Каковы причины кривошеи?
Причины возникновения кривошеи до конца не установлены, но выделяют две основные:
- Изменение структуры или деформация шейных позвонков. Деформированный позвонок может принимать клиновидную форму, что приводит к неправильному расположению остальных позвонков и, соответственно, к искривлению шеи.
- Нарушение развития грудино-ключично-сосцевидной мышцы с одной стороны шеи. Эти мышцы должны развиваться симметрично для правильного положения головы. При кривошее одна из мышц короче другой.
Кривошея может также развиваться на фоне неврологических заболеваний и аномалий сосудов, костей и мягких тканей шеи. Однако общий объем таких факторов остается относительно небольшим.
Кривошея, или тортиколлис, представляет собой патологическое состояние, при котором голова новорожденного наклонена в одну сторону. Врачи отмечают, что причиной этого может быть как врожденная аномалия, так и травмы, полученные во время родов. Также к кривошее могут привести мышечные спазмы или неправильное положение плода в утробе. Признаки заболевания включают заметный наклон головы, ограничение движений шеи и асимметрию лица.
Методы лечения зависят от причины и степени выраженности кривошеи. Врачами рекомендуются физиотерапия, массаж и специальные упражнения для укрепления мышц шеи. В некоторых случаях может потребоваться использование ортопедических устройств. Важно, чтобы родители обращались к специалистам при первых признаках проблемы, так как раннее вмешательство значительно повышает шансы на полное восстановление.

Признаки кривошеи у новорожденных
При рождении ребенок выглядит здоровым, его голова свободно поворачивается. Однако на 2-3 неделе можно заметить наклон головы в одну сторону. В это время начинается укорочение грудино-ключично-сосцевидной мышцы, что можно ощутить при пальпации.
Грудино-ключично-сосцевидная мышца прикрепляется к костям головы, грудной клетки и ключицы. Она сгибает голову в свою сторону и поворачивает в противоположную. В нормальном положении обе мышцы расслаблены.
Если не предпринимать лечебных мер, симптомы врожденной мышечной кривошеи усиливаются. К третьему месяцу жизни укороченная мышца значительно отстает в росте, что приводит к характерным симптомам:
- Ассиметрия шеи и лица.
- Надплечье с пораженной стороны выше.
- Искривление позвоночника (шейно-грудной сколиоз).
Укороченная мышца тянет за собой ключицу и сосцевидный отросток, что может негативно сказаться на развитии челюстей.
Диагностика кривошеи
Диагностика основана на клинических симптомах и медицинском осмотре. Первые симптомы на 2-3 неделе могут указывать на врожденную патологию. Педиатр ощупывает шею на наличие уплотнений. Позже, при попытке повернуть голову, ребенок может начать плакать из-за укорочения мышцы.
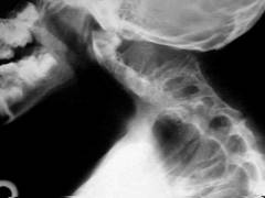
Рентгенологическое исследование
Для уточнения диагноза и выявления костных патологий проводят рентгенографию. На снимках могут быть аномалии шейных позвонков, такие как дополнительный клиновидный позвонок или деформация.
Приобретенные отклонения шеи могут возникать из-за:
- Спазма шейной мускулатуры.
- Ожогов и повреждений кожи.
- Воспалительных процессов в шейных лимфоузлах.
- Болезни Гризеля, связанной с изменением положения первого шейного позвонка.
- Воспалительных заболеваний шейных мышц.
Лечение кривошеи
Метод лечения зависит от степени укорочения мышцы и времени начала терапии. Лечение следует начинать сразу после установления диагноза. Если патология не связана с деформацией шейных позвонков, применяются консервативные методы.
Для новорожденных и детей до месяца рекомендуется:
- Специальные гимнастические упражнения для укрепления и растяжения пораженной мышцы (3-4 раза в день по 5-10 минут).
- Легкий массаж шейно-грудной области с прогревающими процедурами.
- Правильное укладывание ребенка в кроватке, чтобы он поворачивал голову в сторону здоровой мышцы.
- Использование воротника из картона с ватно-марлевой подкладкой для фиксации головы.
С полутора месяцев начинают физиотерапевтические процедуры с йодидом калия для рассасывания уплотнения. Рекомендуется привязывать мешочки с песком к голове, чтобы удерживать ее в правильном положении. Лечение проводится с интервалами в 3-4 месяца.
Если до двух лет консервативное лечение не дало результатов, применяются гипсовые шейные воротники для фиксации головы и шеи.
Операция при кривошее
Если консервативное лечение неэффективно, требуется хирургическое вмешательство. Операция проводится под общим наркозом и заключается в отсечении ножек грудино-ключично-сосцевидной мышцы для ее удлинения. При необходимости выполняется пластическая операция.
После операции на несколько дней надевают картонный воротник, затем подбирается гипсовая повязка. Послеоперационное ведение включает повороты головы и наклоны в противоположную сторону до полного заживления.
Профилактика кривошеи
Основные причины мышечной кривошеи:
- Врожденное недоразвитие мышцы.
- Разрыв волокон во время родов.
- Воспаление мышцы.
- Нарушение кровоснабжения.
Более редкие причины:
- Аномалии шейных позвонков.
- Синдром Клиппеля-Фейля.
- Тяжелые заболевания нервной системы.
Лечение зависит от причины. Например, гимнастика при мышечной кривошее может быть опасна при синдроме Клиппеля-Фейля.
Приобретенная кривошея возникает из-за заболеваний и травм. Основные разновидности:
- Недоразвитие мышц шеи.
- Подвывих шейных позвонков.
- Снижение зрения или слуха.
- Рубцы на коже.
- Неврологические заболевания.
- Спастическая кривошея.
- Длительное вынужденное положение головы.
Лечение определяется причинами.
Спастическая кривошея (цервикальная дистония) возникает из-за напряжения мышц шеи. Причины недостаточно изучены, но связано с поражением головного мозга.
Спастическая кривошея в цифрах:
- Встречается у 1 из 10 000.
- Женщины страдают чаще.
- Может проявиться в любом возрасте, чаще у людей 30-60 лет.
При спастической кривошее голова занимает вынужденное положение, возможны головные боли и спазмы других мышц. Лечение сложно и может иметь побочные эффекты.
| Метод лечения | Описание |
| Ботулинотерапия | Расслабляет мышцы, эффект кратковременный (каждые 3-4 месяца). |
| Препараты против болезни Паркинсона | Улучшают эффект, но могут вызывать побочные эффекты. |
| Миорелаксанты | Применяются редко, могут вызывать побочные эффекты. |
| Обезболивающие препараты | Используются при болях. |
| Лечебная физкультура (ЛФК) | Уменьшает напряжение и повышает гибкость. |
| Хирургическое лечение | Операция при неэффективности медикаментов. |
| Глубокая стимуляция мозга | Применяется в тяжелых случаях. |
Выбор подушки при кривошее
Существуют ортопедические подушки для детей до года. Они могут быть полезны, но мнения врачей расходятся. Подушки могут вызвать напряжение мышц шеи, если используются неправильно.
Рекомендации по выбору подушки:
- Наполнитель должен пропускать воздух.
- Сообщите врачу о частых срыгиваниях.
- Швы должны быть частыми и заправленными внутрь.
- Наполнитель должен быть гипоаллергенным.
- Чехол из натурального материала, легко стирается.
Упражнения при кривошее
Гимнастика должна выполняться по назначению врача. Основные задачи:
- Удлинение мышцы.
- Устранение спазмов.
- Улучшение кровообращения.
- Выравнивание тонуса мышц.
ЛФК можно начинать с месяца жизни. Упражнения могут быть пассивными и активными, обычно сочетаются с массажем.
Ношение воротника при кривошее
Врач может рекомендовать воротник Шанца для фиксации головы.
Правила выбора и ношения воротника:
- Использовать только по назначению врача.
- Следовать рекомендациям по времени ношения.
- Подбирать строго по размеру.
- Обращать внимание на материалы.
- Соблюдать гигиену.
Воротник Шанца эффективен только в сочетании с другими методами лечения.
Электрофорез при кривошее
Электрофорез помогает при мышечной и неврогенной кривошее, но неэффективен при костной. Обычно применяются препараты для расслабления мышцы и рассасывания рубцовой ткани.
Другие методы физиотерапии:
- Инфракрасное облучение.
- Теплотерапия.
Последствия кривошеи
При своевременном лечении кривошею можно исправить. Исключение составляет синдром Клиппеля-Фейля.
Нелеченая кривошея может привести к:
- Усложнению лечения с возрастом.
- Ассиметрии лица.
- Нарушению кровоснабжения мозга.
- Деформации трахеи.
- Нарушению симметрии грудной клетки.
- Частым воспалениям придаточных пазух.
Чем раньше начато лечение, тем лучше результат.
Ложная кривошея
Существует истинная и ложная кривошея. При истинной мышца укорочена, при ложной – напряжена, но без патологических изменений. Важно определить тип для выбора метода лечения.
| Причина кривошеи | Признаки кривошеи | Методы лечения |
|---|---|---|
| Врожденная мышечная кривошея (короткая грудино-ключично-сосцевидная мышца) | Наклон головы к пораженной стороне, поворот подбородка в противоположную сторону, асимметрия лица, ограничение подвижности шеи | Лечебная гимнастика, массаж, физиотерапия, в тяжелых случаях – хирургическое вмешательство |
| Врожденные аномалии позвоночника (например, аномалии развития позвонков) | Деформация шеи, ограничение подвижности, головная боль, боль в шее | Хирургическое вмешательство, ортопедическая коррекция, физиотерапия |
| Травма шеи во время родов | Наклон головы, ограничение подвижности, припухлость в области шеи | Консервативное лечение (массаж, физиотерапия), в тяжелых случаях – хирургическое вмешательство |
| Неврологические заболевания (например, церебральный паралич) | Наклон головы, поворот подбородка, асимметрия лица, спастичность мышц шеи | Лечение основного заболевания, физиотерапия, ортопедическая коррекция |
| Инфекционные заболевания (например, туберкулезный спондилит) | Боль в шее, ограничение подвижности, отек, лихорадка | Лечение основного заболевания, противовоспалительная терапия, физиотерапия |
| Опухоли шеи | Опухоль в области шеи, боль, ограничение подвижности | Хирургическое удаление опухоли, лучевая терапия, химиотерапия |
Кривошея, или тортиколлис, у новорожденных — это состояние, при котором голова ребенка наклонена в одну сторону, а подбородок поворачивается в другую. Причины могут быть различными: от родовых травм до мышечных спазмов. Важно заметить признаки на ранних стадиях, чтобы избежать осложнений. К основным симптомам относятся асимметрия лица, затруднения при повороте головы и неравномерное развитие мышц шеи.
Методы лечения зависят от степени выраженности проблемы. В большинстве случаев рекомендуется физиотерапия, массаж и специальные упражнения, которые помогают укрепить мышцы шеи и улучшить подвижность. В некоторых случаях может потребоваться использование ортопедических устройств. Раннее вмешательство и регулярные занятия с ребенком могут значительно улучшить ситуацию и способствовать нормальному развитию. Родителям важно следить за состоянием малыша и консультироваться с врачом при первых признаках кривошеи.
https://youtube.com/watch?v=T0D5NpbUITI
Диагностика кривошеи
Диагностика врожденной мышечной кривошеи основывается на клинических проявлениях и тщательном медицинском осмотре.
Первые симптомы болезни, возникающие на 2-3 неделе жизни, могут указывать на врожденную патологию.
Во время физического обследования педиатр прощупывает шею на наличие уплотнений в области грудино-ключично-сосцевидной мышцы. Если обращение к врачу происходит позже, при попытке повернуть голову в нормальное положение ребенок может начать плакать. Полное выпрямление головы становится невозможным из-за укорочения грудино-ключично-сосцевидной мышцы.
Рентгенологическое исследование
Для уточнения диагноза и выявления костных аномалий выполняются рентгеновские снимки.
На рентгенограммах могут быть обнаружены аномалии шейных позвонков, такие как дополнительный клиновидный позвонок или деформации. Также возможно частичное сращение шейных позвонков, что приводит к кривошее.
Приобретенные изменения в шее могут наблюдаться в следующих случаях:
- Спазмы шейных мышц, ограничивающие повороты головы.
- Ожоги и другие повреждения кожи в области шеи.
- Воспалительные процессы в шейных лимфоузлах.
- Болезнь Гризеля, при которой смещается первый шейный позвонок (атлант) из-за воспалительных заболеваний зева и носоглотки, что приводит к наклонному положению головы.
- Реже наблюдается кривошея при воспалительных заболеваниях шейных мышц (миалгиях).
Лечение кривошеи
Выбор метода терапии зависит от степени укорочения грудино-ключично-сосцевидной мышцы и времени начала лечения.
Лечение следует начинать сразу после установления диагноза. Если патология не связана с деформацией шейных позвонков, применяются простые методы консервативной терапии.
Консервативное лечение проводится поэтапно, в зависимости от времени начала процедур.
Для новорожденных и детей до одного месяца рекомендуются следующие меры:
- Специальные гимнастические упражнения для укрепления и растяжения грудино-ключично-сосцевидной мышцы. Гимнастика проводится 3-4 раза в день по 5-10 минут и включает повороты головы в обе стороны.
- Легкий массаж шейно-грудной области и прогревающие процедуры замедляют развитие укорочения мышцы.
- Правильное укладывание ребенка в кроватке. Укладывайте его к краю кровати в сторону здоровой мышцы. При звуковых раздражителях ребенок будет пытаться повернуть голову в сторону укороченной мышцы, что поможет занять правильное положение. Длительное пребывание в этой позе способствует равномерному развитию грудино-ключичных мышц.
- Использование воротника из картона с ватно-марлевой подкладкой для удержания головы в прямом положении.
С полутора месяцев начинают физиотерапевтические процедуры с йодидом калия, который способствует рассасыванию уплотнений в пораженной мышце. Рекомендуется прикреплять небольшие мешочки с песком к голове ребенка в постели для удержания головы в правильном положении. Лечение проводится с интервалами в 3-4 месяца.
Если до двухлетнего возраста консервативное лечение не дало результатов или родители не обращались к педиатру, применяются гипсовые шейные воротники. Они фиксируют голову, шею и туловище, и заменяются через равные промежутки времени в зависимости от успеха в исправлении положения головы.
https://youtube.com/watch?v=_ktmG9x8Kv0
Операция при кривошее
В случае неэффективности консервативного лечения требуется хирургическое вмешательство. Операция проводится под общим наркозом и не вызывает серьезных осложнений.
Процедура заключается в отсечении ножек грудино-ключично-сосцевидной мышцы, что позволяет ее удлинить. При необходимости выполняется пластическая операция на измененной мышце.
После операции пациенту на несколько дней надевают картонный ватно-марлевый воротник, затем подбирается гипсовая повязка.
Послеоперационное наблюдение включает регулярные повороты головы (каждые 7-10 дней) и наклоны в сторону, противоположную деформации. Эти мероприятия продолжаются до полного заживления раны и достижения устойчивой фиксации головы в правильном положении. После этого гипсовая повязка снимается, и начинаются курсы массажа и занятия лечебной физкультурой.
Период восстановления может занять несколько месяцев, пока у ребенка не сформируются новые двигательные навыки и не восстановится координация движений головы и тела.
Профилактика кривошеи
Почему возникает кривошея у новорожденного?
Основные причины мышечной кривошеи:
- недоразвитие кивательной мышцы при рождении;
- травма с разрывом волокон кивательной мышцы во время родов;
- воспаление кивательной мышцы;
- нарушение кровоснабжения кивательной мышцы с одной стороны.
Мышечная кривошея — наиболее распространенная форма, но не единственная. Менее распространенные причины:
- Аномалии шейных позвонков. Позвонки могут иметь неправильную (клиновидную) форму или срастаться.
- Синдром Клиппеля-Фейля — наследственное заболевание, при котором срастаются шейные позвонки или их количество уменьшается. У ребенка наблюдается короткая и малоподвижная шея. Важно своевременно диагностировать синдром, так как он может быть связан с другими аномалиями.
- Серьезные заболевания нервной системы, например, опухоли головного или спинного мозга.
Лечение кривошеи должно основываться на ее причине. Физические упражнения, полезные при мышечной кривошее, могут быть неэффективными или опасными для детей с синдромом Клиппеля-Фейля.
Что такое приобретенная кривошея? Каковы причины?
Приобретенная кривошея возникает из-за различных заболеваний и травм. Ключевые виды приобретенной кривошеи:
- Недоразвитие мышц шеи – затрагивает трапециевидную и грудинно-ключично-сосцевидную мышцы с одной стороны.
- Подвывих шейных позвонков – артрогенная кривошея, связанная с заболеваниями суставов.
- Проблемы со зрением или слухом. Человек наклоняет и поворачивает голову в одну сторону для улучшения восприятия, что является компенсаторной реакцией.
- Рубцы на коже. Например, после ожогов, ограничивающих движения шеи и головы, заставляя их оставаться в согнутом положении.
- Неврологические расстройства. Поражения головного или спинного мозга, а также нервов с одной стороны приводят к снижению мышечного тонуса и ограничению подвижности.
- Спастическая кривошея.
- Долгое пребывание в вынужденной позе, когда голова наклонена и повернута в одну сторону, что часто наблюдается у людей определенных профессий.
Лечение приобретенной кривошеи зависит от причин, вызвавших это состояние.
Что такое спастическая кривошея?
Спастическая кривошея, или цервикальная дистония, — это заболевание, характеризующееся напряжением мышц шеи. Причины его возникновения до конца не ясны, но предполагается, что оно связано с повреждением определенных участков головного мозга.
Спастическая кривошея в цифрах:
- Заболевание затрагивает 1 из 10 000 человек.
- Женщины страдают от него в 1,5 раза чаще мужчин.
- Цервикальная дистония может проявляться в любом возрасте, но чаще всего диагностируется у людей 30–60 лет.
Симптомы спастической кривошеи
При спастической кривошее голова находится в неестественном положении из-за напряжения мышц. Это может вызывать головную боль и дискомфорт в шее, который иногда иррадиирует в плечо. У некоторых пациентов со временем возникают спазмы других мышечных групп, чаще всего в области лица и плеч. Боль может быть настолько сильной, что снижает работоспособность и приводит к депрессии.
Лечение спастической кривошеи
Цервикальная дистония — сложное для лечения заболевание. Многие медикаменты имеют значительные побочные эффекты, а хирургические вмешательства не всегда эффективны.
| Метод лечения | Описание |
| Ботулинотерапия: * Ботокс; * Ксеомин; * Диспорт; * Миоблок. | Ботулинический токсин расслабляет мышцы и облегчает состояние. Эффект кратковременен, инъекции нужно повторять каждые 3-4 месяца. |
| Препараты для лечения болезни Паркинсона | Используются с ботулинотерапией для усиления эффекта, но могут вызывать побочные реакции: * проблемы со зрением; * нарушения мочеиспускания; * ухудшение памяти; * запоры; * сухость во рту. |
| Миорелаксанты: * диазепам; * лоразепам; * клоназепам; * баклофен. | Применяются редко из-за ограниченной эффективности и побочных эффектов, таких как: * седативный эффект; * ухудшение памяти; * нарушение координации. |
| Обезболивающие средства | Назначаются при болях, связанных со спастической кривошеей. Обычно рекомендуются безрецептурные препараты, при сильных болях — более мощные. |
| Лечебная физкультура (ЛФК) | Подобранная программа упражнений снижает мышечное напряжение и повышает гибкость шеи. |
| Хирургическое вмешательство | Если медикаменты не помогают, врач может предложить операцию по рассечению мышц и нервов. Это может помочь, но не всем пациентам. |
| Глубокая стимуляция мозга | Применяется в тяжелых случаях, когда другие методы неэффективны. Хирург вводит электрод в область мозга, отвечающую за движение спазмированной мышцы, чтобы прервать патологические импульсы. |
Как выбрать подушку при кривошее?
На рынке доступны ортопедические подушки для детей до года, предназначенные для профилактики и лечения кривошеи, рахита и других заболеваний. В сочетании с лечебной физкультурой и массажем такие подушки могут быть полезны, но мнения специалистов различаются.
Несмотря на преимущества, у ортопедических подушек есть недостатки. Некоторые модели предполагают наличие шейного изгиба позвоночника, который формируется только после того, как ребенок начинает держать голову. В более раннем возрасте использование таких подушек может вызвать напряжение мышц шеи, что может навредить.
Ортопедическая подушка фиксирует малыша на спине, что не всегда безопасно при частых срыгиваниях.
Применять ортопедическую подушку следует только по рекомендации врача, который поможет выбрать подходящую модель.
Рекомендации по выбору ортопедической подушки:
- Наполнитель должен хорошо пропускать воздух, чтобы избежать риска, если ребенок перевернется лицом вниз.
- Если у малыша часто срыгивания, сообщите об этом врачу. Специалист может рекомендовать отказаться от подушки или предложить подходящую модель.
- Швы подушки должны быть частыми и аккуратно заправленными внутрь, чтобы наполнитель не выглядывал.
- Наполнитель должен быть гипоаллергенным. Рекомендуются материалы: пенополиуретан, холлофайбер, комфорель, синтепон, латекс.
- Чехол подушки должен быть из натуральных тканей, легко стираемых: ситца, льна или хлопка.
Какие упражнения выполняют при кривошее?
Основное правило гимнастики при кривошее у детей — проводить занятия только по рекомендации врача. Упражнения для растяжения грудинно-ключично-сосцевидной мышцы могут усугубить состояние при наличии костной патологии.
Цели гимнастики при кривошее у детей:
- удлинение мышцы;
- снятие спазмов;
- улучшение кровообращения и обмена веществ в мышце;
- выравнивание тонуса грудинно-ключично-сосцевидных мышц и устранение асимметрии.
Лечебная физкультура может начинаться с первого месяца жизни. Комплекс упражнений подбирается врачом в зависимости от возраста ребенка. Гимнастика бывает пассивной (движения выполняет массажист или мама) и активной (в более старшем возрасте — ребенок выполняет движения самостоятельно). Обычно лечебные упражнения сочетаются с массажем.
Нужно ли носить воротник при кривошее? Как его правильно выбрать?
При кривошее у новорожденного врач может рекомендовать ортопедический воротник — воротник Шанца. Он удерживает голову в правильном положении и, в сочетании с другими методами, способствует коррекции.
Рекомендации по выбору и использованию воротника Шанца:
- Используйте по назначению врача. Ношение воротника без необходимости или слишком долго может ослабить шейные мышцы и замедлить развитие способности малыша держать голову.
- Следуйте указаниям врача о времени ношения и его продолжительности. Обычно воротник надевают после физиотерапии, массажа или лечебной физкультуры.
- Подбирайте воротник строго по размеру. Неправильный размер не обеспечит необходимую фиксацию. В ортопедических магазинах есть модели для новорожденных шириной от 3 до 5 см.
- Обратите внимание на материалы. Воротник должен быть достаточно жестким, но не слишком, и иметь чехол, который легко стирается и не вызывает раздражения кожи.
- Соблюдайте гигиену. Воротник должен быть чистым, между ним и кожей не должно быть пыли и катышков. Убедитесь, что на коже ребенка нет раздражений.
Воротник Шанца эффективно помогает при кривошее у детей младшего возраста, но только в сочетании с другими методами лечения.
Делают ли электрофорез при кривошее?
Электрофорез — метод, при котором на кожу накладываются два электрода, пропитанные раствором лекарства. Под воздействием электрических импульсов активное вещество проникает в дерму.
При костной кривошее электрофорез неэффективен. Однако при мышечной и неврогенной формах заболевания он может быть полезен в сочетании с другими методами. Обычно применяются препараты, такие как папаверин, эуфиллин, лидаза и йод. Первые два средства расслабляют грудинно-ключично-сосцевидную мышцу, а последние два способствуют рассасыванию рубцовой ткани.
Другие физиотерапевтические методы при кривошее:
- Инфракрасное облучение с использованием специализированных ламп.
- Теплотерапия: лечение с помощью парафина.
Какие могут быть последствия кривошеи?
В большинстве случаев раннее лечение кривошеи дает положительные результаты. Исключение составляет синдром Клиппеля-Фейля, при котором восстановление подвижности шеи невозможно.
Игнорирование кривошеи у детей может привести к следующим последствиям:
- Со временем лечение усложняется из-за рубцовых изменений в грудинно-ключично-сосцевидной мышце.
- На пораженной стороне нарушается рост черепа, что приводит к асимметрии лица.
- Кривошея затрудняет кровообращение по шейным сосудам, вызывая головные боли и проблемы с памятью, вниманием и мышлением. Ребенок может отставать в интеллектуальном развитии.
- Постоянный наклон головы может деформировать трахею, что негативно сказывается на дыхательной системе и увеличивает риск респираторных заболеваний.
- Ранняя кривошея может нарушить симметричность грудной клетки.
- Деформация черепа может вызвать частые воспаления придаточных пазух носа (синуситы), ухудшение слуха и косоглазие.
Чем раньше начнется лечение, тем значительнее будут результаты.
Что такое ложная кривошея?
Существуют два типа кривошеи: истинная мышечная и ложная. При истинной кривошее наблюдаются изменения в грудинно-ключично-сосцевидной мышце, которая укорочена, что вызывает наклон головы в одну сторону. Ложная кривошея характеризуется напряжением мышцы без патологических изменений; причина заключается в нарушении функций нервной системы.
Для врача важно определить тип кривошеи, так как это влияет на выбор метода лечения.
Вопрос-ответ
В каком возрасте проходит кривошея?
Данное изменение геометрии окружности головы практически полностью исчезает к первому году жизни ребенка. У детей старшего возраста вновь выявленная спастическая мышечная кривошея носит чаще патологический характер и требует более тщательного обследования для выяснения причины и выбора правильного лечения.
Как правильно носить ребенка с кривошеей?
Совет врача: малыша с кривошеей нужно держать иначе. Если кроха повёрнут лицом к вам, то прижмите ребёнка к груди и своей головой постарайтесь поместить его голову в строго вертикальное положение. Если младенец спиной к вам, прижмите его и своей головой поверните его голову в естественное и здоровое положение.
Советы
СОВЕТ №1
Обратите внимание на положение головы вашего новорожденного. Если вы заметили, что ребенок постоянно наклоняет голову в одну сторону или не может повернуть ее в другую, это может быть признаком кривошеи. В таком случае, не откладывайте визит к педиатру или детскому неврологу.
СОВЕТ №2
Регулярно меняйте положение ребенка во время кормления и игр. Это поможет предотвратить развитие кривошеи и улучшить гибкость шейных мышц. Попробуйте держать малыша в разных позах, чтобы он учился поворачивать голову в обе стороны.
СОВЕТ №3
Если у вашего ребенка уже диагностирована кривошея, следуйте рекомендациям врача по лечению. Это может включать физическую терапию, специальные упражнения или использование ортопедических устройств. Не пренебрегайте назначениями, так как раннее вмешательство может значительно улучшить состояние.
СОВЕТ №4
Создайте комфортную и безопасную среду для вашего малыша. Убедитесь, что его кроватка и место для игр позволяют ему свободно двигаться и развивать мышцы шеи. Избегайте использования слишком жестких подушек или матрасов, которые могут ограничивать его движения.












