Особенности анатомии тазобедренного сустава
Тазобедренный сустав отличается прочностью и способен выдерживать значительные нагрузки на нижние конечности.
Ключевые компоненты тазобедренного сустава:
- Головка бедренной кости. Имеет форму шара и соединяется с телом бедра через шейку, покрыта суставным хрящом.
- Вертлужная впадина на костях таза. Охватывает головку бедра, формируя сустав.
- Вертлужная губа – хрящ по краю вертлужной впадины, увеличивающий её глубину. Укрепляет сустав и предотвращает избыточную подвижность.
- Наружные связки. Сустав поддерживается четырьмя мощными связками.
- Внутренняя связка головки бедренной кости. Проходит от верхней части головки бедра к вертлужной впадине, содержит кровеносные сосуды.
Вокруг тазобедренного сустава расположены мышцы, наиболее развиты ягодичные.
Кровоснабжение головки бедра осуществляется артериями, подходящими как со стороны шейки, так и со стороны вертлужной впадины через внутреннюю связку.
Врачи отмечают, что вывих бедренного сустава является серьезной травмой, которая может возникнуть в результате падений, дорожно-транспортных происшествий или спортивных травм. Основными симптомами являются резкая боль в области бедра, ограничение подвижности и деформация сустава. Существует несколько видов вывиха: передний, задний и центральный, каждый из которых требует индивидуального подхода к лечению.
Первая медицинская помощь включает иммобилизацию конечности и немедленное обращение в медицинское учреждение. Важно не пытаться самостоятельно вправить вывих, так как это может привести к дополнительным повреждениям. Реабилитация после вывиха требует времени и включает физиотерапию, упражнения на восстановление подвижности и укрепление мышц. Врачи подчеркивают, что правильное лечение и соблюдение рекомендаций специалистов играют ключевую роль в восстановлении функции сустава и предотвращении повторных травм.

Какие бывают виды вывихов бедра?
Виды вывихов бедра в зависимости от направления смещения головки бедренной кости:
- Задневерхний – головка бедра позади крыла подвздошной кости.
- Задненижний – головка бедра рядом с седалищной костью.
- Передневерхний – головка бедра спереди от крыла подвздошной кости.
- Передненижний – головка бедра близко к лобковой кости.
Задние вывихи встречаются в 3-5 раз чаще, чем передние.
Тазобедренный сустав поддерживается крепкими связками и мышцами, поэтому для вывиха требуется значительная сила и быстрое воздействие.
Ситуации, приводящие к вывиху бедра:
- дорожно-транспортные происшествия;
- падение с высоты;
- стихийные бедствия и катастрофы.
Травма имеет непрямой характер: воздействие оказывается на бедренную кость, которая действует как рычаг.
Передние вывихи чаще возникают при падении на ногу, повернутую наружу и слегка согнутую в тазобедренном суставе.
Задний вывих требует меньшего усилия и происходит при резком повороте ноги внутрь.
Вывих чаще наблюдается у людей младше 50 лет; у пожилых может привести к перелому бедренной кости.
Симптомы вывиха:
- Острая боль в области тазобедренного сустава.
- Невозможность встать на поврежденную ногу.
- Невозможность выполнять движения в суставе.
- Деформация в области сустава (в зависимости от типа вывиха).
- Вынужденное положение ноги (в зависимости от типа вывиха).
- Увеличение боли при попытке движения.
- Пружинящее сопротивление при попытке подвигать ногу.
- Отек и кровоизлияние в области тазобедренного сустава, ягодиц и паха.
| Тип вывиха | Симптомы |
| Задний | * Нога согнута, приведена и повернута внутрь. * Поврежденная конечность укорочена. * В паху западение, в ягодице – выступ, где смещена головка бедренной кости. * При задненижнем вывихе деформация выражена сильнее. |
| Передний | * Нога слегка отведена, колено повернуто наружу (при передненижнем вывихе – сильнее). * При передневерхнем вывихе нога разогнута, при передненижнем – согнута. * Поврежденная конечность удлинена. * В области паха выпуклое образование, смещенная головка бедра, ягодица уплощена. |
Наиболее частое осложнение – повреждение сосудов, питающих головку бедренной кости, что приводит к аваскулярному некрозу. Это вызывает боли и ограничивает подвижность. В таких случаях может потребоваться операция по эндопротезированию.
Другим осложнением является ушиб седалищного нерва.
Симптомы:
- Боли по задней поверхности ноги.
- Нарушения движений и чувствительности, вплоть до полного паралича (при разрыве нерва).
- Шелушение, язвы на коже.
Смещенная головка бедра может сдавить бедренные сосуды, нарушая кровообращение. Вывих необходимо устранить быстро, иначе ткани могут погибнуть.
Повреждение запирательного нерва может вызвать нарушения в мышцах внутренней поверхности бедра.
Если вывих не вправлен сразу, он становится застарелым, и его устранение усложняется.
Классификация вывихов по срокам:
- Свежие – до 3 дней с момента травмы.
- Несвежие – от 3 дней до 3 недель.
- Застарелые – более 3 недель.
При застарелом вывихе капсула сустава утолщается, свободное пространство заполняется соединительной тканью, которая может окостенеть. Эти изменения требуют хирургического вмешательства.
Признаки застарелого вывиха бедра:
- Симптомы аналогичны свежему вывиху, но менее выражены.
- Боль менее интенсивна.
- Деформация менее заметна.
- Больной хромает и адаптируется к стоянию и ходьбе с вывихнутым суставом, что может привести к искривлению позвоночника и перекосу таза.
При серьезной травме и подозрении на вывих бедра необходимо вызвать «Скорую помощь». Пострадавшего следует доставить в медицинское учреждение для вправления вывиха под наркозом.
Не пытайтесь вправить вывих самостоятельно. Это сложно и может усугубить ситуацию, особенно при наличии перелома шейки бедра или повреждений сосудов и нервов.
- Дать пострадавшему обезболивающее. Лучше всего ввести анальгетики внутримышечно.
- Иммобилизация – зафиксировать поврежденную ногу с помощью подручных материалов. Конечность должна оставаться в положении, принятом после травмы.
- Приложить холод к области тазобедренного сустава. Это может быть пакет со льдом или ткань, смоченная в холодной воде.
Пациента следует как можно быстрее доставить в травматологическую клинику. Необходима «Скорая помощь» или специализированный транспорт.
Пострадавшего с вывихом бедра направляют в травмпункт для осмотра врачом-травматологом. Обычно диагностика не вызывает затруднений.
Другие травмы, которые могут напоминать вывих бедра:
- Ушиб. Боль присутствует, но деформации нет, все движения сохранены.
- Подвывих – суставные поверхности частично разобщены. Признаки схожи с вывихом, но движения частично сохраняются.
-
Переломы. Вывих бедра нужно отличать от перелома шейки бедренной кости или вертлужной впадины.
-
Осмотр травматолога. Врач осматривает и ощупывает поврежденный сустав. Вывих обычно легко выявить, но важно отличить его от других травм.
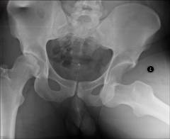
- Рентгенография. Обязательно для всех пациентов. Снимки делают в двух проекциях – спереди и сбоку.
- Компьютерная томография и магнитно-резонансная томография. Эти исследования проводятся при сомнениях в диагнозе.
Если нет осложнений, вывих бедра вправляют закрытым способом, без операции.
Правила закрытого вправления вывиха бедра:
- Процедура проводится в операционной.
- Используется общий наркоз, так как процедура болезненная.
- Вводят миорелаксанты для расслабления мускулатуры.
- Вправление осуществляют хирург и помощник.
- Врач повторяет движения, произошедшие во время травмы, в обратном порядке.
Методы вправления вывиха бедра (по фамилиям разработчиков):
| Метод | Описание |
| Вправление по Кохеру | * Пострадавшего укладывают на операционный стол, вводят наркоз; * Помощник фиксирует таз; * Хирург сгибает ногу под прямым углом и тянет её вертикально вверх, поворачивая вовнутрь; * При вправлении ощущается щелчок. |
| Вправление по Джанилидзе | * Пострадавшему вводят наркоз, затем укладывают на живот; * Поврежденная нога свисает; * Под таз подкладывают мешочки с песком, помощник фиксирует крестец; * Хирург сгибает ногу и ставит свое колено в подколенную ямку; * Осуществляя надавливание, врач поворачивает ногу наружу; * В момент вправления ощущается щелчок. |
После вправления делают рентгеновские снимки для подтверждения правильного положения головки бедренной кости.
После вправления вывиха бедра:
- Накладывают гипсовую лонгету от поясницы до пальцев, фиксируя три сустава.
- Иногда требуется скелетное вытяжение на 3-4 недели.
- В течение 3-4 недель назначается постельный режим. После этого пациент может начинать вставать и ходить с помощью костылей.
- В течение 8-10 недель запрещается нагружать поврежденную ногу.
- Обычно трудоспособность восстанавливается через 3 месяца.
- Если вправление выполнено сразу после травмы, прогноз благоприятный. Полное выздоровление обычно достигается, но возможны осложнения.
Осложнения, требующие операции на тазобедренном суставе:
- Невозможность закрытого вправления. Обычно связано с капсулой сустава или другими тканями, попавшими между головкой бедра и вертлужной впадиной.
- Разрыв связок.
Во время операции врач делает разрез для доступа к суставу, устраняет повреждения, производит открытое вправление и накладывает швы.
При застарелых вывихах в суставе происходят изменения. В зависимости от их степени хирург может выбрать один из двух видов операции:
- Открытое вправление вывиха. Возможно, если суставные поверхности сохранились.
- Артродез – фиксация, после которой сустав становится неподвижным. Выполняется, если восстановить функцию невозможно.
Вывих тазобедренного сустава – серьезная травма. Скорость и эффективность восстановления функции ноги зависят от своевременности реабилитационного лечения. У пациентов, прошедших реабилитацию, результаты лучше, чем у тех, кто ограничился стационарным лечением.
Реабилитационные мероприятия:
| Название | Описание |
| Массаж | Начинается с легкого воздействия: поглаживание, растирание, затем становится более интенсивным. Цели массажа: * восстановление кровотока; * ускорение рассасывания отека; * уменьшение болей; * повышение тонуса мышц; * ускорение восстановления движений. |
| Лечебная физкультура | Начинается как можно раньше, даже во время постельного режима. Этапы: * I этап – простейшие упражнения для восстановления кровотока. * II этап – простые движения для восстановления подвижности. * III этап – более интенсивный комплекс гимнастики с нагрузками на ногу. |
| Физиотерапия | Курс подбирается индивидуально. Методы физиотерапии: * диадинамические токи; * УВЧ; * магнитотерапия; * тепловые процедуры. |
| Санаторно-курортное лечение | Лечебные грязи, термальные воды и другие факторы положительно влияют на состояние пациента. |
| Причина | Симптом | Действие |
|---|---|---|
| Прямая травма (например, падение с высоты, удар в область бедра) | Сильная боль в области бедра, невозможность двигать ногой, деформация сустава, укорочение ноги, отек, гематома | Немедленно вызвать скорую помощь. Обеспечить пострадавшему покой, не пытаться самостоятельно вправить вывих. Приложить холод к месту травмы. |
| Непрямая травма (например, падение на согнутую ногу) | Сильная боль в области бедра, невозможность двигать ногой, деформация сустава, укорочение ноги, отек, гематома | Немедленно вызвать скорую помощь. Обеспечить пострадавшему покой, не пытаться самостоятельно вправить вывих. Приложить холод к месту травмы. |
| Врожденный вывих бедра | Укорочение ноги, асимметрия кожных складок на бедрах, ограничение отведения ноги, щелчок при отведении ноги (у младенцев) | Немедленное обращение к ортопеду. Лечение зависит от возраста ребенка и степени вывиха (гипсование, операция). |
| Передний вывих | Боль в паху, нога находится в согнутом, отведенном и ротированном наружу положении | Не пытаться самостоятельно вправить вывих. Немедленно вызвать скорую помощь. |
| Задний вывих | Боль в ягодице, нога находится в согнутом, приведённом и ротированном внутрь положении | Не пытаться самостоятельно вправить вывих. Немедленно вызвать скорую помощь. |
| Онемение или покалывание в ноге | Показатель возможного повреждения нервов. Необходимо сообщить врачу. | |
| Потеря чувствительности в ноге | Показатель возможного повреждения нервов. Необходимо сообщить врачу. | |
| Бледность или синюшность кожи ноги | Показатель возможного нарушения кровообращения. Необходимо сообщить врачу. | |
| Лихорадка | Может указывать на инфекционное осложнение. Необходимо сообщить врачу. | |
| Постоянная сильная боль, не купируемая анальгетиками | Требует немедленного медицинского вмешательства. |
Вывих бедренного сустава — это серьезная травма, которая может возникнуть в результате падения, спортивных травм или дорожно-транспортных происшествий. Люди часто описывают сильную боль в области бедра и ограничение подвижности. Основные симптомы включают деформацию сустава, отек и невозможность нормально передвигаться. Выделяют несколько видов вывиха: передний, задний и центральный, каждый из которых требует специфического подхода к лечению. Первая медицинская помощь заключается в immobilизации сустава и немедленном обращении к врачу. Реабилитация включает физиотерапию, упражнения на растяжку и укрепление мышц, что помогает восстановить функцию сустава и предотвратить рецидивы. Важно следовать рекомендациям специалистов для полного восстановления.

Причины вывиха бедра
Тазобедренный сустав поддерживается крепкими связками и мышечными группами, поэтому для вывиха требуется значительное и быстрое воздействие.
Наиболее распространенные причины вывиха бедра:
- дорожно-транспортные происшествия;
- падение с высоты;
- природные катастрофы и аварии.
Травма имеет непрямой характер: воздействие оказывается не на сустав, а на бедренную кость, которая действует как рычаг.
Передние вывихи чаще возникают при падении с высоты на ногу, повернутую наружу, слегка согнутую в тазобедренном суставе и отведенную в сторону.
Задний вывих требует меньшего усилия и может произойти при резком повороте ноги внутрь и её приведении.
Вывих чаще наблюдается у людей младше 50 лет. У пожилых он может привести к перелому бедренной кости.
Симптомы вывиха бедра

Общие симптомы для всех разновидностей вывихов бедра
- Острая боль в тазобедренном суставе.
- Невозможность опереться на травмированную ногу.
- Ограничение движений в суставе.
- Изменение формы сустава (в зависимости от типа вывиха).
- Принужденное положение ноги (в зависимости от типа вывиха).
- Усиление боли при движении в суставе.
- Пружинистое сопротивление при попытке подвигать ногу.
- Отечность и подкожные кровоизлияния в области сустава, ягодиц и паха.
Симптомы в зависимости от вида смещения головки бедренной кости
| Тип вывиха | Признаки |
| Задний | * Нога согнута, приведена и направлена внутрь. * Конечность укорочена. * В паху наблюдается западение, в ягодичной зоне – выпуклость из-за смещения головки бедренной кости. * При задненижнем вывихе деформация выражена сильнее. |
| Передний | * Нога слегка отведена, колено повёрнуто наружу, при передненижнем вывихе это выражено сильнее. * При передневерхнем вывихе нога выпрямлена, при передненижнем – согнута. * Конечность выглядит удлиненной. * В паху имеется выпуклость от смещённой головки бедра, ягодица плоская. |
Осложнения вывиха бедра
Наиболее частым осложнением травматического вывиха бедра является повреждение сосудов, кровоснабжающих головку бедренной кости. Это может привести к аваскулярному некрозу и разрушению костной ткани. Пациенты испытывают сильные боли и теряют способность передвигаться. В таких случаях требуется операция по эндопротезированию тазобедренного сустава.
Другим осложнением является ушиб седалищного нерва, расположенного рядом с тазобедренным суставом.
Симптомы:
- Боли в задней части ноги.
- Нарушения движений и чувствительности, вплоть до полного паралича (при разрыве нерва).
- Шелушение и язвы на коже.
Смещенная головка бедра может сдавливать бедренные сосуды, нарушая кровообращение в нижней конечности. Вывих необходимо устранить как можно скорее, так как длительное отсутствие лечения может привести к гибели тканей из-за недостатка кислорода.
Повреждение запирательного нерва может вызвать нарушения в работе мышц внутренней поверхности бедра.
Застарелый вывих бедра
Если вывих бедра не вправлен сразу после травмы, он может стать хроническим, и его устранение усложняется.
Классификация вывихов по срокам:
- Свежие – травма произошла не более 3 дней назад.
- Несвежие – с момента травмы прошло от 3 дней до 3 недель.
- Застарелые – с момента травмы прошло более 3 недель.
При хроническом вывихе бедра капсула тазобедренного сустава утолщается и становится плотнее, а пространство вокруг сустава заполняется соединительной тканью, которая может окостенеть. Эти изменения можно исправить только хирургически.
Признаки хронического вывиха бедра:
- Симптомы схожи с таковыми при свежем вывихе, но менее выражены.
- Боль присутствует, но её интенсивность ниже.
- Деформация менее заметна.
- Пациент начинает хромать, приспосабливаясь к стоянию и ходьбе с вывихнутым суставом, что может привести к искривлению позвоночника и перекосу таза.
Первая помощь пострадавшему с вывихом бедра
Нужно ли вызывать «Скорую помощь»?
При серьезной травме и подозрении на вывих бедра необходимо вызвать бригаду «Скорой помощи». Пострадавшего следует транспортировать в медицинское учреждение для вправления вывиха под анестезией.
Не пытайтесь самостоятельно исправить вывих бедра. Это сложно, так как тазобедренный сустав окружен напряженными мышцами, и без анестезии ничего не получится. Неправильные действия могут усугубить ситуацию, особенно при наличии перелома шейки бедра или повреждения сосудов и нервов.
Что можно сделать?
- Обезболивание пострадавшего. Лучше вводить анальгетики внутримышечно, если рядом есть человек с соответствующими навыками.
- Иммобилизация – зафиксируйте травмированную ногу. Подойдут палки или арматура, обмотанные бинтом. Можно примотать поврежденную конечность к здоровой. Ногу следует оставить в положении, в котором она оказалась после травмы.
- Приложите холод к тазобедренному суставу. Это может быть пакет со льдом или ткань, смоченная в холодной воде.
Пациента нужно как можно быстрее доставить в травматологическую больницу. Не рекомендуется делать это самостоятельно на легковом автомобиле. Лучше вызвать «Скорую помощь» или воспользоваться транспортом МЧС, оснащенным необходимым для оказания помощи.
Какой врач занимается диагностикой и лечением этой травмы?
Пострадавшего с вывихом бедра направляют в травматологический пункт для осмотра врачом-травматологом. Диагностика обычно проходит без затруднений.
Другие травмы, схожие с вывихом бедра:
- Ушиб. Боль присутствует, но деформации сустава нет, и движения возможны.
- Подвывих – суставные поверхности головки бедренной кости и вертлужной впадины частично разобщены. Симптомы напоминают вывих, но движения в суставе частично сохраняются.
- Переломы. Важно отличать вывих бедра от перелома шейки бедренной кости или вертлужной впадины. В некоторых случаях может быть только перелом, а в других – он может сочетаться с вывихом, образуя переломовывих.
Обследование при вывихе бедра
- Осмотр специалиста по травмам. Врач проводит визуальный осмотр и пальпацию поврежденного тазобедренного сустава. Вывих обычно легко распознать, но важно отличить его от других травм.
- Рентгенография. Это исследование обязательно для всех пациентов. Снимки делают в двух проекциях – анфас и профиль, что позволяет точнее оценить положение головки бедра и выявить повреждения окружающих тканей.
- Компьютерная томография и магнитно-резонансная томография. Эти методы используются, если после рентгенографии у врача остаются сомнения в диагнозе.
Лечение вывиха бедра
Лечение свежего вывиха бедра
Если нет осложнений, вывих бедра вправляют без операции, используя закрытый метод.
Правила закрытого вправления вывиха бедра:
- Процедура проходит в операционной.
- Применяется общий наркоз, так как манипуляция вызывает сильную боль, а сокращенные мышцы мешают выполнению.
- Вводят миорелаксанты для расслабления мускулатуры.
- Вправление выполняют хирург-травматолог и ассистент.
- Врач повторяет движения, произошедшие при травме, в обратном порядке, чтобы головка бедра заняла правильное положение.
Методы вправления вывиха бедра (по именам разработчиков):
| Метод | Описание |
| Вправление по Кохеру | * Пострадавшего укладывают на стол или пол, вводят наркоз; * Ассистент фиксирует таз, прижимая его руками; * Хирург сгибает ногу под прямым углом в колене и тазобедренном суставе; * Ногу тянут вертикально вверх, одновременно поворачивая внутрь; * При вправлении хирург ощущает щелчок. |
| Вправление по Джанилидзе | * Пострадавшему вводят наркоз, затем укладывают на живот; * Поврежденная нога свисает сбоку; * Под таз подкладывают два мешочка с песком, ассистент надавливает на крестец; * Хирург сгибает ногу в колене и ставит колено в подколенную ямку пациента; * Осуществляя надавливание, врач поворачивает ногу наружу; * В момент вправления травматолог ощущает щелчок. |
После вправления делают рентген, чтобы убедиться, что головка бедренной кости вернулась на место.
После вправления вывиха бедра:
- Накладывается гипсовая лонгета от поясницы до пальцев ног, фиксирующая три сустава: тазобедренный, коленный и голеностопный.
- В некоторых случаях требуется скелетное вытяжение на 3-4 недели. Под наркозом через большеберцовую кость вводят металлическую спицу, к которой крепят скобу и подвешивают груз.
- В течение 3-4 недель назначается постельный режим. После этого пациент может вставать и передвигаться с помощью костылей.
- В течение 8-10 недель запрещается нагружать поврежденную ногу – передвижение только с опорой на костыли.
- Полное восстановление трудоспособности обычно происходит через 3 месяца.
- Если вправление выполнено сразу после травмы, прогноз благоприятный. Полное выздоровление и восстановление функции ноги возможны, хотя у некоторых пациентов могут возникнуть осложнения.
Лечение осложненного вывиха бедра
Осложнения вывиха, требующие хирургического вмешательства на тазобедренном суставе:
- Невозможность закрытого вправления. Это может быть связано с капсулой сустава или другими тканями, застрявшими между головкой бедра и вертлужной впадиной.
- Разрыв связок.
Во время операции хирург делает разрез для доступа к суставу, устраняет повреждения (удаляет ткани, попавшие в сустав, и восстанавливает разорванные связки), выполняет открытое вправление головки бедра и накладывает швы.
Лечение застарелого вывиха бедра
При хронических вывихах тазобедренного сустава происходят значительные изменения. В зависимости от их выраженности хирург выбирает один из двух подходов:
- Открытое вправление вывиха. Применяется, если суставные поверхности целы.
- Артродез – процедура, фиксирующая сустав в одном положении, что делает его неподвижным. Используется при серьезных изменениях, когда восстановление функции невозможно. Основная цель операции – обеспечить возможность нормальной опоры на поврежденную ногу.
Реабилитация
Вывих тазобедренного сустава – серьезная травма. Скорость и качество восстановления функций поврежденной ноги и работоспособности пациента зависят от правильной организации реабилитационного лечения. У тех, кто прошел курс реабилитации, результаты лучше, чем у тех, кто ограничился стационарным лечением.
Реабилитационные мероприятия:
| Название | Описание |
| Массаж | Реабилитационный массаж начинают с легких манипуляций: поглаживания и растирания, постепенно увеличивая интенсивность. Цели массажа: * восстановление кровообращения в конечности; * ускорение рассасывания отека; * снижение боли; * повышение мышечного тонуса; * восстановление движений. |
| Лечебная физкультура | Занятия лечебной физкультурой начинают как можно раньше, даже при постельном режиме. Этапы: * I этап – простейшие упражнения для восстановления кровообращения; * II этап – простые движения для восстановления подвижности в суставе; * III этап – более сложные упражнения, позволяющие начать полноценные нагрузки на ногу. |
| Физиотерапия | Курс физиотерапии подбирается индивидуально в зависимости от тяжести травмы, метода лечения и возможностей клиники. Методы физиотерапии при реабилитации вывиха бедра: * диадинамические токи; * УВЧ; * магнитотерапия; * тепловые процедуры. |
| Санаторно-курортное лечение | Лечебные грязи, термальные воды и другие терапевтические факторы в санаториях и курортах положительно влияют на состояние пациента. |
Вопрос-ответ
Какая первая помощь нужна при вывихе бедра?
При вывихе бедра необходимо обеспечить пострадавшему покой и не пытаться самостоятельно вправить вывих. Нужно вызвать скорую помощь, зафиксировать ногу в удобном положении, при необходимости приложить холодный компресс для уменьшения отека и боли. Важно не давать пострадавшему есть или пить до прибытия медицинских работников.
Почему происходит вывих тазобедренного сустава?
Вывих бедра развивается после значительного воздействия травмирующей силы. Причиной данного повреждения бывают ДТП, бытовые повреждения, падения со значительной высоты, травмы в результате занятий спортом или экстремальными видами отдыха, а также производственные несчастные случаи.
Что нужно делать при вывихе тазобедренного сустава?
При вывихах бедра требуется незамедлительное оказание медицинской помощи. Сначала врач проводит клинический осмотр пациента, а затем выполняется рентгенографическое обследование таза и тазобедренных сочленений. Рентгенография позволяет наглядно оценить положение костей в суставе и исключить повреждения костной ткани.
Советы
СОВЕТ №1
При первых признаках вывиха бедренного сустава, таких как сильная боль, отек или невозможность двигать ногой, немедленно обратитесь за медицинской помощью. Не пытайтесь самостоятельно вправить сустав, это может привести к дополнительным повреждениям.
СОВЕТ №2
Если вы стали свидетелем вывиха у кого-то другого, постарайтесь успокоить пострадавшего и зафиксировать его положение до приезда скорой помощи. Избегайте перемещения человека, если это не критично, чтобы не усугубить травму.
СОВЕТ №3
После получения медицинской помощи и вправления сустава, следуйте указаниям врача по реабилитации. Регулярные физические упражнения и физиотерапия помогут восстановить подвижность и укрепить мышцы вокруг сустава.
СОВЕТ №4
Обратите внимание на профилактику вывихов, особенно если вы занимаетесь спортом или физической активностью. Используйте защитное снаряжение и следите за техникой выполнения упражнений, чтобы снизить риск травм.








