Особенности анатомии щитовидной железы
Щитовидная железа — часть эндокринной системы, вырабатывающая гормоны, влияющие на организм.
Она расположена спереди и по бокам от щитовидного хряща гортани. Несмотря на небольшие размеры, щитовидную железу можно прощупать, если пациент наклонит голову вперед.
Средний вес железы составляет около 50 граммов. Она имеет форму подковы и состоит из двух долей — правой и левой, соединенных перешейком.
Ткань щитовидной железы включает следующие клетки:
- A-клетки — основные клетки, вырабатывающие трийодтиронин и тироксин. Внутри железы находятся фолликулы, окруженные A-клетками, содержащие гелеобразное вещество, служащее резервуаром для гормонов.
- B-клетки — клетки Гюртле, функции которых недостаточно изучены, но предполагается, что они производят некоторые биологически активные вещества.
- C-клетки — отвечают за синтез гормона, регулирующего уровень кальция в крови.
Основные гормоны щитовидной железы — трийодтиронин и тироксин.
Воздействие гормонов щитовидной железы:
- Ускорение обменных процессов.
- Увеличение распада веществ и выработки энергии.
- Повышение уровня глюкозы в крови.
- Регулирование возбудимости нервной системы.
- Контроль ритма сердечных сокращений.
- Увеличение чувствительности клеток к гормонам стресса.
- Ускоренное образование и разрушение эритроцитов.
- Усиление сокращений стенок кишечника и учащение стула.
Функции щитовидной железы регулируются гипофизом — железой в головном мозге, которая выделяет гормоны для активации работы щитовидной железы. Эта система работает по принципу обратной связи: чем ниже уровень гормонов щитовидной железы в крови, тем активнее гипофиз вырабатывает регулирующие гормоны. Увеличение тироксина и трийодтиронина подавляет активность гипофиза.
Для синтеза гормонов щитовидной железы необходим йод, который организм должен получать в достаточном количестве.
Врачи отмечают, что аденома щитовидной железы – это доброкачественное новообразование, которое может проявляться различными симптомами. К основным причинам возникновения аденомы относятся генетическая предрасположенность, недостаток йода в рационе и аутоиммунные заболевания. Симптоматика может варьироваться от бессимптомного течения до появления узлов в области шеи, затрудненного дыхания и глотания, а также изменений в уровне гормонов.
Для диагностики аденомы врачи используют ультразвуковое исследование, анализы на гормоны и, при необходимости, биопсию. Лечение может включать наблюдение за состоянием, медикаментозную терапию или хирургическое вмешательство, если аденома вызывает значительные симптомы или подозрение на злокачественность. Важно, чтобы пациенты обращались к специалистам при первых признаках заболевания для своевременной диагностики и лечения.

Классификация аденомы щитовидной железы
Аденома щитовидной железы — доброкачественное узловое образование, возникающее из железистой ткани. Она может быть:
- Фолликулярная аденома — узел округлой формы, окруженный капсулой.
- Папиллярная аденома — кистозное образование.
- Аденома из клеток Гюртле — состоит из B-клеток щитовидной железы.
- Токсическая аденома (или болезнь Пламмера) — выделяет избыточное количество гормонов и проявляется яркими симптомами.
- Другие формы.
Тип аденомы определяется микроскопическим исследованием образца. Токсическая аденома выделяется своими симптомами.
Чаще всего обнаруживается один узел, реже — несколько.
Причины аденомы недостаточно изучены. Факторы, способствующие развитию:
- Повышенная активность гипофиза — избыточное влияние гормонов гипофиза на ткань железы.
- Нарушение работы вегетативной нервной системы.
- Негативная экология.
- Наследственность — риск увеличивается при наличии аденомы у близких.
- Воздействие токсических веществ.
- Профессиональные вредности.
- Общий гормональный дисбаланс.
- Токсическая аденома может развиваться из нетоксического узла или на фоне узлового зоба.
Если аденома не вызывает повышенной выработки гормонов, симптомы могут отсутствовать. Чаще всего новообразование выявляется случайно во время осмотров у эндокринолога.
Симптомы на ранних стадиях аденомы щитовидной железы:
- потеря веса;
- плохая переносимость жары;
- повышенная тревожность и раздражительность;
- избыточная потливость;
- быстрая утомляемость;
- учащенное сердцебиение.
При более выраженной аденоме могут наблюдаться:
- заметное новообразование, деформация шеи;
- болевые ощущения;
- затруднения при глотании;
- дискомфорт в горле;
- кашель;
- проблемы с дыханием;
- изменения голоса.
При токсической аденоме проявляются признаки гипертиреоза — состояния с избыточной выработкой гормонов.
Что происходит с щитовидной железой и гипофизом при токсической аденоме?
В щитовидной железе формируется узел, который вырабатывает много трийодтиронина и тироксина. Эти гормоны попадают в кровь и оказывают свои эффекты.
При повышенном уровне гормонов активируется механизм обратной связи: гипофиз снижает свою активность и перестает стимулировать щитовидную железу. В результате активность ткани железы уменьшается, но узел продолжает выделять гормоны.
Симптомы:
| Нервная система: * повышенная возбудимость; * тревога и беспокойство; * необоснованные страхи; * дрожание рук; * нарушения сна; * быстрая речь. | Эти симптомы связаны с воздействием гормонов щитовидной железы на нервную систему. |
| Сердечно-сосудистая система: * учащение сердечных сокращений; * мерцательная аритмия; * сердечная недостаточность; * повышение артериального давления. | Гормоны щитовидной железы активируют работу сердечно-сосудистой системы. |
| Глаза: * выпячивание глаз; * двоение в глазах; * редкое моргание; * сухость глаз; * слезотечение. | Избыточная функция гормонов приводит к отеку и разрастанию жировой клетчатки в глазницах. |
| Пищеварительная система: * резкие изменения аппетита; * боли в животе; * частый жидкий стул. | Гормоны щитовидной железы усиливают перистальтику кишечника. |
| Мышцы и кости: * уменьшение мышечной массы; * мышечная слабость; * затруднения при физической активности. | Гормоны щитовидной железы активируют процессы распада веществ. |
| Дыхательная система: * одышка; * ощущение нехватки воздуха. | Избыточная функция щитовидной железы может вызывать отеки легких. |
| Репродуктивная система: У мужчин: * бесплодие; * увеличение грудных желез. У женщин: * бесплодие; * нарушения менструального цикла. | Эти симптомы связаны со снижением выработки половых гормонов. |
| Общие симптомы: * повышенная температура; * увеличение объема мочи; * истончение кожи, волос и ногтей. | Эти симптомы обусловлены воздействием гормонов щитовидной железы. |
Набор и выраженность симптомов зависят от размеров и активности узла.
При подозрении на узел в щитовидной железе необходимо обратиться к эндокринологу. Рекомендуется проходить профилактические осмотры раз в год.
Как проходит осмотр у врача:
- Расспрос — выяснение деталей, указывающих на причины заболевания.
- Осмотр шеи — при больших размерах узла может наблюдаться деформация.
- Ощупывание шеи — врач нащупывает железу и узлы, прося пациента проглотить слюну.
На этом этапе можно подтвердить наличие узлового образования, но не определить, является ли узел аденомой.
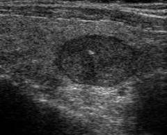
| Ультразвуковое исследование | Визуализирует узел на экране. Оцениваются форма, размеры и консистенция. | Исследование проводится в положении сидя или лежа. Процедура занимает 15-20 минут. |
| Радиоизотопное сканирование | Исследование основано на способности щитовидной железы поглощать йод. | Пациенту вводят радиоактивный йод. Через 24 часа делают снимки, отображающие содержание йода. |
| Пункционная биопсия | Позволяет определить состав узла и выявить злокачественные опухоли. | Врач вводит иглу в узел для получения фрагмента ткани. |
| Компьютерная томография (КТ) | Применяется редко из-за лучевой нагрузки. | Пациента укладывают на стол томографа для получения послойных срезов. |
| Магнитно-резонансная томография (МРТ) | Более безопасное исследование без лучевой нагрузки. | Пациент лежит неподвижно внутри аппарата. |
| Исследование уровня тиреоидных гормонов | Уровень гормонов отражает активность железы. | Для анализа берут кровь из вены. |
| Исследование уровня тиреотропного гормона | Уровень тиреотропного гормона в крови снижается при тиреотоксическом узле. | Исследование проводят утром натощак. |
| Биохимический анализ крови | Отражает обменные нарушения при повышенной функции щитовидной железы. | Забор крови осуществляется утром натощак. |
Дополнительные обследования назначаются при нарушении функций органов. План обследования разрабатывается индивидуально.
Показания к медикаментозному лечению аденомы:
- Коллоидная аденома, особенно во время беременности.
- Подготовка к операции при тиреотоксической аденоме.
Хирургическое вмешательство при тиреотоксической аденоме проводится на фоне эутиреоза. Перед операцией пациент проходит курс лечения для снижения выработки гормонов.
| Карбимазол | Блокирует встраивание йода в гормоны щитовидной железы. | Назначается после подтверждения повышения уровня гормонов. |
| Тиамазол | Блокирует присоединение йода к гормонам и угнетает их синтез. | Назначается только по указанию врача. |
| Пропицил | Нарушает образование гормонов в щитовидной железе. | Назначается при подтвержденном повышении гормонов. |
| *Информация о лекарственных препаратах представлена для ознакомления. Их прием должен осуществляться только по назначению врача. |
Хирургическое вмешательство — основной метод лечения аденомы щитовидной железы.
Виды операций:
| Энуклеация узла | Удаление образования с капсулой, окружающая ткань остается нетронутой. |
| Гемитиреоидэктомия | Удаление половины щитовидной железы. |
| Субтотальная резекция | Удаляется большая часть щитовидной железы, оставляя небольшие участки. |
| Тиреоидэктомия | Полное удаление всей щитовидной железы, проводится редко. |
Для пожилых людей с противопоказаниями к операции применяются:
- Препараты радиоактивного йода — подавляют функции и уничтожают клетки аденомы.
- Введение этилового спирта через иглу — прижигает опухолевые клетки.
Рекомендации перед хирургическим лечением:
- Избегать стрессов.
- Соблюдать полноценное питание.
- Обеспечить полноценный сон.
- Принимать фитопрепараты.
- Избегать длительного пребывания на солнце.
Фитотерапия может включать прием растений, подавляющих функцию щитовидной железы, только по назначению врача.
Народные методы не могут обеспечить выздоровление при аденоме щитовидной железы самостоятельно. Они могут использоваться только как дополнение к основному лечению.
Прогноз при аденоме щитовидной железы благоприятен при правильном и своевременном лечении. Большинство пациентов достигают выздоровления. При удалении всей железы или ее большей части потребуется пожизненный прием гормональных препаратов.
Рекомендации после лечения:
- ежегодные визиты к эндокринологу;
- контроль уровня гормонов щитовидной железы;
- полноценное питание;
- отказ от курения и алкоголя;
- избегание длительного пребывания на солнце.
Людям старше 40 лет, особенно женщинам, рекомендуется ежегодно проходить профилактические осмотры у эндокринолога и сдавать кровь на уровень гормонов щитовидной железы. Важно следить за состоянием здоровья и раз в год сдавать кровь на биохимический анализ.
| Причина | Симптом | Диагностический метод | Лечение |
|---|---|---|---|
| Наследственная предрасположенность | Увеличение щитовидной железы (зоб) | УЗИ щитовидной железы | Наблюдение (при небольших размерах и отсутствии симптомов) |
| Дефицит йода | Легкая боль в горле | Тонкоигольная аспирационная биопсия (ТАБ) | Йодсодержащая терапия (при дефиците йода) |
| Возрастные изменения | Ощущение давления в горле | Сцинтиграфия щитовидной железы | Хирургическое удаление (при больших размерах, сдавлении окружающих органов, подозрении на злокачественность) |
| Аутоиммунные заболевания (например, тиреоидит Хашимото) | Затрудненное глотание | Анализ крови на гормоны щитовидной железы (ТТГ, Т3, Т4) | Радиойодтерапия (в некоторых случаях) |
| Воздействие радиации | Изменение голоса | КТ или МРТ (для оценки размера и расположения аденомы) | Гормональная терапия (при необходимости) |
| Генетические мутации | Кашель | Биопсия (для исключения злокачественности) | Супрессивная терапия тиреостатиками (в некоторых случаях) |
Аденома щитовидной железы — это доброкачественное образование, которое может вызывать беспокойство у пациентов. Люди часто отмечают, что основными симптомами являются увеличение щитовидной железы, дискомфорт в области шеи и изменения в уровне гормонов, что может привести к гипертиреозу или гипотиреозу. Причины возникновения аденомы не всегда ясны, но генетическая предрасположенность и воздействие радиации считаются важными факторами. Диагностика включает ультразвуковое исследование и анализы на гормоны, что позволяет врачам оценить состояние щитовидной железы. Лечение может варьироваться от наблюдения до хирургического вмешательства, в зависимости от размера аденомы и наличия симптомов. Многие пациенты отмечают, что своевременное обращение к врачу и регулярные обследования помогают избежать осложнений и поддерживать здоровье.

Причины аденомы щитовидной железы
Причины заболевания недостаточно изучены.
Факторы, способствующие аденоме щитовидной железы:
- Увеличенная активность гипофиза. Аденомы развиваются при избыточном воздействии гипофизарных гормонов на ткань железы.
- Нарушения вегетативной нервной системы, регулирующей работу внутренних органов.
- Негативная экологическая обстановка.
- Наследственная предрасположенность. Риск увеличивается при наличии случаев аденомы у близких родственников.
- Воздействие токсичных веществ на организм.
- Профессиональные риски.
- Общий гормональный дисбаланс.
- Токсическая аденома может возникнуть из нетоксического узла или на фоне узлового зоба.
Симптомы аденомы щитовидной железы
Если аденома не увеличивает выработку гормонов щитовидной железы, симптомы могут отсутствовать длительное время. Обычно новообразование выявляется случайно при профилактических осмотрах у эндокринолога.
Признаки, которые могут проявляться на ранних стадиях аденомы щитовидной железы:
- снижение веса;
- плохая переносимость жары;
- повышенная тревожность и раздражительность;
- избыточная потливость;
- быстрая утомляемость и низкая переносимость физических нагрузок;
- учащенное сердцебиение.

Симптомы аденомы щитовидной железы больших размеров:
- образование на коже и изменение формы шеи;
- болевые ощущения;
- затруднения при глотании;
- дискомфорт в горле;
- кашель;
- проблемы с дыханием;
- изменения голоса.
Симптомы токсической аденомы щитовидной железы
При токсической аденоме щитовидной железы наблюдаются признаки гипертиреоза, связанного с избыточной продукцией гормонов.
Как функционируют щитовидная железа и гипофиз при токсической аденоме?
В щитовидной железе формируется узел (чаще одиночный), который вырабатывает много трийодтиронина и тироксина. Эти гормоны попадают в кровь и начинают действовать.
При повышении уровня гормонов активируется механизм обратной связи: активность гипофиза снижается, и он прекращает стимулировать щитовидную железу.
В результате активность самой железы уменьшается, но узел продолжает производить гормоны.
Симптомы:
| Описание симптома | Причина возникновения |
| Неврологические симптомы: * повышенная возбудимость, раздражительность, эмоциональная нестабильность; * тревога и беспокойство; * необоснованные страхи; * дрожание рук (иногда всего тела); * проблемы со сном; * быстрая речь. | Эти симптомы вызваны воздействием гормонов щитовидной железы на нервную систему. Трийодтиронин и тироксин действуют подобно адреналину, активируя организм. |
| Сердечно-сосудистые симптомы: * учащение сердечных сокращений в покое; * мерцательная аритмия; * сердечная недостаточность; * повышение артериального давления; * учащение пульса. | Гормоны щитовидной железы стимулируют сердечно-сосудистую систему, увеличивая частоту и силу сердечных сокращений. |
| Офтальмологические симптомы: * выпячивание глазного яблока («пучеглазие»), ограничение движений; * двоение в глазах; * редкое моргание; * сухость глаз; * повышенная чувствительность к свету; * слезотечение; * ухудшение зрения. | Избыточная функция гормонов вызывает отек и разрастание жировой клетчатки в глазнице, смещая глазное яблоко и сжимая зрительный нерв. |
| Проблемы с пищеварением: * резкие изменения аппетита, вплоть до его утраты; * приступообразные боли в животе; * частый жидкий стул. | Гормоны щитовидной железы усиливают сокращения кишечника, ускоряя прохождение пищи. |
| Симптомы со стороны мышц и костей: * уменьшение мышечной массы; * мышечная слабость, повышенная утомляемость; * постоянная усталость мышц; * затруднения в движении; * сложности при длительной ходьбе, особенно по лестнице или при подъеме тяжестей; * в тяжелых случаях могут развиваться параличи. | Гормоны щитовидной железы активируют процессы распада веществ, что приводит к разрушению мышечной ткани. |
| Дыхательные симптомы: * одышка, сохраняющаяся в покое; * ощущение нехватки воздуха. | Избыточная функция щитовидной железы может вызывать отеки легких. |
| Репродуктивные симптомы: У мужчин: * бесплодие; * увеличение грудных желез; * снижение потенции. У женщин: * бесплодие; * нарушения менструального цикла; * болезненные менструации; * скудные выделения; * ухудшение состояния во время менструаций: головные боли, обмороки. | Эти симптомы связаны со снижением выработки половых гормонов. |
| Общие симптомы: * повышенная температура тела и потливость; * увеличение уровня глюкозы в крови, возможный сахарный диабет; * учащенное мочеиспускание; * сильная жажда; * истончение кожи, волос и ногтей; * раннее появление седины; * отеки в различных частях тела. | Эти симптомы обусловлены воздействием гормонов щитовидной железы. |
Набор и выраженность симптомов при токсической аденоме зависят от размеров, активности и продолжительности существования узла.
Диагностика аденомы щитовидной железы
Осмотр эндокринолога
Если у вас есть подозрения на узел в щитовидной железе, обратитесь к эндокринологу. Даже здоровым людям, особенно женщинам, рекомендуется ежегодный профилактический осмотр для раннего выявления заболеваний.
Как проходит осмотр у врача:
- Беседа с пациентом. Врач собирает информацию для определения причин заболевания, факторов риска и особенностей течения.
- Осмотр шейной области. Значительные размеры узла могут вызвать деформацию.
- Пальпация шеи. Доктор становится позади пациента, который наклоняет голову вперед. Врач нащупывает щитовидную железу и узлы, если они есть. Эндокринолог может попросить пациента проглотить слюну.
По результатам осмотра врач может подтвердить наличие узлового образования в щитовидной железе. На основе внешних признаков и информации из беседы можно предположить гиперфункцию железы, но нельзя с уверенностью утверждать, что узел является аденомой.
Инструментальная диагностика
| Название исследования | Описание | Как проводится? |
| Ультразвуковое исследование | Ультразвуковое исследование визуализирует узел в щитовидной железе, позволяя врачу оценить его форму, размеры, консистенцию и расположение. Допплерография и дуплексное сканирование анализируют кровоток в железе и узле. | Исследование проводится сидя или лежа. Пациент откидывает голову назад, врач прикладывает датчик к шее. Процедура занимает 15-20 минут. После исследования пациент получает заключение о состоянии ткани железы и обнаруженных образованиях. |
| Радиоизотопное сканирование щитовидной железы | Исследование основано на способности щитовидной железы поглощать йод. Вводится радиоактивный йод (123I или 131I) в безопасной дозе. Часть йода усваивается железой для синтеза гормонов; избыточное поглощение указывает на повышенную активность. | * Последний прием пищи до полуночи перед исследованием. * Пациент принимает капсулу или раствор с йодом, доза соответствует обычному количеству из пищи. Раствор может вводиться внутривенно. * Через 2 часа разрешается легкая пища. * Через 24 часа делают снимки, где содержание йода отображается цветами. Активный узел накапливает больше йода и отличается по цвету от окружающих тканей. |
| Пункционная биопсия | Биопсия позволяет точно определить клетки узла, устанавливая диагноз и выявляя злокачественные опухоли на ранней стадии с точностью до 80%. Врач вводит иглу в узел и извлекает фрагмент ткани для анализа. | Техника выполнения: * Пациента укладывают на спину. * Врач вводит анестетик в область исследования. * На щитовидную железу помещается датчик УЗИ, изображение выводится на монитор. * Под контролем УЗИ игла вводится в щитовидную железу для получения фрагмента узла. * Игла может вводиться несколько раз для повышения точности. Ощущения схожи с внутривенным уколом. |
| Компьютерная томография щитовидной железы (КТ) | КТ применяется редко из-за чувствительности щитовидной железы к лучевому воздействию. Показания: * Неинформативность УЗИ: если УЗИ не позволяет оценить состояние железы и узлов. * Аномальное расположение: ниже привычного места, за грудиной. | Пациента укладывают на стол КТ, проводятся снимки. Исследование дает послойные изображения железы и создает трехмерную модель. |
| Магнитно-резонансная томография (МРТ) щитовидной железы | МРТ более информативен и безопасен по сравнению с КТ, так как не использует лучевую нагрузку. Показания совпадают с КТ. | Исследование проводится на специализированном оборудовании. Пациент должен оставаться неподвижным внутри аппарата. Перед процедурой снимаются все металлические предметы. |
| Исследование уровня тиреоидных гормонов в крови | Уровень гормонов щитовидной железы (трийодтиронин, тироксин) отражает ее функциональную активность и помогает выявить тиреотоксическую аденому. | Для анализа берется кровь из вены. За 1-3 недели до исследования следует прекратить прием препаратов с гормонами щитовидной железы и витаминно-минеральных комплексов с йодом. |
| Исследование уровня тиреотропного гормона гипофиза | Тиреотропный гормон активирует функцию щитовидной железы. При тиреотоксическом узле избыток щитовидных гормонов подавляет гипофиз, снижая уровень тиреотропного гормона. При других аденомах изменений не наблюдается. | Исследование проводится утром натощак. У пациента берется кровь из вены. За 2-4 недели до анализа следует прекратить прием гормональных препаратов после консультации с врачом. |
| Биохимический анализ крови | Биохимические показатели отражают обменные нарушения при повышенной функции щитовидной железы. Это исследование подтверждает тиреотоксическую аденому и оценивает степень нарушений. | Кровь берется утром натощак. Отклонения при тиреотоксической аденоме: * Снижение уровня липидов. * Склонность к повышению уровня сахара. |
Дополнительные обследования назначаются при нарушениях функций органов при тиреотоксической аденоме. План обследования разрабатывается индивидуально.
Лечение
Медикаментозная терапия
Показания для медикаментозного лечения аденомы щитовидной железы:
- Коллоидная аденома, особенно во время беременности.
- Подготовка к операции при тиреотоксической аденоме.
Подготовка к операции при тиреотоксической аденоме
Хирургическое вмешательство при тиреотоксической аденоме проводится только в состоянии эутиреоза, то есть при нормальном уровне гормонов. Перед операцией пациент должен пройти курс терапии для снижения выработки гормонов щитовидной железы.
| Название препарата | Описание | Способ применения* |
| Карбимазол | Препарат предотвращает включение йода в гормоны щитовидной железы, что снижает их избыточное производство. Эффективен при гипертиреозе независимо от причины. | Назначается после обследования и подтверждения повышенного уровня гормонов. Используется по указанию врача. Противопоказания: * аллергия на препарат; * серьезные заболевания печени. Дозировки: * Начальная доза для взрослых – 20–60 мг в сутки. * Корректируется в зависимости от уровня гормонов. * Обычно поддерживающая доза – 5–15 мг в сутки. |
| Тиамазол | Блокирует присоединение йода к гормонам щитовидной железы и подавляет их синтез. Ускоряет выведение йода из железы. | Принимается по назначению врача. Лечение начинается после лабораторных исследований, подтверждающих повышенный уровень гормонов. Дозировки: * Начальная доза для взрослых – 20–40 мг в сутки, можно принимать один раз или разделить на 2–3 приема. * Дозы корректируются в зависимости от уровня гормонов. * После нормализации уровня переходят на суточную дозу 5–20 мг. Противопоказания: * аллергия на компоненты; * снижение количества лейкоцитов; * застой желчи. |
| Пропицил | Нарушает синтез гормонов в щитовидной железе, блокируя присоединение йода и снижая его содержание. | Назначается при подтвержденном повышенном уровне гормонов. Принимать только по указанию врача. Дозировка: * Начальная доза для взрослых и детей старше 10 лет – 75–100 мг в сутки. В тяжелых случаях – 300–600 мг в сутки. * Дозировка корректируется в зависимости от индивидуальных потребностей. * При нормализации уровня гормонов продолжается поддерживающая терапия дозами 25–150 мг в сутки. Противопоказания: * повышенная чувствительность; * заболевания печени: цирроз, гепатит; * снижение уровня лейкоцитов. |
| *Информация о препаратах представлена для ознакомления. Прием должен осуществляться только по назначению врача-эндокринолога. Самолечение может привести к негативным последствиям. |
Хирургическое лечение аденомы щитовидной железы
Хирургическое вмешательство — основной метод лечения аденомы щитовидной железы.
Типы операций:
| Тип операции | Описание |
| Энуклеация узла | Наиболее распространенный вид операции. Удаляется образование с капсулой, окружающие ткани остаются нетронутыми. Условия: * Узел без признаков злокачественности. * Остальная часть щитовидной железы функционирует нормально. Процесс: * Хирург делает разрез, получает доступ к кисте и удаляет ее с капсулой. Окружающие ткани не повреждаются. * Удаленный узел отправляется на биопсию. |
| Операции при значительном поражении щитовидной железы или признаках злокачественности | |
| Гемитиреоидэктомия | Удаление одной половины щитовидной железы. Процесс: * Хирург делает разрез для доступа к железе. * Перевязываются сосуды, питающие половину железы, отделяется от гортанных нервов и паращитовидных желез. * Удаляется половина железы и перешеек. Разрез зашивается. Осложнения: * Кровотечение; * Повреждение нервов, что может нарушить функцию гортани; * Недостаточная функция щитовидной железы. |
| Субтотальная резекция щитовидной железы | Удаляется большая часть щитовидной железы, оставляя небольшие фрагменты правой и левой долей (4–6 граммов). Функция щитовидной железы значительно снижается, поэтому назначаются гормональные препараты. |
| Тиреоидэктомия | Полное удаление щитовидной железы, применяется редко, в основном при злокачественной аденоме. После операции прекращается выработка собственных гормонов, требуется постоянный прием гормональных препаратов. Риски: * Повреждение околощитовидных желез и нарушение кальциевого обмена; * Повреждение гортанных нервов, что может повлиять на функции гортани и голос. |
Другие методы при невозможности хирургического лечения
Методы лечения аденомы щитовидной железы чаще всего применяются у пожилых пациентов с противопоказаниями к хирургии:
- Препараты на основе радиоактивного йода накапливаются в щитовидной железе, облучая ее и подавляя функции, что приводит к уничтожению клеток аденомы.
- В некоторых случаях узел разрушается инъекцией этилового спирта. Этанол прижигает опухолевые клетки, вызывая их гибель.
Рекомендации по образу жизни для пациентов с аденомой щитовидной железы
Врачи рекомендуют следующие советы перед хирургическим вмешательством:
- Избегайте стрессов.
- Соблюдайте сбалансированное питание с достаточным количеством белков и витаминов.
- Следите за качеством сна.
- Рассмотрите фитопрепараты.
- Ограничьте время на солнце и не посещайте солярии.
Лечение народными средствами
В процессе подготовки к хирургическому вмешательству врач может рекомендовать фитотерапию с использованием растений, снижающих активность щитовидной железы:
| Лекарственные растения | Механизм действия |
| * цетрария исландская; * жеруха лекарственная; * дрок красильный. | Эти растения содержат вещества, схожие с гормонами щитовидной железы. Они угнетают гипофиз, что снижает выработку гормонов в щитовидной железе. |
| * воловик обыкновенный; * воробейник краснокорневый; * синяк обыкновенный; * чернокорень обыкновенный; * окопник лекарственный. | Эти растения содержат компоненты, уменьшающие выработку гормонов гипофиза, активирующих щитовидную железу. |
Фитопрепараты следует использовать только по рекомендации врача.
Народные средства не могут обеспечить выздоровление при аденоме щитовидной железы и могут применяться лишь как дополнение к основному лечению. Перед использованием любых методов важно проконсультироваться с эндокринологом, так как неправильное самолечение может быть опасным.
Каковы прогнозы?
Прогноз при аденоме щитовидной железы положительный при правильном и своевременном лечении. Большинство пациентов полностью выздоравливают. Если удалена вся железа или значительная ее часть, необходим пожизненный прием гормональных препаратов.
Рекомендации после лечения:
- ежегодные визиты к эндокринологу;
- регулярный мониторинг уровня гормонов щитовидной железы в крови;
- сбалансированное питание;
- отказ от курения и алкоголя;
- минимизация времени на солнце.
Профилактика
Людям старше 40 лет, особенно женщинам, рекомендуется ежегодно проходить профилактические осмотры у эндокринолога и сдавать анализы на уровень гормонов щитовидной железы. Важно следить за состоянием здоровья, особенно за работой эндокринной системы, и раз в год проводить биохимический анализ крови.
Вопрос-ответ
Какие симптомы при аденоме щитовидной железы?
Симптомы аденомы щитовидной железы могут включать увеличение щитовидной железы (зоб), ощущение давления или дискомфорта в области шеи, изменения в уровне гормонов, что может привести к гипертиреозу (повышенная активность) или гипотиреозу (пониженная активность). Также могут наблюдаться изменения в весе, уровне энергии, сердечном ритме и настроении. В некоторых случаях аденома может быть бессимптомной и обнаруживаться случайно при обследовании.
Что является причиной аденомы щитовидной железы?
Дефицит йода — известный фактор экологического риска, который считается причиной развития аденомы щитовидной железы. Йод является наиболее распространенной причиной развития узлов щитовидной железы во всем мире, особенно в слаборазвитых странах.
Каковы причины появления аденомы щитовидной железы?
Причины появления аденомы щитовидной железы. Спровоцировать заболевание могут травмы шеи, стрессы и перенапряжение, неблагоприятные экологические факторы, отягощенная наследственность. Важным причинным фактором аденомы признан дефицит йода в пище.
Как вылечить аденому щитовидной железы?
Лечение аденомы щитовидной железы проводится только хирургическим путем. Своевременно проведенная операция позволяет избежать злокачественного перерождения опухоли. В ходе вмешательства удаляется либо вся железа (тиреоидэктомия), либо пораженная доля (гемитиреоидэктомия).
Советы
СОВЕТ №1
Регулярно проходите медицинские осмотры и обследования щитовидной железы, особенно если у вас есть предрасположенность к заболеваниям этой области. Это поможет выявить аденому на ранних стадиях и начать лечение вовремя.
СОВЕТ №2
Обратите внимание на свое питание и образ жизни. Употребление достаточного количества йода, витаминов и минералов, а также регулярные физические нагрузки могут способствовать поддержанию здоровья щитовидной железы.
СОВЕТ №3
Если вы заметили изменения в состоянии здоровья, такие как увеличение щитовидной железы, изменения в весе, уровне энергии или настроении, не откладывайте визит к врачу. Раннее обращение за медицинской помощью может предотвратить осложнения.
СОВЕТ №4
Изучите информацию о методах лечения аденомы щитовидной железы, включая медикаментозное лечение и хирургические вмешательства. Обсудите с врачом все возможные варианты, чтобы выбрать наиболее подходящий для вас.







