Что такое ангиография?
Ангиография – метод исследования сосудов с использованием рентгеновских лучей.
Принцип проведения исследования. В сосуд вводится рентгеноконтрастное вещество с йодом. Существует два основных способа введения:
- Пункция. Если сосуд близко к коже, контраст вводится шприцем.
- Катетеризация. Применяется при глубоком расположении сосуда. После местной анестезии делают небольшой разрез, находят сосуд и вводят интродьюсер – тонкую пластиковую трубку длиной около 10 см. Внутри интродьюсера перемещаются катетер и инструменты, что минимизирует травмы. Катетер – длинный тонкий «шланг» для введения контраста.
После введения контраст начинает распространяться по кровеносной системе: от крупных артерий к мелким артериолам, затем к капиллярам, венулам и крупным венам. В этот период выполняется серия рентгеновских снимков для оценки просвета сосудов. Скорость движения контраста указывает на скорость кровотока. Рентгеновская съемка осуществляется быстро, чтобы снизить дозу облучения.
Результаты ангиографии сохраняются на цифровом носителе, что позволяет пациенту передавать их другим специалистам для анализа.
Области применения ангиографии:
- Онкология – выявление опухолей и метастазов с разветвленной капиллярной сетью.
- Флебология – обнаружение сужений, закупорок вен, врожденных аномалий, тромбов и атеросклеротических изменений.
- Сосудистая хирургия – подготовка к операциям на сосудах, уточнение их расположения и структуры.
- Неврология – ангиография головного мозга выявляет аневризмы, гематомы, опухоли и места кровотечения при инсульте.
- Пульмонология – обнаружение пороков развития легких и источников кровотечения.
В зависимости от целей ангиография может быть:
- общей – исследуются все сосуды;
- избирательной – контрастируются только определенные сосуды.
Ангиография представляет собой важный диагностический метод, позволяющий визуализировать кровеносные сосуды и оценивать их состояние. Врачи отмечают, что данное исследование особенно полезно при подозрении на различные сосудистые заболевания. Показания к ангиографии включают хронические боли в конечностях, подозрения на атеросклероз, тромбообразование и другие сосудистые патологии.
Ангиография головного мозга помогает выявить аневризмы, стенозы и другие аномалии, что критично для предотвращения инсультов. Исследование сосудов нижних конечностей позволяет диагностировать периферическую артериальную болезнь, которая может привести к серьезным осложнениям, включая гангрену. Коронарная ангиография, в свою очередь, является ключевым методом для оценки состояния коронарных артерий, что особенно важно для пациентов с сердечно-сосудистыми заболеваниями. Врачи подчеркивают, что своевременная диагностика с помощью ангиографии может существенно повысить шансы на успешное лечение и улучшение качества жизни пациентов.

Как производится ангиография различных сосудов.
Ангиография сосудов осуществляется по единой методике
- Перед процедурой пациенту вводят транквилизатор и антигистаминное средство для снижения тревожности и предотвращения аллергии на контраст.
- Обрабатывается антисептиком область кожи для манипуляции.
- Подкожно вводится анестетик Лидокаин для обезболивания в месте прокола.
- Выполняется небольшой разрез для доступа к артерии.
- Устанавливается интродьюсер — короткая полая трубка.
- В сосуд вводится раствор Новокаина для предотвращения спазмов и снижения раздражения от контраста.
- В интродьюсер помещается катетер (тонкая гибкая трубка диаметром 1,5-2 мм), который продвигается к устью сосуда под контролем рентгеновского аппарата.
- Вводится контрастное вещество (Гипак, Урографин, Кардиотраст, Трийотраст), после чего проводится рентгенографическое исследование. При необходимости этот этап может повторяться 2-3 раза.
- Удаляется катетер, останавливается кровотечение.
- Накладывается стерильная давящая повязка.
- Рекомендуется соблюдать постельный режим в течение 6-10 часов для предотвращения тромбообразования.
Место для введения катетера выбирается близко к исследуемой области, что минимизирует травматизацию сосудов и количество контраста.
Процедура выполняется командой специалистов: рентгенолога, анестезиолога и кардиореаниматолога.
| Тип ангиографии | Показания | Выявляемые заболевания |
|---|---|---|
| Ангиография головного мозга | Головная боль, головокружение, подозрение на аневризму, артериовенозную мальформацию, стеноз или окклюзию сосудов головного мозга, транзиторная ишемическая атака (ТИА), инсульт. | Аневризмы, артериовенозные мальформации, атеросклероз, стеноз и окклюзия артерий и вен головного мозга, тромбы, эмболии. |
| Ангиография сосудов нижних конечностей | Хроническая ишемия нижних конечностей, боль в ногах при ходьбе (перемежающаяся хромота), язвы, гангрена, подозрение на тромбоз глубоких вен, аневризмы, артериовенозные фистулы. | Атеросклероз, тромбоз, эмболия, аневризмы, артериовенозные фистулы, варикозное расширение вен, облитерирующий эндартериит. |
| Коронароангиография | Боль в груди (стенокардия), подозрение на ишемическую болезнь сердца, оценка эффективности предыдущего лечения (стентирование, шунтирование), планирование коронарного шунтирования. | Атеросклероз коронарных артерий, стеноз и окклюзия коронарных артерий, аневризмы коронарных артерий, спазм коронарных артерий. |
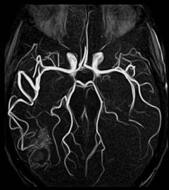
Ангиография головного мозга
Ангиография головного мозга, или церебральная ангиография – метод исследования сосудов головы для выявления патологий мозга.
Где вводят контрастное вещество? Процедура начинается с катетеризации плечевой, локтевой, подключичной или правой бедренной артерии. Катетер продвигается до места разветвления сосудов мозга, где вводится контрастное вещество.
Когда выполняется рентгенография? После первой порции контраста делают рентгеновскую съемку головы в нескольких проекциях (спереди и сбоку). Снимки анализируются сразу. Для исследования более удаленных участков вводится новая порция контраста, и съемка повторяется. Когда контраст проходит через ткани и попадает в вены, выполняется следующая серия снимков. На этом этапе катетер или пункционная игла удаляются, и процедура завершается.
Какие ощущения могут возникнуть во время процедуры? При катетеризации пациенту делают местную анестезию для обезболивания места введения. Боли при продвижении катетера не возникает, так как внутренние стенки сосудов не имеют болевых рецепторов. При введении контрастного вещества может появиться металлический привкус, ощущение тепла и покраснение лица. Эти симптомы обычно проходят через несколько минут.
Ангиография — это метод визуализации сосудов, который позволяет получить детальные изображения кровеносных сосудов с помощью рентгеновского излучения и контрастного вещества. Этот диагностический процесс широко используется для выявления различных заболеваний, таких как атеросклероз, тромбы, аневризмы и другие сосудистые патологии.
Показания к ангиографии могут включать подозрения на ишемическую болезнь сердца, инсульт, а также боли в ногах, связанные с нарушением кровообращения. Ангиография головного мозга помогает выявить причины инсульта или мигрени, а исследование сосудов нижних конечностей позволяет диагностировать облитерирующий атеросклероз. Коронарная ангиография, в свою очередь, используется для оценки состояния коронарных артерий и определения необходимости в хирургическом вмешательстве.
Многие пациенты отмечают, что процедура проходит быстро и безболезненно, а полученные результаты помогают врачам точно ставить диагноз и назначать эффективное лечение.

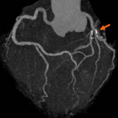
Ангиография коронарных сосудов или коронарография
Ангиография коронарных сосудов, или коронарография – метод исследования коронарных сосудов сердца.
Где вводят контрастное вещество? Для анализа коронарных артерий вводят катетер в бедренную артерию в паху или в лучевую артерию на запястье. Под контролем рентгеновского оборудования катетер продвигается до аорты, от которой отходят коронарные артерии. Когда трубка достигает нужных сосудов, через нее вводят рентгеноконтрастное вещество поочередно в левую и правую коронарные артерии.
Когда выполняется рентгеновская съемка? Контрастное вещество заполняет просвет сосудов сердца за считанные секунды. В этот момент делают серию снимков под разными углами.
Какие ощущения могут возникнуть во время процедуры? При заполнении сосудов контрастным веществом может возникнуть временное ощущение тепла, особенно в области лица. Если катетер касается стенки сердца, могут наблюдаться нарушения сердечного ритма. Из-за снижения артериального давления пациент может почувствовать головокружение. Иногда возникают кашель и тошнота. Обязательно сообщайте о своих ощущениях; медицинский персонал поможет справиться с побочными эффектами.
Ангиография сосудов конечностей
Ангиография сосудов конечностей — это диагностика артерий и вен верхних и нижних конечностей.
Где вводится контрастное вещество? Для исследования верхних конечностей 10-15 мл контрастного вещества вводят в плечевую артерию. Для нижних конечностей катетер помещается в бедренную артерию или брюшную аорту. При необходимости контрастирования сосудов голени и стопы выполняется пункция задней большеберцовой артерии.
Как осуществляется рентгенография? После заполнения сосудов контрастом проводят серийную рентгенографию с использованием двух рентгеновских трубок, расположенных перпендикулярно друг к другу, которые включаются одновременно с определенными интервалами.
Какие ощущения могут возникнуть во время процедуры? Благодаря местной анестезии введение катетера безболезненно. При введении контрастного вещества может возникнуть ощущение жара и металлический привкус во рту.
| Патология | Цель назначения | Признаки заболевания |
| Аневризма | Выявить сосудистую патологию, способную привести к инсульту | Мешковидное выпячивание в стенке артерии головного мозга |
| Ангиома | Определить наличие сосудистой опухоли | Сплетение расширенных кровеносных сосудов или губчатые полости, заполненные контрастом |
| Ишемический инсульт (инфаркт) головного мозга | Оценить необходимость тромболизиса | Закупорка артерии более чем на 95% |
| Геморрагический инсульт | Найти источник кровоизлияния в мозг | Разрыв сосуда с выходом контрастного вещества |
| Сосудистая мальформация | Определить место патологии и источник кровотечения | Прямое перетекание контрастного вещества из артерии в вену, минуя капилляры; выход контраста через стенку сосуда; скопление аномальных сосудов |
| Черепно-мозговая травма | Оценить последствия травмы | Расширение вен мозга; замедление кровотока; длительный застой контрастного вещества в сосудах |
| Гематома | Определить размеры и локализацию гематомы | Медленное пропитывание контрастом участка мозга; кайма от свода черепа до основания в пораженном полушарии |
| Опухоль головного мозга | Оценить характер и размер опухоли | Злокачественные опухоли имеют разветвленную сосудистую сеть и хороший кровоток; доброкачественные опухоли содержат меньше новообразованных сосудов |
| Патология | Цель назначения | Признаки заболевания |
| Атеросклеротическая болезнь артерий нижних конечностей | Определить степень сужения сосудов | Локальные сужения артерий длиной несколько мм; неровные внутренние контуры сосудов; при запущенном процессе просвет артерии полностью перекрыт, и контраст проходит обходными путями через мелкие артерии |
| Облитерирующий эндартериит или синдром диабетической стопы | Оценить степень поражения сосудов нижних конечностей | Деформация стенок сосудов стопы; тромбы, сужающие просвет артерий; замедление кровотока в голени и стопе; слабая визуализация контраста в дистальных отделах сосудов |
| Тромбоз или тромбоэмболия артерий, тромбофлебит | Определить местоположение и размер тромба, степень сужения артерий | Сужение просвета сосудов или полная закупорка; появление обходных путей |
| Травмы с повреждением сосудов | Определить наличие деформации сосуда | Сдавливание сосуда, уменьшение его просвета; выход контрастного вещества в окружающие ткани при разрыве сосуда |
| Расслаивающаяся аневризма артерий | Определить место дефекта стенки артерии и протяженность расслоения | Расслоение стенки артерии с образованием ложного канала, куда попадает контраст; деформированные контуры артерий |
| Контроль эффективности лечения | Оценить результаты: уменьшился ли тромб или атеросклеротические отложения, нормализовался ли просвет сосуда после операции | Сужение просвета; закупорка сосуда |
| Патология | Цель назначения | Признаки заболевания |
| Ишемическая болезнь сердца | Определить степень поражения сосудов сердца | Локальное или обширное сужение просвета сосуда; закупорка сосуда (окклюзия) |
| Инфаркт | Выявить участок нарушения кровообращения и степень закупорки артерий | Закупорка сосуда, резкое прекращение его тени; отсутствие пульсации сердечной стенки на пораженном участке |
| Атеросклероз коронарных артерий | Определить степень и распространенность процесса | Отложение атеросклеротических бляшек в местах разветвления артерий; сужение сосуда на ограниченном или протяженном участке; неровный контур сосуда |
| Врожденные патологии коронарных сосудов | Определить вид патологии и необходимость хирургического вмешательства | Выпячивание стенки артерии; аномальное расположение коронарных артерий; участки сужения, расширения или извивистости артерии |
На консультации с врачом сообщите о хронических заболеваниях и принимаемых лекарствах. Возможно, некоторые из них придется отменить. Укажите на аллергические реакции на йодсодержащие препараты, обезболивающие или транквилизаторы. Также важно уведомить врача о беременности, так как рентгеновское излучение может быть опасно для плода; предпочтительнее провести МРТ-ангиографию.
Этапы подготовки к ангиографии
- За две недели до исследования исключить алкоголь.
- За неделю до процедуры временно прекратить прием разжижающих кровь препаратов (Аспирин, Варфарин).
- За 3-5 дней сдать необходимые анализы и пройти исследования:
- Электрокардиограмма
- Флюорография
- УЗИ сердца (перед коронарографией)
- Общий и биохимический анализ крови
- Определение группы крови и резус-фактора
- Коагулограмма – определение свертываемости крови
- Анализ крови на ВИЧ, гепатит В и С, сифилис
- За 1-2 дня провести пробу на переносимость контрастного вещества. Обычно используются водорастворимые йодистые соединения. Внутривенно вводят 0,1 мл раствора для контрастирования. При аллергических реакциях (конъюнктивит, ринит, крапивница, нарушения сердечного ритма) процедуру не проводят.
- Накануне исследования очистить кишечник с помощью клизмы или глицериновых свечей, так как во время и после процедуры необходимо будет долго оставаться в лежачем положении.
- Вечером перед процедурой принять душ и удалить волосы в области прокола.
- На ночь принять транквилизаторы, рекомендованные врачом, для успокоения и хорошего сна. Также врач может назначить антигистаминные препараты для профилактики аллергии.
- В день исследования не есть и не пить, так как при введении контрастного вещества возможны тошнота и рвота.
- Непосредственно перед процедурой необходимо опустошить мочевой пузырь.
Подготовка для людей с хроническими заболеваниями имеет свои особенности.
- При гипертонии необходимо нормализовать давление с помощью эффективных препаратов: Дибазол, Гемитон, Раунатин.
- При нарушениях сердечного ритма применяют препараты калия: Панангин или хлорид калия. Также эффективны сердечные гликозиды – Строфантин, Обзидан.
- При ишемической болезни и болях в сердце назначают нитраты: Сустак, Эринит, Нитроглицерин под язык.
- При заболеваниях почек необходимо провести гидратацию организма – насыщение его водой. Это снизит раздражение почек от контрастного вещества и ускорит его выведение.
- При хронических воспалительных процессах (бронхит, тонзиллит, гайморит) назначают антибиотики широкого спектра действия и сульфаниламидные препараты на 10-14 дней.
| Симптом | Как проявляется | О какой патологии свидетельствует |
| Патологические атрио-венозные сообщения | Переход контрастного вещества из артерий в вены, минуя капилляры | Врожденная сосудистая патология |
| Отсутствие визуализации отдельных артерий или их частей | Изображение сосуда резко прерывается | Атеросклероз, тромбоз артерий |
| Сужение венозных синусов | Сужение просвета венозных синусов – пространств между листками твердой мозговой оболочки | Последствия черепно-мозговой травмы, тромбоз венозного синуса |
| Снижение кровотока на отдельных участках | Контрастное вещество распространяется медленнее по суженным артериям | Атеросклеротическое поражение сосудов головного мозга, сдавливание сосудов отечной тканью после воспалительных процессов и черепно-мозговых травм, ишемия головного мозга |
| Кровоизлияние в мозг | Лопнувший сосуд определяется по выходу контрастного вещества в окружающую ткань | Аневризма артерии мозга, геморрагический инсульт, черепно-мозговая травма, гематома |
| Неровные контуры магистральных артерий | Неровные контуры сосудов из-за пристеночных отложений, выпячивание стенки сосудов | Аневризма, атеросклероз, образование пристеночных тромбов, врожденные сосудистые патологии |
Интерпретация результатов ангиографии должна проводиться опытным специалистом. В сложных случаях пациента направляют к сосудистому хирургу, который на основе данных исследования и симптомов ставит диагноз и назначает лечение.
| Симптом | Как проявляется | О какой патологии свидетельствует |
| Окклюзия (закупорка вен и артерий) | Из-за закупорки сосуда контрастное вещество не проходит по его руслу | Тромбоз, тромбофлебит, тромбоэмболия |
| Стеноз | Сужение просвета сосуда на 30-90% | Атеросклероз, острая и хроническая ишемическая болезнь, сдавливание сосуда опухолью или гематомой, тромбоз, тромбофлебит, артериит, флебит, эндартериит, врожденные сосудистые патологии |
| Расширения сосудов | Участки расширения сосудов, извивистость сосудов, выпячивание стенки сосуда | Варикозная болезнь, врожденные патологии, аневризмы |
| Сосудистые мальформации | Участок аномальной разветвленности или извивистости сосуда, перетекание контрастного вещества в другую артерию, вену или лимфатический сосуд, полости, заполненные контрастом | Врожденные аномалии строения кровеносных сосудов |
| Симптом | Как проявляется | О какой патологии свидетельствует |
| Окклюзия (закупорка) коронарной артерии | Закупорка сосуда, сужение его просвета более чем на 90% | Тромбоз коронарных сосудов, эмболия, атеросклероз |
| Стеноз | Сужение просвета сосуда на 30-90% | Атеросклероз, ишемическая болезнь сердца, гематома после травмы грудной клетки или операции на сердце, артериит, миокардит, врожденные аномалии коронарных сосудов |
| Устьевой стеноз | Сужение в пределах 3 мм от начала сосуда | Атеросклероз коронарных сосудов, артериит, тромбоз |
| Аномалии развития коронарных сосудов | Извивистость, сужение, расширение артерий и вен, переход контрастного вещества из одного сосуда в другой, аномальное расположение коронарных сосудов | Сосудистые мальформации, пороки сердца, аневризма коронарных артерий |
| Кальциноз коронарных артерий | Сужение просвета сосудов из-за отложения кальция на стенках | Эндокардит, последствия атеросклероза |
| Аневризма | Выпячивание стенки артерии | Атеросклероз, фибромускулярная дисплазия, эндокардит, последствия травмы грудной клетки |
Ангиография не рекомендуется, если процедура может ухудшить состояние пациента или вызвать осложнения.
- Острые инфекционные и воспалительные заболевания. Активное воспаление может привести к попаданию в кровь большого количества бактерий и вирусов, что увеличивает риск воспаления сосудов (артериит, флебит) и нагноения в месте введения катетера.
- Психические заболевания. Пациент должен находиться в сознании и выполнять указания врачей, что может быть невозможно при психических расстройствах. Стресс во время процедуры может ухудшить состояние.
- Выраженная сердечная недостаточность. Во время ангиографии могут наблюдаться колебания артериального давления и перебои в работе сердца.
- Почечная недостаточность. Контрастное вещество может раздражать почки, а нарушение выведения мочи приводит к задержке препарата в организме.
- Декомпенсированная печеночная недостаточность. Стресс и введение контрастного вещества могут спровоцировать печеночную кому.
- Аллергия на йод. При индивидуальной непереносимости могут развиться тяжелые аллергические реакции: токсический буллезный дерматит, отек Квинке, анафилактоидный шок.
- Нарушения свертываемости крови. При низкой свертываемости повышается риск кровотечений, при высокой – может образоваться тромб.
- Тромбофлебит. При воспалении вены контрастное вещество может усилить воспаление и стать причиной закупорки сосуда или отрыва тромба.
- Беременность. Рентгеновское излучение может вызвать аномалии развития у плода.
При наличии противопоказаний к ангиографии, ее можно заменить МРТ или ультразвуковым исследованием сосудов.

Показания для ангиографии головного мозга
| Патология | Цель исследования | Симптомы заболевания |
| Аневризма | Обнаружить сосудистую патологию, способную вызвать инсульт | Мешковидное выпячивание в стенке артерии головного мозга |
| Ангиома | Выявить сосудистую опухоль | Сплетение расширенных сосудов или губчатые полости с контрастным веществом |
| Ишемический инсульт (инфаркт) головного мозга | Определить необходимость тромболизиса | Закупорка артерии более чем на 95% |
| Геморрагический инсульт | Установить источник кровоизлияния в мозг | Разрыв сосуда с излиянием контрастного вещества |
| Сосудистая мальформация | Определить локализацию патологии и источник кровотечения | Прямой переход контрастного вещества из артерии в артерию или вену, минуя капилляры; выход контрастного вещества через стенку сосуда; скопление аномальных сосудов в области мальформации |
| Черепно-мозговая травма | Оценить последствия травмы | Расширение поверхностных вен мозга; замедление кровотока; задержка контрастного вещества в сосудах |
| Гематома | Определить локализацию и размеры гематомы | Участок мозговой ткани медленно насыщается контрастом; кайма различной ширины от свода черепа до основания в пораженном полушарии |
| Опухоль головного мозга | Определить тип и размеры опухоли | Злокачественные опухоли имеют разветвленную сосудистую сеть и хороший кровоток; доброкачественные опухоли содержат меньше новообразованных сосудов |
Показания для ангиографии сосудов конечностей
| Патология | Цель исследования | Симптомы заболевания |
| Атеросклероз артерий нижних конечностей | Оценить степень сужения сосудов | Локальные сужения артерий длиной несколько миллиметров, неровные внутренние контуры. В запущенной стадии просвет артерии полностью перекрыт, контраст проходит через обходные пути по мелким артериям. |
| Облитерирующий эндартериит или диабетическая стопа | Определить степень поражения сосудов нижних конечностей | Деформация стенок сосудов стопы, наличие тромбов, сужающих просвет артерий, замедленный кровоток в голени и стопе. Контраст плохо визуализируется в дистальных отделах сосудов. |
| Тромбоз, тромбоэмболия артерий, тромбофлебит | Установить местоположение тромба, его размеры и степень сужения артерий | Сужение просвета сосудов или полная закупорка, появление обходных сосудистых путей. |
| Травмы с повреждением сосудов | Определить наличие деформации сосуда | Сдавливание сосуда, уменьшение его просвета, выход контрастного вещества в окружающие ткани при разрыве сосуда. |
| Расслаивающаяся аневризма артерий | Установить место дефекта стенки артерии и протяженность расслоения | Расслоение стенки артерии с образованием ложного канала, куда проникает контрастное вещество, деформация контуров артерий. |
| Контроль эффективности хирургического и медикаментозного лечения | Оценить результаты лечения: уменьшились ли тромбы или атеросклеротические отложения, нормализовался ли просвет сосуда после операции | Сужение просвета, закупорка сосуда. |
Показания для ангиографии коронарных сосудов
| Патология | Цель исследования | Симптомы заболевания |
| Ишемическая болезнь сердца | Оценить поражение сердечных сосудов | Сужение просвета сосуда, полная закупорка (окклюзия) |
| Инфаркт | Определить область нарушения кровообращения и степень закупорки артерий | Закупорка сосуда, резкое исчезновение его тени, отсутствие пульсации сердечной стенки в пораженной области |
| Атеросклероз коронарных артерий | Оценить степень и распространенность заболевания | Накопление атеросклеротических бляшек в местах разветвления артерий, сужение сосуда, неровный контур сосуда |
| Врожденные аномалии коронарных сосудов | Установить тип патологии и необходимость операции | Выпячивание стенки артерии, аномальное расположение коронарной артерии, участки сужения, расширения или извитости артерии |
Подготовка к ангиографии
На консультации с врачом сообщите о хронических заболеваниях и всех принимаемых лекарствах. Возможно, некоторые из них нужно будет отменить.
Укажите, если у вас были аллергические реакции на йодсодержащие препараты, обезболивающие, транквилизаторы или другие медикаменты.
Также уведомите врача о наличии или предполагаемой беременности. Рентгеновское излучение может быть опасно для плода, поэтому лучше пройти МРТ-ангиографию.
Этапы подготовки к ангиографии
- За две недели до процедуры исключите алкоголь.
- За неделю до исследования временно прекратите прием антикоагулянтов (Аспирин, Варфарин).
- За 3-5 дней до ангиографии сдайте необходимые анализы и пройдите обследования:
- Электрокардиограмма
- Флюорография
- УЗИ сердца (перед коронарографией)
- Общий и биохимический анализ крови
- Определение группы крови и резус-фактора
- Коагулограмма (анализ на свертываемость крови)
- Анализ на ВИЧ, гепатиты В и С, сифилис
- За 1-2 дня до процедуры проведите тест на переносимость контрастного вещества. Обычно используются водорастворимые йодистые соединения. Внутривенно вводят 0,1 мл раствора контрастного препарата. Если возникают аллергические реакции (конъюнктивит, ринит, крапивница, нарушения сердечного ритма), процедуру отменяют.
- Накануне исследования очистите кишечник с помощью клизмы или глицериновых свечей, так как потребуется длительное лежачее положение.
- Вечером перед исследованием примите душ и удалите волосы в области прокола.
- На ночь примите транквилизаторы, рекомендованные врачом, для успокоения и хорошего сна. Также могут быть назначены антигистаминные препараты для профилактики аллергии.
- В день исследования не ешьте и не пейте, так как введение контрастного вещества может вызвать тошноту и рвоту.
- Непосредственно перед процедурой опустошите мочевой пузырь.
Подготовка пациентов с хроническими заболеваниями имеет свои особенности.
- При гипертонии важно нормализовать артериальное давление. Используйте подходящие препараты: Дибазол, Гемитон, Раунатин.
- При нарушениях сердечного ритма назначают препараты калия (Панангин, хлорид калия) и сердечные гликозиды (Строфантин, Обзидан).
- При ишемической болезни и болях в сердце применяют нитраты (Сустак, Эринит, Нитроглицерин под язык).
- При заболеваниях почек обеспечьте достаточное поступление жидкости для предотвращения раздражающего действия контрастного вещества на почки и ускорения его выведения.
- При хронических воспалительных заболеваниях (бронхит, тонзиллит, гайморит) назначают антибиотики широкого спектра и сульфаниламидные препараты. Курс лечения составляет 10-14 дней.
Расшифровка ангиографии сосудов головного мозга
| Симптом | Как проявляется | О какой патологии свидетельствует |
| Аномальные атрио-венозные соединения | Контрастное вещество перемещается из артерий в вены, минуя капилляры | Врожденные сосудистые аномалии |
| Отсутствие четкой визуализации артерий или их сегментов | Изображение сосуда внезапно обрывается | Атеросклероз, тромбоз артерий |
| Сужение венозных синусов | Уменьшение диаметра венозных синусов между слоями твердой мозговой оболочки | Последствия черепно-мозговой травмы, тромбоз венозного синуса |
| Снижение кровотока в отдельных участкахСужение сосудов | Контрастное вещество движется медленнее по суженным артериям | Атеросклероз сосудов головного мозга, сдавление сосудов отечной тканью после воспалений и травм, ишемия головного мозга |
| Кровоизлияние в мозговую ткань | Лопнувший сосуд определяется по выходу контрастного вещества в окружающие ткани | Аневризма мозговой артерии, геморрагический инсульт, черепно-мозговая травма, гематома |
| Неровные контуры крупных артерий | Неровные контуры сосудов из-за отложений на стенках, выпячивание стенок сосудов | Аневризма, атеросклероз, образование тромбов, врожденные сосудистые аномалии головного мозга |
Интерпретацию результатов ангиографии должен проводить квалифицированный специалист. В сложных случаях пациента могут направить к другому сосудистому хирургу, который на основе данных и клинических проявлений устанавливает диагноз и назначает лечение.
Расшифровка ангиографии сосудов конечностей
| Симптом | Как проявляется | О какой патологии свидетельствует |
| Окклюзия (закупорка вен и артерий) | Контрастное вещество не проходит по закупоренному сосуду | Тромбоз, тромбофлебит, тромбоэмболия |
| Стеноз | Сужение просвета сосуда на 30-90% | Атеросклероз, ишемическая болезнь, сдавление сосуда опухолью или гематомой, тромбоз, тромбофлебит, артериит, флебит, эндартериит, врожденные сосудистые патологии |
| Расширения сосудов | Участки расширения, извивистость сосудов, выпячивание стенки | Варикозная болезнь, врожденные аномалии, аневризмы |
| Сосудистые мальформации | Аномальная разветвленность или извивистость сосуда, перетекание контрастного вещества в другую артерию, вену или лимфатический сосуд, полости с контрастным веществом | Врожденные аномалии строения кровеносных сосудов |
Расшифровка ангиографии коронарных сосудов
| Симптом | Как проявляется | О какой патологии свидетельствует |
| Закупорка коронарной артерии | Полная или частичная блокировка сосуда, сужение более 90% | Тромбоз, эмболия, атеросклероз |
| Стеноз | Сужение сосуда на 30-90% | Атеросклероз, ишемическая болезнь сердца, гематома после травмы или операции, артериит, миокардит, врожденные аномалии |
| Устьевой стеноз | Сужение в пределах 3 мм от начала сосуда | Атеросклероз, артериит, тромбоз |
| Аномалии коронарных сосудов | Извивистость, сужение или расширение артерий и вен, аномальное расположение сосудов | Сосудистые мальформации, пороки сердца, аневризма |
| Кальциноз коронарных артерий | Сужение сосудов из-за отложения кальция | Эндокардит, последствия атеросклероза |
| Аневризма | Выпячивание стенки артерии | Атеросклероз, фибромускулярная дисплазия, эндокардит, последствия травмы |
Противопоказания для ангиографии
Ангиография противопоказана в ситуациях, когда она может ухудшить состояние пациента или вызвать осложнения.
- Острые инфекционные и воспалительные заболевания. Активное воспаление может привести к попаданию бактерий и вирусов в кровоток, увеличивая риск воспаления сосудов (артериит, флебит) и гнойных образований в месте введения катетера.
- Психические расстройства. Пациент должен быть в сознании и следовать указаниям врачей, что может быть затруднительно при психических заболеваниях. Стресс во время процедуры может ухудшить состояние.
- Выраженная сердечная недостаточность. Ангиография может вызвать колебания артериального давления и нарушения сердечного ритма из-за стресса.
- Почечная недостаточность. Контрастное вещество может негативно повлиять на почки, а проблемы с мочеиспусканием могут привести к накоплению препарата в организме.
- Декомпенсированная печеночная недостаточность. Стресс и введение контрастного вещества могут спровоцировать печеночную кому.
- Аллергия на йодсодержащие препараты. Индивидуальная непереносимость может вызвать серьезные аллергические реакции, такие как токсический буллезный дерматит, отек Квинке или анафилактоидный шок.
- Нарушения свертываемости крови. Пониженная свертываемость увеличивает риск кровотечений, а повышенная – вероятность тромбообразования.
- Тромбофлебит. Воспаление вены может усугубляться введением контрастного вещества, что увеличивает риск закупорки сосуда или отрыва тромба.
- Беременность. Рентгеновское излучение может вызвать аномалии развития у плода.
При противопоказаниях к ангиографии возможны альтернативы, такие как МРТ или ультразвуковое исследование сосудов.
Вопрос-ответ
Что такое ангиография и как она проводится?
Ангиография — это медицинская процедура, которая используется для визуализации кровеносных сосудов с помощью рентгеновских лучей и контрастного вещества. Процедура начинается с введения контрастного препарата в сосуды через катетер, после чего выполняются рентгеновские снимки, позволяющие увидеть состояние сосудов и выявить возможные патологии.
Какие заболевания можно выявить с помощью ангиографии?
Ангиография позволяет диагностировать различные заболевания, такие как атеросклероз, тромбы, аневризмы, стенозы и другие сосудистые патологии. Она также может помочь в оценке состояния сосудов при диабете и гипертонии, а также в планировании хирургических вмешательств.
Когда рекомендуется проводить ангиографию головного мозга?
Ангиография головного мозга рекомендуется при подозрении на инсульт, аневризмы, сосудистые мальформации или другие нарушения кровообращения в мозге. Она также может быть полезна для оценки состояния сосудов у пациентов с мигренью или другими неврологическими симптомами.
Советы
СОВЕТ №1
Перед проведением ангиографии обязательно проконсультируйтесь с врачом. Обсудите все свои медицинские истории, аллергии и принимаемые лекарства, чтобы избежать возможных осложнений.
СОВЕТ №2
Подготовьтесь к процедуре заранее. В зависимости от типа ангиографии, вам может потребоваться воздержаться от еды и питья за несколько часов до исследования. Убедитесь, что вы следуете всем указаниям врача.
СОВЕТ №3
После ангиографии следите за своим состоянием. Обратите внимание на любые необычные симптомы, такие как сильная боль, отек или покраснение в области прокола. Если что-то вас беспокоит, немедленно обратитесь к врачу.
СОВЕТ №4
Не забывайте о важности последующего наблюдения. Ангиография может выявить серьезные заболевания, поэтому важно следовать рекомендациям врача по дальнейшим обследованиям и лечению.





