Анатомия и физиология центральных эндокринных органов
Чтобы разобраться в заболевании и его причинах, необходимо изучить анатомию и физиологические особенности эндокринной системы, отвечающей за рост организма и регуляцию жизненно важных органов.
Эндокринная система включает центральные органы, контролирующие функционирование периферических эндокринных органов. Центральная нервная система играет ключевую роль в этом процессе, обеспечивая взаимодействие органов и систем. Эндокринная система названа так, потому что гормоны вырабатываются и попадают непосредственно в кровь.
Гормоны — это биologically активные вещества, влияющие на обмен веществ, артериальное давление, минерализацию костей, половое развитие и другие процессы. Основные органы эндокринной системы — гипоталамус и гипофиз, расположенные в головном мозге. Гипофиз находится в костной выемке черепа, известной как турецкое седло, а гипоталамус — выше него. Между гипоталамусом и гипофизом существует тесная взаимосвязь. В гипоталамусе вырабатываются рилизинг-факторы — вещества, которые либо стимулируют (либерины), либо угнетают (статины) деятельность гипофиза. Гипофиз, в свою очередь, производит гормоны, влияющие на периферические органы и системы.
Врачи отмечают, что акромегалия и гигантизм являются результатом избыточной продукции гормона роста, чаще всего вызванной аденомой гипофиза. Симптомы этих заболеваний включают увеличение конечностей, лица и внутренних органов, что может приводить к серьезным осложнениям, таким как диабет и сердечно-сосудистые заболевания. Диагностика основывается на клиническом обследовании, анализах крови на уровень гормонов и визуализации опухолей с помощью МРТ. Лечение, как правило, включает хирургическое удаление опухоли, медикаментозную терапию и радиотерапию. Врачи подчеркивают важность раннего выявления и комплексного подхода к лечению для улучшения качества жизни пациентов и снижения риска осложнений.

Причины гигантизма и акромегалии
Главной причиной акромегалии является избыток гормона роста, вырабатываемого гипофизом. Соматотропин отвечает за рост костей и тканей, увеличивая внутренние органы и ускоряя обмен веществ.
Причины гигантизма делятся на две группы:
- Патология гипофиза, вызывающая избыток соматотропина, например, опухоль или увеличение под воздействием гипоталамуса.
- Заболевания, не связанные с гипофизом, но сдавливающие его, как опухоли головного мозга или метастазы.
Факторы, способствующие болезни, включают частые инфекции, травмы головы и нарушения выработки других гормонов, что может усугубить симптомы акромегалии.
Симптомы акромегалии
Симптомы можно классифицировать по выраженности проявлений:
- Преобладание нарушений функций внутренних органов и чрезмерное развитие костной и хрящевой ткани.
- Компрессивный синдром, когда опухоль гипофиза сдавливает мозг, вызывая головные боли и неврологические расстройства.
Общие симптомы включают увеличение роста и деформацию костной системы.
Нарушения развития внутренних органов проявляются в их увеличении:
- Кардиомегалия (увеличение сердца) с повышенным давлением и головными болями.
- Увеличение органов брюшной полости, что вызывает боли, запоры и вздутие.
- Утолщение кожи и появление складок на лице, частые высыпания угрей.
- Увеличение языка, затрудняющее жевание и речь.
- Изменение голоса из-за роста голосовых связок.
Увеличение и деформации костной системы:
- Удлинение конечностей, искривление коленных суставов.
- Изменения в строении лицевых костей и черепа.
- Увеличение нижней челюсти, надбровных дуг и носа.
- Образование промежутков между зубами.
Компрессивный синдром:
- Постоянная боль в области глаз.
- Нарушения зрения, чаще всего сужение полей.
- Слабость и утомляемость.
- Симптомы повышения внутричерепного давления.
Разрастание опухоли гипофиза нарушает выделение других гормонов, таких как гормоны щитовидной железы и половые гормоны, что приводит к:
- Повышенному потоотделению.
- Увеличению сердечных сокращений.
- Нервозности и раздражительности.
Гормональные нарушения половых органов:
- У женщин – нарушения менструального цикла и выделения из грудных желез.
- У мужчин – снижение потенции и полового влечения.
Диагностика акромегалии и гигантизма
Диагностика несложна, так как внешний вид пациента указывает на заболевание. История болезни помогает определить возраст появления первых признаков. Если это произошло в период полового созревания, вероятнее всего, это гигантизм.
При более позднем начале наблюдаются частичные изменения скелета, что указывает на акромегалию. Для уточнения диагноза определяют уровень гормона роста в крови.
Биохимические анализы показывают увеличение общего белка и уровень глюкозы, что может быть неспецифичным.
Диагностические пробы:
- Тест с глюкозой показывает, есть ли нарушения со стороны гипофиза. Уровень соматотропного гормона должен снижаться после приема глюкозы. При гигантизме уровень остается высоким.
- Определение уровня соматомединов отражает активность соматотропного гормона.
Лабораторные анализы для проверки концентрации гормонов проводятся с использованием радиоиммунологических или иммуноферментных методов.
- При нарушении функций щитовидной железы измеряют уровень тироксина, трийодтиронина и тиротропного гормона.
- При нарушениях полового развития исследуются половые гормоны.
Инструментальные методы диагностики
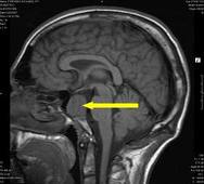
Рентгенография и компьютерная томография черепа помогают в постановке диагноза.
На рентгене видно расширение турецкого седла, где расположен гипофиз.
На компьютерных томограммах визуализируется опухоль.
В сомнительных случаях проводят исследования с помощью ядерно-магнитного резонанса (ЯМР).
Офтальмологическое исследование
При нарушениях зрения и болях в области глаз необходимо обратиться к офтальмологу для оценки состояния глазного дна и измерения полей зрения.
Лечение гигантизма и акромегалии
Лечение направлено на устранение причины и снижение уровня соматотропного гормона. При осложнениях применяются симптоматические средства. Лечение может быть медикаментозным или лучевой терапией.
Медикаментозное лечение подавляет выработку соматотропного гормона. Основные препараты:
- Соматостатин (октреотид) – синтетический аналог, угнетающий рост и обладающий кровоостанавливающим эффектом. Дозы назначает врач.
- Бромокриптин (парлодел) – активирует рецепторы, угнетающие синтез соматотропного гормона. Принимается под контролем уровня гормонов.
Рентгенотерапия подавляет рост опухоли и уменьшает выработку гормона роста.
Хирургическое лечение применяется при больших опухолях, сдавливающих ткани мозга и вызывающих симптомы повышенного внутричерепного давления.
Профилактика акромегалии
- Своевременное выявление симптомов.
- Обращение к эндокринологу при первых признаках.
- Полноценное питание.
- Лечение инфекционно-воспалительных заболеваний.
- Предотвращение травм головы.
- Раннее лечение патологии гипофиза.
- Регулярный контроль уровня гормона роста и наблюдение у специалистов.
Избыток какого гормона может вызвать акромегалию?
Соматотропный гормон (гормон роста) вырабатывается в гипофизе и отвечает за рост и развитие костей и мышц у детей, а у взрослых контролирует обмен веществ.
На организм взрослого человека данный гормон воздействует следующим образом:
- Стимулирует синтез белка и замедляет его разрушение.
- Увеличивает скорость сжигания жиров.
- Уменьшает жировые отложения.
- Увеличивает мышечную массу.
- Повышает уровень глюкозы в крови.
Продукцию данного гормона стимулируют:
- Гормон соматолиберин (гипоталамус).
- Гормон грелин (желудок и гипоталамус).
- Физическая активность.
- Сон.
- Пониженный уровень глюкозы.
- Повышенная выработка андрогенов в период полового созревания.
Работа гипофиза контролируется гипоталамусом. При нарушении его работы или усиленном размножении клеток гипофиза происходит повышенная выработка соматотропного гормона.
Избыточное разрастание клеток гипофиза может привести к аденоме, вызывающей акромегалию. Только повышенная продукция соматотропного гормона может вызвать акромегалию при аденоме гипофиза.
Развитию аденомы гипофиза могут способствовать:
- Травмы головного мозга.
- Инфекционные заболевания (менингит, туберкулез).
- Патологические течения беременности.
- Длительный прием гормональных контрацептивов.
При избытке соматотропного гормона могут наблюдаться следующие симптомы:
- Увеличение головы, ушей, губ, языка, носа и нижней челюсти.
- Увеличение рук и ног (особенно стоп).
- Увеличение внутренних органов.
- Снижение чувствительности конечностей.
- Ожирение.
- Повышенная слабость и утомляемость.
- Головные боли.
- Уменьшение поля зрения.
- Изменения кожи (огрубение, потоотделение).
- Выраженный рост волос на теле и лице.
У детей избыток гормона роста вызывает гигантизм, характеризующийся пропорциональным увеличением массы тела и органов. Гигантизм чаще наблюдается у мальчиков в возрасте девяти-десяти лет и в период полового созревания.
Для диагностики заболеваний, связанных с нарушением секреции соматотропного гормона, используется исследование крови.
Для исследования уровня соматотропного гормона применяются следующие тесты:
- Тест на подавление. Определяет избыток гормона в крови. За двенадцать часов до исследования исключается прием пищи. В день исследования пациенту дают раствор глюкозы, после чего через определенные промежутки времени производится забор крови. Если уровень гормона остается высоким, это указывает на повышенную выработку.
- Тест на стимуляцию. Определяет недостаток гормона роста. За двенадцать часов до исследования также исключается прием пищи. В день исследования у пациента производится забор крови, затем вводится препарат для стимуляции выработки соматотропного гормона. Последующий забор крови позволяет определить уровень гормона.
Является ли аденома гипофиза причиной акромегалии?
Гипофиз – это небольшая эндокринная железа, вырабатывающая гормоны, регулирующие деятельность других желез.
Аденома гипофиза – доброкачественная опухоль, характеризующаяся разрастанием клеток передней доли железы.
Классификация аденомы гипофиза:
- Гормонально-активная.
- Гормонально-неактивная.
- Злокачественная (редко встречается).
Виды гормонально-активной аденомы гипофиза:
- Соматотропинома (повышенная продукция соматотропного гормона).
- Кортикотропинома (повышенная продукция адренокортикотропного гормона).
- Пролактинома (повышенная продукция лактотропного гормона).
- Тиреотропинома (повышенная продукция тиреотропного гормона).
- Гонадотропинома (повышенная продукция фолликулостимулирующего гормона).
Повышенная выработка соматотропина приводит к акромегалии, чаще всего в третьем-пятом десятке жизни. У детей наблюдается гигантизм.
Понятие акромегалия происходит от греческих слов:
- «acron» — конечность;
- «megalos» — увеличение.
У больного наблюдается увеличение носа, губ, челюсти, кистей рук и стоп.
Признаки аденомы гипофиза:
- Снижение зрения.
- Отсутствие менструации.
- Выраженная потливость.
- Тошнота и рвота.
- Головная боль.
- Слабость.
- Повышенная утомляемость.
Признаки акромегалии при аденоме гипофиза:
- Укрупнение носа.
- Увеличение надбровных дуг.
- Изменение прикуса.
- Расхождение зубов.
- Увеличение размеров рук и ног.
- Боль в конечностях.
Со временем больной замечает изменения в чертах лица, увеличение размера обуви и трудности при надевании кольца или перчаток.
В зависимости от размера аденомы выделяют:
- Пикоаденому (до трех миллиметров).
- Микроаденому (до десяти миллиметров).
- Макроаденому (более десяти миллиметров).
- Гигантские аденомы (от сорока до пятидесяти миллиметров и более).
Лечение аденомы гипофиза подбирается индивидуально в зависимости от:
- Вида опухоли.
- Размеров аденомы.
- Тяжести течения заболевания.
- Об общего состояния здоровья пациента.
- Возраста больного.
Основным этапом лечения является хирургическое вмешательство для удаления опухоли. Операция осуществляется эндоскопическим методом через носовые ходы.
Также применяются лучевая и медикаментозная терапия.
Каков патогенез акромегалии?
Акромегалия – это заболевание, вызванное повышением уровня соматотропина.
Увеличению продукции гормона могут способствовать:
- Нарушение работы гипофиза.
- Нарушение работы гипоталамуса.
Нарушение работы гипофиза
99% случаев акромегалии связано с аденомой гипофиза. Избыточное деление клеток приводит к увеличению уровня соматотропина и акромегалии.
Акромегалия – вялотекущее заболевание с постепенным нарастанием симптомов. Сначала наблюдается огрубение черт лица, затем увеличение черепа, нижней челюсти, кистей и стоп. Человек может не замечать изменений и обратиться к врачу только спустя годы.
Причины формирования аденомы гипофиза:
- Травмы головного мозга.
- Инфекционные заболевания.
- Длительный прием оральных контрацептивов.
- Патологические течения беременности.
Размеры опухоли могут варьироваться. При позднем течении гипофиз начинает сдавливать окружающие области мозга, что приводит к глазным и неврологическим симптомам.
Нарушение работы гипоталамуса
Гипоталамус и гипофиз формируют гипоталамо-гипофизарный комплекс, где гипоталамус контролирует продукцию гормонов гипофиза.
Гормоны гипоталамуса:
- Рилизинг-гормоны. Активизируют продукцию гормонов передней доли гипофиза.
- Статины. Тормозят выработку гормонов передней доли гипофиза.
- Гормоны задней доли гипофиза. Окситоцин и вазопрессин.
Поражения гипоталамуса могут привести к усиленной выработке гормонов, что ведет к акромегалии.
При нарушении работы гипоталамуса могут наблюдаться:
- Ожирение.
- Нарушение менструального цикла.
- Повышенная сонливость.
- Изменения терморегуляции.
- Повышенный аппетит.
- Сниженная двигательная активность.
- Несахарный диабет.
- Психоэмоциональные нарушения.
- Повышенный рост волос.
Стадии акромегалии
Существуют следующие стадии акромегалии:
- Преакромегалия.
- Гипертрофическая.
- Опухолевая.
- Кахексия.
| Стадия акромегалии | Описание |
| Преакромегалия | Скудная начальная симптоматика, выявляется на основе исследований. |
| Гипертрофическая | Выраженные признаки акромегалии: увеличение носа, ушей, губ, языка, нижней челюсти; нарушение прикуса; увеличение надбровных дуг; огрубение голоса; утолщение кожи. |
| Опухолевая | Признаки сдавления окружающих отделов мозга: слабость, повышенное давление, сердечная недостаточность, головная боль, снижение зрения. |
| Кахексия | Истощение организма, дистрофические изменения внутренних органов. |
Степени тяжести акромегалии:
- Легкая степень.
- Средняя степень.
- Тяжелая степень.
| Степень тяжести | Описание |
| Легкая | Пациент не нуждается в госпитализации, сохраняется способность к самообслуживанию. |
| Средняя | Больной активен, но не может выполнять работу средней тяжести. |
| Тяжелая | У больного отсутствуют навыки самообслуживания, показана госпитализация. |
По активности процесса акромегалия может быть:
- Активной.
- Неактивной.
По течению процесса заболевания акромегалия может быть:
- Доброкачественной.
- Злокачественной.
Как лечить акромегалию народными средствами?
Акромегалия – это вялотекущее заболевание, и народные средства не могут устранить гормональные нарушения. Отсутствие лечения может привести к инвалидности и снижению продолжительности жизни.
Поэтому лечение акромегалии народными методами не рекомендуется. При проявлении симптомов следует обратиться к специалисту для назначения необходимых исследований и лечения, включая медикаменты, хирургическое вмешательство или лучевую терапию.
При акромегалии могут наблюдаться следующие симптомы:
- Постепенное увеличение конечностей (носа, подбородка, ушей, стоп и кистей рук).
- Увеличение внутренних органов.
- Нарушение зрения.
- Нарушение менструального цикла у женщин.
- Бесплодие.
- Слабость.
- Повышенная утомляемость.
- Изменение голоса.
- Изменение скелета.
- Повышенная потливость.
- Повышенное артериальное давление.
- Дыхательная недостаточность.
Акромегалия – серьезное заболевание, при котором не рекомендуется заниматься самолечением, так как это может усугубить течение болезни.
Какие изменения лица наблюдаются при акромегалии?
Акромегалия – это длительное заболевание, при котором наблюдается огрубение черт лица и их увеличение.
При акромегалии у больного наблюдается увеличение:
- Носа.
- Ушей.
- Надбровных дуг.
- Скуловых костей.
- Губ.
- Языка.
- Подбородка.
Изменение прикуса и увеличение языка могут затруднять речь. Кожа на лице становится более плотной и отечной, появляются глубокие складки. Измененный гормональный фон может вызвать увеличение роста волос на теле и лице.
При акромегалии также могут наблюдаться следующие симптомы:
- Головная боль.
- Повышение внутричерепного давления.
- Снижение остроты зрения.
- Уменьшение поля зрения.
- Снижение слуха.
- Увеличение размеров конечностей и внутренних органов.
- Слабость.
- Снижение работоспособности.
- Нарушение менструального цикла.
- Бесплодие.
При рентгенологическом исследовании у больного отмечается увеличение размеров:
- Черепа.
- Турецкого седла.
- Нижней челюсти.
- Придаточных пазух носа.
- Скуловых костей.
- Надбровных дуг.
Изменения внешности можно выявить, сравнив фотографии.
Какие препараты назначают при акромегалии?
Медикаментозное лечение при акромегалии может назначаться в следующих случаях:
- Ранняя стадия заболевания.
- Отказ от хирургического лечения.
- Наличие противопоказаний для оперативного вмешательства.
- Низкая эффективность лучевой терапии.
При акромегалии применяются следующие группы препаратов:
- Аналоги соматостатина.
- Агонисты дофаминовых рецепторов.
Аналоги соматостатина
Препараты из данной группы подавляют выработку соматотропного гормона и уменьшают проявления акромегалии.
При акромегалии могут назначаться следующие препараты:
- Сандостатин.
- Соматулин.
| Сандостатин | Октреотид | Подкожно 0,05 – 0,1 мг с промежутками в восемь или двенадцать часов. Дозу назначает врач. |
| Соматулин | Ланреотид | Обычно 30 мг внутримышечно один раз в две недели. |
При инъекциях могут наблюдаться покраснение и болезненные ощущения.
Прием данных препаратов может вызвать следующие побочные эффекты:
- Нарушение аппетита.
- Тошнота и рвота.
- Боли в животе.
- Вздутие.
- Нарушение стула.
- Повышение уровня билирубина.
- Аллергические реакции.
Агонисты дофаминовых рецепторов
Эти препараты уменьшают продукцию пролактина и соматотропного гормона, широко используются при лечении акромегалии.
При акромегалии могут назначаться следующие препараты:
- Парлодел.
- Абергин.
- Норпролак.
| Парлодел | Бромокриптин | Изначально 1,25 мг два-три раза в сутки, дозировка постепенно увеличивается. |
| Абергин | Бромокриптин | Первоначально 1,25 мг два-три раза в сутки, дозу можно увеличить. |
| Норпролак | Хинаголид | 0,15 – 0,3 мг два раза в день во время еды. |
При приеме данных лекарств могут наблюдаться следующие побочные эффекты:
- Жажда.
- Тошнота или рвота.
- Запоры.
- Головокружение.
- Слабость.
- Повышенная сонливость.
- Аллергические реакции.
При лечении акромегалии также используется:
- Хирургическое лечение. Эффективно удаление аденомы гипофиза с помощью эндоскопических инструментов.
- Лучевая терапия. Облучение пораженной области гипофиза гамма-лучами или протонным пучком.
Влияет ли акромегалия на наступление беременности?
Акромегалия – тяжелое заболевание, развивающееся в возрасте тридцати-пятидесяти лет.
У женщин данное заболевание вызывает следующие изменения:
- Нарушение менструального цикла.
- Галакторея.
- Бесплодие.
После наступления беременности гипофиз подвергается изменениям, что может привести к обострению заболевания. Бесплодие может быть связано с нарушением гормонального фона, но при адекватном лечении способность к зачатию восстанавливается.
Лечение акромегалии во время беременности устанавливается индивидуально в зависимости от степени тяжести заболевания и состояния беременной.
У 30% мужчин акромегалия вызывает нарушения эрекции.
Что такое парциальный гигантизм?
Парциальный гигантизм – это увеличение определенной части тела, чаще всего врожденное.
Причины парциального гигантизма:
- Механическая. Неправильное положение плода в матке.
- Эмбриональная. Внутриутробные нарушения формирования.
- Нервно-трофическая. Изменения в нервной системе.
При парциальном гигантизме наблюдаются:
- Увеличение пораженного участка тела.
- Чрезмерное разрастание мягких тканей.
- Внешние косметические изменения.
Чаще всего встречается макродактилия – увеличение пальцев стоп.
Макродактилия может быть двух видов:
- Истинная, с усиленным ростом мягких тканей и костей.
- Ложная, с врожденными нарушениями сосудистой сети.
Диагностировать истинную макродактилию можно с помощью рентгенологического исследования.
Лечение парциального гигантизма обычно включает хирургическое вмешательство, при котором может быть произведено удаление мягких тканей или резекция.
Каковы признаки гигантизма у детей?
Гигантизм – это заболевание, развивающееся в детском возрасте из-за чрезмерной продукции соматотропного гормона.
Основные причины повышения уровня гормона роста:
- Аденома гипофиза.
- Травмы головы.
- Инфекционные заболевания.
Гигантизм чаще наблюдается у мальчиков в возрасте девяти-пятнадцати лет. При этом происходит ускорение роста, превышающего норму.
При гигантизме наблюдаются следующие изменения:
- Высокий рост.
- Удлинение конечностей.
- Непропорционально маленький размер головы.
- Нарушение половой функции.
- Изменения в психоэмоциональной сфере.
Симптомы гигантизма у ребенка:
- Повышенная утомляемость.
- Слабость.
- Снижение зрения.
- Головные боли.
- Головокружение.
- Онемение конечностей.
- Артралгия.
- Болезненные ощущения при движении.
Осложнения при гигантизме:
- Сахарный диабет.
- Нарушение работы щитовидной железы.
- Повышенное артериальное давление.
- Сердечная недостаточность.
- Поражение печени.
Виды гигантизма:
- Истинный, с пропорциональным увеличением всех частей тела.
- Парциальный, с увеличением отдельных частей тела.
- Акромегалический, с выраженным увеличением конечностей.
- Спланхномегалия, с увеличением внутренних органов.
- Евнухоидный, с отсутствием вторичных половых признаков.
- Церебральный, с нарушениями интеллекта.
Для диагностики гигантизма используются:
- Визуальный осмотр.
- Лабораторные исследования.
- Инструментальная диагностика.
Лечение назначается индивидуально в зависимости от вида гигантизма. Обычно назначаются аналоги соматостатина и препараты половых гормонов. При аденоме гипофиза может быть рекомендовано оперативное лечение или лучевая терапия.
| Признак | Акромегалия | Гигантизм |
|---|---|---|
| Причина | Аденома гипофиза, продуцирующая избыток гормона роста (соматотропина) после закрытия эпифизарных хрящей | Аденома гипофиза, продуцирующая избыток гормона роста (соматотропина) до закрытия эпифизарных хрящей |
| Симптомы | Увеличение размеров кистей, стоп, черт лица (грубое лицо), увеличение языка, головная боль, повышенное потоотделение, артериальная гипертензия, нарушения сна, боли в суставах, увеличение внутренних органов | Чрезмерный рост тела, увеличение длины конечностей, пропорциональное увеличение размеров тела |
| Диагностика | Определение уровня гормона роста (ГР) в крови, тест на супрессию ГР глюкозой, МРТ гипофиза | Определение уровня гормона роста (ГР) в крови, тест на супрессию ГР глюкозой, МРТ гипофиза, анализ скорости роста |
| Лечение | Транссфеноидальная хирургия (удаление аденомы), медикаментозная терапия (аналоги соматостатина, допамин-агонисты, ингибиторы рецепторов гормона роста), лучевая терапия | Транссфеноидальная хирургия (удаление аденомы), медикаментозная терапия (аналоги соматостатина, допамин-агонисты, ингибиторы рецепторов гормона роста), лучевая терапия |
| Возможные осложнения | Сахарный диабет, артериальная гипертензия, апноэ во сне, сердечно-сосудистые заболевания, остеоартроз, снижение качества жизни | Сердечно-сосудистые заболевания, ортопедические проблемы, снижение качества жизни |
Акромегалия и гигантизм — это эндокринные расстройства, связанные с избыточной выработкой гормона роста. Люди часто обсуждают, что основными причинами этих заболеваний являются опухоли гипофиза, которые приводят к повышенному уровню гормона. Симптомы акромегалии включают увеличение конечностей, изменение черт лица и проблемы с суставами, тогда как гигантизм проявляется в чрезмерном росте в детском и подростковом возрасте. Диагностика включает анализы крови на уровень гормонов и визуализацию опухолей с помощью МРТ. Лечение обычно требует хирургического вмешательства для удаления опухоли, а также может включать медикаментозную терапию и радиотерапию. Многие пациенты отмечают, что ранняя диагностика и адекватное лечение значительно улучшают качество жизни.

Симптомы заболевания акромегалии
Симптоматика гигантизма классифицируется по степени выраженности патологических изменений в органах и системах. Основные формы заболевания:
- С преобладанием нарушений работы внутренних органов и чрезмерным развитием костной и хрящевой ткани.
- С доминированием компрессивного синдрома, когда опухоль гипофиза давит на мягкие ткани головного мозга. Это приводит к болям, эндокринным нарушениям, неврологическим расстройствам и изменениям психического состояния.
Общие симптомы связаны с увеличением роста и деформацией костной системы.
Нарушения развития внутренних органов проявляются в их увеличении:
- Кардиомегалия (увеличение сердца) часто сопровождается повышенным артериальным давлением. Пациенты жалуются на головные боли, дискомфорт вокруг глаз и сердцебиение.
- Увеличение органов брюшной полости (желудка, печени, селезенки, кишечника) вызывает расстройства пищеварения: боли в животе, запоры, вздутие, изжогу и частую отрыжку.
- Кожа утолщается, на лице появляются складки, а активная работа сальных желез приводит к высыпаниям угрей.
- Увеличение языка затрудняет пережевывание пищи и четкое произношение.
- Изменение голоса связано с ростом голосовых связок и сужением гортани.
Увеличение и деформация костной системы проявляются:
- Удлинением конечностей. Чрезмерный рост ног и недостаточная прочность костей приводят к искривлению коленных суставов, в результате чего ноги становятся Х-образными. Кисти и стопы также увеличиваются.
- Изменениями в строении костей лица и черепа.
- Увеличением нижней челюсти, что придает характерный внешний вид.
- Увеличением надбровных дуг и деформацией черепа.
- Увеличением носовых костей и хрящей.
- Образованием промежутков между зубами (диастема) из-за увеличения челюстей.
Компрессивный синдром характеризуется:
- Постоянной болью в области надбровных дуг и вокруг глаз.
- Нарушениями зрения, чаще всего в виде сужения полей зрения.
- Слабостью и повышенной утомляемостью.
- Симптомами повышенного внутричерепного давления (головные боли, тошнота, рвота).
Рост опухоли гипофиза или гипоталамуса нарушает выделение гормонов, в первую очередь, щитовидной железы и половых гормонов.
Увеличение синтеза щитовидных гормонов происходит под действием тиреотропного гормона гипофиза, что приводит к:
- Повышенному потоотделению.
- Увеличению частоты сердечных сокращений.
- Раздражительности и нервозности.
Эти симптомы объясняются тем, что гормоны щитовидной железы усиливают обмен веществ. Со временем функция щитовидной железы может ослабевать.
Гормональные нарушения половых органов проявляются:
- У женщин – нарушением менструального цикла (редкие или отсутствующие менструации, выделения из молочных желез).
- У мужчин – снижением потенции и полового влечения.
Диагностика акромегалии и гигантизма
Диагностика заболевания проста: достаточно обратить внимание на внешний вид пациента для предположения причин недуга. Истории болезни помогут установить возраст появления первых симптомов. Если они проявились в период полового созревания (14-16 лет), диагноз – гигантизм.
Если нарушения выделения гормона роста возникают позже, это может привести к изменениям в скелете, проявляющимся в огрубении черт лица, увеличении роста волос и эндокринных расстройствах. В таких случаях ставится диагноз – акромегалия.
Для точного определения диагноза необходимо измерить уровень гормона роста в крови, который зависит от возраста и пола пациента.
Биохимические анализы
Анализы показывают увеличение общего белка (норма 65-80 грамм) и повышение уровня глюкозы (норма 3.5-5.5 ммоль/л). Эти изменения не специфичны и могут наблюдаться при других заболеваниях.
Диагностические пробы
- Тест с глюкозой определяет нарушения в работе гипофиза. После употребления стакана воды с сахаром уровень соматотропного гормона должен снижаться. При гигантизме опухолевого происхождения уровень соматотропина остается повышенным независимо от гормонального фона.
- Измерение уровня соматомединов показывает активность соматотропного гормона. Чем выше уровень соматотропина, тем выше уровень соматомединов.
Соматомедины – вещества, синтезируемые в печени и почках под воздействием соматотропина, участвующие в процессах роста и развития.
Лабораторные анализы для определения концентрации гормонов проводятся с использованием радиоиммунологических или иммуноферментных методов. Если есть симптомы, указывающие на нарушения в работе периферических эндокринных желез, измеряются соответствующие гормоны.
- При нарушениях функции щитовидной железы проверяют уровень тироксина (Т4), трийодтиронина (Т3) и тиротропного гормона гипофиза (ТТГ).
- При задержке полового развития, импотенции или нарушениях менструального цикла исследуются половые гормоны: тестостерон у мужчин и эстрогены с прогестероном у женщин.
Инструментальные методы диагностики
Радиологические методы, такие как рентгенография и компьютерная томография черепа, помогают установить диагноз.
На рентгене видно расширение турецкого седла – костного образования, в котором находится гипофиз.
На компьютерных томограммах визуализируется опухоль различного размера и формы, изменения в гипофизе или гипоталамусе четче проявляются при использовании контрастных веществ.
В сложных случаях применяются исследования с помощью ядерно-магнитного резонанса (ЯМР).
Офтальмологическое исследование
При нарушениях зрения или болях в области глаз необходимо обратиться к офтальмологу. Врач оценит состояние глазного дна (наличие отеков, кровоизлияний) и измерит ширину полей зрения, которые могут сужаться.

Лечение гигантизма и акромегалии
Лечение акромегалии и гигантизма направлено на устранение причины заболевания и снижение уровня соматотропного гормона в крови.
При осложнениях со стороны органов применяются симптоматические препараты. Терапия включает медикаментозные средства и лучевую терапию.
Медикаментозное лечение подавляет выработку соматотропного гормона гипофизом. Основные препараты:
- Соматостатин (октреотид) – синтетический аналог естественного гормона, который тормозит рост и снижает синтез соматотропного гормона. Также эффективен при желудочно-кишечных кровотечениях.
Дозировка и схема приема определяются врачом в зависимости от симптомов и уровня соматотропина в крови.
- Бромокриптин (парлодел) – препарат, активирующий рецепторы в головном мозге, что подавляет синтез соматотропного гормона.
Препарат принимается в небольших дозах под контролем лабораторных анализов и наблюдением эндокринолога.
Рентгенотерапия использует высокоактивные рентгеновские лучи для подавления роста опухоли и снижения выработки гормона роста. Дозы назначаются врачом в зависимости от размера и активности опухоли.
Хирургическое вмешательство показано при больших размерах опухоли, сжатии окружающих тканей головного мозга и симптомах повышенного внутричерепного давления. Этот метод применяется, если консервативное лечение неэффективно.
Профилактика акромегалии
Профилактические меры направлены на раннее выявление признаков ускоренного роста организма.
Обратитесь к эндокринологу при первых симптомах заболевания.
Рацион питания детей и взрослых должен быть сбалансированным и включать необходимые полезные вещества.
Своевременно лечите сопутствующие инфекционно-воспалительные заболевания центральной нервной системы.
Избегайте травм головы.
При выявлении патологии гипофиза раннее лечение поможет предотвратить дальнейшее развитие заболевания.
В процессе терапии важно контролировать уровень гормона роста в крови и регулярно посещать эндокринолога и офтальмолога не реже одного раза в полгода.
Избыток какого гормона может вызвать акромегалию?
Соматотропный гормон, или гормон роста, вырабатывается в гипофизе. У детей он отвечает за рост и развитие костей и мышц, у взрослых регулирует обмен веществ, включая углеводы, жиры и водно-солевой баланс.
У взрослых соматотропный гормон оказывает следующие эффекты:
- способствует синтезу белка и замедляет его разрушение;
- увеличивает скорость сжигания жиров;
- снижает жировые отложения;
- увеличивает мышечную массу по сравнению с жировой;
- повышает уровень глюкозы в крови.
Производство соматотропного гормона активируется:
- гормоном соматолиберином из гипоталамуса;
- гормоном грелином из слизистой желудка и гипоталамуса;
- физической активностью;
- полноценным сном;
- низким уровнем глюкозы в крови (гипогликемия);
- повышенной выработкой андрогенов в период полового созревания.
Работа гипофиза контролируется гипоталамусом. Сбои в его функционировании, например, из-за повышенной секреции соматолиберина или чрезмерного размножения клеток передней доли гипофиза, могут привести к избыточной выработке соматотропного гормона.
Избыточное разрастание клеток гипофиза может вызвать доброкачественную опухоль — аденому, что приводит к акромегалии. Акромегалия при аденоме гипофиза возникает из-за повышенной продукции соматотропного гормона.
Факторы, способствующие развитию аденомы гипофиза:
- травмы головы;
- острые или хронические инфекции (малярия, менингит, туберкулез);
- осложнения во время беременности и родов;
- длительное использование гормональных контрацептивов.
При избытке соматотропного гормона могут проявляться следующие симптомы:
- увеличение размеров головы;
- увеличение ушей, губ, языка, носа и нижней челюсти;
- увеличение рук и ног, особенно стоп;
- увеличение внутренних органов;
- снижение чувствительности конечностей;
- ожирение;
- повышенная утомляемость и слабость;
- головные боли тупого характера;
- сужение поля зрения;
- изменения кожи (огрубение, повышенное потоотделение, папилломы и бородавки);
- выраженный рост волос на теле и лице.
У детей избыток гормона роста может привести к гигантизму, характеризующемуся пропорциональным увеличением костной и мышечной массы, а также внутренних органов. Гигантизм чаще наблюдается у мальчиков в возрасте девяти-десяти лет и в период полового созревания.
Для диагностики заболеваний, связанных с нарушением секреции соматотропного гормона, используется анализ крови, позволяющий выявить как недостаток, так и избыток гормона.
Для определения уровня соматотропного гормона применяются следующие тесты:
- Тест на подавление. Позволяет выявить избыток гормона в крови. За двенадцать часов до анализа необходимо воздержаться от пищи. В день исследования пациенту дают раствор глюкозы, после чего производится забор крови для определения уровня соматотропного гормона. Высокий уровень после приема глюкозы указывает на повышенную продукцию гормона в гипофизе.
- Тест на стимуляцию. Используется для выявления недостатка гормона роста. За двенадцать часов до анализа также исключается прием пищи. В день теста производится забор крови, затем внутривенно вводится препарат (инсулин, клонидин или аргинин) для стимуляции выработки соматотропного гормона. Кровь берется в определенные промежутки времени для оценки активности выработки гормона в гипофизе.
Является ли аденома гипофиза причиной развития акромегалии?
Гипофиз — небольшая эндокринная железа под головным мозгом, вырабатывающая гормоны, регулирующие работу других желез, таких как щитовидная, половые железы и надпочечники.
Аденома гипофиза — доброкачественная опухоль, возникающая из клеток передней доли железы.
Аденомы гипофиза классифицируются на:
- гормонально-активные;
- гормонально-неактивные (не производят гормоны);
- злокачественные (крайне редки).
Гормонально-активные аденомы включают:
- соматотропинома (избыточная выработка гормона роста);
- кортикотропинома (повышенная продукция адренокортикотропного гормона);
- пролактинома (увеличенная выработка лактотропного гормона);
- тиреотропинома (избыточная продукция тиреотропного гормона);
- гонадотропинома (повышенная выработка фолликулостимулирующего гормона).
Избыточная выработка соматотропина может привести к акромегалии, проявляющейся ростом и увеличением размеров тела, чаще всего в возрасте 30–50 лет. У детей это состояние вызывает гигантизм.
Термин «акромегалия» происходит от греческих слов:
- «acron» — конечность;
- «megalos» — увеличение.
При акромегалии увеличиваются нос, губы, челюсть, кисти и стопы.
Основные признаки аденомы гипофиза:
- ухудшение зрения;
- отсутствие менструаций;
- повышенная потливость;
- тошнота и рвота;
- головные боли;
- общая слабость;
- повышенная утомляемость.
Клинические проявления акромегалии включают:
- увеличение носа;
- выраженные скулы;
- увеличение надбровных дуг;
- изменения прикуса;
- расхождение зубов;
- увеличение рук и ног;
- боли в конечностях.
Пациенты замечают изменения в чертах лица, увеличение обуви и трудности с ношением колец или перчаток.
В зависимости от размеров аденомы выделяют:
- пикоаденому (до 3 мм);
- микроаденому (до 10 мм);
- макроаденому (более 10 мм);
- гигантские аденомы (от 40 до 50 мм и более).
Лечение аденомы гипофиза индивидуально, учитывая:
- тип опухоли;
- размеры аденомы;
- тяжесть заболевания;
- общее состояние здоровья;
- возраст пациента.
Основной метод лечения — хирургическое вмешательство для удаления опухоли, обычно эндоскопическим способом через носовые ходы. Также применяются лучевая и медикаментозная терапия (гормональные препараты).
Каков патогенез развития акромегалии?
Акромегалия — заболевание, вызванное повышением уровня гормона соматотропина (гормона роста).
Факторы, способствующие повышению продукции гормона:
- дисфункция гипофиза;
- дисфункция гипоталамуса.
Дисфункция гипофиза
Около 99% случаев акромегалии связано с аденомой гипофиза — доброкачественной опухолью, возникающей из-за чрезмерного деления клеток передней доли гипофиза. Это приводит к увеличению уровня соматотропина и, со временем, к акромегалии.
Заболевание имеет хронический характер и проявляется постепенным ухудшением состояния. Сначала у пациента наблюдаются грубые черты лица, увеличение носа, ушей и губ. Затем увеличиваются размеры черепа, нижней челюсти, кистей рук и стоп. Человек может не замечать изменений и обратиться к врачу только спустя несколько лет.
Причины образования аденомы гипофиза:
- травмы головы;
- инфекционные болезни (менингит, энцефалит, бруцеллез);
- длительное использование оральных контрацептивов;
- осложненные беременности.
Размеры опухоли могут варьироваться от нескольких миллиметров до сантиметров. На поздних стадиях опухоль может сжимать окружающие области мозга, включая сосуды и нервы, что вызывает симптомы, такие как ухудшение зрения, головные боли и повышение внутричерепного давления.
Дисфункция гипоталамуса
Гипоталамус, совместно с гипофизом, регулирует выработку гормонов.
Гормоны гипоталамуса:
- Рилизинг-гормоны. Семь гормонов, активирующих выработку гормонов передней доли гипофиза (например, пролактолиберин, тиролиберин, соматолиберин).
- Статины. Гормоны, подавляющие выработку гормонов передней доли гипофиза (например, соматостатин, пролактостатин, меланостатин).
- Гормоны задней доли гипофиза. Окситоцин и вазопрессин, образующиеся в гипоталамусе и поступающие в гипофиз.
Повреждения гипоталамуса могут нарушить его функции и привести к избыточной выработке гормонов. Например, повышенная секреция соматолиберина или недостаток соматостатина могут вызвать усиленную продукцию соматотропного гормона, что приводит к акромегалии.
Симптомы нарушения работы гипоталамуса:
- избыточный вес;
- сбои в менструальном цикле;
- проблемы со сном (повышенная сонливость);
- изменения в терморегуляции (повышение или снижение температуры тела);
- повышенный аппетит;
- гиподинамия (сниженная физическая активность);
- несахарный диабет;
- психоэмоциональные расстройства;
- избыточный рост волос на теле и лице.
Какие существуют стадии акромегалии?
Акромегалия проходит через несколько стадий:
- преакромегалия;
- гипертрофическая;
- опухолевая;
- кахексия.
| Стадия акромегалии | Описание |
| Преакромегалия | На начальной стадии симптомы слабо выражены. Диагностика возможна только на основании лабораторных исследований, включая анализ крови на уровень соматотропина и компьютерную томографию головного мозга. |
| Гипертрофическая стадия | На этой стадии проявляются ярко выраженные признаки акромегалии: * увеличение размеров носа, ушей, губ, языка и нижней челюсти; * нарушения прикуса и расхождение зубов; * увеличение надбровных дуг; * увеличение головы; * увеличение |
Как лечить акромегалию народными средствами?
Акромегалия — хроническое заболевание, вызванное избытком соматотропного гормона (гормона роста). Гормональные изменения при этом недуге не поддаются лечению народными средствами. Позднее начало лечения может привести к инвалидности и сокращению продолжительности жизни.
Поэтому использование народных методов для лечения акромегалии нецелесообразно. При появлении симптомов важно немедленно обратиться к врачу. Специалист проведет обследования, установит причину болезни и назначит лечение. Терапия может включать медикаменты (аналоги соматостатина, агонисты дофаминовых рецепторов), хирургическое вмешательство (при аденоме гипофиза) и лучевую терапию.
Симптомы акромегалии:
- увеличение размеров конечностей (носа, подбородка, ушей, стоп и кистей);
- увеличение внутренних органов;
- проблемы со зрением;
- нарушения менструального цикла у женщин;
- бесплодие;
- общая слабость;
- повышенная утомляемость;
- изменения голоса (грубость);
- изменения в скелете (расширение межреберных промежутков, искривление позвоночника);
- повышенная потливость;
- высокое артериальное давление;
- дыхательная недостаточность.
Акромегалия — серьезное заболевание, и самолечение народными средствами крайне не рекомендуется, так как они неэффективны и могут ухудшить течение болезни.
Какие изменения лица наблюдаются при акромегалии?
Акромегалия — хроническое заболевание, при котором у пациента сначала утолщаются черты лица, а затем они увеличиваются.
При акромегалии фиксируется увеличение:
- носа;
- ушей;
- надбровных дуг;
- скуловых костей;
- губ;
- языка;
- подбородка.
Из-за выдвижения нижней челюсти меняется прикус. Зубы расходятся, образуя промежутки, а язык увеличивается, не помещаясь в ротовой полости. Утолщение голосовых связок делает голос грубым и хриплым, а речь менее четкой.
Кожа на лице становится грубой, отечной и плотной. Увеличение потовых и сальных желез вызывает повышенное выделение пота и кожного сала. Эти изменения могут привести к глубоким складкам на лице, опущению век и утолщению губ, особенно нижней. На коже могут появляться бородавки и папилломы.
Изменения гормонального фона вызывают рост волос на теле и лице. У женщин с акромегалией может наблюдаться усиленный рост усов и бороды.
При акромегалии могут проявляться следующие симптомы:
- головные боли, чаще в височной и лобной областях;
- повышение внутричерепного давления;
- ухудшение остроты зрения;
- сужение поля зрения;
- снижение слуха;
- увеличение размеров конечностей и внутренних органов;
- общая слабость;
- снижение работоспособности;
- нарушения менструального цикла;
- бесплодие.
Во время рентгенологического обследования фиксируется увеличение размеров:
- черепа;
- турецкого седла (углубление, в котором располагается гипофиз);
- нижней челюсти;
- придаточных пазух носа;
- скуловых костей;
- надбровных дуг;
- затылочного бугра.
Изменения внешности можно заметить, сравнив две фотографии: одну сделанную сейчас и другую, например, пятилетней давности.
Какие препараты назначают при акромегалии?
Медикаментозное лечение акромегалии рекомендуется в следующих случаях:
- на ранних стадиях заболевания;
- при отказе пациента от хирургического вмешательства;
- при противопоказаниях к операции или лучевой терапии;
- при низкой эффективности лучевой терапии.
В лечении акромегалии используются:
- аналоги соматостатина;
- агонисты дофаминовых рецепторов.
Аналоги соматостатина
Эти препараты действуют как соматостатин, вырабатываемый гипоталамусом, подавляя синтез соматотропного гормона и снижая его уровень в крови, что уменьшает симптомы акромегалии.
Аналоги соматостатина применяются, если дофаминомиметики оказались неэффективными.
При акромегалии могут быть назначены:
- Сандостатин;
- Соматулин.
| Наименование препарата | Действующее вещество | Доза и способ применения |
| Сандостатин | Октреотид | Вводится подкожно в дозе 0,05 – 0,1 мг (50 – 100 мкг) с интервалами 8 или 12 часов. Дозу можно увеличить до 0,2 – 0,3 мг (максимальная суточная доза – 1,5 мг). Индивидуальная дозировка зависит от уровня соматотропного гормона. Если через три месяца уровень гормона не снижается, применение препарата прекращается. |
| Соматулин | Ланреотид | Первоначально вводится пробно, затем определяется уровень соматотропного гормона. Если результата нет, дальнейшее применение нецелесообразно. Обычно назначается 30 мг внутримышечно раз в две недели (возможно раз в десять дней). |
В месте инъекции могут возникать покраснение, зуд, жжение и болезненные ощущения.
Побочные эффекты этих препаратов:
- изменение аппетита;
- тошнота и рвота;
- боли в животе;
- вздутие;
- расстройства стула (диарея, жирный стул);
- нарушения функции печени;
- повышение уровня билирубина;
- аллергические реакции;
- гипергликемия или гипогликемия.
Агонисты дофаминовых рецепторов
Эти препараты активируют дофаминовые рецепторы и снижают продукцию пролактина передней долей гипофиза, также уменьшая выработку соматотропного гормона. Их часто используют в сочетании с лучевой терапией или хирургическим вмешательством.
При акромегалии могут быть назначены:
- Парлодел;
- Абергин;
- Норпролак.
| Наименование препарата | Действующее вещество | Доза и способ применения |
| Парлодел | Бромокриптин | Начальная доза – 1,25 мг два-три раза в день. При хорошей переносимости дозировка увеличивается. Рекомендуется прием 10 мг в течение четырех дней, затем доза может быть повышена до 20-25 мг четыре раза в день. При необходимости дозу можно увеличить до 30-40 мг. |
| Абергин | Бромокриптин | Начальная доза – 1,25 мг два-три раза в день. Под контролем уровня соматотропного гормона суточная доза может быть увеличена до 8 (две таблетки) – 20 (пять таблеток) мг. |
| Норпролак | Хинаголид | Принимается внутрь в дозе 0,15 – 0,3 мг два раза в день во время еды. |
Побочные эффекты этих препаратов:
- жажда;
- тошнота или рвота;
- расстройства стула (запоры);
- головокружение и головная боль;
- слабость;
- повышенная сонливость;
- аллергические реакции;
- ощущение холода в конечностях;
- повышенная психомоторная активность;
- нарушения сознания.
В лечении акромегалии также применяются:
- Хирургическое вмешательство. Удаление аденомы гипофиза с помощью эндоскопических инструментов. Если размер аденомы до одного сантиметра, ремиссия достигается у 90% пациентов. При опухолях больше одного сантиметра может потребоваться двухэтапное удаление.
- Лучевая терапия. Облучение пораженной области гипофиза гамма-лучами или протонным пучком. Может проводиться одновременно с хирургическим лечением или отдельно. Обычно включает четыре курса облучения с регулярным контролем результатов.
Влияет ли акромегалия на наступление беременности?
Акромегалия — серьезное заболевание, вызванное избыточной выработкой соматотропного гормона, обычно развивающееся в возрасте 30–50 лет.
Симптомы акромегалии включают увеличение конечностей (кистей, стоп, носа, подбородка) и внутренних органов. У пациентов могут наблюдаться неврологические проявления (слабость, утомляемость, головные боли) и офтальмологические симптомы (снижение остроты зрения).
У женщин заболевание может вызывать:
- нарушение менструального цикла (вплоть до аменореи);
- галакторею (выделение молока из молочных желез);
- бесплодие.
Акромегалия также может способствовать развитию поликистоза яичников и миомы матки.
Во время беременности гипофиз претерпевает изменения под воздействием половых стероидов, вырабатываемых плацентой. Это приводит к гиперплазии пролактинсекретирующих клеток и увеличению уровня пролактина, а также росту концентрации гормона роста. Выработка фолликулостимулирующего и лютеинизирующего гормонов подавляется. К концу беременности размер гипофиза может увеличиться в 2–3 раза. Эти изменения физиологичны, и организм адаптируется, что обеспечивает защиту и развитие ребенка.
Если организм беременной ослабевает, может произойти обострение ранее леченного заболевания или развитие нового (например, аденомы гипофиза).
Бесплодие у женщин с акромегалией связано с гормональными нарушениями в системе гипоталамус-гипофиз-яичники. При правильном лечении способность к зачатию обычно восстанавливается.
Если акромегалия развилась во время беременности или зачатие произошло в период заболевания, повышенный уровень соматотропного гормона может негативно сказаться на здоровье матери, но не на состоянии плода, так как гормон не проходит через плацентарный барьер.
Лечение акромегалии во время беременности назначается индивидуально и зависит от:
- степени тяжести заболевания;
- общего состояния беременной;
- размера аденомы гипофиза.
В некоторых случаях лечение может быть отложено до послеродового периода.
У 30% мужчин акромегалия вызывает нарушения эрекции, что может привести к импотенции.
Что такое парциальный гигантизм?
Парциальный гигантизм — это увеличение определенной части тела, например, пальцев рук, стоп или половины тела. Заболевание врожденное; чаще всего дети рождаются с увеличенной частью тела, хотя в редких случаях рост может проявляться позже.
Причины парциального гигантизма:
- Механическая. Неправильное положение плода в матке может сдавливать части тела, например, пуповиной, что приводит к увеличению размеров сдавленного участка.
- Эмбриональная. Нарушения в формировании структур организма во время внутриутробного развития, такие как неправильная закладка костной или сосудистой систем, могут вызывать усиленный рост отдельных частей тела.
- Нервно-трофическая. Изменения в нервной системе, например, поражение симпатических волокон, могут приводить к увеличению определенного участка тела.
Изменения при парциальном гигантизме:
- увеличение размеров пораженной части тела в длину и ширину;
- чрезмерное разрастание мягких тканей;
- косметические изменения внешнего вида определенной области тела.
Чаще всего у детей диагностируется частичный гигантизм пальцев стоп, известный как макродактилия.
Типы макродактилии:
- Истинная. Наблюдается усиленный рост как мягких тканей, так и костей пальцев (плюсневых костей и фаланг).
- Ложная. Характеризуется врожденными нарушениями сосудистой сети, что приводит к увеличению пальцев стоп.
Истинную макродактилию диагностируют с помощью рентгенологического исследования, где видны изменения в костях. Ложная форма определяется по внешним изменениям кожи, включая расширение сосудов и наличие гемангиом (сосудистых пятен) на ногах.
Чаще всего увеличиваются второй и третий пальцы, что может привести к увеличению всей стопы. Пораженные пальцы могут принимать вынужденное положение, сгибаться или чрезмерно раздвигаться.
Для диагностики заболевания применяются визуальный осмотр и рентгенологическое исследование, позволяющее увидеть увеличение костей в длину и ширину.
Лечение парциального гигантизма обычно включает хирургическое вмешательство, которое может включать:
- удаление мягких тканей;
- резекцию участка эпифизарной пластины;
- частичную или полную экзартикуляцию пальцев.
Каковы признаки гигантизма у детей?
Гигантизм — заболевание, возникающее в детском возрасте из-за избыточной выработки соматотропного гормона (гормона роста).
Основные факторы, способствующие повышению уровня гормона роста:
- аденома гипофиза;
- черепно-мозговые травмы;
- инфекционные болезни нервной системы (менингит, энцефалит).
Заболевание чаще проявляется у мальчиков в возрасте от девяти до пятнадцати лет и в период полового созревания с двенадцати до восемнадцати лет. Это приводит к ускоренному росту, превышающему физиологические нормы. Например, к окончанию полового созревания рост девочек может достигать 190 см, а у мальчиков — двух метров и более. Родители детей с гигантизмом обычно имеют нормальный рост.
Изменения при гигантизме:
- значительный рост;
- удлинение конечностей;
- непропорционально маленькая голова;
- нарушения половой функции;
- изменения в психоэмоциональной сфере;
- снижение работоспособности;
- возможное бесплодие.
Симптомы гигантизма у ребенка:
- повышенная утомляемость;
- слабость;
- ухудшение зрения;
- головные боли из-за повышенного внутричерепного давления;
- головокружение;
- онемение конечностей;
- боли в суставах;
- болезненные ощущения при движении;
- нарушения менструального цикла, вплоть до его исчезновения.
Осложнения гигантизма:
- сахарный диабет;
- нарушения работы щитовидной железы (гипотиреоз, гипертиреоз);
- повышение артериального давления;
- сердечная недостаточность;
- заболевания печени;
- дыхательная недостаточность.
Виды гигантизма:
- истинный — пропорциональное увеличение всех частей тела без нарушений функций;
- парциальный — увеличение отдельных частей тела (например, пальцы);
- акромегалический — выраженное увеличение конечностей, носа и подбородка;
- спланхномегалия — увеличение размеров внутренних органов;
- евнухоидный — недостаточно развитые вторичные половые признаки из-за нарушений в половых железах;
- церебральный — нарушения интеллекта из-за повреждения головного мозга.
Диагностика гигантизма включает:
- визуальный осмотр;
- лабораторные исследования (анализ крови на уровень соматотропного гормона);
- инструментальные методы (КТ, рентген, МРТ).
Лечение гигантизма подбирается индивидуально в зависимости от типа и проявлений. Обычно назначают аналоги соматостатина (Октреотид, Ланреотид) и препараты половых гормонов. При аденоме гипофиза может потребоваться хирургическое вмешательство или лучевая терапия.
Вопрос-ответ
Чем отличается акромегалия от гигантизма?
Гигантизм возникает в тех случаях, когда гиперсекреция ГР начинается в детстве, еще до закрытия эпифизарных зон роста. Акромегалия, связанная с гиперсекрецией гормона роста, начинается в зрелом возрасте. При этом развиваются различные аномалии костей и мягких тканей.
Как диагностировать акромегалию?
Пациенты жалуются на частые головные и суставные боли. У людей, страдающих данной патологией, нарушаются половая и репродуктивная функции. Для выявления диагноза необходимо провести гормональные исследования, рентген черепа и МРТ головного мозга. Обычно акромегалия развивается после прекращения роста.
Как лечат акромегалию?
В лечении больных акромегалией в настоящее время используют 3 группы препаратов: аналоги соматостатина (ССТ), антагонисты СТГ и агонисты дофамина.
Какой гормон приводит к гигантизму?
Гигантизм и акромегалия являются двумя возрастными вариациями одних и тех же патологических процессов: гиперплазии и гиперфункции клеток гипофиза, продуцирующего соматотропный гормон (гормон роста).
Советы
СОВЕТ №1
Если вы заметили у себя или у близкого человека изменения в размере рук, ног или черт лица, не откладывайте визит к врачу. Раннее обращение за медицинской помощью может значительно улучшить прогноз и качество жизни.
СОВЕТ №2
Регулярно проходите медицинские обследования, особенно если у вас есть предрасположенность к эндокринным заболеваниям. Это поможет выявить возможные проблемы на ранних стадиях и начать лечение вовремя.
СОВЕТ №3
Обсуждайте свои симптомы и переживания с врачом. Открытое общение поможет врачу лучше понять ваше состояние и подобрать наиболее эффективное лечение.
СОВЕТ №4
Изучите информацию о доступных методах лечения акромегалии и гигантизма, включая медикаментозную терапию и хирургические вмешательства. Это поможет вам принимать обоснованные решения о своем здоровье.















