Особенности анатомии носа
Существует наружный нос, выступающий над лицевым черепом, и носовая полость внутри. Вход в носовую полость образует грушевидное отверстие.
Структура наружного носа:
- Передняя часть формируется из хрящей, которые мягкие и легко деформируются, но быстро восстанавливают форму.
- Костная структура состоит из отростков лобной и верхнечелюстной костей, а также парных носовых костей. Повреждение костной части может привести к перелому носа.
- Кожа наружного носа содержит множество сальных желез, что способствует образованию черных точек. В преддверии носа находятся волоски, задерживающие пыль и инородные частицы, защищая дыхательные пути. Под кожей расположены мелкие кровеносные сосуды, что может привести к обильным кровотечениям при переломах.
Носовая полость делится на преддверие (наружная часть), дыхательную часть (нижняя часть, по которой проходит воздух) и обонятельную часть (верхняя часть, где находятся нервные окончания, отвечающие за восприятие запахов). Она соединяется с придаточными пазухами – полостями в лобной, верхнечелюстной (гайморовы пазухи) и решетчатой костях. При переломах носа возможно повреждение этих пазух.
Носовая полость разделена на две половины носовой перегородкой, состоящей из хрящевой и костной частей. С каждой стороны носовой полости располагаются три мелкие косточки – верхняя, средняя и нижняя носовые раковины.
Под слизистой оболочкой носа находятся сосуды, которые могут кровоточить при травмах.
Перелом носа является распространенной травмой, которую врачи часто встречают в своей практике. Основными причинами его возникновения являются спортивные травмы, падения и дорожно-транспортные происшествия. Симптомы перелома включают боль, отек, синяки и затрудненное дыхание через нос. Врачи выделяют несколько видов переломов: закрытые, открытые и смещенные, что влияет на подход к лечению.
Первая медицинская помощь при переломе носа включает остановку кровотечения, применение холодного компресса и обращение к специалисту. Важно не пытаться самостоятельно вправлять нос, так как это может усугубить травму. Реабилитация после перелома может занять от нескольких недель до нескольких месяцев и включает в себя физиотерапию и контроль за состоянием носа. Врачи подчеркивают важность своевременного обращения за медицинской помощью для предотвращения осложнений и восстановления нормальной функции носа.

Причины перелома носа
Перелом носа происходит из-за удара тупым или острым предметом. Важны сила и направление удара.
Наиболее частые причины перелома носа:
- спортивные травмы;
- производственные травмы;
- бытовые травмы: удары твердыми предметами или падения;
- дорожно-транспортные происшествия;
- драки;
- травмы в боевых условиях;
- иногда перелом может произойти при падении у людей с эпилепсией.
В зависимости от поврежденных костей:
- перелом носовых костей;
- перелом перегородки носа;
- перелом отростков лобной кости и верхней челюсти.
В зависимости от наличия смещения:
- перелом без смещения;
- перелом со смещением.
В зависимости от наличия раны на коже:
- закрытый перелом;
- открытый перелом.
В зависимости от направления смещения отломков:
- боковое смещение;
- смещение в переднезаднем направлении;
- вколоченный перелом, когда один отломок вдается в другой или пробивает стенку черепа.
В зависимости от стороны повреждения:
- односторонний перелом (справа или слева);
- двухсторонний перелом.
| Симптом | Описание |
| Деформация носа | Наблюдается при переломах со смещением. Основные виды деформации: * искривление вбок; * образование горба; * западение спинки носа (седловидный нос); * приплюснутый нос; * увеличение ширины носа; * уменьшение ширины носа, он становится узким и тонким. Укорочение спинки носа может указывать на вколоченный перелом, что является серьезным осложнением. Деформация зависит от направления травмирующей силы. |
| Кровотечение | Обычно наблюдается сильное, но кратковременное кровотечение, иногда приводящее к значительной кровопотере. |
| Боль | Перелом носа вызывает сильную боль. |
| Отек в области носа | Отек появляется не сразу, а через некоторое время. При переломе со смещением желательно вправить отломки до появления отека или дождаться его уменьшения. |
| Кровоизлияние под кожей | Возникает из-за повреждения сосудов. Кровоизлияние вокруг глаз («симптом очков») может указывать на перелом черепа. |
| Затрудненное дыхание через нос | Возникает из-за смещения отломков, деформации перегородки носа или отека. |
| Рана на коже | Может быть связана или не связана с полостью носа. Это выясняет врач во время осмотра. |
Похожие симптомы могут возникать при повреждении хрящей носа, когда кости остаются целыми. Иногда различить тип травмы можно только с помощью рентгенографии.
Искривление носовой перегородки – одно из распространенных последствий травм носа. Перегородка равномерно распределяет воздушные потоки между ноздрями. При искривлении одна половина носа может частично отключаться от дыхательного процесса, что приводит к неправильному движению воздуха и его завихрениям. Это может вызывать частые насморки, которые становятся хроническими, а также острые респираторные заболевания и воспаления придаточных пазух. Искривление перегородки устраняется хирургически.
При сложных переломах с сильным смещением, а также при недостаточном или несвоевременном вправлении отломков может сохраняться стойкая деформация носа, проявляющаяся в виде искривления или появления горба. Деформация носа часто сопровождается искривлением перегородки, что ухудшает внешний вид и затрудняет дыхание. В некоторых случаях дыхание через нос становится невозможным. Исправить деформацию носа после травмы можно с помощью пластической операции.
При переломах носа кровотечение обычно обильное из-за большого количества сосудов, но быстро останавливается. В некоторых случаях оно может быть интенсивным и не поддаваться обычным методам остановки (наклон головы вперед, прикладывание холода, тампоны в ноздри), что может привести к значительной кровопотере. Пострадавшего следует немедленно доставить в больницу.
При открытых переломах носа в рану может попасть инфекция, что ухудшает состояние и замедляет заживление. Хирург удаляет омертвевшие ткани, проводит перевязки с антисептиками и назначает антибиотики.
Если перелом носа сопровождается переломом костей черепа, прогноз становится более серьезным. При попадании инфекции в полость черепа могут развиться менингит или менингоэнцефалит – тяжелые заболевания, которые могут привести к летальному исходу.
Симптомы перелома основания черепа и повреждения мозговых оболочек:
- из носа выделяется бесцветная жидкость;
- при попадании крови на поверхность вокруг пятна образуется светлое кольцо;
- пострадавший может быть в бессознательном состоянии;
- пострадавший может быть в состоянии оглушения: замедленная реакция на внешние раздражители, запоздалые ответы на вопросы;
- могут возникать судороги.
Диагностикой и лечением переломов носа занимаются травматологи, ЛОР-врачи и челюстно-лицевые хирурги. Обычно пострадавшего направляют в травмпункт или в приемное отделение ЛОР-клиники. Важно как можно быстрее обратиться к врачу для устранения смещения отломков.
- Сначала врач осматривает нос.
- Затем выполняет ощупывание носа, чтобы определить движение отломков. При этом может возникать звук, напоминающий хруст снега – крепитация.
- ЛОР-врач осматривает носовую полость с помощью риноскопа, оценивая состояние перегородки и носовых ходов. Обычно в носовой полости обнаруживаются большие сгустки крови.
- Если есть рана, врач вводит в неё металлический зонд, чтобы проверить, соединяется ли она с полостью носа.
| Название исследования | Описание | Как проводится? |
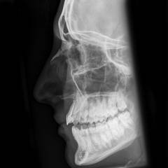
| Рентгенография черепа | На снимках видны линии перелома, количество и смещение отломков. Исследование позволяет выявить не только перелом носовых костей, но и повреждения черепа. | Исследование не требует специальной подготовки и занимает около 2 минут. Снимки делают в двух проекциях – анфас и профиль. |
| Компьютерная томография носа и черепа | Более точное исследование, позволяющее оценить расположение линий перелома, количество и расположение отломков, состояние полости носа и его придаточных пазух. | Исследование проводится с помощью компьютерного томографа. |
| Магнитно-резонансная томография | Применяется для получения дополнительных данных о повреждениях черепа и других анатомических структур. | Для исследования пострадавшего помещают в магнитно-резонансный томограф. |
| Эндоскопия носа | Эндоскопическое исследование позволяет оценить состояние носовой полости и придаточных пазух. | Эндоскопию проводит ЛОР-врач с местной анестезией. |
| Спинномозговая пункция | Проводится при переломе основания черепа, если есть подозрение на разрыв мозговых оболочек. | Процедура занимает около 30 минут; проводится местная анестезия. |
- Усадите пострадавшего так, чтобы его голова была наклонена вперед. Это предотвратит затекание крови в дыхательные пути.
- Приложите холод к переносице. Можно использовать смоченную в холодной воде ткань или лед, обернутый в материал.
- Если кровотечение не останавливается, аккуратно вставьте в ноздри марлевые тампоны, смоченные в воде.
- Пострадавшего необходимо доставить к врачу или вызвать «скорую помощь».
- Если есть подозрение на перелом основания черепа, пострадавшего нельзя переворачивать. Нужно немедленно вызвать «скорую помощь» и контролировать дыхание и пульс до её прибытия.
Не пытайтесь самостоятельно ощупывать нос или вправлять его. Неправильные действия могут ухудшить состояние и увеличить отек.
Если смещения отломков нет, врач обрабатывает рану или ссадину, иссекает поврежденные ткани и накладывает швы. Пострадавшему вводят противостолбнячную сыворотку. Обычно заживление происходит быстро благодаря хорошему кровоснабжению области носа.
Если имеется смещение, его необходимо устранить. Врач возвращает отломки на место. Эта процедура называется репозицией отломков носа:
- Лучше всего проводить вправление в течение первого дня после травмы. Максимальный срок – 3 недели. Если прошло больше времени, деформацию носа придется исправлять хирургически. Если у пострадавшего сотрясение мозга, вправление откладывается до 5-6 дня.
- Вправление осуществляется в положении лежа или сидя.
- Перед началом процедуры проводится местная анестезия.
- При боковом смещении врач устраняет его, надавливая пальцами.
- При смещении в переднезаднем направлении врач использует специальный инструмент для возвращения отломков на место.
- После вправления в одну или обе ноздри вставляют марлевые тампоны с антибиотиком, чтобы предотвратить смещение отломков. Тампоны носят 4-7 дней, меняя каждые 2-4 дня. Также могут использоваться специальные шины, которые накладываются снаружи носа и носятся 7-12 дней.
При множественных переломах и значительной деформации носа может не удастся полностью восстановить его форму. В этом случае через 5-6 месяцев проводится пластическая операция для исправления формы носа и перегородки. После операции на нос накладывается шина или гипсовая повязка, которую нужно носить 10-14 дней.
Лекарственные препараты, которые могут быть назначены врачом при переломе носа:
| Препараты* | Цель назначения |
| Обезболивающие: * анальгин; * кеторол; * трамадол. | Устранение болей после травмы и операции. |
| Успокоительные средства | Снижение стресса, нормализация сна. |
| Антибиотикотерапия | Предотвращение инфицирования и нагноения. |
| Кровоостанавливающие препараты (гемостатики) | Предотвращение повторных носовых кровотечений. |
| Сосудосуживающие капли: * Ксимелин; * Ксилен; * Отривин; | Уменьшение отека слизистой и облегчение дыхания. |
*Информация представлена для ознакомления. Лечение должно назначаться врачом. Самолечение недопустимо.
| Название процедуры | Описание | Как проводится? |
| УВЧ-терапия | Ультракороткие волны обладают противовоспалительным действием, помогают снять боль и улучшают регенерацию тканей. | На лицо пациента помещают две конденсаторные пластины и подают УВЧ-излучение. Процедура длится от 5 до 20 минут, курс состоит из 6-12 процедур. |
| Лечение инфракрасными лучами | Инфракрасное излучение обладает обезболивающим эффектом и способствует улучшению кровотока. | Для терапии используют лампы накаливания. Процедура длится 20-30 минут, курс состоит из 12-15 процедур. |
| Электрофорез | Постоянный электрический ток стимулирует регенерацию тканей и транспортирует лекарственные вещества через кожу. | Электроды накладывают в ушной области, так как после травмы нельзя накладывать их на нос. |
- Не спите на боку и на животе. Спите на спине.
- Не носите очки – они создают давление на спинку носа.
- Избегайте горячих ванн, сауны и бани.
- Исключите физические нагрузки.
| Причина | Симптом | Действие |
|---|---|---|
| Прямой удар в нос (спорт, драка, падение) | Боль, отек, кровотечение из носа, деформация носа, затрудненное дыхание | Немедленно обратиться к врачу. При сильном кровотечении приложить холодный компресс к переносице, слегка прижав ноздри. |
| Непрямой удар в нос (удар в лицо) | Боль, отек, кровотечение из носа, деформация носа, головная боль, появление синяков под глазами (симптом «очков») | Немедленно обратиться к врачу. |
| Падение | Боль, отек, кровотечение из носа, деформация носа, возможна потеря сознания | Немедленно обратиться к врачу. Проверить наличие других травм. |
| Затруднение дыхания | Обеспечить доступ свежего воздуха. | |
| Головокружение | Уложить пострадавшего, обеспечить покой. | |
| Тошнота, рвота | Не давать пить и есть. | |
| Кровотечение из носа | Прижать ноздри к переносице на 10-15 минут. | |
| Крепитация (хруст) при пальпации | Показатель перелома. | |
| Изменение формы носа | Показатель перелома. | |
| Двустороннее кровотечение из носа | Показатель перелома. | |
| Ликворея (выделение спинномозговой жидкости из носа) | Немедленная госпитализация! |
Перелом носа — это распространенная травма, часто возникающая в результате ударов, падений или спортивных травм. Люди описывают симптомы как сильную боль, отек, кровотечение и затрудненное дыхание. Важно знать, что существуют разные виды переломов: закрытые, когда кожа не повреждена, и открытые, когда есть разрыв кожи. Первая медицинская помощь включает остановку кровотечения, холодный компресс для уменьшения отека и обращение к врачу. Реабилитация может занять от нескольких недель до нескольких месяцев, в зависимости от тяжести травмы. Важно следовать рекомендациям врача, чтобы избежать осложнений и восстановить нормальную функцию носа.

Виды переломов носа
В зависимости от типа поврежденных костей:
- перелом костей носа;
- перелом перегородки носа;
- перелом носовых отростков лобной кости и верхней челюсти.
В зависимости от наличия смещения:
- перелом костей носа без смещения;
- перелом костей носа с смещением.
В зависимости от состояния кожи:
- закрытый перелом;
- открытый перелом.
В зависимости от направления смещения фрагментов:
- боковое смещение;
- смещение в переднезаднем направлении;
- вколоченный перелом, когда один фрагмент врезается в другой или пробивает стенку черепа.
В зависимости от стороны повреждения:
- односторонний перелом (справа или слева);
- двухсторонний перелом.
Симптомы перелома костей носа
| Симптом | Описание |
| Видимая деформация носа | Появляется при переломах с смещением. Типы деформации: * искривление; * горбинка; * западение спинки (седловидный нос); * приплюснутый нос; * увеличение ширины; * уменьшение ширины, приводящее к узкому и тонкому носу. Укороченная спинка может указывать на вколоченный перелом, при котором отломок пробивает черепную стенку. Тип деформации зависит от направления травмы. |
| Кровотечение | При переломах носа часто наблюдается сильное, но кратковременное кровотечение. В некоторых случаях возможно значительное кровопотеря. |
| Боль | При переломе носа возникает интенсивная боль, как и при любой травме. |
| Отек в области носа | Отек развивается не сразу. При переломе со смещением рекомендуется вправить отломки до появления отека или дождаться его уменьшения. |
| Кровоизлияние под кожей | Происходит из-за повреждения сосудов. Кровоизлияние вокруг глаз («симптом очков») может указывать на перелом черепа. |
| Затруднение дыхания через нос | Возникает из-за смещения отломков, деформации перегородки или отека. |
| Рана на коже | Может быть связана или не связана с полостью носа. Это уточняет врач при осмотре. |
Аналогичные симптомы могут возникать при повреждении хрящей носа, когда кости целы. Различить тип травмы можно только после рентгенографии.

Осложнения переломов носа
Искривление носовой перегородки
Искривление носовой перегородки — распространенное последствие травм носа. В норме перегородка равномерно распределяет воздушные потоки между ноздрями.
При искривлении одна половина носа частично отключается от дыхания, что нарушает движение воздуха и вызывает завихрения. Это может привести к частым насморкам, которые становятся хроническими, а также к острым респираторным инфекциям и воспалению придаточных пазух.
Для исправления искривления, вызванного травмами, необходимо хирургическое вмешательство.
Деформация носа
При серьезных переломах с выраженным смещением или недостаточном восстановлении отломков может возникнуть стойкая деформация носа, проявляющаяся искривлением, образованием горба и другими изменениями.
Деформация часто сопровождается искривлением носовой перегородки, что ухудшает внешний вид и затрудняет дыхание.
Для коррекции деформации носа после травмы возможна пластическая операция.
Сильное кровотечение
При переломах носа кровотечение обычно обильное из-за большого количества сосудов, но быстро останавливается. В некоторых случаях оно может стать сильным, и стандартные методы (наклон головы вперед, холодный компресс на переносицу, тампоны в ноздри) могут не помочь. Это может привести к значительной потере крови. В таких ситуациях нужно срочно доставить пострадавшего в медицинское учреждение для остановки кровотечения.
Инфицирование
При открытых переломах носа существует риск инфекции, что может ухудшить состояние пациента и замедлить заживление.
Хирург удаляет омертвевшие ткани, пораженные инфекцией, проводит перевязки с антисептиками и назначает антибиотики.
Перелом черепа и повреждение оболочек головного мозга
Если перелом носа сопровождается повреждением костей черепа, состояние пострадавшего ухудшается. Инфекция в черепной полости может вызвать менингит или менингоэнцефалит, что чревато летальным исходом.
Признаки перелома основания черепа и повреждения мозговых оболочек:
- из носа выделяется прозрачная жидкость;
- кровь из носа образует светлое кольцо вокруг пятна;
- пострадавший может быть в бессознательном состоянии;
- оглушение: замедленные реакции на раздражители, задержка в ответах, неполные и неточные ответы;
- возможны судороги.
Диагностика переломов носа
К какому врачу обращаться при этом виде травмы?
Переломы носа лечат травматологи, ЛОР-врачи и челюстно-лицевые хирурги. Пострадавшего направляют в травмпункт или ЛОР-клинику. Быстрая доставка пациента к специалисту позволяет оперативно устранить смещение костных фрагментов.
Как врач осматривает больного?
Сначала специалист осматривает нос.
Затем проводится пальпация, во время которой врач ощупывает перемещение фрагментов. В этом процессе может возникать звук, напоминающий хруст снега – крепитация.
ЛОР-врач использует риноскоп для обследования носовой полости. Он анализирует состояние носовой полости, перегородки и носовых ходов. При осмотре часто обнаруживаются крупные сгустки крови.
Если в области носа есть рана, врач вводит в неё металлический зонд, чтобы проверить, соединяется ли она с носовой полостью.
Какие исследования назначает врач при переломах носа?
| Название исследования | Описание | Как проводится? |
| Рентгенография черепа | Рентгеновские снимки показывают линии переломов, количество фрагментов и их смещение. Исследование выявляет переломы носовых костей и повреждения черепа. | Подготовка не требуется, исследование занимает около 2 минут. Снимки делают в двух проекциях: анфас и профиль. В некоторых случаях могут потребоваться другие проекции. |
| Компьютерная томография носа и черепа | Этот метод более точен, чем рентгенография. Он позволяет оценить линии переломов, количество и расположение фрагментов, состояние носовой полости и придаточных пазух, а также повреждения костей черепа и других структур. | Исследование выполняется с помощью компьютерного томографа. С появлением таких аппаратов в клиниках, компьютерная томография становится предпочтительной, особенно в сложных случаях, благодаря высокой точности. |
| Магнитно-резонансная томография | Метод используется для получения дополнительных сведений о повреждениях черепа и анатомических структурах. | Пациента помещают в магнитно-резонансный томограф. Процедура длится от 20 до 60 минут. |
| Эндоскопия носа | Эндоскопическое исследование позволяет оценить состояние носовой полости, слизистой оболочки, носовых раковин и придаточных пазух. Главное преимущество — возможность осмотра анатомических структур, ранее видимых только во время операции. | Методика исследования: * Эндоскопию проводит ЛОР-врач; * выполняется местная анестезия слизистой оболочки с помощью спрея лидокаина; * в нос вводится тонкий гибкий эндоскоп с видеокамерой, что позволяет врачу осмотреть носовую полость; * при необходимости эндоскоп вводится в придаточные пазухи для их осмотра. |
| Спинномозговая пункция | Исследование выполняется при переломе основания черепа при подозрении на разрыв мозговых оболочек. В спинномозговой жидкости могут быть примеси крови. | * Процедура занимает около 30 минут; * пациента укладывают на бок с приведенными к животу коленями или усаживают на стул и просят наклониться вперед; * место на пояснице бреют и обрабатывают антисептиком; * выполняется местная анестезия: место пункции обкалывают раствором новокаина; * между позвонками вводят специальную иглу со стилетом; * когда игла достигает нужного места, врач вынимает стилет и собирает несколько капель спинномозговой жидкости. |
Первая помощь при переломах носа
- Усадите пострадавшего так, чтобы его голова и тело были наклонены вперед. Это предотвратит попадание крови в дыхательные пути.
- На переносицу приложите холодный компресс. Используйте ткань, смоченную в холодной воде, или пакет со льдом, обернутый в материал. Будьте осторожны, так как перелом носа может вызывать сильную боль.
- Если кровотечение не прекращается, аккуратно вставьте в ноздри марлевые тампоны, смоченные в воде.
- Отвезите пострадавшего к врачу или вызовите бригаду «скорой помощи».
- При подозрении на перелом основания черепа не поворачивайте и не переворачивайте пострадавшего. Вызовите «скорую помощь» и следите за дыханием и пульсом до ее прибытия.
Не пытайтесь самостоятельно ощупывать нос или «вправлять» его. Неправильные действия могут ухудшить состояние, увеличить отек и деформацию.
Лечение переломов носа
Если смещения отломков нет, врач обрабатывает ссадину или рану, удаляет поврежденные ткани и накладывает швы. Пострадавшему вводят противостолбнячную сыворотку. Заживление обычно проходит быстро из-за хорошего кровоснабжения области носа.
Если имеется смещение, его нужно устранить. Врач выполняет репозицию отломков носа:
- Вправление лучше проводить в течение первого дня после травмы, пока отек незначительный. Максимальный срок – 3 недели. Если прошло больше времени, коррекцию придется делать хирургически. При сотрясении мозга вправление откладывают на 5-6 дней.
- Процедура выполняется в положении лежа или сидя.
- Перед манипуляцией проводится местная анестезия новокаином или другим препаратом.
- При боковом смещении врач устраняет его, надавливая пальцами.
- При смещении в переднезаднем направлении используется металлический инструмент — элеватор, который служит рычагом для возвращения отломков на место.
- После вправления в ноздри помещают марлевые тампоны с антибиотическим раствором для предотвращения смещения. Их обрабатывают парафином для лучшей фиксации. Пациент носит их 4-7 дней, заменяя каждые 2-4 дня. Также могут использоваться специальные шины, которые накладываются снаружи носа и носятся 7-12 дней.
При множественных переломах и значительной деформации восстановить форму может не удастся. В таком случае через 5-6 месяцев проводится пластическая операция для коррекции формы носа и перегородки. После операции накладывается шина или гипсовая повязка, которую нужно носить 10-14 дней.
Лекарственные препараты, которые могут быть назначены при переломе носа:
| Препараты* | Цель назначения |
| Обезболивающие: * анальгин (метамизол натрия); * кеторол; * трамадол. | Устранение болей после травмы и операции. |
| Успокоительные средства | Снижение стресса, нормализация сна. |
| Антибиотикотерапия | Местные (мазями, растворами) и системные (таблетки, уколы) антибиотики предотвращают инфицирование и отторжение тканей. |
| Кровоостанавливающие препараты (гемостатики) | Предотвращение повторных носовых кровотечений. |
| Сосудосуживающие капли: * Ксимелин; * Ксилен; * Отривин; * Длянос и др. | Уменьшение отека слизистой и облегчение дыхания. |
*Информация представлена для ознакомления. Лечение назначает врач. Самолечение недопустимо.
Физиотерапия при переломах носа
| Название процедуры | Описание | Как проводится? |
| УВЧ-терапия | Ультракороткие волны уменьшают воспаление, болевые ощущения, улучшают защитные функции организма и способствуют восстановлению тканей. | На лицо пациента устанавливаются две конденсаторные пластины, на которые подается УВЧ-излучение. Процедура длится 5-20 минут, курс — 6-12 сеансов. |
| Лечение инфракрасными лучами | Инфракрасное излучение обезболивает, уничтожает патогенные микроорганизмы и улучшает кровообращение. | Для терапии используются лампы накаливания. Процедура длится 20-30 минут, курс — 12-15 сеансов. |
| Электрофорез | Электрофорез воздействует постоянным электрическим током, активируя регенерацию тканей и способствуя проникновению лекарств через кожу. При заложенности носа применяется электрофорез с медикаментами, при проблемах с срастанием отломков — с минеральными веществами. | После травмы электроды не накладываются на нос, чаще всего их размещают в области ушей. |
Рекомендации по образу жизни для людей, перенесших перелом носа:
- Спать на боку или животе нельзя. Пока кости не зажили, следует спать на спине.
- Носить очки запрещено – они давят на нос.
- Не рекомендуется принимать горячие ванны и посещать сауны.
- Физические нагрузки нужно исключить.
Вопрос-ответ
Какие причины сломанного носа?
Перелом носа случается при травме. Обычно такие повреждения получают во время занятий контактными видами спорта, при падениях, автомобильных авариях и во время конфликтов, которые переросли в драку. Некоторые болезни могут делать кости носа более хрупкими и подверженными переломам. Например, остеопороз или сифилис.
Какие есть виды перелома носа?
Виды переломов носа. В зависимости от положения костных фрагментов переломы костей носа бывают двух видов: со смещением и без смещения.
Какой основной симптом перелома костей носа?
Кровотечение из носа или прозрачная жидкость, вытекающая из носа; заложенность носа, исчезновение обоняния, синяки вокруг носа и глаз. Нос также может выглядеть загнутым книзу или кривым.
Какая первая помощь нужна при переломе носа?
Первая помощь при переломе костей носа. После получения травмы необходимо срочно вызвать скорую. До того как прибудет помощь важно постараться остановить кровотечение. Для этого нужно приложить к носу холод. Зимой это может быть снег или лед.
Советы
СОВЕТ №1
При подозрении на перелом носа, не пытайтесь самостоятельно вправить его. Это может усугубить травму и привести к осложнениям. Лучше всего обратиться к врачу для профессиональной оценки и лечения.
СОВЕТ №2
Если у вас есть кровотечение из носа, сядьте и наклоните голову немного вперед, чтобы избежать попадания крови в горло. Приложите холодный компресс к носу, чтобы уменьшить отек и остановить кровотечение.
СОВЕТ №3
После получения первой медицинской помощи следите за симптомами. Если вы заметили ухудшение состояния, появление сильной боли, отека или изменения в дыхании, немедленно обратитесь к врачу.
СОВЕТ №4
Для ускорения реабилитации после перелома носа избегайте физических нагрузок и травмирующих действий в течение первых нескольких недель. Также следите за своим питанием, включая в рацион продукты, богатые витаминами и минералами, которые способствуют заживлению.








