Причины возникновения саркомы
-
Повреждение тканей. После травм или операций начинается восстановление и деление клеток. В таких условиях иммунной системе сложно выявлять недифференцированные клетки, способные привести к саркоме. Причины включают:
- рубцы
- ожоги
- переломы
- хирургические вмешательства
- инородные тела
-
Химические канцерогены воздействуют на ядро клетки, вызывая мутации в ДНК, что приводит к изменению структуры и функций клеток. Саркому могут спровоцировать:
- асбест
- диоксин
- мышьяк
- ароматические углеводороды (бензол, стирол, толуол)
-
Радиоактивное облучение. Ионизирующее излучение изменяет ДНК клеток, вызывая мутации. Это может привести к превращению нормальных клеток в злокачественные. Причины мутаций:
- лучевая терапия для лечения другой опухоли
- последствия Чернобыльской аварии для ликвидаторов
- работа с рентгеновским оборудованием
-
Вирусы могут повреждать ДНК или РНК клеток, что приводит к образованию опухолей:
- вирус герпеса 8-го типа
- ВИЧ-1, вызывающий саркому Капоши
-
Генетическая предрасположенность. У пациентов наблюдаются повреждения гена, отвечающего за остановку роста опухолей и уничтожение злокачественных клеток. Это связано с врожденными патологиями:
- синдром Ли-Фраумени
- нейрофиброматоз типа I
- ретинобластома
-
Ускоренный гормональный рост в период полового созревания. У подростков активно делятся клетки костей, что иногда приводит к образованию незрелых клеток. Это часто наблюдается при саркоме бедренных костей у высоких мальчиков-подростков.
Саркома представляет собой редкий, но агрессивный вид рака, который может развиваться в различных тканях организма, включая кости и мягкие ткани. Врачи отмечают, что точные причины возникновения саркомы до конца не изучены, однако генетические факторы, воздействие радиации и некоторые химические вещества могут повышать риск ее развития. Симптомы заболевания часто включают опухоли, боль, отеки и ограничение подвижности в пораженной области. Диагностика саркомы требует комплексного подхода, включая физикальное обследование, визуализационные методы (МРТ, КТ) и биопсию. Лечение обычно включает хирургическое вмешательство, химиотерапию и радиотерапию, в зависимости от стадии и типа саркомы. Врачи подчеркивают важность раннего выявления заболевания для повышения шансов на успешное лечение и улучшение прогноза.

Симптомы саркомы различных органов
Саркома может возникать в любой части тела. Признаки зависят от типа и размера опухоли, а также от наличия метастазов. Клинические симптомы саркомы схожи с симптомами рака.
| Признак/Характеристика | Описание | Дополнительные замечания |
|---|---|---|
| Тип саркомы | Остеосаркома (кость), рабдомиосаркома (мышцы), липосаркома (жировая ткань), фибросаркома (соединительная ткань) и др. | Существует множество различных типов сарком, каждый со своими особенностями. |
| Причины | Генетические мутации (наследственные синдромы, спонтанные мутации), воздействие радиации, некоторые химические вещества, травмы, вирусные инфекции (редко). | В большинстве случаев точная причина развития саркомы неизвестна. |
| Симптомы | Боль в пораженной области, припухлость или уплотнение, ограничение подвижности, появление видимой опухоли, утомляемость, потеря веса, лихорадка (в некоторых случаях). | Симптомы могут варьироваться в зависимости от типа и локализации саркомы. |
| Признаки (объективные) | Пальпируемая опухоль, изменение цвета кожи над опухолью, деформация кости, патологические переломы, лимфаденопатия (увеличение лимфатических узлов). | Требуется профессиональное медицинское обследование для выявления этих признаков. |
| Диагностика | Физикальное обследование, рентгенография, КТ, МРТ, биопсия с гистологическим исследованием, сканирование костей, ПЭТ-КТ. | Биопсия является ключевым методом для подтверждения диагноза и определения типа саркомы. |
| Лечение | Хирургическое удаление опухоли, лучевая терапия, химиотерапия, таргетная терапия. | Выбор метода лечения зависит от типа, стадии и локализации саркомы, а также от общего состояния пациента. |
| Стадии | I-IV стадии (от локализованной до метастатической). | Стадирование определяет прогноз и план лечения. |
| Прогноз | Зависит от типа саркомы, стадии заболевания, эффективности лечения и общего состояния пациента. | Ранняя диагностика и своевременное лечение улучшают прогноз. |
Поражение легких
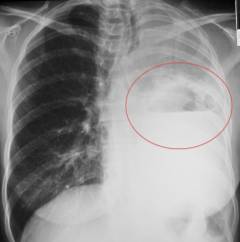
Саркома легкого – редкое заболевание, составляющее около 1% случаев рака легких. На ранних стадиях оно часто не проявляется и выявляется случайно при рентгеновском обследовании.
Саркома формируется из стенок бронхов и перегородок между альвеолами. Опухоль содержит немного соединительной ткани, имеет мягкую, желеобразную консистенцию с участками некроза. Она выглядит как массивный узел с размытыми границами и может занимать всю долю легкого, пронизанная множеством сосудов.
Субъективные симптомы
- одышка – нарушение функции легких приводит к недостатку кислорода в мозге и учащенному дыханию.
- быстрая утомляемость, сонливость, нестабильность настроения – связаны с застоем венозной крови в мозге при закупорке верхней полой вены и безымянных вен.
- пневмонии, не поддающиеся лечению. Опухоль ослабляет местный иммунитет и способствует воспалительным процессам.
- плеврит возникает при прорастании опухоли в плевру, что приводит к выходу крови в плевральное пространство и воспалению.
- дисфагия – затруднение глотания при прорастании опухоли в пищевод.
- увеличение правых отделов сердца. Поражение легочных сосудов и застой крови в легких повышают артериальное давление в правых отделах сердца.
Внешние признаки саркомы легких
- нарушение работы эндокринных желез и последствия опухолевой интоксикации:
- утолщение костей конечностей
- воспаление верхнего слоя костей
- суставные боли
- сдавление верхней полой вены опухолью – «кава-синдром». Это нарушает отток венозной крови из верхней половины тела и проявляется:
- отеком лица
- бледностью и синеватым оттенком кожи
- расширением поверхностных вен лица, шеи и верхней части туловища
- носовыми кровотечениями
Признаки саркомы легких, выявляемые при инструментальном исследовании
- Рентгенография. На снимке опухоль видна без четких границ, размеры варьируются от нескольких сантиметров до объема целого легкого. Поражение легких не симметрично.
- Компьютерная томография позволяет выявить неоднородное округлое образование с размытыми краями и участками некроза. Узел не имеет оболочки и прорастает в окружающие ткани. Злокачественные клетки часто располагаются вдоль бронха в виде пласта.
- Бронхоскопия применяется, если саркома прорастает в стенки бронхов. Обнаруживается бело-розовое образование неправильной формы без капсулы. С помощью бронхоскопа берется образец ткани для биопсии.
- Тонкоигольная биопсия под контролем КТ используется для получения образца клеток из труднодоступных участков легкого. В опухоль вводится полая игла, и берется образец. В ходе гистологического исследования могут быть обнаружены:
- низкодифференцированные клетки
- умеренно дифференцированные клетки
- высокодифференцированные клетки
- волокна соединительной ткани
- следы крови – целые и разрушенные эритроциты
- Плевральная пункция проводится при увеличении уровня плевральной жидкости на рентгене. В пространство между листками плевры вводится игла для отбора жидкости на исследование. В ней могут быть обнаружены:
- лейкоциты – указывающие на воспаление
- атипичные клетки саркомы – подтверждающие наличие метастазов в плевре
- разрушенные и неизмененные эритроциты.
Саркома — это редкий вид рака, который поражает соединительные ткани, такие как мышцы, кости и жировую ткань. Люди часто говорят о том, что симптомы саркомы могут быть неочевидными на ранних стадиях. Обычно это проявляется в виде болей, отеков или образования опухолей, которые могут быть безболезненными. Причины возникновения саркомы до конца не изучены, но генетические факторы и воздействие радиации могут играть роль. Диагностика включает в себя рентген, МРТ и биопсию, что позволяет точно определить тип опухоли. Лечение зависит от стадии заболевания и может включать хирургическое вмешательство, химиотерапию и радиотерапию. Важно своевременно обращаться к врачу при появлении подозрительных симптомов, так как ранняя диагностика значительно повышает шансы на успешное лечение.

Поражение лимфатических узлов
Саркома лимфатических узлов или лимфосаркома – злокачественная опухоль, развивающаяся из клеток лимфатической системы. Чаще всего поражаются шейные, брыжеечные и забрюшинные лимфоузлы, реже – подмышечные и паховые. Опухоль может также возникать в лимфатических клетках глоточных миндалин и желудка.
Симптомы лимфосаркомы
- Признаки интоксикации:
- общая слабость
- снижение работоспособности
- повышение температуры
- ночная потливость
- Изменения в крови:
- бледность кожи
- точечные кровоизлияния на коже и слизистых
- Аллергическая реакция на токсины:
- экзематозные высыпания (группы мелких пузырьков)
Симптомы различных видов лимфосаркомы.
Лимфосаркома глоточных миндалин
- одностороннее поражение миндалин
- увеличение миндалины, бугристая и синюшная
- изменение голоса
- гнусавость
- выделения из носа
- снижение слуха
- увеличение шейных лимфоузлов при метастазах
Лимфосаркома шейных и надключичных лимфоузлов
- увеличение и уплотнение лимфоузлов
- подвижные, не спаяны с кожей
- зуд в области пораженного лимфоузла
- безболезненные конгломераты при слиянии узлов
Лимфосаркома средостения (грудной клетки)
- общее недомогание
- одышка
- приступообразный сухой кашель
- бледный цвет лица
- синюшность губ
- высокая температура
- хрипов при прослушивании обычно нет
Лимфосаркома почки
- сжатие мочеточника, частые болезненные позывы к мочеиспусканию
- боли в пояснице
Лимфосаркома брыжеечных и забрюшинных лимфоузлов
- обильные поносы, быстрое истощение
- резкое похудение
- асцит – скопление жидкости в брюшной полости
- увеличение селезенки
- кишечная непроходимость при крупной опухоли
- увеличенные лимфоузлы, прощупываемые через брюшную стенку
Признаки лимфосаркомы при инструментальном исследовании
- Анализ крови:
- небольшое повышение СОЭ
- снижение уровня лейкоцитов
- уменьшение количества эритроцитов
- снижение уровня тромбоцитов
- Рентгенография:
- затемнение в лимфатических узлах
- поражение нескольких лимфоузлов
- Компьютерная томография – важна при поражении лимфатических узлов грудной клетки:
- слияние пораженных лимфоузлов в конгломераты
- бугристая дольчатая опухоль на месте лимфоузла
- повреждение лимфатических узлов с обеих сторон грудной клетки
- УЗИ – используется при лимфосаркоме в брюшной полости:
- одиночное или множественное поражение лимфатических узлов
- неоднородная структура опухоли
- неровные края новообразования
Саркома кожи
Саркома кожи или саркома Капоши – злокачественная опухоль, возникающая из измененных клеток сосудов кожи. Она проявляется в виде бляшек и узелков, состоящих из новообразованных капилляров и веретенообразных клеток.
Эта форма саркомы чаще затрагивает пожилых людей и пациентов с ВИЧ/СПИДом. Генетическая предрасположенность более выражена у африканцев, особенно среди мальчиков и молодых мужчин.
Симптомы саркомы кожи
- элементы – множественные, асимметрично расположенные безболезненные пятна и узелки на коже и слизистых оболочках.
- диаметр – от 2 мм до 5 см.
- цвет – чаще пурпурный, у пожилых может быть коричневым. Реже встречаются красные, бурые и фиолетовые оттенки, обусловленные плотным сплетением сосудов.
- границы – четкие, но неправильные. Опухоль немного возвышается над здоровой кожей.
- поверхность – гладкая или с текстурой апельсиновой корки. При злокачественном течении могут образовываться язвы.
- кровоточивость – при травмах, так как новообразованные сосуды легко повреждаются.
- локализация – чаще поражаются стопы, голени и кисти, где нарушено кровообращение и снижен местный иммунитет.
- ощущения больного – зуд и жжение, связанные с воспалением и аллергической реакцией кожи на вещества, выделяемые опухолью.
Признаки саркомы кожи, выявляемые при инструментальном исследовании
Биопсия и гистологическое исследование при саркоме кожи
- пучки спутанных веретенообразных клеток
- геморрагический экссудат – жидкость, проникающая через стенки сосудов
- гемосидерин – пигмент, образующийся при распаде гемоглобина

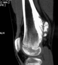
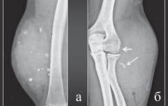
Саркома костей
Саркома костей или саркома Юинга – злокачественная опухоль, чаще всего поражающая бедренные кости (70%) и плечевые кости (14%). Реже затрагивает лопатки, ребра, ключицы, позвонки и кости таза. Это агрессивное новообразование быстро метастазирует. Заболевание чаще встречается у подростков 10-15 лет, причем мальчики страдают в 50% случаев чаще, чем девочки.
Симптомы саркомы костей
- Боль:
- на ранних стадиях умеренная, временно ослабевает
- усиливается ночью
- не уменьшается в покое
- не ослабевает при иммобилизации конечности
- через несколько месяцев становится интенсивной, нарушая сон и повседневную активность
- Внешние проявления:
- болезненность и тепло кожи над опухолью
- отечность и покраснение кожи
- расширение подкожных вен
- Признаки интоксикации:
- температура до 38 градусов
- снижение аппетита
- резкое похудение
- общая слабость
- увеличение лимфатических узлов
- Нарушение функций органов:
- хромота и ограничение подвижности конечности
- нарушения функций органов таза – циститы, недержание мочи, сбои менструального цикла, бесплодие
- при поражении кишечника – диарея, запоры, кишечная непроходимость
- сдавливание спинномозговых нервов вызывает боли в желудке, сердце, печени и стреляющие боли в спине
- снижение чувствительности и утрата подвижности мышц – парезы
- прорастание в грудную клетку – увеличение плевральной жидкости, плеврит, кровохарканье, одышка
- Патологический перелом. Через 6-12 месяцев опухоль достигает значительных размеров, разрушая кость и приводя к переломам.
Признаки саркомы костей, выявляемые при инструментальном исследовании
- Рентгенография:
- участки разрушения кости выглядят как «изъеденные молью»
- воспаление проявляется «луковичным периоститом»
- нечеткие контуры верхнего слоя кости из-за разволокнения
- выросты на поверхности кости имеют игольчатую или параллельную форму
- значительное повреждение мягких тканей без обызвествления
- Компьютерная томография:
- участки некроза внутри опухоли
- живые опухолевые клетки вокруг сосудов
- поражение мягких тканей превышает размеры опухоли
- размягчение связок и сухожилий вблизи опухоли
- очаги поражения костного мозга
- Биопсия опухоли:
- мелкие незрелые опухолевые клетки с крупными округлыми ядрами
- участки белка – фибрина, разделяющие клетки опухоли и размягчающие кость
- Биопсия костного мозга:
- признаки некроза – мертвые клетки
- веретенообразные или крупные круглые клетки
- атипичные тонкостенные клетки с крупными ядрами
- Остеосцинтиграфия с Te99:
- изотопы поглощаются первичной опухолью и мелкими метастазами, которые могут быть не видны другими методами
- Ангиография:
- контрастное вещество накапливается в разветвленных сосудах опухоли
Саркома суставов
Саркома суставов или синовиальная саркома — злокачественное новообразование, развивающееся из синовиальных оболочек и связок крупных суставов, чаще всего коленных и плечевых. Эта опухоль чаще диагностируется у женщин в возрасте 40-60 лет.
Симптомы саркомы суставов
- Внешние проявления:
- шишка на поверхности сустава
- изменение кожи: отечность и покраснение.
- Болевые ощущения:
- усиливающаяся боль при движении, особенно если опухоль проникает в суставную полость
- на поздних стадиях боль может охватывать всю конечность
- обычные обезболивающие не помогают.
- Ограничение подвижности. Неровности и бугры на суставных поверхностях затрудняют движение.
- Одностороннее поражение. Обычно затрагивается только один сустав.
- Ишемия конечности. Опухоль сдавливает сосуды, нарушая кровообращение ниже пораженного сустава:
- ночные боли в мышцах
- трофические язвы
- перемежающаяся хромота — боли в икроножных мышцах при ходьбе на расстояние 30-50 метров
- отечность конечности
- онемение конечности.
Признаки саркомы суставов, выявляемые при инструментальных исследованиях
- Магнитно-резонансная томография (МРТ) с контрастным веществом гадолиниума позволяет выявить:
- скопление контраста вокруг опухоли, определяющее ее размеры
- наличие метастазов
- разрушение окружающих тканей (костей и кожи)
- разволокнение надкостницы
- утолщение суставных поверхностей костей.
- Биопсия с анализом клеток:
- определяет степень злокачественности (низкая, промежуточная или высокая)
- в образце могут быть слизь и кровь
- большое количество атипичных гигантских клеток.
- Ультразвуковое исследование (УЗИ):
- неоднородная опухоль с кистами, заполненными кровью или слизью
- нечеткие, размытые края новообразования
- наличие выпота в суставной полости — значительное количество жидкости внутри суставной сумки.
Саркома жировой ткани
Липосаркома — злокачественное новообразование в жировой ткани, чаще всего в области бедер, живота и брюшной полости, где может достигать больших размеров. Обычно опухоли диагностируются у людей старше 50 лет.
Симптомы липосаркомы
- Внешние проявления:
- уплотнение в области брюшной стенки или бедра
- эластичное опухолевидное образование, прощупываемое через брюшную стенку — саркома, развившаяся из жировых капсул внутренних органов.
- Нарушение функций соседних органов:
- кишечная непроходимость
- желтуха и проблемы с пищеварением при прорастании опухоли в печень
- отеки и затрудненное мочеиспускание при поражении почек и мочеточников
- сбои в менструальном цикле и боли внизу живота у женщин при вовлечении репродуктивных органов
- Болевой синдром на ранних стадиях обычно не выражен. Боль появляется при прорастании опухоли в ткани органа.
Признаки липосаркомы, выявляемые с помощью инструментальных методов исследования
- Ультразвуковое исследование (УЗИ)
- новообразование различной величины с нечеткими границами
- участки распада внутри опухоли
- Компьютерная томография (КТ)
- опухоль с неоднородной структурой
- новообразование без капсулы с размытыми краями
- расположение на границе между подкожной жировой клетчаткой и мышцами или между органами брюшной полости
- Биопсия
- наличие атипичных клеток с ядрами, занимающими более одной трети объема
- значительное количество мертвых клеток (если образец был взят из области некроза)
- полиморфизм клеток (разнообразие форм)
Саркома мышечной ткани
Саркома мышечной ткани или миосаркома — злокачественное новообразование, развивающееся из скелетных (рабдомиосаркома) и гладких (лейомиосаркома) мышц. Чаще всего заболевание встречается у мужчин среднего и пожилого возраста.
Саркома скелетных мышц: симптомы:
- локализация на конечностях
- бледный узел
- глубокое расположение в мышечной ткани
- подвижный, плотный и эластичный узел при прощупывании
- нечеткие границы из-за прорастания в соседние ткани
- склонность к разрушению, образованию язв и узлов
Саркома гладкой мускулатуры: симптомы:
Заболевание затрагивает внутренние органы с гладкомышечными волокнами, нарушая их функционирование.
| Локализация опухоли | Проявления саркомы |
| Органы желудочно-кишечного тракта | Поносы, запоры, вздутие, тошнота, боли в животе |
| Матка, влагалище | Боль внизу живота, кровянистые выделения, сбои менструального цикла |
| Мошонка | Тяжесть и ноющая боль, эластичный узел |
| Почки | Отечность ног, кровь в моче, боли в пояснице, повышение артериального давления |
- Боль возникает при значительном увеличении опухоли, сжимающей внутренние органы.
- Резкое похудение часто наблюдается при поражении желудка и кишечника из-за нарушений пищеварения и усвоения.
- Интоксикация — отравление продуктами распада опухоли:
- повышение температуры
- слабость
- потеря аппетита
- ломота в теле
- землистый оттенок кожи
Признаки миосаркомы при инструментальном исследовании:
- УЗИ
- неоднородная опухоль с участками разрушения в мышцах или органах
- множественные миосаркомы — метастазы первичной опухоли
- Биопсия
- атипичные клетки с активным делением
- наличие гладкомышечных или поперечнополосатых фибрилл в клетках опухоли
- Компьютерная томография
- опухоль без четких границ
- участки некроза внутри саркомы
- опухоль раздвигает и прорастает в здоровую ткань
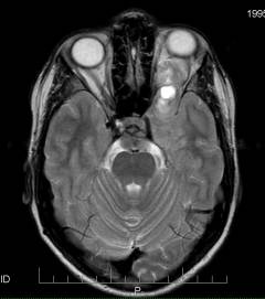
Саркома головного мозга
Саркома головного мозга – злокачественное новообразование, возникающее из соединительных тканей мозга и его оболочек. Она может развиваться в любом возрасте.
Симптомы саркомы головного мозга
- Головные боли:
- могут быть разлитого характера или локализоваться в области опухоли
- становятся регулярными и могут стать постоянными
- не уменьшаются после анальгетиков
- Повышение внутричерепногодавления возникает при нарушении оттока спинномозговой жидкости:
- отек зрительного нерва
- ухудшение периферического зрения
- головная боль, усиливающаяся по утрам
- головокружение
- рвота
- Нарушение произвольных движений:
- судороги из-за сдавления мозга, приводящие к припадкам, схожим с эпилепсией
- повреждение центральной борозды в лобной доле может вызвать потерю контроля над мышцами, что приводит к параличам и парезам
- Очаговые неврологические симптомы указывают на повреждение определенных участков мозга, отвечающих за конкретные функции.
| Локализация опухоли | Проявления |
| лобная доля | нарушения речи |
| затылочная часть | нарушения зрения |
| височная часть | нарушения слуха |
| теменная доля | снижение кожной чувствительности |
| мозжечок | нарушения координации движений |
| таламус | снижение объема памяти и внимания |
| лимбические структуры | эмоциональные расстройства – гнев, плаксивость, апатия, раздражительность |
Признаки саркомы мозга, выявляемые при инструментальных исследованиях:
- Люмбальная (спинномозговая) пункция:
- в спинномозговой жидкости обнаруживаются атипичные клетки различных форм и размеров
- наличие крови
- Биопсия опухоли:
- маленькие клетки с крупным ядром, содержащим одно или два ядрышка
- однородная, беззернистая цитоплазма клеток
- КТ:
- неоднородная опухоль с размытыми границами
- если опухоль расположена на оболочках мозга, может иметь четкие контуры
- признаки прорастания саркомы в мозговую ткань
- метастазы в легких и костях
Симптомы саркомы могут напоминать проявления кисты или доброкачественной опухоли; точный тип новообразования определяется только по результатам биопсии.
-
Обследование у врача.
Онколог собирает информацию для диагностики. При осмотре врач обращает внимание на внешние диагностические признаки саркомы:
- истощение
- желтуха
- бледность
- синюшный оттенок губ
- отечность лица
- расширение поверхностных вен головы
- бляшки и узелки при саркоме кожи
- изменения кожи над опухолью
При саркоме с высокой степенью злокачественности также наблюдаются выраженные симптомы интоксикации: - повышенная температура
- слабость
- ночная потливость
- снижение аппетита
Онколог уточнит, как давно появились симптомы, как быстро они прогрессируют, были ли случаи злокачественных опухолей у близких.
После опроса врач направит на дополнительные исследования для определения типа опухоли, ее локализации, уровня злокачественности и наличия метастазов.
-
Лабораторные анализы.
-
Биопсия и гистологическое исследование. С помощью специальной иглы или щипцов берется небольшой кусочек опухоли для микроскопического анализа.
При любом типе саркомы обязательно обнаруживаются:
- извивающиеся капилляры с тонкими стенками
- пучки атипичных злокачественных клеток
- измененные клетки с тонкой оболочкой и крупными ядрами
- отсутствие нормальных клеток, характерных для данной ткани
- большое количество межклеточного вещества, содержащего элементы соединительной ткани (гиалиновые, хрящевые)
- Цитогенетическое исследование выявляет аномалии в хромосомах злокачественных клеток.
-
Анализ крови.
Специфических онкомаркеров для саркомы не существует, что затрудняет определение этого типа опухоли по анализу крови.
-
Общий анализ крови при саркоме
На ранних стадиях заболевания изменений нет. В дальнейшем могут появляться отклонения:
- значительное снижение гемоглобина и количества эритроцитов – анемия, менее 100 г/л
- незначительное повышение уровня лейкоцитов – лейкоцитоз свыше 9,0*10^9/л
- снижение числа тромбоцитов – тромбоцитопения менее 150*10^9/л
- повышение СОЭ – свыше 15 мм/час
- Биохимический анализ крови при саркоме
- Повышение уровня лактатдегидрогеназы свыше 250 Ед/л. Высокие концентрации этого фермента указывают на агрессивное течение болезни.
-
-
Рентген грудной клетки
Рентгенография при саркоме используется для выявления опухолей и их метастазов в грудной клетке и костях.
Саркома средостения (грудной клетки)
- опухоль округлой или неправильной формы
- размер от нескольких миллиметров до десятков сантиметров
- неоднородная структура
Саркома кости - неровные контуры кости. Бугристость или выпуклость без разрушения наружного слоя кости и без признаков воспаления
- поражение костного мозга
- наросты на поверхности кости в виде бахромы или наслоений
- опухоль имеет вид луковицы, расположенной перпендикулярно оси кости
Недостаток рентгенографии в том, что она не позволяет отличить саркому от других злокачественных опухолей.
-
Компьютерная томография при саркоме
Признаки саркомы, выявляемые при КТ, зависят от локализации опухоли.
- новообразование неправильной формы
- неровные размытые контуры
- неоднородная структура опухоли
- повреждение окружающих тканей
- накопление контрастного вещества в извивающихся сосудах
Часто перед процедурой в вену вводят контрастное вещество, что помогает определить границы опухоли.
-
УЗИ
Ультразвуковое исследование применяется при саркоме, расположенной в брюшной полости и мягких тканях.
Исследование позволяет оценить размер и структуру опухоли.
- новообразование без капсулы, сдавливающее окружающие ткани
- узловые образования в мышцах или внутренних органах (матка, почки)
- опухоль с неоднородной структурой
- очаги некроза внутри новообразования
Наилучший результат в лечении саркомы достигается при комбинированной терапии: хирургическое удаление опухоли, курсы химиотерапии и лучевой терапии до или после операции. Такой подход помогает предотвратить рецидив и увеличить выживаемость с 30% до 70%. Длительность лечения может составлять до года.
| Группа препаратов | Представители | Механизм действия | Способ применения |
| Химиотерапия | Комбинация препаратов: винкристин, адриамицин (доксорубицин) и циклофосфан | Эти препараты нарушают синтез ДНК, останавливая деление клеток и рост опухоли. В высоких концентрациях они приводят к некрозу клеток саркомы. | Препараты назначаются курсом на 3-4 недели. После этого их заменяют другими для повышения эффективности лечения. Вводятся внутривенно, доза рассчитывается индивидуально с учетом веса пациента, формы и стадии саркомы. |
| Комбинация препаратов ифосфамид и этопозид | |||
| Противоопухолевые препараты, группа цитостатики | Оксорубицин, цисплатин, фторурацил, гидроксимочевина, циклофосфан | Эти препараты повреждают ядро и оболочку злокачественных клеток, вызывая их гибель и уменьшение опухоли. | Препараты вводятся внутривенно или внутримышечно ежедневно или через день. Схема лечения подбирается индивидуально. |
Саркома чувствительна к лучевой терапии, которая дополняет медикаментозное лечение. На опухоль направляют ионизирующее излучение. На саркому воздействуют средними дозами 45-55 грей. Наилучший эффект лучевой терапии наблюдается при саркоме Юинга.
Этот тип опухолей отличается агрессивным течением и ранним появлением метастазов, поэтому удаление саркомы необходимо проводить как можно раньше. Методика операции зависит от расположения опухоли и стадии заболевания.
Перед операцией проводят обследование, которое включает:
- общий и биохимический анализы крови
- тесты на ВИЧ, сифилис, гепатит
- определение свертываемости крови
- кардиографию
- компьютерную томографию для уточнения расположения опухоли и степени поражения окружающих тканей.
Цель операции – удалить все злокачественные клетки, которые могут распространиться за пределы опухоли и стать причиной рецидива. Во время операции врач делает разрез на коже для доступа к опухоли.
Он удаляет саркому и 2 см здоровой ткани вокруг нее. Хирурги стараются сохранить функции органа, чтобы операция не привела к инвалидизации.
Противопоказания к операции
- возраст старше 75 лет
- тяжелые заболевания сердца, печени, почек
- крупная опухоль жизненно важных органов, которую невозможно удалить
В таких случаях операцию может заменить лучевая терапия.
Лечебное питание при саркоме имеет важное значение. Соблюдение диеты способствует укреплению иммунной системы и борьбе организма со злокачественными клетками.
Основные требования к питанию:
- достаточное количество витаминов для укрепления иммунитета
- легкоусвояемые белки, которые служат строительным материалом для антител
- большое количество клетчатки для ускорения опорожнения кишечника и выведения токсинов
- нормальное потребление жидкости для очищения крови от продуктов распада клеток
Рекомендуемые продукты:
- Овощи – огурцы, кабачки, картофель, томаты, свекла, баклажаны, тыква, морковь, лук, чеснок. Рекомендуемая норма 500-600 г.
- Зелень – укроп, петрушка, листья салата.
- Фрукты – яблоки, груши, сливы, гранаты, цитрусовые до 1,5 кг в день.
- Кисломолочные продукты, богатые бифидо и лакто бактериями – свежий кефир, йогурт, простокваша, творог, свежее козье молоко.
- Мясо до 100 г в день. Бульоны и колбасы не рекомендуются.
- Крупы – овсяная, гречневая и ячневая каши. Дневная норма – 200 г.
- Орехи и семечки – бразильский орех, косточки абрикос, фундук, грецкий орех, кешью до 40 г.
- Сухофрукты 40-60 г.
- Отруби и пророщенные злаки (2 ст. л.) – источник клетчатки и микроэлементов.
- Хлеб из муки грубого помола до 300 г.
- Растительные масла 20-30 г – желательно оливковое, первого холодного отжима.
Продукты, блокирующие образование метастазов:
- Жирная морская рыба – сайра, скумбрия, сардина, сельдь, треска, форель, лосось.
- Желтые и зеленые овощи – тыква, морковь, зеленый горошек, спаржа, капуста, кабачки.
- Чеснок.
Продукты, которых стоит избегать:
- Кондитерские изделия – источник глюкозы, стимулирующей деление раковых клеток.
- Продукты, богатые танином – чай, кофе, хурма, черемуха. Танин может привести к образованию тромбов.
- Копченые продукты – содержат канцерогенные вещества.
- Кислые ягоды – клюква, брусника, лимоны. Кислотная среда способствует развитию раковых клеток.
-
Алкоголь, особенно пиво. Пивные дрожжи обеспечивают клетки опухоли простыми углеводами.
-
Сдавливание окружающих органов.
- Образование метастазов.
- Непроходимость и перфорация кишечника, что может привести к перитониту.
- Слоновость при сдавливании лимфатических узлов.
- Деформация конечностей и ограничение движений при крупных опухолях.
- Внутренние кровотечения, вызванные распадом опухоли.
Прогноз при саркоме зависит от стадии заболевания. Регулярные профилактические осмотры помогают выявить саркому на ранних стадиях. Чем раньше начнется лечение, тем выше шансы на выздоровление.
Диагностика саркомы
-
Обследование у специалиста.
Онколог соберет данные для установления диагноза, обращая внимание на внешние признаки саркомы:
- истощение
- желтуха
- бледность
- синюшность губ
- отечность лица
- переполнение вен на голове
- образования и узелки на коже
- изменения кожи над опухолью
При саркоме с высокой злокачественностью наблюдаются выраженные симптомы интоксикации:
- повышенная температура
- общая слабость
- ночная потливость
- снижение аппетита
Онколог уточнит, когда появились симптомы, как быстро они развиваются и были ли случаи злокачественных опухолей у близких.
После опроса врач направит на дополнительные исследования для уточнения типа опухоли, ее расположения, степени злокачественности и наличия метастазов.
-
Лабораторные исследования.
-
Биопсия и гистологическое исследование. С помощью иглы или щипцов берется фрагмент опухоли для анализа.
При саркоме выявляются:
- извивающиеся капилляры с тонкими стенками
- разнонаправленные пучки атипичных клеток
- измененные клетки с тонкой оболочкой и крупными ядрами
- отсутствие нормальных клеток
- большое количество межклеточного вещества (гиалиновые, хрящевые)
-
Цитогенетическое исследование выявляет аномалии в хромосомах злокачественных клеток.
-
Анализ крови.
Специфических онкомаркеров для саркомы нет, поэтому по результатам анализа нельзя однозначно определить этот тип опухоли.
-
Общий анализ крови.
На ранних стадиях изменений нет. Позже могут появляться отклонения:
- снижение уровня гемоглобина и количества эритроцитов – анемия, менее 100 г/л
- небольшое повышение уровня лейкоцитов – лейкоцитоз свыше 9,0*10^9/л
- снижение числа тромбоцитов – тромбоцитопения менее 150*10^9/л
- увеличение СОЭ – свыше 15 мм/час
-
Биохимический анализ крови.
- Повышение уровня лактатдегидрогеназы свыше 250 Ед/л указывает на агрессивное течение заболевания.
-
-
Рентгенография грудной клетки.
Рентген при саркоме используется для выявления опухолей и метастазов в грудной клетке и костях.
Саркома средостения
- опухоль округлой или неправильной формы
- размер от нескольких миллиметров до десятков сантиметров
- неоднородная структура
Саркома кости
- неровные контуры кости, бугристость или выпуклость без разрушения наружного слоя
- поражение костного мозга
- наросты на поверхности кости
- опухоль в виде луковицы, расположенной перпендикулярно оси кости
Недостаток рентгенографии – невозможность отличить саркому от других злокачественных образований.
-
Компьютерная томография при саркоме.
Признаки саркомы на КТ зависят от расположения опухоли:
- новообразование неправильной формы
- неровные, размытые контуры
- неоднородная структура
- повреждение окружающих тканей
- накопление контрастного вещества в сосудах
Часто перед процедурой вводят контрастное вещество для четкого определения границ опухоли.
-
Ультразвуковое исследование.
УЗИ применяется при саркомах в брюшной полости и мягких тканях, позволяя оценить размер и структуру опухоли:
- новообразование без капсулы, сдавливающее окружающие ткани
- узловые образования в мышцах или органах (матка, почки)
- опухоль с неоднородной структурой
- очаги некроза внутри новообразования
Лечение саркомы
Наилучшие результаты в борьбе с саркомой достигаются при комплексной терапии, которая включает хирургическое удаление опухоли, химиотерапию и лучевую терапию до или после операции. Этот подход снижает риск рецидива и увеличивает уровень выживаемости с 30% до 70%. Лечение саркомы может занять до одного года.
Лечение саркомы медикаментами
| Класс препаратов | Примеры | Механизм действия | Способ применения |
| Химиотерапевтические средства | Винкристин, адриамицин (доксорубицин), циклофосфан | Эти препараты нарушают синтез ДНК, останавливая деление клеток и замедляя рост опухоли. При высоких дозах возможен некроз клеток саркомы. | Лечение курсами 3-4 недели, затем смена препаратов для повышения эффективности. Введение внутривенно, доза рассчитывается индивидуально с учетом веса пациента и стадии саркомы. |
| Ифосфамид, этопозид | |||
| Противоопухолевые средства, цитостатики | Оксорубицин, цисплатин, фторурацил, гидроксимочевина, циклофосфан | Эти препараты повреждают ядра и мембраны злокачественных клеток, вызывая их гибель и уменьшение опухоли. | Препараты вводятся внутривенно или внутримышечно ежедневно или через день. Схема лечения подбирается индивидуально. |
Саркома хорошо реагирует на лучевую терапию, которая дополняет медикаментозное лечение. Для воздействия на опухоль используется ионизирующее излучение. На саркому направляют дозы радиации 45-55 грей. Наилучшие результаты достигаются при лечении саркомы Юинга.
Когда нужна операция по удалению опухоли?
Данный тип опухолей отличается высокой агрессивностью и ранним метастазированием, поэтому удаление саркомы следует проводить на ранней стадии. Характеристики и методика операции зависят от локализации опухоли и стадии заболевания.
Перед операцией необходимо провести обследование, включающее:
- общий и биохимический анализы крови
- тесты на ВИЧ, сифилис и гепатит
- оценка свертываемости крови
- электрокардиограмму
- компьютерную томографию для уточнения расположения опухоли и степени поражения окружающих тканей.
Основная задача операции – удалить все злокачественные клетки, которые могут распространиться за пределы опухоли и вызвать новую саркому. Хирург делает разрез на коже для доступа к опухоли.
Саркома удаляется с 2 см здоровой ткани вокруг. Хирурги стремятся сохранить функции органа, чтобы избежать инвалидизации пациента.
Противопоказания для операции:
- возраст старше 75 лет
- серьезные заболевания сердца, печени или почек
- крупная опухоль в жизненно важных органах, которую невозможно удалить
В таких случаях хирургическое вмешательство может быть заменено лучевой терапией.
Питание при саркоме
Лечебное питание при саркоме играет важную роль. Специальная диета укрепляет иммунную систему, помогает организму бороться с раковыми клетками и предотвращает метастазы.
Основные принципы питания:
- Обеспечение витаминами для поддержки иммунитета.
- Легко усваиваемые белки как строительный материал для антител.
- Высокое содержание клетчатки для быстрого опорожнения кишечника и выведения токсинов.
- Оптимальное потребление жидкости для очищения крови от продуктов распада клеток.
Рекомендуемые продукты:
- Овощи: огурцы, кабачки, картофель, помидоры, свекла, баклажаны, тыква, морковь, лук, чеснок (500-600 г в день).
- Зелень: укроп, петрушка, листья салата.
- Фрукты: яблоки, груши, сливы, гранаты, цитрусовые (до 1,5 кг в день).
- Кисломолочные продукты с бифидо и лакто бактериями: кефир, йогурт, простокваша, творог, свежее козье молоко.
- Мясо: до 100 г в день, исключить бульоны и колбасы.
- Крупы: овсяная, гречневая, ячневая каши (200 г в день).
- Орехи и семена: бразильский орех, косточки абрикос, фундук, грецкий орех, кешью (до 40 г).
- Сухофрукты: 40-60 г.
- Отруби и пророщенные злаки (2 ст. л.) как источник клетчатки и микроэлементов.
- Хлеб из муки грубого помола: до 300 г.
- Растительные масла: 20-30 г, предпочтительно оливковое первого холодного отжима.
Продукты, блокирующие метастазы:
- Жирная морская рыба: сайра, скумбрия, сардина, сельдь, треска, форель, лосось.
- Желтые и зеленые овощи: тыква, морковь, зеленый горошек, спаржа, капуста, кабачки.
- Чеснок.
Продукты, которых следует избегать:
- Кондитерские изделия – источник глюкозы, способствующей делению раковых клеток.
- Продукты с танином – чай, кофе, хурма, черемуха. Танин может привести к образованию тромбов.
- Копченые продукты – содержат канцерогенные вещества.
- Кислые ягоды – клюква, брусника, лимоны. Кислая среда может способствовать развитию раковых клеток.
- Алкоголь, особенно пиво. Пивные дрожжи обеспечивают опухолевые клетки простыми углеводами.
Последствия саркомы
- Сдавление соседних органов.
- Появление метастазов.
- Закупорка и перфорация кишечника, что может привести к перитониту и требует срочного хирургического вмешательства.
- Слоновость из-за сжатия лимфатических узлов и нарушения оттока лимфы.
- Изменение формы конечностей и ограничение подвижности при крупных опухолях в мышцах и костях.
- Внутренние кровотечения из-за распада опухоли.
Прогноз при саркоме зависит от стадии болезни. Регулярные профилактические обследования помогают выявить саркому на ранних стадиях. Раннее начало лечения повышает вероятность полного выздоровления.
Вопрос-ответ
Каковы признаки и симптомы саркомы?
Саркома может проявляться различными симптомами в зависимости от ее типа и локализации, но общими признаками являются наличие безболезненной опухоли или уплотнения под кожей, боль в области опухоли, отек или увеличение размера пораженной области, а также возможные симптомы, связанные с метастазами, такие как потеря веса, усталость и лихорадка. Важно обратиться к врачу для диагностики при появлении подобных симптомов.
Как выглядит саркома на ранней стадии?
Как выглядит саркома на ранней стадии и как быстро развивается? На ранней стадии саркома может выглядеть как небольшая опухоль и уплотнение. Нередко новообразование бывает болезненным и вызывает отек вокруг пораженной области.
Как болит при саркоме?
К сожалению, первые признаки и жалобы пациента абсолютно не характерны для сарком. Пациенты жалуются чаще всего на нарушения функции и/или боль в той зоне, где расположена саркома. Например, плохо сгибается рука, после тренировки появилась боль, припухлость в ягодичной области.
Как лечат саркому?
Единственный способ избавиться от мягкотканной саркомы – злокачественной опухоли, которая развивается из соединительной ткани, – удалить ее хирургическим путем. Поэтому операция является основным методом лечения во всех случаях, когда она в принципе возможна.
Советы
СОВЕТ №1
Регулярно проходите медицинские обследования. Саркома может развиваться незаметно, поэтому важно регулярно посещать врача для раннего выявления возможных заболеваний.
СОВЕТ №2
Обратите внимание на изменения в своем организме. Если вы заметили необычные опухоли, боли или другие симптомы, не откладывайте визит к врачу. Чем раньше будет поставлен диагноз, тем выше шансы на успешное лечение.
СОВЕТ №3
Изучите информацию о различных типах саркомы. Понимание специфики заболевания поможет вам лучше общаться с врачами и принимать обоснованные решения о лечении.
СОВЕТ №4
Поддерживайте здоровый образ жизни. Правильное питание, физическая активность и отказ от вредных привычек могут укрепить вашу иммунную систему и снизить риск развития различных заболеваний, включая саркому.









