Общие особенности строения суставов
Суставы — подвижные соединения между костями. В организме человека насчитывается около 230 таких соединений, которые имеют различные формы, определяющие направление и диапазон движений.
Основные компоненты сустава:
- Суставные поверхности — участки костей, формирующие сустав. Движения происходят благодаря их скольжению.
- Суставной хрящ — покрывает суставные поверхности, обеспечивая гладкость и легкость скольжения.
- Суставная щель — промежуток между суставными поверхностями.
- Суставная жидкость — смазка, облегчающая скольжение, снижая трение и защищая от износа.
- Суставная капсула — защитная оболочка из соединительной ткани, окружающая сустав.
- Синовиальная оболочка — внутренний слой капсулы, вырабатывающий суставную жидкость.
- Связки — пучки соединительной ткани, укрепляющие сустав и предотвращающие чрезмерные движения и вывихи.
- Дополнительные элементы — суставные диски, мениски и губы, присутствующие не во всех суставах.
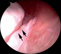
Каждый сустав — сложная структура. Артроскопия помогает выявить нарушения, уточнить диагноз и начать лечение.
Артроскопия является современным и минимально инвазивным методом диагностики и лечения заболеваний суставов, который активно применяется в ортопедии. Врачи отмечают, что показаниями к проведению артроскопии коленного и плечевого суставов могут быть травмы, хронические боли, а также патологии, такие как менископатия или повреждение связок. Несмотря на свои преимущества, метод имеет и противопоказания, включая острые воспалительные процессы и серьезные сопутствующие заболевания.
Специалисты подчеркивают, что основными преимуществами артроскопии являются меньшая травматичность, сокращение времени восстановления и минимизация послеоперационных болей. Реабилитация после процедуры, как правило, проходит быстрее, чем после открытых операций, что позволяет пациентам вернуться к привычной активности в кратчайшие сроки. Врачи рекомендуют индивидуальный подход к каждому пациенту, учитывая его состояние и особенности заболевания, что способствует успешному результату лечения.

Особенности строения коленного сустава
Коленный сустав состоит из трех костей:
- Мыщелки бедренной кости.
- Мыщелки большеберцовой кости.
- Надколенник.
Форма коленного сустава напоминает блок. В нем возможны следующие движения:
- сгибание на 135°;
- разгибание на 3°;
- вращение вокруг вертикальной оси на 10°.
Ключевые элементы коленного сустава:
- Суставные мениски (правый и левый). Мыщелки бедра больше, чем мыщелки большеберцовой кости. Это несоответствие компенсируется хрящами – наружным и внутренним менисками. Верхняя часть мениска соответствует форме мыщелка бедренной кости, а нижняя – мыщелку большеберцовой кости. Мениски также выполняют амортизирующую функцию. Артроскопию часто проводят при подозрении на их повреждение.
- Внутрисуставные крестообразные связки. Соединяют бедренную и большеберцовую кости, обеспечивая стабильность сустава. Повреждение этих связок может стать основанием для артроскопии.
- Синовиальные сумки. Небольшие мешочки из соединительной ткани, заполненные синовиальной жидкостью. Вокруг коленного сустава располагается около 10 таких сумок, некоторые из которых соединяются с суставной полостью.
Кровоснабжение коленного сустава осуществляется подколенной артерией, проходящей позади в подколенной ямке. Качество кровоснабжения зависит от образа жизни и физической активности.
Вокруг коленного сустава находятся жировые тела, выполняющие амортизирующую функцию.
Плечевой сустав формируется из двух костей:
- Головка плечевой кости.
- Суставная впадина лопатки.
Плечевой сустав имеет шаровидную форму.
Возможные движения:
- сгибание и разгибание;
- отведение и приведение;
- вращение вокруг вертикальной оси наружу и внутрь.
Плечевой сустав отличается высокой подвижностью, позволяя выполнять все виды движений, но также уязвим из-за тонкой суставной капсулы, что предрасполагает к вывихам.
Ключевые элементы плечевого сустава:
- Суставная губа. Головка плеча имеет шаровидную форму, а суставная впадина на лопатке – чашеобразную. Суставная губа, представляющая собой хрящ, обрамляет края впадины.
- Суставная капсула. Тонкая и может растягиваться. Если капсула прикрепляется к лопатке слишком высоко, образуется карман, соединяющийся с суставной полостью.
Кровоснабжение плечевого сустава осуществляется через подмышечную артерию, продолжение подключичной артерии.
Современные технологии позволяют проводить артроскопию практически любого сустава.
Кроме коленного и плечевого суставов, часто исследуют:
- лучезапястный сустав;
- локтевой сустав;
- суставы позвоночника;
- голеностопный сустав;
-
суставы стоп.
-
Перед операцией необходимо пройти обследование, включая общий анализ крови, мочи, ЭКГ и консультации у специалистов.
- Накануне операции запрещается есть и пить после полуночи и утром.
- Рекомендуется сделать очистительную клизму накануне операции.
- Перед вмешательством волосы в области сустава следует сбрить.
- Если планируется артроскопия коленного сустава, стоит заранее позаботиться о покупке или аренде костылей.
- Вечером перед операцией пациенту может быть предложено легкое снотворное.
Накануне операции с пациентом беседуют хирург и анестезиолог, предоставляя информацию о процедуре, наркозе, возможных осложнениях и рисках. Пациент подписывает согласие на операцию и анестезию.
Обычно вмешательство проводится под общим масочным или эндотрахеальным наркозом. В редких случаях артроскопию можно выполнить под местной анестезией, но этот метод используется редко, так как местная анестезия не всегда обеспечивает длительное обезболивание.
Иногда применяется спинномозговая анестезия, при которой анестетик вводится в позвоночный канал.
- Артроскоп. Специализированный эндоскоп, представляющий собой жесткую металлическую трубку диаметром 4-5 мм с системой линз для получения изображения.
- Троакар. Острый инструмент для прокалывания тканей. Хирург прокалывает жировую клетчатку и суставную капсулу с помощью троакара, попадая в полость сустава.
- Канюля для подачи жидкости. Сустав заполняется жидкостью под давлением для улучшения видимости, чаще всего используется стерильный физраствор.
- Канюля для отвода жидкости. Позволяет промывать полость сустава, что необходимо при наличии кровотечения.
- Артроскопический зонд. Изогнутый металлический стержень для отодвигания структур для лучшего осмотра полости сустава.
-
Эндоскопические инструменты.
-
Пациента укладывают на операционном столе на спину. Колено, на котором будет проводиться операция, должно быть согнуто под углом 90°. Ногу помещают в специальный держатель или укладывают бедро на край стола.
- После начала действия наркоза на голень и бедро накладывают эластичный бинт для уменьшения кровенаполнения сосудов.
- Затем на бедро накладывают жгут, а бинт снимают.
- Первым в полость коленного сустава вводят артроскоп. Хирург делает надрез на коже, затем прокалывает подкожный жир и суставную капсулу с помощью троакара.
- Обычно делают еще два прокола для инструментов и канюли для промывания. Всего в области коленного сустава существует 8 возможных точек для проколов во время артроскопии.
- Врач осматривает все внутрисуставные структуры и может провести артроскопическую операцию.
Сроки пребывания пациента в стационаре зависят от заболевания и типа операции – от нескольких часов до 1-3 суток, чаще всего – 15-30 часов.
Основные реабилитационные мероприятия:
- Обеспечение покоя для ноги. Используется гипсовый лангет или ортезная повязка.
- Бинтование ноги эластичным бинтом и ношение компрессионного белья (обычно в течение 3-5 дней после артроскопии). Ногу рекомендуется держать в приподнятом положении.
- Введение антибиотиков. Обычно один или два раза для предотвращения инфекций.
- Обезболивающие препараты при необходимости.
- Массаж. Проводится по назначению врача для улучшения оттока лимфы.
- Лечебная гимнастика. В первый день после артроскопии с пациентом начинает заниматься врач ЛФК.
Восстановление подвижности в коленном суставе должно происходить постепенно, начиная с простых упражнений.
Ранки в местах введения артроскопа и других инструментов обычно заживают в течение 2 дней. Полное восстановление функций сустава может занять 2-3 месяца.
- Пациента укладывают на операционном столе так, чтобы хирургам было удобно получить доступ к плечевому суставу. Чаще всего его помещают на здоровый бок, а больную руку отводят вверх.
- Проводится пункция плечевого сустава: в него вводят иглу от шприца и подают физиологический раствор для растяжения полости сустава.
- Затем делают надрез на коже и суставную полость прокалывают троакаром. Вводят артроскоп и проводят осмотр. Через артроскоп подают физиологический раствор для промывания.
-
При необходимости делают дополнительные проколы для хирургических инструментов.
-
Введение антибиотиков. Осуществляется после операции 1 или 2 раза для предотвращения инфекционных осложнений.
- Обезболивающие препараты при необходимости.
- Холод на область сустава.
- Ношение специальной ортезной повязки, фиксирующей плечо в слегка отведенном состоянии, обычно в течение 3-4 недель.
- Лечебная физкультура. Начинается с первых дней, постепенно увеличивая объем движений и нагрузки на сустав.
- Ограничение физических нагрузок в течение 4-6 месяцев. После этого функция сустава полностью восстанавливается.
| Показание | Описание |
| Неясный диагноз | Артроскопия применяется, когда другие диагностические методы не дали результата. С помощью артроскопии можно выявить: * Повреждения коленных менисков. Особенно актуально для спортсменов. * Повреждения суставных хрящей. Врач может увидеть эрозии, отслойку, выбухания, шероховатости. * Патологические изменения синовиальной оболочки. * Повреждения жирового тела коленного сустава. * Повреждения крестообразных связок. * Гемартроз – скопление крови в суставной полости. * Свободные хондромные тела в суставе. |
| Подготовка к открытой операции на суставе | Если диагноз установлен, артроскопия помогает: * уточнить характер повреждений; * выявить скрытые повреждения; * спланировать вид и объем хирургического вмешательства. |
| Острая травма коленного сустава с кровоизлиянием | Артроскопия помогает правильно спланировать лечение. |
| Контроль после открытых операций на коленном суставе | Цели контрольной артроскопии: * оценка регенерации тканей; * оценка надежности фиксации трансплантата; * выявление осложнений. |
| Рецидив симптомов после лечения | Артроскопия помогает выявить причины повторных симптомов. |
| Возникновение новых симптомов | Новые симптомы после диагноза обычно являются показанием к артроскопии. |
| Показание | Описание |
| Хронические боли в плечевом суставе | Артроскопия помогает установить причину длительных болей. |
| Нестабильность плечевого сустава | Состояние, при котором связочный аппарат не удерживает головку плечевой кости. Это приводит к вывихам. Артроскопия может выявить повреждения суставной губы, капсулы, связок. |
| Разрыв вращательной манжеты | Разрыв приводит к болям и ограничению движений. Артроскопия позволяет выявить и устранить разрыв. |
| Подозрение на повреждение хрящевой губы | Повреждение может произойти при травмах и заболеваниях. Артроскопия помогает в диагностике. |
| Импичмент-синдром | Воспаление и образование костных выростов в области вращательной манжетки. Симптомы: * тупая боль в плече; * острая резкая боль при попытке достать рукой до заднего кармана; * постепенное нарушение подвижности сустава. Артроскопия позволяет увидеть причины. |
| Подозрение на хондроматоз | Хондроматоз – утолщение синовиальной оболочки с образованием хрящевых узелков. Симптомы: * боли; * хруст; * нарушение подвижности. Артроскопия позволяет осмотреть синовиальную оболочку. |
| Повреждения длинной головки двуглавой мышцы | Основная причина – травма. Артроскопия позволяет выявить повреждение и его характер. |
| Показание | Описание, виды хирургических вмешательств |
| Повреждения менисков | Показания к операции: * отрыв частей мениска; * разрыв мениска; * другие повреждения, при которых консервативное лечение не дало результата. Хирург может сшить разорванный мениск или провести менискэктомию. |
| Разрывы крестообразных связок | Разрыв нарушает стабильность коленного сустава. Виды операций: * Сшивание связок; * трансплантаты из сухожилия. |
| Повреждения синовиальной оболочки | Хирург может обнаружить поврежденный участок и иссечь его. |
| Повреждения суставных хрящей | Артроскопия позволяет выявлять повреждения, которые не обнаруживаются при других исследованиях. Врач может удалить патологические разрастания и осуществить пластику дефектов. |
| Деформирующий артроз | Если остеоартроз сопровождается образованием хондромных тел, проводится операция для их удаления. |
| Ревматоидный артрит | При хроническом воспалении синовиальной оболочки выполняется артроскопическая синовэктомия. |
| Травмы надколенника | Артроскопия восстанавливает целостность надколенника и связок. |
| Показание | Какая артроскопическая операция может быть выполнена? |
| Нестабильность плечевого сустава | Чаще всего причиной является отрыв суставной губы и связок. Во время артроскопии фиксируют оторвавшиеся ткани. |
| Повреждение вращательной манжеты | Хирург осматривает мышцы, находит место разрыва и ушивает поврежденную мышцу. |
| Импичмент-синдром | Артроскопия выполняется, когда консервативное лечение не дало результата. Врач уменьшает костную ткань и удаляет суставную сумку. |
| Свободные тела в полости плечевого сустава | Артроскопия позволяет удалять хондромные тела с минимальным повреждением сустава. |
| Повреждение Банкарта | Отрыв суставной капсулы и губы от кости. Лечение заключается в наложении артроскопического шва. |
| Воспаление сухожилия и нестабильность длинной головки двуглавой мышцы | Осуществляется артроскопический тенодез. |
| Привычный вывих плеча | Осуществляется внесуставная стабилизация. |
| Вдавленный перелом шейки плеча | Проводится деротационная остеотомия. |
Абсолютные противопоказания:
- Костный или фиброзный анкилоз – суставная щель зарастает, движения невозможны.
- Инфицированная рана.
- Гнойное воспаление в тканях вокруг сустава.
- Общее тяжелое состояние пациента.
Относительные противопоказания:
- Обширные повреждения связок и капсулы.
-
Массированные кровоизлияния в сустав.
-
Малая травматичность. При открытой операции требуется разрез 10-20 см, при артроскопии – 3-5 мм.
- Короткий период реабилитации. После открытой операции трудоспособность восстанавливается через 4-6 недель, после артроскопии – через 2-3 недели.
- Быстрая выписка из стационара. После артроскопии можно покинуть стационар через 1-3 дня, после открытой операции – через 14-25 дней.
- Легче переносится артроскопия. Симптомы менее выражены.
- Некоторые операции стали возможны только благодаря артроскопии. Например, удаление хондромных тел.
Артроскопия не всегда возможна, иногда требуется открытое вмешательство.
| Характеристика | Артроскопия коленного сустава | Артроскопия плечевого сустава |
|---|---|---|
| Показания | Повреждение менисков (разрыв, киста), повреждение связок (крестообразных, коллатеральных), повреждение хряща (хондромаляция, отрыв), свободные внутрисуставные тела, синовит, артроз на ранних стадиях, повреждения надколенника | Повреждение вращательной манжеты (разрыв сухожилий), нестабильность плеча (вывих, подвывих), импинджмент-синдром, повреждение хряща (лабропатия), артроз на ранних стадиях, тендинит, бурсит |
| Противопоказания | Тяжелые сопутствующие заболевания (сердечно-сосудистая недостаточность, дыхательная недостаточность), инфекционные заболевания, выраженные нарушения свертываемости крови, непереносимость анестезии, тяжелые деформации сустава, необратимые изменения в суставе | Тяжелые сопутствующие заболевания (аналогично коленному суставу), инфекционные заболевания, выраженные нарушения свертываемости крови, непереносимость анестезии, тяжелые деформации сустава, необратимые изменения в суставе |
| Преимущества метода | Минимально инвазивная процедура, малая травматичность, короткий период реабилитации, быстрый возврат к активной жизни, высокая точность хирургического вмешательства, меньший риск осложнений по сравнению с открытой хирургией | Минимально инвазивная процедура, малая травматичность, короткий период реабилитации, быстрый возврат к активной жизни, высокая точность хирургического вмешательства, меньший риск осложнений по сравнению с открытой хирургией |
| Реабилитация | Иммобилизация (по показаниям), ЛФК, физиотерапия, массаж, медикаментозная терапия (противовоспалительные, обезболивающие), постепенное увеличение нагрузки на сустав | Иммобилизация (по показаниям), ЛФК, физиотерапия, массаж, медикаментозная терапия (противовоспалительные, обезболивающие), постепенное увеличение нагрузки на сустав |
Артроскопия — это минимально инвазивная хирургическая процедура, которая позволяет врачам диагностировать и лечить заболевания суставов, таких как коленный и плечевой. Многие пациенты отмечают, что благодаря этому методу они избавились от хронической боли и улучшили подвижность. Показания к артроскопии включают повреждения мениска, разрывы связок и воспалительные процессы. Однако существуют и противопоказания, такие как инфекционные заболевания или серьезные сопутствующие патологии. Преимущества артроскопии заключаются в меньшем размере разрезов, быстром восстановлении и снижении риска осложнений. Реабилитация после процедуры обычно занимает от нескольких недель до нескольких месяцев, в зависимости от сложности вмешательства и индивидуальных особенностей пациента. Многие отмечают, что с помощью реабилитационных упражнений и физиотерапии они быстро возвращаются к активной жизни.

Особенности строения плечевого сустава
Плечевой сустав состоит из двух основных костей:
- Головка плечевой кости.
- Суставная впадина лопатки.
Плечевой сустав имеет шарообразную структуру.
Доступные движения:
- сгибание и разгибание;
- отведение и приведение;
- вращение внутрь и наружу вокруг вертикальной оси.
Плечевой сустав обладает высокой подвижностью, что позволяет выполнять разнообразные движения. Однако его конструктивные особенности и тонкая суставная капсула делают его уязвимым к вывихам.
Ключевые элементы плечевого сустава:
- Суставная губа. Головка плеча имеет шаровидную форму, а суставная впадина лопатки напоминает чашу. Она небольшая и не охватывает головку полностью, поэтому дополнена суставной губой — хрящом, обрамляющим ее край.
- Суставная капсула. Эта капсула тонкая и способна значительно растягиваться. Если капсула прикрепляется к лопатке на высоком уровне, она образует карман, соединяющийся с суставной полостью.
Кровоснабжение плечевого сустава осуществляется подмышечной артерией, продолжением подключичной артерии.
Какие еще суставы можно исследовать при помощи артроскопии?
Современные технологии позволяют проводить артроскопию на любом суставе.
Помимо коленного и плечевого, часто исследуются:
- лучезапястный сустав;
- локтевой сустав;
- суставы позвоночника;
- голеностопный сустав;
- суставы стоп.

Подготовка к артроскопии
Перед операцией необходимо пройти обследования: общий анализ крови и мочи, электрокардиограмму, а также другие исследования и консультации специалистов.
В ночь перед операцией и утром в день вмешательства запрещено есть и пить.
Рекомендуется сделать очистительную клизму вечером перед операцией.
Перед процедурой нужно удалить волосы в области сустава.
Если планируется артроскопия коленного сустава, стоит заранее позаботиться о костылях.
Вечером накануне операции пациенту может быть предложено легкое снотворное.
Накануне операции хирург и анестезиолог проводят беседу с пациентом, объясняя детали вмешательства и анестезии, а также обсуждая возможные осложнения и риски. Пациент должен подписать согласие на операцию и анестезию.
Какое обезболивание проводят во время артроскопии?
Операцию обычно выполняют под общим наркозом, который может быть масочным или эндотрахеальным (с трубкой в трахее). Также возможна артроскопия с местной анестезией, при которой сустав обкалывают анестетиком. Этот метод используется редко, так как местная анестезия не обеспечивает достаточной продолжительности действия и не устраняет все неприятные ощущения.
В некоторых случаях применяется спинномозговая анестезия, при которой анестетик вводится в позвоночный канал, обеспечивая обезболивание на уровне спинного мозга.
Какое оборудование используется для артроскопии?
-
Артроскоп. Специализированный эндоскоп в виде жесткой металлической трубки диаметром 4-5 мм с системой линз, позволяющий получать изображение на экран. Подключается световой кабель для освещения.
-
Троакар. Острый инструмент для прокола тканей. После небольшого надреза кожи хирург использует троакар для прокалывания жировой клетчатки и суставной капсулы.
-
Канюля для подачи жидкости в сустав. Для улучшения обзора сустав заполняется жидкостью под давлением, чаще всего стерильным физраствором. Металлическая канюля для подачи жидкости имеет краник для регулировки потока.
-
Канюля для отвода жидкости. Две канюли – для подачи и отвода – позволяют промывать полость сустава, что важно при кровотечениях, затрудняющих визуализацию. Сустав можно промывать антисептическими растворами.
-
Артроскопический зонд. Изогнутый металлический стержень, позволяющий хирургу отодвигать структуры для детального осмотра полости сустава. На зонд нанесены метки для оценки размеров образований.
-
Разнообразные эндоскопические инструменты.
Артроскопия коленного сустава: ход операции
Пациента укладывают на операционный стол на спину. Нога, на которой будет операция, согнута под углом 90 градусов. Для этого используют специальный держатель или располагают бедро на краю стола, а голень свисает вниз.
Когда наркоз начинает действовать, на голень и бедро накладывают эластичный бинт для снижения кровенаполнения сосудов.
Затем на бедро накладывают жгут, а бинт убирают.
В полость коленного сустава вводят артроскоп. Хирург делает небольшой разрез кожи с помощью скальпеля, затем прокалывает подкожный жир и суставную капсулу троакаром, попадая в полость сустава.
Обычно выполняются два дополнительных прокола для ввода инструментов и канюли для промывания сустава. В области коленного сустава есть восемь возможных точек для проколов во время артроскопии.
Врач исследует все внутрисуставные структуры и при необходимости проводит артроскопическую операцию.
Реабилитация после артроскопии коленного сустава
Сроки нахождения пациента в стационаре зависят от заболевания и типа операции. Они варьируются от нескольких часов до 1-3 суток, но чаще составляют 15-30 часов.
Основные реабилитационные мероприятия:
- Обеспечить ноге полный покой с помощью гипсовой лангеты или ортезной повязки.
- Для улучшения оттока крови и предотвращения отеков и тромбообразования врач назначает бинтование ноги эластичным бинтом и ношение компрессионного белья (обычно 3-5 дней после артроскопии). Рекомендуется держать ногу в приподнятом положении.
- Назначение антибиотиков для предотвращения инфекционных осложнений, обычно один или два раза.
- При болевых ощущениях – применение обезболивающих средств.
- Массаж по рекомендации врача для улучшения лимфооттока.
- Лечебная гимнастика начинается с пациентом в первый день после артроскопии.
Восстановление подвижности в коленном суставе должно происходить постепенно, начиная с простых упражнений.
Заживление ран в местах введения артроскопа и инструментов обычно происходит в течение 2 дней. Полное восстановление функций сустава может занять от 2 до 3 месяцев.
Артроскопия плечевого сустава: ход операции
Пациента укладывают на операционный стол для удобного доступа к плечевому суставу. Обычно его располагают на здоровом боку, а поврежденную руку поднимают и вытягивают с помощью груза.
Затем выполняется пункция плечевого сустава: иглу шприца вводят в сустав и подают физиологический раствор для расширения полости, что позволяет ввести артроскоп без повреждения хрящевой ткани.
Далее делают разрез на коже и прокалывают суставную полость троакаром. Вводят артроскоп и проводят осмотр. Через артроскоп подают физиологический раствор для промывания и улучшения видимости.
При необходимости выполняются дополнительные проколы для введения хирургических инструментов.
Реабилитация после артроскопии плечевого сустава
- Применение антибиотиков. Антибиотики вводят один или два раза после операции для предотвращения инфекций.
- Обезболивание по необходимости.
- Применение холода на сустав.
- Использование ортезной повязки, фиксирующей плечо в слегка отведенном положении, обычно на 3-4 недели.
- Лечебная физкультура. Начинается с первых дней после операции с постепенным увеличением объема движений и нагрузки. Занятия проводит врач ЛФК по индивидуальному плану.
- Ограничение физических нагрузок на 4-6 месяцев. После этого функция сустава восстанавливается полностью.
Показания к проведению диагностической артроскопии
Показания к проведению диагностической артроскопии коленного сустава
| Показание | Описание |
| Неопределенный диагноз | Артроскопия применяется, когда другие методы диагностики не дали результатов. С помощью артроскопии можно обнаружить: * Повреждения менисков колена, что важно для спортсменов, часто сталкивающихся с травмами. * Повреждения суставного хряща: врач может заметить эрозии, отслойки, выпячивания и шероховатости. * Патологии синовиальной оболочки – внутреннего слоя суставной капсулы. * Повреждения жирового тела колена. * Повреждения крестообразных связок колена. * Гемартроз – скопление крови в суставной полости. * Свободные хондромные тела в суставе (костно-хрящевые фрагменты, вызывающие боль и блокирующие сустав) при деформирующем артрозе и других заболеваниях. Это определяет необходимость хирургического вмешательства. |
| Подготовка к открытой операции на суставе | При установленном диагнозе артроскопия помогает: * уточнить характер повреждений; * выявить скрытые травмы; * спланировать тип и объем хирургического вмешательства, восстановительное лечение и прогноз. |
| Острая травма коленного сустава с кровоизлиянием в суставную полость | Артроскопия позволяет определить тактику лечения. |
| Контроль после открытых операций на коленном суставе | Цели контрольной артроскопии после операции: * оценка регенерации и восстановительных процессов в тканях; * проверка надежности фиксации трансплантата; * выявление осложнений: инфекции, остеоартрит, артрофиброз. |
| Рецидив симптомов после лечения | Артроскопия помогает выяснить причины повторного появления симптомов, если их источник неясен. |
| Появление новых симптомов | Если после диагноза возникли новые симптомы, это основание для проведения артроскопии. |
Показания к проведению диагностической артроскопии плечевого сустава
| Показание | Описание |
| Хронические боли в плечевом суставе | Артроскопия помогает выявить источник длительных болей, включая патологические изменения внутри сустава. |
| Нестабильность плечевого сустава | Это состояние, при котором связки не удерживают головку плечевой кости в суставной впадине, что приводит к вывихам и подвывихам. Артроскопия может обнаружить повреждения суставной губы, капсулы и связок. |
| Разрыв вращательной манжеты плечевого сустава | Вращательная манжета состоит из мышц, окружающих плечевой сустав. Разрыв вызывает боль и может ограничить движения. Артроскопия позволяет выявить и устранить разрыв сухожилий манжеты. |
| Подозрение на повреждение хрящевой губы | Повреждение хрящевой губы может возникнуть из-за травм или заболеваний. Диагностика затруднена, поэтому врачи используют артроскопию для уточнения диагноза. |
| Импичмент-синдром | Импичмент-синдром возникает из-за воспаления и костных выростов в области вращательной манжеты. Симптомы: * тупая боль в плече, усиливающаяся при поднятии руки и в положении на больной стороне; * острая боль при попытке дотянуться до заднего кармана; * ограничение подвижности сустава. Артроскопия позволяет увидеть причины синдрома. |
| Подозрение на хондроматоз | При хондроматозе синовиальная оболочка становится плотной, на ней образуются хрящевые узелки. Симптомы: * боли; * хруст; * ограничение подвижности; * отечность. Артроскопия позволяет осмотреть синовиальную оболочку и выявить узелки. |
| Повреждения длинной головки двуглавой мышцы плеча (бицепса) | Основная причина повреждений — травма. Артроскопия помогает определить характер и степень повреждения. |
Показания к проведению артроскопических операций
Показания к проведению артроскопических операций на коленном суставе
| Показание | Описание и виды хирургических вмешательств |
| Повреждения менисков | Показания к операции: * отрыв частей мениска; * разрыв мениска; * сдавление мениска; * другие травмы, не поддающиеся консервативному лечению. Во время артроскопии хирург может сшить разорванный мениск. При значительном разрыве и дегенеративных изменениях выполняется менискэктомия – удаление мениска. |
| Разрывы крестообразных связок | Разрыв крестообразных связок нарушает стабильность коленного сустава, приводит к потере опорной функции и постоянным болям. Со временем могут развиваться дегенеративные изменения, что приводит к артрозу. Виды артроскопических операций: * Сшивание крестообразных связок. * Если восстановить их невозможно, используются трансплантаты из сухожилий надколенника, мышц нижней конечности или синтетических материалов. |
| Повреждения и заболевания синовиальной оболочки | Во время артроскопии хирург может выявить поврежденный участок синовиальной оболочки коленного сустава и удалить его. |
| Повреждения и заболевания суставных хрящей | Артроскопия позволяет обнаружить повреждения суставных хрящей, которые могут быть не видны при других исследованиях. В процессе вмешательства врач может удалить патологические разрастания на хряще и выполнить пластику дефектов. |
| Деформирующий артроз | При деформирующем остеоартрозе, сопровождающемся образованием хондромных тел – мелких костно-хрящевых фрагментов, вызывающих боль и блокировку сустава, проводится артроскопическая операция для их удаления. |
| Ревматоидный артрит | При ревматоидном артрите с хроническим воспалением синовиальной оболочки выполняется её иссечение – артроскопическая синовэктомия. |
| Травмы надколенника – переломы, вывихи | Артроскопия эффективно восстанавливает целостность надколенника и связок, к нему прикрепленных. |
Показания к проведению артроскопических операций на плечевом суставе
| Показание | Какие артроскопические операции могут быть проведены? |
| Нестабильность плечевого сустава | Основная причина нестабильности — отрыв суставной губы и связок от суставной впадины на лопатке. Артроскопия позволяет фиксировать оторванные ткани к кости. |
| Повреждение вращательной манжеты плеча | Хирург осматривает мышцы вращательной манжеты, определяет место разрыва и выполняет ушивание поврежденной мышцы. |
| Импичмент-синдром | Артроскопия применяется, если консервативное лечение неэффективно. Во время операции уменьшается объем костной ткани на акромиальном отростке лопатки и удаляется суставная сумка, создавая пространство для сухожилия. |
| Свободные тела в полости плечевого сустава | При заболеваниях и травмах могут образовываться хондромные тела из костной и хрящевой ткани. Артроскопия позволяет удалять эти фрагменты с минимальным повреждением сустава, в отличие от открытых операций. |
| Повреждение Банкарта | Это отрыв суставной капсулы и губы от кости, возникающий при травмах плеча. Лечение включает артроскопический шов, который устраняет причину вывиха и является малотравматичным. |
| Воспаление сухожилия и нестабильность длинной головки двуглавой мышцы плеча (бицепса) | Выполняется артроскопический тенодез: хирург ослабляет прикрепление сухожилия к кости и фиксирует его в новом желобе. |
| Привычный вывих плеча | Привычный вывих — травма, возникающая без значительных усилий, часто из-за неправильного лечения предыдущих травм. При этом проводится внесуставная стабилизация: хирург перемещает длинную головку бицепса для стабилизации сустава. |
| Вдавленный перелом шейки плеча | Вдавленный перелом может ограничивать движения в плечевом суставе. Проводится деротационная остеотомия: хирург пересекает плечевую кость и фиксирует её фрагменты в новом положении. |
Противопоказания к артроскопии
Абсолютные противопоказания (состояния, при которых хирург откажется от операции):
- Костный или фиброзный анкилоз – состояние, при котором суставная щель заполняется костной или плотной соединительной тканью, что делает движения невозможными. Диагноз устанавливается с помощью рентгенографии.
- Инфицированная рана.
- Гнойное воспаление в околосуставных тканях – инфекция может проникнуть в сустав.
- Общее тяжелое состояние пациента, при котором любые операции противопоказаны.
Относительные противопоказания (состояния, при которых операция возможна по решению врача):
- Широкие повреждения, включая разрыв связок и суставной капсулы, нарушающие герметичность сустава. В таких случаях хирург не сможет адекватно заполнить суставную полость жидкостью для осмотра.
- Сильные кровоизлияния в сустав, продолжающиеся кровотечения. Наличие крови в суставной полости затрудняет визуализацию внутрисуставных структур.
Преимущества артроскопии перед открытыми операциями на суставах:
- Низкая травматичность. При открытой операции разрез составляет 10-20 см, в то время как при артроскопии — всего 3-5 мм.
- Сокращенный период реабилитации. Восстановление после открытого вмешательства занимает 4-6 недель, а после артроскопии — 2-3 недели.
- Быстрая выписка из стационара. После артроскопии пациенты могут покинуть больницу через 1-3 дня, в то время как после открытой операции — через 14-25 дней.
- Легкость переноса артроскопии. Симптомы, такие как боль и отек, проявляются менее выраженно. После открытой операции воспалительная жидкость может скапливаться в суставной полости длительное время.
- Некоторые операции стали возможны благодаря артроскопии. Например, удаление хондромных тел, блокирующих сустав и вызывающих боль, стало более целесообразным, поскольку открытый разрез мог бы травмировать сустав.
Однако артроскопия не всегда возможна, и в некоторых случаях требуются открытые операции.
Вопрос-ответ
Какие противопоказания существуют к артроскопии коленного сустава?
Несмотря на малую травматичность операции, существуют противопоказания к проведению артроскопии коленного сустава: противопоказания к анестезии, инфицированные раны или гнойно-воспалительные заболевания кожи и подкожной клетчатки в области коленного сустава и нижней конечности, выраженный спаечный процесс в полости.
Чем опасна артроскопия плечевого сустава?
Осложнения после артроскопии. Основным побочным эффектом после артроскопии плечевого сустава является выраженный болевой синдром. Как правило, он ослабевает в течение недели после операции.
Чем опасна артроскопия коленного сустава?
Чем опасна артроскопия коленного сустава? Какие существуют риски операции? Есть небольшие риски кровотечений, тромбозов, инфекционных осложнений, повреждения связок или нервов. Но вероятность их значительно ниже, чем при проведении открытых операций на колене.
Что такое артроскопия?
Артроскопия — это малоинвазивный хирургический метод визуального исследования структур и содержимого полости сустава, а также лечебного воздействия на них с помощью тонких оптических и механических устройств, вводимых в полость сустава через проколы кожи.
Советы
СОВЕТ №1
Перед проведением артроскопии обязательно проконсультируйтесь с опытным ортопедом или травматологом. Они помогут вам понять, подходит ли данный метод лечения именно в вашем случае, а также объяснят все возможные риски и преимущества.
СОВЕТ №2
Обратите внимание на реабилитационный период после артроскопии. Следуйте рекомендациям врача по физической активности и упражнениям, чтобы ускорить восстановление и избежать осложнений. Регулярные занятия физиотерапией могут значительно улучшить результаты.
СОВЕТ №3
Не забывайте о важности предварительной диагностики. Убедитесь, что все необходимые исследования, такие как МРТ или рентген, были проведены, чтобы врач мог точно оценить состояние вашего сустава и выбрать оптимальный подход к лечению.
СОВЕТ №4
Если у вас есть хронические заболевания или вы принимаете какие-либо лекарства, обязательно сообщите об этом своему врачу перед операцией. Это поможет избежать возможных осложнений и обеспечит безопасность процедуры.










