Плевра и ее поражение
Плевра — серозная оболочка, окружающая легкие, состоит из двух слоев: париетального, покрывающего внутреннюю поверхность грудной клетки, и висцерального, обволакивающего легкие. Эти слои образуют непрерывную структуру, переходя друг в друга на уровне ворот легкого. Плевра состоит из мезотелиальных клеток на фиброэластичной основе, содержащей кровеносные и лимфатические сосуды, а также нервные окончания. Между слоями плевры находится узкое пространство с небольшим количеством жидкости, облегчающей скольжение плевральных листков при дыхании. Эта жидкость образуется фильтрацией плазмы через капилляры в области верхушек легких и всасыванием в париетальные сосуды. При патологии может происходить накопление плевральной жидкости из-за недостаточного всасывания или избыточной продукции.
Воспаление плевры с образованием избыточной жидкости может возникать из-за инфекций, травм, заболеваний средостения или системных нарушений. Место проживания и род деятельности человека также влияют на развитие плеврита и других легочных заболеваний, определяя степень воздействия токсичных веществ на дыхательную систему.
Ключевым признаком плеврита является плевральный выпот — избыточное скопление жидкости в плевральной полости. Это состояние не всегда сопровождает воспаление плевры, но наблюдается в большинстве случаев. В некоторых ситуациях плевральный выпот может возникать и без воспалительного процесса. Обычно его рассматривают как плевральный выпот, но в некоторых случаях он может классифицироваться как плеврит.
Врачи отмечают, что плеврит — это воспаление плевры, оболочки, покрывающей легкие. Основными причинами заболевания могут быть инфекции, такие как пневмония, а также травмы или опухоли. Симптомы плеврита включают резкую боль в грудной клетке, особенно при дыхании, кашле или чихании, а также одышку и лихорадку. Врачи подчеркивают важность своевременной диагностики, которая включает физикальное обследование, рентгенографию и, при необходимости, компьютерную томографию. Лечение зависит от причины плеврита: в случае бактериальной инфекции назначаются антибиотики, а при наличии жидкости в плевральной полости может потребоваться дренирование. Важно, чтобы пациенты не игнорировали симптомы и обращались за медицинской помощью, так как своевременное вмешательство может предотвратить серьезные осложнения.

Причины плеврита
Плеврит – заболевание, возникающее на фоне других патологий. Основная причина воспаления в плевральной полости – инфекции. Плеврит также может развиваться из-за системных заболеваний, опухолей или травм.
Некоторые исследователи включают в плеврит случаи плеврального выпота без явного воспалительного ответа, что некорректно, так как плеврит подразумевает воспаление.
Основные причины плеврита:
- инфекционные поражения плевры;
- туберкулез;
- аллергические воспалительные реакции;
- аутоиммунные и системные заболевания;
- воздействие химических веществ;
- травмы грудной клетки;
- ионизирующая радиация;
- действие ферментов поджелудочной железы;
- первичные и метастатические опухоли плевры.
| Причина плеврита | Симптомы и признаки | Диагностика и лечение |
|---|---|---|
| Инфекции (бактериальные, вирусные, грибковые) — пневмония, туберкулез, абсцесс легкого | Острая боль в груди, усиливающаяся при дыхании и кашле; сухой кашель; одышка; лихорадка; озноб; потливость; слабость; учащенное сердцебиение; цианоз (синюшность кожи); крепитация (хруст) при аускультации легких | Рентгенография грудной клетки; КТ грудной клетки; анализ крови (общий анализ, биохимический анализ, анализ на инфекции); плевральная пункция (торацентез) с анализом плевральной жидкости; бронхоскопия; Антибиотики (при бактериальной инфекции); противовирусные препараты (при вирусной инфекции); противогрибковые препараты (при грибковой инфекции); противовоспалительные препараты (НПВС); лечение основного заболевания; кислородная терапия; дренирование плевральной полости (при необходимости); хирургическое вмешательство (в редких случаях) |
| Аутоиммунные заболевания (ревматоидный артрит, системная красная волчанка) | Тупая, ноющая боль в груди; одышка; сухой или влажный кашель; лихорадка (может отсутствовать); утомляемость | Анализ крови на аутоантитела; Рентгенография грудной клетки; КТ грудной клетки; плевральная пункция; иммуносупрессивная терапия; лечение основного заболевания |
| Опухоли (рак легких, мезотелиома) | Боль в груди (может быть постоянной или периодической); одышка; кашель (может быть с кровью); потеря веса; слабость; утомляемость | Рентгенография грудной клетки; КТ грудной клетки; ПЭТ-КТ; биопсия плевральной ткани; химиотерапия; лучевая терапия; хирургическое вмешательство |
| Травмы грудной клетки | Острая боль в груди; одышка; кашель (может быть с кровью); гемоторакс (скопление крови в плевральной полости); пневмоторакс (скопление воздуха в плевральной полости) | Рентгенография грудной клетки; КТ грудной клетки; УЗИ грудной клетки; дренирование плевральной полости; хирургическое вмешательство |
| Плевральные эмпиемы (скопление гноя в плевральной полости) | Сильная боль в груди; высокая температура; одышка; кашель; слабость; утомляемость | Рентгенография грудной клетки; КТ грудной клетки; УЗИ грудной клетки; плевральная пункция; дренирование плевральной полости; антибиотикотерапия; хирургическое вмешательство |
| Пневмония | Острая боль в груди; кашель (может быть с мокротой); лихорадка; одышка; слабость | Рентгенография грудной клетки; анализ крови; культура мокроты; антибиотикотерапия; поддерживающая терапия |
| Тромбоэмболия легочной артерии | Острая боль в груди; одышка; кашель (может быть с кровью); учащенное сердцебиение; цианоз | ЭКГ; рентгенография грудной клетки; КТ ангиография легочных артерий; тромболитическая терапия; антикоагулянтная терапия |
Инфекционное поражение плевры
Инфекционное поражение плевры — одна из основных причин воспалительных процессов в плевральной полости, что может привести к образованию гнойного экссудата.
Инфекция плевры представляет серьезную угрозу для жизни пациента. Эффективная диагностика и лечение требуют слаженной работы пульмонологов, терапевтов, рентгенологов, микробиологов и, в некоторых случаях, торакальных хирургов. Терапия зависит от типа возбудителя, его агрессивности, чувствительности к антибиотикам, стадии болезни и характера воспалительного процесса.
Инфекционные плевриты могут возникать у людей всех возрастов, чаще у пожилых и детей. Мужчины заболевают почти в два раза чаще, чем женщины.
Факторы риска для инфекционного поражения плевры:
- Сахарный диабет. Нарушение функции поджелудочной железы приводит к недостаточной выработке инсулина, что снижает иммунную защиту. Высокий уровень глюкозы в крови способствует размножению бактерий.
- Алкоголизм. Хроническое злоупотребление алкоголем негативно влияет на печень, снижающую выработку антител. Алкоголики чаще получают травмы грудной клетки и подвержены инфекциям дыхательных путей.
- Ревматоидный артрит. Это аутоиммунное заболевание может вызывать поражение плевры и служит фактором риска для инфекций из-за применения иммунодепрессантов.
- Хронические заболевания легких. Хронический бронхит и обструктивная болезнь легких создают условия для инфекционного поражения плевры из-за длительных воспалительных процессов.
- Патологии желудочно-кишечного тракта. Заболевания зубов могут привести к накоплению инфекционных агентов в ротовой полости, а рефлюкс увеличивает риск инфицирования дыхательных путей.
Инфекционное поражение плевры возникает при проникновении патогенных микроорганизмов в плевральную полость, вызывая воспалительный ответ. Выделяют четыре основных пути проникновения возбудителей.
Способы попадания инфекционных агентов в плевральную полость:
- Контакт с инфекционным очагом в легких. Возбудители могут перейти в плевральную полость из близлежащих инфекционно-воспалительных процессов.
- С током лимфы. Микроорганизмы проникают в плевру через лимфатические сосуды.
- С током крови. Некоторые бактерии и вирусы могут попадать в кровоток и затем в различные органы.
- Прямой контакт с внешней средой (травмы). Проникающие травмы грудной клетки и хирургические вмешательства могут стать источником инфекции.
Часто пневмония сопровождается образованием плеврального выпота без инфицирования плевры, что связано с реактивным воспалительным процессом.
Группы микроорганизмов, вызывающих инфекционный плеврит:
- бактерии (стрептококки, стафилококки, пневмококки и др.);
- вирусы (грипп, парагрипп и др.);
- грибки (кандидоз, бластомикоз);
- паразиты (амебиаз, эхинококкоз).
Чаще всего плеврит вызывают бактерии, особенно стрептококки и стафилококки.
Под воздействием этих микроорганизмов развивается воспалительная реакция, направленная на устранение инфекционных агентов. Воспаление — это сложное взаимодействие между микроорганизмами, иммунными клетками и тканями плевры и легких.
Стадии развития плеврита:
- Фаза экссудации. Биологически активные вещества, выделяемые иммунными клетками, вызывают расширение сосудов и увеличение их проницаемости, что приводит к повышению продукции плевральной жидкости.
- Фаза образования гнойного экссудата. Прогрессирование воспалительного процесса приводит к образованию фибрина на плевре, увеличивая трение между листками плевры и образуя спайки. В плевральной полости накапливается гной.
- Стадия выздоровления. Происходит рассасывание патологических очагов или формирование соединительнотканных образований, ограничивающих инфекционно-воспалительный процесс. Образование фиброза может негативно сказаться на функции легких, снижая их подвижность и увеличивая толщину плевры. В некоторых случаях образуются спайки или полное заращение фиброзными волокнами.
Плеврит — это воспаление плевры, оболочки, окружающей легкие. Люди часто описывают его как болезненное состояние, сопровождающееся резкой болью в груди, особенно при дыхании или кашле. Основные причины плеврита включают инфекции, такие как пневмония, а также травмы и аутоиммунные заболевания. Симптомы могут варьироваться от одышки до сухого кашля и повышенной температуры.
Диагностика плеврита обычно включает физикальное обследование, рентгенографию грудной клетки и, в некоторых случаях, компьютерную томографию. Лечение зависит от причины заболевания: в случае инфекционного плеврита могут назначаться антибиотики, а при наличии жидкости в плевральной полости — дренирование. Важно своевременно обратиться к врачу, чтобы избежать осложнений и улучшить качество жизни.

Туберкулез
Хотя туберкулез — это бактериальная инфекция, его выделяют среди других заболеваний органов дыхания из-за высокой заразности и распространенности.
Туберкулезный плеврит возникает, когда микобактерии туберкулеза, известные как бацилла Коха, проникают в плевральную полость. Это наиболее распространенная форма внелегочной инфекции, развивающаяся при наличии первичных очагов в легких или других органах. Он может проявляться как на фоне первичного туберкулеза (чаще у детей и подростков), так и вторичного, возникающего при повторном заражении.
Микобактерии могут попасть в плевру тремя путями: лимфогенным и контактным (при первичном очаге в легких или позвоночнике) и гематогенным (если инфекция расположена в других органах, например, в желудочно-кишечном тракте или лимфатических узлах).
Развитие туберкулезного плеврита связано с воспалительной реакцией, поддерживаемой взаимодействием иммунных клеток (сначала нейтрофилов, затем лимфоцитов) и микобактериями. В процессе выделяются биологически активные вещества, влияющие на легкие и серозные оболочки, что поддерживает воспаление. В результате расширения сосудов и снижения оттока лимфы из плевральной полости образуется плевральный выпот с высоким содержанием лимфоцитов (более 85%).
Для развития туберкулезной инфекции необходимы определенные неблагоприятные условия. Большинство людей, даже при контакте с бациллой Коха, не заражаются. У многих микобактерии могут находиться в легких без проявления заболевания.
Факторы, способствующие развитию туберкулеза:
- Высокая концентрация инфекционных агентов. Вероятность заражения возрастает с количеством вдыхаемых бацилл. Это особенно актуально при совместном пребывании с больными туберкулезом в плохо проветриваемых помещениях.
- Длительность контакта. Продолжительное взаимодействие с инфицированными или нахождение в помещениях с микобактериями в воздухе увеличивает риск инфекции.
- Сниженный иммунитет. При нормальном иммунитете и регулярных вакцинациях организм успешно справляется с возбудителями туберкулеза. Однако при наличии патологий, снижающих иммунитет, даже небольшая доза инфекции может вызвать заболевание.
- Высокая вирулентность инфекции. Некоторые штаммы микобактерий обладают повышенной способностью к заражению, что может привести к инфицированию даже при малом количестве бацилл.
Снижение иммунитета может быть вызвано различными патологиями и приемом определенных лекарств.
Факторы, способствующие снижению иммунитета:
- хронические заболевания дыхательной системы;
- сахарный диабет;
- язвенная болезнь желудка и двенадцатиперстной кишки;
- хронический алкоголизм;
- лечение препаратами, подавляющими иммунитет (глюкокортикоиды, цитостатики);
- беременность;
- ВИЧ-инфекция (особенно на стадии СПИДа).
Аллергическая воспалительная реакция
Аллергическая реакция — это усиленный ответ иммунной системы на чуждые вещества. Плевра, содержащая множество иммунных клеток и сосудов, особенно чувствительна к биологически активным веществам, вызывающим воспаление при аллергии. Контакт с аллергеном может привести к плевриту и плевральному выпоту.
Плеврит может возникать при следующих типах аллергических реакций:
- Экзогенный аллергический альвеолит. Воспалительная реакция на внешние аллергены, часто затрагивающая легочную ткань, прилегающую к плевре. Наиболее распространенные аллергены — споры грибов, пыльца растений, домашняя пыль и некоторые медикаменты.
- Лекарственная аллергия. Частые аллергические реакции на медикаменты, включая антибиотики и местные анестетики. Реакция может развиваться в течение нескольких минут или часов после введения препарата, в зависимости от типа аллергии.
- Другие виды аллергий. Аллергические реакции, не затрагивающие легочную ткань, могут активировать иммунные клетки плевры, вызывая отек и экссудацию. После устранения аллергена воспаление уменьшается, и избыточная жидкость из плевральной полости начинает всасываться.
Истинные аллергические реакции не возникают при первом контакте с аллергеном, так как иммунные клетки еще не «знакомы» с ним. В процессе первого контакта аллерген обрабатывается, и иммунная система формирует механизмы для быстрой реакции при повторном контакте. Этот процесс занимает несколько дней, после чего контакт с аллергеном вызывает аллергическую реакцию.
Воспалительная реакция при аллергии лишь немного отличается от воспалительного процесса при инфекции. Микроорганизмы могут также провоцировать аллергическую реакцию в плевре, способствуя развитию плеврита и образованию экссудата.

Аутоиммунные и системные заболевания
Плеврит — распространенная форма поражения легких, возникающая при аутоиммунных и системных заболеваниях. Эта патология наблюдается у 50% пациентов с ревматоидным артритом, системной красной волчанкой, дерматомиозитом и другими заболеваниями соединительной ткани.
Аутоиммунные заболевания приводят к атаке иммунной системы на собственные ткани, чаще всего соединительную ткань. Это вызывает хроническое воспаление, затрагивающее суставы, кожу и легкие.
Плеврит может развиться при следующих системных заболеваниях:
- ревматоидный артрит;
- системная красная волчанка;
- склеродермия;
- дерматомиозит;
- гранулематоз Вегенера;
- синдром Чарга-Стросса;
- саркоидоз.
Аутоиммунная реакция вызывает воспаление, которое может затрагивать ткани плевры, приводя к плевриту. Он также может возникнуть косвенно из-за нарушения функций других органов, таких как сердце или почки, что приводит к образованию плеврального выпота. Клинически выраженный плеврит встречается редко, однако тщательное обследование показывает его широкое распространение.
Воздействие химических веществ
Некоторые химические вещества могут вызывать воспаление плевральных листков, приводя к сухому или выпотному плевриту. Также химическое повреждение легочных тканей может инициировать воспаление серозной оболочки.
Химические вещества проникают в полость плевры следующими путями:
- При открытых травмах. Открытая травма грудной клетки может привести к попаданию активных химических соединений, таких как кислоты и щелочи, в плевральную полость.
- При закрытых травмах грудной клетки. Закрытые травмы могут вызвать разрыв пищевода, что приведет к попаданию пищевых остатков или содержимого желудка в средостение и на париетальные листки плевры.
- При вдыхании химических веществ. Вдыхание опасных химикатов может вызвать ожоги дыхательных путей и воспаление легочной ткани.
- Инъекции химических веществ. Введение внутривенно неподходящих веществ может привести к их попаданию в легкие и плевру, нарушая их функционирование.
Химические вещества способствуют воспалительным процессам, нарушают целостность тканей и ослабляют местный иммунитет, создавая условия для инфекций.
Травма грудной клетки
Травмы грудной клетки могут вызвать воспалительные процессы и плевральный выпот из-за повреждения плевры или соседних органов, таких как пищевод.
При повреждении плевральных листков, будь то закрытые или открытые травмы, возникает воспалительная реакция, приводящая к увеличению продукции плевральной жидкости. Травма нарушает лимфообращение в области повреждения, что затрудняет отток жидкости и способствует образованию плеврального выпота. Проникновение инфекционных агентов также увеличивает риск посттравматического плеврита.
Травма пищевода, вызванная сильным ударом по грудной клетке, может привести к выходу пищи и желудочного содержимого в средостение. Разрыв пищевода часто сопровождается повреждением плевральных листков, что позволяет этим веществам попасть в плевральную полость и вызвать воспаление.
Воздействие ионизирующей радиации
Под воздействием ионизирующей радиации нарушается работа мезотелиальных клеток плевры, что вызывает воспалительную реакцию и образование плеврального выпота. Изменение функций и структуры молекул под радиацией приводит к повреждению тканей и высвобождению провоспалительных биологических веществ.
Воздействие ферментов поджелудочной железы
Плеврит и плевральный выпот наблюдаются у 10% пациентов с острым панкреатитом в течение 2-3 дней после начала заболевания. Обычно в плевральной полости скапливается небольшое количество жидкости, которая рассасывается самостоятельно после восстановления функции поджелудочной железы.
Плеврит возникает из-за воздействия ферментов поджелудочной железы на серозные оболочки. При воспалении эти ферменты попадают в кровь, вместо того чтобы транспортироваться в двенадцатиперстную кишку. Они могут повреждать кровеносные сосуды и соединительную ткань плевры, а также активировать иммунные клетки. В результате в плевральной полости накапливается экссудат из лейкоцитов, плазмы крови и разрушенных эритроцитов. Уровень амилазы в плевральном выпоте может значительно превышать ее концентрацию в крови.
Плевральный выпот при панкреатите указывает на серьезное повреждение поджелудочной железы и чаще встречается при панкреонекрозе.
Первичные и метастатические опухоли плевры
Плеврит, возникающий при злокачественных образованиях плевры, является распространенной патологией.
Плеврит может развиваться при следующих типах опухолей:
- Первичные опухоли плевры. Эти новообразования возникают из клеток плевры, чаще всего из мезотелиальных клеток, и называются мезотелиомами. Они составляют 5-10% всех опухолей плевры.
- Метастатические очаги в плевре. Метастазы представляют собой части опухоли, которые переместились из первичного очага в другом органе и развиваются в плевре. Чаще всего плеврит имеет метастатическую природу.
Воспалительная реакция возникает из-за патологических метаболитов, вырабатываемых опухолевыми тканями.
Плевральный выпот, наиболее частое проявление опухолевого плеврита, формируется в результате нескольких патологических механизмов. Опухолевый очаг уменьшает площадь функционирующей плевры, снижая ее способность к реабсорбции жидкости. Продукты опухолевых тканей увеличивают концентрацию белков в плевральной полости, что повышает онкотическое давление. Воспалительная реакция усиливает секрецию плевральной жидкости.
В клинической практике выделяют несколько типов плевритов, различающихся по характеру выпота и клиническим проявлениям. Это разделение условно, так как один тип может переходить в другой. Сухой и экссудативный плевриты рассматриваются как разные стадии одного процесса. Сначала развивается сухой плеврит, а экссудативный формируется при прогрессировании воспалительной реакции.
В клинической практике выделяют следующие виды плеврита:
- сухой (фибринозный) плеврит;
- экссудативный плеврит;
- гнойный плеврит;
- туберкулезный плеврит.
Сухой плеврит возникает на начальной стадии воспаления. На этом этапе в легких обычно нет инфекционных агентов, а изменения связаны с реактивным вовлечением сосудов и аллергическим компонентом.
При сухом плеврите увеличивается проницаемость сосудов, и в плевральную полость просачивается жидкий компонент плазмы и белки, среди которых важен фибрин. Молекулы фибрина объединяются, образуя нити, которые откладываются на серозной оболочке.
Минимальное количество выпота при сухом плеврите увеличивает трение между листками плевры, вызывая значительную боль, так как в плевре много нервных окончаний.
Воспалительный процесс затрагивает не только серозную оболочку, но и кашлевые рецепторы, что снижает их чувствительность и вызывает кашель.
Экссудативный плеврит представляет собой следующую стадию после сухого. Воспалительная реакция прогрессирует, увеличивается площадь пораженной серозной оболочки. Активность ферментов, расщепляющих фибрин, снижается, образуются плевральные карманы с гноем. Нарушается отток лимфы, что приводит к увеличению объема выпота и сдавлению нижних сегментов легкого, что может вызвать дыхательную недостаточность.
При экссудативном плеврите раздражение серозных оболочек и интенсивность боли несколько уменьшаются из-за накопления жидкости.
Гнойный плеврит (эмпиема плевры) характеризуется накоплением гнойного экссудата между листками серозной оболочки. Это тяжелая патология, связанная с интоксикацией организма и угрожающая жизни пациента.
Гнойный плеврит может развиваться как при инфекционном поражении плевры, так и при открытии абсцесса легкого.
Туберкулезный плеврит выделяется в отдельную категорию из-за частоты встречаемости. Он характеризуется медленным, хроническим течением с синдромом общей интоксикации и признаками поражения легких. Выпот содержит много лимфоцитов и может сопровождаться фибринозным плевритом.
Клиническая картина плеврита зависит от:
- причины плеврита;
- интенсивности воспалительной реакции;
- стадии заболевания;
- вида плеврита;
- объема экссудата;
- характера экссудата.
Симптомы плеврита:
- одышка;
- кашель;
- боль в груди;
- повышенная температура тела;
- смещение трахеи.
Одышка — наиболее распространенный симптом, возникающий как на фоне поражения легочной ткани, так и из-за снижения функционального объема легкого. Она может проявляться при физической нагрузке и даже в покое при тяжелом течении.
Одышка развивается постепенно и часто предшествует другим симптомам, таким как боль в груди и кашель. Если она сохраняется после лечения, это может указывать на снижение эластичности легочной ткани или наличие спаек.
Кашель при плеврите обычно сухой и непродуктивный, усиливается при изменении положения и вдохе. Боль в груди возникает из-за раздражения болевых рецепторов плевры и повышенного трения между листками плевры. Боль острая, усиливается при кашле и вдохе, уменьшается при задержке дыхания.
Повышение температуры тела — неспецифическая реакция на инфекцию или биологические вещества. Температура может варьироваться в зависимости от тяжести воспалительного процесса.
Варианты повышения температуры тела:
- Температура до 38 градусов. Характерна для небольших инфекционно-воспалительных очагов.
- Температура 38 – 39 градусов. Наблюдается при пневмониях и большинстве инфекций, затрагивающих плевру.
- Температура выше 39 градусов. Развивается при тяжелом течении заболевания и скоплении гноя.
Смещение трахеи указывает на избыточное давление со стороны одного из легких, возникает при массивном плевральном выпоте.
При плеврите могут наблюдаться и другие симптомы, зависящие от основной патологии, что имеет важное диагностическое значение.
Диагностика плеврита обычно не представляет трудностей, но сложность заключается в определении причины воспаления.
Методы обследования для диагностики плеврита:
- осмотр и опрос пациента;
- клиническое обследование;
- рентгенологическое исследование;
- анализ крови;
- анализ плеврального выпота;
- микробиологическое исследование.
Во время опроса врач выясняет клинические симптомы, время их появления и возможные провоцирующие факторы.
Патологические признаки при осмотре:
- отклонение трахеи в здоровую сторону;
- посинение кожных покровов;
- признаки травматизма грудной клетки;
- выбухание в области межреберных промежутков;
- наклон тела в пораженную сторону;
- выбухание вен шеи;
- отставание пораженной половины грудной клетки.
Клиническое обследование включает:
- Аускультация. Выслушивание звуков с помощью стетоскопа. При плевритах может быть слышен шум трения плевры.
- Перкуссия. Выстукивание органов для определения наличия жидкости в легких.
- Пальпация. Ощупывание для выявления болезненности и других признаков.
Данных клинического обследования часто достаточно для диагностики, но они не позволяют точно определить причину.
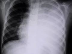
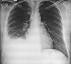
Рентгенологическое обследование — один из наиболее информативных методов, позволяющий выявить признаки воспаления и количество жидкости в плевральной полости.
Признаки при сухом плеврите на рентгене:
- купол диафрагмы с пораженной стороны выше нормы;
- снижение прозрачности легочной ткани.
Признаки при выпотном плеврите:
- сглаживание диафрагмального угла;
- однородное затемнение нижней области легочного поля;
- смещение средостения в сторону здорового легкого.
В общем анализе крови выявляются признаки воспалительной реакции, а биохимический анализ позволяет определить изменение соотношения белков.
Анализ плеврального выпота помогает установить причину патологии.
Лабораторный анализ плеврального выпота позволяет определить:
- количество и тип белков;
- концентрацию глюкозы;
- концентрацию молочной кислоты;
- количество и тип клеточных элементов;
- наличие бактерий.
Микробиологическое исследование позволяет выявить инфекционных агентов.
Лечение плеврита направлено на стабилизацию состояния пациента и устранение причины заболевания. Используются различные медикаменты и процедуры.
В большинстве случаев плеврит имеет инфекционную природу, поэтому лечится антибактериальными препаратами. Выбор препаратов основывается на диагностических данных и чувствительности микроорганизмов.
Препараты, используемые для лечения плеврита:
| Группа препаратов | Основные представители | Механизм действия | Дозировка и способ применения |
| Антибиотики | Ампициллин с сульбактамом | Блокирует размножение чувствительных бактерий. | Внутривенные или внутримышечные инъекции в дозе 1,5 – 12 грамм в сутки. |
| Имипенем с Циластатином | Вызывает гибель бактерий. | Внутривенно или внутримышечно в дозе 1 – 3 грамма в сутки. | |
| Клиндамицин | Блокирует синтез белков бактерий. | Внутривенно, внутримышечно или внутрь в дозе 150 – 2700 мг в сутки. | |
| Цефтриаксон | Нарушает синтез клеточной стенки бактерий. | Внутривенно или внутримышечно в дозе 1 – 2 грамма в сутки. | |
| Мочегонные препараты | Фуросемид | Увеличивает выведение воды из организма. | Внутрь в дозе 20 – 40 мг. |
| Регуляторы водно-электролитного баланса | Физиологический раствор и раствор глюкозы | Ускоряет почечную фильтрацию. | Вводится внутривенно. |
| Нестероидные противовоспалительные препараты | Диклофенак, ибупрофен, мелоксикам | Блокируют провоспалительные вещества. | Дозировка зависит от препарата. |
| Глюкокортикостероиды | Преднизолон | Предотвращает синтез провоспалительных веществ. | Внутрь или внутримышечно в дозе 30 – 40 мг в сутки. |
Плевральная пункция (торакоцентез) — процедура извлечения жидкости из плевральной полости, проводимая с лечебной и диагностической целью.
Относительные противопоказания к плевральной пункции:
- патологии свертывающей системы крови;
- повышенное давление в легочной артерии;
- тяжелая хроническая обструктивная болезнь легких;
- наличие одного функционального легкого.
Торакоцентез выполняется под местной анестезией с контролем ультразвуком или рентгеном. Процедура позволяет уменьшить сдавление легочной ткани и улучшить дыхательную функцию.
В большинстве случаев требуется госпитализация пациентов из-за опасности патологии и необходимости наблюдения. В больнице возможно назначение более эффективных препаратов и проведение хирургических вмешательств.
Лечение на дому возможно, если установлена причина заболевания и нет признаков прогрессирования.
Диета при плеврите определяется основной патологией. Рекомендуется уменьшить углеводы и ограничить потребление жидкости (до 500 – 700 мл в сутки).
Противопоказаны соленые, копченые и острые продукты. Важно употреблять витамины, свежие овощи и фрукты.
Плеврит — серьезное заболевание, нарушающее функцию дыхательной системы и указывающее на осложнение основного заболевания. Своевременное устранение причины позволяет восстановить функцию легких без последствий.
Тем не менее, плеврит может привести к структурным и функциональным изменениям тканей плевры или легких.
К последствиям плеврита относятся:
- Спайки между листками плевры. Соединительнотканные тяжи, образующиеся в области воспалительных очагов, ограничивают подвижность легких.
- Зарастание плевральной полости. Массированная эмпиема может привести к полному «зарастанию» плевральной полости, что вызывает серьезную дыхательную недостаточность.
Виды плеврита
В клинической практике различают несколько типов плевритов, которые отличаются по характеру жидкости в плевральной полости и клиническим проявлениям. Это разделение условно, так как один тип может трансформироваться в другой. Многие пульмонологи рассматривают сухой и экссудативный (выпотной) плевриты как разные стадии одного патологического процесса: сначала возникает сухой плеврит, затем экссудативный при развитии воспалительной реакции.
Выделяют следующие типы плеврита:
- сухой (фибринозный) плеврит;
- экссудативный плеврит;
- гнойный плеврит;
- туберкулезный плеврит.
Сухой (фибринозный) плеврит
Сухой плеврит возникает на ранних стадиях воспаления плевры. На этом этапе в легких отсутствуют инфекционные агенты, а изменения связаны с реактивным вовлечением сосудов и аллергическими факторами.
При сухом плеврите из-за повышения проницаемости сосудов под воздействием провоспалительных веществ в полость плевры просачивается жидкая часть плазмы и белки, особенно фибрин. В воспалительном очаге молекулы фибрина соединяются, образуя прочные нити, которые оседают на поверхности серозной оболочки.
Объем выпота при сухом плеврите минимален (отток жидкости по лимфатическим сосудам нарушен незначительно), поэтому нити фибрина увеличивают трение между листками плевры. Плевра содержит множество нервных окончаний, и усиление трения вызывает выраженный болевой синдром.
Воспаление при фибринозном плеврите затрагивает не только серозную оболочку, но и кашлевые нервные рецепторы в ее толще. Это снижает порог чувствительности этих рецепторов и вызывает кашлевой рефлекс.
Экссудативный (выпотной) плеврит
Экссудативный плеврит — это следующая стадия после сухого плеврита. Воспалительная реакция углубляется, увеличивая поражение серозной оболочки. Активность ферментов, расщепляющих фибрин, снижается, что приводит к образованию плевральных карманов, где может накапливаться гной. Нарушается отток лимфы, а из-за усиленной секреции жидкости (фильтрация из расширенных сосудов в области воспаления) объем внутриплеврального выпота увеличивается. Этот выпот давит на нижние сегменты легкого с пораженной стороны, уменьшая его функциональный объем. При значительном экссудативном плеврите может возникнуть дыхательная недостаточность, представляющая угрозу для жизни пациента.
Жидкость в плевральной полости уменьшает трение между листками плевры, что снижает раздражение серозных оболочек и интенсивность болевых ощущений.
Гнойный плеврит
При гнойном плеврите (эмпиема плевры) в пространстве между листками серозной оболочки легкого накапливается гнойный экссудат. Это серьезное состояние сопровождается интоксикацией организма и без адекватного лечения угрожает жизни пациента.
Гнойный плеврит может возникать из-за прямого воздействия инфекционных агентов на плевру или при самопроизвольном открытии абсцесса легкого в плевральную полость.
Эмпиема чаще всего развивается у истощенных пациентов с серьезными заболеваниями других органов или систем, а также у людей с ослабленным иммунитетом.
Туберкулезный плеврит
Туберкулезный плеврит выделяют в отдельную группу заболеваний из-за его распространенности. Заболевание имеет медленное, хроническое течение, сопровождающееся симптомами интоксикации и признаками поражения легких, хотя могут быть затронуты и другие органы. Выпот при туберкулезном плеврите содержит много лимфоцитов. В некоторых случаях возможно развитие фибринозного плеврита. При распаде бронхов из инфекционного очага в легкие в полость плевры может попасть специфический творожистый гной, характерный для этой патологии.
Симптомы плеврита
Клинические проявления плеврита зависят от следующих факторов:
- причина плеврита;
- степень воспаления в плевральной полости;
- стадия заболевания;
- тип плеврита;
- объем экссудата;
- свойства экссудата.
Симптомы плеврита включают:
- одышку;
- кашель;
- боль в груди;
- повышение температуры;
- смещение трахеи.
Одышка
Одышка — распространенный признак плеврита и плеврального выпота. Она может возникать как при первичном поражении легочной ткани, так и из-за уменьшения функционального объема легкого (или легких при двустороннем поражении).
Симптом проявляется как нехватка воздуха. Одышка может возникать при физической активности различной интенсивности, а в тяжелых случаях — даже в покое. При плеврите она может сопровождаться ощущением недостаточного расправления легких.
Одышка, вызванная поражением плевры, обычно развивается постепенно. Часто ей предшествуют боль в груди и кашель.
Если одышка сохраняется после лечения плеврита и дренирования выпота, это может указывать на снижение эластичности легочной ткани или образование спаек между листками плевры, что ограничивает подвижность и функциональный объем легких.
Также важно учитывать, что одышка может возникать при других заболеваниях органов дыхания и нарушениях работы сердца.
Кашель
Кашель при плеврите обычно сухой и средней интенсивности, вызванный раздражением нервных окончаний в плевре. Он усиливается при смене положения тела и вдохе, что может сопровождаться усилением боли в груди.
Появление мокроты (гнойной или слизистой) или кровянистых выделений во время кашля может свидетельствовать о инфекционном процессе в легких.
Боль в груди
Боль в груди возникает из-за раздражения болевых рецепторов плевры, вызванного провоспалительными веществами, и увеличенного трения между листками плевры при сухом плеврите. Эта боль острая, усиливается при вдохе или кашле и уменьшается при задержке дыхания. Дискомфорт охватывает поражённую сторону грудной клетки (или обе при двустороннем плеврите) и может иррадиировать в плечо и живот с той же стороны. При увеличении объема плеврального выпота интенсивность боли, как правило, снижается.
Повышенная температура тела
Повышение температуры тела — это реакция организма на инфекционные агенты или биологические вещества. Оно часто наблюдается при инфекционных плевритах и указывает на тяжесть воспалительного процесса и тип возбудителя.
При плевритах могут наблюдаться следующие уровни повышения температуры тела:
- Температура до 38 градусов. Характерна для небольших инфекционно-воспалительных процессов и патогенных микроорганизмов с низкой вирулентностью. Также может фиксироваться на определенных стадиях системных заболеваний или опухолей.
- Температура в диапазоне 38 – 39 градусов. Обычно наблюдается при бактериальных и вирусных пневмониях, а также при большинстве инфекций плевры.
- Температура выше 39 градусов. Возникает при тяжелом течении заболевания, наличии гноя и попадании возбудителей в кровь, что приводит к системному воспалительному ответу.
Повышение температуры отражает уровень интоксикации организма продуктами жизнедеятельности микроорганизмов, что сопровождается головной болью, слабостью, болями в суставах и мышцах. В период лихорадки снижается работоспособность, замедляются рефлексы и уменьшается интенсивность умственной деятельности.
Важно учитывать характер повышения и снижения температуры. При остром инфекционном процессе температура быстро возрастает в первые часы заболевания, что сопровождается ознобом, свидетельствующим о механизмах сохранения тепла. Снижение температуры происходит при уменьшении воспалительного процесса и устранении инфекционных агентов.
Отдельно стоит отметить лихорадку при туберкулезе. Для этой инфекции характерны субфебрильные значения (37 – 37,5 градусов), сопровождающиеся ознобом, ночной потливостью, продуктивным кашлем с мокротой и потерей веса.
Смещение трахеи
Смещение трахеи — важный признак повышенного давления со стороны одного из легких. Это состояние возникает при значительном плевральном выпоте, когда накопившаяся жидкость в плевральной полости давит на органы средостения, смещая их в сторону здорового легкого.
При плеврите могут наблюдаться и другие симптомы, зависящие от основной патологии, вызвавшей воспаление плевры. Эти проявления имеют диагностическое значение, так как помогают определить причину заболевания и начать соответствующее лечение.
Диагностика плеврита
Определение плеврита как клинического состояния обычно не вызывает трудностей. Основная сложность заключается в выявлении причины воспаления плевры и образования плеврального выпота.
Для диагностики плеврита используются следующие методы:
- осмотр и беседа с пациентом;
- клиническое обследование;
- рентгенография;
- анализ крови;
- исследование плеврального выпота;
- микробиологическое тестирование.
Осмотр и опрос больного
В процессе опроса врач выявляет ключевые клинические симптомы, время их появления и особенности. Устанавливаются факторы, способствовавшие заболеванию, и выясняются сопутствующие болезни.
Во время осмотра специалист анализирует общее состояние пациента и выявляет отклонения.
При осмотре могут быть обнаружены следующие патологические признаки:
- смещение трахеи в сторону здорового легкого;
- цианоз кожи (сигнализирует о дыхательной недостаточности);
- признаки травм грудной клетки, как закрытых, так и открытых;
- выпячивание в области межреберий с пораженной стороны (вследствие скопления жидкости);
- наклон туловища в сторону поражения (уменьшает подвижность легкого и раздражение плевры при дыхании);
- набухание вен на шее (из-за повышения давления в грудной полости);
- отставание пораженной половины грудной клетки во время вдоха и выдоха.
Клиническое обследование больного
Во время клинического обследования врач выполняет следующие процедуры:
-
Аускультация. Врач с помощью стетоскопа слушает звуки в организме пациента. При плеврите можно услышать шум трения плевры, возникающий из-за трения плевральных листков, покрытых фибрином. Этот звук слышен при дыхании, не изменяется после покашливания и сохраняется при имитации дыхания. При выпотном и гнойном плеврите в области жидкости наблюдается ослабление дыхательных шумов, иногда они могут быть не слышны вовсе.
-
Перкуссия. Врач выстукивает органы или образования различной плотности в теле пациента. Перкуссия помогает определить наличие жидкости в легких: звук над жидкостью становится более высоким и тупым по сравнению со здоровой легочной тканью. При выстукивании границ тупости уровень жидкости в плевральной полости оказывается наклонным из-за неравномерного сжатия легочной ткани.
-
Пальпация. Метод пальпации позволяет выявить болезненные зоны и другие клинические признаки. При сухом плеврите болезненные ощущения могут возникать при нажатии между ножками грудинно-ключично-сосцевидной мышцы и в области хряща десятого ребра. При прикладывании ладоней к симметричным точкам грудной клетки можно заметить отставание пораженной стороны во время дыхания. При плевральном выпоте ощущается ослабление голосового дрожания.
Часто информации, полученной в ходе обследования и опроса, достаточно для диагностики плеврита. Однако она не всегда позволяет точно определить причину заболевания и не является достаточной для дифференциации плеврита от других заболеваний с накоплением жидкости в плевральной полости.
Рентгенологическое обследование
Рентгенологическое исследование — информативный метод диагностики плеврита, позволяющий выявить воспалительные процессы в плевре и оценить объем жидкости в плевральной полости. Рентгенография легких также помогает обнаружить заболевания, способствующие развитию плеврита, такие как пневмония, туберкулез и опухоли.
При сухом плеврите на рентгеновских снимках наблюдаются:
- купол диафрагмы с пораженной стороны выше обычного уровня;
- снижение прозрачности легочной ткани из-за воспаления серозной оболочки.
При выпотном плеврите фиксируются следующие рентгенологические признаки:
- сглаживание угла диафрагмы из-за накопления жидкости;
- однородное затемнение в нижней части легочного поля с наклонной границей;
- смещение средостения в сторону здорового легкого.
Анализ крови
В общем анализе крови выявляют признаки воспаления: увеличение скорости оседания эритроцитов (СОЭ) и повышенное количество лейкоцитов или лимфоцитов, что характерно для инфекций плевры.
Биохимический анализ крови показывает изменения в соотношении белков плазмы, включая рост альфа-глобулинов и С-реактивного белка.
Анализ плеврального выпота
Изучение плеврального выпота помогает определить первопричину заболевания, что важно для диагностики и лечения.
Лабораторное исследование плеврального выпота выявляет:
- количество и вид белков;
- уровень глюкозы;
- содержание молочной кислоты;
- количество и тип клеточных компонентов;
- наличие микроорганизмов.
Микробиологическое исследование
Микробиологическое исследование мокроты или плевральной жидкости выявляет инфекционные агенты, вызывающие воспаление в плевральной области. Обычно проводят прямую микроскопию мазков из этих образцов, а также посев на специальные среды для идентификации.
Лечение плеврита
Основные задачи лечения плеврита — стабилизация состояния пациента, восстановление функции дыхания и устранение причины заболевания. Для этого используются различные лекарства и медицинские процедуры.
Лечение плеврита медикаментами
В большинстве случаев плеврит вызывают инфекции, поэтому лечение включает антибактериальные препараты. Также могут использоваться противовоспалительные и десенсибилизирующие средства.
Выбор лекарств основывается на диагностических данных. Антибиотики подбираются с учетом чувствительности патогенных микроорганизмов, что определяется микробиологическими исследованиями. Дозировка назначается индивидуально в зависимости от состояния пациента.
Препараты, применяемые для лечения плеврита
| Группа препаратов | Основные представители | Механизм действия | Дозировка и способ применения |
| Антибиотики | Ампициллин с сульбактамом | Влияет на клеточную стенку чувствительных бактерий, препятствуя размножению. | Внутривенно или внутримышечно, 1,5–12 грамм в сутки, в зависимости от тяжести заболевания. Не используется при внутрибольничных инфекциях. |
| Имипенем с Циластатином | Подавляет синтез клеточной стенки бактерий, что приводит к их гибели. | Внутривенно или внутримышечно, 1–3 грамма в сутки, разделенные на 2–3 приема. | |
| Клиндамицин | Замедляет рост бактерий, блокируя синтез белков. | Внутривенно и внутримышечно, 300–2700 мг в сутки. Также возможно применение внутрь: 150–350 мг каждые 6–8 часов. | |
| Цефтриаксон | Нарушает синтез клеточной стенки чувствительных бактерий. | Внутривенно или внутримышечно, 1–2 грамма в сутки. | |
| Мочегонные препараты | Фуросемид | Увеличивает выведение жидкости, снижая реабсорбцию натрия, калия и хлора. | Внутрь, 20–40 мг. При необходимости — внутривенно. |
| Регуляторы водно-электролитного баланса | Физиологический раствор и раствор глюкозы | Ускоряет почечную фильтрацию, увеличивая объем циркулирующей крови. | Медленно внутривенно (капельным путем). Дозировка индивидуальна. |
| Нестероидные противовоспалительные препараты | Диклофенак, ибупрофен, мелоксикам | Блокируют циклооксигеназу, уменьшая продукцию провоспалительных веществ и обладая обезболивающим эффектом. | Дозировка зависит от препарата. Назначаются внутримышечно или внутрь в виде таблеток. |
| Глюкокортикостероиды | Преднизолон | Блокируют расщепление арахидоновой кислоты, предотвращая синтез провоспалительных веществ. Снижают иммунитет, назначаются только с антибактериальными средствами. | Внутрь или внутримышечно, 30–40 мг в сутки на короткий срок. |
Когда нужна пункция при плеврите?
Плевральная пункция, или торакоцентез, — это медицинская процедура, при которой из плевральной полости удаляется жидкость. Она используется для лечения и диагностики, особенно при выпотном плеврите.
Относительные противопоказания для плевральной пункции:
- нарушения свертываемости крови;
- повышенное давление в легочной артерии;
- тяжелая стадия хронической обструктивной болезни легких;
- наличие одного функционирующего легкого.
Торакоцентез выполняется под местной анестезией с использованием толстой иглы, вводимой в плевральную полость на уровне восьмого межреберья, сбоку от лопатки. Процедура контролируется ультразвуком (при небольшом объеме жидкости) или проводится после рентгенологического обследования. Пациент находится в сидячем положении, что способствует накоплению жидкости в верхней части плевральной полости.
При значительном объеме плеврального выпота пункция позволяет удалить патологическую жидкость, снижая давление на легкие и улучшая дыхательную функцию. Терапевтическая пункция может повторяться в зависимости от накопления жидкости.
Нужна ли госпитализация для лечения плеврита?
Лечение плеврита чаще всего требует госпитализации. Это связано с серьезностью заболевания и необходимостью постоянного контроля состояния пациента медицинским персоналом. В больнице можно назначать более эффективные медикаменты и проводить хирургические процедуры.
Можно ли лечить плеврит дома?
Лечение плеврита в домашних условиях возможно, но чаще его не рекомендуется проводить самостоятельно. Это допустимо только после полного обследования и установления причины заболевания. Если плеврит протекает в легкой форме, воспаление неактивно, и нет признаков ухудшения, лечение можно проводить дома при ответственном выполнении назначений врача.
Питание при плеврите (диета)
Диета при плеврите зависит от основной болезни, вызвавшей воспаление плевры. Рекомендуется сократить потребление углеводов, так как они способствуют размножению патогенной микрофлоры. Также важно ограничить количество жидкости до 500-700 мл в день, чтобы избежать ускорения образования плеврального выпота.
Следует избегать соленых, копченых, острых и консервированных продуктов, так как они вызывают жажду.
Необходимо обеспечить достаточное поступление витаминов, которые поддерживают иммунную систему. Рекомендуется включать в рацион свежие овощи и фрукты.
Последствия плеврита
Плеврит — серьезное заболевание, нарушающее работу органов дыхания. Оно часто указывает на осложнения, связанные с пневмонией, туберкулезом, опухолями или аллергическими реакциями. Правильное лечение первопричины плеврита может восстановить функцию легких без негативных последствий.
Однако плеврит может привести к изменениям в структуре и функции тканей плевры или легких.
Последствия плеврита:
- Спайки между листками плевры. Это соединительнотканные образования, возникающие между листками плевры в местах воспалительных процессов. Они ограничивают подвижность легких и уменьшают функциональный объем дыхания.
- Зарастание плевральной полости. Обширная эмпиема плевры может привести к полному зарастанию плевральной полости соединительной тканью, что ограничивает движение легкого и вызывает серьезные проблемы с дыханием.
Вопрос-ответ
Каковы причины плеврита?
Плеврит может быть вызван различными причинами, включая инфекции (вирусные, бактериальные или грибковые), воспалительные заболевания (например, ревматоидный артрит или системная красная волчанка), травмы грудной клетки, опухоли, а также осложнения после пневмонии или других заболеваний легких. Накопление жидкости в плевральной полости также может быть связано с сердечной недостаточностью или заболеваниями печени.
Как лечат плеврит?
При гнойных плевритах полость плевры промывают антисептиками и внутриплеврально вводят антибиотики. Симптоматическое лечение у взрослых — анальгетики для снижения температуры, мочегонные; у пожилых — сердечно-сосудистые препараты, а после рассасывания выпота — физиотерапия и ЛФК.
Как диагностируют плеврит?
УЗИ грудной клетки помогает оценить состояние плевры, ее толщину, обнаружить жидкость. Во многих отношениях это исследование более чувствительное, чем рентгенография. Компьютерная томография позволяет детально оценить состояние плевры и обнаружить причины воспаления в ней, например, тромб или злокачественный процесс.
Можно ли лечить плеврит в домашних условиях?
Можно ли вылечить плеврит дома? Поскольку это заболевание протекает довольно тяжело, лечение часто проводят в условиях стационара. Лечиться можно и в домашних условиях, при условии, что этим занимается хороший специалист. Обратиться к врачу для постановки диагноза и назначения лечения можно в клиники НИАРМЕДИК.
Советы
СОВЕТ №1
Если вы заметили у себя симптомы, такие как одышка, боль в груди или кашель, не откладывайте визит к врачу. Ранняя диагностика плеврита может значительно улучшить прогноз и облегчить лечение.
СОВЕТ №2
Обратите внимание на свое общее состояние здоровья. Хронические заболевания, такие как пневмония или туберкулез, могут способствовать развитию плеврита. Регулярные медицинские осмотры помогут выявить и контролировать эти состояния.
СОВЕТ №3
При наличии плеврита следуйте рекомендациям врача по лечению и реабилитации. Это может включать прием лекарств, физиотерапию и, в некоторых случаях, хирургическое вмешательство. Не пренебрегайте назначениями и контролируйте свое состояние.
СОВЕТ №4
Изучите информацию о плеврите и его возможных причинах, чтобы лучше понимать свое состояние. Знание о заболевании поможет вам принимать более осознанные решения о своем здоровье и взаимодействовать с медицинскими специалистами.





