Интересные факты о невропатии
Представители традиционной китайской медицины предлагают уникальный подход к диагностике и лечению невропатии. Они связывают это заболевание с расстройством, называемым «Ветер» (влияние воздушных потоков на здоровье), возникающим из-за нарушений в иммунной системе. Несмотря на скептицизм, комплексный подход специалистов позволяет достичь успешных результатов в 80% случаев.
Методы лечения невропатии в китайской медицине:
- иглоукалывание;
- мануальная терапия;
- гирудотерапия (лечение пиявками);
- стоунотерапия (массаж камнями);
- вакуумный (баночный) массаж.
Иглоукалывание при невропатии
При невропатии лицевого нерва иглотерапия воздействует на активные точки на каналах толстого и тонкого кишечника, мочевом и желчном пузыре, желудке. Акупунктурные точки (области, где сосредоточены кровь и энергия) помогают уменьшить боль и улучшить общее состояние пациента.
Массаж в традиционной китайской медицине
Мануальная терапия используется для диагностики и лечения невропатии, позволяя выявить зажатые мышцы. Точечный массаж улучшает кровообращение, освобождает органы и мышцы, увеличивая ресурсы организма для борьбы с недугом.
Гирудотерапия
Лечение пиявками имеет множество положительных эффектов.
Польза гирудотерапии:
- Эффект ферментов – пиявки вводят в кровь около 150 соединений, включая гирудин (улучшает текучесть крови), анестезин (обезболивает), гиалуронидазу (способствует усвоению веществ).
- Релаксация – укусы пиявок успокаивают пациента, повышая устойчивость к стрессу.
- Укрепление иммунной системы – белковые вещества, вводимые пиявками, положительно влияют на неспецифический иммунитет.
- Дренирующий эффект – улучшение кровообращения способствует оттоку лимфы, что благоприятно сказывается на состоянии пациента.
- Противовоспалительное действие – секреция пиявок обладает противомикробным и противовоспалительным эффектом без побочных реакций.
Массаж с использованием камней
Сочетание горячих и холодных камней тонизирует сосуды и улучшает кровообращение. Стоунотерапия расслабляет и снимает мышечное напряжение.
Баночный массаж
Вакуумная терапия улучшает дренаж мягких тканей и расширяет сосуды, активизируя обменные процессы и положительно влияя на общее состояние пациента.
Невропатия представляет собой группу заболеваний, поражающих периферическую нервную систему. Врачи отмечают, что основными причинами развития этой патологии являются диабет, алкогольная зависимость, травмы и инфекционные заболевания. Симптомы могут варьироваться от легкого покалывания и онемения до сильной боли и мышечной слабости. Важно, что признаки могут проявляться в разных частях тела, что затрудняет диагностику. Специалисты рекомендуют проводить комплексное обследование, включая электромиографию и анализы крови, для определения точной причины. Лечение зависит от этиологии и может включать медикаментозную терапию, физиотерапию и изменение образа жизни. Врачи подчеркивают важность раннего обращения за помощью, чтобы предотвратить прогрессирование заболевания и улучшить качество жизни пациентов.

Как работают нервы?
Нервная система человека включает головной мозг, черепно-мозговые и спинной мозг с его спинномозговыми нервами. Головной и спинной мозг составляют центральную нервную систему, а черепно-мозговые и спинномозговые нервы — периферическую. В организме человека 12 пар черепно-мозговых и 31 пара спинномозговых нервов.
Элементы нервной системы состоят из миллиардов нервных клеток — нейронов, взаимодействующих с глиальными клетками и формирующих нервную ткань из серого и белого вещества. Нервные клетки различаются по форме и функциям, образуя простые и сложные рефлекторные дуги, которые объединяются в проводящие пути, связывающие ткани и органы с центральной нервной системой.
Каждая нервная клетка состоит из тела и отростков: аксонов и дендритов. Аксон — утолщенная нить, отходящая от тела нейрона, длина которой может превышать один метр. Дендриты короче и тоньше, имеют конусообразную форму с множеством разветвлений. У большинства нейронов несколько дендритов, тогда как аксон всегда один.
Отростки нейронов объединяются в нервные волокна, формирующие нерв — «шнур» из пучков нервных волокон, покрытых оболочкой.
Нейроны различаются по форме, длине, количеству отростков и функциям.
Виды нейронов
| Параметр классификации | Вид нервной клетки | Характеристика нервной клетки |
| По числу отростков | Униполярный нейрон | Один аксон, дендриты отсутствуют. |
| Биполярный нейрон | Два отростка: один аксон и один дендрит. | |
| Мультиполярный нейрон | Один аксон и более одного дендрита. | |
| По длине аксона | Длинноаксонные нервные клетки | Длина аксона превышает 3 миллиметра. |
| Короткоаксонные нервные клетки | Длина аксона 1-2 миллиметра. | |
| По функциям | Сенсорные нейроны | Дендриты с чувствительными окончаниями передают информацию в центральную нервную систему. |
| Мотонейроны | Длинные аксоны передают импульсы от спинного мозга к мышцам и железам. | |
| Вставочные нейроны | Связывают чувствительные и двигательные нейроны. |
Нервы делятся на:
- чувствительные;
- двигательные;
- смешанные.
Чувствительные нервы передают информацию от периферических рецепторов к центральной нервной системе. Двигательные нервы передают информацию от центральной нервной системы к мышцам и железам. Смешанные нервы содержат как аксонов, так и дендритов, позволяя проводить импульсы в обоих направлениях.
Нервные клетки соединяются через синапсы. На поверхности дендритов и тел нейронов располагаются синаптические бляшки, через которые передается нервный импульс. Эти бляшки содержат медиаторы. При прохождении импульса медиаторы высвобождаются в синаптическую щель и разрушаются. Импульс передается от тела нейрона по аксону к следующему нейрону или к мышечным и железистым клеткам.
Аксон покрыт миелиновой оболочкой, обеспечивающей непрерывное проведение импульса. Миелиновая оболочка состоит из нескольких белковых слоев, накрученных на аксон, и прерывается каждые 2-3 миллиметра, образуя перехваты Ранвье, где происходит передача ионного тока, что увеличивает скорость проведения импульса.
Нервные волокна делятся на три типа:
- тип А — миелинизированные, самые толстые, скорость проведения 15-120 м/с;
- тип В — миелинизированные, скорость до 15 м/с;
- тип С — немиелинизированные, скорость не более 3 м/с.
Нервные волокна снабжены различными нервными окончаниями.
Основные виды нервных окончаний:
- чувствительные;
- двигательные;
- секреторные.
Чувствительные рецепторы реагируют на раздражители и передают возбуждение в центральную нервную систему. Двигательные окончания передают сигналы от центральной нервной системы к мышцам. Секреторные окончания расположены в железах.
Причины невропатии делятся на эндогенные и экзогенные. Эндогенные причины возникают внутри организма и приводят к повреждению нервов, включая эндокринные, демиелинизирующие и аутоиммунные заболевания. Экзогенные причины связаны с внешними воздействиями, такими как инфекции, травмы и интоксикации.
К эндогенным причинам невропатий относятся:
- эндокринные заболевания, например, сахарный диабет;
- демиелинизирующие заболевания – рассеянный склероз;
- аутоиммунные заболевания – синдром Гийена–Барре;
- алкоголизм;
- авитаминозы.
При сахарном диабете могут страдать как целые нервные стволы, так и отдельные окончания, чаще всего наблюдается симметричное поражение нервных окончаний на нижних конечностях, что приводит к полиневропатии. Механизм диабетической невропатии заключается в нарушении питания нервных окончаний из-за повреждения мелких сосудов, что приводит к дистрофическим изменениям в нервной ткани.
При диабете возникают расстройства чувствительности, проявляющиеся парестезиями, такими как жжение и ощущение холода. Метаболические нарушения приводят к отеку нерва и образованию свободных радикалов, действующих на нерв как токсины.
Кроме сахарного диабета невропатии могут наблюдаться при заболеваниях щитовидной железы и надпочечников.
К демиелинизирующим заболеваниям, способным вызвать невропатию, относятся:
- рассеянный склероз;
- острый рассеянный энцефаломиелит;
- болезнь Девика;
- диффузный лейкоэнцефалит.
При демиелинизирующих заболеваниях могут поражаться как черепно-мозговые, так и периферические нервы. Например, при рассеянном склерозе развиваются невропатии глазодвигательного, тройничного и лицевого нервов, что может проявляться параличом, нарушением движения глаза и чувствительности лица.
Механизм разрушения миелиновой оболочки сложен. Предполагается, что организм начинает вырабатывать противомиелиновые антитела, воспринимая миелин как инородное тело, что приводит к образованию очагов демиелинизации.
На начальных стадиях заболевания в нерве наблюдаются отек и воспалительная инфильтрация, проявляющиеся расстройством походки и слабостью в конечностях. Далее происходит нарушение проведения импульса по нервному волокну, что может привести к параличам.
При оптикомиелите поражается зрительный нерв, а спинномозговые нервы страдают на уровне очага демиелинизации.
Синдром Гийена-Барре, развивающийся после инфекций, также сопровождается невропатиями.
К бактериям и вирусам, участвующим в развитии синдрома Гийена-Барре, относятся:
- кампилобактер;
- микоплазма;
- гемофильная палочка;
- цитомегаловирус;
- вирус Эпштейн-Барр.
Эти микроорганизмы могут вызывать воспаление слизистой кишечника или дыхательных путей. После таких инфекций в организме запускается аутоиммунная реакция, при которой вырабатываются антитела против собственных нервных волокон.
Видами невропатии при синдроме Гийена-Барре являются:
- острая демиелинизирующая полиневропатия;
- острая моторная невропатия;
- острая сенсорная аксональная невропатия.
Ревматоидный артрит
Невропатии могут наблюдаться при аутоиммунных заболеваниях, таких как склеродермия и системная красная волчанка. При ревматоидном артрите может происходить сдавливание нервов, что приводит к компрессионной невропатии, чаще всего из-за деформации суставов.
Склеродермия
При склеродермии могут поражаться тройничный, локтевой и лучевой нервы. На ранних стадиях может развиваться невропатия тройничного нерва. Механизм поражения связан с развитием системного васкулита, что приводит к воспалению и утолщению сосудов оболочек нервов.
Синдром Шегрена
При синдроме Шегрена преимущественно поражаются периферические нервы, реже черепно-мозговые. Обычно развивается сенсорная невропатия, проявляющаяся парестезиями.
Гранулематоз Вегенера
При этой патологии часто наблюдается краниальная невропатия, чаще всего развиваются зрительная невропатия и невропатия глазодвигательного нерва.
Чрезмерное употребление алкоголя приводит к повреждению нервной системы. Бессимптомная невропатия нижних конечностей наблюдается у большинства людей, злоупотребляющих алкоголем. Тяжелые невропатии с нарушением походки развиваются на второй и третьей стадиях алкоголизма.
При алкоголизме обычно страдают нервы конечностей, особенно нижних. Дистальная алкогольная невропатия проявляется «шлепаньем» стоп при ходьбе, позже появляются боли и онемение.
Механизм алкогольной невропатии заключается в токсическом воздействии алкоголя на нервные клетки и метаболических нарушениях, приводящих к расстройству кровоснабжения. Дефицит тиамина (витамина В1) также может вызывать поражения нервной системы.
Дистальная алкогольная невропатия может протекать длительное время, но может осложняться парезами и параличами. На поздних стадиях алкоголизма могут поражаться черепно-мозговые нервы.
При отравлении метиловым спиртом наблюдаются различные степени поражения зрительного нерва, что приводит к необратимым нарушениям зрения.
Витамины, особенно группы В, играют важную роль в обменных процессах нервной ткани. Недостаток витамина В1 вызывает энцефалопатию Вернике, а недостаток витамина В12 приводит к демиелинизации нервных стволов спинного мозга.
Экзогенные причины невропатий:
- травмы;
- отравления;
- инфекции – дифтерия, ВИЧ, вирус герпеса.
Травматическое повреждение нервов — одна из частых причин невропатий. Травмы могут быть острыми или хроническими. При остром травматизме сильный удар или растяжение может нарушить целостность нервного волокна.
При длительных сдавливаниях нервного волокна также возникают невропатии. Механизм их развития заключается в нарушении кровоснабжения оболочки нерва, что приводит к проблемам с питанием нерва.
Нервные волокна могут повреждаться под воздействием различных химических соединений, таких как соли металлов и медикаменты.
К веществам, вызывающим невропатию, относятся:
- изониазид;
- винкристин;
- свинец;
- мышьяк;
- ртуть.
Эти вещества обладают нейротоксическим действием. Например, мышьяк связывается с белками, нарушая работу клеток. Свинец вызывает «свинцовые полиневриты», поражая двигательные волокна.
Различные виды невропатий могут развиваться после перенесенной инфекции. Механизм их возникновения связан с токсическим действием бактерий и их токсинов на нервные волокна.
Невропатии также могут возникать при поражении организма вирусом герпеса и ВИЧ. Вирус герпеса может сохраняться в нервных узлах и при неблагоприятных условиях вызывать невропатии.
Существуют наследственные невропатии, передающиеся из поколения в поколение. Большинство из них являются сенсорными, но встречаются и моторные.
Наследственными невропатиями являются:
- патология Шарко-Мари-Тута – поражение малоберцового нерва;
- синдром Рефсума – развитие двигательной невропатии;
- синдром Дежерина Сотта – поражение стволовых нервов.
Симптомы невропатий зависят от пораженного нерва. Различают краниальную и периферическую невропатию. При краниальной поражаются черепно-мозговые нервы, при периферической — нервные окончания и сплетения конечностей.
Симптомы зависят от типа волокон. Если поражаются моторные волокна, возникают двигательные расстройства, такие как слабость в мышцах. При легких формах наблюдаются парезы, при тяжелых — параличи.
Если поражаются сенсорные волокна, возникают нарушения чувствительности, проявляющиеся в снижении или повышении чувствительности, а также парестезиями.
Нарушение работы желез внешней секреции связано с повреждением вегетативных волокон.
Симптомами невропатии лицевого нерва являются:
- ассиметрия лица;
- расстройства слуха;
- отсутствие вкусовых ощущений.
Ассиметрия лица возникает из-за поражения двигательных волокон и пареза мимических мышц. При поражении обеих сторон наблюдается паралич мышц лица.
При невропатии лицевого нерва может наблюдаться болевой синдром и парестезии в области уха и лба. Эти симптомы исчезают через 1-2 дня, после чего появляются симптомы, связанные с нарушением функции лицевого нерва.
Расстройства слуха
При невропатии лицевого нерва может наблюдаться снижение слуха или гиперакузия. Снижение слуха наблюдается при повреждении лицевого нерва в пирамиде височной кости.
Отсутствие вкусовых ощущений
При поражении вкусовых и секреторных волокон лицевого нерва у пациента наблюдаются расстройства вкуса и сухость во рту.
Симптомами невропатии тройничного нерва являются:
- нарушение чувствительности кожи лица;
- паралич жевательных мышц;
- лицевая боль.
Нарушение чувствительности кожи лица
Нарушение чувствительности может проявляться как в снижении, так и в полной утрате чувствительности. Локализация симптомов зависит от пораженной ветви тройничного нерва.
Паралич жевательных мышц
Этот симптом наблюдается при поражении двигательных волокон нижнечелюстной ветви. Паралич жевательных мышц проявляется их слабостью.
Лицевая боль
Болевой симптом называется невралгией тройничного нерва. Боль приступообразная, локализуется в зоне иннервации второй и третьей ветви.
При невропатии локтевого нерва наблюдаются двигательные расстройства и нарушения чувствительности.
Симптомами невропатии локтевого нерва являются:
- нарушения чувствительности в области мизинца и безымянного пальца;
- нарушение функции сгибания кисти;
- атрофия мышц предплечья.
На начальных этапах невропатии локтевого нерва появляются ощущения онемения и ползания мурашек. Постепенно присоединяется боль, развиваются слабость и атрофия мышц кисти.
Основным методом диагностики невропатий является неврологический осмотр, который может дополняться инструментальными и лабораторными методами. Электрофизиологическое исследование периферических нервов, в частности электромиография, имеет особое значение.
Заключается в визуальном осмотре, исследовании рефлексов и выявлении специфических симптомов для поражения нерва.
При невропатии лицевого нерва врач просит пациента закрыть глаза и наморщить лоб. При невропатии складка на лбу со стороны повреждения не собирается, а глаз не закрывается.
При диагностике невропатии лицевого нерва врач может попросить пациента совершить следующие действия:
- зажмурить глаза;
- нахмурить лоб;
- поднять брови;
- оскалить зубы;
- надуть щеки.
При невропатии тройничного нерва основным диагностическим критерием является пароксизмальная боль. Врач задает вопросы о характере болей и выявляет наличие специфических курковых зон.
Характеристики болевого синдрома при невропатии тройничного нерва:
- пароксизмальный характер;
- высокая интенсивность;
- наличие вегетативного компонента;
- лицевой тик.
При невропатии локтевого нерва врач осматривает руки пациента. Характерное положение кисти в виде «когтистой лапы» и атрофия мышц указывают на диагноз.
При выявлении невропатии локтевого нерва отмечаются следующие явления:
- Пациент не может полноценно сжать руку в кулак.
- Больной не может прижать кисть к столу.
- Чувствительность утрачивается на мизинце и локтевой стороне предплечья.
Лабораторные методы используются для диагностики причин невропатий, чаще всего для выявления аутоиммунных и демиелинизирующих заболеваний, метаболических нарушений и инфекций.
Лабораторная диагностика при диабетической невропатии
Основным лабораторным маркером является уровень глюкозы в крови, который не должен превышать 5,5 миллимоль на литр. Также используется показатель гликозилированного гемоглобина (HbA1C).
Лабораторная диагностика при невропатиях, вызванных аутоиммунными заболеваниями
Аутоиммунные заболевания характеризуются наличием специфических антител в сыворотке крови.
Наиболее распространенные антитела:
- антитела anti-Jo-1 – при дерматомиозитах;
- антицентромерные антитела – при склеродермии;
- антитела ANCA – при болезни Вегенера.
Лабораторная диагностика при невропатиях, вызванных демиелинизирующими заболеваниями
При рассеянном склерозе это маркеры DR2, DR3; при оптикомиелите Девика – антитела к аквопорину-4.
Лабораторная диагностика при постинфекционных невропатиях
Маркерами являются антитела и антигены. При вирусных инфекциях это антитела к антигенам вируса.
Лабораторная диагностика при невропатиях, вызванных недостатком витаминов
Определение концентрации витаминов в организме возможно только лабораторным методом. Например, уровень витамина В12 должен быть в пределах 191 – 663 пикограмм на миллилитр.
Основная роль в инструментальной диагностике отводится электрофизиологическим исследованиям. Измерение скорости прохождения нервного импульса и электромиография являются основными методами.
При электромиографии регистрируется активность мышечных волокон. Ответы мышцы фиксируются с помощью осциллографа.
Кроме методов, изучающих активность нерва, существуют методы диагностики, выявляющие причины невропатии, такие как компьютерная томография (КТ) и ядерно-магнитный резонанс (ЯМР).
Показатели, выявляемые при КТ и ЯМР:
- утолщение нерва;
- очаг демиелинизации;
- сдавливание нерва.
Лечение невропатии зависит от причин. В основном оно сводится к устранению основного заболевания и может включать медикаментозную терапию и оперативное вмешательство.
Медикаменты для устранения болевой симптоматики при невропатии
| Препарат | Механизм действия | Способ применения |
| Карбамазепин | Уменьшает интенсивность приступов. | Принимается дважды или трижды в сутки. |
| Габапентин | Обладает анальгезирующим действием. | Схема: 1 день – 300 мг; 2 день – 1600 мг; 3 день – 900 мг. |
| Мелоксикам | Блокирует синтез медиаторов боли. | 1-2 таблетки в сутки. |
| Баклофен | Расслабляет мышцы. | С 1 по 3 день – по 5 мг три раза в сутки. |
| Декскетопрофен | Обладает противовоспалительным эффектом. | Доза устанавливается индивидуально. |
Параллельно с устранением болевого синдрома проводится витаминотерапия и назначаются препараты, улучшающие кровообращение.
Медикаменты для лечения невропатии
| Препарат | Механизм действия | Способ применения |
| Мильгамма | Содержит витамины, способствующие восстановлению нервного волокна. | Вводят по 2 мл 1 раз в сутки. |
| Нейровитан | Участвует в энергетическом обмене нервного волокна. | По 2 таблетки дважды в день. |
| Мидокалм | Расслабляет мускулатуру. | В первые дни по 50 мг дважды. |
| Бендазол | Улучшает кровообращение в нервной ткани. | В первые 5 дней по 50 мг в день. |
| Физостигмин | Улучшает нервно-мышечную передачу. | Подкожно вводят 0,5 мл 0,1% раствора. |
Эндокринные патологии
При диабетической невропатии рекомендуется поддерживать уровень глюкозы в определенных пределах. Для этого назначаются сахароснижающие средства.
Сахароснижающие медикаменты:
- препараты сульфонилмочевины – глибенкламид, глипизид;
- бигуаниды – метформин.
Лечение метформином должно проводиться под контролем функции почек.
Демиелинизирующие заболевания
При этих патологиях проводится терапия кортикостероидами, такими как преднизолон и дексаметазон. Этот метод лечения называется пульс-терапией.
Аутоиммунные заболевания
При аутоиммунных заболеваниях проводится иммуносупрессивная терапия. Назначаются препараты из группы цитостатиков и кортикостероиды.
Авитаминозы
При авитаминозах назначают инъекции витаминов. При недостатке витамина В12 – уколы цианокобаламина.
Инфекции
При инфекционных невропатиях лечение направлено на устранение инфекционного агента. При вирусных невропатиях назначается ацикловир, при бактериальных – антибиотики.
Травмы
При травмах основное внимание уделяется реабилитации, включая массаж и электрофорез. Если была нарушена целостность нерва, в ходе операции сшивают концы поврежденного нерва.
Физиопроцедуры назначаются в неактивный период болезни. Их основная задача – восстановление функции нерва.
Основные физиотерапевтические процедуры:
- электрофорез;
- дарсонвализация;
- массаж;
- рефлексотерапия;
- магнитная терапия;
- водолечение.
Электрофорез
Электрофорез – способ введения препаратов через кожу с помощью электрического тока. Применяется при невропатии лицевого нерва.
Дарсонвализация
Дарсонвализация – физиотерапевтическая процедура, улучшающая питание нерва.
Массаж
Массаж полезен при невропатиях, сопровождающихся спазмом мышц.
Рефлексотерапия
Рефлексотерапия – массаж биологически активных точек, оказывающий расслабляющее действие.
Магнитная терапия
При магнитной терапии используется низкочастотное магнитное поле для уменьшения болевого синдрома.
Водолечение
Водолечение включает процедуры, такие как обливания и обтирания, оказывающие положительное влияние на организм.
Меры профилактики невропатии:
- соблюдение мер предосторожности;
- мероприятия по повышению иммунитета;
- формирование навыков противостояния стрессу;
- оздоровительные процедуры.
При профилактике важно соблюдать ряд правил, позволяющих предупредить проявление невропатии.
Факторы, которых следует избегать:
- переохлаждение;
- травмы;
- сквозняки.
Сниженная функциональность иммунной системы является одной из причин возникновения невропатий. Поэтому необходимо укреплять иммунитет.
Рекомендации для улучшения защитных функций организма:
- активный образ жизни;
- сбалансированное питание;
- закаливание организма.
Образ жизни при слабом иммунитете
Регулярные физические упражнения помогают укрепить иммунитет. Пациентам с хроническими расстройствами следует проконсультироваться с врачом о допустимых видах упражнений.
Правила выполнения физических упражнений:
- выбирать занятия, не приносящие дискомфорта;
- заниматься регулярно;
- начинать с аэробных упражнений для разогрева мышц.
Спортивные занятия, подходящие для большинства пациентов с невропатией:
- плавание;
- аквааэробика;
- езда на велосипеде.
Если заниматься спортом невозможно, следует увеличить физическую активность в течение дня.
Способы повысить уровень нагрузки без специальных упражнений:
- отказ от лифта;
- пешие прогулки;
- выполнение домашних дел под музыку.
Сбалансированное питание – важный фактор, способствующий укреплению барьерных функций организма.
Вещества, которыми должна быть обогащена пища пациента:
- витамины;
- микроэлементы;
- белки;
- жиры;
- углеводы;
- продукты с пробиотиками.
Витамины, необходимые для укрепления иммунной системы
Недостаток витаминов снижает активность иммунных клеток. В рацион следует включать продукты, богатые витаминами, особенно С, А, Е.
Продукты, богатые витаминами:
- витамин А – печень, черемша, калина;
- витамин Е – орехи, курага;
- витамин С – киви, сладкий перец, капуста.
Микроэлементы и продукты, их содержащие
Недостаток микроэлементов снижает иммунитет.
Наиболее значимые микроэлементы:
- цинк – дрожжи, тыквенные семечки;
- йод – печень трески, рыба;
- селен – печень, яйца;
- кальций – молоко, твердые сыры;
- железо – мясо, печень, овсянка.
Продукты, обеспечивающие организм жирами
Жиры участвуют в выработке макрофагов. Рекомендуются полезные жиры.
Рекомендуемые жиросодержащие продукты:
- жирная рыба;
- растительное масло;
- грецкие орехи.
Продукты с углеводами
Углеводы участвуют в образовании энергии. Рекомендуются сложные углеводы.
Продукты, содержащие медленные углеводы:
- фасоль, горох, чечевица;
- макаронные изделия из твердых сортов пшеницы;
- рис.
Источники пробиотиков
Пробиотики улучшают работу иммунной системы.
Продукты с пробиотиками:
- йогурт;
- кефир;
- квашеная капуста.
Продукты, тормозящие иммунную систему
К ним относятся алкоголь, табак, сладости.
Напитки и блюда, которые следует сократить:
- выпечка и кондитерские изделия;
- консервы;
- сладкие газированные напитки;
- фастфуд.
Рекомендации по питанию при профилактике невропатии
Для увеличения эффекта полезных веществ следует соблюдать ряд правил.
Принципы питания при профилактике невропатии:
- свежие фрукты употреблять за 2 часа до или после основной пищи;
- предпочтительные способы термической обработки – варка, запекание;
- овощи и фрукты мыть в проточной воде.
Основное правило здорового питания – сбалансированное меню с 4-5 приемами пищи в день.
Группы продуктов, которые следует включать в ежедневный рацион:
- злаки, зерновые, бобовые;
- овощи;
- фрукты и ягоды;
- молочные и кисломолочные продукты;
- мясо, рыба, яйца.
Питьевой режим для укрепления иммунитета
Взрослому человеку следует употреблять от 2 до 2,5 литров жидкости в сутки. Разнообразить питье можно витаминизированными напитками.
Рецепты для укрепления иммунитета
Напитки для улучшения защитных функций организма:
- ромашковый чай – запарить ложку сухих цветков половиной литра кипятка;
- имбирный напиток – натереть 50 грамм корня имбиря, смешать с лимоном и медом;
- настой хвои – 2 столовые ложки хвои залить горячей водой.
Закалка развивает выносливость и повышает уровень приспособляемости к окружающей среде.
Методы закаливания организма:
- хождение босиком;
- воздушные ванны;
- обтирания;
- обливания холодной водой;
- контрастный душ.
Стресс может спровоцировать развитие невропатии. Эффективными способами противостояния негативным событиям являются эмоциональное и физическое расслабление.
Мышечное расслабление
Для освоения техник мышечной релаксации следует соблюдать ряд правил.
Положения для релаксации:
- регулярность – уделять 5-10 минут ежедневно;
- заниматься в уединенном месте.
Упражнение «шавасана»
Лечь на пол, закрыть глаза, произносить фразу «я расслаблен и спокоен».
Релаксация по Джекобсону
Принцип заключается в попеременном напряжении и расслаблении частей тела.
Этапы релаксации:
- Расслабление мышц лица и головы.
- Упражнение для рук.
- Работа с мышцами шеи и плеч.
- Расслабление грудной клетки.
- Упражнение для живота.
- Расслабление ягодиц и ног.
По мере выполнения методики можно столкнуться с трудностями расслабления определенных групп мышц.
Альтернативные методы расслабления
Если нет возможности выполнить упражнения, можно использовать другие способы борьбы со стрессом.
Способы сохранить спокойствие:
- зеленый чай – улучшает работу нервной системы.
| Причина Невропатии | Симптомы и Признаки | Диагностика и Лечение |
|---|---|---|
| Диабет (диабетическая нейропатия) | Потеря чувствительности в стопах и кистях, жжение, покалывание, боль, слабость в мышцах, проблемы с пищеварением, импотенция | Анализ крови на сахар, электронейромиография (ЭНМГ), исследование нервной проводимости, биопсия нерва. Лечение: контроль уровня сахара в крови, обезболивающие препараты (габапентин, прегабалин), антидепрессанты (амитриптилин), физиотерапия. |
| Алкоголизм (алкогольная нейропатия) | Потеря чувствительности, слабость в конечностях, боль, онемение, нарушение координации движений | Анализ крови на алкоголь и маркеры повреждения печени, ЭНМГ, клинический осмотр. Лечение: отказ от алкоголя, витаминные препараты (группы В), обезболивающие. |
| Дефицит витаминов (В1, В6, В12) | Слабость, онемение, покалывание, нарушение координации, анемия (при дефиците В12) | Анализ крови на витамины, ЭНМГ. Лечение: прием витаминных препаратов. |
| Аутоиммунные заболевания (например, синдром Гийена-Барре) | Быстро прогрессирующая слабость в конечностях, нарушение чувствительности, паралич, дыхательная недостаточность | Анализ крови на аутоантитела, ЭНМГ, ликворологическое исследование. Лечение: иммуноглобулины, плазмаферез, поддерживающая терапия. |
| Инфекционные заболевания (например, вирусный гепатит, ВИЧ) | Боль, онемение, слабость, нарушение чувствительности, симптомы основного заболевания | Анализ крови на инфекции, ЭНМГ, клинический осмотр. Лечение: противовирусная терапия (при инфекционных заболеваниях), симптоматическое лечение невропатии. |
| Травмы нервов | Боль, онемение, слабость в области травмы, нарушение функции соответствующих мышц | Неврологический осмотр, рентгенография, МРТ, КТ. Лечение: хирургическое вмешательство (при необходимости), физиотерапия, обезболивающие. |
| Заболевания почек | Онемение, покалывание, слабость, зуд | Анализ крови на креатинин и мочевину, ЭНМГ. Лечение: лечение основного заболевания, диализ (при необходимости). |
| Онкологические заболевания | Боль, онемение, слабость, парестезии | Неврологический осмотр, обследование на онкологию. Лечение: химиотерапия, лучевая терапия, обезболивающие. |
Невропатия — это заболевание, которое вызывает повреждение периферических нервов, что может приводить к различным симптомам. Люди часто отмечают онемение, покалывание и слабость в конечностях. Причины могут быть разнообразными: от диабета и алкоголизма до инфекций и травм. Симптомы варьируются в зависимости от типа пораженных нервов, и могут включать боль, потерю чувствительности и нарушения координации.
Диагностика обычно включает неврологическое обследование, электромиографию и анализы крови для выявления возможных причин. Лечение направлено на устранение основной причины и может включать медикаменты, физиотерапию и изменение образа жизни. Многие пациенты отмечают улучшение состояния при соблюдении рекомендаций врачей и активном подходе к лечению.

Причины невропатий
Причины невропатии разнообразны и делятся на две группы: эндогенные и экзогенные.
Эндогенные причины связаны с внутренними процессами организма, вызывающими повреждение нервов. К ним относятся заболевания, такие как эндокринные, демиелинизирующие и аутоиммунные. Экзогенные причины исходят из внешней среды и включают инфекции, травмы и интоксикации.
Эндогенные причины невропатий:
- эндокринные расстройства, например, диабет;
- демиелинизирующие болезни, такие как рассеянный склероз;
- аутоиммунные заболевания, например, синдром Гийена–Барре;
- злоупотребление алкоголем;
- недостаток витаминов.
Эндокринные патологии
Среди эндокринных заболеваний, вызывающих повреждение нервов, сахарный диабет привлекает наибольшее внимание. Это заболевание затрагивает как целые нервные стволы, так и отдельные нервные окончания. Наиболее часто при диабете наблюдается симметричное и диффузное поражение нервных окончаний в нижних конечностях, что приводит к полиневропатии.
Механизм диабетической невропатии связан с нарушением питания нервных окончаний из-за повреждения мелких сосудов, обеспечивающих нервы кровью. При сахарном диабете страдают именно мелкие сосуды, в стенках которых происходят патологические изменения, ухудшающие кровоток. Скорость и объем крови в этих сосудах снижаются, что приводит к недостаточному питанию тканей и нервных стволов. Поскольку нервные окончания зависят от мелких сосудов, их питание быстро нарушается, вызывая дистрофические изменения в нервной ткани и нарушая функцию нерва. При диабете часто наблюдаются расстройства чувствительности, проявляющиеся парестезиями в конечностях, такими как ощущение жара, мурашек или холода.
Метаболические нарушения при сахарном диабете приводят к отеку нервной ткани и увеличению образования свободных радикалов, которые действуют на нерв как токсины, вызывая его дисфункцию. Таким образом, механизм невропатий при диабете основан на токсических и метаболических факторах.
Невропатии также могут возникать при заболеваниях щитовидной железы, надпочечников и болезни Иценко-Кушинга.

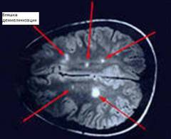
Демиелинизирующие заболевания (ДЗ)
К данной категории заболеваний относятся патологии, приводящие к разрушению миелиновой оболочки нервов, которая обвивает нервные волокна и обеспечивает быстрое проведение нервных импульсов.
К демиелинизирующим заболеваниям, вызывающим невропатию, относятся:
- рассеянный склероз;
- острый рассеянный энцефаломиелит;
- концентрический склероз;
- болезнь Девика (острый оптиконевромиелит);
- диффузный лейкоэнцефалит.
При демиелинизирующих заболеваниях страдают черепно-мозговые и периферические нервы. Например, при рассеянном склерозе, наиболее распространенной форме, возникают невропатии глазодвигательного, тройничного и лицевого нервов, что проявляется параличом, нарушением движений глаз, снижением чувствительности лица и ослаблением мимических мышц. Поражение спинномозговых нервов может сопровождаться монопарезами, парапарезами и тетрапарезами.
Механизм разрушения миелиновой оболочки сложен и не до конца изучен. Считается, что под воздействием различных факторов организм начинает вырабатывать антитела против миелина, воспринимая его как чуждое вещество. Это приводит к образованию комплекса антиген-антитело, который инициирует разрушение миелиновой оболочки. В результате формируются очаги демиелинизации в головном и спинном мозге, что разрушает нервные волокна.
На ранних стадиях заболевания в нерве возникает отек и воспалительная инфильтрация. В зависимости от пораженного нерва это может проявляться нарушением походки, слабостью в конечностях и снижением чувствительности. Далее наблюдается нарушение проведения импульсов по нервному волокну, что может привести к параличам.
При оптикомиелите, или болезни Девика, поражается исключительно зрительный нерв, а спинномозговые нервы затрагиваются на уровне спинного мозга, где находится очаг демиелинизации.
Аутоиммунные заболевания
Самой распространенной аутоиммунной болезнью с невропатиями является синдром Гийена-Барре, характеризующийся полиневропатиями.
Синдром обычно проявляется через несколько недель после желудочно-кишечной или респираторной инфекции, вызванной вирусами или бактериями.
К возбудителям синдрома Гийена-Барре относятся:
- кампилобактер;
- микоплазма;
- гемофильная палочка;
- цитомегаловирус;
- вирус Эпштейн-Барр.
Эти микроорганизмы вызывают воспаление слизистой кишечника, приводя к энтериту, или дыхательных путей, вызывая бронхиты. После инфекций в организме запускается аутоиммунная реакция, в результате которой вырабатываются клетки, атакующие собственные нервные волокна. Эти клетки действуют как антитела и могут повреждать миелиновую оболочку нерва, шванновские клетки или нейронные структуры. В результате нервное волокно отекает и инфильтруется воспалительными клетками. Если волокна имеют миелиновую оболочку, она начинает разрушаться сегментарно. В зависимости от типа поврежденных волокон и характера реакции выделяют несколько видов невропатий.
Виды невропатий при синдроме Гийена-Барре:
- острая демиелинизирующая полиневропатия;
- острая моторная невропатия;
- острая сенсорная аксональная невропатия.
Ревматоидный артрит
Невропатии также встречаются при склеродермии, системной красной волчанке и ревматоидном артрите. Механизмы повреждения нервных волокон различаются. При ревматоидном артрите происходит сдавливание нервов, что приводит к компрессионной невропатии из-за деформации суставов. Чаще всего затрагивается локтевой и малоберцовый нервы. Одним из распространенных проявлений является синдром запястного канала.
При ревматоидном артрите чаще наблюдается мононевропатия — поражение одного нерва. В 10% случаев может развиваться множественная мононевропатия, когда затрагиваются несколько нервов.
Склеродермия
При склеродермии могут поражаться тройничный, локтевой и лучевой нервы, а также нервные окончания на нижних конечностях. Для системной склеродермии характерно развитие невропатии тройничного нерва, что иногда становится первым признаком заболевания. Периферическая полиневропатия чаще развивается на более поздних стадиях. Механизм повреждения нервов связан с системным васкулитом. Воспаляются и утолщаются сосуды, окружающие нервы, что приводит к кислородному голоданию и дистрофическим процессам. Иногда образуются зоны омертвения, называемые инфарктами.
При склеродермии могут развиваться как сенсорные невропатии с нарушением чувствительности, так и моторные невропатии, приводящие к двигательным нарушениям.
Синдром Шегрена
При синдроме Шегрена поражаются преимущественно периферические нервы, реже — черепно-мозговые. Обычно развивается сенсорная невропатия с парестезиями. В одной трети случаев наблюдаются туннельные невропатии. Развитие невропатии связано с поражением мелких сосудов оболочки нерва, что приводит к инфильтрации и отеку нерва. В нервном волокне и питающем его сосуде происходит разрастание соединительной ткани и развитие фиброза. В спинномозговых узлах отмечаются дегенеративные изменения, приводящие к дисфункции нервных волокон.
Гранулематоз Вегенера
При этой патологии часто наблюдается краниальная невропатия, то есть поражение черепно-мозговых нервов. Наиболее часто развиваются зрительная невропатия, а также невропатии глазодвигательного, тройничного и отводящего нервов. В редких случаях может возникать невропатия гортанных нервов, что приводит к расстройствам речи.
Алкоголизм
Чрезмерное потребление алкоголя и его заменителей повреждает нервную систему. Бессимптомная невропатия нижних конечностей наблюдается у большинства людей, злоупотребляющих алкоголем. Тяжелые формы невропатии с нарушением походки развиваются на второй и третьей стадиях алкоголизма.
При алкоголизме страдают нервы конечностей, в первую очередь нижних. Диффузное симметричное повреждение нервных сплетений в нижних конечностях называется дистальной или периферической алкогольной невропатией. На начальном этапе это проявляется «шлепанием» стоп при ходьбе, позже добавляются боли и онемение.
Механизм алкогольной невропатии связан с токсическим воздействием алкоголя на нервные клетки. С развитием метаболических нарушений возникает расстройство кровоснабжения нервных окончаний. Питание нервной ткани ухудшается из-за нарушения микроциркуляции. При запущенном алкоголизме также наблюдаются нарушения макроциркуляции. Повреждение слизистой оболочки желудка алкоголем нарушает всасывание питательных веществ. У людей с алкоголизмом часто наблюдается дефицит тиамина (витамина В1), который важен для обменных процессов нервной ткани. Его нехватка приводит к повреждению нервных волокон и замедлению передачи нервных импульсов.
Дистальная алкогольная невропатия может протекать длительное время с стертым течением, но впоследствии осложняется парезами и параличами. При алкоголизме могут поражаться черепно-мозговые нервы, особенно нервы ствола головного мозга. На поздних стадиях наблюдаются невропатии зрительного, лицевого и слухового нервов.
При отравлении древесным спиртом (метиловым) наблюдаются различные степени поражения зрительного нерва, что приводит к необратимому ухудшению зрения.
Авитаминозы
Витамины группы В критически важны для обмена веществ в нервной ткани. Их нехватка может вызвать невропатии. Например, дефицит витамина В1 (тиамина) приводит к энцефалопатии Вернике, проявляющейся поражением глазодвигательного, отводящего и лицевого нервов. Тиамин участвует в окислительно-восстановительных реакциях и защищает нейронные мембраны от токсического воздействия продуктов перекисного окисления.
Витамин В12 также важен для метаболизма. Он способствует синтезу метионина и жирных кислот, обладает анаболическим эффектом. Недостаток В12 может вызвать синдром фуникулярного миелоза, характеризующийся демиелинизацией нервных стволов спинного мозга и их склерозом. Дефицит проявляется пятнистой демиелинизацией серого вещества в спинном и головном мозге, а также в периферических нервных окончаниях. Невропатии, вызванные нехваткой В12, сопровождаются нарушениями статики и движений, мышечной слабостью и изменениями чувствительности.
Экзогенные причины невропатий:
- травмы, включая длительное сжатие;
- отравления;
- инфекции, такие как дифтерия, ВИЧ и вирус герпеса.
Травмы
Травматическое повреждение нервов — одна из основных причин невропатий. Травмы могут быть острыми или хроническими, и механизмы их возникновения различаются. При остром травматизме сильный удар или растяжение нарушает целостность нервного волокна. Иногда нерв остается целым, но миелиновая оболочка повреждается, что также приводит к невропатии из-за нарушения передачи нервных импульсов.
Длительное сжатие (например, при краш-синдроме) или защемление нерва также вызывает невропатии. В этом случае нарушается кровоснабжение оболочки нерва, что приводит к недостатку питания и атрофии нервной ткани. Дистрофические процессы становятся причиной дисфункции нерва. Чаще всего это наблюдается у людей, оказавшихся под завалами и долго находившихся в неподвижном состоянии. Обычно страдают нервы нижних (седалищный) и верхних конечностей (локтевой и лучевой). Зоны риска — нижняя треть предплечья, кисть, голень и стопа, так как кровоснабжение в этих участках хуже. Даже незначительное сжатие или растяжение может вызвать недостаток кровоснабжения. Нервная ткань чувствительна к нехватке кислорода, и уже через несколько часов клетки начинают отмирать. При длительной гипоксии большинство нервных волокон может погибнуть и утратить функции. Если недостаток кислорода кратковременный, наблюдаются различные степени дисфункции.
Травматическое повреждение черепно-мозговых нервов возникает при травмах головы, что может привести к сжатию или прямому повреждению нерва. Нервы страдают как при открытых, так и при закрытых травмах. Наиболее часто встречается посттравматическая невропатия лицевого нерва. Повреждение лицевого и тройничного нервов может произойти также в результате хирургического вмешательства, например, при лечении или удалении зуба.
Травматическое повреждение нервов также включает тракционный механизм, который наблюдается при падениях с транспорта, вывихах или неудобных поворотах. Чаще всего повреждается плечевое сплетение.
Отравления
Нервные волокна могут повреждаться под воздействием различных химических веществ, таких как соли металлов, фосфорорганические соединения и некоторые медикаменты, обладающие нейротоксичным эффектом.
К веществам, вызывающим невропатию, относятся:
- изониазид;
- винкристин;
- свинец;
- мышьяк;
- ртуть;
- производные фосфина.
Каждое из этих веществ действует по уникальному механизму, чаще всего оказывая токсическое воздействие на нервные клетки. Например, мышьяк связывается с тиоловыми группами белков, что приводит к необратимым изменениям. Он активно взаимодействует с белками ферментов, участвующих в окислительно-восстановительных процессах, и инактивирует их, нарушая работу клеток.
Свинец также оказывает психотропное и нейротоксическое воздействие. Он быстро проникает в организм и накапливается в нервной системе, вызывая «свинцовые полиневриты». В основном поражаются двигательные волокна, что приводит к двигательной недостаточности. Иногда наблюдаются боли в ногах и болезненные ощущения вдоль нервов. Свинец может также вызывать энцефалопатию, характеризующуюся повреждением нервной ткани мозга и симметричным поражением нервов из-за его накопления в центральной нервной системе.
Ртуть и противоопухолевый препарат винкристин также оказывают нейротоксическое воздействие на нейроны.
Изониазид и другие противотуберкулезные препараты при длительном применении могут вызывать краниальную и периферическую невропатию. Механизм повреждения нервов связан с угнетением синтеза пиридоксальфосфата (витамина В6), который является коферментом для большинства метаболических реакций в нервной ткани. Изониазид блокирует его синтез, поэтому для предотвращения периферической невропатии при лечении противотуберкулезными средствами рекомендуется принимать витамин В6.
Инфекции
Различные формы невропатий часто возникают после инфекций. Их развитие связано с токсическим воздействием бактерий и их токсинов на нервные волокна. Например, при дифтерии наблюдаются ранние и поздние невропатии. Первые возникают из-за воздействия дифтерийной палочки на нерв, вторые — из-за токсина, попадающего в кровь и влияющего на нервные волокна. В результате могут развиваться невропатии глазодвигательного, диафрагмального, блуждающего нервов и периферические полиневропатии.
Невропатии также могут возникать при заражении вирусом герпеса, особенно вирусом Варицелла-Зостер и ВИЧ. Вирус Варицелла-Зостер проникает в нервные узлы и может оставаться там долго. При неблагоприятных условиях он может реактивироваться и поражать нервные волокна, вызывая невропатии лицевого и глазодвигательного нервов, а также полиневропатии различных нервных сплетений.
Существуют и наследственные невропатии, которые развиваются независимо от других заболеваний. Они передаются из поколения в поколение. Большинство из них — сенсорные невропатии, но встречаются и моторные, нарушающие двигательные функции.
К наследственным невропатиям относятся:
- патология Шарко-Мари-Тута — поражает малоберцовый нерв, что приводит к атрофии мышц голени;
- синдром Рефсума — сопровождается развитием двигательной невропатии;
- синдром Дежерина-Сотта или гипертрофическая полиневропатия — характеризуется поражением стволовых нервов.
Симптомы невропатий
Симптоматика невропатий разнообразна и зависит от пораженного нерва. Существует два основных типа невропатий: краниальная и периферическая.
Краниальная невропатия затрагивает черепно-мозговые нервы, представленные 12 парами. К ней относятся зрительная, слуховая, лицевая и другие виды.
Периферическая невропатия затрагивает нервные окончания и сплетения в конечностях. Этот тип часто встречается при алкогольной, диабетической и травматической формах.
Симптомы зависят от типа нервных волокон. Поражение моторных волокон приводит к двигательным расстройствам, проявляющимся в мышечной слабости и нарушениях походки. При легких и умеренных формах могут наблюдаться парезы, а в тяжелых — параличи с полной утратой двигательной активности, что приводит к атрофии соответствующих мышц. Например, повреждение нервов голени вызывает атрофию мышц в этой области, а поражение лицевых нервов — атрофию мимических и жевательных мышц.
При поражении сенсорных волокон возникают нарушения чувствительности, проявляющиеся как в снижении, так и в повышении чувствительности, а также в виде парестезий, таких как ощущение холода, тепла или «ползание мурашек».
Нарушение работы желез внешней секреции, например, слюнных, связано с повреждением вегетативных волокон, входящих в состав различных нервов или представленных отдельными нервами.
Симптомы невропатии лицевого нерва
Лицевой нерв включает вкусовые, секреторные и двигательные волокна, что приводит к разнообразным клиническим проявлениям его поражения, зависящим от локализации повреждения.
Основные симптомы невропатии лицевого нерва:
- асимметрия лица;
- нарушения слуха;
- потеря вкусовых ощущений, сухость во рту.
На ранних стадиях может возникать болевой синдром и парестезии, такие как онемение и покалывание в области уха, скул, глаз и лба на стороне поражения. Эти проявления обычно кратковременны, длятся от одного до двух дней, после чего появляются симптомы, связанные с нарушением функций лицевого нерва.
Асимметрия лица
Ключевой признак невропатии лицевого нерва — асимметрия, возникающая из-за повреждения двигательных волокон, что приводит к парезу мимических мышц. При одностороннем поражении одна половина лица остается неподвижной, что заметно при проявлении эмоций. В состоянии покоя это может быть менее очевидно. Кожа на лбу не образует складок, пациент не может поднять брови, а носогубная складка на пораженной стороне сглажена. Уголок рта опущен, и глаз не закрывается полностью, что приводит к слезотечению и может вызвать ксерофтальмию — сухость роговицы и конъюнктивы, покраснение и воспаление глаза.
При приеме пищи пациент сталкивается с трудностями: жидкая еда вытекает, а твердая может застревать за щекой. Также возникают сложности при разговоре.
Нарушения слуха
При невропатии лицевого нерва возможно снижение слуха, вплоть до глухоты, или его усиление (гиперакузия). Снижение слуха наблюдается при повреждении нерва в пирамиде височной кости после отхождения большого каменистого нерва. Может развиваться синдром внутреннего слухового прохода, характеризующийся снижением слуха, шумом в ухе и параличом лицевой мускулатуры.
Гиперакузия возникает при поражении лицевого нерва до отхождения большого каменистого нерва.
Потеря вкусовых ощущений, сухость во рту
При повреждении вкусовых и секреторных волокон лицевого нерва возникают расстройства вкуса. Потеря вкусовых ощущений затрагивает передние две трети языка, так как лицевой нерв отвечает за иннервацию этой области, в то время как задняя треть иннервируется языкоглоточным нервом.
Также может наблюдаться сухость во рту или ксеростомия, связанная с нарушением работы слюнных желез, иннервируемых лицевым нервом. Дисфункция подчелюстной и подъязычной слюнной железы наблюдается при невропатии нерва.
Если вовлекается корешок лицевого нерва, могут поражаться тройничный, отводящий и слуховой нервы, добавляя к симптомам невропатии признаки поражения соответствующих нервов.
Симптомы невропатии тройничного нерва
Тройничный нерв, как и лицевой, является смешанным нервом с чувствительными и двигательными волокнами. Чувствительные волокна находятся в верхней и средней ветвях, а двигательные — в нижней. Симптомы невропатии тройничного нерва зависят от поврежденной части.
Основные симптомы невропатии тройничного нерва:
- потеря чувствительности кожи лица;
- паралич жевательных мышц;
- болевые ощущения в лице.
Потеря чувствительности кожи лица
Потеря чувствительности может проявляться как в снижении, так и в полной утрате. Возможны парестезии: ощущение мурашек, холод или покалывание. Локализация симптомов зависит от пораженной ветви. При повреждении глазничной ветви расстройства чувствительности наблюдаются в области верхнего века, глаза и спинки носа. При затрагивании верхнечелюстной ветви чувствительность нарушается в области внутреннего века, наружного края глаза, верхней части щеки, губы и зубов верхней челюсти.
При повреждении третьей ветви снижение или увеличение чувствительности может быть замечено в области подбородка, нижней губы, нижней челюсти, десен и зубов. Если поврежден узел тройничного нерва, наблюдается нарушение чувствительности во всех трех ветвях.
Паралич жевательных мышц
Этот симптом возникает при поражении двигательных волокон нижнечелюстной ветви. Паралич проявляется слабостью и утратой функции жевательных мышц, что приводит к ослабленному прикусу на стороне поражения. Внешне это проявляется ассиметрией лица: мышечный тонус снижен, височная ямка на пораженной стороне западает. В некоторых случаях нижняя челюсть может отклоняться от средней линии. При двусторонней невропатии жевательные мышцы могут полностью парализоваться, и нижняя челюсть будет отвисать.
Лицевая боль
Боль при невропатии тройничного нерва — основной симптом. Она известна как невралгия тройничного нерва или лицевой тик.
Боль имеет приступообразный характер, с кратковременными (от нескольких секунд до минуты) приступами резкой боли. В 95% случаев они локализуются в области иннервации второй и третьей ветвей, то есть в зоне наружного угла глаза, нижнего века, щеки и челюсти (вместе с зубами). Боль всегда односторонняя и редко иррадиирует на противоположную сторону. Интенсивность боли может быть такой, что человек замирает во время приступа, в тяжелых случаях возможен болевой шок. Приступ боли может вызывать спазм лицевых мышц — лицевой тик. Боль может сопровождаться онемением лица или другими парестезиями.
Если повреждена какая-либо из ветвей тройничного нерва, боль может быть ноющей, а не приступообразной.
Приступ боли может быть спровоцирован даже незначительным прикосновением к лицу, разговором, жеванием или бритьем. Частые приступы могут вызывать отек и покраснение слизистой глаза, зрачки почти всегда расширены.
Симптомы невропатии локтевого нерва
При невропатии локтевого нерва нарушаются двигательная активность и чувствительность. Локтевой нерв, выходящий из плечевого сплетения, иннервирует локтевой сгибатель кисти, безымянный палец и мизинец.
Основные симптомы невропатии локтевого нерва:
- потеря чувствительности в указанных пальцах и возвышении мизинца;
- затруднения при сгибании кисти;
- проблемы с разведением и сведением пальцев;
- атрофия мышц предплечья;
- развитие контрактур.
На ранних стадиях пациенты ощущают онемение и покалывание в мизинце и безымянном пальце, а также по внутренней стороне предплечья. Со временем добавляется боль, часто ноющая, заставляющая держать руку в согнутом положении. В дальнейшем наблюдаются слабость и атрофия мышц кисти, что затрудняет выполнение физических действий, например, поднятие чайника или ношение сумки. Атрофия проявляется в сглаживании возвышения мизинца и мышц вдоль локтевой стороны предплечья, а также в атрофии мелких межфаланговых и межкостных мышц, что снижает силу в руках.
При длительном течении невропатии могут развиваться контрактуры, представляющие собой стойкое ограничение подвижности сустава. В случае невропатии локтевого нерва возможна контрактура Фолькмана или «когтистая лапа», характеризующаяся когтеобразным положением пальцев, сгибанием запястья и дистальных суставов пальцев, что связано с атрофией межкостных и червеобразных мышц.
Снижение чувствительности может привести к полной утрате чувствительности на мизинце, безымянном пальце и локтевом крае ладони.
Диагностика невропатии
Главным способом диагностики невропатий является неврологический осмотр. Также применяются инструментальные и лабораторные методы. Среди инструментальных методов особое внимание уделяется электрофизиологическому исследованию периферических нервов, в частности, электромиографии. Лабораторные методы включают анализы на специфические антитела и антигены, характерные для аутоиммунных и демиелинизирующих заболеваний.
Неврологический осмотр
Заключение диагностики включает визуальный осмотр, анализ рефлексов и выявление симптомов, указывающих на поражение нерва.
При длительной невропатии асимметрия лица становится заметной, что касается лицевого и тройничного нервов, а также конечностей при невропатии локтевого нерва и полиневропатии.
Визуальный осмотр и опрос при невропатии лицевого нерва
Врач просит пациента закрыть глаза и наморщить лоб. При невропатии лицевого нерва складка на лбу со стороны поражения отсутствует, глаз не закрывается полностью, и через щель между веками видна часть склеры, что придает глазу сходство с глазом зайца.
Затем пациенту предлагают надуть щеки, что невозможно из-за выхода воздуха через парализованный уголок рта. Этот симптом называется «парус». При попытке оскалить зубы наблюдается асимметрия рта.
При диагностике невропатии лицевого нерва врач может попросить пациента выполнить следующие действия:
- зажмурить глаза;
- нахмурить лоб;
- поднять брови;
- оскалить зубы;
- надуть щеки;
- попробовать посвистеть или подуть.
Врач также интересуется наличием вкусовых нарушений и проблемами с жеванием. Важно выяснить, была ли вирусная или бактериальная инфекция, так как вирус герпеса третьего типа может долго сохраняться в нервных узлах.
Симптомы, такие как боль и парестезии в области лица и уха, могут быть слабо выражены и присутствовать в первые 24–48 часов. При невропатии лицевого нерва ослабляются роговичный и мигательный рефлексы.
Визуальный осмотр и опрос при невропатии тройничного нерва
Основным критерием при невропатии тройничного нерва является пароксизмальная боль. Врач выясняет характер болей и наличие специфических курковых зон.
Характерные признаки болевого синдрома при невропатии тройничного нерва:
- пароксизмальный характер;
- высокая интенсивность (боль сравнивается с электрическим током);
- вегетативный компонент – слезотечение, выделения из носа, локальное потоотделение;
- лицевой тик – спазм или подергивание мышц во время приступа;
- курковые зоны – области, при прикосновении к которым возникают боли (например, десна, небо).
Во время обследования врач также выявляет снижение надбровного, роговичного и нижнечелюстного рефлекса.
Для определения зон с нарушением чувствительности врач исследует кожу лица на симметричных участках, а пациент оценивает одинаковость ощущений. В процессе может быть выявлено снижение или выпадение чувствительности.
Визуальный осмотр и опрос при невропатии локтевого нерва
Врач осматривает руки пациента. При длительной невропатии локтевого нерва диагноз не вызывает затруднений. Характерное положение кисти в виде «когтистой лапы» и атрофия мышц возвышения мизинца указывают на диагноз. На ранних стадиях, когда явные признаки отсутствуют, врач применяет специальные приемы.
При выявлении невропатии локтевого нерва отмечаются следующие симптомы:
- Пациент не может полностью сжать руку в кулак, так как безымянный палец и мизинец не сгибаются.
- Из-за атрофии межкостных и червеобразных мышц больной не может развести пальцы веером.
- Больной не может прижать кисть к столу и провести мизинцем по поверхности.
- Больной не может полностью согнуть кисть в ладони.
Чувствительность утрачивается на мизинце, локтевой стороне предплечья и кисти, а также на безымянном пальце.
Осмотр при других невропатиях
Неврологический осмотр включает исследование рефлексов. При невропатии лучевого нерва ослабевает рефлекс с трехглавой мышцы, при невропатии большеберцового нерва исчезает ахиллов рефлекс, а при поражении малоберцового нерва – подошвенный рефлекс. Проверяется тонус мышц, который на начальных этапах может быть снижен, а затем полностью утрачивается.
Методы лабораторной диагностики
Специфические маркеры для невропатий отсутствуют. Лабораторные методы помогают выявить их причины. Чаще всего диагностируются аутоиммунные и демиелинизирующие заболевания, метаболические расстройства и инфекции.
Лабораторная диагностика диабетической невропатии
При диабетической невропатии ключевым показателем является уровень глюкозы в крови, который не должен превышать 5,5 миллимоль на литр. Важен также уровень гликозилированного гемоглобина (HbA1C), который не должен превышать 5,7 процента.
Серологическое обследование включает определение антител и антигенов для выявления специфических антител к инсулину, клеткам поджелудочной железы и тирозинфосфатазе.
Лабораторная диагностика невропатий, вызванных аутоиммунными заболеваниями
Аутоиммунные заболевания, включая болезни соединительной ткани, характеризуются наличием специфических антител в сыворотке крови, вырабатываемых против собственных клеток.
Наиболее распространенные антитела при аутоиммунных заболеваниях:
- антитела anti-Jo-1 – при дерматомиозитах и полимиозитах;
- антицентромерные антитела – при склеродермии;
- антитела ANCA – при болезни Вегенера;
- антитела ANA – при системной красной волчанке и других аутоиммунных патологиях;
- антитела anti-U1RNP – при ревматоидном полиартрите и склеродермии;
- антитела anti-Ro – при синдроме Шегрена.
Лабораторная диагностика невропатий, вызванных демиелинизирующими заболеваниями
При демиелинизирующих заболеваниях существуют специфические лабораторные показатели. Например, при рассеянном склерозе это маркеры DR2 и DR3, а при оптикомиелите Девика – антитела к аквопорину-4 (AQP4).
Лабораторная диагностика постинфекционных невропатий
Маркерами лабораторного исследования являются антитела, антигены и циркулирующие иммунные комплексы. При вирусных инфекциях это антитела к антигенам вируса.
Наиболее распространенные лабораторные показатели при постинфекционных невропатиях:
- VCA IgM, VCA IgG, EBNA IgG — при инфекции вирусом Эпштейн-Барр;
- CMV IgM, CMV IgG — при цитомегаловирусной инфекции;
- VZV IgM, VZV IgG, VZM IgA – при инфекции вирусом Варицелла-Зостер;
- антитела к Campylobacter – при энтеритах, вызванных кампилобактерией. Риск развития синдрома Гийена-Барре при этом типе энтерита увеличивается в 100 раз.
Лабораторная диагностика невропатий, вызванных дефицитом витаминов
Лабораторная диагностика необходима для определения уровня витаминов в организме. Например, нормальный уровень витамина В12 в сыворотке крови должен быть от 191 до 663 пикограмм на миллилитр. Снижение ниже нормы может привести к невропатиям.
Инструментальные исследования
При данной диагностике ключевую роль играют электрофизиологические исследования. Основные методы — измерение скорости передачи нервного импульса и электромиография.
В первом методе фиксируются реакции мышцы на стимуляцию определённых участков нервного волокна, записываемые в виде электрического сигнала. Нерв раздражается в одной точке, ответ регистрируется в другой, а скорость передачи импульса рассчитывается по латентному периоду. Скорость распространения импульсов варьируется: на руках — 60–70 метров в секунду, на ногах — 40–60. При невропатиях скорость значительно уменьшается, а при атрофии нерва может достигать нуля.
Электромиография регистрирует активность мышечных волокон с помощью игольчатых или накожных электродов. Ответы мышцы фиксируются в виде биоэлектрического потенциала, который можно регистрировать с помощью осциллографа и отображать на фотоплёнке или экране. При невропатиях наблюдается снижение мышечной силы. На начальных стадиях фиксируются небольшие изменения в активности, но со временем мышцы могут полностью атрофироваться и терять электрический потенциал.
Кроме этих методов, существуют и другие подходы для выявления причин невропатии, такие как компьютерная томография (КТ) и ядерно-магнитный резонанс (ЯМР). Эти исследования помогают выявить структурные изменения в нервах и головном мозге.
Показатели, выявляемые при КТ и ЯМР:
- утолщение нерва при воспалительных процессах;
- очаги демиелинизации или бляшки, характерные для рассеянного склероза;
- сдавливание нерва анатомическими структурами (позвонком, суставом) при травматической невропатии.
Лечение невропатии
Лечение невропатии зависит от причин ее возникновения. Обычно терапия направлена на устранение основного заболевания и может включать медикаменты или хирургическое вмешательство. Также важно снять симптомы невропатии, особенно болевой синдром.
Медикаменты для облегчения болевого синдрома при невропатии
| Препарат | Механизм действия | Способ применения |
| Карбамазепин (Финлепсин, Тимонил, Тегретол) | Снижает частоту и предотвращает приступы, особенно при невропатии тройничного нерва. | Пролонгированные формы (12 часов) — дважды в день по 150 мг. Обычные формы (8 часов) — трижды в день по 100 мг. |
| Габапентин (Катэна, Тебантин, Конвалис) | Обладает сильным анальгезирующим эффектом, эффективен при постгерпетических невропатиях. | При постгерпетической невропатии: 1 день — 300 мг однократно; 2 день — 1600 мг в два приема; 3 день — 900 мг в три приема. Поддерживающая доза индивидуальна. |
| Мелоксикам (Рекокса, Амелотекс) | Блокирует синтез простагландинов, устраняя болевой синдром и обладая противовоспалительными свойствами. | 1-2 таблетки в сутки через час после еды. Максимальная доза — 15 мг. |
| Баклофен (Баклосан) | Расслабляет мышцы, снижает возбудимость нервных волокон, обеспечивая обезболивающий эффект. | С 1 по 3 день — по 5 мг трижды в день; с 4 по 6 день — по 10 мг трижды в день; с 7 по 10 день — по 15 мг трижды в день. Оптимальная доза — 30-75 мг в сутки. |
| Декскетопрофен (Дексалгин, Фламадекс) | Обладает противовоспалительным и обезболивающим действием. | Дозировка индивидуальна, в среднем 15-25 мг три раза в день. Максимальная доза — 75 мг в сутки. |
Кроме снятия болевого синдрома, проводится витаминотерапия и назначаются препараты для расслабления мускулатуры и улучшения кровообращения.
Медикаменты для лечения невропатии
| Препарат | Механизм действия | Способ применения |
| Мильгамма | Содержит витамины В1, В6 и В12, которые уменьшают дистрофические процессы и способствуют восстановлению нервных волокон. | В первые 10 дней — 2 мл (одна ампула) глубоко в мышцу один раз в сутки, затем через день или два в течение 20 дней. |
| Нейровитан | Содержит витамины В2, В6, В12 и октотиамин, участвует в энергетическом обмене нервных волокон. | По 2 таблетки дважды в день в течение месяца. Максимальная доза — 4 таблетки. |
| Мидокалм | Расслабляет мускулатуру, снимая спазмы. | В первые дни — по 50 мг дважды в день, затем по 100 мг дважды в день. Дозу можно увеличить до 150 мг трижды в день. |
| Бендазол (Дибазол) | Расширяет сосуды, улучшая кровообращение в нервной ткани и снимая спазмы. | В первые 5 дней — по 50 мг в день, затем по 50 мг через день. Общая продолжительность — 10 дней. |
| Физостигмин | Улучшает нервно-мышечную передачу. | Подкожно вводят 0,5 мл 0,1% раствора. |
| Бипериден (Акинетон) | Снимает мышечное напряжение и спазмы. | Вводят 5 мг (1 мл раствора) внутримышечно или внутривенно. |
Лечение заболеваний, вызывающих невропатию
Эндокринные заболевания
В этой группе заболеваний чаще всего встречается диабетическая невропатия. Для предотвращения её прогрессирования необходимо поддерживать уровень глюкозы в норме. Для этого назначаются препараты, снижающие уровень сахара в крови.
К таким препаратам относятся:
- сульфонилмочевины – глибенкламид (манинил), глипизид;
- бигуаниды – метформин (метфогамма, глюкофаж);
Метформин – наиболее распространённое средство для снижения сахара. Он уменьшает всасывание глюкозы в кишечнике, что снижает её концентрацию в крови. Начальная доза – 1000 мг в сутки (две таблетки). Рекомендуется принимать во время еды, запивая водой. Дозу можно увеличить до 2000 мг (2 таблетки по 1000 мг или 4 по 500 мг). Максимально допустимая доза – 3000 мг.
Лечение метформином должно контролироваться по функции почек и биохимическому анализу крови. Наиболее распространённый побочный эффект – лактацидоз; при повышении уровня лактата препарат следует отменить.
Демиелинизирующие заболевания
Для лечения этих заболеваний применяются кортикостероиды, такие как преднизолон и дексаметазон, в дозах, превышающих терапевтические. Это называется пульс-терапией. Например, назначают 1000 мг препарата внутривенно капельно через день на протяжении 5 введений. Затем переходят на таблетки с дозой 1 мг на килограмм массы тела пациента.
Иногда используют цитостатики, такие как метотрексат и азатиоприн. Схема применения зависит от тяжести заболевания и наличия сопутствующих заболеваний. Лечение контролируется по лейкоцитарной формуле.
Аутоиммунные заболевания
При аутоиммунных заболеваниях применяется иммуносупрессивная терапия. Назначают цитостатики (азатиоприн), кортикостероиды (преднизолон) и другие иммунодепрессанты (циклоспорин). Также могут быть рекомендованы нестероидные противовоспалительные средства, такие как мелоксикам и ибупрофен.
Авитаминозы
При авитаминозах назначаются внутримышечные инъекции витаминов. Например, при недостатке витамина В12 – уколы цианокобаламина (по 500 мкг ежедневно), а при нехватке витамина В1 – инъекции 5-процентного тиамина. При одновременном дефиците нескольких витаминов рекомендуются поливитаминные комплексы.
Инфекции
При инфекционных невропатиях лечение направлено на устранение инфекционного агента. Для вирусных невропатий назначается ацикловир, для бактериальных – антибиотики. Также могут быть рекомендованы сосудистые препараты, такие как винпоцетин (кавинтон), циннаризин и антиоксиданты.
Травмы
При травмах важны методы реабилитации: массаж, иглотерапия и электрофорез. В остром периоде могут применяться хирургические методы. При полном повреждении нерва во время операции сшивают концы повреждённого нерва. В некоторых случаях требуется реконструкция нервных стволов. Своевременное вмешательство (в первые часы после травмы) и интенсивная реабилитация способствуют успешному восстановлению функции нерва.
Физиопроцедуры для лечения невропатии
Физиотерапевтические процедуры назначаются в период ремиссии, после острого этапа невропатии. Их цель — восстановление нервной функции и предотвращение осложнений. Обычно курс включает 7–10 сеансов.
Основные физиотерапевтические методы для терапии невропатии:
- электрофорез;
- дарсонвализация;
- массаж;
- рефлексотерапия;
- магнитная терапия;
- водолечение.
Электрофорез
Электрофорез — метод введения лекарств через кожу с помощью электрического тока. На пораженный участок накладывается прокладка с медикаментом, затем устанавливается защитный слой и электрод.
Чаще всего применяется при невропатии лицевого нерва. Используются эуфиллин, дибазол и прозерин. Противопоказания: кожные заболевания, острые инфекции, обострения хронических болезней и злокачественные опухоли.
Дарсонвализация
Дарсонвализация — процедура, при которой на тело пациента воздействует импульсный переменный ток. Она расширяет сосуды и тонизирует организм, улучшая питание нервов.
Процедура выполняется с помощью аппаратов, генерирующих импульсные токи. Противопоказания: беременность, аритмия и эпилепсия.
Массаж
Массаж важен при невропатиях с мышечными спазмами. Различные техники расслабляют мышцы и уменьшают боль. Улучшается кровообращение, что способствует питанию мышц и их нормальному функционированию. Массаж особенно полезен при мышечных парезах, так как прогревание повышает тонус и ускоряет реабилитацию. Противопоказания: острые и гнойные инфекции, злокачественные образования.
Рефлексотерапия
Рефлексотерапия включает массаж биологически активных точек. Метод расслабляет, обезболивает и успокаивает. Его можно сочетать с другими методами и применять через неделю-две после начала заболевания.
Магнитная терапия
Магнитная терапия использует низкочастотное магнитное поле. Основной эффект — снижение болевого синдрома.
Водолечение
Водолечение, или гидротерапия, включает обливания, обтирания, душ, ванны и подводный душ-массаж. Эти процедуры улучшают кровообращение, ускоряют обмен веществ и расслабляют мышцы. Противопоказания: эпилепсия, активная стадия туберкулеза и психические расстройства.
Профилактика невропатии
Профилактика невропатии включает:
- соблюдение правил безопасности;
- укрепление иммунной системы;
- управление стрессом;
- оздоровительные процедуры (массаж, лечебная гимнастика для лицевых мышц);
- своевременное лечение заболеваний, способных вызвать эту патологию.
Меры предосторожности при невропатии
В профилактике недуга важно следовать рекомендациям, чтобы предотвратить его развитие и обострение.
Факторы, которых следует избегать:
- переохлаждение;
- травмы;
- сквозняки.
Повышение иммунитета
Сниженная активность иммунной системы — одна из основных причин невропатии. Людям с предрасположенностью к этому заболеванию важно укреплять иммунную защиту.
Рекомендации для повышения иммунитета:
- ведите активный образ жизни;
- соблюдайте сбалансированное питание;
- употребляйте продукты, укрепляющие иммунитет;
- закаливайте организм.
Образ жизни при ослабленном иммунитете
Регулярные физические упражнения укрепляют иммунную систему и развивают выносливость, что помогает в борьбе с заболеванием. Тем, кто страдает от хронических недугов, стоит проконсультироваться с врачом для выбора безопасных видов активности.
Основные правила физических упражнений:
- выбирайте комфортные виды активности;
- занимайтесь регулярно, чтобы не терять достигнутые результаты;
- начинайте с минимального темпа и продолжительности, постепенно увеличивая нагрузку;
- начните с аэробных упражнений для разогрева мышц;
- лучше всего тренироваться утром.
Спортивные активности для пациентов с невропатией:
- плавание;
- аквааэробика;
- велоспорт;
- бальные танцы.
Если заниматься спортом невозможно, увеличьте физическую активность в течение дня.
Способы повысить физическую активность без специальных упражнений:
- отказ от лифта — подъем и спуск по лестнице укрепляют сердечно-сосудистую и нервную системы, предотвращая заболевания;
- пешие прогулки — ходьба улучшает общее состояние, поднимает настроение и положительно влияет на иммунитет, поддерживая мышцы и здоровье костей;
- домашние дела под музыку — уборка или мытье окон в активном темпе могут стать эффективной тренировкой, сопоставимой с утренней зарядкой.
Рацион питания для укрепления иммунитета
Сбалансированное питание укрепляет защитные функции организма.
Основные компоненты пищи для пациентов с заболеванием:
- витамины;
- микроэлементы;
- белки;
- жиры;
- углеводы;
- продукты с пробиотиками (микроорганизмы, улучшающие кишечную флору).
Витамины для иммунной системы
Недостаток витаминов снижает активность иммунных клеток и ухудшает защиту организма. Важно включать в рацион продукты с витаминами С, А и Е.
Источники витаминов для иммунитета:
- витамин А – куриная и говяжья печень, черемша, калина, сливочное масло;
- витамин Е – орехи (миндаль, фундук, арахис, фисташки), курага, облепиха;
- витамин С – киви, сладкий перец, капуста, шпинат, помидоры, сельдерей.
Микроэлементы и их источники
Недостаток микроэлементов ослабляет иммунную защиту и замедляет восстановление.
Ключевые микроэлементы для иммунной системы:
- цинк – дрожжи, тыквенные семечки, отварная говядина, кунжут, арахис;
- йод – печень трески, рыба (лосось, камбала, морской окунь), рыбий жир;
- селен – печень (свиная, утиная), яйца, кукуруза, рис, фасоль;
- кальций – мак, кунжут, халва, сухое молоко, твердые сыры, брынза;
- железо – красное мясо (говядина, утка, свинина), печень, яичный желток, овсянка, гречка.
Продукты, богатые белком
Белки обеспечивают аминокислотами для синтеза иммуноглобулинов. Важно включать как растительные, так и животные белки.
Продукты с высоким содержанием белка:
- бобовые (фасоль, чечевица, соя);
- крупы (манная, гречневая, овсяная);
- курага, чернослив;
- брюссельская капуста;
- яйца;
- творог, сыр;
- рыба (тунец, лосось, скумбрия);
- печень (говяжья, куриная, свиная);
- мясо (птица, говядина).
Продукты с жирами
Жиры участвуют в выработке макрофагов (клеток, борющихся с микробами). Полезные жиры (полиненасыщенные и мононенасыщенные) важны для здоровья.
Рекомендуемые жиросодержащие продукты:
- жирная и полужирная рыба (лосось, тунец, сельдь, скумбрия);
- растительное масло (кунжутное, рапсовое, подсолнечное, кукурузное, соевое);
- грецкие орехи;
- семечки (подсолнечные, тыквенные);
- кунжут;
- мак.
Продукты с углеводами
Углеводы обеспечивают энергией для борьбы с заболеваниями. Полезнее сложные углеводы, которые нормализуют пищеварение.
Продукты с медленными (сложными) углеводами:
- фасоль, горох, чечевица;
- макаронные изделия из твердых сортов пшеницы;
- рис (неочищенный, бурый);
- овес;
- гречка;
- кукуруза;
- картофель.
Источники пробиотиков
Пробиотики – бактерии, положительно влияющие на здоровье.
Положительные эффекты пробиотиков:
- улучшение работы иммунной системы;
- восполнение недостатка витаминов группы В;
- укрепление слизистой оболочки кишечника;
- нормализация пищеварения.
Продукты с пробиотиками:
- йогурт;
- кефир;
- квашеная капуста (непастеризованная);
- ферментированный сыр;
- хлеб на закваске (без дрожжей);
- ацидофильное молоко;
- консервированные огурцы, помидоры (без уксуса);
- моченые яблоки.
Продукты, ослабляющие иммунитет
К ним относятся алкоголь, табачные изделия, сладости, консерванты и искусственные красители.
Напитки и блюда, которые следует ограничить:
- выпечка и кондитерские изделия – много вредных жиров и сахара, что приводит к дефициту витаминов группы В;
- консервы – содержат много консервантов и усилителей вкуса;
- сладкие газированные напитки – много сахара, могут вызывать газообразование;
- фастфуд – содержит вредные модифицированные жиры;
- крепкие алкогольные напитки – мешают усвоению полезных веществ.
Рекомендации по питанию для профилактики невропатии
Для максимального эффекта от полезных веществ придерживайтесь определенных правил.
Принципы питания при профилактике поражения лицевого нерва:
- свежие фрукты лучше есть за 2 часа до или после основного приема пищи;
- предпочтительны ярко окрашенные фрукты и овощи (красные, оранжевые, желтые);
- полезны варка, запекание и приготовление на пару;
- овощи и фрукты тщательно мыть.
Главное правило – сбалансированное меню с 4–5 приемами пищи в день.
Группы продуктов для ежедневного рациона:
- злаки, бобовые;
- овощи;
- фрукты и ягоды;
- молочные и кисломолочные продукты;
- мясо, рыба, яйца.
Питьевой режим для иммунитета
Взрослому человеку необходимо 2–2,5 литра жидкости в день. Для расчета умножьте вес на 30 (мл воды на 1 кг). Разнообразьте питьевой режим витаминизированными напитками и травяными чаями.
Рецепты для укрепления иммунной системы
Напитки, которые можно приготовить дома:
- ромашковый чай – одну ложку сухих цветков залить 0,5 литра кипятка, пить три раза в день по одной трети стакана;
- имбирный напиток – 50 г натертого имбиря смешать с лимоном и медом, залить горячей водой и употреблять за несколько часов до еды;
- настой хвои – две столовые ложки хвои залить горячей водой, через три часа отфильтровать, добавить лимонный сок и принимать по полстакана дважды в день после еды.
Закаливание организма
Закаливание — это регулярное воздействие на организм водой, солнечными лучами и воздухом. Оно формирует выносливость и улучшает адаптацию к изменениям окружающей среды, а также положительно влияет на нервную систему, развивая устойчивость к стрессу.
Ключевые аспекты успешного закаливания — постепенность и регулярность. Не стоит начинать с длительных сеансов или резко подвергать себя низким температурам. Длительные перерывы могут свести на нет достигнутые результаты, поэтому важно придерживаться графика.
Способы закаливания организма:
- Хождение босиком — полезно гулять босиком по песку или траве для активации биологических точек на стопах.
- Воздушные ванны — в первые 3-4 дня процедуры не должны превышать 5 минут в помещении с температурой 15-17 градусов. Затем можно перейти на открытый воздух при температуре не ниже 20-22 градусов, постепенно увеличивая продолжительность сеансов.
- Обтирания — тело растирается полотенцем или губкой, смоченной в холодной воде, начиная с верхней части.
- Обливания холодной водой — для первых процедур используйте воду комнатной температуры, постепенно снижая её на 1-2 градуса. Людям с ослабленным иммунитетом стоит начинать с обливаний рук и ног. После сеанса тщательно вытирайте и растирайте кожу махровым полотенцем.
- Контрастный душ — начинайте с прохладной и теплой воды, постепенно увеличивая разницу температур.
Борьба со стрессом
Одной из причин невропатии является стресс. Эффективными методами борьбы с негативными ситуациями являются эмоциональное и физическое расслабление. Эти процессы взаимосвязаны: при активации нервной системы возникает мышечное напряжение. Поэтому для повышения устойчивости к стрессу важно развивать навыки расслабления на психологическом и эмоциональном уровнях.
Мышечное расслабление
Для успешного освоения техник мышечной релаксации следуйте нескольким рекомендациям.
Основные правила для релаксации:
- Регулярность – выделяйте 5-10 минут ежедневно для тренировки.
- Занимайтесь в любом положении, но новичкам лучше лечь на спину.
- Выполняйте упражнения в уединённой обстановке, отключив телефон и отвлекающие факторы.
- Лёгкая музыка может повысить эффективность сеансов.
Упражнение «шавасана»
Эта техника сочетает физические упражнения и аутотренинг (повторение фраз).
Этапы выполнения упражнения:
- Лягте на пол или другую ровную поверхность, слегка расставив руки и ноги.
- Приподнимите подбородок, закройте глаза.
- В течение 10 минут произносите фразу «я расслаблен и спокоен»: на «я» – вдох, на «расслаблен» – выдох, «и» – вдох, на «спокоен» – выдох.
- Представляйте, как на вдохе тело наполняется светом, а на выдохе распространяется тепло.
Релаксация по Джекобсону
Этот метод основан на чередовании напряжения и расслабления различных частей тела, что помогает избавиться от стресса. Для начала лягте, расставьте руки и ноги в стороны, закройте глаза.
Этапы релаксации по Джекобсону:
1.Расслабление мышц лица и головы:
- Напрягите мышцы лба на 5 секунд, затем расслабьтесь.
- Закройте глаза, сомкните губы и наморщите нос. После 5 секунд – отпустите напряжение.
2.Упражнение для рук – сожмите кулаки, напрягите предплечья и плечи. Удерживайте несколько секунд, затем расслабьтесь. Повторите несколько раз.
3.Работа с мышцами шеи и плеч – поднимите плечи, напрягая спину и шею. После расслабления повторите 3 раза.
4.Расслабление грудной клетки – на глубоком вдохе задержите дыхание, на выдохе – ослабьте напряжение. Чередуйте вдохи и выдохи в течение 5 секунд, фиксируя расслабление.
5.Упражнение для живота:
- Вдохните, задержите дыхание и напрягите пресс.
- На длинном выдохе расслабьте мышцы и задержитесь на 1-2 секунды.
6.Расслабление ягодиц и ног:
- Напрягите ягодицы, затем расслабьте. Повторите 3 раза.
- Напрягите все мышцы ног, удерживая несколько секунд. После расслабления повторите несколько раз.
Некоторые группы мышц могут не расслабляться быстро. Уделите им больше внимания и увеличьте количество повторений.
Альтернативные методы расслабления
Если нет возможности выполнить упражнения, можно использовать другие способы борьбы со стрессом. Эффективность этих методов зависит от индивидуальных особенностей и ситуации.
Методы для сохранения спокойствия:
- Зеленый чай – улучшает состояние нервной системы и помогает справляться с негативными эмоциями.
- Темный шоколад – способствует выработке гормонов, помогающих в борьбе с депрессией.
- Смена деятельности – отвлекитесь на повседневные дела, приятные воспоминания или любимые занятия; физические упражнения или прогулка на свежем воздухе также помогут.
- Холодная вода – полезно окунуть руки под струю холодной воды, смочить мочки ушей и умыть лицо.
- Музыка – правильно подобранные музыкальные произведения могут нормализовать эмоциональное состояние; положительное влияние оказывают звуки скрипки, фортепиано, природные звуки и классическая музыка.
Оздоровительные мероприятия при невропатии
Предотвратить заболевание можно с помощью массажа и гимнастики для лица, которые пациент может выполнять самостоятельно.
Массаж при невралгии
Перед началом массажа необходимо проконсультироваться с врачом. В некоторых случаях можно использовать массажер с вибрационным эффектом.
Методы массажа для профилактики невралгии:
- растирание плеч, шеи и предплечий;
- поглаживание затылка;
- круговые движения в области скул и щек;
- постукивание подушечками пальцев по бровям, лбу и вокруг губ.
Все движения должны быть мягкими, без сильного давления. Продолжительность сеанса — не более 5 минут. Рекомендуется выполнять массаж ежедневно в течение 3 недель.
Гимнастика для предотвращения приступов невралгии
Регулярное выполнение специальных упражнений улучшает кровообращение и предотвращает застой в мышцах. Для контроля лучше выполнять гимнастику перед зеркалом.
Упражнения лицевой гимнастики:
- наклоны и круговые движения головой;
- потягивание шеи и головы в стороны;
- складывание губ в трубочку и формирование широкой улыбки;
- раздувание и втягивание щек;
- открывание и закрывание глаз с напряжением век;
- поднимание бровей с одновременным нажатием пальцами на лоб.
Лечение патологий, способствующих развитию невропатии
Для снижения риска развития или рецидива невропатии важно своевременно выявлять и устранять провоцирующие факторы.
К факторам, повышающим риск заболевания, относятся:
- заболевания зубов и полости рта;
- гаймориты и синуситы;
- инфекционные заболевания;
- воспаления в среднем ухе и околоушной железе;
- простудные инфекции;
- герпес и другие вирусные инфекции;
- нарушения сердечно-сосудистой системы.
Вопрос-ответ
Какой анализ показывает нейропатию?
Для детальной визуализации структур нервной системы используют магнитно-резонансную томографию (МРТ). Метод позволяет выявить структурные изменения, сдавления или повреждения нервных тканей. Если МРТ недоступна, врач может направить пациента на компьютерную томографию (КТ).
От чего возникает нейропатия?
Посттравматическая нейропатия возникает в результате повреждения нервных волокон при травмах: ушибах, порезах, переломах и т. д. Диабетическая нейропатия — последствие сахарного диабета. Ишемическая нейропатия возникает из-за неправильного кровоснабжения нервов.
Какие симптомы невропатии?
Основной симптом невропатии — тянущая боль по ходу нерва, которая может отдавать в близлежащие ткани. Она сопровождается отсутствием или снижением чувствительности кожи, уменьшением силы мышц, которые иннервируются пораженным нервом.
Советы
СОВЕТ №1
Регулярно проходите медицинские обследования. Невропатия может развиваться незаметно, поэтому важно регулярно проверять состояние нервной системы, особенно если у вас есть предрасполагающие факторы, такие как диабет или хронические заболевания.
СОВЕТ №2
Обратите внимание на симптомы. Если вы заметили такие признаки, как онемение, покалывание или слабость в конечностях, не откладывайте визит к врачу. Ранняя диагностика может значительно улучшить прогноз лечения.
СОВЕТ №3
Следите за своим образом жизни. Правильное питание, регулярные физические нагрузки и отказ от вредных привычек могут помочь снизить риск развития невропатии. Убедитесь, что ваш рацион богат витаминами группы B и антиоксидантами.
СОВЕТ №4
Не игнорируйте лечение сопутствующих заболеваний. Если у вас есть диабет или другие хронические заболевания, важно контролировать их, так как они могут способствовать развитию невропатии. Соблюдайте рекомендации врача и принимайте назначенные препараты.




