Что такое остеофит?
Остеофит — это патологическое разрастание костной ткани. Название происходит от греческих слов osteon («кость») и phyton («растение» или «отросток»). Остеофиты могут встречаться как по одному, так и в множественном числе. Они имеют различные формы: от тонких отростков, напоминающих зубцы или шипы, до крупных образований, похожих на бугорки. Эти образования состоят из тех же структурных элементов, что и обычная костная ткань.
Типы остеофитов:
- компактные костные остеофиты;
- губчатые костные остеофиты;
- костно-хрящевые остеофиты;
- метапластические остеофиты.
Врачи отмечают, что остеофиты, или костные наросты, часто возникают в результате хронического воспаления суставов, остеоартрита или травм. Основными симптомами являются боль, ограничение подвижности и дискомфорт в области пораженного сустава. При этом, как подчеркивают специалисты, остеофиты могут долгое время не проявляться, что затрудняет их раннюю диагностику. Для выявления данной патологии врачи рекомендуют проводить рентгенографию и МРТ, которые позволяют точно определить наличие и размеры остеофитов. Лечение может варьироваться от консервативных методов, таких как физиотерапия и медикаментозная терапия, до хирургического вмешательства в более запущенных случаях. Важно, чтобы пациенты не игнорировали симптомы и своевременно обращались за медицинской помощью, что поможет избежать серьезных осложнений.

Костные компактные остеофиты
Костные компактные остеофиты — это производные компактной костной ткани, одного из двух основных типов костной структуры. Компактная ткань обладает высокой прочностью и выдерживает значительные механические нагрузки, образуя наружный слой кости. Она также служит резервуаром для химических элементов, таких как кальций и фосфор. Компактный слой особенно выражен в центральной части длинных и коротких трубчатых костей, таких как бедренная, большеберцовая, малоберцовая, плечевая, локтевая, лучевая кости, а также в костях стопы и фалангах пальцев. Компактная костная ткань составляет около 75-80% общего веса человеческого скелета.
Костные компактные остеофиты чаще всего образуются на поверхности костей стоп, таких как плюсневые кости, а также на фалангах пальцев рук и ног, обычно располагаясь на концах трубчатых костей.
| Причина | Симптомы | Диагностика и лечение |
|---|---|---|
| Дегенеративные изменения суставов (остеоартроз) — наиболее частая причина. Износ хрящевой ткани приводит к образованию костных наростов. | Боль в суставе, скованность движений, хруст, ограничение подвижности, деформация сустава (в запущенных случаях). Симптомы могут варьировать в зависимости от локализации остеофитов. | Рентгенография (выявляет костные разрастания), КТ или МРТ (для более детальной оценки состояния сустава и окружающих тканей). Лечение включает в себя: нестероидные противовоспалительные препараты (НПВП), анальгетики, физиотерапию (УВЧ, магнитотерапия, лазерная терапия), лечебную физкультуру (ЛФК), инъекции гиалуроновой кислоты, хирургическое вмешательство (в крайних случаях, при сильной боли и ограничении функции сустава). |
| Травмы суставов — переломы, вывихи, растяжения могут стимулировать образование остеофитов в процессе заживления. | Боль, отек, ограничение подвижности, деформация сустава. Симптомы зависят от локализации и тяжести травмы. | Рентгенография, КТ или МРТ. Лечение зависит от характера травмы и включает в себя иммобилизацию, обезболивание, физиотерапию, хирургическое вмешательство (при необходимости). |
| Воспалительные заболевания суставов (ревматоидный артрит, псориатический артрит) — воспаление синовиальной оболочки сустава может привести к образованию остеофитов. | Боль, отек, покраснение, повышение температуры в области сустава, ограничение подвижности, утренняя скованность. | Рентгенография, анализ крови (на ревматоидный фактор, С-реактивный белок), КТ или МРТ. Лечение включает в себя базисную терапию (метотрексат, сульфасалазин), НПВП, глюкокортикоиды, биологические препараты, физиотерапию. |
| Нарушение обмена веществ (например, подагра) — отложение кристаллов уратов в суставах может вызвать воспаление и образование остеофитов. | Острая, интенсивная боль в суставе, отек, покраснение, повышение температуры. | Рентгенография, анализ крови (на мочевую кислоту), анализ синовиальной жидкости. Лечение включает в себя диету, лекарственные препараты (аллопуринол, колхицин), НПВП. |
| Врожденные аномалии развития суставов. | Симптомы могут варьировать в зависимости от конкретной аномалии, часто проявляются в детском или подростковом возрасте. | Рентгенография, КТ или МРТ. Лечение может включать в себя хирургическое вмешательство, физиотерапию, ортопедические средства. |
Костные губчатые остеофиты
Костные губчатые остеофиты формируются из губчатой костной ткани, которая имеет ячеистую структуру и состоит из костных пластинок и перегородок, называемых трабекулами. В отличие от компактной костной ткани, губчатое вещество легче, менее плотное и менее прочное. Оно важно для формирования эпифизов трубчатых костей и составляет основную массу губчатых костей, таких как кости запястья, предплюсны, позвонки, ребра и грудина. В трубчатых костях губчатое вещество содержит красный костный мозг, отвечающий за кроветворение.
Губчатые остеофиты возникают при значительных нагрузках на костную ткань и могут появляться в любых участках губчатых и трубчатых костей из-за большой площади поверхности губчатого вещества.
Остеофиты, или костные шпоры, часто становятся темой обсуждений среди людей, страдающих от болей в суставах. Многие отмечают, что основными причинами их появления являются возрастные изменения, травмы и хронические воспалительные процессы. Симптомы могут варьироваться от легкого дискомфорта до сильной боли и ограничения подвижности. Часто пациенты жалуются на хруст и щелчки в суставах, особенно при движении.
Диагностика остеофитов обычно включает рентгенографию, которая позволяет визуализировать костные наросты. Важно отметить, что не всегда остеофиты требуют лечения, если они не вызывают значительных симптомов. Однако в случаях выраженной боли и ограничения движений врачи могут рекомендовать консервативные методы, такие как физиотерапия и противовоспалительные препараты. В более тяжелых случаях может потребоваться хирургическое вмешательство. Люди, столкнувшиеся с этой проблемой, подчеркивают важность своевременной диагностики и индивидуального подхода к лечению.

Костно-хрящевые остеофиты
Костно-хрящевые остеофиты образуются из-за деформации хрящевой ткани. Суставные поверхности обычно покрыты хрящом, который снижает трение между костями. Однако при постоянных нагрузках или воспалительных и дегенеративных заболеваниях хрящ может истончаться и разрушаться. В ответ на механические нагрузки кость начинает разрастаться, образуя остеофиты, которые увеличивают площадь суставной поверхности и равномерно распределяют нагрузку.
Остеофиты чаще всего возникают в крупных суставах, таких как коленный и тазобедренный, где нагрузка максимальна.
Метапластические остеофиты
Метапластические остеофиты формируются при замещении клеток одного типа на другой в костной ткани, где выделяют три основных типа клеток: остеобласты, остеоциты и остеокласты. Остеобласты — молодые костные клетки, синтезирующие межклеточное вещество, матрикс. Со временем они погружаются в матрикс и превращаются в остеоциты, которые теряют способность к делению и синтезу, но участвуют в обмене веществ и поддержании состава органических и минеральных компонентов кости. Остеокласты, образующиеся из лейкоцитов, необходимы для разрушения старой костной ткани.
В метапластических остеофитах наблюдается аномальное соотношение остеобластов, остеокластов и остеоцитов. Эти остеофиты могут возникать из-за воспалительных процессов или инфекций, затрагивающих костную ткань, а также при нарушениях регенерации.
Остеофиты играют важную роль в эволюционном процессе. Если в суставе, подвергшемся разрушению, не происходит полной регенерации хрящевой или костной ткани, остеофиты помогают ограничить амплитуду движений и замедлить разрушение сустава.

Причины появления остеофитов
Остеофиты возникают по разным причинам, связанным с обменом веществ. Чаще всего они появляются из-за значительных нагрузок на суставы, что разрушает хрящевую ткань. Также их формирование может быть вызвано травмами суставов или позвоночника.
Основные факторы, способствующие образованию остеофитов:
- воспалительные процессы в костной ткани;
- дегенеративные изменения в костях;
- переломы;
- длительное нахождение в неудобной позе;
- опухоли костной ткани;
- заболевания эндокринной системы.
Воспаление костной ткани
Воспаление костной ткани часто приводит к остеомиелиту, который затрагивает все компоненты костей: костный мозг, губчатое и компактное вещество, а также надкостницу. Заболевание обычно вызывается гноеродными бактериями, такими как стафилококки и стрептококки, или микобактериями, вызывающими туберкулез. Причинами остеомиелита могут быть открытые переломы, проникновение микроорганизмов из хронических инфекционных очагов или несоблюдение асептики при остеосинтезе с использованием фиксаторов (спицы, шурупы, штифты). Чаще всего остеомиелит наблюдается в бедренных и плечевых костях, позвонках, костях голени, а также в суставах нижней и верхней челюсти.
У детей инфекция чаще передается гематогенным путем, когда болезнетворные организмы попадают в костную ткань через кровь. Заболевание начинается с озноба, головной боли, общего недомогания, многократной рвоты и повышения температуры до 40ºС. Спустя сутки на месте поражения возникает резкая, сверлящая боль, а движения в этой области вызывают сильный дискомфорт. Кожа над воспаленным участком становится горячей, покрасневшей и напряженной. Воспаление может распространяться на окружающие ткани, приводя к образованию гноя в мышцах и затрагивая ближайшие суставы, что вызывает гнойный артрит.
У взрослых остеомиелит обычно развивается после открытых переломов. В процессе травмы рана может загрязняться, создавая условия для гнойно-воспалительного процесса. При линейном переломе воспаление ограничивается местом повреждения, а при оскольчатом — может затрагивать значительную часть кости.
Процесс регенерации костной ткани часто завершается образованием остеофитов. Это происходит, когда надкостница, соединительнотканная оболочка, покрывающая кость, может отделяться от костной ткани и трансформироваться в остеофиты различных форм. Костные разрастания, возникшие на фоне остеомиелита, могут со временем уменьшаться в размере или полностью исчезать при нормальной регенерации надкостницы и утолщении компактного вещества костной ткани.
Дегенеративные процессы в костной ткани
Дегенеративные изменения в костной и хрящевой ткани могут возникать не только у пожилых, но и у молодых людей, особенно при чрезмерных нагрузках на суставы и позвоночник.
Заболевания, способствующие дегенеративным процессам:
- деформирующий спондилез;
- деформирующий остеоартроз.
Деформирующий спондилез
Деформирующий спондилез — заболевание, приводящее к износу межпозвоночных дисков. Каждый диск состоит из фиброзного кольца и студенистого ядра, обеспечивающих подвижность позвоночника. При спондилезе передние и боковые части дисков разрушаются, выпячиваются и под давлением позвоночника трансформируются в остеофиты. Костные разрастания могут возникать также из передней продольной связки, поддерживающей позвоночный столб. Спондилез является следствием остеохондроза, при котором нарушается кровоснабжение хрящевой ткани дисков, что ведет к дегенеративным процессам. Остеофиты появляются как защитная реакция на дегенерацию дисков.
Деформирующий остеоартроз
Деформирующий остеоартроз — дегенеративно-дистрофическое заболевание, затрагивающее хрящевую ткань суставов. Причинами остеоартроза могут быть травмы, воспаления или дисплазия. На начальном этапе изменения касаются синовиальной жидкости, питающей хрящ. Затем патологические изменения затрагивают и сустав. Пораженный сустав не выдерживает обычные нагрузки, что приводит к воспалению и боли. На второй стадии происходит разрушение хрящевой ткани и образование остеофитов, так как кость пытается перераспределить нагрузку. Третья стадия характеризуется выраженной деформацией суставных поверхностей, нестабильностью сустава и укорочением связок. В дальнейшем могут возникать патологические движения или ограничения активных движений (развиваются контрактуры).
Перелом костей
Остеофиты часто возникают после переломов центральных частей костей. На месте повреждения формируется костная мозоль — соединительная ткань, которая со временем заменяется остеоидной. Эта ткань отличается меньшим содержанием солей кальция. В процессе восстановления вокруг смещенных костных фрагментов и остеоидной ткани могут образовываться посттравматические остеофиты. Если перелом сопровождается остеомиелитом, риск их появления увеличивается.
Остеофиты часто формируются из надкостницы, которая активно участвует в регенерации при переломах. Посттравматические остеофиты имеют структуру, схожую с компактным веществом костной ткани. В некоторых случаях они могут возникать при повреждении только одной надкостницы, которая затем окостеневает и превращается в костный отросток. Чаще всего посттравматические костные разрастания наблюдаются в коленном и локтевом суставах. Остеофиты также могут образовываться при разрывах связок и суставных сумок. Со временем посттравматические остеофиты могут изменять размеры и форму под воздействием постоянной физической нагрузки на сустав.
Длительное пребывание в вынужденной позиции
Долгое нахождение в вынужденном положении (стоя или сидя) приводит к перегрузке суставов. Со временем из-за увеличенной нагрузки хрящевая ткань начинает разрушаться, и процесс разрушения преобладает над восстановлением. В итоге нагрузка ложится на костную ткань, которая разрастается и образует остеофиты.
Длительное пребывание в неудобной позе часто вызывает заболевания, такие как деформирующий спондилез и остеоартроз.
Опухолевые заболевания костной ткани
В некоторых случаях остеофиты возникают из-за поражения костной ткани доброкачественными и злокачественными опухолями. Костные разрастания могут развиваться также в результате метастазов — перемещения опухолевых клеток из первичного очага в другие органы.
Остеофиты могут формироваться при следующих опухолях:
- остеогенная саркома;
- саркома Юинга;
- остеохондрома;
- рак предстательной железы;
- рак молочной железы.
Остеогенная саркома
Это злокачественная опухоль костной ткани, характеризующаяся агрессивным ростом и ранним метастазированием. Чаще всего диагностируется у людей в возрасте 10-35 лет, особенно у мужчин (в 2-2,5 раза чаще, чем у женщин). Поражаются длинные трубчатые кости, особенно нижние конечности. На начальных стадиях может проявляться незначительная тупая боль, которая усиливается по мере роста опухоли. В дальнейшем возникают суставная контрактура и хромота. Боли не поддаются облегчению и могут распространяться на соседние структуры. Остеогенная саркома часто метастазирует в легкие и головной мозг.
Саркома Юинга
Это злокачественная опухоль, чаще всего поражающая длинные трубчатые кости, ребра, таз и позвоночник. Обычно диагностируется у детей 10-15 лет, мальчики болеют в полтора раза чаще. На начальных стадиях боль может быть незначительной и связываться с травмами. Со временем боль усиливается, особенно ночью, нарушая сон. Также наблюдается ограничение движений в суставах, отечность и покраснение кожи над пораженной областью. Метастазы могут распространяться в головной и костный мозг.
Остеохондрома
Это наиболее распространенная доброкачественная опухоль, образующаяся из клеток хрящевой ткани. Чаще всего обнаруживается в длинных трубчатых костях у детей и молодых людей 10-25 лет. Остеохондрома приводит к образованию выроста из костной ткани, покрытого хрящом. Выросты могут быть одиночными или множественными, причем множественные могут указывать на наследственную предрасположенность. Рост прекращается после 25 лет, когда эпифизарная пластинка замещается. В некоторых случаях остеохондрома может перерождаться в злокачественную опухоль без своевременного удаления.
Рак предстательной железы
Это наиболее распространенная злокачественная опухоль среди мужчин, составляющая около 10% всех случаев смертности от рака. Чаще возникает у пожилых людей и характеризуется медленным ростом. Симптомы включают учащенное мочеиспускание, боли в промежности и наличие крови в моче и сперме. В запущенных случаях могут наблюдаться задержка мочи и симптомы интоксикации, такие как потеря веса и слабость. Метастазы могут распространяться в легкие, надпочечники, печень и кости, чаще всего поражая бедренные кости и позвонки.
Рак молочной железы
Это опухоль железистой ткани молочной железы, занимающая первое место среди всех форм рака у женщин. К факторам риска относятся алкоголь, курение, ожирение и наследственная предрасположенность. На ранних стадиях симптомы отсутствуют, позже могут появляться малочувствительные образования. По мере роста опухоли нарушается подвижность молочной железы, могут появляться выделения из соска. Метастазы могут достигать печени, легких, почек и костной ткани.
Злокачественные опухоли часто приводят к образованию крупных остеофитов, прорастающих через надкостницу в окружающие ткани. Остеофиты, возникающие на фоне доброкачественных поражений, имеют губчатую структуру. При метастазах страдают тела позвонков и верхняя часть костей таза.
Эндокринные заболевания
Некоторые заболевания эндокринной системы вызывают изменения в костной структуре, наиболее заметные при акромегалии.
Акромегалия — эндокринное расстройство, связанное с повышенной выработкой гормона роста (соматотропного гормона) из-за доброкачественной опухоли (аденомы) в передней доле гипофиза. При этом увеличиваются размеры костей черепа, рук и стоп, грудная клетка становится бочкообразной, а позвоночник может искривляться, ограничивая подвижность. Хрящевая ткань суставов разрушается под увеличенной нагрузкой, что приводит к деформирующему остеоартрозу и спондилезу. Костные разрастания могут образовываться на ногтевых фалангах, седалищных буграх и вертелах бедренных костей. Пациенты часто жалуются на головные боли, утомляемость, нарушения зрения, проблемы с менструальным циклом у женщин и снижение потенции у мужчин. Заболевание возникает только у взрослых; избыток соматотропного гормона в детском возрасте приводит к гигантизму.
Основной причиной остеофитов в позвоночнике является деформирующий спондилез. Костные разрастания могут возникать на переднем крае тел позвонков или от суставных отростков.
Симптомы остеофитов позвоночника:
- болевой синдром;
- костное перерождение связок позвоночника;
- ограничение подвижности.
На ранних стадиях болевые ощущения отсутствуют, но со временем происходит деформация позвонков, что может привести к образованию остеофитов. Прогрессирование процессов может сужать канал, где располагается спинной мозг. Остеофиты могут сжимать нервные корешки, вызывая боль, которая усиливается при движении, кашле или чихании. Боль может мешать ночному сну и иррадиировать в ягодицу, бедро, голень и стопу, напоминая радикулит. При сильном сжатии нервных корешков может возникнуть потеря двигательной и мышечной чувствительности.
Чаще всего при спондилезе поражается шейный отдел позвоночника, что может сопровождаться головокружением, ухудшением зрения и шумом в ушах.
При спондилезе наблюдается костное перерождение связочного аппарата, поддерживающего позвоночник.
Связки позвоночника:
- передняя продольная связка;
- задняя продольная связка;
- желтые связки;
- межостистые связки;
- надостистая связка;
- выйная связка;
- межпоперечные связки.
Передняя продольная связка начинается от первого шейного позвонка и охватывает переднюю и боковую поверхность позвонков, соединяясь с межпозвоночными дисками. Она ограничивает чрезмерное разгибание в позвоночнике.
Задняя продольная связка начинается на задней поверхности второго шейного позвонка и прикрепляется к крестцовым позвонкам. Она чувствительна к механическим воздействиям и часто повреждается при образовании грыжи межпозвоночного диска.
Желтые связки располагаются между дугами позвонков и содержат эластичные волокна, которые помогают удерживать туловище в состоянии разгибания.
Межостистые связки соединяют остистые отростки позвонков, их толщина варьируется в зависимости от сегмента позвоночного столба.
Надостистая связка проходит по верхушкам остистых отростков поясничного и крестцового отделов, фиксируя их.
Выйная связка расположена только в шейном отделе и прикрепляется к затылочному гребешку и остистому отростку последнего шейного позвонка.
Межпоперечные связки слаборазвиты и располагаются между поперечными отростками позвонков.
Остеофиты на переднем крае тел позвонков могут давить на переднюю продольную связку, вызывая ее раздражение или разрыв. Со временем поврежденная связка может перерождаться в костную ткань. Ограничение подвижности может быть вызвано крупными остеофитами, которые приводят к деформации соседних позвонков и даже их сращению.
Выявление остеофитов обычно несложно и осуществляется с помощью рентгенографии. Однако наличие остеофитов не имеет значения без определения причины их образования. В некоторых случаях остеофиты могут быть незначительными и бессимптомными.
Методы диагностики остеофитов:
- рентгенография;
- компьютерная томография;
- магнитно-резонансная томография.
Рентгенография — основной метод диагностики остеофитов благодаря доступности и неинвазивности. На начальном этапе остеофиты выглядят как небольшие заострения на передней поверхности тел позвонков. Со временем они могут увеличиваться и принимать форму птичьих клювов. Важно определить не только локализацию и форму остеофитов, но и их структуру и размеры.
Компьютерная томография позволяет получить более точную информацию об изменениях в позвоночнике, но используется реже из-за высокой стоимости. Магнитно-резонансная томография также применяется относительно редко.
Лечение начинается только после подтверждения наличия остеофитов с помощью рентгенографии. Врач-ортопед выбирает индивидуальную схему лечения в зависимости от стадии заболевания и характеристик остеофитов.
Методы лечения остеофитов:
- физиотерапия;
- медикаментозное лечение;
- хирургическое лечение.
Физиотерапия включает методы с использованием физических факторов (электрический ток, магнитное излучение, тепловая энергия и др.), что помогает снять болевые ощущения и восстановить подвижность. Физиотерапия наиболее эффективна на ранних стадиях заболеваний.
Физиотерапевтические методы лечения остеофитов позвоночника
| Вид процедуры | Механизм действия | Длительность лечения |
| Иглоукалывание (акупунктура) | Прокалывание определенных точек на теле для снятия тонуса мышц и уменьшения боли. | 20–30 минут, курс лечения индивидуален. |
| Лечебный массаж | Механическое воздействие на ткани для снижения болевого синдрома и улучшения кровообращения. | Длительность зависит от типа и стадии заболевания. |
| Лечебная физкультура | Упражнения для уменьшения боли и укрепления мышц. | Длительность курса индивидуальна. |
| Электрофорез с новокаином | Проникновение препаратов в ткани с помощью электрического тока. | 10–15 минут ежедневно до купирования боли. |
| Ультразвуковая терапия | Улучшение обмена веществ в тканях с помощью звуковых волн. | 15 минут ежедневно или через день, курс 8–10 сеансов. |
| Диадинамотерапия | Воздействие постоянного электрического тока для улучшения обмена веществ. | 30 минут ежедневно, курс 5–8 дней. |
Некоторые физиотерапевтические процедуры противопоказаны при определенных заболеваниях.
Противопоказания к физиотерапии:
- злокачественные опухоли;
- заболевания вен (тромбофлебит, тромбоз);
- массивные кровотечения;
- гипертония 3 стадии;
- атеросклероз;
- активная форма туберкулеза;
- почечная и печеночная недостаточность;
- обострение инфекционных заболеваний.
Медикаментозное лечение включает противовоспалительные препараты для устранения болевого синдрома. Рекомендуется сочетать их с физиотерапией и лечебным массажем.
Медикаментозное лечение остеофитов позвоночника
| Название препарата | Групповая принадлежность | Механизм действия | Показания |
| Кетопрофен | Нестероидные противовоспалительные препараты. | Уменьшает воспаление и отек тканей. | Наносить на болезненные участки трижды в день, курс 10–14 дней. |
| Диклофенак | |||
| Индометацин | |||
| Вольтарен |
Хирургическое вмешательство требуется в запущенных случаях или при отсутствии эффекта от медикаментозного лечения. Операция проводится, если остеофиты сдавливают спинной мозг или нервные корешки, обычно выполняется декомпрессионная ламинэктомия.
Хирургическое лечение остеофитов позвоночника
| Показания | Методика | Цель операции | Длительность реабилитации |
| Крупные остеофиты, сужающие позвоночный канал и вызывающие симптомы. | Удаление дуг одного или нескольких позвонков под общим наркозом. | Устранение болей и онемения. | 3–4 дня после операции, работа без физических усилий через 15 дней, физические нагрузки через 3–6 месяцев. |
Остеофиты стопы чаще всего образуются на пяточной кости из-за воспалительно-дегенеративных изменений подошвенной фасции, что приводит к плантарному фасцииту. Предрасполагающие факторы — чрезмерные нагрузки и травмы пяточной кости.
Остеофиты могут также образовываться вокруг ногтя большого пальца стопы, вызывая боль и симптомы вросшего ногтя.
Симптомы остеофитов стопы:
- болевой синдром;
- нарушение функции стопы.
Боль в области пятки усиливается при нагрузке, особенно утром, когда укороченная фасция растягивается. При остеофитах у основания дистальной фаланги большого пальца также возникают болевые ощущения.
Нарушение функции стопы наблюдается при крупных пяточных остеофитах, что может вызывать временную хромоту.
Диагноз ставится на основании жалоб и объективного осмотра, подтверждается инструментальными методами, чаще всего рентгенографией.
Рентгенография позволяет выявить пяточную шпору, которая может иметь различные формы. Другие методы, такие как компьютерная томография и магнитно-резонансная томография, используются реже.
Лечение остеофитов стопы начинается с уменьшения нагрузки на конечность. Ортопедические стельки и подпяточники помогают снизить нагрузку на стопу.
Виды фиксации подошвенной фасции:
- тейпирование;
- ночные ортезы.
Тейпирование — наложение клейкой ленты для фиксации связок и суставов. Эффективно при пяточной шпоре.
Ночные ортезы фиксируют стопу под прямым углом, поддерживая подошвенную фасцию и предотвращая микротравмы.
Методы лечения пяточной шпоры могут сочетаться для достижения эффекта.
Методы лечения остеофитов:
- физиотерапия;
- медикаментозное лечение;
- хирургическое лечение.
Физиотерапия предпочтительна, так как эффективно снимает боль.
Физиотерапевтические методы лечения остеофитов стопы
| Вид процедуры | Механизм действия | Длительность лечения |
| Виброакустическая терапия | Нормализует кровообращение и уменьшает боль. | Длительность курса зависит от выраженности боли. |
| Лечебный массаж | Улучшает кровообращение и регенерацию фасции. | Не более 7–8 минут, не чаще раз в два дня. |
| Лечебная физкультура | Упражнения для тренировки подошвенной фасции. | 3–8 недель. |
| Лазерная терапия | Активизирует регенерацию и улучшает кровообращение. | 10 процедур с повышением частоты излучения. |
| Ударно-волновая терапия | Блокирует болевые импульсы и восстанавливает ткани. | 10–30 минут, курс 5–7 сеансов. |
| Рентгенотерапия | Блокирует передачу болевых импульсов. | 10 сеансов по 10–12 минут. |
Медикаментозное лечение включает противовоспалительные препараты наружного действия.
Медикаментозное лечение остеофитов стопы
| Название препарата | Групповая принадлежность | Механизм действия | Показания |
| Флексен | Нестероидные противовоспалительные препараты. | Обезболивающее и противовоспалительное действие. | Наносить на пяточную область дважды или трижды в день, курс 10–14 дней. |
| Диклофенак | |||
| Индометацин | |||
| Кетопрофен |
Если наружные препараты не помогают, можно использовать лечебную блокаду пяточной шпоры.
Препараты для блокады пяточной шпоры:
- Гидрокортизон — противовоспалительное и обезболивающее действие.
- Кеналог — сильный противовоспалительный эффект.
- Дипроспан — быстро купирует болевые ощущения.
Хирургическое лечение показано при остеофитах на фалангах пальцев и отсутствии эффекта от других методов.
Хирургическое лечение остеофитов стопы
| Показания | Методика | Цель операции | Длительность реабилитации |
| Выраженный болевой синдром без эффекта от других методов. | Эндоскопическая операция с удалением остеофита. | Устранение микротравм подошвенной фасции. | Несколько дней, постепенная нагрузка. |
Остеофиты могут образовываться и в полости суставов, чаще всего в коленном, плечевом и тазобедренном суставах, в результате деформирующего остеоартроза.
На начальных стадиях остеоартроза остеофиты представляют собой заострения до 1–2 мм, формирующиеся на краях суставных поверхностей. По мере прогрессирования остеоартроза остеофиты увеличиваются в размере.
Симптомы остеофитов колена, плеча и тазобедренного сустава:
- болевой синдром;
- нарушение подвижности сустава;
- деформация сустава.
Боль возникает из-за давления остеофитов на связочный аппарат и суставные поверхности. Интенсивность боли зависит от стадии остеоартроза и размеров остеофитов. Остеофиты до 1–2 мм обычно не вызывают субъективных ощущений, но по мере роста пациенты начинают жаловаться на боли, особенно в конце рабочего дня.
Нарушение подвижности наблюдается на 2 и 3 стадиях остеоартроза из-за блокировки движений остеофитами. На 3 стадии происходит значительная деформация суставных поверхностей, остеофиты увеличиваются, что может приводить к нестабильности сустава.
Диагностика остеофитов в суставе должна основываться на высокоинформативных методах.
Методы визуализации остеофитов:
- рентгенография сустава;
- компьютерная томография;
- магнитно-резонансная томография.
Рентгенография позволяет выявить остеофиты, локализовать их и определить размеры. Компьютерная томография показывает состояние суставных поверхностей и окружающих тканей. Магнитно-резонансная томография позволяет точно выявить изменения в суставе.
Лечение должно основываться на физиотерапевтических методах и лечебной физкультуре, а также на ограничении нагрузки на сустав. Для снятия воспаления и болевых ощущений применяются противовоспалительные препараты и хондропротекторы.
Методы лечения остеофитов:
- физиотерапия;
- медикаментозное лечение;
- хирургическое лечение.
Физиотерапевтические методы могут применяться как самостоятельно, так и в комплексе с другими методами лечения.
Физиотерапевтические методы лечения внутрисуставных остеофитов
| Вид процедуры | Механизм действия | Длительность лечения |
| Диадинамотерапия | Уменьшает боль и улучшает обмен веществ. | 30 минут ежедневно, курс 5–8 дней. |
| Лечебный массаж | Снимает напряжение в мышцах и улучшает кровоснабжение. | 15–25 минут, курс 10 процедур. |
| Лечебная физкультура | Восстанавливает подвижность и укрепляет мышцы. | 3–8 недель. |
| Лечебные ванны | Улучшают обмен веществ и кровообращение. | 5–8 процедур. |
| Электрофорез | Создает лекарственное депо в пораженных тканях. | 10–30 сеансов. |
Медикаментозное лечение направлено на снижение болевых ощущений в суставе с помощью различных гелей или мазей.
Противовоспалительные препараты для снятия боли
| Название препарата | Групповая принадлежность | Механизм действия | Показания |
| Флексен | Нестероидные противовоспалительные препараты. | Уменьшает отек и болевые ощущения. | Наносить на кожу пораженного сустава трижды в сутки, курс 2 недели. |
| Кетопрофен | |||
| Индометацин | |||
| Диклофенак |
Хондропротекторы помогают восстановить хрящевую ткань и остановить рост остеофитов.
Хондропротекторы для восстановления хрящевой ткани
| Название препарата | Фармакологическая группа | Механизм действия | Способ применения |
| Хондроитин | Корректоры обмена веществ хрящевой и костной ткани. | Регулирует обмен фосфора и кальция в хрящевой ткани. | Внутрь по 750 мг дважды в день в течение первых 3 недель, затем 500 мг. Внутримышечно — 100 мг через день. |
| Глюкозамин | Увеличивает скорость выработки компонентов хрящевой ткани. | Обладает противовоспалительным и обезболивающим эффектом. | Наносить на кожу 2–3 раза в сутки. |
| Румалон | Регенеранты и репаранты. | Улучшает процесс регенерации в хрящевой ткани. | Внутримышечно, глубоко. |
Хирургическое лечение необходимо при разрушении суставных поверхностей и образовании массивных остеофитов, часто с заменой сустава эндопротезом.
Эндопротезирование сустава
| Показания | Методика | Цель операции | Длительность реабилитации |
| Отсутствие эффекта от медикаментозного лечения, прогрессирующее разрушение хрящевой и костной ткани. | Операция под общим наркозом, удаление разрушенной ткани и установка эндопротеза. | Замена пораженного сустава. | Зависит от прооперированного сустава, выписка через 10–14 дней после операции. |
Абсолютные противопоказания к эндопротезированию:
- сердечно-сосудистые заболевания в стадии декомпенсации;
- заболевания дыхательной системы в стадии декомпенсации;
- патологии вен с образованием тромбов;
- очаг гнойной инфекции;
- инфекционный процесс в области сустава;
- полиаллергия.
Существуют также относительные противопоказания.
Остеофиты позвоночника
Основной причиной остеофитов в позвоночнике является деформирующий спондилез. При этом заболевании костные наросты образуются на переднем крае тел позвонков или от суставных отростков, участвующих в формировании суставов с соседними позвонками.
Симптомы остеофитов позвоночника:
- болевые ощущения;
- изменения в связках позвоночника;
- ограничение подвижности позвоночного столба.
Болевой синдром
Боль возникает из-за давления и повреждения связок и суставных поверхностей, вызванного костными разрастаниями. Суставные структуры чувствительны, так как содержат множество нервных окончаний. Интенсивность боли зависит от стадии остеоартроза, расположения и размеров остеофитов. Костные разрастания размером 1-2 мм обычно не вызывают ощущений. С увеличением их размера пациенты начинают ощущать боль, особенно к концу рабочего дня. Увеличение боли указывает на прогрессирование заболевания. Хронические боли наблюдаются на 2 и 3 стадиях деформирующего остеоартроза.
Костное перерождение связок позвоночника
При спондилезе наблюдаются костные изменения связочного аппарата позвоночника.
Связки позвоночника:
- передняя продольная связка;
- задняя продольная связка;
- желтые связки;
- межостистые связки;
- надостистая связка;
- выйная связка;
- межпоперечные связки.
Передняя продольная связка начинается от первого шейного позвонка и продолжается до надкостницы первых двух крестцовых позвонков. Она охватывает переднюю и боковую поверхности позвонков шейного, грудного, поясничного и частично крестцового отделов, прочно соединяясь с межпозвоночными дисками и менее крепко с телами позвонков. С боков связка переходит в надкостницу и ограничивает чрезмерное разгибание позвоночника.
Задняя продольная связка начинается на задней поверхности второго шейного позвонка и прикрепляется к первым крестцовым позвонкам. Она надежно соединена с межпозвоночными дисками и содержит множество нервных окончаний, что делает ее чувствительной к механическим воздействиям, например, при грыже межпозвоночного диска.
Желтые связки располагаются между дугами позвонков от второго шейного до крестца. Они состоят из эластичных волокон, которые укорачиваются при разгибании туловища, действуя как мышцы. Желтые связки поддерживают туловище в разгибании и снижают напряжение мышц.
Межостистые связки — соединительнотканевые пластинки между остистыми отростками соседних позвонков. Их толщина варьируется: они наиболее толстые в поясничном отделе и менее развиты в шейном. Спереди они соприкасаются с желтыми связками, а на верхушках остистых отростков соединяются с надостистой связкой.
Надостистая связка — непрерывный соединительнотканный тяж, проходящий по верхушкам остистых отростков поясничного и крестцового отделов. Она фиксирует остистые отростки и переходит в выйную связку в верхней части.
Выйная связка — пластинка из соединительнотканных и эластических волокон, расположенная в шейном отделе. В верхней части она прикрепляется к затылочному гребешку, а в нижней — к остистому отростку последнего седьмого шейного позвонка.
Межпоперечные связки — слаборазвитыми фиброзные пластинки между поперечными отростками позвонков. Они хорошо развиты в поясничном отделе, менее выражены в шейном и грудном, а в шейном могут отсутствовать.
Остеофиты на переднем крае тел позвонков могут давить на переднюю продольную связку, вызывая ее раздражение или частичный разрыв. Соединительная ткань поврежденной связки может перерождаться в костную ткань (оссификация). В редких случаях аналогичный процесс может происходить и с другими связками позвоночника (задняя продольная, желтые связки).
Ограничение подвижности в позвоночном столбе
Ограничение движений в позвоночнике может возникать из-за крупных остеофитов. Эти костные образования деформируют тела соседних позвонков, иногда приводя к их сращению. Если остеофиты воздействуют на суставные поверхности межпозвоночных суставов, это может значительно снизить подвижность в определенных сегментах позвоночника, вплоть до полной неподвижности, известной как анкилоз.
Диагностика остеофитов позвоночника
Выявление и диагностика остеофитов несложны. Обычно для обнаружения костных разрастаний используют рентгенографию. Однако важно не только выявить остеофиты, но и установить причину их образования. В некоторых случаях могут обнаруживаться небольшие остеофиты, которые не проявляют симптомов и не требуют лечения.
Для диагностики остеофитов применяются:
- рентгенография;
- компьютерная томография;
- магнитно-резонансная томография.
Рентгенографический метод
Рентгенография — ключевой метод диагностики остеофитов благодаря доступности и неинвазивности. На начальном этапе остеофиты выглядят как небольшие заостренные образования на передней верхней или нижней части тел позвонков, обычно не превышающие несколько миллиметров. Со временем они могут увеличиваться. Значительные остеофиты в области позвоночника на рентгеновских снимках напоминают птичьи клювы. Важно установить местоположение и форму остеофитов, а также проанализировать их структуру, контуры и размеры. Рентгенография также может выявить другие патологические изменения в позвоночнике.
Компьютерная томография
Компьютерная томография позволяет детально просканировать пораженный сустав послойно, используя рентгеновские лучи. Этот метод оценивает состояние суставных поверхностей, связок и окружающих тканей. Он помогает выявить воспалительные и онкологические изменения, а также косвенно подтверждает дегенеративно-дистрофические процессы. Однако, в отличие от магнитно-резонансной томографии, он не всегда дает полную информацию о состоянии сухожилий и связок сустава.
Магнитно-резонансная томография
Магнитно-резонансная томография (МРТ) является золотым стандартом в диагностике заболеваний суставов. МРТ позволяет с точностью 90-95% выявлять патологические изменения в суставной области. Остеофиты могут быть как одиночными, так и множественными, различаясь по форме. На ранних стадиях они выглядят как шипы, а при прогрессировании остеоартроза принимают форму «гребней» или «юбок».
Лечение остеофитов позвоночника
Начинать лечение следует после подтверждения остеофитов рентгеном. Врач-ортопед, учитывая стадию заболевания и характеристики остеофитов (размер, форма, структура, расположение), подбирает индивидуальную схему терапии.
Методы лечения остеофитов:
- физиотерапия;
- медикаменты;
- хирургия.
Физиотерапия
Физиотерапевтические методы могут использоваться как самостоятельно, так и в комбинации с другими способами лечения, в зависимости от состояния пациента. Воздействие электрической и механической энергии, а также природных факторов, таких как вода, свет и климат, оказывает значительный терапевтический эффект и замедляет развитие дегенеративно-дистрофических изменений в суставах. Физиотерапия снижает болевые ощущения, вызванные сжатием суставных поверхностей и связок остеофитами.
Физиотерапевтические методы лечения внутрисуставных остеофитов
| Тип процедуры | Принцип действия | Продолжительность лечения |
| Диадинамотерапия | Воздействие постоянного электрического тока с частотой 50-100 Гц на пораженный сустав. Ток высокой частоты уменьшает боль, активизирует обмен веществ в глубоких тканях и улучшает кровообращение. | Процедуры проводятся ежедневно, каждая сессия до 30 минут. Возможно до 3 сеансов в день. Курс — 5-8 дней. |
| Лечебный массаж | Механическое воздействие снимает мышечное напряжение, улучшает тонус и кровоснабжение тканей. Массаж уменьшает боль в суставе и предотвращает мышечные контрактуры. | Длительность сеанса — 15-25 минут, курс включает 10 процедур. |
| Лечебная физкультура | Специализированные гимнастические упражнения восстанавливают подвижность и объем движений в суставе, увеличивают мышечную силу и выносливость. Регулярные нагрузки укрепляют связочный аппарат и замедляют дегенеративные процессы. | Длительность курса — 3-8 недель в зависимости от симптомов. |
| Лечебные ванны | Лечебные ванны активизируют обмен веществ и улучшают кровообращение в суставах. Используются скипидарные и радоновые ванны для регенерации костной и хрящевой ткани. | Курс включает 5-8 процедур. |
| Электрофорез | Чаще применяется электрофорез с серой, литием или цинком. Под воздействием постоянного тока создается лекарственное депо в пораженных тканях, что обеспечивает длительное поступление препарата в патологический очаг. Электрофорез снимает боль, улучшает регенерацию тканей и стимулирует клеточный иммунитет. | Длительность курса зависит от стадии заболевания и составляет в среднем 10-30 сеансов. |
Медикаментозное лечение
Медикаментозная терапия направлена на уменьшение болевых ощущений в суставе. Для этого используют гели и мази с противовоспалительным эффектом, а также таблетки и капсулы.
Противовоспалительные препараты для облегчения боли
| Название препарата | Групповая принадлежность | Механизм действия | Показания |
| Флексен | Нестероидные противовоспалительные средства. | Уменьшает выработку веществ, участвующих в воспалении, снижает отечность и облегчает боль. | Наносить на кожу пораженного сустава трижды в день. Курс — до 2 недель. |
| Кетопрофен | |||
| Индометацин | |||
| Диклофенак |
Признание получили хондропротекторы, способствующие восстановлению хрящевой ткани. Эти препараты нормализуют процессы восстановления суставных структур и останавливают образование остеофитов.
Хондропротекторы для восстановления хрящевой ткани
| Название препарата | Фармакологическая группа | Механизм действия | Способ применения |
| Хондроитин | Корректоры обмена веществ в хрящевой и костной ткани. | Регулирует обмен фосфора и кальция, предотвращает дегенерацию хрящевой ткани и способствует восстановлению суставных поверхностей. | Внутрь по 750 мг дважды в день в первые 3 недели, затем 500 мг. Внутримышечно — 100 мг через день, с 4 инъекции — 200 мг. Курс — около 30 инъекций, повторный через полгода. |
| Глюкозамин | Стимулирует выработку компонентов хряща. Увеличивает синтез гиалуроновой кислоты, питающей сустав. Обладает умеренным противовоспалительным и обезболивающим действием. | Наносить на кожу 2-3 раза в день до полного впитывания. Курс — 14-21 день. | |
| Румалон | Регенеранты и репаранты. | Экстракт костного мозга и хрящей молодых животных улучшает регенерацию хрящевой ткани, нормализует обмен веществ и замедляет дегенеративные процессы. | Внутримышечно, в первый день — 0,3 мл, во второй — 0,5 мл, затем по 1 мл трижды в неделю. Длительность — 5-6 недель. |
Хирургическое лечение
Хирургическое вмешательство необходимо при полном разрушении суставных поверхностей и образовании крупных остеофитов. В таких случаях проводят замену сустава на эндопротез (протез, установленный внутри организма). Материалы протеза обеспечивают долговечность и износостойкость. Обычно он восстанавливает полный объем движений и устраняет боль.
Эндопротезирование сустава
| Показания | Методика | Цель операции | Длительность реабилитации |
| Отсутствие эффекта от консервативного лечения, прогрессирующее разрушение хрящевой и костной ткани, наличие крупных остеофитов. | Операция проводится под общим наркозом. В зависимости от сустава, продолжительность и объем вмешательства могут различаться. Хирург получает доступ к суставу через разрез, удаляет поврежденные хрящ и часть костной ткани, устанавливает эндопротез. Элементы протеза фиксируются к кости с помощью шурупов или цемента. В конце операции может быть установлен дренаж для отведения крови и воспалительного экссудата. | Удаление поврежденного сустава и его замена на эндопротез. | Реабилитация зависит от прооперированного сустава. При эндопротезировании коленного сустава выписка возможна на 10-14 день. В течение 6 недель рекомендуется ограничить физическую нагрузку на сустав (использовать трость). Реабилитация после операции на тазобедренном суставе занимает около 8 недель, на плечевом — 5 недель. |
Эндопротезирование, как и любое хирургическое вмешательство, имеет противопоказания.
Абсолютные противопоказания для эндопротезирования суставов:
- сердечно-сосудистые заболевания в стадии декомпенсации;
- заболевания дыхательной системы в стадии декомпенсации;
- патологии вен нижних конечностей с образованием тромбов;
- наличие гнойных инфекций в организме;
- инфекционные процессы в области сустава;
- полиаллергия.
Относительные противопоказания для эндопротезирования суставов:
- опухолевые заболевания;
- печеночная недостаточность;
- ожирение третьей степени;
- хронические заболевания.
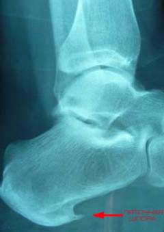
Остеофиты стопы
Остеофиты на стопе чаще всего образуются на пяточной кости. Основная причина пяточной шпоры — воспалительные и дегенеративные изменения в подошвенной фасции, которая прикрепляется к пяточному бугру и поддерживает продольный свод стопы. Микротравмы фасции могут вызывать ее воспаление, известное как плантарный фасциит. К факторам, способствующим его развитию, относятся чрезмерные нагрузки на ноги и травмы пяточной кости, такие как переломы или трещины.
Остеофиты также могут возникать вокруг ногтя большого пальца стопы, смещая ногтевую пластинку и вызывая сильную боль. Эти симптомы напоминают вросший ноготь, или онихокриптоз.
Проявления остеофитов стопы:
- болевой синдром;
- нарушение функции стопы.
Нарушение функции стопы
Нарушение работы стопы может быть вызвано крупным пяточным остеофитом. Боль в этом случае часто интенсивная, что приводит к временному появлению хромоты. Пациент, испытывающий дискомфорт в пятке, старается снизить нагрузку на пораженную ногу и проявляет осторожность. Во время ходьбы он опирается на нее меньше, предпочитая акцентировать вес на передней части стопы.
Диагностика остеофитов стопы
В большинстве случаев диагноз ставится на основе жалоб пациента и объективного осмотра стопы. Для его подтверждения применяются инструментальные методы диагностики.
Для выявления остеофитов стопы чаще всего используется рентгенография. На рентгеновском снимке пяточная шпора может иметь шиповидную, клиновидную или шиловидную форму, отходящую от пяточного бугра. Рентгенография позволяет обнаружить эту патологию в большинстве случаев, поэтому другие методы, такие как компьютерная томография и магнитно-резонансная томография, назначаются только при необходимости получения информации о близлежащих тканях.
Лечение остеофитов стопы
Лечение остеофитов на стопе начинается с уменьшения физической нагрузки на пораженную ногу. Для терапии пяточной шпоры эффективны ортопедические стельки, поддерживающие продольный свод стопы. Подпяточники, стельки с отрезанной передней частью, помогают удерживать пятку в правильном положении и снижают нагрузку на стопу. Многие пациенты с пяточной шпорой также получают пользу от фиксации подошвенной фасции.
Методы фиксации подошвенной фасции:
- тейпирование;
- ночные ортезы.
Тейпирование — это наложение клейкой ленты на кожу для улучшения фиксации связок, суставов и мышц. Этот метод используется как для профилактики, так и для лечения травм и заболеваний опорно-двигательной системы. Тейпирование стопы особенно эффективно при пяточной шпоре, так как поддерживает продольный свод и удерживает подошвенную фасцию в физиологически нормальном состоянии. Рекомендуется проводить тейпирование после занятий лечебной физкультурой, когда происходит растяжение подошвенной фасции. Для тейпирования можно использовать специальную клейкую ленту или широкий лейкопластырь.
Ночные ортезы — это ортопедические устройства, которые разгружают больную конечность, фиксируя и корректируя ее функцию. Ночной ортез фиксирует стопу под прямым углом, обеспечивая поддержку подошвенной фасции во время сна. Это позволяет фасции восстанавливаться без укорочения и предотвращает микротравмы. Для достижения терапевтического эффекта ночные ортезы следует использовать ежедневно в течение нескольких месяцев.
Следует учитывать, что указанные методы лечения пяточной шпоры не всегда дают желаемый результат и часто требуют комбинации с другими способами лечения.
Дополнительные методы терапии остеофитов:
- физиотерапия;
- медикаментозное лечение;
- хирургическое вмешательство.
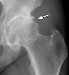
Остеофиты колена, плеча, тазобедренного сустава
В некоторых случаях остеофиты образуются внутри суставной полости, чаще всего в коленном, плечевом и тазобедренном суставах. Основная причина их появления — деформирующий остеоартроз.
На ранних стадиях остеоартроза остеофиты представляют собой небольшие заостренные образования размером до 1-2 мм. Обычно они формируются на краевых участках суставных поверхностей или в местах прикрепления связок. По мере прогрессирования сужения суставной щели остеофиты увеличиваются в размерах и могут принимать различные формы. Увеличение количества и размеров остеофитов указывает на прогрессирование деформирующего остеоартроза.
Остеофиты в коленном, плечевом и тазобедренном суставах могут проявляться следующими симптомами:
- болевые ощущения;
- ограничение подвижности сустава;
- деформация сустава.
Нарушение подвижности сустава
Нарушение подвижности суставов наблюдается на 2 и 3 стадиях деформирующего остеоартроза. Амплитуда движений в пораженном суставе значительно уменьшается из-за костных разрастаний, ограничивающих подвижность. Также возникает контрактура, вызванная укорочением связок и утолщением суставной капсулы. Со временем мышцы, отвечающие за движение сустава, ослабевают из-за изменения положения точек прикрепления сухожилий к костям, что приводит к укорочению или растяжению мышц и снижению их функциональности.
Деформация сустава
На третьей стадии остеоартроза изменяется форма суставных поверхностей. В ответ увеличиваются костные разрастания, которые берут на себя часть нагрузки. Возможны полное или частичное разрушение хрящевой ткани, покрывающей суставные поверхности. Ось конечности, пораженной остеоартрозом, претерпевает значительные изменения. Укорочение связок может вызвать нестабильность и патологическую подвижность сустава.
Диагностика остеофитов колена, плеча, тазобедренного сустава
Диагностика остеофитов в суставной полости должна основываться на эффективных методах исследования. Необходимо не только выявить остеофиты, но и определить стадию заболевания, вызвавшего их образование.
Методы визуализации остеофитов:
- рентгенография сустава;
- компьютерная томография;
- магнитно-резонансная томография.
Рентгенография сустава
Рентгенография суставов позволяет выявить костные разрастания, определить их местоположение, размеры и форму, а также оценить состояние суставной щели. Однако этот метод не показывает состояние окружающих тканей сустава.
Применяется следующая рентгенологическая классификация остеоартроза (по Kellgren-Lawrence):
- 1 стадия – суставная щель не сужена, возможны краевые остеофиты;
- 2 стадия – остеофиты, возможно незначительное сужение суставной щели;
- 3 стадия – остеофиты средней величины, сужение суставной щели, возможные деформации костей;
- 4 стадия – крупные остеофиты, значительное сужение суставной щели, выраженный остеосклероз (утолщение костной ткани), выявленные деформации костей.
Лечение остеофитов колена, плеча, тазобедренного сустава
Лечение должно основываться на физиотерапии и лечебной физкультуре, а также на ограничении нагрузки на пораженный сустав. Для уменьшения воспаления и боли применяются противовоспалительные средства. Обычно назначаются также обезболивающие и хондропротекторы, способствующие восстановлению хрящевой ткани.
Методы лечения остеофитов:
- физиотерапия;
- медикаментозная терапия;
- хирургическое вмешательство.
Вопрос-ответ
Отчего появляются остеофиты?
Остеофиты, часто называемые костными шипами, представляют собой костные выросты, которые образуются на краях костей, обычно в областях суставов. Они чаще всего развиваются в ответ на трение, утрату костной ткани или повреждение и часто ассоциированы с остеоартритом и дегенеративными изменениями суставов.
Как убрать остеофиты из суставов?
Чтобы избавиться от остеофитов, сопровождаемых сильными болями и ограничением подвижности сустава, требуется хирургическое вмешательство. В ходе операции проводится удаление остеофитов или замена пораженного сустава.
Советы
СОВЕТ №1
Регулярно проходите медицинские осмотры, особенно если у вас есть предрасположенность к заболеваниям суставов. Раннее выявление остеофитов может значительно облегчить лечение и предотвратить дальнейшие осложнения.
СОВЕТ №2
Обратите внимание на свою физическую активность. Умеренные упражнения, такие как плавание или йога, могут помочь поддерживать гибкость суставов и уменьшить риск образования остеофитов. Избегайте чрезмерных нагрузок на суставы.
СОВЕТ №3
Следите за своим питанием. Употребление продуктов, богатых омега-3 жирными кислотами, витаминами D и C, может помочь поддерживать здоровье суставов и снизить воспалительные процессы в организме.
СОВЕТ №4
Если вы заметили симптомы, такие как боль в суставах или ограничение подвижности, не откладывайте визит к врачу. Чем раньше начнется лечение, тем выше вероятность успешного восстановления и уменьшения дискомфорта.










