Что такое амилоид?
Амилоидоз — это вид диспротеинозов, связанный с нарушениями обмена белков. Его развитие возможно только при сбоях в иммунной системе. Для понимания патологических процессов в организме пациента важно знание иммунологии и физиологии.
Врачи отмечают, что амилоидоз — это редкое, но серьезное заболевание, связанное с накоплением аномального белка амилоида в тканях и органах. Основные причины его развития могут включать хронические воспалительные процессы, такие как ревматоидный артрит или инфекционные заболевания. Симптомы варьируются в зависимости от пораженных органов, но часто включают усталость, отеки, нарушения сердечного ритма и проблемы с почками.
Диагностика амилоидоза требует комплексного подхода, включая биопсию тканей и специальные лабораторные исследования. Врачи подчеркивают важность раннего выявления заболевания, так как это существенно влияет на эффективность лечения. Терапия может включать как медикаментозные методы, так и поддерживающую терапию, направленную на облегчение симптомов и замедление прогрессирования болезни. Важно, чтобы пациенты находились под наблюдением специалистов, так как амилоидоз может иметь серьезные последствия для здоровья.

Строение и функции иммунной системы
Иммунная система человека — это комплекс органов и клеток (лейкоцитов), защищающий организм от патогенных микроорганизмов (бактерий, вирусов, грибов) и потенциально опасных собственных клеток (например, опухолевых или старых клеток крови).
Ключевые органы иммунной системы:
- Красный костный мозг. Специализированная ткань в полостях костей (таза, позвонков, грудины), где образуются все клетки крови.
- Тимус (вилочковая железа). Орган в грудной клетке, отвечающий за размножение и дифференцировку («обучение») Т-лимфоцитов.
- Лимфатические узлы. Структуры вдоль кровеносных сосудов, содержащие множество лимфоцитов, которые предотвращают распространение инфекций.
- Селезенка. Здесь происходит дифференцировка лимфоцитов и разрушение чуждых микроорганизмов и поврежденных клеток крови.
- Пейеровы бляшки. Небольшие скопления лимфоидной ткани в стенках кишечника.
Основные клетки иммунной системы:
- лимфоциты;
- моноциты;
- базофилы;
- нейтрофилы;
- эозинофилы.
Лимфоциты
Ключевые клетки, регулирующие функционирование иммунной системы.
По функциональным характеристикам выделяют:
- В-лимфоциты. При взаимодействии с антигенами трансформируются в плазмоциты, вырабатывающие специфические антитела (иммуноглобулины A, G, M, D и E). Эти антитела уничтожают антигены, с которыми взаимодействуют.
- Т-лимфоциты. Обнаруживают и уничтожают пораженные вирусами и опухолевые клетки (функция Т-киллеров). Другие типы Т-лимфоцитов регулируют иммунный ответ: Т-хелперы усиливают активность В-лимфоцитов, а Т-супрессоры подавляют активность остальных лимфоцитов.
- NK-клетки. Обеспечивают защиту от опухолей и вирусов.
Моноциты
Крупные клетки, находящиеся в крови 2–3 дня, после чего проникают в ткани и превращаются в гистиоциты, которые поглощают и уничтожают чуждые антигены и поврежденные лейкоциты.
Базофилы, нейтрофилы и эозинофилы
Эти разновидности лейкоцитов участвуют в защите от патогенных бактерий, паразитов и опухолевых клеток.
| Причина | Симптомы и признаки | Диагностика и лечение |
|---|---|---|
| Генетические мутации: Мутации в генах, кодирующих белки, склонные к образованию амилоидных фибрилл (например, транстиретин, аполипопротеин АI, β2-микроглобулин) | Зависит от типа и локализации амилоидных отложений. Может включать: органную мегалолию (увеличение органа), нефротический синдром (почечная недостаточность), кардиомиопатию (сердечная недостаточность), нейропатию (слабость, онемение, боль в конечностях), гепатомегалию (увеличение печени), спленомегалию (увеличение селезенки), диарею, похудение, утомляемость. | Биопсия пораженного органа с последующим исследованием на наличие амилоидных отложений с помощью окрашивания конго красным. Анализ крови на определение уровня белков, связанных с амилоидозом. Генетическое тестирование. Лечение зависит от типа амилоидоза и может включать: химиотерапию (для AL-амилоидоза), трансплантацию органов (например, почек, сердца), лекарственные препараты, стабилизирующие амилоидные белки (например, тафтамид для транстиретин-ассоциированного амилоидоза), поддерживающая терапия (лечение симптомов). |
| Старение: С возрастом увеличивается вероятность накопления амилоидных белков. | Часто проявляется как слабо выраженные симптомы или бессимптомно. Может быть обнаружено случайно при обследовании по другому поводу. | Как правило, лечение не требуется, если нет выраженных симптомов. Регулярное наблюдение у врача. |
| Хронические воспалительные заболевания: Длительные воспалительные процессы могут способствовать образованию амилоида. (например, ревматоидный артрит, болезнь Крона) | Симптомы зависят от пораженного органа и тяжести заболевания. Может проявляться как симптомы основного заболевания, а также симптомы, связанные с амилоидными отложениями. | Лечение основного заболевания. В некоторых случаях может потребоваться лечение амилоидоза. |
| Диабетическая амилоидопатия: Накопление амилоида из белка Амилина в поджелудочной железе и других органах у пациентов с диабетом. | Может усугублять симптомы диабета, вызывать нейропатию, нефропатию. | Контроль уровня глюкозы в крови, лечение диабета. |
| Диализ-ассоциированный амилоидоз: Накопление β2-микроглобулина у пациентов, находящихся на длительном гемодиализе. | Артралгии, артриты, карпальный туннельный синдром, остеолиз. | Изменение режима диализа, лечение симптомов. |
Система макрофагов
Макрофаги — крупные клетки, формирующиеся в эмбриональном развитии и присутствующие во всех тканях организма. Они также поступают в ткани из крови на протяжении жизни. Эти клетки способны поглощать и разрушать чуждые микроорганизмы, фрагменты мертвых клеток и другие микрочастицы.
Основные типы макрофагов в организме:
- моноциты (в крови);
- гистиоциты;
- макрофаги печени (клетки Купфера);
- легочные макрофаги;
- эндотелиальные клетки, выстилающие сосуды в селезенке, лимфатических узлах и костном мозге.
При проникновении инфекции макрофаги активируются и размножаются, что защищает органы и ткани от вредных микроорганизмов и их токсинов.
Амилоидоз — это редкое, но серьезное заболевание, связанное с накоплением аномального белка амилоида в органах и тканях. Люди, столкнувшиеся с этой патологией, часто отмечают, что симптомы могут быть весьма разнообразными и зависят от того, какие органы поражены. Наиболее распространенные признаки включают усталость, отеки, нарушения сердечного ритма и проблемы с почками.
Диагностика амилоидоза может быть сложной, так как симптомы часто схожи с другими заболеваниями. Врач может назначить биопсию тканей, анализы крови и специальные визуализирующие исследования. Лечение зависит от типа амилоидоза и может включать химиотерапию, иммуносупрессивные препараты и поддерживающую терапию. Важно, чтобы пациенты получали своевременную помощь, так как ранняя диагностика и лечение могут значительно улучшить качество жизни и прогноз.

Механизм образования амилоида
Термин «амилоидоз» объединяет заболевания, связанные с накоплением амилоида в тканях. Амилоид — это сложное соединение, состоящее на 95% из фибриллярного белка и на 5% из нуклеопротеидов крови и тканей. Фибриллярный белок не встречается в норме и образуется только при амилоидозе.
Процесс образования амилоида включает:
- Формирование амилоидобластов. На первом этапе происходят мутации в клетках иммунной системы, что приводит к образованию амилоидобластов. С прогрессированием заболевания их количество увеличивается, и они заполняют различные органы, такие как селезенка, печень, костный мозг и лимфатические узлы.
- Синтез фибриллярного белка. Внутри амилоидобластов формируется фибриллярный белок, представляющий собой тонкие нити, которые объединяются в каркас амилоида. Поскольку этот белок чужд организму, запускаются защитные реакции. Вокруг амилоидобластов образуются клетки, поглощающие и разрушающие фибриллярный белок, предотвращая его попадание в ткани. Этот процесс может длиться долго, но в конечном итоге развивается иммунологическая толерантность, что приводит к поступлению фибриллярного белка в ткани.
- Отложение амилоида в тканях. Амилоид образуется в межклеточном пространстве в результате соединения фибриллярного белка с белками и нуклеопротеинами. Связь между этими веществами настолько прочная, что разрушить ее практически невозможно, что приводит к накоплению амилоида и вытеснению нормальных клеток органа.
При некоторых формах амилоидоза амилоидобластами могут становиться клетки других органов, что вызывает клинические проявления заболевания.
В амилоидобласты могут трансформироваться:
- Кардиомиоциты — при амилоидозе сердца.
- Кератиноциты — при амилоидозе кожи.
- Гладкие мышечные клетки — при амилоидозе крупных кровеносных сосудов.
- В-клетки поджелудочной железы — при инсулярном амилоидозе.
- С-клетки щитовидной железы.
- Клетки APUD-системы — клетки, вырабатывающие различные гормоны.
Механизм, описанный выше, характерен для большинства, но не всех видов амилоидоза. В некоторых случаях образование амилоида происходит по другим, еще не изученным механизмам.
Типы амилоида
Амилоид, возникающий при различных заболеваниях, имеет разнообразную структуру. В зависимости от состава и строения выделяют несколько типов амилоида (более 15), механизмы формирования которых различаются.
Основные типы амилоида:
- АА-амилоид. При воспалительном процессе запускаются биохимические реакции, в ходе которых синтезируется сывороточный амилоидный белок А (SAA). В норме он быстро разрушается, но при хронических воспалительных заболеваниях уровень SAA в плазме остается высоким, что приводит к образованию фибриллярного компонента АА-амилоида.
- AL-амилоид. Фибриллярные белки AL-типа образуются из мутировавших плазмоцитов и представляют собой аномальные цепи иммуноглобулинов.
Существуют и другие типы амилоида (AF, AH, AE и др.), формирующиеся при специфических формах амилоидоза.

Причины амилоидоза
Амилоидоз может быть самостоятельным заболеванием или развиваться на фоне других заболеваний.
Выделяют следующие виды амилоидоза:
- первичный (идиопатический) амилоидоз;
- вторичный (реактивный) амилоидоз;
- наследственный амилоидоз;
- амилоидоз, связанный с возрастом;
- амилоидоз при опухолях;
- амилоидоз у пациентов на гемодиализе.
Первичный амилоидоз
Это заболевание проявляется накоплением амилоида в органах и тканях, и установить точные причины его появления часто невозможно. При первичном амилоидозе наблюдается мутационное изменение клеток иммунной системы, что приводит к образованию AL-амилоида, который накапливается в тканях мезодермального происхождения, таких как сердечно-сосудистая система, мышцы, нервы и кожа.
Еще одной причиной формирования AL-амилоида может быть миеломная болезнь (плазмоцитома). Это опухолевое заболевание связано с злокачественным перерождением и увеличением числа плазмоцитов — дифференцированных В-лимфоцитов. Эти клетки выделяют аномальные глобулины, которые связываются с нуклеопротеидами плазмы и трансформируются в амилоид.
Вторичный амилоидоз
Вторичный амилоидоз — это состояние, связанное с образованием АА-амилоида, возникающее вследствие длительных воспалительных процессов и всегда являющееся следствием других заболеваний.
Факторы, способствующие развитию вторичного амилоидоза:
- Хронические инфекции: малярия, лепра, сифилис, туберкулез, хронические воспалительные заболевания легких, бронхоэктатическая болезнь, хронический пиелонефрит.
- Хронические гнойные инфекции: остеомиелит, длительное нагноение ран.
- Неспецифический язвенный колит: воспаление толстого кишечника.
- Опухолевые процессы: лимфогранулематоз, различные виды лейкозов и другие опухоли кровеносной системы.
- Ревматические болезни: ревматоидный артрит, анкилозирующий спондилоартрит и другие.
Вторичный амилоидоз может затрагивать практически любые органы и ткани. Симптомы проявляются спустя несколько лет (иногда десятилетия) после начала основного заболевания и обычно связаны с нарушением функции органа, где отложение амилоида наиболее выражено (чаще всего это почки, надпочечники, печень, селезенка и лимфатические узлы). С прогрессированием болезни страдают и другие органы, что приводит к полиорганной недостаточности и, в конечном итоге, к летальному исходу.
Наследственный амилоидоз
Генетический материал человека состоит из 23 пар хромосом, каждая из которых содержит множество генов, отвечающих за синтез белков. Наследственные формы амилоидоза связаны с генетическими мутациями в клетках иммунной системы, передающимися от родителей к детям и приводящими к образованию амилоидобластов. Заболевание чаще диагностируется у представителей определенных этнических групп или жителей специфических регионов.
К наследственному амилоидозу относятся:
- Периодическая болезнь (семейная средиземноморская лихорадка). Заболевание чаще встречается у арабов, армян и евреев. Клинические проявления включают приступы лихорадки (температура выше 39ºС, обильное потоотделение, головные и мышечные боли) и воспаление серозных оболочек, таких как брюшина (оболочка органов брюшной полости), плевра (оболочка легких) и синовиальные оболочки (выстилающие суставы). Часто наблюдаются психические расстройства.
- Семейный нефропатический амилоидоз (английский амилоидоз, болезнь Макла и Уэллса). Эта форма проявляется приступами лихорадки, крапивницей и нарушениями слуха (вплоть до полной глухоты).
- Наследственный нейропатический амилоидоз. Характеризуется поражением нервной ткани в различных областях. Могут быть затронуты нервы ног (португальский амилоидоз) или рук (американский амилоидоз), а также возможны сочетанные поражения нервной системы, почек и роговицы глаза (финский амилоидоз).
- Наследственный кардиопатический амилоидоз. Эта форма чаще встречается у жителей Дании и по клиническим проявлениям напоминает первичный генерализованный амилоидоз.
Старческий амилоидоз
У многих людей старше 80 лет наблюдается накопление амилоида в органах и тканях. Этот процесс обычно локален и часто связан с другими возрастными заболеваниями.
К старческому амилоидозу относятся:
- Старческий церебральный (мозговой) амилоидоз. Встречается при болезни Альцгеймера и характеризуется накоплением амилоида типа Ab в тканях головного мозга.
- Старческий сердечный амилоидоз. Проявляется поражением сердечной мышцы, при этом образуются различные типы амилоида в зависимости от формы заболевания. Например, в некоторых случаях амилоид включает мутантную форму транстиретина (белка, отвечающего за транспортировку тироксина и витамина А), что приводит к поражению желудочков сердца. В других случаях амилоид формируется из предсердного натрийуретического пептида (гормона, выделяемого клетками сердца), что вызывает отложение амилоида в предсердиях. В обоих случаях амилоидные отложения могут также обнаруживаться в других органах, таких как селезенка, легкие и поджелудочная железа.
Амилоидоз при опухолях
При некоторых опухолях клетки затронутого органа злокачественно преобразуются, что приводит к выделению фибриллярного белка. В таких случаях амилоидоз локален и проявляется отложением амилоида в тканях органа с злокачественным процессом.
Факторы, способствующие развитию амилоидоза:
- Медуллярный рак щитовидной железы. Эта опухоль возникает из С-клеток щитовидной железы, вырабатывающих гормон кальцитонин, регулирующий обмен кальция. В результате злокачественного процесса образуется амилоид типа AE из фрагментов кальцитонина, синтез которого нарушается.
- Опухоль островков поджелудочной железы. Островки поджелудочной железы — это скопления клеток, вырабатывающих гормоны, такие как инсулин и глюкагон. При злокачественном перерождении этих клеток в окружающие ткани выделяется фибриллярный белок, который затем трансформируется в амилоид.
Амилоидоз у пациентов на гемодиализе
Гемодиализ («искусственная почка») — метод очищения крови от продуктов обмена веществ, выводимых почками. Процедура назначается при острой или хронической почечной недостаточности и включает пропускание крови через аппарат с полупроницаемой мембраной. Вредные вещества и лишняя жидкость удаляются, а клетки крови и крупные белки возвращаются.
При длительном гемодиализе В2-микроглобулин (нормально выводимый почками) накапливается в организме, так как не фильтруется через мембрану диализатора. У пациентов с хронической почечной недостаточностью уровень этого белка значительно увеличивается, что приводит к его оседанию в тканях органов, включая почки, усугубляя недостаточность.
Амилоидоз может поражать различные органы, проявляясь разнообразными симптомами. В начале заболевания страдает один орган, что приводит к его дисфункции. По мере прогрессирования болезни вовлекаются другие ткани, за исключением локальных форм, затрагивающих только один орган.
Амилоидоз может проявляться:
- поражением почек;
- поражением печени;
- поражением сердца;
- надпочечниковой недостаточностью;
- увеличением селезенки (спленомегалией);
- поражением ЖКТ;
- поражением нервной системы;
- поражением кожи;
- поражением суставов;
- поражением мышц.
Поражение почек — наиболее распространенное и опасное проявление амилоидоза.
Клиническая картина амилоидоза почек включает 4 стадии:
- латентную (скрытую);
- протеинурическую;
- нефротическую;
- азотемическую.
Латентная стадия
На этой стадии заболевание практически не проявляется. При вторичных формах симптомы основной болезни преобладают, а признаки поражения почек могут появиться спустя годы.
Протеинурическая стадия
Эта стадия может длиться более 10 лет и характеризуется отложением амилоида в почечной ткани, что приводит к сдавливанию и гибели нефронов. Нарушается целостность почечного фильтра, и с мочой начинают выделяться белки. На этом этапе функция почек нарушена незначительно, амилоидоз можно заподозрить только по лабораторным данным.
Нефротическая стадия
Дальнейшее нарушение целостности почечного фильтра приводит к нефротическому синдрому, характеризующемуся потерей значительного количества белка с мочой (более 3 г/л) и снижением концентрации белков в крови. Это вызывает генерализованные отеки, которые могут возникать независимо от положения тела и времени суток. Отеки могут достигать крайней степени выраженности (анасарки), также может наблюдаться асцит, гидроторакс и гидроперикард. Кожа становится бледной, отмечается ломкость ногтей и волос. Возможны выделения крови с мочой.
Продолжительность данной стадии обычно не превышает 4-6 лет, после чего (в отсутствие лечения) развивается азотемическая стадия.
Азотемическая стадия
На этом этапе функциональная почечная ткань составляет менее 25%, что недостаточно для выведения побочных продуктов обмена веществ, приводя к их накоплению в крови.
Клинически почечная недостаточность проявляется:
- Нарушением мочеобразования – выделение менее 50 мл мочи в сутки.
- Нарушением общего самочувствия – слабостью, повышенной утомляемостью.
- Нарушением пищеварительной системы – отсутствием аппетита, частой тошнотой и рвотой, сухостью во рту.
- Поражением кожи – зудом, бледностью и сухостью кожи.
- Поражением сердечно-сосудистой системы – повышением артериального давления, аритмиями, гипертрофией сердечной мышцы.
- Повреждением мозга – высокие концентрации мочевины и мочевой кислоты негативно влияют на нервную ткань, проявляясь раздражительностью и нарушением памяти.
- Анемией – возникает из-за недостатка эритропоэтина, синтезируемого почками.
Поражение печени также часто встречается при генерализованных формах амилоидоза. Отложения амилоида сдавливают печеночные клетки и сосуды, нарушая функции органа.
Амилоидное поражение печени может проявляться:
- Увеличением печени. При пальпации определяется увеличенная, плотная, безболезненная печень.
- Портальной гипертензией. Сдавливание сосудов печени амилоидом приводит к повышению давления в системе воротной вены, что может проявляться кровотечениями в ЖКТ, отеками на ногах и асцитом.
- Желтухой. Развивается при нарушении желчеобразующей функции или оттока желчи, сдавливаемой амилоидом.
Поражение сердечной мышцы чаще наблюдается при первичном и некоторых наследственных формах амилоидоза. Амилоид откладывается в миокарде и оболочках сердца, что приводит к сдавливанию сосудов и нарушению кровообращения.
Клинически амилоидоз сердца может проявляться:
- аритмиями;
- рестриктивной кардиомиопатией;
- сердечной недостаточностью.
Аритмии
Отложение амилоида нарушает проведение нервного импульса, что вызывает разобщенное сокращение камер сердца и аритмию. Это может проявляться потемнением в глазах и головокружениями.
Рестриктивная кардиомиопатия
Уплотнение миокарда снижает его растяжимость, что уменьшает ударный объем. Клинически это проявляется одышкой, отеками ног и асцитом. Частым симптомом является ортостатическая гипотензия.
Сердечная недостаточность
Состояние, при котором сердце не может обеспечивать циркуляцию крови, проявляется выраженными отеками, одышкой и другими симптомами. Характерной особенностью является неэффективность стандартного лечения и быстрое прогрессирование заболевания.
Надпочечники, вырабатывающие гормоны, при амилоидозе теряют функциональность, что приводит к хронической надпочечниковой недостаточности.
Характеристика надпочечниковой недостаточности при амилоидозе
| Гормоны коркового вещества надпочечников | Функция в организме | Нарушения при недостаточности |
| Альдостерон | Регулирует водно-солевой обмен. | Уменьшение ОЦК, проявляющееся слабостью и учащенным сердцебиением. |
| Кортизол | Регулирует обмен веществ в стрессовых ситуациях. | Нарушение адаптации организма, повышенная восприимчивость к заболеваниям. |
| Андрогены | Влияют на развитие вторичных половых признаков. | У мужчин – оволосение по женскому типу; у женщин – выпадение волос. |
Отложение амилоида в селезенке приводит к ее увеличению, что можно определить при пальпации. Селезенка участвует в удалении старых клеток крови, и отложение амилоида приводит к гиперспленизму.
Гиперспленизм характеризуется:
- Анемией – слабость, бледность, одышка.
- Тромбоцитопенией – кожные кровоизлияния, кровоточивость десен.
- Лейкопенией – частые инфекции.
При генерализованных формах амилоидоза поражение кишечника нарушает всасывание питательных веществ.
Нарушение всасывания в кишечнике может проявляться:
- частым поносом;
- снижением веса;
- общей слабостью;
- анемией.
При локальных формах амилоидоза отложения могут имитировать опухоль, сдавливая кишечник и вызывая симптомы непроходимости.
Отложения амилоида вдоль нервных волокон нарушают их функцию, проявляясь соответствующими симптомами. Старческий амилоидоз характеризуется нарушением умственных способностей, а поражение периферических нервов может проявляться чувством ползания мурашек и параличом.
При отложении амилоида в коже нарушается кровоснабжение, что проявляется бледностью и шелушением. При некоторых формах может появляться сыпь в виде мелких узелков.
Отложение амилоида в суставах вызывает воспаление, сначала поражая мелкие суставы, а затем и крупные.
Поражение суставов при амилоидозе характеризуется:
- болезненностью при движениях;
- покраснением кожи;
- отеком тканей;
- повышением температуры кожи.
Отложение амилоида в межмышечной соединительной ткани на начальных стадиях не сказывается на функции мышц, но по мере прогрессирования может привести к их гибели.
Амилоидное поражение мышц проявляется:
- болями в мышцах;
- мышечной слабостью;
- гипертрофией мышц;
- уплотнением мышц.
Амилоидоз можно заподозрить по клиническим проявлениям, но для подтверждения диагноза необходимы дополнительные исследования.
В диагностике амилоидоза применяются:
- общий анализ крови;
- общий анализ мочи;
- биохимический анализ крови;
- ультразвуковое исследование;
- генетическое исследование;
- биопсия.
Общий анализ крови может выявить отклонения, указывающие на повреждение органов.
Общий анализ крови при амилоидозе
| Показатель | Что обозначает | Норма | Изменения при амилоидозе |
| Концентрация эритроцитов ( RBC)** | Эритроциты транспортируют дыхательные газы. | Мужчины: 4,0 – 5,0 х 1012/л. | Уменьшение на поздних стадиях, признак различных заболеваний. |
| Женщины (Ж): 3,5 – 4,7 х 1012/л. | |||
| Общий уровень гемоглобина ( HGB)** | Гемоглобин участвует в транспортировке дыхательных газов. | М: 130 – 170 г/л. | Снижение по тем же причинам, что и снижение эритроцитов. |
| Ж: 120 – 150 г/л. | |||
| Концентрация лейкоцитов ( WBC)* | Защита организма от инфекций. | 4,0 – 9,0 х 109/л. | Повышение при вторичном амилоидозе, снижение при гиперспленизме. |
| Концентрация тромбоцитов ( PLT)* | Обеспечивают остановку кровотечений. | 180 – 320 х 109/л. | Снижение при гиперспленизме. |
| Концентрация ретикулоцитов(RET) | Молодые формы эритроцитов. | М: 0,24 – 1,7%. | Снижение при различных состояниях, повышение при кровотечениях. |
| Ж: 0,12 – 2,05%. | |||
| Гематокрит (Hct) | Процентное соотношение клеточных элементов и плазмы. | М: 42 – 50%. | Снижение при уменьшении эритроцитов. |
| Ж: 38 – 47%. | |||
| Скорость оседания эритроцитов (СОЭ) | Время оседания эритроцитов в пробирке. | М: 3 – 10 мм/час. | Увеличение при анемии и воспалении. |
| Ж: 5 – 15 мм/час. |
Изменения в общем анализе мочи могут указывать на поражение почек.
На поражение почек может указывать:
- Протеинурия. Появление белка в моче — первый признак поражения почек. Протеинурия более 3 г/л свидетельствует о тяжелом поражении.
- Гематурия. Появление эритроцитов в моче может указывать на нефротический синдром.
- Лейкоцитурия. Появление лейкоцитов в моче чаще свидетельствует о воспалении.
- Цилиндрурия. Наличие цилиндров в моче указывает на повреждение почечных канальцев.
- Снижение плотности мочи. Уменьшение плотности указывает на снижение концентрационной способности почек.
Это исследование позволяет оценить функциональное состояние органов и заподозрить причину амилоидоза.
Диагностическую ценность при амилоидозе представляют:
- белки острой фазы воспаления;
- печеночные пробы;
- уровень холестерина;
- уровень белков в крови;
- уровень креатинина и мочевины.
Белки острой фазы воспаления
Эти белки вырабатываются в ответ на воспалительный процесс и поддерживают воспаление.
Белки острой фазы воспаления
| Белок | Нормальные значения |
| Сывороточный белок амилоида А ( SAA)** | Менее 0,4 мг/л. |
| Альфа-2-глобулин | М: 1,5 – 3,5 г/л. |
| Ж: 1,75 – 4,2 г/л. | |
| Альфа-1-антитрипсин | 0,9 – 2 г/л. |
| С-реактивный белок | Не более 5 мг/л. |
| Фибриноген | 2 – 4 г/л. |
| Лактоферрин | 150 – 250 нг/мл. |
| Церулоплазмин | 0,15 – 0,6 г/л. |
Прогрессирующее повышение фибриногена может наблюдаться и при наследственных формах амилоидоза.
Печеночные пробы
Эти показатели позволяют оценить функциональное состояние печени.
Печеночные пробы при амилоидозе печени
| Показатель | Что обозначает | Норма | Изменения при амилоидозе печени |
| Аланинаминотрансфераза (АлАТ) | Содержится в клетках печени, повышается при разрушении ткани. | М: до 41 Ед/л. | Повышение при печеночной недостаточности. |
| Ж: до 31 Ед/л. | |||
| Аспартатаминотрансфераза (АсАТ) | |||
| Билирубин общий | Образуется при распаде эритроцитов. | 8,5 – 20,5 мкмоль/л. | Повышение при массивном отложении амилоидов. |
| Билирубин (несвязанная фракция) | 4,5 – 17,1 мкмоль/л. | Повышение при печеночной недостаточности. | |
| Билирубин (связанная фракция) | 0,86 – 5,1 мкмоль/л. | Повышение при сдавливании желчевыводящих путей. |
Уровень холестерина в крови
Увеличение уровня холестерина более 5,2 ммоль/л может наблюдаться при нефротическом синдроме.
Уровень белков в крови
Норма общего белка в крови составляет 65 – 85 г/л. Снижение может наблюдаться при нефротическом синдроме и печеночной недостаточности.
Уровень креатинина и мочевины
Увеличение этих веществ в крови является показателем нарушения почечной функции.
УЗИ может выявить:
- уплотнение и увеличение почек;
- наличие почечных кист;
- увеличение и уплотнение печени и селезенки;
- гипертрофию сердечной мышцы;
- отложения амилоида в стенках сосудов;
- скопление жидкости в полостях организма.
Генетическое исследование назначается при подозрении на наследственный амилоидоз. Выявление мутаций подтверждает диагноз.
Биопсия — «золотой стандарт» диагностики амилоидоза, позволяющий подтвердить диагноз более чем в 90% случаев.
При подозрении на амилоидоз рекомендуется госпитализация для обследования мочеполовой системы, так как поражение почек является наиболее частым осложнением. Также должны быть привлечены специалисты для выявления повреждений других органов.
Если серьезных нарушений не выявлено, лечение может проводиться амбулаторно при условии соблюдения предписаний врача.
Основные показания для госпитализации:
- наличие системного воспалительного процесса;
- наличие гнойного инфекционного заболевания;
- нефротический синдром;
- почечная недостаточность;
- печеночная недостаточность;
- сердечная недостаточность;
- надпочечниковая недостаточность;
- выраженная анемия;
- гиперспленизм;
- внутреннее кровотечение.
При ухудшении состояния пациента необходимо госпитализировать для уточнения диагноза и коррекции лечения.
В лечении амилоидоза применяются:
- медикаментозное лечение;
- диетотерапия;
- перитонеальный диализ;
- пересадка органов.
Медикаментозное лечение направлено на замедление образования амилоида. Эффективность наблюдается при AL-амилоидозе, в то время как при других формах результат не всегда положительный.
Медикаментозное лечение амилоидоза
| Группа препаратов | Представители | Механизм действия | Способ применения и дозы |
| Стероидные противовоспалительные препараты | Преднизолон | Угнетают иммунные реакции, обладают противовоспалительным действием. | Дозировка и длительность подбираются индивидуально. |
| Дексаметазон | |||
| Противоопухолевые препараты | Мелфалан | Угнетает синтез белка и размножение клеток. | Внутрь, 0,12 – 0,15 мг/кг. Длительность 2 – 3 недели. |
| Аминохинолиновые препараты | Хлорохин | Тормозит синтез ДНК, уменьшая образование лейкоцитов. | Внутрь, 500 – 750 мг ежедневно или через день. |
| Противоподагрические препараты | Колхицин | Угнетает образование лейкоцитов и амилоидных фибрилл. | Внутрь по 1 мг 2 – 3 раза в сутки. |
Специфической диеты, предотвращающей развитие амилоидоза, не существует. Основные осложнения, требующие соблюдения строгой диеты, — нефротический синдром и почечная недостаточность. Рекомендуется диета номер 7, направленная на защиту почек и нормализацию водно-солевого баланса.
Диета при амилоидозе
| Что рекомендуется? | Что не рекомендуется? |
| * овощные бульоны; * нежирные сорта мяса; * бессолевой хлеб; * свежие фрукты и овощи; * рис; * 1 – 2 яичных белка; * молоко и кисломолочные продукты; * некрепкий чай; * свежевыжатые соки. | * мясные и рыбные продукты в больших количествах; * сдобную выпечку; * некоторые фрукты; * сырные изделия; * яичный желток; * кофе; * алкоголь. |
Перитонеальный диализ использует брюшину как полупроницаемую мембрану для удаления побочных продуктов обмена веществ. Этот метод медленнее очищает кровь, чем гемодиализ, но имеет свои преимущества.
Основные преимущества:
- Выведение В2-микроглобулина.
- Постоянное очищение крови.
- Возможность амбулаторного использования.
Техника выполнения
Катетер устанавливается в операционной. Через него вводится диализирующий раствор, который остается в брюшной полости на 4-10 часов. Процедура занимает 30-40 минут.
Перитонеальный диализ противопоказан:
- при наличии спаек в брюшной полости;
- при инфекциях кожи в области живота;
- при беременности;
- при психических заболеваниях.
Пересадка органов — единственный способ спасения жизни при органной недостаточности, но не устраняет причину амилоидоза.
При амилоидозе возможно пересадить:
- почку;
- ткань печени;
- сердце;
- кожу.
Донорские органы могут быть получены от живого донора или от трупа. Пересадка требует пожизненного применения иммуносупрессоров.
К последствиям амилоидоза относятся острые состояния, развивающиеся на фоне нарушенных функций органов, часто приводящие к смерти.
Наиболее опасные осложнения амилоидоза:
- Инфаркт миокарда. Повышение артериального давления и отложение амилоида ухудшают кровоснабжение сердца.
- Инсульт. Развивается из-за кровотечения через деформированные сосуды.
- Тромбоз печеночных вен. Образование тромбов приводит к острой почечной недостаточности.
- Инфекционные заболевания. Истощение защитных систем делает организм уязвимым к инфекциям.
Беременность при амилоидозе возможна только при достаточной функциональной активности органов. При генерализованных формах прогноз для матери и плода зависит от состояния жизненно важных органов.
Исход беременности и родов определяется:
- функциями сердца;
- функциями почек;
- функциями печени;
- функциями надпочечников;
- скоростью образования амилоида.
Функции сердца
Сердечная недостаточность может стать причиной серьезных осложнений во время беременности. Женщины с I – II функциональным классом могут выносить ребенка, но при III – IV классе беременность противопоказана.
Функции почек
Разрушение почечной ткани приводит к белковой недостаточности, что может отразиться на состоянии плода.
Функции печени
Сдавливание сосудов печени приводит к асциту, что может повлиять на развитие плода.
Функции надпочечников
Недостаток гормонов, особенно кортизола, может угрожать жизни плода и матери.
Скорость образования амилоида
Процесс может протекать медленно или быстро, что влияет на состояние плода.
Дети болеют амилоидозом реже, но при некоторых формах возможно поражение органов в раннем возрасте.
Причины амилоидоза у детей:
- Семейная средиземноморская лихорадка. Генетически обусловленное заболевание, проявляющееся амилоидозом в первые 10 лет жизни.
- Английский амилоидоз. Поражение почек и слуха.
- Португальский амилоидоз. Поражение нервов нижних конечностей.
- Американский амилоидоз. Поражение нервов верхних конечностей.
- Вторичный амилоидоз. Развивается при хронических воспалительных процессах.
Эффективность профилактики зависит от формы амилоидоза и своевременности мероприятий.
Профилактика амилоидоза
| Форма амилоидоза | Краткая характеристика | Профилактические мероприятия |
| Первичный (идиопатический амилоидоз) | Причина неизвестна. | Отсутствуют. |
| Наследственный амилоидоз | Связан с мутантными генами. | Генетическое исследование плода на ранних сроках. |
| Вторичный амилоидоз | Развивается при хроническом воспалительном процессе. | Своевременное лечение хронических заболеваний. |
При развернутой клинической картине амилоидоза прогноз неблагоприятный. Однако ранняя диагностика улучшает прогноз.
На выживаемость пациентов влияют:
- Функция почек. При почечной недостаточности пациент погибает в течение нескольких месяцев.
- Функция печени. При портальной гипертензии возможны кровотечения.
- Функция сердца. При сердечной недостаточности VI степени большинство пациентов умирает в течение 6 месяцев.
- Функция кишечника. При амилоидозе кишечника возможна кахексия.
В зависимости от формы заболевания выделяют:
- Идиопатический генерализованный амилоидоз. Прогноз неблагоприятный.
- Наследственный амилоидоз. Прогноз неблагоприятен при раннем начале.
- Вторичный амилоидоз. Прогноз зависит от состояния органов.
Локальные формы амилоидоза обычно представляют собой опухолевидные образования, которые можно удалить хирургически.
Народные методы лечения амилоидоза могут быть использованы, но перед применением рекомендуется проконсультироваться с врачом.
При амилоидозе можно применять:
- Травяной противовоспалительный настой. Состав: цветки ромашки, бессмертника, трава зверобоя, березовые почки. Принимать по 200 мл 1 раз в сутки.
- Настой из плодов рябины и черники. Принимать по 100 мл 3 раза в день.
- Настой из глухой крапивы. Принимать по 100 мл 4-5 раз в день.
- Настой из плодов можжевельника. Принимать по 1 столовой ложке 3-4 раза в день.
- Настойка травы посевного овса. Принимать по 1 чайной ложке 3 раза в день.
Симптомы амилоидоза
Амилоидоз может затрагивать практически любые органы и ткани, что приводит к разнообразным проявлениям. На начальных стадиях чаще всего поражается один орган, что вызывает его дисфункцию и симптомы недостаточности. С прогрессированием болезни могут быть затронуты и другие ткани, за исключением локального амилоидоза, при котором страдает только один орган.
Амилоидоз может проявляться:
- поражением почек;
- поражением печени;
- поражением сердца;
- недостаточностью надпочечников;
- увеличением селезенки (спленомегалией);
- поражением желудочно-кишечного тракта (ЖКТ);
- поражением нервной системы;
- поражением кожи;
- поражением суставов;
- поражением мышц.
Поражение почек
Поражение почек — наиболее распространенное и серьезное проявление амилоидоза.
Стадии амилоидоза почек:
- латентная;
- протеинурическая;
- нефротическая;
- азотемическая.
Латентная стадия
На этой стадии заболевание почти не проявляется. При вторичных формах акцент на симптомах основного заболевания, а признаки поражения почек могут появиться через несколько лет или десятилетий. Известны случаи быстрого прогрессирования амилоидоза за 3-4 месяца.
Протеинурическая стадия
Эта стадия может длиться более 10 лет и характеризуется накоплением амилоидных депозитов в почечной ткани — в мелких сосудах и клубочках, а также в межклеточном пространстве. Это приводит к сжатию, атрофии и гибели нефронов. Нарушается целостность почечного фильтра, и с мочой начинают выделяться белки. На этом этапе функция почек нарушена незначительно, поэтому амилоидоз можно заподозрить только по лабораторным данным.
Нефротическая стадия
Дальнейшее нарушение целостности почечного фильтра вызывает нефротический синдром, который проявляется потерей более 3 г/л белка с мочой и снижением уровня белков в крови. Уменьшение белков, поддерживающих коллоидно-осмотическое давление, приводит к отекам — основному проявлению амилоидоза на этой стадии.
Отеки могут возникать независимо от положения тела и времени суток, появляются на лице, веках, половых органах и в поясничной области. По мере прогрессирования заболевания отеки усиливаются и могут достигать значительной выраженности. Также возможно накопление жидкости в полостях организма — асцит, гидроторакс, гидроперикард. Кожа бледнеет, наблюдается ломкость ногтей и волос, возможна кровь в моче.
Продолжительность этой стадии обычно не превышает 4-6 лет, после чего (при отсутствии лечения) наступает азотемическая стадия.
Азотемическая стадия
На этом этапе функционирующая почечная ткань составляет менее 25%, что недостаточно для выведения продуктов обмена (мочевины, мочевой кислоты и других), что приводит к их накоплению в крови.
Клинические проявления почечной недостаточности:
- Нарушение мочеобразования — менее 50 мл мочи в сутки (норма — не менее 800 мл).
- Проблемы с самочувствием — слабость, утомляемость.
- Нарушения пищеварения — отсутствие аппетита, тошнота, рвота, сухость во рту, неприятный запах изо рта.
- Поражения кожи — зуд, бледность, сухость, следы расчесов.
- Проблемы с сердечно-сосудистой системой — повышение артериального давления, аритмии, гипертрофия сердечной мышцы.
- Повреждение мозга — высокие уровни мочевины и мочевой кислоты влияют на нервную ткань, вызывая раздражительность, бессонницу, нарушения памяти и психики.
- Анемия — снижение уровня гемоглобина и эритроцитов из-за нехватки эритропоэтина, вырабатываемого почками и стимулирующего образование красных кровяных клеток в костном мозге.
Поражение печени
Поражение печени — распространённый признак генерализованных форм амилоидоза. Накопление амилоида сжимает печёночные клетки, желчевыводящие пути и сосуды, нарушая функциональность органа.
При амилоидных отложениях в печени наблюдается увеличение её размеров, что можно определить при пальпации. Печень становится гладкой, с ровным нижним краем и безболезненной при ощупывании. Даже при длительном течении амилоидоза выраженная почечная недостаточность возникает редко, вероятно, благодаря высоким восстановительным способностям печени.
Амилоидное поражение печени может проявляться следующими симптомами:
- Увеличение печени. При пальпации можно обнаружить увеличенную, плотную, но безболезненную печень с ровной и гладкой поверхностью.
- Портальная гипертензия. Кровь от внутренних органов (желудка, кишечника, селезёнки и других) собирается в воротную вену и поступает в печень для детоксикации. Сдавление сосудов печени амилоидом повышает давление в системе воротной вены и расширяет вены внутренних органов, что может вызвать их разрыв. Это проявляется в виде кровотечений в желудочно-кишечном тракте, поноса, рвоты с кровью, отёков на ногах и асцита.
- Желтуха. Это редкое проявление амилоидного поражения печени. Она возникает при нарушении функции желчеобразования или затруднении оттока желчи по сжимаемым амилоидом желчевыводящим путям. В этом случае пигмент билирубин, продукт распада эритроцитов, накапливается в крови, придавая коже и слизистым оболочкам желтоватый оттенок. Если желтуха вызвана нарушением оттока желчи, она может сопровождаться зудом кожи.
Поражение сердца
Поражение сердечной мышцы чаще всего возникает при первичном и некоторых формах наследственного амилоидоза. Отложение амилоида затрагивает миокард и оболочки сердца, включая перикард и эндокард. Это приводит к сжатию сосудов и нарушению кровообращения, что вызывает гибель мышечных клеток.
Клинические проявления амилоидоза сердца:
- аритмии;
- рестриктивная кардиомиопатия;
- сердечная недостаточность.
Аритмии
Проводящая система сердца состоит из специализированных клеток, обеспечивающих последовательное проведение нервного импульса, что приводит к синхронному сокращению предсердий и желудочков. При отложении амилоида нарушается передача импульса, что вызывает разобщенное сокращение камер сердца и аритмию. Это состояние может проявляться потемнением в глазах, головокружениями и обмороками из-за недостаточного кровоснабжения мозга, что может привести к летальному исходу.
Рестриктивная кардиомиопатия
Из-за отложения амилоида миокард становится плотным и менее эластичным. Во время диастолы камеры сердца не могут расшириться достаточно для необходимого объема крови, что снижает ударный объем.
Клинические проявления включают повышенную утомляемость, одышку (из-за застоя крови в легочных сосудах) и отеки ног (из-за застоя в венах нижних конечностей), асцит и гидроторакс (вследствие повышения давления в сосудах). Часто наблюдается ортостатическая гипотензия — снижение артериального давления при переходе из горизонтального в вертикальное положение, что связано с недостаточной адаптацией сердечной мышцы.
С прогрессированием заболевания наполнение сердца снижается, что в конечном итоге приводит к сердечной недостаточности.
Сердечная недостаточность
Это состояние характеризуется неспособностью сердца поддерживать нормальную циркуляцию крови, что проявляется выраженными отеками (в основном в нижней части тела, усиливающимися к вечеру), одышкой и другими симптомами. Особенностью сердечной недостаточности при амилоидозе является неэффективность стандартного лечения, быстрое прогрессирование и возможность летального исхода в течение нескольких месяцев.
Надпочечниковая недостаточность
Надпочечники — небольшие эндокринные железы на верхней части каждой почки, вырабатывающие гормоны. Они состоят из коркового и мозгового вещества, каждое из которых производит специфические гормоны.
При амилоидозе в корковом веществе накапливаются амилоидные отложения, что вызывает хроническую недостаточность надпочечников. Это состояние приводит к снижению или прекращению синтеза всех гормонов в этой области.
Особенности надпочечниковой недостаточности при амилоидозе
| Гормоны коркового вещества надпочечников | Роль в организме | Последствия недостатка данного гормона |
| Альдостерон | Регулирует водно-солевой баланс, снижает выделение натрия и воды почками, увеличивая объем циркулирующей крови и артериальное давление. Удерживает калий и водород. | Снижение ОЦК проявляется слабостью, быстрой утомляемостью, головными болями и учащенным сердцебиением. Повышение уровня калия может вызывать аритмии, судороги и головокружение. |
| Кортизол | Управляет обменом веществ в стрессовых ситуациях: увеличивает уровень глюкозы в крови, активирует распад жиров, подавляет образование мочи, обладает противовоспалительными свойствами. | Нехватка кортизола нарушает адаптацию организма, повышая восприимчивость к заболеваниям и затрудняя перенос инфекций и травм. |
| Андрогены (мужские половые гормоны) | Способствуют развитию вторичных половых признаков у подростков-мальчиков. | У мужчин наблюдается оволосение по женскому типу, у женщин — выпадение волос в области лобка и подмышек. |
Увеличение селезенки
Отложение амилоида в селезенке увеличивает ее размеры, что позволяет прощупать орган (в норме селезенка не определяется при пальпации). При ощупывании амилоидная селезенка имеет плотную консистенцию и гладкую поверхность, болезненные ощущения отсутствуют.
Селезенка удаляет «старые» и деформированные клетки крови благодаря синусоидам — тонким щелевидным пространствам. Нормальные клетки крови легко проходят через эти пространства, тогда как старые и поврежденные застревают и разрушаются. Накопление амилоида приводит к гиперспленизму, при котором в увеличенной селезенке задерживаются и разрушаются нормальные клетки крови — эритроциты, тромбоциты и лейкоциты.
Гиперспленизм проявляется следующими симптомами:
- Анемия — общая слабость, бледность кожи и слизистых, иногда одышка.
- Тромбоцитопения — снижение уровня тромбоцитов, проявляющееся кожными кровоизлияниями, носовыми кровотечениями и кровоточивостью десен.
- Лейкопения — снижение общего количества лейкоцитов, что приводит к частым инфекциям, трудно поддающимся лечению.
Поражение желудочно-кишечного тракта
При генерализованных формах амилоидоза поражение кишечника приводит к нарушению всасывания питательных веществ, витаминов и минералов.
Симптомы нарушения всасывания могут включать:
- частые эпизоды диареи;
- потерю веса (вплоть до кахексии, что представляет серьезную угрозу для жизни);
- общую и мышечную слабость;
- повышенную утомляемость;
- психические и умственные расстройства;
- анемию (из-за нарушения усвоения железа, витамина B12 и фолиевой кислоты);
- ломкость и выпадение волос;
- отеки (из-за снижения уровня белков в крови).
При локальных формах амилоидоза отложения амилоида накапливаются в определенной области, имитируя опухолевый процесс. Увеличиваясь, они сдавливают кишечные петли, нарушая проходимость пищи. В таких случаях проявляются симптомы кишечной непроходимости: запоры, вздутие живота, боли и рвота каловыми массами (в тяжелых ситуациях).
Поражение нервной системы
Отложения амилоида вдоль нервных волокон нарушают их функционирование, что проявляется различными симптомами в зависимости от пораженного нерва и области. Например, старческий амилоидоз характеризуется накоплением амилоида в мозговых тканях, что приводит к ухудшению умственных способностей, снижению концентрации, интеллекта и памяти, а также психическим расстройствам. Поражение периферических нервов при наследственном амилоидозе может вызывать покалывание, болезненность, зуд и нарушение чувствительности в определенных участках тела, вплоть до полного паралича конечностей и утраты двигательной функции.
Поражение кожи
При накоплении амилоида в коже и сосудах нарушается кровоснабжение, что вызывает бледность, сухость и шелушение кожи. В некоторых случаях, например, при генерализованном и определенных формах локального амилоидоза, может появляться сыпь в виде мелких (1–2 мм) плотных узелков желтого или красного цвета. Узелки могут объединяться, увеличивая площадь поражения. На поверхности узелков иногда наблюдается шелушение, но болезненность и зуд встречаются редко.
Поражение суставов
Накопление амилоида в суставах вызывает их воспаление. Сначала страдают мелкие суставы, такие как кисти и стопы, затем вовлекаются крупные, например, коленные и локтевые.
Признаки поражения суставов при амилоидозе:
- Болезненность, усиливающаяся при движении.
- Покраснение кожи над воспаленными суставами из-за расширения сосудов.
- Отек тканей из-за выхода жидкости через стенки расширенных сосудов.
- Повышение температуры кожи в области воспаленных суставов.
- Нарушение функциональности пораженного сустава.
Поражение мышц
Отложение амилоидных депозитов происходит в соединительной ткани между мышцами и на начальных этапах не влияет на их функциональность. Однако с развитием заболевания происходит сжатие мышечных клеток, ухудшение их кровоснабжения и, в конечном итоге, гибель.
Признаки амилоидного поражения мышц:
- болевые ощущения в мышцах;
- слабость мышц;
- гипертрофия мышц;
- образование плотных узелков на поверхности мышц;
- уплотнение мышц.
Диагностика амилоидоза
Амилоидоз можно заподозрить по клиническим симптомам, но для точного диагноза и выбора лечения необходимо провести дополнительные лабораторные и инструментальные обследования.
Для диагностики амилоидоза применяются:
- общий анализ крови;
- общий анализ мочи;
- биохимический анализ крови;
- ультразвуковое исследование органов;
- генетическое тестирование;
- биопсия.
Общий анализ крови
Простое исследование позволяет выявить отклонения в составе периферической крови пациента и предположить причины амилоидоза. На поздних стадиях заболевания изменения в общем анализе крови могут указывать на повреждение органов, что поможет назначить более эффективное лечение. Кровь для анализа берут из пальца или вены.
Общий анализ крови при амилоидозе
| Показатель | Что обозначает | Норма | Возможные изменения при амилоидозе |
| Концентрация эритроцитов( RBC)** | Эритроциты переносят кислород и углекислый газ. | Мужчины(М *):* 4,0 – 5,0 х 10^12/л. | Снижение концентрации эритроцитов на поздних стадиях амилоидоза может свидетельствовать о: * нарушении всасывания в кишечнике; * кровотечениях из ЖКТ; * терминальной стадии почечной недостаточности; * поражении красного костного мозга; * гиперспленизме. |
| Женщины (Ж): 3,5 – 4,7 х 10^12/л. | |||
| Общий уровень гемоглобина ( HGB)** | Гемоглобин участвует в переносе дыхательных газов. | М: 130 – 170 г/л. | Снижение уровня гемоглобина происходит по тем же причинам, что и уменьшение концентрации эритроцитов. |
| Ж: 120 – 150 г/л. | |||
| Концентрация лейкоцитов ( WBC)** | Лейкоциты защищают организм от инфекций. | 4,0 – 9,0 х 10^9/л. | * Увеличение лейкоцитов может наблюдаться при вторичном амилоидозе. * При гиперспленизме общее количество лейкоцитов может снижаться. |
| Концентрация тромбоцитов ( PLT)** | Тромбоциты останавливают кровотечения из мелких сосудов. | 180 – 320 х 10^9/л. | При гиперспленизме уровень тромбоцитов значительно снижается. |
| Концентрация ретикулоцитов(RET) | Ретикулоциты – молодые формы эритроцитов, образующиеся в костном мозге. | М: 0,24 – 1,7%. | Снижение уровня ретикулоцитов может быть вызвано: * нарушением всасывания в кишечнике; * терминальной стадией почечной недостаточности; * поражением костного мозга. Компенсаторное увеличение уровня ретикулоцитов может происходить из-за: * кровотечений из ЖКТ; * гиперспленизма. |
| Ж: 0,12 – 2,05%. | |||
| Гематокрит (Hct) | Гематокрит – процентное соотношение клеточных элементов крови к объему плазмы. | М: 42 – 50%. | Снижение количества эритроцитов приведет к уменьшению гематокрита. |
| Ж: 38 – 47%. | |||
| Скорость оседания эритроцитов (СОЭ) | СОЭ измеряет время, за которое эритроциты оседают на дно пробирки. | М: 3 – 10 мм/час. | СОЭ может увеличиваться при анемии и наличии белков острого воспаления, что указывает на системный воспалительный процесс и может свидетельствовать о вторичном амилоидозе. |
| Ж: 5 – 15 мм/час. |
Общий анализ мочи
Изменения в общем анализе мочи наблюдаются при почечном амилоидозе и хронических воспалительных заболеваниях почек.
На поражение почек могут указывать:
- Протеинурия (наличие белка в моче). Это одно из первых проявлений повреждения почек при амилоидозе. Нормальный уровень белка в моче не превышает 0,033 г/л. При нарушении работы почечного фильтра в мочу попадают клетки крови и крупные белковые молекулы. Протеинурия свыше 3 г/л указывает на выраженный нефротический синдром и серьезное поражение почечной ткани.
- Гематурия (наличие эритроцитов в моче). Нормально при микроскопическом анализе допускается 1-3 эритроцита в поле зрения. Появление крови в моче может свидетельствовать о нефротическом синдроме или воспалительном процессе в почечной ткани (гломерулонефрит).
- Лейкоцитурия (наличие лейкоцитов в моче). При микроскопическом исследовании допускается 3-5 лейкоцитов в поле зрения. Лейкоцитурия редко встречается при почечном амилоидозе и чаще указывает на инфекционно-воспалительное заболевание почек или других органов мочеполовой системы.
- Цилиндрурия (наличие цилиндров в моче). Цилиндры — это слепки, формирующиеся в почечных канальцах. При амилоидозе они обычно состоят из слущенных клеток почечного эпителия и белков (гиалиновые цилиндры), но могут также включать эритроциты и лейкоциты.
- Снижение плотности мочи. Нормальная плотность мочи варьируется от 1,010 до 1,022. При повреждении почечных нефронов способность к концентрации снижается, что приводит к уменьшению плотности мочи.
Биохимический анализ крови
Данное исследование позволяет оценить состояние внутренних органов и предположить причины амилоидоза.
Диагностическая значимость при амилоидозе включает:
- белки острого воспаления;
- печеночные пробы;
- уровень холестерина;
- уровень белков в крови;
- уровень креатинина и мочевины.
Белки острого воспаления
Эти белки синтезируются печенью и некоторыми лейкоцитами в ответ на воспаление. Их основная функция — поддержание воспалительного процесса и защита тканей.
| Белок | Нормальные значения |
| Сывороточный амилоидный белок А ( SAA)** | Менее 0,4 мг/л. |
| Альфа-2-глобулин | М: 1,5 – 3,5 г/л; Ж: 1,75 – 4,2 г/л. |
| Альфа-1-антитрипсин | 0,9 – 2 г/л. |
| С-реактивный белок | Не более 5 мг/л. |
| Фибриноген | 2 – 4 г/л. |
| Лактоферрин | 150 – 250 нг/мл. |
| Церулоплазмин | 0,15 – 0,6 г/л. |
Прогрессирующее увеличение уровня фибриногена часто наблюдается и при наследственных формах амилоидоза, что важно учитывать при интерпретации.
Печеночные пробы
Эти показатели помогают оценить функциональное состояние печени.
| Показатель | Что обозначает | Норма | Изменения при амилоидозе печени |
| Аланинаминотрансфераза (АлАТ) | Содержится в клетках печени и попадает в кровь при разрушении тканей. | М: до 41 Ед/л; Ж: до 31 Ед/л. | Повышается при печеночной недостаточности. |
| Аспартатаминотрансфераза (АсАТ) | |||
| Общий билирубин | Образуется при распаде эритроцитов и выводится из организма с желчью. | 8,5 – 20,5 мкмоль/л. | Повышается при значительном отложении амилоида. |
| Билирубин (несвязанная фракция) | 4,5 – 17,1 мкмоль/л. | Повышается при печеночной недостаточности. | |
| Билирубин (связанная фракция) | 0,86 – 5,1 мкмоль/л. | Повышается при сжатии желчевыводящих путей. |
Уровень холестерина в крови
Холестерин, вырабатываемый печенью, важен для целостности клеточных мембран. Увеличение уровня свыше 5,2 ммоль/л может указывать на нефротический синдром, причем более высокий уровень свидетельствует о тяжелом течении.
Уровень белков в крови
Нормальный уровень общего белка составляет 65 – 85 г/л. Снижение может быть связано с нефротическим синдромом или тяжелой печеночной недостаточностью.
Уровень креатинина и мочевины
Мочевина (норма – 2,5 – 8,3 ммоль/л) — побочный продукт белкового обмена, выводимый почками. Креатинин (норма – 44 – 80 мкмоль/л у женщин и 74 – 110 мкмоль/л у мужчин) образуется в мышцах и также выводится почками. Повышение этих веществ в крови указывает на нарушение функции почек при амилоидозе.
Ультразвуковое исследование внутренних органов
Данное исследование позволяет оценить анатомию и структуру внутренних органов, что важно для анализа нарушений их функций и распространенности патологического процесса.
УЗИ при амилоидозе может выявить:
- Увеличение и уплотнение почек (или уменьшение в стадии азотемии).
- Наличие почечных кист, что может привести к вторичному амилоидозу.
- Увеличение и уплотнение печени и селезенки, а также нарушения кровообращения в этих органах.
- Гипертрофию участков сердечной мышцы.
- Накопление амилоида в стенках крупных сосудов, например, аорты.
- Скопление жидкости в полостях тела (асцит, гидроторакс, гидроперикард).
Генетическое исследование
Генетическое исследование назначается при подозрении на наследственный амилоидоз, особенно если не установлена вторичная природа заболевания. Обычно используется полимеразная цепная реакция. Этот метод требует сбора генетического материала пациента, что можно сделать через анализ крови, мочи, слюны или других биологических жидкостей. Исследование генов на определенных хромосомах выявляет мутации, подтверждающие диагноз.
Если у пациента выявлена форма наследственного амилоидоза, рекомендуется провести генетическое тестирование для всех членов семьи и ближайших родственников, чтобы исключить наличие заболевания у них.
Биопсия
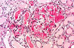
Биопсия — это процедура, при которой из организма берется небольшой фрагмент ткани или органа для лабораторного анализа. Это исследование является «золотым стандартом» в диагностике амилоидоза и подтверждает диагноз более чем в 90% случаев.
Для анализа при амилоидозе могут использоваться образцы мышечной ткани, печени, селезенки, почек, слизистой оболочки кишечника или других органов, в зависимости от клинической ситуации. Забор материала проводится в стерильных условиях операционной, обычно с местной анестезией. Специальной иглой с острыми краями выполняется прокол кожи и извлечение небольшого объема ткани.
В лаборатории часть собранного материала обрабатывается раствором Люголя, состоящим из йода и йодида калия, а затем 10% раствором серной кислоты. Если в образце много амилоида, он приобретает сине-фиолетовый или зеленоватый оттенок, заметный невооруженным глазом.
Для микроскопического анализа материал окрашивается красителями, такими как конго красный, что позволяет амилоиду проявить характерный красный цвет. Затем образец исследуется под микроскопом, где фибриллы амилоида видны в виде хаотично расположенных палочковидных структур.
Лечение амилоидоза
Амилоидоз сложно определить и начать терапию на ранних стадиях, так как клинические симптомы могут появляться только через десятилетия. При значительной почечной недостаточности лечение оказывается малорезультативным и носит лишь поддерживающий характер.
Нужна ли госпитализация для лечения амилоидоза?
При подозрении на амилоидоз рекомендуется госпитализация в нефрологическое или терапевтическое отделение для детального обследования мочеполовой системы, так как поражение почек — наиболее распространенное и опасное осложнение. Также необходимо привлечь специалистов из других областей (гепатолог, кардиолог, невролог и др.) для диагностики и лечения повреждений других органов.
Если серьезные функциональные нарушения не выявлены, лечение может продолжаться амбулаторно при условии строгого соблюдения рекомендаций врача и регулярных контрольных визитов не реже одного раза в месяц.
Основные показания для госпитализации:
- системный воспалительный процесс (подтвержденный лабораторно или клинически);
- гнойное инфекционное заболевание;
- нефротический синдром;
- почечная недостаточность;
- печеночная недостаточность;
- сердечная недостаточность;
- надпочечниковая недостаточность;
- выраженная анемия (уровень гемоглобина менее 90 г/л);
- гиперспленизм;
- внутреннее кровотечение.
При ухудшении состояния пациента во время амбулаторного лечения требуется госпитализация для уточнения диагноза и корректировки терапии.
В лечении амилоидоза применяются:
- медикаментозная терапия;
- диетическое питание;
- перитонеальный диализ;
- трансплантация органов.
Медикаментозное лечение
Медикаментозная терапия направлена на замедление формирования амилоида. Наилучшие результаты достигаются при AL-амилоидозе, в других формах заболевания эффект наблюдается реже. Вторичный амилоидоз труднее поддается лечению.
Медикаментозная терапия амилоидоза
| Тип препаратов | Примеры | Механизм действия | Способы применения и дозировка |
| Стероидные противовоспалительные средства | Преднизолон | Уменьшают иммунные реакции и обладают противовоспалительными свойствами. Снижают образование лимфоцитов и замедляют миграцию лейкоцитов в область воспаления, что приводит к положительному эффекту при амилоидозе. | Дозировка и продолжительность терапии подбираются индивидуально в зависимости от тяжести заболеваний. |
| Дексаметазон | |||
| Противоопухолевые средства | Мелфалан | Нарушает синтез ДНК, что угнетает белковый синтез и размножение клеток. Уничтожение амилоидобластов может замедлить образование амилоида, особенно при первичной форме заболевания. | Принимается внутрь, 0,12 – 0,15 мг/кг один раз в день. Продолжительность лечения 2 – 3 недели с перерывом не менее 1 месяца. Курс можно повторить. |
| Аминохинолиновые средства | Хлорохин (хингамин) | Противомалярийный препарат, замедляющий синтез ДНК в клетках, снижая образование лейкоцитов и амилоидобластов. | Принимается внутрь, 500 – 750 мг ежедневно или через день. Продолжительность терапии зависит от эффективности и переносимости препарата. |
| Противоподагрические средства | Колхицин | Уменьшает образование лейкоцитов и синтез амилоидных фибрилл в амилоидобластах. Эффективен при семейной средиземноморской лихорадке и менее эффективен при вторичном амилоидозе. | Принимается внутрь по 1 мг 2 – 3 раза в сутки. Лечение длительное, более 5 лет. |
Диетотерапия
Специальной диеты для предотвращения амилоидоза или замедления образования амилоида не существует. Основные осложнения, требующие строгих диетических рекомендаций, — это нефротический синдром и почечная недостаточность. При этих состояниях рекомендуется соблюдать диету номер 7, направленную на защиту почек от токсичных продуктов обмена веществ и нормализацию водно-солевого баланса и артериального давления.
Рекомендуется есть небольшими порциями 5-6 раз в день. Важно ограничить потребление поваренной соли (не более 2 граммов в сутки) и жидкости (не более 2 литров в сутки) для предотвращения отеков и поддержания нормального артериального давления. Сложность заключается в необходимости компенсировать потери белка при нефротическом синдроме, одновременно снижая его потребление с пищей, так как при почечной недостаточности нарушается выведение побочных продуктов обмена.
Диета при амилоидозе
| Что рекомендуется употреблять? | Что не рекомендуется употреблять? |
| * овощные бульоны; * нежирные сорта мяса (говядина, телятина) не более 50-100 граммов в сутки; * бессолевой хлеб и выпечка; * свежие фрукты (яблоки, сливы, груши и т.д.); * свежие овощи (помидоры, огурцы, картофель и т.д.); * рис (не более 300-400 граммов в сутки); * 1-2 яичных белка в сутки (без соли); * молоко и кисломолочные продукты; * некрепкий чай; * свежевыжатые соки. | * мясные и рыбные продукты в больших количествах; * сдобную выпечку; * некоторые фрукты (абрикосы, виноград, черешня и смородина); * сухофрукты; * сырные изделия; * яичный желток; * кофе; * минеральные и газированные напитки; * алкоголь. |
Перитонеальный диализ
Принцип работы перитонеального диализа схож с гемодиализом, но есть отличия. В этом методе полупроницаемой мембраной служит брюшина — тонкая серозная оболочка, покрывающая внутренние органы брюшной полости. Площадь брюшины сопоставима с площадью тела. Специальный раствор вводится в брюшную полость через катетер и взаимодействует с брюшиной, позволяя продуктам обмена веществ переходить из крови в раствор, очищая организм. Основной недостаток метода — медленное очищение крови по сравнению с гемодиализом.
Ключевые преимущества перитонеального диализа:
- Эффективное выведение В2-микроглобулина, способствующего амилоидозу.
- Непрерывное очищение крови от токсинов.
- Возможность проведения процедуры дома.
Процесс выполнения
Катетер устанавливается в операционной под местным или общим обезболиванием. Обычно он размещается в нижней части брюшной стенки, наружу выходит лишь небольшой участок. В брюшную полость вводится около 2 литров диализирующего раствора, после чего катетер закрывается, и жидкость остается на 4–10 часов. В это время пациент может заниматься обычными делами.
По истечении времени (обычно каждые 6–8 часов) необходимо удалить «старый» раствор и заменить его на новый. Вся процедура занимает 30–40 минут и требует минимальных усилий.
Перитонеальный диализ противопоказан:
- при наличии спаек в брюшной полости;
- при инфекциях кожи в области живота;
- при беременности;
- при психических расстройствах.
Пересадка органов
Пересадка органов от доноров — единственный способ спасти людей с тяжелой органной недостаточностью. Однако этот метод лишь устраняет симптомы, не решая проблему амилоидоза. Без постоянного лечения возможно повторное развитие заболевания.
При амилоидозе можно провести пересадку:
- почки;
- части печени;
- сердца;
- кожи.
Органы для трансплантации могут быть взяты от живых доноров (кроме сердца) и от умерших, включая людей с диагностированной смертью мозга, при поддержании жизнедеятельности органов искусственно. Существует также искусственное сердце — механизированное устройство для перекачивания крови.
Если донорский орган приживается (что не всегда происходит), пациенту потребуется на протяжении жизни принимать иммуносупрессоры, чтобы избежать отторжения «чуждой» ткани.
Осложнения амилоидоза
К последствиям амилоидоза относятся острые состояния, возникающие из-за нарушения работы органов, часто приводящие к летальному исходу.
Серьезные осложнения амилоидоза:
- Инфаркт миокарда. Повышение артериального давления, наблюдаемое при нефротическом синдроме и почечной недостаточности, увеличивает нагрузку на сердце. Отложение амилоида в сердечных тканях ухудшает кровоснабжение. При физическом или эмоциональном напряжении может возникнуть несоответствие между потребностью сердечной мышцы в кислороде и его поступлением, что приводит к гибели кардиомиоцитов. Если пациент выживает, в области инфаркта образуется рубец, который ослабляет сердце и может вызвать хроническую сердечную недостаточность.
- Инсульт. Это острое нарушение кровоснабжения головного мозга, возникающее при амилоидозе из-за кровоизлияния через поврежденные сосуды (геморрагический инсульт). Пропитывание нервных клеток кровью приводит к их гибели, что может проявляться различными симптомами – от нарушений чувствительности и двигательной активности до летального исхода.
- Тромбоз печеночных вен. Это осложнение развивается из-за повышения уровня фибриногена в почечных венах, что приводит к образованию тромбов и закупорке сосудов, вызывая острую почечную недостаточность. При нефротическом синдроме через почки выделяется много альбуминов, а фибриноген остается в крови, что приводит к его относительному увеличению.
- Инфекционные заболевания. Истощение защитных механизмов организма и потеря белков с мочой делают пациента уязвимым к патогенным микроорганизмам. При амилоидозе часто наблюдаются пневмония, пиелонефрит, гломерулонефрит, инфекции кожи и мягких тканей, пищевые токсикоинфекции и вирусные инфекции, такие как паротит.
Возможна ли беременность при амилоидозе?
Беременность при амилоидозе возможна, если жизненно важные органы женщины функционируют достаточно хорошо для вынашивания ребенка. В противном случае беременность может закончиться трагически для матери и плода.
Некоторые локальные формы амилоидоза не угрожают беременности. Если амилоид накапливается в одном органе или ткани (например, в мышцах или стенках кишечника) и не достигает значительных размеров, беременность и роды могут пройти без осложнений, и ребенок будет здоров. При генерализованных формах амилоидоза прогноз зависит от продолжительности заболевания и функциональных резервов органов.
Исход беременности и родов зависит от:
- состояния сердца;
- состояния почек;
- состояния печени;
- состояния надпочечников;
- скорости образования амилоида.
Состояние сердца
Серьезным осложнением амилоидоза является сердечная недостаточность из-за отложения амилоида в сердечной ткани. Это снижает сократительную способность сердца, что проявляется слабостью, одышкой, учащенным сердцебиением и болями за грудиной. Беременность и роды создают значительную нагрузку на сердце, и поражение этого органа может вызвать серьезные осложнения.
Выделяют четыре функциональных класса сердечной недостаточности. Первый класс характеризуется симптомами только при тяжелых физических нагрузках, четвертый — у пациентов, не способных обслуживать себя. Женщины с I и II классами могут выносить ребенка, но им рекомендуется плановое кесарево сечение. При III и IV классах беременность и роды противопоказаны из-за высокого риска для матери и плода, поэтому рекомендуется прерывание беременности по медицинским показаниям.
Состояние почек
Плод нуждается в постоянной доставке питательных веществ, включая белки. При отложении амилоида в почках происходит разрушение почечной ткани, что приводит к выделению клеток крови и крупных белков с мочой. Это вызывает белковую недостаточность, отеки и асцит. Плод также испытывает нехватку белков, что может привести к задержке в развитии и порокам после рождения.
При хронической почечной недостаточности почки не могут удалять токсичные продукты обмена веществ, что негативно сказывается на состоянии плода, вплоть до его внутриутробной гибели.
Состояние печени
При отложении амилоидов в печени сжимаются кровеносные сосуды, что повышает давление в системе воротной вены. Это приводит к расширению вен и истончению их стенок. При увеличении давления жидкая часть плазмы выходит из сосудов и накапливается в брюшной полости, вызывая асцит. Избыточное количество жидкости может давить на плод, что приводит к задержке в развитии или внутриутробной гибели.
Состояние надпочечников
Надпочечники вырабатывают гормоны, регулирующие обменные процессы. При амилоидозе количество функциональной ткани уменьшается, что снижает выработку гормонов.
Во время беременности важен кортизол, активирующий адаптационные механизмы в организме. При его недостатке эти механизмы могут быть слабо выражены или отсутствовать, что увеличивает риск гибели плода и матери при физической или эмоциональной нагрузке.
Скорость образования амилоида
Процесс образования амилоида обычно медленный, и от начала заболевания до полиорганной недостаточности может пройти не менее десяти лет. Однако при вторичном амилоидозе, возникающем на фоне хронических воспалительных процессов, амилоид может образовываться быстро, что приводит к инфильтрации сосудов плаценты и кислородному голоданию плода, задержке его развития или внутриутробной гибели.
Встречается ли амилоидоз у детей?
Дети реже страдают от амилоидоза, вероятно, из-за длительного времени, необходимого для его формирования. Однако в случаях наследственного и вторичного амилоидоза поражение внутренних органов может возникнуть в раннем детстве.
Причины амилоидоза у детей:
- Семейная средиземноморская лихорадка. Это генетическое заболевание передаётся по аутосомно-рецессивному типу. Ребёнок заболевает, если унаследует дефектные гены от обоих родителей. При наличии одного дефектного гена он становится бессимптомным носителем. Заболевание проявляется генерализованным амилоидозом, развивающимся в первые 10 лет жизни, преимущественно затрагивая почки. Также наблюдаются приступы лихорадки и психические расстройства.
- Английский амилоидоз. Эта форма в основном затрагивает почки и сопровождается лихорадкой и потерей слуха.
- Португальский амилоидоз. Характеризуется поражением нервов нижних конечностей, проявляющимся ощущением ползания мурашек, нарушением чувствительности и двигательными расстройствами. Прогноз в целом благоприятный, но часто возникает паралич.
- Американский амилоидоз. Эта форма поражает нервы верхних конечностей, проявления аналогичны португальскому амилоидозу.
- Вторичный амилоидоз. Возникает на фоне хронических гнойно-воспалительных процессов (например, туберкулёза, остеомиелита, сифилиса). Если ребёнок заразился во время родов или сразу после, первые признаки амилоидоза могут появиться через 5-10 лет. Прогноз неблагоприятен: быстро развивается полиорганная недостаточность, что может привести к летальному исходу. Лечение эффективно лишь в половине случаев и на короткий срок, после чего заболевание обычно рецидивирует.
Существует ли эффективная профилактика амилоидоза?
Эффективность первичной профилактики амилоидоза зависит от его типа и своевременности мероприятий. Вторичная профилактика, направленная на предотвращение рецидивов, имеет низкую эффективность.
Профилактика амилоидоза
| Тип амилоидоза | Описание | Профилактические меры |
| Первичный (идиопатический амилоидоз) | Причины неизвестны. | Не предусмотрены. |
| Наследственный амилоидоз | Связан с мутантными генами на определенных хромосомах. Эти гены передаются по наследству, увеличивая риск заболевания у потомства. Дефектные гены приводят к образованию амилоидобластов, синтезирующих фибриллярные белки, которые откладываются в тканях. | * Заболевание может возникнуть на этапе зачатия, поэтому постнатальная профилактика неэффективна. * Единственное действенное мероприятие — генетическое тестирование плода до 22 недели беременности. При выявлении генов, способствующих амилоидозу, рекомендуется прерывание беременности. * Ближайшим родственникам больных также рекомендуется генетическое обследование для выявления носительства. |
| Вторичный амилоидоз | Развивается на фоне хронического воспалительного процесса, например, при гломерулонефрите, туберкулезе или остеомиелите. В крови повышена концентрация специфического белка, вызывающего заболевание. | Профилактика включает своевременное лечение хронических воспалительных процессов с использованием антибактериальных препаратов (пенициллинов, цефтриаксона, стрептомицина, изониазида) до полного исчезновения симптомов и в течение определенного времени после выздоровления. |
Сколько живут люди с амилоидозом?
При выраженной клинической картине амилоидоза с полиорганной недостаточностью прогноз обычно неблагоприятен: более половины пациентов умирает в течение первого года после диагноза. Однако чаще заболевание выявляется на ранних стадиях. В таких случаях прогноз зависит от типа амилоидоза и степени поражения жизненно важных органов. Течение болезни у пожилых людей более тяжелое.
Факторы, влияющие на выживаемость пациентов с амилоидозом:
- Функция почек. Почечная недостаточность может привести к смерти в течение нескольких месяцев. Гемодиализ может продлить жизнь на 5 лет и более. Пересадка почки также эффективна, но в более чем половине случаев наблюдается отложение амилоида в донорском органе.
- Функция печени. При портальной гипертензии происходит расширение вен внутренних органов, что может привести к смертельному кровотечению. Без радикального вмешательства, например, пересадки печени, продолжительность жизни не превышает 1-2 лет.
- Функция сердца. При сердечной недостаточности VI степени большинство пациентов умирает в течение полугода. Пересадка сердца может продлить жизнь, если остальные органы функционируют нормально.
- Функция кишечника. При амилоидозе кишечника нарушение всасывания может быть критическим. Без специфического лечения, например, внутривенного питания, смерть может наступить через несколько недель из-за истощения.
В зависимости от типа заболевания выделяют:
- Идиопатический генерализованный амилоидоз. Причина неизвестна. Заболевание поражает все органы, быстро приводит к полиорганной недостаточности и летальному исходу. Через год после диагноза в живых остается 51 пациент из ста. Пятилетняя выживаемость составляет 16%, десятилетняя — не более 5%.
- Наследственный амилоидоз. При проявлении в раннем детском возрасте прогноз неблагоприятный. Смерть наступает из-за почечной недостаточности в течение нескольких лет после диагноза.
- Вторичный амилоидоз. Прогноз зависит от состояния внутренних органов. Основной причиной смерти является хроническая почечная недостаточность.
Локальные формы амилоидоза представляют собой опухолевидные образования различных размеров — от 1-2 до десятков сантиметров в диаметре. При своевременном хирургическом вмешательстве угроза для жизни минимальна.
Можно ли вылечить амилоидоз народными средствами?
Существуют народные средства, применяемые для лечения амилоидоза. Однако самостоятельное лечение может вызвать нежелательные последствия, поэтому перед использованием народных рецептов рекомендуется проконсультироваться с врачом.
При амилоидозе можно использовать:
-
Противовоспалительный травяной настой. В состав входят свежие цветки полевой ромашки, цветки бессмертника, трава зверобоя и березовые почки. Для приготовления настоя смешайте по 200 граммов каждого компонента, залейте литром кипятка, закройте крышкой и оставьте в темном месте на 5-6 часов. Принимайте по 200 мл один раз в день перед сном. Курс лечения — до 3 месяцев.
-
Настой из ягод рябины и черники. Смешайте по 100 граммов ягод, залейте литром кипятка, через полчаса процедите и дайте остыть. Принимайте по 100 мл три раза в день перед едой. Настой обладает противовоспалительными и вяжущими свойствами.
-
Настой из глухой крапивы. Это растение содержит дубильные вещества и аскорбиновую кислоту. Для настоя залейте 3-4 ложки измельченной травы 500 мл горячей воды (не кипятка) в термосе. Принимайте по 100 мл 4-5 раз в день.
-
Настой из плодов можжевельника. Обладает противовоспалительными и мочегонными свойствами. Для приготовления залейте 1 столовую ложку сушеных ягод 1 литром кипятка и настаивайте в темном месте 2-4 часа. Принимайте по 1 столовой ложке 3-4 раза в день перед едой.
-
Настойка травы посевного овса. Обладает противовоспалительными и тонизирующими свойствами. Для приготовления 200 мг измельченной травы залейте 70% спиртом и настаивайте в темном месте 3 недели, ежедневно взбалтывая. Процеженную настойку принимайте по 1 чайной ложке 3 раза в день, разбавляя в 100 мл теплой кипяченой воды.
Вопрос-ответ
Каковы причины амилоидоза?
Причиной локальной формы амилоидоза почек могут стать болезнь Альцгеймера, опухоли эндокринной системы, сахарный диабет. При локальном амилоидозе узелковые образования могут появляться в гортани, легких, на коже, языке, в мочевом пузыре.
Какой признак является наиболее ранним при амилоидозе?
Самый ранний этап болезни характеризуется увеличением холестерина в крови и первыми признаками легкого отека. Второй этап отличается сильными отеками, которые проявляются вследствие простудных заболеваний, как пневмония, тяжелая форма ОРВИ, инфекционная ангина и малярия.
Как диагностировать амилоидоз?
Наиболее часто для диагностики разных типов амилоидоза проводят биопсию слизистой оболочки прямой кишки, почки, печени. Биопсия слизистого и подслизистого слоев прямой кишки позволяет выявить амилоид у 70% больных, а биопсия почки – практически в 100% случаев.
Что такое амилоидоз?
Амилоидоз (амилоидная дистрофия) — нарушение белкового обмена, сопровождающееся образованием и отложением в тканях специфического белково-полисахаридного комплекса — амилоида.
Советы
СОВЕТ №1
Регулярно проходите медицинские обследования, особенно если у вас есть предрасположенность к заболеваниям, связанным с амилоидозом. Это поможет выявить патологию на ранних стадиях и начать лечение вовремя.
СОВЕТ №2
Обратите внимание на свои симптомы. Если вы замечаете необычные изменения в здоровье, такие как усталость, отеки или проблемы с сердцем, не откладывайте визит к врачу. Чем раньше будет поставлен диагноз, тем эффективнее будет лечение.
СОВЕТ №3
Изучите информацию о диете и образе жизни, которые могут помочь в управлении симптомами амилоидоза. Правильное питание и физическая активность могут значительно улучшить общее состояние здоровья и качество жизни.
СОВЕТ №4
Не стесняйтесь задавать вопросы своему врачу о диагнозе и вариантах лечения. Понимание своей болезни и доступных методов терапии поможет вам принимать более осознанные решения о своем здоровье.





