Анатомия вульвы
Вульва — это термин, описывающий анатомические элементы, формирующие вход в женские половые пути. В состав вульвы входят лобковая область, большие и малые половые губы, клитор, девственная плева и железы внешней секреции, такие как слизистые, сальные и потовые.
Крауроз, или склеротический лишай, представляет собой хроническое заболевание, которое в основном затрагивает кожу половых органов и перинеум. Врачи отмечают, что точные причины его возникновения до конца не изучены, однако предполагается, что в основе лежат аутоиммунные процессы, гормональные изменения и генетическая предрасположенность. Симптомы включают зуд, жжение, а также появление белых пятен и атрофию кожи.
Диагностика крауроза обычно основывается на клиническом осмотре и биопсии кожи, что позволяет исключить другие дерматологические заболевания. Лечение включает местные кортикостероиды, иммуносупрессивные препараты и, в некоторых случаях, хирургическое вмешательство. Врачи подчеркивают важность раннего обращения за медицинской помощью, так как своевременное лечение может значительно улучшить качество жизни пациентов и предотвратить осложнения.

Лобок
Лобок (лонный бугорок) — мягкотканный треугольник на передней части большого таза, над половой областью. Вершина треугольника направлена вниз к промежности, а основание соединяется с передней стенкой живота, отделяясь лобковой бороздой. Боковые границы ограничены тазобедренными бороздами.
Подкожная структура лобка состоит из жировой ткани. Кожа в этой области схожа с кожей других частей тела: это многослойный плоский ороговевающий эпителий, насыщенный нервными окончаниями, волосяными фолликулами, сальными и потовыми железами. В детстве лобок покрыт «пухом» — тонким белесым волосяным покровом. С началом полового созревания под воздействием прогестерона волосяные фолликулы развиваются, и лобок начинает покрываться более грубыми и пигментированными волосами. В период климакса влияние гормонов яичников ослабевает, что приводит к уменьшению волосяного покрова.
| Признак | Описание | Замечания |
|---|---|---|
| Причины | Гормональные изменения (менопауза, гипогонадизм), аутоиммунные процессы, генетическая предрасположенность, хроническое воспаление, местное раздражение. Точная причина неизвестна. | Часто сочетается с другими аутоиммунными заболеваниями. |
| Симптомы | Зуд (часто интенсивный), истончение и атрофия кожи вульвы, бледность и сухость кожи, потеря эластичности и пигментации, образование белых или сероватых пятен, дискомфорт и боль при половом акте, чувство стянутости и жжения. | Симптомы могут варьировать в зависимости от стадии заболевания. |
| Диагностика | Анамнез (сбор жалоб и истории болезни), гинекологический осмотр, биопсия кожи (для исключения других заболеваний), исследование гормонального фона (при необходимости). | Дифференциальная диагностика с другими дерматологическими заболеваниями (например, лишай плоский, кандидоз). |
| Лечение | Эстрогенная терапия (местная или системная), кортикостероидные мази, иммуномодуляторы, увлажняющие кремы, противозудные средства, психотерапия (для снятия стресса и улучшения качества жизни). | Лечение симптоматическое, направлено на улучшение качества жизни пациентки. Выбор метода лечения зависит от тяжести симптомов и индивидуальных особенностей пациентки. |
Большие половые губы
Большие половые губы — это кожные складки, расположенные по средней линии промежности в сагиттальной плоскости. Они состоят из соединительных тканей с большим количеством жировых клеток и покрыты тонким слоем кожи. Внутренняя поверхность кожи деликатна, под ней видна сеть кровеносных сосудов, что придаёт ей вид слизистой оболочки, хотя таковой она не является. У некоторых женщин эпителий больших половых губ содержит множество волосяных фолликулов, в основном на наружной стороне. Кожа этих губ богата меланоцитами, что придаёт ей тёмный оттенок, который усиливается во время беременности.
Спереди и сзади большие половые губы соединяются передней и задней спайками, при этом передняя спайка шире задней. Основные функции больших половых губ — поддержание стабильности внутренней среды влагалища и защита его слизистой оболочки от высыхания.
Крауроз, или склеротический лишай, вызывает множество обсуждений среди пациентов и врачей. Люди отмечают, что основными симптомами являются зуд, белесые пятна на коже и изменения в структуре тканей. Часто упоминается, что заболевание может проявляться у женщин в постменопаузе, что связывают с гормональными изменениями. Диагностика крауроза включает визуальный осмотр и биопсию, что позволяет исключить другие дерматологические заболевания. В лечении применяются кортикостероиды, иммуносупрессоры и местные препараты, что помогает снизить воспаление и улучшить состояние кожи. Однако многие пациенты подчеркивают, что важно не только медикаментозное лечение, но и регулярные консультации с дерматологом для контроля за состоянием.

Малые половые губы
Малые половые губы — тонкие складки ткани, расположенные глубже больших половых губ. Их размеры обычно небольшие, и они часто не видны при сомкнутых больших губах. Существуют значительные вариации в размерах и формах малых половых губ, что считается нормальным. Внутренние поверхности малых губ соприкасаются, а щель между ними называется преддверьем влагалища. В эту область открываются влагалище, мочеиспускательный канал, протоки парауретральных и Бартолиных желез, а также одиночные сальные железы. Эти железы выделяют секрет, уменьшающий трение во время полового акта и снижая риск травм слизистой влагалища. Вне полового акта они поддерживают оптимальную влажность слизистой.
Передние концы малых половых губ образуют две ножки: латеральные (внешние) и медиальные (внутренние). Латеральные ножки соединяются над клитором, формируя его крайнюю плоть, а медиальные — под клитором, образуя уздечку. Задние концы малых половых губ соединяются, создавая менее выраженную уздечку. Основу малых половых губ составляет соединительная ткань с эластическими волокнами. Снаружи они покрыты тонкой, хорошо иннервированной кожей. В отличие от кожи больших половых губ, здесь отсутствуют волосяные фолликулы, а количество пигментных клеток невелико, что придает им красноватый оттенок.
Клитор
Клитор — это женский эректильный орган, формирующийся из тех же эмбриональных тканей, что и мужской половой член. Он состоит из тела и головки. Тело клитора включает два кавернозных тела, разделенных соединительной перегородкой. Эти структуры окружены плотной фиброзной фасцией, придающей клитору характерный вид во время эрекции. На узком свободном конце находится головка, защищенная крайней плотью. Крайняя плоть и уздечка клитора продолжаются в латеральные и медиальные ножки малых половых губ. В основании клитора кавернозные тела расходятся, образуя две ножки, прикрепляющиеся к нижним ветвям лобковых костей.

Девственная плева
Девственная плева — это тонкий слой слизистой ткани, закрывающий вход во влагалище. Она может иметь разные формы, но обязательно содержит одно или несколько отверстий. При врожденном заращении отверстия отсутствуют, и во время менструации кровь не может выйти, накапливаясь во влагалище. Это может привести к нагноению, сепсису или прорыву. В редких случаях девственная плева отсутствует от рождения. Также она может повреждаться в детстве из-за чрезмерной гигиенической обработки, что наблюдается в некоторых африканских племенах.
Причины и патогенез крауроза (склеротического лишая)
Причины крауроза вульвы остаются неясными. Существуют теории, предполагающие инфекционную, аллергическую, гормональную и аутоиммунную природу заболевания, но ни одна из них не объясняет все аспекты патологии.
Патогенез крауроза вульвы (склеротического лишая) изучен лучше. Понимание механизма важно для выявления звеньев, на которые можно воздействовать для улучшения состояния.
Первоначальным звеном является ухудшение микроциркуляции мягких тканей вульвы, что приводит к хронической гипоксии (недостатку кислорода). Это вызывает преобладание катаболизма (разрушения) над анаболизмом (созиданием), что приводит к накоплению токсичных продуктов клеточного распада. Иммунные клетки мигрируют в места их концентрации, образуя мелкоклеточный инфильтрат в верхних слоях кожи.
Иммунные клетки выделяют медиаторы воспаления и литические ферменты. Медиаторы, такие как гистамин и серотонин, вызывают отек дермы, а литические ферменты (эластаза, коллагеназа) разрушают соединительные и нервные волокна. Это приводит к снижению тонуса артериол и ухудшению кровоснабжения тканей, создавая замкнутый круг.
Симптомы крауроза (склеротического лишая)
Клиническая картина зависит от стадии заболевания, площади пораженных тканей и наличия сопутствующей патологии. У 2% женщин крауроз вульвы протекает бессимптомно. Заболевание чаще встречается у пожилых женщин в менопаузе, а среди детородного возраста пик заболеваемости наблюдается в 35 лет. Описаны случаи крауроза вульвы у детей, включая тех, кто младше 3 лет.
Симптомы крауроза (склеротического лишая) в зависимости от стадии заболевания
| Стадия заболевания | Симптом | Описание симптома |
| Начальная стадия | Парестезии | Ощущение «мурашек» или легкого покалывания, возникающее задолго до атрофии тканей. |
| Кожный зуд | Зуд, чаще ночью, спорадического характера, перемещается по участкам вульвы. Интенсивность соответствует степени разрушения межклеточного пространства. | |
| Стадия умеренных клинических проявлений | Начальные признаки кожной атрофии | Легкий отек, белесоватость и истончение кожи, заметные в области «крауротического треугольника». |
| Кожный зуд | Увеличение интенсивности зуда, возможны нервно-психические расстройства. Антигистаминные препараты часто неэффективны. | |
| Диспареуния | Болезненность при половом акте, сохраняющаяся после него. | |
| Вульводиния | Болезненность в области вульвы, ощущение сухости и жжения. | |
| Терминальная стадия | Признаки терминальной кожной атрофии | Истончение и уплотнение кожно-слизистых покровов, множественные субэпителиальные кровоизлияния и телеангиэктазии. Пораженная область расширяется на всю вульву и перианальную область. |
| Кожный зуд | Наиболее интенсивный, приводит к нервным расстройствам и синдрому хронической усталости. | |
| Диспареуния | Усиление болезненности при половом акте из-за сухости и сужения входа во влагалище. | |
| Вульводиния | Увеличение выраженности болей из-за атрофии кожно-слизистых оболочек. | |
| Дизурия | Нарушение мочеиспускания из-за атрофии эпителия уретры, приводящее к болезненному и учащенному мочеиспусканию. | |
| Нарушения акта дефекации | Сужение просвета ануса, болезненные и длительные акты дефекации, возможны трещины и ректальные кровотечения. |
Диагностика крауроза вульвы (склеротического лишая)
Диагностика основывается на клинической картине и лабораторных исследованиях. Анамнез часто неинформативен из-за отсутствия четкой связи с причинными факторами.
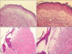
При подозрении на крауроз необходимо обратиться к гинекологу, который при необходимости направит на дополнительные исследования. Основным методом диагностики является гистологическое исследование образцов ткани. Забор образцов может проводиться случайно или прицельно во время вульвоскопии. Для склеротического лишая характерны отек и мелкоклеточная инфильтрация верхнего отдела дермы, уплощение эпителия и снижение количества меланоцитов.
Также важно исключить папилломовирусную инфекцию, имеющую схожую клиническую картину. Для этого кровь исследуется методом ПЦР на наличие вируса папилломы человека. Если вирус обнаруживается, лечение корректируется.
Основным инструментальным методом исследования является вульвоскопия, которая бывает простой и расширенной. Простая вульвоскопия предполагает визуальное исследование вульвы под увеличением. Расширенная вульвоскопия включает использование специальных веществ для определения зон гиперкератоза и злокачественного перерождения тканей.
Когда необходимо лечение крауроза (склеротического лишая)?
Лечение показано сразу после диагностики для приостановки прогрессии заболевания. Чем раньше начнется лечение, тем эффективнее оно будет. Хирургические методы применяются на поздних стадиях, когда развиваются сужения мочевыводящего протока, ануса и преддверья влагалища.
Лечение крауроза вульвы (склеротического лишая)
Поскольку причина крауроза не установлена, профилактика и целенаправленное лечение затруднены. Однако патогенез заболевания изучен, и воздействие на его звенья может замедлить прогрессию. Лечение направлено на восстановление кровообращения, устранение воспалительных процессов и зуда, в основном с помощью медикаментозного лечения.
Эффект достигается также с помощью немедикаментозных методов, таких как физиотерапия, акупунктура и лазеротерапия. Хирургические методы применяются на терминальной стадии при возникновении сужений.
Методы физиотерапевтического лечения крауроза вульвы
| Физиотерапевтический метод | Рекомендации | Терапевтический эффект |
| Ультрафиолетовое облучение | Облучение области наружных половых органов ежедневно или через день. Курс – 10-15 процедур. | Противовоспалительное действие и стимуляция восстановительных процессов. |
| Ультразвук | Воздействие на область вульвы с интенсивностью 0,2-0,4 Вт/см². Курс – 10 процедур. | Улучшение тонуса сосудов и устранение застойных явлений. |
| Лазеротерапия | Локальное воздействие на область вульвы с мощностью 1-2 мВт/см². Курс – 10 процедур. | Увеличение тонуса сосудов и уменьшение застойных явлений. |
| Рефлексотерапия(иглоукалывание) | Воздействие на энергетические центры организма с помощью игл. Курс – 15-20 процедур. | Увеличение обмена веществ в тканях промежности. |
Медикаментозное лечение крауроза вульвы считается основным. Применяются местные формы лекарств, которые наносятся 1-2 раза в день на чистую кожу.
Лекарственные средства, применяющиеся при лечении крауроза вульвы
| Лекарственное средство | Лекарственная форма | Режим дозирования | Терапевтический эффект |
| Эстриол(овестин) | Вагинальный крем 1 мг/г – 15 г. | 1-2 раза в сутки длительно. | Замедляет процессы атрофии вульвы. |
| Прогестерон (крайнон) | Вагинальный гель 90 мг. | 2 раза в неделю длительно. | Ускоряет метаболизм вульвы, противозудное действие. |
| Тестостерон (андрогель) | Крем 10 мг/г – 75 мг. | 2 раза в сутки 2-3 недели. | Ускоряет рост коллагена, противозудное действие. |
| Гидрокортизон (локоид) | Мазь 1% — 10 г. | 2-3 раза в сутки курсами по 15-30 дней. | Противозудное действие и замедление воспалительных процессов. |
| Преднизолон | Мазь 0,5% — 15 г. | ||
| Бетаметазон (акридерм) | Крем 0,064% — 15 г. | ||
| Триамцинолон (фторокорт) | Мазь 0,1% — 15 г. |
Выбор препарата и метода применения осуществляется врачом с учетом индивидуальных особенностей пациентки.
Лазеротерапия крауроза вульвы является современным методом лечения, особенно эффективным на ранних стадиях. Используются гелий-неоновые лазеры, которые уменьшают воспаление и зуд. Процедуры проводятся амбулаторно, курс включает 15-25 процедур.
Фотодинамическая терапия крауроза вульвы сочетает использование лекарств и лазерного излучения. Метод позволяет надолго устранить симптомы, но не гарантирует полного излечения.
Хирургическое лечение крауроза вульвы применяется на терминальных стадиях для восстановления проходимости уретры и ануса. Ранее использовались методы денервации и разрушения вульвы, но они не прижились из-за осложнений. В настоящее время распространены криодеструкция и лазерная абляция.
Народные методы лечения требуют серьезных исследований, но некоторые растения с противовоспалительным эффектом могут быть полезны. Рекомендуются отвары и мази из ромашки, зверобоя и календулы.
Разница между краурозом (склеротическим лишаем) и лейкоплакией (плоскоклеточной гиперплазией) вульвы
Крауроз и лейкоплакия – разные заболевания, но с общим происхождением. Крауроз может перейти в лейкоплакию, но не наоборот. Лейкоплакия является предраковым состоянием, тогда как крауроз – нет.
Крауроз – атрофическое заболевание кожи и подкожной клетчатки вульвы, проявляющееся истончением кожи и ломкостью сосудов. Лейкоплакия характеризуется утолщением эпителия и гиперкератозом, без стягивания кожи и сужения просвета.
Лечение крауроза консервативное, в то время как лейкоплакия требует хирургического вмешательства. Прогноз крауроза благоприятный, лейкоплакия имеет худший прогноз из-за вероятности озлокачествления.
Эффективные мази при краурозе (склеротическом лишае)
Нет однозначного ответа на вопрос о наиболее эффективных мазях, так как крауроз имеет неустановленную причину. Местные препараты создают высокие концентрации в пораженных тканях и минимизируют системные побочные эффекты.
Препараты первой линии
К препаратам первой линии относятся мази на основе женских половых гормонов. При сухости и боли во влагалище рекомендуются препараты с эстриолом, например, овестин. Применяется 1-2 раза в сутки.
Другой препарат первой линии – крайнон, содержащий прогестерон. Применяется 2 раза в неделю, удобнее в использовании.
Препараты второй линии
Андрогель с тестостероном восстанавливает соединительнотканные волокна и назначается при неэффективности препаратов первой линии. Глюкокортикостероидные мази (гидрокортизон, преднизолон, бетаметазон, триамцинолон) имеют быстрый и комплексный эффект, но их применение ограничено.
Можно ли окончательно вылечить крауроз (склеротический лишай)?
Окончательное излечение крауроза невозможно, так как причина заболевания неизвестна. Однако существуют методы, позволяющие восстановить нормальный эпителий и ослабить симптомы. Лечение направлено на улучшение микроциркуляции и блокирование иммунных процессов.
Методы лазерной терапии, особенно фотодинамической, позволяют надолго устранить симптомы. Однако со временем заболевание может проявляться вновь.
Существует ли крауроз (склеротический лишай) у мужчин?
Крауроз полового члена существует, но его распространенность низка. Это заболевание вторично и связано с травмами или инфекциями. Лечение зависит от стадии и включает гормональные мази и физиопроцедуры. На поздних стадиях может потребоваться хирургическое вмешательство.
Нужно ли особое питание при краурозе вульвы (склеротическом лишае)?
Однозначного ответа нет, но правильное питание не повредит. Рекомендуется избегать острой, соленой и жирной пищи, а также сладостей. Важно употреблять кисломолочные продукты, диетическое мясо и рыбу. Правильный водный режим также важен, особенно для пожилых пациентов. Правильное питание может поддержать организм в борьбе с заболеванием, но не заменяет основное лечение.
Симптомы крауроза (склеротического лишая)
Клинические проявления склеротического лишая зависят от стадии заболевания, площади пораженных тканей и наличия сопутствующих заболеваний органов малого таза. У 2% женщин с краурозом вульвы заболевание протекает бессимптомно. Наибольшее количество случаев наблюдается у пожилых женщин в менопаузе. У женщин репродуктивного возраста пик заболеваемости приходится на 35 лет. Зафиксированы редкие случаи крауроза вульвы у детей, включая тех, кто младше 3 лет.
Симптомы крауроза (склеротического лишая) в зависимости от стадии заболевания
| Стадия заболевания | Симптом | Описание симптома |
| Начальная стадия | Парестезии | Ощущение «мурашек» или легкого покалывания, которое возникает задолго до атрофии тканей. Симптом периодический, может проявляться в любое время и в разных участках вульвы. |
| Кожный зуд | Начало заболевания часто сопровождается зудом, особенно ночью. Зуд спорадический, перемещается по вульве, изначально не интенсивный. Выраженность зуда соответствует степени разрушения межклеточного пространства: чем сильнее зуд, тем быстрее прогрессирует заболевание. | |
| Стадия умеренных клинических проявлений | Начальные признаки кожной атрофии | Легкий отек, белесоватый оттенок и истончение кожи, заметные в области «крауротического треугольника». |
| Кожный зуд | Интенсивность зуда значительно увеличивается, что может вызывать нервно-психические расстройства. Антигистаминные препараты часто оказывают лишь временный эффект. | |
| Диспареуния | Болезненные ощущения во время полового акта, дискомфорт может сохраняться на несколько часов. | |
| Вульводиния | Болезненность в области вульвы, ощущение сухости, жжения и напряжения, усиливающееся при движениях. | |
| Терминальная стадия | Признаки терминальной кожной атрофии | Истончение и уплотнение кожно-слизистых покровов продолжается. Наблюдаются субэпителиальные кровоизлияния и телеангиэктазии, пораженная область выходит за пределы крауротического треугольника, охватывая всю вульву и перианальную область. Клитор и малые половые губы становятся трудно различимыми, атрофия больших половых губ приводит к исчезновению жировой клетчатки. Преддверие влагалища значительно сужается. |
| Кожный зуд | В терминальной стадии зуд наиболее выражен, может проявляться как ночью, так и днем, что приводит к нервным расстройствам и синдрому хронической усталости. | |
| Диспареуния | Болезненность во время полового акта усиливается из-за выраженной сухости и сужения входа во влагалище. | |
| Вульводиния | Усиливается из-за процессов атрофии кожно-слизистых оболочек. | |
| Дизурия | Нарушение мочеиспускания возникает из-за атрофии эпителия уретры, что приводит к сужению наружного отверстия и затруднению отхождения мочи. Симптомы дизурии включают болезненное и учащенное мочеиспускание. | |
| Нарушения акта дефекации | Возникают при распространении склеротического лишая на перианальную область, что приводит к сужению просвета ануса и болезненным ощущениям при отхождении каловых масс. У пациенток может развиться страх перед опорожнением кишечника из-за неприятных ощущений. |
Диагностика крауроза вульвы (склеротического лишая)
Диагностика крауроза (склеротического лишая) основывается на клинической картине и лабораторных исследованиях. Сбор анамнеза (опрос пациентки) не дает значимой информации, поскольку не выявлено четкой связи с факторами, способствующими заболеванию.
К какому врачу обращаться при подозрении на крауроз вульвы (склеротический лишай)?
Если вы подозреваете крауроз вульвы, запишитесь на прием к гинекологу. При необходимости врач направит на дополнительные обследования. На основе результатов будет установлен диагноз и назначено лечение. Если выявятся признаки других заболеваний, таких как онкологические или венерологические, гинеколог направит вас к соответствующему специалисту – онкологу или дерматовенерологу.
Лабораторная диагностика крауроза вульвы (склеротического лишая)
Основным способом диагностики крауроза вульвы является гистологическое исследование подозрительных образцов тканей. Забор образцов может проводиться случайным образом из различных участков вульвы для повышения шансов на выявление патологии или целенаправленно во время вульвоскопии. Для склеротического лишая характерны отек, мелкоклеточная инфильтрация верхних слоев дермы, уплощение эпителия и уменьшение количества меланоцитов. В соединительной ткани дермы наблюдаются участки разрушения коллагеновых и эластиновых волокон.
Гистологический метод также позволяет выявить гиперкератоз, лейкоплакию и клеточную атипию, что способствует раннему диагностированию предраковых состояний и злокачественных опухолей вульвы.
Еще одной задачей при краурозе вульвы является исключение заболеваний с похожей клинической картиной, таких как папилломовирусная инфекция. Для этого кровь анализируется методом ПЦР на наличие вируса папилломы человека и его тип. Если вирус обнаруживается, тактика лечения корректируется. В случае его отсутствия переходят к методам, определяющим изменения, характерные для склеротического лишая, в частности – к вульвоскопии.
Инструментальная диагностика крауроза вульвы (склеротического лишая)
Основным инструментальным методом исследования вульвы является вульвоскопия — микроскопический анализ, проводимый на пациентке.
Существует два типа вульвоскопии: простая и расширенная. Простая вульвоскопия включает визуальное обследование вульвы с многократным увеличением, позволяя оценить толщину кожно-слизистых покровов и выявить атипичные кровеносные сосуды.
Расширенная вульвоскопия использует специальные вещества (например, уксусную кислоту, толуидиновый синий) для выявления гиперкератоза и злокачественного перерождения тканей. Этот метод применяется для дифференциальной диагностики злокачественных опухолей вульвы. Преимуществом является возможность целенаправленного взятия биопсии из пораженной ткани для гистологического анализа.
Когда необходимо лечение крауроза (склеротического лишая)?
Лечение крауроза следует начинать сразу после диагностики, поскольку главная цель терапии — замедлить прогрессирование заболевания. Чем раньше начнется лечение, тем выше вероятность успеха. Хирургические методы применяются только на поздних стадиях, когда наблюдается сужение мочевыводящих путей, ануса, преддверия влагалища и других областей.
Лечение крауроза вульвы (склеротического лишая)
Пока не установлена конкретная причина крауроза вульвы, профилактика и лечение остаются сложными. Однако патогенез заболевания изучен, и воздействие на его механизмы может замедлить прогрессирование. Лечение склеротического лишая (крауроза) сосредоточено на восстановлении кровообращения в области вульвы, устранении воспалений и зуда. Эти цели достигаются преимущественно консервативным медикаментозным лечением.
Немедикаментозные методы, такие как физиотерапия, акупунктура, лазерная и фотодинамическая терапия, также могут быть эффективными. Последняя методика становится популярной благодаря выраженному лечебному эффекту. Хирургические вмешательства применяются только на запущенных стадиях, когда возникают сужения устья уретры или спайки во влагалище и прямой кишке.
Немедикаментозное (физиотерапевтическое) лечение крауроза вульвы (склеротического лишая).
В немедикаментозное лечение крауроза вульвы входят ультрафиолетовое облучение, лазерная и ультразвуковая терапия, иглоукалывание и другие методы. Эти подходы наиболее эффективны в рамках комплексного лечения.
Цель физиотерапии при краурозе — подавление воспаления и улучшение кровообращения.
Методы физиотерапии противопоказаны при злокачественных процессах, так как могут ускорить их прогрессирование. При ухудшении состояния после процедур следует снизить дозировку, изменить график или прекратить лечение.
Методы физиотерапевтического лечения крауроза вульвы
| Физиотерапевтический метод | Рекомендации | Терапевтический эффект |
| Ультрафиолетовое облучение | Облучение наружных половых органов ежедневно или через день. Начинают с одной биодозы, увеличивая на половину биодозы до трех. Курс — 10-15 процедур. | Противовоспалительный эффект и восстановление тканей. |
| Ультразвук | Воздействие на область вульвы с интенсивностью 0,2 — 0,4 Вт/см2 в импульсном режиме. Процедуры ежедневно или через день, длительность 3-4 минуты. Курс — 10 процедур. Рекомендуется сочетание с гормональными мазями. | Улучшение тонуса сосудов, устранение застоя, замедление распада коллагена и эластина, частичное восстановление тканей. |
| Лазеротерапия | Локальное воздействие на вульву с мощностью 1 — 2 мВт/см2 в импульсном режиме. Длительность 2-3 минуты, курс — 10 процедур ежедневно. | Повышение тонуса сосудов, сокращение мышц кожи, уменьшение застоя в тканях. |
| Рефлексотерапия (иглоукалывание) | Воздействие на энергетические центры с помощью стерильных игл. Длительность и частота сеансов варьируются. Курс — 15-20 процедур. | Ускорение обмена веществ в тканях промежности, замедление дезорганизации соединительной ткани, остановка прогрессирования склеротического лишая. |
Медикаментозное лечение крауроза вульвы (склеротического лишая)
Медикаментозная терапия крауроза вульвы является основным методом лечения благодаря высокой эффективности. Применяются местные формы лекарств: мази и кремы наносятся на очищенную кожу 1-2 раза в день, аккуратно втирая. Примочки используются реже из-за неудобства.
Лекарственные препараты для лечения крауроза вульвы
| Название препарата | Форма выпуска | Схема применения | Терапевтический эффект |
| Эстриол (овестин) | Вагинальный крем 1 мг/г – 15 г. | 1-2 раза в сутки на длительный срок. | Замедляет атрофические процессы в вульве. Рекомендуется при сухости влагалища и дискомфорте во время полового акта. |
| Прогестерон (крайнон) | Вагинальный гель 90 мг в пакетах с аппликатором. | 2 раза в неделю на длительный срок. | Ускоряет метаболизм кожно-слизистых покровов вульвы. Обладает выраженным противозудным эффектом, но менее эффективен при диспареунии из-за сухости влагалища. |
| Тестостерон (андрогель) | Крем 10 мг/г – 75 мг. | 2 раза в сутки в течение 2-3 недель. | Стимулирует рост и дифференциацию коллагена – основного белка соединительной ткани. Обладает выраженным противозудным действием. |
| Гидрокортизон (локоид) | Мазь 1% — 10 г. | 2-3 раза в сутки курсами по 15-30 дней с перерывами на 2-3 месяца. | Препараты группы глюкокортикостероидов имеют выраженное противозудное действие и замедляют воспалительные процессы. Длительное применение может привести к атрофии кожи, поэтому курс лечения должен быть ограничен. |
| Преднизолон | Мазь 0,5% — 15 г. | ||
| Бетаметазон (акридерм) | Крем 0,064% — 15 г. | ||
| Триамцинолон (фторокорт) | Мазь 0,1% — 15 г. |
Выбор препарата и способа применения должен осуществляться врачом с учетом индивидуальных особенностей пациентки и наличия сопутствующих заболеваний.
Лечение крауроза вульвы (склеротического лишая) лазером
Лазерная терапия крауроза вульвы — современный подход к лечению этого заболевания, наиболее эффективный на ранних стадиях, когда соединительная ткань вульвы еще не изменилась значительно.
В лечении используются гелий-неоновые лазеры, проникающие в кожу и воздействующие на подлежащие мягкие ткани. Лазер снижает воспалительные процессы, которые вызывают изменения тканей вульвы при краурозе, и уменьшает зуд. Однако он не восстанавливает разрушенные соединительнотканные и эластические волокна, что делает его менее эффективным на поздних стадиях.
Процедуры проводятся амбулаторно и не требуют госпитализации. Во время сеанса лазерное воздействие охватывает всю область вульвы, с акцентом на наиболее измененные участки. Длительность сеанса составляет от 3 до 10 минут. Курс лечения включает 15–25 процедур, проводимых ежедневно. Положительным результатом считается уменьшение зуда, снижение количества телеангиэктазий и мелких подкожных кровоизлияний. Кожа становится более чистой и здоровой. Преимуществом терапии является почти полное отсутствие побочных эффектов, но результаты могут быть не всегда положительными.
Существуют ограничения для применения метода. Главным противопоказанием является наличие злокачественных процессов, особенно в области вульвы. Лейкоплакия вульвы, являющаяся предраковым состоянием, также считается противопоказанием, так как может ускорить малигнизацию. Перед началом лазерного лечения необходимо провести вульвоскопию и гистологическое исследование измененных участков ткани для подтверждения доброкачественности процесса. Лазерная терапия противопоказана пациентам, перенесшим операцию по поводу рака промежности и органов малого таза.
Еще одним ограничением является наличие инфекционных заболеваний половой системы.
Фотодинамическая терапия крауроза вульвы (склеротического лишая)
Фотодинамическая терапия крауроза вульвы — эффективный метод лечения, сочетающий медикаменты и лазерное излучение.
Метод основан на внутривенном введении препарата, который поглощается клетками соединительной ткани. Под воздействием фотонов определенной длины (лазера) он преобразуется в активное вещество, уничтожающее накопившиеся клетки. Через два часа это вещество выводится с мочой, не вызывая отсроченных побочных эффектов.
В отличие от традиционной лазерной терапии с гелий-неоновым лазером, фотодинамическая терапия более селективна к патологически измененным тканям. Лазер воздействует только на ненужные клетки соединительной ткани, сохраняя многослойный плоский эпителий вульвы. Спустя несколько недель участки с соединительной тканью заполняются полноценным плоским эпителием, что восстанавливает функции вульвы лучше, чем другие методы.
Тем не менее, утверждать, что фотодинамическая терапия полностью избавляет от крауроза, преждевременно. Этот метод новый, и его долгосрочная эффективность требует времени для оценки. Через несколько лет (в некоторых случаях и раньше) клетки соединительной ткани могут вновь замещать здоровый эпителий. Заболевание не исчезает полностью, но фотодинамическая терапия позволяет надолго забыть о симптомах и вести полноценную жизнь. Данных о вреде повторных курсов терапии нет, поэтому при повторном появлении симптомов можно снова провести процедуру для восстановления слизистой оболочки родовых путей.
Хирургическое лечение крауроза вульвы (склеротического лишая)
Хирургическое вмешательство при краурозе вульвы является паллиативным, поскольку его цель — снизить страдания пациентки, а не полностью излечить. Операции проводятся на последних стадиях заболевания, когда возникают стенозы (сужение просвета) и выпадения влагалища, уретры или прямой кишки. Основная задача таких вмешательств — восстановление проходимости и нормальных физиологических функций.
Ранее применялись различные хирургические техники для улучшения кровоснабжения тканей вульвы, включая денервацию (разрушение нервов) и методы, связанные с разрушением вульвы и ее заживлением.
Однако ни один из этих подходов не получил широкого распространения из-за серьезных осложнений. В настоящее время наиболее распространены криодеструкция (охлаждение с использованием жидкого азота) и лазерная абляция. Эти методы не требуют скальпеля и показывают приемлемую эффективность.
Народные методы лечения крауроза вульвы (склеротического лишая) в домашних условиях
Для объективной оценки народных методов лечения необходимы серьезные исследования на большом количестве пациентов, что затрудняет получение надежных данных о их эффективности.
Тем не менее, целебные свойства растений известны давно, и знание патогенеза заболеваний помогает выбрать растения с потенциально положительным воздействием.
При краурозе вульвы рекомендуются лекарственные растения с противовоспалительными свойствами для приготовления отваров, экстрактов, мазей и компрессов. Яркий пример — полевая ромашка, особенно ее цветы. В отсутствии ромашки можно использовать зверобой, календулу, чабрец и другие травы.
Существуют также раздражающие вещества, применение которых требует осторожности из-за риска ожога нежных тканей вульвы. К ним относятся редис, хрен, горчица и этиловый спирт.
Дозировку следует определять самостоятельно, основываясь на опыте, так как в сборниках народной медицины указаны приблизительные количества ингредиентов. Рекомендуется избегать высокой концентрации растворов; лучше использовать низкоконцентрированные, но применять их чаще. Комбинировать разные растения не стоит, чтобы легче было определить источник негативного эффекта. Средства следует использовать только местно, не принимая внутрь. Компрессы или мази с противовоспалительными травами наносят на кожу на 4-5 часов. Раздражающие вещества можно наносить на нежную кожу вульвы только в низких концентрациях и на короткий срок (10-15 минут). Температура веществ должна быть комнатной или чуть выше.
Важно помнить, что основной принцип народной медицины — «не навреди». Незнакомые рецепты следует пробовать с осторожностью, а при появлении побочных эффектов немедленно прекратить лечение и обратиться к специалисту.
В чем разница между краурозом (склеротическим лишаем) и лейкоплакией (плоскоклеточной гиперплазией) вульвы?
Крауроз и лейкоплакия вульвы — разные заболевания с общими причинами. Крауроз может перейти в лейкоплакию, но обратный процесс невозможен. Главное отличие: лейкоплакия — предраковое состояние, крауроз — нет.
Крауроз проявляется атрофией кожи и подкожной жировой клетчатки в области вульвы. Это приводит к истончению кожи, повышенной ломкости сосудов и разрушению эластических волокон. Кожа становится отечной, блестящей и бледной, с мелкими подкожными кровоизлияниями. Разрушение волокон вызывает стягивание, сужение уретры, преддверья влагалища и ануса, исчезновение волос и уменьшение пигментации. Наружные половые органы становятся плоскими, слизистые железы теряют функцию, что вызывает сухость. Зуд почти всегда выражен, что делает крауроз дегенеративным заболеванием.
Лейкоплакия возникает из-за ухудшения кровообращения в области вульвы. Альтернативное название — плоскоклеточная гиперплазия вульвы, что отражает суть заболевания. Вместо истончения эпителия происходит его утолщение и отшелушивание из-за ускоренного деления клеток базального слоя. На коже формируются белые и плотные участки гиперкератоза. Стягивание кожи и сужение уретры не наблюдаются, зуд возникает реже, что приводит к длительной недиагностированности. Это может стать причиной злокачественного перерождения в агрессивный плоскоклеточный рак.
Опытный гинеколог может различить крауроз и лейкоплакию по изменениям кожно-слизистых покровов. Для уточнения диагноза необходимо гистологическое исследование. При краурозе в биоптате выявляется мелкоклеточная инфильтрация, снижение числа меланоцитов, истончение эпителия и атрофия волосяных фолликулов. При плоскоклеточном гиперкератозе обнаруживаются участки утолщенного эпителия. Цитологическое исследование может показать атипичные клетки.
Лечение крауроза в основном консервативное: противовоспалительные, антигистаминные препараты и средства для улучшения микроциркуляции. Популярен метод фотодинамической терапии. Хирургическое вмешательство применяется редко, только при значительных сужениях. Лейкоплакия требует хирургического лечения из-за высокой вероятности озлокачествления. Цель терапии — устранение предракового состояния. В некоторых случаях назначаются курсы химиотерапии и лучевой терапии.
Прогноз для крауроза благоприятный, несмотря на неудобства и ухудшение качества жизни. Прогноз для лейкоплакии менее оптимистичен из-за вероятности злокачественного перерождения. Женщинам старше 35 лет рекомендуется проходить гинекологическое обследование не реже одного раза в год.
Какие мази наиболее эффективны при краурозе (склеротическом лишае)?
Однозначного ответа на вопрос о лечении крауроза не существует, так как заболевание имеет неясную этиологию. Доступные лекарства воздействуют на определенные звенья механизма болезни, и их эффективность зависит от индивидуальных особенностей пациента. На основе наблюдений выработана рекомендуемая последовательность применения медикаментов.
Основу терапии крауроза составляют местные средства: мази, кремы и компрессы. Их преимущество — высокая концентрация активного вещества в пораженных тканях и минимальное проникновение в системный кровоток, что снижает риск системных побочных эффектов, особенно при использовании гормональных препаратов.
Мази для лечения крауроза делятся на препараты первой и второй линии.
Препараты первой линии
К препаратам первой линии относятся мази и кремы на основе женских половых гормонов. Выбор конкретного средства зависит от сопутствующих симптомов.
При сухости и болезненных ощущениях во влагалище, особенно во время полового акта, рекомендуется использовать эстриол. Он восстанавливает микроциркуляцию вульвы и стимулирует слизистые железы, а также обладает слабым противозудным эффектом. Известный препарат — овестин, вагинальный крем с концентрацией 1 мг/г в тубе 15 г. Эффект проявляется через несколько дней и сохраняется на время использования. Крем наносят 1-2 раза в день. При побочных эффектах, таких как крапивница или зуд, следует прекратить использование и обратиться к врачу.
Другой препарат первой линии — крайнон, вагинальный гель с прогестероном (8%) в пакетиках с аппликаторами. Его применяют 1 раз в 3-4 дня, что удобно. Препарат связывается с эпителием вульвы и действует длительное время. Рекомендуется при кожном зуде, но может быть менее эффективен при атрофических изменениях. Длительность лечения не ограничена, но при побочных эффектах следует прекратить использование.
Препараты второй линии
Андрогель с тестостероном (10 мг/г) — один из препаратов второй линии. Он восстанавливает соединительнотканные и эластиновые волокна, замедляя прогрессирование заболевания. Противозудное действие тестостерона сильнее, чем у женских гормонов, поэтому его назначают после неэффективности средств первой линии. Мазь наносят на вульву 2 раза в день в течение 2-3 недель. Длительное использование не рекомендуется из-за риска побочных эффектов; повторные курсы допускаются через несколько месяцев.
Основные средства второй линии — глюкокортикостероидные мази: гидрокортизон (локоид), преднизолон, бетаметазон (акридерм) и триамцинолон (фторокорт). Эти мази обеспечивают быстрый и комплексный эффект, выраженное противозудное действие и эффективно устраняют воспаление. Наносить их следует 2-3 раза в день не более одного месяца. Длительное применение может вызвать кожную атрофию; повторный курс — не ранее чем через 2-3 месяца.
Можно ли окончательно вылечить крауроз (склеротический лишай)?
К сожалению, полное излечение крауроза вульвы невозможно, так как причина заболевания неизвестна. Однако существуют методы, которые могут улучшить состояние эпителия и уменьшить проявления крауроза.
Крауроз отличается от пневмонии или гриппа тем, что его причина не установлена, и устранить ее невозможно. Большинство исследователей считают крауроз обменным или дегенеративным заболеванием с множеством факторов, способствующих его развитию. Из-за этого воздействовать на все причины не представляется возможным.
Тем не менее, механизм развития заболевания изучен достаточно подробно, что позволило разработать эффективные методы патогенетического лечения. Улучшение микроциркуляции в области вульвы и блокирование иммунных процессов замедляют прогрессирование склеротического лишая. Эффективность половых гормонов указывает на их дефицит в патогенезе заболевания, восполнение которого замедляет атрофические процессы в кожно-слизистых покровах половых органов.
Методы лазерного лечения крауроза, особенно фотодинамическая терапия, приобрели популярность. Этот метод позволяет избирательно уничтожать соединительную ткань в области вульвы, сохраняя нормальный плоский эпителий. Через несколько недель на месте разрушенной ткани формируется функциональный плоский эпителий. Метод позволяет надолго избавиться от симптомов заболевания и восстановить здоровье. Однако, поскольку причины не устранены, заболевание может вновь проявиться. В таких случаях повторный курс фотодинамической терапии может отсрочить симптомы на несколько лет.
Научные исследования продолжаются, и в ближайшем будущем ожидаются новые методы лечения ранее неизлечимых заболеваний. Большие надежды возлагаются на технологии генной инженерии, которые могут помочь предотвратить обменные, аутоиммунные и генетические заболевания на этапе планирования беременности. Возможно, будет найден метод предотвращения крауроза вульвы.
Существует ли крауроз (склеротический лишай) у мужчин?
Крауроз полового члена — редкое заболевание у мужчин, не связанное с краурозом вульвы у женщин, за исключением внешних проявлений. Название «крауроз» происходит от греческого слова, означающего «сморщивание», что отражает изменения в тканях.
Крауроз полового члена отличается вторичным характером, связанным с травмами, инфекциями или хирургическими вмешательствами на головке полового члена и крайней плоти. В отличие от крауроза вульвы, который чаще является самостоятельным заболеванием, крауроз полового члена обычно является осложнением. У большинства мужчин заболевание протекает бессимптомно, тогда как при краурозе вульвы зуд наблюдается в 98% случаев. Некоторые исследователи допускают возможность первичного крауроза у мужчин без предшествующих травм.
Изменения в тканях полового члена развиваются медленно, и мужчины часто не замечают их, списывая на возрастные изменения. Основной причиной обращения к врачу становится затрудненное мочеиспускание из-за фимоза (сужения крайней плоти).
Лечение крауроза зависит от стадии. На ранних этапах применяются кремы и мази с половыми гормонами (овестин, крайнон, андрогель) и глюкокортикостероидами (локоид, преднизолон, акридерм, фторокорт). Также могут использоваться физиотерапия и лазерная терапия. На поздних стадиях, при стенозе уретры, требуется хирургическое вмешательство. Выбор метода восстановления оттока мочи зависит от степени стеноза и шансов на успешную пластику пениса.
Прогноз для пациентов с краурозом полового члена в целом благоприятный. Однако в некоторых случаях заболевание может перейти в рак головки полового члена или крайней плоти, поэтому пациентам рекомендуется регулярное наблюдение у уролога.
Нужно ли особое питание при краурозе вульвы (склеротическом лишае)?
Однозначного ответа на этот вопрос нет, но большинство специалистов согласны, что сбалансированное питание при краурозе вульвы не повредит.
Диета при краурозе предполагает исключение острой, соленой, жирной и жареной пищи. Рекомендуется сократить или отказаться от кофе, шоколада, сладостей и хлебобулочных изделий.
Кофе и шоколад могут раздражать нервную систему. Сладости, состоящие из легко усваиваемых углеводов, способствуют резкому повышению уровня глюкозы в крови, что приводит к образованию жировых запасов.
В рацион следует включать кисломолочные продукты (кефир, ряженка, сметана) каждый день. Молоко можно употреблять в небольших количествах и не ежедневно, если оно не вызывает расстройства желудка. Мясные продукты должны присутствовать не реже двух раз в неделю, но не чаще четырех. Каждый день есть мясо не рекомендуется; предпочтение стоит отдавать диетическим сортам. Рыбу можно есть 3-4 раза в неделю, так как она является хорошим источником белка, фосфора и витаминов A, D и E. Лучше готовить рыбу свежей, а не консервированной.
Каждое утро полезно выпивать стакан свежевыжатого сока, особенно из смеси овощей и фруктов. Хорошие сочетания: яблоко с тыквой, яблоко с красной свеклой, груша с морковью. На каждом приеме пищи стоит употреблять небольшое количество салата или свежих овощей и фруктов. Для заправки лучше использовать подсолнечное или оливковое масло, богатые ненасыщенными жирными кислотами, необходимыми для клеточных мембран. Сливочное масло также является источником этих веществ. Маргарин содержит только разветвленные жирные кислоты, полезные лишь для получения энергии, поэтому его лучше исключить.
Рекомендуется питаться 5-6 раз в день. Такой режим не обязательно приводит к набору веса; небольшие порции и избегание переедания помогут организму найти оптимальный вес.
Правильный водный баланс важен. Взрослому человеку в хорошем состоянии здоровья необходимо выпивать от 1,5 до 3 литров воды в день, а в зависимости от климата и физической активности — даже больше. Однако для пациентов с краурозом вульвы, как правило, старше 60 лет, нормы потребления воды следует снизить на 40-60% из-за распространенных заболеваний (гипертония, хроническая сердечная недостаточность, почечная недостаточность и хроническая обструктивная болезнь легких).
Таким образом, правильное питание помогает женщинам с краурозом вульвы обеспечить организм необходимыми веществами для борьбы с заболеванием. Полагаться только на диету недостаточно, но в сочетании с современными методами лечения она оказывает положительное, укрепляющее действие.
Вопрос-ответ
Каковы причины склеротического лишая?
Причина развития склеротического лишая неизвестна. Заболевание связывают с различными механизмами, но ни один из них не получил окончательного подтверждения. Например, генетические факторы — у близких родственников заболевание встречается чаще.
Каковы причины крауроза?
Крауроз (или крауроз половых органов) может быть вызван различными факторами, включая гормональные изменения, особенно в период менопаузы, хронические воспалительные заболевания, инфекции, аллергические реакции, а также аутоиммунные расстройства. Кроме того, недостаток эстрогенов может привести к истончению и сухости тканей, что также способствует развитию крауроза.
Какие мази помогают при краурозе вульвы?
Достаточно хорошо в лечении крауроза влагалища и вульвы зарекомендовали себя кортикостероидные мази с преднизолоном, гидрокортизоном, бетаметазоном.
Чем опасен склеротический лишай?
Заболевание приводит к появлению рубцов в области наружных половых органов, вследствие чего они могут деформироваться. Малые половые губы могут исчезнуть (объединившись с большими), или может сузиться вход во влагалище.
Советы
СОВЕТ №1
Регулярно проводите осмотр кожи, особенно в тех местах, где могут возникнуть изменения. Обратите внимание на любые необычные пятна или изменения цвета, которые могут указывать на развитие крауроза.
СОВЕТ №2
При появлении первых симптомов, таких как зуд, покраснение или шелушение кожи, не откладывайте визит к дерматологу. Ранняя диагностика и лечение могут предотвратить дальнейшее развитие патологии.
СОВЕТ №3
Соблюдайте правила гигиены и ухаживайте за кожей, используя увлажняющие средства. Это поможет предотвратить сухость и раздражение, которые могут усугубить симптомы крауроза.
СОВЕТ №4
Изучите возможные триггеры, такие как стресс или определенные продукты питания, которые могут способствовать обострению состояния. Ведение дневника может помочь выявить связь между вашим образом жизни и симптомами.





