Гингивит у детей — распространенное воспаление десен, вызывающее дискомфорт. Своевременное выявление и лечение гингивита предотвращает более серьезные стоматологические проблемы и поддерживает общее здоровье ребенка. В статье рассмотрим основные причины гингивита, его симптомы, методы лечения и рекомендации по использованию мазей и антибиотиков для устранения воспаления десен.
Гингивит у детей – причины
Чтобы эффективно бороться с заболеванием, необходимо понимать его причины. Воспаление десен может иметь множество факторов, и многие ошибочно полагают, что основная причина кроется лишь в недостаточной гигиене полости рта. Хотя это действительно важный аспект, существуют и другие причины, способствующие развитию воспалительных процессов:
- аномалии зубного ряда (например, скученность зубов);
- дыхание через рот;
- использование ортодонтических аппаратов;
- неправильное питание (недостаток свежих овощей и фруктов в рационе);
- недостатки в пломбировке (например, выступающие края пломбы);
- термические ожоги слизистой оболочки рта из-за горячей пищи или напитков;
- хронические травмы десен при неправильной чистке зубов.
Если говорить о факторах, которые ослабляют защитные функции десен против токсинов и веществ, способствующих образованию зубного налета, то к ним относятся:
- аллергические реакции;
- нехватка витаминов;
- острые респираторные вирусные инфекции и грипп;
- тонзиллит;
- дисбактериоз;
- холецистит;
- сахарный диабет;
- ревматические заболевания.
Эксперты в области детской стоматологии подчеркивают, что гингивит у детей может быть вызван различными факторами, включая недостаточную гигиену полости рта, неправильное питание и вирусные инфекции. Важно отметить, что ранняя диагностика и лечение играют ключевую роль в предотвращении осложнений. Специалисты рекомендуют регулярные визиты к стоматологу, а также обучение детей правильной чистке зубов и уходу за деснами. Лечение может включать профессиональную чистку, применение антисептических растворов и, в некоторых случаях, антибиотиков. Кроме того, эксперты акцентируют внимание на необходимости сбалансированного питания, богатого витаминами и минералами, что способствует укреплению десен и общему здоровью полости рта.
https://youtube.com/watch?v=GrMX4x4kJ5I
Гингивит у детей – симптомы
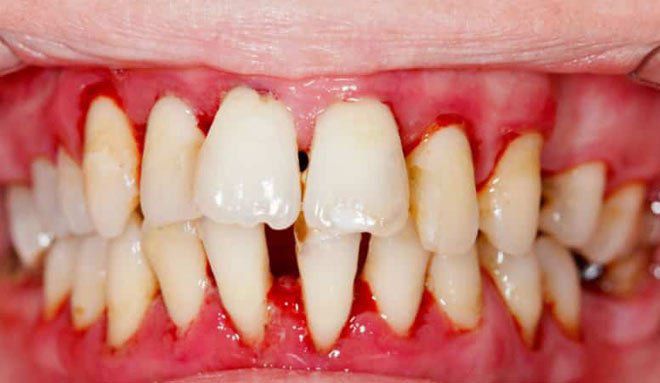
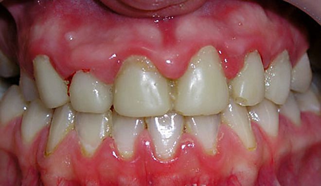
Гингивит, заболевание десен, проявляется различными симптомами, которые зависят от его типа и формы. К основным признакам, характерным для всех разновидностей, относятся:
- отек десен;
- увеличение объема тканей;
- кровоточивость;
- образование язв на деснах.
| Вид гингивита | Причины | Лечение |
|---|---|---|
| Катаральный гингивит | Плохая гигиена полости рта, прорезывание зубов, травмы, инфекции | Профессиональная гигиена, антисептические полоскания, обучение гигиене |
| Гипертрофический гингивит | Гормональные изменения (пубертат), прием некоторых лекарств, наследственность | Профессиональная гигиена, хирургическое иссечение разросшихся тканей, коррекция лекарственной терапии |
| Язвенно-некротический гингивит | Снижение иммунитета, стресс, плохая гигиена, инфекции (вирусные, бактериальные) | Антибиотики, антисептические полоскания, обезболивающие, профессиональная гигиена, иммуномодуляторы |
| Десквамативный гингивит | Аутоиммунные заболевания, аллергические реакции, некоторые кожные заболевания | Лечение основного заболевания, местные противовоспалительные средства, иммуносупрессоры |
| Атрофический гингивит | Травмы, неправильный прикус, возрастные изменения, некоторые системные заболевания | Устранение травмирующих факторов, ортодонтическое лечение, витаминотерапия, физиотерапия |
| Гингивит, ассоциированный с прорезыванием зубов | Прорезывание молочных или постоянных зубов | Местные противовоспалительные гели, обезболивающие, поддержание гигиены |
| Гингивит, ассоциированный с системными заболеваниями | Сахарный диабет, лейкемия, ВИЧ-инфекция, дефицит витаминов | Лечение основного заболевания, профессиональная гигиена, симптоматическая терапия |
Интересные факты
Вот несколько интересных фактов о гингивите у детей:
-
Причины гингивита у детей: Основной причиной гингивита у детей является накопление зубного налета, который образуется из-за недостаточной гигиены полости рта. Однако у детей также могут быть предрасполагающие факторы, такие как неправильное питание, недостаток витаминов (особенно витамина C), а также некоторые заболевания, такие как диабет или иммунные расстройства.
-
Симптомы и диагностика: Гингивит у детей может проявляться в виде покраснения, отека и кровоточивости десен. Важно отметить, что у маленьких детей симптомы могут быть менее выраженными, и родители могут не замечать проблемы до тех пор, пока она не станет более серьезной. Регулярные визиты к стоматологу помогут выявить гингивит на ранних стадиях.
-
Лечение и профилактика: Лечение гингивита у детей обычно включает профессиональную чистку зубов, обучение правильной гигиене полости рта и, в некоторых случаях, использование антисептических растворов. Профилактика включает регулярную чистку зубов дважды в день, использование зубной нити и сбалансированное питание, богатое витаминами и минералами, что помогает поддерживать здоровье десен.
https://youtube.com/watch?v=pcD1e535Uv8
Катаральный гингивит у детей
Данная форма заболевания часто проявляется в период, когда у детей прорезываются зубы или происходит замена молочных зубов на постоянные. Вторая по частоте причина – это воспаление десен, вызванное инфекционными заболеваниями. Также возможным фактором может быть обострение уже имеющихся стоматологических проблем. Гингивит у детей в этой форме характеризуется следующими симптомами:
- дискомфорт, зуд и раздражение в области десен;
- кровоточивость, особенно во время чистки зубов;
- изменение восприятия вкуса;
- неприятный специфический запах изо рта.
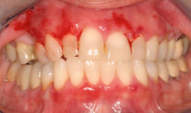
Язвенный гингивит у детей
Данная форма заболевания представляет собой следующую стадию после катарального гингивита. Состояние пациента значительно ухудшается из-за ослабления иммунной системы. Чаще всего это происходит после перенесенного гриппа, стоматита и других заболеваний. Одним из факторов, способствующих снижению защитных функций организма, можно считать и переохлаждение, особенно у детей. Язвенно-некротический гингивит у детей встречается крайне редко и в основном наблюдается у людей в возрасте от 17 до 30 лет. Эта форма заболевания характеризуется омертвением тканей десен и образованием язв.
Ключевые симптомы язвенного гингивита:
- отечность десен;
- зуд и болезненные ощущения;
- кровоточивость и покраснение;
- язвы, часто покрытые серо-зеленым налетом.
https://youtube.com/watch?v=dKgIkplp3vI
Гипертрофический гингивит
Как и другие виды заболеваний, гипертрофический гингивит у детей проявляется жалобами на зуд и болезненные ощущения, особенно при жевании пищи. Эта форма болезни у детей имеет хронический характер и делится на два типа: отечный гингивит и фиброзный. При осмотре у стоматолога можно заметить следующие симптомы:
- увеличение десен, вплоть до полного закрытия зубной коронки;
- накопление налета на зубах;
- рыхлость и отечность десенных сосочков;
- образование ложных десенных карманов.
Атрофический гингивит
Атрофический гингивит представляет собой одну из форм заболевания, проявляющуюся легкими воспалительными процессами, однако с сопутствующими дистрофическими изменениями на краях десен, что в итоге может привести к обнажению шейки зуба. У детей данное заболевание чаще всего возникает из-за неправильного применения ортодонтических методов лечения, а также из-за ошибок, которые приводят к аномальным прикреплениям уздечек и наличию мощных тяжей в области преддверия рта.
Гингивит у детей лечение
Вопрос о том, как лечить гингивит у детей, является вполне естественным, так как не все методы, подходящие для взрослых, безопасны и эффективны для лечения детского организма, который еще находится в стадии формирования. Если у ребенка выявлен гингивит, лечение в домашних условиях возможно, но только после консультации с врачом, получения всех необходимых рекомендаций и строгого соблюдения назначенного курса терапии.
Мазь для десен от воспаления
В комплексном лечении гингивита часто используются различные мази. Порой бывает сложно определить, какая из них наиболее эффективна, поэтому полезно знать о лучших мазях и гелях, способствующих уменьшению воспаления десен.
- Асепта. Уменьшает отечность, болезненность и кровоточивость десен. Для детей рекомендуется использовать только после консультации с врачом.
- Солкосерил. Подходит для лечения даже у годовалых детей, что делает его безопасным с раннего возраста.
- Метрогил Дента. Этот гель эффективно борется с микробами благодаря содержанию хлоргексидина и метронидазола. Применение для детей разрешено только с шести лет.
- Камистад. Этот препарат предназначен для детей и имеет специальную пометку Baby.
- Холисал. Использовать до года следует с осторожностью и только по рекомендации врача.
Чем полоскать рот при воспалении десны?
Хронический или острый гингивит у детей может вызывать дискомфорт и болезненные ощущения, поэтому полоскания часто становятся важной частью лечения. Для этой цели применяются как антисептические средства, так и народные рецепты на основе травяных настоев и отваров. Рассмотрим наиболее эффективные антисептики для полоскания:
- Мирамистин. Этот препарат помогает справиться с воспалительными процессами, способствует заживлению и уничтожает патогенные бактерии. Рекомендуется использовать 0,01%-ный раствор, полоскания проводят три раза в день.
- Хлоргексидин. Обладает противовоспалительным и антибактериальным эффектом. Используется водный раствор в объеме 5-10 граммов.
- Фурацилин. Этот раствор эффективно уничтожает большинство бактерий. Фурацилин также обладает вяжущими свойствами, что ускоряет процесс заживления. Для использования таблетированную форму препарата разводят в стакане теплой воды и полощут рот перед сном и после каждого приема пищи.
Среди народных средств можно выделить следующие:
- Отвар ромашки, календулы и тысячелистника. Для его приготовления берут по 1 столовой ложке каждого растения, заливают 400 мл кипятка и настаивают в термосе. Через час отвар готов к использованию, полоскания проводят трижды в день, предварительно охладив до теплого состояния.
- Настой шалфея. Две столовые ложки шалфея заливают стаканом воды, кипятят и дают настояться. Полоскать рот следует дважды в день.
- Настой коры дуба и чистотела. Смешайте оба компонента в равных пропорциях, отмерьте 4 столовые ложки смеси и залейте двумя стаканами горячей воды. Полоскания проводят трижды в день.
Препараты для лечения гингивита у детей
Многих волнует вопрос, назначаются ли антибиотики при воспалении десен. Ответ положительный, но это касается не всех случаев. Антибиотики могут быть рекомендованы, если у ребенка наблюдается высокая температура при гингивите, а также при наличии абсцесса десны или язвенно-некротической формы заболевания. Выбор антибиотика должен осуществляться исключительно врачом, поскольку самостоятельное применение таких препаратов может оказаться не только неэффективным, но и опасным для здоровья.
Что касается лечения гингивита у детей, то в большинстве случаев, за исключением ситуаций, требующих антибиотиков, терапия сводится к локальным методам:
- Удаление зубного налета.
- Применение мазей, о которых мы упоминали ранее.
- Полоскание рта антисептическими средствами и травяными настоями, рецепты которых мы уже обсуждали.
Профилактика гингивита
Вирусный гингивит у детей, особенно у малышей, лечение которого может быть затруднительным из-за их возраста, гораздо проще предотвратить, чем потом устранять. Поэтому знание основных профилактических мер будет крайне полезным для того, чтобы избежать возникновения этого недуга.
- С момента появления первых зубов крайне важно научить ребенка правильно заботиться о ротовой полости и сделать это частью его повседневной жизни. Ребенок должен понять, что чистить зубы необходимо утром и вечером.
- Не менее важным является правильный выбор зубной пасты и щетки. Для малышей не следует использовать пасты с фтором, лучше выбирать варианты с травами или аминофторидом. Щетку стоит подбирать с мягкой щетиной, чтобы не повредить десны.
- Регулярные визиты к стоматологу также имеют большое значение и должны происходить дважды в год, даже если нет никаких жалоб. Многие родители обращаются к врачу только тогда, когда возникают проблемы, что является неправильным и безответственным подходом.
- Необходимо ограничить чрезмерное потребление сладостей, чтобы избежать негативного влияния на зубную эмаль. Угощать детей конфетами и другими сладостями нецелесообразно, поэтому лучше приучить их к умеренному потреблению сладкого, только после приема пищи.
- Кроме ограничения простых углеводов, важно правильно составить рацион ребенка, включая в него свежие фрукты и овощи, рыбу, мясо, молоко и кисломолочные продукты.
Осложнения гингивита у детей
Гингивит у детей, если его не лечить, может привести к различным осложнениям, которые могут негативно сказаться на здоровье полости рта и общем состоянии ребенка. Одним из наиболее распространенных последствий является переход воспалительного процесса на более глубокие ткани зуба и десны, что может привести к пародонтиту. Пародонтит, в свою очередь, может вызвать потерю зубов, что является серьезной проблемой для детей, особенно в период их роста и развития.
Кроме того, гингивит может стать причиной системных заболеваний. Исследования показывают, что воспалительные процессы в полости рта могут быть связаны с заболеваниями сердечно-сосудистой системы, диабетом и даже респираторными инфекциями. У детей с ослабленным иммунитетом риск развития таких осложнений значительно возрастает.
Еще одним осложнением гингивита является развитие стоматологических абсцессов. Это гнойные воспаления, которые могут возникать в результате бактериальной инфекции, вызванной запущенным гингивитом. Абсцессы могут вызывать сильную боль, отек и даже лихорадку, что требует немедленного медицинского вмешательства.
Также стоит отметить, что гингивит может негативно сказаться на качестве жизни ребенка. Дети с воспалением десен часто испытывают дискомфорт при жевании, что может привести к отказу от пищи и, как следствие, к недостатку питательных веществ. Это может повлиять на общее развитие и рост ребенка.
Важно помнить, что ранняя диагностика и лечение гингивита могут предотвратить большинство из этих осложнений. Регулярные визиты к стоматологу, соблюдение правил гигиены полости рта и информирование родителей о признаках заболевания играют ключевую роль в профилактике гингивита и его последствий у детей.
Вопрос-ответ
Каковы основные причины гингивита у детей?
Гингивит у детей может возникать по нескольким причинам, включая плохую гигиену полости рта, накопление зубного налета, неправильное питание, а также наличие вирусных или бактериальных инфекций. Кроме того, некоторые дети могут быть предрасположены к гингивиту из-за генетических факторов или наличия хронических заболеваний.
Какие симптомы гингивита у детей следует учитывать?
Симптомы гингивита у детей могут включать покраснение и отечность десен, кровоточивость при чистке зубов, неприятный запах изо рта, а также болезненность десен. В некоторых случаях дети могут жаловаться на дискомфорт при жевании или ощущение, что десны зудят.
Как можно эффективно лечить гингивит у детей?
Лечение гингивита у детей обычно включает улучшение гигиенических привычек, таких как регулярная чистка зубов и использование зубной нити. Важно также посещать стоматолога для профессиональной чистки и осмотра. В некоторых случаях могут быть рекомендованы антисептические растворы или гели для уменьшения воспаления и борьбы с инфекцией.
Советы
СОВЕТ №1
Регулярно проводите осмотр полости рта вашего ребенка. Обратите внимание на любые изменения в деснах, такие как покраснение, отечность или кровоточивость. Раннее выявление симптомов гингивита поможет предотвратить его развитие и осложнения.
СОВЕТ №2
Обучите ребенка правильной технике чистки зубов. Используйте мягкую зубную щетку и детскую зубную пасту с фтором. Рекомендуется чистить зубы дважды в день, а также использовать зубную нить для удаления остатков пищи между зубами.
СОВЕТ №3
Следите за рационом питания вашего ребенка. Убедитесь, что он получает достаточное количество витаминов и минералов, особенно витамина C, который способствует здоровью десен. Ограничьте потребление сладостей и кислых продуктов, которые могут способствовать развитию гингивита.
СОВЕТ №4
Регулярно посещайте стоматолога для профилактических осмотров. Специалист сможет выявить ранние признаки гингивита и предложить соответствующее лечение, а также дать рекомендации по уходу за полостью рта.






