Кто такие трихомонады, виды трихомонад
Простейшие – одноклеточные организмы, способные к передвижению благодаря жгутикам и существующие вне организма хозяина. Они напоминают обычные клетки, но функционируют как отдельные организмы.
Название трихомониаз связано с трихомонадами, вызывающими специфические патологические изменения.
Среди трихомонад, паразитирующих в человеческом организме, выделяют три вида:
— Trichomonas elongata – обитает в ротовой полости.
— Trichomonas hominis – находится в кишечнике и питается бактериями и эритроцитами.
— Trichomonas vaginalis – располагается в нижних мочеполовых путях:
* Мочеиспускательный канал
* Влагалище
* Простата
Первые два вида (Trichomonas hominis и Trichomonas elongata) не вредят человеку. Третий вид, наиболее патогенный, вызывает дискомфорт и воспалительные процессы.
Трихомониаз является распространенной инфекцией, вызываемой простейшим организмом Trichomonas vaginalis. Врачи отмечают, что основными причинами заражения являются незащищенные половые контакты, а также использование общих предметов личной гигиены. Симптомы у мужчин могут включать жжение при мочеиспускании, выделения из уретры и дискомфорт в области половых органов. У женщин заболевание проявляется зудом, выделениями с неприятным запахом и болями внизу живота.
Диагностика трихомониаза осуществляется с помощью лабораторных исследований, таких как микроскопия выделений и ПЦР. Врачи подчеркивают важность раннего выявления инфекции, так как она может привести к серьезным осложнениям, включая бесплодие. Эффективное лечение включает применение антибиотиков, таких как метронидазол или тинидазол. Специалисты рекомендуют также проводить обследование и лечение партнеров, чтобы предотвратить повторное заражение.

Пути инфицирования трихомонадой
Трихомониаз — распространенное заболевание, затрагивающее мужчин и женщин, особенно активных в половой жизни. Основной путь передачи — половой, через незащищенные контакты. Возможна контактно-бытовая передача, но риск минимален, так как трихомонады выживают вне организма всего 10-15 минут.
Во влагалище обычно присутствуют лактобациллы, которые подкисляют среду и защищают от патогенных микроорганизмов. Факторы, снижающие кислотность:
- Частые случайные половые связи
- Неправильная гигиена
- Менструация
- Беременность
При ослаблении защитных механизмов размножение трихомонад становится возможным. Вагинальная трихомонада выделяет вещества для прикрепления к слизистой и ферменты, разрушающие клетки. Это вызывает воспаление, проявляющееся симптомами:
- Покраснение и отек слизистой
- Отслоение клеток
- Мелкоточечные кровоизлияния
- Повышение местной температуры
Иммунные клетки мигрируют к месту внедрения паразитов, выделяя вещества, увеличивающие проницаемость сосудов и раздражающие нервные окончания.
При трихомониазе страдают слизистая влагалища, мочеиспускательный канал и мочевой пузырь. Патологические изменения в железах преддверия влагалища встречаются реже. Заболевание чаще наблюдается у женщин 18-45 лет.
Период инкубации — от 3-5 до 20-30 дней. В это время трихомонады размножаются, но симптомы могут отсутствовать.
Трихомонадный кольпит (вагинит)
Кольпит — воспаление слизистой влагалища. Для острого трихомонадного кольпита характерны:
- Сильный зуд и жжение
- Покраснение и расчесы в промежности
- Пенистые выделения с неприятным запахом, объем которых варьируется
При хорошем иммунитете трихомониаз может протекать скрыто, симптомы могут быть слабо выражены или отсутствовать. Хронический процесс может обостряться перед менструацией.
Трихомониаз в менопаузе
У женщин в климактерическом периоде заболеваемость трихомониазом может варьироваться. Недостаток эстрогенов приводит к атрофии слизистой влагалища, что способствует росту трихомонад. Основные симптомы:
- Слизисто-гнойные выделения, иногда с кровью
- Зуд в области преддверия влагалища
- Редкие кровотечения после половых контактов
Трихомониаз может вызывать воспалительные изменения, влияя на течение беременности, что может привести к спонтанным абортам и преждевременным родам. Трихомонады вызывают воспаление, при котором в кровь попадают простагландины, способствующие сокращению матки.
При родах или абортах существует риск распространения инфекции на внутренние половые органы. Хронический трихомониаз может привести к временному бесплодию из-за фагоцитоза сперматозоидов и снижения их подвижности.
Трихомониаз может передаваться от матери к ребенку при родах, вызывая аналогичные изменения во влагалище девочек. К 3-4 неделе жизни уровень эстрогенов снижается, и развитие трихомонад прекращается. С началом полового созревания начинается активная выработка половых гормонов, что создает условия для размножения лактобацилл.
Расстройства со стороны ЦНС
Воспаление слизистой и обильные выделения могут негативно сказаться на качестве полового акта, вызывая болезненные ощущения и эмоциональный дискомфорт.
Трихомонадный уретрит
Это воспаление мочеиспускательного канала, вызванное трихомонадами. Заболевание часто протекает скрыто, симптомы проявляются при обострении. Заражение происходит через влагалище при неосторожных половых контактах.
Симптомы трихомонадного уретрита:
- Слизисто-гнойные выделения с неприятным запахом
- Боль и жжение при мочеиспускании
У мужчин чаще поражается мочеиспускательный канал, реже — простата. После полового акта с инфицированной женщиной трихомонады обнаруживаются у 70% мужчин на второй день, но через 5 дней их остается только 30%. Это говорит о неблагоприятных условиях для их жизни в уретре.
Симптомы у мужчин часто проявляются скрыто, но при обострении возникают те же симптомы, что и у женщин. Хронический трихомониаз может привести к воспалению простаты, что сопровождается:
- Ощущением неполного опорожнения мочевого пузыря
- Затруднением при мочеиспускании
Клинические симптомы требуют лабораторных анализов для выявления патогенных микроорганизмов.
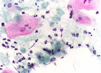
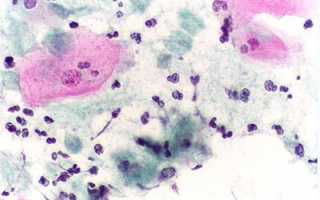
Микроскопический метод
Для диагностики трихомониаза берут мазки со слизистой влагалища. У женщин мазки берут из:
- Заднего свода влагалища
- Канала шейки матки
- Мочеиспускательного канала
У мужчин исследуются:
- Соскоб из мочеиспускательного канала
- Предстательная жидкость
- Сперма
Лабораторные исследования следует проводить в течение 30 минут после взятия мазков, так как трихомонады быстро погибают вне организма. Мазки помещаются на предметное стекло, обрабатываются раствором хлорида натрия и исследуются под микроскопом. В некоторых случаях мазки окрашивают для лучшего выявления трихомонад.
Культивирование трихомонад
Этот метод позволяет определить количество трихомонад и их чувствительность к препаратам, что важно для назначения эффективного лечения. Культивирование проводится путем посева мазков на питательные среды.
Метод ПЦР
Это высокоэффективный метод, позволяющий обнаружить ДНК трихомонад в любых биологических жидкостях. Точность анализа составляет 100%, результаты доступны на следующий день.
Для успешного лечения трихомониаза необходимо:
- Лечение должно проходить одновременно у обоих половых партнеров.
- Избегать половых контактов в период лечения.
- Применять противотрихомонадные препараты (метронидазол, тинидазол).
- Соблюдать гигиенические правила:
- Ежедневное подмывание с антисептиками или мылом.
- Движения при подмывании — спереди назад.
- Индивидуальное использование туалетных принадлежностей.
- Ежедневная смена нижнего белья.
- Лечить сопутствующие инфекции мочеполовых органов.
Предлагаются несколько схем лечения трихомониаза с использованием противотрихомонадных средств.
Схема с метронидазолом
В первый день принимают по 1 таблетке 4 раза, со второго по седьмой день — по 1 таблетке 3 раза в день.
Метронидазол — противомикробный препарат, угнетающий генетический аппарат бактерий. Противопоказания: беременность и повышенная чувствительность.
Схема с тинидазолом
Однократно принимают 4 таблетки по 500 мг или на протяжении 7 дней по 1/3 таблетки 2 раза в день.
Тинидазол — препарат с аналогичным действием и побочными эффектами. Противопоказания: нарушения кроветворения, беременность и лактация.
Схема с Клионом – Д
Клион – Д — комбинированный препарат, содержащий метронидазол и миконазол. Назначается в виде вагинальных свечей по 1 штуке на ночь в течение 10 дней.
| Важно помнить, что эффективное лечение трихомониаза возможно только под наблюдением врача. Самолечение может навредить вашему организму! |
Контроль эффективности лечения:
- В течение 2-3 месяцев после лечения берутся мазки из влагалища и уретры для микроскопического исследования на наличие трихомонад.
- Мазки следует брать на 1-3 день после менструации.
Профилактические меры направлены на защиту от трихомониаза и других инфекций, передающихся половым путем.
- Профилактика начинается с просвещения о здоровом образе жизни и методах контрацепции. Это особенно важно для подростков.
- Молодые люди, ведущие активную половую жизнь, должны быть осторожны в выборе партнеров и избегать случайных контактов. Идеально — иметь одного постоянного партнера. Использование презервативов также важно.
- Регулярные профилактические осмотры у гинеколога не реже одного раза в год помогут выявить возможные инфекции.
- Лечение сопутствующих заболеваний мочеполовых органов снижает риск заражения трихомонадами.
- Использование общих туалетных принадлежностей может способствовать распространению трихомонад, поэтому каждому следует иметь свои средства личной гигиены.
- Перед планированием беременности необходимо сдать анализы на наличие скрытых инфекций и проконсультироваться с врачом.
Чаще всего трихомониаз приводит к осложнениям во время беременности:
- Преждевременные роды
- Низкий вес ребенка при рождении
- Передача инфекции ребенку во время родов
Трихомониаз также может повышать риск заражения другими инфекциями, включая ВИЧ.
Питание при трихомониазе должно быть полноценным, особенно во время приема противотрихомонадных препаратов. Завтрак должен быть сытным, желательно кашей. Полезно принимать ферменты поджелудочной железы и пробиотики для предотвращения дисбактериоза.
Не рекомендуется употреблять алкоголь в течение 24 часов после метронидазола и 72 часов после тинидазола.
Во время лечения трихомониаза секс противопоказан по двум причинам:
- Риск передачи инфекции партнеру.
- Половые контакты могут снизить эффективность лечения.
Презервативы снижают риск заражения на 90%, но не обеспечивают полной защиты от трихомониаза.
В Международной классификации болезней 10-го пересмотра трихомониаз имеет несколько кодов:
- A59 — общий код для всех видов трихомониаза.
- A59.0 — трихомониаз органов мочеполовой системы.
- A59.8 — трихомониаз других локализаций.
- A59.9 — неуточненный трихомониаз.
- A07.8 — кишечный трихомониаз.
Хламидиоз и трихомониаз — разные заболевания, хотя оба относятся к инфекциям, передающимся половым путем. Хламидиоз вызывается микроорганизмом, относящимся к отдельному семейству бактерий.
| Признак | Женщины | Мужчины |
|---|---|---|
| Причины | Заражение через половой контакт с инфицированным партнером; реже – через предметы обихода (полотенца, белье) | Заражение через половой контакт с инфицированной партнершей; реже – через предметы обихода (полотенца, белье) |
| Симптомы | — обильные, пенистые, желтовато-зеленые выделения из влагалища — зуд и жжение во влагалище и вульве — дизурия (болезненное мочеиспускание) — диспареуния (болезненные половые акты) — неприятный запах выделений — боли внизу живота (у многих женщин симптомы отсутствуют) |
— выделения из уретры (часто скудные, прозрачные или беловатые) — жжение и зуд в уретре — дизурия (болезненное мочеиспускание) — частое мочеиспускание — боли внизу живота (редко) (у большинства мужчин симптомы отсутствуют или слабо выражены) |
| Диагностика | Микроскопическое исследование влагалищного мазка; ПЦР-диагностика; культуральное исследование | Микроскопическое исследование уретрального мазка; ПЦР-диагностика; культуральное исследование |
| Лечение | Метронидазол (в таблетках или вагинальных свечах), Тинидазол, Орнидазол; лечение обоих партнеров одновременно обязательно | Метронидазол (в таблетках), Тинидазол, Орнидазол; лечение обоих партнеров одновременно обязательно |
| Возможные осложнения (женщины) | Восходящая инфекция, поражение маточных труб (сальпингит), бесплодие, воспалительные заболевания органов малого таза | |
| Возможные осложнения (мужчины) | Воспаление предстательной железы (простатит), эпидидимит |
Трихомониаз — это инфекционное заболевание, вызываемое простейшим организмом Trichomonas vaginalis. У мужчин и женщин симптомы могут различаться. У женщин часто наблюдаются зуд, жжение, выделения с неприятным запахом и дискомфорт при мочеиспускании. У мужчин заболевание может протекать бессимптомно, но иногда проявляется жжением и выделениями из уретры. Диагностика включает микроскопическое исследование выделений и ПЦР-тесты. Эффективное лечение обычно состоит из курса антибиотиков, таких как метронидазол или тинидазол. Важно пройти лечение обоим партнерам, чтобы избежать повторного заражения. Профилактика включает использование презервативов и регулярные медицинские осмотры.

Причины развития трихомониаза
В нормальных условиях микрофлора влагалища состоит из лактобацилл (палочек Дедерлейна), которые подкисляют среду и препятствуют размножению патогенных бактерий и паразитов.
Факторы, снижающие кислотность влагалищной среды:
- частые случайные половые контакты
- игнорирование гигиенических норм
- менструальный цикл
- беременность
Эти факторы ослабляют защитные механизмы организма, создавая условия для появления патогенных микроорганизмов, включая трихомонады. Вагинальная трихомонада — патогенный агент, который, попадая на слизистую влагалища, выделяет вещества для закрепления на стенках. Она также производит ферменты, разрушающие клетки слизистой оболочки. В ответ на это в слизистой развиваются воспалительные процессы, проявляющиеся следующими симптомами:
- яркое покраснение и отек слизистой
- отслоение верхнего слоя клеток
- мелкие кровоизлияния
- повышение местной температуры
Эти реакции вызваны миграцией иммунных клеток к месту внедрения паразитов, которые вырабатывают биологически активные вещества. Они увеличивают проницаемость мелких кровеносных сосудов и раздражают нервные окончания, что приводит к описанным симптомам.
Симптомы трихомониаза, фазы развития заболевания

Симптомы трихомониаза у женщин
При трихомониазе страдает слизистая влагалища, а также могут быть затронуты уретра и мочевой пузырь. В редких случаях воспаление охватывает выводные протоки больших желез преддверия влагалища, выделяющих секрет для уменьшения трения во время полового акта.
Возраст пациентов важен для анализа клинических проявлений. Трихомониаз чаще диагностируется у женщин репродуктивного возраста (18-45 лет), ведущих активную половую жизнь.
Период инкубации — время от заражения до появления симптомов составляет 3-5 дней, но может длиться до 20-30 дней. В этот период трихомонады размножаются, но не наносят значительного ущерба слизистой. Женщины обычно не испытывают симптомов и чувствуют себя здоровыми.
Трихомонадный кольпит (вагинит)
Кольпит — воспаление слизистой влагалища. Латинское название — вагинит.
Для острого трихомонадного кольпита характерны:
- Интенсивный зуд и жжение в области влагалища и половых губ из-за воздействия трихомонад и наличия пенистых выделений.
- Покраснение и расчесы кожи в области промежности и половых губ, возникающие из-за зуда.
- Пенистые выделения с неприятным запахом, объем которых варьируется от обильных желтых при остром течении до скудных серых при хроническом процессе. Пенистость и обилие секрета обусловлены жизнедеятельностью бактерий, выделяющих газ вместе с трихомонадами.
При хорошем иммунитете заболевание может протекать в скрытой хронической форме, симптомы могут отсутствовать или быть слабо выраженными, а воспалительные изменения — незначительными. Хронический процесс может обостряться перед менструацией из-за снижения уровня эстрогенов, которые участвуют в обновлении клеток слизистой и поддержании кислой среды. Трихомонады питаются гликогеном, образующимся благодаря лактобациллам.
Трихомониаз в менопаузальном периоде.
У женщин в климактерическом периоде заболеваемость трихомониазом может варьироваться. Недостаток эстрогенов приводит к атрофии слизистой влагалища, нарушает микрофлору и снижает местный иммунитет, создавая условия для роста трихомонад и других патогенных микроорганизмов. Основные проявления:
- Слизисто-гнойные выделения, иногда с кровянистыми прожилками
- Зуд в области преддверия влагалища
- Небольшие кровотечения после половых контактов
Беременность и трихомониаз
Трихомониаз вызывает воспаление половых органов, что негативно влияет на беременность. Это заболевание может привести к спонтанным абортам и преждевременным родам. Трихомонады вызывают воспаление, в результате которого в кровь попадают простагландины, усиливающие сокращения матки и способствующие выталкиванию плода.
Во время родов или абортов возрастает риск распространения инфекции на внутренние половые органы — матку, маточные трубы и яичники. Трихомонады могут прикреплять к себе бактерии и другие микроорганизмы, что объясняет опасность трихомонадного кольпита во время беременности и риск осложнений.
Хронический трихомониаз может вызвать временное бесплодие. Причины временного бесплодия включают:
- Фагоцитоз сперматозоидов. В условиях воспаления в слизистой оболочке накапливаются защитные клетки (нейтрофилы, макрофаги), которые разрушают не только патогенные микроорганизмы, но и сперматозоиды.
- Снижение подвижности сперматозоидов из-за токсических продуктов обмена трихомонад, что мешает им достичь яйцеклетки.
Трихомониаз в детском возрасте
Согласно источникам, трихомониаз может передаваться от матери к ребенку во время родов, что приводит к изменениям во влагалище девочек. Для роста трихомонад необходим гликоген, вырабатываемый палочками Дедерлейна, а также небольшое количество эстрогенов. Новорожденная девочка получает и палочки, и эстрогены, что создает условия для развития трихомонад. Однако к 3-4 неделе жизни уровень эстрогенов снижается, палочки исчезают, и даже при попадании трихомонад во влагалище их развитие не происходит.
С началом полового созревания начинается активная выработка половых гормонов (эстрогены, прогестерон), что способствует росту лактобацилл, производящих гликоген. Заражение трихомонадами может произойти при бытовом контакте (например, через общую мочалку или полотенце) или половым путем.
Расстройства со стороны центральной нервной системы (ЦНС)
Воспалительные изменения слизистой оболочки, вторичная гнойная инфекция и обильные зловонные выделения из влагалища негативно влияют на качество полового акта, делая его болезненным и затруднительным. Хроническое течение заболевания может привести к фригидности из-за болевых ощущений и эмоционального дискомфорта, вызывающего нарушения психоэмоционального состояния женщины.
Трихомонадный уретрит
Трихомонадный уретрит — это воспаление слизистой оболочки мочеиспускательного канала, вызванное патогенными микроорганизмами, включая вагинальные трихомонады. Заболевание часто протекает скрыто, и для обращения к врачу необходимо обострение. Обычно заражение происходит следующим образом: трихомонады попадают во влагалище, и при благоприятных условиях, таких как:
- Несоблюдение правил личной гигиены
- Неразборчивые половые связи
- Совместное использование туалетных принадлежностей
Трихомонады могут проникнуть в мочеиспускательный канал и мочевой пузырь, вызывая воспаление. Симптомами трихомонадного уретрита являются:
- Слизисто-гнойные выделения из мочеиспускательного канала с неприятным запахом
- Боль и жжение при мочеиспускании
Симптомы трихомониаза у мужчин
Чаще всего поражается мочеиспускательный канал, реже — простата. Исследования показывают, что после полового акта с женщиной, инфицированной трихомонадами, у 70% мужчин на вторые сутки в уретре обнаруживаются эти паразиты. Однако через 5 дней трихомонады выявляются лишь у 30% из первоначально зараженных, что указывает на неблагоприятные условия для их существования в уретре.
Клинические проявления заболевания у мужчин часто скрыты. При обострении возникают симптомы, схожие с уретритом у женщин. При хроническом течении трихомонады могут проникать глубже по мочеиспускательному каналу и достигать простаты, вызывая её воспаление. В дополнение к симптомам уретрита могут проявляться:
- Ощущение неполного опорожнения мочевого пузыря
- Затрудненное выделение мочи, иногда каплями
Со временем симптомы могут ослабевать, а выделения становятся слизистыми, что указывает на хроническое течение заболевания.
Диагностика трихомониаза
Клинические проявления трихомониаза, такие как вульвовагиниты и уретриты, требуют лабораторных исследований для выявления патогенных микроорганизмов.
Микроскопический метод
Для подтверждения наличия трихомонад в половых путях берут мазки со слизистой влагалища. Рекомендуется собирать мазки из трех участков:
У женщин
- Задний свод влагалища
- Шейка матки
- Мочеиспускательный канал
У мужчин исследуются:
- Соскоб из мочеиспускательного канала
- Предстательная жидкость
- Сперма
Предстательную жидкость получают с помощью легкого массажа предстательной железы. Лабораторные исследования следует проводить в течение 30 минут после забора мазков, так как трихомонады быстро теряют жизнеспособность.
Материал помещается на предметное стекло, добавляется 0,9% раствор хлорида натрия, затем накрывается покровным стеклом и помещается под микроскоп. В некоторых случаях мазки окрашиваются для более точного выявления трихомонад. Микроскопическое исследование — самый быстрый метод диагностики трихомониаза, позволяющий установить диагноз через 15-20 минут после забора материала.
Культивирование трихомонад
Этот метод, один из трех современных способов определения возбудителя, имеет несколько преимуществ:
- Позволяет установить количество трихомонад в материале, что указывает на степень воспалительного процесса.
- Определяет чувствительность трихомонад к препаратам, что важно для назначения эффективного лечения и корректировки терапии.
Культивирование осуществляется путем посева мазков из влагалища и уретры на специальные питательные среды, где трихомонады начинают размножаться. Затем полученные колонии анализируются под микроскопом.
Метод ПЦР в диагностике трихомониаза
Этот метод позволяет обнаружить трихомонады, особенно при хроническом течении заболевания, когда стандартные микроскопические методы могут быть неэффективны. Для анализа можно использовать любые биологические жидкости, включая кровь, слюну, а также соскобы из слизистой уретры или влагалища.
Метод основан на обнаружении ДНК трихомонад, что обеспечивает точность анализа до 100%. Результаты становятся известны на следующий день, что позволяет своевременно начать лечение.
Лечение трихомониаза
Профилактика трихомониаза
Профилактические мероприятия — это комплексный подход к защите от трихомониаза и других инфекций, передающихся половым путем, таких как гонорея, хламидиоз и сифилис.
- Профилактика начинается с просвещения о здоровом образе жизни, методах контрацепции и путях передачи инфекций, вызывающих воспалительные заболевания половых органов. Эти меры направлены на предотвращение инфекций мочеполовой системы среди молодежи. Медицинские работники и преподаватели должны проводить просветительскую работу среди старшеклассников и студентов.
- Молодые и взрослые, ведущие активную половую жизнь, должны осторожно выбирать половых партнеров. Неразборчивые связи нежелательны; предпочтительнее интимная связь с одним постоянным партнером. Использование презервативов важно для предотвращения нежелательной беременности и защиты от трихомонадной инфекции.
- Регулярные осмотры у гинеколога должны проводиться не реже одного раза в год с обязательным взятием мазков из мочеиспускательного канала, заднего свода влагалища и канала шейки матки. Микроскопическое исследование образцов позволяет выявить инфекции и оценить чистоту влагалища.
- Лечение сопутствующих заболеваний мочеполовой системы, вызванных патогенными микроорганизмами, также важно, так как они могут снижать местный иммунитет и повышать риск заражения трихомонадной инфекцией.
- Совместное использование туалетных принадлежностей (мочалок, полотенец) может способствовать распространению влагалищной трихомонады. Поэтому каждому следует иметь личные средства гигиены.
- При подготовке к беременности необходимо сдать анализы на скрытые инфекции мочеполовых путей как женщине, так и мужчине, а также проконсультироваться с врачом. Перед планированием беременности следует вылечить все возможные очаги инфекции у женщины.
Каковы возможные последствия трихомониаза?
Наиболее распространенные осложнения трихомониаза во время беременности:
- преждевременные роды;
- низкий вес новорожденного;
- передача инфекции ребенку при родах.
Трихомониаз также повышает риск заражения серьезными инфекциями, включая ВИЧ, приводящий к СПИДу.
Как правильно питаться при трихомониазе?
Питание во время лечения зависит от противотрихомониазных средств с антибактериальными свойствами. Как и при использовании антибиотиков, важно обеспечить полноценное питание, чтобы избежать тошноты и расстройств пищеварения. Рекомендуется начинать утро с плотного завтрака, предпочтительно с каши.
Во время терапии полезно принимать ферментные препараты, такие как Мезим-Форте, для поддержки поджелудочной железы. Также стоит рассмотреть средства с бифидобактериями, так как антибиотики могут вызывать дисбактериоз. За детальными рекомендациями лучше обратиться к врачу.
Необходимо помнить, что алкоголь нельзя употреблять в течение 24 часов после приема метронидазола и 72 часов после тинидазола. Эти лекарства могут вызвать реакцию на этанол, приводящую к тошноте, рвоте и другим неприятным ощущениям.
Можно ли заниматься сексом при трихомониазе?
Во время терапии трихомониаза половые акты запрещены по двум причинам:
- Трихомониаз передается через интимные отношения, что увеличивает риск заражения партнера.
- Интимные контакты могут ухудшить результаты лечения.
Защищает ли презерватив от трихомониаза?
Презервативы — доступный и эффективный способ защиты от нежелательной беременности и инфекций, передающихся половым путем. Однако они не обеспечивают полной защиты от этих проблем.
Эти средства снижают риск заражения трихомониазом на 90%. При регулярных интимных отношениях с инфицированным партнером вероятность передачи инфекции возрастает.
Также стоит учитывать, что презерватив может порваться или соскользнуть во время полового акта.
Передается ли трихомониаз во время орального секса?
С теоретической точки зрения вероятность возникновения трихомониазной ангины существует, но на практике это происходит крайне редко. Тем не менее, риски игнорировать не следует.
Как кодируется трихомониаз в МКБ?
Трихомониаз в Международной классификации болезней 10-го пересмотра представлен несколькими кодами:
- A59 – общий код для всех форм трихомониаза.
- A59.0 – трихомониаз мочеполовой системы (урогенитальный трихомониаз).
- A59.8 – трихомониаз в других локализациях. Этот вариант встречается редко, так как трихомонады адаптированы исключительно к мочеполовой системе человека. Внешняя среда и другие органы не обеспечивают им условия для выживания, что приводит к быстрой гибели и отсутствию патологических процессов.
- A59.9 – неуточненный трихомониаз.
- A07.8 – кишечный трихомониаз.
Хламидиоз и трихомониаз – это одно и то же?
Хламидиоз — инфекция, передающаяся половым путем, наряду с трихомониазом, но это разные заболевания. Хламидиоз вызывается микроорганизмом, относящимся к отдельному семейству бактерий, представляющим собой нечто промежуточное между бактериями и вирусами. Хламидия — один из наиболее распространенных возбудителей урогенитальных инфекций в разных странах.
Симптомы, виды и формы
Трихомониаз у детей и беременных
Вопрос-ответ
Как проявляется трихомониаз у мужчин и женщин?
Симптомы заболевания. Если признаки болезни есть, то они чаще появляются через 5-28 дней после того, как трихомонада попадает в организм и начинается заражение. У мужчин и женщин часть симптомов похожи: жжение при мочеиспускании, зуд и покраснение половых органов, болезненность и дискомфорт во время полового акта.
Какое самое эффективное лекарство от трихомонады?
Сафоцид — эффективный препарат для лечения урогенитального трихомониаза и ассоциированных уретрогенных инфекций. Клиническая эффективность Сафоцида составляет 80—95,4% (в зависимости от симптомов), а бактериологическая — 94,2—97,1% (в зависимости от возбудителя).
Откуда берется трихомониаз у женщин?
Основная причина развития – заражение трихомонадой – инфекцией, передающейся половым путем.
Как проверить мужчину на трихомониаз?
Чтобы проверить мужчину на трихомониаз, необходимо обратиться к врачу-урологу или дерматовенерологу, который проведет клинический осмотр и назначит лабораторные тесты, такие как анализ мочи или мазок из уретры. Эти тесты помогут выявить наличие паразита Trichomonas vaginalis. Также важно учитывать, что трихомониаз может быть бессимптомным, поэтому регулярные проверки на инфекции, передающиеся половым путем, рекомендуются для всех сексуально активных людей.
Советы
СОВЕТ №1
Регулярно проходите медицинские обследования. Трихомониаз может протекать бессимптомно, поэтому важно регулярно проверяться у врача, особенно если у вас есть рискованные сексуальные контакты.
СОВЕТ №2
Используйте барьерные методы контрацепции. Презервативы могут значительно снизить риск передачи трихомониаза и других инфекций, передающихся половым путем.
СОВЕТ №3
Не занимайтесь самолечением. Если у вас появились симптомы, такие как зуд, жжение или выделения, обратитесь к врачу для получения точного диагноза и назначения эффективного лечения.
СОВЕТ №4
Информируйте своих партнеров. Если у вас диагностирован трихомониаз, важно сообщить об этом всем вашим сексуальным партнерам, чтобы они также могли пройти обследование и лечение.















