Анатомия и физиология матки при зачатии
Для понимания внематочной беременности и её факторов необходимо рассмотреть нормальное зачатие и имплантацию эмбриона.
Оплодотворение — это процесс слияния мужских и женских половых клеток: сперматозоидов и яйцеклетки. Обычно это происходит после полового акта, когда сперматозоиды перемещаются из влагалища через матку и маточные трубы к яйцеклетке, вышедшей из яичников.
Яйцеклетки формируются в яичниках, которые также выполняют гормональную функцию. В первой половине менструального цикла в яичниках созревает одна яйцеклетка, что сопровождается изменениями, подготавливающими её к оплодотворению. В это время эндометрий утолщается и готовится к принятию оплодотворённой яйцеклетки.
Оплодотворение возможно только после овуляции, когда созревшая яйцеклетка покидает фолликул. Этот процесс происходит примерно в середине менструального цикла. Вышедшая яйцеклетка, окружённая клетками, попадает на бахромчатый конец маточной трубы и перемещается ресничками клеток, выстилающих трубы, вглубь органа. Оплодотворение происходит в ампулярной части трубы. Затем оплодотворённая яйцеклетка, благодаря ресничкам и потоку жидкости, направляется в полость матки для имплантации.
В организме женщины существуют механизмы, замедляющие продвижение оплодотворённой яйцеклетки в полость матки. Это необходимо, чтобы яйцеклетка успела пройти стадии деления и подготовиться к имплантации. В противном случае плодное яйцо может оказаться неспособным к внедрению в эндометрий.
Задержка продвижения оплодотворённой яйцеклетки обеспечивается следующими механизмами:
- Складки слизистой оболочки маточных труб. Эти складки замедляют движение яйцеклетки, увеличивая путь и задерживая ток жидкости.
- Спастическое сокращение перешейка маточной трубы. Перешеек находится в спастическом сокращении в течение нескольких дней после овуляции, что затрудняет продвижение яйцеклетки.
При нормальном функционировании женского организма эти механизмы устраняются благодаря увеличению секреции прогестерона — гормона, поддерживающего беременность.
Когда плодное яйцо достигает стадии бластоцисты, начинается процесс имплантации. Этот процесс, происходящий через 5–7 дней после овуляции и оплодотворения, должен происходить в полости матки. Специальные клетки на поверхности плодного яйца выделяют вещества, расплавляющие клетки эндометрия, позволяя яйцеклетке внедриться в слизистый слой матки. После имплантации клетки плодного яйца начинают делиться и формировать плаценту и другие эмбриональные органы.
Таким образом, в процессе оплодотворения и имплантации множество механизмов могут сбойнуть, что приведёт к неправильной имплантации или её возникновению вне полости матки.
Нарушение работы этих структур может привести к внематочной беременности:
- Нарушение сокращения маточных труб для продвижения сперматозоидов. Движение сперматозоидов из полости матки к ампулярной части трубы происходит против тока жидкости. Если этот процесс нарушен, встреча яйцеклетки со сперматозоидами может произойти слишком рано или поздно.
- Нарушение движений ресничек эпителия. Движения ресничек, активируемые эстрогенами, направлены от яичников к матке. При отсутствии движения или его обратной направленности плодное яйцо может оставаться на месте или двигаться в противоположном направлении.
- Устойчивость спастического спазма перешейка маточной трубы. Спазмы устраняются прогестероном. Если его продукция нарушена, спазм может сохраняться, задерживая плодное яйцо в трубах.
- Нарушение секреции эпителиальных клеток маточных труб. Секреторная активность клеток формирует ток жидкости, способствующий продвижению яйцеклетки. При отсутствии этой активности процесс замедляется.
- Нарушение сократительной активности маточных труб для продвижения плодного яйца. Сокращение труб помогает не только сперматозоидам добраться до яйцеклетки, но и способствует движению оплодотворённой яйцеклетки к матке.
Несмотря на то, что внематочная беременность развивается вне полости матки, ранние стадии формирования плода и эмбриональных органов происходят нормально. Однако в дальнейшем течение беременности нарушается. Это может произойти из-за того, что плацента, формирующаяся в просвете маточных труб или на других органах, разрушает сосуды и вызывает гематосальпинкс, внутреннее кровотечение или оба состояния. Обычно это сопровождается выкидышем. Кроме того, существует высокая вероятность, что растущий плод приведёт к разрыву трубы или серьёзному повреждению других внутренних органов.
Врачи отмечают, что внематочная беременность представляет собой серьезную медицинскую проблему, требующую внимательного подхода. Основными причинами данного состояния являются воспалительные заболевания органов малого таза, эндометриоз и хирургические вмешательства. Симптомы могут варьироваться от болей в животе до аномальных вагинальных кровотечений, что делает раннюю диагностику особенно важной. Для подтверждения диагноза врачи используют ультразвуковое исследование и анализы на уровень гормонов. Лечение внематочной беременности зачастую требует хирургического вмешательства, однако в некоторых случаях возможно применение медикаментозной терапии. Важно, чтобы женщины были осведомлены о рисках и обращались за медицинской помощью при первых признаках проблемы.

Причины внематочной беременности
Внематочная беременность — это патологическое состояние, не имеющее единственной причины или фактора риска. Заболевание может развиваться под воздействием множества факторов, некоторые из которых остаются неясными.
Чаще всего внематочная беременность возникает из-за нарушений в перемещении яйцеклетки или плодного яйца, а также из-за чрезмерной активности бластоцисты. Это приводит к имплантации до достижения плодным яйцом полости матки. Отдельный случай — внематочная беременность в шейке матки, связанная с задержкой имплантации или слишком быстрым движением плодного яйца, но такие случаи редки.
Причины внематочной беременности:
- Преждевременная активность бластоцисты. В некоторых случаях преждевременная активность бластоцисты, сопровождающаяся выделением ферментов для внедрения, может вызвать внематочную беременность. Это связано с генетическими аномалиями, токсичными веществами или гормональными нарушениями, что приводит к имплантации плодного яйца в маточной трубе.
- Нарушение продвижения плодного яйца по маточным трубам. Если продвижение плодного яйца нарушено, оплодотворенная яйцеклетка может задерживаться в сегменте трубы или вне её, что приводит к имплантации в соответствующем регионе.
Нарушение продвижения оплодотворенной яйцеклетки к полости матки — наиболее распространенная причина внематочной беременности и может быть вызвано различными структурными и функциональными изменениями.
Факторы, вызывающие нарушение продвижения плодного яйца:
- воспалительные процессы в придатках матки;
- хирургические вмешательства на маточных трубах и органах брюшной полости;
- гормональные нарушения;
- эндометриоз маточных труб;
- врожденные аномалии;
- опухоли в малом тазу;
- воздействие токсичных веществ.
| Причина | Симптом | Диагностический метод |
|---|---|---|
| Блокада маточных труб (спайки, воспаление, эндометриоз) | Боль внизу живота (может быть резкой и внезапной) | Трансвагинальное УЗИ |
| Аномалии развития маточных труб | Кровотечение (нерегулярное, скудное или обильное) | β-ХГЧ анализ крови |
| Предыдущие операции на органах малого таза | Головокружение, обморок | Лапароскопия |
| Эндометриоз | Слабость, тошнота, рвота | Допплеровское УЗИ |
| Воспалительные заболевания органов малого таза | Задержка менструации (не всегда) | Магнитно-резонансная томография (МРТ) |
| Внутриматочная спираль (ВМС) | Боль при дефекации или мочеиспускании | Повторный β-ХГЧ анализ крови |
| ЭКО | Боль в плече | Диагностическая лапароскопия |
| Неизвестные причины | Повышенная температура тела | Кулачковая пункция |
Воспалительный процесс в придатках матки
Воспаление придатков матки (маточные трубы и яичники) — одна из основных причин внематочной беременности. Риск этой патологии возрастает как при остром, так и при хроническом сальпингите (воспаление маточных труб). Инфекционные агенты, вызывающие воспаление, приводят к структурным и функциональным изменениям в тканях фаллопиевых труб, что увеличивает вероятность нарушения движения оплодотворенной яйцеклетки.
Воспаление может быть вызвано различными факторами (токсинами, радиацией, аутоиммунными процессами), но чаще всего — инфекцией. Исследования женщин с сальпингитом показали, что заболевание в большинстве случаев вызывается факультативными патогенами, среди которых наиболее значимы штаммы нормальной микрофлоры человека (например, кишечная палочка). Хотя возбудители инфекций, передающихся половым путем, встречаются реже, они представляют серьезную угрозу из-за своих патогенных свойств. Часто воспаление связано с хламидиозом — скрытой половой инфекцией.
Инфекционные агенты могут попадать в маточные трубы следующими путями:
- Восходящий путь. Инфекционные агенты проникают из нижних отделов половых путей (влагалище и шейка матки) вверх к полости матки и маточным трубам. Этот путь характерен для возбудителей половых инфекций, грибков и гноеродных бактерий.
- Лимфогенный или гематогенный путь. В некоторых случаях инфекция может попасть в придатки матки с током лимфы или крови из других органов (например, туберкулез или стафилококковая инфекция).
- Прямое занесение. Инфекционные агенты могут попасть в маточные трубы при медицинских манипуляциях на органах малого таза, если не соблюдаются правила асептики и антисептики (например, аборты или внематочные манипуляции вне медицинских учреждений), а также после травм.
- Контактный путь. Инфекционные агенты могут проникать в маточные трубы при контакте с инфекционно-воспалительными очагами на органах брюшной полости.
Нарушение функции маточных труб связано с воздействием патогенных бактерий и воспалительной реакцией, которая, хотя и направлена на устранение инфекции, может вызывать локальные повреждения.
Воздействие инфекционно-воспалительного процесса на маточные трубы приводит к следующим последствиям:
- Снижение активности ресничек слизистого слоя маточных труб. Изменение активности ресничек связано с изменением условий в просвете труб и снижением их чувствительности к гормонам, а также разрушением ресничек.
- Изменение состава и вязкости секрета эпителиальных клеток. Провоспалительные вещества и продукты жизнедеятельности бактерий нарушают секреторную функцию клеток слизистой оболочки, что приводит к уменьшению объема выделяемой жидкости, изменению ее состава и увеличению вязкости, замедляя движение яйцеклетки.
- Отек, сужающий просвет маточной трубы. Воспалительный процесс сопровождается отеком тканей, который в ограниченном пространстве просвета маточной трубы может привести к ее закупорке, что может вызвать невозможность зачатия или внематочную беременность.
Внематочная беременность — это состояние, при котором оплодотворенная яйцеклетка прикрепляется вне полости матки, чаще всего в фаллопиевой трубе. Причины могут варьироваться от воспалительных заболеваний органов малого таза до аномалий в строении репродуктивной системы. Симптомы включают боли внизу живота, кровянистые выделения и общее недомогание. Важно отметить, что внематочная беременность может быть опасной для жизни, если не будет диагностирована и лечена вовремя. Диагностика обычно включает ультразвуковое исследование и анализы крови на уровень гормонов. Лечение может быть медикаментозным или хирургическим, в зависимости от стадии и состояния пациентки. Ранняя диагностика и обращение к врачу играют ключевую роль в успешном исходе.

Операции на маточных трубах и на органах брюшной полости
Хирургические операции, даже малоинвазивные, всегда связаны с травматизмом, который может изменить структуру и функционирование органов. Это происходит из-за образования соединительной ткани в области повреждения, которая не обладает ни синтетической, ни сократительной функцией, занимает больше пространства и изменяет анатомию органа.
Внематочная беременность может быть вызвана следующими хирургическими процедурами:
- Операции на органах брюшной полости или малого таза, не затрагивающие половые органы. Хирургические вмешательства в брюшной полости могут косвенно повлиять на маточные трубы, вызывая спайки или нарушая их кровоснабжение и иннервацию (например, повреждение сосудов и нервов во время операции).
- Операции на половых органах. Операции на маточных трубах необходимы при различных патологиях (опухоли, абсцессы, инфекционно-воспалительные процессы или внематочная беременность). Образование соединительной ткани в месте разреза и шва изменяет способность трубы к сокращению, нарушает её подвижность и может уменьшить внутренний диаметр.
Особое внимание стоит уделить методу женской стерилизации — перевязке маточных труб. Этот метод включает наложение лигатур на маточные трубы (иногда с их пересечением или прижиганием) во время операции. Однако такая стерилизация может оказаться неэффективной, и беременность может наступить. Сужение просвета перевязанной маточной трубы делает невозможной нормальную миграцию оплодотворённой яйцеклетки в полость матки, что приводит к её имплантации в маточной трубе и развитию внематочной беременности.
Гормональные сбои
Нормальное функционирование гормональной системы критично для поддержания беременности, так как гормоны регулируют овуляцию, оплодотворение и перемещение оплодотворенной яйцеклетки по маточным трубам. Нарушения в эндокринной системе могут привести к внематочной беременности.
Стероидные гормоны, вырабатываемые яичниками, такие как прогестерон и эстроген, играют важную роль в репродуктивной системе. Их максимальная концентрация наблюдается на разных этапах менструального цикла и беременности.
Прогестерон:
- подавляет движение ресничек эпителия маточных труб;
- уменьшает сократительную активность гладкой мускулатуры маточных труб.
Эстроген:
- увеличивает частоту колебаний ресничек эпителия маточных труб (высокая концентрация может привести к их неподвижности);
- активизирует сократительную функцию гладкой мускулатуры маточных труб;
- влияет на развитие маточных труб при формировании половых органов.
Циклические изменения уровня этих гормонов создают условия для оплодотворения и перемещения яйцеклетки. Колебания в их концентрации могут задержать яйцеклетку и вызвать ее имплантацию вне матки.
Факторы, изменяющие уровень половых гормонов:
- нарушения в работе яичников;
- сбои в менструальном цикле;
- применение оральных контрацептивов с прогестином;
- экстренная контрацепция (левоноргестрел, мифепристон);
- индукция овуляции с помощью кломифена или инъекций гонадотропина;
- стресс;
- неврологические и вегетативные расстройства.
Другие гормоны также участвуют в регуляции репродуктивной функции, и их изменения могут негативно сказаться на беременности.
Нарушение работы следующих органов эндокринной системы может привести к внематочной беременности:
- Щитовидная железа. Гормоны щитовидной железы участвуют в метаболических процессах, влияющих на репродуктивную функцию.
- Надпочечники. Эти железы синтезируют стероидные гормоны, необходимые для нормального функционирования половых органов.
- Гипоталамус и гипофиз. Эти структуры мозга вырабатывают гормоны, регулирующие работу организма, включая половую систему. Нарушение их функций может вызвать серьезные сбои.

Эндометриоз
Эндометриоз — заболевание, при котором участки эндометрия (слизистой оболочки матки) находятся за пределами маточной полости, чаще всего в маточных трубах или на брюшной стенке. Он возникает из-за обратного тока менструальной крови с клетками эндометрия из матки в брюшную полость через маточные трубы. Вне матки эти клетки могут приживаться, размножаться и образовывать очаги, которые функционируют и изменяются в течение менструального цикла.
Эндометриоз увеличивает риск внематочной беременности из-за структурных и функциональных изменений в репродуктивных органах.
При эндометриозе наблюдаются следующие изменения:
- уменьшается частота движения ресничек эпителия маточных труб;
- в просвете маточной трубы образуется соединительная ткань;
- возрастает вероятность инфекций в маточных трубах.
Аномалии половых органов
Аномалии половых органов могут затруднять движение плодного яйца по маточным трубам, что приводит к замедлению, удлинению этого процесса или полной невозможности его осуществления.
Ключевые аномалии:
- Генитальный инфантилизм. Это состояние характеризуется задержкой в развитии половых органов. При внематочной беременности маточные трубы могут быть длиннее обычных, что увеличивает время миграции плодного яйца и повышает вероятность его имплантации вне матки.
- Стеноз маточных труб. Сужение маточных труб может быть приобретенным или врожденным. Значительное сужение приводит к бесплодию, менее выраженное — затрудняет движение яйцеклетки к матке.
- Дивертикулы маточных труб и матки. Дивертикулы — это мешковидные выпячивания стенок органов. Они усложняют транспорт яйцеклетки и могут быть хроническим очагом инфекции и воспаления.
Опухоли в малом тазу
Опухоли в области малого таза влияют на перемещение яйцеклетки через маточные трубы. Они могут изменить положение половых органов или сжать их. Также опухоли способны изменять диаметр просвета маточных труб и нарушать работу эпителиальных клеток. Рост некоторых опухолей часто сопровождается гормональными и метаболическими сбоями, что также влияет на репродуктивные функции организма.
Воздействие токсичных веществ
Под воздействием токсичных веществ нарушается функционирование органов и систем организма. Чем дольше женщина контактирует с вредными веществами и чем больше их количество, тем серьезнее последствия.
Внематочная беременность может развиться из-за различных токсинов. Важно обратить внимание на вещества в табачном дыме, алкоголе и наркотиках, так как они увеличивают риск этого состояния более чем в три раза. Промышленная пыль, соли тяжелых металлов, ядовитые пары и другие факторы, связанные с производственными процессами, также негативно влияют на репродуктивные функции женщины.
Токсичные вещества могут вызывать следующие изменения в репродуктивной системе:
- задержка овуляции;
- изменение сокращений маточных труб;
- снижение активности ресничек трубного эпителия;
- ослабление иммунной защиты и повышенный риск инфекций половых органов;
- изменения в кровообращении;
- колебания уровня гормонов;
- нейровегетативные расстройства.
Экстракорпоральное оплодотворение
Экстракорпоральное оплодотворение — метод борьбы с бесплодием. При искусственном оплодотворении зачатие (слияние яйцеклетки и сперматозоида) происходит вне организма женщины, после чего жизнеспособные эмбрионы помещаются в матку. Этот метод связан с повышенным риском внематочной беременности, так как у женщин, прибегающих к нему, часто имеются патологии маточных труб или других частей репродуктивной системы.
Факторы риска
Внематочная беременность — это заболевание, вызванное различными факторами. На основе многолетних клинических исследований составлен список факторов риска, повышающих вероятность её возникновения.
К факторам риска внематочной беременности относятся:
- ранее перенесенные внематочные беременности;
- бесплодие и его лечение;
- экстракорпоральное оплодотворение;
- стимуляция овуляции;
- использование прогестиновых контрацептивов;
- возраст старше 35 лет;
- курение;
- случайные половые связи;
- неэффективная стерилизация маточных труб;
- инфекции половых органов;
- аномалии половых органов;
- операции на органах брюшной полости;
- инфекционно-воспалительные заболевания органов малого таза;
- неврологические расстройства;
- стресс;
- малоподвижный образ жизни.
Симптомы внематочной беременности зависят от стадии её развития. На ранних этапах специфические симптомы могут отсутствовать, а при прерывании беременности (трубный аборт или разрыв трубы) возникает острая боль, требующая госпитализации.
Прогрессирующая внематочная беременность часто не отличается по течению от нормальной маточной беременности. На протяжении её развития могут проявляться предположительные (субъективные ощущения беременной) и вероятные (выявляемые при осмотре) признаки беременности.
Предположительными (сомнительными) признаками беременности являются:
- тошнота и рвота;
- изменения аппетита и вкусовых предпочтений;
- повышенная сонливость;
- перепады настроения;
- раздражительность;
- повышенная чувствительность к запахам;
- увеличение чувствительности молочных желез.
Вероятными признаками беременности являются:
- отсутствие менструаций у женщины репродуктивного возраста;
- цианоз слизистой половых органов;
- нагрубание молочных желез;
- выделение молозива из молочных желез при нажатии (для первой беременности);
- размягчение матки;
- сокращение и уплотнение матки при осмотре;
- асимметрия матки на ранних сроках;
- подвижность шейки матки.
Эти признаки могут указывать на беременность, но также характерны для внематочной беременности и других патологий (опухоли, инфекции и др.).
Достоверные признаки беременности (сердцебиение плода, шевеления плода) при внематочной беременности встречаются редко, так как они проявляются на более поздних стадиях, когда могут возникнуть осложнения.
Прогрессирующая внематочная беременность может сопровождаться болями и кровянистыми выделениями из половых путей, но количество выделений обычно меньше, чем при спонтанном аборте.
Трубный аборт чаще всего происходит на 2-3 неделе после задержки менструации и сопровождается симптомами, характерными для спонтанного аборта.
Трубный аборт сопровождается следующими признаками:
- Периодические боли. Схваткообразные боли внизу живота, связанные с сокращением маточной трубы. Постоянные острые боли могут указывать на кровоизлияние в брюшную полость.
- Кровянистые выделения. Связаны с отторжением децидуально измененного эндометрия и повреждением сосудов. Объем выделений может не соответствовать степени кровопотери.
- Признаки скрытого кровотечения. При объеме кровопотери более 500 мл возникают сильные боли, слабость, головокружение и другие симптомы.
Разрыв маточной трубы вызывает резкую клиническую картину, обычно возникающую внезапно. Основная проблема — обильное внутреннее кровотечение.
Разрыв маточной трубы может сопровождаться следующими симптомами:
- Боль внизу живота. Боль возникает из-за разрыва трубы и раздражения брюшины.
- Слабость, потеря сознания. Эти симптомы связаны с гипоксией головного мозга из-за снижения артериального давления.
- Позывы к дефекации, жидкий стул. Раздражение брюшины может вызвать частые позывы к дефекации.
- Тошнота и рвота. Возникают рефлекторно из-за раздражения брюшины.
- Признаки геморрагического шока. Развиваются при значительной кровопотере, угрожающей жизни.
Диагностика внематочной беременности основывается на клиническом обследовании и инструментальных исследованиях. Наиболее сложна диагностика прогрессирующей внематочной беременности, так как она часто не имеет специфических признаков.
Клиническое обследование включает оценку состояния женщины, пальпацию, перкуссию и гинекологический осмотр. При прогрессирующей внематочной беременности может отмечаться отставание матки в размерах и уплотнение в области придатков.
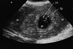
Ультразвуковое исследование (УЗИ) является важным методом диагностики внематочной беременности на ранних сроках.
Признаки, позволяющие диагностировать внематочную беременность:
- увеличение тела матки;
- утолщение слизистой оболочки матки без плодного яйца;
- обнаружение образования в области придатков;
- плодное яйцо с эмбрионом вне полости матки.
Трансвагинальное УЗИ позволяет выявлять беременность через 3 недели после овуляции. Этот метод широко используется в отделениях скорой помощи.
Уровень хорионического гонадотропина, вырабатываемого тканями плаценты, увеличивается в течение беременности. При внематочной беременности его уровень возрастает медленнее.
Определение уровня хорионического гонадотропина возможно с помощью экспресс-тестов и лабораторного анализа. Тесты позволяют быстро подтвердить наличие беременности, но могут давать ложноотрицательные результаты.
Определение уровня прогестерона в плазме крови также используется для диагностики неправильно развивающейся беременности. Низкий уровень прогестерона указывает на патологию.
Уровень прогестерона имеет следующие особенности:
- не зависит от срока гестационного развития;
- остается постоянным в первом триместре;
- при аномальном уровне не возвращается к норме.
Пункция брюшной полости через задний свод влагалища применяется при остром животе с подозрением на внематочную беременность. При внематочной беременности из брюшной полости получают темную несворачивающуюся кровь.
Лапароскопия — современный метод, позволяющий проводить диагностику и лечение внематочной беременности. При внематочной беременности выявляются утолщение и разрыв маточных труб, плодное яйцо на других органах и кровотечение.
При внематочной беременности выявляются следующие изменения:
- утолщение маточных труб;
- багрово-синюшная окраска труб;
- разрыв трубы;
- плодное яйцо на яичниках или других органах;
- кровотечение из трубы;
- скопление крови в брюшной полости.
Лапароскопия обладает высокой чувствительностью и специфичностью, низким травматизмом и возможностью оперативного вмешательства сразу после диагностики.
Внематочная беременность несовместима с жизнью плода, и вынашивание невозможно. Лечение внематочной беременности включает хирургическое вмешательство или медикаментозное лечение с использованием метотрексата.
Метотрексат — антиметаболит, который останавливает развитие тканей плода. Он снижает риск кровотечений и минимизирует травматизм, но имеет побочные эффекты.
Побочные эффекты метотрексата:
- тошнота;
- рвота;
- стоматит;
- диарея;
- головокружение;
- повреждение печени;
- анемия;
- дерматиты;
- разрыв маточной трубы при прогрессирующей беременности.
Лечение метотрексатом возможно при следующих условиях:
- подтвержденная внематочная беременность;
- стабильное состояние пациентки;
- размер плодного яйца не более 4 см;
- отсутствие сердечной активности плода;
- уровень хорионического гонадотропина ниже 5000 МЕ/мл.
Лечение противопоказано при:
- уровне хорионического гонадотропина выше 5000 МЕ/мл;
- наличии сердечной активности плода;
- гиперчувствительности к метотрексату;
- грудном вскармливании;
- повреждении печени.
Лечение осуществляется путем введения препарата, с контролем состояния пациентки. Эффективность оценивается по уровню хорионического гонадотропина.
При отсутствии эффекта от медикаментозной терапии назначается хирургическое вмешательство. Хирургическое лечение остается основным методом ведения женщин с внематочной беременностью.
Хирургическое лечение показано при:
- развивающейся внематочной беременности;
- прерванной внематочной беременности;
- трубном аборте;
- разрыве маточной трубы;
- внутреннем кровотечении.
Выбор хирургической тактики зависит от:
- возраста пациентки;
- желания иметь детей;
- состояния маточной трубы;
- локализации беременности;
- общего состояния пациентки;
- объема кровопотери.
При значительной кровопотере выполняется лапаротомия, в остальных случаях — лапароскопия.
Лапароскопический доступ позволяет проводить:
- Сальпинготомию. Разрез маточной трубы с извлечением плода, без удаления трубы.
- Сальпингэктомию. Удаление маточной трубы с плодом.
Подготовка к операции включает анализы и консультации. Послеоперационный период важен для восстановления состояния и репродуктивной функции.
После операции контролируется уровень хорионического гонадотропина, чтобы предотвратить развитие опухоли. Назначаются физиопроцедуры для восстановления.
Рекомендации для снижения вероятности внематочной беременности:
- своевременно лечить инфекции половых органов;
- проходить УЗИ или сдавать кровь на уровень хорионического гонадотропина при экстракорпоральном оплодотворении;
- использовать комбинированные оральные контрацептивы;
- правильно питаться;
- корректировать гормональные расстройства.
Для предотвращения внематочной беременности следует избегать:
- инфекционно-воспалительных заболеваний;
- беспорядочной половой жизни;
- стресса;
- курения;
- множественных абортов;
- экстракорпорального оплодотворения.
Симптомы внематочной беременности
Признаки внематочной беременности зависят от стадии развития. На ранних этапах специфические симптомы обычно отсутствуют. При прерывании беременности, например, в форме трубного аборта или разрыва маточной трубы, возникает выраженная клиническая картина острого живота, требующая срочной госпитализации.
Признаки прогрессирующей внематочной беременности
Прогрессирующая внематочная беременность обычно не отличается в клиническом течении от нормальной маточной беременности. На протяжении развития плода могут наблюдаться как предположительные, так и вероятные признаки беременности.
Предположительные признаки беременности:
- тошнота и рвота;
- изменения в аппетите и вкусовых предпочтениях;
- повышенная сонливость;
- перепады настроения;
- раздражительность;
- повышенная чувствительность к запахам;
- увеличение чувствительности молочных желез.
Вероятные признаки беременности:
- отсутствие менструаций у женщин репродуктивного возраста, ведущих половую жизнь;
- цианоз слизистой половых органов, включая влагалище и шейку матки;
- набухание молочных желез;
- выделение молозива из молочных желез при нажатии (важно для первой беременности);
- размягчение матки;
- сокращение и уплотнение матки во время обследования с последующим размягчением;
- асимметрия матки на ранних сроках;
- подвижность шейки матки.
Эти признаки могут указывать на беременность, но также встречаются при внематочной беременности и других патологиях (опухоли, инфекции, стресс и т.д.).
Достоверные признаки беременности (сердцебиение плода, его шевеления, ощупывание крупных частей) при внематочной беременности встречаются редко, так как характерны для более поздних стадий, когда могут возникнуть осложнения – трубный аборт или разрыв трубы.
Прогрессирующая внематочная беременность может сопровождаться болями и кровянистыми выделениями из половых путей. При этом выделения обычно незначительны, в отличие от спонтанного аборта при маточной беременности, когда боли выражены слабо, а выделения обильны.
Признаки трубного аборта
Трубный аборт чаще всего происходит на 2-3 неделе после задержки менструации и связан с отторжением плода и его оболочек. Этот процесс сопровождается симптомами, характерными для спонтанного аборта, а также признаками беременности, такими как тошнота, рвота, изменение вкусовых предпочтений и задержка менструации.
Признаки трубного аборта:
- Периодические боли. Схваткообразные боли в нижней части живота возникают из-за сокращений маточной трубы и возможного накопления крови. Эти боли могут иррадиировать в прямую кишку и промежность. Постоянные острые боли могут указывать на кровоизлияние в брюшную полость, что приводит к раздражению брюшины.
- Кровянистые выделения из половых путей. Выделения возникают из-за отторжения децидуально измененного эндометрия и повреждения сосудов. Объем выделений не всегда отражает степень кровопотери, так как значительная часть крови может попасть в брюшную полость через маточные трубы.
- Признаки скрытого кровотечения. Кровотечение может быть незначительным, и общее состояние женщины может оставаться стабильным. Однако при потере более 500 мл крови могут возникнуть сильные боли внизу живота, иррадиирующие в правое подреберье, межлопаточную область и правую ключицу из-за раздражения брюшины. Также могут появиться слабость, головокружение, обмороки, тошнота и рвота. Наблюдается учащенное сердцебиение и снижение артериального давления. Значительное количество крови в брюшной полости может привести к увеличению или вздутию живота.
Признаки разрыва маточной трубы
Разрыв маточной трубы, вызванный растущим зародышем, проявляется яркими симптомами, которые возникают внезапно. Главная проблема при внематочной беременности — обильное внутреннее кровотечение, формирующее характерные проявления.
Симптомы разрыва маточной трубы:
- Боль внизу живота. Боль возникает из-за разрыва трубы и раздражения брюшины от излившейся крови. Обычно начинается на стороне «беременной» трубы и затем распространяется в область промежности, заднего прохода, правого подреберья и правой ключицы. Боль постоянная и острая.
- Слабость и потеря сознания. Эти симптомы связаны с гипоксией головного мозга, вызванной снижением артериального давления и уменьшением количества эритроцитов, отвечающих за транспорт кислорода.
- Позывы к дефекации и жидкий стул. Раздражение брюшины в области прямой кишки может привести к частым позывам к дефекации и жидкому стулу.
- Тошнота и рвота. Эти симптомы возникают рефлекторно из-за раздражения брюшины и гипоксии, влияющей на нервную систему.
- Признаки геморрагического шока. Развивается при значительной потере крови, угрожающей жизни женщины. К признакам относятся бледность кожи, апатия, замедление нервной активности, холодный пот и одышка. Также наблюдаются учащенное сердцебиение и снижение артериального давления, зависящее от тяжести кровопотери.
Кроме указанных симптомов, могут быть вероятные и предположительные признаки беременности, а также задержка менструации.
Диагностика внематочной беременности
Диагностика внематочной беременности включает клиническое обследование и инструментальные методы. Сложности возникают при выявлении прогрессирующей внематочной беременности, так как она часто не имеет специфических симптомов и может быть легко упущена на ранних этапах. Ранняя диагностика важна для предотвращения серьезных осложнений, таких как трубный аборт и разрыв маточной трубы.
Клиническое обследование
Диагностика внематочной беременности начинается с клинического обследования, в ходе которого врач выявляет специфические признаки данной патологии.
Во время обследования оценивается общее состояние пациентки, проводятся пальпация, перкуссия и аускультация, а также гинекологический осмотр. Эти действия помогают составить представление о здоровье женщины для предварительного диагноза.
Собранные данные могут варьироваться в зависимости от стадии внематочной беременности. При прогрессирующей форме наблюдается замедленный рост матки и возможное уплотнение в области придатков с той стороны, где расположена «беременная» труба, хотя это не всегда удается выявить на ранних сроках. Гинекологический осмотр может показать синюшность влагалища и шейки матки. Признаки, характерные для маточной беременности, такие как размягчение матки и перешейка, асимметрия матки и перегиб, могут отсутствовать.
При разрыве маточной трубы или трубном аборте наблюдаются бледность кожи, учащенное сердцебиение и снижение артериального давления. Перкуссия нижней части живота может выявить притупление звука, указывающее на наличие жидкости (крови). Пальпация живота часто затруднена из-за раздражения брюшины, что вызывает сокращение мышц передней стенки. Гинекологическое обследование может выявить повышенную подвижность и размягчение матки, а также выраженную болезненность при исследовании шейки матки. Надавливание на задний свод влагалища, который может быть сглаженным, вызывает острые боли, известные как «крик Дугласа».
Ультразвуковое исследование
Ультразвуковое исследование (УЗИ) — ключевой метод диагностики, позволяющий выявить внематочную беременность на ранних стадиях.
Основные признаки внематочной беременности:
- увеличение размеров матки;
- утолщение эндометрия без плодного яйца;
- неоднородное образование в области придатков матки;
- плодное яйцо с эмбрионом вне маточной полости.
Трансвагинальное УЗИ позволяет определить беременность через 3 недели после овуляции или в течение 5 недель после последней менструации. Этот метод широко используется в отделениях скорой помощи благодаря высокой чувствительности и специфичности.
УЗИ помогает установить наличие маточной беременности, что в большинстве случаев исключает внематочную беременность (случаи одновременного развития нормальной и внематочной беременности крайне редки). Абсолютным признаком маточной беременности считается обнаружение гестационного мешка, желточного мешка и эмбриона в маточной полости.
Кроме диагностики внематочной беременности, УЗИ выявляет разрыв маточной трубы, наличие свободной жидкости в брюшной полости (крови) и скопление крови в просвете маточной трубы. Метод также помогает проводить дифференциальную диагностику с другими состояниями, вызывающими симптомы острого живота.
Регулярному УЗИ подлежат женщины из группы риска и пациентки, прошедшие экстракорпоральное оплодотворение, поскольку у них вероятность внематочной беременности в десять раз выше.
Уровень хорионического гонадотропина
Хорионический гонадотропин — гормон, вырабатываемый плацентой, уровень которого увеличивается на протяжении беременности, удваиваясь каждые 48–72 часа. При внематочной беременности его концентрация растет медленнее.
Для определения уровня хорионического гонадотропина можно использовать экспресс-тесты на беременность, однако они имеют высокий риск ложноположительных результатов. Более точный лабораторный анализ позволяет отслеживать изменения его концентрации. Тесты помогают быстро подтвердить беременность и разработать диагностическую стратегию при подозрении на внематочную беременность. В некоторых случаях хорионический гонадотропин может не обнаруживаться, например, при прерывании беременности из-за трубного аборта или разрыва трубы, что может привести к ложноположительным результатам теста.
Измерение уровня хорионического гонадотропина особенно полезно в сочетании с ультразвуковым исследованием, что помогает точнее интерпретировать результаты. Уровень гормона зависит от срока гестации, и сравнение данных УЗИ и анализа на хорионический гонадотропин позволяет лучше оценить течение беременности.
Уровень прогестерона
Определение уровня прогестерона в плазме крови — метод лабораторной диагностики неправильно развивающейся беременности. Низкий уровень гормона (менее 25 нг/мл) указывает на патологии. Снижение прогестерона ниже 5 нг/мл свидетельствует о нежизнеспособности плода и о наличии отклонений, независимо от места беременности.
Особенности уровня прогестерона:
- не зависит от срока беременности;
- остается стабильным в первом триместре;
- при аномальном уровне не восстанавливается до нормальных значений;
- не коррелирует с уровнем хорионического гонадотропина.
Однако этот метод не обладает достаточной специфичностью и чувствительностью, поэтому не следует использовать его в одиночку без дополнительных диагностических процедур. При экстракорпоральном оплодотворении значение прогестерона может быть искажено из-за стимуляции яичников или введения препаратов с этим гормоном.
Пункция брюшной полости через задний свод влагалища (кульдоцентез)
Пункция брюшной полости через задний свод влагалища применяется при остром животе с подозрением на внематочную беременность. Этот метод помогает отличить внематочную беременность от других патологий.
При внематочной беременности из брюшной полости извлекается темная несворачивающаяся кровь, которая не оседает на дно сосуда с водой. Микроскопическое исследование может выявить ворсины хориона, фрагменты маточных труб и эндометрия.
С появлением более современных методов диагностики, таких как лапароскопия, пункция брюшной полости через задний свод влагалища утратила свою диагностическую значимость.
Диагностическое выскабливание полости матки
Диагностическое выскабливание матки с гистологическим анализом проводится при подтвержденной аномалии беременности, например, низком уровне прогестерона или хорионического гонадотропина. Этот метод также используется для дифференциальной диагностики неполного спонтанного аборта и в случаях, когда женщина не хочет или не может продолжать беременность.
При внематочной беременности в образце ткани наблюдаются следующие гистологические изменения:
- децидуальная трансформация эндометрия;
- отсутствие хорионных ворсин;
- атипичные ядра клеток эндометрия (феномен Ариас-Стеллы).
Хотя диагностическое выскабливание матки эффективно, оно может привести к ошибочным выводам при одновременном развитии маточной и внематочной беременности.
Лапароскопия
Лапароскопия — это хирургический метод для малоинвазивных операций на органах брюшной полости и малого таза, а также для диагностики. Суть метода заключается во введении через небольшой разрез лапароскопа, оснащенного линзами и освещением, что позволяет визуально оценить состояние органов. При внематочной беременности лапароскопия помогает изучить маточные трубы, матку и полость малого таза.
При внематочной беременности можно наблюдать следующие изменения внутренних половых органов:
- утолщение стенок маточных труб;
- багрово-синюшный оттенок маточных труб;
- разрыв маточной трубы;
- расположение плодного яйца на яичниках, сальнике или других органах;
- кровотечение из маточной трубы;
- накопление крови в брюшной полости.
Преимущества лапароскопии включают высокую чувствительность и специфичность, а также низкий уровень травматизации. Метод позволяет оперативно прервать внематочную беременность и устранить осложнения сразу после диагностики.
Лапароскопия показана при всех случаях внематочной беременности и в ситуациях, когда невозможно установить точный диагноз, так как это наиболее информативный метод.
Лечение внематочной беременности
Возможно ли рождение ребенка при внематочной беременности?
Матка — единственный орган в женском организме, обеспечивающий развитие плода. Если плодное яйцо прикрепляется к другому органу, это может нарушить его питание, изменить структуру или привести к разрыву. Внематочная беременность — патологическое состояние, при котором вынашивание и рождение ребенка невозможно.
В медицинской практике нет методов, позволяющих продолжать внематочную беременность. В редких случаях удавалось доносить детей до срока, подходящего для жизни вне матки, но такие случаи встречаются примерно один на несколько сотен тысяч внематочных беременностей и сопряжены с высоким риском для здоровья матери и серьезными патологиями у плода.
Таким образом, вынашивание и рождение ребенка при внематочной беременности невозможно. Это состояние угрожает жизни матери и несовместимо с жизнью плода, поэтому разумным решением является прерывание беременности сразу после установления диагноза.
Возможно ли лечение внематочной беременности без операции?
Исторически лечение внематочной беременности заключалось в хирургическом вмешательстве с удалением плода. Однако с развитием медицины появились альтернативные методы, позволяющие избежать операции. Основой такой терапии является метотрексат — антиметаболит, замедляющий деление клеток. Этот препарат также используется в онкологии для лечения опухолей и подавления иммунной реакции при пересадке органов.
Применение метотрексата в лечении внематочной беременности основано на его способности останавливать развитие тканей плода и эмбриональных органов, способствуя спонтанному отторжению.
Медикаментозное лечение метотрексатом имеет преимущества по сравнению с хирургическим методом: снижает риск кровотечений, минимизирует травматизацию тканей и сокращает время реабилитации. Однако этот подход имеет и недостатки.
К возможным побочным эффектам метотрексата относятся:
- тошнота;
- рвота;
- стоматит;
- диарея;
- заболевания желудка;
- головокружение;
- повреждение печени;
- угнетение функции костного мозга (что может привести к анемии, снижению иммунитета и кровотечениям);
- дерматиты;
- пневмония;
- облысение;
- разрыв маточной трубы при прогрессировании беременности.
Лечение внематочной беременности метотрексатом возможно при следующих условиях:
- подтвержденная внематочная беременность;
- гемодинамически стабильное состояние пациентки (отсутствие кровотечений);
- размер плодного яйца не превышает 4 см;
- отсутствие сердечной активности плода по данным УЗИ;
- отсутствие признаков разрыва маточной трубы;
- уровень хорионического гонадотропина ниже 5000 МЕ/мл.
Противопоказания для лечения метотрексатом:
- уровень хорионического гонадотропина выше 5000 МЕ/мл;
- наличие сердечной активности плода по данным УЗИ;
- гиперчувствительность к метотрексату;
- грудное вскармливание;
- состояние иммунодефицита;
- алкоголизм;
- заболевания печени;
- лейкопения (снижение количества белых кровяных клеток);
- тромбоцитопения (снижение количества тромбоцитов);
- анемия (снижение количества красных кровяных клеток);
- активные инфекции легких;
- язва желудка;
- заболевания почек.
Лечение проводится путем парентерального введения препарата (внутримышечно или внутривенно), которое может быть как однократным, так и длительным. На протяжении курса терапии женщина находится под наблюдением из-за риска разрыва маточной трубы и других осложнений.
Эффективность лечения оценивается по динамике уровня хорионического гонадотропина. Снижение этого показателя более чем на 15% от исходного значения на 4-5 день после введения препарата свидетельствует о положительном результате лечения (в первые 3 дня уровень гормона может временно увеличиваться). Параллельно контролируются функции почек, печени и костного мозга.
Если медикаментозная терапия метотрексатом не дает результатов, может потребоваться хирургическое вмешательство.
Лечение метотрексатом связано с рисками, так как препарат может негативно воздействовать на жизненно важные органы женщины и не всегда оказывается эффективным. Поэтому хирургическое вмешательство остается основным методом лечения внематочной беременности.
Важно понимать, что консервативное лечение не всегда приводит к ожидаемым результатам, и задержка с хирургическим вмешательством может вызвать осложнения, такие как разрыв трубы, трубный аборт и массивное кровотечение.
Хирургическое лечение
Несмотря на методы безоперационного лечения, хирургическое вмешательство остается основным способом лечения внематочной беременности. Операция показана всем пациенткам с данной диагностикой, независимо от типа беременности.
Хирургическое вмешательство необходимо в следующих случаях:
- развивающаяся внематочная беременность;
- прерванная внематочная беременность;
- трубный аборт;
- разрыв маточной трубы;
- внутреннее кровотечение.
Выбор хирургической методики зависит от:
- возраста женщины;
- желания иметь детей в будущем;
- состояния маточной трубы с беременностью;
- состояния противоположной маточной трубы;
- местоположения беременности;
- размера плодного яйца;
- общего состояния пациентки;
- объема кровопотери;
- состояния органов малого таза (наличие спаек).
На основе этих факторов определяется подходящая операция. При значительной кровопотере или тяжелом состоянии пациентки выполняется лапаротомия — операция с большим разрезом для быстрой остановки кровотечения. В остальных случаях применяется лапароскопия — метод с небольшими разрезами для введения инструментов и оптической системы.
Лапароскопический доступ позволяет проводить следующие операции:
- Сальпинготомия (разрез маточной трубы с извлечением плода без удаления трубы). Этот метод сохраняет маточную трубу и ее репродуктивные функции, что важно для женщин, не имеющих детей или с поврежденной другой трубой. Однако сальпинготомия возможна только при небольшом размере плодного яйца и целостности трубы. Существует риск повторной внематочной беременности.
- Сальпингэктомия (удаление маточной трубы вместе с плодом). Этот радикальный метод включает удаление беременной маточной трубы. Сальпингэктомия показана при наличии внематочной беременности в анамнезе и размере плодного яйца более 5 см. В некоторых случаях возможно частичное удаление трубы для сохранения ее функции.
Операции по внематочной беременности чаще всего проводятся экстренно для остановки кровотечения или устранения последствий трубного аборта или разрыва трубы, поэтому пациентки попадают на операционный стол с минимальной подготовкой. При плановой операции женщин готовят заранее (подготовка осуществляется в гинекологическом или хирургическом отделении, так как все пациентки с внематочной беременностью подлежат немедленной госпитализации).
Подготовка к операции включает:
- сдачу крови на общий и биохимический анализ;
- определение группы крови и резус-фактора;
- выполнение электрокардиограммы;
- проведение ультразвукового исследования;
- консультацию терапевта.
Послеоперационный период
Послеоперационный период критически важен для восстановления здоровья женщины и реабилитации репродуктивной системы.
В это время осуществляется мониторинг гемодинамических показателей, вводятся обезболивающие, антибиотики и противовоспалительные препараты. Женщины, перенесшие лапароскопическую операцию, могут быть выписаны через один-два дня, в то время как после лапаротомии требуется больше времени в стационаре.
После удаления плодного яйца необходимо еженедельно контролировать уровень хорионического гонадотропина. Это важно, так как могут остаться фрагменты хориона, которые не были полностью удалены, или они могут перемещаться в другие органы. Это создает риск развития хорионэпителиомы. Уровень хорионического гонадотропина должен снизиться на 50% в первые дни после операции. Если этого не происходит, назначается метотрексат для подавления роста хориона. При высоком уровне гормона может потребоваться радикальная операция по удалению маточной трубы.
Также назначаются физиотерапевтические процедуры, такие как электрофорез и магнитотерапия, которые способствуют восстановлению репродуктивной функции и уменьшают риск спаек.
Применение комбинированных оральных контрацептивов в послеоперационный период направлено на стабилизацию менструального цикла и предотвращение беременности в первые шесть месяцев после операции, когда риск осложнений значительно возрастает.
Профилактика внематочной беременности
Что нужно делать, чтобы избежать внематочной беременности?
Для снижения риска внематочной беременности следуйте этим рекомендациям:
- устраняйте инфекционные болезни половой системы;
- регулярно проходите УЗИ или сдавайте анализ крови на хорионический гонадотропин при экстракорпоральном оплодотворении;
- проверяйтесь на половые инфекции при смене партнера;
- используйте комбинированные оральные контрацептивы для предотвращения нежелательной беременности;
- своевременно лечите заболевания внутренних органов;
- соблюдайте правильное питание;
- корректируйте гормональные нарушения.
Чего нужно избегать, чтобы предотвратить внематочную беременность?
Чтобы снизить риск внематочной беременности, избегайте:
- инфекционно-воспалительных заболеваний половых органов;
- половых инфекций;
- беспорядочных половых связей;
- прогестиновых контрацептивов;
- стрессов;
- малоподвижного образа жизни;
- курения и вредных привычек;
- частых операций на органах брюшной полости;
- множественных абортов;
- экстракорпорального оплодотворения.
Вопрос-ответ
На каком сроке внематочная дает о себе знать?
Чаще всего на первых неделях внематочная беременность протекает бессимптомно. И только примерно на 8 неделе дает о себе знать характерной симптоматикой. В этот период плодное яйцо увеличивается настолько, что начинает давить на окружающие ткани, что и вызывает симптомы.
Почему случается внематочная беременность?
Причина возникновения внематочной беременности заключается в том, что яйцеклетка не доходит до матки. Происходит это из-за замедления продвижения плодного яйца или яйцеклетки по маточной трубе.
Советы
СОВЕТ №1
Обратите внимание на симптомы: если вы испытываете сильные боли внизу живота, особенно с одной стороны, или замечаете аномальные выделения, немедленно обратитесь к врачу. Раннее выявление внематочной беременности может спасти вашу жизнь.
СОВЕТ №2
Регулярно проходите медицинские осмотры, особенно если у вас есть факторы риска, такие как предыдущие внематочные беременности, воспалительные заболевания органов малого таза или операции на маточных трубах. Это поможет своевременно выявить возможные проблемы.
СОВЕТ №3
Обсуждайте свои планы на беременность с врачом, особенно если у вас есть предрасположенность к внематочной беременности. Профессиональная консультация поможет вам понять риски и подготовиться к беременности более безопасно.
СОВЕТ №4
Не игнорируйте психологическую сторону проблемы. Внематочная беременность может быть эмоционально тяжелым опытом. Рассмотрите возможность обращения к психологу или поддерживающим группам, чтобы справиться с переживаниями и получить необходимую поддержку.







