Интересные факты
В 1860 году Ф. Гебра впервые ввел термин «красный плоский лишай». В 1869 году английский дерматолог Е. Вильсон подробно описал это заболевание, выделив его характерные черты и основные формы, что позволило отличить его от других дерматозов.
В российской медицинской литературе о недуге впервые упомянули в 1881 году В. М. Бехтерев и А. Г. Полотебнов.
Несмотря на более чем столетнюю историю, точные причины возникновения дерматоза не установлены. Существуют лишь теоретические предположения, остающиеся на уровне гипотез.
Дерматоз часто наблюдается в сочетании с аутоиммунными заболеваниями, такими как системная красная волчанка, ревматоидный артрит и склеродермия. Это может указывать на схожие причины и механизмы развития этих заболеваний.
Красный лишай, или лишай планус, представляет собой воспалительное заболевание кожи, которое может проявляться как у взрослых, так и у детей. Врачи отмечают, что его характерные признаки включают зудящие, блестящие пурпурные папулы, которые могут появляться на различных участках тела, включая запястья, лодыжки и слизистые оболочки. Важно отметить, что это заболевание может быть связано с различными факторами, такими как стресс, аллергические реакции или нарушения в работе иммунной системы.
Лечение красного лишая требует комплексного подхода. Врачи рекомендуют использовать кортикостероидные мази для уменьшения воспаления и зуда, а также антигистаминные препараты для облегчения симптомов. В некоторых случаях может потребоваться системная терапия, особенно при тяжелых формах заболевания. Специалисты подчеркивают важность консультации с дерматологом для правильной диагностики и назначения адекватного лечения, так как самолечение может привести к ухудшению состояния.

Причины красного плоского лишая
Наиболее распространенные теории возникновения
-
Неврогенная
Теория утверждает, что дерматоз может проявиться или рецидивировать после психической травмы. У большинства пациентов наблюдаются расстройства нервной системы, такие как неврастения или вегетативные расстройства. Высыпания часто располагаются вдоль нервных окончаний, особенно при невритах. У некоторых пациентов отмечаются нарушения иннервации кожи из-за повреждений спинномозговых узлов. -
Вирусная или инфекционная
Эта теория предполагает, что вирусы или патогенные микроорганизмы находятся в неактивном состоянии в нижних слоях эпидермиса. Под воздействием определенных факторов они активируются, что приводит к стимуляции деления клеток верхнего слоя кожи. Иммунная система начинает вырабатывать антитела, атакующие клетки эпидермиса. -
Наследственная
Существует мнение о наследственной передаче болезни через определенный ген, который может активироваться под воздействием провоцирующих факторов. Эта теория подтверждается тем, что у 0,8-1,2% пациентов с красным плоским лишаем в семье наблюдались случаи заболевания. В таких случаях болезнь может начинаться в более раннем возрасте и иметь длительные обострения. -
Интоксикационная
Теория основывается на токсическом воздействии различных веществ на организм:-
Лекарственные препараты
Известно около 27 лекарств, способных вызвать дерматоз, включая препараты золота, сурьмы, йода, алюминия, мышьяка, антибиотики и противотуберкулезные препараты. Некоторые из них используются для лечения красного плоского лишая, но могут также вызвать дерматоз. -
Аутоинтоксикации
Эти состояния возникают из-за накопления токсинов при нарушении функции печени, заболеваниях желудка и кишечника, сахарном диабете и артериальной гипертензии. Исследования показывают изменения в функциональных пробах печени у части пациентов с красным плоским лишаем.
-
-
Иммуноаллергическая
Эта теория объединяет предыдущие, основываясь на нарушениях в работе иммунной системы. У пациентов наблюдается дисбаланс между Т-супрессорами и Т-хелперами, а также циркулирующие иммунные комплексы. Это приводит к тому, что иммунная система начинает атаковать собственные клетки кожи, вызывая воспаление.
Классификация
По течению красный плоский лишай делится на:
- острый — до одного месяца
- подострый — до шести месяцев
- хронический — от шести месяцев до нескольких лет
Начало заболевания может быть различным:
- Часто появляются легкие недомогания, слабость, нервное возбуждение, после чего возникают высыпания.
- Сыпь может появляться без предшествующих симптомов.
Элементы сыпи могут охватывать большие участки кожи или появляться скоплениями, а затем распространяться. Выраженный зуд может привести к раздражительности и бессоннице.
Основной симптом дерматоза — зудящая сыпь, которая может появляться на коже и/или слизистых оболочках.
Расположение сыпи на коже
Сыпь может поражать любые участки, но имеет предпочтительные места:
- внутренняя поверхность бедер, лучезапястные суставы, предплечья
- локтевые сгибы
- голеностопные суставы
- подколенные ямки
- подмышечные складки
- область поясницы
- боковые поверхности туловища
- низ живота
- ладони и подошвы
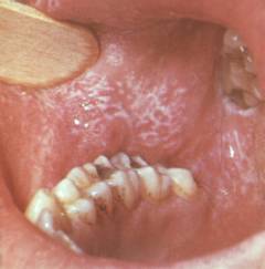
Этот дерматоз также поражает слизистые оболочки:
- полость рта (слизистая щек, твердого неба, область смыкания зубов, язык)
- головка полового члена
- преддверие влагалища
Такое расположение объясняется тонкостью кожи и ее подверженностью трению.
Особенности сыпи на коже в типичных случаях
-
Сыпь представляет собой папулы — образования, слегка возвышающиеся над уровнем кожи, возникающие из-за отека и уплотнения кожи под воздействием клеток иммунной системы. В результате возникает иммунное воспаление, и клетки верхнего слоя кожи начинают активно делиться, но не успевают созревать.
-
Сыпь имеет многоугольную форму, образованную пересечением борозд кожи. Иногда сыпь может иметь округлую форму.
-
В центре папулы может быть пупкообразное западение, образующееся из-за отслоения верхнего слоя кожи.
-
Сыпь стойкая и не переходит в другую форму.
-
Папулы небольшие, обычно достигают 3-4 мм в диаметре и не увеличиваются.
-
Высыпания имеют тенденцию к слиянию с образованием бляшек, что связано с «толчкообразным» появлением новых высыпаний.
-
Сыпь склонна к гиперкератозу — утолщению рогового слоя эпидермиса. В начале заболевания поверхность папул гладкая, затем появляются серебристые или прозрачные чешуйки.
-
При боковом освещении поверхность папул блестит, напоминая восковидный оттенок.
-
Наличие сетки Уикхема становится видимой после обработки сыпи маслом или водой.
-
Цвет высыпаний в начале почти не отличается от нормального цвета кожи, но по мере развития заболевания они становятся бледно-розовыми с фиолетовым оттенком или красно-фиолетовыми.
-
Нередко в остром периоде на непораженных участках кожи при незначительной травме появляются новые мелкие высыпания (феномен Кебнера).
На месте папулы после заживления часто остаются пигментные пятна.
Лечение красного плоского лишая
Основные методы лечения включают:
- препараты, снижающие активность иммунной системы
- средства, улучшающие питание тканей
- лекарства, уменьшающие зуд
- местные мази
Необходимо устранять провоцирующие факторы:
- стресс
- лечение заболеваний полости рта
- исключение лекарств и профессиональных вредностей
- рекомендовать щадящее питание
Лекарственные препараты для лечения красного плоского лишая назначаются при нарушении состояния пациентов.
| Группа лекарственных средств | Препарат | Механизм действия | Способы применения и форма | Ожидаемый эффект |
| Иммунодепрессанты | Циклоспорин А, Гидроксихлорохин, Хлорохин | Подавляют активность веществ, вызывающих иммунное воспаление. | Циклоспорин А — в уколах и таблетках. | Препараты начинают действовать через месяц, уменьшая отек и покраснение. |
| Системные кортикостероиды | Преднизолон, Метипред | Снижают активность лимфоцитов и уменьшают воспаление. | Назначаются в таблетках. | Быстро улучшают состояние, уменьшая зуд и покраснение. |
| Синтетические интерфероны | Неовир, Ридостин, Интерферон-альфа 2b | Нормализуют количество лимфоцитов и подавляют размножение вирусов. | Назначаются внутримышечно. | Уменьшают покраснение и заживляют язвы. |
| Системные ретиноиды | Тигазон, Неотигазон, Этретинат | Уменьшают воспаление и ускоряют заживление. | Выпускаются в капсулах. | Ускоряют обратное развитие папул. |
| Антигистаминные препараты | Зиртек, Тавегил, Супрастин | Блокируют рецепторы, на которые воздействует гистамин. | Выпускаются в таблетках и ампулах. | Уменьшают отек и зуд. |
| Антибиотики | Тетрациклин, Азитромицин | Борются с болезнетворными микроорганизмами. | Выпускаются в таблетках. | Улучшают общее состояние. |
Лечение красного лишая методами физиотерапии
| Метод физиотерапии | Механизм действия | Ожидаемый эффект |
| ПУВА-терапия | УФ лучи тормозят деление поврежденных клеток кожи. | Обратное развитие элементов сыпи начинается после 4-5 процедур. |
| Лазеротерапия | Улучшает обмен веществ в клетках. | Уменьшает воспаление и зуд, ускоряет заживление. |
| Магнитотерапия | Улучшает обменные процессы в клетках. | Уменьшает зуд и воспаление, ускоряет выздоровление. |
Необходимо проводить лечение сопутствующих заболеваний: сахарного диабета, артериальной гипертензии и хронических воспалительных заболеваний.
При выраженном зуде назначаются снотворные и успокоительные средства, а для нормализации обмена веществ — витамины и сосудистые препараты.
Наружно применяются мази для снятия зуда и улучшения заживления.
| Название мази | Механизм действия | Применение и эффект | |
| Кортикостероидные мази | Снижают активность лимфоцитов и уменьшают воспаление. | Наносятся на элементы сыпи 1-3 раза в сутки. | Уменьшают зуд и покраснение. |
| Противоаллергические мази | Уменьшают аллергическую реакцию и воспаление. | Наносятся 2-4 раза в день. | Ускоряют заживление. |
| Отшелушивающие мази | Уменьшают воспаление и способствуют отшелушиванию клеток. | Наносятся на пораженные участки. | Уменьшают покраснение и отек. |
| Ранозаживляющие мази | Улучшают снабжение тканей кислородом и ускоряют заживление. | Наносятся 1-2 раза в день. | Ускоряют заживление язв. |
Перед использованием мазей рекомендуется проконсультироваться с врачом.
Истинные причины и механизм развития дерматоза до конца не установлены, поэтому средства традиционной медицины могут быть полезны в дополнение к основному лечению.
Иногда возникают аллергические реакции на лекарства, и народные средства могут помочь облегчить симптомы.
| Название | Способ приготовления | Способ применения | Ожидаемый эффект |
| Масло календулы | Залить цветки календулы оливковым маслом и настаивать 4-6 недель. | Смазывать пораженные участки 2-3 раза в день. | Уменьшает покраснение и ускоряет заживление. |
| Мазь на основе календулы | Растопить масло календулы с пчелиным воском. | Смазывать элементы сыпи 2-3 раза в день. | Ускоряет уменьшение покраснения и заживление. |
| Березовый деготь | Используется в готовом виде. | Накладывать повязки на пораженные участки. | Размягчает папулы и ускоряет заживление. |
| Облепиховое масло | Используется в готовом виде. | Применять для лечения образований в полости рта и на коже. | Уменьшает воспаление и ускоряет заживление. |
| Ягодно-травяной настой | Смешать травы и залить кипятком. | Принимать по 100 мл 2-3 раза в день. | Улучшает работу иммунной системы и ускоряет заживление. |
Перед использованием народных средств важно учитывать индивидуальную реакцию организма и проконсультироваться с врачом.
Однозначного ответа на вопрос о причинах дерматоза нет, но известны случаи его возникновения у членов одной семьи. Также описаны случаи заражения врачей, проводивших биопсию у пациентов. Поэтому рекомендуется избегать совместного использования личных вещей с больными.
| Симптом/Характеристика | Красный плоский лишай у взрослых | Красный плоский лишай у детей |
|---|---|---|
| Внешний вид | Плоские, блестящие, красно-фиолетовые папулы, часто с белыми линиями (сетчатый рисунок Викема), могут сливаться, зуд | Может быть похож на взрослый вариант, но часто менее выражен, может проявляться в виде эритематозных бляшек или папул, зуд может быть менее интенсивным |
| Локализация | Запястья, локти, голени, полость рта (эрозивно-язвенные поражения), гениталии, ногти | Запястья, локти, голени, полость рта, волосистая часть головы, реже гениталии |
| Зуд | Интенсивный, часто беспокоящий | Может быть умеренным или отсутствовать |
| Диагностика | Дерматоскопия, биопсия кожи (гистологическое исследование) | Дерматоскопия, биопсия кожи (гистологическое исследование) |
| Лечение | Топические кортикостероиды, ингибиторы кальциневрина, фототерапия (УФО), системные кортикостероиды (в тяжелых случаях), антигистаминные препараты для снятия зуда | Топические кортикостероиды (в низких концентрациях), увлажняющие кремы, системные кортикостероиды (в тяжелых случаях), антигистаминные препараты для снятия зуда |
| Прогноз | Самопроизвольное излечение возможно, но часто рецидивирует | Часто разрешается самостоятельно, рецидивы реже, чем у взрослых |
| Осложнения | Рубцевание кожи, вторичная инфекция, алопеция (выпадение волос) | Рубцевание кожи (редко), вторичная инфекция |
Красный лишай, или лишай планус, вызывает множество вопросов как у взрослых, так и у детей. Это заболевание проявляется в виде зудящих, ярко-красных или фиолетовых пятен на коже, которые могут иметь характерные блестящие поверхности. У детей красный лишай чаще всего встречается на запястьях, лодыжках и в области половых органов, тогда как у взрослых он может появляться на любых участках тела, включая слизистые оболочки.
Лечение красного лишая включает использование кортикостероидов для уменьшения воспаления и зуда, а также антигистаминов для облегчения симптомов. Важно также соблюдать правила гигиены и избегать раздражающих веществ. В некоторых случаях может потребоваться консультация дерматолога для назначения более специфической терапии. Несмотря на то, что заболевание может вызывать дискомфорт, при правильном подходе оно поддается лечению и не представляет серьезной угрозы для здоровья.

Симптомы красного лишая
Начало заболевания проявляется по-разному:
- Часто наблюдаются симптомы, на которые пациент не обращает внимания: легкая усталость, недомогание, повышенная нервозность. Спустя 8-10 дней появляются первые высыпания.
- В некоторых случаях сыпь возникает без предшествующих признаков.
Элементы сыпи могут охватывать большие участки кожи или появляться группами в одном месте, а затем распространяться на другие области.
Сильный зуд может вызвать раздражительность и бессонницу.
Как выглядит красный плоский лишай?
Основной признак дерматоза — зудящая сыпь, проявляющаяся на коже и/или слизистых оболочках.
Локализация сыпи на коже
Сыпь может возникать на любых участках, но чаще всего наблюдается в следующих зонах:
- внутренняя поверхность бедер, запястья (в месте соединения кисти и предплечья), предплечья
- локтевые сгибы
- голеностопные суставы
- подколенные ямки
- подмышечные области
- поясничная зона
- боковые стороны туловища
- нижняя часть живота
- ладони и подошвы
Дерматоз также затрагивает слизистые оболочки:
- полость рта (слизистая щек, твердого неба, область смыкания зубов, язык)
- головка полового члена
- преддверие влагалища
Такое расположение связано с тонкостью кожи и её подверженностью трению. Слизистая половых органов может травмироваться во время полового акта, а слизистая рта — из-за плохо установленных протезов или острых зубов.
Причина — снижение способности организма реагировать на внешние воздействия из-за нарушений в работе иммунной системы.
Характеристики сыпи на коже в типичных случаях
- Сыпь представлена папулами (образованиями без полости, слегка выступающими над уровнем кожи). Они возникают из-за отека и уплотнения кожи в пораженной области под воздействием клеток иммунной системы.
Иммунное воспаление приводит к активному делению клеток верхнего слоя кожи (рогового), что вызывает утолщение и образование папул. Устья волосяных фолликулов в местах сыпи расширяются и заполняются отмершим эпителием.
- Сыпь имеет многоугольную форму, образованную пересечением кожных борозд, создающих замкнутые поля. На слизистых оболочках папулы также многоугольные, хотя там нет борозд.
Иногда сыпь может быть округлой.
-
В центре папулы может быть углубление (не всегда), возникающее из-за отслоения верхнего слоя кожи от основной, что приводит к образованию пустоты.
-
Сыпь устойчива и не трансформируется в другие формы.
-
Папулы небольшие, обычно 3-4 мм в диаметре и не увеличиваются.
-
Высыпания склонны к слиянию, образуя бляшки (крупные образования, возвышающиеся над уровнем кожи), вокруг которых появляются новые папулы. Это связано с «толчкообразным» возникновением новых высыпаний из-за особенностей работы иммунной системы.
-
Сыпь подвержена гиперкератозу — утолщению рогового слоя эпидермиса. Это происходит из-за активного деления клеток верхнего слоя кожи и нарушенного отторжения.
Сначала поверхность папул гладкая, затем появляются серебристые или прозрачные чешуйки, которые трудно отшелушиваются.
-
При боковом освещении поверхность папул блестит, напоминая восковидный оттенок из-за накопления ороговевших клеток.
- Наличие сетки Уикхема, видимой после обработки сыпи маслом или водой. Она представляет собой мелкие беловатые точки или линии, образующиеся из-за неравномерного деления клеток верхнего слоя эпидермиса (гиперкератоз).
- Цвет высыпаний изначально почти не отличается от нормального цвета кожи, но со временем становится бледно-розовым с фиолетовым оттенком или приобретает красно-фиолетовый, красно-коричневый, темно-вишневый цвет из-за накопления пигментов в сосудах и клетках кожи.
Элементы сыпи хорошо снабжены кровеносными сосудами.
- В остром периоде на непораженных участках кожи при незначительных травмах (царапинах) появляются новые мелкие высыпания (феномен Кебнера) через 8-9 дней.
После регресса папулы на её месте остаются пигментные пятна, которые со временем исчезают.

Атипичные формы красного плоского лишая
Бородавчатая или гипертрофическая
Является результатом бородавчатой гиперплазии. Характеризуется появлением зудящих папул или бляшек розоватого, фиолетового или коричневого оттенка, которые могут сливаться.
Высыпания напоминают бородавки с ячеистой текстурой и покрыты небольшими чешуйками.
Чаще всего такие высыпания наблюдаются на передней поверхности голеней, но могут затрагивать и другие участки кожи.
Лечение этой формы заболевания представляет наибольшую сложность.
Атрофическая (склеротическая)
Формирование этого состояния связано с атрофическими (уменьшение объема клеток из-за нарушения питания) и склеротическими (замещение нормальных клеток соединительной тканью) изменениями в области папул.
Существует два типа: первичная форма, развивающаяся самостоятельно, и вторичная, возникающая после обратного развития типичных папул.
Эта форма проявляется в виде округлых пятен сероватого или цвета слоновой кости, размером с чечевицу, которые не выступают над поверхностью кожи или слегка углублены.
Иногда вокруг элементов сыпи можно заметить ободок лилового или насыщенно-розового оттенка.
Если очаги находятся на волосистой части головы, лобке или в подмышечных впадинах, это может привести к облысению. При расположении на сгибательных поверхностях конечностей может развиться фолликулярный кератоз (закупорка волосяных фолликулов роговыми массами), известный как симптом Литтля-Лассуера.
Пузырная (буллезная)
Развивается редко, обычно при тяжелом течении дерматоза, часто с серьезным состоянием пациента.
Наиболее уязвимы женщины старше 50 лет.
Характеризуется появлением и быстрым распространением мелких и крупных пузырьков (иногда размером с горошину) на неизмененной или покрасневшей коже, а также на папулах или бляшках.
Пузырьки заполнены серозной (прозрачной беловатой) или кровянисто-серозной жидкостью. Их оболочка прочная, поэтому они долго остаются неповрежденными. После вскрытия образуются язвы или эрозии, которые заживают быстрее, чем при истинной эрозивной форме дерматоза. В полости рта пузырьки вскрываются быстро.
Вокруг пузырей наблюдаются высыпания, характерные для обычной формы красного плоского лишая.
Эрозивно-язвенная
Это тяжелая форма заболевания, трудно поддающаяся терапии. Она в основном затрагивает слизистые оболочки, чаще полость рта, реже — головку полового члена или преддверие влагалища.
На слизистых образуются дефекты, быстро превращающиеся в остро болезненные язвы и эрозии неправильной или округлой формы.
Вокруг этих образований или на удаленных участках кожи наблюдаются характерные высыпания, присущие красному плоскому лишаю.
Язвы и эрозии имеют розовато-бархатистое дно, иногда покрыты пленками или налетами, при удалении которых может возникнуть легкое кровотечение.
Эта форма часто является компонентом синдрома Потекаева-Гриншпана, который включает сахарный диабет, артериальную гипертензию и эрозивно-язвенную форму красного плоского лишая.
В процессе лечения образования, как правило, исчезают, но могут вновь появляться, что может продолжаться на протяжении многих лет.
Эритематозная
На коже возникает обширное покраснение с отечностью и шелушением. Позже появляются мягкие узелковые образования.
Кольцевидная
Форма заболевания возникает из-за расширения очага, при этом элементы сыпи в центральной части исчезают, образуя кольцевидные образования.
Эта форма чаще всего наблюдается у мужчин в области половых органов, на слизистых оболочках или на коже внутренней стороны ног.
Поражения ногтей
Встречается редко и делится на два типа:
- Онихорексис. Характеризуется повышенной ломкостью и продольным расщеплением ногтевых пластин, на поверхности появляются бороздки, углубления и помутнения.
- Онихолизис. Процесс роста ногтя прекращается или он полностью разрушается, в результате кожный валик начинает расти на ложе без ногтя, принимая форму крыла.
Поражение слизистых
Сначала на слизистой оболочке появляются небольшие серовато-белые папулы. Затем формируются бляшки, не имеющие восковидного оттенка из-за постоянного размягчения. Папулы могут объединяться, создавая кольца, сетки и другие узоры. Обычно они не вызывают боли и не сопровождаются симптомами, что отличает их от эрозивно-язвенной формы.
Красный плоский лишай у детей
Протекает активнее из-за структуры кожи: высокая способность удерживать влагу и большое количество кровеносных сосудов.
В результате кожа быстро отекает, сыпь становится ярко-красной с лиловым или фиолетовым оттенком, а на папулах появляются пузырьки.
Как лечить красный плоский лишай?
Основой дерматоза является иммунное воспаление, возникающее при повреждении тканей, что приводит к разрушению клеток кожи и слизистых оболочек.
В лечении применяются:
- Иммунодепрессанты — средства первой линии при тяжелом течении.
- Препараты для улучшения питания тканей и ускорения их восстановления.
- Лекарства для уменьшения зуда, улучшения сна и нормализации работы нервной системы.
- Местные мази.
Необходимо устранять провоцирующие факторы:
- Стресс.
- Лечение заболеваний полости рта и протезирование, устранение хронической инфекции.
- Исключение лекарств и профессиональных вредностей.
- Соблюдение диеты, не раздражающей слизистую полости рта.
Лекарственные средства для терапии красного плоского лишая назначаются при ухудшении состояния пациента.
| Группа лекарственных средств | Препарат | Механизм действия | Способы применения и форма выпуска | Ожидаемый эффект |
| Иммунодепрессанты | Базисные препараты: 1. Циклоспорин А 2. Производные 4-аминохинолина (Гидроксихлорохин, Хлорохин) | Подавляют иммунное воспаление, замедляют движение клеток к пораженным участкам. Недостатки: * эффект не мгновенный * требуется длительный прием | 1. Циклоспорин А — инъекции и таблетки, начальная доза 5 мг/кг/сут, поддерживающая — 2 мг/кг/сут. 2. Производные 4-аминохинолина — таблетки 200-400 мг в сутки. | Эффект проявляется через месяц: папулы бледнеют, язвы заживают, уменьшается отек. Длительная ремиссия после отмены. |
| Системные кортикостероиды | Преднизолон, Метипред | Подавляют иммунный ответ, уменьшают выработку веществ, вызывающих воспаление. | Таблетки до 1 мг/кг/сут | Быстрое улучшение: через несколько дней уменьшаются папулы, покраснение, отек и зуд. Недостатки: * побочные эффекты * возможен эффект «рикошета» после отмены. |
| Синтетические интерфероны | Неовир, Ридостин, Интерферон-альфа 2b | Нормализуют количество лимфоцитов, подавляют размножение вирусов. | Внутримышечно: Неовир — 2 мл 1 раз в 2-3 дня, Ридостин — 2 мл раз в 3 дня, Интерферон-альфа 2b — индивидуально. | Уменьшаются покраснение, отек, болезненность, заживают язвы. |
| Системные ретиноиды | Тигазон, Неотигазон, Этретинат, Изотретиноин, Ацитретин | Уменьшают воспаление и скорость деления клеток кожи, ускоряют заживление. | Капсулы, 35-50 мг в сутки в зависимости от тяжести. | Быстрое обратное развитие папул и заживление язв. |
| Антигистаминные препараты | Зиртек, Парлазин, Клемастин и др. | Блокируют рецепторы, на которые воздействует гистамин. | Таблетки и ампулы, дозировка зависит от поколения и тяжести. | Уменьшение отека и зуда через 15-20 минут (внутримышечно) или несколько часов (в таблетках). |
| Антибиотики | Тетрациклины: Метациклин, Доксициклин, Тетрациклин; Макролиды: Азитромицин, Эритромицин и др. | Борются с патогенными микроорганизмами. | Таблетки, дозировка зависит от тяжести и возраста. | Уменьшение отека и покраснения, улучшение состояния. |
Лечение красного лишая с помощью физиотерапии
| Метод физиотерапии | Механизм действия | Ожидаемый эффект |
| ПУВА-терапия | УФ-лучи замедляют деление поврежденных клеток кожи. | Обратное развитие сыпи начинается после 4-5 процедур, у 80% пациентов кожа очищается. Курс — 20-30 процедур. |
| Лазеротерапия | Улучшает обмен веществ в клетках, повышает их устойчивость. | Уменьшает воспаление, зуд и отек, ускоряет заживление. Улучшение после 3-4 процедур. |
| Магнитотерапия | Улучшает обменные процессы, уменьшает воспаление. | Уменьшает зуд, воспаление и отек, улучшает настроение. Курс — 10-15 процедур по 20 минут. |
При дерматозе нарушается работа многих органов, поэтому проводится лечение сопутствующих заболеваний: диабета, гипертензии, неврозов и хронических воспалений.
При выраженном зуде назначаются снотворные и успокаивающие средства (Медазепам, Феназепам).
Для нормализации обмена веществ — витамины (С, группы В) и средства, улучшающие кислородное обеспечение (витамин Е).
Для улучшения кровоснабжения — сосудистые препараты (Трентал, Ксантинол никотинат).
Какую мазь можно использовать для лечения красного лишая?
Наружные мази облегчают зуд, уменьшают воспаление, улучшают кровоснабжение, ускоряют регенерацию сыпи, а также заживляют эрозии и язвы.
| Название мази | Механизм действия | Применение и ожидаемый эффект | |
| Мази с кортикостероидами (гормональные) | |||
| * Гидрокортизон (слабое действие) * Флуметазон (умеренное действие) * Триамцинолон, Кловейт, Бетаметазон (сильное действие) | Снижают активность лимфоцитов и лейкоцитов, уменьшают их перемещение к воспалению. Уменьшают выработку веществ, вызывающих иммунное воспаление, и высвобождение гистамина из тучных клеток. Замедляют деление и ороговение клеток кожи. Сужают сосуды. | Наносятся на пораженные участки тонким слоем 1-3 раза в день. Курс — 10-14 дней. Эффект: * через 10-15 минут уменьшается зуд * через 1-3 дня снижается отек и покраснение, начинается обратное развитие сыпи | |
| Противоаллергические негормональные мази | |||
| Гистан | Содержит вытяжки растений: почек березы (бетулин), череды, софоры японской, масла лаванды. | Уменьшает аллергическую реакцию и воспаление. Формирует невидимую пленку, пропускающую воздух, но препятствующую проникновению влаги и аллергенов. Улучшает питание и кровообращение в тканях. | Уменьшает зуд, покраснение и отек, ускоряет заживление язв и эрозий. На месте высыпаний остаются минимальные пигментные пятна. Наносится тонким слоем 2-4 раза в день. Длительность лечения индивидуальна. |
| Фенистил (мазь, гель) | Уменьшает воспаление и проницаемость капилляров при аллергии. Обладает местным обезболивающим и охлаждающим эффектом. | Снижает зуд и раздражение, обладает обезболивающим эффектом. Наносится тонким слоем 2-4 раза в день. Начинает действовать через 15-20 минут, максимальный эффект достигается через 1-4 часа. | |
| Негормональные противовоспалительные мази | |||
| Такролимус, Пимекролимус | Уменьшают воспаление, подавляют активность Т-лимфоцитов, блокируют выработку воспалительных веществ из клеток иммунной системы. | Быстро уменьшают зуд, покраснение и отек. Наносится тонким слоем на элементы сыпи, не закрывать воздухонепроницаемыми материалами. Применяется дважды в день. Курс — 6 недель. | |
| Отшелушивающие мази | |||
| Мазь на основе салициловой кислоты | Иногда комбинируется с кортикостероидами (Дипросалик, Белосалик) для ускорения эффекта. | Уменьшает воспаление, нормализует проницаемость сосудов. Способствует отшелушиванию ороговевших клеток, что позволяет образовываться новым клеткам кожи. | Быстро размягчает папулы, снижает покраснение и отек. Наносится тонким слоем и накрывается марлевой салфеткой на сутки, затем заменяется. Курс — от 6 до 20 дней. |
| Ранозаживляющие мази | |||
| Сокосерил | Улучшает снабжение тканей глюкозой и кислородом, защищает клетки, ускоряет восстановление и заживление язв и эрозий. Стимулирует образование новых сосудов. | Ускоряет заживление ран и эрозий. Улучшение обычно наблюдается на 2-3 день применения, если язвы неглубокие. Наносится тонким слоем 1-2 раза в день. Длительность лечения — около двух недель (иногда дольше). |
Перед использованием мазей проконсультируйтесь с врачом, так как может потребоваться комбинированное применение.
Какие существуют народные методы лечения красного лишая?
Истинные причины и механизмы возникновения дерматоза не выяснены, поэтому традиционные медицинские методы требуют дополнительных подходов. На помощь приходят рецепты, собранные опытными травниками.
Иногда у пациента возникает аллергическая реакция на медикаменты, что может спровоцировать дерматоз. В таких случаях народные средства могут облегчить симптомы и ускорить выздоровление.
Народное лечение красного плоского лишая
| Название | Способ приготовления | Способ применения | Ожидаемый эффект |
| Масло календулы | Поместите цветки календулы в стеклянную емкость и залейте оливковым маслом, чтобы они были полностью покрыты. Встряхните, закройте и оставьте в теплом месте на 4-6 недель, ежедневно встряхивая. Процедите и храните в прохладном месте. | Наносите на пораженные участки кожи 2-3 раза в день. | Уменьшает покраснение и отечность, смягчает папулы, ускоряет заживление язв и эрозий. Обладает антимикробным действием. |
| Мазь на основе календулы | На водяной бане растопите 200 мл масла календулы и 20 г пчелиного воска, постоянно помешивая. После растворения снимите с огня и перелейте в стеклянную емкость. Храните в прохладном месте. | Наносите на элементы сыпи 2-3 раза в день. | Пчелиный воск усиливает действие календулы, способствуя быстрому уменьшению покраснения и заживлению. |
| Березовый деготь | Доступен в готовом виде. | Накладывайте марлевые повязки на пораженные участки кожи один раз в день, начиная с 10 минут и постепенно увеличивая до 30 минут. Можно также смазывать пораженные участки дегтярным маслом 1-2 раза в день. | Размягчает папулы, отшелушивает ороговевшие клетки, ускоряет регенерацию и нормализует деление клеток кожи. Обладает дезинфицирующим эффектом. |
| Облепиховое масло | Доступно в готовом виде. | Для лечения образований в ротовой полости сделайте турунду из ваты, пропитанную облепиховым маслом, и приложите к высыпаниям или язвам. Для кожи пропитайте марлевую повязку маслом и приложите к эрозии или язве. Процедуры проводите 2-3 раза в день по 30-40 минут. | Уменьшает воспаление и болевые ощущения, ускоряет заживление. |
| Ягодно-травяной настой | Смешайте в равных пропорциях измельченные листья крапивы, цветки черной бузины, ягоды можжевельника, траву зверобоя и корни одуванчика. Возьмите 2 столовые ложки смеси и залейте 0,5 литрами кипятка. Настойте час, затем процедите. Храните в холодильнике. | Принимайте по 100 мл 2-3 раза в день в течение месяца. После 2-3 недель перерыва курс можно повторить. | Улучшает иммунную функцию, питание и кровоснабжение тканей, снижает воспаление. Папулы бледнеют, отечность уменьшается, язвы и эрозии заживают. |
Перед использованием этих рецептов учтите индивидуальную реакцию организма: для одних это может быть полезно, для других — вызвать побочные эффекты (например, усиление отека или тошноту). Будьте осторожны и проконсультируйтесь с врачом, если возможно.
Заразен ли красный лишай?
Однозначного ответа на вопрос о происхождении дерматоза нет, так как существующие теории не имеют достаточных доказательств.
Зафиксированы случаи появления красного плоского лишая у членов одной семьи, включая супругов. Также задокументирован случай заражения врача, проводившего биопсию у пациента: спустя месяц после процедуры у него возник первый очаг, а через три недели появились новые высыпания, аналогичные тем, что были у пациента.
Вероятность заражения существует, но, скорее всего, это происходит при тесном контакте.
Если вы живете с человеком, страдающим от этого заболевания, следуйте следующим правилам: избегайте совместного использования ножниц, бритвы, стакана для зубной щетки, постельного белья, полотенец, одежды и обуви.
Вопрос-ответ
Как вылечить красный лишай у человека?
Для наружной терапии красного плоского лишая используют топические глюкокортикостероиды (гормональные кремы и мази), фототерапию, а в качестве системной назначают антигистаминные (противоаллергические) препараты, пероральные глюкокортикостероиды и антималярийные средства.
Как избавиться от лишая у взрослого человека?
Для лечения опоясывающего лишая используют антивирусные препараты типа ацикловир, анальгетики и антигистаминные лекарства для снятия болевых ощущений и чесотки. Лишай, расположенный на пальце, является, скорее всего, псориазом. Его лечат иммунодепрессантами, кортикостероидами, витамином D, изменением рациона питания.
Какая мазь помогает от красного плоского лишая?
Красный плоский лишай есть в списке показаний у мази и крема Акридерм, мази и крема Акридерм ГЕНТА и мази Акридерм СК. В составе мази и крема Акридерм есть бетаметазона дипропионат.
Откуда берётся красный плоский лишай?
Причины плоского лишая. Считается, что плоский лишай возникает, когда иммунная система ошибочно атакует неизвестный белок в кератиноцитах кожи и слизистых оболочек. Почему наблюдается подобный аномальный иммунный ответ, точно неизвестно. Состояние не заразно.
Советы
СОВЕТ №1
Обратите внимание на симптомы. Красный лишай может проявляться в виде ярко-красных пятен, которые могут зудеть или шелушиться. Если вы заметили такие изменения на коже, не откладывайте визит к дерматологу для точной диагностики.
СОВЕТ №2
Не занимайтесь самолечением. Использование неэффективных или неподходящих средств может усугубить ситуацию. Следуйте рекомендациям врача и используйте только те препараты, которые он назначит.
СОВЕТ №3
Соблюдайте гигиену кожи. Регулярное мытье и использование увлажняющих средств помогут предотвратить раздражение и поддерживать здоровье кожи. Избегайте использования агрессивных мыл и косметики, которые могут вызвать аллергическую реакцию.
СОВЕТ №4
Следите за своим иммунитетом. Укрепление иммунной системы с помощью правильного питания, физической активности и достаточного сна может помочь организму справиться с инфекциями и снизить риск появления лишая.










