Анатомия суставов пальцев ног
Пальцы ног состоят из трех фаланг, кроме большого пальца, у которого две. Проксимальная фаланга соединяется с головками плюсневых костей, а дистальная находится на конце. Между ними располагается промежуточная фаланга.
Фаланги представляют собой тонкие трубчатые кости. На подошвенной стороне дистальных фаланг есть бугристость для прикрепления связок и сухожилий. Рядом с плюснефаланговым суставом находится сесамовидная кость.
Существует два типа суставов пальцев стопы: плюснефаланговые и межфаланговые.
Плюснефаланговые суставы образуются суставными поверхностями головок плюсневых костей и основаниями проксимальных фаланг. Они имеют шаровидную форму, что позволяет выполнять сгибание, боковое смещение и небольшое вращение. Исключение составляет плюснефаланговый сустав большого пальца, который блоковидный и допускает только сгибание и разгибание. Суставные капсулы состоят из плотной соединительной ткани и прикрепляются по краям суставных поверхностей. Подошвенная часть капсул прочнее благодаря подошвенным связкам, а с боков капсула поддерживается коллатеральными связками.
Межфаланговые суставы формируются суставными поверхностями головок близко расположенных фаланг и основаниями более удаленных. Все они блоковидные и позволяют только сгибание и разгибание. Суставные капсулы прикрепляются к краям суставных поверхностей и тоньше капсул плюснефаланговых суставов. Снизу и по бокам капсула укрепляется подошвенными и коллатеральными связками.
Важно отметить суставной хрящ, суставную капсулу и синовиальную жидкость, так как их строение обеспечивает стабильность функционирования сочленения.
Суставной хрящ состоит из хондроцитов и хондробластов, которые выделяют в межклеточную жидкость вещества (протеогликаны, гликопротеины, хондроитина сульфат и др.), придающие хрящевой ткани упругость. Хрящ получает питательные вещества как из капиллярной сети подхрящевой основы, так и из синовиальной жидкости. Благодаря этому хрящи выполняют амортизационную функцию и снижают трение в суставах.
Суставная капсула — двухслойная оболочка, окружающая сустав. Внутренний слой, синовиальная оболочка, состоит из многослойного призматического эпителия, синтезирующего синовиальную жидкость. Наружный слой — плотная соединительная ткань с высокой прочностью на сжатие. Синовиальная жидкость содержит аминокислоты и микроэлементы, которые проникают в хрящ через диффузию и питают его. Она также смазывает суставные поверхности, улучшая их скольжение.
Боль в суставах пальцев ног может быть вызвана различными факторами, и врачи подчеркивают важность своевременной диагностики. Одной из распространенных причин является остеоартрит, который приводит к износу хрящевой ткани и вызывает хроническую боль. Также стоит учитывать подагру, связанную с накоплением мочевой кислоты, что приводит к острым приступам боли и отечности. Врачи отмечают, что воспалительные заболевания, такие как артрит, могут вызывать дискомфорт и ограничение подвижности. Для облегчения состояния рекомендуется применять противовоспалительные препараты, физиотерапию и, в некоторых случаях, изменение образа жизни. Важно не игнорировать симптомы и обращаться к специалисту для определения точной причины болей и назначения адекватного лечения.

Какие структуры могут воспаляться в суставе?
Боли в суставах пальцев ног могут возникать не только из-за повреждения суставов, но и из-за воспаления соседних структур.
В суставе могут воспаляться:
- суставной хрящ;
- синовиальная оболочка.
Боли могут быть следствием воспалительных процессов в тканях, не связанных с суставами.
Внесуставные структуры, вызывающие боль в области суставов:
- надкостница трубчатых костей;
- костный мозг;
- сухожилия пальцев ног;
- синовиальные влагалища сухожилий;
- мягкие ткани пальцев.
Основной причиной болей в суставах пальцев ног является воспаление, которое может развиваться под воздействием различных факторов. Ключевыми механизмами воспаления являются физическое воздействие (травма), инфекция, аутоиммунные реакции, метаболические нарушения и другие.
Важно помнить, что боли могут быть вызваны не только заболеваниями суставов, но и повреждением окружающих анатомических структур. Далее причины болей будут разделены на патологии, связанные с повреждением суставного аппарата, и патологии, затрагивающие околосуставные структуры.
Причины болей в суставах:
- травматическое растяжение связок;
- ревматическое поражение;
- деформирующий артроз;
- ношение тесной обуви;
- обострение подагры;
- псориатический полиартрит;
- гемартроз;
- инфекционный артрит;
- острые аллергические состояния;
- туберкулезный артрит;
- диабетическая артропатия;
- синовит;
- эндокринная артралгия;
- неспецифический язвенный колит и другие.
Травматическое растяжение связок
Суставные капсулы пальцев ног имеют различную толщину. Это связано с поддержкой подошвенными и коллатеральными связками. Если после травмы стопы эти связки растягиваются или разрываются, повреждается и внешняя оболочка суставной капсулы. Это вызывает воспаление и отек, что приводит к раздражению болевых рецепторов.
Ревматическое поражение суставов
Ревматическое поражение происходит по аутоиммунным механизмам. Иммунная система, сталкиваясь с чуждыми тканями, начинает атаковать и свои собственные. Примером является ревматоидный артрит, поражающий мелкие суставы. Заболевание может развиваться после перенесенной ангины, вызванной бета-гемолитическим стрептококком.
Деформирующий артроз
Деформирующий артроз — это дегенеративное заболевание хрящевой ткани, чаще всего поражающее крупные суставы, но в тяжелых случаях и мелкие. С возрастом хрящевая ткань теряет упругость, что приводит к ухудшению ее питания и разрушению.
Ношение тесной обуви
Некоторые выбирают обувь меньшего размера, что негативно сказывается на здоровье суставов. Тесная обувь сжимает мягкие ткани пальцев, нарушая кровоснабжение и питание суставных хрящей, что может привести к воспалению.
Обострение подагры
Подагра связана с нарушением обмена пуринов, что приводит к избытку мочевой кислоты, кристаллизующейся в тканях и вызывающей артрит. Обычно поражается один крупный сустав, часто сустав большого пальца ноги.
Псориатический полиартрит
Развивается на фоне псориаза. Поражение суставов обычно возникает после проявления кожных симптомов. Признаки включают асимметричное поражение суставов и изменение цвета кожи над ними.
Гемартроз
Гемартроз — это заполнение суставной полости кровью, что может произойти из-за травмы или заболеваний, предрасполагающих к этому состоянию, таких как гемофилия.
Инфекционный артрит
Развивается при инфекционных заболеваниях, когда возбудитель проникает в ткани сустава, вызывая воспаление. Наиболее часто инфекционные артриты возникают при сепсисе.
Острые аллергические состояния
Аллергия может проявляться воспалением суставов, например, при сывороточной болезни, когда иммунные комплексы оседают на эндотелии сосудов синовиальной оболочки.
Туберкулезный артрит
Поражение суставов может происходить через прямое проникновение возбудителя или через токсико-аллергическую реакцию. Обычно поражается один сустав, но возможен полиартрит.
Диабетическая артропатия
Это позднее осложнение сахарного диабета, чаще затрагивающее суставы стоп. Механизм связан с нарушениями углеводного обмена и ухудшением кровоснабжения.
Синовит
Синовит — это воспаление синовиальной оболочки, вызывающее боль из-за механического и химического раздражения болевых рецепторов.
Эндокринная артралгия
Суставные боли могут возникать на фоне заболеваний эндокринных органов, таких как гипотиреоз.
Неспецифический язвенный колит
Это аутоиммунное заболевание, при котором иммунная система отторгает эпителий толстого кишечника, что может вызывать отеки и боли в суставах.
Боли, имитирующие боль в суставах пальцев ног, могут быть вызваны:
- травматическим растяжением мышечных сухожилий;
- воспалением синовиальных влагалищ;
- острым периоститом;
- мышечными болями;
- остеомиелитом;
- психогенным ревматизмом и другими.
Травматическое растяжение мышечных сухожилий
При травме стопы сухожилия могут растягиваться, вызывая боль, которая не относится к воспалению сустава.
Воспаление синовиальных влагалищ
Сухожилия сгибателей пальцев подвержены трению, что может приводить к воспалению синовиальных влагалищ.
Острый периостит
Периостит — это воспаление надкостницы, которое может вызывать сильные боли, имитируя боль в суставах.
Мышечные боли
Мышечные боли могут напоминать боли в суставах, например, при миозите.
Остеомиелит
Это воспаление костного мозга, вызывающее боли из-за повышения внутрикостного давления.
Психогенный ревматизм
Это заболевание характеризуется суставными болями без подтверждения органического поражения. Пациенты могут также жаловаться на бессонницу и головные боли.
Если вы не знаете, к какому врачу обратиться с болями в суставах пальцев ног, начните с семейного врача. Он сможет определить тип заболевания и при необходимости направит к узкопрофильному специалисту.
При болях в области суставов пальцев стоп может потребоваться консультация:
- травматолога;
- аллерголога;
- инфекциониста;
- ревматолога;
- гематолога;
- фтизиатра;
- эндокринолога;
- гастроэнтеролога;
- дерматолога;
- хирурга и других.
Консультация травматолога
Обратиться к травматологу стоит при ушибах или растяжениях.
Консультация аллерголога
Необходима, если боли в суставах сопровождаются признаками аллергии.
Консультация инфекциониста
Стоит обратиться, если воспаление связано с инфекционным заболеванием.
Консультация ревматолога
Необходима при системных заболеваниях соединительной ткани.
Консультация гематолога
Требуется при гемартрозе на фоне нарушений свертываемости крови.
Консультация фтизиатра
Необходима при туберкулезном артрите.
Консультация эндокринолога
Стоит обратиться при подозрении на артрит на фоне эндокринных заболеваний.
Консультация гастроэнтеролога
Может потребоваться при неспецифическом язвенном колите.
Консультация дерматолога
Необходима для подтверждения или исключения псориатического артрита.
Консультация хирурга
Может потребоваться при осложнениях воспаления суставов.
Диагностика причин болей в пальцах стоп основывается на анамнезе, осмотре и лабораторных исследованиях. Определить причину болей исключительно по их характеру сложно из-за небольшого размера пальцев и возможных сочетанных патологий.
Тем не менее, в клинической диагностике существуют ориентиры. Например, если боль появилась после травмы, вероятной причиной является реактивное воспаление. Если невозможно произвольно двигать пальцем, это может указывать на разрыв сухожилия или связки. Если сустав сильно отек, это может свидетельствовать о гемартрозе.
Если боли периодические с ремиссиями и прощупываются плотные узелки, это может указывать на ревматические заболевания. Постоянные ноющие боли, усиливающиеся при нагрузках, могут свидетельствовать о дегенеративной природе заболевания.
Для каждого заболевания существуют специфические диагностические методы, указанные в национальных руководствах. В данной статье нецелесообразно перечислять конкретные исследования, но игнорировать лабораторную диагностику неправильно. Оптимально указать наиболее часто применяемые исследования для основных групп заболеваний.
Лабораторные исследования при болях в суставах пальцев стоп
| Группа заболеваний | Применяемые лабораторные исследования |
| Травмы | Исследование синовиальной жидкости, общий анализ крови. |
| Аллергические патологии | Общий анализ крови, иммуноглобулины Е, аллергопробы. |
| Инфекционные патологии | Общий анализ крови, С-реактивный белок, посев биологического материала. |
| Ревматологические патологии | Общий анализ крови, общий анализ мочи, АСЛ-О, ревматоидный фактор. |
| Гематологические патологии | Общий анализ крови, цитологическое исследование пунктата костного мозга. |
| Фтизиатрические патологии | Общий анализ крови, реакция Манту, цитологическое исследование мокроты. |
| Эндокринные патологии | Определение уровня глюкозы в крови, исследование уровня гормонов. |
| Гастроэнтерологические патологии | Общий анализ крови, определение уровня белка, копрограмма. |
| Дерматологические патологии | Общий анализ крови, биопсия кожи. |
Инструментальные исследования помогают уточнить причину болей в суставах пальцев стоп.
При болях в суставах применяются:
- рентгенография;
- ультразвуковое исследование (УЗИ);
- компьютерная томография (КТ);
- магнитно-резонансная томография (МРТ);
- эндоскопические исследования.
Рентгенография
Это информативное исследование, позволяющее отличить боли, вызванные травмой или остеомиелитом, от других причин.
Ультразвуковое исследование
Применяется для оценки состояния суставов и выявления наличия жидкости или инородных тел.
Компьютерная томография
Современное высокоточное исследование, визуализирующее плотные костные структуры.
Магнитно-резонансная томография
Современный метод, хорошо визуализирующий мягкие ткани.
Эндоскопические исследования
Применяются редко, но могут быть полезны в исключительных случаях.
Лечение болей в суставах пальцев ног может быть медикаментозным, физиотерапевтическим, хирургическим и народным.
В медикаментозном лечении используются:
- нестероидные противовоспалительные препараты (диклофенак, ибупрофен);
- гормональные противовоспалительные препараты (дексаметазон);
- хондропротекторы (глюкозамина сульфат);
- антибиотики (цефазолин);
- противовирусные препараты;
- противотуберкулезные препараты;
- обезболивающие средства;
- противоаллергические средства;
- препараты крови;
- корректоры кислотно-щелочного баланса;
- противодиабетические средства;
- средства, влияющие на метаболизм мочевой кислоты;
- гормоны щитовидной железы;
- бифосфонаты;
- комбинированные оральные контрацептивы.
Нестероидные противовоспалительные препараты
Используются для снятия болей в суставах. Их действие связано с блокировкой медиаторов воспаления.
Гормональные противовоспалительные препараты
Эти средства эффективны, но имеют побочные эффекты.
Хондропротекторы
Улучшает восстановительные свойства хрящевой ткани.
Антибиотики
Применяются при бактериальном воспалении суставов.
Противовирусные препараты
Используются редко и только при точно установленном диагнозе.
Противотуберкулезные препараты
Принимаются при наличии микобактерий в синовиальной жидкости.
Обезболивающие средства
Часто используются для снятия болей, но имеют кратковременный эффект.
Противоаллергические средства
Применяются редко, но могут блокировать воспалительный процесс.
Препараты крови
Необходимы при внутрисуставном кровоизлиянии.
Корректоры кислотно-щелочного баланса
Применяются при инфекционных артритах.
Противодиабетические средства
Показаны для профилактики диабетической артропатии.
Средства, влияющие на метаболизм мочевой кислоты
Применяются только при подагре.
Гормоны щитовидной железы и препараты йода
Назначаются при гипотиреозе.
Бифосфонаты
Используются для лечения остеопороза.
Комбинированные оральные контрацептивы
Применяются для облегчения климактерического синдрома.
Физиотерапевтическое лечение считается вспомогательным и может варьироваться. Оно противопоказано при выраженной сердечной недостаточности и злокачественных новообразованиях.
Наиболее распространенные физиотерапевтические методы:
- магнитотерапия;
- ультравысокочастотная терапия (УВЧ);
- ультразвуковая терапия;
- амплипульс;
- аппликации озокерита/парафина;
- электрофорез.
Магнитотерапия
Улучшает кровоснабжение и уменьшает отек.
Ультравысокочастотная терапия
Ускоряет обмен веществ и устраняет отек.
Ультразвуковая терапия
Улучшает кровоснабжение и способствует заживлению.
Амплипульс
Снимает мышечное напряжение и ускоряет регенерацию.
Аппликации озокерита/парафина
Способствуют восстановлению хряща.
Электрофорез
Доставляет лекарства в подкожное пространство.
Хирургическое вмешательство проводится, когда другие методы неэффективны. Оно может потребоваться для реконструкции суставных поверхностей или устранения внесуставных заболеваний.
Народные средства допустимы только как симптоматическое лечение при легком течении заболевания. Наиболее предпочтительными являются местные средства в виде компрессов и мазей.
Наиболее распространенные ингредиенты для лечения болей в суставах:
- цветы ромашки;
- цветы календулы;
- листья зверобоя;
- корень лопуха;
- цветы сирени;
- корень хрена;
- черноплодная рябина.
Эти средства обладают противовоспалительным и антисептическим действием и применяются только наружно.
Основной причиной болей в суставах больших пальцев ног является воспаление, однако существуют и другие предрасполагающие факторы, такие как подагра, деформирующий артроз и травма.
Наиболее распространенные причины болей в суставах больших пальцев ног:
- травма;
- деформирующий артроз;
- подагра.
Травма
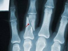
Чаще всего травмируются первый и пятый пальцы стопы, так как они находятся по краям и первыми сталкиваются с неровностями. Травма приводит к асептическому воспалению, сопровождающемуся отеком и увеличением объема сустава.
Деформирующий артроз
Это дегенеративное заболевание, развивающееся с возрастом. Механизм его развития связан с ухудшением обмена веществ в хряще из-за недостатка питательных веществ.
Подагра
Связана с нарушением обмена мочевой кислоты, что приводит к кристаллизации в суставной жидкости и воспалению. Чаще всего поражается сустав большого пальца.
Среди других заболеваний, вызывающих боли в суставах больших пальцев ног, можно выделить инфекционные артриты, токсико-аллергический артрит и псориатический артрит.
Боли и деформация пальцев стоп являются следствием длительного течения деформирующего артроза, который может развиваться из-за врожденной предрасположенности или специфического рода деятельности.
В механизме развития заболевания выделяют несколько ключевых моментов, таких как снижение упругости суставного хряща и ухудшение доставки питательных веществ. Это приводит к деформации сустава и функциональному дефициту.
Боли в суставах объясняются стиранием хряща, что вызывает раздражение нервных окончаний. Воспаление приводит к отеку, который нарушает функцию синовиальной оболочки и вызывает боль.
Поскольку боли в суставах пальцев ног вызваны воспалением, мази для их лечения должны содержать противовоспалительные вещества. Наиболее распространенные противовоспалительные мази содержат:
- диклофенак;
- индометацин;
- ибупрофен;
- кетопрофен;
- нимесулид;
- пироксикам.
Эти препараты широко распространены и имеют высокую эффективность, но их действие длится недолго. При местном применении риск осложнений со стороны желудочно-кишечного тракта снижен. Если на некоторые препараты развилась аллергия, существуют аналоги с различным составом.
| Причина боли в суставах пальцев ног | Вид боли | Патология/Диагноз | Помощь при боли |
|---|---|---|---|
| Артрит (ревматоидный, псориатический, подагрический) | Тупая, ноющая, усиливающаяся при движении, утренняя скованность | Ревматоидный артрит, псориатический артрит, подагра, остеоартрит | НПВС, кортикостероиды, ДМАРД, физиотерапия, диета (при подагре) |
| Остеоартрит | Тупая, ноющая боль, усиливающаяся при нагрузке, хруст в суставах | Остеоартрит | НПВС, хондропротекторы, физиотерапия, снижение нагрузки на суставы |
| Тендинит | Острая, колющая боль, усиливающаяся при движении | Тендинит сухожилий пальцев ног | Покой, холодные компрессы, НПВС, физиотерапия |
| Бурсит | Острая, пульсирующая боль, припухлость, покраснение | Бурсит | Покой, холодные компрессы, НПВС, пункция сустава (при необходимости) |
| Повреждение связок | Острая, резкая боль, припухлость, гематома | Растяжение, разрыв связок | Покой, холодные компрессы, эластичная бинтовка, НПВС |
| Нейропатия | Жгучая, стреляющая боль, онемение, покалывание | Диабетическая нейропатия, туннельный синдром | Лечение основного заболевания, анальгетики, физиотерапия |
| Инфекция | Острая, пульсирующая боль, припухлость, покраснение, повышение температуры | Инфекционный артрит | Антибиотики, дренирование сустава (при необходимости) |
| Плоскостопие | Тупая, ноющая боль, усталость в ногах | Плоскостопие | Ортопедическая обувь, стельки, физиотерапия |
| Остеопороз | Тупая, ноющая боль, переломы | Остеопороз | Лекарственные препараты, повышающие плотность костной ткани, кальций, витамин D |
| Мочевая кислота | Острая, сильная боль, припухлость, покраснение | Подагра | НПВС, колхицин, диета |
Боль в суставах пальцев ног — распространенная проблема, о которой говорят многие. Причины могут варьироваться от простого переутомления до серьезных заболеваний, таких как артрит или подагра. Люди описывают различные виды болей: от острого дискомфорта при движении до ноющей боли в состоянии покоя. Патологии, вызывающие болезненность, часто связаны с воспалительными процессами, нарушением обмена веществ или травмами.
Для облегчения состояния рекомендуется применять холодные компрессы, делать легкие массажи и выполнять специальные упражнения для укрепления суставов. Важно также следить за весом и носить удобную обувь. Если боль не проходит, стоит обратиться к врачу для диагностики и назначения адекватного лечения. Забота о здоровье суставов — залог активной и полноценной жизни.

Причины болей в суставах пальцев
Основной причиной болей в суставах пальцев ног является воспаление, которое может возникнуть по множеству факторов. К основным механизмам, вызывающим воспаление суставов, относятся физические травмы, инфекции, аутоиммунные реакции и метаболические расстройства.
Боли в суставах пальцев стоп могут быть связаны не только с заболеваниями суставов, но и с повреждениями соседних анатомических структур. Поэтому мы разделим причины болей на две категории: патологии, связанные с повреждением суставного аппарата, и патологии, затрагивающие околосуставные анатомические образования (без повреждения суставного аппарата).
Боли в суставах, вызванные патологией суставного аппарата
Причины болей в суставах:
- травматическое растяжение связок;
- ревматическое поражение;
- деформирующий артроз;
- неудобная обувь;
- обострение подагры;
- псориатический полиартрит;
- гемартроз;
- инфекционный артрит;
- острые аллергические реакции;
- туберкулезный артрит;
- диабетическая артропатия;
- синовит;
- эндокринная артралгия;
- неспецифический язвенный колит и другие.
Травматическое растяжение связок
Суставные капсулы пальцев ног имеют разную толщину, что связано с поддерживающими связками. При травме стопы растяжение или разрыв связок повреждает суставную капсулу, вызывая боль, воспаление и отек. Биологически активные вещества в области воспаления воздействуют на болевые рецепторы, а отек тканей вызывает их механическое раздражение. Чем выше частота импульсов, тем сильнее ощущается боль.
Ревматическое поражение суставов
Ревматическое поражение суставов связано с аутоиммунными механизмами. Иммунная система накапливает информацию о чуждых тканях, некоторые из которых схожи с тканями внутренних органов. При повторном контакте иммунная система начинает атаковать как инородные клетки, так и собственные.
Наиболее известный пример — ревматоидный артрит, поражающий мелкие суставы рук и ног. Часто он развивается после ангины, вызванной бета-гемолитическим стрептококком, антигенный состав которого схож с антигенами гиалинового хряща. Подобным образом развиваются склеродермия, узелковый периартериит, дерматомиозит и системная красная волчанка.
Деформирующий артроз
Деформирующий артроз — это дегенеративное заболевание хрящевой ткани, чаще всего затрагивающее крупные суставы, но в тяжелых случаях — и мелкие суставы кистей и стоп.
С возрастом хрящевая ткань теряет эластичность, что ухудшает ее питание и приводит к разрушению. Изменение формы сустава перераспределяет нагрузку, поддерживая воспалительный процесс и способствуя дальнейшему разрушению хряща.
Ношение неудобной обуви
Некоторые выбирают обувь меньшего размера, что негативно сказывается на здоровье суставов пальцев ног. Тесная обувь сжимает мягкие ткани, препятствуя поступлению питательных веществ к суставным хрящам и увеличивая риск их разрушения. Генетическая предрасположенность также может приводить к изменению формы стопы, что вызывает воспаление и боль в суставах.
Обострение подагры
Подагра связана с нарушением обмена пуринов, что приводит к избытку мочевой кислоты и образованию кристаллов в тканях. Наиболее частое проявление — артрит, обычно поражающий один крупный сустав, чаще всего сустав большого пальца ноги.
Псориатический полиартрит
Этот артрит развивается на фоне псориаза. Поражение суставов обычно происходит после длительного течения заболевания, хотя в 10-15% случаев может предшествовать кожным проявлениям.
Характерные признаки — асимметричное поражение суставов и красно-синюшный цвет кожи над ними, чаще всего затрагиваются суставы большого пальца и несколько суставов на обеих ногах.
Гемартроз
Гемартроз — это состояние, при котором суставная полость заполняется кровью, обычно из-за травмы.
Некоторые заболевания, такие как гиповитаминозы и нарушения свертываемости крови, предрасполагают к гемартрозу. Боли возникают из-за растяжения капсулы сустава и действия провоспалительных веществ на ткани.
Инфекционный артрит
Инфекционные артриты развиваются на фоне инфекционных заболеваний, когда возбудитель проникает в суставные ткани.
Чаще всего они возникают при сепсисе, реже — при рожистом воспалении, скарлатине, дизентерии и других инфекциях. Вирусные и грибковые артриты встречаются реже, особенно у людей с ослабленным иммунитетом.
Острые аллергические реакции
Аллергия может проявляться воспалением суставов, чаще всего при сывороточной болезни. Воспаление возникает из-за оседания иммунных комплексов на эндотелии сосудов синовиальной оболочки.
Воспаление обычно затрагивает суставы нижних конечностей, с симметричным расположением отеков.
Туберкулезный артрит
Поражение суставов при туберкулезе может происходить через проникновение возбудителя или через токсико-аллергическую реакцию.
Проникновение микобактерий чаще всего происходит через кровь, особенно при активном туберкулезе. Второй механизм связан с усилением иммунного ответа на микобактерию, что может привести к артриту с асимметричным поражением суставов.
Диабетическая артропатия
Поражение суставов при сахарном диабете — одно из поздних осложнений, чаще у женщин с диабетом I типа.
Механизм осложнений связан с нарушениями углеводного обмена и утолщением стенок сосудов, что ухудшает их проходимость. Сроки появления осложнений зависят от контроля уровня глюкозы в крови.
Синовит
Синовит — это воспаление синовиальной оболочки сустава. Боли возникают из-за механического и химического раздражения болевых рецепторов.
Механическое раздражение происходит из-за отека суставной капсулы, а химическое — из-за действия биологически активных веществ, выделяемых в воспалительный очаг.
Эндокринная артралгия
Эндокринная артралгия — суставные боли, возникающие при заболеваниях эндокринных органов, таких как дисфункция яичников или гипотиреоз.
Механизмы болей различаются, но характерно поражение нескольких суставов одновременно и сопутствующие ноющие боли в костях и мышцах.
Неспецифический язвенный колит
Это аутоиммунное заболевание, при котором иммунная система атакует эпителий толстого кишечника. Отеки могут возникать из-за перекрестной аутоиммунной агрессии к синовиальной оболочке суставов.
Отличительная черта — симметричность отеков, которые чаще всего локализуются на стопах и в области голеностопных суставов, вызывая боли в суставах пальцев.

Боли в области суставов пальцев стоп, вызванные повреждением околосуставных структур
Воспаление анатомических структур вокруг суставов может вызывать боль в суставах, не имея с ними связи.
Причины болей, имитирующих дискомфорт в суставах пальцев ног:
- травматическое растяжение сухожилий;
- воспаление синовиальных влагалищ;
- острый периостит;
- мышечные боли;
- остеомиелит;
- психогенный ревматизм.
Травматическое растяжение сухожилий
Каждый палец ноги имеет от двух до трех сухожилий, обеспечивающих движение. При травме стопы эти сухожилия могут растягиваться, вызывая боль. Поскольку сухожилия расположены рядом с суставной капсулой, но не переплетаются с ней, такую боль нельзя считать следствием воспаления сустава.
Воспаление синовиальных влагалищ
Сухожилия сгибателей пальцев ног на подошвенной стороне подвержены трению из-за веса тела. Чтобы уменьшить трение, вокруг сухожилий образуются синовиальные влагалища — двухслойные чехлы, позволяющие сухожилиям двигаться свободно.
Синовиальные влагалища могут воспаляться из-за микробов при травмах или неаккуратном педикюре, а также из-за длительной нагрузки на пальцы ног.
Острый периостит
Периостит — это воспаление надкостницы, оболочки, покрывающей кость. Она имеет богатую иннервацию и кровоснабжение, а также клетки, отвечающие за восстановление кости.
Надкостница может воспаляться, например, при остеомиелите, вызывая сильные боли, которые сложно локализовать, особенно в пальцах ног. Периостит может вызывать боль в суставах пальцев, не имея к ним отношения.
Мышечные боли
Боли в мышцах могут напоминать суставные. Например, миозит (воспаление мышечной ткани) может вызывать дискомфорт, усиливающийся при движении пальцем, к которому прикрепляется сухожилие воспаленной мышцы. Пациент может ошибочно думать, что у него проблемы с суставом, в то время как причина — в заболевании мышцы или ее сухожилия.
Остеомиелит
Остеомиелит — это воспаление костного мозга, сопровождающееся выраженной болью из-за повышения давления внутри кости. Это давление приводит к перерастяжению надкостницы, вызывая болевые ощущения.
Изолированный остеомиелит в костномозговом канале может не быть связан с суставом. В некоторых случаях может происходить разрушение хрящевой ткани с выходом гнойных масс в суставную полость. Остеомиелит требует своевременной диагностики и лечения, так как его осложнения могут привести к инвалидности или смерти.
Психогенный ревматизм
Психогенный ревматизм — одно из самых загадочных заболеваний. Его отличает наличие суставных болей без подтверждений органического поражения суставов или околосуставных структур. Пациенты также жалуются на бессонницу, повышенную утомляемость, головные боли, трудности с концентрацией и онемение конечностей.
К какому врачу обратиться, если болят суставы пальцев стопы?
Боли в суставах пальцев ног могут быть вызваны различными заболеваниями, и врачу сложно учесть все возможные причины и методы лечения.
Если не знаете, к какому специалисту обратиться, начните с семейного врача. Он на основе анамнеза, клинического обследования и результатов исследований определит заболевание. Если лечение входит в его компетенцию, он будет вести вас. В противном случае направит к узкому специалисту.
При болях в суставах пальцев ног может потребоваться консультация:
- травматолога;
- аллерголога;
- инфекциониста;
- ревматолога;
- гематолога;
- фтизиатра;
- эндокринолога;
- гастроэнтеролога;
- дерматолога;
- хирурга и других специалистов.
Консультация травматолога
Обратитесь к травматологу, если боли вызваны травмой, например, ушибом или растяжением.
Консультация аллерголога
Если боли в суставах сопровождаются аллергическими симптомами, стоит посетить аллерголога. Суставные боли от аллергии редки, но важно исключить этот фактор.
Консультация инфекциониста
Если воспаление суставов связано с инфекционным заболеванием (например, рожей, скарлатиной, гонореей, бруцеллезом, корью), обратитесь к инфекционисту.
Консультация ревматолога
Ревматолог нужен при системных заболеваниях соединительной ткани, таких как ревматоидный артрит или системная красная волчанка.
Консультация гематолога
Если у вас гемартроз на фоне гемофилии или других нарушений гемостаза, обратитесь к гематологу.
Консультация фтизиатра
Фтизиатр может понадобиться при туберкулезном артрите, возникающем из-за инфекции, связанной с травмой.
Консультация эндокринолога
Если есть подозрение на артрит, связанный с гипотиреозом, гиперпаратиреозом или диабетом, стоит посетить эндокринолога.
Консультация гастроэнтеролога
Редкие отеки стоп и голеней могут быть связаны с аутоиммунным заболеванием, например, неспецифическим язвенным колитом. Обычно они проходят после устранения обострения.
Консультация дерматолога
Дерматолог поможет подтвердить или исключить диагноз псориатического артрита.
Консультация хирурга
Хирургическое вмешательство может потребоваться при возрастных изменениях в скелете, таких как деформирующий артроз, а также при осложнениях воспаления суставов, например, нагноении или разрыве сухожилий.
Диагностика причин болей в суставах пальцев стоп
Определение причин болей в пальцах ног включает анализ анамнеза, осмотр и лабораторные с инструментальными исследованиями.
Диагностика причин болей в суставах пальцев стоп по клинической картине
Определить источник болей в суставах пальцев ног по их характеристикам сложно из-за небольших размеров этих частей тела, что затрудняет локализацию проблемы. Часто встречаются сочетанные патологии суставов с нечеткой клинической картиной, что усложняет диагностику.
В клинической практике есть ориентиры для диагностики заболеваний суставов. Например, если боль возникла после травмы, вероятной причиной может быть реактивное воспаление. Ограничение движений пальцем в одном направлении может указывать на разрыв связки или сухожилия. Сильный отек сустава и его вынужденное положение могут свидетельствовать о гемартрозе.
Если боли в суставах пальцев ног периодические, с ремиссиями, и вокруг суставов прощупываются плотные образования (тофусы), это может указывать на ревматические заболевания.
Постоянные, тянущие боли, усиливающиеся при нагрузках, могут свидетельствовать о дегенеративном заболевании (деформирующий артроз). При этой патологии часто наблюдается хруст в суставах и ограничение амплитуды движений.
Если боли в суставах сопровождаются симптомами других заболеваний (аллергических, эндокринных, кожных, аутоиммунных и др.), стоит обратить внимание на связь между интенсивностью симптомов артрита и течением основного заболевания.
Лабораторные исследования при болях в суставах пальцев стоп
Для каждого заболевания разработаны специфические диагностические лабораторные методы, указанные в национальных и международных руководствах.
В статье не будем углубляться в конкретные исследования для заболеваний, проявляющихся болями в суставах пальцев стоп, чтобы не отвлекаться от основной темы. Однако лабораторная диагностика важна, поэтому приведем распространенные исследования для основных групп заболеваний.
Лабораторные исследования при болях в суставах пальцев стоп
| Группа заболеваний | Применяемые лабораторные исследования |
| Травмы | — Анализ синовиальной жидкости. — Общий анализ крови. |
| Аллергические заболевания | — Общий анализ крови. — Уровень иммуноглобулинов Е. — Циркулирующие иммунные комплексы. — Аллергические пробы. — Определение антител к гельминтам. — Анализ кала на яйца глистов. |
| Инфекционные заболевания | — Общий анализ крови. — Уровень С-реактивного белка. — Посев биологического материала (кровь, мазок из носоглотки, моча, внутрисуставная жидкость). — Полимеразная цепная реакция. — Определение антител к возбудителям. |
| Ревматологические заболевания | — Общий анализ крови (с учетом тромбоцитов и ретикулоцитов). — Общий анализ мочи. — АСЛ-О (антистрептолизин-О). — Уровень С-реактивного белка. — Ревматоидный фактор. — Общий белок и его фракции. — Уровень мочевой кислоты. — Антинуклеарные антитела. — Антитела к ДНК. — Антимитохондриальные антитела. — Антитела к гладкой мускулатуре. — Цитологическое исследование пунктата костного мозга. — Гистологическое исследование ревматических узелков. |
| Гематологические заболевания | — Общий анализ крови. — Цитологическое исследование пунктата костного мозга. — Уровень сывороточного железа. — Оценка системы свертываемости крови (протромбин, активированное частичное тромбопластиновое время и др.). — Определение факторов свертывания крови. |
| Фтизиатрические заболевания | — Общий анализ крови. — Реакция Манту. — Цитологическое исследование мокроты и внутрисуставной жидкости. — Экспресс-тесты для анализа мокроты и внутрисуставной жидкости (geneXpert, BACTEC и др.). |
| Эндокринные заболевания | — Мониторинг уровня глюкозы в крови. — Уровень гликозилированного гемоглобина. — Глюкозотолерантный тест. — Уровень гормонов щитовидной железы, паращитовидных желез и гипофиза. — Уровень половых гормонов. |
| Гастроэнтерологические заболевания | — Общий анализ крови. — Уровень общего белка. — Уровень альбуминов. — Ионограмма (уровень электролитов в крови). — Уровень С-реактивного белка. — Уровень антител pANCA. — Уровень антител ASCA. — Копрограмма (анализ каловых масс). — Исследование микрофлоры толстого кишечника. — Гистологическое исследование биоптата. |
| Дерматологические заболевания | — Общий анализ крови. — Биопсия кожи. — Исследование микрофлоры кожи. |
Инструментальные исследования при болях в суставах пальцев стоп
Инструментальные исследования при болях в суставах пальцев ног помогают точно определить их причины.
Методы диагностики болей в суставах пальцев ног:
- рентгенография;
- ультразвуковое исследование (УЗИ);
- компьютерная томография (КТ);
- магнитно-резонансная томография (МРТ);
- эндоскопические исследования и другие.
Рентгенография
Рентгенография — эффективный метод диагностики, сочетающий доступность и информативность. При правильной интерпретации снимков можно различить боли, вызванные травмами или остеомиелитом, от других причин.
При подозрении на туберкулезный артрит рекомендуется рентгенография грудной клетки. Для подтверждения реактивного артрита при неспецифическом язвенном колите целесообразно выполнить ирригоскопию (рентгеноскопию толстого кишечника с контрастом).
Ультразвуковое исследование
УЗИ активно применяется в медицине и адаптировано для изучения суставов, хотя используется реже. Этот метод позволяет оценить состояние суставных поверхностей, синовиальной оболочки и околосуставных структур, а также выявить кровь или инородные тела в суставной полости.
Боли в суставах пальцев ног могут быть связаны с системными заболеваниями, затрагивающими другие органы (почки, печень, сердце и др.). УЗИ внутренних органов помогает дополнить клиническую картину и уточнить диагноз.
Компьютерная томография
КТ — высокоточное рентгенологическое исследование, выполняемое для отдельных участков или всего тела. Поскольку метод подразумевает облучение, его следует применять только при необходимости. КТ четко визуализирует плотные костные структуры. Ограничение для проведения КТ — вес пациента более 160 кг, хотя в некоторых клиниках есть аппараты до 200 кг. При введении контрастного вещества необходимо провести тест на аллергию.
Магнитно-резонансная томография
МРТ — современный и точный метод, не связанный с радиационным облучением. Он хорошо визуализирует мягкие ткани, содержащие много жидкости. Ограничения для МРТ — наличие металлических предметов в теле (имплантаты, коронки, протезы) и вес пациента более 120 кг. При использовании контрастного вещества следует заранее проверить наличие аллергии с помощью накожного теста.
Эндоскопические исследования
Эндоскопические исследования при болях в суставах пальцев ног применяются редко из-за малого размера суставов для введения артроскопа (инструмент для исследования внутрисуставной полости). Однако этот метод может быть использован в исключительных случаях.
Одним из таких случаев является воспаление и отек суставов пальцев ног на фоне неспецифического язвенного колита. Колоноскопия (эндоскопия толстого кишечника) является предпочтительным методом диагностики этого заболевания. В редких случаях признаки системных заболеваний соединительной ткани могут быть выявлены при фиброэзофагогастродуоденоскопии (эндоскопическое исследование пищевода, желудка и двенадцатиперстной кишки).
Лечение патологий, вызывающих воспаление суставов пальцев стоп
Болезненные ощущения в суставах пальцев ног могут иметь различные причины, что определяет методы лечения. Выделяют медикаментозное, физиотерапевтическое, хирургическое и народное лечение.
Медикаментозное лечение патологий, вызывающих воспаление пальцев стоп
Медикаментозное лечение включает стандартизированные схемы терапии и обычно эффективно, не требуя дополнительных вмешательств.
При лечении болей в суставах пальцев ног применяются следующие группы препаратов:
- Нестероидные противовоспалительные средства (диклофенак, индометацин, ибупрофен и др.);
- Гормональные противовоспалительные средства (дексаметазон, преднизолон, триамцинолон и др.);
- Хондропротекторы (хондроитина сульфат, глюкозамина сульфат и др.);
- Антибиотики (цефазолин, бициллин и др.);
- Противовирусные средства (интерфероны, амантадин, римантадин и др.);
- Противотуберкулезные препараты (этамбутол, изониазид, рифампицин и др.);
- Обезболивающие средства (кеторолак, лидокаин и др.);
- Противоаллергические препараты (лоратадин, супрастин, клемастин, азеластин и др.);
- Препараты крови (свежезамороженная плазма, концентраты факторов свертывания и др.);
- Корректоры кислотно-щелочного баланса крови (регидрон, гидрокарбонат натрия и др.);
- Противодиабетические препараты (метформин, инсулин и др.);
- Средства, влияющие на обмен мочевой кислоты (колхицин, фебуксостат и др.);
- Гормоны щитовидной железы и препараты йода (л-тироксин, тиреотом и др.);
- Бифосфонаты (алендроновая кислота, золедроновая кислота и др.);
- Комбинированные оральные контрацептивы (фемостон, тризистон, диане-35 и др.).
Нестероидные противовоспалительные средства
Эти препараты часто применяются при болях в суставах, блокируя фермент, отвечающий за выработку медиаторов воспаления. Их эффективность высока, но из-за негативного воздействия на желудочно-кишечный тракт рекомендуется использовать в коротких курсах. Для повышения эффекта можно комбинировать системные и местные препараты.
Гормональные противовоспалительные средства
Гормональные препараты наиболее эффективны, охватывая все патогенетические цепи воспалительного процесса. Однако их использование ограничено из-за побочных эффектов, таких как иммунодепрессия и язвы желудка. Применяются при аллергических, аутоиммунных и системных заболеваниях соединительной ткани.
Хондропротекторы
Назначаются при болях в суставах, вызванных деформирующим артрозом. Они улучшают восстановительные свойства хрящевой ткани и замедляют разрушение суставного хряща. Принимаются длительными курсами.
Антибиотики
Используются при бактериальном воспалении суставов или окружающих тканей, а также для купирования обострений ревматологических заболеваний.
Противовирусные средства
Применяются редко из-за узкой направленности действия. Эффективны только при точном диагнозе и на стадии размножения вируса. Препараты широкого спектра действия имеют минимальный вирулицидный эффект и могут вызывать побочные эффекты.
Противотуберкулезные препараты
Назначаются при подтвержденном наличии микобактерии Коха в синовиальной жидкости или токсико-аллергическом артрите Понсе. В других случаях противопоказаны из-за токсичности.
Обезболивающие средства
Часто используются при заболеваниях суставов, назначаются как системно, так и местно. Недостатком является короткая продолжительность действия и возможные побочные эффекты.
Противоаллергические средства
Применяются редко по прямому назначению, но чаще по непрямому, блокируя воспалительный процесс другими механизмами.
Препараты крови
Необходимы при внутрисуставном кровоизлиянии, вызванном нарушением свертываемости крови.
Корректоры кислотно-щелочного баланса крови
Применяются при инфекционных артритах для коррекции водно-электролитного дисбаланса.
Противодиабетические средства
Больше подходят для профилактики, чем для лечения диабетической артропатии, так как контроль уровня глюкозы позволяет отсрочить осложнения.
Средства, влияющие на обмен мочевой кислоты
Применяются при подагре, часто комбинируются с нестероидными противовоспалительными средствами для быстрого снятия приступа.
Гормоны щитовидной железы и препараты йода
Назначаются при гипотиреозе, который может вызывать отек и воспаление мелких суставов пальцев ног.
Бифосфонаты
Используются для лечения остеопороза, вызванного гиперпаратиреоидизмом.
Комбинированные оральные контрацептивы
Применяются для облегчения симптомов климактерического синдрома, включая боли в суставах пальцев ног.
Физиотерапевтическое лечение патологий, вызывающих воспаление пальцев стоп
Физиотерапевтическое лечение является вспомогательным методом, эффективность которого зависит от различных факторов. В большинстве случаев процедуры значительно способствуют выздоровлению.
Физиотерапия не подходит всем. Она противопоказана при выраженной сердечной недостаточности, аритмиях и злокачественных опухолях. К относительным противопоказаниям относятся пожилой возраст, психические расстройства и другие состояния.
Популярные физиотерапевтические методы:
- магнитотерапия;
- ультравысокочастотная терапия (УВЧ);
- ультразвуковая терапия;
- амплипульс;
- аппликации с озокеритом или парафином;
- электрофорез.
Магнитотерапия
Этот метод предполагает прогревание тканей в магнитном поле, что улучшает кровообращение, активирует восстановительные процессы в хрящах и надкостнице, уменьшает отечность и снижает напряжение гладкой мускулатуры сосудов.
Ультравысокочастотная терапия
Основывается на воздействии высокочастотной волновой энергии на ткани. Она улучшает кислородоснабжение воспалительного очага, ускоряет обмен веществ, устраняет отеки и способствует размножению камбиальных клеток костной и хрящевой ткани, что ускоряет восстановление.
Ультразвуковая терапия
Ультразвук расслабляет гладкую мускулатуру сосудов, что помогает устранить отеки и улучшить кровоснабжение воспаленного участка. Микровибрации в хряще ускоряют его рост и заживление повреждений.
Амплипульс
Этот метод снимает мышечное напряжение в области воспаленного сустава, улучшая приток крови и ускоряя регенерацию.
Аппликации озокерита/парафина
Способствуют расширению сосудов в капсуле больного сустава и подхрящевой основе, что стимулирует миграцию молодых клеток к воспалительному очагу для восстановления суставного хряща.
Электрофорез
Физический метод доставки лекарств в подкожное пространство. Введение растворов через кожу создает депо препарата, которое постепенно расходуется, воздействуя на окружающие ткани. В область сустава вводятся электролиты, обезболивающие, противовоспалительные и ферментные препараты.
Хирургическое лечение патологий, вызывающих воспаление пальцев стоп
Хирургическое вмешательство применяется, когда другие методы лечения неэффективны, например, при разрывах связок или остеомиелите. Обычно оно сочетается с медикаментозной терапией и физиотерапией. Хирургия также необходима для восстановления суставных поверхностей, поврежденных деформирующим артрозом.
Если воспаление суставов вызвано заболеваниями, не связанными с суставами, хирургия может помочь. Например, при гиперпаратиреозе может потребоваться удаление части паращитовидных желез, а при ревматоидном артрите – удаление небных миндалин, вызывающих рецидивы стрептококковой инфекции.
Лечение патологий, вызывающих воспаление пальцев стоп, народными средствами
Применение народных методов для лечения суставов возможно только как вспомогательная терапия при легком течении заболевания. В более серьезных случаях предпочтительнее традиционные методы, обладающие большей эффективностью. Народные средства часто не имеют четких рекомендаций по дозировке и режиму применения, что может вызвать нежелательные побочные эффекты.
Наиболее рекомендуемыми являются народные средства местного действия: компрессы, примочки и мази.
Популярные компоненты для облегчения болей в суставах пальцев ног:
- цветы ромашки полевой;
- цветы календулы;
- листья и соцветия зверобоя;
- листья и корень лопуха;
- цветы сирени;
- корень хрена;
- черноплодная рябина и другие.
В качестве загустителей и средств, улучшающих проницаемость кожи, используют мед, пчелиный воск, топленый жир, 40-70% этиловый спирт, сливочное масло, вазелин и другие вещества.
Лекарственные средства, приготовленные из указанных растений и вспомогательных компонентов, обладают противовоспалительными и антисептическими свойствами. Их следует использовать только для наружного применения.
Почему болят суставы больших пальцев ног?
Основной причиной болей в суставах больших пальцев ног является воспаление, однако его развитие может быть вызвано различными факторами. К ним относятся подагра, деформирующий артроз, травмы и системные заболевания соединительной ткани.
Наиболее распространенные причины болей в суставах больших пальцев ног:
- травмы;
- деформирующий артроз;
- подагра.
Травмы
Чаще всего травмируются первый и пятый пальцы ног, так как они расположены по краям стопы и первыми сталкиваются с неровностями. Плюснефаланговый сустав первого пальца — одна из трех опорных точек стопы, на которую приходится нагрузка всего тела в вертикальном положении.
При травме повреждаются хрящ, синовиальная оболочка и окружающие мягкие ткани. Это приводит к асептическому воспалению, сопровождающемуся отеком и увеличением объема сустава из-за накопления синовиальной жидкости. Боль возникает из-за раздражения нервных окончаний в синовиальной капсуле и хрящевой ткани, вызванного отеком, который сжимает нервы. Также в воспалительный очаг выделяются биологически активные вещества, воздействующие на болевые рецепторы.
Деформирующий артроз
Деформирующий артроз — это дегенеративное заболевание хрящевой ткани, развивающееся с возрастом. Процесс прогрессирования включает сжатие хряща и ухудшение обмена веществ из-за недостатка питательных веществ. Без лечения состояние хряща ухудшается, вплоть до разрушения.
Боли возникают из-за механического раздражения нервных окончаний в хряще. Когда поверхностный слой хряща стирается, нервы становятся оголенными и раздражаются при контакте с суставной поверхностью. Воспаление, вызванное повышенным трением, усугубляет нехватку питательных веществ, создавая порочный круг.
Подагра
Подагра связана с нарушением обмена мочевой кислоты. При недостаточном выведении почками происходит накопление кислоты в биологических жидкостях. В суставной жидкости мочевая кислота кристаллизуется, увеличивая трение между суставными поверхностями и вызывая воспаление. Чаще всего подагра поражает крупные суставы, особенно суставы большого пальца. Механизм болей аналогичен предыдущим случаям и связан с механическим и химическим раздражением нервных окончаний.
Кроме указанных заболеваний, боли в суставах больших пальцев ног могут вызывать инфекционные артриты, токсико-аллергический артрит Понсе, артриты при системных и аутоиммунных заболеваниях соединительной ткани, паранеопластический синдром, псориатический артрит и другие состояния.
Почему болят суставы и деформируются пальцы стопы?
Боли и деформация пальцев ног возникают при деформирующем артрозе.
Основная причина — врожденная предрасположенность к преждевременному спрессовыванию суставных хрящей. Также развитие патологии может быть связано с деятельностью, предполагающей чрезмерные нагрузки на опорно-двигательный аппарат.
В механизме заболевания выделяют несколько ключевых аспектов. Один из них — снижение эластичности суставного хряща. При нагрузках хрящ не восстанавливается, а постепенно спрессовывается, что уменьшает его амортизационные свойства и вызывает микротравмы подхрящевой основы. Это затрудняет поступление питательных веществ к хрящу как через диффузию из синовиальной жидкости, так и через кровеносные сосуды подхрящевой ткани.
На фоне дефицита питательных веществ процессы восстановления в хряще замедляются, что усугубляет недостаток этих веществ. В тех участках хрящевой ткани, где давление в норме, происходит увеличение хряща, но это не перераспределяет нагрузку на сустав, что приводит к его деформации и функциональному дефициту.
Боли в суставах связаны с истиранием верхних слоев хряща, под которыми находятся нервные окончания. Их раздражение вызывает боль, на которую организм реагирует воспалением, направленным на восстановление поврежденной области. В начале воспалительного процесса выделяемые вещества усиливают раздражение нервных окончаний, что приводит к усилению боли. Затем окончания покрываются фибриновой пленкой и перестают реагировать. Однако при движениях пленка быстро стирается, и боль возвращается.
Почему сустав пальца воспалился и отек?
Воспаление суставов пальцев может быть вызвано травмами, дегенеративными изменениями хряща, инфекциями или аутоиммунными реакциями. Основным признаком воспаления является отек, возникающий из-за выхода плазмы крови и иммунных клеток из сосудов в суставную полость.
Воспаление может быстро распространяться в пределах одного сустава из-за постоянного движения синовиальной жидкости, отрицательного давления и небольших размеров суставов пальцев. Это приводит к отеку и утолщению синовиальной оболочки, вызванному расширением кровеносных сосудов под воздействием гистамина, серотонина и брадикинина.
Отек синовиальной оболочки нарушает ее функцию всасывания синовиальной жидкости и поддержания отрицательного давления в суставной полости. В результате в сустав поступает больше жидкости, чем выделяется, что вызывает отек, напряжение и боль. Боль возникает из-за раздражения рецепторов суставной оболочки при механическом растяжении и под воздействием биологически активных веществ, выделяемых иммунными клетками. Суставные поверхности немного расходятся, принимая вынужденное положение, что снижает стабильность сустава и увеличивает риск вывиха.
Какую мазь использовать при болях в пальцах ног?
Боли в суставах пальцев ног вызваны воспалением, поэтому мази для их лечения должны содержать противовоспалительные компоненты. На рынке представлено множество таких средств.
В фармацевтике для терапии заболеваний суставов используются противовоспалительные мази на основе нестероидных средств. Гормональные мази для облегчения болей не применяются.
Наиболее популярные противовоспалительные мази содержат:
- диклофенак;
- индометацин;
- ибупрофен;
- кетопрофен;
- нимесулид;
- пироксикам и другие.
Эти препараты широко применяются в медицине. Существует множество активных веществ и еще больше препаратов, так как каждый производитель присваивает своему продукту уникальное название.
Эффективность этих мазей высока, но действие длится всего несколько часов. При местном применении лишь небольшое количество активного вещества попадает в системный кровоток, что минимизирует риск осложнений со стороны желудочно-кишечного тракта, как при пероральном приеме.
Иногда на некоторые препараты может возникнуть аллергическая реакция. В таких случаях не стоит отчаиваться, так как есть множество аналогов с другим химическим составом, которые, вероятнее всего, не вызовут аллергии.
Вопрос-ответ
Почему могут болеть суставы пальцев ног?
Постоянная боль в пальцах ног появляется из-за различных заболеваний. Чаще всего это признак артритов, артрозов или нарушений кровообращения. Точную причину установит врач-ортопед. Боли в пальцах ног в большинстве случаев бывают вызваны такими заболеваниями, как артрит, артроз или нарушение кровообращения.
Какому врачу обратиться, если болят пальцы ног?
С такой проблемой нужно обращаться к дерматологу или подологу. После диагностики врач назначит эффективное лечение для устранения патологии. Подологи также занимаются лечением невромы Мортона, при которой ощущается постоянная боль под 2-4 пальцами ног. Она усиливается во время сжимания стопы и ходьбы.
Какие болезни бывают на пальцах ног?
На пальцах ног могут возникать различные болезни, включая грибковые инфекции (например, микоз), вросшие ногти, мозоли и натоптыши, а также воспалительные заболевания, такие как подагра и артрит. Кроме того, могут наблюдаться проблемы с кровообращением, такие как синдром Рейно, и кожные заболевания, включая экзему и псориаз.
Советы
СОВЕТ №1
Регулярно выполняйте упражнения для укрепления мышц и суставов ног. Простые растяжки и укрепляющие упражнения помогут улучшить гибкость и снизить нагрузку на суставы, что может уменьшить болевые ощущения.
СОВЕТ №2
Обратите внимание на обувь, которую вы носите. Выбирайте удобные и поддерживающие модели, которые не сдавливают пальцы и обеспечивают хорошую амортизацию. Это поможет снизить нагрузку на суставы и предотвратить их воспаление.
СОВЕТ №3
Следите за своим весом. Избыточный вес создает дополнительную нагрузку на суставы, что может усугубить болевые ощущения. Правильное питание и физическая активность помогут поддерживать здоровый вес и снизить риск возникновения болей в суставах.
СОВЕТ №4
Не игнорируйте симптомы и обращайтесь к врачу при появлении постоянной или усиливающейся боли. Раннее выявление и лечение заболеваний суставов могут предотвратить серьезные осложнения и улучшить качество жизни.







