Что такое почечный клубочек и как работают почки?
Кровь поступает в почки через почечную артерию и распределяется по мелким сосудам, соединяющимся в почечный клубочек.
Что такое почечный клубочек?
В почечном клубочке скорость кровотока замедляется, и через полупроницаемую мембрану жидкая часть крови с электролитами и растворенными органическими веществами проникает в Боуменову капсулу, окружающую клубочек. Клеточные элементы крови и оставшаяся плазма выводятся через почечную вену. Внутри Боуменовой капсулы отфильтрованная часть крови, не содержащая клеток, называется первичной мочой.
Что такое Боуменова капсула и почечные канальцы (петля Генле)?
В первичной моче содержатся не только токсические вещества, но и полезные элементы, такие как электролиты, витамины и белки. Чтобы вернуть полезные вещества в кровь, а вредные вывести с конечной мочой, первичная моча проходит через систему трубочек (петля Генле и почечный каналец). В этом процессе происходит обмен растворенных веществ через стенки почечного канальца. После прохождения через почечный каналец первичная моча сохраняет токсические вещества, которые необходимо удалить, и теряет компоненты, которые не подлежат выведению.
Что происходит с мочой после фильтрации?
После фильтрации конечная моча поступает через почечный каналец в лоханку почки. Накапливаясь в ней, моча оттекает в мочевой пузырь через мочеточники.
Хронический гломерулонефрит представляет собой воспалительное заболевание почек, которое может проявляться в различных формах, включая мембранозный, мезангиопролиферативный и фокально-сегментарный. Врачи отмечают, что симптомы заболевания часто развиваются постепенно и могут включать отеки, повышенное артериальное давление, а также изменения в анализах мочи, такие как наличие белка и крови.
Диагностика хронического гломерулонефрита основывается на клиническом обследовании, лабораторных анализах и инструментальных методах, таких как ультразвуковое исследование почек. Врачи подчеркивают важность раннего выявления заболевания для предотвращения прогрессирования почечной недостаточности.
Лечение может включать как медикаментозную терапию, направленную на снижение воспаления и контроль артериального давления, так и диетические рекомендации. В некоторых случаях может потребоваться иммуносупрессивная терапия. Специалисты акцентируют внимание на необходимости регулярного наблюдения за состоянием пациента для корректировки лечения и предотвращения осложнений.

Что происходит при гломерулонефрите в почках?
При гломерулонефритах поражаются почечные клубочки.
- Воспаление вызывает изменения в стенках сосудов клубочков:
- Стенки сосудов становятся проницаемыми для клеток.
- Образуются микротромбы, блокирующие сосуды.
- Кровоток замедляется или останавливается.
- Клетки крови проникают в просвет Боуменовой капсулы.
- Клетки крови блокируют просвет капсулы и почечных канальцев.
- Нарушается фильтрация крови и образование первичной мочи в нефроне (комплекс: клубочек + капсула + канальцы).
- Нарушение кровотока приводит к истощению сосудов и замещению их соединительной тканью.
- Закупорка канальцев клетками крови вызывает их истощение и слипание стенок, заменяя нефрон соединительной тканью.
- «Отмирание» нефронов снижает объем фильтруемой крови, что приводит к почечной недостаточности.
- Почечная недостаточность вызывает накопление токсических веществ в крови, в то время как необходимые вещества не возвращаются в кровь.
Причины хронического гломерулонефрита
Основной фактор, нарушающий работу почек, — воспаление в клубочках. Причины воспаления:
- Общие инфекционные заболевания:
- ангина, тонзиллит
- скарлатина
- инфекционный эндокардит
- сепсис
- пневмококковая пневмония
- брюшной тиф
- менингококковая инфекция
- вирусный гепатит В
- инфекционный мононуклеоз
- свинка
- ветряная оспа
- инфекции, вызванные вирусами Коксаки
- Ревматические и аутоиммунные заболевания:
- системная красная волчанка
- системные васкулиты
- болезнь Шёнлейна — Геноха
- наследственный лёгочно-почечный синдром
- Вакцинация и переливание крови
- Интоксикация:
- отравление органическими растворителями
- алкоголь
- отравление ртутью
- отравление свинцом
- Лучевая терапия
По течению и клиническим проявлениям выделяют виды:
1. Латентный – наиболее распространенный (около 45% случаев). Проявляется слабо выраженными симптомами: умеренная отечность, повышение артериального давления. Лабораторные данные показывают повышенный уровень белка, эритроцитов и лейкоцитов.
2. Гематурический – редкая форма (до 5%). Проявляется мочой розового или красного цвета. В анализе мочи — повышенное количество измененных эритроцитов.
3. Гипертонический – часто встречающаяся форма (около 20%). Проявляется постоянным повышением артериального давления, увеличением объема мочи, ночными позывами. В анализе мочи — повышенное содержание белка и измененных эритроцитов, плотность мочи ниже нормы.
4. Нефротический – часто встречающаяся форма (около 25%). Проявляется повышенным артериальным давлением, выраженной отечностью, уменьшением объема мочи. В анализе мочи — повышенная плотность, содержание белка; в крови — снижение общего белка и повышение холестерина.
5. Смешанный (нефротический-гипертонический) – сочетает симптомы нефротической и гипертонической форм.
Методы диагностики хронического гломерулонефрита
Для диагностики применяются:
| Общий анализ мочи | Выявляет изменения плотности, наличие белка, цилиндров, лейкоцитов, эритроцитов, цвет мочи. |
| Биохимический анализ крови | Исследует уровень белка, альбуминов, креатинина, мочевины, холестерина. |
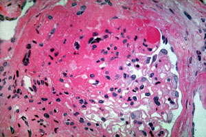
| Биопсия почек | Позволяет исследовать изменения в клубочках и определить морфологическую форму гломерулонефрита. |
Стадии хронического гломерулонефрита
Стадия компенсации – начальная стадия, функциональная активность почек не изменена.
| Внешние признаки: | Лабораторные признаки: |
| Отсутствуют, незначительное повышение давления, умеренные отеки | Умеренное повышение белка, измененные эритроциты, изменения плотности мочи. |
Стадия декомпенсации – прогрессирование болезни и нарушение работы почек.
| Внешние признаки | Лабораторные признаки |
| Накопление азотистых соединений, головная боль, тошнота, рвота, значительное повышение давления, полиурия. | Повышение уровня белка, понижение плотности, наличие цилиндров, эритроциты. |
Уремия – тяжелая степень почечной недостаточности. Почки теряют способность поддерживать нормальный состав крови.
| Внешние и лабораторные признаки |
| Накопление токсических соединений в крови, общая слабость, головная боль, спутанность сознания, кома. |
Диагностика острого гломерулонефрита
| Внешние признаки | |
| Болезненность в пояснице, жажда, изменение отхождения мочи, отеки, повышение давления, изменение цвета мочи, утомляемость. |
| Лабораторные признаки: | |
| Общий анализ мочи: | |
| Цвет мочи: розовый, красный; измененные эритроциты; цилиндры; плотность: повышена/снижена; белок: значительно выше нормы. | |
| Проба Зимницкого: | |
| Увеличение/снижение суточного объема мочи, плотности. | |
| Биохимический анализ крови: | |
| Снижен уровень белка, повышен холестерин, азотистые соединения. | |
| Иммунологическое исследование: | |
| Нарастание титра антистептолизина О, повышение антистрептокиназы, антидезоксирибонуклеазы В, снижение факторов комплемента. |
| Инструментальные исследования | |
| УЗИ почек: | |
| Размеры нормальные или уменьшены, повышенная эхогенность, пониженная скорость фильтрации. | |
| Биопсия почек: | |
| Признаки клеточной пролиферации, инфильтрация моноцитами и нейтрофилами, наличие иммунных комплексов. |
Лечение хронического гломерулонефрита
| Вид лечения | Цель | Практические сведения |
| Санация очагов воспаления | Устранить источник воспаления | Удаление кариозных зубов, хронически воспаленных миндалин. |
| Постельный режим | Снизить нагрузку на почки | Рекомендуется оставаться в лежачем положении. |
| Диета | Снизить неблагоприятное воздействие на почки | Стол номер 7: снизить соль, ограничить жидкость, увеличить калий и кальций, ограничить животный белок. |
| Антикоагулянты и антиагреганты | Улучшить текучесть крови | Дипиридамол, тиклопидин, гепарин. |
| Нестероидные противовоспалительные препараты | Подавить иммунный ответ | Индометацин, курс на несколько месяцев. |
| Иммуносупрессоры | Подавить активность иммунной системы | Преднизолон, циклофосфамид, хлорамбуцил. |
| Препараты для снижения давления | Снизить артериальное давление | Каптоприл, эналаприл, рамиприл. |
| Мочегонные препараты | Активизировать ток жидкости | Гипотиазид, фуросемид, альдактон. |
| Антибиотики | Санация хронических очагов инфекции | Подбор индивидуально. |
Прогноз при хроническом гломерулонефрите
Без лечения заболевание приводит к потере нефронов и почечной недостаточности. При активном лечении состояние улучшается, почечная недостаточность может не развиваться или сроки ее наступления отодвигаются. Возможна полная ремиссия.
Особенности хронического гломерулонефрита у детей
- Клиническая картина может различаться.
- Хронический гломерулонефрит — основная причина хронической почечной недостаточности у детей.
- Причины часто неизвестны, заболевание может развиваться как первично хроническое.
Основные формы хронического гломерулонефрита у детей:
- нефротическая;
- гематурическая;
- смешанная.
Особенности нефротической формы:
- Развивается остро после переохлаждения, ангины, прививок.
- Основные симптомы – отеки, белок в моче.
- Протекает долго, с периодами обострений.
Особенности гематурической формы:
- Жалобы отсутствуют, ребенок чувствует себя нормально.
- В моче небольшое количество эритроцитов и белка.
- Периодически могут возникать отеки, головная боль, повышенная утомляемость.
Особенности смешанной формы:
- Сочетание примесей крови и белка в моче, отеков, повышения давления.
- Проявления повышенного давления: головные боли, вялость, ухудшение зрения.
Принципы диагностики аналогичны взрослым. Лечение назначается индивидуально.
Диспансерное наблюдение детей:
- Общий анализ мочи, осмотр педиатра и измерение давления – 1 раз в месяц.
- Проба Зимницкого – 1 раз в 2-3 месяца.
- ЭКГ, консультации ЛОР-врача и стоматолога – 2 раза в год.
Необходимо разработать индивидуальный план физкультуры и прививок. Важно выявлять хронические очаги инфекции и избегать токсичных препаратов. Ребенка следует беречь от переохлаждения.
Разница между гломерулонефритом и пиелонефритом
Гломерулонефрит – хроническое заболевание, при котором поражаются почечные клубочки. При пиелонефрите затрагиваются канальцевая система, лоханки и межуточная ткань.
Основные различия:
| Хронический гломерулонефрит | Хронический пиелонефрит | |
| Пораженные структуры | Почечные сосуды и клубочки. | Лоханки, чашечки, канальцевая система. |
| Причина | Иммунные реакции. | Бактериальные инфекции. |
| Симптомы обострения | Боли в пояснице, отеки, повышение давления. | Боли в пояснице, высокая температура, слабость, тошнота. |
| Кто чаще болеет | Молодые люди. | Дети, женщины 18-30 лет, пожилые мужчины. |
Протекание хронического гломерулонефрита при беременности
Хронический гломерулонефрит встречается у 0,1-9% беременных. Симптомы зависят от формы заболевания. Беременные должны находиться под наблюдением акушера и нефролога.
Основная цель лечения – борьба с симптомами. Назначают:
- Препараты для снижения давления.
- Белковые препараты для внутривенного введения.
- Противоаллергические препараты.
- Общеукрепляющие средства.
- Препараты железа при анемии.
Осложнения беременности:
- ОПГ-гестоз.
- Невынашивание беременности.
- Внутриутробная гибель плода.
- Кровотечения во время родов.
Народные средства при хроническом гломерулонефрите
Хронический гломерулонефрит требует врачебного лечения. Некоторые народные рецепты могут улучшить состояние, но перед применением необходимо проконсультироваться с врачом.
Инвалидность при хроническом гломерулонефрите
Основание для инвалидности – хроническая почечная недостаточность. Врач направляет на медико-социальную экспертизу.
Критерии инвалидности:
| Группа | Ограничения | Показания |
| I | Снижение способности к самообслуживанию и передвижению. | Терминальная стадия, нарастание уремии. |
| II | Снижение способности к самообслуживанию и передвижению. | Терминальная стадия, отсутствие необратимых осложнений. |
| III | Легкие нарушения. | Хроническая почечная недостаточность на начальной стадии. |
Решение о группе инвалидности принимается индивидуально.
Санаторно-курортное лечение
Показано при хроническом гломерулонефрите в теплых, сухих климатах.
Показания и противопоказания:
| Показания | Противопоказания |
| Латентная форма, небольшие проявления. | Большие примеси крови, II и III стадии почечной недостаточности. |
Курорты для лечения:
| Название | Особенности |
| Байрамали | Лечение заболеваний почек, тепловые ванны. |
| Ситораи-Махи-Хаса | Лечение почечных заболеваний. |
| Кавказские минеральные воды | Лечение хронических заболеваний почек. |
| Санатории Ялты | Морской воздух, климат, фитонциды. |
Освобождение от армии
При хронических заболеваниях почек предусмотрены категории годности:
- Значительное нарушение функции – категория Д (не годен).
- Умеренное нарушение – категория В (ограниченно годен).
Профилактика хронического гломерулонефрита
Рекомендации:
- Правильное закаливание.
- Своевременное лечение хронических инфекций.
- Введение вакцин по показаниям.
Можно ли рожать при хроническом гломерулонефрите?
Зависит от формы заболевания и наличия обострений. Выделяют три степени риска:
- Минимальный риск – латентная форма.
- Выраженный риск – нефротическая форма.
- Максимальный риск – гипертоническая и смешанная формы.
Волчаночный гломерулонефрит
Системная красная волчанка может проявляться гломерулонефритом.
Симптомы зависят от активности процесса:
| Клинический вариант | Симптомы |
| Подострый | Повышение давления, быстрое нарастание почечной недостаточности. |
| Активный | Повышение давления и почечной недостаточности с разной скоростью. |
| Неактивный | Благоприятное течение, терминальная стадия не наступает. |
Заболевания, напоминающие хронический гломерулонефрит
- Хронический пиелонефрит.
- Амилоидоз.
- Подагра.
Заболевания, похожие на гематурическую форму:
- Мочекаменная болезнь.
- Злокачественные опухоли.
- Туберкулез почки.
Для точной диагностики врач назначает обследование, включая анализы и инструментальные исследования.
Употребление алкоголя
Алкоголь усугубляет течение хронического гломерулонефрита, рекомендуется полный отказ.
Можно ли есть арбузы?
Арбузы можно, но количество зависит от формы и стадии заболевания. Рекомендуется проконсультироваться с врачом.
Осложнения хронического гломерулонефрита
- Повышение риска инфекций.
- Атеросклероз, инсульт.
- Сердечная недостаточность.
Исход заболевания зависит от формы и степени нарушения функции почек:
- Латентная форма – благоприятный прогноз.
- Гематурическая и гипертоническая форма – серьезный прогноз.
- Смешанная и протеинурическая форма – неблагоприятный прогноз.
| Форма Хронического Гломерулонефрита | Симптомы | Диагностика | Лечение |
|---|---|---|---|
| Мезангиопролиферативный гломерулонефрит | Микрогематурия (кровь в моче), протеинурия (белок в моче), артериальная гипертензия (повышенное кровяное давление), отеки (в зависимости от стадии), постепенное снижение функции почек (на поздних стадиях) | Анализ мочи (обнаружение крови, белка, цилиндров), анализ крови (креатинин, мочевина, электролиты), УЗИ почек, биопсия почки (для подтверждения диагноза и определения типа гломерулонефрита) | Контроль артериального давления, диета с ограничением соли и белка, ингибиторы АПФ или блокаторы рецепторов ангиотензина II, иммуносупрессивная терапия (в зависимости от тяжести и активности заболевания), гемодиализ или трансплантация почки (на терминальной стадии) |
| Мембранозный гломерулонефрит | Протеинурия (часто массивный), отеки, артериальная гипертензия, гипоальбуминемия (снижение уровня альбумина в крови), гиперлипидемия (повышенный уровень липидов в крови), постепенное снижение функции почек (на поздних стадиях) | Анализ мочи (обнаружение белка), анализ крови (креатинин, мочевина, альбумин, липиды), УЗИ почек, биопсия почки | Контроль артериального давления, диета с ограничением соли и белка, иммуносупрессивная терапия (в зависимости от тяжести и активности заболевания), лечение сопутствующих заболеваний (например, гепатита В или С), гемодиализ или трансплантация почки (на терминальной стадии) |
| Фокальный сегментарный гломерулосклероз (ФСГС) | Протеинурия (часто массивный), отеки, артериальная гипертензия, постепенное снижение функции почек | Анализ мочи (обнаружение белка), анализ крови (креатинин, мочевина), УЗИ почек, биопсия почки | Контроль артериального давления, диета с ограничением соли и белка, иммуносупрессивная терапия (кортикостероиды, циклоспорин, микофенолят мофетил), гемодиализ или трансплантация почки (на терминальной стадии) |
| Идиопатический быстропрогрессирующий гломерулонефрит | Быстрое снижение функции почек, гематурия (кровь в моче), протеинурия, артериальная гипертензия, отеки, олигурия (снижение количества мочи) | Анализ мочи (обнаружение крови, белка), анализ крови (креатинин, мочевина), УЗИ почек, биопсия почки (для определения типа гломерулонефрита и исключения других заболеваний) | Агрессивная иммуносупрессивная терапия (высокие дозы кортикостероидов, циклофосфамид, ритуксимаб), плазмаферез (удаление антител из крови), гемодиализ или трансплантация почки (часто необходимы на ранних стадиях) |
Хронический гломерулонефрит — это заболевание почек, которое вызывает воспаление клубочков, что может привести к их повреждению и нарушению функции почек. Люди, страдающие от этой болезни, часто отмечают такие симптомы, как отеки, повышение артериального давления, а также изменения в моче — она может стать мутной или содержать кровь. Диагностика включает анализы крови и мочи, а также ультразвуковое исследование почек. Лечение обычно направлено на контроль симптомов и замедление прогрессирования заболевания. Это может включать применение антигипертензивных препаратов, диету с ограничением соли и белка, а в некоторых случаях — иммуносупрессивную терапию. Важно, чтобы пациенты регулярно посещали врача и следовали его рекомендациям, чтобы избежать осложнений и поддерживать качество жизни.

Виды и симптомы хронического гломерулонефрита
По течению и клиническим проявлениям выделяются следующие типы:
1. Латентный – наиболее распространенный тип (около 45% случаев хронического гломерулонефрита). Характеризуется слабыми внешними симптомами: легкая отечность и умеренное повышение артериального давления. Лабораторные исследования показывают повышенный уровень белка, эритроцитов и лейкоцитов в общем анализе мочи.
2. Гематурический – редкая форма (не более 5% пациентов). Проявляется розоватым или красным оттенком мочи. В общем анализе мочи фиксируется увеличенное количество измененных эритроцитов.
3. Гипертонический – часто встречающаяся форма (около 20% случаев). Проявляется постоянным повышением артериального давления, увеличением объема суточной мочи и ночными позывами к мочеиспусканию. В общем анализе мочи наблюдается повышенное содержание белка и измененных эритроцитов, плотность мочи может быть ниже нормы или на ее нижней границе.
4. Нефротический – также часто встречающаяся форма (примерно 25%). Проявляется повышенным артериальным давлением, выраженной отечностью и уменьшением объема суточной мочи. Лабораторные показатели в общем анализе мочи: повышенная плотность и увеличенное содержание белка; биохимический анализ крови показывает снижение общего белка (в основном альбуминов) и повышение уровня холестерина.
5. Смешанный (нефротический-гипертонический) – характеризуется симптомами нефротической и гипертонической форм.
Методы диагностики хронического гломерулонефрита
Для диагностики всех типов хронического гломерулонефрита применяются следующие обследования:
| Вид диагностики | Цель назначения |
| Общий анализ мочи | Выявление изменений в плотности мочи, наличии белка и цилиндров, количестве лейкоцитов и эритроцитов, цвете мочи. |
| Биохимический анализ крови | Исследование общего уровня белка, альбуминов, креатинина, мочевины, уровня холестерина и липидограммы. |
| Биопсия почек и микроскопия биоптата | Изучение тканевых изменений в клубочках почек и выявление морфологических форм гломерулонефрита, что служит критерием для назначения лечения. |
Стадии хронического гломерулонефрита
Стадия компенсации
На начальном этапе функциональная активность почек остается нормальной.
| Внешние проявления: | Лабораторные показатели: |
| * Отсутствуют * Незначительное повышение артериального давления * Умеренные отеки | * Умеренное увеличение белка в моче * Обнаружение измененных эритроцитов в моче * Изменения в плотности мочи * Постепенное снижение способности почек к концентрации мочи, что выявляется с помощью пробы по Зимницкому. |
Стадия декомпенсации
Этап прогрессирования заболевания и нарушения функции почек. Наблюдаются нарушения работы почек и развитие хронической почечной недостаточности.
| Внешние проявления | Лабораторные показатели |
| * Накопление азотистых соединений в крови: головная боль, тошнота, рвота * Значительное повышение артериального давления: задержка жидкости, нарушение электролитного баланса, гормональные изменения * Увеличение суточного объема мочи (полиурия), сопровождающееся сухостью кожи, жаждой, слабостью, головной болью. | Общий анализ мочи * Увеличение белка в моче * Снижение плотности мочи * Наличие цилиндров в моче (гиалиновые, зернистые) * Эритроциты в моче: часто значительно превышают норму. |
Уремия
Тяжелая форма почечной недостаточности. Почки теряют способность поддерживать нормальный состав крови.
| Внешние и лабораторные проявления |
| В крови накапливаются токсические азотистые соединения (мочевина, креатинин, остаточный азот). Интоксикация проявляется общей слабостью, головной болью, спутанностью сознания, комой, запахом аммиака в выдыхаемом воздухе. |

Диагностика хронического гломерулонефрита
| Внешние проявления острого гломерулонефрита | |
| * Периодическая боль в пояснице * Постоянная жажда * Изменения в количестве мочи (увеличение или уменьшение) * Утренние отеки, особенно век * Повышение артериального давления (не всегда) * Изменение цвета мочи (розовая, красная или цвет мясных помоев) * Увеличенная утомляемость, апатия, головные боли |
| Лабораторные показатели острого гломерулонефрита: | |
| Общий анализ мочи: | |
| * Цвет мочи: розовый, красный, цвет мясных помоев * Измененные эритроциты: в большом количестве * Цилиндры: эритроцитарные, зернистые, гиалиновые * Плотность мочи: повышенная, пониженная или в норме (в зависимости от стадии) * Белок: в значительном количестве, характерно для всех форм болезни | |
| Проба Зимницкого: | |
| * Увеличение или уменьшение суточного объема мочи * Изменение плотности мочи * Результаты зависят от стадии и формы хронического гломерулонефрита. | |
| Биохимический анализ крови: | |
| * Снижение уровня белка (уменьшение альбуминов) * Наличие С-реактивного белка * Повышение уровня холестерина * Обнаружение сиаловых кислот * Увеличение азотистых соединений (характерно для запущенных стадий) | |
| Иммунологическое исследование крови: | |
| * Увеличение титра антистептолизина О (АСЛ-О) * Повышение антистрептокиназы * Увеличение антигиалуронидазы * Повышение антидезоксирибонуклеазы В * Увеличение гамма-глобулинов IgG и IgM * Снижение комплемента С3 и С4 |
| Инструментальные исследования | |
| УЗИ почек: | |
| * Размер почек: нормальный или уменьшенный * Повышение эхогенности почечной ткани * Снижение скорости клубочковой фильтрации | |
| Биопсия почек: | |
| * Признаки клеточной пролиферации в клубочках * Инфильтрация клубочков моноцитами и нейтрофилами * Наличие плотных отложений иммунных комплексов в клубочках. |
Лечение хронического гломерулонефрита
| Метод терапии | Задача | Практическая информация |
| * Устранение очагов хронического воспаления | Устранить источник хронического воспаления, способный вызвать аутоиммунное поражение почек | * Удаление кариозных зубов * Операция по удалению воспаленных миндалин и аденоидов * Лечение хронического гайморита |
| * Режим покоя | Уменьшить нагрузку на почки. Физическая активность может ускорить обмен веществ и привести к образованию токсичных соединений. | Рекомендуется находиться в горизонтальном положении и избегать лишних движений. |
| * Питание | Нарушение функции почек может изменить электролитный баланс, вызвать потерю необходимых веществ и накопление токсинов. Правильное питание минимизирует негативные последствия. | Стол номер 7 Рекомендации: * Уменьшить потребление соли * Ограничить количество жидкости * Употреблять продукты, богатые калием и кальцием, с низким содержанием натрия * Сократить потребление животного белка * Включить растительные жиры и сложные углеводы. |
| * Антикоагулянты и антиагреганты | Улучшить текучесть крови. Воспаление в почечных клубочках может привести к тромбообразованию. Эти препараты помогают предотвратить такие процессы. | * Дипиридамол 400-600 мг/сутки * Тиклопидин 0,25 г дважды в день * Гепарин 20-40 тыс. ЕД/сутки. Курс лечения 3-10 недель. Дозировки определяются врачом на основе анализов и состояния пациента. |
| Нестероидные противовоспалительные средства | Индометацин и ибупрофен могут влиять на иммунный ответ. Подавление иммунного поражения почек улучшает их состояние. | Индометацин * Назначается на несколько месяцев * Начальная доза 25 мг в сутки, затем постепенно увеличивается до 100-150 мг. |
| * Иммуносупрессоры | Препараты, подавляющие иммунную систему, положительно влияют при гломерулонефрите, замедляя разрушительные процессы в почечных клубочках. | Стероидные препараты: * Преднизолон 1 мг/кг/сутки на 6-8 недель, затем снижение до 30 мг/сутки с постепенным прекращением. * Пульс-терапия по назначению врача. Цитостатические препараты: * циклофосфамид 2-3 мг/кг/сутки * хлорамбуцил 0,1-0,2 мг/кг/сутки * циклоспорин 2,5-3,5 мг/кг/сутки * азатиоприн 1,5-3 мг/кг/сутки |
| * Препараты для снижения артериального давления | При почечной недостаточности может наблюдаться задержка жидкости и изменение уровня гормонов, что приводит к повышению артериального давления, контролируемому медикаментозно. | * каптоприл 50-100 мг/сутки * эналаприл 10-20 мг/сутки * рамиприл 2,5-10 мг/сутки |
| * Мочегонные средства | Затрудненный кровоток в воспаленных клубочках и накопление клеточных элементов требуют активизации тока жидкости в нефроне. Мочегонные препараты полезны при гломерулонефритах. | * гипотиазид 50-100 мг * фуросемид 40-80 мг * урегит 50-100 мг * альдактон 200-300 мг/сутки |
| * Антибиотики | При гломерулонефрите, если сохраняется хронический очаг инфекции, необходимо лечение антибактериальными препаратами. | Выбор антибиотика осуществляется врачом индивидуально, учитывая: * Тип хронического воспаления * Чувствительность возбудителя * Переносимость препарата пациентом. |
Прогноз по здоровью при хроническом гломерулонефрите
При отсутствии лечения заболевание приводит к утрате нефронов и почечной недостаточности.
Активная терапия, подавляющая иммунную систему, значительно улучшает состояние: почечная недостаточность либо не развивается, либо ее проявления откладываются.
Есть данные о полной ремиссии при лечении, снижающем иммунную активность.
В чем особенности хронического гломерулонефрита у детей?
Общие характеристики гломерулонефрита у детей:
- Клинические проявления заболевания варьируются.
- Хронический гломерулонефрит — частая причина хронической почечной недостаточности у детей, кроме новорожденных.
- Почти 40% случаев гемодиализа и трансплантации почек у детей связано с хроническим гломерулонефритом.
Главные причины хронического гломерулонефрита у детей:
- Причины часто неясны. Заболевание может развиваться как первично хроническое, без предшествующего острого гломерулонефрита.
- Влияние может оказывать неадекватное лечение хронических инфекций (например, больные зубы, воспаленные миндалины), гиповитаминозы, переохлаждение и недостаточное питание во время острого гломерулонефрита.
- Роль могут играть медленно протекающие инфекции, такие как цитомегаловирус, гепатит B, парагрипп и другие.
- Врожденные аномалии почечной ткани.
- Наследственные иммунодефициты (снижение активности иммунной системы из-за генетических факторов).
Основные формы хронического гломерулонефрита у детей:
- нефротическая (отечно-протеинурическая);
- гематурическая;
- смешанная.
Характеристики нефротической формы хронического гломерулонефрита у детей:
- Заболевание может развиться остро после переохлаждения, ангины, острого респираторного заболевания, вакцинации или без видимых причин.
- Основные симптомы: отеки и белок в моче.
- Заболевание имеет длительное течение с периодами улучшения и обострениями. Может развиться хроническая почечная недостаточность.
Характеристики гематурической формы хронического гломерулонефрита у детей:
- Обычно жалобы отсутствуют, ребенок чувствует себя хорошо.
- В моче обнаруживается небольшое количество эритроцитов и белка, изменения могут сохраняться 10-15 лет без симптомов.
- У многих детей выявляется хронический тонзиллит и другие хронические инфекции.
- Периодически могут возникать отеки, боли в пояснице, головные боли, повышенная утомляемость и боли в животе.
- У некоторых детей заболевание может сопровождаться анемией, бледностью и повышением артериального давления.
- Длительное сохранение симптомов увеличивает риск хронической почечной недостаточности.
Характеристики смешанной формы хронического гломерулонефрита у детей:
- Наличие как крови, так и белка в моче, отеки и повышенное артериальное давление.
- Проявления повышенного давления: головные боли, головокружение, боли в пояснице, вялость, раздражительность, ухудшение зрения и иногда судороги.
- Часто наблюдается анемия и бледность.
- Заболевание протекает тяжело, хроническая почечная недостаточность может развиться на ранних стадиях.
Принципы диагностики хронического гломерулонефрита у детей аналогичны взрослым. Лечение назначается индивидуально в зависимости от формы заболевания, наличия хронической почечной недостаточности, осложнений и сопутствующих заболеваний.
Как осуществляется диспансерное наблюдение за детьми с хроническим гломерулонефритом?
Диспансерное наблюдение продолжается до перевода ребенка во взрослую поликлинику:
- общий анализ мочи, осмотр педиатра и измерение артериального давления – 1 раз в месяц;
- проба Зимницкого – 1 раз в 2-3 месяца;
- электрокардиография (ЭКГ), консультация отоларинголога и стоматолога – 2 раза в год.
Необходим индивидуальный план физической активности и вакцинации. Важно своевременно выявлять хронические инфекции и проводить лечение, избегая препаратов, негативно влияющих на почки. Ребенка следует защищать от переохлаждения. Многие дети нуждаются в удалении воспаленных аденоидов и миндалин, но к этому вопросу следует подходить осторожно, так как операция может спровоцировать обострение инфекции.
В чем разница между гломерулонефритом и пиелонефритом?
Гломерулонефрит — хроническое заболевание, поражающее почечные клубочки, ответственные за фильтрацию крови и образование мочи. В дальнейшем могут затрагиваться и другие структуры почек.
При пиелонефрите основное внимание уделяется канальцевой системе, почечным лоханкам и чашечкам, а также межуточной ткани.
Ключевые отличия между хроническим пиелонефритом и гломерулонефритом:
| Хронический гломерулонефрит | Хронический пиелонефрит | |
| Какие структуры поражаются? | Почечные сосуды и клубочки. | Почечные лоханки, чашечки, канальцевая система, межуточная ткань. |
| Основная причина заболевания? | Иммунные реакции. | Бактериальные инфекции. |
| Основные симптомы при обострении? | * боли в пояснице; * отеки на лице по утрам; * повышение артериального давления, головные боли, головокружение. | * боли в пояснице; * температура до 38-40°C; * общая слабость; * тошнота и рвота, снижение аппетита. |
| Кто чаще страдает от этого заболевания? | Молодые люди. | * дети до 7 лет; * девушки и женщины 18-30 лет; * пожилые мужчины с простатитом и аденомой предстательной железы. |
Определить заболевание может только врач на основе осмотра, обследования и анализов.
Как протекает хронический гломерулонефрит при беременности?
Хронический гломерулонефрит встречается у 0,1-9% беременных. Симптомы зависят от типа заболевания (латентный, нефротический, гипертонический, смешанный). Беременные с этим диагнозом должны находиться под постоянным наблюдением акушера и нефролога, а также регулярно проходить госпитализацию для обследования и лечения.
Основная цель терапии хронического гломерулонефрита во время беременности — устранение симптомов. Рекомендуются:
- медикаменты для снижения артериального давления;
- белковые препараты для внутривенного введения для коррекции уровня белка в крови;
- антигистаминные средства;
- общеукрепляющие препараты;
- препараты железа при выраженной анемии.
Возможные риски беременности на фоне хронического гломерулонефрита:
- ОПГ-гестоз (отеки, белок в моче, повышение артериального давления). Это состояние может развиться на ранних сроках, имеет тяжелое течение и может привести к почечной недостаточности, отеку легких и поражению головного мозга.
- Риск невынашивания беременности.
- Внутриутробная смерть плода.
- Кровотечения во время родов из-за снижения свертываемости крови.
Какими народными средствами можно лечить хронический гломерулонефрит?
Хронический гломерулонефрит — серьезное заболевание с возможными тяжелыми последствиями. Диагностика и лечение должны проводиться квалифицированным врачом. Некоторые народные средства могут улучшить состояние и дополнить основное лечение, но перед их использованием обязательно проконсультируйтесь с лечащим врачом.
Пациентам с хроническим пиелонефритом, включая детей, рекомендуется в течение 1-2 месяцев с перерывом в 1 месяц принимать почечный сбор по Ковалевой.
Дают ли инвалидность при хроническом гломерулонефрите?
Основной причиной назначения группы инвалидности при хроническом гломерулонефрите является хроническая почечная недостаточность. Врач обследует пациента и направляет его на медико-социальную экспертизу (МСЭ).
Критерии назначения группы инвалидности при хронической почечной недостаточности:
| Группа инвалидности | Ограничения | Показания |
| I | * Снижение способности к самообслуживанию 3 степени. * Снижение способности к передвижению 3 степени. * Снижение трудоспособности 3 степени. Пациент нуждается в посторонней помощи более половины времени в день. | * Терминальная стадия хронической почечной недостаточности. * Увеличение уремии и азотемии после трансплантации почки и при диализе. * Тяжелые необратимые осложнения. * Серьезные сопутствующие заболевания. |
| II | * Снижение способности к самообслуживанию 2 степени. * Снижение способности к передвижению 2 степени. * Снижение трудоспособности 2 степени. Пациент может работать только в домашних условиях или в специально организованных условиях. | * Терминальная стадия хронической почечной недостаточности. Нарушение работы органов 2 степени. * Азотемия и уремия не увеличиваются в течение 1-2 лет после трансплантации почки и при диализе. * Отсутствие необратимых осложнений и тяжелых сопутствующих заболеваний. |
| III | * Снижение способности к самообслуживанию 1 степени. * Снижение способности к передвижению 1 степени. * Снижение трудоспособности 1 степени. | * Азотемия отсутствует. * Хроническая почечная недостаточность на начальной стадии. * Легкие или умеренные нарушения работы внутренних органов. |
Решение о назначении группы инвалидности принимается врачами комиссии индивидуально, после изучения медицинской документации и оценки состояния пациента.
В каких санаториях можно лечиться при хроническом гломерулонефрите?
Больным с хроническим гломерулонефритом рекомендуется проводить время в теплом сухом климате и принимать солнечные ванны.
Показания и противопоказания к санаторно-курортному лечению при хроническом гломерулонефрите:
| Показания | Противопоказания |
| * латентная форма заболевания; * гематурическая форма с незначительными примесями крови в моче; * гипертоническая форма с артериальным давлением до 180/105 мм рт. ст.; * нефротическая форма с слабо выраженными симптомами; * легкие проявления хронической почечной недостаточности. | * значительное количество крови в моче; * артериальное давление выше 180/105 мм рт. ст.; * II и III стадии хронической почечной недостаточности; * уремия (отравление организма продуктами обмена при тяжелой почечной недостаточности). |
Курорты для людей с хронической почечной недостаточностью:
| Название курорта | Особенности |
| Байрамали | * расположен в Туркменистане, в Мургабском оазисе; * основное направление – лечение заболеваний почек; * климат – засушливый континентальный, летом температура достигает +40°C; * основной метод терапии – тепловые ванны; * курортный сезон с апреля по сентябрь; * рекомендованный курс лечения – 36 дней. |
| Ситораи-Махи-Хаса | * находится в Узбекистане, на восточной окраине Бухары; * основное направление – лечение почечных заболеваний; * климатические условия схожи с Байрамали; * лечебный фактор – сульфатно-хлоридная натриевая вода. |
| Кавказские минеральные воды | * группа курортов в Ставропольском крае; * один из крупнейших и старейших курортов России; * местные курорты предлагают лечение различных заболеваний, включая хронические патологии почек; * более 130 минеральных источников; * богатые запасы иловых грязей. |
| Санатории Ялты | * морской воздух, насыщенный солями и минералами; * основные лечебные факторы – климат, фитонциды хвойных лесов, воздушные и солнечные ванны; * расположены на южном побережье Крыма, в самой теплой части полуострова. |
Освобождают ли от армии при хроническом гломерулонефрите?
Это регулируется «Требованиями к состоянию граждан для первоначального воинского учета, призыва на военную службу, контрактной службы, а также для поступления в учебные заведения и военно-учебные учреждения, а также для военнослужащих и граждан в запасе Вооруженных Сил Российской Федерации».
Согласно статье 71 этих «Требований», при наличии хронических заболеваний почек, включая хронический гломерулонефрит, нефросклероз, хронический пиелонефрит, первично-сморщенную почку, хронический интерстициальный нефрит, амилоидоз почек и другие, установлены следующие категории годности:
- При выраженном нарушении функции почек (хроническая почечная недостаточность) – категория Д – «не годен»;
- При умеренном нарушении работы почек – категория В – «ограниченно годен».
Осмотр проводится после обследования и лечения призывника в стационаре.
Какова профилактика хронического гломерулонефрита?
Можно значительно уменьшить риски заболеваний, следуя этим рекомендациям:
- Правильное закаливание. Закаливание снижает чувствительность к холоду и повышает устойчивость к заболеваниям, возникающим из-за переохлаждения.
- Своевременное лечение хронических инфекционных очагов. Обратитесь к специалисту и пройдите полный курс терапии. Хронические очаги могут быть «рассадниками» инфекции, что позволяет возбудителям распространяться в почки и другие органы, вызывая воспаление.
- Вакцинация и применение сывороток по медицинским показаниям. Эти препараты содержат чуждые организму вещества, на которые иммунная система реагирует защитными реакциями. Необоснованное и частое использование вакцин и сывороток может привести к нежелательным последствиям.
Можно ли рожать при хроническом гломерулонефрите?
Это зависит от типа заболевания и обострений во время беременности. Выделяют три уровня риска:
- Минимальный риск. Присущ латентной форме хронического гломерулонефрита. Большинство женщин рожают здоровых детей. Осложнения возникают в 20% случаев.
- Выраженный риск. Связан с нефротической формой заболевания. Осложнения наблюдаются в 20-50% случаев.
- Максимальный риск. Характерен для гипертонической и смешанной форм гломерулонефрита с тяжелой почечной недостаточностью. Осложнения развиваются более чем у половины женщин. Высок риск рождения недоношенного ребенка или его гибели. Острые гломерулонефриты и обострения хронической формы во время беременности особенно опасны. В таких случаях врач может рекомендовать досрочное родоразрешение или прерывание беременности.
Что такое волчаночный гломерулонефрит? Какие особенности он имеет?
Системная красная волчанка — хроническое заболевание, чаще всего диагностируемое у молодых людей, связанное с аномальными иммунными реакциями. Одним из симптомов является волчаночный гломерулонефрит.
Статистические данные:
- У многих пациентов гломерулонефрит является наиболее серьезным проявлением системной красной волчанки, что влияет на прогноз.
- Признаки гломерулонефрита наблюдаются у 30-90% людей с системной красной волчанкой.
- Поражение почек в той или иной степени присутствует у всех пациентов.
Симптомы волчаночного гломерулонефрита
Симптоматика заболевания зависит от активности процесса:
| Клинический тип гломерулонефрита | Симптоматика |
| Подострый (быстропрогрессирующий) | * На ранних этапах повышается артериальное давление. * Быстро ухудшается функция почек ( почечная недостаточность). * Без лечения через 6-12 месяцев может развиться терминальная стадия хронической почечной недостаточности. * В общем анализе мочи обнаруживаются белки, цилиндры, эритроциты в умеренных или значительных количествах. |
| Активный | * Повышение артериального давления и почечная недостаточность прогрессируют с различной скоростью в зависимости от патологических изменений в почках. * В общем анализе мочи выявляются белки, цилиндры, эритроциты в умеренных или значительных количествах. |
| Неактивный | * Заболевание протекает благоприятно. * Терминальная стадия почечной недостаточности практически не развивается. * В общем анализе мочи обнаруживается небольшое количество белка и эритроцитов. |
Какие заболевания могут напоминать хронический гломерулонефрит?
Наиболее сложным является различение острого и хронического гломерулонефрита. Внезапное проявление заболевания с отеками, повышением артериального давления и изменениями в анализах мочи указывает на острый гломерулонефрит. Однако аналогичные симптомы могут возникать и при обострении хронической формы.
Существуют и другие заболевания, вызывающие изменения в моче, такие как белок, эритроциты и лейкоциты:
- Хронический пиелонефрит — воспаление, затрагивающее лоханки, чашечки и канальцевую систему почек.
- Амилоидоз — нарушение обмена белков и углеводов, приводящее к отложению амилоида в почечной ткани и нарушению функции почек.
- Подагра — заболевание, связанное с нарушением обмена мочевой кислоты, вызывающее отложение ее солей в тканях и повреждение суставов и почек.
Заболевания, имитирующие гематурическую форму хронического пиелонефрита:
- Мочекаменная болезнь — камни в мочевыводящих путях повреждают слизистую оболочку, вызывая кровь в моче. Ярким проявлением является почечная колика.
- Злокачественные опухоли — примеси крови могут возникать при раке почки, мочевого пузыря или предстательной железы.
- Туберкулез почки.
- Патологии мочевого пузыря.
Гематурическая форма хронического гломерулонефрита часто является симптомом состояний, таких как инфекционный эндокардит или геморрагический васкулит.
Гипертоническая форма хронического гломерулонефрита может напоминать гипертоническую болезнь.
Для точного диагноза врач назначает комплексное обследование, включая инструментальные методы и лабораторные анализы, подбираемые индивидуально в зависимости от клинической ситуации. В некоторых случаях окончательная диагностика возможна только после биопсии почек.
Можно ли употреблять алкоголь при гломерулонефрите?
Употребление алкоголя негативно сказывается на здоровье, в том числе и на почках. Он может усугубить хронический гломерулонефрит, поэтому следует полностью исключить алкоголь из рациона, включая газированные напитки.
Можно ли есть арбузы при гломерулонефрите?
Люди с хроническим гломерулонефритом могут включать арбузы в рацион. Однако из-за высокого содержания жидкости количество арбузов зависит от формы и стадии заболевания. Рекомендуется проконсультироваться с врачом. В некоторых случаях при хроническом гломерулонефрите полезно устраивать разгрузочные дни с арбузами.
Каковы осложнения хронического гломерулонефрита?
Хронический гломерулонефрит, помимо потери нефронов и почечной недостаточности, может вызывать серьезные осложнения:
- увеличение вероятности инфекций, таких как фурункулы, абсцессы, бронхиты и пневмония;
- атеросклероз в молодом возрасте и риск инсульта;
- сердечная недостаточность – редкое, но возможное осложнение при хроническом гломерулонефрите с постоянным повышением артериального давления.
Прогноз заболевания зависит от двух факторов: формы хронического гломерулонефрита и степени нарушения функции почек:
- латентная форма – благоприятный прогноз;
- гематурическая и гипертоническая форма – более серьезный прогноз;
- смешанная и протеинурическая форма – неблагоприятный прогноз.
Вопрос-ответ
Каковы симптомы хронического гломерулонефрита?
Симптомы хронического гломерулонефрита могут включать отеки (особенно на лице и ногах), повышение артериального давления, протеинурию (наличие белка в моче), гематурию (кровь в моче), снижение функции почек и общую слабость. Также могут наблюдаться изменения в анализах крови, такие как повышение уровня креатинина и мочевины.
Какие бывают формы гломерулонефрита?
Гломерулонефрит бывает первичным и вторичным. Первичный гломерулонефрит включает такие формы, как минимальные изменения, фокально-сегментарный гломерулосклероз и мембранозный нефрит. Вторичный гломерулонефрит развивается на фоне других заболеваний, таких как системная красная волчанка, диабетическая нефропатия или инфекционные процессы. Каждая форма имеет свои клинические проявления и подходы к лечению.
Как лечить хронический гломерулонефрит?
При хроническом гломерулонефрите могут применяться методы экстракорпорального очищения крови – плазмаферез, гемосорбция или гемодиализ. Они позволяют быстро и эффективно удалить из крови токсичные метаболиты, которые не выводятся из организма при развитии острой стадии почечной недостаточности.
Советы
СОВЕТ №1
Регулярно проходите медицинские обследования. Хронический гломерулонефрит может долгое время протекать бессимптомно, поэтому важно регулярно проверять состояние почек, особенно если у вас есть предрасположенность к заболеваниям почек или вы страдаете от диабета и гипертонии.
СОВЕТ №2
Обратите внимание на свое питание. Соблюдение диеты с низким содержанием соли и белка может помочь снизить нагрузку на почки и замедлить прогрессирование заболевания. Включите в рацион больше овощей, фруктов и цельнозерновых продуктов.
СОВЕТ №3
Следите за уровнем артериального давления. Высокое давление может усугубить состояние почек, поэтому важно контролировать его и при необходимости принимать назначенные врачом препараты для его снижения.
СОВЕТ №4
Не игнорируйте симптомы. Если вы заметили отеки, изменения в мочеиспускании или усталость, немедленно обратитесь к врачу. Раннее выявление и лечение могут значительно улучшить прогноз и качество жизни.













