Анатомия лобной области
Лобная область — часть лобно-теменно-затылочной зоны, входящей в свод черепа. Лобная кость соединяется с несколькими костями лицевой и мозговой частей черепа: двумя носовыми, слезными, верхнечелюстными, скуловыми, решетчатой, клиновидной и двумя теменными.
Форма лобной области напоминает прямоугольник. Нижняя граница проходит через точки соединения носовых костей, формирующих надпереносье, по надбровным дугам и скуловым отросткам лобной кости. Боковые границы определяются височными линиями, где соединяются лобная и теменные кости, переходящими в венечный шов. Верхняя граница проходит по венечному шву и имеет куполообразный контур.
Кожа лба плотная, но тоньше, чем на затылке или темени. Лобная область почти лишена волос, кроме верхнебоковой части, где есть растительность и сальные железы. Кожный покров лба подвижен и легко смещается.
Под кожей находится подкожно-жировая клетчатка с множеством потовых желез и фиброзными перемычками, разделяющими жировые комочки. Эти перемычки соединены с апоневротическим шлемом черепа, состоящим из двух мышечных брюшек и плоского сухожилия между ними. Одно брюшко расположено над лобной костью, другое — над затылочной. Под лобным брюшком находится фасциальный слой из рыхлой клетчатки, слабо соединенной с надкостницей лобной кости, что делает эту область уязвимой к травмам.
Надкостница лобной кости — прочная оболочка, плотно соединяющаяся с костью только в местах швов и прикрепления мышц.
Лобная кость делится на вертикальную часть — чешую, и горизонтальную, граничащую с органами чувств — обонянием и зрением. Она состоит из трех слоев: наружного и внутреннего, представленных пластинками, и среднего — губчатой ткани. В губчатом веществе находятся мелкие вены, соединяющиеся с поверхностными венами головы и венозными синусами твердой мозговой оболочки. Внешняя пластинка чешуи прочная, внутренняя часто повреждается при умеренном механическом воздействии.
В лобной области находятся следующие кровеносные сосуды:
- Надблоковые артерии (две) обеспечивают кровоснабжение кожи и подкожно-жировой клетчатки лба. Они — конечные ветви глазничной артерии, ветви внутренней сонной артерии.
- Надглазничная вена и надблоковые вены отвечают за отток венозной крови из лобной области, образуя сеть, соединяющуюся с угловой и лицевой венами, а также с верхней глазничной веной, впадающей в пещеристый синус. Вены следуют за одноименными артериями.
Отток лимфатической жидкости осуществляется через поверхностные околоушные лимфатические узлы, расположенные перед ушными раковинами.
В подкожном слое лобной области находятся чувствительные нервы, такие как лобный и надглазничный, обеспечивающие тактильную, температурную и болевую чувствительность. Также расположены двигательные нервы, иннервирующие лобную мышцу. Все сосуды и нервы, питающие и иннервирующие лобную область, выходят из глазницы.
Лобная кость содержит синусы или пазухи, заполненные воздухом, находящиеся позади надбровных дуг. Нижние стенки лобных пазух также являются верхними стенками глазниц, а задние стенки отделяют синусы от лобных долей больших полушарий головного мозга. Каждый синус выстилается слизистой оболочкой.
Под лобной костью располагаются лобные доли больших полушарий головного мозга, покрытые тремя мембранами: твердой, паутинной и мягкой. Твердая мозговая оболочка — фиброзная мембрана, плотно прилегающая к лобной кости и содержащая венозные синусы для оттока крови. Паутинная оболочка натянута над извилинами мозга, не проникая в борозды. Мягкая оболочка выстилает извилины и борозды лобных долей, содержит сеть капилляров, через которые к мозгу подходят артерии и вены.
Врачи отмечают, что боли в области лба могут быть вызваны различными факторами. Одной из распространенных причин является напряжение мышц, вызванное стрессом или длительной работой за компьютером. Также возможны мигрени, которые часто сопровождаются пульсирующими болями и могут требовать медицинского вмешательства. В некоторых случаях дискомфорт в лобной области может указывать на синусит или другие воспалительные процессы.
Специалисты рекомендуют при возникновении болей в лбу сначала проанализировать свои привычки: достаточно ли пациент спит, правильно ли питается и как управляет стрессом. Если боли становятся регулярными или усиливаются, важно обратиться к врачу для диагностики и назначения лечения. В качестве первой помощи можно использовать обезболивающие препараты, а также методы релаксации, такие как массаж или дыхательные упражнения.

Какие структуры могут воспаляться в области лба?
Частые боли в лобной области часто связаны с воспалительными процессами, наиболее распространенной причиной является фронтит — воспаление лобных пазух.
В лобной области могут воспаляться:
- Лобные пазухи. Воспаление может быть вызвано инфекциями (например, гриппом), острым насморком или травмами.
- Мозговые оболочки. Воспаление оболочек мозга (менингит) требует немедленной медицинской помощи и может быть осложнением других заболеваний (токсоплазмоз, полиомиелит, туберкулез).
- Головной мозг. Энцефалит, воспаление головного мозга, встречается реже, но также вызывает сильные боли.
- Сосуды головного мозга. Воспаление сосудов может привести к тромбозу лицевой вены и инсульту.
Боли в лобной области могут быть вызваны воспалением различных структур, черепно-мозговыми травмами, отравлениями и повышенным внутричерепным давлением.
Причины болей в области лба
| Патология | Механизм боли | Другие симптомы |
| Фронтит | Боль из-за давления слизи или гноя в лобных пазухах. Утром боль сильнее из-за застоя. | Тяжесть в пазухах, затрудненное дыхание, выделения из носа, температура до 39ºС, слабость. |
| Гайморит | Механизм аналогичен фронтиту. | Тяжесть и боль в области верхнечелюстных пазух, затрудненное дыхание, температура, кашель. |
| Этмоидит | Механизм аналогичен фронтиту. | Воспаление может затрагивать другие пазухи, симптомы схожи. |
| ОРВИ (грипп, парагрипп) | Головная боль из-за интоксикации. | Воспаление слизистой носа и/или глотки, высокая температура, озноб, боли в мышцах. |
| Вирусные тропические лихорадки | Головные боли могут быть генерализованными или локализованными. | Двухфазное повышение температуры, кожные высыпания. |
| Менингит | Головная боль из-за повышения внутричерепного давления. | Ригидность шеи, высокая температура, тошнота, рвота. |
| Энцефалит | Головная боль при поражении лобных долей мозга. | Усталость, головокружение, нарушения сна. |
| Повышенное внутричерепное давление | Боль из-за раздражения болевых рецепторов. | Тошнота, рвота. |
| Кластерные головные боли | Боль позади глазницы, приступы от 15 до 60 минут. | Закладывание ушей, краснота глаз. |
| Заболевания глаз | Боль из-за напряжения зрения. | Пониженная острота зрения. |
| Остеохондроз шейного отдела | Боль может быть в лобной или затылочной области. | Напряжение мышц шеи. |
| Мигрень | Боль связана с нарушением сосудистого тонуса. | Аура, тошнота, светобоязнь. |
| Синдром Сладера | Интенсивные боли в области глазницы и лба. | Выделения из носа, чихание. |
| Невралгия глазничной ветви тройничного нерва | Приступообразные сильные боли. | Краснота лица. |
| Аллергическая головная боль | Боль из-за отека мозговых оболочек. | Крапивница, астма. |
| Опухоли головного мозга | Боль из-за повышения внутричерепного давления. | Психические расстройства. |
Головная боль в лобной области может быть следствием черепно-мозговых травм, интоксикации, метаболических расстройств и других факторов.
Дополнительные причины головной боли в лобной области:
- Отравление;
- Сердечно-сосудистые заболевания;
- Черепно-мозговая травма;
- Воздействие экстремальных температур;
- Пункция спинномозговой жидкости;
- Метаболические нарушения;
- Эндокринные заболевания;
- Заболевания крови.
Головная боль может возникать при пищевых отравлениях, когда токсические вещества влияют на центральную нервную систему.
Отравления могут быть вызваны:
- Свинцом;
- Мышьяком;
- Углекислым газом;
- Парами бензина;
- Хлороформом;
- Эфиром;
- Ацетоном;
- Пестицидом.
Алкогольное отравление также вызывает сильные боли в лобной области, часто двустороннего пульсирующего характера, сопровождающееся тошнотой и головокружением.
Головная боль может быть следствием заболеваний сосудов, приводящих к изменению артериального давления.
Гипертоническая головная боль возникает при повышении давления, обычно приступообразная и усиливается при движении. Гипотоническая головная боль может возникать при резкой смене положения тела.
Атеросклероз мозговых артерий также может вызывать головные боли.
Головные боли могут быть следствием черепно-мозговых травм. Если травма затрагивает лобную кость, боль может сохраняться долго.
При сотрясении мозга боль может быть локализованной или диффузной, усиливающейся при резких движениях.
Посттравматическое повышение внутричерепного давления может наблюдаться при ушибах мозга.
Головная боль может возникать из-за переохлаждения или перегрева.
При тепловом ударе головная боль может быть диффузной или локализованной в лобной области, сопровождающейся покраснением кожи и затрудненным дыханием.
Переохлаждение может снизить иммунитет и вызвать воспаление нервов.
После пункции спинномозговой жидкости может возникать пульсирующая головная боль, локализующаяся в лобной области, связанная со снижением давления спинномозговой жидкости.
Головная боль может возникать из-за различных метаболических нарушений.
Головная боль в лобной области может возникать при:
- Гипоксии – недостаток кислорода, угнетающий работу нервной системы.
- Гиперкапнии – накопление углекислого газа в крови.
- Гипогликемии – снижение уровня глюкозы в крови.
Некоторые эндокринные заболевания могут вызывать головные боли в лобной области.
Эндокринные заболевания, вызывающие головные боли:
- Акромегалия – повышенная выработка гормона роста.
- Болезнь Педжета – патологический рост костей.
- Синдром Морганьи – Стюарта – Мореля – разрастание лобной кости.
- Болезнь Ван Бухема – утолщение костей черепа.
Некоторые заболевания крови также могут вызывать головные боли.
Заболевания крови, приводящие к головным болям:
- Полицитемия – увеличение количества клеток в крови.
- Анемия – снижение количества красных кровяных телец.
При воспалении лобных, верхнечелюстных или клиновидных пазух необходимо обратиться к ЛОР-врачу. Диагностика фронтита, гайморита или этмоидита обычно не вызывает затруднений, так как анамнез и клиническое обследование позволяют установить диагноз. Для точного диагноза часто используют рентгенографию околоносовых синусов.
Диагностика тропических вирусных заболеваний проводится инфекционистом с помощью общего анализа крови и мочи, биохимического анализа и серологической диагностики.
При гриппе и других ОРВИ диагностику может проводить терапевт или инфекционист на основе анамнеза.
Менингит диагностируется невропатологом или инфекционистом на основе клинических проявлений.
Повышенное внутричерепное давление определяется косвенно с помощью люмбальной пункции.
Диагностика кластерных и мигренозных головных болей должна проводиться опытным неврологом.
Заболевания глаз диагностируются офтальмологом.
Остеохондроз шейного отдела позвоночника диагностируется неврологом.
Поражения нервов или нервных узлов диагностирует невролог, возможно, с консультацией стоматолога и ЛОР-врача.
Если головные боли связаны с аллергическими реакциями, следует обратиться к аллергологу.
Опухоли головного мозга диагностируются онкологом с подтверждением диагноза с помощью биопсии.
Диагностика пищевых отравлений может проводиться терапевтом или инфекционистом.
При заболеваниях сердца и сосудов необходима консультация кардиолога.
Метаболические и эндокринные нарушения требуют консультации эндокринолога.
Заболевания крови диагностируются гематологом.
Лечение болей в лобной области начинается с выяснения причины. Необходимо собрать анамнез и провести неврологический осмотр. В некоторых случаях может потребоваться консультация других специалистов.
Первая помощь и лечение головных болей в лобной области
| Патология | Лечение |
| Синуситы (гайморит, фронтит, этмоидит) | Антибактериальные препараты и дренаж околоносовых пазух. |
| ОРВИ | Противовирусные препараты и симптоматическое лечение. |
| Вирусные тропические лихорадки | Постельный режим, болеутоляющие средства, обильное питье. |
| Менингит | Антибиотикотерапия, дезинтоксикационная терапия. |
| Энцефалит | Гамма-глобулин, глюкокортикоиды, антигистаминные препараты. |
| Повышенное внутричерепное давление | Диуретики, глюкокортикоиды. |
| Кластерные головные боли | Болеутоляющие средства под наблюдением. |
| Заболевания глаз | Лазерная коррекция, подбор линз или очков. |
| Остеохондроз шейного отдела | ЛФК, массаж, физиотерапия. |
| Мигрень | Обезболивающие, противоэпилептические препараты. |
| Синдром Сладера | Болеутоляющие средства, антибактериальные препараты. |
| Невралгия глазничной ветви тройничного нерва | Противосудорожные препараты, возможно хирургическое лечение. |
| Аллергическая головная боль | Антигистаминные препараты, избегание аллергенов. |
| Опухоли головного мозга | Индивидуальное лечение, возможно хирургическое вмешательство. |
| Черепно-мозговая травма | Обезболивающие, поддержание функций жизненно важных органов. |
| Переохлаждение | Согревание, сладкий горячий чай. |
| Перегрев | Обеспечение покоя, вызов скорой помощи. |
| Пункция спинномозговой жидкости | Обычно не требует лечения. |
| Нарушения метаболизма | Лечение зависит от конкретного нарушения. |
Боли в лобной области часто сопровождаются болями в смежных областях лица или черепа, так как патологические процессы могут распространяться на другие структуры.
Болям в области лба часто сопутствуют боли в глазах, которые могут возникать остро или постепенно.
Основные причины болей в области лба и глаз:
- Мигрень – односторонняя, пульсирующая боль.
- Переутомление и стресс – головная боль напряжения.
- Повышение внутричерепного давления – давящая, распирающая боль.
- Глаукома – острая боль в глазах и лобной области.
- Спазм аккомодации – быстрая утомляемость и головная боль.
- Воспалительные заболевания околоносовых пазух – тяжесть и боль в области пазух.
- Кластерные головные боли – односторонняя, жгучая боль.
- Травмы головы – могут вызывать длительные боли.
- Опухоли – могут вызывать головные боли различного характера.
- Инфекционные процессы – менингит и энцефалит могут вызывать сильные боли.
- Невралгия лицевого нерва – внезапные, интенсивные боли.
Чувство давления в лобной области может быть связано с мигренью или повышением внутричерепного давления.
Другие причины:
- Гипертонический криз – головные боли в области лба или затылка.
- Вегето-сосудистая дистония – односторонняя боль.
- ЛОР-заболевания – усиливающиеся боли при надавливании.
- Общие воспалительные заболевания – головная боль как следствие интоксикации.
- Болезни глаз – могут сопровождаться болями в лобной области.
Боли в височной и лобной областях часто возникают от напряжения.
Причины:
- Повышенное артериальное давление – острая, внезапная боль.
- Височный артериит – жгучая, длительная боль.
- Неврит тройничного нерва – односторонние, приступообразные боли.
Боль в лобной области и тошнота могут указывать на серьезные заболевания.
Причины:
- Пищевое отравление – сопровождается головной болью и тошнотой.
- Беременность – может вызывать головные боли и тошноту.
- Травма головы – может вызывать длительные боли.
- Инфекционные заболевания – менингит и энцефалит.
- Повышение внутричерепного давления – сильная распирающая боль.
- Менструальная боль – головная боль во время предменструального синдрома.
- Климакс – головная боль и тошнота.
Боль в затылочной и лобной области часто возникает из-за умственного или физического перенапряжения.
Причины:
- Повышенное артериальное давление – затылочная и лобная область.
- Остеохондроз шейного отдела – может вызывать синдром позвоночной артерии.
- Травма головы и шеи – может вызывать диффузные боли.
- Опухолевый процесс – может вызывать сильные, пульсирующие боли.
Основной причиной болей в лобной области и носу является синусит.
Синусит – воспаление околоносовых пазух, часто возникающее на фоне ОРВИ или острого насморка.
Симптомы синусита:
- Насморк – густые выделения из носа.
- Чихание – защитный механизм.
- Заложенность носа – затрудняет отток гноя.
- Повышение температуры – часто при острых процессах.
Другие причины болей в лобной области и носу могут включать травмы и невралгию тройничного нерва.
Наиболее вероятной причиной болей в лобной области с повышением температуры является ОРВИ или фронтит.
Лечение зависит от конкретного заболевания и должно проводиться под наблюдением врача. Для купирования боли обычно используют нестероидные противовоспалительные препараты, такие как парацетамол и ибупрофен.
Насморк может вызвать головную боль, локализующуюся в лобной области, чаще всего из-за фронтита.
Фронтит – воспаление слизистой лобных пазух, вызванное бактериями или вирусами.
Симптомы фронтита:
- Боль в лобной области – усиливается утром.
- Чувство тяжести – из-за скопления гноя.
- Светобоязнь и боль в глазах – в запущенных случаях.
Другие причины болей во лбу могут включать грипп и аллергические реакции.
Этот симптом часто указывает на фронтит.
При фронтите секрет в лобных пазухах давит на переднюю стенку, вызывая боль.
Боль наиболее выражена утром, когда гной накапливается за ночь. При частичном оттоке гноя боль уменьшается, а при невозможности оттока – усиливается.
Другие возможные причины включают этмоидит и сфеноидит.
| Причина боли в области лба | Симптомы (дополнительные) | Что делать |
|---|---|---|
| Мигрень | Сильная пульсирующая боль, часто односторонняя, тошнота, рвота, свето- и звукобоязнь | Принять обезболивающее (Ибупрофен, Парацетамол), лечь в темную, тихую комнату, приложить холодный компресс ко лбу. В случае частых или сильных приступов — обратиться к врачу. |
| Напряженная головная боль | Сжимающая боль, ощущение стянутости в голове, часто распространяется на шею и плечи | Расслабляющие упражнения, массаж шеи и плеч, тепловой компресс, обезболивающие (Парацетамол, Ибупрофен). |
| Синусит | Боль в области лба, усиливающаяся при наклоне головы, заложенность носа, выделения из носа, лихорадка | Обратиться к врачу. Возможно назначение противовирусных или антибиотиков, промывание носа. |
| Головная боль напряжения | Тупая, ноющая боль, обычно двусторонняя, не сопровождается тошнотой и рвотой | Отдых, расслабление, обезболивающие (Парацетамол, Ибупрофен). |
| Травма головы | Боль в области лба, возможны гематомы, потеря сознания, тошнота, рвота | Немедленно обратиться к врачу или вызвать скорую помощь. |
| Глазное напряжение | Боль в области лба, утомление глаз, затуманенное зрение | Отдых для глаз, капли для глаз, коррекция зрения (при необходимости). |
| Высокое артериальное давление | Сильная головная боль, головокружение, тошнота, потеря сознания | Немедленно обратиться к врачу или вызвать скорую помощь. Измерение артериального давления. |
Боль в области лба — распространённая проблема, с которой сталкиваются многие люди. Часто такие ощущения могут быть связаны с напряжением, стрессом или усталостью. Например, длительная работа за компьютером или недостаток сна могут вызывать мышечное напряжение, что приводит к дискомфорту. Также стоит учитывать, что головные боли в лобной области могут быть симптомом мигрени или синусита. Важно обратить внимание на сопутствующие симптомы, такие как тошнота или светобоязнь.
При возникновении болей в лбу рекомендуется сделать перерыв, расслабиться и, возможно, провести легкий массаж области висков. Употребление достаточного количества воды и соблюдение режима сна также могут помочь. Если боль не проходит или становится хронической, стоит обратиться к врачу для диагностики и назначения соответствующего лечения. Не стоит игнорировать сигналы своего организма, ведь своевременное вмешательство может предотвратить более серьёзные проблемы.

Причины болей в области лба
Боли в лобной области могут возникать по разным причинам, включая воспалительные процессы, черепно-мозговые травмы, отравления, повышенное внутричерепное давление и другие факторы.
Причины болей в области лба
| Название патологии | Механизм возникновения боли | Другие симптомы заболевания |
| Воспаление лобных пазух (фронтит) | Боль возникает из-за скопления слизи или гноя в лобных пазухах, что давит на слизистую оболочку с болевыми рецепторами. Наиболее сильные боли ощущаются утром из-за застоя содержимого. При оттоке гноя или слизи боль уменьшается. Интенсивность может варьироваться от умеренной до невыносимой и может распространяться на другие области головы. | Чувство тяжести в лобных пазухах, затрудненное дыхание, выделения из носа, часто гнойные. Температура может достигать 39ºС, особенно у детей. Общая слабость и недомогание. В тяжелых случаях возможны светобоязнь и боль в глазах. |
| Воспаление верхнечелюстных пазух (гайморит) | Механизм аналогичен фронтиту. | Тяжесть и боль в области верхнечелюстных пазух при наклоне, затрудненное дыхание, повышение температуры, общее недомогание и кашель. |
| Воспаление ячеек решетчатой кости (этмоидит) | Механизм аналогичен фронтиту. | Воспаление может затрагивать верхнечелюстные и лобные пазухи, симптомы схожи с другими воспалениями. |
| Острые респираторные вирусные инфекции (грипп, парагрипп, риновирус, аденовирус и др.) | Головная боль в лобной области возникает из-за интоксикации организма. Вирусы проникают в кровоток и могут влиять на центральную нервную систему. | Воспаление слизистой носа и/или глотки, высокая температура (до 39ºС), озноб, мышечные и суставные боли, общее недомогание и потеря аппетита. |
| Вирусные тропические лихорадки (лихорадка Денге, лихорадка Ласса, желтая лихорадка и др.) | Головные боли могут быть генерализованными или локализованными в лобной области из-за интоксикации продуктами распада вирусов. | Двухфазное повышение температуры, увеличение лейкоцитов в крови, возможные кожные высыпания. |
| Воспаление мозговых оболочек (менингит) | Боль возникает из-за повышения внутричерепного давления, вызванного увеличением спинномозговой жидкости и отеком оболочек. | Повышение тонуса мышц шеи, специфические менингеальные симптомы, высокая температура (до 40–41ºС), тошнота, рвота, возможные нарушения сознания и судороги. |
| Воспаление головного мозга (энцефалит) | Боль в лобной области может возникать при поражении лобных долей. Боли постоянные, связаны с воспалительными процессами в коре. | Общее недомогание, усталость, мышечные боли, лихорадка (до 38–39ºС), головокружение, нарушения сна и чувствительности лицевого нерва. |
| Повышенное внутричерепное давление (внутричерепная гипертензия) | Возникает при увеличении объема содержимого черепа, что раздражает болевые рецепторы. | Вынужденная поза, тошнота, рвота, возможные нарушения сознания и зрения. |
| Кластерные головные боли | Боль возникает за глазницей, приступы длятся от 15 до 60 минут. Механизм не до конца изучен, но предполагается связь с гипоталамусом. | Закладывание ушей, невыносимая боль за глазом, покраснение глаз, слезотечение и повышенное потоотделение. |
| Заболевания глаз (астигматизм, близорукость, глаукома, дальнозоркость) | Боль возникает из-за напряжения зрения, локализуется в глазной орбите и лобной области. | Боль в глазнице и лобной области, снижение остроты зрения (вплоть до полной потери при глаукоме). |
| Остеохондроз шейного отдела позвоночника (поражение межпозвоночных дисков) | Боль возникает из-за перенапряжения мышц шеи и головы, может быть постоянной. | Напряжение и уплотнение мышц шеи, часто на фоне стресса и бессонницы. |
| Мигрень (приступы сильной головной боли) | Боль связана с нарушением сосудистого тонуса, что приводит к недостаточному кровоснабжению мозга. | Возможна аура, тошнота, светобоязнь, головокружение, раздражительность. Приступы могут возникать на фоне стресса или после физической нагрузки. |
| Воспаление клиновидно-небного узла (синдром Сладера) | Воспаление нервного узла приводит к резким болям в глазнице и лобной области, чаще односторонним. | Приступы могут сопровождаться выделениями из носа и воспалением слизистой глаза. |
| Невралгия глазничной ветви тройничного нерва | Боль возникает при сдавлении глазничной ветви тройничного нерва. Приступы сильные и кратковременные. | Краснота лица, расширение зрачков, слезотечение, потоотделение и спазмы мышц. |
| Аллергическая головная боль | Возникает из-за отека менингеальных оболочек, напоминает мигрень. | Возможны аллергические реакции, такие как крапивница и отек Квинке. |
| Опухоли головного мозга | Боль возникает из-за повышения внутричерепного давления, прогрессирует медленно и односторонняя. | Усиление боли при кашле, наклоне головы и чихании, возможные психические расстройства. |
Головная боль в лобной области также может быть следствием черепно-мозговой травмы, интоксикации, метаболических нарушений и других факторов.
Дополнительные причины головной боли в области лба:
- отравление;
- заболевания сердечно-сосудистой системы;
- черепно-мозговая травма;
- воздействие экстремальных температур;
- пункция спинномозговой жидкости;
- метаболические нарушения;
- эндокринные заболевания;
- заболевания крови.
Отравление
В некоторых случаях головная боль, особенно в лобной зоне, возникает при пищевых и общих отравлениях. Токсичные вещества могут оказывать прямое или косвенное воздействие на центральную нервную систему, что приводит к головной боли различной интенсивности и локализации.
К общим отравлениям могут привести высокие концентрации следующих веществ:
- свинец;
- мышьяк;
- углекислый газ;
- пары бензина;
- хлороформ;
- эфир;
- ацетон;
- некоторые пестициды.
Отравление этиловым спиртом также вызывает интенсивные боли в лобной области, обычно двусторонние и пульсирующие. При алкогольной интоксикации наблюдаются плохое общее состояние, тошнота и головокружение. Алкоголь может снижать уровень глюкозы в крови (гипогликемия), что также способствует головным болям. Метиловый спирт также может вызывать головные боли и нарушения зрения.
Кроме общих отравлений, головная боль в лобной области может возникать из-за продуктов с высоким содержанием нитратов и нитритов, а также некоторых пищевых добавок (глутамат натрия), консервантов и красителей. Возможны тошнота, расстройства пищеварения и повышение температуры.

Патология сердечно-сосудистой системы
Иногда головные боли вызваны сосудистыми заболеваниями, что приводит к колебаниям артериального давления. Этот тип боли называется васкулярной. Она возникает из-за расширения и напряжения артериальных сосудов, особенно наружной ветви сонной артерии, и схожа с мигренью.
Гипертоническая головная боль возникает при повышении артериального давления. Она не постоянна и чаще проявляется приступами, обычно вечером или ночью, часто из-за усталости. Также может возникать рано утром, заставляя человека просыпаться. Боль локализуется в области лба, висков и затылка, чаще всего двусторонняя, мешая повседневной деятельности. Движение, кашель или наклон головы могут усиливать болевые ощущения.
При снижении артериального давления (гипотонии) также возможна головная боль. Например, гипотоническая боль может возникать при резкой смене положения тела с горизонтального на вертикальное (ортостатическая гипотензия).
Атеросклероз мозговых артерий — еще одна причина головной боли. При этом заболевании просвет артерий сужается из-за отложения холестерина и других липидов. Головная боль может стать первым признаком заболевания, сопровождаясь повышенной утомляемостью, снижением концентрации, нервозностью и нарушениями сна, вплоть до бессонницы. Боль при атеросклерозе обычно не острая, но постоянная, часто с ощущением оглушенности.
Черепно-мозговая травма
Одной из причин головных болей может быть история черепно-мозговой травмы. Если травма затронула лоб, дискомфорт в этой области может сохраняться годами.
При сотрясении мозга боль может локализоваться в одной точке или охватывать всю голову. Резкие движения шеи и головы, а также кашель, чихание или натуживание могут усугублять боль. Причинами могут быть отек мозга, гематома под твердой мозговой оболочкой или сращение паутинной и мягкой оболочки.
Повышение внутричерепного давления после травмы может возникать при ушибе мозга, что связано с повреждением мозговой ткани и наличием зоны омертвения нервных клеток. Это состояние может быть вызвано кровоизлияниями, гематомами, менингитом, гидроцефалией, отеком мозга или его абсцессом. Обычно такая головная боль тупая и диффузная.
При контузии мозга также возникают головные боли, но они второстепенны по сравнению с очаговыми симптомами, такими как нарушения речи, параличи, судороги и изменения психики. В этом случае боли носят диффузный и мучительный характер.
Воздействие слишком высоких или низких температур
Головная боль может возникать из-за низких температур или перегрева.
При тепловом ударе боль обычно диффузная, но может сосредотачиваться в области лба. Активируются компенсаторные механизмы, увеличивающие теплоотдачу, что приводит к покраснению, влажности и повышению температуры кожи. Перегрев мозга вызывает головные боли, сопровождающиеся шумом в ушах, головокружением, слабостью, сухостью во рту, затрудненным дыханием и тахикардией. В дальнейшем возможны галлюцинации и скотомы. При истощении компенсаторных механизмов может произойти коллапс, резкое снижение артериального давления, кома или летальный исход.
Избыточное воздействие холода также может вызывать головные боли. Переохлаждение снижает иммунную защиту, что может привести к воспалению нервов в области лба и воспалению мозговых оболочек, что может вызвать менингит. Поэтому в зимний период важно носить теплую шапку.
Пункция спинномозговой жидкости
После забора спинномозговой жидкости (люмбальная пункция) может возникнуть пульсирующая головная боль, часто в области лба. Это связано с понижением давления спинномозговой жидкости.
Головные боли обычно появляются через 10-20 часов после процедуры и могут длиться от нескольких часов до 2-3 дней. Дискомфорт усиливается в вертикальном положении (стоя), а в горизонтальном положении может полностью или почти полностью исчезнуть.
Нарушение метаболизма
В некоторых случаях головная боль связана с метаболическими нарушениями, которые обычно вторичны и возникают на фоне серьезных заболеваний.
Головная боль в лобной области может быть вызвана следующими состояниями:
- Гипоксия — недостаток кислорода в организме. Это состояние угнетает функции центральной нервной системы, так как нервные клетки чувствительны к нехватке кислорода. Головная боль может локализоваться в лобной области или быть диффузной. Гипоксия также вызывает учащенное дыхание и пульс (тахипноэ и тахикардия), а длительное состояние может привести к сбоям в работе органов.
- Гиперкапния — избыточное накопление углекислого газа в крови. При этом состоянии, помимо головной боли, могут возникать тошнота и головокружение. Дыхание становится поверхностным, усиливается потоотделение, возможна потеря сознания. Гиперкапния является одной из форм гипоксии.
- Гипогликемия — снижение уровня глюкозы в крови. Недостаток глюкозы мешает нормальному функционированию нервных клеток, что приводит к головной боли, головокружению, тошноте, слабости и чувству голода. Также могут наблюдаться нарушения сознания, повышенное потоотделение и бледность кожи.
Эндокринные заболевания
Некоторые эндокринные расстройства могут изменять форму лобной кости и приводить к заращению отверстий, через которые проходят нервы, включая тройничный нерв. Это вызывает сильные головные боли в области лба, висков и затылка у пациентов с перечисленными заболеваниями.
Эндокринные заболевания, вызывающие головные боли в лобной области:
- Акромегалия – заболевание, связанное с повышенной выработкой гормона роста передней долей гипофиза. Проявляется увеличением и утолщением костей стоп, кистей и лицевой части черепа. Это состояние приводит к головным болям, ухудшению умственных способностей, снижению зрения и половой дисфункции.
- Болезнь Педжета (фиброзный остит) – хроническое заболевание с аномальным ростом костей. В пораженных участках усиливаются обменные процессы из-за активной работы остеокластов и остеобластов. Кости становятся более массивными и хрупкими. При затрагивании лобной кости головные боли могут быть очень сильными, особенно ночью.
- Синдром Морганьи – Стюарта – Мореля (внутренний лобный гиперостоз) – редкое заболевание с разрастанием внутренней пластинки лобной кости. Головные боли при этом синдроме интенсивные и трудно поддаются лечению. У пациентов также могут наблюдаться признаки вирилизма и ожирение.
- Болезнь Ван Бухема (генерализованный кортикальный гиперостоз) – заболевание, начинающееся в период полового созревания, приводящее к утолщению костей черепа, атрофии зрительного нерва, глухоте и головным болям, которые со временем усиливаются.
Заболевания крови
Некоторые заболевания крови могут вызывать сильные головные боли в области лба.
Заболевания, вызывающие головные боли:
- Полицитемия (болезнь Вакеза) — увеличение количества клеток в крови (тромбоцитов, эритроцитов и лейкоцитов). Это злокачественное заболевание часто сопровождается тупыми, пульсирующими головными болями, которые могут усиливаться и напоминать мигрень. У пациентов также могут наблюдаться шум в ушах и чувство оглушенности.
- Анемия — снижение количества красных кровяных клеток (эритроцитов) и уровня гемоглобина (белка, отвечающего за транспортировку кислорода и углекислого газа). Головные боли при анемии обычно давящие и тупые, и могут ослабевать или исчезать в положении лежа.
Диагностика причин болей в лобной части головы
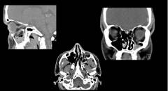
При воспалении лобных, верхнечелюстных или клиновидных пазух (синусит) необходима консультация ЛОР-врача. Диагностика фронтита, гайморита или этмоидита обычно несложна: сбор анамнеза и клиническое обследование (осмотр носовой полости, пальпация пазух) позволяют определить природу заболевания. Для точного диагноза чаще всего используют рентгенографию околоносовых синусов в одной или двух проекциях. Затемненные участки в пазухах указывают на наличие патологического содержимого (гноя). В некоторых случаях применяются компьютерная томография или магнитно-резонансная томография, но их результаты не сильно отличаются от рентгенографии и стоят дороже.
Диагностику тропических вирусных заболеваний, сопровождающихся головной болью из-за интоксикации, проводит врач-инфекционист. Для выявления опасных инфекций обычно делают общий анализ крови и мочи, а также биохимический анализ. Серологическая диагностика (измерение уровня антител к антигену) помогает определить возбудителя. Важно правильно интерпретировать клинические симптомы и учитывать эпидемиологическую ситуацию.
При гриппе, парагриппе и других ОРВИ диагностику может проводить терапевт или инфекционист. Обычно диагноз устанавливается на основе анамнеза, и лишь в редких случаях применяются серологические анализы.
Диагностика менингита осуществляется невропатологом или инфекционистом на основе состояния пациента, клинических проявлений и менингеальных симптомов. Для менингита характерна ригидность мышц шеи, симптомы Кернига и Брудзинского. Пункция спинномозговой жидкости помогает определить тип менингита (бактериальный или вирусный). Также берется слизь из носоглотки для выявления возбудителя. Диагностика энцефалита включает люмбальную пункцию и анализ спинномозговой жидкости на общий белок и клеточный состав, что позволяет оценить воспалительный процесс в головном мозге. Для определения степени повреждения тканей применяются компьютерная томография и магнитно-резонансная томография.
Повышенное внутричерепное давление определяется косвенно с помощью люмбальной пункции. Этот диагноз устанавливает врач-невролог на основании симптомов и результатов пункции. В некоторых учреждениях возможно прямое измерение внутричерепного давления с помощью датчиков в полостях мозга.
Диагностика кластерных и мигренозных головных болей должна проводиться опытным неврологом. Методы, позволяющие с уверенностью установить наличие этих заболеваний, не разработаны, поэтому диагноз основывается на жалобах пациента.
Заболевания глаз, такие как глаукома, миопия и гиперметропия, диагностирует и лечит врач-офтальмолог. При глаукоме проводят тонометрию, электронную тонографию и офтальмоскопию. Диагностика близорукости и дальнозоркости осуществляется с помощью визометрии, авторефрактометрии и скиаскопии.
Диагностика остеохондроза шейного отдела позвоночника — задача невролога. Врач расспрашивает о симптомах, исследует позвоночник в разных положениях и проводит пальпацию для выявления болезненных точек. Диагноз уточняется с помощью рентгенографии, компьютерной и магнитно-резонансной томографии, что важно для выбора лечения.
Поражения нервов или нервных узлов в области лба или глазницы диагностирует невролог, возможно, потребуется консультация стоматолога и ЛОР-врача. Для выявления невралгии глазничной ветви тройничного нерва врач прощупывает точки выхода ветвей. Болевую чувствительность проверяют с помощью иглы, а тактильную — с помощью ваты. Компьютерная или магнитно-резонансная томография может помочь определить причину патологии. Диагноз ганглионита подтверждается на основе жалоб и манипуляции с адреналином и дикаином.
Если головные боли возникают на фоне аллергических реакций, следует обратиться к аллергологу. После сбора анамнеза аллерголог назначает прик-тест для выявления чувствительности к аллергенам.
Доброкачественные и злокачественные опухоли головного мозга диагностирует онколог. Подтверждение диагноза требует биопсии, но компьютерная и магнитно-резонансная томография помогают оценить ситуацию. Золотым стандартом является МРТ с контрастом.
Диагностика пищевых отравлений может проводиться терапевтом или инфекционистом. При серьезных отравлениях берутся каловые и/или рвотные массы для выявления патогенных микроорганизмов.
Если головная боль возникает на фоне сердечно-сосудистых заболеваний, необходима консультация кардиолога. При патологиях сосудов головного мозга проводятся ангиография, компьютерная или магнитно-резонансная томография.
Метаболические нарушения и эндокринные заболевания требуют консультации эндокринолога. Для диагностики необходимо сдать кровь на уровень гормонов.
Диагностика заболеваний крови, вызывающих боли в лобной области, должна проводиться гематологом. Диагноз подтверждается общим анализом крови, биохимическими анализами и клиническими проявлениями заболевания.
Что делать при боли во лбу?
Целенаправленное лечение болей в лобной области начинается с определения их причины. Для этого необходимо собрать анамнез и, при необходимости, провести неврологическое обследование. В некоторых случаях требуется консультация специалистов: инфекциониста, кардиолога, ЛОР-врача, офтальмолога, онколога, травматолога, аллерголога и других.
Первая помощь и лечение головных болей, локализованных в лобной области
| Название патологии | Лечение |
| Синуситы(гайморит, фронтит, этмоидит) | Лечение синуситов включает антибиотики и дренаж околоносовых пазух. Антибиотикотерапия не требуется при вирусных синуситах. Дренаж может быть хирургическим или консервативным с медикаментами для улучшения оттока. Антибактериальная терапия основывается на чувствительности микроорганизмов к антибиотикам. При аллергическом синусите назначаются антигистаминные препараты. |
| Острые респираторные вирусные инфекции(грипп, парагрипп, риновирус, аденовирус и др.) | Лечение гриппа включает противовирусные препараты (тамифлю, римантадин) и интерфероны (гриппферон, ингарон, кагоцел). Симптоматическая терапия направлена на снижение температуры и устранение заложенности носа. Рекомендуется постельный режим. Лечение парагриппа сосредоточено на устранении кашля и снижении температуры. При аденовирусе могут использоваться глазные капли или преднизолоновая мазь для лечения конъюнктивита. Часто назначаются антигистаминные препараты и поливитамины. |
| Вирусные тропические лихорадки(лихорадка Денге, лихорадка Ласса, желтая лихорадка и др.) | Необходим строгий постельный режим. Часто назначаются обезболивающие, антигистаминные препараты и поливитаминные комплексы. Обильное питье важно для предотвращения обезвоживания. В тяжелых случаях может потребоваться переливание крови или внутривенное введение глюкокортикоидов. Иногда назначаются антибиотики при вторичных инфекциях. |
| Воспаление мозговых оболочек(менингит) | Лечение зависит от возбудителя. Обычно назначаются антибиотики широкого спектра с последующим переходом на препараты, чувствительные к патогену. Вирусный менингит лечится симптоматически. Для уменьшения отека головного мозга применяются мочегонные средства (фуросемид, маннитол). Также проводится дезинтоксикационная терапия для поддержания водно-солевого баланса. |
| Воспаление головного мозга(энцефалит) | Обычно назначают гамма-глобулин, который облегчает течение заболевания. Глюкокортикоиды применяются при отеке головного мозга, также вводятся мочегонные препараты. Часто используется оксигенотерапия. Для предотвращения судорог назначаются диазепам, дроперидол, гексобарбитал и другие противосудорожные средства. Также могут быть назначены антигистаминные препараты, витамины и, при необходимости, жаропонижающие и антибиотики широкого спектра. |
| Повышенное внутричерепное давление | Лечение зависит от причины. Первая помощь включает применение диуретиков (маннитол, фуросемид). Глюкокортикоиды назначаются только при опухолях головного мозга. При значительном повышении давления может потребоваться искусственная вентиляция легких с гипервентиляцией. |
| Кластерные головные боли | Лечение кластерных болей сложно, так как приступы кратковременны, а действие медикаментов начинается только после их завершения. Под наблюдением врачей эти боли могут быть купированы с помощью препаратов, таких как эрготамин, соматостатин или лидокаин. |
| Заболевания глаз(астигматизм, близорукость, глаукома, дальнозоркость) | Лазерная коррекция зрения при астигматизме считается наиболее эффективным методом. Если операция невозможна, подбираются линзы или очки. Близорукость и дальнозоркость лечатся лазеротерапией и подбором контактных линз или очков. Лечение глаукомы может включать специальные глазные капли, снижающие внутриглазное давление. Успех консервативного лечения зависит от регулярных визитов к офтальмологу. Хирургическое вмешательство необходимо при врожденной глаукоме или неэффективности медикаментозного лечения. Лазеротерапия также применяется для улучшения дренажа и снижения давления. |
| Остеохондроз шейного отдела позвоночника | Лечение остеохондроза основано на консервативных методах: лечебная физкультура, массаж, лечебные блокады, вытяжение позвоночника, физиотерапия и рефлексотерапия. Если консервативное лечение неэффективно, может потребоваться хирургическое вмешательство. |
| Мигрень | Для лечения мигрени применяются обезболивающие и жаропонижающие средства (аспирин, парацетамол, анальгин, ибупрофен, диклофенак, напроксен), противоэпилептические препараты (вальпроевая кислота, макситопир), блокаторы кальциевых каналов (дилтиазем, верапамил) и антидепрессанты (амитриптилин, кломипрамин, имипрамин). Важно избегать факторов, способствующих приступам мигрени. |
| Воспаление клиновидно-небного узла | Для купирования болевого синдрома вводятся турунд, смоченные в новокаине или лидокаине, в носовые ходы. Сильные боли могут быть купированы с помощью ганглиоблокаторов. Если патология вызвана инфекцией, назначаются антибиотики. Часто необходим прием противоаллергических средств. |
| Невралгия глазничной ветви тройничного нерва | Противосудорожные препараты, такие как карбамазепин, эффективны при лечении невралгии тройничного нерва. Также могут назначаться спазмолитики или миорелаксанты. В дополнение к консервативному лечению может проводиться малоинвазивное хирургическое вмешательство для устранения сдавливания сосудов, питающих тройничный нерв. |
| Аллергическая головная боль | Лечение аллергических реакций включает антигистамины. Важно избегать контакта с аллергеном. При анафилактическом шоке первой помощью является введение адреналина. Затем вводятся глюкокортикоиды для подавления аллергической реакции. При необходимости проводится интубация трахеи. |
| Опухоли головного мозга | Лечение подбирается индивидуально и зависит от типа опухоли, стадии, размера, наличия метастазов, возраста пациента и сопутствующих заболеваний. Консервативное лечение включает глюкокортикоиды, успокоительные, обезболивающие и противорвотные средства. Чаще всего требуется радиотерапия и/или химиотерапия. Иногда применяется криохирургия. Хирургическое вмешательство является наиболее радикальным способом удаления опухоли, но возможно только при отсутствии затрагивания критически важных участков мозга. |
| Черепно-мозговая травма | Первая помощь и лечение зависят от тяжести травмы. Даже легкая травма может иметь серьезные последствия, поэтому следует обращаться к неврологу. При сотрясении мозга назначаются обезболивающие и успокоительные. При ушибе мозга первая помощь направлена на поддержание функций жизненно важных органов. Важно вызвать скорую помощь. Пострадавший должен находиться в лежачем положении. Лечение включает нормализацию уровня кислорода в крови и восстановление внутричерепного давления. При сдавливании тканей мозга может потребоваться операция. |
| Переохлаждение организма | При переохлаждении пострадавшего необходимо быстро переодеть в теплую и сухую одежду и дать выпить сладкий горячий чай. Можно согреть ванну с температурой воды не менее 41–42ºС. При сильном переохлаждении важно вызвать скорую помощь. Пострадавшего следует немедленно доставить в теплое помещение и контролировать дыхание и сердечную деятельность. В больнице при гипотермии используется вдыхание влажного кислорода, согретого до 42ºС. |
| Перегрев организма | Первая помощь при тепловом ударе заключается в укладывании пострадавшего в горизонтальное положение и вызове скорой помощи. Если наблюдаются тошнота или рвота, голову следует запрокинуть набок. Также необходимо находиться с пострадавшим в тени. На лоб следует прикладывать холодные компрессы. |
| Пункция спинномозговой жидкости | Головная боль после пункции обычно не требует лечения и проходит самостоятельно в течение 2–3 дней. |
| Нарушения метаболизма | |
| Гипоксия | Лечение зависит от формы гипоксии. При остром нарастании необходимо поддерживать работу дыхательной и сердечно-сосудистой систем. Часто применяется гипербарическая оксигенация. Также могут назначаться препараты, улучшающие работу микрососудов головного мозга, антиоксиданты и нейропротекторы. При хронической гипоксии важно выявить ее причину и своевременно лечить сопутствующие заболевания. |
| Гиперкапния | Гиперкапния требует стационарного лечения, так как может привести к дыхательной недостаточности. Острая гиперкапния лечится чистым кислородом. Хроническая форма требует адекватного лечения основного заболевания. |
| Гипогликемия | Легкая степень гипогликемии устраняется употреблением продуктов, богатых быстроусвояемыми углеводами. В стационаре при низком уровне глюкозы вводится 40% раствор глюкозы внутривенно. Менее эффективным является внутримышечное введение глюкагона. |
| Эндокринные заболевания | |
| Акромегалия | Лечение акромегалии может быть консервативным или хирургическим. Консервативная терапия включает облучение аденомы гипофиза и препараты, снижающие уровень соматотропного гормона. Хирургическое лечение включает удаление аденомы. |
| Болезнь Педжета | Замедление прогрессирования болезни Педжета осуществляется медикаментозно. Чаще всего назначают кальцитонин. Головные боли купируются парацетамолом и другими нестероидными противовоспалительными средствами. При значительной деформации суставов показано хирургическое вмешательство. |
| Синдром Морганьи – Стюарта – Мореля | Необходимо строгое соблюдение диеты, аналогичной диете при сахарном диабете. Также проводится симптоматическое лечение. При сердечной недостаточности используются кардиотонические препараты и мочегонные средства. |
| Болезнь Ван Бухема | Нарушение слуха корректируется подбором слухового аппарата. Болевые ощущения, вызванные сдавливанием лицевых и зрительных нервов, устраняются хирургическим путем. |
Особенности болей в области лба
Боли в лобной области могут ощущаться не только в лбу, но и в соседних участках лица или черепа. Это связано с тем, что патологические процессы, вызывающие такие головные боли, затрагивают и другие ткани. Чаще всего боль проявляется в области глаз, висков или затылка.
Почему болит лоб и глаз?
Боли в лобной области часто сопровождаются дискомфортом в глазах. Эти ощущения могут возникать внезапно (например, при мигрени или кластерных головных болях, а также при резком повышении артериального давления) или постепенно, как при инфекциях, переутомлении или стрессе. Боль может быть односторонней или двусторонней, различной интенсивности. Без своевременных мер это негативно сказывается на качестве сна, работоспособности и общем уровне жизни.
Основные причины болей в лобной области и глазах:
- Мигрень – наиболее распространенная причина. Обычно вызывает одностороннюю пульсирующую или сжимающую боль. Перед приступом может быть аура, проявляющаяся затуманиванием зрения. Длительность приступа – от нескольких часов до нескольких суток, чаще у женщин 10-30 лет. Симптомы включают светобоязнь и звукобоязнь. Движения могут усиливать боль.
- Переутомление и стресс могут вызвать головную боль напряжения. Эта боль двусторонняя, давящая, часто описывается как ощущение «каски» на голове. Длительность – от нескольких минут до нескольких дней. Чаще страдают женщины, но может возникнуть у людей любого возраста. Важно, что всегда есть триггер (стресс или переутомление).
- Повышение внутричерепного давления. Боль давящая, распирающая, чаще всего возникает утром. Может сопровождаться шумом в голове и плохо поддаваться обезболивающим. Сначала эпизодическая, без лечения становится постоянной.
- Глаукома. Симптомы – острая боль в глазах, надбровных дугах и лобной области, прогрессирующее ухудшение зрения.
- Спазм аккомодации – нарушение работы цилиарных мышц глаза из-за переутомления. Сопровождается быстрой утомляемостью, ухудшением остроты зрения и головной болью.
- Воспалительные заболевания околоносовых пазух. При синусите возникает чувство тяжести в лобной и околоносовой областях, затем появляются боли в области пазух, переносице или над глазами. Локализация боли зависит от распространения воспаления. Усиление боли обычно к вечеру.
- Кластерные головные боли. Односторонние, жгучие, сверлящие. Продолжительность – от 15 минут до 3 часов, чаще у мужчин. Обычно возникают ночью, могут мешать сну, сопровождаются слезотечением и покраснением глаз.
- Травмы головы. Боли могут быть следствием ушибов, ссадин, переломов или сотрясений. Могут проявляться сразу или спустя время, продолжаясь месяцы и годы.
- Опухоли. Опухолевые процессы могут развиваться в лобных долях мозга или лобной кости. Характер боли зависит от локализации и размеров опухоли. Усиление боли наблюдается при прогрессировании опухоли.
- Инфекционные процессы. Менингит и энцефалит могут вызывать распирающую боль, спровоцированную легким прикосновением к голове, светом или звуком.
- Невралгия лицевого нерва. При поражении глазничной ветви тройничного нерва боль возникает внезапно, может быть спровоцирована прикосновением к области глазницы или лба, жеванием, разговором или чисткой зубов. Также может наблюдаться покраснение лба и слезотечение.
Почему болит лоб и есть чувство давления?
Пациенты с дискомфортом в лобной части головы часто ощущают давление. Мигрень — одна из основных причин таких симптомов. Также боль в лбу и давление в глазах могут быть связаны с повышением внутриглазного давления.
Другие факторы, вызывающие давление и боль в лбу:
- Гипертонический криз. При повышении артериального давления возникают головные боли в лобной или затылочной области. Обычно они появляются ночью или рано утром, имеют умеренную интенсивность и распирающий характер, сопровождаясь ощущением давления.
- Вегето-сосудистая дистония (ВСД). Это состояние проявляется сильными болями в лобной и височной областях, часто односторонними. Им может предшествовать чувство давления в области глаз или лба. Боли обычно возникают утром и могут продолжаться весь день, ночные боли не характерны.
- ЛОР-заболевания (гайморит, фронтит). Боли и давление усиливаются при нажатии на воспаленные пазухи.
- Общие воспалительные заболевания (грипп, ОРВИ). Головная боль возникает из-за интоксикации организма. Устранение причины заболевания приводит к исчезновению болей и давления.
- Заболевания глаз (конъюнктивит, кератит, невриты зрительных нервов, иридоциклиты и т. д.). Эти состояния, помимо поражения органов зрения, почти всегда сопровождаются болями в лобной области и ощущением давления.
Почему болит лоб и виски?
Боли в висках и лбу распространены среди взрослых и часто связаны с напряжением.
Боли в лобной и височной областях могут быть вызваны:
- Повышенным артериальным давлением. Боль возникает резко, особенно при резком увеличении давления, и может охватывать затылок.
- Височным артериитом. Это редкое заболевание, при котором воспаляются артерии, снабжающие кровью глаза и височную область. Боль чаще локализуется с одной стороны, имеет жгучий и ноющий характер, возникает внезапно и может длиться долго, плохо поддаваясь облегчению. Височный артериит чаще встречается у людей старше 50 лет.
- Невритом тройничного нерва. Боли односторонние и возникают со стороны поражённого нерва. Они могут длиться от 10-15 секунд до нескольких минут и имеют приступообразный характер. Во время приступа пациенты избегают движений, так как любое изменение положения может усилить боль. Локализация ограничена зонами иннервации тройничного нерва, чаще всего затрагивая лоб, виски и скулы.
Почему болит лоб и тошнит?
Симптомы, такие как головная боль в лобной области и тошнота, могут указывать на серьезные заболевания, особенно связанные с нервной системой.
Причины головной боли и тошноты:
- Пищевое отравление. При отравлении возникают интенсивные головные боли в области лба и висков, сопровождающиеся тошнотой, рвотой и диареей. Это связано с воздействием токсинов на клетки центральной нервной системы, попадающих в кровь из желудочно-кишечного тракта. Симптомы могут проявиться через несколько часов или, в редких случаях, за десятки минут (например, при стафилококковом отравлении).
- Беременность. Головные боли у беременных часто вызваны гормональными изменениями. Сочетание этих симптомов с повышением артериального давления может указывать на эклампсию – серьезное состояние, угрожающее жизни матери и ребенка.
- Травма головы. Боли после травмы могут сохраняться длительное время, иногда месяцами или даже годами. Головные боли, вызванные черепно-мозговой травмой, часто сопровождаются нарушениями памяти, снижением когнитивных функций и повышенной утомляемостью. Физические нагрузки могут усиливать боль.
- Инфекционные заболевания нервной системы. Менингит и энцефалит – распространенные заболевания, вызывающие головную боль и тошноту. Они могут быть вирусными (например, вирус клещевого энцефалита) или бактериальными (например, менингококк). Боль обычно двусторонняя, распирающего характера, сопровождается тошнотой, которая не проходит после рвоты, а также лихорадкой и положительными менингеальными симптомами.
- Повышение внутричерепного давления. Это состояние характеризуется сильной распирающей болью, часто сопровождающейся тошнотой или рвотой, особенно по утрам. Боль может мешать повседневной деятельности. Также могут наблюдаться головокружение, нарушения зрения и проблемы с памятью.
- Менструальная боль. Менструальная мигрень возникает на фоне гормонального дисбаланса, обычно во время предменструального синдрома. Головная боль локализуется в лобной или височной области и сопровождается тошнотой, рвотой и повышенной утомляемостью. Также могут наблюдаться эмоциональная лабильность, боли в сердце и зуд кожи.
- Климакс. Головные боли в период климакса – распространенный симптом. Боль обычно сдавливающая, локализуется в затылочной или лобной области, часто сопровождается тошнотой и чувством прилива жара.
Почему болит лоб и затылок?
Боль в затылочной и лобной областях — распространенная жалоба. Часто трудно определить, связаны ли боли с шейным отделом позвоночника или это головные боли другой природы. Такие боли могут возникать из-за умственного или физического перенапряжения. Существует множество причин дискомфорта в области лба и затылка.
Некоторые заболевания, вызывающие боль в лобной и затылочной областях:
- Повышенное артериальное давление. Головные боли при повышении давления чаще всего локализуются в затылке и лбу. С возрастом риск повышения давления увеличивается. Факторы риска: курение, алкоголь, стресс, наследственность. Боль обычно начинается утром и может сопровождаться головокружением, тошнотой, ухудшением памяти и усталостью.
- Остеохондроз шейного отдела позвоночника. Эта патология часто вызывает головные боли в затылке из-за синдрома позвоночной артерии, при котором сжимаются позвоночные артерии, что снижает кровоснабжение мозга. Боль обычно сильная или пульсирующая, локализуется в затылке и может затрагивать лоб, темя и надбровные области. Боли постоянные, усиливаются при резких движениях шеи. Полное сжатие артерий может привести к тошноте и потере сознания из-за кислородного голодания мозга. Также могут наблюдаться снижение слуха, шум в ушах, ухудшение зрения, боль в глазах и нарушения координации.
- Травмы головы и шеи. После серьезных черепно-мозговых травм часто возникает диффузная и опоясывающая головная боль, которая обычно временная и проходит при правильном лечении. Травмы шейного отдела также могут вызвать синдром позвоночной артерии.
- Опухолевые процессы. Если опухоль затрагивает несколько долей мозга, головная боль становится диффузной и сильной, часто пульсирующей. Она может возникать во время сна или сразу после пробуждения, сопровождаясь тошнотой и рвотой, а иногда — потерей сознания. Начинают проявляться нарушения зрения, такие как диплопия и скотомы. Боль может усиливаться при физических нагрузках и изменении положения тела.
Почему болит лоб и нос?
Основной причиной болей в области лба и носа является синусит — воспаление одной или нескольких околоносовых пазух (синусов). При синусите могут воспаляться верхнечелюстные (гайморовы), лобные и клиновидные пазухи, а также ячейки решетчатого лабиринта. Заболевание часто возникает на фоне острых респираторных вирусных инфекций (например, гриппа) или острого насморка.
Определенные анатомические аномалии, такие как искривление носовой перегородки, увеличивают риск синусита. К предрасполагающим факторам относятся аллергические риниты, частые переохлаждения и полипы в носовых проходах.
Синусит могут вызывать бактерии, вирусы и микроскопические грибки. Некоторые медикаменты также способствуют его развитию.
Основной симптом синусита, особенно фронтита (воспаление лобных пазух) или гайморита (воспаление верхнечелюстных пазух), — это тяжесть и боль в области лба и околоносовых пазух. Этот симптом возникает из-за накопления слизисто-гнойного секрета, который давит на болевые рецепторы слизистой оболочки. Утром боль обычно более выражена, так как в пазухах скапливается максимальное количество гноя.
К синуситу также характерны следующие симптомы:
- Насморк. Густые выделения из носа — один из основных признаков воспаления околоносовых пазух. Чаще всего выделения гнойные (зеленого или желтого цвета), но могут быть и белесыми или прозрачными. При сильной заложенности носа выделения могут отсутствовать.
- Чихание — защитная реакция на раздражение слизистой оболочки носа.
- Заложенность носа. При одностороннем синусите заложенность наблюдается только в одной пазухе, но чаще процесс затрагивает обе. Нос остается заложенным, затрудняя отток гноя из синусов.
- Повышение температуры тела почти всегда сопровождает острое развитие синусита, достигая 38–39ºС. При хроническом синусите температура обычно не повышается.
Кроме синусита, боль в области лба и носа может быть вызвана другими причинами.
К таким причинам относятся:
- Травма головы и лица может вызывать интенсивные боли. В зависимости от тяжести травмы боль может быть односторонней или двусторонней, периодической или постоянной (при тяжелых ушибах мозга). Длительность болей варьируется от нескольких дней до нескольких месяцев и даже лет.
- Невралгия тройничного нерва — патология, при которой ветви тройничного нерва (главный нерв ротовой полости и лица) подвергаются сжатию (чаще всего сосудами или опухолью). При травматическом или воспалительном поражении тройничного нерва возникают сильные боли, которые могут мешать повседневной деятельности. Также возможен спазм мышц лица (болевой тик).
Что делать если болит лоб и поднялась температура?
Наиболее вероятной причиной болей в области лба с повышением температуры является острая респираторная вирусная инфекция, например, грипп или парагрипп. Эти симптомы могут также указывать на воспаление лобных околоносовых пазух — фронтит. Однако они могут возникать и при других заболеваниях. Лечение различается, поэтому важно обратиться к врачу для точной диагностики.
Для облегчения боли применяются нестероидные противовоспалительные препараты (НПВП) с анальгезирующим эффектом.
Для уменьшения головной боли чаще всего используются:
- парацетамол;
- аспирин;
- диклофенак;
- ибупрофен;
- напроксен.
Эти препараты также снижают температуру тела, устраняя лихорадку и озноб, воздействуя на центр терморегуляции.
Для детей для снижения температуры подходят только парацетамол и ибупрофен, так как они имеют минимальные побочные эффекты и считаются относительно безопасными.
Почему болит лоб при насморке?
В некоторых случаях насморк сопровождается головной болью в области лба, что часто связано с острым ринитом и развитием фронтита.
Фронтит — воспаление слизистой носовых пазух, вызванное бактериями или вирусами. Острый ринит создает условия для их проникновения в лобные пазухи, что приводит к фронтиту. Основной симптом — боль в лобной области и ощущение тяжести в одной или обеих пазухах, вызванные накоплением гнойного содержимого, сдавливающего нервные окончания.
Боль при фронтите обычно интенсивная, особенно по утрам, когда гной накапливается в пазухах, и отток не происходит. Облегчение наступает при частичном или полном опорожнении. В запущенных случаях могут возникать светобоязнь и дискомфорт в глазницах.
Головная боль в лобной области также может быть вызвана гриппом или другой острой вирусной инфекцией. В этом случае после насморка может повышаться температура, возникать озноб, першение в горле и кашель.
Иногда головная боль и насморк связаны с сезонной аллергией (поллинозом). В этом случае боль тупая и разлитая, но может локализоваться в лобной области. Для аллергии характерны также воспаление глаз (конъюнктивит), кашель и дерматит.
Почему возникает боль в области лба при наклоне туловища вперед?
Этот симптом характерен для фронтита (воспаление слизистой лобных околоносовых пазух). При этом заболевании в лобных пазухах (синусах) накапливается вязкий секрет (чаще всего гной). При наклоне вперед этот секрет давит на переднюю стенку лобных пазух, где находятся болевые рецепторы, что вызывает тяжесть и боль.
Боль в области лобных пазух наиболее интенсивна утром, так как за ночь скапливается много гноя. При переходе из горизонтального в вертикальное положение патологический секрет начинает давить на переднюю стенку. При частичном оттоке гноя боль уменьшается, а при невозможности оттока становится сильной и невыносимой. Головная боль разлитая и вызывает значительные неудобства. Часто также возникает боль в глазах, светобоязнь и нарушения обоняния.
Кроме фронтита, этот симптом может быть вызван воспалением ячеек решетчатой кости (этмоидит) или пазухи клиновидной кости (сфеноидит). Механизм боли в этих случаях схож с фронтитом, но заболевания протекают сложнее, затрагивая как лобные, так и верхнечелюстные пазухи.
Вопрос-ответ
Что значит, если болит голова в лобной части?
Наиболее распространенные причины боли в области лба — это синуситы, эпизодическая головная боль напряжения, глаукома, внутричерепная гипертензия. Есть и иные причины, например, эндокринные патологии, психические расстройства, болезни крови, менингиты.
В чем причина боли в передней части головы?
Головная боль, вызванная синуситом, вызывает боль в передней части головы и лица. Она обусловлена отёком околоносовых пазух за щёками, носом и глазами. Боль усиливается при наклоне вперёд и сразу после пробуждения утром. Головные боли могут возникать при простуде, гриппе, лихорадке или предменструальном синдроме.
При каком давлении болит голова спереди?
Н., руководитель нашей клиники: «По данным исследований, головная боль из-за высокого артериального давления может быть только в том случае, когда верхний показатель превышает 180 или нижний – 120 мм ртутного столба».
Советы
СОВЕТ №1
Обратите внимание на свои привычки. Часто боли в области лба могут быть вызваны стрессом, недостатком сна или неправильным питанием. Попробуйте установить режим сна, включить в рацион больше овощей и фруктов, а также уделять время для расслабления и снятия стресса.
СОВЕТ №2
Следите за осанкой и положением головы во время работы. Долгое сидение за компьютером или чтение в неправильной позе могут вызывать напряжение в мышцах шеи и головы, что приводит к болям в лбу. Регулярно делайте перерывы, выполняйте простые упражнения для шеи и плеч.
СОВЕТ №3
Обратите внимание на возможные триггеры головной боли. Это могут быть яркий свет, громкие звуки, резкие запахи или определенные продукты питания. Ведите дневник, чтобы выявить, что именно вызывает у вас боли, и старайтесь избегать этих факторов.
СОВЕТ №4
Если боли в лбу становятся регулярными или усиливаются, не откладывайте визит к врачу. Это может быть признаком более серьезных заболеваний, таких как мигрень или синусит. Специалист поможет определить причину и предложит подходящее лечение.



