После родов многие женщины сталкиваются с изменениями в организме, в том числе с сгустками в матке. Эти сгустки могут быть нормальными или указывать на патологии. В статье рассмотрим, что такое сгустки, как долго сокращается матка после родов и какие меры предпринять при выявлении аномалий. Эта информация поможет женщинам лучше ориентироваться в своем состоянии и своевременно обращаться за медицинской помощью.
Что происходит с маткой после родов?
Восстановление матки после рождения ребенка гинекологи называют субинволюцией. В этот период орган постепенно сокращается и возвращается к своим обычным размерам, а также восстанавливается эндометриальный слой. Наиболее активное сокращение матки наблюдается в первые дни после родов, когда орган теряет около половины своего веса.
Шейка матки и зев также постепенно закрываются. В первые сутки после рождения малыша диаметр шеечного канала составляет 10–12 см, что позволяет врачу провести ручное обследование. Во время этой процедуры специалист удаляет остатки плаценты. К концу первого дня проходимость шеечного канала уменьшается до двух пальцев, а на третий день она составляет лишь один палец.
Сгустки в матке после родов вызывают множество вопросов у женщин и их близких. Эксперты в области акушерства и гинекологии отмечают, что в большинстве случаев небольшие сгустки являются нормальным явлением. Они формируются в результате естественного процесса восстановления матки и очищения от остатков плаценты и крови. Однако, если сгустки крупные или сопровождаются сильной болью, обильным кровотечением или неприятным запахом, это может указывать на патологии, такие как остатки плаценты или инфекция. В таких случаях важно обратиться к врачу для диагностики и получения необходимой помощи. Специалисты подчеркивают, что каждая женщина уникальна, и подход к её состоянию должен быть индивидуальным.
https://youtube.com/watch?v=IJG31ijnQXM
Матка после родов – восстановление
Практически сразу после завершения родов матка начинает процесс восстановления. Этот орган активно сокращается и уменьшается в размерах. Важно отметить, что данный процесс имеет свои индивидуальные особенности, поэтому врачи не могут точно сказать, как долго будет происходить сокращение матки после родов.
На этот процесс влияют следующие факторы:
- активное грудное вскармливание (при лактации матка сокращается быстрее);
- возраст женщины;
- количество предыдущих родов (у первородящих процесс инволюции может затягиваться);
- общее состояние здоровья и наличие хронических заболеваний.
В среднем, процесс восстановления матки занимает от 1,5 до 2 месяцев. За этот период орган возвращается к своим прежним размерам, а внутренний слой, эндометрий, полностью обновляется. У некоторых женщин, особенно у тех, кто не кормит грудью, к этому времени могут восстанавливаться менструации.
| Признак | Норма | Патология |
|---|---|---|
| Размер сгустков | Мелкие, до 2-3 см | Крупные, более 5 см, или очень многочисленные |
| Цвет сгустков | Темно-красные, бордовые | Ярко-красные, алые (свежая кровь), серые, желтоватые (признак инфекции) |
| Консистенция сгустков | Мягкие, желеобразные | Плотные, твердые, волокнистые |
| Частота появления | Периодически, особенно при вставании или кормлении | Постоянно, обильно, не уменьшается со временем |
| Сопутствующие симптомы | Отсутствуют или легкие тянущие боли внизу живота | Сильные боли, лихорадка, озноб, неприятный запах выделений, слабость, головокружение |
| Объем кровопотери | Постепенно уменьшается, не превышает объем обычной менструации | Обильное кровотечение, пропитывание нескольких прокладок в час, не уменьшается |
| Сроки появления | В первые дни после родов, постепенно уменьшаются к 2-4 неделям | Появляются внезапно через несколько дней или недель после родов, усиливаются |
| Причина появления | Отхождение остатков плаценты, сгустков крови, слизи | Задержка частей плаценты, инфекция, атония матки, нарушение свертываемости крови |
| Действия | Наблюдение, соблюдение гигиены, прикладывание ребенка к груди | Немедленное обращение к врачу, УЗИ, возможно медикаментозное или хирургическое лечение |
Интересные факты
-
Физиологические сгустки: После родов в матке могут образовываться сгустки крови, которые являются нормальным явлением. Это связано с тем, что матка сокращается, чтобы избавиться от оставшейся плацентарной ткани и крови. Обычно такие сгустки небольшие и не превышают размером грецкий орех.
-
Признаки патологии: Если сгустки крови большие (более 5 см) или сопровождаются сильной болью, неприятным запахом или повышением температуры, это может указывать на патологии, такие как послеродовые осложнения или инфекции. В таких случаях важно обратиться к врачу для диагностики и лечения.
-
Роль гормонов: После родов уровень гормонов, таких как окситоцин, резко меняется, что влияет на сокращение матки и образование сгустков. Окситоцин помогает матке сокращаться и предотвращает чрезмерное кровотечение, но также может способствовать образованию сгустков, если сокращения недостаточны или нерегулярны.
https://youtube.com/watch?v=QcP0OoIBFgs
Норма выделений после родов
Выделения кровянистого характера, возникающие после родов, называют лохиями. В норме сгустки и частицы повреждённых тканей покидают матку в течение 6–8 недель. При этом наблюдается постепенное снижение объема и изменения в характере выделений.
В первые сутки они по своей консистенции и цвету напоминают менструацию, а к третьему дню становятся серозно-сукровичными. К концу третьей недели после рождения ребенка лохии становятся более светлыми и жидкими, иногда с легким розоватым оттенком. Постепенно их количество уменьшается, и вскоре женщина может заметить полное прекращение выделений.
Сколько длятся выделения после естественных родов?
В норме выделения после естественных родов прекращаются к концу шестой недели. За этот период матка полностью восстанавливается и очищается. Тем не менее, некоторые женщины могут наблюдать лохии в небольшом количестве до восьми недель после родов. Это чаще всего происходит в следующих ситуациях:
- если роды проходили с помощью кесарева сечения;
- при многоплодной беременности;
- при наличии нарушений, мешающих нормальному оттоку выделений (анатомические особенности строения матки и половых путей).
Сколько времени идут выделения после кесарева сечения?
После рождения малыша женщины, которые прошли через кесарево сечение, могут столкнуться с обильными кровянистыми выделениями. Этот метод родоразрешения предполагает вмешательство врачей, которые нарушают целостность матки, извлекая ребенка, плодный пузырь и пуповину. Затем матка зашивается, что приводит к снижению ее способности сокращаться из-за наличия швов на поверхности.
Такое вмешательство напрямую влияет на продолжительность послеродовых выделений, известных как лохии. По данным опытных гинекологов, у женщин, родивших путем кесарева, эти выделения могут продолжаться до двух месяцев после рождения ребенка. Если по истечении этого срока лохии не прекращаются, важно обратиться к врачу для консультации.
Почему остаются сгустки в матке после родов?
Сгустки в матке после родов возникают из-за снижения ее способности к сокращению. Гинекологи выделяют несколько факторов, которые могут влиять на этот процесс и приводить к уменьшению сократительной активности матки:
- особенности протекания беременности и родов;
- количество предыдущих родов у женщины;
- характер прикрепления и расположение плаценты;
- масса плода;
- общее состояние здоровья женщины.
Например, если женщина вынашивала двойню, страдала от гестоза на поздних сроках, а плацента располагалась близко к маточному зеву, сокращения матки могут происходить медленно. Кроме того, отсутствие сокращений, что приводит к образованию сгустков в матке после родов, может быть вызвано следующими факторами:
- многоводие;
- загиб матки;
- воспалительные процессы в области малого таза;
- фиброма матки;
- нарушения в системе свертывания крови.
Чем опасны сгустки в матке после родов?
Остатки крови в матке могут представлять серьезную угрозу не только для репродуктивной системы, но и для здоровья женщины в целом. Сгустки крови, оставшиеся после родов, быстро начинают разлагаться. Это может привести к воспалительным процессам, которые со временем способны затрагивать и другие области, выходя за пределы малого таза.
К числу возможных осложнений такого состояния относятся:
- эндометрит;
- сальпингит;
- оофорит;
- цервицит;
- цистит.
Сгустки в матке после родов – что делать?
Для своевременного обнаружения сгустков крови в матке после родов женщине важно внимательно следить за своим состоянием и самочувствием. Если лохии не прекращаются через два месяца, а, наоборот, становятся более обильными и сопровождаются болевыми ощущениями, следует обратиться к гинекологу.
Во время осмотра врач проведет проверку родовых путей и матки, а также назначит дополнительные исследования:
- общий анализ крови и анализ на гормоны;
- мазки из влагалища и уретры для исключения инфекций;
- ультразвуковое исследование матки и органов малого таза.
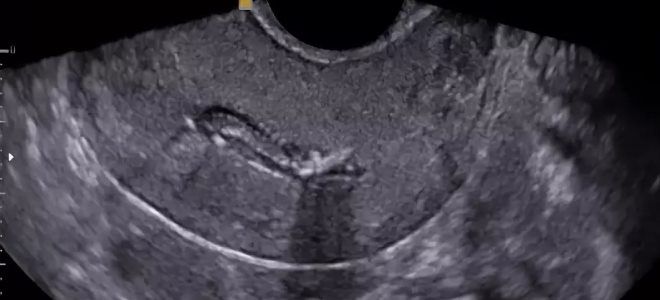
УЗИ матки после родов
Если врач подозревает, что в матке после родов остались кровяные сгустки, он назначает женщине ультразвуковое исследование. Во время этой процедуры специалисты тщательно исследуют полость матки, а также оценивают её размеры, что позволяет определить степень сокращения органа. Обычно для обследования используется трансабдоминальный метод, при котором датчик располагается на передней стенке живота.
Особое внимание уделяется состоянию полости матки. В норме на 2-3 сутки она должна иметь щелевидную форму или быть слегка расширенной из-за небольшого количества крови, скопившейся в её верхней части. На 5-7 сутки сгустки крови перемещаются в нижние отделы.
К числу возможных отклонений от нормы, свидетельствующих о наличии сгустков в матке после родов, относятся:
- значительное расширение полости;
- остатки плацентарной ткани;
- обильное скопление крови.
Что делать, чтобы вышли сгустки после родов?
При выявлении у женщины сгустков в матке после родов, методы их устранения и необходимые действия определяются врачами индивидуально. Это зависит от количества сгустков и общего состояния здоровья пациентки. В первую очередь специалисты могут попробовать удалить сгустки с помощью медикаментов. Для этого назначается окситоцин, который вводится внутривенно. Этот гормон усиливает сокращения матки, что способствует ее самоочищению: сгустки покидают орган.
Женщина также может способствовать очищению матки от сгустков. Для этого врачи рекомендуют придерживаться следующих рекомендаций:
- Соблюдение гигиены половых органов – регулярные подмывания и использование гигиенических прокладок помогают снизить риск инфицирования матки.
- Применение грелки с прохладной водой на область живота в первые сутки после родов способствует уменьшению кровопотери и улучшает сокращения матки.
- Лежание на животе несколько раз в день по полчаса – это помогает внутренним органам занять правильное положение.
- Не следует отказываться от грудного вскармливания, если нет медицинских противопоказаний.
Как чистят матку после родов от сгустков?
Когда гормональная терапия не дала результатов в борьбе с кровяными сгустками, может быть назначена процедура очистки матки после родов:
- Процедура выполняется с использованием хирургического выскабливания с помощью специального инструмента.
- Специалист очищает полость матки от эндометрия, одновременно удаляя и обнаруженные сгустки.
- Также возможно применение метода аспирации, при котором с помощью аппарата, работающего по принципу пылесоса, удаляются все сгустки и остатки плодных оболочек. Процедура проводится под анестезией.
https://youtube.com/watch?v=c5y3EwonCMo
Профилактика образования сгустков в матке после родов
Профилактика образования сгустков в матке после родов является важным аспектом послеродового восстановления. Сгустки, образующиеся в полости матки, могут быть следствием различных факторов, и их наличие может вызвать беспокойство у молодой матери. Однако, существуют меры, которые могут помочь снизить риск их образования и обеспечить нормальное восстановление организма.
Во-первых, важно следить за состоянием здоровья во время беременности и родов. Регулярные посещения врача, выполнение всех необходимых анализов и соблюдение рекомендаций специалиста помогут избежать осложнений, которые могут привести к образованию сгустков. Например, наличие анемии или инфекций может увеличить риск формирования тромбов и сгустков.
Во-вторых, после родов необходимо уделять внимание физической активности. Легкие физические упражнения, такие как прогулки на свежем воздухе, способствуют улучшению кровообращения и помогают предотвратить застой крови в матке. Однако важно не перегружать себя, особенно в первые недели после родов, когда организм восстанавливается.
Третьим важным аспектом является правильное кормление грудью. Кормление способствует сокращению матки и помогает ей вернуться к нормальным размерам. Это, в свою очередь, снижает вероятность образования сгустков. Кроме того, грудное вскармливание способствует выработке гормона окситоцина, который также помогает матке сокращаться.
Четвертым пунктом является соблюдение режима отдыха и сна. Усталость и стресс могут негативно сказаться на состоянии здоровья, в том числе на процессе восстановления после родов. Поэтому важно выделять время для отдыха и восстановления сил.
Наконец, следует обратить внимание на питание. Сбалансированное питание, богатое витаминами и минералами, способствует общему укреплению организма и улучшению обмена веществ. Это также может помочь предотвратить образование сгустков. Важно включать в рацион продукты, содержащие железо, витамины группы B, а также достаточное количество жидкости.
В случае появления каких-либо тревожных симптомов, таких как сильные боли внизу живота, обильные выделения с неприятным запахом или повышение температуры, необходимо незамедлительно обратиться к врачу. Ранняя диагностика и лечение помогут избежать серьезных осложнений и обеспечат безопасное восстановление после родов.
Вопрос-ответ
Что будет, если в матке остались сгустки крови?
Сгусток крови, находящийся внутри маточных органов, является благоприятным местом для распространения болезнетворных микроорганизмов. В отсутствие лечения это может привести к заражению маточных труб и яичников. В результате воспалительных процессов могут возникать спайки, хронические боли внизу живота и бесплодие.
Сколько в норме выходят сгустки после родов?
Сколько идут лохии после родов? Как правило, лохии длятся около 3 недель. Тем не менее, продолжительность в 4–6 недель также считается нормой. За это время из матки выходит в среднем 500–1500 мл послеродовых выделений с нейтральным или щелочным pH.
Сколько по времени могут выходить сгустки крови из матки?
Продолжительность 3–7 дней: в редких случаях продолжительность менструации больше 7 дней может считаться нормой. Интенсивность выделений: первые 2–3 дня выделения могут быть обильными и интенсивными, дальше месячные должны постепенно уменьшаться и дойти до мажущих выделений без кровопотери.
Советы
СОВЕТ №1
Обратите внимание на характер выделений. Сгустки в матке после родов могут быть нормой, если они небольшие и не сопровождаются сильной болью или неприятным запахом. Однако, если выделения становятся обильными или изменяют цвет, стоит обратиться к врачу.
СОВЕТ №2
Следите за своим самочувствием. Если вы чувствуете сильную боль внизу живота, лихорадку или общее недомогание, это может быть признаком патологии. Не откладывайте визит к врачу в таких случаях.
СОВЕТ №3
Регулярно посещайте врача после родов. Даже если вы не замечаете никаких проблем, важно проходить плановые осмотры, чтобы убедиться, что процесс восстановления проходит нормально и нет осложнений.
СОВЕТ №4
Обсуждайте свои переживания с медицинским специалистом. Не стесняйтесь задавать вопросы о том, что происходит с вашим телом после родов. Чем больше информации вы получите, тем спокойнее будете себя чувствовать.

