Особенности анатомии передней брюшной стенки и области пупка
Боковые и передние стенки живота, защищающие внутренние органы, состоят из мышц брюшного пресса, расположенных в три слоя с волокнами, направленными в разных направлениях. Это обеспечивает разнообразие движений.
Участок, где живот не защищен мышцами, — белая линия, проходящая от грудины до лобка.
Белая линия — зона соединения мышц живота, формируемая их апоневрозами. В верхней части она узкая и плотная, в нижней — шире и тоньше, что делает её уязвимой.
Во время беременности в белой линии находится пупочное кольцо, через которое проходит пуповина, соединяющая мать и ребенка.
Пуповина состоит из:
- пупочных артерий;
- пупочных вен;
- мочевого протока.
После рождения пупочное кольцо обычно закрывается и превращается в рубец. Однако это место остается слабым на передней стенке живота из-за отсутствия мышц и подкожного жира. При определенных условиях может возникнуть выпячивание внутренних органов в области пупка, что приводит к пупочной грыже.
Органы, выпадающие в грыжевое выпячивание, находятся в грыжевом мешке, образованном брюшиной — тонкой пленкой соединительной ткани, выстилающей брюшную полость и покрывающей внутренние органы.
Пупочная грыжа у взрослых является распространенной проблемой, и врачи отмечают, что ее развитие может быть связано с несколькими факторами. Основными причинами являются повышенное давление в брюшной полости, ожирение, хронический кашель и физические нагрузки. Симптомы, как правило, включают появление выпячивания в области пупка, которое может увеличиваться при напряжении и уменьшаться в состоянии покоя. Врачи подчеркивают важность своевременной диагностики, которая обычно включает физикальное обследование и, в некоторых случаях, ультразвуковое исследование. Лечение пупочной грыжи чаще всего хирургическое, особенно если грыжа вызывает дискомфорт или осложнения. Врачи рекомендуют не откладывать обращение за медицинской помощью, так как своевременное вмешательство может предотвратить серьезные последствия.

Причины возникновения пупочной грыжи у взрослых людей:
- Врожденное расширение пупочного кольца — состояние, при котором кольцо не заживает полностью, оставляя отверстие. В детстве это может не проявляться, но со временем может развиться пупочная грыжа.
- Беременность и роды. Увеличение живота во время беременности растягивает пупок. Запоры создают повышенное давление внутри живота. Риску подвержены женщины, рожавшие несколько раз и не следовавшие рекомендациям врачей. Тяжелые роды, крупный плод, многоводие и многоплодная беременность также способствуют образованию пупочной грыжи.
- Малоподвижный образ жизни. Отсутствие физической активности ослабляет мышцы брюшного пресса.
- Чрезмерные физические нагрузки. Подъем тяжелых предметов увеличивает давление внутри живота.
- Заболевания с постоянным повышением внутрибрюшного давления. Это могут быть болезни пищеварительной системы, сопровождающиеся запорами, хроническим кашлем и другими симптомами.
- Ожирение. Избыточный подкожный жир создает дополнительную нагрузку, растягивая переднюю стенку живота.
- Перенесенные операции. Пупочные грыжи могут возникать в местах послеоперационных швов, особенно если пациент не соблюдает рекомендации врача и начинает физическую активность слишком рано.
- Травма живота.
- Слишком быстрое снижение массы тела. Это может происходить из-за строгих диет или заболеваний, что приводит к ослаблению пупочного кольца и образованию грыжи.
Выпячивание в области пупка — основной симптом пупочной грыжи. Оно может варьироваться по размеру: от едва заметного до значительного.
При легком нажатии на выпячивание и кашле или натуживании можно почувствовать толчок.
Если надавить на выпячивание, оно обычно исчезает — грыжа вправляется внутрь. Однако большая грыжа, осложненная спайками, может стать невправимой. В таких случаях возможны боли, нарушения пищеварения, тошнота, рвота и запоры. Если в грыжевое выпячивание попадает часть мочевого пузыря, могут возникнуть проблемы с мочеиспусканием.
Боли при пупочной грыже обычно возникают только при физической нагрузке, кашле, чихании или запоре.
Симптомы пупочной грыжи у беременной женщины:
- Пупок сильно выпячивается;
- При ощупывании пупка ощущается пустота;
-
В животе возникают щелчки, напоминающие звук лопающихся пузырьков.
-
Ущемление. Если часть кишечника или другого органа ущемляется в пупочном кольце, это вызывает острые боли, связанные с сдавлением нервов и сосудов. Могут возникать запоры, тошнота и рвота. Через 2-8 часов ущемленная часть органа начинает отмирать из-за недостатка кровоснабжения, что может привести к перитониту — воспалению брюшной полости, угрожающему жизни.
- Кишечная непроходимость — состояние, при котором часть кишки в грыже забивается калом. Это осложнение проявляется симптомами, схожими с ущемлением.
- Воспаление органа в грыжевом мешке. Это сопровождается болью, отечностью и покраснением в области выпячивания, повышением температуры и ухудшением состояния пациента.
При появлении симптомов, похожих на пупочную грыжу, необходимо обратиться к хирургу. Грыжа опасна осложнениями. Выпячивание и уплотнение в области пупка могут быть признаком метастазов злокачественной опухоли желудка. Хотя это редкость, важно исключить этот диагноз. Врач проведет осмотр и назначит обследования.
- Врач попросит пациента раздеться до пояса.
- Он осмотрит живот в положении стоя и лежа.
- Хирург ощупает выпячивание и попросит пациента покашлять или натужиться, чтобы почувствовать толчок.
-
Также врач может осмотреть паховую область, бедро и мошонку у мужчин для исключения паховой и бедренной грыжи.
-
Когда появилось выпячивание в области пупка?
- Есть ли боли?
- Наблюдаются ли нарушения пищеварения: вздутие, запоры, тяжесть, отрыжка, изжога, тошнота, рвота?
- Были ли ранее хирургические вмешательства?
- Страдали ли пупочной грыжей ближайшие родственники?
| Название исследования | Описание | Как проводится? |
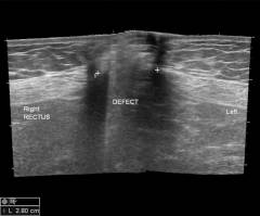
| УЗИ при пупочной грыже | Ультразвуковое исследование позволяет получить информацию о: * размере грыжевого выпячивания; * органе в грыжевом мешке; * наличии и количестве спаек. | УЗИ проводится стандартным способом: пациент ложится на спину, на область пупка наносится гель, и исследование выполняется с помощью ультразвукового датчика. |
| Герниография | В живот вводится рентгенконтрастное вещество, которое проникает в грыжевой мешок и делает его видимым на рентгеновских снимках. Это исследование назначается при сомнениях в диагнозе. | * Перед герниографией пациент должен опорожнить мочевой пузырь. * Исследование проводится в стерильных условиях. * Пациента укладывают на кушетку, делают местную анестезию, вводят иглу и контрастный раствор. * Затем пациента просят перевернуться на живот, покашлять или натужиться, чтобы контраст попал в грыжевой мешок. * Делают рентгеновские снимки. |
| Компьютерная томография | Назначается при нечетких симптомах и сомнениях в диагнозе. Позволяет получить послойные изображения определенной области тела. | |
| Рентгенография желудка и двенадцатиперстной кишки с контрастом | Помогает заподозрить опухолевые процессы в желудке и двенадцатиперстной кишке, а также заболевания, вызывающие боли в животе. | Пациенту дают выпить контрастный раствор, после чего делают рентгеновские снимки. |
| Гастродуоденоскопия | Эндоскопическое исследование желудка и двенадцатиперстной кишки. | * Пациента укладывают на кушетку на левый бок; * врач анестезирует слизистую оболочку спреем; * вставляется загубник; * через рот вводится фиброгастроскоп — тонкий шланг с видеокамерой; * врач осматривает слизистую оболочку желудка и двенадцатиперстной кишки. |
Лечение пупочной грыжи у взрослых осуществляется хирургически. В зависимости от размеров грыжи и состояния передней стенки живота применяются различные виды операций.
Операция по устранению пупочной грыжи, если нет ущемления, обычно проводится в плановом порядке. На первом приеме врач осматривает пациента, назначает предоперационное обследование и определяет дату госпитализации.
- общий анализ крови;
- общий анализ мочи;
- исследования на гепатит, ВИЧ, сифилис;
- биохимический анализ крови;
- коагулограмма — исследование на свертываемость крови;
- электрокардиография;
- рентгенография грудной клетки.
Операция по устранению грыжевого выпячивания называется герниопластикой. Существуют различные виды герниопластики для пупочной грыжи:
- Натяжная. Пупочное кольцо укрепляется собственными тканями пациента, которые натягиваются для закрытия дефекта.
- Ненатяжная. Для укрепления пупочного кольца используются синтетические сетки.
- Лапароскопическая. Операция проводится без разреза, через небольшие проколы в стенке живота.
Хирургическое вмешательство желательно проводить как можно раньше, пока грыжа небольшая и может быть вправлена. У взрослых можно использовать как общий наркоз, так и местное обезболивание — обкалывание области пупка анестетиками.
Натяжная герниопластика
* Хирург делает разрез для доступа к грыжевому мешку.
* В зависимости от размеров мешка, его либо погружают в живот, либо прошивают и отсекают.
* Пупочное кольцо прошивается и укрепляется соседними тканями.
Недостатком этого метода является высокая вероятность рецидива: пупочная грыжа может возникнуть повторно у 4-20% пациентов. Реабилитация может занять до года.
Ненатяжная герниопластика
Операция проводится аналогично, но для укрепления пупка используется синтетическая сетка, которая прорастает окружающими тканями.
Преимуществом ненатяжной герниопластики является низкая вероятность рецидива — повторное возникновение грыжи наблюдается в среднем только у 2 из 100 пациентов. Период реабилитации составляет всего 30 дней, даже для тех, кто занимается спортом на профессиональном уровне.
Лапароскопическая герниопластика
При лапароскопической операции также используется сетчатый имплантат, который устанавливается через прокол в брюшной стенке. Хирург не делает большого разреза, что значительно сокращает сроки послеоперационной реабилитации.
Однако для проведения лапароскопической герниопластики требуется специальное оборудование и квалифицированные хирурги, что доступно не в каждой больнице. Операции через прокол противопоказаны пациентам с заболеваниями дыхательной и сердечно-сосудистой систем, а также при значительном расширении пупочного кольца.
Операция при ущемленной пупочной грыже
В случае ущемления пупочной грыжи операция должна проводиться экстренно.
Риск ущемления не зависит от размеров грыжи и увеличивается с каждым днем, когда пациент не обращается к врачу.
Во время операции хирург вскрывает грыжевой мешок и осматривает орган внутри. Если он не поврежден, его помещают обратно в живот. Если часть органа погибла, ее удаляют. Если возникают сомнения, орган обкладывают салфетками, смоченными в теплом физиологическом растворе, и вводят раствор новокаина.
- Обычно, если операция прошла без осложнений, пациенту разрешают вставать на следующий день.
- В послеоперационный период рекомендуется носить специальный бандаж (при использовании сетчатых имплантатов — около месяца).
- На 10-14 день можно начинать заниматься лечебной гимнастикой, но упражнения для брюшного пресса запрещены.
- После операции проводятся ежедневные перевязки, швы снимаются на 7 день (если не рассасываются сами).
- При болях назначаются обезболивающие препараты.
- Врач может также назначить антибиотики, витамины и иммуномодуляторы.
Бандаж не лечит пупочную грыжу. Он лишь временно вправляет грыжу и предотвращает ее ущемление.
Показания для ношения бандажа:
- После операции по поводу пупочной грыжи и при любом хирургическом вмешательстве, когда разрез проходил через пупок.
- При временных противопоказаниях к операции: острые заболевания, обострения хронических. После нормализации состояния пациента проводится хирургическое лечение.
- Тяжелые заболевания: значительное нарушение функций сердечно-сосудистой и дыхательной систем, истощение, пожилой возраст, злокачественные новообразования и т.д.
- Поздние стадии беременности — это также является противопоказанием к операции.
Бандаж представляет собой широкий пояс из эластичной ткани с анатомической подушечкой-пелотом на внутренней стороне, которая прижимает пупок и предотвращает выпячивание грыжи. Пелот может быть соединен с бандажом или крепиться к нему на липучке.
Пупочная грыжа у взрослого — заболевание, которое можно устранить только хирургически.
«Заговоры» и приклеивание монеток на пупок, рекомендуемые народной медициной, могут помочь только маленьким детям, так как у них до 5 лет пупочная грыжа может закрываться самостоятельно. У взрослых это не происходит.
Отвары, настои и примочки с лекарственными растениями неэффективны. С их помощью пупочную грыжу у взрослого человека устранить невозможно.
| Что нужно делать? | Чего нужно избегать? |
| * Заниматься спортом, укреплять мышцы брюшного пресса. * Правильно питаться для нормального пищеварения. * Заниматься специальной гимнастикой во время беременности и носить бандаж. Для профилактики рецидива после операции — строгое соблюдение рекомендаций лечащего врача. | * Малоподвижный образ жизни и постоянная сидячая работа. * Избыточный вес. * Неправильное питание, приводящее к запорам и избыточному газообразованию. * Несоблюдение рекомендаций врачей во время беременности и после операции по поводу пупочной грыжи. |
| Причина | Симптом | Диагностика/Лечение |
|---|---|---|
| Врожденная слабость передней брюшной стенки | Выпячивание в области пупка, может быть болезненным при пальпации, увеличение размера при напряжении (кашель, чихание) | Пальпация, УЗИ брюшной полости, в некоторых случаях КТ или МРТ. Лечение: консервативное (бандаж, диета) или хирургическое (лапароскопическая или открытая герниопластика) |
| Повышенное внутрибрюшное давление (запоры, ожирение, беременность, асцит) | Выпячивание в области пупка, может быть болезненным, тошнота, рвота (при ущемлении) | Пальпация, УЗИ брюшной полости. Лечение: устранение причины повышения внутрибрюшного давления, консервативное лечение (бандаж), хирургическое вмешательство при ущемлении или больших размерах грыжи |
| Травма брюшной стенки | Выпячивание в области пупка, боль, гематома | Пальпация, УЗИ брюшной полости. Лечение: хирургическое вмешательство |
| Послеоперационные осложнения | Выпячивание в области пупка, боль, может быть воспаление | Пальпация, УЗИ брюшной полости. Лечение: хирургическое вмешательство |
| Возрастные изменения соединительной ткани | Выпячивание в области пупка, может быть безболезненным | Пальпация, УЗИ брюшной полости. Лечение: консервативное (бандаж) или хирургическое (лапароскопическая или открытая герниопластика) |
Пупочная грыжа у взрослых — это распространенное заболевание, о котором часто говорят в медицинских кругах и среди пациентов. Основные причины ее возникновения включают повышенное давление в брюшной полости, ожирение, физические нагрузки и наследственную предрасположенность. Симптомы могут варьироваться от незначительного дискомфорта до выраженной боли в области пупка, особенно при физической активности. Диагностика обычно включает физикальный осмотр и, при необходимости, ультразвуковое исследование. Лечение пупочной грыжи чаще всего хирургическое, так как консервативные методы неэффективны. Операция позволяет устранить грыжевое выпячивание и предотвратить возможные осложнения. Важно не игнорировать симптомы и обращаться к врачу при первых признаках заболевания.

Признаки пупочной грыжи у взрослых
Выпячивание в области пупка — основной признак пупочной грыжи. Размеры выпячивания варьируются: оно может быть едва заметным в лежачем положении или достаточно крупным.
При нажатии на выпячивание и легком кашле или натуживании ощущается толчок.
При нажатии выпячивание обычно исчезает, так как грыжа вправляется в брюшную полость. Однако большая грыжа с осложнениями может стать невправимой. В таких случаях возможны боли, расстройства пищеварения, тошнота, рвота и запоры. Если в грыжевое выпячивание попадает часть мочевого пузыря, возникают проблемы с мочеиспусканием.
Боли при пупочной грыже обычно возникают только при физических нагрузках, кашле, чихании или запоре.
Симптомы пупочной грыжи у беременной женщины:
- заметное выпячивание пупка;
- ощущение пустоты при ощупывании пупка;
- щелчки в животе, напоминающие звук лопающихся пузырьков.
Осложнения пупочной грыжи
-
Ущемление. При зажатии части кишечника или другого органа в пупочном кольце возникают резкие боли, вызванные сдавлением нервов и сосудов. У пациента могут наблюдаться запоры, тошнота и рвота. Через 2-8 часов ущемленная область начинает страдать от недостатка кровоснабжения, что может привести к её отмиранию. Симптомы усиливаются, состояние ухудшается. Обычно через 8 часов стенка органа начинает омертветь, что может вызвать перитонит – воспаление брюшной полости, угрожающее жизни пациента.
-
Кишечная непроходимость – состояние, при котором часть кишки в грыже забивается каловыми массами. Это осложнение схоже с ущемлением и проявляется аналогичными симптомами.
-
Воспаление органа в грыжевом мешке. В этом случае возникают боли, отечность и покраснение в области грыжевого выпячивания, повышается температура тела, общее состояние пациента ухудшается.

Диагностика пупочной грыжи у взрослых
К какому врачу обращаться с пупочной грыжей?
При появлении симптомов, напоминающих пупочную грыжу, следует обратиться к хирургу. Пупочная грыжа несет риск осложнений. Выпячивание и уплотнение в области пупка могут указывать на метастазы злокачественной опухоли желудка. Хотя такие случаи редки, их важно исключить. Специалист проведет осмотр и назначит обследования.
Как проходит смотр у хирурга?
- Доктор просит пациента снять верхнюю одежду до пояса.
- Он осматривает живот в стоячем и лежачем положении.
- Хирург прощупывает выпячивание и предлагает пациенту покашлять или натужиться, чтобы определить толчок, характерный для пупочной грыжи.
- Врач также проверяет паховую область, бедро и мошонку у мужчин для исключения паховой или бедренной грыжи.
Какие вопросы может задать врач?
- Когда вы заметили выпячивание в области пупка?
- Испытываете ли вы боли?
- Есть ли проблемы с пищеварением: вздутие, запоры, тяжесть, отрыжка, изжога, тошнота или рвота?
- Переносили ли вы операции ранее?
- Есть ли случаи пупочной грыжи в вашей семье?
Обследование при пупочной грыже
| Название исследования | Описание | Как проводится? |
| УЗИ при пупочной грыже | Ультразвуковое исследование предоставляет данные о пупочной грыже: * размеры выпячивания; * органы в грыжевом мешке; * наличие и количество спаек. | УЗИ выполняется стандартно: пациент ложится на спину, на кожу в области пупка наносится гель, и исследование проводится ультразвуковым датчиком. |
| Герниография | Вводится рентгенконтрастное вещество, заполняющее грыжевой мешок и делающее его видимым на рентгеновских снимках. Назначается при сомнениях в диагнозе. | * Перед процедурой пациент опорожняет мочевой пузырь. * Исследование проводится в стерильном кабинете. * Пациента укладывают на кушетку, выполняется местная анестезия в области живота. * Вводится игла для подачи контрастного раствора. * Пациента просят перевернуться на живот, покашлять или натужиться – в этот момент контраст проникает в грыжевой мешок. * Выполняются рентгеновские снимки. |
| Компьютерная томография | Применяется при нечетких симптомах и сомнениях в диагнозе. Позволяет получить послойные изображения области тела, создавая четкое трехмерное изображение. | |
| Рентгенография желудка и двенадцатиперстной кишки с контрастом | Помогает выявить опухолевые процессы в желудке и двенадцатиперстной кишке, а также сопутствующие заболевания, вызывающие боли в животе. | Пациенту предлагают выпить контрастное вещество, обычно раствор сульфата бария. После этого выполняются рентгеновские снимки. |
| Гастродуоденоскопия | Эндоскопическое исследование желудка и двенадцатиперстной кишки. | * Пациента укладывают на кушетку на левый бок; * врач анестезирует слизистую оболочку спреем; * вставляется пластиковый загубник; * через рот вводится фиброгастроскоп – тонкий гибкий шланг с видеокамерой; * врач осматривает слизистую оболочку желудка и двенадцатиперстной кишки. |
Лечение пупочной грыжи у взрослых
Лечение пупочной грыжи у взрослых проводится только хирургически. Метод операции зависит от размеров грыжи и состояния передней стенки живота.
Операция по удалению пупочной грыжи, при отсутствии признаков ущемления, обычно плановая. На первом приеме врач осматривает пациента, назначает предоперационные исследования и определяет дату госпитализации.
Предоперационное обследование у больного с пупочной грыжей
- общий анализ крови;
- общий анализ мочи;
- тесты на гепатит, ВИЧ и сифилис;
- биохимический анализ крови;
- коагулограмма – исследование свертываемости крови;
- электрокардиография;
- рентгенография грудной клетки.
Виды операций при пупочной грыже
Операция по устранению грыжевого выпячивания называется герниопластикой. Существует несколько видов герниопластики для пупочной грыжи:
- Натяжная. Пупочное кольцо укрепляется с помощью тканей пациента. Для закрытия дефекта ткани натягиваются.
- Ненатяжная. Укрепление пупочного кольца осуществляется с помощью синтетических сеток.
- Лапароскопическая. Операция выполняется без разрезов, через небольшие проколы в стенке живота.
Хирургическое вмешательство рекомендуется проводить на ранних стадиях, когда грыжа небольшая и может быть вправлена. У взрослых возможно применение общего наркоза или местного обезболивания — обкалывания области пупка анестетиками.
Натяжная герниопластика
- Хирург делает разрез для доступа к грыжевому мешку.
- В зависимости от размеров мешка, его либо возвращают в брюшную полость, либо прошивают и удаляют.
- Пупочное кольцо прошивается и укрепляется соседними тканями.
Недостаток метода — высокая вероятность рецидива: пупочная грыжа может возникнуть повторно у 4-20% пациентов. Период реабилитации может длиться до года.
Ненатяжная герниопластика
Операция аналогична, но для укрепления пупка используется синтетическая сетка, которая прорастает окружающими тканями.
Преимущество ненатяжной герниопластики — низкая вероятность рецидива. Грыжа повторно возникает в среднем у 2 из 100 пациентов. Период реабилитации составляет 30 дней, даже для профессиональных спортсменов.
Лапароскопическая герниопластика
При лапароскопической операции используется сетчатый имплантат, устанавливаемый через прокол в брюшной стенке. Отсутствие большого разреза значительно сокращает сроки реабилитации.
Однако для лапароскопической герниопластики требуется специальное оборудование и квалифицированные хирурги, что доступно не в каждой больнице. Операции через прокол противопоказаны пациентам с заболеваниями дыхательной и сердечно-сосудистой систем, а также при значительном расширении пупочного кольца.
Операция при ущемленной пупочной грыже
При ущемлении пупочной грыжи операция должна проводиться срочно. Риск ущемления не зависит от размеров грыжи и увеличивается с тем, как долго пациент не обращается за медицинской помощью.
Во время операции хирург вскрывает грыжевой мешок и осматривает орган внутри. Если орган не поврежден, его возвращают в брюшную полость. Если часть органа погибла, её удаляют. В случае сомнений врач обкладывает орган салфетками, смоченными в теплом физиологическом растворе, и вводит раствор новокаина.
Реабилитация после операции по поводу пупочной грыжи у взрослых
- Если операция прошла без осложнений, пациент может вставать на следующий день.
- В послеоперационный период рекомендуется носить специальный бандаж (при использовании сетчатых имплантатов – около месяца).
- На 10-14 день можно начинать лечебную гимнастику, но упражнения для брюшного пресса запрещены.
- Проводятся ежедневные перевязки, швы снимаются на 7 день (если не рассасываются самостоятельно).
- При болях назначаются обезболивающие.
- Врач может прописать антибиотики, витамины и иммуномодуляторы.
Ношение бандажа при пупочной грыже
Бандаж не лечит пупочную грыжу, а лишь временно удерживает ее и предотвращает ущемление.
Показания для использования бандажа:
- После операции на пупочной грыже, особенно если разрез проходил через область пупка.
- При временных противопоказаниях к операции, таких как острые заболевания или обострения хронических недугов. Хирургическое лечение возможно после стабилизации состояния.
- При серьезных заболеваниях: нарушения работы сердечно-сосудистой и дыхательной систем, истощение, пожилой возраст, злокачественные опухоли и другие.
- Поздняя беременность также является противопоказанием для операции.
Бандаж — это широкий пояс из эластичного материала с анатомической подушечкой-пелотом на внутренней стороне. Она плотно прижимает область пупка и не позволяет грыже выступать. Пелот может быть встроен в бандаж или прикреплен с помощью липучки.
Народные способы лечения пупочной грыжи
Пупочная грыжа у взрослых требует хирургического вмешательства.
Методы народной медицины, такие как «заговоры» или приклеивание монеток на пупок, могут помочь только детям до 5 лет, так как у них грыжа иногда исчезает самостоятельно. У взрослых этого не происходит.
Отвары, настои и компрессы с лечебными травами неэффективны для лечения пупочной грыжи у взрослых.
Профилактика пупочной грыжи
| Что следует делать? | Чего следует избегать? |
| * Регулярные физические упражнения для укрепления мышц пресса. * Соблюдение сбалансированного питания для нормального пищеварения. * Выполнение специальных гимнастических упражнений во время беременности и использование бандажа. После операции – строгое следование указаниям врача. | * Низкая физическая активность и постоянное сидение. * Избыточный вес. * Неправильное питание, вызывающее запоры и повышенное газообразование. * Игнорирование рекомендаций врачей во время беременности и после операции по удалению пупочной грыжи. |
Вопрос-ответ
Какие симптомы пупочной грыжи у взрослых?
Симптомы пупочной грыжи. Основной симптом — выпячивание в области пупка, которое становится заметным при натуживании или кашле. Пациенты могут жаловаться на дискомфорт, тяжесть или слабую боль в животе, особенно после еды. В ранних стадиях выпячивание легко вправляется, но со временем это становится сложнее.
Каковы симптомы пупочной грыжи?
Симптомы пупочной грыжи включают видимое выпячивание в области пупка, которое может увеличиваться при кашле, смехе или физической нагрузке. Также могут наблюдаться дискомфорт или боль в этой области, особенно при натяжении. В некоторых случаях грыжа может быть безболезненной и не вызывать значительных неудобств.
Как убрать пупочную грыжу у взрослого?
Пупочная грыжа у взрослого населения лечится исключительно с помощью операции. Применение консервативного лечения с помощью бандажа не приносит положительного результата. Хирургическое лечение заключается в укреплении брюшной стенки с помощью местных тканей и использования специального сетчатого материала.
Советы
СОВЕТ №1
Обратите внимание на симптомы. Если вы заметили выпячивание в области пупка, которое увеличивается при напряжении или физической активности, не откладывайте визит к врачу. Раннее обращение поможет избежать осложнений.
СОВЕТ №2
Следите за своим весом и физической активностью. Избыточный вес и недостаток физической нагрузки могут способствовать развитию пупочной грыжи. Регулярные упражнения и сбалансированное питание помогут укрепить мышцы живота.
СОВЕТ №3
Не игнорируйте хронические заболевания. Если у вас есть заболевания, которые могут повышать давление в брюшной полости (например, хронический кашель или запоры), работайте с врачом над их лечением, чтобы снизить риск возникновения грыжи.
СОВЕТ №4
Обсудите с врачом варианты лечения. Если у вас уже диагностирована пупочная грыжа, важно обсудить с врачом все возможные методы лечения, включая хирургическое вмешательство, чтобы выбрать наиболее подходящий для вас вариант.









