Анатомия пищеварительной системы
Пищеварительная система человека состоит из органов, таких как ротовая полость, пищевод, желудок, кишечник и печень. Ее основная задача — переработка пищи, усвоение питательных веществ и удаление ненужных остатков. Для понимания заворота кишок важно изучить анатомию и функции кишечника.
Врачи отмечают, что заворот кишок является серьезным состоянием, требующим немедленного медицинского вмешательства. Основными причинами этого заболевания могут быть анатомические аномалии, опухоли, спайки или инородные тела. Симптомы включают резкие боли в животе, рвоту, отсутствие стула и газов, что указывает на нарушение проходимости кишечника. Для диагностики врачи используют ультразвуковое исследование, рентгенографию и компьютерную томографию, что позволяет точно определить локализацию и степень заворота. Лечение чаще всего хирургическое, и чем раньше будет проведена операция, тем выше шансы на успешное восстановление. Профилактика включает в себя регулярные медицинские осмотры, особенно у людей с предрасположенностью к заболеваниям кишечника, а также соблюдение здорового образа жизни и правильного питания.

Строение кишечника
Кишечник — это длинная трубка длиной до 4 метров, где происходит размягчение, переваривание и всасывание пищевых веществ. Он начинается после пилорической части желудка и заканчивается анальным отверстием.
С анатомической точки зрения кишечник делится на:
- тонкий кишечник;
- толстый кишечник.
Тонкий кишечник
Находится между желудком и толстым кишечником, длиной от 1,5 до 4 метров и диаметром 35-50 миллиметров.
В тонком кишечнике выделяют:
- двенадцатиперстную кишку;
- тощую кишку;
- подвздошную кишку.
Основная задача тонкого кишечника — переработка пищи из желудка. В двенадцатиперстную кишку впадает желчный проток из печени, который доставляет желчь для переваривания жиров. Также сюда поступают пищеварительные ферменты из поджелудочной железы, расщепляющие белки, жиры и углеводы. Расщепленные вещества проникают через стенки кишечника в кровь и попадают в систему воротной вены, откуда доставляются в печень. В печени нейтрализуются токсины и используются белки, жиры и углеводы для синтеза необходимых веществ.
Толстый кишечник
Это конечный участок пищеварительной системы. Его диаметр значительно больше, достигая 5-15 см в начальных отделах и до 7 см в конечных. Длина толстого кишечника составляет от 1,5 до 2 метров. Основная функция — всасывание воды и формирование каловых масс.
В толстом кишечнике выделяют:
- слепую кишку;
- ободочную кишку (восходящий, поперечный, нисходящий и сигмовидный отделы);
- прямую кишку.
К толстому кишечнику относится аппендикс — небольшой орган, отходящий от слепой кишки, который, как считается, играет важную роль в развитии иммунной системы.
| Причина | Симптом | Диагностика/Лечение/Профилактика |
|---|---|---|
| Врожденные аномалии развития кишечника (например, неполный поворот кишок) | Сильная боль в животе, рвота, вздутие живота, задержка стула или газов, признаки шока (бледность, тахикардия, гипотония) | УЗИ, рентген, КТ, лапароскопия/лапаротомия (хирургическое вмешательство), поддерживающая терапия (инфузионная, обезболивание) |
| Кишечная непроходимость (спайки, опухоли, грыжи) | Сильная боль в животе, рвота (иногда с примесью желчи или кала), вздутие живота, задержка стула и газов, признаки обезвоживания | УЗИ, рентген, КТ, колоноскопия, ирригоскопия, лапароскопия/лапаротомия (хирургическое вмешательство), лечение основного заболевания |
| Травмы живота | Сильная боль в животе, внутреннее кровотечение, шок, признаки перитонита | УЗИ, рентген, КТ, лапароскопия/лапаротомия (хирургическое вмешательство), переливание крови, антибиотикотерапия |
| Воспалительные заболевания кишечника (болезнь Крона, язвенный колит) | Боль в животе, диарея, лихорадка, потеря веса, признаки анемии | Колоноскопия, биопсия, анализы крови, лечение основного заболевания (кортикостероиды, иммуномодуляторы, хирургическое вмешательство в тяжелых случаях) |
| Механическая обструкция (например, инородное тело) | Боль в животе, рвота, задержка стула и газов | Рентген, КТ, эндоскопия, хирургическое удаление инородного тела |
| Послеоперационные спайки | Повторная боль в животе, запор, вздутие живота | УЗИ, КТ, лапароскопия, адгезиолизис (хирургическое удаление спаек) |
| Профилактика | Своевременное лечение заболеваний ЖКТ, правильное питание, избегание травм живота, осторожность при приеме лекарств, регулярные осмотры у врача |
Моторика кишечника
Кишечник человека постоянно активен, особенно после еды. Перистальтика, моторная функция кишечника, играет ключевую роль в пищеварении, смешивая пищу с кишечным соком и облегчая действие пищеварительных ферментов. Она также обеспечивает всасывание питательных веществ и формирование каловых масс.
Содержимое кишечника движется в одном направлении благодаря особенностям перистальтики. Мышечные волокна кишечника сокращаются после растяжения: чем больше пищи поступает из желудка, тем сильнее сокращения.
Когда пищевой комок попадает в двенадцатиперстную кишку, он растягивает ее, что запускает мышечные сокращения. Перистальтическая волна не может двигаться обратно из-за сфинктера желудка — плотного мышечного кольца, закрывающегося после поступления пищи в кишечник. Таким образом, волна движется только вперед, продвигая содержимое.
Скорость перистальтических волн в тонком кишечнике достигает 7-10 см в секунду, и одновременно может наблюдаться 2-3 волны. В некоторых случаях возникают патологические волны, движущиеся в обратном направлении, что может привести к завороту.
Моторная активность толстого кишечника менее интенсивна. В норме в нем возникает 3-4 сильные перистальтические волны в сутки, способствующие продвижению содержимого к конечному отделу желудочно-кишечного тракта.
Заворот кишок — это серьезное состояние, которое требует немедленного медицинского вмешательства. Люди часто говорят о его опасности, так как это может привести к некрозу кишечника и другим осложнениям. Основные причины заворота включают анатомические аномалии, опухоли, спайки после операций и тяжелые физические нагрузки. Симптомы обычно проявляются в виде резкой боли в животе, рвоты, вздутия и задержки стула. Диагностика включает физикальное обследование, УЗИ и компьютерную томографию. Лечение чаще всего хирургическое, направленное на восстановление нормального положения кишки. Профилактика заключается в своевременном лечении заболеваний, которые могут привести к этому состоянию, а также в соблюдении правильного питания и избегании чрезмерных нагрузок.

Строение и функции брыжейки
Внутренняя поверхность брюшной стенки и некоторые органы брюшной полости покрыты серозной оболочкой — брюшиной. Складки этой оболочки, окружающие петли тонкого и толстого кишечника, называются брыжейкой. Не все участки кишечника имеют брыжейку: она наиболее выражена в тощей и подвздошной кишках, в то время как в толстом кишечнике ее выраженность ниже, а в двенадцатиперстной кишке брыжейка отсутствует.
Брыжейка начинается с корня — складки брюшины, заполненной жировой клетчаткой, расположенной на задней стенке брюшной полости. Затем она продолжается к петлям кишечника, окружая их между двумя листками брюшины и обеспечивая надежную фиксацию.
Основные функции брыжейки:
- Фиксация кишечника — брыжейка предотвращает переплетение петель кишечника во время перистальтики и поворотов тела, сохраняя при этом подвижность.
- Кровоснабжение кишечника — в брыжейке проходят кровеносные и лимфатические сосуды, обеспечивающие питание стенок кишечника.
- Иннервация кишечника — в структуре брыжейки находятся нервные волокна, регулирующие активность моторики кишечника.
Причины заворота кишечника
Заворот кишок может возникать по различным причинам, связанным с патологическими процессами в брюшной полости, заболеваниями желудочно-кишечного тракта и неправильным питанием.
Факторы, способствующие завороту кишок:
- Аномалии внутриутробного развития. Длинная брыжейка, образующаяся в процессе роста плода, может увеличить риск заворота тонкого кишечника.
- Длительное голодание с последующим обильным приемом пищи. Длительное отсутствие пищи делает кишечные петли более подвижными, что может привести к завороту при резком увеличении нагрузки.
- Переедание. Частое переедание вызывает переполнение кишечных петель и активирует перистальтику, что увеличивает вероятность заворота.
- Повышение внутрибрюшного давления. Резкое увеличение давления (например, при травмах) может сместить кишечные отделы и вызвать заворот.
- Рубцы и спайки в брюшной полости. Образование спаек после воспалительных процессов или операций может «склеивать» петли кишечника, повышая риск заворота.
- Неправильное питание. Грубая пища и продукты с высоким содержанием клетчатки могут увеличить моторику кишечника, что повышает риск заворота.
- Пищевые отравления. Инфекции и интоксикации усиливают перистальтику, что в сочетании с голоданием и рвотой повышает вероятность заворота.
- Запоры. Частые запоры могут привести к завороту сигмовидной ободочной кишки, особенно у пожилых людей.
- Мезосигмоидит. Воспаление брыжейки сигмовидной кишки может привести к ее сморщиванию и завороту.
При завороте кишок происходят схожие патологические изменения. При повороте кишки более чем на 180º ее просвет перекрывается, что останавливает продвижение содержимого и приводит к пережатию сосудов брыжейки, что может вызвать омертвение стенки кишечника и каловый перитонит.
Заворот может произойти в любом отделе кишечника, где есть брыжейка. Клиническая картина и лечебная тактика зависят от уровня заворота.
В зависимости от уровня заворота различают:
- заворот тонкой кишки;
- заворот слепой кишки;
- заворот сигмовидной ободочной кишки;
- заворот поперечной ободочной кишки.
В норме петли тонкого кишечника могут поворачиваться до 90º без нарушения. При завороте более 180º возникают симптомы заболевания. В заворот могут вовлекаться одна или несколько петель тонкого кишечника. Слепая кишка, находящаяся рядом с тонким кишечником, проявляет схожие симптомы.
Симптомы заворота тонкой кишки:
- Боль. Резкая, колющая и постоянная боль в верхней части живота, усиливающаяся до нестерпимой.
- Поведение больного. Беспокойство, крики от боли, вынужденное положение с прижатыми к груди коленями.
- Усиленная перистальтика. Непереваренные пищевые массы перед местом заворота вызывают растяжение и активируют перистальтику, сопровождающуюся болями и «урчанием» в животе.
- Асимметрия живота. Вздутие в области пупка из-за скопления каловых масс.
- Рвота. Многократная рвота с содержимым желудка и примесью фекалий, не приносящая облегчения.
- Задержка стула и газов. Сначала перистальтика толстого кишечника сохраняется, но при длительном течении заболевания выделение может прекратиться.
- Нарушение общего состояния. Обезвоживание, слабость, головокружение и обмороки.
- Симптомы интоксикации. Повышение температуры, учащение сердцебиения и бледность кожи.
Симптомы заворота сигмовидной кишки схожи, но имеют свои особенности.
Заворот сигмовидной кишки проявляется:
- Болью. Острая боль в нижней части живота, отдающая в поясницу, постоянная или схваткообразная.
- Рвотой. Рвота с желудочным содержимым и желчью, повторяющаяся без облегчения, позднее может быть рвота с калом.
- Отсутствием стула и газов. Выделение прекращается практически сразу после начала заболевания.
- Вздутием живота. Ассиметричное вздутие, особенно в верхних отделах справа.
- Затруднением дыхания. Скопление газов может сжимать диафрагму и нарушать дыхание.
- Нарушением сердцебиения. Повышение давления в брюшной полости увеличивает нагрузку на сердце.
Заворот поперечной ободочной кишки встречается редко и проявляется симптомами, схожими с заворотом сигмовидной кишки.
Диагностика и лечение заворота кишок – задача хирургов, однако любой врач должен уметь заподозрить это заболевание. Важно быстро установить диагноз и начать лечение, так как задержка может привести к серьезным осложнениям.
Для диагностики заворота кишок применяются:
- опрос больного;
- осмотр и обследование;
- рентгенография брюшной полости;
- общий анализ крови.
Первым шагом врача является тщательный опрос пациента о начале заболевания, что поможет заподозрить причину и назначить необходимые диагностические и лечебные мероприятия.
Вопросы, которые может задать врач:
- Когда начались симптомы?
- Где локализуются боли?
- Какой характер болей (острые, колющие, постоянные)?
- Была ли рвота? Если да, то сколько раз? Приносила ли она облегчение?
- Каков характер рвотных масс?
- Был ли стул после начала заболевания?
- Как и чем питался пациент перед появлением болей?
- Переносил ли пациент операции на органах брюшной полости?
- Предшествовала ли началу заболевания травма или физическая нагрузка?
После опроса врач проводит клиническое обследование пациента, что помогает подтвердить или исключить заворот кишок и получить информацию о состоянии больного.
Клиническое обследование включает:
- осмотр;
- пальпацию живота;
- перкуссию;
- выслушивание кишечной перистальтики.
При осмотре врач может обнаружить:
- Асимметрию живота.
- Вздутие в околопупочной области – при завороте тонкой или слепой кишки.
- Вздутие верхних отделов справа – при завороте сигмовидной кишки.
- Симптомы интоксикации – бледность кожи, сухость языка и др.
При пальпации живота врач может выявить:
- Уплотнение по средней линии живота – при завороте поперечной ободочной кишки.
- Симптом «волейбольного мяча» – округлое, плотное образование на месте заворота.
- Усиленную перистальтику – может определяться на всей поверхности живота или только в верхних отделах.
При перкуссии врач может выявить:
- Коробочный звук. Появляется, если пространство под местом постукивания заполнено газом.
- Притупление звука. Образуется из-за скопления каловых масс перед местом заворота.
При аускультации врач может выявить:
- Усиленную перистальтику выше заворота – характерно для начала заболевания.
- Отсутствие перистальтики – характерно для поздних стадий.
- «Шум плеска» – булькающий звук в области кишечных петель с большим количеством жидкости и газов.
Это исследование обязательно при подозрении на заворот кишок. Метод основан на просвечивании тканей рентгеновскими лучами, что позволяет выявить наличие газа в петлях кишечника.
Обзорная рентгенограмма позволяет выявить:
- При завороте тонкого кишечника – уровень жидкости и газа в петлях выше места заворота.
- При завороте слепой кишки – увеличенное, шаровидное образование в правых отделах живота.
- При завороте сигмовидной кишки – скопление газа в ободочной кишке, что проявляется увеличением рентгенологических границ и смещением органов.
Общий анализ крови имеет ориентировочное значение, но может помочь установить причину заворота и общее состояние пациента.
При завороте кишок общий анализ крови может выявить:
- увеличение лейкоцитов;
- увеличение скорости оседания эритроцитов (СОЭ);
- уменьшение количества эритроцитов и гемоглобина.
Увеличение лейкоцитов
Лейкоциты борются с инфекциями. При завороте кишечника повышается проницаемость стенки, что приводит к попаданию бактерий и токсинов в кровь.
Увеличение СОЭ
СОЭ позволяет выявить воспалительный процесс. При завороте кишечника данный показатель может значительно увеличиваться.
Уменьшение эритроцитов и гемоглобина
Эти симптомы могут указывать на повреждение сосудов и начало кровотечения, хотя их ценность невелика, так как при завороте кал может не выделяться.
Кишечное кровотечение можно заподозрить:
- При уменьшении количества эритроцитов – менее 4 х 10^12/л у мужчин и менее 3,5 х 10^12/л у женщин.
- При уменьшении гемоглобина – менее 130 г/л у мужчин и менее 120 г/л у женщин.
Острая кишечная непроходимость – угрожающее жизни состояние, поэтому при подозрении на заворот кишок необходимо быстро подтвердить диагноз и начать лечение.
Первая помощь заключается в срочной госпитализации пациента в хирургическое отделение для установления диагноза и назначения лечения.
Важно помнить, что консервативные методы могут временно уменьшить симптомы, но не устраняют причину. Их использование до госпитализации может затруднить диагностику и отложить операцию, снижая шансы на выживание.
При наличии симптомов заворота кишок следует:
- Немедленно вызвать скорую помощь.
- Обеспечить физический покой больному.
- Исключить прием пищи и жидкости, чтобы не усугубить перистальтику и не спровоцировать рвоту.
- Не давать медикаментов, которые могут скрыть симптомы.
- Не использовать промывание желудка или клизмы.
Операция – единственный эффективный метод лечения заворота кишок. Исключение составляет заворот сигмовидной кишки, который иногда можно устранить без операции, так как он расположен близко к анальному отверстию.
Метод заключается в введении жесткой трубки через анальное отверстие до места заворота и нагнетании раствора бария, что может привести к раскручиванию заворота. Если процедура выполняется под контролем рентгена, о ее успешности свидетельствует распространение раствора в кишечнике.
Консервативный метод возможен только при отсутствии признаков некроза и перитонита, которые могут появиться через несколько часов.
Техника операции зависит от локализации заворота, состояния перекрученных петель и общего состояния пациента.
Предоперационная подготовка включает:
- Получение согласия на операцию.
- Выполнение анализов (крови, мочи, свертываемости).
- Восстановление объема крови при обезвоживании.
- Назначение обезболивающих и спазмолитиков.
- При необходимости – очистительные клизмы и промывание желудка.
Все операции проводятся под общим обезболиванием.
Хирургический доступ
Доступ всегда лапаротомический – разрез по средней линии живота от мечевидного отростка до лобка для выполнения манипуляций.
Характер и объем операции
После разреза хирурги проникают в брюшную полость, выявляют заворот и проводят деторсию (раскручивание) петель. Затем устанавливается назоинтестинальный зонд для удаления содержимого.
Если петли жизнеспособны, операция завершается. Проводится промывание брюшной полости антисептиками, установка дренажа и ушивание раны.
Если выявляется некроз, удаляется участок кишки, накладывается анастомоз, устанавливаются дренажи и рана ушивается. Удаление большого участка необходимо, чтобы избежать разрыва швов и перитонита.
Илеостома
Если операция выполнена поздно и есть перитонит, может быть создана илеостома – концы кишечника выводятся на поверхность. Это позволяет питать пациента и лечить перитонит. Позже проводится повторная операция для восстановления целостности кишечника.
Принципы хирургического лечения аналогичны, но с отличиями. Если после раскручивания кишка не жизнеспособна, удаляется некротизированный участок и накладывается анастомоз. Если цвет и блеск восстанавливаются, операция завершается.
Некоторые хирурги «пришивают» кишку к боковой стенке брюшной полости, чтобы снизить подвижность и предотвратить повторный заворот.
Если причиной заворота является длинная брыжейка, накладываются швы для укорочения корня брыжейки. Также возможно пришивание сигмовидной кишки к стенке брюшной полости.
После операции пациенту предстоит длительный восстановительный период с соблюдением ряда правил.
Госпитализация после операции составляет не менее 2-3 недель, в течение которых осуществляется наблюдение и проводятся лечебные мероприятия. После выписки врач дает рекомендации по образу жизни, питанию и физической активности.
Реабилитация включает:
- обезболивание;
- постельный режим;
- обработку послеоперационной раны;
- диету;
- дыхательную гимнастику;
- физиотерапию.
Адекватное обезболивание – важный фактор послеоперационного периода. Применяются медикаменты из различных групп для эффективного устранения боли.
Медикаментозное лечение боли после операции
| Группа препаратов | Представители | Механизм действия | Способ применения и дозы |
| Наркотические обезболивающие | Морфин | Угнетает передачу болевых импульсов и снижает восприятие боли. | Вводится внутримышечно в дозе 10 мг каждые 4-5 часов. |
| Омнопон | Комбинированный препарат с наркотическими анальгетиками и спазмолитиком. | Вводится подкожно по 1 мл 1% раствора 3-4 раза в сутки. | |
| Нестероидные противовоспалительные | Индометацин, Кеторолак | Уменьшают воспаление и боль. | Внутримышечно по 60 мг 1-2 раза в сутки. |
| Вводится внутривенно по 30 мг каждые 6 часов. | |||
| Спазмолитики | Дротаверин, Папаверин | Расслабляют гладкую мускулатуру, снижая перистальтику и предотвращая спазмы. | Вводится внутримышечно по 40-80 мг каждые 8 часов. |
В первые дни после операции необходим строгий постельный режим, чтобы избежать расхождения швов. Однако это не означает полную неподвижность. Со второго дня рекомендуется выполнять простые движения руками и поворачиваться с одного бока на другой.
С 3-4 дня разрешается вставать с постели и совершать кратковременные прогулки по палате с сопровождением, чтобы избежать падений.
Для предотвращения инфекции и нагноения раны необходимо регулярно обрабатывать ее антисептиками. Врач проводит перевязку 1-2 раза в день до полного заживления.
В первые дни после операции пациенту запрещено есть. Питательные вещества вводятся внутривенно. К 3-4 дню, при улучшении состояния, разрешается переход на естественное питание.
Диетотерапия включает:
- нулевую диету;
- диету номер 1а;
- диету номер 1b;
- диету номер 1.
Нулевая диета
Начинается с жидкой или кашеобразной пищи, малыми порциями 7-8 раз в день. Исключаются горячие и холодные продукты.
Диета номер 1а
Переходят через 3-5 дней после нулевой диеты. Добавляются нежирные сорта мяса и рыбы, каши и соки.
Диета номер 1b
Переходят через 3-5 дней после диеты 1а. Добавляются белые сухари, фрикадельки и пюре.
Диета номер 1
Назначается на 15-20 день после операции с ограничением горячей и холодной пищи.
Назначается всем пациентам на постельном режиме для улучшения вентиляции легких и предотвращения инфекционных осложнений.
Упражнения включают:
- Глубокий вдох.
- Частое глубокое дыхание.
- Надувание воздушного шарика.
Физиотерапевтические методы способствуют скорейшему заживлению раны и сокращают восстановительный период.
Назначаются:
- УВЧ-терапия. Улучшает микроциркуляцию и ускоряет восстановление тканей.
- Лазеротерапия. Повышает устойчивость тканей к инфекциям и оказывает противовоспалительное действие.
- Магнитотерапия. Обезболивает и стимулирует заживление.
- Электрофорез. Доставляет лекарства вглубь тканей и органов.
Для предотвращения заворота кишок следует соблюдать простые рекомендации, исключающие предрасполагающие факторы, особенно у людей с аномалиями развития.
Профилактика включает:
- рациональное питание;
- предотвращение образования спаек;
- своевременное лечение запоров;
- своевременное лечение кишечных инфекций.
Регулярное питание и избегание переедания помогут предотвратить заворот. Рекомендуется употреблять пищу в жидком или полужидком виде и исключить горячие и холодные блюда.
Своевременное лечение воспалительных заболеваний и использование противовоспалительных препаратов помогут предотвратить спаечную болезнь.
Устранение запоров снижает риск заворота, особенно у пожилых людей. В лечении запоров применяются диетотерапия и медикаментозная терапия.
Диетотерапия
При запорах, вызванных ослабленной перистальтикой, назначается диета с высоким содержанием клетчатки.
Медикаментозная терапия
Применяются осмотические и мягчительные препараты для облегчения выведения каловых масс.
Инфекции могут усиливать перистальтику и вызывать воспаление, поэтому важно быстро выявить и лечить заболевания желудочно-кишечного тракта.
При перитоните необходимо хирургическое вмешательство для удаления очагов инфекции и промывания брюшной полости.
Основные причины заворота кишок у новорожденных и детей младшего возраста – аномалии развития и ошибки в вскармливании. Другие причины, такие как переедание и голодание, встречаются реже.
Факторы, способствующие завороту у детей:
- Аномалии внутриутробного развития. Закладка органов пищеварения начинается с 4 недели, и к 16-20 неделе кишечник начинает функционировать. Длинная брыжейка и повышенная подвижность слепой кишки создают условия для заворота.
- Особенности развития брыжейки. Чрезмерная длина и растяжимость брыжейки у детей увеличивают подвижность кишечника.
- Раннее введение прикорма. Исключительно грудное вскармливание в первые 6 месяцев – обязательное условие. Раннее введение прикорма может вызвать проблемы с моторикой и запоры.
- Спайки в брюшной полости. Образуются после операций или воспалений, что может привести к завороту.
- Болезнь Гиршпрунга. Врожденное заболевание, при котором отсутствуют нервные волокна в толстой кишке, что приводит к запорам и может вызвать заворот.
- Мегаколон. Аномалия, характеризующаяся увеличением толстого кишечника, что также может привести к завороту.
Заворот кишок у детей представляет опасность для жизни, поэтому при появлении симптомов необходимо немедленно обратиться к врачу.
Заворот кишок – серьезное заболевание, которое без срочной помощи может привести к опасным последствиям.
Заворот характеризуется перекручиванием кишечных петель, что приводит к прекращению кровоснабжения и иннервации. Чем позже ставится диагноз и проводится операция, тем выше риск осложнений.
Осложнения заворота кишок:
- обезвоживание;
- системная интоксикация;
- прободение стенки кишечника;
- гангрена стенки кишечника;
- сепсис;
- спаечная болезнь;
- рецидив заворота.
Обезвоживание организма
Заворот сопровождается рвотой, что приводит к потере жидкости и электролитов. Это может вызвать снижение давления и общую слабость.
Системная интоксикация
При нарушении кровоснабжения стенки кишечника происходит повышение ее проницаемости для токсинов, что может привести к интоксикации.
Прободение стенки кишечника
Из-за нарушения кровоснабжения стенка становится слабой, что может привести к ее разрыву и выходу содержимого в брюшную полость.
Гангрена стенки кишечника
Гибель ткани из-за нарушения кровоснабжения приводит к перитониту, что требует срочного хирургического вмешательства.
Сепсис
Проникновение патогенных микроорганизмов в кровь может привести к сепсису, что требует интенсивного лечения.
Спаечная болезнь
Разрастание соединительной ткани может привести к сдавливанию кишечника и повторным заворотам.
Рецидив заворота
Причины повторного заворота могут быть связаны с сохранением факторов, способствующих заболеванию, такими как аномально длинная брыжейка.
Лечение заворота кишок в домашних условиях недопустимо. При подозрении на заворот необходимо немедленно госпитализировать пациента для подтверждения диагноза и оперативного вмешательства.
Заворот кишок – это форма острой кишечной непроходимости, при которой продвижение каловых масс невозможно. Причины могут быть разнообразными, но заворот не может разрешиться самостоятельно.
Без своевременного лечения заворот может привести к:
- Истощению организма. Повторные рвоты приводят к обезвоживанию и истощению.
- Перитониту. При некрозе или прободении кишечника кал выходит в брюшную полость, вызывая воспаление.
- Сепсису. Проникновение бактерий в кровь может привести к сепсису, что часто заканчивается летальным исходом.
Чем раньше проведена операция, тем лучше прогноз для пациента. Операция в первые часы позволяет сохранить жизнеспособность пораженной петли, в то время как задержка более чем на 24 часа может привести к серьезным осложнениям.
Если заворот уже произошел, народные методы не помогут и лишь оттянут диагностику и операцию. Однако народные средства могут быть полезны для профилактики.
Многие факторы, способствующие завороту, можно устранить, например, хронический запор, который увеличивает риск заворота.
Народные рецепты для профилактики:
- Водный настой свеклы. Спазмолитическое и противомикробное действие, повышает моторику кишечника.
- Настой осоки. Мягчительное и слабительное действие.
- Отвар из коры крушины. Слабительный эффект, облегчает выделение каловых масс.
- Сливовый отвар. Стимулирует моторику кишечника.
Заворот кишок во время беременности – серьезная проблема, требующая срочного вмешательства. Без лечения может произойти разрыв кишечника и развитие осложнений, угрожающих жизни матери и плода.
Факторы, способствующие завороту у беременных:
- Рост плода и увеличение матки. На 4 месяце беременности матка может сдвигать кишечные петли.
- Начало родовой деятельности. Повышение давления в брюшной полости во время схваток может привести к завороту.
- Изменения после родов. Сократительная активность матки может вызвать заворот в послеродовом периоде.
- Наличие спаек. Спаечный процесс может сжимать кишечные петли, увеличивая риск заворота.
При выявлении заворота у беременной женщины необходимо провести срочную операцию, независимо от срока беременности. На поздних сроках может быть выполнено кесарево сечение перед операцией для спасения плода.

Симптомы и признаки заворота кишок
Заворот кишок может возникнуть в любом участке кишечника с брыжейкой. Клинические проявления и лечение зависят от уровня заворота.
Выделяют:
- заворот тонкого кишечника;
- заворот слепой кишки;
- заворот сигмовидной ободочной кишки;
- заворот поперечной ободочной кишки.
Заворот тонкой или слепой кишки
В нормальных условиях петли тонкого кишечника могут поворачиваться до 90º без проблем. Заворот более 180º вызывает клинические проявления. Он может затрагивать одну или несколько петель тонкого кишечника, а также слепую кишку, что приводит к схожим симптомам.
Симптомы заворота тонкой кишки:
- Боль. Возникает внезапно в момент заворота из-за прекращения кровоснабжения. Боль острая, колющая или режущая, постоянная и локализуется в верхней части живота. Интенсивность постепенно нарастает.
- Поведение пациента. Люди проявляют беспокойство и возбуждение, могут кричать от боли. Обычно принимают вынужденное положение, прижимая колени к груди, хотя это не приносит облегчения.
- Усиленная перистальтика. В области заворота накапливаются непереваренная пища и каловые массы, что вызывает механическое растяжение кишечника и усиленную перистальтику, часто с приступообразными болями и «урчанием» в животе. Это может быть заметно на передней стенке живота.
- Асимметрия живота. При завороте нижних отделов тонкого кишечника или сигмовидной кишки может наблюдаться вздутие в области пупка из-за накопления каловых масс выше места заворота.
- Рвота. Сначала возникает рвота с содержимым желудка и желчью, позже – с примесью фекалий. Рвота повторяется и не приносит облегчения.
- Задержка стула и газов. Это не происходит сразу, так как перистальтика толстого кишечника сохраняется, и каловые массы продолжают формироваться. При длительном течении заболевания (более нескольких часов) выделение кала и газов может прекратиться.
- Нарушение общего состояния. Из-за прекращения поступления пищи и жидкости, а также рвоты происходит обезвоживание. Наблюдаются слабость, головокружения, головные боли и обмороки.
- Симптомы интоксикации. Возникают из-за повышения проницаемости стенки кишечника и усиливаются с прогрессированием заболевания. Отмечается повышение температуры до 39–40ºС и выше, учащение сердечных сокращений, боли в мышцах. Кожа бледнеет, язык становится сухим, на лбу появляются капельки пота.
Заворот сигмовидной ободочной кишки
Симптоматика заворота сигмовидной кишки напоминает заворот тонкого кишечника, но имеет свои особенности.
Заворот сигмовидной кишки проявляется:
- Болью. Она возникает резко, локализуясь в нижней части живота, и может иррадиировать в поясницу и крестец. Боль обычно постоянная, реже — схваткообразная.
- Рвотой. Рвота с содержимым желудка и желчью появляется на ранних стадиях и может повторяться 2-3 раза, не принося облегчения. Это связано с болевым синдромом, так как центры рвоты и восприятия боли в мозге расположены близко. Рвота с каловыми массами может наблюдаться на поздних стадиях при развитии перитонита.
- Отсутствием стула и газов. При завороте сигмовидной кишки выделение газов и каловых масс прекращается почти сразу после начала заболевания. В первые часы может наблюдаться усиленная перистальтика, которая затем уменьшается.
- Вздутием живота. Живот выглядит вздутым и асимметричным, особенно заметно увеличение верхней части справа из-за смещения сигмовидной кишки.
- Затруднением дыхания. Накопление кала и газов в ободочной кишке растягивает ее, поднимая органы брюшной полости и оказывая давление на диафрагму. Это уменьшает объем грудной клетки и сдавливает легкие, затрудняя дыхание.
- Нарушением сердечного ритма. Повышенное давление в брюшной и грудной полостях создает нагрузку на сосуды, нарушая работу сердца. Это может проявляться болями за грудиной, аритмиями и учащенным сердцебиением.
Заворот поперечной ободочной кишки встречается крайне редко (примерно в 0,5% всех случаев) и его клинические проявления схожи с симптомами заворота сигмовидной кишки.
Диагностика заворота кишечника
Заворот кишок требует хирургического вмешательства, но специалисты всех медицинских направлений должны уметь его распознавать. Важно быстро установить диагноз и начать лечение, так как задержка может привести к серьезным, иногда угрожающим жизни, осложнениям.
Для диагностики заворота кишок используются:
- беседа с пациентом;
- физикальное обследование;
- рентгенография брюшной полости;
- общий анализ крови.
Опрос больного
Первое, что должен сделать врач, – внимательно расспросить пациента о возникновении заболевания. Эта информация поможет заподозрить причины недуга и определить необходимые диагностические и лечебные процедуры.
Для уточнения диагноза специалист может задать следующие вопросы:
- Как долго продолжается заболевание?
- Где ощущаются боли?
- Какой характер болей (острые, колющие, постоянные, схваткообразные)?
- Была ли рвота? Если да, то сколько раз? Принесла ли она облегчение?
- Каков характер рвотных масс (свежая пища, желчь, кал с неприятным запахом)?
- Был ли стул после начала недуга?
- Как и чем питался пациент накануне появления болей?
- Переносил ли пациент операции на органах брюшной полости? Если да, то когда и какие?
- Предшествовала ли началу заболевания травма живота или значительная физическая нагрузка?
Клиническое обследование
После опроса врач проводит клиническое обследование пациента. Собранные данные помогут подтвердить или опровергнуть заворот кишок и оценить состояние здоровья.
Клиническое обследование включает:
- осмотр;
- пальпацию живота;
- перкуссию (простукивание: одна рука прижимает палец к области живота, другая постукивает по нему);
- выслушивание кишечной перистальтики.
Во время осмотра врач может заметить:
- Асимметрию живота.
- Вздутие в области пупка — может указывать на заворот тонкой или слепой кишки.
- Вздутие в верхних отделах справа — характерно для заворота сигмовидной кишки.
- Признаки интоксикации — бледность кожи, сухость языка и другие симптомы.
При пальпации живота врач может обнаружить:
- Уплотнение по средней линии выше пупка — может свидетельствовать о завороте поперечной ободочной кишки.
- Симптом «волейбольного мяча» — округлое, плотное образование на месте заворота (характерно для заворота слепой кишки).
- Усиленную перистальтику — заметно на всей поверхности живота (при завороте сигмовидной кишки) или только в верхних отделах (при завороте тонкой или слепой кишки).
При перкуссии врач может выявить:
- Коробочный (тимпанический) звук. Возникает, если пространство под местом постукивания заполнено газом. При завороте кишок газ скапливается перед местом заворота, раздувая петли кишечника. Тимпанит при завороте тонкой и слепой кишки определяется в верхних отделах живота, а при завороте сигмовидной кишки — по всей поверхности живота.
- Притупление звука. Из-за усиленной перистальтики каловые массы движутся к месту заворота, но не могут пройти дальше. Место их скопления определяется по тупому звуку, что помогает установить локализацию заворота.
При аускультации врач может выявить:
- Усиленную перистальтику выше заворота — характерно для начальной стадии заболевания.
- Отсутствие перистальтики — наблюдается на поздних стадиях, после развития перитонита.
- «Шум плеска» — булькающий звук в области кишечных петель, где находятся жидкости и газы.
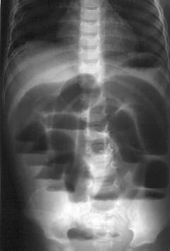
Рентгенография брюшной полости
Данное исследование необходимо при подозрении на заворот кишок. Рентгенологический метод основан на просвечивании тканей рентгеновскими лучами. Разные ткани поглощают лучи в разной степени. Воздух почти не поглощает рентгеновские лучи, поэтому его наличие в кишечных петлях легко выявить на рентгенограмме.
Обзорная рентгенограмма органов брюшной полости позволяет выявить:
- При завороте тонкого кишечника – уровень жидкости и газа в петлях выше места заворота.
- При завороте слепой кишки – увеличенное, округлое образование в правых отделах живота.
- При завороте сигмовидной кишки – скопление газа в ободочной кишке, что проявляется увеличением рентгенологических границ всех ее отделов и смещением вверх органов брюшной полости и диафрагмы.
Общий анализ крови
Данное исследование ориентировочное, так как при обнаружении признаков кишечной непроходимости на рентгене диагноз очевиден. Однако результаты общего анализа крови могут помочь определить причину заворота и оценить состояние пациента, что важно для планирования лечения.
При завороте кишок общий анализ крови может показать:
- увеличение числа лейкоцитов свыше 9,0 х 10^9/л;
- повышение скорости оседания эритроцитов (СОЭ);
- снижение уровня эритроцитов и гемоглобина.
Увеличение числа лейкоцитов
Лейкоциты – клетки иммунной системы, борющиеся с патогенными микроорганизмами и токсинами. При завороте кишечника проницаемость стенок увеличивается, что приводит к попаданию кишечных бактерий и токсинов в кровь, вызывая рост числа лейкоцитов. При перитоните это увеличение может достигать 20 х 10^9 и более лейкоцитов на литр крови.
Увеличение скорости оседания эритроцитов
СОЭ – лабораторный показатель, выявляющий воспалительный процесс. Все клетки крови имеют отрицательный заряд, что приводит к их отталкиванию. При анализе крови более тяжелые клетки оседают на дно, а плазма остается сверху. Скорость этого процесса называется СОЭ.
При воспалении в кровь выделяются биологически активные вещества, уменьшающие отталкивание клеток. В результате СОЭ может превышать 10 мм в час у мужчин и 15 мм в час у женщин. При перитоните этот показатель значительно выше нормы.
Снижение уровня эритроцитов и гемоглобина
Эти симптомы не характерны для заворота, но могут указывать на повреждение сосудов и начало кровотечения. Подтверждением служат рвота с кровью или наличие крови в кале, хотя последний симптом имеет ограниченную ценность, так как при завороте кал может отсутствовать.
Кишечное кровотечение можно заподозрить:
- При снижении уровня эритроцитов – менее 4 х 10^12/л у мужчин и менее 3,5 х 10^12/л у женщин.
- При снижении концентрации гемоглобина – менее 130 г/л у мужчин и менее 120 г/л у женщин.
Лечение заворота кишок
Острая кишечная непроходимость — серьезное заболевание, способное привести к летальному исходу. При первых признаках заворота кишок важно быстро подтвердить диагноз и начать лечение.
Первая помощь при завороте кишечника
Первая помощь при подозрении на заворот кишок — срочная госпитализация в хирургическое отделение для установки диагноза и назначения лечения.
Консервативные методы могут временно облегчить симптомы, но не устраняют причину. Их применение до госпитализации может изменить клиническую картину, затрудняя диагностику и задерживая операцию, что снижает шансы на благоприятный исход.
При подозрении на заворот кишок необходимо:
- Немедленно вызвать скорую помощь.
- Обеспечить больному полный физический покой.
- Исключить прием пищи и жидкости, чтобы не усилить перистальтику кишечника и не спровоцировать рвоту.
- Не принимать медикаменты (обезболивающие, противорвотные и другие), которые могут замаскировать симптомы.
- Не проводить промывание желудка или использовать очистительные клизмы.
Когда необходима операция при кишечной непроходимости?
Хирургическое вмешательство — единственный эффективный способ лечения заворота кишок, способный спасти жизнь пациента. Исключение составляют случаи заворота сигмовидной кишки, который иногда можно устранить без операции. Это возможно благодаря близости сигмовидной кишки к анальному отверстию, что позволяет расправить заворот через задний проход.
Метод заключается во введении жесткой трубки в анальное отверстие до места заворота, после чего в кишку вводят небольшое количество раствора бария. Повышенное давление может раскрутить заворот. При рентгенологическом контроле успешность процедуры подтверждается распространением раствора с барием в верхние отделы кишечника. Если процедура проводится «вслепую», успешность можно оценить по выделению значительного количества газов и каловых масс сразу после расправления заворота.
Важно помнить, что консервативное лечение возможно только при отсутствии признаков некроза стенки кишечника и перитонита, которые могут развиться через несколько часов после начала заболевания.
Операции при завороте кишечника
Методика хирургического вмешательства подбирается индивидуально для каждого пациента, учитывая расположение заворота, состояние перекрученных участков кишечника и общее здоровье.
Подготовка пациента к операции при завороте кишок включает:
- Получение согласия на операцию.
- Проведение необходимых анализов (общий анализ крови и мочи, анализ на свертываемость крови).
- Восстановление объема циркулирующей крови при обезвоживании с помощью внутривенных капельниц.
- Назначение обезболивающих (например, морфин 10 мг внутримышечно) и спазмолитиков (например, дротаверин).
- При необходимости – применение очистительных клизм и промывание желудка через назогастральный зонд.
Операция при завороте тонкой кишки
Все процедуры при завороте кишечника выполняются под общим наркозом, что позволяет пациенту не испытывать боли и не запоминать происходящее.
Хирургический доступ
При кишечной непроходимости доступ осуществляется через лапаротомию — вертикальный разрез по средней линии живота от мечевидного отростка до лобка, обходя пупок слева. Такой подход требует значительного разреза для выполнения манипуляций с хорошей видимостью и удобным доступом.
Характер и объем операции
После разреза кожи, подкожной клетчатки и апоневроза хирурги проникают в брюшную полость, определяют место заворота и выполняют деторсию — раскручивают петли кишечника. К раскрученной петле подключается назоинтестинальный зонд — длинная трубка, вводимая через нос для удаления содержимого кишечника.
Дальнейшие действия зависят от состояния поврежденных участков. Если они жизнеспособны (восстанавливается нормальный цвет и блеск стенки, возвращается перистальтика, наблюдается пульсация сосудов в брыжейке), операцию завершают. В этом случае брюшная полость промывается антисептическими растворами, устанавливается дренаж и рана зашивается.
Если обнаруживается некроз раскрученной петли, ее удаляют в пределах здоровых тканей — участок длиной 40-60 см выше и 10-15 см ниже места заворота. Затем накладывается анастомоз, устанавливаются дренажи и рана ушивается. Удаление такого участка связано с возможным повреждением соседних участков стенки кишечника. Определить это визуально во время операции не всегда возможно, но наложение швов на поврежденный участок может привести к расхождению швов и перитониту.
Илеостома
При поздних сроках операции существует высокая вероятность перитонита. В таких случаях наложение анастомоза может быть неэффективным, и врач может решить создать илеостому. Концы кишечника после удаления омертвевшего участка не сшиваются, а выводятся через кожу на переднюю или боковую стенку живота. Это позволяет пациенту получать питание при нарушенной целостности кишечника и дает время для лечения перитонита. После стабилизации состояния пациента выполняется повторная операция для удаления илеостомы и восстановления целостности кишечной трубки.
Операция при завороте слепой кишки
Общие принципы хирургического вмешательства при завороте слепой кишки схожи с таковыми при завороте тонкой кишки, но есть отличия. Если после распутывания заворота кишка оказывается не жизнеспособной, удаляют некротизированный участок, сохраняя здоровые ткани, и выполняют анастомоз между тонкой и ободочной кишкой. Если через несколько минут после распутывания слепая кишка восстанавливает нормальный цвет и блеск, операцию завершают дренированием и ушиванием раны.
Заворот слепой кишки часто вызван повышенной подвижностью этого отдела кишечника, поэтому некоторые хирурги «прикрепляют» кишку к боковой стенке брюшной полости или париетальной брюшине. Это значительно уменьшает подвижность кишки и помогает предотвратить повторное возникновение заворота.
Операция при завороте сигмовидной кишки
Принципы хирургического вмешательства при завороте сигмовидной кишки остаются неизменными. Если причиной заворота является избыточная длина брыжейки, для предотвращения повторного заворота используется специальная методика. Накладываются 3-4 параллельных непрерывных шва вдоль корня брыжейки от его основания до кишки. При затягивании швов происходит укорочение корня брыжейки. Также для снижения вероятности рецидива применяется фиксация сигмовидной кишки к передней или задней стенке брюшной полости.
Реабилитация после операции по поводу заворота кишечника
После операции по завороту кишечника пациенту предстоит длительный период восстановления с определенными правилами и ограничениями.
Госпитализация обычно занимает 2-3 недели, в течение которых проводится наблюдение за состоянием пациента и лечебные процедуры. После выписки врач предоставляет список рекомендаций по образу жизни, питанию и физической активности.
Реабилитация после операции включает:
- обезболивание;
- постельный режим;
- уход за послеоперационной раной;
- соблюдение диеты;
- дыхательную гимнастику;
- физиотерапевтические процедуры.
Обезболивание
Одним из ключевых аспектов послеоперационного периода является управление болью. Для этого применяются различные препараты, что позволяет эффективно справляться с болевым синдромом.
Медикаментозное лечение боли после операции на кишечнике
| Группа препаратов | Представители | Механизм действия | Способ применения и дозы |
| Наркотические анальгетики | Морфин | Блокируют передачу болевых сигналов к головному мозгу и уменьшают эмоциональное восприятие боли, что делает их предпочтительными в ранний послеоперационный период. | Внутримышечно по 10 мг каждые 4-5 часов. |
| Омнопон | Комбинированный препарат, содержащий морфин, кодеин, тебаин и спазмолитик папаверин. | Вводится подкожно по 1 мл 1% раствора (10 мг) 3-4 раза в сутки. | |
| Нестероидные противовоспалительные препараты | Индометацин, Кеторолак | Действуют в области повреждения тканей, блокируя высвобождение медиаторов воспаления, что снижает воспалительную реакцию и болевые ощущения. | Внутримышечно по 60 мг 1-2 раза в сутки. Внутривенно по 30 мг каждые 6 часов. |
| Спазмолитики | Дротаверин, Папаверин | Расслабляют гладкую мускулатуру внутренних органов, уменьшая перистальтику и предотвращая спазмы. | Внутримышечно по 40-80 мг каждые 8 часов. Внутримышечно по 20-40 мг каждые 6-8 часов (в зависимости от интенсивности болевого синдрома). |
Постельный режим
В первые дни после операции пациенту необходимо соблюдать постельный режим, чтобы избежать риска расхождения швов. Однако полная неподвижность не требуется. Начиная со второго дня, рекомендуется выполнять простые движения руками — сгибание и разгибание, а также поворачиваться с одного бока на другой, сначала с помощью, а затем самостоятельно. Умеренная физическая активность в этот период улучшает микроциркуляцию, предотвращает пролежни и снижает риск тромбообразования.
С третьего-четвертого дня пациенту разрешается вставать с постели. Ему рекомендуется несколько раз в день совершать короткие прогулки по палате и коридору больницы, обязательно в сопровождении, так как из-за слабости возможны головокружение и потеря сознания.
Обработка послеоперационной раны
Для предотвращения инфекций и нагноения послеоперационной раны необходимо регулярно обрабатывать ее антисептиками. Врач, надев стерильные перчатки и маску, аккуратно снимает бинтовую повязку. Затем он промывает рану и окружающие участки йодсодержащими растворами, такими как бетадин, и 70% спиртом. Специалист осматривает рану и швы на наличие гнойной инфекции. При отсутствии признаков инфекции на рану накладываются марлевые тампоны, пропитанные бетадином, и производится перевязка стерильными бинтами.
Эта процедура выполняется 1-2 раза в день с первого дня после операции до полного заживления раны, что происходит после снятия швов.
Диета
В первые дни после операции по резекции заворота кишок пациентам запрещено есть. Все необходимые питательные вещества и жидкости вводятся внутривенно. Обычно к 3-4 дню состояние больного улучшается, и можно начинать переход на обычное питание.
Диетотерапия после операции по завороту кишок включает:
- нулевую диету;
- диету номер 1а;
- диету номер 1b;
- диету номер 1.
Нулевая диета
Питание пациентов, перенесших операции на кишечнике, начинается с нулевой диеты. Этот рацион обеспечивает минимальное количество питательных веществ и предотвращает усиление перистальтики и вздутие живота, что важно для заживления.
Основные принципы нулевой диеты:
- Питание в жидком или кашеобразном виде.
- Прием пищи небольшими порциями (по 200-300 грамм) 7-8 раз в день.
- Исключение горячих и холодных блюд (оптимальная температура около 45ºС).
- Употребление не менее 2 литров жидкости в день.
Нулевая диета для пациентов после операции по завороту кишок
| Что разрешается? | Что запрещено? |
| * обезжиренные мясные бульоны; * фруктовый кисель; * соки из фруктов и овощей; * жидкие каши (гречневая, рисовая); * яйцо всмятку; * супы-пюре; * творог; * печеные яблоки (без кожуры); * отвар шиповника. | * цельное молоко; * газированные напитки; * грубая пища; * хлеб; * соевые продукты; * фасоль; * зеленый горошек; * кофе; * алкоголь. |
Диета номер 1а
Эта диета щадит слизистую оболочку желудочно-кишечного тракта. К ней переходят через 3-5 дней после начала нулевой диеты (при отсутствии осложнений). Принципы питания аналогичны нулевой диете.
Диета номер 1а
| Что разрешается? | Что запрещено? |
| * нежирные сорта мяса (в виде пюре); * нежирные сорта рыбы (например, судак); * рисовый отвар; * белковый омлет; * молоко; * творог; * каши (манная, рисовая); * свежевыжатые соки из некислых фруктов; * некрепкий чай. | * хлеб и мучные изделия; * жирная и жареная пища; * кисломолочные продукты; * макаронные изделия; * свежие фрукты и ягоды; * бобовые; * острые приправы; * кофе; * газированные напитки; * квас; * алкоголь. |
Диета номер 1b
К этой диете переходят через 3-5 дней успешного питания по диете 1а. Принципы питания остаются прежними, но добавляются новые продукты. Цель — подготовить желудочно-кишечную систему к нормальному питанию.
В диету 1b включают:
- белые сухари;
- фрикадельки;
- паровые котлеты;
- пюре из вареного мяса или рыбы;
- овощные пюре;
- сметану.
Диета номер 1
Эта диета назначается на 15-20 день после операции, когда пациент готовится к выписке. Рекомендуется ограничить горячую и холодную пищу, а также продукты, стимулирующие секрецию желудочного сока и перистальтику кишечника. Принципы питания менее строгие, чем при диете 1b. В небольших количествах допускаются кисломолочные продукты, мясо, рыба и другие продукты.
Постепенный переход к обычному режиму питания должен занимать не менее 4-6 недель после операции.
Дыхательная гимнастика
Дыхательные упражнения необходимы всем пациентам в постельном режиме. Они улучшают вентиляцию легких и предотвращают инфекционные осложнения, такие как бронхиты и пневмонии, что особенно важно для лежачих больных.
Дыхательная гимнастика в послеоперационный период включает:
- Форсированный глубокий вдох – после полного выдоха пациент быстро и максимально вдыхает воздух в грудную клетку.
- Частое глубокое дыхание – рекомендуется выполнять 2-3 полных вдоха и выдоха за короткий промежуток времени.
- Надувание воздушного шарика.
Физиотерапия
Использование физиотерапевтических методов ускоряет заживление послеоперационных ран и сокращает время восстановления.
После хирургического вмешательства на кишечнике врач может рекомендовать:
- УВЧ-терапию (ультравысокочастотную терапию). Высокочастотное электромагнитное поле улучшает микроциркуляцию, ускоряет восстановление тканей и увеличивает проницаемость сосудов в области воспаления, что способствует быстрому образованию рубца на месте раны.
- Лазеротерапию. Воздействие лазерного луча на ткани улучшает микроциркуляцию, повышает устойчивость к инфекциям и обладает противовоспалительным и восстановительным эффектами.
- Магнитотерапию. Постоянное или переменное магнитное поле оказывает противовоспалительное, противоотечное и обезболивающее действие, а также способствует заживлению тканей и образованию рубца.
- Электрофорез. Этот метод использует движение заряженных частиц в электрическом поле для доставки лекарств глубоко в ткани, повышая их эффективность. Воздействие электрического поля также нормализует обмен веществ на клеточном уровне и способствует более быстрому восстановлению тканей.
Профилактика заворота кишечника
Чтобы избежать заворота кишок, необходимо следовать простым рекомендациям, направленным на устранение факторов, способствующих этой патологии. Это особенно важно для людей с врожденными аномалиями желудочно-кишечного тракта, например, с длинной брыжейкой.
Профилактика заворота кишок включает:
- сбалансированное питание;
- предотвращение спаек в брюшной полости;
- своевременное устранение запоров;
- оперативное лечение кишечных инфекций.
Рациональное питание
Длительное голодание и переедание, а также употребление грубой пищи могут вызвать усиление перистальтики, смещение кишечных петель и их заворот. Чтобы избежать этих проблем, важно регулярно питаться и не переедать. При высоком риске заворота рекомендуется употреблять пищу в жидком, полужидком или измельченном виде. Следует исключить горячие и холодные блюда, так как они могут спровоцировать спазмы кишечника или усилить перистальтику.
Предотвращение образования спаек в брюшной полости
Острые и подострые воспалительные процессы в области живота могут привести к спаечной болезни, особенно у женщин. Спаечный процесс может развиться как в результате диагностических, так и лечебных процедур, связанных с введением инструментов в брюшную полость, а также хирургических вмешательств.
Для предотвращения спаек важно своевременно лечить воспалительные заболевания, проводить промывание и дренирование брюшной полости после операций, а также использовать противовоспалительные и иммуномодулирующие препараты.
Своевременное лечение запоров
Длительные запоры, сопровождающиеся повышением давления в брюшной полости, могут привести к завороту сигмовидной кишки. Быстрое решение проблемы запора и восстановление проходимости кишечника снижают риск заворота и улучшают общее состояние пациента.
Методы лечения запоров:
- диетическое питание;
- медикаментозное лечение.
Диетическое питание
При запорах, вызванных сниженной перистальтикой кишечника (определяется врачом), рекомендуется диета с высоким содержанием растительной клетчатки. Она активизирует моторику кишечника и способствует быстрому выведению каловых масс. Если запоры вызваны частичным перекрытием просвета толстого кишечника (например, опухолью), такие продукты следует исключить, так как усиление перистальтики может привести к завороту.
Продукты, богатые растительной клетчаткой:
- ржаной и пшеничный хлеб;
- какао;
- инжир;
- зеленый горошек;
- фасоль;
- малина;
- земляника;
- кукуруза;
- арахис;
- семена подсолнечника;
- изюм.
Медикаментозное лечение
Для борьбы с запорами применяются препараты из различных фармакологических групп, облегчающие процесс выведения каловых масс.
В лечении запоров применяются:
- Осмотические слабительные (сульфат магния, цитрат магния, полиэтиленгликоль). Эти препараты увеличивают объем жидкости в кишечнике, что облегчает и ускоряет выделение каловых масс.
- Мягчительные средства (вазелиновое масло, миндальное масло). Эти препараты размягчают каловые массы, способствуя их более легкому выведению.
Своевременное лечение кишечных инфекций
Вирусные и бактериальные инфекции могут активизировать перистальтику кишечника, а в тяжелых случаях приводить к воспалению брюшины и образованию спаек. Важно быстро диагностировать инфекционное заболевание желудочно-кишечного тракта и назначить соответствующее лечение, включая антибиотики широкого спектра, противовирусные и противовоспалительные средства, а также детоксикацию и общеукрепляющие мероприятия.
При перитоните необходима операция. Во время вмешательства удаляются очаги инфекции, брюшная полость промывается антисептиками, устанавливаются дренажи для введения антисептиков.
Почему развивается заворот кишок у грудничков?
Основными факторами заворота кишок у новорожденных и детей младшего возраста являются аномалии развития внутренних органов и ошибки в кормлении. Реже встречаются переедание и длительное голодание, характерные для старших детей и взрослых.
Факторы, способствующие завороту кишок у детей:
- Аномалии внутриутробного развития кишечника. Формирование органов пищеварения начинается с четвертой недели беременности, а к 16-20 неделям желудочно-кишечный тракт функционирует самостоятельно. Длина кишечника, повышенная подвижность слепой кишки из-за длинной брыжейки и удлиненный сигмовидный отдел могут привести к запорам у младенцев, создавая условия для заворота кишечных петель.
- Особенности развития брыжейки. У детей брыжейка может быть слишком длинной и эластичной, что увеличивает подвижность кишечника.
- Раннее введение прикорма. Важно, чтобы в первые шесть месяцев жизни дети получали исключительно грудное молоко. Раннее введение прикорма или недостаточно обработанная пища могут повредить слизистую кишечника, вызвать усиление моторики, запоры и завороты, а также другие формы острой кишечной непроходимости.
- Спайки в брюшной полости. Спаечная болезнь может развиваться после операций на органах брюшной полости или из-за неправильно леченных воспалительных заболеваний. Спаечки в раннем возрасте опасны, так как могут «склеивать» петли растущего кишечника, мешая их нормальному развитию и способствуя завороту.
- Болезнь Гиршпрунга. Это врожденное заболевание, при котором отсутствуют нервные волокна в стенке терминального отдела толстой кишки, что приводит к отсутствию перистальтики и накоплению каловых масс. Увеличение перистальтической активности выше места скопления может вызвать заворот сигмовидной кишки, что особенно актуально для новорожденных из-за повышенной подвижности этого отдела.
- Мегаколон. Врожденная аномалия, при которой значительно увеличивается толстый кишечник из-за недоразвития его нервной системы. Симптомы могут проявляться с первых месяцев жизни и включают постоянные запоры, вздутие живота и расширение всех отделов толстой кишки, что подтверждается рентгенологически. Эти изменения в сочетании с повышенной подвижностью кишечных петель могут привести к завороту.
Заворот кишок представляет серьезную угрозу для жизни ребенка. При появлении признаков беспокойства, болей, дискомфорта и вздутия живота, особенно если прекращается отхождение стула и газов, необходимо незамедлительно обратиться к хирургу для исключения острой кишечной непроходимости.
Какими могут быть последствия и осложнения заворота кишок?
Заворот кишок — серьезное заболевание, требующее неотложной хирургической помощи, иначе возможны угрожающие жизни последствия.
Состояние возникает при перекручивании одной или нескольких петель кишечника вокруг своей оси или оси брыжейки, что приводит к прекращению кровоснабжения и иннервации затронутого участка. Без операции это может вызвать некроз. Чем позже ставится диагноз и выполняется операция, тем выше риск осложнений и летального исхода.
Заворот кишок может привести к следующим осложнениям:
- обезвоживание;
- системная интоксикация;
- прободение стенки кишечника;
- гангрена стенки кишечника;
- сепсис;
- спаечная болезнь;
- рецидив заворота.
Обезвоживание
При завороте кишок возникают частые рвоты, что приводит к потере жидкости и электролитов. Нормально значительное количество жидкости всасывается в толстом кишечнике, но при завороте тонкого кишечника движение содержимого нарушается, и большая часть жидкости выводится с рвотными массами. Это усугубляет состояние пациента.
Обезвоживание сгущает кровь, увеличивая нагрузку на сердце. У больного наблюдается резкое снижение артериального давления, слабость, сонливость, головокружение и возможна потеря сознания. При тяжелом обезвоживании (потеря более 15-20% жидкости) возможно летальное исход. Лечение включает внутривенное введение жидкости.
Системная интоксикация
При перекручивании кишечной петли нарушается кровоснабжение. Воспалительный процесс вызывает расширение сосудов, а гибель тканей кишечной стенки увеличивает ее проницаемость для токсических веществ, проникающих в брюшную полость и системный кровоток. Интоксикация проявляется повышением температуры (до 39ºС и выше), слабостью, головными и мышечными болями, холодным потом. Без срочной помощи интоксикация может привести к смерти.
Прободение стенки кишечника
Риск перфорации стенки кишечника в области заворота высок из-за нарушенного кровоснабжения. При перистальтической волне может произойти разрыв стенки, и содержимое перекрученной петли попадет в брюшную полость, что приведет к каловому перитониту.
Брюшина, обладая высокой способностью к всасыванию, быстро пропускает токсические вещества в системный кровоток, что может вызвать общую интоксикацию и летальный исход.
Гангрена стенки кишечника
Гангрена — это гибель тканей из-за нарушения кровоснабжения. Клинические проявления связаны с развитием перитонита, возникающего при разрыве стенки кишечника. Лечение требует срочного хирургического вмешательства с удалением поврежденных участков и промыванием брюшной полости антисептиками.
Сепсис
Сепсис — это состояние, при котором в кровь попадает большое количество патогенных микроорганизмов. При завороте кишок инфекция может попасть в системный кровоток через поврежденные сосуды брыжейки или в результате перфорации кишечника. Лечение включает антибиотики, детоксикацию и поддержку функций жизненно важных органов.
Спаечная болезнь
Спайки — это разрастания соединительной ткани, образующиеся в очагах воспаления. Сначала на поверхности кишечных петель образуется фибриновый налет, который со временем заменяется плотной соединительной тканью, что приводит к сближению и смещению кишечных петель.
Опасность спаечной болезни заключается в том, что спайки могут сжимать петли кишечника, способствуя возникновению заворотов и других форм кишечной непроходимости, что требует срочного хирургического вмешательства.
Рецидив заворота
Повторный заворот может быть вызван несколькими факторами. Если при первом завороте операция была выполнена вовремя и петля осталась жизнеспособной, хирурги могут просто промыть брюшную полость и зашить рану. Однако причина заворота (например, аномально длинная брыжейка) может остаться, что приведет к повторному заболеванию. Чтобы этого избежать, рекомендуется пришивать завернувшуюся петлю кишечника к стенке брюшной полости.
Даже после успешной операции могут образоваться спайки, которые склеивают петли кишечника, предрасполагая к возникновению заворота.
Возможно ли лечение заворота кишок в домашних условиях?
Лечение заворота кишечника в домашних условиях запрещено. При первых подозрениях на эту форму кишечной непроходимости пациента необходимо немедленно направить в хирургическое отделение для диагностики и, при необходимости, экстренной операции.
Заворот кишечника — это разновидность острой кишечной непроходимости, при которой движение каловых масс становится невозможным из-за перекручивания одной или нескольких петель на 180 градусов и более. Это приводит к перекручиванию не только кишечных петель, но и питающих их сосудов. В области заворота развивается воспаление, сопровождающееся расширением сосудов и отеком тканей, что затрудняет кровоснабжение стенки кишечника.
Причины заворота кишечника разнообразны: аномалии развития желудочно-кишечного тракта, длительное голодание, употребление грубой пищи, спаечная болезнь и другие факторы. Однако заворот не может разрешиться самостоятельно, так как усиливающаяся перистальтика лишь усугубляет закручивание петель. При недостаточном кровоснабжении ткани стенки кишечника начинают погибать (некротизироваться) в короткие сроки, и признаки некроза могут проявляться уже через несколько часов после начала заворота, что чревато серьезными осложнениями.
Без своевременного хирургического вмешательства заворот кишечника может привести к следующим осложнениям:
- Истощение организма. Сразу после начала заболевания у пациента наблюдаются многократные рвоты с содержимым желудка или кишечника. С рвотными массами теряется значительное количество жидкости и электролитов, что приводит к обезвоживанию и истощению.
- Перитонит (воспаление брюшины). При некрозе стенки кишечника или ее прободении каловые массы попадают в брюшную полость, вызывая воспаление. Это состояние угрожает жизни, так как токсины, всасывающиеся с поверхности брюшины, проникают в кровоток и наносят вред центральной нервной системе и другим органам.
- Сепсис. Сепсис возникает при попадании в кровоток различных бактерий и их токсинов. При завороте кишечника он может развиться из-за гангрены, прободения кишки, перитонита и общего истощения. Воспалительный процесс затрагивает множество тканей, что часто приводит к летальному исходу.
Чем раньше будет проведена операция, тем благоприятнее прогноз для пациента. Хирургическое вмешательство в первые часы после начала заболевания позволяет сохранить пораженную петлю. Операция, проведенная более чем через 24 часа, предполагает удаление значительного участка омертвевшей ткани, высокую вероятность осложнений и более длительный процесс восстановления.
Эффективно ли лечение заворота кишок народными средствами?
Если заворот кишок уже произошел, народные методы не помогут, а лишь задержат диагностику и операцию. Однако народные средства могут предотвратить это заболевание, воздействуя на его причины.
Существует множество факторов, способствующих завороту кишок. Некоторые из них, как врожденные аномалии кишечника, невозможно изменить. Другие, например, режим и качество питания, а также лечение предрасполагающих заболеваний, можно скорректировать.
Одним из заболеваний, увеличивающих риск заворота кишок, является хронический запор. Затрудненное продвижение каловых масс приводит к накоплению в кишечных петлях и усиленной перистальтике, что может вызвать заворот, особенно сигмовидной кишки. Устранение запора снижает моторику кишечника и уменьшает вероятность заворота.
Среди народных рецептов можно использовать:
-
Водный настой свеклы. 500 граммов очищенной свеклы измельчить и залить 1 литром кипятка. Настаивать 3-4 часа, затем добавить 150 граммов сахара и 5 граммов (1 чайную ложку) сухих дрожжей. Настаивать в темном месте еще сутки. Процеженный настой принимать по 100 мл 3-4 раза в день. Он обладает спазмолитическим и противомикробным действием, немного увеличивает активность моторики кишечника.
-
Настой осоки. 1 столовую ложку измельченных листьев осоки залить 1 стаканом кипятка и настаивать 10-12 часов. Процеженный настой принимать по 2 столовые ложки три раза в день за полчаса до еды. Обладает мягчительным и слабительным эффектом.
-
Отвар из коры крушины. 100 граммов измельченной коры крушины залить 1 литром воды и держать на медленном огне в течение часа, не доводя до кипения. Принимать 5-6 раз в день по 1 столовой ложке за 30 минут до или через час после еды. Слабительный эффект достигается за счет разжижения каловых масс и увеличения моторики кишечника.
-
Сливовый отвар. 500 граммов слив залить 1 литром горячей (не кипяченой) воды и держать на медленном огне в течение часа. Процеженный отвар принимать по 100 мл 3-4 раза в день. Обладает слабительным действием и немного стимулирует моторику кишечника.
Чем опасен заворот кишок при беременности?
Заворот кишок во время беременности — серьезная медицинская проблема, часто требующая неотложного хирургического вмешательства, что может привести к потере плода. Без мер в течение нескольких часов или дней возможно разрыв кишечника и опасные осложнения, угрожающие жизни как плода, так и женщины.
Заворот кишок может возникнуть не только во время беременности, но и в процессе родов или в послеродовом периоде.
Факторы, способствующие завороту у беременных:
- Увеличение размеров плода и матки. На четвертом месяце беременности матка занимает пространство в большом тазу, что может привести к смещению и перекручиванию кишечных петель. Это первый критический момент, когда риск заворота значительно возрастает.
- Начало родовой деятельности. При начале родов головка плода опускается в малый таз, увеличивается сократительная активность матки и давление в брюшной полости. Эти факторы делают начало родов вторым критическим моментом для риска заворота.
- Изменения в матке после родов. После рождения ребенка давление в брюшной полости резко снижается, и кишечные петли расправляются. Затем начинаются маточные сокращения, которые могут вызвать заворот в раннем послеродовом периоде — третий критический момент.
- Наличие спаек в брюшной полости. Спаечный процесс может возникать из-за воспалительных заболеваний или операций на органах брюшной полости. Спаечки могут склеивать кишечные петли, что в сочетании с растущей маткой увеличивает риск заворота.
При обнаружении заворота кишок у беременной женщины необходимо немедленно проводить операцию, независимо от срока беременности и состояния плода. Без хирургического вмешательства острая кишечная непроходимость, вызванная заворотом, почти всегда приводит к гибели как матери, так и ребенка. На поздних сроках, когда плод жизнеспособен, перед операцией может быть выполнено кесарево сечение для извлечения ребенка.
Если заворот обнаружен во время родов и не угрожает жизни женщины, возможно выжидательное наблюдение, так как после рождения плода проходимость кишечника может восстановиться самостоятельно. В противном случае требуется срочное хирургическое вмешательство сразу после родов. Заворот в послеродовом периоде также требует немедленного оперативного лечения.
Вопрос-ответ
Каковы причины и симптомы заворота кишок?
Заворот кишок, или кишечная непроходимость, может быть вызван различными факторами, включая наличие спаек, опухолей, инвагинацию (втягивание одной части кишки в другую) и нарушения кровообращения. Симптомы заворота кишок включают сильные abdominal боли, вздутие живота, рвоту, отсутствие стула и газов, а также признаки обезвоживания. При подозрении на заворот кишок необходимо срочно обратиться за медицинской помощью.
От чего может быть перекрут кишечника?
Причины и факторы риска. Избыточное употребление грубой клетчатки (например, большой объём капусты, бобовых, кожуры от фруктов) при недостаточном питьевом режиме иногда провоцирует усиленную перистальтику. Сильное растяжение кишечника может способствовать его перекруту.
Сколько можно жить с заворотом кишок?
Патология развивается быстро, и состояние больного стремительно ухудшается. Человек погибнет в течение 2–3 суток, если не будет оказана экстренная медицинская помощь.
Советы
СОВЕТ №1
Регулярно следите за своим питанием. Употребление достаточного количества клетчатки, жидкости и сбалансированного питания может помочь предотвратить запоры, которые являются одной из причин заворота кишок.
СОВЕТ №2
Обратите внимание на симптомы. Если вы испытываете сильные боли в животе, вздутие, рвоту или отсутствие стула более 24 часов, немедленно обратитесь к врачу для диагностики и исключения заворота кишок.
СОВЕТ №3
Регулярно занимайтесь физической активностью. Умеренные физические нагрузки способствуют нормализации работы кишечника и могут снизить риск развития заворота кишок.
СОВЕТ №4
Не игнорируйте хронические заболевания. Если у вас есть заболевания, такие как воспалительные заболевания кишечника или опухоли, регулярно консультируйтесь с врачом для контроля состояния и предотвращения осложнений.





