Анатомия лицевого нерва
Лицевой нерв выполняет двигательные функции, контролируя мимические мышцы лица. В его составе также есть волокна промежуточного нерва, отвечающие за секрецию слез и слюны, а также за чувствительность кожи и языка.
Нерв состоит из длинных отростков нейронов, окруженных периневрием — оболочкой из клеток нейроглии. При воспалении оболочки симптомы менее выражены, чем при повреждении нейронов.
Структура лицевого нерва:
- участок коры головного мозга, отвечающий за мимику;
- ядра лицевого нерва на границе между мозговым мостом и продолговатым мозгом:
- ядро лицевого нерва – отвечает за мимику;
- ядро одиночного пути – отвечает за вкусовые ощущения языка;
- верхнее слюноотделительное ядро – контролирует слезные и слюнные железы;
- двигательные отростки нервных клеток, образующие ствол нерва;
- сеть кровеносных и лимфатических сосудов, где капилляры пронизывают оболочку нерва и располагаются между отростками нейронов, обеспечивая их питание.
Лицевой нерв проходит от ядер к мышцам, изгибаясь и образуя два колена. Он входит в височную кость через слуховое отверстие вместе с волокнами промежуточного нерва. Далее нерв проходит через каменистую часть, внутренний слуховой проход и канал лицевого нерва. Он выходит из височной кости через шилососцевидное отверстие и попадает в околоушную железу, где делится на крупные и мелкие ветви, контролирующие мышцы лба, ноздрей, щек, круговой мышцы глаза и рта.
Таким образом, лицевой нерв проходит извилистый путь через узкие каналы и отверстия. При воспалении и отеке нервных волокон их объем увеличивается, что в узких участках может привести к сжатию и повреждению клеток.
Врачи отмечают, что неврит лицевого нерва является серьезным заболеванием, которое может возникнуть по различным причинам, включая вирусные инфекции, травмы или стресс. Симптомы, как правило, проявляются в виде асимметрии лица, затруднений в движении мимических мышц, а также возможной потери чувствительности в области лица. Важно отметить, что диагностика включает в себя клинический осмотр и, при необходимости, дополнительные исследования, такие как магнитно-резонансная томография. Лечение неврита может варьироваться от медикаментозной терапии, включающей противовирусные и противовоспалительные препараты, до физиотерапии. Врачи подчеркивают, что раннее обращение за медицинской помощью и соблюдение рекомендаций специалистов играют ключевую роль в восстановлении функции лицевого нерва и минимизации последствий заболевания.

Причины неврита лицевого нерва
Ученым не удалось точно определить причины болезни лицевого нерва, но выделяют несколько факторов.
- Вирус герпеса. Присутствует у большинства людей и активируется при ослаблении иммунитета, вызывая воспаление и отек нерва. Аналогичные эффекты могут вызывать вирусы эпидемического паротита, полиомиелита, энтеровирусы и аденовирусы.
- Переохлаждение. Понижение температуры ослабляет иммунитет, особенно местное, например, при длительном нахождении на сквозняке. Это приводит к спазму сосудов и нарушению питания нерва.
- Чрезмерное употребление алкоголя. Этиловый спирт токсичен для нервной системы, негативно влияя на мозг и нервные волокна.
- Высокое артериальное давление. Гипертония может повышать внутричерепное давление, что негативно сказывается на лицевом нерве и может привести к инсульту.
- Беременность. Первый триместр особенно рискован из-за гормональных изменений, влияющих на нервную систему.
- Опухоли мозга. Хотя это редкая причина, опухоль может сжимать нерв и нарушать передачу импульсов.
- Черепно-мозговые травмы и травмы уха. Удары могут повредить нервные волокна, вызывая накопление жидкости и воспаление.
- Неудачное стоматологическое лечение. Стресс, инфекция или механическое повреждение могут вызвать воспаление.
- Перенесенные отиты и гаймориты. ЛОР-заболевания могут распространиться на окружающие ткани или сжать нерв.
- Сахарный диабет. Нарушает обмен веществ, что может привести к воспалению.
- Атеросклероз. Закупорка капилляров жировыми бляшками приводит к голоданию нерва.
- Стрессы и депрессии. Ослабляют нервную систему и иммунитет.
- Рассеянный склероз. Разрушает миелиновую оболочку нервных волокон, что может вызвать воспаление лицевого нерва.
Эти факторы могут вызывать спазм артерий, приводя к застою крови в капиллярах и их расширению. Жидкость проникает через стенки капилляров, вызывая отек тканей и нарушая отток лимфы. Это ухудшает кровообращение и питание нерва, что приводит к отеку и образованию кровоизлияний, затрудняющих передачу импульсов от мозга к мышцам.
Неврит лицевого нерва всегда начинается остро. Если симптомы развиваются медленно, это может указывать на другую патологию.
| Симптом | Проявления | Причина | Фото |
| Боль за ухом за 1-2 дня до нарушения мимики. | Боль может отдавать в затылок и лицо, через несколько дней начинает болеть глазное яблоко. | Отек нерва сжимает его на выходе из слухового отверстия. | |
| Асимметрия лица, пораженная сторона напоминает маску. | Глаз широко открыт, уголок рта опущен, носогубная складка разглажена. | Мозг теряет возможность управлять мимическими мышцами одной стороны. | |
| Глаз с пораженной стороны не закрывается. | При попытке зажмуриться глаз не закрывается, глазное яблоко поворачивается вверх. | Плохо иннервируется круговая мышца глаза. | |
| Уголок рта опускается, рот напоминает теннисную ракетку. | Жидкая пища выливается с одной стороны рта, но человек может жевать. | Щечные ветви лицевого нерва не управляют круговой мышцей рта. | |
| Мышцы щеки не слушаются. | Человек прикусывает щеку во время еды. | Лицевой нерв не передает сигналы на мышцы щеки. | |
| Сухость во рту. | Постоянная жажда, недостаток слюны. | Слюнная железа получает искаженные команды из мозга. | |
| Невнятная речь. | Половина рта не участвует в произнесении звуков. | Лицевой нерв отвечает за работу губ и щек. | |
| Сухость глазного яблока. | Недостаток слез, глаз широко открыт. | Нарушена работа слезной железы. | |
| Слезотечение. | Избыток слез, которые стекают по щеке. | Активная работа слезной железы и нарушение оттока слез. | |
| Нарушение восприятия вкуса на одной половине языка. | Передние 2/3 языка с пораженной стороны не чувствуют вкус. | Воспаление волокон промежуточного нерва. | |
| Повышенная чувствительность слуха. | Звуки с одной стороны кажутся громче. | Воспаление лицевого нерва влияет на слуховые рецепторы. |
Опытный врач может определить место поражения лицевого нерва по симптомам.
- Повреждение в коре головного мозга – паралич мимических мышц нижней половины лица, нервный тик, непроизвольные движения. Асимметрия не заметна при смехе и плаче.
- Повреждение ядер лицевого нерва – нистагм, невозможность наморщить лоб, пониженная чувствительность кожи на половине лица, частые подергивания неба и глотки.
- Повреждение лицевого нерва в полости черепа – паралич мимических мышц, сухость во рту, отсутствие вкуса на передней части языка, повышенная чувствительность слуха.
Вы можете проверить наличие неврита лицевого нерва. Срочно обратитесь к врачу, если не можете:
- нахмурить брови;
- наморщить лоб;
- сморщить нос;
- свистнуть;
- задуть свечу;
- надуть щеки;
- набрать в рот воды;
- по очереди моргнуть обоими глазами;
- закрыть глаза (с пораженной стороны остается щель).
Если начать лечение в первые часы после появления признаков, болезнь пройдет быстрее. Врач может назначить противоотечные препараты (например, Фуросемид) для уменьшения отека нерва.
При признаках неврита лицевого нерва немедленно обратитесь к неврологу. Специалист может поставить диагноз без дополнительных исследований, но иногда требуются инструментальные обследования для выявления причины воспаления. Неврит могут вызывать опухоли, воспаления оболочек мозга, схожие симптомы могут возникать и при инсульте.
Анализ крови
Для общего анализа кровь берут из пальца. Признаки бактериального воспаления, которое могло стать причиной неврита:
- увеличение скорости оседания эритроцитов;
- повышение уровня лейкоцитов;
- снижение лимфоцитов.
Эти результаты могут указывать на затяжной отит, менингит или другие заболевания, приведшие к невриту.
Магнитно-резонансная томография (МРТ)
Исследование основано на взаимодействии магнитного поля и атомов водорода. Процедура длится около 40 минут, стоимость 4-5 тыс. рублей. Этот метод считается точным, так как кости черепа не являются преградой для магнитного поля.
МРТ позволяет выявить:
- опухоли головного мозга;
- признаки инфаркта мозга;
- аномальное развитие сосудов;
- воспаление оболочек мозга.
Результаты помогают врачу определить причину заболевания для эффективного лечения неврита.
Компьютерная томография (КТ)
Исследование основано на свойствах тканей поглощать рентгеновские лучи. Процедура длится около 10 минут, стоимость от 3 тыс. рублей. В результате могут быть обнаружены патологии, вызвавшие неврит:
- опухоли;
- признаки инсульта;
- участки плохого кровообращения;
- последствия травм головы.
В зависимости от результатов КТ врач определяет тактику лечения.
Электронейрография
Метод изучает скорость распространения электрического сигнала по нерву. Нерв стимулируется электрическим импульсом, а затем измеряется активность в других точках. Процедура длится 15-40 минут, стоимость от 1500 рублей.
Признаки болезни:
- снижение скорости проведения импульсов – указывает на воспаление нерва;
- электрический сигнал не передается на одну из веток – возможен разрыв;
- уменьшение числа возбужденных волокон – риск атрофии;
- слабая реакция мышц на электрические разряды – нарушено проведение импульсов.
Электромиография
Метод изучает электрические импульсы в мышцах. Процедура длится 40-60 минут, стоимость от 2000 рублей.
При неврите выявляются такие отклонения:
- импульсу требуется больше времени для прохождения;
- уменьшается число волокон, отвечающих на сигнал.
Эти результаты указывают на повреждение нерва. Метод не может выявить воспаление, а только его последствия. Повторное исследование через 2-3 недели позволяет оценить эффективность лечения.
| Группа препаратов | Примеры | Механизм действия | Способ применения |
| Мочегонные средства | Фуросемид, Фурон | Ускоряют выведение жидкости, предотвращая сжатие сосудов и отек нерва. | 1 таблетка 1 раз в день, желательно утром. |
| Нестероидные противовоспалительные препараты | Найз, Нурофен | Снимают воспаление и облегчают боль. | 1 таблетка 2 раза в день. Курс 10-14 дней. |
| Стероидные противовоспалительные средства | Дексаметазон, Преднизолон | Уменьшают воспаление и активизируют выделение нейромедиатора. | Дексаметазон принимают во время или после еды. Первые дни по 2-3 мг, затем дозу уменьшают. Курс до 10 дней. |
| Противовирусные препараты | Зовиракс, Ацикловир | Останавливают размножение вируса герпеса. | 1 таблетка 5 раз в день через равные промежутки времени. Курс 5 дней. |
| Спазмолитики | Но-шпа, Спазмол | Снимают спазм сосудов, улучшают кровообращение. | 2 таблетки 3 раза в день. Курс до 2 недель. |
| Нейротропные средства | Карбамазепин, Левомепромазин, Фенитоин | Улучшают работу нервных клеток и уменьшают нервный тик. | Половина или целая таблетка 2 раза в день. Курс от 10 дней. |
| Витамины группы В | В1, В6, В12 | Важны для работы нервной системы. | 1-2 таблетки после еды 1 раз в день. Курс 1-2 месяца. |
| Антихолинэстеразные препараты | Прозерин, Галантамин | Улучшают передачу сигнала от нервов к мышцам. | 1 таблетка 1-2 раза в день за полчаса до еды. Длительность 4-6 недель. |
Лечение неврита лицевого нерва должно проводиться только в больнице или под контролем врача. Самостоятельный прием медикаментов может вызвать серьезные побочные эффекты.
Физиотерапевтические процедуры можно начинать только с 7-10 дня после начала заболевания.
| Тип физиопроцедур | Показания | Механизм действия | Способ применения |
| Ультравысокочастотная терапия (УВЧ) | Воспаление лицевого нерва. | Электрическое поле улучшает обменные процессы и уменьшает отек. | Конденсаторные пластины размещают на расстоянии 2 см над сосцевидным отростком. Длительность 8-15 минут, курс 5-15 сеансов. |
| Ультрафиолетовое (УФ) облучение | Острый и подострый периоды воспаления. | УФ-лучи стимулируют выработку гормонов и иммунных клеток. | Определяют биодозу, курс 5-20 процедур. |
| Дециметровая терапия (ДМВ) | Острые и подострые воспалительные процессы. | Электромагнитные волны повышают температуру в тканях, активируя обмен веществ. | Длительность сеанса 5-15 минут, курс 3-15 процедур. |
| Электрофорез лекарственных веществ | Воспалительные процессы в нервных волокнах. | Постоянный ток оказывает противовоспалительный эффект. | На участки по ходу нерва накладываются смоченные раствором прокладки. Курс 10-20 процедур. |
| Диадинамотерапия | Паралич мышц, контрактуры. | Импульсные токи вызывают сокращение мышц. | На кожу фиксируют смоченные прокладки с электродами. Длительность 10-20 минут. |
| Парафиновые или озокеритовые аппликации | Подострый период воспаления. | Аппликации оказывают тепловое и механическое действие. | Наносят разогретый озокерит или парафин. Длительность до 40 минут. |
Во время лечения избегайте переохлаждения, особенно сразу после физиотерапии. После процедур не выходите на улицу в течение 15-20 минут.
Массаж можно начинать через 5-7 дней после появления симптомов. Лучше доверить это опытному специалисту.
- Разомните мышцы шеи перед массажем.
- Начинайте с затылка и шеи, чтобы подготовить лимфатические сосуды.
- Массируйте обе стороны головы.
- Обратите внимание на лицо, сосцевидный отросток и шею.
- Массаж лица должен быть поверхностным в первые дни.
- Используйте поглаживающие движения.
- Движения выполняйте по линиям оттока лимфы.
- Не массируйте участки с лимфатическими узлами.
- Самостоятельно выполните упражнение для растяжения мышц.
- Заканчивайте сеанс массажем для мышц шеи.
Продолжительность сеанса 10-15 минут. Массаж следует проводить до полного исчезновения симптомов.
Народные средства могут дополнять лечение:
- Прогревание солью или песком. Прогрейте стакан соли или песка и прикладывайте к больному месту на полчаса перед сном в течение месяца. Начинать можно через неделю после начала болезни.
- 10% раствор мумие для растирания. Нанесите на ватный диск и массируйте лицо. Выпейте 0,2 г мумие с медом в стакане теплого молока. Курс – 2 недели.
- Настойка белой акации. Залейте цветки акации водкой и настаивайте неделю. Используйте для растираний 2 раза в день на протяжении месяца.
- Ромашка для чая и компресса. Заварите пакетики ромашки, выпейте чай, а теплые пакетики используйте для компресса. Используйте 1 раз в день.
- Мазь из почек черного тополя. Измельчите почки и сливочное масло, наносите на кожу после прогревания 1 раз в день. Курс – 2 недели.
- Чай из лепестков розы. Залейте лепестки стаканом кипятка, принимайте 3 раза в день по 200 мл в течение 20-30 дней.
Неврит лицевого нерва требует длительного лечения, и первые результаты могут проявиться через 10 дней. При соблюдении рекомендаций врача болезнь отступит через 3-4 недели.
Нервные клетки восстанавливаются медленно и чувствительны к стрессам и токсинам. Некоторые пациенты могут терять надежду, если не видят быстрого улучшения, что может вызвать серьезные осложнения.
- Атрофия мышц. Мышцы уменьшаются в объеме из-за бездействия. Чтобы предотвратить атрофию, ежедневно выполняйте упражнения и массаж.
- Контрактура мимических мышц. Стягивание мышц лица с пораженной стороны. Прогревания и массаж помогут предотвратить это осложнение.
- Непроизвольные подергивания мышц лица. Ритмичные сокращения, которые не контролируются. Правильное лечение поможет предотвратить развитие гемиспазма.
- Синкинезии лица. Нарушение изоляции электрических импульсов в ветке нерва. Для профилактики необходимо ежедневно делать самомассаж.
- Конъюнктивит или кератит. Воспаление век и роговицы из-за невозможности закрыть глаз. Для предотвращения используются капли и повязки.
Неврит лицевого нерва может возникать повторно, что требует более длительного лечения. Однако соблюдение профилактических мер может помочь избежать рецидивов.
Избегайте переохлаждения. Это главный фактор риска. Не сидите под кондиционером и не выходите на улицу с мокрой головой.
Своевременно лечите вирусные заболевания. При первых признаках принимайте противовирусные препараты.
Избегайте стрессов. Научитесь снимать напряжение с помощью медитаций.
Ездите на курорт. Сухой жаркий климат поможет закрепить результаты лечения.
Правильно питайтесь. Питание должно быть полноценным, с достаточным количеством белка и свежих овощей.
Принимайте витамины. Витамины группы В важны для передачи импульсов.
Закаляйтесь. Постепенное закаливание укрепляет иммунитет.
Самомассаж. Массируйте лицо по массажным линиям 2 раза в день в течение года.
Если медикаментозное лечение не приносит улучшений в течение 8-10 месяцев, может быть назначена операция. Хирургическое вмешательство эффективно только в течение первого года болезни.
Показания к операции:
- разрыв нерва при травматическом неврите;
- отсутствие эффекта консервативного лечения;
- инструментальные исследования показывают перерождение нерва.
Методика операции по декомпрессии лицевого нерва.
Разрез делают позади ушной раковины, находят место выхода нерва и удаляют стенку канала, освобождая его от сжатия. Операция проводится под общим наркозом.
Методика операции по сшиванию разорванного лицевого нерва.
Разрез делают возле ушной раковины, находят разорванные концы нерва и сшивают их или прокладывают новое русло.
Перед гимнастикой сделайте разминку для шеи и плеч. Затем сядьте перед зеркалом и расслабьте мышцы. Каждое упражнение выполняйте по 5-6 раз.
- Удивленно поднимите брови.
- Гневно нахмурьте брови.
- Закройте глаза, если не получается, опустите веко пальцем.
- Сощурьте глаза.
- Сделайте круговые движения глазами.
- Улыбнитесь, не показывая зубов.
- Поднимите верхнюю губу и покажите зубы.
- Опустите нижнюю губу и покажите зубы.
- Улыбнитесь с открытым ртом.
- Опустите голову и фыркните.
- Раздуйте ноздри.
- Надуйте щеки.
- Перемещайте воздух из одной щеки в другую.
- Задуйте воображаемую свечу.
- Попробуйте свистнуть.
- Втяните щеки.
- Выпятите губы трубочкой.
- Опустите углы рта книзу, губы сомкнуты.
- Опустите верхнюю губу на нижнюю.
- Водите языком из стороны в сторону.
Если устали, отдохните и погладьте мышцы. Продолжительность гимнастики 20-30 минут. Повторяйте комплекс 2-3 раза в день.
После гимнастики зафиксируйте лицо платком, подтяните мышцы с больной стороны вверх, а со здоровой – вниз.
Внешний вид человека с невритом лицевого нерва характерен. Лицо напоминает перекошенную маску.
С больной стороны:
- глаз широко открыт;
- нижнее веко провисает;
- может наблюдаться слезотечение;
- опускается внешний край брови;
- угол рта опущен, часто из него сочится слюна;
- рот перетянут на здоровую сторону;
- мышцы щеки опущены;
- лобные и носогубные складки сглажены.
Признаки заболевания становятся более заметными при разговоре или проявлении эмоций. Пораженная сторона лица остается неподвижной при улыбке.
Иглоукалывание или рефлексотерапия считаются эффективными методами лечения неврита лицевого нерва. Воздействие на акупунктурные точки помогает:
- снять воспаление и ускорить восстановление нерва;
- уменьшить боль;
- быстрее избавиться от паралича мимических мышц;
- устранить непроизвольные подергивания.
Иглоукалывание восстанавливает тонус мышц на пораженной стороне и расслабляет на здоровой, делая лицо более симметричным. Процедуру должен проводить опытный специалист с одноразовыми иглами.
С первых дней заболевания воздействуют только на здоровую сторону. С 5-7 дня можно делать иглоукалывание на пораженной стороне. Многие пациенты отмечают, что иглоукалывание сокращает сроки лечения вдвое (до 2 недель).
Лечение неврита лицевого нерва может занять время, поэтому важно соблюдать рекомендации врача и использовать эффективные методы для выздоровления.
| Причина | Симптомы и признаки | Диагностика и лечение |
|---|---|---|
| Инфекции (вирусные, бактериальные) — например, опоясывающий лишай (герпес зостер) | Паралич лицевых мышц на одной стороне лица; опущение уголка рта; затруднение закрывания глаза; сухость глаза; изменение вкуса; боль за ухом; гиперкузез; | Неврологический осмотр; электронейромиография (ЭНМГ); магнитно-резонансная томография (МРТ); компьютерная томография (КТ); Лечение зависит от причины: противовирусные препараты (при вирусной инфекции), антибиотики (при бактериальной инфекции), кортикостероиды (для уменьшения воспаления), обезболивающие препараты; физиотерапия (электростимуляция, массаж); |
| Травмы лицевого нерва | Аналогичные симптомы, как при инфекционных причинах, в зависимости от места и степени повреждения нерва. | Неврологический осмотр; рентгенография; КТ; МРТ; Хирургическое вмешательство (при необходимости); физиотерапия; |
| Опухоли (в области уха, головного мозга) | Постепенное развитие симптомов; возможно наличие других неврологических симптомов, связанных с локализацией опухоли. | Неврологический осмотр; КТ; МРТ; биопсия; Хирургическое удаление опухоли; лучевая терапия; химиотерапия; |
| Аутоиммунные заболевания | Различные симптомы, могут быть и другие признаки аутоиммунного заболевания. | Неврологический осмотр; анализ крови на аутоантитела; Иммуносупрессивная терапия; |
| Идиопатический неврит (причина неизвестна) | Внезапное развитие симптомов; часто полное выздоровление без лечения. | Неврологический осмотр; исключение других причин; Ожидательное наблюдение; кортикостероиды (в некоторых случаях); физиотерапия; |
| Другие причины (например, гипотермия, дефицит витаминов) | Симптомы могут варьировать в зависимости от причины. | Неврологический осмотр; Лечение основной причины; |
Неврит лицевого нерва — это воспаление, которое может привести к параличу или слабости мышц лица. Люди, столкнувшиеся с этой проблемой, часто описывают резкое появление симптомов, таких как асимметрия лица, трудности с закрытием глаза и изменение вкусовых ощущений. Причины могут варьироваться от вирусных инфекций, таких как герпес, до стрессов и переохлаждения. Диагностика включает клинический осмотр и, при необходимости, МРТ для исключения других заболеваний. Лечение обычно состоит из противовоспалительных препаратов, физиотерапии и иногда кортикостероидов. Многие пациенты отмечают, что с ранним началом терапии восстанавливаются в течение нескольких недель, но полное восстановление может занять месяцы.

Механизм развития неврита лицевого нерва
Указанные факторы вызывают спазм артерий, что приводит к застою крови в капиллярах и их расширению. Жидкая часть крови проникает через стенки капилляров и накапливается в межклеточных пространствах, вызывая отек тканей. Это сжимает вены и лимфатические сосуды, нарушая отток лимфы.
Такое состояние негативно сказывается на кровообращении и питании нервов. Нервные клетки чувствительны к нехватке кислорода, что приводит к опуханию нервного ствола и кровоизлияниям. Это затрудняет передачу нервных импульсов от мозга к мышцам. Команда от мозга не доходит до мышечных волокон, и они не реагируют, что вызывает симптомы заболевания.
Симптомы и признаки неврита лицевого нерва
Неврит лицевого нерва начинается остро. Постепенное развитие симптомов может указывать на другую патологию.
| Симптом | Проявления | Причина | Фото |
| За 1-2 дня до нарушений мимики возникает боль за ухом. | Боль может иррадиировать в затылок и лицо. Через несколько дней возможен дискомфорт в глазном яблоке. | Эти ощущения вызваны отеком нерва, сжимающегося на выходе из слухового отверстия височной кости. | |
| Лицо асимметрично, с пораженной стороны напоминает маску. | Глаз широко открыт, уголок рта опущен, носогубная складка и складки на лбу разглажены. Асимметрия заметнее при разговоре, смехе или плаче. | Мозг теряет контроль над мимическими мышцами с одной стороны лица. | |
| Глаз с пораженной стороны не закрывается. | При попытке зажмуриться глаз не закрывается, а глазное яблоко поворачивается вверх. Остается щель, через которую видна белковая оболочка глаза — «заячий глаз». | Круговая мышца глаза плохо иннервируется, мышцы века на пораженной стороне не реагируют. | |
| Уголок рта опускается. Рот напоминает теннисную ракетку, повернутую ручкой к пораженной стороне. | Во время еды жидкая пища вытекает с одной стороны, но человек может двигать челюстью и жевать. | Щечные ветви лицевого нерва теряют контроль над круговой мышцей рта. | |
| Мышцы щеки не поддаются контролю. | Во время еды человек может прикусить щеку, еда застревает в ней. | Лицевой нерв не передает сигналы от мозга к мышцам щеки. | |
| Сухость во рту. | Постоянное ощущение жажды, пища недостаточно смачивается слюной. В некоторых случаях наблюдается обильное слюнотечение, слюна стекает с опущенного уголка рта. | Слюнная железа получает искаженные команды из мозга. | |
| Речь становится нечеткой. | Половина рта не участвует в произнесении звуков, особенно с согласными (б, в, ф). | Лицевой нерв отвечает за работу губ и щек, необходимых для артикуляции. | |
| Сухость глазного яблока. | Недостаток слез, глаз широко открыт и редко моргает, что приводит к высыханию. | Нарушена функция слезной железы, вырабатывающей недостаточное количество слезной жидкости. | |
| Слезотечение. | У некоторых людей наблюдается избыток слез, которые стекают по щеке. | Активная работа слезной железы при нарушении оттока слез. | |
| Нарушение восприятия вкуса на одной половине языка. | Передние 2/3 языка с пораженной стороны не ощущают вкуса. | Это связано с воспалением волокон промежуточного нерва, передающего сигналы от вкусовых рецепторов к мозгу. | |
| Повышенная чувствительность слуха. | Звуки с одной стороны кажутся громче, особенно низкие частоты. | Воспаление лицевого нерва в височной кости влияет на слуховые рецепторы. |
Опытный врач может определить место поражения лицевого нерва по симптомам.
- Повреждение коры головного мозга – паралич мимических мышц нижней части лица, нервный тик, непроизвольные движения мышц лица. При смехе и плаче асимметрия может быть незаметной.
- Повреждение ядер лицевого нерва – непроизвольные движения глаз (нистагм), невозможность наморщить лоб, сниженная чувствительность кожи на одной стороне лица, частые подергивания неба и глотки. Может наблюдаться нарушение координации движений на одной стороне тела.
- Повреждение лицевого нерва в черепной полости и пирамиде височной кости – паралич мимических мышц, недостаточная выработка слюны, сухость во рту, отсутствие вкусовых ощущений на передней части языка, повышенная чувствительность слуха или нервная глухота, сухость глаза.
Вы можете проверить наличие неврита лицевого нерва. Срочно обратитесь к врачу, если не можете:
- нахмурить брови;
- наморщить лоб;
- сморщить нос;
- свистнуть;
- задуть свечу;
- надуть щеки;
- набрать в рот воды;
- по очереди моргнуть обоими глазами;
- закрыть глаза (с пораженной стороны остается щель, через которую виден белок глаза).
Если начать лечение в первые часы после появления симптомов, справиться с болезнью удастся быстрее. Врач может назначить противоотечные препараты (например, Фуросемид) для уменьшения отека нерва.

Диагностика причин неврита лицевого нерва
Если вы заметили симптомы неврита лицевого нерва, немедленно обратитесь к неврологу. Специалист может установить диагноз без дополнительных тестов, но иногда требуются инструментальные исследования для выяснения причины воспаления. Неврит может быть вызван опухолями, воспалительными процессами в оболочках мозга или инсультом.
Анализ крови
Общий анализ крови берется из пальца. Признаки бактериального воспаления, которое могло вызвать неврит:
- значительное увеличение скорости оседания эритроцитов;
- рост уровня лейкоцитов;
- снижение доли лимфоцитов.
Эти результаты, в сочетании с другими симптомами (головная боль, выделения из уха, гнойные воспаления), могут указывать на затяжной отит, менингит или другие заболевания, приведшие к невриту.
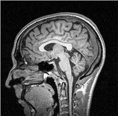
Магнитно-резонансная томография (МРТ)
Процедура основана на взаимодействии магнитного поля с атомами водорода. После воздействия магнитного поля атомы выделяют энергию, фиксируемую датчиками, что позволяет получить послойное изображение.
Исследование занимает около 40 минут и стоит 4-5 тысяч рублей. Этот метод считается наиболее точным, так как кости черепа не препятствуют магнитному полю, и не используется рентгеновское облучение, что делает его безопасным даже для беременных.
МРТ позволяет выявить:
- опухоли головного мозга;
- признаки инфаркта мозга;
- аномалии сосудов;
- воспалительные процессы в оболочках мозга.
Результаты МРТ помогают врачу определить причину заболевания, что важно для эффективного лечения неврита.
Компьютерная томография головного мозга (КТ)
Это исследование основано на способности тканей поглощать рентгеновские лучи. Облучение проводится с нескольких углов для получения точных данных.
Во время процедуры вы располагаетесь на кушетке, которая перемещается вдоль сканера. Процесс занимает около 10 минут, стоимость начинается от 3 тысяч рублей. КТ более распространено.
В результате исследования могут быть выявлены патологии, вызвавшие неврит:
- опухоли;
- признаки перенесенного инсульта;
- участки с нарушением кровообращения вблизи лицевого нерва;
- последствия травм головы, такие как гематомы.
На основе результатов КТ врач определяет стратегию лечения: удаление опухоли или восстановление кровообращения.
Электронейрография
Этот метод изучает скорость передачи электрического сигнала по нерву. Нерв стимулируется слабым электрическим импульсом в одной точке, после чего измеряется активность в двух других точках его ветвей. Данные фиксируются в компьютере.
Во время процедуры на лицевой нерв накладываются два электрода. На один из них подаются слабые электрические разряды, что может вызвать покалывание, а другой фиксирует сигналы. Процедура длится от 15 до 40 минут, стоимость начинается от 1500 рублей.
Признаки заболевания:
- снижение скорости передачи импульсов указывает на воспаление нерва;
- отсутствие передачи сигнала на одной из веток может свидетельствовать о разрыве нервного волокна;
- уменьшение числа активных мышечных волокон указывает на риск атрофии;
- слабая реакция мышц лица на электрические разряды говорит о нарушении передачи нервных импульсов.
Электромиография
Этот метод исследует электрические импульсы в мышцах без внешней стимуляции. Обычно его проводят совместно с электронейрографией.
Во время процедуры в разные участки мышцы вводятся тонкие одноразовые иглы, что может вызвать кратковременную боль. Эти электроды позволяют определить распространение импульсов в отдельных мышечных волокнах. Сначала техник исследует расслабленные мышцы, затем предлагает выполнить движения, такие как нахмуривание бровей или надувание щек. Процедура длится 40-60 минут, стоимость начинается от 2000 рублей.
При неврите могут быть выявлены следующие отклонения:
- увеличение времени, необходимого для прохождения импульса по мышце;
- снижение числа волокон, реагирующих на сигнал.
Эти результаты указывают на повреждение нерва. Метод не позволяет выявить воспаление, а лишь его последствия, такие как атрофия мышц и контрактуры. Повторное исследование через 2-3 недели поможет оценить эффективность лечения.
Лечение неврита лицевого нерва
Лечение медикаментами
| Классификация препаратов | Примеры | Принцип действия | Способ применения |
| Мочегонные средства | Фуросемид, Фурон | Ускоряют выведение мочи, помогая тканям избавиться от лишней жидкости, предотвращая сжатие сосудов и отек нерва. | Принимать по 1 таблетке один раз в день, предпочтительно утром, так как в течение следующих 6 часов увеличивается частота мочеиспускания. |
| Нестероидные противовоспалительные препараты | Найз, Нурофен | Уменьшают воспаление вдоль нервного волокна, облегчая болевые ощущения в области лица и уха. | Принимать по 1 таблетке дважды в день. Врач может увеличить дозу при необходимости. Курс — 10-14 дней. |
| Глюкокортикоиды | Дексаметазон, Преднизолон | Устраняют воспаление в нервных волокнах, уменьшают отек и боль, способствуют выделению нейромедиаторов, улучшая передачу импульсов. | Дексаметазон принимать во время или после еды. В первые дни — по 2-3 мг, затем дозу снижают в три раза. Курс — до 10 дней. |
| Противовирусные препараты | Зовиракс, Ацикловир | Препятствуют размножению вируса герпеса, вызывающего воспаление лицевого нерва. | Принимать по 1 таблетке 5 раз в день с равными интервалами, лучше во время еды, запивая водой. Курс — 5 дней. |
| Спазмолитики | Но-шпа, Спазмол | Снимают спазмы гладкой мускулатуры сосудов, расширяют артерии, улучшают кровообращение в воспаленной области и уменьшают боль. | Принимать по 2 таблетки трижды в день. Курс — до 2 недель. |
| Нейротропные препараты | Карбамазепин, Левомепромазин, Фенитоин | Нормализуют работу нервных клеток, улучшают минеральный обмен, обладают анальгезирующим эффектом, уменьшают нервные тики и непроизвольные сокращения мышц. | Принимать по половине или целой таблетке дважды в день, запивая водой. Курс — от 10 дней. Рекомендуется избегать алкоголя. |
| Витамины группы В | В1, В6, В12, Тиамин, Пиридоксин, Рибофлавин | Важны для нервных клеток и их отростков, играют ключевую роль в функционировании нервной системы и защищают её от токсических воздействий. | Принимать по 1-2 таблетки после еды один раз в день. Курс — 1-2 месяца. |
| Антихолинэстеразные препараты | Прозерин, Галантамин | Улучшают передачу нервных сигналов к мышцам, повышают их тонус и нормализуют работу слезных и слюнных желез. | Назначают с второй недели заболевания по 1 таблетке 1-2 раза в день за полчаса до еды. Длительность — 4-6 недель. При контрактурах мышц препараты отменяют. |
Лечение неврита лицевого нерва должно проводиться в стационаре или, с разрешения врача, в дневном стационаре. Самостоятельный прием лекарств может вызвать серьезные побочные эффекты и помешать восстановлению мимических мышц лица.
Физиопроцедуры при неврите
Физиотерапевтические методы лечения можно начинать с 7-10 дня после начала заболевания.
| Тип физиопроцедур | Показания | Механизм действия | Способ применения |
|---|---|---|---|
| Ультравысокочастотная терапия (УВЧ) с низкотепловой интенсивностью | Воспаление лицевого нерва; нарушения кровообращения и лимфооттока. | Электрическое поле ультравысокой частоты поглощается тканями, что активирует обменные процессы, улучшает питание тканей и уменьшает отек. Увеличивается количество лейкоцитов, борющихся с воспалением. | Конденсаторные пластины располагаются на 2 см над сосцевидным отростком и местом разветвления лицевого нерва. Продолжительность сеанса 8-15 минут, курс — 5-15 процедур ежедневно или через день. |
| Ультрафиолетовое (УФ) облучение половины или всего лица (1-2 биодозы) | Острые и подострые стадии воспаления периферических нервов; заболевания нервной системы с сильными болями. | Ультрафиолетовые лучи стимулируют выработку гормонов и иммунных клеток, обеспечивая противовоспалительный и обезболивающий эффект. | Определяется биодоза — время облучения для покраснения кожи (1-5 минут). В дальнейшем — 1-2 биодозы. Курс включает 5-20 процедур. |
| Дециметровая терапия (ДМВ) на пораженной стороне лица | Острые (не гнойные) и подострые воспалительные процессы нервной системы. | Дециметровые волны повышают температуру в тканях на 3-4 градуса, активируя обмен веществ, расширяя сосуды и улучшая кровоснабжение. | Вы располагаетесь на кушетке, излучатель слегка касается кожи. Продолжительность сеанса 5-15 минут, курс — 3-15 процедур. |
| Электрофорез лекарственных веществ (дибазол, прозерин, нивалин, калий, витамин В1) | Воспалительные процессы в нервных волокнах; нарушения обмена веществ; атрофия мышц. | Постоянный электрический ток оказывает противовоспалительное, противоотечное и обезболивающее действие, позволяя вводить лекарства под кожу. | На участки по ходу нерва накладываются смоченные раствором теплые прокладки, сверху — электроды. Постепенно увеличивается сила тока до легкого покалывания. Курс — 10-20 процедур по 10-30 минут. |
| Диадинамотерапия | Паралич мышц, контрактуры, боли в пораженной половине лица, повреждение нервного волокна. | Импульсные токи проникают в мышечные волокна, вызывая их сокращение, что важно для восстановления. Ускоряется выведение жидкости и активируются ферменты, борющиеся с воспалением. | На кожу в области нервов фиксируются смоченные теплой водой прокладки с электродами. Продолжительность процедуры 10-20 минут, курс — 10-30 сеансов ежедневно или через день. |
| Парафиновые или озокеритовые аппликации | Подострый период воспаления нерва; паралич лицевых мышц. | Аппликации действуют тепловым, механическим и химическим способом, ускоряя восстановление нервных волокон и устраняя последствия воспаления. | На пораженную и здоровую сторону лица наносят разогретый озокерит или парафин. Когда один слой остывает, его покрывают новым. Несколько слоев накрываются клеенкой и шерстяной тканью. Продолжительность процедуры до 40 минут, курс — 10-20 процедур ежедневно или через день. |
Во время лечения неврита лицевого нерва следует избегать переохлаждения, так как это может ухудшить состояние. Рекомендуется не выходить из помещения в течение 15-20 минут после процедур. В холодную погоду обязательно надевайте шапку и прикрывайте пораженную сторону лица шарфом.
Массаж при неврите лицевого нерва
Начинать массаж при неврите лицевого нерва рекомендуется через 5-7 дней после появления первых симптомов. Лучше доверить эту процедуру квалифицированному специалисту.
- Перед массажем размять мышцы шеи: выполняйте наклоны головы вперед и назад, повороты и вращения. Каждое упражнение повторяйте 10 раз медленно, следя за самочувствием.
- Начинайте массаж с области затылка и шеи, чтобы подготовить лимфатические сосуды к оттоку лимфы из лица.
- Массажируйте как пораженную, так и здоровую сторону головы.
- Уделяйте внимание лицу, сосцевидному отростку, шее и воротниковой зоне.
- Массаж лица должен быть легким и поверхностным, особенно в первые дни, чтобы избежать болезненных сокращений мышц.
- Используйте поглаживающие движения, легкая вибрация также эффективна.
- Движения выполняйте по направлениям оттока лимфы.
- Проводите пальцами от центра подбородка, носа и лба к околоушным железам, многократно повторяя это движение.
- Избегайте массирования участков с лимфатическими узлами, чтобы не вызвать их воспаление.
- Можно самостоятельно выполнять следующее упражнение: большой палец одной руки разместите за щекой и аккуратно растяните мышцы, в то время как большими и указательными пальцами другой руки массируйте мышцы щеки снаружи.
- После массажа лица снова обработайте мышцы затылка и шеи для улучшения оттока лимфы.
- Завершите сеанс упражнениями для шейных мышц.
Продолжительность сеанса массажа — 10-15 минут. Процедуру следует проводить до полного исчезновения симптомов. Обычно рекомендуется 10-20 сеансов, после чего можно перейти к самомассажу с использованием той же методики.
Народное лечение неврита лицевого нерва
Народные методы лечения неврита лицевого нерва могут эффективно дополнять медицинскую терапию и способствовать быстрому выздоровлению. Вот несколько проверенных рецептов.
-
Прогревание с солью или песком. Нагрейте стакан соли или чистого песка на сковороде или в микроволновке. Переложите в мешочек из плотной ткани и прикладывайте к пораженному участку на полчаса перед сном в течение месяца. Начинайте прогревание не ранее чем через неделю после появления симптомов. Тепло улучшает состояние мышц и ускоряет восстановление нерва.
-
10% раствор мумие для массажа. Готовый раствор можно купить в аптеке. Нанесите немного на ватный диск и аккуратно массируйте лицо от центра к уху в течение 5 минут. Затем примите 0,2 г мумие, растворенного в стакане теплого молока с чайной ложкой меда. Курс — 2 недели. Мумие эффективно для терапии периферических нервов и укрепляет иммунную систему.
-
Настойка белой акации для массажа. Залейте 4 столовые ложки цветков акации стаканом водки и настаивайте в стеклянной емкости в течение недели. Используйте настойку для массажа дважды в день на протяжении месяца.
-
Ромашка для чая и компресса. Заварите 3 пакетика ромашки в чашке горячей воды и дайте настояться 15 минут. Выпейте чай, а теплые пакетики используйте для компресса. Приложите их к лицу, накройте целлофаном и шерстяной тканью. Ромашка уменьшает воспаление, спазмы и отечность. Применяйте 1 раз в день на протяжении всего курса лечения.
-
Мазь из почек черного тополя. Измельчите 2 столовые ложки почек тополя (свежих или сушеных) и смешайте с 2 столовыми ложками сливочного масла. Наносите мазь на кожу после прогревания 1 раз в день, осторожно втирая. Курс — 2 недели. Эфирные масла и смолы в почках обладают противовоспалительным и обезболивающим эффектом, заметным на 5-7 день.
-
Чай из лепестков розы. Залейте столовую ложку свежих лепестков красной розы стаканом кипятка. Настаивайте 10 минут. Принимайте по 200 мл три раза в день в течение 20-30 дней. Эфирные масла и микроэлементы улучшают работу нервной системы и проводимость импульсов в нервных волокнах.
Лечение неврита лицевого нерва может занять время, поэтому первые положительные результаты могут появиться через 10 дней. При соблюдении всех рекомендаций врача болезнь отступит в течение 3-4 недель.
Последствия неврита лицевого нерва
Нервные клетки восстанавливаются после неврита медленно и чувствительны к стрессу, переохлаждению и токсинам, что усложняет реабилитацию. Некоторые пациенты теряют надежду через несколько дней без заметных улучшений, что может привести к игнорированию рекомендаций врача, пропуску массажей и отказу от медикаментов, что чревато осложнениями.
-
Атрофия мышц – уменьшение объема и силы мышц, возникающее из-за длительного бездействия и нарушения питания. Атрофия необратима и может развиться через год после начала заболевания. Чтобы предотвратить атрофию, важно ежедневно выполнять физические упражнения, проходить массаж и использовать детский крем с 10 каплями пихтового масла на 1 ч.л. крема.
-
Контрактура мимических мышц – спазм мышц лица на пораженной стороне, приводящий к потере эластичности. Мышцы становятся болезненными и слабо реагируют на стимулы. Это состояние может развиться при отсутствии улучшений в течение 4 недель, вызывая спазм и укорочение мышц, что делает глаз прищуренным и усиливает носогубную складку. Для профилактики полезны прогревания (соль, озокерит), лейкопластырные наклейки и массаж.
-
Непроизвольные подергивания мышц лица: лицевой гемиспазм и блефароспазм. Это ритмичные сокращения круговой мышцы глаза или других мимических мышц, не поддающиеся контролю. Причиной является сжатие лицевого нерва пульсирующими сосудами, нарушающее проводимость нервных импульсов. Правильное медикаментозное лечение может помочь предотвратить гемиспазм.
-
Синкинезии лица. Это осложнение возникает из-за нарушения изоляции электрических импульсов в ветке нерва, что приводит к «короткому замыканию» и распространению возбуждения на другие участки. Например, при жевании может активироваться слезная железа, вызывая «крокодиловы слезы», или при закрывании глаза поднимается уголок рта. Для профилактики рекомендуется ежедневно выполнять самомассаж и гимнастику.
-
Конъюнктивит или кератит. Воспаление внутренней оболочки век и роговицы возникает из-за невозможности полностью закрыть глаз. Это приводит к пересыханию глазного яблока и накоплению пыли, вызывающей воспаление. Чтобы избежать этого, рекомендуется использовать капли Систейн или Оксиал и закрывать глаз повязкой с увлажняющей мазью Парин на ночь.
Часто задаваемые вопросы
Что делать для профилактики неврита лицевого нерва?
Иногда неврит лицевого нерва может повторяться на одной стороне лица, что называется рецидивом. В таких случаях требуется длительное лечение, а вероятность полного выздоровления снижается. Профилактические меры помогут избежать повторного появления болезни.
Избегайте переохлаждения. Это основной фактор риска. Даже легкие сквозняки опасны. Не находитесь под кондиционером, не сидите в транспорте с открытым окном, не выходите на улицу с влажными волосами, а в холодное время года носите шапку или капюшон.
Своевременно лечите вирусные инфекции. При первых признаках заболевания принимайте противовирусные средства, такие как Гропринозин, Афлубин или Арбидол. Используйте капли с иммуноглобулином Виферон для закапывания в нос, чтобы предотвратить размножение вируса в нервных клетках.
Избегайте стрессов. Сильные стрессы ослабляют иммунную систему и нарушают работу нервной системы. Научитесь расслабляться с помощью аутотренинга или медитаций. Полезны Глицисед, настойка пустырника или боярышника.
Посетите курорт. Для закрепления результатов лечения отправьтесь на курорт с сухим и теплым климатом, например, в Кисловодск, Ессентуки, Пятигорск или Железноводск.
Соблюдайте правильное питание. Рацион должен быть сбалансированным для укрепления иммунитета. Включайте в меню достаточное количество белковых продуктов (мясо, рыба, творог, яйца), а также свежие овощи и фрукты.
Принимайте витамины. Убедитесь, что в рационе достаточно витаминов, особенно группы В, которые важны для передачи нервных импульсов и входят в состав мембран нервных клеток.
Закаляйтесь. Постепенное закаливание укрепляет иммунную систему и повышает устойчивость к переохлаждению. Начните с солнечно-воздушных ванн или загара. Полезно принимать контрастный душ: в первую неделю разница температур между холодной и горячей водой должна составлять 3 градуса. Каждую неделю увеличивайте разницу.
Самомассаж. В течение года выполняйте массаж лица по массажным линиям по 10 минут дважды в день. Одну руку положите на здоровую сторону, другую — на пораженную. Мышцы здоровой стороны опускайте вниз, а больной подтягивайте вверх. Это поможет устранить остаточные явления после неврита и снизить риск рецидива.
Делают ли операцию при неврите лицевого нерва?
Если медикаментозное лечение не дало результатов в течение 8-10 месяцев, врачи могут рекомендовать хирургическое вмешательство. Операция по лечению неврита лицевого нерва наиболее эффективна в первый год после начала заболевания, после чего в мышцах происходят необратимые изменения.
Операция чаще всего требуется при ишемическом неврите, когда лицевой нерв сжимается в узком фаллопиевом канале, что может быть вызвано воспалением в среднем ухе или переломом черепа. Хирургическое лечение также необходимо при травматическом неврите, когда нерв поврежден.
Показания для операции:
- разрыв нерва при травматическом неврите;
- отсутствие эффекта от консервативного лечения в течение 8-12 месяцев;
- результаты исследований указывают на перерождение нерва.
Методика операции по декомпрессии лицевого нерва включает полукруглый разрез за ушной раковиной. Хирург находит место выхода нерва из шило-сосцевидного отверстия и аккуратно удаляет наружную стенку канала лицевого нерва, чтобы не повредить сам нерв. Это позволяет освободить нерв от сжатия со стороны височной кости. Операция проводится под общим наркозом, после чего накладываются швы.
Методика сшивания разорванного лицевого нерва начинается с надреза возле ушной раковины. Хирург находит разорванные концы нерва и очищает место разрыва для лучшего срастания. Дальнейшие действия зависят от ситуации:
- Если расстояние между концами нерва не превышает 3 мм, их сшивают — это предпочтительный вариант;
- Если расстояние до 12 мм, нерв освобождается от тканей, и создается новое более короткое русло, что позволяет соединить концы одним швом, но может нарушить кровоснабжение;
- При необходимости соединения нерва с помощью аутотрансплантата участок нерва берется из бедра и вставляется на место разрыва, что позволяет восстановить участок длиной несколько сантиметров, но требует сшивания нерва в двух местах, что может повлиять на передачу сигналов.
Какую гимнастику выполнять при неврите лицевого нерва?
Перед гимнастикой выполните разминку для шеи и плеч. Затем сядьте перед зеркалом, расслабьте мышцы лица и выполните каждое упражнение по 5-6 раз.
- Поднимите брови с удивлением.
- Нахмурьте брови с гневом.
- Посмотрите вниз и закройте глаза. Если сложно, аккуратно опустите веко пальцем.
- Сощурьте глаза.
- Выполните круговые движения глазами.
- Улыбнитесь, не открывая зубы.
- Поднимите верхнюю губу и покажите зубы.
- Опустите нижнюю губу и продемонстрируйте зубы.
- Улыбнитесь с открытым ртом.
- Опустите голову и издайте фыркание.
- Раздуйте ноздри.
- Надуйте щеки.
- Перемещайте воздух из одной щеки в другую.
- Задуйте воображаемую свечу.
- Попробуйте свистнуть.
- Втяните щеки внутрь.
- Выпятите губы трубочкой.
- Опустите углы рта вниз, губы сомкнуты.
- Наклоните верхнюю губу на нижнюю.
- Водите языком из стороны в сторону, открывая и закрывая рот.
Если почувствовали усталость, сделайте перерыв и аккуратно погладьте мышцы лица. Гимнастика должна длиться 20-30 минут и повторяться 2-3 раза в день для эффективного восстановления.
После завершения возьмите платок, сложите его по диагонали и зафиксируйте на лице, завязав концы на темени. Подтяните мышцы лица с пораженной стороны вверх, а со здоровой — вниз.
Как выглядит больной с невритом лицевого нерва, фото?
Внешний вид человека с невритом лицевого нерва имеет характерные черты. Лицо выглядит как перекошенная маска.
С пораженной стороны:
- глаз остается широко открытым;
- нижнее веко опускается;
- возможно слезотечение;
- внешний край брови опускается;
- угол рта опущен, иногда выделяется слюна;
- рот смещен в сторону здоровой половины;
- мышцы щеки ослаблены;
- лобные и носогубные складки менее выражены.
Симптомы становятся особенно заметными при разговоре или выражении эмоций. Пораженная сторона лица не реагирует на улыбку и подъем бровей.
Эффективно ли иглоукалывание при неврите лицевого нерва?
Иглоукалывание, или рефлексотерапия, является эффективным методом лечения неврита лицевого нерва. Воздействие на акупунктурные точки способствует:
- уменьшению воспаления и ускорению восстановления нерва;
- облегчению боли;
- быстрому восстановлению функции мимических мышц;
- устранению непроизвольных подергиваний глаз и губ.
Метод восстанавливает тонус мышц на пораженной стороне лица и расслабляет мышцы на здоровой стороне, что делает лицо более симметричным с первых дней лечения.
Успех терапии зависит от квалификации специалиста, который должен правильно выбрать методы и определить чувствительные точки. Использование одноразовых игл минимизирует риск заражения.
Для достижения лучших результатов важно настроиться на лечение. Во время введения иглы возможна легкая боль, а затем могут возникнуть ощущения тепла, холода, давления и покалывания, что свидетельствует о правильном расположении игл.
На начальных этапах воздействия осуществляется только на здоровую сторону. С 5-7 дня можно начинать иглоукалывание и на пораженной стороне. Многие пациенты отмечают, что иглоукалывание сокращает время лечения до 2 недель.
Лечение неврита лицевого нерва требует времени, терпения и строгого соблюдения рекомендаций врача. Существует множество эффективных методов, которые помогут справиться с этой болезнью.
Вопрос-ответ
Как понять, что начинается неврит лицевого нерва?
Начало неврита лицевого нерва может проявляться внезапной слабостью или параличом мышц одной стороны лица, что приводит к асимметрии при улыбке или закрывании глаз. Также могут наблюдаться покалывание, онемение, изменение вкуса на передней части языка, повышенная чувствительность к звукам и слезотечение. Если вы заметили такие симптомы, рекомендуется обратиться к врачу для диагностики и лечения.
Какое лечение наиболее эффективно для неврита лицевого нерва?
В настоящее время считается, что наиболее эффективное лечение лицевого неврита – применение глюкокортикоидов (препаратов гормонов коры надпочечников). Они эффективно подавляют воспаление. Это существенно ускоряет восстановление пораженного нерва.
Какие таблетки назначают при неврите лицевого нерва?
В начальном периоде неврита лицевого нерва назначают глюкокортикоиды (преднизолон), противоотечные средства (фуросемид, триамтерен), сосудорасширяющие препараты (никотиновая кислота, скополамин, ксантинола никотинат), витамины группы В. Для купирования болевого синдрома показаны блокады.
Каковы первые признаки воспаления лицевого нерва?
Первые признаки воспаления лицевого нерва (лицевого паралича) могут включать внезапную слабость или паралич одной стороны лица, затруднения в закрытии глаза, асимметрию лица, изменение вкусовых ощущений на передних двух третях языка, а также возможные боли за ухом или в области челюсти. Часто наблюдаются также слезотечение или сухость глаза на пораженной стороне.
Советы
СОВЕТ №1
Если вы заметили у себя или у близкого человека симптомы неврита лицевого нерва, такие как асимметрия лица, затруднения в движении мышц или изменение вкусовых ощущений, не откладывайте визит к врачу. Раннее обращение к специалисту может значительно повысить эффективность лечения.
СОВЕТ №2
Обратите внимание на факторы, которые могут способствовать развитию неврита, такие как стресс, переохлаждение или вирусные инфекции. Постарайтесь минимизировать их влияние на ваш организм, чтобы снизить риск возникновения заболевания.
СОВЕТ №3
Следите за своим состоянием и выполняйте назначенные врачом упражнения для восстановления мышц лица. Регулярная физическая активность поможет улучшить кровообращение и ускорить процесс реабилитации.
СОВЕТ №4
Не забывайте о важности психологической поддержки. Неврит лицевого нерва может вызывать не только физические, но и эмоциональные трудности. Общение с близкими, участие в группах поддержки или консультации с психологом могут помочь справиться с эмоциональным стрессом.












