Анатомия предплечья
Предплечье состоит из двух параллельных костей — лучевой и локтевой, которые вращаются вокруг общей оси, обеспечивая внутренние и внешние вращательные движения. Оно соединяется с плечевой костью с одной стороны и с костями запястья и кистью с другой.
Лучевая и локтевая кости связаны следующими структурами:
- Локтевой сустав. Суставная капсула и связки надежно соединяют локтевую и лучевую кости в области плеча.
- Межкостная мембрана. Между костями находится соединительно-тканная мембрана, через которую проходят сосуды и нервы, а также которая разделяет группы мышц предплечья.
- Лучезапястный сустав. Этот сустав соединяет суставную поверхность лучевой кости с костями запястья и связывает локтевую кость с лучевой с помощью боковых связок.
Предплечье как анатомо-функциональное образование включает:
- костный скелет и суставы;
- мышцы;
- сосуды и нервы.
Перелом лучевой кости является распространенной травмой, особенно среди людей пожилого возраста и спортсменов. Врачи отмечают, что основными причинами таких переломов являются падения, травмы при занятиях спортом и остеопороз. Симптомы включают сильную боль в области запястья, отек, ограничение подвижности и деформацию. В зависимости от характера повреждения выделяют несколько видов переломов: закрытые, открытые и со смещением.
Первая медицинская помощь заключается в иммобилизации конечности и наложении холодного компресса для уменьшения отека. Важно как можно скорее обратиться к врачу для диагностики и назначения лечения. Реабилитация включает физиотерапию, упражнения для восстановления подвижности и укрепления мышц. Врачи подчеркивают, что своевременное обращение за медицинской помощью и соблюдение рекомендаций специалистов играют ключевую роль в успешном восстановлении.

Костный скелет и суставы предплечья
Костный скелет предплечья состоит из локтевой и лучевой костей — длинных трубчатых костей с похожими структурными характеристиками. Понимание этих особенностей важно для оценки травм, связанных с переломами.
Структура длинных трубчатых костей включает:
- Эпифиз. Расширенная часть кости на концах, где находится суставная поверхность. Обычно имеет губчатую структуру и заполнен красным костным мозгом, отвечающим за кроветворение.
- Метафиз. Узкая зона между эпифизом и диафизом, где происходит удлинение кости за счет деления клеток.
- Диафиз. Основная часть кости, представляющая собой длинную трубку с полостью, стенки которой образованы плотным компактным костным веществом. Внутри находится желтый костный мозг, состоящий в основном из жировой ткани и не участвующий в кроветворении.
Снаружи длинные трубчатые кости покрыты надкостницей — тонкой соединительно-тканной оболочкой, которая питает компактное вещество диафиза, способствует росту кости в ширину и содержит множество нервных окончаний. Повреждение надкостницы может вызывать сильную боль из-за большого количества болевых рецепторов.
Кости предплечья имеют значительные различия, связанные с их двигательными возможностями и функциональными характеристиками верхней конечности.
Костный скелет предплечья включает:
- Локтевая кость. (ulna) Широкая и утолщенная со стороны локтевого сустава, тонкая в области кисти. Имеет две суставные поверхности: одна для блоковидного сустава с плечевой костью, другая — для цилиндрического сустава с головкой лучевой кости. Локтевая кость имеет треугольное сечение, одна из вершин направлена к лучевой кости, между ними располагается межкостная мембрана.
- Лучевая кость. (radius) Более тонкая в области локтевого сустава и шире в области лучезапястного сустава. Проксимальный конец представлен цилиндрической головкой, соединяющейся с локтевой костью. На дистальном конце находятся две суставные поверхности: одна большая для лучезапястного сустава, другая небольшая, образующая подвижное соединение с головкой локтевой кости.
В области предплечья расположены два сложных сустава. Первый, локтевой, позволяет выполнять сгибание и разгибание (благодаря локтевой кости) и вращение (за счет вращения головки лучевой кости). Вращательные движения происходят путем вращения лучевой кости вокруг оси предплечья, совпадающей с локтевой костью. Второй сустав, лучезапястный, формируется дистальным концом лучевой кости и запястными костями, позволяя кисти выполнять множество движений. Лучевая кость, обладая максимальной амплитудой вращения, обеспечивает широкие двигательные возможности кисти.
| Причина | Симптом | Вид перелома | Первая помощь | Реабилитация |
|---|---|---|---|---|
| Прямая травма (удар) | Сильная боль, отек, деформация, гематома, ограничение подвижности | Перелом со смещением | Иммобилизация конечности шиной или косынкой, холодный компресс, обезболивание, вызов скорой помощи | Иммобилизация гипсом, физиотерапия, ЛФК, массаж |
| Косвенная травма (падение на вытянутую руку) | Те же, что и при прямой травме | Перелом без смещения | Иммобилизация конечности, холодный компресс, обезболивание, вызов скорой помощи | Иммобилизация гипсом, физиотерапия, ЛФК, массаж |
| Патологический перелом (из-за заболевания кости) | Боль, отек, возможно, без видимой деформации | Компрессионный перелом, перелом по типу «зеленой ветки» | Иммобилизация, обезболивание, вызов скорой помощи | Иммобилизация, медикаментозное лечение основного заболевания, физиотерапия, ЛФК |
| Остеопороз | Боль, отек, возможно, без видимой деформации | Перелом без смещения, компрессионный перелом | Иммобилизация, обезболивание, вызов скорой помощи | Иммобилизация, медикаментозное лечение остеопороза, физиотерапия, ЛФК, диета |
| Высокоэнергетическая травма (ДТП) | Сильная боль, отек, деформация, открытый перелом, возможно, повреждение сосудов и нервов | Оскольчатый перелом, комминутивный перелом | Остановка кровотечения, иммобилизация, вызов скорой помощи | Оперативное лечение, иммобилизация, физиотерапия, ЛФК, длительная реабилитация |
Мышцы предплечья
На предплечье расположено множество мышц, отвечающих за движения предплечья, кисти и пальцев.
Мышцы предплечья можно разделить на следующие категории:
- Сгибатели. Эти мышцы находятся в передней части предплечья (при опущенной руке с ладонью вперед). Существуют поверхностные и глубокие мышцы-сгибатели, прикрепляющиеся задним концом к плечевой кости, а передним – к костям кисти и фалангам пальцев. Их основная функция – сгибание кисти и пальцев.
- Разгибатели. Мышцы разгибатели расположены на задней поверхности предплечья и делятся на лучевую и локтевую группы. Их главная функция – разгибание кисти и пальцев.
- Вращающие мышцы предплечья (пронаторы и супинаторы). Эти мышцы, находящиеся между лучевой и локтевой костями, обеспечивают внешнее или внутреннее вращение предплечья. Они короче и шире других мышц этой области, а их сухожилия менее выражены.
Сгибатели и разгибатели предплечья имеют общие характеристики, влияющие на их функциональность. Во-первых, места их прикрепления удалены от суставов, на которые они действуют. Обычно они крепятся к началу лучевой и локтевой костей, конечной части плечевой кости и межкостной мембране. Во-вторых, почти все мышцы предплечья образуют длинные сухожилия, которые, проходя над лучезапястным суставом, прикрепляются к кисти.
Поскольку ключевые мышцы, отвечающие за движения пальцев, находятся в предплечье, их повреждение может привести к утрате мелкой моторики и снижению трудоспособности. Для этого не обязательно повреждение самих мышц; достаточно нарушения целостности мест их прикрепления или повреждения сухожилий.
Перелом лучевой кости — это распространённая травма, особенно среди спортсменов и пожилых людей. Основными причинами являются падения, удары или чрезмерные нагрузки на руку. Симптомы включают резкую боль, отёк, деформацию и ограничение подвижности. Важно сразу обратиться к врачу для диагностики и назначения лечения.
Существует несколько видов переломов: закрытые, открытые и со смещением. Первая медицинская помощь заключается в immobilизации повреждённой конечности, наложении холодного компресса для уменьшения отёка и немедленном обращении в травмпункт.
Реабилитация включает физиотерапию, упражнения для восстановления подвижности и силы, а также соблюдение рекомендаций врача. Правильный подход к лечению и восстановлению помогает избежать осложнений и вернуть руку к полноценной жизни.

Сосуды и нервы предплечья
В предплечье расположены крупные кровеносные сосуды, повреждение которых может вызвать серьезные последствия. Основные артерии предплечья — ветви плечевой артерии, разветвляющейся в локтевой ямке.
Кровоснабжение предплечья обеспечивают:
- Лучевая артерия. Продолжение плечевой артерии, расположенное спереди предплечья. Проходит вдоль линии, соединяющей локтевую ямку и боковую поверхность лучевой кости. Отдает ветви, снабжающие мышцы передней и задней частей предплечья, и формирует сосудистую дугу кисти, обеспечивающую кровообращение в ладони и пальцах. Пульсацию можно прощупать в области шиловидного отростка лучевой кости, чуть выше ладонного возвышения большого пальца.
- Локтевая артерия. Эта артерия больше лучевой. Отходит от плечевой артерии на уровне локтевой ямки и направляется к локтевой кости, следуя вдоль нее до запястья. Отдает ветви, питающие мышцы и кости, формируя обширную сосудистую сеть. От нее отходит общая межкостная артерия, расположенная между лучевой и локтевой костями, с ветвями по обеим сторонам межкостной мембраны. В области ладони соединяется с лучевой, образуя сосудистую дугу кисти.
Лучевая и локтевая артерии образуют анастомозы, создавая разветвленную сосудистую сеть, которая поддерживает кровообращение при движениях и сжатии сосудов. Это усложняет пережатие артерий при кровотечениях. Компрессия артерий в предплечье затруднена из-за межкостного промежутка, где находится крупный сосуд. Поэтому при артериальных кровотечениях жгут накладывают на нижнюю треть плеча.
Вены предплечья делятся на поверхностные и глубокие. Поверхностные вены располагаются под кожей и объединяются в две крупные вены, идущие вдоль плеча. Глубокие вены находятся рядом с одноименными артериальными сосудами.
Нервы предплечья представлены тремя длинными ветвями из плечевого нервного сплетения, отвечающими за чувствительность кисти и предплечья, а также контролирующими мышцы для сознательных движений верхней конечности.
В предплечье находятся следующие нервы:
- Лучевой нерв. Расположен на задней части предплечья и иннервирует мышцы-разгибатели. По пути к кисти отдает ветви к коже, сухожилиям и костям предплечья.
- Локтевой нерв. Проходит через заднюю часть медиального надмыщелка плечевой кости, находясь близко к коже, что делает его уязвимым для травм. На предплечье проходит между группами мышц-сгибателей до уровня кисти (область 4 и 5 пальцев).
- Срединный нерв. Проходит между мышцами в середине передней части предплечья. К ладони проходит через жесткий канал, образованный связками запястных костей, что делает его подверженным компрессии при травмах, что может вызвать болевой синдром и нарушение функции кисти.
Знание анатомии предплечья важно для понимания последствий перелома лучевой кости и оценки всех потенциальных рисков.
Причины и основные виды переломов
Перелом лучевой кости — распространенная травма, возникающая при воздействии силы, превышающей прочность кости. Для его возникновения необходимо либо снижение прочности кости, либо высокая интенсивность силы. Это является основой классификации переломов лучевой кости.
Типы переломов по природе:
- Патологический перелом. Возникает при низкой интенсивности силы на кость с пониженной прочностью. Часто связан с метаболическими или эндокринными расстройствами, злокачественными опухолями, остеомиелитом и остеопорозом.
- Травматический перелом. Образуется под воздействием силы высокой интенсивности, чаще всего из-за ударов или падений. Основные причины — удары предплечья, падения на вытянутую руку, дорожно-транспортные происшествия и спортивные травмы. Оскольчатые переломы могут возникать из-за травм с использованием техники.
Травматические переломы встречаются чаще и имеют большее статистическое значение. При травматическом факторе образуются два или более костных отломка, количество и форма которых зависят от механизма травмы и состояния кости.
Типы переломов в травматологической практике:
- Поперечные. Линия разлома перпендикулярна оси кости, возникает при прямом воздействии.
- Косые. Прямая линия излома под углом к оси кости, часто возникает при падении на кисть.
- Винтообразные. Спиралевидная линия излома, возникает при сильном вращении кости.
- Продольные. Линия перелома параллельна оси кости, возникает при боковом сжатии.
- Оскольчатые. Наличие нескольких костных отломков, отсутствие четкой линии излома.
- Вколоченные. Костные отломки вколачиваются друг в друга под значительной силой.
При всех типах переломов может возникать смещение отломков, что приводит к повреждению сосудов, нервов и мягких тканей.
По степени повреждения кожных покровов:
- Открытые переломы. Значительное нарушение целостности мягких тканей, костные отломки сообщаются с внешней средой, что увеличивает риск кровотечения и инфекции.
- Закрытые переломы. Повреждение мягких тканей, но костные отломки не сообщаются с внешней средой.
Тип перелома важен для планирования лечения и оценки рисков осложнений.
Перелом лучевой кости может возникать в эпифизах, метафизе или диафизе. В травматологической практике выделяют области, где переломы происходят чаще.
Расположение перелома лучевой кости:
- Перелом головки и шейки. Возникает в области локтевого сустава при падении на вытянутую руку, нарушает вращательные движения и сгибание.
- Перелом диафиза. Требует высокой силы для возникновения, часто сочетается с переломом локтевой кости.
- Перелом в типичном месте. 70% переломов происходят в области дистальной головки, чаще всего после падения на согнутую кисть.
- Перелом с вывихом головки локтевой кости. Часто сопровождается вывихом и требует медицинского вмешательства.
Симптоматика перелома лучевой кости включает признаки нарушения целостности кости и смещения отломков, а также повреждение мягких тканей. Клиническая картина может усложняться при повреждении сосудов или нервов.
Основные симптомы закрытого перелома:
- Боль в области перелома. Острая, усиливающаяся при движениях.
- Патологическая подвижность. Нарушение линейной целостности кости.
- Припухлость. Воспалительная реакция приводит к отеку.
- Нарушение функции конечности. Боль и смещение отломков ограничивают движение.
- Укорочение конечности. Может произойти при смещении отломков.
- Крепитация. Звук или ощущение при смещении отломков.
При открытом переломе добавляются кожный дефект и видимые костные отломки.
Симптомы в зависимости от локализации перелома:
- Перелом головки и шейки. Припухлость в области локтевой ямки и нарушение вращательных движений.
- Перелом диафиза. Может быть сложно выявить, отмечается припухлость и болезненность.
- Перелом в типичном месте. Деформация в области лучезапястного сустава.
- Перелом-вывих Галеацци. Выраженная клиническая картина с западением на тыльной стороне предплечья.
При повреждении сосудов наблюдается побледнение и похолодание конечности, отсутствие пульса на лучевой артерии. Повреждение нервов приводит к нарушению движения и снижению чувствительности.
Диагностика основывается на клиническом обследовании и рентгенологических методах.
Клиническое исследование включает выявление симптомов и объективных проявлений, а также беседу с пострадавшим для выяснения обстоятельств травмы. Оценивается состояние сосудов и нервов.
Критерии состояния кровеносных сосудов:
- Цвет кожных покровов. Нормальный цвет — бледно-розовый, при нарушении — побледнение и холодность.
- Пульс на лучевой артерии. Отсутствие пульса может указывать на повреждение артерии.
Повреждение нервов выявляется при исследовании движений и чувствительности.
Методы радиологического обследования:
- Простая радиография. Просвечивание конечности для получения изображения.
- Линейная томография. Снимок области на определенной глубине.
- Компьютерная томография. Четкие и детализированные изображения.
Признаки перелома на рентгене:
- Наличие дефекта со снижением интенсивности рентгенологической тени.
- Линии перелома (косая, поперечная, винтообразная).
- Множественные затемнения (оскольчатый перелом).
- Изменение оси кости.
- Отечность окружающих тканей.
- Смещение суставных поверхностей.
МРТ позволяет визуализировать мягкие ткани, сосуды и нервы. УЗИ применяется редко, но может быть полезно для диагностики скоплений крови.
Лабораторные анализы при травматических переломах не выявляют значительных изменений, но могут быть важны при патологических переломах.
Перелом лучевой кости обычно не угрожает жизни, но может вызывать сильную боль. Врач может быть вызван для обезболивания. Если пострадавший может передвигаться, он может обратиться в травматологический пункт.
Скорую помощь вызывают при:
- падении с большой высоты;
- риске повреждения внутренних органов;
- отсутствии пульса на лучевой артерии;
- снижении или отсутствии чувствительности пальцев;
- похолодании и побледнении конечности;
- открытом переломе;
- травматической ампутации.
Первая помощь включает:
- Иммобилизацию конечности.
- Обезболивание.
- Прикладывание холода.
Иммобилизация минимизирует смещение отломков. Конечность фиксируется в положении сгибания в локтевом суставе на 90 градусов. Иммобилизация производится с помощью шины или жесткого предмета.
После наложения шины необходимо обратиться за медицинской помощью. При открытых переломах следует остановить кровотечение.
Для обезболивания можно использовать:
- Парацетамол – 500 мг.
- Ибупрофен – 400-800 мг.
- Кеторолак – 10-30 мг.
- Декскетопрофен – 12,5 мг.
При необходимости через 5-6 часов можно принять повторную дозу. Неправильное применение лекарств может привести к осложнениям.
Лечение перелома включает совмещение костных фрагментов и их иммобилизацию до полного сращения. В большинстве случаев используется ручная репозиция с радиологическим контролем, иногда требуется операция.
При лечении применяют:
- Обезболивающие препараты. Ненаркотические анальгетики, при сильной боли — наркотические.
- Антибиотики. Для профилактики инфекционных осложнений при открытых переломах.
- Иммуноглобулины. Для профилактики столбняка при открытых переломах.
Гипсовая повязка накладывается после сопоставления отломков. Положение руки определяется особенностями перелома.
Время ношения гипса:
- При переломе головки и шейки – 2-3 недели.
- При переломе диафиза – 8-10 недель.
- При переломе-вывихе Галеацци – 8-10 недель.
- При переломе в типичном месте – 8-10 недель.
Снятию гипса должен предшествовать радиологический контроль.
Оперативное лечение необходимо при невозможности ручной репозиции и наличии осложнений. Оно позволяет лучше сопоставить отломки и способствует быстрому восстановлению.
Оперативное лечение показано при:
- Открытом переломе.
- Переломе обеих костей предплечья.
- Переломе-вывихе Галеацци.
- Значительном смещении отломков.
- Позднем обращении за помощью.
- Повреждении нервов или сосудов.
- Множественных переломах.
- Патологическом переломе.
Операция включает сопоставление отломков и их фиксацию с помощью металлических пластин или спиц. Открытые переломы требуют тщательной первичной обработки.
Восстановительный период после операции составляет 6-8 недель и зависит от состояния организма и масштабов вмешательства. Срастание костей аналогично ручной репозиции, но стабилизация металлическими конструкциями ускоряет восстановление.
Длительный период восстановления может быть вызван:
- Инфекцией мягких тканей.
- Остеомиелитом.
- Гормональными расстройствами.
- Диабетом.
- Пожилым возрастом.
- Остеопорозом.
- Злокачественными опухолями.
- Лечением цитостатиками.
Для ускорения восстановления функции конечности назначаются физиопроцедуры.
Физиопроцедуры при переломе лучевой кости:
| Вид процедуры | Механизм действия | Длительность лечения |
| Воздействие электромагнитного поля. | Продуцирует тепло, оказывает обезболивающее и противовоспалительное действие. | 8-10 дней, начиная со 2-3 дня после перелома. |
| Низкочастотная магнитная терапия. | Формирует электрические токи, развивает противовоспалительный и заживляющий эффект. | Курс из 10 сеансов по 30 минут. |
| Ультрафиолетовое облучение. | Синтезирует витамин D для всасывания кальция, необходимого для заживления. | 1 раз в 2-4 дня, 3-4 сеанса. |
| Электрофорез кальция. | Доставляет препарат вглубь тканей, укрепляет кости. | 10-15 дней, начиная со второй недели после перелома. |
Перед использованием физиопроцедур необходимо проконсультироваться со специалистом.

Локализация переломов лучевой кости
Перелом лучевой кости может произойти в одном из двух эпифизов, в метафизе или в области диафиза. В травматологии выделяют ключевые зоны, где переломы возникают чаще или имеют особое значение.
Перелом лучевой кости может быть локализован следующим образом:
- Перелом головки и шейки лучевой кости. Этот тип перелома, расположенный в области локтевого сустава, чаще всего возникает из-за непрямой травмы, например, при падении на вытянутую руку. Он нарушает движения внешнего и внутреннего вращения, а также затрудняет сгибание и разгибание в локтевом суставе из-за смещения костных отломков.
- Перелом диафиза лучевой кости. Диафиз — это тело кости между ее концами, состоящее из прочного компактного вещества. Перелом в этой области требует значительной силы. Однако нижняя треть лучевой кости имеет изгиб, что делает ее менее устойчивой к травмам. Перелом диафиза часто сопровождается переломом локтевой кости. Из-за натяжения межкостной мембраны и мышц предплечья происходит сближение концов отломков, что усложняет лечение и может потребовать хирургического вмешательства.
- Перелом лучевой кости в типичном месте. Около 70% переломов происходит в области дистальной головки, на расстоянии двух-трех сантиметров от суставной поверхности. Чаще всего такой перелом возникает после падения на согнутую кисть вытянутой руки и бывает косым или поперечным. Он возникает под воздействием двух векторов силы: один связан с ускорением падения, другой — с плечом, образованным кистью. Из-за остеопороза, особенно у пожилых людей, такие переломы встречаются чаще, но могут возникать и у более молодых пациентов.
- Перелом лучевой кости с вывихом головки локтевой кости. Травма предплечья часто затрагивает не только лучевую кость, поэтому переломы нередко сопровождаются повреждениями локтевой кости. Перелом нижней трети диафиза лучевой кости часто сочетается с вывихом головки локтевой кости в области дистального лучелоктевого сустава. Эта травма, известная как перелом-вывих Галеацци, требует адекватного медицинского вмешательства из-за значительных нарушений функции верхней конечности.
Симптомы перелома лучевой кости
Симптомы перелома лучевой кости проявляются через признаки нарушения целостности кости и смещения отломков, а также повреждение окружающих мягких тканей. Клиническая картина может усложняться при повреждении сосудов или нервов и инфекционных осложнениях.
Закрытый перелом лучевой кости проявляется следующими симптомами:
- Боль в области перелома. Интенсивная и острая боль усиливается при движении и нажатии. Она возникает из-за разрыва надкостницы, содержащей нервные окончания, а также под воздействием провоспалительных веществ и повреждения мягких тканей костными отломками.
- Патологическая подвижность конечности. Нарушение целостности кости приводит к патологической подвижности в месте перелома, что может проявляться смещением дистального участка кости или отсутствием движения в дистальном фрагменте при сокращении мышц.
- Припухлость конечности. Реактивное воспаление вызывает расширение сосудов и выход жидкости, что приводит к отеку. При закрытом повреждении сосудов может возникать припухлость от скопления крови, отличающаяся более быстрым ростом и плотностью.
- Нарушение функции верхней конечности. Сильная боль и смещение отломков ухудшают функцию конечности. Это может снизить амплитуду движений в локтевом и лучезапястном суставах, а также нарушить движения пальцев и кисти.
- Укорочение конечности. Смещение отломков может привести к укорочению конечности, хотя при изолированном переломе лучевой кости это обычно не происходит.
- Крепитация костных отломков. Звук или ощущение при смещении отломков возникает из-за трения их краев. Не рекомендуется проверять этот симптом самостоятельно, так как это может повредить окружающие ткани.
При открытом переломе наблюдаются те же симптомы, но добавляются кожные повреждения, видимые отломки и кровоточивость. Повреждение кожи над местом перелома указывает на открытый перелом, который требует более тщательной обработки и лечения, а также сопряжен с высоким риском инфекционных осложнений.
Некоторые внешние признаки могут помочь точнее определить область перелома лучевой кости, так как каждое повреждение вызывает специфические нарушения движения и припухлость.
Для переломов лучевой кости с различной локализацией характерны следующие симптомы:
- Перелом головки и шейки лучевой кости. Выраженная припухлость в области локтевой ямки и нарушения вращательных движений предплечья.
- Перелом диафиза лучевой кости. Сложная диагностика из-за глубокого расположения. Наблюдаются припухлость и болезненность, иногда можно прощупать отломки. Активное вращение невозможно, пассивное вызывает сильную боль.
- Перелом лучевой кости в типичном месте. Деформация в области лучезапястного сустава, смещение отломков и патологический рельеф. Возможны нарушения сгибания кисти.
- Перелом-вывих Галеацци. Выраженная клиническая картина, западение на тыльной стороне предплечья и выпячивание на ладонной стороне из-за смещения отломков.
При повреждении сосудов могут наблюдаться побледнение пальцев, онемение и похолодание конечности. Пульс выше ладонного возвышения может отсутствовать из-за повреждения лучевой артерии или сдавления сосуда.
Повреждение нервов приводит к нарушению движений предплечья и кисти, а также снижению чувствительности кожи в этих областях.
Диагностика перелома лучевой кости
Перелом лучевой кости определяется клиническим обследованием и рентгенографией, которые дают полную информацию для подтверждения диагноза и контроля лечения.
Клиническое обследование
Клиническое исследование для диагностики перелома основывается на выявлении ключевых симптомов: боли в области травмы, отека, патологической подвижности и функциональной недееспособности. Важны также объективные признаки, такие как ощупывание костных фрагментов, аномальные выпуклости или вмятины, а также визуализация костных отломков в ране при открытом переломе.
Не менее значимой частью обследования является беседа с пострадавшим или очевидцами. Это помогает выяснить обстоятельства травмы и определить наличие других повреждений, таких как дополнительные переломы или контузии внутренних органов. В ходе разговора можно оценить степень травматического воздействия и предположить наличие патологического перелома.
В процессе обследования выделяются два ключевых показателя, влияющих на терапевтическую стратегию и прогноз — состояние сосудов и нервов.
Оценка состояния кровеносных сосудов предплечья осуществляется по следующим критериям:
- Цвет кожи предплечья и кисти. При нормальном кровообращении кожа имеет бледно-розовый оттенок. При нарушении артериального кровообращения возникает ишемия, что приводит к бледности, сухости и холодности кожи. Синюшный оттенок указывает на проблемы с венозным оттоком или недостаток кислорода, что может быть связано с тромбозом.
- Пульс на лучевой артерии. Пульс можно прощупать чуть выше ладонного возвышения большого пальца. Отсутствие пульса может свидетельствовать о повреждении лучевой артерии или низком артериальном давлении, так как пульсация исчезает при снижении систолического давления ниже 90 мм рт. ст.
Повреждение нервов предплечья определяется через исследование произвольных движений кисти и предплечья, а также чувствительности пальцев. Каждому нерву присущи специфические изменения. Чувствительность проверяется с помощью кисточки или небольшой иголочки, которая надавливает на кожу.
Клиническое обследование позволяет выявить повреждения следующих нервов предплечья:
- Срединный нерв. Повреждение проявляется в невозможности сложить большой и указательный пальцы в кольцо (жест «ОК») и нарушении тактильной или болевой чувствительности ладонной поверхности первых трех пальцев (большого, указательного и среднего).
- Лучевой нерв. Повреждение диагностируется при отсутствии возможности тыльного разгибания пальцев при сопротивлении и потере чувствительности на тыльной стороне первых трех пальцев.
- Локтевой нерв. Повреждение проявляется в невозможности разжать пальцы против сопротивления и утрате чувствительности кожи в области четвертого и пятого пальцев (безымянного и мизинца).
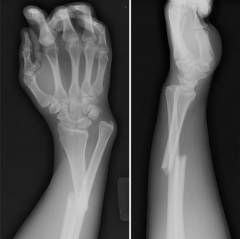
Рентгенографические методы обследования
Рентгеновские лучи — это ионизирующее электромагнитное излучение, проникающее через мягкие ткани и поглощаемое плотными структурами. При рентгенографии конечности можно увидеть контуры костей и выявить затемнения, указывающие на патологии или изменения.
Методы радиологического обследования:
- Простая радиография или радиоскопия. Простая радиография включает кратковременное просвечивание конечности рентгеновскими лучами с получением изображения на пленке. Радиоскопия отображает изображение в реальном времени на экране. В травматологии чаще используется простая радиография в двух проекциях — переднезадней и боковой, что позволяет детально рассмотреть область и снизить количество ошибок.
- Линейная томография. Этот метод позволяет получить снимок на определенной глубине благодаря синхронизированному движению излучателя и пленки. Он имеет ограниченное значение при переломах лучевой кости, но активно применяется при других патологиях.
- Компьютерная томография. Основанная на принципах линейной томографии, она использует компьютерные технологии вместо пленки, что позволяет получать четкие цифровые изображения и формировать трехмерные модели. Компьютерная томография более затратна и предполагает большую дозу облучения, но оправдана в сложных диагностических случаях или для оценки состояния сосудов.
Отдельно стоит отметить ангиографию — простую радиографию с введением контрастного вещества в сосуды. Этот метод помогает выявлять повреждения кровеносных сосудов. При травмах предплечья он используется редко, так как повреждения сосудов можно обнаружить другими способами, но может быть полезен при отсутствии альтернатив.
Радиологические методы обследования выявляют признаки перелома лучевой кости:
- дефект с пониженной интенсивностью рентгеновской тени (трещина);
- косая, поперечная, винтообразная или продольная линия перелома;
- множественные изолированные затемнения в области кости (оскольчатый перелом);
- изменение оси кости в месте перелома;
- отечность окружающих тканей;
- смещение суставных поверхностей;
- вывих локтевой кости.
Радиография также позволяет косвенно оценить состояние костной ткани: при снижении содержания кальция кости становятся более прозрачными и хрупкими. На компьютерной томограмме или простой радиограмме могут быть обнаружены признаки первичной или метастатической опухоли кости, а также остеомиелита.
Магнитно-резонансная томография
Магнитно-резонансная томография (МРТ) обеспечивает более детальное изображение мягких тканей, сосудов и нервов, чем рентгенография. Этот метод не использует ионизирующее излучение, так как основан на изменении свойств ядер водорода в магнитном поле.
МРТ применяется для диагностики повреждений нервов или сосудов, когда ангиография недоступна. Однако метод противопоказан людям с металлическими имплантами, так как магнитное поле может вызвать травмы.
Ультразвуковое исследование
Ультразвуковое исследование (УЗИ) редко применяется для диагностики переломов лучевой кости, так как не отображает костные структуры и переломы. Однако оно может помочь выявить скопления крови в области предплечья.
Лабораторные исследования при травматических переломах не показывают значительных изменений, но могут быть важны при патологических переломах. Выбор анализов и их интерпретация зависят от предполагаемой патологии и определяются лечащим врачом.
Первая помощь при подозрении на перелом лучевой кости
Нужно ли вызывать скорую помощь?
Перелом лучевой кости обычно не угрожает жизни и не требует срочного вмешательства. Однако сильная боль и стресс могут потребовать вызова врача для обезболивания и успокоения пострадавшего. Если пострадавший может передвигаться, он может обратиться в ближайший травматологический пункт или больницу. Если эти учреждения далеко или добраться до них сложно, следует вызвать скорую помощь.
Скорая помощь нужна в следующих случаях:
- перелом руки из-за падения с высоты;
- возможное повреждение внутренних органов или других конечностей (политравма);
- отсутствие пульса на лучевой артерии;
- сниженная или отсутствующая чувствительность пальцев руки;
- конечность похолодела и побледнела;
- открытый перелом предплечья;
- травматическая ампутация конечности (открытый перелом обеих костей предплечья с серьезным повреждением мягких тканей).
Перед приездом скорой или обращением в медучреждение необходимо выполнить ряд действий для снижения риска осложнений и облегчения симптомов.
Первая помощь при переломе лучевой кости включает:
- иммобилизацию конечности (наложение шины);
- обезболивание;
- прикладывание холодного компресса.
Иммобилизация конечности
Иммобилизация конечности минимизирует смещение костных фрагментов при движении, что снижает риск повреждения мягких тканей, нервов и сосудов. Фиксация также уменьшает болевые ощущения, исключая движения краев костных отломков.
Перед иммобилизацией предплечья удалите с пострадавшей руки украшения — кольца, браслеты и часы. Они могут сдавливать нервы и сосуды при отеке. Если снять их не удается, не прилагайте чрезмерные усилия, чтобы избежать смещения отломков. В этом случае помощь окажет врач или бригада скорой помощи.
Правильная иммобилизация предполагает фиксацию локтевого сустава в согнутом состоянии под углом 90 градусов и приведении к туловищу, при этом кисть должна быть ладонной поверхностью вверх. Однако важно ориентироваться на ощущения пострадавшего. Рука должна находиться в комфортном положении; если сгибание или приведение к туловищу вызывает боль, этого делать не следует. При переломе лучевой кости наиболее удобное положение кисти — ладонной поверхностью вниз.
Не пытайтесь самостоятельно вправлять смещенные костные фрагменты. Это рискованно, так как без радиологического контроля и специальных навыков сделать это правильно невозможно, что может повредить нервы и сосуды.
Иммобилизация осуществляется с помощью шины Крамера или другого жесткого предмета, например, доски, палки, ветки или жесткого картона. При фиксации охватите дистальный и проксимальный суставы (локтевой и лучезапястный), чтобы исключить в них движения и обеспечить покой. Шину не следует слишком туго стягивать, но она должна быть зафиксирована плотно.
После наложения шины проверьте наличие пульса на лучевой артерии, чтобы убедиться, что сосуды не сдавлены бинтами.
Сразу после иммобилизации обратитесь за медицинской помощью в ближайший пункт.
При открытых переломах с кровотечением правила наложения шины остаются прежними, но необходимо остановить кровотечение. При артериальном кровотечении (алая кровь, пульсирующая струя) накладывается жгут, а при венозном (темная, сочащаяся кровь) или небольшом артериальном — давящая повязка. Жгут накладывается в нижней трети плеча на обернутую тканью или бинтом кожу. Его нужно стянуть до остановки кровотечения и исчезновения пульса на лучевой артерии. Зафиксируйте время наложения жгута и запишите его на бумажке, которую положите под жгут. Это необходимо для врача, чтобы знать, как долго конечность была обескровлена. Если медицинская помощь не была оказана в течение двух-трех часов после наложения жгута, его следует ослабить на несколько минут, чтобы избежать некроза тканей, а затем снова затянуть. Наложение давящей повязки на область раны при переломах может быть опасным, так как это может привести к смещению отломков, однако при сильном кровотечении ее применение оправдано.
Необходимо ли давать обезболивающее средство?
Боль — один из самых неприятных симптомов, вызывающий страдание и беспокойство. Для ее уменьшения можно использовать обезболивающие препараты, предварительно проверив их название, дозировку и срок годности. Неправильное применение медикаментов может привести к осложнениям.
Для снятия боли можно использовать следующие препараты:
- парацетамол – 500 мг внутрь;
- ибупрофен – 400–800 мг внутрь;
- кеторолак – 10–30 мг внутрь;
- декскетопрофен (дексалгин) – 12,5 мг внутрь.
При необходимости через 5–6 часов можно принять повторную дозу. Учтите, что таблетированные формы действуют с задержкой 20–30 минут из-за всасывания в желудочно-кишечном тракте. Если боль не уменьшилась, не стоит принимать новую дозу, так как это не усилит эффект и увеличит риск побочных эффектов.
Все перечисленные препараты относятся к нестероидным противовоспалительным средствам. Их обезболивающее действие связано с влиянием на выработку провоспалительных веществ, вызывающих болевые ощущения.
В качестве немедикаментозного метода для облегчения боли можно использовать локальное охлаждение. Низкие температуры снижают интенсивность боли, повышая порог чувствительности нервных окончаний, замедляя метаболизм провоспалительных веществ и уменьшая воспалительную реакцию.
Бригада скорой помощи может использовать наркотические обезболивающие препараты, которые более эффективно и быстро устраняют болевые ощущения.
Лечение перелома лучевой кости
Лечение перелома лучевой кости включает правильное совмещение костных фрагментов и их фиксацию до полного сращения. Обычно отломки восстанавливаются ручной репозицией под контролем рентгенографии, но в некоторых случаях требуется хирургическое вмешательство.
При переломе лучевой кости применяются медикаменты, которые облегчают симптомы и предотвращают осложнения, хотя их влияние на скорость сращения незначительно.
В процессе лечения используются следующие группы медикаментов:
- Обезболивающие средства. Для снятия боли применяются ненаркотические анальгетики в инъекциях или таблетках. При сильной боли могут использоваться наркотические обезболивающие, которые быстро заменяют на ненаркотические препараты.
- Антибиотики. Назначаются для профилактики инфекционных осложнений, особенно при открытых переломах.
- Иммуноглобулины. Это готовые антитела к определённым микроорганизмам. Для предотвращения столбняка при загрязнении раны землёй пациентам с открытыми переломами вводят противостолбнячную сыворотку с иммуноглобулинами к столбнячному токсину.
Наложение гипса
Наложение гипсовой повязки выполняется после правильного сопоставления костных фрагментов. Это необходимо для фиксации конечности и полного обездвиживания поврежденной области. Положение руки зависит от типа и локализации перелома. Обычно рука согнута в локтевом суставе и приближена к туловищу.
При переломах лучевой кости используется гипсовая лонгета, охватывающая нижнюю треть плеча, предплечье и часть кисти. Гипс изначально накладывается не слишком плотно, чтобы избежать сжатия тканей при отеке, но позже его можно затянуть крепче.
Как долго необходим гипс?
Продолжительность ношения гипсовой повязки зависит от места перелома, типа восстановления костных фрагментов и состояния здоровья пациента.
При переломе лучевой кости время ношения гипса:
- головка и шейка лучевой кости – 2–3 недели;
- диафиз лучевой кости – 8–10 недель;
- локтевая кость с вывихом головки (перелом-вывих Галеацци) – 8–10 недель;
- классическое место лучевой кости – 8–10 недель.
Перед снятием гипса необходимо провести радиологическое обследование для оценки состояния костной мозоли и степени сращения костных частей.
Полное восстановление функции конечности занимает на 2–4 недели больше, чем время ношения гипсовой лонгеты. Поэтому после снятия повязки важно заниматься лечебной физкультурой для ускорения восстановления двигательной активности.
Когда нужна операция?
Оперативное вмешательство при переломе лучевой кости необходимо, когда ручная репозиция невозможна или возникают осложнения. Хирургическое лечение обеспечивает точное сопоставление костных отломков, сокращает время ношения гипса и ускоряет восстановление функции конечности.
Показания к оперативному лечению перелома лучевой кости:
- открытый перелом;
- перелом обеих костей предплечья;
- перелом-вывих по типу Галеацци;
- перелом диафиза с выраженным смещением;
- позднее обращение с наличием смещения;
- переломы с синдромом сдавления нервов;
- переломы с повреждением нервов или сосудов;
- множественные и оскольчатые переломы, перелом локтевого отростка;
- патологический перелом.
Операция включает сопоставление костных фрагментов и их фиксацию металлической пластиной, спицами или аппаратом Илизарова. Выбор метода зависит от локализации перелома и состояния костной и мягкой тканей. При хирургической репозиции выполняется широкий разрез мягких тканей для аккуратного сопоставления фрагментов.
Открытые переломы требуют хирургического вмешательства из-за риска инфекции. Это включает иссечение некротизированных тканей, вскрытие и дренаж полостей. Костные фрагменты также нуждаются в тщательной обработке, чтобы избежать инфекционных осложнений, которые могут потребовать длительного лечения.
Какова длительность восстановительного периода после операции?
Средняя продолжительность восстановительного периода после операции при переломе лучевой кости составляет 6-8 недель. Этот срок зависит от состояния здоровья пациента и объема операции. Хирургическое вмешательство приводит к значительному рассечению мягких тканей, поэтому восстановление во многом определяется временем заживления этих тканей. Сращение костей происходит так же, как и при консервативном лечении, но благодаря стабилизации фрагментов с помощью металлических пластин или спиц восстановление функциональности может быть быстрее.
Длительный восстановительный период может быть вызван следующими факторами:
- инфекцией мягких тканей;
- остеомиелитом;
- гормональными нарушениями;
- сахарным диабетом;
- пожилым возрастом;
- остеопорозом;
- заболеваниями почек и печени;
- злокачественными новообразованиями;
- применением цитостатиков;
- высокими дозами гормональных препаратов;
- терапией, подавляющей иммунитет.
Какие физиопроцедуры показаны после перелома?
С целью ускорения восстановления функций поврежденной конечности и нормализации состояния костной ткани пациентам назначаются физиотерапевтические процедуры. Этот метод лечения предполагает воздействие физических факторов на пораженную область, что приводит к положительному локальному ответу.
Физиотерапевтические процедуры при переломе лучевой кости
| Тип процедуры | Механизм действия | Продолжительность курса |
| Воздействие электромагнитного поля ультравысокой частоты. | Электромагнитное поле ультравысокой частоты вызывает выделение низкотемпературного тепла, что обеспечивает обезболивание, уменьшение воспаления и ускорение регенерации тканей. | Курс 8–10 дней, начинается на 2–3 день после перелома. |
| Низкочастотная импульсная магнитная терапия. | Низкочастотные магнитные импульсы создают электрические токи в тканях, что приводит к противовоспалительному, обезболивающему и заживляющему эффекту. | Курс включает 10 сеансов по 30 минут. |
| Ультрафиолетовое облучение зоны перелома. | Ультрафиолетовое излучение способствует синтезу витамина D, необходимого для усвоения кальция, основного минерала для формирования костной ткани. | Облучение 1 раз в 2–4 дня, всего 3–4 сеанса. |
| Электрофорез кальция в области перелома. | Электрофорез обеспечивает доставку лекарств через кожу в глубокие ткани, включая кости. Кальций укрепляет кости, ускоряя заживление. | Назначается со второй недели после перелома, курс 10–15 дней, каждый сеанс не менее 20 минут. |
Несмотря на безопасность физиотерапевтических процедур, их неправильное применение может негативно сказаться на поврежденной области и организме в целом. Поэтому перед началом физиотерапии важно проконсультироваться с квалифицированным специалистом.
Вопрос-ответ
Какие симптомы при переломе лучевой кости?
При переломе лучевой кости основные симптомы включают сильную боль в области запястья или предплечья, отек, ограничение подвижности, деформацию (в случае смещения) и возможное появление синяков. Также может наблюдаться хруст при движении и затруднение в выполнении обычных действий, таких как захват предметов.
Как оказать первую помощь при переломе лучевой кости?
Первая помощь при переломе лучевой кости. Необходимо зафиксировать руку в приподнятом положении и наложить импровизированную шину от предплечья до локтя. Повязка не должна быть тугой, она должна просто поддерживать запястье в одном положении. Если не рискуете накладывать повязку, просто держите руку высоко и неподвижно.
Когда начинает срастаться перелом лучевой кости?
Лучевая кость полностью срастается примерно за 6-8 недель. Спустя этот срок пациент может начинать полноценно пользоваться рукой. Но разрабатывать руку с помощью определенных, рекомендованных врачом, упражнений благодаря использованию фиксаторов можно уже спустя 1-2 недели после вмешательства.
Как понять, что рука сломана или трещина?
Наличие отека, подкожной гематомы в области повреждения, снижение чувствительности конечности, слышимый хруст при попытках движения рукой, патологическая подвижность кости.
Советы
СОВЕТ №1
При подозрении на перелом лучевой кости, немедленно обратитесь за медицинской помощью. Не пытайтесь самостоятельно вправить кость или игнорировать боль, так как это может привести к осложнениям.
СОВЕТ №2
Если вы оказались в ситуации, когда необходимо оказать первую помощь, зафиксируйте поврежденную руку в удобном положении с помощью шины или подручных средств, таких как свернутая газета или плотная ткань, чтобы минимизировать движение и боль.
СОВЕТ №3
После получения медицинской помощи и диагностики перелома, следуйте рекомендациям врача по реабилитации. Это может включать физиотерапию, упражнения для восстановления подвижности и укрепления мышц, что поможет избежать долгосрочных последствий.
СОВЕТ №4
Обратите внимание на профилактику травм, особенно если вы занимаетесь спортом или активными видами деятельности. Используйте защитное снаряжение, такое как наколенники и налокотники, чтобы снизить риск получения травм.






