию.

Симптомы при поражении печени
Поражение печени составляет более 60% случаев эхинококкоза. Развитие инфекции можно разделить на несколько этапов, каждый из которых имеет свои симптомы.
Первый этап часто проходит незаметно. Пациент чувствует себя здоровым, так как паразиты внедряются в печеночные ткани и образуют защитную капсулу. Иногда может возникать тяжесть в правом подреберье после жирной пищи.
Второй этап сопровождается общей симптоматикой и признаками поражения печени. У пациентов снижается аппетит и наблюдается потеря веса. При приеме медикаментов могут возникать побочные эффекты из-за ухудшения детоксикации печени.
Специфические симптомы поражения печени:
- Тошнота или рвота после жареной, жирной или острой пищи.
- Тяжесть в правом подреберье и боли в верхней части живота, усиливающиеся после еды или физической нагрузки.
- Периодическая диарея из-за нарушения переваривания жиров из-за недостатка желчи.
При обследовании может быть выявлено увеличение печени, которая может быть болезненной и плотной. Эти симптомы характерны для гепатита. Неправильная диагностика может привести к неэффективному лечению. Однако высокая регенеративная способность печени позволяет избежать печеночной недостаточности даже при значительном поражении.
Третий этап характеризуется осложнениями, связанными с разрывом эхинококковой кисты и распространением яиц гельминтов. На этом этапе возникают серьезные нарушения работы других органов. Наиболее распространенные осложнения:
- Нагноение кисты, приводящее к образованию гнойного содержимого. При разрыве гнойника гной может попасть в брюшную полость, вызывая перитонит. Если киста прорывается в грудную полость, это может вызвать гнойный плеврит.
- Разрыв кисты может привести к попаданию ее содержимого в кровоток, вызывая резкую аллергическую реакцию. Это приводит к отекам, высыпаниям на коже, сужению дыхательных путей и одышке. Эхинококки могут поражать легкие, головной мозг, кости и другие органы.
- Большая киста может сжимать окружающие ткани, включая воротную вену и внутрипеченочные желчные протоки. В этом случае могут наблюдаться следующие симптомы:
- При сжатии желчных протоков возникают симптомы застоя желчи и повышения давления в печени. Это может привести к механической желтухе: пациент становится желтым, испытывает зуд, а моча приобретает цвет крепкого чая или пива.
- При закрытии просвета воротной вены повышается давление крови в системе органов брюшной полости, что приводит к увеличению селезенки и асциту (скоплению жидкости в брюшной полости).
- При закрытии просвета нижней полой вены возникают симптомы сердечно-сосудистой недостаточности: одышка, частые потери сознания, боли в области сердца и нарушения работы почек.
Симптомы эхинококкоза лёгких
В процессе формирования клинической картины поражения легких выделяют несколько этапов. На начальной стадии, когда эхинококк проникает в легкие, образуется киста, которая постепенно увеличивается. При наличии нескольких кист симптомы могут проявляться быстрее. Кроме специфических признаков легочного поражения, наблюдаются общие симптомы: недомогание, хроническая усталость и снижение работоспособности, аналогично поражению печени.
На ранней стадии легочного поражения могут наблюдаться следующие симптомы:
Сухой, мучительный кашель, который со временем становится влажным и пенистым, иногда с кровяными прожилками, что можно спутать с туберкулезом или раковыми образованиями.
Боли в грудной клетке возникают, когда киста достигает значительных размеров и начинает сжимать плевру, содержащую чувствительные рецепторы.
На поздней стадии клинические проявления ухудшаются, так как киста достигает больших размеров, сжимает легочную ткань и может разорваться, позволяя личинкам паразитов попасть в кровь и распространиться по организму. Выделяют несколько вариантов развития поздней стадии поражения легочной ткани:
- При нагноении кисты и распространении гноя в легких начинаются воспалительные процессы, проявляющиеся в виде упорных пневмоний и выраженных аллергических реакций.
- Если киста прорывается через оболочку легких и близлежащую оболочку сердца, это может привести к шоку и мгновенной смерти. Если оболочка сердца не повреждена, развивается тяжелый экссудативный плеврит, что приводит к сжатию легкого и его отключению от дыхательного процесса. У больного резко развивается одышка, что может привести к удушью, наряду с симптомами общей интоксикации: высокая температура (38-39 градусов), лихорадка, мышечные боли и повышенное потоотделение.
Эхинококкоз других органов
В редких случаях мелкие личинки, преодолев печень и легкие, попадают в кровеносную систему и оседают в различных органах. Зафиксированы случаи миграции паразитов в головной мозг, почки, кости и другие органы, где они вызывают образование кист, как при поражении печени или легких. Характерная особенность эхинококкоза в таких локализациях заключается в том, что головной мозг, находясь в черепной коробке, не позволяет паразитам развиваться незаметно. Даже незначительное повышение давления в черепной полости вызывает реакцию со стороны мозга. Аналогичная ситуация наблюдается при попадании паразитов в почки или кости. К счастью, такие случаи крайне редки, и поводов для беспокойства немного.
Альвеолярный эхинококкоз
Один из подвидов эхинококка вызывает клиническую картину, схожую с гидатиозным эхинококком. Главное отличие — этот вид формирует несколько мелких кистозных пузырей вместо одной крупной кисты. Они проникают в окружающие ткани, что приводит к их разрушению. Симптомы заболевания проявляются раньше и более выражены. Последствия альвеолярного эхинококкоза могут быть серьезными, так как кисты, разрушая орган, приводят к его недостаточности и быстро распространяются через кровь. Лечение такого эхинококкоза, к сожалению, становится невозможным.
Диагностика эхинококкоза
Для выявления эхинококкоза используются лабораторные и инструментальные методы диагностики с применением компьютерных технологий. Клинические проявления также указывают на поражение органов. Современные диагностические методы важны, но сбор информации о медицинской истории пациента, его профессии и первых симптомах может указать на наличие эхинококкоза.
Например, 40-летний мужчина, работающий в животноводстве и контактирующий с овцами и свиньями, а также любящий собак, жалуется на периодические боли в правом подреберье. Это может свидетельствовать о паразитировании гельминтов в печени.
Лабораторные анализы
Лабораторные исследования делятся на две категории: подтверждающие диагноз и показывающие степень нарушения функции пораженного органа.
Первая категория включает иммунологические тесты, проводимые в биохимических лабораториях. Существуют тесты, определяющие наличие специфических белков — антигенов, характерных для эхинококкоза, в крови или содержимом кисты. Эти реакции также выявляют защитные белки, вырабатываемые организмом для нейтрализации антигенов. В эту группу входят:
- РСК – реакция связывания комплемента
- РНГА – реакция непрямой гемагглютинации
Также сюда относится аллергическая проба Каццони. Для ее проведения на предплечье делают царапину и капают жидкость из эхинококковой кисты, содержащую антигены. Если у пациента есть эхинококкоз, у него будут антитела к этим антигенам. Взаимодействие антител с антигенами вызывает местную воспалительную реакцию, проявляющуюся покраснением и отеком в области царапины.
Вторая категория анализов выявляет специфические изменения в крови при поражении органов-мишеней.
При повреждении печени наблюдаются патологические печеночные пробы.
Общий анализ крови при эхинококкозе:
- Выраженная эозинофилия — увеличение количества эозинофилов. Нормальные значения составляют от 1% до 5%. Концентрация эозинофилов возрастает при попадании в организм паразитов.
- Увеличение скорости оседания эритроцитов (СОЭ). Это наблюдается при воспалительных процессах и является реакцией на внедрение инфекционных агентов. Нормальные значения составляют 2-15 мм/час.
Инструментальные методы диагностики эхинококкоза
Инструментальные методы диагностики оценивают объемные процессы, такие как кисты в печени, легких, а также, реже, в головном мозге и почках. Специализированное оборудование помогает определить степень увеличения и разрушительных изменений в органах. Однако аппаратура не всегда устанавливает точный диагноз, например, при эхинококкозе.
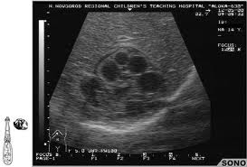
Ультразвуковое исследование печени
Этот метод используется для обследования органов брюшной полости, позволяя выявить увеличение печени или кисты.
Рентгенологические методы:
-
Обзорная рентгенограмма грудной клетки – помогает обнаружить кисты в легких. При длительном течении заболевания возможно выявление кальциевых отложений вокруг кист.
-
Компьютерная томография – рентгенологический метод, позволяющий обнаруживать глубоко расположенные дефекты тканей. Применяется для диагностики эхинококкоза легких, печени и других органов.
Лапараскопический метод
Этот инвазивный метод включает введение эндоскопической трубки в полость живота для осмотра печени и других органов. Изображение выводится на экран, что позволяет обнаружить поверхностные кисты и оценить размеры и состояние печени.
Лечение эхинококкоза
Эхинококкоз — паразитарное заболевание, требующее лечебных мероприятий для излечения. Случаи спонтанного выздоровления редки и возможны только при медикаментозной терапии.
Лечение эхинококкоза проводится хирургически. В предоперационный и послеоперационный период назначают противогельминтный препарат мебендазол (вермокс) в индивидуально подобранной дозировке в зависимости от стадии заболевания. Мебендазол может замедлить рост кисты и способствовать её уменьшению.
Хирургическая операция включает удаление эхинококковой кисты с капсулой и окружающими изменёнными тканями. Удаление возможно, если киста небольшая и близко расположена к поверхности органа.
Если киста глубоко расположена, чтобы избежать повреждения сосудов и желчных путей, применяется другой метод. Сначала кисту пункционируют и откачивают её содержимое, затем очищают внутренние стенки и обрабатывают полость 2% раствором формалина, после чего накладывают швы.
Операции требуют осторожности, чтобы предотвратить вытекание жидкости кисты с яйцами паразитов. Небрежность может привести к серьёзным последствиям и распространению инфекции.
При альвеолярном эхинококкозе выполняются паллиативные операции, которые не обеспечивают полного излечения, а лишь временно облегчают страдания пациента. Эти вмешательства направлены на удаление крупных кист для уменьшения давления на здоровые участки органа, продлевая жизнь и улучшая общее состояние пациента.
Критерии выздоровления
Здоровым считается человек, у которого в течение четырех лет иммунологические анализы крови показывают отрицательные результаты.
Профилактика эхинококкоза
Профилактические меры — это действия, направленные на предотвращение заражения эхинококкозом. Знание путей передачи инфекции поможет минимизировать риск.
- Работники в сферах собаководства, охоты и животноводства, а также их семьи должны строго соблюдать гигиенические нормы:
- Мыть руки после контакта с собаками и другими животными
- Мыть руки перед едой
- Мыть руки после посещения туалета
- Регулярное мытье рук с мылом после этих действий предотвратит попадание инфекции в организм.
- Воду из родников и колодцев следует кипятить перед употреблением.
- Важно тщательно термически обрабатывать мясо, так как в нем могут находиться личинки эхинококка.
- Люди, перенесшие эхинококкоз, должны находиться под наблюдением врача и проходить обследование не реже одного раза в два года. Диспансеризация продолжается 8-10 лет.
Как восстановиться после операции по поводу эхинококкоза?
В любом случае, операция по удалению эхинококковой кисты может негативно сказаться на функционировании органа. Поэтому важно правильно пройти реабилитацию после вмешательства для восстановления его работы и предотвращения рецидивов.
Рецидив эхинококкоза чаще представляет собой осложнение заболевания или его хирургического лечения:
- заражение личинками соседних органов во время пункции или удаления кисты;
- разрыв кисты, что может привести к поражению окружающих органов или распространению личинок через кровь, вызывая множественный эхинококкоз;
- неполное выявление эхинококковых кист в оперируемом или других органах;
- недостаточное удаление кисты или капсулы органа, а также технические ошибки во время операции;
- повторное заражение паразитом после хирургического вмешательства.
Такие случаи возникают в среднем в 15% случаев.
Что делать после операции по поводу эхинококкоза?
1. Принимать противогельминтные препараты по установленным схемам (например, Мебендазол).
2. Реабилитация занимает не менее 2-4 месяцев (рекомендуется оформить больничный лист на период восстановления).
3.Регулярное обследование дважды в год в течение первых двух лет, затем один раз в год на протяжении 8-10 лет:
- анализ крови на антитела к эхинококку;
- УЗИ печени;
- рентгенография легких;
- печеночные пробы и биохимический анализ крови;
- компьютерная томография головы (после операции на головном мозге или при наличии неврологических симптомов);
- общий анализ крови и мочи;
- другие обследования по показаниям.
4.Соблюдение правил личной гигиены.
5.Употребление термически обработанных продуктов.
6.Ограничение контактов с животными, которые могут стать источником повторного заражения, или строгое соблюдение гигиенических норм после взаимодействия с ними.
7.Ведение здорового образа жизни, отказ от курения, алкоголя и наркотиков, а также регулярная физическая активность.
8.После операции на печени:
- соблюдать диету, стол №5а: полноценное питание с высоким содержанием белка, углеводов, витаминов и микроэлементов, исключая жиры, холестерин и грубую клетчатку;
- принимать препараты для восстановления клеток печени: эссенциальные фосфолипиды, такие как Эссенциале, Энерлив, Ливолин, Лив-52 и другие.
9.После операции на легких: через месяц рекомендуется специальная дыхательная гимнастика и лечебная физкультура для улучшения вентиляции легких.
10.После операции на головном мозге:
- препараты, улучшающие мозговое кровообращение: Актовегин, Церебролизин, Пирацетам и другие;
- физиотерапия для восстановления двигательных функций;
- занятия с логопедом при нарушении речи;
- психотерапия при наличии психических расстройств.
От чего следует воздержаться после операции по поводу эхинококкоза?
1. От тяжелых физических нагрузок в течение 4 месяцев.
2. От физиотерапии ранее, чем через 2 месяца после операции.
3. Женщинам не рекомендуется беременеть.
4. От психоэмоциональных стрессов.
Можно ли вылечить эхинококкоз с помощью средств народной медицины и без операции?
В лечении эхинококкоза народные средства не заменят хирургическое вмешательство, так как нет препаратов, способных «рассасывать» эхинококковые или альвеококковые кисты. Однако народная медицина может помочь в профилактике рецидивов после операции или при множественном эхинококкозе, когда хирургия невозможна.
Для этого используются растительные компоненты с противоглистными свойствами и вещества, способствующие восстановлению организма после операции.
Народные средства против эхинококка:
1. Полынь: высушите и измельчите траву, начиная с одной щепотки и постепенно увеличивая дозу до четверти столовой ложки. Принимайте один раз в день в течение трех недель, запивая большим количеством воды. Затем употребляйте полынь раз в неделю на протяжении нескольких лет.
2. Цедра лимона и имбирь: высушите и измельчите в равных пропорциях. Перед употреблением залейте смесь 50 мл воды или молока и пейте натощак каждое утро.
3. Лимон, чеснок и мед: измельчите один лимон, добавьте несколько головок чеснока и 10 мл меда, залейте 1000 мл воды. Принимайте по 30 мл натощак ежедневно в течение длительного времени.
4. Настой пижмы (не рекомендуется беременным): одну столовую ложку травы залейте 200 мл кипятка и настаивайте 4 часа. Принимайте по 10 мл 4 раза в день за 15 минут до еды в течение недели.
5. Горошек черного перца: принимайте по одному горошку каждое утро натощак, запивая стаканом воды.
6. Полынь, пижма и полынь: смешайте равные части трав, высушите и измельчите. Принимайте по одной чайной ложке натощак, запивая стаканом жидкости в течение 10 дней, затем повторяйте курс каждые несколько месяцев.
Передается ли эхинококк от человека к человеку?
Человек может заразиться эхинококком через контакт с инфицированными животными или употребление зараженных продуктов, как мясных, так и растительных.
В жизненном цикле эхинококка человек является промежуточным хозяином, как свиньи и овцы. Промежуточный хозяин необходим для развития личинок гельминта. Взрослые личинки попадают в организм окончательного хозяина (собак, кошек, волков) после потребления мяса или внутренних органов инфицированных животных. Человек не ест подобных ему (по крайней мере, в цивилизованном обществе), поэтому он представляет собой тупиковую ветвь в биологической цепочке эхинококка. Это означает, что человек не может заразиться от другого человека через бытовые или контактные пути.
Минимальный риск заражения теоретически может возникнуть для хирурга во время операции или патологоанатома при вскрытии трупа с эхинококкозом, но это возможно только при игнорировании основных правил гигиены, что является абсурдным.
Бывает ли эхинококк у детей? Каковы признаки, диагностика и лечение эхинококкоза в детском возрасте?
Дети подвержены риску заражения эхинококкозом, так как вероятность глистных инвазий у них выше. Малыши играют с кошками и собаками, едят с грядок и не всегда моют руки, что увеличивает риск.
Заболевание может быть неожиданным, так как эхинококковые кисты развиваются медленно — на протяжении многих лет, иногда десятилетий. Симптомы могут отсутствовать, поэтому эхинококкоз чаще диагностируется у подростков и молодых людей. У детей кисты часто выявляются случайно, например, во время рентгенографии по поводу пробы Манту, пневмонии или УЗИ живота при подозрении на дискинезию желчевыводящих путей.
Эхинококкоз также может быть обнаружен при серологических анализах крови при подозрении на другие глистные инвазии, такие как лямблиоз, аскаридоз или токсокароз. В стандартные тесты включены исследования на эхинококкоз. Если обнаруживаются антитела к паразиту, назначаются дополнительные исследования печени, легких, головного мозга и других органов.
Признаки и симптомы эхинококкоза у детей:
- снижение аппетита и потеря веса;
- слабость, трудности в учебе, проблемы с концентрацией;
- скрежет зубами во сне;
- беспокойство, раздражительность и психическое возбуждение без видимых причин;
- часто выявляются и другие виды глистов (острицы, лямблии, аскариды);
- боли в животе, чаще в правом подреберье, тошнота, рвота, нарушения стула (понос или запор);
- желтушность кожи и различные высыпания;
- сухой кашель, чаще ночью;
- одышка и боли в грудной клетке при эхинококкозе легких;
- сильные головные боли при локализации кисты в головном мозге;
- увеличение эозинофилов в общем анализе крови и уровень иммуноглобулина Е;
- при разрыве кист общее состояние резко ухудшается, повышается температура, появляется одышка, слабость, возможно кровохарканье; в тяжелых случаях при альвеококкозе печени может развиться печеночная недостаточность.
Принципы диагностики эхинококкоза у детей аналогичны взрослым:
- анализ крови на антитела к эхинококку;
- УЗИ брюшной полости и почек;
- рентгенография органов грудной клетки;
- компьютерная томография печени, головного мозга и других органов в зависимости от клинической картины;
- клинические анализы крови и мочи, печеночные пробы, биохимия крови и прочее.
Лечение эхинококкоза у детей, как и у взрослых, чаще всего хирургическое — удаление кист или их вскрытие с изъятием содержимого и промыванием. Также назначаются противогельминтные препараты, такие как Мебендазол и Альбендазол, принимаемые в течение длительного времени (до 10 месяцев) по индивидуальным схемам. Восстановление после операции у детей проходит легче, чем у взрослых, благодаря более развитым компенсаторным механизмам и способности к регенерации.
Как выглядит эхинококк (фото)?
Фото: Послеоперационный материал (макропрепарат) удаленной альвеококковой кисты значительных размеров.
А так выглядит эхинококк с яйцом под микроскопом.
Фото: обзорная рентгенограмма органов грудной клетки пациента с эхинококкозом. В верхней доле левого легкого видна округлая тень с просветлением в центре. Рентгенологическая картина напоминает инфильтративный туберкулез легких с разрушением ткани (каверной). Без дополнительных исследований трудно сделать вывод. Эхинококк часто выявляют во время операций по поводу туберкулеза легких.
Срез компьютерной томографии печени с эхинококковой кистой.
А так выглядят опустошенные эхинококковые кисты; стенки кисты толстые, кисты крупные. Единственным эффективным методом лечения эхинококкоза является хирургическое вмешательство, так как организм и медикаменты не способны рассасывать такие образования.
А так выглядит печень животного, страдающего эхинококкозом. Обнаружив такую печень, нельзя ее готовить и употреблять в пищу, а также кормить домашних животных, так как это одна из основных причин заражения людей, собак и кошек эхинококком.
Что делать, если при исследовании на глисты выявили положительные антитела к эхинококку, а симптомов заболевания нет?
Период от заражения яйцами эхинококка до первых признаков заболевания может занять несколько лет. Иммунная система начинает реагировать на паразита, вырабатывая антитела в первые месяцы после его попадания в печень. Антитела к эхинококку могут быть обнаружены до появления симптомов и формирования эхинококковой кисты. Их выявляют при серологическом обследовании на основные виды гельминтов.
Показания для серологического исследования на гельминты:
- Обнаружение яиц глистов в кале или соскобе;
- Оценка эффективности терапии при эхинококкозе и наблюдение после лечения;
- Длительная эозинофилия (уровень эозинофилов выше 6% в общем анализе крови);
- Дефицитные анемии (пониженный уровень гемоглобина);
- Заболевания желчевыводящей системы и кишечника;
- Плохой аппетит, недостаточный рост и низкий вес у ребенка;
- Раздражительность, быстрая утомляемость, скрип зубами во сне без видимых причин;
- Зуд в области анального отверстия или половых губ, длительные инфекции мочевыводящих путей (уретриты, вульвиты и т. д.);
- Проявления аллергии без явного аллергена (длительный кашель, насморк, конъюнктивит, бронхоспазмы, кожные высыпания);
- Пневмонии, не поддающиеся стандартной антибактериальной терапии более 3 недель, а также другие индивидуальные показания.
Что свидетельствует о положительном результате наличия антител к эхинококкам?
Обнаружение антител, иммуноглобулинов G, к эхинококку в титре выше 1:100. Контрольные значения могут варьироваться в зависимости от методик лабораторий.
Что делать, если обнаружены антитела к эхинококку, а симптомов нет?
1. Обратиться к инфекционисту или паразитологу.
2. Пройти дополнительные исследования:
- УЗИ органов брюшной полости и почек;
- Рентгенография грудной клетки;
- Общие анализы крови и мочи;
- Анализ кала и соскоб на наличие яиц глистов;
- При необходимости компьютерная томография головы и другие исследования.
- При обнаружении эхинококковых кист назначается лечение и рассматривается возможность хирургического вмешательства.
- Если эхинококковую кисту не удалось выявить при всех исследованиях, это может свидетельствовать о наличии паразита до образования видимых кист. Рекомендуется пройти курс лечения Мебендазолом и Альбендазолом и повторить анализ через 2 месяца.
- Положительный результат на антитела к эхинококку может быть ложноположительным в некоторых случаях:
- Заболевания с некрозом тканей (туберкулез с кавернами, цирроз печени, раковые опухоли, инфаркт миокарда и другие);
- Наличие другой глистной инвазии (цистицеркоз, описторхоз, лямблиоз и т. д.);
- Тяжелые аллергические реакции.
Если на результаты анализа повлияли указанные факторы, рекомендуется повторить серологические исследования на антитела к эхинококку через 2-3 месяца.
Как распознать эхинококк у своего домашнего питомца (у собаки, кошки, овцы, свиньи)?
Самым серьезным источником эхинококкоза для человека являются домашние животные, как в сельской местности, так и в городах. Наличие животных рядом способствует новым случаям заболевания, включая множественный эхинококкоз, который сложно лечить. Поэтому важно регулярно обследовать домашних питомцев на наличие паразитов до проявления заболевания у человека.
Эхинококкоз у собак и кошек
Собаки и кошки являются окончательными хозяевами эхинококка. Взрослый паразит (эхинококковый цепень) обитает в кишечнике этих животных и выделяет яйца с калом. Яйца могут находиться на шерсти питомцев, в их экскрементах и в местах обитания.
Симптомы эхинококкоза у собак и кошек:
- снижение аппетита;
- расстройства стула, включая понос;
- потеря веса;
- тусклая шерсть, обильная линька;
- вялость, быстрая утомляемость, частый сон;
- интенсивное вылизывание области ануса, трение об землю или стены;
- повышенное количество эозинофилов в общем анализе крови, снижение уровня гемоглобина и эритроцитов.
Эхинококкоз у овец, свиней и другого скота
Овцы, свиньи, коровы и другой скот, как и люди, являются промежуточными хозяевами эхинококка. У скота формируются эхинококковые кисты, чаще всего в печени и легких.
Симптомы эхинококкоза у овец, коров, свиней и другого скота:
- заболевание может протекать бессимптомно, так как скот обычно забивают в возрасте 1-2 лет, когда кисты еще небольшие;
- падение скота – животные могут погибать, и только при вскрытии обнаруживаются эхинококковые кисты;
- кашель и одышка (при поражении легких);
- отказ от корма, потеря веса, поносы (при поражении печени);
- положительная внутрикожная проба Казони (тест для выявления антител к эхинококку).
При забое и употреблении мяса таких животных необходимо осматривать внутренние органы, особенно печень и легкие. Обратите внимание на изменения цвета, размера, сморщенность, наличие пузырьков и другие аномалии. Подозрительные органы следует утилизировать. Мясо должно проходить тщательную термическую обработку перед употреблением. Во время разделки туши важно соблюдать правила личной гигиены: тщательно мыть руки и обрабатывать разделочные доски, ножи и другие инструменты.
Вопрос-ответ
Как определить эхинококкоз симптомы?
Больной ощущает слабость, у него появляются крапивница и ощущение зуда кожи, а также постепенно развиваются симптомы, специфические для пораженного органа. При поражении печени больной ощущает тошноту, боли или тяжесть в правом подреберье. Эхинококкоз легких проявляется болями в груди, кашлем с отхаркиванием крови.
Какой препарат убивает эхинококкоз?
Лечение – албендазол, хирургическая операция или и то, и другое, или аспирация кисты и инстилляция дезинфицирующего препарата.
Каковы причины, симптомы, диагностика и лечение эхинококкоза печени?
Эхинококкоз печени – паразитарная патология, которая вызвана ленточным червем Echinococcus. Его личинки внедряются и размножаются в ткани органа, формируя кисты. Данное заболевание считается одним из наиболее распространенных гельминтозов. Встречаемость эхинококкоза в разных странах мира существенно различается.
Какой орган чаще всего поражается при эхинококкозе?
Наиболее часто эхинококк поражает печень (до 85%), что связано с особенностями ее кровоснабжения. На втором месте по частоте поражения стоят легкие, которые поражаются в 5-35% случаев. У 6-25% отмечается сочетанное поражение печени и легких.
Советы
СОВЕТ №1
Регулярно проходите медицинские обследования, особенно если вы живете в районах, где эхинококкоз распространен. Это поможет выявить заболевание на ранней стадии и начать лечение вовремя.
СОВЕТ №2
Избегайте контакта с дикими животными и не употребляйте в пищу сырое или недостаточно термически обработанное мясо, особенно в регионах, где эхинококкоз является эндемичным.
СОВЕТ №3
Обратите внимание на личную гигиену, особенно после контакта с животными или работой на земле. Регулярное мытье рук поможет снизить риск заражения.
СОВЕТ №4
Если у вас есть симптомы, такие как боли в животе, потеря веса или аллергические реакции, не откладывайте визит к врачу. Ранняя диагностика и лечение значительно повышают шансы на успешное выздоровление.














