Анатомия легких
Туберкулез чаще всего поражает легкие и органы грудной полости. Легкие служат основными воротами для инфекции, так как палочка Коха размножается в них, передаваясь воздушно-капельным путем.
Легкие – органы дыхания, отвечающие за газообмен: усвоение кислорода и удаление углекислого газа из крови.
Легкие расположены в грудной полости и занимают её значительную часть. В норме они заполнены воздухом. При вдохе воздух проходит через верхние дыхательные пути, попадает в бронхиальное дерево и достигает альвеол. Газообмен происходит в ацинусе – основной функциональной единице легкого.
Структура бронхиального дерева:
- главные бронхи,
- долевые бронхи,
- сегментарные и дольковые бронхи,
- ацинус (бронхиола, альвеола, кровеносный сосуд).
Правое и левое легкие различаются по форме и размеру: левое легкое более узкое и длинное, правое – шире и короче, что связано с расположением сердца в левой части грудной полости.
Правое легкое состоит из трех долей (верхней, средней и нижней), левое – из двух (верхней и нижней). При туберкулезе чаще всего поражаются верхние доли легких.
Каждая доля делится на сегменты: правое легкое имеет 10 сегментов, левое – 9. В медицине сегменты обозначаются латинской буквой S с указанием номера.
На схеме представлено деление легких на доли и сегменты.
Корень легкого – анатомическая структура, соединяющая легкое с органами средостения.
Структура корня легкого:
- главный бронх,
- легочные артерия и вена,
- лимфатические сосуды и узлы,
- нервные волокна.
Корень легкого покрыт плеврой, а анатомические элементы корня переплетаются соединительной тканью, что способствует распространению инфекции из легких на органы средостения.
Органы средостения:
- Переднее средостение – вилочковая железа, кровеносные сосуды, внутригрудные лимфатические узлы;
- Среднее средостение – сердце, аорта, трахея, главные бронхи, кровеносные и лимфатические сосуды, внутригрудные лимфоузлы;
- Заднее средостение – пищевод, блуждающий нерв, грудной лимфатический проток, сосуды и лимфатические узлы.
Врачи отмечают, что туберкулез у детей представляет собой серьезную проблему общественного здравоохранения. Основными причинами заболевания являются контакт с инфицированными людьми и ослабленный иммунитет. Симптомы могут варьироваться от кашля и потери аппетита до ночных потений и усталости. Важно помнить, что у детей симптомы могут быть менее выраженными, что затрудняет диагностику.
Для выявления заболевания используются рентгенография, анализы крови и кожные пробы. Раннее обнаружение туберкулеза критически важно для успешного лечения. Лечение включает длительный курс антибиотиков, который может продолжаться до года. Врачи подчеркивают, что соблюдение режима лечения и регулярные медицинские осмотры являются ключевыми факторами для полного выздоровления и предотвращения распространения инфекции.

Плевра
Каждое легкое окружено плеврой.
Плевра – парный орган, отделяющий легкие от грудной клетки. Это двуслойная оболочка, образующая плевральную щель, в которой обычно содержится до 2 мл плевральной жидкости. Листки плевры представляют собой серозную оболочку с капиллярами и лимфатическими сосудами, что способствует образованию и оттоку плевральной жидкости.
В висцеральной плевре находятся поры Кона, соединяющие плевральную полость с легкими.
При патологиях или повреждениях плевры между ее листками может образоваться полость, заполненная жидкостью (плеврит) или воздухом (пневмоторакс).
Листки плевры:
- париетальная плевра – прилегает к стенкам грудной клетки,
- висцеральная плевра – соприкасается с легким.
Между париетальной и висцеральной плеврой находятся плевральные синусы:
- реберно-диафрагмальный синус – пространство между ребрами и диафрагмой, самый крупный;
- реберно-медиастинальный синус – пространство между ребрами и средостением, меньшего размера;
- диафрагмально-медиастинальный синус – пространство между средостением и диафрагмой.
Функция плевральных синусов – резервное пространство при вдохе, позволяющее легким свободно расширяться.
Схематическое изображение плевральной полости, вид спереди.
Функции плевры:
- участие в дыхательном процессе, создавая отрицательное давление во время вдоха;
- защита легких от трения о стенки грудной клетки, небольшое количество жидкости способствует скольжению листков плевры;
- поддержание легких в расправленном состоянии.
| Причина | Симптомы и признаки | Диагностика и лечение |
|---|---|---|
| Инфекция, вызванная бактерией Mycobacterium tuberculosis | Кашель (часто длительный и продуктивный), лихорадка, потливость (особенно по ночам), утомляемость, потеря веса, снижение аппетита, бледность кожи, одышка, боль в груди, лимфаденопатия (увеличение лимфатических узлов), в некоторых случаях – кашель с кровью. У детей раннего возраста могут наблюдаться вялость, отставание в развитии, плохой набор веса. | Туберкулиновая проба (проба Манту), рентгенография органов грудной клетки, компьютерная томография (КТ), анализ мокроты на бактерии туберкулеза (микроскопия, посев), ПЦР-диагностика. Лечение включает в себя прием противотуберкулезных препаратов (изониазид, рифампицин, пиразинамид, этамбутол и др.) в течение длительного времени (обычно 6-9 месяцев) под строгим медицинским контролем. Длительность и схема лечения зависят от формы и тяжести заболевания, возраста ребенка и индивидуальных особенностей. Важно соблюдать режим лечения и проходить регулярные обследования. |
Внутригрудные лимфатические узлы
Внутригрудные лимфатические узлы у детей чаще всего поражаются туберкулезом. Они расположены в средостении.
Типы внутригрудных лимфатических узлов:
- паратрахеальные,
- трахеобронхиальные,
- бифуркационные,
- бронхопульмональные.
Размер внутригрудных лимфатических узлов у взрослых составляет 7–10 мм, а у детей — около 2 мм, что делает их невидимыми на рентгеновских снимках.
Туберкулез у детей вызывает серьезные опасения как у родителей, так и у медицинских работников. Основные причины заболевания включают контакт с инфицированными людьми, ослабленный иммунитет и недостаточное питание. Симптомы могут быть неочевидными: часто это кашель, усталость, потеря аппетита и ночные поты. Важно обращать внимание на ранние признаки, так как у детей болезнь может развиваться быстро. Диагностика включает рентгенографию, анализы крови и тесты на туберкулез. Лечение требует комплексного подхода, включая длительный курс антибиотиков и регулярное наблюдение врача. Ранняя диагностика и адекватное лечение значительно повышают шансы на полное выздоровление.

Возбудитель туберкулеза
Характеристика микобактерий туберкулеза
| Положение в системе микроорганизмов | Домен | Бактерии |
| Тип | Актинобактерии | |
| Класс | Актинобактерии | |
| Порядок | Актиномицеты | |
| Подпорядок | Коринебактерии | |
| Семейство | Микобактерии | |
| Род | Микобактерии | |
| Патогенные виды для человека | Микобактерии человеческого вида (Mycobacterium tuberculosis) | |
| Микобактерии бычьего вида (Mycobacterium bovis) | ||
| Микобактерии промежуточного вида (Mycobacterium africanum) | ||
| Микобактерии птичьего вида (Mycobacterium avium) вызывают заболевание редко, в основном у пациентов с ВИЧ, и оно протекает тяжело. | ||
| Внешний вид | Небольшие тонкие неподвижные палочки длиной от 1,5 до 4 мкм и шириной 0,4 мкм. Обычные маски неэффективны против палочек Коха, так как они слишком малы и проникают через поры. Эффективная защита обеспечивается специальными респираторами 3М. | |
| Структурные особенности | Клеточная стенка определяет устойчивость микобактерий. | Клеточная стенка состоит из трех слоев: * Наружный липидный слой с миколовой кислотой, формирующий микрокапсулу; * туберкулопептидный слой; * полисахаридный слой. Все слои соединены порами и каналами для обмена веществ. Клеточная стенка содержит антигены, вызывающие иммунный ответ гиперчувствительности замедленного типа, и корд-фактор, определяющий вирулентность микобактерии. |
| Свойства микобактерий туберкулеза | Кислотоустойчивость, щелочеустойчивость, спиртоустойчивость | Микобактерии функционируют под воздействием кислот, щелочей и спирта. |
| Высокая выживаемость в окружающей среде | Микобактерия туберкулеза отличается живучестью. В сырой и плохо освещенной среде палочка Коха может существовать до десяти лет, хорошо сохраняется в молоке. В пыли микобактерии выживают несколько месяцев, в почве – около двух месяцев, в воде – до пяти месяцев, а в фекалиях животных – больше года. Палочка устойчива к замораживанию и нагреванию: при кипячении мокроты микобактерии погибают через 5-10 минут, а под солнечными лучами могут выживать до 30 минут. | |
| Полиморфизм (изменчивость, разнообразие форм) | В организме человека могут встречаться несколько форм микобактерий туберкулеза: * палочковидные – наиболее активные; * зернистые, нитевидные, кокковые – промежуточные формы; * фильтрующиеся и L-формы – временно неактивные, которые могут преобразовываться в палочковидные. | |
| Адаптация к противотуберкулезным препаратам | При неправильном лечении или плохой всасываемости препаратов возникают химиорезистентные формы туберкулеза, на которые не действуют многие противотуберкулезные средства, что ухудшает прогноз на выздоровление. | |
| Дезинфекция | Дезинфекция микобактерий туберкулеза возможна только с использованием хлорсодержащих дезинфицирующих средств и при кварцевании. | |
| Аэробность | Для жизнедеятельности микобактерий необходим кислород, однако они могут существовать и в анаэробных условиях, что позволяет отнести их к факультативным анаэробам. | |
| Размножение | Размножение происходит путем деления клетки. Микобактерии размножаются медленно, одно деление занимает до 18 часов. Оптимальная температура для размножения – 37°C. | |
| Рост на питательных средах | Твердая среда Левенштейна-Йенсена на яичной основе. Растет медленно, в течение 2-3 месяцев, образуя сухие сморщенные желтоватые колонии (R-формы) и иногда влажные гладкие колонии (S-формы). | |
| Жидкая среда на основе агара используется для посева микобактерий в аппарате БАКТЕК. Растет около 10-20 дней, колонии видны при люминесцентном свечении. |
Источник заражения туберкулезом
-
Больной с активной формой туберкулеза — основной источник инфекции:
Способы выделения туберкулезных бактерий:
- При туберкулезе легких и верхних дыхательных путей — во время кашля, чихания, разговора, использования общей посуды, поцелуев и т. д.;
- При туберкулезе кожи — через контакт с пораженными участками кожи и предметами одежды;
- При туберкулезе костей и лимфатических узлов — при наличии свищей микобактерии могут попасть на кожу и одежду;
- При туберкулезе кишечника — микобактерии обнаруживаются в фекалиях;
- При туберкулезе мочеполовой системы — палочка Коха может быть найдена в моче и влагалищных выделениях.
- При изолированном туберкулезе нервной системы и глаз выделение микобактерий не происходит.
-
Больные туберкулезом животные (крупный рогатый скот, морские свинки, собаки, коты и другие грызуны) также выделяют возбудителей туберкулеза:
- с мокротой при чихании и кашле,
- с фекалиями,
- с молоком и мясом.
-
Воздушно-капельный путь — основной способ заражения туберкулезом у детей и взрослых. Заражение происходит при контакте с больным активным туберкулезом легких во время чихания, кашля, разговора или глубокого дыхания.
- При воздушно-пылевом пути заражение происходит реже. Микобактерии могут долго сохраняться в пыли. Вдыхание пылевых частиц с палочками Коха может привести к инфицированию.
- Алиментарный путь — редкий способ заражения, когда микобактерии попадают в организм через рот с молоком или мясом от больных животных, не прошедших термическую обработку. Инфицирование также возможно при недостаточной гигиене рук после контакта с предметами, на которых остались палочки Коха. Этот путь чаще встречается у детей.
- Трансплацентарный путь — передача инфекции от матери к ребенку во время беременности происходит редко, обычно при поражении половых органов или диссеминированном туберкулезе.
- Смешанный путь — сочетание различных способов попадания микобактерий в организм, чаще всего встречается в очагах туберкулезной инфекции.
Очаг туберкулезной инфекции — место, где находится больной активным туберкулезом, выделяющий микобактерии. Более половины случаев туберкулеза у детей выявляется именно в таких очагах.
- Эпидемиологические факторы (контакт с больным туберкулезом, употребление молока или мяса от больного животного);
- Медико-биологические факторы:
- Отсутствие вакцинации БЦЖ у ребенка в странах с высоким уровнем заболеваемости;
- Инфицирование в раннем возрасте — положительные реакции на пробы Манту или Диаскинтест;
- Генетическая предрасположенность — наличие туберкулеза у близких;
- Наличие ВИЧ-инфекции у ребенка или рождение от ВИЧ-позитивной матери;
- Стрессовые ситуации (экзамены, утрата близкого, перегрузки);
- Сопутствующие заболевания:
- хронические болезни верхних дыхательных путей (ринит, синусит, аденоидит и др.),
- хронические заболевания легких (бронхиальная астма, частые бронхиты и пневмонии),
- эндокринные заболевания (сахарный диабет и др.),
- заболевания ЖКТ (вирусные гепатиты, гастрит и др.),
- иммунодефициты (врожденные, онкологические заболевания и др.);
- Социальные факторы:
- Неправильное, нерегулярное питание ребенка;
- алкоголизм или наркомания у родителей, вредные привычки у детей;
- пребывание родителей в местах лишения свободы;
- бездомные дети;
- дети из интернатов и других закрытых учреждений;
- многодетные семьи и семьи с низким доходом;
- дети, прибывшие из стран с высоким уровнем туберкулеза (Африка, некоторые страны Азии).
- наличие источника инфекции и ребенка;
- степень бактериовыделения у источника и близость контакта;
- наличие факторов риска у ребенка, снижающих защитные силы;
- возраст ребенка (младшие дети более подвержены, также подростковый период);
- длительность контакта с возбудителем;
- вирулентность возбудителя (активность микобактерий).
Первый контакт ребенка с микобактериями туберкулеза обычно приводит к первичному инфицированию или латентной туберкулезной инфекции.
Латентная туберкулезная инфекция характеризуется:
* положительной реакцией на туберкулин (проба Манту или Диаскинтест), что указывает на наличие иммунитета;
* отсутствием клинических проявлений туберкулеза;
* отсутствием изменений на рентгенографии и других исследованиях;
* сохранным иммунитетом.
- Попадание возбудителя на слизистые оболочки верхних дыхательных путей, где иммунные клетки реагируют и поглощают их. При хорошем иммунитете и небольшом количестве микробов инфицирование может не произойти. В противном случае палочки Коха попадают в легкие.
- Проникновение микобактерий в альвеолы легких.
- Проникновение бактерий через стенки альвеол, без специфических изменений.
- Поступление микобактерий в лимфатические пути и узлы, где они размножаются. В лимфатической системе инфекция может находиться долго, иногда на протяжении всей жизни — это состояние латентной туберкулезной инфекции.
- Период бактериемии (циркуляция микобактерий в крови) длится около 2-х недель, в крови возбудитель не размножается.
- Распространение инфекции по тканям и органам. Может развиться первичное заболевание или латентная инфекция.
- Формирование противотуберкулезного иммунитета происходит в течение 2-3 месяцев, вокруг микобактерий образуется специфический туберкулезный бугорок (гранулема).
- Состояние инфицирования — при отсутствии прогрессирования гранулема может рассосаться или покрыться капсулой, а микобактерии внутри могут перейти в спящие формы.
- Заболевание туберкулезом — при неблагоприятных условиях инфекция может реактивироваться, что приводит к вторичному активному туберкулезу.
Формы туберкулеза:
* Первичная форма — развивается сразу после попадания микобактерий, чаще у детей.
* Вторичная форма — возникает из-за реверсии неактивных форм или повторного контакта с возбудителем, встречается у взрослых и подростков.
Стадии туберкулезного процесса:
* Гиперпластическая стадия — разрастание лимфоидной ткани;
* Гранулематозная стадия — образование туберкулезного бугорка;
* Экссудативная стадия — вовлечение сосудов и образование жидкости;
* Стадия казеоза — разрушение тканей пораженного органа;
* Стадия образования гноя — массивное разрушение тканей;
* Продуктивная стадия — рубцевание туберкулезных изменений.
Фазы туберкулезного процесса:
1. Фаза инфильтрации — свежие изменения с прогрессированием;
2. Фаза распада — образование деструкций;
3. Фаза уплотнения — обратное развитие процесса;
4. Фаза рассасывания или рубцевания — заживление тканей.
При инфицировании происходят изменения на иммунном уровне с вовлечением всех звеньев иммунитета. Основную роль играют В- и Т-лимфоциты. ВИЧ-инфицированные люди болеют туберкулезом в 200 раз чаще, так как ВИЧ поражает Т-систему иммунитета.
Инкубационный период туберкулеза — от 2-3 месяцев до нескольких десятков лет.
Разделение на открытую и закрытую форму туберкулеза на данный момент не проводится. Принято различать:
* Туберкулез без бактериовыделения («БК-») — возбудители не выявлены;
* Туберкулез с бактериовыделением («БК+») — палочки туберкулеза обнаружены.
Виды туберкулеза в зависимости от активности процесса:
* Активный туберкулез — выявляются свежие изменения, признаки жизнедеятельности микобактерий;
* Неактивный туберкулез — остаточные изменения после перенесенного заболевания, не требуют особого лечения, только наблюдения.
У детей часто выявляют кальцинаты и очаги Гона в легких, что типично для спонтанно излеченного туберкулеза. Рекомендуются профилактические мероприятия.
Также различают случаи туберкулеза по анамнезу:
* Впервые диагностированный туберкулез — больной ранее не лечился;
* Рецидив туберкулеза — активация процесса после излечения;
* Лечение после перерыва — прекращение терапии более чем на месяц.
Формы туберкулеза по резистентности:
1. Чувствительный туберкулез — палочка не устойчива к препаратам;
2. Химиорезистентный туберкулез — резистентность хотя бы к одному препарату. В последние годы наблюдается рост случаев химиорезистентного туберкулеза, включая у детей.
Это форма туберкулеза, характеризующаяся симптомами интоксикации без видимых изменений. Чаще всего диагностируется у детей и подростков, что связано с повышенной чувствительностью организма. Симптоматика нарастает постепенно, и родители могут не замечать изменений, поэтому диагностика происходит редко.
-
Туберкулез внутригрудных лимфатических узлов — одна из самых частых форм у детей раннего возраста. Может поражаться как единичные, так и все группы лимфоузлов. Протекает тяжело, так как увеличенные узлы могут сжимать бронхи.
Формы туберкулеза внутригрудных лимфатических узлов:
- Малая форма — бессимптомное течение, незначительное увеличение лимфоузлов;
- Инфильтративная форма — увеличение узлов от 10 до 20 мм, с незначительным сжатием бронхов;
- Туморозная форма — тяжелая форма с поражением всех групп узлов, размером более 20 мм, может привести к осложнениям.
-
Первичный туберкулезный комплекс (ПТК) — встречается в основном у детей, прогноз обычно благоприятный. Составляет:
- Лимфаденит — поражение внутригрудных лимфоузлов,
- Лимфангоит — поражение лимфатического сосуда,
- Первичный аффект — поражение легких.
- Очаговый туберкулез легких — может быть первичным или вторичным, чаще у подростков. Характеризуется появлением очагов воспаления в легких.
- Инфильтративный туберкулез — чаще вторичный, встречается у школьников. Может осложниться кровохарканьем или легочным кровотечением.
- Диссеминированный туберкулез легких — тяжелая форма с множественными очагами, может быть как первичным, так и вторичным.
- Туберкулезный плеврит — воспаление плевры, может быть изолированным или как осложнение других форм. Часто проявляется у детей.
- Туберкулома легких — редкая форма, представляет собой участок легкого, покрытый фиброзной оболочкой.
- Туберкулез бронхов — обычно сочетается с другими формами легочного туберкулеза.
- Казеозная пневмония — самая тяжелая форма, характеризуется разрушением легочной ткани.
Внелегочный туберкулез у детей — частое явление, составляет около 30% всех случаев. Виды:
1. Туберкулез нервной системы — тяжелая форма, часто приводит к летальному исходу.
2. Туберкулез костей и суставов — может привести к инвалидности.
3. Туберкулез периферических лимфатических узлов — часто встречается у ВИЧ-позитивных.
4. Туберкулез кишечника — нечасто встречается, может осложниться прободением.
5. Туберкулез глаз и кожи — встречаются редко.
Милиарный туберкулез — тяжелая форма с мелкими очагами, может поражать несколько систем организма.
Туберкулез может проявляться разнообразно, часто как другие заболевания или бессимптомно. Распространенные жалобы включают частые инфекции, такие как грипп, пневмония и бронхит.
| Симптом | Механизм возникновения | Как проявляется |
| Длительный субфебрилитет | Воздействие экзотоксина на нервные центры | Повышение температуры до 38°C, длительное, неощутимое состояние. |
| Слабость, утомляемость, раздражительность | Проявления отставания в развитии | Плохая успеваемость, нежелание играть, ухудшение памяти. |
| Потеря аппетита и снижение массы тела | Постоянный симптом | Потеря 30-50% веса без видимых причин. |
| Повышенная потливость | Наблюдается ночью | Часто обильная потливость на шее и голове. |
| Сухость кожи, ломкость ногтей | Связано с гормональными нарушениями | Кожа и слизистые сухие, шелушение. |
| Увеличение лимфатических узлов | Из-за размножения микобактерий | Увеличение лимфоузлов до 10 мм. |
| Бледность кожи, цианоз | Симптомы гипоксии | Бледные кожные покровы, синяки вокруг глаз. |
| Тахикардия, боли в сердце | Воздействие экзотоксинов | Частота пульса выше нормы, периодические боли. |
| Артралгии | Влияние экзотоксина на суставы | Периодические боли в суставах. |
| Узловатая эритема | Токсико-аллергическая реакция | Высыпания, зуд, болезненность. |
При туберкулезе органов дыхания могут возникать грудные симптомы, но при нераспространенных формах их может не быть.
| Симптом | Механизм возникновения | Как проявляется |
| Кашель | Раздражение рецепторов | Длительный кашель более 3-х недель. |
| Одышка | Учащение дыхания | Норма частоты дыхания для детей разного возраста. |
| Кровохарканье | Разрушение сосудов | Появление крови в мокроте. |
| Боль в грудной клетке | Раздражение плевры | Острая боль, одышка. |
Основные симптомы, которые должны насторожить родителей:
* температура выше 38°C более 1 месяца;
* кашель более 3-х недель;
* беспричинная потеря веса;
* слабость и утомляемость.
Симптомы внелегочного туберкулеза зависят от пораженного органа.
Диагноз ставится при комплексном обследовании в противотуберкулезном диспансере. Важно ежегодно обследовать детей на туберкулез.
Анамнез жизни: наличие факторов риска.
Анамнез болезни: длительность, наличие контактов с больными, данные проб Манту.
Объективный осмотр: удовлетворительное состояние, возможные симптомы интоксикации.
Рентгенология — основной метод диагностики туберкулеза.
Виды рентгенологических исследований:
1. Рентгенография органов грудной полости — обзорные и прицельные снимки.
2. Рентгеноскопия — для определения наличия жидкости или воздуха в плевральной полости.
3. Флюорография — метод профилактического обследования.
4. Компьютерная томография — самый информативный метод.
5. Магнитно-резонансный томограф — высокоинформативный метод.
Показания для рентгенологических исследований:
* наличие симптомов туберкулеза;
* профилактическое обследование;
* наличие ВИЧ-инфекции;
* выявление микобактерий в мокроте.
Туберкулинодиагностика позволяет выявить латентную инфекцию и активный туберкулезный процесс. В странах СНГ проводится ежегодно для детей старше 4 лет.
Задачи туберкулинодиагностики:
* выявление латентной инфекции;
* определение групп риска;
* оценка эффективности терапии.
При проведении пробы Манту вводят туберкулин, результат оценивают через 72 часа.
Оценка пробы Манту:
* Отрицательная реакция — след от укола;
* Сомнительная реакция — покраснение или папула до 5 мм;
* Положительная реакция — папула 5 мм и более;
* Гиперергическая реакция — папула 17 мм и более.
Положительные реакции требуют обязательного обследования на туберкулез.
Диаскинтест — новый метод выявления туберкулезной инфекции, использует рекомбинантный аллерген. Он более специфичен и чувствителен, чем проба Манту.
Исследуются любые биологические жидкости (мокрота, моча и др.).
Методы выявления:
1. Микроскопия — быстрый метод, выявляет кислотоустойчивые бактерии.
2. Бактериологические методы — посев биологического материала, наиболее точный метод.
3. Генетическое исследование — быстрое выявление микобактерий.
4. Иммунологические методы — например, метод Квантиферон.
Клинический анализ может быть нормальным, но характерные признаки включают:
* умеренный лейкоцитоз;
* лимфопения;
* умеренное ускорение СОЭ.
Гистологические методы — высокая точность, но используются редко у детей.
Дополнительные методы исследования:
* общий анализ мочи;
* биохимия крови;
* УЗИ и другие.
Выявление возбудителя в мокроте указывает на бактериовыделение.
Туберкулез излечим!
Успех лечения зависит от:
* желания и настроя пациента и родителей;
* адекватной схемы терапии;
* полного курса лечения;
* ежедневного приема препаратов;
* отсутствия перерывов в лечении.
Все препараты влияют на микобактерии, максимальный эффект достигается по окончании курса.
| Группа препаратов | Препарат | Когда применяют | Способ применения | Длительность лечения |
| 1-й ряд | Изониазид | Эффективен при отсутствии резистентности | 4-6 мг/кг 1 раз в сутки | 2 месяца + 4 месяца изониазид и рифампицин |
| Рифампицин | 8-12 мг/кг в сутки | |||
| Пиразинамид | 20-30 мг/кг в сутки | |||
| Етамбутол | 15-25 мг/кг в сутки | |||
| Стрептомицин | 15-20 мг/кг в сутки | Максимум до 2-х месяцев | ||
| 2-й ряд | Канамицин | При химиорезистентных формах | 15-20 мг/кг в сутки | 6-12 месяцев |
| Амикацин | 15-20 мг/кг в сутки | |||
| 3-я группа | Офлоксацин | Применяется по жизненным показаниям | 15 мг/кг внутрь или внутривенно | 18-24 месяца |
| 4-я группа | Протеонамид и этионамид | При химиорезистентных формах | 15-20 мг/кг внутрь | 18-24 месяца |
| 5-я группа | Клофазимин | При химиорезистентных формах | Индивидуально | 18-24 месяца |
Оперативное лечение у детей до 14 лет применяется редко.
Виды операций:
1. Диагностические операции — тораскопия, пункция лимфоузлов и др.
2. Резекция легкого — при фиброзно-кавернозном туберкулезе.
3. Пульмонэктомия — при эмпиеме.
4. Лапаротомия — при туберкулезе кишечника.
Цели оперативного лечения:
* Удаление пораженных участков;
* Восстановление функции органа;
* Предотвращение распространения инфекции.
Реабилитация после операции проходит гладко при соблюдении всех рекомендаций.
Что исключить во время лечения:
* тяжелые физические нагрузки;
* стрессы;
* голодание;
* алкоголь и наркотики;
* острые блюда.
Диета при туберкулезе — стол № 11, высококалорийное сбалансированное питание.
Берегите своих детей!
Профилактика туберкулеза у детей крайне важна.
1. Вакцинация БЦЖ — специфическая мера профилактики, проводится в родильном доме.
2. Своевременное выявление туберкулеза у взрослых — ежегодная флюорография.
3. Эффективное лечение больных туберкулезом — изоляция с бактериовыделением.
4. Работа в очаге инфекции — дезинфекция, обследование контактных лиц.
5. Ранняя диагностика инфицирования — ежегодная туберкулинодиагностика.
6. Индивидуальная профилактика — правильное питание, избегание контактов с больными.
Вакцина БЦЖ — живая вакцина против туберкулеза, снижает риск заболевания.
Ожидаемые эффекты от вакцинации БЦЖ:
* снижение риска инфицирования;
* уменьшение вероятности активного туберкулеза;
* более легкое течение болезни при заражении.
Как делают прививку БЦЖ?
1. Вакцинацию проводят в медицинском учреждении.
2. Вводят в область плеча.
3. Обрабатывают кожу спиртом.
Что происходит после прививки?
На месте введения могут появиться нормальные реакции, такие как покраснение и папулы.
Как определить эффективность вакцинации?
Основной показатель — рубец на месте введения вакцины.
Какие бывают осложнения после вакцинации БЦЖ?
* «Холодный» абсцесс;
* Лимфадениты;
* Поверхностные язвы;
* Келоидные рубцы;
* БЦЖ-остит;
* Генерализованная БЦЖ-инфекция.
Положительная проба Манту — это повод для обследования, не всегда означает туберкулез.
Что ожидает ребенка в противотуберкулезном диспансере?
1. Опрос о контактах и жалобах.
2. Осмотр врача.
3. Оценка туберкулиновых реакций.
4. Рентгенография органов грудной полости.
5. Общие анализы крови и мочи.
6. Оценка результатов и назначение профилактики.
- Туберкулез — частая сопутствующая патология ВИЧ-инфицированного ребенка.
- Эпидемия ВИЧ способствует росту туберкулеза.
- ВИЧ и туберкулез усугубляют друг друга.
- ВИЧ-инфицированные дети болеют туберкулезом в 170-250 раз чаще.
Особенности течения туберкулеза у детей со СПИДом:
* Нетипичная клиническая картина.
* Частые распространенные формы.
* Трудности в диагностике.
Как лечить ВИЧ-ассоциированный туберкулез?
* Лечение в стационаре.
* Комплексная терапия с антиретровирусной терапией.
Прогнозы ВИЧ-ассоциированного туберкулеза:
* Высокая смертность при несвоевременном выявлении.
* Своевременное лечение улучшает прогноз.
Как предупредить туберкулез у ВИЧ-позитивных детей?
* Своевременная антиретровирусная терапия.
* Наблюдение у фтизиатра.
* Периодическое обследование на туберкулез.
Народные методы лечения туберкулеза не должны заменять медикаментозную терапию.
Почему нельзя лечить туберкулез только народными средствами?
* Нет эффективных методов кроме медикаментозного.
* Риск ухудшения состояния и заражения окружающих.
Как предупредить побочные эффекты от изониазида?
* Прием в вечернее время.
* Совместный прием с витаминами группы В.
* Использование гепатопротекторов.
Золотуха — проявление атопического дерматита или диатеза. Может быть связана с туберкулезом.
Что делать при появлении золотухи?
Рекомендуется обследование на туберкулез.

Пути передачи туберкулеза
-
Воздушно-капельный путь — основной способ передачи туберкулеза у детей и взрослых. Заражение происходит при контакте с человеком с активной формой туберкулеза легких во время чихания, кашля, разговора или глубокого вдоха.
-
Воздушно-пылевой путь заражения встречается реже. Микобактерия устойчива в окружающей среде и может долго сохраняться в пыли. Вдыхание частиц пыли с палочками Коха может привести к инфицированию.
-
Алиментарный путь передачи туберкулеза также нечастый. Микобактерии могут попасть в организм через рот с молоком или мясом от больных животных, которые не были должным образом обработаны, а также при использовании необработанной посуды. Неправильная гигиена рук после контакта с предметами, на которых остались палочки Коха, также может привести к заражению. Этот путь чаще наблюдается у детей, так как они склонны брать грязные руки в рот, а их кишечный иммунитет еще не развит.
-
Трансплацентарный путь передачи инфекции от матери к ребенку во время беременности встречается крайне редко благодаря плацентарному барьеру. Это возможно при поражениях половых органов туберкулезом или диссеминированной форме заболевания, когда барьер нарушается. В таких случаях ребенок может родиться с врожденным туберкулезом, который протекает тяжело и часто заканчивается летальным исходом. Описаны редкие случаи врожденного туберкулеза у детей от здоровых матерей, что возможно при инфицировании матери во время беременности и снижении ее иммунитета.
-
Смешанный путь представляет собой сочетание различных способов попадания палочек туберкулеза в организм. Он чаще всего наблюдается в очагах туберкулезной инфекции.
Причины туберкулеза у детей
Очаг туберкулезной инфекции — это место, где находится человек с активной формой туберкулеза, выделяющий микобактерии в окружающую среду. Также это может быть случай, когда больной не выделяет бактерии, но контактирует с уязвимыми группами: детьми, беременными или кормящими женщинами, а также ВИЧ-позитивными. Более 50% случаев туберкулеза у детей регистрируется именно в таких очагах.
Факторы риска по заболеваемости детей туберкулезом
-
Эпидемиологические факторы:
- Непосредственный контакт ребенка с инфицированным человеком или животным, употребление молока или мяса от зараженного животного.
-
Медико-биологические факторы:
- Отсутствие вакцинации БЦЖ в регионах с высокой заболеваемостью туберкулезом;
- Инфицирование в раннем возрасте – положительные и гиперергические реакции на пробы Манту или Диаскинтест;
- Генетическая предрасположенность – случаи туберкулеза среди родственников;
- ВИЧ-инфекция или СПИД у ребенка, рождение от ВИЧ-позитивной матери, даже без проявлений заболевания;
- Стрессовые ситуации (экзамены, утрата близкого, перегрузки в учебе и спорте, аборты, роды);
- Сопутствующие заболевания:
- хронические заболевания верхних дыхательных путей (ринит, синусит, аденоидит, тонзиллит);
- хронические заболевания легких (астма, частые бронхиты, пневмонии, муковисцидоз);
- эндокринные расстройства (сахарный диабет, аутоиммунный тиреоидит);
- заболевания ЖКТ (вирусные гепатиты, дискинезии желчевыводящих путей, гастрит, язвы);
- иммунодефицитные состояния (врожденные иммунодефициты, онкологические заболевания, длительное применение глюкокортикостероидов).
-
Социальные факторы:
- Неправильное, несбалансированное и нерегулярное питание;
- алкоголизм или наркомания у родителей, вредные привычки у детей;
- пребывание родителей в местах лишения свободы;
- бездомные дети;
- дети из приютов и интернатов;
- многодетные семьи и семьи с низким доходом;
- дети из стран с высокой заболеваемостью туберкулезом (Африка, некоторые страны Азии) и дети, сменившие климат.
От чего зависит риск инфицирования туберкулезом?
- наличие источника туберкулеза и макроорганизма у ребенка;
- уровень бактериовыделения микобактерий у источника инфекции и степень близости контакта;
- наличие хотя бы одного фактора риска у ребенка, ослабляющего иммунитет к туберкулезу;
- возраст ребенка (младшие дети и подростки с гормональными изменениями подвержены большему риску);
- продолжительность контакта с возбудителем туберкулеза;
- вирулентность возбудителя (активность микобактерии и способность вызвать заболевание);
Как происходит инфицирование и заболевание туберкулезом у детей?
Первое взаимодействие ребенка с микобактериями туберкулеза обычно приводит к первичному инфицированию или латентной туберкулезной инфекции.
Латентная туберкулезная инфекция характеризуется:
- положительной реакцией на туберкулин (например, проба Манту или Диаскинтест), что указывает на наличие противотуберкулезного иммунитета,
- отсутствием клинических симптомов туберкулеза,
- отсутствием изменений при рентгенографии и других методах диагностики,
- сохранением иммунной функции.
Патогенез и механизм туберкулезной инфекции
-
Проникновение возбудителя туберкулеза на слизистые оболочки верхних дыхательных путей и миндалин активирует иммунные клетки (лимфоциты, макрофаги, моноциты и другие фагоциты), которые начинают защитную реакцию и поглощают микобактерии. При сильном иммунитете и небольшом количестве микробов инфицирование может не произойти. В противном случае палочки Коха попадают в легкие.
-
Проникновение микобактерий туберкулеза в альвеолы легких.
-
Процесс проникновения бактерий через стенки альвеол, при этом в самих альвеолах специфических изменений не наблюдается.
-
Перемещение микобактерий в лимфатические пути и лимфатические узлы, где они начинают размножаться. В лимфатической системе инфекция может оставаться на длительное время, иногда на всю жизнь – это латентная туберкулезная инфекция.
-
Период бактериемии (циркуляция микобактерий туберкулеза в крови) продолжается около двух недель, при этом возбудитель не размножается.
-
Распространение инфекции по тканям и органам. В результате может развиться первичное заболевание туберкулезом или латентная туберкулезная инфекция.
Микобактерии туберкулеза могут также проникать в лимфатические пути и легкие через миндалины, поврежденные слизистые оболочки рта или носоглотки, кишечника, а затем в регионарные лимфатические узлы, откуда попадают в соседние органы и ткани.
-
Формирование противотуберкулезного иммунитета происходит в течение 2-3 месяцев, вокруг микобактерий образуется специфический туберкулезный бугорок (гранулема) с творожистым некрозом (казеозом) и перифокальным воспалением.
-
Состояние инфицирования микобактерией туберкулеза — при отсутствии прогрессирования гранулема может рассасываться или покрываться соединительно-тканевой капсулой, а микобактерии внутри гранулемы переходят в L-формы (спящие микобактерии).
-
Заболевание туберкулезом — при неблагоприятных условиях инфекция может активироваться, что приводит к развитию вторичного активного туберкулеза, происходит реверсия микобактерий – переход L-форм в палочковидные формы.
В зависимости от механизма развития заболевания туберкулезом выделяют различные формы туберкулеза:
- Первичная форма туберкулеза – возникает сразу после первичного попадания микобактерии в организм, чаще всего у детей.
- Вторичная форма туберкулеза – развивается в результате реверсии неактивных форм микобактерий или повторного контакта с возбудителем. Эта форма наблюдается как у взрослых, так и у детей, особенно в подростковом возрасте.
Гистологические изменения при туберкулезе
Стадии туберкулезного процесса:
- Гиперпластическая стадия – увеличение лимфоидной ткани.
- Гранулематозная стадия – формирование туберкулезного бугорка с эпителиоидными гигантскими клетками Пирогова-Лангханса, характерными для туберкулеза, но могут отсутствовать при милиарном туберкулезе и у ВИЧ-позитивных пациентов.
- Экссудативная стадия – активизация сосудов, приводящая к образованию жидкости, например, плеврита.
- Стадия казеоза – казеозный некроз, сопровождающий разрушением тканей органа, например, образованием каверны. Разрушение сосудов может вызвать осложнения, такие как кровохарканье или легочное кровотечение.
- Стадия образования гноя – большое количество эпителиоидных гигантских клеток, нейтрофилов и лимфоцитов, массивное разрушение тканей, например, при казеозной пневмонии, оставляющей фиброзно-кавернозные изменения.
- Продуктивная стадия (стадия образования фиброза) – формирование соединительной ткани с небольшим количеством клеток. Происходит рубцевание туберкулезных изменений, что приводит к остаточным изменениям в виде фиброза.
Фазы туберкулезного процесса:
- Фаза инфильтрации – новые туберкулезные изменения с прогрессированием поражения тканей.
- Фаза распада легочной ткани – образование деструктивных изменений (каверн).
- Фаза уплотнения – обратное развитие туберкулезного процесса на фоне лечения или спонтанного выздоровления.
- Фаза рассасывания или рубцевания – заживление пораженных тканей с образованием соединительной ткани на месте воспалительного процесса.
Иммунитет при туберкулезе
При заражении туберкулезом происходят изменения в иммунной системе, вовлекающие все ее компоненты. В-лимфоциты, плазматические клетки и Т-лимфоциты играют ключевую роль в иммунитете против туберкулеза. Поэтому инфицированные ВИЧ заболевают туберкулезом в 200 раз чаще, чем неинфицированные. ВИЧ воздействует на Т-клеточную систему, особенно на клетки CD4, что снижает их количество и увеличивает риск тяжелых форм туберкулеза. На состояние Т-клеток также влияют бактериальные, вирусные, аутоиммунные и онкологические заболевания.
В процессе формирования иммунитета против туберкулеза вырабатываются иммуноглобулины классов A, M и G.
Инкубационный период туберкулеза может варьироваться от 2-3 месяцев до нескольких десятков лет.
Виды туберкулеза у детей
На практике туберкулез не делится на открытую и закрытую формы. Выделяют следующие категории:
- Туберкулез без бактериовыделения (БК-) — в мокроте пациента не обнаруживаются возбудители.
- Туберкулез с бактериовыделением (БК+) — в мокроте выявляются палочки туберкулеза.
В зависимости от активности процесса выделяют:
- Активный туберкулез — наблюдаются свежие изменения и признаки жизнедеятельности микобактерий. На рентгенограммах проявляется меньшей интенсивностью, динамика может быть положительной или отрицательной. Присутствуют симптомы интоксикации и проявления со стороны дыхательной системы.
- Неактивный туберкулез — остаточные изменения после перенесенного туберкулеза (ОИТБ). Может возникнуть после противотуберкулезной терапии или спонтанного выздоровления. Неактивные изменения не требуют лечения, но необходимо наблюдение не реже одного раза в год и при появлении симптомов. На рентгенограммах такие изменения имеют высокую интенсивность и могут содержать кальцинаты, оставаясь неизменными в динамике.
У детей часто обнаруживаются кальцинаты и очаги Гона в легких и лимфатических узлах, что характерно для спонтанно излеченного туберкулеза. Рекомендуются профилактические мероприятия для предотвращения рецидивов.
В зависимости от истории болезни выделяют:
- Впервые диагностированный туберкулез — пациент ранее не проходил лечение.
- Рецидив туберкулеза — повторная активация процесса у пациента, считавшегося излеченным. Часто возникает после стресса или факторов риска.
- Лечение после перерыва — пациент прекратил терапию более чем на месяц. Перерывы в лечении могут привести к резистентным формам туберкулеза!
В зависимости от свойств палочки выделяют:
- Чувствительный туберкулез — палочка не обладает резистентностью к противотуберкулезным препаратам.
- Химиорезистентный туберкулез — микобактерия имеет резистентность хотя бы к одному препарату. В последние годы наблюдается рост случаев химиорезистентного туберкулеза, в том числе среди детей. В зависимости от уровня резистентности выделяют:
- Монорезистентный (к одному препарату),
- Полирезистентный — устойчивость к нескольким препаратам,
- Мультирезистентный туберкулез (МРТБ) — включает изониазид и рифампицин,
- Туберкулез с широкой лекарственной устойчивостью (ШЛУ) — устойчивость к изониазиду, рифампицину, аминогликозиду и фторхинолону. Это тяжелая форма с плохим прогнозом.
Резистентность определяется на основе посева мокроты или другого биологического материала с тестированием на медикаментозную чувствительность.
У детей не всегда удается получить возбудителя, поэтому химиорезистентный туберкулез можно заподозрить на основании резистентности у окружающих больных.
Классификация туберкулеза по локализации туберкулезного процесса:
Туберкулез неуточненной локализации
Неуточненная форма туберкулеза — это разновидность заболевания с симптомами туберкулезной интоксикации, но без явных локальных изменений. При обследовании не выявляются характерные изменения в органах. Эта форма чаще встречается у детей и подростков из-за их повышенной восприимчивости к токсико-аллергическим реакциям.
Симптомы развиваются постепенно и имеют хронический характер. Родители часто не замечают изменений в состоянии детей, что затрудняет диагностику, несмотря на частоту заболевания. Объяснить родителям, что ребенок может переносить туберкулез без видимых изменений, сложно, так как единственным способом подтверждения являются положительные результаты туберкулиновых проб (проба Манту и Диаскинтест). Без лечения туберкулез может перейти в более тяжелую форму.
Появление туберкулеза неуточненной локализации связано с быстрым размножением микобактерий в лимфатической системе, что приводит к выделению значительного количества туберкулезного экзотоксина, воздействующего на все органы и системы. Диагноз может быть установлен при недостаточной диагностике внелегочного туберкулеза, так как это заболевание может поражать любые органы и ткани.
Туберкулез органов дыхания
-
Туберкулез внутригрудных лимфатических узлов – распространенная первичная форма туберкулеза у детей. Поражаются как отдельные лимфоузлы, так и группы с обеих сторон. У маленьких детей заболевание протекает тяжело из-за сжатия бронхов увеличенными узлами.
В зависимости от стадии воспалительного процесса различают формы туберкулеза внутригрудных лимфатических узлов (ТБВГЛУ):
- Малая форма – часто бессимптомная, с благоприятным прогнозом. Наблюдается незначительное увеличение лимфоузлов, преобладают гиперпластическая и гранулематозная стадии. Диагностика затруднена, лучше видна на КТ.
- Инфильтративная форма – лимфоузлы увеличиваются до 10-20 мм, наблюдается небольшое сжатие бронхов.
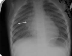
- Туморозная форма – самая тяжелая, затрагивает все группы узлов, размеры превышают 20 мм. Преобладают экссудация и казеоз, возможны осложнения, такие как прорыв гноя в бронхи или ателектаз. Рентгенограмма ребенка 2-х лет. Диагноз: инфильтративная форма туберкулеза внутригрудных лимфатических узлов. Легочные поля без патологий, расширение корня легких справа из-за увеличенных лимфоузлов.
-
Первичный туберкулезный комплекс (ПТК) – первичная форма туберкулеза, часто встречающаяся у детей. Прогноз благоприятный при своевременном лечении, но возможны осложнения с бронхами. Яркие симптомы туберкулезной интоксикации часто наблюдаются.
Составляющие первичного туберкулезного комплекса:
- Лимфаденит – поражение внутригрудных лимфоузлов,
- Лимфангоит – воспаление лимфатического сосуда,
-
Первичный аффект – поражение легких.
Эти компоненты взаимосвязаны.Обзорная рентгенограмма органов грудной полости ребенка 3-х лет. Диагноз: двусторонний первичный туберкулезный комплекс. На рентгенограмме в верхних долях обоих легких видны очаги инфильтрации, связанные с увеличенными корнями легких.
-
Очаговый туберкулез легких может быть первичным или вторичным. Обычно встречается у детей старше 10 лет, особенно у подростков. Характеризуется образованием очагов туберкулезного воспаления в одном легком, ограниченных двумя сегментами, размером менее 10 мм. Очаги чаще располагаются в верхушках легких. Симптомы интоксикации могут отсутствовать, чаще всего очаги выявляются во время профилактических осмотров. Это одна из наиболее благоприятных форм туберкулеза.
Цифровая флюорография органов грудной полости. Диагноз: очаговый туберкулез верхней доли левого легкого. Слева на верхушке видны единичные очаговые тени на фоне усиленного легочного рисунка.
-
Инфильтративный туберкулез чаще всего вторичный. Встречается у детей школьного возраста и является распространенной формой среди взрослых. Преобладает экссудация и казеоз. На месте инфильтрата может наблюдаться разрушение легочной ткани (каверна) и обсеменение очагов туберкулеза. Это тяжелая форма, часто с выделением микобактерий, может осложниться кровохарканьем или легочным кровотечением.
Обзорная рентгенограмма и срезы КТ верхних долей легких подростка. Диагноз: инфильтративный туберкулез верхней доли правого легкого с деструкцией и обсеменением. В верхней доле правого легкого небольшой инфильтрат с деструкцией легочной ткани и очаги малой интенсивности вокруг.
-
Диссеминированный туберкулез легких – тяжелая форма, поражающая более двух сегментов легких, с множественными очагами и тонкостенными кавернами. Распространение происходит по кровеносным сосудам (гематогенный) или лимфатическим (лимфогенный). Эта форма может быть первичной или вторичной и может возникнуть в любом возрасте.
Обзорная рентгенограмма органов грудной полости ребенка 10 лет с ВИЧ-ассоциированным туберкулезом. Диагноз: диссеминированный туберкулез обоих легких. На протяжении всех полей легких видны множественные очаги различного размера и интенсивности.
-
Туберкулезный плеврит – воспаление плевры, вызванное туберкулезом, чаще с одной стороны. Может быть изолированным или осложнением других форм. Часто проявляется первичным туберкулезом у детей после контакта с больными. Встречается в 10% случаев, чаще у подростков.
Дифференцировать от серозного или гнойного плеврита сложно, требуется пункция плевральной полости и исследование жидкости.
Это заболевание может пройти самостоятельно на фоне антибиотикотерапии, образуя спайки, но может вернуться в более тяжелой форме.
Виды туберкулезного плеврита:
- Экссудативный плеврит – накопление серозной или серозно-гнойной жидкости, при пункции можно получить от 100 мл до нескольких литров.
- Сухой плеврит – образование фиброза на листках плевры, реже встречается, сопровождается сильными болями.
- Гнойный плеврит (эмпиема) – наличие гноя в плевральной полости, иногда как осложнение после операции.
-
Геморрагический плеврит – наличие крови в плевральной полости, у детей встречается редко. 90% плевритов у подростков имеют туберкулезную природу.
Обзорная рентгенограмма органов грудной полости. Диагноз: левосторонний экссудативный туберкулезный плеврит. Слева жидкость в плевральной полости на уровне 3-4 ребра. Справа – без особенностей.
-
Туберкулома легких у детей встречается редко – это участок легкого, пораженного туберкулезом, размером более 10 мм, окруженный фиброзной оболочкой с кальциевыми включениями. Может образовываться в любом возрасте. Это остаточные изменения после излечения туберкулеза, но внутри оболочки содержится много микобактерий. Без лечения туберкулома может «переродиться» в активный туберкулез, что является одной из причин оперативного вмешательства у подростков.
Обзорная рентгенограмма, срезы КТ верхних долей легких и операционный макропрепарат легкого подростка 15 лет. Диагноз: туберкулома верхней доли правого легкого. В верхней доле правого легкого обнаружена туберкулома с интенсивными очагами вокруг.
-
Туберкулез бронхов обычно сочетается с другими формами легочного туберкулеза и всегда сопровождается бактериовыделением. У детей диагностика затруднена, так как требуется бронхоскопия.
-
Казеозная пневмония – запущенная форма туберкулеза легких, встречающаяся редко у детей. Характеризуется разрушением легочной ткани, преобладает казеозная фаза. Формирование может занимать месяцы или годы. Пациенты теряют вес, испытывают слабость и не могут встать с кровати. Эта форма сопровождается кровохарканьем и легочными кровотечениями. Бактериовыделение всегда присутствует. Без лечения возможен летальный исход. Исходом становятся остаточные изменения в виде фиброзно-кавернозного туберкулеза, требующего оперативного вмешательства.
Срезы КТ и обзорная рентгенограмма органов грудной полости ребенка 13 лет. Диагноз: двусторонняя казеозная пневмония с исходом в фиброзно-кавернозный туберкулез. На рентгенограммах до лечения видно множество инфильтратов с деструкциями. На КТ после лечения определяются каверны, некоторые из которых занимают почти всю долю легких.
Состояние пациента на момент поступления было тяжелым из-за грудных симптомов и интоксикации. Вес мальчика составлял 24 кг при росте 170 см. После курса терапии, несмотря на остаточные изменения, он чувствовал себя хорошо, одышка его не беспокоила, продолжает расти и достиг почти 2 метров к 17 годам. Возможности организма, особенно молодого, безграничны.
Внелегочный туберкулез
Внелегочный туберкулез у детей составляет около 30% всех случаев и обычно является вторичным процессом. ВИЧ-инфекция способствует распространению этого заболевания. Диагностика внелегочного туберкулеза сложна, так как симптомы могут напоминать нетуберкулезные патологии. Окончательное подтверждение диагноза часто достигается гистологическим анализом пораженного органа.
Туберкулез может затрагивать все органы, включая детский организм.
Наиболее распространенные виды внелегочного туберкулеза у детей:
-
Туберкулез нервной системы (туберкулезный менингит и менингоэнцефалит) – тяжелая форма туберкулеза, часто приводящая к летальному исходу, особенно у младенцев и дошкольников. Прогноз неблагоприятный, так как заболевание оставляет серьезные последствия: парезы, гидроцефалию, задержку в развитии и длительные судороги. Менингит может возникать как самостоятельное заболевание или как осложнение других форм туберкулеза. Наиболее подвержены дети до года, не привитые БЦЖ и находящиеся в зонах туберкулезной инфекции. У детей с ВИЧ и устойчивостью к противотуберкулезным препаратам заболевание протекает особенно тяжело.
Начало менингита обычно постепенное, но болезнь развивается стремительно. Диагноз ставится в среднем через две недели после появления первых симптомов. Прогноз ухудшается с каждым днем, и если лечение не начато в течение трех недель, последствия могут быть тяжелыми или летальными. Частые симптомы: высокая температура, рвота, понос, головные боли, судороги, косоглазие и опущение века.
Диагноз устанавливается на основе анализа спинномозговой жидкости, анамнеза и наличия туберкулезных изменений в других органах. Даже при лечении состояние ребенка может нормализоваться только через 2-3 месяца.
Вакцинация БЦЖ в родильных домах в странах с высоким уровнем заболеваемости туберкулезом крайне важна, так как привитые дети редко страдают от этой формы заболевания.
-
Туберкулез костей и суставов – тяжелая форма вторичного туберкулеза, часто приводящая к инвалидности. Лечение и реабилитация могут занимать длительное время. Туберкулез может поразить любую кость скелета. Диагноз ставится на основании гистологического исследования образцов кости или выделений из свища.
Томографический срез компьютерного томографа грудного отдела позвоночника ребенка 2-х лет. Диагноз: туберкулез 9, 10, 11 грудных позвонков, гибус (горб) в грудном отделе позвоночника.
-
Туберкулез периферических лимфатических узлов – часто встречается у детей, особенно у ВИЧ-позитивных. Поражаются любые группы лимфоузлов, чаще всего подмышечные и шейные. У больных СПИДом может наблюдаться диссеминированный туберкулез лимфоузлов. Диагноз устанавливается на основании гистологического анализа биоптата лимфоузлов.
-
Туберкулез кишечника и мезентериальных лимфатических узлов – менее распространенная форма, развивающаяся в результате алиментарного заражения микобактериями. Часто встречается у больных СПИДом. Характеризуется увеличением лимфатических узлов брыжейки и воспалением стенок кишечника. Может осложняться прободением кишечника или непроходимостью.
-
Туберкулез глаз (конъюнктивиты, кератиты), кожи, мочеполовой системы и других органов у детей встречаются реже.
Милиарный туберкулез
Милиарный туберкулез — серьезная форма туберкулеза, название которой происходит от греческого слова milium, означающего просо, из-за мелких высыпаний, напоминающих зерна. При этой форме образуются небольшие очаги вдоль кровеносных сосудов и капилляров, что повреждает их стенки. В отличие от классических форм, здесь не формируются туберкулезные бугорки, а палочки Коха выделяются в больших количествах с мокротой. Милиарный туберкулез может поражать легкие и другие системы организма одновременно. Эта форма заболевания считается агрессивной и быстро развивающейся. Ранее диагноз милиарного туберкулеза воспринимался как приговор, но современные методы лечения позволяют справляться с этой формой заболевания.
Обзорная рентгенограмма органов грудной полости ребенка 3-х лет. Диагноз: Милиарный туберкулез легких. С обеих сторон на легочных полях видны мелкие очаги одинакового размера и интенсивности.
Симптомы туберкулеза у детей
Туберкулез имеет множество проявлений и часто маскируется под другие заболевания или протекает бессимптомно. Больные жалуются на частые инфекции, напоминающие грипп, повторяющиеся пневмонии, бронхиты и кишечные инфекции — все это «маски» туберкулеза. Лечение этих состояний обычно приносит лишь временное облегчение.
У детей туберкулез часто сопровождается симптомами интоксикации, возникающими из-за воздействия экзотоксина на органы и системы, что приводит к параспецифическим реакциям.
Однако в большинстве случаев туберкулез у детей может протекать бессимптомно, особенно на ранних стадиях менее тяжелых форм. Когда появляются симптомы, часто уже диагностируются более распространенные или осложненные формы. Поэтому регулярные медицинские осмотры на наличие туберкулеза имеют большое значение.
Симптомы туберкулезной интоксикации
| Симптом | Механизм возникновения | Как проявляется |
| Длительный субфебрилитет | Симптомы вызваны экзотоксином, выделяемым микобактериями туберкулеза, который влияет на нервные структуры головного мозга и вегетативную нервную систему. | Температура тела колеблется от 37 до 38°C и сохраняется на этом уровне ежедневно в течение нескольких месяцев, чаще всего в вечерние часы (с 16:00 до 18:00). Пациенты не ощущают дискомфорта, так как адаптируются к болезни. |
| Слабость, повышенная утомляемость, раздражительность, депрессия, головные боли | У детей симптомы могут проявляться задержкой в умственном развитии, плохой успеваемостью, нежеланием играть на улице, невнимательностью, ухудшением памяти, сонливостью и быстрой утомляемостью. Иногда дети устают даже во время еды. | |
| Потеря аппетита и снижение массы тела | Снижение веса — постоянный симптом туберкулеза у детей. В некоторых случаях пациенты теряют 30% до 50% веса за короткий срок без видимых причин. Плохой аппетит может перерасти в полный отказ от пищи. | |
| Повышенная потливость | Симптом проявляется преимущественно ночью, часто в области шеи и головы. Ночная потливость может быть настолько сильной, что постельное белье становится мокрым. | |
| Сухость кожных покровов, ломкость ногтей | Кожа и слизистые оболочки становятся сухими, на коже могут появляться шелушения. У подростков этот симптом может сопровождаться увеличением выделения кожного жира из-за гормональных изменений, усугубляемых токсинами. | |
| Микрополиадения | Увеличение периферических лимфатических узлов происходит из-за перегрузки лимфатической системы размножающимися микобактериями туберкулеза. | При пальпации можно обнаружить увеличение лимфоузлов в не менее чем пяти группах, размером до 10 мм (при размере более 10 мм диагностируется лимфаденит). Лимфатические узлы плотные, эластичные и безболезненные, кожа над ними не изменена. Этот симптом наблюдается практически у всех детей с туберкулезом. |
| Бледность кожных покровов, периорбитальный цианоз, изменение пальцев по типу «барабанных палочек» | Эти проявления указывают на гипоксию, возникающую при распространенном туберкулезе легких и нарушении проходимости бронхов. | Кожа становится бледной, вокруг глаз появляется цианоз, также может наблюдаться синюшность носогубного треугольника и акроцианоз (синюшность пальцев, конечности холодные на ощупь). При длительной интоксикации у маленьких детей пальцы могут принимать форму барабанных палочек, а ногти – форму часового стекла. |
| Тахикардия, боли в области сердца | Экзотоксины палочки Коха воздействуют на сердечную мышцу и вегетативную нервную систему. | Частота пульса превышает возрастные нормы, пациенты ощущают учащенное сердцебиение, боли в сердце носят периодический ноющий характер. |
| Артралгии | Воздействие экзотоксина на суставные поверхности. | Боли в суставах беспокоят пациентов периодически, носят ноющий характер. У детей это может проявляться нежеланием вставать на ноги. |
| Узловатая эритема | Проявление токсико-аллергической реакции на экзотоксин туберкулеза, приводящее к воспалению кожи и подкожных сосудов. | Высыпания представляют собой узелки, чаще всего наблюдаются у детей, сопровождаются зудом и болезненностью в пораженных участках. Сыпь локализуется на задней поверхности ног, сначала ярко-красная, затем тускнеет и становится синюшной. Узловатая эритема может сохраняться около месяца. |
| Гормональные нарушения у подростков | Токсико-аллергическая реакция на эндокринные органы. | У детей раннего возраста может наблюдаться гипертрихоз – избыточный рост волос. У девочек гормональные нарушения могут проявляться нарушением менструального цикла и аномальным развитием молочных желез, у мальчиков – увеличением молочных желез и появлением растяжек на коже туловища. Пациенты с туберкулезом отмечают повышенное половое влечение. |
| Нарушение работы желудочно-кишечного тракта | Это связано с воздействием токсинов на гладкую мускулатуру кишечника и вегетативную нервную систему. | Чаще всего проявляется у маленьких детей и младенцев, проявляется неустойчивым стулом (понос) и срыгиванием. |
| Увеличение печени и селезенки | Симптом возникает из-за повышенной нагрузки на печень и селезенку, которые выводят большое количество токсинов и продуктов жизнедеятельности микобактерий. У детей этот симптом развивается только в тяжелых случаях. | Увеличение печени и селезенки можно определить при пальпации и с помощью УЗИ. Печень у детей обычно увеличена равномерно на 1-2 см. Изменения в работе печени фиксируются в анализах. На фоне адекватного лечения эти симптомы быстро исчезают. |
При туберкулезе органов дыхания, помимо симптомов интоксикации, могут возникать грудные проявления. При нераспространенном туберкулезе грудные симптомы могут отсутствовать.
Грудные симптомы при туберкулезе органов дыхания
| Симптом | Механизм возникновения | Как проявляется |
| Кашель | Избыточная мокрота раздражает рецепторы вегетативной нервной системы, вызывая кашель для очищения бронхов. Также кашель может возникать из-за сужения бронхов, вызванного увеличенными лимфоузлами. | Кашель при туберкулезе длится более трех недель. В малораспространенных формах он может отсутствовать или проявляться редко, не вызывая беспокойства. При значительном поражении внутригрудных лимфатических узлов кашель становится сухим, постоянным и иногда изнуряющим, часто непродуктивным или с минимальным выделением мокроты. Если туберкулез затрагивает бронхи или легкие, кашель становится частым и влажным, с выделением слизисто-гнойной или гнойной мокроты. |
| Одышка | Одышка проявляется учащением дыхания и нарушением глубины вдоха. Она возникает при значительном разрушении легочной ткани, когда объем легких уменьшается. Также затрудненное дыхание может быть связано с сдавлением бронхов увеличенными лимфоузлами и интоксикацией. | Нормальные показатели частоты дыхания: * новорожденные – 40-60 вдохов в минуту; * 1-2 месяца – 35-48 вдохов; * 1-3 года – 28-35; * 4-6 лет – 24-26; * 7-9 лет – 21-23; * 10-12 лет – 18-20; * 13-15 лет – 18-20; * Подростки и взрослые – 16-18 вдохов в минуту. Одышка у детей младше 1 года проявляется особенно остро: дыхание становится шумным, с хрипами, наблюдаются признаки нехватки кислорода (синюшность носогубного треугольника, цианоз пальцев). На фоне лечения этот симптом исчезает медленно. |
| Кровохарканье и легочное кровотечение | Появление крови в мокроте связано с разрушением стенок легочных сосудов, что наблюдается при инфильтративном, диссеминированном, милиарном туберкулезе и казеозной пневмонии. | Кровохарканье проявляется прожилками крови или окрашиванием мокроты в розовый цвет. Оно характеризуется выделением крови из легких до 50 мл. При легочном кровотечении потеря крови превышает 50 мл. В редких случаях может произойти профузное кровотечение (более 0,5 л), что может привести к летальному исходу. Такие кровотечения часто возникают после физической нагрузки (подъем тяжестей, резкий подъем с кровати, быстрая ходьба, резкие кашлевые движения). |
| Боль в грудной клетке | Легкие не болят, но боль в грудной клетке возникает из-за раздражения рецепторов плевры. Этот симптом может проявляться при плеврите или пневмотораксе. | Боль возникает резко, имеет острый характер и может сопровождаться одышкой, иногда потерей сознания. Пациент принимает вынужденное положение, лежа на больном боку. |
Основные симптомы, которые должны насторожить родителей и побудить их обследовать ребенка на туберкулез:
- температура выше 38°C более месяца;
- кашель, продолжающийся более трех недель;
- необъяснимая потеря веса, плохой аппетит;
- слабость и быстрая утомляемость;
- наличие других симптомов из таблицы.
Симптомы внелегочного туберкулеза разнообразны и зависят от пораженного органа.
При туберкулезе костей наблюдаются боль, нарушение функции пораженной части скелета, образование горба.
При поражении нервной системы могут возникать головные боли, рвота, судороги.
При поражении периферических узлов наблюдается их увеличение.
Диагностика туберкулеза у детей
Диагноз туберкулеза устанавливается на основе комплексного обследования в противотуберкулезном диспансере. Для раннего выявления туберкулеза у детей рекомендуется ежегодное обследование.
Туберкулез — инфекционное заболевание, развивающееся медленно. Изменения в легких формируются не за несколько дней, как при пневмонии, а на протяжении месяцев. Период от начала заболевания до появления первых симптомов может занять несколько месяцев, поэтому важно выявлять туберкулез до клинических проявлений.
Анамнез жизни: учитываются факторы риска, способствующие развитию туберкулеза у ребенка.
Анамнез болезни: важно обратить внимание на продолжительность заболевания, характер его начала, контакты с больными туберкулезом, наличие противотуберкулезного иммунитета после вакцинации БЦЖ и результаты проб Манту или Диаскинтест, проведенных ранее.
Наличие или отсутствие жалоб: При туберкулезе у пациента могут отсутствовать жалобы или он может не придавать им значения. Врач должен тщательно расспрашивать о симптомах.
Объективный осмотр
Во время осмотра пациента обычно отмечается удовлетворительное общее состояние. Однако при длительном течении заболевания дети могут отставать в физическом, росте, массе тела, а также в умственном и психическом развитии.
Можно выявить симптомы туберкулезной интоксикации.
При аускультации легких изменений, как правило, не обнаруживается. При туберкулезе много визуальных признаков, но мало слышимых (даже при значительных изменениях на рентгенограммах хрипов обычно не слышно). Тем не менее, могут наблюдаться одышка, жесткость дыхания, а рассеянные и/или локальные сухие и влажные хрипы встречаются редко, также возможен бронхообструктивный синдром и другие проявления.
Рентгенологические методы исследования
Рентгенология — основной метод диагностики туберкулеза и его форм.
Типы рентгенологических исследований легких:
-
Рентгенография грудной клетки (изображение на пленке):
- Обзорные рентгенограммы в прямой, задней и боковой проекциях,
- Прицельные рентгенограммы отдельных участков легких,
- Томографические срезы легочных полей в фронтальной проекции.
-
Рентгеноскопия грудной полости (изображение на экране) используется для выявления жидкости или воздуха в плевральной полости и диагностики осложнений после операций на легких.
-
Флюорография легких (ФГ). Применяются цифровая и пленочная флюорография. ФГ — метод профилактического обследования на туберкулез, рекомендуемый ежегодно для лиц старше 15 лет.
-
Компьютерная томография (КТ) — наиболее информативный метод диагностики туберкулеза, позволяющий выявлять мелкие изменения с интервалом около 1 мм.
-
Магнитно-резонансная томография (МРТ) — метод, использующий магнитное поле, также эффективен для диагностики туберкулеза.
Показания для рентгенологических исследований:
- Симптомы туберкулеза,
- Профилактическое обследование детей при положительных туберкулиновых пробах или контактах с больными,
- ВИЧ-инфекция у ребенка,
- Обнаружение микобактерий туберкулеза в мокроте,
- Выявление внелегочных форм туберкулеза (рентгенография органов дыхания обязательна).
Что можно увидеть на рентгенограммах при туберкулезе органов грудной клетки?
- Очаги — тени округлой формы до 10 мм;
- Инфильтраты — тени различных форм и структур более 10 мм;
- Деструкция легочной ткани — участки просветления (каверны) на фоне инфильтрата или среди очаговых теней;
- Туберкулома — инфильтрат высокой интенсивности, иногда с кальциевыми включениями;
- Увеличенные внутригрудные лимфатические узлы;
- Уровень жидкости в плевральной полости;
- Наличие воздуха в плевральной полости;
- Кальцинаты и интенсивные очаги — очаги с высокой интенсивностью, сопоставимой с костной тканью;
- Фиброз — плевральные наслоения, деформация легочного рисунка, линейные участки соединительной ткани и др.
Туберкулинодиагностика
Туберкулинодиагностика основана на выявлении повышенной чувствительности к туберкулину, что указывает на наличие туберкулиновой аллергии, возникшей из-за заражения микобактериями туберкулеза (МБТ) или вакцинации БЦЖ. Туберкулин помогает обнаружить специфические антитела (Ig A, M, G) к туберкулезу, формирующиеся при образовании туберкулезных гранулем. Это очищенный токсин, действующий как аллерген, на который у инфицированного ребенка с МБТ возникает иммунный ответ. Туберкулезные аллергены не содержат микробных клеток и не могут вызвать заболевание.
В странах СНГ туберкулинодиагностика проводится ежегодно для детей в возрасте от 4 до 14 лет.
Цели туберкулинодиагностики:
- выявление латентной туберкулезной инфекции,
- обнаружение активного туберкулезного процесса,
- определение групп риска по туберкулезу,
- оценка эффективности противотуберкулезной терапии,
- помощь в дифференциальной диагностике активного и спонтанно излеченного туберкулеза,
- определение уровня инфицированности туберкулезной инфекцией среди детей,
- отбор детей для вакцинации БЦЖ – вакцинация возможна только при наличии отрицательной туберкулиновой пробы, если БЦЖ не была введена в роддоме и до достижения двухмесячного возраста.
Проба Манту
При выполнении пробы Манту вводят 0,1 мл (2 ТЕ) очищенного туберкулезного аллергена (туберкулина) под кожу, что вызывает инфильтрат размером от 5 до 10 мм на внутренней поверхности предплечья. Оценка реакции проводится через 72 часа с помощью прозрачной линейки, расположенной перпендикулярно костям предплечья.
Оценка пробы Манту:
- Отрицательная реакция – только след от инъекции,
- Сомнительная реакция – покраснение любого размера или папула до 5 мм,
- Положительная реакция – папула 5 мм и более,
- Гиперергическая реакция – папула 17 мм и более или папула любого размера с везикулой (пузырьком с жидкостью).
Положительные реакции, особенно впервые (вираж туберкулиновой пробы), и гиперергические реакции требуют обследования на туберкулез, так как в этих случаях дети часто заболевают. Однако при тяжелых формах туберкулеза (например, милиарный туберкулез или казеозная пневмония) и ВИЧ-ассоциированном туберкулезе проба Манту может давать отрицательный результат из-за недостаточной реакции иммунной системы на аллерген.
Диаскинтест
Диаскинтест – новый метод диагностики туберкулезной инфекции у детей, разработанный в России. Он использует рекомбинантный аллерген с белком из генетически модифицированной Escherichia coli. В отличие от традиционного туберкулина, тест выявляет только антитела, образовавшиеся после контакта с палочкой Коха, и не реагирует на антитела, выработанные после вакцинации БЦЖ. Это обеспечивает более точные результаты, а при положительных или сомнительных реакциях наблюдается высокий процент выявления локальных форм туберкулеза. Диаскинтест более чувствителен и специфичен, чем туберкулиновый тест.
Методика проведения Диаскинтеста и оценка его результатов аналогичны пробе Манту. Дальнейшему обследованию на туберкулез подлежат все дети с сомнительными, положительными или гиперергическими реакциями на Диаскинтест.
Лабораторные методы диагностики туберкулеза
Методы выявления возбудителя туберкулеза
Эти методы обязательны при обнаружении изменений, связанных с туберкулезом, или при подозрении на заболевание. Рекомендуется одновременно исследовать один и тот же биологический материал с использованием всех доступных бактериологических методов.
Для выявления возбудителя туберкулеза можно использовать различные биологические жидкости: мокроту, мочу, спинномозговую и плевральную жидкости, а также биопсийный материал.
При легочном туберкулезе анализируют мокроту. У маленьких детей получение мокроты затруднительно, поэтому в таких случаях исследуют промывные воды желудка или бронхов.
Методы обнаружения возбудителя туберкулеза:
-
Микроскопия – включает окрашивание образца по Цилю-Нильсену, что позволяет выявить кислотоустойчивые бактерии, включая микобактерию туберкулеза. Под микроскопом они выглядят как красные палочки.
Преимущества микроскопии:
- самый быстрый способ – результаты через 2 часа,
- простота исполнения, не требует сложной подготовки,
- экономичность,
- малоспецифичность, так как выявляет кислотостойкие палочки, среди которых есть и нетуберкулезные микобактерии.
-
Бактериологические методы – включают посев биологического материала с последующим определением колоний микобактерий туберкулеза и микроскопией мазков. Эти методы наиболее точные и специфичные, но требуют больше времени.
Посевы проводятся на питательных средах:
- Твердые среды Левенштейна-Йенсена – результаты через 2 месяца,
- Жидкие среды – рост микобактерий в аппаратах Бактек. Этот метод дает результаты быстрее – от 10 до 20 дней. Он специфичен и точен. После положительных результатов обязательно проводится тест на медикаментозную чувствительность к противотуберкулезным препаратам для выявления химиорезистентных форм.
-
Генетическое исследование мокроты на микобактерии туберкулеза и определение чувствительности к противотуберкулезным препаратам стало популярным. Наиболее распространенный метод – использование аппарата Genexpert. Это исследование дает результаты за 2 часа и основано на ПЦР для выявления как живых, так и мертвых микобактерий.
-
Иммунологические методы исследования на туберкулез, среди которых наиболее эффективен метод Квантиферон (QuantiFERON-TB). Это лабораторное исследование крови, оценивающее иммунный ответ на специфические пептидные антигены микобактерий туберкулеза. В крови инфицированных туберкулезом людей обычно обнаруживаются лимфоциты, распознающие эти антигены. Этот метод не является прямым способом выявления инфекции и рекомендуется использовать в сочетании с другими методами.
ИФА на туберкулез не показал своей эффективности в диагностике.
Общий анализ крови
Клинический анализ крови при туберкулезе может не показывать отклонений, но есть признаки, указывающие на заболевание:
- Умеренный лейкоцитоз (незначительное увеличение лейкоцитов): для детей до 6 лет — 5-12 Г/л, для детей старше 7 лет — 4-9 Г/л.
- Лимфопения (снижение уровня лимфоцитов): для детей от 7 дней до 6 лет — 45-65%, для детей старше 6 лет — 25-40%.
- Умеренное ускорение СОЭ (скорости оседания эритроцитов): нормальные значения — 1-10 мм/ч.
Гистологические методы исследования имеют высокую точность — около 95%. Биопсия пораженной ткани — инвазивная процедура, поэтому у детей применяется редко. В биоптате можно обнаружить изменения, характерные для туберкулезного воспаления. У детей с ВИЧ гистологическая картина может отличаться, поэтому важно проводить гистохимическое исследование для выявления возбудителя.
Для оценки состояния организма перед лечением используют дополнительные методы исследования:
- Общий анализ мочи,
- Биохимический анализ крови, печеночные пробы,
- ИФА на ВИЧ,
- RW — реакция на сифилис,
- УЗИ брюшной полости,
- УЗИ щитовидной железы,
- Определение уровня глюкозы в крови и другие.
Выявление возбудителя туберкулеза в мокроте с помощью бактериоскопии и/или посева на питательные среды подтверждает наличие бактериовыделения.
Лечение туберкулеза у детей
Туберкулез можно вылечить!
Успех в лечении туберкулеза зависит от:
- желания и настойчивости пациента и его родителей,
- правильно подобранной схемы терапии,
- полного курса лечения (не менее 6 месяцев),
- ежедневного приема всех препаратов в одно время,
- отсутствия перерывов в лечении,
- переносимости медикаментов,
- чувствительности микобактерий к препаратам,
- соблюдения режима питания и образа жизни.
Наиболее эффективным способом терапии является прием противотуберкулезных препаратов. Самолечение, неправильный прием медикаментов или полагание только на народные средства ставят под угрозу жизнь пациента.
Противотуберкулезные препараты
Все противотуберкулезные медикаменты воздействуют на микобактерии туберкулеза, но максимальный эффект достигается только по завершении полного курса лечения.
| Категория препаратов | Название препарата | Показания к применению | Способ введения | Продолжительность терапии* |
| Противотуберкулезные препараты 1-го ряда | Изониазид | Эффективен против туберкулеза, но менее действенен при химиорезистентности. | 4-6 мг/кг один раз в день перорально или инъекционно. | 2 месяца – четыре препарата 1-го ряда + 4 месяца изониазид и рифампицин. |
| Рифампицин | 8-12 мг/кг в день перорально. Рифонат – для инъекционного введения. | |||
| Пиразинамид | 20-30 мг/кг в день перорально. | |||
| Етамбутол | 15-25 мг/кг в день перорально, инбутол для внутривенного введения. | |||
| Стрептомицин | Используется редко, в основном при запущенных формах туберкулеза и менингитах. | 15-20 мг/кг в день внутримышечно. | Максимум до 2-х месяцев. | |
| Противотуберкулезные препараты 2-го ряда | ||||
| 2-я группа: аминогликозиды | Канамицин | Применяется при химиорезистентных формах туберкулеза. | 15-20 мг/кг в день внутримышечно. | Курс лечения от 6 до 12 месяцев. |
| Амикацин | 15-20 мг/кг в день внутримышечно. | |||
| Капреомицин | 15-20 мг/кг в день внутримышечно. | |||
| 3-я группа: фторхинолоны | Офлоксацин | Не рекомендуется для детей, но может использоваться при химиорезистентном туберкулезе по жизненным показаниям. | 15 мг/кг перорально или внутривенно. | Курс лечения от 18 до 24 месяцев. |
| Левофлоксацин | 15-20 мг/кг перорально или внутривенно. | |||
| Моксифлоксацин | 10 мг/кг перорально или внутривенно. | |||
| Спарфлоксацин | 5 мг/кг перорально. | |||
| 4-я группа | Протеонамид и этионамид | Применяются при химиорезистентных формах туберкулеза, имеют слабое действие. | 15-20 мг/кг перорально. | Курс лечения от 18 до 24 месяцев. |
| Циклосерин | 15-20 мг/кг перорально. | |||
| Териз | 15-20 мг/кг перорально. | |||
| Парааминосалициловая кислота | 150 мг/кг перорально, пасконат — внутривенно. | |||
| 5-я группа | Клофазимин | Используется при химиорезистентных формах с широкой устойчивостью, имеет слабое действие. | Дозы для детей подбираются индивидуально. | Курс лечения от 18 до 24 месяцев в схемах. |
| Амоксиклав, аугментин | ||||
| Кларитромицин | ||||
| Линезолид |
*В таблице представлены стандартные схемы терапии, которые могут быть адаптированы под индивидуальные потребности.
Оперативное лечение при туберкулезе
У детей младше 14 лет хирургическое вмешательство применяется редко, в то время как у подростков оно встречается чаще.
Типы операций при туберкулезе:
-
Диагностические процедуры:
- Торакоскопия – эндоскопическая операция для получения биопсии плевры при плевритах,
- Торакоцентез – биопсия лимфатических узлов в грудной области,
- Пункция периферических лимфатических узлов,
- Пункция костей при подозрении на туберкулез костей и суставов.
-
Резекция доли легкого при фиброзно-кавернозном туберкулезе, туберкуломе, длительно не заживающих кавернах, особенно в случае химиорезистентных форм.
-
Пульмонэктомия – удаление легкого при эмпиеме или обширном фиброзно-кавернозном туберкулезе, показана только при поражении одного легкого.
-
Лапаротомия с резекцией части кишечника – при туберкулезе кишечника с осложнениями.
-
Другие хирургические вмешательства при внелегочном туберкулезе.
Цели хирургического лечения:
- Устранение тканей, пораженных туберкулезом, не поддающихся лечению противотуберкулезными препаратами;
- Удаление остаточных изменений после туберкулеза;
- Восстановление функций поврежденного органа;
- Предотвращение распространения инфекции в другие органы и ткани;
- Избежание острых состояний, угрожающих жизни пациента.
Все операции проводятся на фоне противотуберкулезной терапии.
Реабилитация после операции по поводу туберкулеза обычно проходит успешно при соблюдении схем лечения и надлежащего ухода.
Обязательные мероприятия после операций на легких:
- Обеспечение адекватного обезболивания с использованием наркотических анальгетиков для предотвращения болевого шока;
- Проведение антибиотикотерапии в послеоперационный период для предотвращения гнойной инфекции;
- Продолжение или начало противотуберкулезной терапии;
- Контроль за расправлением оперированного легкого;
- Ежедневная замена стерильной повязки в течение минимум одной недели;
- Соблюдение постельного режима не менее одной недели;
- Избежание тяжелых физических нагрузок в течение минимум двух месяцев;
- Проведение рентген-контроля сразу после операции и через месяц (металлические швы будут видны на рентгенограммах).
Режим и питание при туберкулезе
Что следует исключить во время терапии туберкулеза:
- интенсивные физические нагрузки,
- стрессовые ситуации,
- голодание,
- переохлаждение и закаливание,
- длительное пребывание на солнце (солнечное воздействие может разрушать легочную ткань и активировать туберкулезный процесс),
- употребление алкоголя, наркотиков и курение,
- острая пища,
- нахождение в многолюдных местах,
- беременность и прерывание беременности,
- любые профилактические прививки,
- контакты с ветряной оспой, корью, краснухой и другими вирусными инфекциями, так как они могут усугубить течение туберкулеза,
- плановые операции, которые желательно отложить до полного выздоровления,
- смена климатических условий,
- применение народных средств и биологически активных добавок в начале лечения до получения первых положительных результатов. Особенно нежелательно использовать алоэ, мед, продукты пчеловодства, барсучий и другие жиры, медведки и т. д.
Диета при туберкулезе – стол № 11.
Калорийность рациона должна составлять 3-4 тысячи ккал. Рекомендуется сбалансированное питание с включением всех групп продуктов, с акцентом на белок, кальций и витамины. Следует исключить острые и жареные блюда, а также ограничить сладости, так как туберкулезная палочка предпочитает среду с высоким содержанием глюкозы.
Берегите своих детей!
Профилактика туберкулеза, что нужно делать, чтобы ребенок не заболел туберкулезом?
Немецкий ученый и бактериолог, лауреат Нобелевской премии Беринг, отметил: «Легочный туберкулез у взрослых – это лишь финал той мелодии, которую напевали больному еще в детстве». Профилактика туберкулеза у детей имеет критическое значение, особенно в условиях его распространения.
Предотвращение заболеваний – это ответственность каждого человека и родителя. В вопросах профилактики туберкулеза медицина предлагает ряд мероприятий, помимо индивидуального подхода.
1. Вакцинация БЦЖ – наиболее эффективная мера защиты от туберкулеза у детей, особенно в младенческом возрасте. Вакцинация рекомендована во многих странах. В России, Украине, Беларуси, Молдове и других государствах СНГ БЦЖ делают в родильных домах на 3-5-й день жизни всем здоровым новорожденным. Дети с временными противопоказаниями получают прививку после выздоровления.
Ревакцинация проводится в 7 лет для детей с отрицательной пробой Манту. От ревакцинации БЦЖ в 14 лет отказались, так как к этому возрасту остается очень мало неинфицированных детей. В России также предлагают вакцинировать БЦЖ молодых людей в 18 лет при условии отрицательной пробы Манту.
2. Своевременное выявление туберкулеза у взрослых, окружающих детей, снижает риск инфицирования малышей. Всем взрослым и подросткам старше 15 лет рекомендуется проходить ежегодную флюорографию (в регионах с низким уровнем заболеваемости – раз в два года). Начните с себя: пройдите обследование на туберкулез, чтобы защитить здоровье свое и своих детей.
3. Эффективное лечение больных туберкулезом направлено на выздоровление и обязательную изоляцию больных с бактериовыделением в специализированные стационары. Эти меры способствуют выздоровлению пациента и изолируют источник инфекции для детей. Вопросы изоляции регулируются законодательством большинства стран.
4. Работа в очаге туберкулезной инфекции включает в себя комплекс мероприятий:
- Заключительная дезинфекция жилища больного – осуществляется санитарно-эпидемической службой, обрабатываются все поверхности, посуда и предметы обихода хлорсодержащими дезинфекторами, а также проводится обработка постельного белья, матрасов и штор. Проводится кварцевание.
- Обследование всех лиц, контактировавших с больным туберкулезом.
План обследования детей, контактировавших с туберкулезными больными:- рентгенография легких;
- проба Манту (внеочередная);
- общие анализы крови и мочи;
- другие исследования в зависимости от наличия жалоб. Дети обследуются каждые 6 месяцев до полного выздоровления больного и еще 1 год, а в случае смерти больного – наблюдаются в течение 2-х лет. Очаги, где умирает больной туберкулезом, представляют наибольшую опасность.
- Профилактика препаратом изониазид и оздоровление контактных лиц.
Для контактных детей рекомендован курс профилактики изониазидом (противотуберкулезным препаратом) в дозе 5-10 мг/кг в сутки на протяжении 6 месяцев. Врач-фтизиатр может назначить два противотуберкулезных препарата (изониазид + рифампицин или изониазид + пиразинамид) на 3 месяца.
Профилактика изониазидом не назначается в очаге химиорезистентного туберкулеза. В таком случае ребенку проводят дополнительное обследование через 3 месяца, затем каждые полгода.
Во многих странах СНГ продолжают функционировать детские противотуберкулезные санатории, где дети из групп риска проходят оздоровление и получают специализированную профилактику под наблюдением специалистов.
5. Ранняя диагностика инфицирования туберкулезом у детей осуществляется с помощью ежегодной туберкулинодиагностики (пробы Манту). Реакция Манту позволяет выявить детей, инфицированных туберкулезом, для дальнейшего обследования и профилактики. Важно обнаружить инфицированность в первый год – чем раньше ребенок получит профилактическое лечение, тем ниже риск заболевания в будущем.
6. Индивидуальная профилактика:
- правильное сбалансированное питание ребенка (с высоким содержанием витаминов и кальция);
- избегать пребывания ребенка в местах с большим скоплением людей, особенно в первый год жизни;
- избегать контакта ребенка с известным больным туберкулезом и длительно кашляющим человеком;
- правильный образ жизни ребенка и его родителей;
- профилактика курения, алкоголизма и наркозависимости у детей и подростков;
- ежедневная физическая активность ребенка;
- избегать переохлаждений;
- профилактика и правильное лечение острых респираторных и других инфекционных заболеваний;
- лечение хронических заболеваний ЛОР-органов, пищеварительной системы, бронхиальной астмы, контроль уровня глюкозы крови при сахарном диабете;
- меры по предупреждению инфицирования ВИЧ для детей и подростков, а также профилактика передачи ВИЧ от матери к ребенку;
- для ВИЧ-позитивных детей адекватная антиретровирусная терапия значительно снижает риск заболевания туберкулезом.
Прививка БЦЖ, какие бывают вакцины, какова их эффективность?
Вакцина БЦЖ названа в честь французских бактериологов Альбера Кальметта и Камилла Герена, создателей вакцины против туберкулеза.
Вакцинация против туберкулеза значительно снизила детскую смертность и заболеваемость менингитом. Эффективность БЦЖ подтверждена многими годами наблюдений.
Что такое БЦЖ и в чем ее необходимость?
БЦЖ – живая вакцина против туберкулеза, состоящая из ослабленных микобактерий бычьего типа. Вводимые в организм палочки не вызывают болезни, но формируют иммунный ответ.
После вакцинации БЦЖ иммунная система начинает вырабатывать антитела против туберкулеза. Иммунитет формируется через 2-3 месяца и сохраняется 5 лет, поэтому требуется ревакцинация в 7 лет. При повторном контакте с возбудителем антитела подавляют инфекцию.
Не привитый вакциной БЦЖ ребенок, столкнувшись с инфекцией, не знает, как реагировать, и только начинает вырабатывать антитела, в то время как инфекция может уже распространяться. Поэтому непривитые дети чаще страдают от тяжелых форм заболевания, представляющих угрозу для жизни.
Некоторые родители сомневаются в необходимости вакцинации, опасаясь осложнений. Важно понимать, что БЦЖ не обеспечивает 100% защиту, но значительно снижает риск заболевания, особенно в раннем возрасте.
Ожидаемые результаты от вакцинации БЦЖ:
- снижает вероятность заражения туберкулезом;
- при заражении иммунитет уменьшает риск развития активного туберкулеза; привитые дети заболевают в 7 раз реже;
- даже при развитии активного туберкулеза привитые дети реже страдают от тяжелых форм;
- в редких случаях, при близком контакте с бактериовыделителем или иммунодефиците, привитой ребенок может заболеть тяжелой формой, но эффективность лечения выше, и прогноз на выздоровление благоприятный.
Как проводится вакцинация БЦЖ?
1. Вакцинацию проводят только в медицинских учреждениях квалифицированные специалисты.
2. Способы разведения вакцины и дозировка определяются инструкцией производителей.
3. Вакцину вводят в область между верхней и средней третью левого плеча, предварительно обрабатывая кожу спиртом.
4. Вакцину БЦЖ вводят внутрикожно; при правильном введении образуется инфильтрат размером от 4 до 7 мм. Неправильное введение может привести к осложнениям.
Что происходит после вакцинации?
На месте инъекции сначала виден след от укола, но через месяц появляются реакции, что нормально.
Нормальные реакции на коже после БЦЖ (по порядку проявления):
- красное пятно;
- папула (уплотнение);
- везикула (пузырек) и пустула (гнойничок);
- корочка (желтого цвета);
- рубец (шрам).
Размер изменений не превышает 10 мм. Эти элементы не следует трогать или обрабатывать.
Рубец формируется через 12 месяцев после первой вакцинации и через 3-6 месяцев после ревакцинации.
Как определить эффективность вакцинации у ребенка?
Основным показателем формирования иммунитета является рубец на месте введения вакцины. Чем больше размер рубца, тем выше эффективность вакцинации. Если следов нет, через 2 года, при отрицательных пробах Манту, педиатр может предложить дополнительную вакцинацию.
Положительная реакция Манту через год после прививки свидетельствует о поствакцинальной аллергии, которую нужно отличать от инфицированности туберкулезом.
Какие существуют виды вакцины БЦЖ?
В СССР с 30-х годов использовалась вакцина БЦЖ российского производства, продемонстрировавшая свою эффективность и безопасность.
Существуют и другие производители противотуберкулезной вакцины:
- Дания;
- Франция;
- Польша;
- Англия;
- Германия и другие.
Эти вакцины различаются по генетике и эффективности в разных регионах.
Сравнительная характеристика вакцинных штаммов БЦЖ
| Параметр | Европейские штаммы БЦЖ | Российский штамм БЦЖ |
| Вирулентность | Высокая | Умеренная |
| Реактогенность | Высокая | Умеренная |
| Эффективность | Высокая | Умеренная |
| Поствакцинальные осложнения | Высокий процент осложнений (1,5-4%) | Низкая вероятность (0,01-0,02%) |
| Стоимость | Высокая цена | Дешевая вакцина |
Российская вакцина, хотя и менее эффективна, значительно безопаснее европейских аналогов.
Некоторые страны отказались от обязательной вакцинации БЦЖ, но это возможно только при отсутствии эпидемий. Например, в Англии вакцинацию несколько раз отменяли и возобновляли в ответ на вспышки туберкулеза.
В нашей стране говорить об отказе от БЦЖ неуместно, поскольку эпидемия туберкулеза на пике.
БЦЖ и осложнения, каковы риски?
После вакцинации БЦЖ могут возникнуть осложнения. Наиболее распространены местные реакции, которые обычно лечатся в домашних условиях. Однако в редких случаях (1 из 1 000 000) возможны серьезные последствия, угрожающие жизни ребенка. Осложнения чаще наблюдаются при первой вакцинации, особенно у новорожденных и детей до года.
Причины осложнений после вакцинации БЦЖ:
- Противоказания, не замеченные врачами или протекающие скрыто;
- Индивидуальные особенности иммунной системы;
- Генетическая предрасположенность (одинаковые осложнения у членов семьи или близнецов);
- Контакт с туберкулезом во время формирования иммунитета БЦЖ;
- Высокая вирулентность вакцинного штамма БЦЖ.
Когда вакцинацию БЦЖ проводить нельзя:
Абсолютные противопоказания:
- ВИЧ-инфекция;
- Врожденный иммунодефицит;
- Онкологические заболевания;
- Беременность и лактация;
- Тяжелые осложнения БЦЖ в семье или при предыдущих вакцинациях;
- Инфицирование туберкулезом (положительная проба Манту), активный туберкулез или перенесенное заболевание.
Остальные противопоказания временные.
Какие осложнения могут возникнуть после вакцинации БЦЖ?
| Тип осложнения | Причина и механизм | Внешний вид | План лечения |
| «Холодный» абсцесс | Возникает через 1-8 месяцев после вакцинации из-за глубокого подкожного введения вакцины. | Инфильтрат более 10 мм, со временем может образоваться гнойник, который вскрывается с выделением серовато-желтого содержимого без запаха. Общее состояние ребенка не нарушено. | Часто рассасывается или вскрывается сам. Без лечения возможно развитие язвы или лимфаденита. План лечения: * гидрокортизоновая мазь; * мази с рифампицином и димексидом; * отсасывание гноя; * хирургическое вскрытие (при неэффективности консервативного лечения). Курс лечения – 1-3 месяца. |
| Лимфадениты | При недостаточной реакции иммунной системы бактерии БЦЖ попадают в лимфатические узлы, вызывая воспаление. | Развивается через 2-8 месяцев после вакцинации. Увеличение лимфоузлов более 10 мм, безболезненное, плотное. Общее состояние ребенка не страдает. | Лечение обязательно, так как без него могут поражаться другие лимфатические узлы. План лечения: * противотуберкулезные препараты: изониазид и/или рифампицин; * наружное лечение – мази с рифампицином и димексидом; * хирургическое вмешательство – вскрытие нагноенных лимфоузлов. Курс лечения – 3-6 месяцев. |
| Поверхностная язва | Редкое осложнение, связанное с распространением БЦЖ-инфекции на коже. | Возникает через 1-3 месяца после вакцинации. Язвы в месте введения вакцины, площадь поражения превышает 10 мм. | * наружное лечение – присыпания порошком изониазида; * антибактериальные мази; * при длительных язвах – противотуберкулезные препараты. Курс лечения – 3 месяца. |
| Келоидный рубец | Связан с аллергической реакцией на вакцину, представляет собой разрастание соединительной ткани. | Развивается у подростков при неправильном введении вакцины. Уплотнение более 10 мм, зуд и жжение. | * Обкалывание глюкокортикоидами; * обкалывание раствором лидазы; * хирургическое иссечение рубца. |
| БЦЖ-остит | Редкое осложнение, характеризующееся распространением вакцинного штамма в костную ткань. | Может проявляться через 12-18 месяцев после вакцинации. Боль, нарушение движения, образование свищей. | Лечение аналогично активному туберкулезу с использованием стандартных схем противотуберкулезных препаратов. Курс лечения – 12 месяцев. |
| Генерализованная БЦЖ-инфекция | Самое серьезное осложнение, связанное с попаданием вакцинного штамма в кровь. | Встречается крайне редко (1 из 1 000 000). Течение похоже на милиарный туберкулез. | Лечение аналогично тому, что применяется при милиарном туберкулезе. |
Положительная реакция Манту у ребенка, что делать, чего ожидать?
В школе провели пробу Манту, и у некоторых детей появилось небольшое пятнышко, после чего их направили в туберкулезный диспансер. Многие родители начинают паниковать, но не каждая положительная реакция Манту означает наличие туберкулеза. Чаще всего это сигнал для дальнейшего обследования и профилактики. Проба Манту помогает выявить как активный туберкулез, так и туберкулезную инфицированность. В условиях эпидемии большинство взрослых имеют инфекцию туберкулеза и проходят ежегодную флюорографию. Для детей единственным методом профилактического обследования остается проба Манту, позволяющая проводить раннюю диагностику, так как симптомы заболевания часто проявляются на поздних стадиях, когда лечение затруднено.
Положительная проба Манту означает наличие уплотнения (папулы) размером 5 мм и более или появление пузырьков (везикул) в месте проведения пробы. Если проба положительная, потребуется консультация специалиста-фтизиатра.
Что ждет ребенка в противотуберкулезном диспансере?
1.Опрос о возможных контактах с больными туберкулезом, наличии жалоб и перенесенных заболеваниях.
2.Осмотр врача, включая оценку рубцов от прививки БЦЖ, пальпацию лимфатических узлов и прослушивание легких.
3.Анализ туберкулиновых реакций, проверка наличия прививок БЦЖ и определение группы риска по туберкулезу. Если ребенок в группе риска, фтизиатр назначает обследование.
4. Обзорная рентгенография органов грудной клетки.
5. Общие анализы крови и мочи, а также печеночные пробы.
6.Анализ результатов и решение о необходимости профилактики изониазидом.
7.Выдача рецепта и инструкции по приему препаратов, информация о возможных побочных эффектах, назначение гепатопротекторов (например, Карсил, Гепабене) и витаминов группы В.
8.Выдача медицинского заключения с разрешением на посещение детского коллектива.
9. В период приема противотуберкулезных препаратов рекомендуется ежемесячная сдача анализов крови и мочи для контроля переносимости медикаментов.
10.При выявлении активного туберкулеза ребенка направляют на стационарное лечение в детское отделение противотуберкулезной больницы.
ВИЧ-инфекция и туберкулез у детей, особенности комбинированной инфекции
1. Туберкулез — наиболее распространенная сопутствующая болезнь у детей с ВИЧ.
2. Эпидемия ВИЧ способствует росту случаев туберкулеза по всему миру.
3. Выделяют категорию ВИЧ-ассоциированного туберкулеза.
4. ВИЧ и туберкулез у детей и взрослых усугубляют течение заболеваний.
5. Дети с ВИЧ-инфекцией страдают от туберкулеза в 170-250 раз чаще, чем их сверстники без ВИЧ, а дети с диагнозом СПИД — в 700-800 раз чаще.
6.Дети, рожденные от матерей с ВИЧ, находятся в группе повышенного риска по туберкулезу и заболевают в 20-30 раз чаще, чем дети от здоровых матерей, даже если не инфицированы, по следующим причинам:
- такие дети не получают прививки БЦЖ или делают это с опозданием;
- они чаще контактируют с больными туберкулезом, среди которых могут быть их родители;
- у них ослабленный иммунитет из-за недостаточной защиты со стороны матери во время беременности и кормления;
- они имеют различные заболевания, связанные с осложнениями беременности (недостаточный вес, гипоксия, внутриутробные инфекции и т.д.).
7.Проблемы диагностики туберкулеза у детей с ВИЧ:
- Симптомы интоксикации при ВИЧ и туберкулезе схожи: потеря веса, увеличение лимфатических узлов, слабость и т.д.
- Рентгенологические проявления туберкулеза могут напоминать другие инфекции, характерные для детей с СПИДом, такие как пневмоцистная и грибковая пневмонии. Для ВИЧ-инфицированных пациентов предпочтительнее проводить КТ или МРТ легких, так как обычная рентгенограмма часто не дает полной картины.
- Лабораторные методы диагностики редко выявляют возбудителя туберкулеза у детей с СПИДом.
- Проба Манту у таких детей почти всегда отрицательна, даже при наличии активного туберкулеза.
8.Особенности течения туберкулеза у детей с СПИДом:
- ВИЧ изменяет иммунный ответ на туберкулез, что приводит к нетипичным рентгенологическим, клиническим и гистологическим проявлениям.
- Дети с ВИЧ-инфекцией чаще страдают от тяжелых форм туберкулеза (милиарный, диссеминированный туберкулез, туберкулезные менингиты).
- Часто встречаются внелегочные формы туберкулеза: туберкулез периферических лимфатических узлов, лимфоузлов брыжейки, нервной системы, глаз и т.д.
- Чаще наблюдаются «закрытые» формы туберкулеза.
- При гистологическом исследовании биопсийного материала не обнаруживаются характерные изменения, но при специальной окраске часто выявляются микобактерии туберкулеза.
- Дети с ВИЧ чаще страдают от химиорезистентных форм туберкулеза.
9.Что происходит с ВИЧ во время туберкулеза?
В большинстве случаев наблюдается снижение уровня Т-лимфоцитов и увеличение вирусной нагрузки. Туберкулез может привести к переходу от стадии ВИЧ-инфекции к стадии СПИДа.
10.Как лечить ВИЧ-ассоциированный туберкулез у детей?
- Лечение рекомендуется проводить в стационаре противотуберкулезного диспансера или специализированного отделения для детей с ВИЧ.
- Обязательно следует проводить терапию туберкулеза в комплексе с антиретровирусной терапиейВААРТ (специальная терапия ВИЧ, направленная на подавление вируса, назначается на всю жизнь).
- Если антиретровирусная терапия не была начата до диагностики туберкулеза, ее назначают не ранее чем через 2 недели после начала противотуберкулезного лечения.
- Если антиретровирусную терапию ребенок получал до заболевания туберкулезом, необходимо скорректировать схему ВААРТ с инфекционистом, так как некоторые препараты несовместимы с рифампицином.
- Дозы и схемы лечения противотуберкулезными средствами такие же, как и у пациентов без ВИЧ.
- Сложность лечения таких детей заключается в плохой переносимости большого количества «тяжелых» препаратов.
11.Каковы прогнозы ВИЧ-ассоциированного туберкулеза?
- Высокая смертность от ВИЧ-ассоциированного туберкулеза обусловлена несвоевременной диагностикой и тяжелым течением обеих инфекций.
- При своевременном начале комплексного лечения возможно излечение туберкулеза и улучшение иммунного статуса ребенка.
- Часто наблюдаются рецидивы туберкулеза, особенно при прогрессировании ВИЧ, и нередко рецидивы возникают у детей, прекративших антиретровирусную терапию.
12.Как предотвратить туберкулез у детей с ВИЧ?
- Своевременное назначение антиретровирусной терапии ребенку сразу после установления диагноза ВИЧ помогает сохранить хороший иммунный статус и способность противостоять туберкулезу.
- Наблюдение за такими детьми фтизиатром, получение профилактического лечения изониазидом в дозе 10 мг/кг в сутки на протяжении 6 месяцев перед началом ВААРТ, а затем периодически по показаниям.
- Регулярное обследование на туберкулез (рентгенография и проба Манту каждые 6 месяцев).
- Регулярное обследование родителей на туберкулез (флюорография).
- Вакцинация БЦЖ детям с ВИЧ строго противопоказана.
Лечение туберкулеза народными средствами, риски и польза.
На протяжении веков человечество использовало народные методы для борьбы с туберкулезом, особенно до появления противотуберкулезных препаратов. В прошлом эта болезнь имела высокую смертность, и большинство заболевших умирало, за исключением редких случаев спонтанного выздоровления.
Современная медицина не отвергает народные методы, но рекомендует не использовать их как единственный способ лечения. Эти средства могут быть полезны только как дополнение к медикаментозной терапии на этапе выздоровления, а не в начале.
Почему нельзя полагаться только на народные методы лечения туберкулеза?
- Нет эффективного метода, кроме медикаментов, воздействующего на палочку Коха;
- народные средства могут вызвать серьезные осложнения или усугубить болезнь, снижая эффективность медикаментозного лечения;
- применение народных методов позволяет больному продолжать заражать окружающих;
- некоторые средства могут негативно сказаться на здоровье (например, жиры барсука или медведя могут вызвать жировую дистрофию печени).
Почему не стоит использовать народные методы в начале медикаментозного лечения туберкулеза?
- Средства, такие как алоэ и продукты пчеловодства (мед, прополис, маточное молочко), могут активизировать воспалительные процессы. В период выздоровления они могут помочь, но в фазе воспаления могут усугубить ситуацию, затрудняя рассасывание туберкулезных изменений. Однако в период ремиссии их использование может улучшить эффективность лечения.
- Жиры экзотических животных (собак, барсуков, медведей) могут негативно повлиять на печень при сочетании с противотуберкулезными препаратами. Тем не менее, их применение после медикаментозного лечения может снизить риск рецидивов.
Существует мнение о полезности порошка из медведок, якобы способного уничтожать палочки Коха. Как специалист в области фтизиатрии, я не знаю случаев выздоровления благодаря этому средству, но встречал много случаев запущенного туберкулеза на фоне самолечения медведками. Если хотите попробовать медведок, делайте это только в дополнение к назначенным таблеткам.
Некоторые советуют настаивать дождевых червей на водке, пить воду с гвоздями, употреблять деготь, мясо щенков, детскую мочу, восковую моль и другие странные средства. Если бы туберкулез лечился так просто, не было бы необходимости в длительном медикаментозном лечении для всех больных.
Перед выбором методов лечения, будь то народные или традиционные, стоит тщательно обдумать все риски. Туберкулез – серьезное заболевание, с которым не стоит шутить и откладывать лечение, так как оно относится к группе особо опасных инфекций.
Изониазид, показания и побочные эффекты
Изониазид – наиболее эффективное средство против микобактерий туберкулеза, если возбудитель не проявляет устойчивость. Он обладает бактерицидным действием только в отношении туберкулеза и не влияет на другие микроорганизмы.
Изониазид – гидрозид изоникотиновой кислоты (ГИНК), самый действенный препарат в своей категории.
Показания к применению изониазида и его использование у детей:
- Профилактика в группах риска по туберкулезу (контакт с больными, положительные реакции Манту) – 5-8 мг/кг массы тела в сутки в течение 3-6 месяцев, максимум 0,3 г в сутки для детей с массой тела более 40 кг.
- Профилактика туберкулеза у ВИЧ-позитивных – 10 мг/кг массы тела в сутки на протяжении 6-9 месяцев.
- Профилактика рецидивов туберкулеза у детей – 5-8 мг/кг массы тела в сутки в течение 3-6 месяцев.
- Лечение осложнений после вакцинации БЦЖ – 5-10 мг/кг массы тела в сутки на протяжении 3-6 месяцев.
- Входит в схемы терапии активного туберкулеза, чувствительного к изониазиду.
Изониазид доступен в виде таблеток, раствора для инъекций и сиропа для детей. Полную дозу препарата следует принимать один раз в день.
Побочные эффекты от применения изониазида:
1. Нарушения со стороны центральной нервной системы:
- головокружение;
- головные боли;
- снижение концентрации и забывчивость;
- судороги (возможны при передозировке или наличии эпилепсии);
- периферические невриты;
- слабость, повышенная утомляемость, сонливость;
- апатия, возможное развитие депрессии или психоза;
- эйфория, неосознание серьезности состояния.
Эти побочные эффекты могут быть связаны с недостатком витаминов группы В.
2. Осложнения со стороны печени:
- боли в правом подреберье;
- тошнота, рвота;
- изменения в анализах печени: повышение уровня трансаминаз (АлТ и АсТ), тимоловой пробы.
Эти осложнения могут быть связаны с медикаментозным токсическим гепатитом. В тяжелых случаях, особенно при наличии заболеваний печени до начала терапии (алкоголизм, наркомания, дискинезия желчевыводящих путей, хронический гепатит, цирроз, вирусные гепатиты и т.д.), возможно развитие печеночной недостаточности.
3. Осложнения со стороны сердечно-сосудистой системы:
- учащенное сердцебиение (тахикардия);
- гипертония (повышение артериального давления);
- боли в области сердца.
4. Аллергические реакции:
- кожные высыпания;
- зуд без видимой причины;
- повышение температуры тела до 39-40°C;
- боли в суставах и другие аллергические реакции замедленного типа;
- поражение почек – интерстициальный нефрит.
5. Выявление сахара в моче, не связанное с обменом глюкозы – это явление может наблюдаться, но не требует коррекции.
6. При сахарном диабете изониазид может повысить уровень глюкозы в крови, что требует корректировки доз инсулина.
7. Побочные эффекты со стороны половой системы:
- нарушения менструального цикла у женщин, маточные кровотечения;
- гинекомастия у мужчин (увеличение молочных желез);
- повышенное половое влечение у мужчин и женщин.
Изучив инструкцию к изониазиду, можно испугаться возможных побочных эффектов. Однако вред от применения препарата в рекомендованных дозах значительно меньше, чем от отказа от лечения, то есть от нелеченого туберкулеза. Многие побочные эффекты можно предотвратить.
Как минимизировать риск побочных эффектов от приема изониазида?
- Препарат лучше переносится, если принимать его вечером перед сном.
- Изониазид следует принимать после еды и запивать стаканом жидкости, предпочтительно молоком или соком (но не чаем).
- Совместный прием витаминов группы В помогает снизить побочные эффекты со стороны нервной системы, а витамин В6 (пиридоксин) является антидотом при передозировке.
- Одновременный прием изониазида с гепатопротекторами (такими как Карсил, Хофитол, Гепабене и др.) или эссенциальными фосфолипидами (например, Эссенциале, Ливолайф и др.) значительно снижает риск токсического гепатита.
«Золотуха» у детей и туберкулез, что общего?
У некоторых детей за ушами появляются влажные участки кожи с желтовато-золотистыми чешуйками, зудом и жжением. Это состояние называется золотуха.
Медики обсуждают причины золотухи. Большинство считает, что это проявление атопического дерматита или диатеза, некоторые связывают его с туберкулезом. В целом, золотуха чаще всего является аллергической реакцией на коже.
Что такое золотуха?
Скрофулодерма — медицинский термин для золотухи. При этой патологии затрагиваются глубокие слои кожи. В подлежащих тканях образуются узловые воспалительные участки, которые могут увеличиваться и нагнаиваться. Гной выходит на поверхность кожи, образуя мокнущие участки. После высыхания гноя на коже появляются корочки.
Как связаны золотуха и туберкулез?
Наиболее распространенной причиной золотухи у детей является диатез, вызванный аллергией на определенные продукты, особенно белки. Туберкулез — лишь одна из возможных причин золотухи.
Золотуха может быть проявлением туберкулеза кожи или аллергической реакции на токсины, связанные с туберкулезом. Исследования показывают, что дети с золотухой чаще страдают от активной формы туберкулеза.
Если у вашего ребенка появилась золотуха, рекомендуется провести обследование для исключения туберкулеза (например, проба Манту, рентген легких, соскоб с кожи с анализом на туберкулез).
Берегите здоровье!
Вопрос-ответ
Что является причиной туберкулеза у детей?
Основные сведения о туберкулезе у детей. Туберкулез (ТБ) — это хроническая инфекция, вызываемая бактериями. Обычно она поражает лёгкие. Однако могут быть затронуты и другие органы, такие как почки, позвоночник или головной мозг. Ребёнок может быть инфицирован бактериями туберкулёза, но не иметь активной формы заболевания.
Каковы симптомы туберкулеза?
Симптомы туберкулеза могут включать постоянный кашель, который длится более трех недель, кровохарканье, боль в груди, усталость, потерю веса, ночные поты и лихорадку. Также могут наблюдаться потеря аппетита и общее недомогание. Важно обратиться к врачу при наличии этих симптомов для диагностики и лечения.
Советы
СОВЕТ №1
Регулярно проходите медицинские осмотры для детей, особенно если в вашем окружении есть люди с активной формой туберкулеза. Раннее выявление болезни значительно увеличивает шансы на успешное лечение.
СОВЕТ №2
Обратите внимание на симптомы, такие как постоянный кашель, потеря веса, ночные поты и усталость. Если вы заметили эти признаки у ребенка, немедленно обратитесь к врачу для диагностики.
СОВЕТ №3
Убедитесь, что ваш ребенок получает все необходимые прививки, включая вакцину БЦЖ, которая помогает защитить от туберкулеза. Это особенно важно в регионах с высоким уровнем заболеваемости.
СОВЕТ №4
Обсуждайте с врачом возможные риски и меры профилактики, особенно если ваш ребенок находится в группе риска. Знание о путях передачи инфекции поможет вам защитить своего ребенка.











